Дифференциальная диагностика рака височной кости
Добавил пользователь Дмитрий К. Обновлено: 01.12.2025
Отделение оториноларингологии, отделение компьютерной томографии Научного центра здоровья детей РАМН, Москва
Отделение рентгеновской компьютерной томографии Научного центра здоровья детей РАМН, Москва
Трудности лучевой диагностики злокачественных опухолей среднего уха у детей
Цель работы - представить возможности КТ- и МРТ-диагностики злокачественных новообразований среднего уха у детей. Злокачественные новообразования среднего уха у детей представляют большие трудности в диагностике. Проанализированы субъективные и объективные причины, способствующие позднему установлению диагноза. Основное внимание уделено возможностям КТ и МРТ в диагностике злокачественных новообразований среднего уха у детей. Даны лучевые дифференциально-диагностические критерии злокачественных новообразований.
Злокачественные опухоли среднего уха у детей составляют около 20% среди всех злокачественных новообразований ЛОР-органов и представляют значительные трудности для ранней диагностики и соответственно лечения [1—3]. Рабдомиосаркома и лангергансоклеточный гистиоцитоз относятся к наиболее распространенным новообразованиям среднего уха у детей.
К сожалению, практически в 50% случаев диагноз опухоли устанавливается поздно. Это обусловлено нетипичной клинической картиной заболевания на ранних стадиях (боль и выделения из уха, снижение слуха), что симулирует затянувшийся или хронический средний отит. Опухолевый процесс часто распространяется из среднего уха в наружный слуховой проход, где клинически ошибочно расценивается как полип, и проводится полипотомия. Однако такой «полип» вскоре вновь рецидивирует. Повторный рост «полипов» или «грануляций» у ребенка должен заставить ЛОР-врача до проведения повторных хирургических вмешательств исключить новообразование среднего уха, что на практике встречается далеко не всегда.
На более поздних стадиях болезни характерно вовлечение в патологический процесс лицевого нерва с развитием его пареза, а также поражение других черепных нервов, развитие общемозговых, вестибулярных и мозжечковых расстройств. Появление подобной симптоматики также должно явиться основанием для детального обследования ребенка.
В современных условиях важная роль в диагностике новообразований уха принадлежит лучевым методикам. Расположение среднего уха в пирамиде височной кости предопределяет ведущую роль в диагностическом процессе компьютерной томографии (КТ), поскольку метод позволяет детально оценить в первую очередь состояние костных структур. Дополнительные возможности в оценке мягкотканных изменений открывает магнитно-резонансная томография (МРТ) [4—7].
К сожалению, лучевая диагностика опухолей среднего уха для рентгенолога, так же как и для клинициста, представляет значительные трудности, поскольку изменения, особенно на ранних стадиях болезни, не являются патогномоничными и требуют от специалиста проведения дифференциальной диагностики с другими заболеваниями уха.
Цель работы — продемонстрировать возможности КТ- и МРТ-диагностики злокачественных новообразований среднего уха у детей.

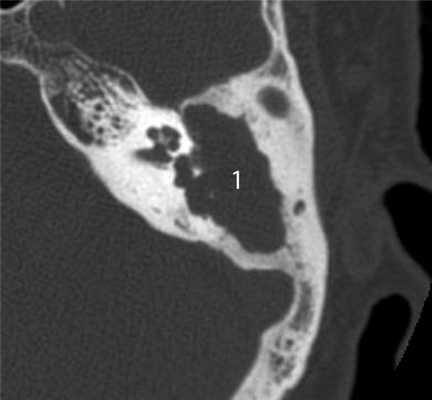
КТ-признаки злокачественной опухоли височной кости предопределяются происходящими в ней патоморфологическими изменениями. Так, наличие опухолевых масс в среднем ухе на КТ проявляется нарушением пневматизации полостей среднего уха (рис. 1). Рисунок 1. Лангергансоклеточный гистиоцитоз. Аксиальная проекция правой височной кости. Отсутствует пневматизация полостей среднего уха за счет наличия опухоли (1), вызывающей обширные деструктивные изменения в пирамиде. Цепь слуховых косточек сохранена (2). Степень выраженности данного КТ-симптома обусловлена размерами самой опухоли и ее точной локализацией в височной кости. Нарушение пневматизации полостей среднего уха не является специфичным для новообразований и постоянно встречается при других заболеваниях среднего уха, в первую очередь при остром и хроническом средних отитах.
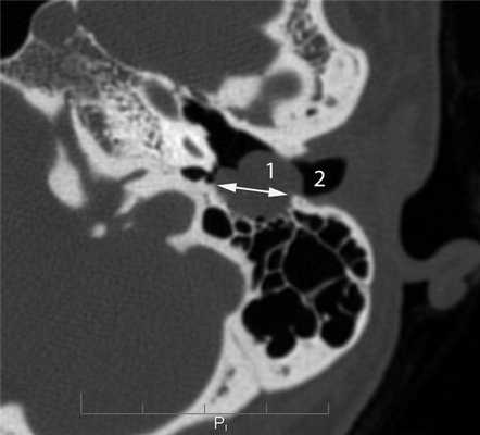
Частым проявлением опухоли височной кости, как было сказано выше, является ее распространение в наружный слуховой проход, что находит свое отражение и на КТ. При небольших размерах полипозного новообразования на КТ в просвете наружного слухового прохода визуализируется образование, исходящее из барабанной полости или проникающее в слуховой проход через его разрушенную стенку (рис. 2). Рисунок 2. Лангергансоклеточный гистиоцитоз. Коронарная проекция правой височной кости. В наружном слуховом проходе определяется полипозное образование (1), на уровне которого верхняя стенка НСП деструктивно изменена. Нарушена пневматизация среднего уха (2). Большой «полип» проявляется на КТ полной обтурацией воздушного просвета слухового прохода мягкотканным образованием (рис. 3). Рисунок 3. Рабдомиосаркома. Аксиальная проекция левой височной кости. Отсутствует пневматизация костного устья слуховой трубы и барабанной полости (1). Просвет наружного слухового прохода обтурирован мягкотканным полипозным образованием (2). Деструкция задней стенки барабанной полости и наружного слухового прохода (3). При анализе данного КТ-признака следует учитывать, что истинные полипы, встречающиеся при хроническом гнойном среднем отите, в отличие от опухолей имеют излюбленную локализацию и чаще всего исходят из верхних отделов барабанной полости.
Рост злокачественного новообразования среднего уха сопровождается деструктивными изменениями прилежащих костных структур. КТ позволяет не только выявить участки костной деструкции в височной кости, но и точно оценить их локализацию, размеры, вовлечение в патологический процесс структур лабиринта, средней и задней черепных ямок, канала лицевого нерва [4—6]. Обнаружение на КТ костно-деструктивных изменений позволяет рентгенологу заподозрить опухолевый процесс, однако и здесь возникает необходимость проведения дифференциального диагноза между злокачественной опухолью, воспалительным заболеванием среднего уха и доброкачественным новообразованием. Следует отметить, что каждому из перечисленных заболеваний среднего уха свойственны свои особенности деструктивного процесса в височной кости, на чем и основывается дифференциальная диагностика между ними.

Главными отличительными признаками костной деструкции опухолевого генеза являются беспорядочность и широкая распространенность (рис. 4). Рисунок 4. Лангергансоклеточный гистиоцитоз. Аксиальная проекция правой височной кости. Распространенные беспорядочные деструктивные изменения остеолитического характера (1) в пирамиде и сосцевидном отростке. Мягкотканное образование (2) выполняет барабанную полость, обтурирует наружный слуховой проход. Участки костной деструкции могут быть выявлены на КТ в сосцевидном отростке, наружном слуховом проходе, в стенках барабанной полости и антрума, в капсуле лабиринта, в пирамиде височной кости и за ее пределами в костях основания и свода черепа [2, 4, 5]. Чем раньше обследуется ребенок с опухолью среднего уха, тем менее распространена деструкция в височной кости. Самые ранние стадии опухолевого процесса характеризуются ее отсутствием, что крайне затрудняет установление диагноза.
Другой отличительной особенностью деструкции при опухолях является литический характер, проявляющийся наличием в височной кости дефектов различной величины, значительным снижением плотности костной ткани в сочетании с неровностью и нечеткостью ее краев без явлений склероза (см. рис. 4).
Сохранность слуховых косточек на фоне деструктивных изменений — третья отличительная особенность костной деструкции при злокачественных опухолях [4, 5] (см. рис. 1).
Дифференциальный диагноз злокачественной опухоли височной кости по данным КТ проводится с холестеатомой, невриномой лицевого нерва, гломусной опухолью.

На практике у детей часто встречается вторичная холестеатома, которая развивается на фоне хронического гнойного среднего отита. Наибольшие трудности в плане дифференциальной диагностики злокачественной опухоли представляет агрессивная холестеатома у детей раннего возраста (2—5 лет). Главными отличительными ее КТ-признаками являются разрушение слуховых косточек, предсказуемый и смешанный характер деструкции, характеризующийся наличием в височной кости как участков лизиса, так и участков разрушения кости с четкими склерозированными краями [8] (рис. 5). Рисунок 5. Холестеатома аттико-антральной области. Аксиальная проекция левой височной кости. В аттико-антральной области определяется деструктивная полость (1), выполненная мягкотканным субстратом. Костные стенки полости неровные, но четкие склерозированные, слуховые косточки разрушены и не определяются.

Невринома лицевого нерва в отличие от злокачественной опухоли характеризуется на КТ наличием в височной кости мягкотканного образования, имеющего достаточно ровные четкие контуры. Образование располагается по ходу одной из частей канала лицевого нерва и вызывает разрушение его костных стенок [5, 6, 9]. Невринома мастоидальной части лицевого нерва вследствие близкого расположения к наружному слуховому проходу часто распространяется в его просвет в виде округлого образования, вызывающего разрушение задней стенки (рис. 6). Рисунок 6. Невринома лицевого нерва. Аксиальная проекция левой височной кости. По ходу мастоидальной части канала лицевого нерва определяется объемное образование (1), распространяющееся в наружный слуховой проход (2). Стенки мастоидальной части канала лицевого нерва и задняя стенка наружного слухового прохода разрушены (стрелка). При клиническом осмотре в наружном слуховом проходе определяется образование плотноэластической консистенции на широком основании.
КТ-симптоматика параганглиомы или гломусной опухоли височной кости, редко встречающейся у детей, включает нарушение пневматизации полостей среднего уха в сочетании с костной деструкцией (рис. 7, а). Рисунок 7. Гломусная опухоль. а — аксиальная проекция правой височной кости. В пирамиде височной кости определяется объемное образование, вызывающее разрушение стенок ямки луковицы яремной вены (1) и канала внутренней сонной артерии (2). Поскольку параганглиома исходит из яремного и, реже, каротидного гломуса, ее отличительным КТ-признаком является деструкция стенок ямки луковицы яремной вены и канала сонной артерии [5—7]. В отличие от злокачественных опухолей, параганглиома активно накапливает контрастный агент при внутривенном введении в артериальную фазу (рис. 7, б). Рисунок 7. Гломусная опухоль. б — коронарная проекция левой височной кости, внутривенное болюсное контрастирование, артериальная фаза. В барабанной полости определяется опухоль (1), активно накапливающая контрастный агент. Практически одинаковая интенсивность накопления контрастного вещества в ткани опухоли и во внутренней сонной артерии (2).

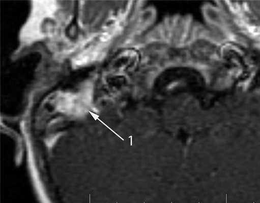
Недостатком КТ в диагностике опухолей среднего уха является низкая контрастность в изображении мягких тканей. В связи с этим существенную роль в диагностике опухолей среднего уха играет МРТ, которую используют для детальной оценки мягкотканных изменений. Эта методика позволяет выявить гетерогенный характер злокачественной опухоли, а также диагностировать распространение опухоли за пределы височной кости как экстра-, так и интракраниально. МР-характеристики злокачественных опухолей не являются специфичными: в Т1-изображении они имеют промежуточный сигнал, в Т2 — высокоинтенсивный сигнал, характерно значительное усиление сигнала после внутривенного введения контрастного агента [6, 7] (рис. 8). Рисунок 8. Лангергансоклеточный гистиоцитоз. МРТ в режиме Т1 после внутривенного контрастирования, коронарная проекция. В сосцевидном отростке определяется опухоль, активно накапливающая контрастный агент (1).
Сопоставление результатов КТ и МРТ позволяет установить наличие опухолевого процесса в височной кости. Однако окончательный диагноз устанавливается на основании результатов гистологического исследования материала, полученного при биопсии.
Выводы
1. С целью своевременного выявления злокачественных опухолей среднего уха в алгоритм обследования детей с затянувшимся, рецидивирующим и хроническим средним отитом, особенно осложненным полипом наружного слухового прохода, вестибулярными нарушениями или неврологической симптоматикой, целесообразно включать КТ височной кости.
2. КТ-семиотика злокачественных новообразований височной кости включает: а) нарушение пневматизации полостей среднего уха, часто в сочетании с полипозным образованием наружного слухового прохода, б) беспорядочную и часто распространенную деструкцию костных структур литического характера.
3. Для детальной оценки мягкотканных изменений в височной кости и выявления интракраниального распространения опухоли методом выбора является МРТ.
Параганглиома среднего уха ( Гломангиома среднего уха , Гломусная опухоль среднего уха , Нехромаффиннная параганглиома среднего уха , Хемодектома среднего уха )
Параганглиома среднего уха - это доброкачественная опухоль, сформированная из нехромаффинных параганглиев, расположенная на медиальной стенке барабанной полости. К основным клиническим проявлениям заболевания относятся снижение слуха, пульсирующий шум в ушах, неврологическая симптоматика. Высокой информативностью в диагностике параганглиомы обладают микроотоскопия, рентген и компьютерная томография височной кости, магнитно-резонансная томография. Основное лечение включает проведение хирургического вмешательства, лучевой терапии. В случаях, когда операция не показана, могут быть назначены симптоматические средства (НПВС, анальгетики).
МКБ-10
Общие сведения
Параганглиома (гломусная опухоль, нехромаффиннная параганглиома, хемодектома, гломангиома) среднего уха - одна из доброкачественных опухолей головы и шеи, поражающая преимущественно барабанную полость, сосуды, нервы. Впервые была описана в 1941 году американским профессором анатомии С. Гилдом. Гломусная опухоль встречается с частотой 1:300000, является одним из самых распространённых доброкачественных образований среднего уха. Известно, что женщины болеют в 5-7 раз чаще мужчин. Основные симптомы заболевания манифестируют в возрасте 55-60 лет, у детей и подростков такая патология обнаруживается крайне редко.
Причины
В настоящее время причины развития гломангиомы достоверно неизвестны. Выявлено, что она может возникать спонтанно под действием внешних воздействий среды на организм человека или же наследоваться по аутосомно-доминантному типу от родителей. За развитие наследственных форм болезни отвечают мутации генов, участвующих в кодировании B, C, D ферментно-митохондриального комплекса сукцинат-дегидрогеназы. Опухоль может входить в структуру генетических заболеваний (синдром МЭН 2А типа, болезнь Гиппеля-Линдау).
Спорадическая хемодекома формируется у людей в возрасте 40-50 лет. На её развитие могут оказывать влияние инфекционные заболевания, бесконтрольный приём стероидов и гормональных контрацептивов, аутоиммунные болезни. Также причиной возникновения образования из параганглиев могут стать любые состояния, приводящие к изменению работы эндокринной системы. К ним относят беременность, патологии яичников, щитовидной железы.
Патогенез
Параганглиома образуется из гломусных телец, которые располагаются во внешней оболочке луковицы яремной вены, в области мыса, по ходу ветвей языкоглоточного, блуждающего нерва, а также в пирамиде височной кости. Эти клетки представляют собой хеморецепторы и реагируют на различные стимулы путем синтеза гормонов. При развитии опухолевого перерождения клеток образование биологически активных веществ происходит постоянно.
Элементы АПУД-системы могут продуцировать катехоламины и пептидные гормоны. В процессе роста доброкачественное образование проникает в барабанную полость, заполняет её, постепенно нарушая целостность барабанной перепонки, повреждая прилежащие сосуды и нервы. По мере разрастания гломусная опухоль может выступать в наружный слуховой проход.
При гистологическом исследовании выявляются крупные округлые клетки с явлениями секреторной активности (образование в цитоплазме вакуолей, наличие в ней гранул). Клетки опухоли формируют клубочки, вдающиеся в просвет сосудов. Соединительная ткань параганглиомы представлена коллагеновыми волокнами, синусоидными капиллярами. Участки между клетками заполнены мелкозернистым веществом, образующим гомогенную массу.
Симптомы
У большинства пациентов с параганглиомой среднего уха клиническая картина развивается постепенно и связана с повреждением внутричерепных нервов. Больные жалуются на снижение остроты слуха, периодически возникающий звон в ушах. Он имеет пульсирующий характер, может усиливаться при наклонах вниз или резких движениях головой. Эти симптомы связаны не только с разрушением лабиринта, но и с компрессией улиточной части преддверно-улиткового нерва.
Если опухоль выходит в просвет слухового прохода, она часто травмируется, что сопровождается незначительными кровянистыми выделениями, которые остаются на подушке и волосах после сна. В некоторых случаях пациенты жалуются на периодическое повышение артериального давления. Это напрямую связано с избыточным образованием биологических веществ, увеличивающих тонус сосудов.
Общая неврологическая симптоматика при гломусном новообразовании характеризуется развитием постоянных головных болей диффузного характера, слабостью, усталостью. Наблюдается снижение работоспособности, ухудшается память и концентрация. При поражении преддверной части VIII черепного нерва страдает вестибулярный аппарат. Развивается нистагм, могут возникать головокружения и обморочные состояния.
Осложнения
Без лечения гломангиома прогрессирует, что способствует потере слуха, развитию псевдобульбарного синдрома, неврита лицевого нерва. Это может привести к тяжёлым неврологическим расстройствам. Находящееся в просвете слухового прохода образование легко травмируется, в области повреждения может возникнуть инфекция. При нарушении целостности сосудов гломусной опухоли возникает внутреннее кровотечение в полость черепа. В редких случаях (менее 5%) происходит перерождение доброкачественной опухоли в злокачественную с последующим метастазированием.
Диагностика
Диагноз параганглиомы среднего уха ставится на основании жалоб больного, данных осмотра врача-отоларинголога, инструментальных и лабораторных исследований. В рамках диагностических мероприятий показана консультация невролога. К основным методикам, применяемым для верификации диагноза, относят:
- Физикальное обследование. При осмотре в наружном слуховом проходе обнаруживается образование, напоминающее полип, которое обладает контактной кровоточивостью. Показательным является положительный симптом пульсации при введении воронки в слуховой проход. Использование микроотоскопии позволяет выявить контуры параганглиомы в виде бордового пятна за барабанной перепонкой.
- Неврологические исследования. Для определения характера поражения нервов используется электронейромиография: она регистрирует снижение скорости проведения нервных импульсов. Функцию вестибулярного аппарата оценивают с помощью обертовой пробы, пробы Ромберга.
- Исследование функции органов слуха. С этой целью проводятся камертональные пробы. Чаще выявляется нейросенсорная тугоухость, связанная с повреждением слухового нерва. Аудиометрия позволяет оценить остроту слуха, снижающуюся при развитии доброкачественной хемодектомы.
- Генетическое обследование. У всех пациентов с параганглиомой обязательно собирается семейный анамнез, чтобы установить наследственную предрасположенность и составить родословную. Полимеразная цепная реакция с ДНК пациента обнаруживает мутации в геноме, отвечающие за развитие опухолевого процесса.
- Лабораторные исследования. Биохимическое исследование крови и мочи позволяет оценить уровень метаболитов катехоламинов. Их повышение указывает на избыточное образование этих биологических веществ и является косвенным доказательством наличия нехромаффинного образования.
- Инструментальные исследования. Чтобы определить характер поражения, размеры и локализацию патологического образования, используют рентгенографию, КТ височной кости. Магнитно-резонансное исследование позволяет определить степень повреждения венозных и артериальных сосудов головы . Ангиография используется непосредственно перед оперативным вмешательством и выявляет источники кровоснабжения гломангиомы.
Дифференциальный диагноз параганглиомы на начальной стадии проводится с отосклерозом, аневризмой сонной артерии, средним отитом. При повреждении нервов патологию необходимо дифференцировать с параличом гортани, гемангиомой, невритом лицевого нерва. Реже дифдиагностика осуществляется с невриномой преддверно-улиткового нерва, холестеатомой среднего уха, черепно-мозговой травмой.
Лечение параганглиомы среднего уха
Хирургическое лечение хемодектомы проводится в отделении отоларингологии. Больному необходимо соблюдать палатный режим, а также придерживаться диеты с большим содержанием белков, витаминных и минеральных комплексов. К основным методам лечения относятся:
- Лучевая терапия. Использование гамма-ножа, кибер-ножа, линейного и протонного ускорителя позволяет удалить опухолевые клетки и предотвратить дальнейший рост образования. Радиохирургия может быть использована в качестве дополнения к хирургическому лечению или в форме монотерапии у пожилых пациентов.
- Хирургическое вмешательство. Операция проводится как традиционным открытым методом, так и с помощью эндоскопического оборудования. Перед ней осуществляется эмболизация источников кровоснабжения опухоли, способствующая деваскуляризации патологического образования. Гломангиома полностью или частично удаляется вместе с изменёнными тканями, восстанавливается целостность височной кости. При необходимости осуществляется реконструкция барабанной перепонки.
- Симптоматическая терапия. При неоперабельной параганглиоме с целью облегчения общего состояния пациентам назначают анальгетики, нестероидные противовоспалительные препараты. Для компенсации тугоухости используются классические слуховые аппараты.
Прогноз и профилактика
При своевременном удалении параганглиомы среднего уха прогноз для жизни и здоровья пациента благоприятный. Уже в первую неделю после оперативного вмешательства наблюдается исчезновение основных симптомов, нормализуется слух. При необоснованном отказе от хирургического лечения существует вероятность развития опасных для пациента осложнений. Профилактика развития параганглиомы сводится к проведению генетического исследования у людей, входящих в группу высокого риска, а также к защите организма от неблагоприятных воздействий внешней среды в течение жизни.
1. Хирургическое лечение параганглиом пирамиды височной кости/ Гуляев Д.А., Чеботарев С.Я., Яковенко И.В.// Креативная хирургия и онкология. - 2011.
2. О диагностике и тактике лечения гломусных опухолей с интракраниальным ростом/ Мустафин Х.А., Смагулов Ф.Х., Бердиходжаев М.С., Шпеков А.С., Толбаева Г.К., Сыздыкбаева Ш.М.// Нейрохирургия и неврология Казахстана. - 2012.
3. Гломусная опухоль (параганглиома) уха. Современное состояние проблемы. Литературный обзор/ Аникин И.А. , Комаров М.В.// Российская оториноларингология - 2010 - № 4.
Рак уха
Рак уха - злокачественная опухоль ушной раковины, слухового прохода либо среднего уха. Проявляется наличием узла, язвы или кровоточащих грануляций, выделениями из уха, болью, шумом и зудом в ухе. Возможно одностороннее ухудшение слуха. При распространении рака уха возникают симптомы поражения черепно-мозговых нервов. При лимфогенном метастазировании выявляется увеличение регионарных лимфоузлов. Диагноз выставляется с учетом жалоб, данных отоскопии, рентгенографии, КТ, МРТ, биопсии и других исследований. Лечение - классические оперативные вмешательства, электрохирургические методики, радиотерапия, химиотерапия.
Рак уха - редко встречающееся злокачественное новообразование, которое обычно развивается из эпителиальных клеток, в отдельных случаях - из подлежащих мягких тканей. Составляет около 1% от общего количества онкологических заболеваний. Как правило, поражает людей старше 40 лет. Мужчины и женщины одинаково часто страдают раком уха. Первое место по распространенности занимают опухоли ушной раковины (80%), второе - новообразования наружного слухового прохода (15%), третье - поражения среднего уха (5%).
Злокачественные опухоли уха нередко возникают на фоне травматических повреждений и хронических воспалительных процессов. Рак уха прорастает близлежащие ткани, может проникать в структуры внутреннего уха, поражать черепно-мозговые нервы, вызывать карциноматоз мозговых оболочек и массивные кровотечения, обусловленные разрушением внутренней сонной артерии. На поздних стадиях рак уха метастазирует в регионарные лимфоузлы. Отдаленные метастазы выявляются редко. Лечение осуществляют специалисты в области онкологии и отоларингологии.
Причины рака уха
Причины развития данной патологии точно не установлены, однако специалисты выделяют ряд факторов, способствующих ее возникновению. В числе таких факторов - воспалительные и предраковые заболевания уха. Предшественником рака уха может стать полип, пограничный невус или хроническая язва. Вероятность злокачественного поражения также увеличивается при наличии хронического отита и ларингита, рубцов после ожогов, отморожений и травм уха.
Кроме того, в числе заболеваний, провоцирующих развитие онкологических процессов в области уха, указывают псориаз, хроническую экзему и СКВ. Определенную роль в развитии рака уха играют экзогенные факторы, в том числе - избыточная инсоляция (при раке ушной раковины) и ионизирующее излучение. Менее значимыми являются высокая влажность и низкая температура, способствующие возникновению воспалительных болезней уха и носоглотки. Некоторые специалисты указывают на наличие наследственной предрасположенности к онкологическим заболеваниям.
Классификация рака уха
С учетом локализации выделяют два типа рака уха: опухоли наружного уха и среднего уха. Опухоли наружного уха, в свою очередь, разделяют на два подтипа: новообразования ушной раковины и наружного слухового прохода. С учетом причин развития различают первичный и вторичный рак уха. Первичный очаг возникает при малигнизации клеток тканей уха, вторичный обычно является результатом прорастания злокачественных опухолей из близлежащих органов (например, из носоглотки, околоносовой пазухи и т. д.).
Существует экзофитный и эндофитный тип роста опухоли. Эндофитные опухоли растут преимущественно вглубь, экзофитные - в просвет органа. С учетом микроскопического строения выделяют три типа новообразований: язвенные, инфильтративные и солитарные вегетирующие. С учетом особенностей гистологического строения различают три типа онкологических поражений уха:
- Спиноцеллюллярная эпителиома. Развивается из клеток эпителия. Этот тип рака уха характеризуется быстрым ростом. При расположении в области ушной раковины представляет собой легко кровоточащий бородавчатый вырост с широким основанием, при локализации в области слухового прохода по внешнему виду напоминает эрозию либо почкообразный вырост. Иногда распространяется на весь слуховой проход.
- Базалиома. Происходит из эпителиальных клеток. Данная разновидность рака уха отличается более медленным ростом и поздним метастазированием. Представляет собой язву либо плоское опухолевидное образование, напоминающее рубцовую ткань.
- Саркома. Происходит из подлежащей соединительной ткани. Встречается очень редко. Характерен медленный рост при расположении в зоне ушной раковины и быстрый - при локализации в области слухового прохода.
Иногда в области уха возникают меланомы, протекающие аналогично другим меланомам кожи.
В клинической практике используют четырехстадийную классификацию, отражающую распространенность рака уха:
- 1 стадия - опухоль поражает кожу наружного уха либо слизистую оболочку среднего уха, подлежащие хрящи и костные структуры интактны.
- 2 стадия - новообразование проникает в хрящи наружного уха либо костную ткань среднего уха, но не выходит за пределы компактного слоя кости.
- 3 стадия - рак уха распространяется за пределы компактного слоя и поражает регионарные лимфоузлы.
- 4 стадия - выявляется крупное распадающееся новообразование, поражающее соседние анатомические структуры и проникающее в глубокие лимфоузлы шеи с образованием конгломератов. Иногда рак уха дает гематогенные метастазы.
Рак наружного уха
На начальных стадиях рак уха может протекать бессимптомно. В последующем пациенты жалуются на зуд, шум в ухе и усиливающиеся боли в области поражения. В зоне ушной раковины либо наружного слухового прохода обнаруживается узел, язва или грануляции. Рак уха, расположенный в зоне слухового прохода, кровоточит более часто по сравнению с опухолями ушной раковины. Возможны серозные, слизистые либо гнойные выделения. При метастазировании рака уха в регионарные лимфатические узлы выявляется их увеличение.
При прорастании внутренних отделов уха и близлежащих анатомических структур возникают нарушения слуха, резко выраженный болевой синдром, паралич мимической мускулатуры, обусловленный поражением лицевого нерва, и внутричерепные осложнения. Диагноз «рак уха» выставляют на основании отоскопии, данных цитологического и гистологического исследования. Для определения распространенности процесса пациентов направляют на МРТ, КТ и рентгенографию черепа. Дифференциальную диагностику рака уха проводят с воспалительными заболеваниями уха, мокнущей экземой, туберкулемой, красной волчанкой и доброкачественными новообразованиями наружного уха.
Больным с раком уха 1 стадии назначают радиотерапию. При сохранении остатков новообразования после курса лучевой терапии выполняют электроэксцизию. Пациентам с раком уха 2 стадии проводят комбинированную терапию - классическое хирургическое удаление или электрорезекцию узла в сочетании с предоперационной радиотерапией. При процессах в области наружного слухового прохода осуществляют полное удаление ушной раковины. На 3 стадии рака уха применяют лучевую терапию в сочетании с последующим расширенным оперативным вмешательством. Пораженные лимфатические узлы иссекают вместе с клетчаткой, при множественном метастазировании выполняют операцию Крайля. Прогноз при раке уха зависит от локализации и стадии процесса. Чем раньше диагностировано и чем более дистально расположено новообразование - тем выше вероятность благоприятного исхода.
Рак среднего уха
На начальных стадиях симптомы напоминают проявления хронического среднего отита. Самыми распространенными ранними признаками рака уха являются тугоухость и гноетечение. В области слухового прохода могут появляться грануляции. При прорастании подлежащих тканей интенсивность болевого синдрома увеличивается, пациенты с раком уха отмечают иррадиацию болей в висок и шею. Рост грануляций становится более бурным, грануляции легко кровоточат. Наблюдаются головокружения и быстрое прогрессирующее снижение слуха.
В последующем клиническая картина рака уха дополняется симптомами, свидетельствующими о поражении различных анатомических структур. При вовлечении лицевого и тройничного нервов возникают резкие боли и паралич мимических мышц. При прорастании глотки и околоушной слюнной железы отмечаются нарушения глотания и затруднения при движениях нижней челюстью. При распространении рака уха на мозговые оболочки развивается карциноматозный менингит. При поражении внутренней сонной артерии возможны обильные кровотечения. Регионарные лимфоузлы увеличиваются в размере, постепенно теряют подвижность, образуют конгломераты с окружающими тканями, возможно - с очагами распада.
Диагноз устанавливают на основании отоскопии, рентгенографии черепа и биопсии с последующим гистологическим исследованием. При проведении отоскопии обнаруживаются обширные, легко кровоточащие разрастания. На рентгенограммах при распространенных процессах выявляются очаги деструкции. Для уточнения объема поражения больных раком уха направляют на консультацию к неврологу, назначают МРТ головного мозга и другие исследования. Дифференциальную диагностику проводят с хроническим гнойным отитом, остеомиелитом височной кости, сифилисом, туберкулезом и каротидной хемодектомой.
При раке уха, ограниченном пределами барабанной полости, проводят комбинированную терапию - осуществляют субтотальную резекцию височной кости либо расширенную мастоидэктомию в сочетании с пред- и послеоперационной телегамматерапией. При лимфогенном метастазировании рака уха одновременно с удалением первичного очага выполняют иссечение регионарных лимфоузлов или (при наличии множественных метастазов) операцию Крайля. На поздних стадиях назначают паллиативную радиотерапию. Химиотерапия менее эффективна. При раке уха ее иногда применяют в сочетании с радиотерапией в процессе паллиативного консервативного лечения. При саркомах уха данный метод не используется.
Прогноз зависит от распространенности злокачественного процесса. После радикальных операций по поводу рака уха, ограниченного стенками барабанной полости, нередко наступает излечение. При поражении соседних анатомических структур, особенно средней черепной ямки, скуловой и основной костей, менингеальных оболочек и внутренней сонной артерии прогноз неблагоприятный. Больные с поздними стадиями рака уха погибают от гнойных процессов и внутричерепных осложнений.
Петрозит
Петрозит - это воспалительный процесс, локализованный в области пирамиды (каменистой части) височной кости, реже поражающий исключительно её верхушку и протекающий по типу остеита или остеомиелита. Характерными проявлениями заболевания являются синдром Градениго (боли, гноетечение, нейропатия) в сочетании со снижением слуха, лихорадкой. Диагностика основывается на данных клинической картины, результатах лабораторных анализов, рентгенологического исследования, КТ, МРТ височных костей. Осуществляется комплексное лечение, выполняются дренирующие хирургические операции на фоне массивной антибактериальной терапии.
Петрозит является осложнением гнойно-воспалительных заболеваний наружного и среднего уха. Иногда развивается после хирургических вмешательств на сосцевидном отростке. Встречается преимущественно у лиц с выраженной пневматизацией пирамиды височной кости, которые составляют около 30% всего населения. Благодаря широкому применению антибиотиков в оториноларингологической практике в последние годы петрозит наблюдается очень редко, осложняет течение 1-5% случаев отитов. По частоте встречаемости занимает 25 место среди всех осложнений патологии среднего уха. Мужчины болеют в 1,5 раза чаще женщин.
Причины петрозита
Возбудителями болезни чаще всего становятся пневмококки, гемолитические стрептококки и синегнойная палочка. Реже этиологическим фактором являются другие представители кокковой микрофлоры. Описаны единичные случаи височного остеомиелита, вызванного микобактериями туберкулёза. Петрозит у таких пациентов развивался на фоне генерализованного специфического процесса. Очень редко заболевание индуцируется грибками. Распространению инфекции способствуют высокая вирулентность микроорганизмов. К факторам риска развития тяжёлой патологии относятся:
- Гиперпневматизация височной кости. Чаще страдают пациенты с высокой степенью пневматизации пирамиды. Наиболее тяжело болезнь протекает при диплоэтическом (спонгиозном) строении костной ткани, когда в каменистой части присутствует большое количество мелких ячеек, заполненных воздухом.
- Иммунодефицитные состояния, гиповитаминозы. Петрозит осложняет течение отитов, мастоидитов при нарушении функций факторов общей и локальной иммунной защиты. У детей данную патологию часто провоцирует снижение местного иммунитета на фоне ветряной оспы, краснухи или кори. Основным предрасполагающим фактором у взрослых служит сахарный диабет. Развитию болезни способствует общее истощение больного, недостаток витаминов в рационе.
Ячейки височной кости, окружающие лабиринт, сообщаются со средним ухом посредством узких извилистых клеточных ходов. При значительном снижении сопротивляемости организма инфекция распространяется по этим ходам или гематогенным путём. Развивается остеомиелит. Отток гноя затруднён, еще больше ухудшается при формировании грануляций. Происходит гнойное расплавление костной ткани. В зависимости от варианта пневматизации воспаление охватывает всю пирамиду или ее отдельные участки. При изолированном поражении верхушки формируется петроапицит.
В гнойно-воспалительный процесс вовлекается головной мозг и его оболочки. Апицит приводит к возникновению ограниченного верхушечного лептоменингита либо, распространяясь дальше по верхней части пирамиды, вызывает воспаление оболочек мозга в области средней и задней черепных ямок. В результате могут развиваться тромбозы кавернозного синуса, нейропатии III - VI, IX - XII черепно-мозговых нервов. Петрозит с поражением нижней поверхности костной структуры провоцирует прорыв гноя в носоглотку.
Классификация
Остеомиелит может охватывать пирамиду полностью или только её верхушку. Петрозит бывает передним, локализованным в передних надлабиринтном и подлабиринтном, а также прекохлеарном пространствах и задним, провоцирующим воспаление в задних над- и подлабиринтных ячейках и транслабиринтном участке. По клиническому течению выделяют следующие формы заболевания:
- Молниеносная. Возникает у грудных детей. Характеризуется бурным распространением инфекции с гангренозным поражением окружающих мягких тканей, 90% летальностью. Протекает по типу септикопиемии.
- Острая. Развивается в детском возрасте. При этой форме наблюдаются прорывы гноя в полость черепа и носоглотку, венозные тромбозы и поражения вестибулярного аппарата.
- Подострая. Наиболее распространенный вариант. Выявляется у молодых взрослых и в пожилом возрасте. Характерно чередование периодов ремиссии с обострениями, постепенное вовлечение в патологический процесс черепных нервов.
Симптомы петрозита
Первые симптомы осложнения появляются на 3-4 неделе острого среднего отита или в послеоперационном периоде после хирургического вмешательства на среднем ухе, сосцевидном отростке. Классический петрозит проявляется триадой Градениго, включающей в себя резкие боли со стороны поражения, гноетечение из уха и нейропатию отводящего нерва, однако из-за антибиотикотерапии часто определяются не все характерные для данной триады симптомы. Иногда клиническая картина дополняется другими проявлениями болезни.
Петрозит манифестирует болевым синдромом. Боль локализуется на стороне поражения, обычно ощущается глубоко в ухе или ретроорбитально. Гемикраниалгия усиливается в ночное время, может носить приступообразный характер, иррадиировать в зубы, затылок и область лба. Другим патогномоничным признаком патологии является оторея. Присутствует обильное гноетечение из больного уха, выделения могут быть зловонными. На возможность развития височного остеомиелита указывает внезапное появление массивной отореи после радикальной операции или антромастоидотомии.
Парез VI черепно-мозгового нерва становится причиной нарушения подвижности глазного яблока. Наблюдается косоглазие, диплопия. Возможно поражение других черепных нервов. У пациентов выявляется опущение века, офтальмоплегия и прочие неврологические симптомы. Значительно снижается слух. Иногда петрозит сопровождается прорывом гноя в лабиринт. В процесс вовлекается преддверно-улитковый нерв, возникают головокружения, нарушения равновесия.
Симптомы общей интоксикации обычно резко выражены. Температура тела у детей и молодых взрослых повышается до фебрильных и гипертермических значений. У пожилых людей чаще наблюдается субфебрилитет. Присутствует общая слабость, утомляемость. Даже при отсутствии болей настроение пациента снижено, отмечается подавленность. По мере прогрессирования болезни сознание нарушается вплоть до коматозного состояния.
Исходом неврита слухового нерва становится нейросенсорная тугоухость. Иногда наступает полная глухота. Другим осложнением петрозита, сопровождающимся выраженным снижением слуха, является лабиринтит. Изредка встречается поражение зрительного нерва со слепотой на один или оба глаза. Распространение инфекции по нижней поверхности пирамиды приводит к образованию натёчных абсцессов носоглотки, шейных клетчаточных пространств и средостения.
Диагностический поиск при подозрении на петрозит осуществляет врач-оториноларинголог. При сборе анамнеза уточняются предшествующие операции на ЛОР-органах, длительность течения отита, учитывается наличие сопутствующей патологии. Осмотр выявляет отёчность мягких тканей заушной области, признаки отореи. При пальпации ушной раковины и соответствующей половины головы наблюдается резкая болезненность. Визуально определяются симптомы парезов черепных нервов, нистагм. Окончательный диагноз устанавливается на основании результатов следующих процедур:
- Эндоскопия.Отоскопия позволяет выявить достоверные признаки воспаления в области наружного слухового прохода, среднего уха. Определяется отёк и помутнение барабанных перепонок, в большинстве случаев присутствуют перфорации, слуховые проходы заполнены гноем. Осуществляется забор гнойного отделяемого.
- Лабораторные исследования. Лейкоцитоз, нейтрофильный сдвиг формулы периферической крови отражают наличие воспаления в организме. Исследование спинномозговой жидкости позволяет подтвердить или исключить гнойный менингит. С помощью культурального метода выявляется возбудитель заболевания, определяется его чувствительность к антибиотикам.
- Визуализационные методики.Рентгенография височных костей по Стенверсу визуализирует зоны воспаления и расплавления костной ткани. КТ, МРТ дают возможность более точно локализовать патологический процесс, выявить внутримозговые осложнения. С помощью этих методик осуществляется дифференциальная диагностика петрозита с новообразованиями височной кости. С этой же целью иногда выполняется радиоизотопное сканирование костей черепа.
Вспомогательными методами диагностики являются аудиометрия, камертональное исследование, которые используются для определения степени снижения слуха. Петрозит следует дифференцировать с доброкачественными и злокачественными опухолями черепа и головного мозга, аневризмой сонной артерии, гистиоцитозом Х. Пациентов консультируют онкологи, нейрохирурги. В неясных случаях выполняется биопсия каменистой части виска.
Лечение петрозита
Пациенты с диагностированным петрозитом подлежат госпитализации в отделение оториноларингологии. Выбор тактики лечения зависит от распространённости процесса, наличия осложнений. Несмотря на несколько описанных в зарубежной литературе случаев успешного консервативного лечения заболевания, предпочтение отдаётся комплексному подходу к ведению пациента. Оперативные вмешательства сочетаются с массивной антибактериальной терапией.
Консервативная терапия
Основу фармакологического лечения остеомиелита височной кости составляет антибактериальная терапия. Оптимально назначение медикаментов с учетом результатов определения чувствительности микрофлоры к антибиотикам. При отсутствии такого исследования лечение назначается эмпирически. Обычно применяются защищённые аминопенициллины, цефалоспорины 3-4 поколения, линкозамиды. Препараты вводятся в высоких дозах, парентерально. Одновременно осуществляется коррекция уровня глюкозы крови, проводится общеукрепляющая терапия.
Согласно публикациям некоторых зарубежных авторов, неосложнённый петрозит можно полностью излечить консервативными методами. Описано несколько случаев выздоровления пациентов с полным восстановлением функции отводящего нерва. Такие больные нуждаются в постоянном медицинском наблюдении, регулярном динамическом рентгеновском контроле. Однако чаще консервативное лечение применяется перед оперативным вмешательством и после него.
Хирургическое лечение.
Оперативное вмешательство показано при отсутствии положительного эффекта от проводимой антибактериальной терапии. В целях профилактики жизнеугрожающих состояний многие специалисты рекомендуют сразу после постановки диагноза активно наладить отток гноя из поражённого участка кости. Для этого выполняется антромастоидотомия или общеполостная операция. При вторичном послеоперационном нагноении для улучшения оттока гноя рекомендуется тщательно прочистить и расширить свищевые каналы. При неэффективности такого лечения височная кость подвергается частичной резекции.
Своевременное выявление и ранее начало лечения заболевания ведёт к полному выздоровлению больного с обратным развитием нейропатий. Прогноз значительно ухудшается при присоединении внутримозговых осложнений, параличах нескольких черепных нервов. Молниеносная форма болезни обычно заканчивается гибелью пациента. Профилактические мероприятия сводятся к адекватному лечению заболеваний уха, мастоидитов.
1. Петрозит, осложнённый тромбозом кавернозного синуса, менингитом/ Красножен В.Н. Андреева И.Г.// Вестник оториноларингологии - 2015 - №4.
4. Petrositis With Bilateral Abducens Nerve Palsies complicated by Acute Otitis Media/ Kyu Young Choi, Su-Kyoung Park// Clinical and Experimental Otorhinolaryngology - 2014.
Доброкачественные опухоли и опухолеподобные образования костей лица. Другие болезни челюстей
Опухоль - патологические процессы, которые возникают в результате пролиферации собственных клеток организма, отличаются своей биологической сущностью и являются реакцией организма на различные повреждающие факторы внешнего и внутреннего характера. (И.Т. Шевченко)
Протокол "Доброкачественные опухоли и опухолеподобные образования костей лица. Другие болезни челюстей"
Код по МКБ-10:
D 16.4 - Доброкачественное образование костей лица
D 16.5 - Доброкачественное образование нижней челюсти
K 10.1 - Гигантоклеточная гранулема (остеобластокластома) цнтральная
K 10.8 - Другие уточненные болезни челюстей (фиброзная дисплазия)
K 01.0 - Ретинированные зубы
K 07.3 - Аномалии положения зубов
К 09.- - Кисты полости рта и челюстей (неодонтогенные, фоликулярные)

Автоматизация клиники: быстро и недорого!
- Подключено 300 клиник из 4 стран
- 800 RUB / 4500 KZT / 27 BYN - 1 рабочее место в месяц

Автоматизация клиники: быстро и недорого!
- Подключено 300 клиник из 4 стран
- 1 место - 800 RUB / 4500 KZT / 27 BYN в месяц
Мне интересно! Свяжитесь со мной
Классификация первичных доброкачественных опухолей и опухолеподобных образований костей лица (Ю.И. Бернадский, 1983)
Группа опухолей и опухолеподобных образований
Опухоли
Опухолеподобные образования
Остеобластокластома (гигантоклеточная опухоль) центральная и периферическая
Гиперпаратиреодная фиброзная остеодистрофия
Неостеогенные и неодонтогенные
Одонтогенные кисты челюстей:
- первично одонтогенная киста
«Банальный» (негигантоклеточный) эпулид
Диагностические критерии
Жалобы и анамнез
Жалобы больных довольно однообразны - на наличие деформации лица за счет опухоли, рост опухоли, нарушение жевания, приема пищи, ограничение открывания рта, подвижность зубов, косметический дефект.
Из анамнеза: могут быть хронические воспалительные процессы, разного рода травмы, что могло быть причиной развития опухоли. Давность процесса, от нескольких месяцев до нескольких лет. Одни опухоли развиваются скоротечно, другие медленно, годами увеличиваются в размерах, что играет немаловажную роль в диагностике доброкачественных опухолей.
Физикальное обследование: доброкачественные опухоли развиваются, как правило, безболезненно, и привлекают к себе внимание, когда уже имеется более или менее выраженная деформация челюсти и изменение расположения зубов или нарушение носового дыхания при поражении переднего отдела верхней челюсти.
Припухлость, обусловленная местным увеличением объема кости, служит другим важным клиническим признаком. При поражении опухолью надкостница или кортикального слоя кости припухлость выявляется сравнительно рано. Значительно позже выявляется припухлость при локализации новообразования в толще кости, особенно на верхней челюсти. Кожа и слизистая оболочка альвеолярного отростка и тела челюсти, расположенная над опухолью обычно имеет нормальную окраску.
Пальпаторное исследование очага поражения должно уточнить консистенцию, поверхность, границы опухоли и ее отношение к окружаюшим тканям, зону и глубину инфильтрации, смещаемость, а также болезненность и местное повышение температуры. Бугристая поверхность как правило при фиброзной дисплазии, хондроме, остеобластокластоме. Мягкая тестоватая консистенция опухоли а также ее зыбление говорит о некостном происхождении опухоли. Пульсация при опухолях кости челюсти обнаруживается редко, наличие же ее говорит о сосудистом происхождении. Симптом пергаментного хруста, при истонченной кортикальной пластинки, встречается при кистозной форме остеобластокластомы.
Особое внимание обращаем на состояние зубов: их положение, подвижность, реакция на перкуссию, чувствительность. Нарушение правильного положения чаще бывает при остеобластокластоме, хондроме, фиброзной дисплазии, эозинофильной гранулеме.
Ограничение движения нижней челюсти, встречается при опухолевом поражении ветви и суставного отростка нижней челюсти.
Показатели лабораторных исследований не изменяются.
Рентгенологическая картина опухолевых поражений челюстных костей немногочисленна, это деструкция, деформация кости и периостальная реакция. Деструкция наблюдается в виде одиночного (фиброма, миксома, энхондрома, остеобластокластома, остеогенная саркома и др.) и множественных очагов (эозинофильная гранулёма, полиоссальная фиброзная дисплазия). Форма очагов деструкции может быть округлая, продолговатая, неправильная, очаги деструкции могут локализоваться в любом участке кости челюсти, располагаясь центрально или периферически.
Характер границ довольно типичен: так, остеома является прямым продолжением кортикального слоя и сливаясь с ним, располагается на поверхности кости. Очаг фиброзной дисплазии, располагаясь внутрикостно, имеет обычно четкую границу в виде склеротической каемки.
Для эозинофильной гранулёмы характерны многофестончатые «штампованные» границы.
Остеобластокластома в случае кистозной формы окружена со всех сторон зоной склеротической ткани, а при литической форме в направлении продолжающего роста границы теряют четкость.
Деформация кости проявляется вздутием, если новообразование находится внутри кости, утолщением за счет периостальных наслоений или в виде дополнительных образований, исходящей из кости (остеома, экхондрома). Однако патогномоничной для доброкачественной первичной костной опухоли челюстей не существует.
Гистологическая диагностика опухолей костей челюстей и лица обязательна.
Показание для консультации специалиста: онколога - при подозрении на малигнизацию опухоли или злокачественный характер опухоли; при наличии сопутствующей патологии. Консультация стоматолога, ЛОР врача, гинеколога - для санации инфекций носоглотки, полости рта и наружных половых органов; аллерголога - при проявлениях аллергии; нарушения со стороны ЭКГ и др. являются показанием для консультации кардиолога; при наличии вирусных гепатитов, зоонозных и внутриутробных и др. инфекций - инфекциониста.
Перечень основных диагностических мероприятий:
1. Общий анализ крови (6 параметров).
2. Общий анализ мочи.
3. Биохимический анализ крови.
4. Исследование кала на яйца глист.
5. Определение времени свертываемости капиллярной крови.
6. Определение группы крови и резус фактора.
7. Гистологическое исследование операционного материала.
8. Консультация врача анестезиолога.
10. Рентгенография челюстных костей в двух проекциях.
Перечень дополнительных диагностических мероприятий:
1. Компьютерная томография височно-нижнечелюстного сустава.
2. Панорамная рентгенография челюстей.
4. УЗИ органов брюшной полости.
Перечень минимальных обследований перед госпитализацией:
3. Бак. посев кала детям до 2 лет.
4. Рентгенография органов грудной клетки (у детей до 3 лет).
Дифференциальный диагноз
Доброкачественные опухоли костей лица
Злокачественные опухоли костей лица
Воспалительные заболевания костей челюсти
На припухлость, медленный рост, деформацию лица
На болезненную припухлость, увеличение в размерах, деформация лица
На болезненную припухлость, отек, деформация лица
Чаще медленно увеличивающаяся припухлость, иногда годами. Как правило, в начале заболевания не беспокоили, обращаются при появлении выраженной деформации лица
Начало заболевания чаще в течение 2-6 мес. Которое не беспокоило, после могут отмечаться боли, подвижность зубов, изъязвления слизистой над очагом поражения. Возможны ранее проведенные операции по поводу данного заболевания
В анамнезе ранее леченный или беспокоивший зуб, который был недолечен или больной не обращался к специалисту. Ранее перенесенный периостит челюсти
Безболезненное вздутие кости или образование с четкими границами, слизистая не изменена
Вздутие кости, болезненное при пальпации, возможны изъязвления слизистой над опухолью. Границы не четкие. Зубы подвижные
Муфтообразный инфильтрат, болезненный при пальпации, слизистая вокруг гиперемирована, пальпация резко болезненная. Зубы подвижные, перкуссия болезненная, гнойное отделяемое, свищ
Деструкция костной ткани с четкими, ровными краями
Границы опухоли нечеткие, фестончатые. Периостальная реакция
При острой форме остеомиелита могут не быть, при хронических формах деструкция кости с ровными краями, всегда есть причинный зуб
Лечение
Тактика лечения
Цель лечения: оперативное удаление патологически измененной костной ткани в пределах здоровых тканей.
Экскохлеация (выскабливание). Показанием к данной операции является четко ограниченные доброкачественные новообразования: эозинофильная гранулёма, очаговая форма фиброзной дисплазии, фиброма, остеобластокластома (кистозная, ячеистая и периферическая).
Резекция челюсти. Показанием являются опухоли склонные к рецидивированию (хондрома, миксома, литическая форма остеобластокластомы и др.). Необходимость резекции челюсти возникает и при обширном поражении челюсти доброкачественной опухолью. В таких случаях возможно проведение одномоментной костной пластики.
При сосудистых опухолях костей лица и полости рта перед основной операцией необходима перевязка наружной сонной артерии.
Немедикаментозное лечение: режим охранительный, полупостельный. Диета стол 1а, 1б.
Медикаментозное лечение: антибактериальная терапия с целью профилактики гнойно-воспалительных осложнений (линкомицин, цефалоспорины, макролиды, аминогликозиды). Инфузионная, симптоматическая, витамино-, гипосенсибилизирующая терапии. По показаниям трансфузия СЗП или эритроцитарной массы.
Профилактические мероприятия:
1. Соблюдение режима и диеты.
2. При обширных поражениях нижней челюсти с целью предупреждения патологического перелома необходимо шинирование.
3. Ортодонтическое и ортопедическое лечение по показаниям по месту жительства.
Дальнейшее ведение: реабилитация в условиях стоматологической поликлиники по месту жительства. Наблюдение и лечение у ортодонта по месту жительства. Диспансерное наблюдение у челюстно-лицевого хирурга по месту жительства. Занятия лечебной гимнастикой. Санация полости рта. Контрольная рентгенография челюстей.
Читайте также:
- Принципы терапии инфекционных болезней. Принципы химиотерапии инфекций. Принцип физиологической имитации. Критерии эффективности химиотерапии.
- Клиника декомпрессионной болезни. Боли в суставах при декомпрессионной болезни
- Анатомия: Эмбриогенез глаза. Развитие оболочек глаза.
- Торможение антителообразования. Синтез антител по принципу обратной связи
- Приобретенный порок сердца: причины, симптомы и лечение
