Дисхромия зубов. Флюороз - причины и проявления флюороза.
Добавил пользователь Евгений Кузнецов Обновлено: 01.11.2025
Флюороз — поражение зубной эмали, связанное с постоянным и длительным попаданием в организм избыточного количества фтора. Флюороз может носить эндемический и профессиональный характер. Проявляется появлением на зубах вначале белесоватых, а затем желтых пятен или полос, эрозивными или деструктивными изменениями эмали. В тяжелых случаях сопровождается поражением костной ткани скелета. В случае диагностирования флюороза пациенту в первую очередь необходимо поменять употребляемую им питьевую воду. Лечение флюороза заключается в основном в эстетическом и минеральном восстановлении пораженных зубов. С этой целью проводится отбеливание, реминерализация, реставрация, установка коронок.
Общие сведения
Случаи флюороза были описаны еще в 1890 году. Долгое время эти изменения зубов носили название «пятнистая эмаль» и причины их возникновения не были известны. Лишь в 1931 году была установлена связь заболевания со слишком большим содержанием фтора в воде, что легло в основу его названия — «флюороз» ( от латинского «fluorom» - фтор). Эндемический флюороз распространен в тех регионах, где содержание фтора в 1 литре питьевой воды превышает 1,5 мг. Намного реже встречается профессиональный флюороз, развивающийся у работников алюминиевой промышленности и связанный с повышенной концентрацией фтора во вдыхаемом воздухе.
Причины возникновения флюороза
Фтор — это микроэлемент, который наряду с кальцием, калием, магнием и другими участвует в физиологических процессах, происходящих в организме человека. Наибольшее количество фтора содержится в костной ткани и в зубах. Его поступление в организм происходит с пищей и водой. Однако фтор, содержащийся в продуктах, усваивается лишь в небольшом количестве, основная доля поступающего в организм фтора приходится на растворенные в воде фториды. Оптимальной считается вода с содержанием фтора 1 мг/л. Более низкая концентрация фтора в воде приводит к поступлению в организм недостаточного количества этого микроэлемента и может стать причиной развития кариеса зубов. Повышенная концентрация фтора вызывает флюороз.
Наиболее часто флюороз отмечается при прорезывании постоянных зубов у детей, которые до 3-4 лет проживали в районах с увеличенной концентрацией фтора в воде. Это дает основание полагать, что развитие флюороза связано с негативным воздействием избытка фтора на процесс формирования зачатков постоянных зубов. Поражение молочных зубов флюорозом практически не встречается, так как их зачатки формируются в период внутриутробного развития, когда избыток фтора задерживается плацентой и не передается плоду. Флюороз уже сформированных зубов у взрослых может наблюдаться при резко увеличенной концентрации фтора в воде — от 6 мг/л и выше.
Классификация
По причине возникновения стоматология выделяет эндемический и профессиональный флюороз. По клиническим проявлениям различают 5 форм заболевания: пятнистую и штриховую, меловидно-крапчатую, эрозивную и деструктивную. Первые две формы относят к флюорозу легкой степени. Меловидно-крапчатая форма считается флюорозом средней тяжести, а эрозивная и деструктивная формы — тяжелой степенью флюороза.
Часто у пациента с выраженной степенью флюороза различные группы зубов поражаются разными формами заболевания. По наблюдению некоторых авторов, возникшая форма флюороза сохраняется у пациента на всю жизнь и не трансформируется в другую форму даже при изменении концентрации фтора в употребляемой воде.
Проявления флюороза
Эндемический флюороз проявляется появлением на щечной поверхности зубов пятен или полос белого цвета. В течение нескольких лет происходит изменение окраски пятен до желтого и даже бурого цвета. Наиболее часто встречается поражение резцов верхней, реже — нижней челюсти. При значительно увеличенной концентрации фтора в воде наблюдается поражение других зубов, стирание зубной эмали, образование эрозий и сколов.
Штриховая форма флюороза проявляется возникновением на вестибулярной поверхности резцов меловых штрихов или полос. В некоторых случаях они хорошо заметны, но чаще выражены слабо и становятся лучше видны при высушивании зубной поверхности. Возможно слияние полос в пятна, но при этом в структуре пятна всегда можно различить отдельные полосы.
Пятнистая форма флюороза — на зубной поверхности имеют место хорошо заметные множественные белесые пятна без полос, которые при слиянии могут образовать пятно большого диаметра. Поверхность пятен флюороза блестящая и гладкая, границы выражены не резко и плавно переходят в здоровую эмаль.
Меловидно-крапчатая форма флюороза характеризуется матовым оттенком всей эмали пораженных зубов с расположенными на ней четко очерченными пигментированными пятнами и точками. В отдельных случаях эмаль имеет желтый оттенок. На ней могут отмечаться участки деструкции — крапинки глубиной 0,1-0,2 мм и диаметром до 1,5 мм, имеющие пигментированное дно. При этой форме флюороза у пациентов отмечается быстрое стирание эмали с обнажением расположенного под ней темно-коричневого дентина.
Эрозивная форма флюороза отличается наличием участков деструкции эмали значительно большего размера, чем крапинки меловидно-крапчатой формы флюороза, — эрозий. В области эрозий эмаль вообще отсутствует. Отмечается выраженное стирание эмали на жевательной поверхности зубов.
Деструктивная форма флюороза сопровождается эрозивными поражениями и стиранием не только эмали, а и подлежащих твердых тканей зуба. Ткани зуба становятся хрупкими, склонны к обламыванию, за счет чего нарушается форма зубной коронки. Однако отложение заместительного дентина предотвращает вскрытие зубной полости. Деструктивная форма флюороза, как правило, наблюдается в регионах, где содержание фтора в воде превышает 10 мг/л.
Профессиональный флюороз проявляется поражением костей скелета (остеопороз, остеосклероз) с нарушением подвижности в суставах. Пятна на зубах могут отсутствовать. На поздней стадии профессионального флюороза присоединяются вегето-сосудистые нарушения и поражение печени. Возможно развитие злокачественного новообразования костей — остеосаркомы.
Лечение флюороза
При выявление флюороза пациенту рекомендовано сдать употребляемую им питьевую воду на анализ для определения в ней содержания фтора. При повышенной концентрации фтора необходимо поменять источник питьевой воды или употреблять очищенную от фтора воду. Дальнейшее питье воды с повышенным содержанием фтора может привести к появлению у пациента более тяжелой формы флюороза с разрушением пораженных зубов. Пациентам с флюорозом следует отказаться от применения зубных паст и других средств ухода за полостью рта, содержащих фтор.
Удаление пораженных участков зуба с последующим пломбированием при флюорозе не применяют, так как это часто приводит к выпадению пломбы и дальнейшему разрушению зуба. Пациентом с флюорозом рекомендован прием препаратов кальция и фосфора.
При легкой форме флюороза производится химическое, светодиодное или лазерное отбеливание зубов. После него обязательно проводится реминерализация зуба, заключающаяся в нанесении на зубную эмаль соединений фосфора и кальция при помощи ультрафонофореза, электрофореза или путем аппликации. Реминерализация зуба при флюорозе требует проведения как минимум 10 процедур, оптимально — 15-20 процедур на курс лечения.
Процедура отбеливания оказывается неэффективным при выраженной меловидно-крапчатой и эрозивной и деструктивной формах флюороза. В этих случаях применяется реставрация зубов с использованием виниров или люминиров. При флюорозе тяжелой степени с деструктивными изменениями тканей зуба показано лечение у ортопеда с установкой керамической или металлокерамической коронки.
Профилактика флюороза
Основное направление профилактических мероприятий в регионах с увеличенным количеством фтора в воде состоит в уменьшении количества фтора, попадающего в организм. Для этого необходимо употреблять очищенную питьевую воду или воду с нормальным содержанием фтора, привезенную из других районов; избегать применения зубных паст и гелей с фтором; ограничить употребление фтор-содержащих продуктов (рыба, сливочное масло и др.).
В профилактике флюороза у детей большое значение имеет рациональное питание, богатое молочными продуктами и витаминами. При необходимости дополнительно применяют препараты кальция, витамины С и Д, поливитаминные комплексы.
Некариозные поражения зубов
Некариозные поражения зубов - группа заболеваний, возникновение которых не связано с воздействием микробного фактора. Основные жалобы сводятся к появлению эстетического дефекта. Изредка возникает гиперестезия. Некариозные поражения зубов сопровождаются деструкцией твердых тканей. Диагностика базируется на основании жалоб, анамнеза заболевания, данных клинического осмотра и результатов дополнительных методов исследования. Лечение некариозных поражений зубов направлено на восстановление минерального состава твердых тканей, устранение эстетического дефекта, нормализацию функции жевания.
Причины и классификация
Сбой на этапе формирования, минерализации может произойти как в период фолликулярного развития зубов, так и после их прорезывания. Основными причинами системной гипоплазии считают нарушение метаболических процессов, острые инфекционные заболевания, болезни органов системы пищеварения. Местная гипоплазия развивается в результате травмы или как осложнение хронического периодонтита молочных зубов. Флюорозные некариозные поражения зубов возникают у людей, проживающих длительное время в местности с повышенным уровнем фтора в питьевой воде. Вызвать появление флюороза в детском возрасте может применение для чистки зубов фторсодержащей пасты, не соответствующей возрасту ребенка.
Наследственные некариозные поражения зубов (несовершенный дентиногенез, несовершенный амелогенез) развиваются вследствие мутации генов, отвечающих за формирование твердых тканей. При гемолитической болезни младенцев, порфирии, а также в результате приема антибиотиков из группы тетрациклинов беременной женщиной или ребенком может возникнуть дисколорит (эндогенная пигментация зубов). Изменение цвета эмали возможно и при прорезывании зубов после травмы, при использовании в качестве пломбировочного материала серебряной амальгамы, в случае обтурации каналов силлером на основе резорцин-формалина.
Причинами клиновидного дефекта считают неправильное выполнение чистки зубов, использование щетки с жесткой щетиной, пасты высокой абразивности. Множественные клиновидные дефекты являются одним из симптомов пародонтоза. Патологическая стираемость зубов возникает при эндокринных нарушениях (дисфункции паращитовидных желез) в результате артикуляционной перегрузки резцов при концевых дефектах зубных рядов. Такую форму некариозного поражения зубов, как эрозия эмали, нередко выявляют у пациентов с тиреотоксикозом. Развитие некроза эмали могут спровоцировать болезни центральной нервной системы, интоксикация организма, повышение продукции тиреоидных гормонов.
Некариозные поражения условно разделяют на две группы
- Врожденные некариозные поражения зубов. К этой категории относят системную и местную гипоплазию, гиперплазию эмали, флюороз, генетически детерминированные аномалии развития твердых тканей (несовершенный амелогенез, несовершенный дентиногенез, дисплазию дентина), эндогенную пигментацию зубов.
- Приобретенные некариозные поражения зубов. В эту группу включают флюороз, клиновидные дефекты, патологическую стираемость, некроз и эрозию эмали, экзогенную пигментацию зубов.
Симптомы некариозных поражений зубов
При системной гипоплазии на вестибулярных поверхностях передних зубов, бугорках моляров и премоляров выявляют симметрично расположенные пятна желтого или меловидного цвета. При гипоплазии могут встречаться участки, полностью лишенные эмали. Гиперплазия, наоборот, характеризуется дополнительным образованием эмали в виде капель диаметром до 4 мм, расположенных в пришеечной зоне. Патологию выявляют как во временном, так и в сменном прикусе. При флюорозном некариозном поражении зубов возникают безболезненные пигментированные участки, цвет которых в зависимости от концентрации фтора в питьевой воде может варьировать от меловидного, светло-коричневого до черного. При зондировании эмаль твердая, утраты блеска не наблюдается. При меловидно-крапчатой, штриховой, пятнистой формах убыли эмали не происходит, тогда как эрозивная и деструктивная формы флюороза протекают с выраженными признаками патологической стираемости.
У пациентов с наследственными некариозными поражениями зубов, а именно при несовершенном амелогенезе, эмаль истончается. Встречаются случаи полной или частичной аплазии эмали. На вестибулярных поверхностях выявляют множественные углубления. При несовершенном дентиногенезе 1 типа изменяется только цвет зубов (эмаль становится водянисто-серой), размеры и форма остаются в пределах нормы. Нередко диагностируют переломы корней. При несовершенном дентиногенезе 2 типа зубы приобретают янтарный оттенок. Кальцификация пульповой камеры и корневых каналов начинается еще до момента прорезывания. Убыль твердых тканей приводит к уменьшению нижней трети лица. У пациентов возникает болезненность в височно-нижнечелюстном суставе.
К некариозным поражениям зубов может привести гемолитическая болезнь новорожденного, эритропоэтическая уропорфирия, прием тетрациклинов. Вследствие резус-конфликта цвет эмали изменяется от серо-голубого до коричневого. При этом структура эмали несовершенна, присутствуют признаки системной гипоплазии. Окрашивание зубов в красный цвет наблюдается при порфирии. Желто-серую пигментацию выявляют после приема тетрациклинов. Клиновидные дефекты возникают в пришеечной зоне на вестибулярной поверхности зубов, имеют форму треугольника с вершиной, направленной к окклюзионной поверхности. При зондировании эмаль плотная. При эрозии на эмали с вестибулярной стороны передних зубов появляются симметричные дефекты округлой формы. У пациентов с некрозом эмали на зубах образуются пятна с участком размягчения в центре, цвет пятен варьирует от меловидного до темно-коричневого. Наблюдается повышенная чувствительность к различным раздражителям.
Диагностика некариозных поражений зубов
Диагностика некариозных поражений зубов сводится к сбору жалоб, составлению анамнеза заболевания, проведению физикального осмотра и дополнительных методов исследования. В ходе обследования пациента с гипоплазией врач-стоматолог выявляет единичные симметричные матовые или желтые пятна на поверхности зубов. В некоторых участках может наблюдаться аплазия эмали. Поражаются вестибулярные, оральные поверхности, а также бугры моляров и премоляров. При флюорозе обнаруживают множественные полоски, пятна или точки желтого цвета. При эрозивной и деструктивной формах происходит скалывание эмали, выражены признаки патологической стираемости, наблюдается убыль твердых тканей зубов. Гиперплазия протекает с образованием в пришеечной зоне эмалевых капель диаметром до 4 мм.
При наследственных некариозных поражениях зубов (несовершенном амелогенезе) эмаль быстро истончается, на щечных поверхностях появляются чашеобразные углубления. В результате патологической стираемости снижается высота прикуса. У пациентов с несовершенным дентиногенезом зубы имеют янтарную окраску. Форма и размеры, как правило, в пределах нормы. На рентгенограмме выявляют прогрессирующую облитерацию корневых каналов, уменьшение в объеме пульповой камеры. Клиновидный дефект локализуется в пришеечной зоне с вестибулярной поверхности зубов, имеет форму треугольника с основанием, обращенным к десневому краю. Эмаль в участке поражения плотная и гладкая.
При эрозии обнаруживаются симметричные дефекты блюдцеобразной формы, которые локализуются на щечной поверхности передних зубов. В отличие от эрозии, при кислотном некрозе эмали в центральной части дефекта определяется зона размягчения. При нанесении метиленового синего окрашивания некариозных поражений зубов не наблюдается. В ходе зондирования эмаль плотная. Результат ЭОД у пациентов с некариозными поражениями зубов свидетельствует о жизнеспособности пульпы. Снижение показателей наблюдается при несовершенном дентиногенезе, пигментации зубов вследствие травмы. Дифференцируют некариозные поражения зубов с кариозным процессом. Обследование проводит стоматолог-терапевт.
Лечение некариозных поражений зубов
Первоочередной задачей при выявлении некариозных поражений зубов является восстановление минерального состава твердых тканей. Местно назначают аппликации кальций- и фторсодержащих препаратов. С этой целью также показаны процедуры электрофореза. Для устранения эстетического дефекта, образовавшегося вследствие некариозного поражения зубов, в детском возрасте используют стеклоиономерные цементы, характеризующиеся высокой биосовместимостью, хорошей адгезией к эмали и дентину, отсутствием необходимости кислотного протравливания, кариеспротекторным эффектом. Позже для восстановления зубов в стоматологии применяют ламинирование композитными или керамическими винирами.
При некариозных поражениях зубов наследственного характера для сохранения твердых тканей показано протезирование. Пациентам с флюорозом рекомендуют ограничить употребление продуктов, богатых фтором. Внутрь назначают кальцийсодержащие препараты. Флюорозные пятна подлежат сошлифовыванию с последующим восстановлением зубов композитами, керамическими коронками и винирами. Для устранения пигментации проводят комбинированное (внешнее и внутриканальное) отбеливание. Прогноз при некариозном поражении зубов определяется как характером патологии и временем возникновения, так и своевременностью обращения пациентов в медицинское учреждение, а также уровнем проводимого лечения.
Гипоплазия зубов - симптомы и лечение
Что такое гипоплазия зубов? Причины возникновения, диагностику и методы лечения разберем в статье доктора Дьяченко Татьяны Анатольевны, детского стоматолога со стажем в 10 лет.
Над статьей доктора Дьяченко Татьяны Анатольевны работали литературный редактор Маргарита Тихонова , научный редактор Елена Страндстрем и шеф-редактор Лада Родчанина
Определение болезни. Причины заболевания
Гипоплазия — это порок развития твёрдых тканей одного или целой группы зубов [13] . Бывает врождённым и приобретённым. Развивается тогда, когда формируются зачатки молочных или постоянных зубов. Не является кариозным поражением.
Сопровождается гипоплазия неоднородным цветом эмали, её истончением и изменением рельефа — углублениями различной формы и величины (от точек до бороздок и ямок). При прорезывании зубы сразу отличаются: на их поверхности присутствуют белые, жёлтые или коричневые пятна.

Иначе такое поражение зубов называют наследственной гипоплазией, аплазией, дисплазией или коричневой дистрофией эмали, а поражённые зубы — рифлёными или гипсовыми [1] .
Статистика
Гипоплазия — самое распространённое некариозное поражение твёрдых тканей зуба — эмали и дентина. Она встречается у 50 % детей с хроническими нарушениями обмена веществ, возникшими до или после рождения [10] .

Как показало стоматологическое обследование населения России 1999 года, распространённость некариозных поражений среди детей 12 лет составляет 43,5 %. При этом на долю системной гипоплазии эмали приходится 36,7 % [1] .
Самой распространённой формой болезни является системная гипоплазия — поражение всех зубов постоянного или молочного прикуса. Она составляет 90,6% всех видов гипоплазии [1] . Чаще дефект затрагивает режущие края или бугры зубов. В трёх из пяти случаев развивается у детей до 9-ти месяцев жизни.
В зарубежной литературе гипоплазию моляров и резцов (боковых и передних зубов) называют Molar Incisor Hipomineralisation (MIH) [1] . Эта форма болезни распространена во всём мире [18] . Рост её заболеваемости MIH может объясняться стрессами, ухудшением общего состояния организма, негативным влиянием окружающей среды и пищи [17] .

Причины и факторы риска
Развитие гипоплазии связывают с нарушениями обмена веществ в момент формирования зачатков зубов. Этому способствуют внешние и внутренние негативные факторы, которые воздействуют на организм будущей мамы или её уже родившегося ребёнка.
К внутриутробным факторам относятся:
- резус-конфликт (несовместимость отрицательного резус-фактора матери и положительного резус-фактора ребёнка);
- токсикоз и другие нарушения в организме беременной; , токсоплазмоз во время беременности;
- приём тетрациклина беременной (или ребёнком) [5] .
Внутренние факторы, связанные с заболеваниями ребёнка:
- синдром Дауна, ДЦП и другие поражения центральной нервной системы (они являются и причиной гипоплазии, и сопутствующими патологиями) [4] ;
- рахит или инфекционные заболевания у ребёнка ( корь , скарлатина );
- гипо- и авитоминоз;
- изменение минерального и белкового обмена при диспепсии (нарушении пищеварения) и заболеваниях эндокринных желёз (чаще щитовидной железы) [3] ;
- проникновение инфекции из воспалительного очага молочного зуба в зачаток постоянного.
Внешние факторы:
- недоношенность, низкая масса тела новорождённого [16] ;
- искусственное вскармливание ребёнка ;
- местное воздействие на зачаток зуба, например родовая травма ;
- травма челюстей и зачатка в момент формирования зуба.
Если патологические факторы воздействовали на плод — развивается гипоплазия молочных зубов. Если это произошло в раннем детстве — страдают уже зачатки постоянных зубов.
При обнаружении схожих симптомов проконсультируйтесь у врача. Не занимайтесь самолечением - это опасно для вашего здоровья!
Симптомы гипоплазии зубов
То, как проявит себя гипоплазия, зависит от тяжести причинного фактора:
- при слабо выраженных нарушениях метаболизма образуются только меловидные (белые) пятна;
- при тяжёлых заболеваниях возникают серьёзные нарушения, вплоть до частичного или полного отсутствия эмали.
Чаще пациента с гипоплазией беспокоит неэстетичный вид зубов, особенно когда поражается передняя группа. Это может привести к комплексу неполноценности и психоэмоциональным травмам. Дети перестают улыбаться, прикрывают зубы руками при разговоре, чувствуют себя некомфортно в обществе.
Из-за хрупкости и неполноценности тканей зубов у ребёнка быстро развивается кариес , выпадают пломбы.
При отсутствии эмали часто возникает боль после контакта со сладкой, холодной, горячей пищей и другими внешними раздражителями. При тяжёлых, более серьёзных формах гипоплазии появляются проблемы с пережёвыванием еды [12] .
Серьёзные нарушения развития могут также вызвать изменения в формировании дентина, пульпы и внутренних тканей зуба [4] [13] . Гипоплазию дентина можно выявить только во время гистологического исследования зуба. При нарушении развития пульпы наблюдается дегенерация нервных элементов.
Иногда болезнь сочетается с гипоплазией челюстей. Клинически данное состояние проявляется в виде искривлённого подбородка с асимметрией лица. У больного образуется неправильный прикус.
Проявление таких гипопластических дефектов напрямую связано с возрастом ребёнка, в котором он перенёс болезнь или столкнулся с другой причиной гипоплазии.
Патогенез гипоплазии зубов
Образование эмали — процесс, от которого зависит красота и здоровье зуба. Он начинается на этапе формирования зачатка, т. е. до прорезывания. В нём участвует множество клеток. Одни из них — амелобласты. Это клетки, которые строят эмаль из эмалевых призм, как стену из кирпичиков.
Один амелобласт в норме формирует одну эмалевую призму, из которых состоит внешняя ткань уже прорезавшегося зуба. После прорезывания амелобласты запрограммированно разрушаются. Без них зубная эмаль теряет способность восстанавливаться [14] .

После образования тканей эмаль проходит три стадии минерализации. Первые две стадии обычно заканчиваются до прорезывания, последняя (третья) — в первый год после прорезывания. Если эмаль зачатка не минерализовалась, то по консистенции она становится похожей на хрящ [14] .
Исходя из особенностей процесса образования зачатка и минерализации эмали, выделяют две гипотезы патогенеза болезни:
- Первая гипотеза связана с изменениями в амелобластах. Из-за нарушения формирования белковой матрицы такие клетки полностью гибнут ещё во время формирования зачатка [12] . Это и приводит к гипоплазии эмали. Но иногда нарушения возникают не только на уровне амелобластов, но и одонтобластов. В таком случае развивается гипоплазия дентина [3] .
- Вторая гипотеза связана с ослаблением процесса минерализации структурных тканей эмали [13] .
Классификация и стадии развития гипоплазии зубов
В зависимости от поражённой группы зубов выделяют две формы гипоплазии:
- Гипоплазия молочных (временных) зубов . Развивается во время внутриутробной жизни плода. Возникает из-за нарушений в организме беременной женщины (например, токсикоза), токсоплазмоза, краснухи, системных заболеваний или родовой травмы.
- Гипоплазия постоянных зубов . Встречается чаще гипоплазии молочных зубов [3] . В 60 % случаев развивается в первые 9 месяцев жизни ребёнка [10] . Возникает у детей, перенёсших такие заболевания, как рахит, гипопаратиреоз, токсическую диспепсию, алиментарную дистрофию, врождённый сифилис, болезни пищеварительного тракта или эндокринные нарушения.
По количеству поражённых зубов заболевание бывает двух форм:
- Местная гипоплазия — нарушено развитие тканей одного или двух зубов. Причиной такой гипоплазии может стать медикаментозное или инструментальное воздействие на зачаток постоянного зуба, а также длительная инфекция у корней молочного зуба [11] .
- Системная гипоплазия — поражено больше двух зубов. Чаще наблюдается на одной группе зубов, которые формировались в одно время, т. е. симметрично. При длительном влиянии неблагоприятных факторов поражаются все зубы в полости рта.

По клинической картине выделяют пять форм гипоплазии:
- Пятнистая форма . Сопровождается появлением пятен белого, жёлтого или коричневого цвета. Границы чёткие, поверхность гладкая и блестящая. Форма, размер и расположение пятен чаще симметрично.
- Эрозивная форма . Эмаль сильно истончена. Дефекты, как правило, округлой, чашеобразной формы, одного размера. Расположены симметрично на одноименных зубах.
- Бороздчатая форма . Отличается бороздчатыми, линейными углубления на поверхности зуба или зубов. Располагаются вдоль режущего края.
- Смешанная форма . Включает в себя признаки всех вышеуказанных форм.
- Аплазия — отсутствие эмали на определённом участке зуба. Наиболее серьёзное проявление гипоплазии [10] .

Отдельно рассматривают формы системной гипоплазии, которые затрагивают дентин:
- Зубы Гетчинсона — аномалия, при которой коронки центральных верхних резцов имеют отвёрткообразную форму с полулунными вырезками по режущим краям [9] .
- Зубы Фурнье — зубы бочковидной формы без полулунной вырезки, шейки которых больше режущих краёв.
- Зубы Пфлюгера — аномалия первых моляров (жевательных зубов). Возникает в результате сифилитической инфекции [7] . Зубы имеют конусовидную форму, их бугры недоразвиты, шейки больше жевательной поверхности.

Гипоплазия как результат медикаментозных поражений:

Осложнения гипоплазии зубов
Структура гипоплазированного зуба отличается тонкими, неполноценными тканями. Он слабее и беззащитнее перед микробами по сравнению со здоровыми зубами. Поэтому пациенты с гипоплазией предрасположены к развитию кариеса и его осложнений, особенно при некачественной гигиене полости рта.
Кариес возникает после образования дефектов под влиянием бактериальной инфекции [3] . Если дефекты затрагивают дентин, в дальнейшем может развиться:
- — воспаление нервно-сосудистого пучка зуба; — воспаление связочного аппарата и околоверхушечных тканей зуба.
При системной гипоплазии, особенно на буграх и режущих поверхностях, зубы быстро и сильно стираются. В результате снижается высота прикуса.

У некоторых пациентов с гипоплазией как осложнение появляется дополнительный симптом — повышенная чувствительность зубов [10] .
Диагностика гипоплазии зубов
Для постановки диагноза доктор опрашивает пациента, проводит общий осмотр и осмотр полости рта.
Опрос пациента . Врач узнаёт о перенесённых и сопутствующих заболеваниях пациента. Уточняет, какие неблагоприятные факторы могли повлиять на состояние зубов. Место проживания, работы и профессиональные вредности матери также имеют значение.
Чтобы исключить влияние лекарств на образование дефектов, доктор выясняет, какие препараты принимает или принимал пациент, а также его мать во время беременности. Также важно узнать, когда образовались пятна, сколы, ямки и эрозии. При гипоплазии указанные дефекты видны сразу после прорезывания зубов, а не через некоторое время, как при кариесе [8] .
Осмотр пациента . Доктор обращает внимание на состояние волос, кожи и ногтей, прощупывает щитовидную железу. Это нужно, чтобы выявить фоновые заболевания, которые могли стать причиной развития гипоплазии.
Осмотр полости рта . Врач проводит зондирование, обращая внимание на цвет, структуру и рельеф поверхности зубов. Чтобы отличить эти пятна от начального кариеса, выполняет окрашивание пятна 2 % водным раствором метиленового синего. Гипоплазия, в отличие от кариеса, не окрашивается. Перед диагностическим тестом зуб нужно очистить и высушить.

Дифференциальная диагностика . Важно отличить гипоплазию от других болезней:
- Кариес в стадии пятна возникает после прорезывания, в то время как гипоплазия формируется до появления или прорезывания зуба. Кариозные дефекты чаще располагаются в фиссурах — естественных углублениях зуба, тогда как гипоплазия обычно локализуется на поверхности зубов со стороны щёк или губ. При кариесе во время зондирования часто обнаруживается шероховатость эмали, её целостность нарушена [13] . При гипоплазии углубления и ямки имеют гладкую поверхность. возникает у людей, которые живут на территории с повышенным уровнем фтора. С возрастом флюороз может исчезнуть, однако чаще, как и гипоплазия, остаётся на всю жизнь [10] . Многие исследователи рассматривают флюороз как гипоплазию специфического происхождения [13] .
- Кислотный некроз эмали сопровождается жалобами на ощущение вязкости во рту — оскомину. Встречается у людей, работающих с химическими кислотами. В отличие от гипоплазии развивается после прорезывания зубов под влиянием внешних негативных факторов.
Лечение гипоплазии зубов
Характер и вид лечения зависят от степени гипоплазии.
При единичных белых пятнах на 1-2 зубах и отсутствии эстетических жалоб лечебные мероприятия не проводятся. Как правило, в этом случае поражены жевательные зубы.
Когда гипоплазия расположена на центральных зубах, дефекты эмали видны при разговоре и улыбке, вызывают у пациента психологический дискомфорт. В таком случае даже слабовыраженные формы гипоплазии требуют лечения, например с помощью пломбирования поражённых зубов композитным материалом.
Пациентам с системной гипоплазией и серьёзными поражениями зубов чаще показано обследование и лечение не только у стоматологов, но и у эндокринолога, терапевта, гинеколога или инфекциониста. Всё зависит от выявленного фонового заболевания [8] .
При выраженных пороках развития требуется помощь стоматолога-ортопеда. Доктор восстановит форму и функцию зуба с помощью вкладки, винира, люменира или коронки.

В качестве лечебно-профилактических процедур рекомендуется пройти интенсивные курсы реминерализирующей терапии, особенно при пятнистой форме гипоплазии. Реминерализация снижает повышенную чувствительность, укрепляет ткани зубов, делает их более устойчивыми к кариесу.
Реминерализация включает в себя:
- Глубокое фторирование зубов . Назначаются фторсодержащие гели и пасты, но только после дифференциальной диагностики с флюорозом.
- Кальцинирование зубов . Применяются пасты и гели с активным кальцием.
Иногда длительная реминерализация помогает уменьшить размеры пятен. Но полностью устранить дефекты не получится, так как эмаль зуба не способна самовосстанавливаться.
В завершении лечения стоматолог обучает пациента правильной гигиене полости рта, чтобы предотвратить развитие осложнений гипоплазии.
Прогноз. Профилактика
Нарушения в тканях зуба при развившейся гипоплазии необратимы: без лечения дефекты эмали остаются на всю жизнь [12] . Размер, форма и цвет пятнистой гипоплазии со временем не увеличиваются, если не осложняется кариесом. Для предотвращения осложнений нужно тщательно следить за гигиеной полости рта, чистить зубы правильно и регулярно.
Флюороз Зубов
Флюороз-системное заболевание, обусловленное интоксикацией фтором. Один из наиболее ранних признаков-поражение зубов. Флюороз зубов проявляется изменением цвета и нарушением целостности зубов. Их функция полностью сохраняется и появляется большая устойчивость к кариесу. Заболевание чаще всего носит эндемический характер и связанно с повышенным содержанием фтора в воде. Фториды наибольшей концентрации достигают в зубах и костной ткани. Рядом исследователей флюороз рассматривается как гипоплазия специфического происхождения.

Причины флюороза
Каковы же причины флюороза зубов? Главный этиологический фактор - длительное повышенное поступление фтора в период развития зубов.
Основной источник фтора - питьевая вода. Взрослый человек в сутки потребляет около 3 мг фтора: из пищи -0,5-1,1 мг и из воды - 2,2-2,5. Фториды, растворенные в воде, всасываются намного лучше, чем пищевые. Поэтому при употреблении воды с концентрацией превышающей 1,5-2 мг/л может развиться флюороз легкой степени. При концентрации фтора выше 6 мг/л твердые ткани зубов начинают разрушаться.
Также флюороз зубов может возникать из-за работы на предприятиях, где воздух содержит много фтора-профессиональный флюороз. Такая форма заболевания не всегда сопровождается появлением пятен на зубах.

Флюороз у детей

В детском возрасте происходит развитие костной системы. Избыточное поступление фтора в период формирования костей может способствовать нарушению структуры белковой матрицы костной ткани и ее минерализации. Фтор связывается с кальцием, образуя соединение СаF2, слабо связанное с эмалью. Структура эмали становится рыхлой, изменяются ее оптические свойства.
Флюороз у детей наблюдается при прорезывании постоянных зубов. Такие дети чаще всего живут или жили до 3-4 лет в районе с увеличенной концентрацией фтора в воде. Молочные зубы флюорозом поражаются довольно редко, так как зачатки временных зубов формируются в период внутриутробного развития. Плацента задерживает избыток фтора. Случаи флюороза временных зубов редки и отмечаются лишь в районах, где концентрация фтора в воде крайне высока.
Патогенез флюороза
Патогенез флюороза представляет интерес для многих исследователей.
В период формирования зубов интоксикация фтором провоцирует нарушение структуры белковой матрицы и последующую минерализацию тканей. Кристаллическая решетка теряет упорядоченность из-за образования СаF2 вместо гидроксифторапатита. Такое соединение слабо связывается с эмалью. Амелобласты чувствительны к избытку фтора. Избыток фтора приводит к разрушению клеток и остановке развития эмалевых призм. Этим обусловлено изменение оптических ее свойств - появление матовых и темных пятен, вплоть до деструкции эмали. Кроме того, фтор снижает активность фосфатазы, что приводит к нарушению минерализации.
При хроническом превышении оптимальной фторнагрузки развивается системный флюороз: фтор накапливается в костной ткани, хрящах и связках. Наступает ограничение подвижности суставов, старение кожи, прекращение роста скелета, снижается гормональная и иммунная активность. Чем больше фтора поступает в организм, тем тяжелее протекает заболевание.
Сформированная эмаль зуба не поражается флюорозом даже при длительном потреблении питьевой воды с повышенной концентрацией фтора. Но если эта величина превышает 6 мг/л в постоянных зубах могут произойти изменения.

Классификация флюороза
Классификация флюороза по ВОЗ включает пять степеней выраженности:
I — очень легкая - эмаль нормального цвета, почти без изменений.
II - легкая - поражение эмали в виде белых полос и мелких пятен, занимают менее 25% площади коронки.
III - умеренная- пигментированные полоски и пятна занимают не более 50% площади.
IV - средней тяжести - коронки зубов желтого или коричневого цвета. Эмаль становится матовой, на всей коронке есть крапинки.
V - тяжелая - эмаль частично разрушается, появляются ямки и эрозии.
Формы флюороза
Формы флюороза по В.К. Патрикееву:
• Штриховая форма — появление штрихов -подповерхностно расположенных меловидных полосок эмали. Чаще встречается на вестибулярной поверхности резцов в/ч. Соответствует флюорозу легкой степени (ВОЗ).
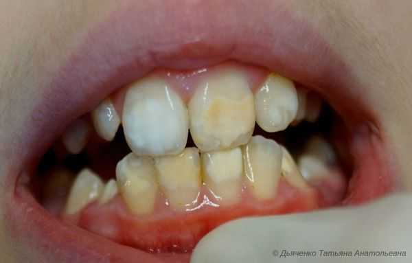
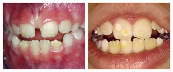
• Пятнистая форма - множественные меловидные пятна без полос. Эмаль в области пятна гладкая, блестящая. Соответствует умеренной степени флюороза.
• Меловидно-крапчатая форма — эмаль всего зуба матового оттенка с четкими пигментированными пятнами-крапинками. Дно таких крапинок грязно-серое/коричневое. Соответствует флюорозу средней степени тяжести.
• Эрозивная форма — выраженная пигментация + эрозии. Возможны глубокие дефекты. Эмаль быстро стирается, впоследствии обнажается дентин. Соответствует тяжелой степени флюороза.
• Деструктивная форма — нарушение формы коронки из-за эрозий и истирания. Зубы более хрупкие, возможен отлом части коронки.

Клиника флюороза
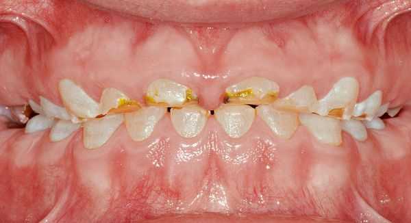
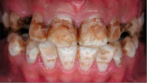
Клиника флюороза сходна для всех форм заболевания. Первый признак - крапчатость эмали. Вскоре после прорезывания изменяется цвет зубов. Эмаль теряет прозрачность, становится матовой с желтоватым или коричневым оттенками. На коронках появляются пятна и полоски различных размеров. Тяжесть заболевания определяется их размером, цветом и количеством.
Характер изменений зависит от клинической формы заболевания. Для легкого и умеренного флюороза характерны полосы Гунтера-Шрегера, линии Ретциуса, на поверхности эмали заметны выпуклости и впадины. Эмалево-дентинная граница имеет зубчатую форму. Происходит увеличение межпризматических пространств из-за резорбции эмалевых призм.
В области пятен минерализация эмали снижена. Этим объясняется пигментация: красящие вещества проникают в зоны повышенной проницаемости эмали. Зоны пигментации содержат азотистые вещества в большом количестве.
При электронной микроскопии эмали зубов с легкой степенью флюороза выявляются четкие структуры кристаллов гидроксиаппатита. При тяжелой форме четкость нарушается.
Также особенностью выраженного флюороза является поражение разных групп зубов одного больного разными формами заболевания. В то же время, та или иная форма сохраняется всю жизнь и не переходит в другую даже при увеличенном количестве фтора в воде.
В начале заболевания чаще всего флюороз проявляется на резцах верхней челюсти и премолярах, реже — на резцах нижней челюсти и молярах.

Дифференциальная диагностика флюороза
Дифференциальная диагностика флюороза легкой степени проводится с начальным кариесом. Для кариеса характерно одиночное пятно, для флюороза - множественные пятна. Также в отличие от кариеса флюороз проявляется с момента прорезывания зубов.
Средняя степень флюороза сходна с гипоплазией эмали. Различие в том, что при гипоплазии поражены одиночные зубы или группы зубов, а при флюорозе поражается весь зубной ряд.
Тяжелая степень флюороза напоминает наследственный несовершенный амелогенез. В этом случае важен анамнез: развитие амелогенеза не зависит от содержания фтора в воде.

Способ лечения флюороза зависит от стадии патологического процесса.
Отбеливание при флюорозе
Лечение легкой и средней степени флюороза симптоматическое. Отбеливание при флюорозе зубов проводится растворами неорганических кислот. Для устранения пигментации используют кислоту с последующей ремтерапией (10% НСI+10% р-р глюконата кальция).
1.Изоляция рабочего поля от слюны.
2.Высушивание зуба и обработка 20-30% раствором соляной/фосфорной кислоты — 2-3 минуты.
3.Смывание кислоты. Зуб не должен соприкасаться со слюной.
4.Обработка зуба 10% раствором глюконата кальция — 10-15 минут.
Повторную процедуру проводят в следующее посещение через 1-2 дня. Но теперь раствором кислоты обрабатывают только измененные в цвете участки эмали.
В период отбеливания назначают глюконат кальция, глицерофосфат внутрь. Курс лечения - 10-15 процедур. Эффект наблюдается через 6-8 месяцев. Для чистки зубов рекомендуется паста, содержащая фтор.
Техника трудна в исполнении и довольно небезопасна. Эффект лечения не стойкий. Повторный курс проводят с появлением новых пятен.

Сошлифовывание эмали
Можно проводить сошлифовывание эмали с использованием пасты, содержащей соляную кислоту, карборунд, кремниевый гель. Коронку шлифуют,а после накладывают тампон, пропитанный пергидролем. Затем зуб облучают кварцевой лампой 3-4 минуты и наносят фторпрепараты.
При лечении тяжелой степени флюороза показаны эстетическая реставрация и протезирование.
Флюороз - хроническое заболевание и чаще всего эндемическое, поэтому профилактика флюороза должна проводится в местах с повышенным содержанием фтора в воде. Особенно, если содержание фтора превышает 2 мг/л. Интенсивная профилактика должна проводиться в период закладки и минерализации зубов.
Профилактические мероприятия при флюорозе делятся на коллективные меры и на меры индивидуальной профилактики.
Для профилактики флюороза нужно снизить содержание фтора в воде путем дефторирования воды или замены источника воды. Существуют различные методики очистки воды.
Индивидуальную профилактику начинают с момента рождения ребенка и до окончания минерализации постоянных моляров. Т.е. интенсивная профилактика должна проводиться в период закладки и минерализации зубов. Желательно избегать искусственного вскармливания и раннего прикорма.
Также сбалансированное питание способно ослабить отрицательное влияние фтора на организм. Витамины С, D, кальций снижают вероятность проявления флюороза. Следует ограничить потребление продуктов, содержащих фтор: морская рыба, масла животного происхождения, шпинат.

%POST_CATEGORY_ID=22%
Восстановление сильно разрушенных зубов Метод создания индивидуального стекловолоконного штифта прямым способом
Флюороз зубов: причины, формы и лечение

Обычная питьевая вода - это основной источник фтора для нашего организма. Но кто знает, а какое количество фторидов поступает в него каждый день? А между тем получить перенасыщение фтором очень просто. Результат будет налицо: на эмали зубов появятся некрасивые белые или коричневые пятна, а стоматолог поставит диагноз «флюороз». Можно ли вылечить это заболевание и что делать с появившимися дефектами?
Флюороз: каков шанс заболеть?
Флюороз, или крапчатая эмаль, - это болезнь, которая возникает из-за длительного поступления в организм большой дозы фтора. Именно потребляемая вода влияет на содержание этого микроэлемента в костях. Фтор есть и в продуктах питания и даже в зубных пастах, но оттуда он всасывается гораздо хуже, чем фториды, находящиеся в воде. Поэтому флюороз носит эндемический характер, то есть это заболевание, характерное для определенной местности, где вода перенасыщена фтором. Существует и профессиональный флюороз - он возникает у работников предприятий, на которых превышено содержание фтористых соединений в воздухе. Однако такой тип заболевания мало распространен среди населения.Наиболее подвержены эндемическому флюорозу дети и подростки, у которых еще не прорезались постоянные зубы или не окрепла эмаль. Суточная потребность фтора в этом возрасте составляет 2-3 мг, которые ребенок получает из продуктов и воды. Для развития заболевания будет достаточно максимально допустимой концентрации фтора в воде - 1,5 мг/л. Взрослые с уже сформированной зубной эмалью даже при длительном употреблении такой воды флюорозом не заболеют, поскольку суточная норма составляет уже 4 мг. Однако если содержание фтора превышает 6 мг/л, то пораженными оказываются и зубы взрослого населения. Узнать о содержании фтора в воде твоего региона можно, позвонив в ближайшее отделение Санэпидемстанции.
Какие формы флюороза бывают?
Итак, каким образом можно заполучить флюороз, мы выяснили. Теперь берем в руки зеркало и рассматриваем свои зубы, возможно, на них ты обнаружишь симптомы флюороза. Поражение носит симметричный характер, наиболее выражено проявляясь на премолярах, первых и вторых молярах, резцах и клыках как верхней, так и нижней челюсти, как с внешней, так и с внутренней стороны зубов. Классификация флюороза строится в зависимости от степени развития заболевания. Выделяют следующие формы флюороза:
- штриховая,пятнистая,меловидно-крапчатая,эрозивная,деструктивная.
Начальная форма развития флюороза зубов
Меловидно-крапчатая форма флюороза зубов
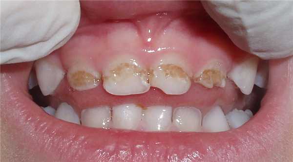
- Начальная стадия характеризуется появлением полосок-штрихов белого цвета, слабо или сильно выраженных на эмали зубов. Наиболее заметны эти меловидные штрихи становятся при высушивании поверхности зуба.
- Далее полосы сливаются и образуют пятна белого цвета (см. фото флюороза № 1). Особенностью пятнистой формы флюороза является то, что эмаль в области пятна становится более гладкой и блестящей. В этой форме флюороз зачастую путают с кариесом в стадии пятна. Однако различия очевидны: флюороз проявляется сразу с момента прорезывания зубов и носит множественный характер, кариес же образуется локально, в основном в области соприкосновения с десной и на жевательных бугорках.
- Меловидно-крапчатая форма характеризуется потемнением пятен до желтого и светло-коричневого цветов (см. фото № 2). На месте их образования эмаль становится шероховатой и неровной, внутри появляются множественные точки и вкрапления. Пятна становятся четко выраженными. Следует отличать флюороз в меловидно-крапчатой форме от гипоплазии эмали.
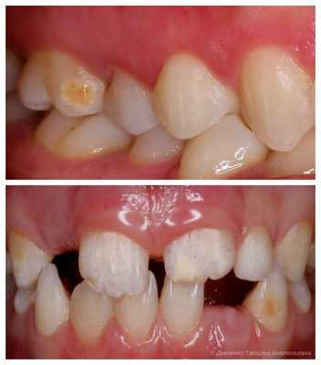
- При эрозивной и деструктивной стадии флюороза происходит потеря твердых тканей зуба - эмали и дентина. Дефекты (эрозии) становятся более заметными, вплоть до изменения формы коронки зуба и ее отлома в дальнейшем.
- Последующее прогрессирование заболевания характеризуется поражением костей скелета. Большое накопление фтора в костях провоцирует остеосклероз, остеопороз, а также развитие раковой опухоли - остеосаркомы. Это происходит, если больной продолжает употреблять воду с концентрацией фтора более 6 мг/л.
Как лечить флюороз?
И у детей, и у взрослых лечение флюороза необходимо начать с уменьшения дозы фтора, который поступает в организм. Если нет возможности полностью заменить употребляемую воду, то рекомендую использовать специальные фильтры для обесфторивания. Также следует полностью отказаться от зубных паст с содержанием фтора, употреблять в пищу меньше фторнасыщенных продуктов (морскую рыбу, шпинат, животное масло, чай). Все эти действия не помогут устранить уже образовавшиеся пятна на эмали, но остановят дальнейшее развитие заболевания.
Многие задаются вопросом, поможет ли отбеливание зубов при флюорозе?
Такой метод может быть применен при штриховой или пятнистой форме, когда пятна еще имеют белый оттенок. При отбеливании цвет зубов и пятен сравняется. Также незначительные дефекты можно отшлифовать и провести реминерализацию эмали. При потемнении пятен избавиться от флюороза можно будет только с помощью протезирования такими ортопедическими конструкциями, как виниры, люминиры или коронки.
Чтобы исключить развитие флюороза у детей, проживающих в зоне риска, необходимо как можно позднее переводить новорожденного с грудного вскармливания на прикорм, в дальнейшем нужно обеспечить ребенку сбалансированный рацион питания, при возможности воду заменять молоком. Дополнительный прием кальция и фосфора также поможет избежать перенасыщения фтором, поскольку именно эти микроэлементы способствуют его выведению из организма.Будет полезно отправлять ребенка на каникулы в различные оздоровительные лагеря, в гости к родственникам в другие регионы, чтобы на время поменять водоисточник. Зубную пасту, ополаскиватели и флоссы для полости рта при флюорозе и для его профилактики следует выбирать без содержания фтористых соединений. Особенно важно исключить использование паст с фтором у детей, поскольку малыши еще не умеют правильно чистить зубы и проглатывают часть пасты.Итак, мы выяснили, что флюороз - это заболевание костной системы и зубов, заполучить которое возможно в любом возрасте. Но основной риск развития все же приходится на период до прорезывания постоянных зубов. Все профилактические меры будут эффективны на 100% именно до полного формирования эмали коренных зубов у детей.Источник
Читайте также:
