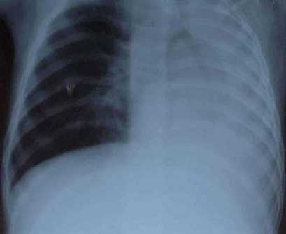
Дольковые ателектазы. Обширный ателектаз у детей
Добавил пользователь Евгений Кузнецов Обновлено: 21.01.2026
Ателектаз легкого — это патологическое состояние, при котором целое легкое или его часть спадается (происходит сближение и сжатие стенок легкого, при этом воздух из данного участка выходит) и выключается из газообмена. В основе заболевания лежит нарушение проходимости бронха вследствие закупорки его просвета (например, пробкой мокроты, инородным телом) или сдавления легкого. Величина ателектаза зависит от размера задействованного бронха. При закупорке главного бронха спадается все легкое, при нарушении проходимости бронхов меньшего калибра возникает ателектаз доли или сегмента легкого.
Симптомы ателектаза легкого у ребенка
Выраженность симптомов зависит от размера ателектаза и скорости его возникновения.
При большом размере (целое легкое, доля легкого) и быстром развитии ателектаза возникает острая дыхательная недостаточность, для которой характерны следующие симптомы:
- одышка (часто возникает внезапно);
- боль в грудной клетке на стороне пораженного легкого;
- учащение пульса;
- снижение артериального давления;
- синюшный оттенок кожных покровов.
- заболевание может протекать бессимптомно;
- возможна небольшая одышка.
Формы ателектаза легкого у ребенка
Выделяют обтурационный и компрессионный ателектаз легкого.
- Обтурационный - обусловлен нарушением проходимости воздуха по бронху вследствие закупорки просвета бронха (например, мокротой, инородным телом, опухолью).
- Компрессионный - связан со сдавлением легкого (например, жидкостью или воздухом, попавшим в плевральную полость (полость, образованная листками внешней оболочки легких)).
Причины ателектаза легкого у ребенка
- Закупорка просвета бронха изнутри:
- вязкой мокротой;
- инородным телом;
- опухолью;
- рвотными массами;
- кровью.
- Сдавление бронха извне:
- увеличенными лимфатическими узлами;
- опухолями;
- кистами (полости, заполненные жидкостью).
- Сдавление (« поджатие») легкого:
- воздухом (при пневмотораксе - скоплении воздуха в плевральной полости (полость, образованная листками внешней оболочки легких));
- жидкостью (экссудативный плеврит - воспаление плевры со скоплением воспалительной жидкости в плевральной полости).
- Травматические повреждения легких и бронхов.
- Рубцовые изменения в легких после перенесенных воспалительных заболеваний (например, туберкулеза).
- В послеоперационном периоде (после наркоза).
LookMedBook напоминает: что данный материал размещен исключительно в ознакомительных целях и не заменяет консультацию врача!
Врач педиатр поможет при лечении заболевания
Диагностика ателектаза легкого у ребенка
- Анализ анамнеза заболевания и жалоб (когда появилась одышка, боль в грудной клетке на стороне пораженного легкого, учащение пульса; с чем пациент связывает возникновение этих симптомов).
- Анализ анамнеза жизни (какие заболевания были у пациента, перенес ли он какие-либо операции).
- Общий осмотр - осматриваются кожные покровы, измеряется артериальное давление и частота пульса, с помощью фонендоскопа выслушиваются легкие.
- Рентгенография органов грудной клетки, которая позволяет определить безвоздушный участок легкого.
- Компьютерная томография, позволяющая более детально оценить нарушение воздушности легочной ткани.
- Возможна также консультация пульмонолога.
Лечение ателектаза легкого у ребенка
Лечение направлено на восстановление проходимости дыхательных путей, расправление сжавшегося участка легкого и обеспечение организма достаточным количеством кислорода.
- Постуральный дренаж (больному придают положение, в котором мокрота, кровь или другая патологическая жидкость, закупорившая бронх, лучше отходит): при локализации ателектаза в верхних отделах легкого - в положении с приподнятым туловищем, в нижних отделах легкого - в положении с опущенным головным концом туловища, на боку, противоположном пораженному легкому.
- Массаж грудной клетки для лучшего отхождения патологического содержимого.
- Бронхоскопия: специальный аппарат вводится в бронх, что дает возможность осмотреть изнутри его состояние и удалить из него патологическое содержимое (кровь, рвотные массы, вязкую мокроту) или инородное тело.
- Кислородные ингаляции.
- Дыхательная гимнастика.
- Препараты, способствующие разжижению вязкой мокроты и ее лучшему отхождению (при наличии вязкой мокроты в бронхах).
- Если ателектаз вызван сдавлением легкого жидкостью или воздухом в плевральной полости, используются плевральные пункции (прокол плевральной полости специальной иглой и удаление патологической жидкости или воздуха).
- Хирургическое устранение причин ателектаза (опухоли, разрыва бронха).
- Прием антибиотиков для профилактики возникновения сопутствующей инфекции.
Осложнения и последствия ателектаза легкого у ребенка
- Острая дыхательная недостаточность (нарушение дыхания с резким дефицитом кислорода в организме).
- Присоединение инфекции с развитием пневмонии (воспаление легких) или абсцесса легкого (ограниченный очаг воспаления легочной ткани с образованием полости, заполненной гнойными массами).
- При больших размерах ателектаза (сжатие целого легкого) и быстром развитии возможен летальный исход.
Профилактика ателектаза легкого у ребенка
- Отказ от курения (у подростков).
- Послеоперационная профилактика - мероприятия, направленные на поддержание свободной проходимости дыхательных путей:
- дыхательная гимнастика;
- массаж грудной клетки;
- частая смена положения тела у лежачих больных;
- по возможности - ранний подъем с кровати в послеоперационном периоде (конкретные сроки решаются для каждого пациента индивидуально).
ИНФОРМАЦИЯ ДЛЯ ОЗНАКОМЛЕНИЯ
Необходима консультация с врачом
Певцова Анастасия Владимировна, врач-методист, акушер-гинеколог, медицинский редактор.
Подоляк Анжелика Алексеевна, редактор.
Что делать при ателектазе легкого?
- Выбрать подходящего врача педиатр
- Сдать анализы
- Получить от врача схему лечения
- Выполнить все рекомендации
Ателектаз легких у новорожденных
Ателектаз легких у новорожденных - это нерасправление легочных альвеол или их спадение после периода функционирования в течение первых двух суток жизни, связанное с особенностями строения дыхательных путей у новорожденных, а также с несовершенством центральной регуляции дыхания. Проявляется одышкой различной степени, цианозом, в тяжелых случаях - сердечной недостаточностью и признаками шока. Диагностируется клинически, подтверждается при помощи рентгенографии легких и бронхоскопии. Лечение ателектаза легких у новорожденных включает респираторную поддержку, стимуляцию синтеза сурфактанта, бронходилататоры, устранение причины патологии.
МКБ-10
![Ателектаз легких у новорожденных]()
![Ателектаз легкого у новорожденного]()
![Выхаживание новорожденных с ДН в кувезе]()
Общие сведения
Ателектаз в дословном переводе означает «неполное расправление», что в целом отражает анатомическую основу состояния. Ателектаз легких у новорожденных входит в понятие «синдром дыхательных расстройств». Общая частота последнего составляет около 1% среди всех новорожденных, а у недоношенных детей с массой тела менее 2 500 г встречается в 14% случаев. Актуальность проблемы для современной педиатрии связана с большим количеством причин спадения легочной ткани в первый месяц жизни ребенка. Практически единственным способом терапии остается ИВЛ, которая часто проводится в течение длительного времени. Если ателектаз легких у новорожденных не купируется в течение нескольких дней, с большой долей вероятности присоединяется пневмония, что значительно ухудшает прогноз для жизни ребенка.
![Ателектаз легких у новорожденных]()
Причины
После рождения малыша воздух впервые попадает в легкие и расправляет их. Движения диафрагмы создают отрицательное давление в грудной полости, а легочно-альвеолярный секрет (сурфактант) препятствует спадению ткани альвеол за счет поверхностного натяжения. К моменту рождения количество выделяемого сурфактанта невелико, особенно у недоношенных детей. Вне зависимости от срока гестации центральные механизмы регуляции дыхания также продолжают закрепляться. Таким образом, причиной развития ателектаза легких у новорожденных является возрастная незрелость легких и нервной регуляции акта дыхания.
Нерасправлению легких могут способствовать многие патологические состояния.
- При муковисцидозе накапливающаяся в бронхах вязкая слизь механически закрывает просвет дыхательных путей, приводя к развитию ателектаза легких у новорожденных.
- Обструкцию бронхов вызывают также опухоли и частицы пищи, хотя это случается намного реже. Аспирация обычно происходит при наличии врожденных свищей между пищеварительным трактом и трахеей.
- Плевральный выпот сдавливает легкое снаружи, что также может привести к его спадению, однако в данном случае многие специалисты говорят о коллапсе.
- Кроме того, ателектаз легких у новорожденных формируется при параличе нервов, например, диафрагмы.
Классификация
Выделяют рассеянный и обширный ателектаз. В первом случае участки безвоздушной легочной ткани мелких размеров располагаются по всей поверхности легких. Обширный ателектаз бывает сегментарным и полисегментарным, затрагивая, соответственно, один или несколько сегментов легкого. Редко встречается тотальный ателектаз легких у новорожденных, когда выключенным из акта дыхания оказывает одно или оба легких (в последнем случае быстро наступает летальный исход). Сегментарная форма чаще встречается у детей, рожденных в срок. Для недоношенных малышей больше характерно диссеминированное расположение участков ателектаза.
![Ателектаз легкого у новорожденного]()
Симптомы
Если причиной образования безвоздушных участков является обструкция дыхательных путей, симптомы отмечаются с момента рождения. Ребенок не кричит, кожные покровы быстро приобретают цианотичный оттенок. В большинстве случаев первые признаки появляются через несколько часов после родов. Обширный ателектаз легких у новорожденных проявляется одышкой, втяжением уступчивых мест грудной клетки, в том числе грудины, положение которой напоминает воронкообразную деформацию. Возможно некоторое западение грудной клетки с пораженной стороны. Быстро присоединяется сердечная недостаточность. Рассеянный ателектаз отличается отсутствием дыхательных движений на стороне спадения легкого. Дыхание часто стонущее («дыхание трубача»).
Диагностика
Дыхательная недостаточность у недоношенного ребенка позволяет заподозрить ателектаз, поскольку это состояние часто встречается при родах раньше срока. Клинически диагностировать спадение ткани легких педиатр может по втяжению межреберных промежутков и грудины и отсутствию дыхательных движений с одной стороны. Физикальный осмотр обнаруживает равномерно ослабленное дыхание, крепитацию по всей поверхности легких и коробочный звук при наличии рассеянного ателектаза легких у новорожденных. Сегментарная форма характеризуется отсутствием дыхательных шумов в безвоздушной области.
Диагноз подтверждается рентгенологически. Рассеянный ателектаз легких у новорожденных на рентгеновском снимке представлен множественными участками затемнения небольших размеров. Характерно преимущественно паравертебральное расположение безвоздушных областей. Сегментарный ателектаз легких у новорожденных выглядит, как обширный участок затемнения. При высокой разрешающей способности аппаратуры можно заметить сморщенный участок легочной ткани возле корня легкого. Часто отмечается смещение сердца в пораженную сторону и более высокое стояние диафрагмы со стороны ателектаза. Для подтверждения диагноза, особенно при подозрении на обструкцию дыхательных путей, показана бронхоскопия.
![Выхаживание новорожденных с ДН в кувезе]()
Лечение ателектаза легких у новорожденных
Лечение проводится в отделении интенсивной терапии. Показан кувезный режим. Основа терапии - вентиляция легких (вспомогательная или искусственная) с положительным давлением на вдохе для механического расправления легочной ткани. Стимуляторы синтеза сурфактанта особенно показаны недоношенным детям, возможно также эндотрахеальное введение препаратов. Проводится инфузионная терапия, осуществляется коррекция метаболического ацидоза, связанного с дыхательной недостаточностью. Для расширения бронхов применяются метилксантины. По показаниям используются препараты для лечения сердечной недостаточности.
Прогноз и профилактика
Прогноз ателектаза легких у новорожденных зависит от срока гестации, размеров участка легкого, выключенного из дыхания, и состояния, послужившего причиной развития данной патологии. Рассеянные ателектазы у недоношенных детей обычно исчезают в течение первого месяца жизни. Сегментарные ателектазы при адекватной терапии расправляются в течение примерно одной недели. Наиболее тяжелое течение отмечается в случае присоединения пневмонии, хотя воспаление легких часто само по себе является причиной ателектаза легких у новорожденных. В данном случае нагрузка на легкие возрастает за счет воспалительного процесса и интоксикации. Кроме того, продлевается срок нахождения на ИВЛ, что также повышает риск развития осложнений.
1. Судебно-медицинское значение первичного ателектаза легких и синдрома дыхательного расстройства у новорожденных/ Недугов Г.В., Ардашкин А.П.// Проблемы экспертизы в медицине. - 2005.
2. Особенности рентгенологических изменений в легких у недоношенных новорожденных с дыхательной недостаточностью/ Перепелица С.А., Голубев А.М., Мороз В.В.// Общая реаниматология. - 2011.
3. Возможности ультразвукового исследования в комплексной диагностике заболеваний легких в неонатальном периоде/ Колтунов И.Е., Дягтерева М.В.// Трудный пациент. - 2017. и др.
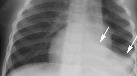
Ателектаз легкого
Ателектаз легкого - безвоздушность легочной ткани, обусловленная спадением альвеол на ограниченном участке (в сегменте, доле) или во всем легком. При этом пораженная легочная ткань исключается из газообмена, что может сопровождаться признаками дыхательной недостаточности: одышкой, болью в грудной клетке, цианотичным оттенком кожных покровов. Наличие ателектаза устанавливается по данным аускультации, рентгенографии и КТ легкого. Для расправления легкого может назначаться лечебная бронхоскопия, ЛФК, массаж грудной клетки, противовоспалительная терапия. В ряде случаев требуется хирургическое удаление ателектазированного участка.
Ателектаз легкого (греч. "ateles" - неполный + "ektasis" - растяжение) - это неполное расправление или тотальное спадение легочной ткани, приводящее к уменьшению дыхательной поверхности и нарушению альвеолярной вентиляции. Если спадение альвеол вызвано компрессией легочной ткани извне, то в этом случае обычно используется термин «коллапс легкого». В спавшемся участке легочной ткани создаются благоприятные предпосылки для развития инфекционного воспаления, бронхоэктазов, фиброза, что диктует необходимость применения активной тактики в отношении данной патологии. В пульмонологии ателектазом легкого могут осложняться самые различные заболевания и повреждения легких; среди них на долю послеоперационных ателектазов приходится 10-15%.
![Ателектаз легкого]()
Ателектаз легкого развивается в результате ограничения или невозможности поступления воздуха в альвеолы, что может быть обусловлено целым рядом причин. Врожденный ателектаз у новорожденных наиболее часто возникает в связи с аспирацией мекония, околоплодных вод, слизи и т. д. Первичные ателектазы легкого характерны для недоношенных детей, у которых снижено образование или отсутствует сурфактант - антиателектический фактор, синтезируемый пневмоцитами. Реже причинами врожденных ателектазов становятся пороки развития легкого, внутричерепные родовые травмы, вызывающие угнетение дыхательного центра.
В этиологии приобретенных ателектазов легкого наибольшее значение принадлежит следующим факторам: закупорке просвета бронха, компрессии легкого извне, рефлекторным механизмам и аллергическим реакциям. Обтурационный ателектаз может возникать в результате попадания в бронх инородного тела, скопления в его просвете большого количества вязкого секрета, эндобронхиального роста опухоли. При этом величина ателектазированного участка прямо пропорциональна калибру обтурированного бронха.
Непосредственными причинами компрессионного ателектаза легкого, могут выступать любые объемные образования грудной полости, оказывающие давление на легочную ткань: аневризма аорты, опухоли средостения и плевры, увеличенные лимфоузлы при саркоидозе, лимфогранулематозе и туберкулезе и пр. Однако наиболее частыми причинами коллапса легкого становятся массивный экссудативный плеврит, пневмоторакс, гемоторакс, гемопневмоторакс, пиоторакс, хилоторакс. Послеоперационные ателектазы нередко развиваются после хирургических вмешательств на легких и бронхах. Как правило, они обусловлены повышением бронхиальной секреции и снижением дренажной функции бронхов (плохим откашливанием мокроты) на фоне перенесенной операционной травмы.
Дистензионные ателектазы легких вызваны нарушением растяжения легочной ткани нижних легочных сегментов вследствие ограничения дыхательной подвижности диафрагмы либо угнетения дыхательного центра. Участки гипопневматоза могут развиваться у лежачих больных, при заболеваниях, сопровождающихся рефлекторным ограничением вдоха (асците, перитоните, плеврите и пр.), отравлении барбитуратами и другими лекарственными средствами, параличе диафрагмы. В ряде случаев ателектаз легкого может возникнуть как следствие бронхоспазма и отека слизистой оболочки бронха при заболеваниях аллергической природы (астмоидном бронхите, бронхиальной астме и др.).
Патогенез
В первые часы в ателектазированном участке легкого отмечается вазодилатация и венозное полнокровие, приводящие к транссудации отечной жидкости в альвеолы. Происходит снижение активности ферментов эпителия альвеол и бронхов и протекающих с их участием окислительно-восстановительных реакций. Спадение легкого и нарастание отрицательного давления в плевральной полости вызывают смещение органов средостения в пораженную сторону. При выраженных нарушениях крово- и лимфообращения возможно развитие отека легких. Через 2-3 суток в очаге ателектаза развиваются признаки воспаления, прогрессирующие в ателектатическую пневмонию. При невозможности расправления легкого в течение длительного времени на месте ателектаза начинаются склеротические изменения с исходом в пневмосклероз, ретенционные кисты бронхов, деформирующий бронхит и бронхоэктазы.
По происхождению ателектаз легкого может быть первичным (врожденным) и вторичным (приобретенным). Под первичным ателектазом понимают состояние, когда у новорожденного ребенка по какой-либо причине не происходит расправления легкого. В случае приобретенного ателектаза отмечается спадение легочной ткани, ранее уже участвовавшей в акте дыхания. Данные состояния необходимо отличать от внутриутробного ателектаза (безвоздушного состояния легких, наблюдаемого у плода) и физиологического ателектаза (гиповентиляции, имеющей место у некоторых здоровых людей и представляющей собой функциональный резерв легочной ткани). Оба этих состояния не являются истинным ателектазом легкого.
В зависимости от объема «выключенной» из дыхания легочной ткани ателектазы делятся на ацинозные, дольковые, сегментарные, долевые и тотальные. Они могут быть одно- и двусторонними - последние крайне опасны и могут привести к гибели больного. С учетом этиопатогенетических факторов ателектазы легких подразделяются на:
- обструктивные (обтурационные, резорбционные) - связанные с механическим нарушением проходимости трахеобронхиального дерева
- компрессионные (коллапс легкого) - вызванные сдавлением легочной ткани снаружи скоплением в плевральной полости воздуха, экссудата, крови, гноя
- контракционные - вызванные сдавлением альвеол в субплевральных отделах легких фиброзной тканью
- ацинарные - связанные с дефицитом сурфактанта; встречаются у новорожденных и взрослых при респираторном дистресс-синдроме.
Кроме этого, можно встретить деление ателектазов легких на рефлекторные и послеоперационные, развивающиеся остро и постепенно, неосложненные и осложненные, преходящие и стойкие. В развитии ателектаза легкого условно выделяют три периода: 1- спадение альвеол и бронхиол; 2 - явления полнокровия, транссудации и локального отека легочной ткани; 3 - замещение функциональной ткани соединительной, формирование пневмосклероза.
Симптомы ателектаза легкого
Яркость клинической картины ателектаза легкого зависит от скорости спадения и объема нефункционирующей легочной ткани. Одиночный сегментарный ателектаз, микроателектазы, среднедолевой синдром нередко протекают бессимптомно. Наиболее выраженной симптоматикой отличается остро развившийся ателектаз доли или целого легкого. При этом возникает внезапная боль в соответствующей половине грудной клетки, пароксизмальная одышка, сухой кашель, цианоз, артериальная гипотония, тахикардия. Резкое нарастание дыхательной недостаточности может стать причиной летального исхода.
Осмотр больного выявляет уменьшение дыхательной экскурсии грудной клетки и отставание пораженной половины при дыхании. Над очагом ателектаза определяется укороченный или тупой перкуторный звук, дыхание не прослушивается или резко ослаблено. При постепенном выключении легочной ткани из вентиляции симптомы выражены в меньшей степени. Однако в последующем в зоне гипопневматоза может развиться ателектатическая пневмония. Повышение температуры тела, появление кашля с мокротой, нарастание симптомов интоксикации свидетельствует о присоединении воспалительных изменений. В этом случае ателектаз легкого может осложниться развитием абсцедирующей пневмонии или даже абсцесса легкого.
Основу инструментальной диагностики ателектаза легкого составляют рентгенологические исследования, прежде всего, рентгенография легких в прямой и боковой проекциях. Для рентгенологической картины ателектаза характерно гомогенное затенение соответствующего легочного поля, смещение средостения в сторону ателектаза (при коллапсе легкого - в здоровую сторону), высокое положение купола диафрагмы на пораженной стороне, повышенная воздушность противоположного легкого. При рентгеноскопии легких на вдохе органы средостения смещаются в сторону спавшегося легкого, на выдохе и при кашле - в сторону здорового легкого. В сомнительных случаях данные рентгенографии уточняются с помощью КТ легких.
![КТ органов грудной клетки. Ателектаз верхней доли правого легкого, обусловленный злокачественной опухолью правого верхнедолевого бронха]()
КТ органов грудной клетки. Ателектаз верхней доли правого легкого, обусловленный злокачественной опухолью правого верхнедолевого бронха
Для выяснения причин обструктивного ателектаза легкого информативна бронхоскопия. При длительно существующем ателектазе, для оценки степени поражения производятся бронхография и ангиопульмонография. Рентгеноконтрастное исследование бронхиального дерева выявляет уменьшение участка ателектазированного легкого и деформацию бронхов. По данным АПГ можно судить о состоянии легочной паренхимы и глубине ее поражения. Исследование газового состава крови выявляет значительное снижение парциального давления кислорода. В рамках дифференциальной диагностики исключаются агенезия и гипоплазия легкого, междолевой плеврит, релаксация диафрагмы, диафрагмальная грыжа, киста легкого, опухоли средостения, крупозная пневмония, цирроз легкого, гемоторакс и др.
Лечение ателектаза легкого
Выявление ателектаза легкого требует от врача (неонатолога, пульмонолога, торакального хирурга, травматолога) деятельной, активной тактики. Новорожденным с первичным ателектазом легкого в первые минуты жизни производится отсасывание содержимого дыхательных путей резиновым катетером, при необходимости - интубация трахеи и расправление легкого.
При обтурационном ателектазе, вызванном инородным телом бронха, для его извлечения необходимо проведение лечебно-диагностической бронхоскопии. Эндоскопическая санация бронхиального дерева (бронхоальвеолярный лаваж) необходима в том случае, если спадение легкого вызвано скоплением трудно откашливаемого секрета. С целью устранения послеоперационных ателектазов легкого показано проведение трахеальной аспирации, перкуторного массажа грудной клетки, дыхательной гимнастики, постурального дренажа, ингаляций с бронхолитическими и ферментными препаратами. При ателектазах легких любой этиологии необходимо назначение превентивной противовоспалительной терапии.
При коллапсе легкого, обусловленном наличием в плевральной полости воздуха, экссудата, крови и другого патологического содержимого, показано срочное проведение торакоцентеза или дренирования плевральной полости. В случае длительного существования ателектаза, невозможности расправления легкого консервативными методами, формирования бронхоэктазов ставится вопрос о резекции пораженного участка легкого.
Успешность расправления легкого напрямую зависит от причины ателектаза и сроков начала лечения. При полном устранении причины в первые 2-3 суток прогноз в отношении полного морфологического восстановления участка легкого благоприятный. При более поздних сроках расправления легкого нельзя исключить развития вторичных изменений в спавшемся участке. Массивные или стремительно развившиеся ателектазы могут привести к смерти. Для профилактики ателектаза легкого важны недопущение аспирации инородных тел и желудочного содержимого, своевременное устранение причин внешнего сдавления легочной ткани, поддержание проходимости дыхательных путей. В послеоперационном периоде показана ранняя активизация больных, адекватное обезболивание, занятия ЛФК, активное откашливание бронхиального секрета, при необходимости - санация трахеобронхиального дерева.
1. Основные клинические синдромы при заболеваниях органов дыхания: Методическое пособие/ Павленко В.В. - 2008.
3. Восстановительная хирургия внутригрудных дыхательных путей: Практическое пособие/ Сачек М.Г., Аничкин В.В. - 1982.
Ателектаз легкого: что это такое, симптомы и формы, причины, диагностика, лечение, возможные осложнения и прогноз
А телектаз — это патологическое состояние, при котором альвеолы легких в области отдельного сегмента, доли или всего парного органа спадаются и больше не наполняются воздухом.
Аномальный процесс приводит к развитию дыхательной недостаточности, сердечных проблем, расстройств со стороны ЦНС. На рентгенограмме спадающееся легкое очень хорошо видно. Оно становится слишком маленьким на фоне другого, выглядит неестественно.
Чтобы лучше понять суть патологического процесса и его тяжесть, обратимся к анатомии.
Легкие представляют собой парный орган, который обеспечивает нормальный газообмен. Они сложно устроены и состоят из нескольких крупных структур.
В иерархическом порядке, можно выделить следующие системные единицы:
- Целое легкое. Как орган, макрообразование.
- Доля. Отдельные фрагменты парной дыхательной структуры. Выделяют несколько таких частей, которые обеспечивают нормальную работу всей системы.
- Сегмент. Более мелкие структуры. Их насчитываются десятки.
- Ацинус. В каждом сегменте можно обнаружить около сотни таковых. Выглядят как разветвленное дерево с массой ветвей, которые обеспечивают газообмен.
- Заканчиваются они альвеолами. Особыми пузырьками, которые отвечают за всасывание воздуха и отдачу углекислого газа.
![строение легких]()
Как раз последние названные структуры и страдают первыми . В зависимости от того, насколько масштабен процесс, выделяют несколько его форм.
Чем больше по площади само поражение, тем опаснее расстройство. Лечением и диагностикой занимаются специалисты по пульмонологии.
Механизм развития
Можно назвать как минимум 6 крупных патогенетических процессов, которые как раз и приводят к становлению ателектаза. Вот они:
- Аспирация, вдыхание жидкостей . Как правило, такие проблемы возникают у новорожденных. При попадании в дыхательные пути слизи, околоплодных вод, наблюдается интенсивная закупорка бронхов.
Это отличный источник развития воспалительных процессов, инфекционных состояний. Но еще раньше, если количество жидкости было значительным, часть легкого отключается, выходит из функциональной активности.
Это результат закупорки альвеол, нарушения газообмена на мельчайшем уровне. Нужно сказать, что не всегда аспирация приводит к ателектазу. Это один из возможных вариантов, но он не гарантирован.
- Воспалительные явления . Как инфекционного, так и аутоиммунного ряда. Причиной может быть все что угодно: от банального бронхита , пневмонии, до астмы, аллергической реакции. Все зависит от индивидуальных особенностей организма.
При повторяющемся расстройстве, вероятность нарушения становится выше. Потому лица с хроническими болезнями нижних дыхательных путей имеют больше шансов столкнуться с расстройством.
- Обструктивные изменения . Ателектаз развивается как итог застойных процессов, нарушения нормального отведения воздуха и наполнения им легочных тканей. В этом случае происходит закупорка дыхательных путей, сужение их просвета. Следствие — спадение легкого.
Чтобы лучше понять, достаточно представить себе сдувшийся мяч. Если воздух в камеру не поступает, он потеряет форму и уменьшится в размерах. Тут принцип точно такой же.
- Нарушения работы головного мозга . Церебральные структуры регулируют дыхательную деятельность на рефлекторном уровне. Если происходит нарушение целостности нервной системы, особого центра в ГМ, дыхание угнетается. Газообмен, наполняемость тканей воздухом нарушается.
- Компрессия легких извне . Опухолями, воздухом, кровью, слизью и проч.
- Закупорка путей инородными объектами. Не обязательно крупными. К ним стоит отнести частички текстиля: ворсинки. Также пылинки абразивных материалов, цемента, бетона, асбеста. Список можно продолжать и дальше.
Ателектаз легких развивается на фоне воспалительных, дегенеративных патологий, врожденных аномалий и прочих состояний. Выявить этиологию нужно, чтобы быстро назначить качественное лечение.
Ателектаз легкого — это многогранный процесс, который различается по моменту возникновения, масштабу распространения, тяжести, клинической картине и не только.
Соответственно, существует несколько оснований для классификации патологического состояния.
Площадь поражение подразумевает такие формы расстройства:
- Ацинарную . Когда выделяется недостаточно суфрактанта. Это смесь особых веществ, которые обеспечивают постоянный уровень натяжения тканей, чтобы предотвратить ателектаз.
В противном случае, патологический процесс начинается по всему легкому. В некоторых ситуациях, количество сурфактанта падает из-за сегментарного поражения, воспаления в отдельном очаге.
- Обструктивный . Когда происходит сужение просвета бронхов и легких. Патологический процесс развивается спонтанно на фоне ХОБЛ , астмы, частых воспалений и прочих аномальных состояний.
![5764646]()
![]()
- Компрессионный ателектаз. В этом случае сдавливание легочных тканей происходит извне. В частности, опухолями или воздухом при развитии пневмоторакса .
Давление снаружи становится выше аналогичного показателя внутри системы, легкого, это причина спадения альвеол, их слипания и дальнейшего коллапса легкого.
![спонтанный-пневмоторакс]()
Еще одна суб-разновидность этого типа — так называемый дисковидный ателектаз, неполное расширение долей легкого с образованием на рентгене картины в виде поперечных полос.
![дисковидный-ателектаз-на-рентгене]()
- Контракционный. Частная форма компрессии. В этом случае сдавливание происходит в результате влияния белковых нитей, тяжей. Например, при пневмосклерозе на начальных стадиях. Когда воспаленные ткани разрушаются и образуются спайки.
![пневмосклероз]()
Другое название патологического процесса, при котором происходит компрессия парного органа белковыми тяжами — фиброателектаз легкого.
- Обтурационный ателектаз, когда в структуры нижних дыхательных путей попадают инородные тела разных размеров. В результате происходит сужение тканей, просвета, нарушение газообмена.
По происхождению ателектаз делят на:
- Первичный или врожденный . Когда легкие не расправляются после появления человека на свет. Встречается всего в 10-15% от общей массы клинических случаев.
- Приобретенный . Наблюдается почти всегда. Развивается у детей и взрослых.
![виды-ателектаза-легкого]()
Также по происхождению называют истинные и ложные формы ателектаза. Первые определяют, когда нарушение действительно имеет место.
Вторые — если речь идет о плоде внутри утробы или у человека есть часть «выключенных» из работы фрагментов легочной ткани, которые не принимают участие в дыхании до определенного момента.
Это своего рода резерв, который нельзя назвать истинным спадением легкого.
По объему выключенной из активно деятельности легочной ткани называют такие формы:
- Тотальные . Когда из акта дыхания выключен весь орган справа или слева.
- Долевые .
- Сегментарные . Как и следует из названия, поражен один небольшой фрагмент дыхательных путей.
- Дольковые и ацинозные . Когда из акта выключаются самые мелкие функциональные единицы. В некоторых случаях, симптоматики от такого процесса вообще нет. Потому как масштаб поражения небольшой и остальные структуры легких могут компенсировать нарушение.
По резистентности, сопротивляемости терапии называют еще два типа ателектаза:
- Преходящий . Когда патологический процесс хорошо поддается лечению, относительно быстро регрессирует на фоне стандартных методов коррекции. На долю таких форм приходится примерно 40% от общей массы клинических случаев.
- Стойкий . Ателектаз плохо поддается лечению, по крайней мере, это не самый быстрый процесс. Уходит до нескольких месяцев на коррекцию и порядка года на восстановление. При этом есть формы, которые не отвечают на терапию в принципе.
По отношению к механическому воздействию выделяют две разновидности:
- Рефлекторную . То есть все описанные выше патологические процессы, которые не имеют никакого отношения к вмешательству извне.
- Ятрогенную . Обусловленную инвазивными диагностическими и лечебными мероприятиями. От бронхоскопии до какой-либо операции.
Отдельно говорят об идиопатических разновидностях. Когда разобрать причину ателектаза невозможно. По крайней мере, сразу. Потом расстройство, его происхождение, может быть уточнено, а диагноз — изменен.
- Острые формы . Когда развивается полная клиническая картина с дыхательной недостаточностью, сердечными проблемами и прочими «прелестями».
- Подострые формы . Когда нарушение начинает постепенно отступать и состояние пациента нормализуется.
Клиническая картина уже менее активная, опасность для жизни минует или уменьшается. В это время пациентов выписывают из стационара, можно продолжать лечение амбулаторно.
То же самое касается и скорости развертывания симптоматики. В некоторых случаях ателектаз формируется за несколько часов или суток. Это острый тип. В других — постепенно, в течение ряда недель и даже более.
По количеству осложнений:
- Простой . Когда наблюдается условное выключение легких без прочих проблем. Кроме дыхательной недостаточности.
- Сложный . Если параллельно развивается пневмония, бронхит, воспалительный процесс астматического характера или что-то еще, способное спровоцировать более тяжелую форму расстройства, его опасное течение.
- Первая . Спадение легочных тканей на микроуровне. А затем и сегментов.
- Вторая . Когда развивается нарушение циркуляции крови. Также, наблюдается отек, выделение и скопление большого количества мокроты, которые не отходит. Начинается воспаление и застой.
- Третья . Когда наблюдается замещение нормальной функциональной ткани соединительной. Пневмосклероз.
Классификации позволяют точнее описать явление.
Клиническая картина зависит от формы и степени заболевания, размеров очага ателектаза. Небольшие ацинарные разновидности, также как и сегментарные формы часто протекают вообще без признаков.
Обнаружить их можно по результатам КТ или рентгенографии. В других ситуациях, клиника не самостоятельна. Признаки ателектаза соответствуют дыхательной недостаточности и кардиальной дисфункции (нарушениям в работе сердца).
Клиническая картина будет такой:
- Основные симптомы ателектаза — одышка и ощущение нехватки воздуха. Как результат — количество дыхательных движений в минуту растет. ЧДД достигает 16-20 и более. В зависимости от стадии болезни.
Чем она запущеннее, тем меньше влияния требуется, чтобы спровоцировать нарушение. Сначала одышка появляется при физической нагрузке, затем — в состоянии покоя.
При стремительно развивающемся ателектазе, клиника достигает пика в течение нескольких суток. Времени на развертывание требуется совсем мало.
- Слабость. Ощущение нехватки сил для работы, порой и для повседневной активности. Состояние, когда в буквальном смысле сложно переставлять ноги, поскольку конечности наливаются тяжестью.
- Удушье. Ощущение выраженной нехватки воздуха. При остром течении ателектаза, этот симптом возникает почти сразу. Особенно, если поражены крупные по площади очаги: доли или все легкое.
- Бледность кожных покровов. Изменение оттенка дермы. На беловатый, затем на бежевый, землистый.
- Шумный выдох. Из-за сужение просвета бронхов, которые развиваются практически всегда, наблюдается свистящее дыхание. Ателектаз в этом случае похож на ХОБЛ.
Отграничить патологический процесс от хронической обструктивной болезни легких можно только после диагностики.
- Сонливость. Желание прилечь в дневное время. В темный период суток все с точностью до наоборот.
- Головные боли. Как результат поражения центральной нервной системы, мозга. Интенсивность средняя. При гипоксии выраженной степени, гораздо сильнее. Не снимается стандартными анальгетиками.
Требует комплексной коррекции кровотока, газообмена. Иначе постепенно растет вероятность инсульта.
- Цианоз носогубного треугольника. Посинение области вокруг рта. Как следствие нарушения газообмена в тканях.
![tsianoz-gub]()
- Падение артериального давления. Сердечное проявление или же результат роста концентрации углекислого газа в кровеносной системе.
- Тахикардия. Увеличение частоты сердечных сокращений. В норме, ЧДД находятся в пределах до 90 ударов в минуту. На фоне патологического процесса, ателектаза с дыхательной недостаточностью и 120 — не предел.
- Ночная бессонница. При большом желании отдохнуть, ничего не получается. Это явный признак неврологической дисфункции. Значит, страдает и головной мозг.
- Непереносимость физической нагрузки. Так называемое снижение резистентности к механической активности.
Симптомы ателектаза легкого соответствуют явлениям гиперкапнии (избыток углекислого газа), гипоксемии (дефицит кислорода). Они обусловлены слабой дыхательной деятельностью и скудным газообменом.
Фактор развития могут быть разными: воспалительными, дистрофическими, механическими. Среди конкретных провокаторов патологического процесса:
- Попадание жидкости в дыхательные пути.
- Поражения головного мозга.
- Пневмоторакс.
- Опухоль.
- Механические структуры, которые сдавливают ткани парного органа.
- ХОБЛ.
- Частые инфекционные воспаления.
- Аутоиммунные процессы. Например, банальная аллергия или бронхиальная астма.
- Попадание в бронхи инородного тела.
- Синдром средней доли — специфическое поражение одноименного фрагмента легкого, которое приводит к ее спонтанному выключению из дыхательной деятельности.
Вариаций этих причин и их групп масса. Например, те же воспалительные процессы — это очень обобщенное название.
Сюда входит все: от плеврита до пневмонии, туберкулеза. При клиническом описании сути расстройства используются точные формулировки.
Обследование проводится амбулаторно или в стационаре. Зависит от тяжести состояния пациента. Работа ложится на плечи специалиста по пульмонологии — проблемам с легкими и дыхательными путями.
Назначается группу исследований разного профиля. В основном — инструментальных.
- Устный опрос. Чтобы выявить жалобы на состояние здоровья. Врач тщательно изучает симптомы и подгоняет комплекс проявлений под конкретную картину заболевания. Дальше остается проверить догадки.
- Сбор анамнеза. Чтобы понять, каково происхождение патологического процесса. Изучают семейную историю, клинику, привычки и образ жизни. Все, что может навести на верный путь.
- Рентген. Рутинная методика. Дает визуальную картину происходящего. Но не всегда на сто процентов информативную. Небольшие очаги поражения этим способом не обнаруживаются. По крайней мере, не всегда.
- КТ. Более продвинутая версия рентгенографии. С большим разрешением картинки и высокой точностью.
- МРТ, если нужно.
- Бронхоскопия. Чтобы оценить, что происходит в дыхательных путях.
![бронхоскопия]()
Методики отработаны. На выявление патологии нужен минимум времени, достаточно нескольких суток.
Лечение
Терапия направлена на коррекцию основного состояния, также на устранение симптомов, профилактику осложнений. В качестве этиологической меры, врачи предпринимают такие действия:
- Откачивание жидкости, слизи из бронхов. Эндоскопическая санация бронхиального дерева (бронхоальвеолярный лаваж) необходима в том случае, если спадение легкого вызвано скоплением трудно откашливаемого секрета.
- При аспирации посторонним предметом, для его извлечения необходимо проведение лечебно-диагностической бронхоскопии.
- Резекция (удаление) опухоли. Если причина в онкологии.
- Ушивание раны, откачивание воздуха из плевральной полости. На фоне пневмоторакса.
- При коллапсе легкого, обусловленном наличием в плевральной полости воздуха, экссудата, крови и другого патологического содержимого, показано срочное проведение торакоцентеза или дренирования плевральной полости.
![клапанный пневмоторакс]()
- Прием антибиотиков, противовирусных, иммуностимуляторов. Если виной всему воспаление инфекционного рода.
- Применение бронходилататоров и гормонов. Когда провокатор — ХОБЛ или астма.
Что касается симптоматического и восстановительного лечения ателектаза, показана дыхательная гимнастика. Назначается перкуторный массаж грудной клетки.
По потребности проводят терапию кислородом в барокамере, вводят его ингаляционно. С помощью маски.
Превентивные мероприятия включают в себя терапию антибиотиками и противовоспалительными. Всегда, чтобы не развился инфекционный процесс.
Удаление фрагмента легкого показано при невозможности вылечить ателектаз консервативными методами.
Прогноз
Перспективы при мелкоочаговых видах альтеректаз позитивные. При крупных областях поражения — прогнозы нейтральные или негативные. Зависит от формы, возраста пациента, момента начала лечения и ответа на него. Все сугубо индивидуально.
Последствия
- .
- Асфиксия. .
- Инсульт.
- Инфаркт.
- Острая дыхательная недостаточность. .
Как итог — гибель или тяжелая инвалидность.
Ателектаз — не то состояние, с которым можно спокойно жить. Нужна коррекция, поскольку процесс непредсказуем.
Материалы по теме:
Отоларинголог, аллерголог. Выпускница Варшавского медицинского университета, кандидат наук. Кандидатская диссертация в области отоларингологии - исследование проходимости носовых и околоносовых пазух.Специализацию по аллергологии проходила в Варшавской клинической больнице - на кафедре аллергологии и клинической иммунологии.Многолетний сотрудник отдела аллергологии и клинической иммунологии Центральной клинической больницы в Варшаве.Принимает детей от 3 лет и взрослых с ЛОР-проблемами с аллергией.
![Ателектаз легкого]()
Ателектаз легкого — спадение какого-либо участка легочной ткани, возникающее вследствие сдавления легкого извне либо закупорки просвета бронха. В этот участок перестает поступать воздух и не происходит газообмен. По распространенности выделяют очаговый (спадается небольшой участок), субтотальный — задействована большая часть легкого и тотальный (спадается все легкое). Также выделяют ателектаз врожденный и приобретенный.
Врожденный ателектаз чаще всего выявляется у детей слабых и недоношенных из-за незрелости легочной и бронхиальной ткани, закупорки слизью или околоплодными водами. Если задействован небольшой участок легкого, то через определенное время он самостоятельно расправляется, при обширном спадении прогноз плохой.
![]()
Что это такое?
Ателектаз легкого — это патологическое состояние, при котором целое легкое или его часть спадается (происходит сближение и сжатие стенок легкого, при этом воздух из данного участка выходит) и выключается из газообмена. В основе заболевания лежит нарушение проходимости бронха вследствие закупорки его просвета (например, пробкой мокроты, инородным телом) или сдавления легкого.
Причины возникновения
Причины ателектаза делят на несколько групп:
- Увеличение давления в полости плевры. Сюда относят коллапс легкого (пневмоторакс), гемоторакс, эмпиему плевры, гидроторакс.
- Паралич таких крупных нервов, как диафрагмального, блуждающего, неправильно проведенная анестезия, сколиоз и другие изменения формы позвоночного столба приводят к нарушениям экскурсии грудной клетки и угнетению дыхания.
- Сдавление легкого извне - гипертрофированные крупные сосуды, доброкачественная или злокачественная опухоль, увеличение сердца в объеме (гипертрофия миокарда), лимфоаденопатия.
- Больные легкиеКардиогенный или некардиогенный отек легкого, недостаточное количество сурфактанта, воспалительный процесс, вызванный патогенной микрофлорой, что вызывает увеличение поверхностного натяжения.
- Неправильно проведенная операция на легких или снижение дренажной функции бронхов в послеоперационный период.
- Резкое уменьшение или закупорка просвета бронха густой слизью, инородным телом, из-за резкого спазма гладкой мускулатуры органа.
- Постельный режим в течение длительного времени.
В группу риска входят люди, обладающие повышенной массой тела, страдающие от муковисцидоза и бронхиальной астмы, не соблюдающие здоровый образ жизни.
Характеристика возможных форм:
- компрессионная - сдавливание легкого под воздействием жидкости или воздуха, скопившихся в полости плевры;
- обтурационная - нарушение прохождения воздуха по бронхам при закупорке их просвета вследствие попадания инородных жидкостей или тел.
Также бывает врожденный (встречается у недоношенных, слабых младенцев или имеющих родовую травму) и приобретенный (как результат сопутствующих патологий, заболеваний или травм).
![]()
Ателектаз у новорожденных
При спадении легочных пузырьков (альвеол) в результате воздействия на них определенных факторов может развиться приобретенный ателектаз у новорожденного.
В некоторых случаях ателектаз у новорожденных протекает достаточно продолжительное время без проявления каких-либо симптомов. При массивном ателектазе у новорожденных могут возникать нарушения функции внешнего дыхания, проявляющиеся в виде синюшности носогубного треугольника и одышки. При ателектазе у новорожденных может развиться легочное нагноение или пневмония.
Симптоматика ателектаза, в основном, определяется характером основного процесса, приведшего к возникновению заболевания. Так при обтурационном ателектазе в большинстве случаев врач без труда может обнаружить признаки обструкции легких, а при компрессионном ателектазе у большинства больных имеются симптомы опухоли легких или средостения.
- Обширные ателектазы сопровождаются нарушением частоты и характера дыхания, появлением тахикардии и цианотичной (синеватой) окраски кожных покровов.
- Над участком ателектаза (более 1 - 2 сегментов) нередко удается уловить ослабленное дыхание и укорочение перкуторного звука.
При проведении рентгенологического исследования на рентгенограммах определяется тень, имеющая четкие вогнутые границы. При проведении рентгеноскопии у пациентов с ателектазом легкого можно выявить симптом Якобсона-Гельцнехта (толчкообразные смещения тени средостения, направленные в сторону поражения).
Проводится диагностика при помощи рентгенологического исследования в разных проекциях. На снимки видно затемнение травмированного участка легкого, диафрагма занимает повышенное положение по отношению к пораженной стороне. Часто снимки не дают поставить точный диагноз, и тогда диагностика проходит при помощи другого метода — компьютерная томография легких.
Для выяснения состояния легочной паренхимы нужны данные АПГ. На сколько снижено давление кислорода показывает газовый состав крови. Диагностики может включать в себя и рентгеноконтрастное исследование, бронхографию, ангиопульмонографию.
В ходе исследований исключают другие возможные диагнозы — гипоплазию легкого, диафрагмальную грыжу, цирроз, гемоторакс и другие.
![]()
Выявление ателектаза легкого требует от врача (неонатолога, пульмонолога, торакального хирурга, травматолога) деятельной, активной тактики. Новорожденным с первичным ателектазом легкого в первые минуты жизни производится отсасывание содержимого дыхательных путей резиновым катетером, при необходимости — интубация трахеи и расправление легкого.
Прогноз при ателектазе легких
Внезапный одномоментный тотальный (субтотальный) ателектаз одного или двух легких, развившийся в результате травмы (попадание воздуха в грудную клетку) или во время сложных хирургических вмешательств практически во всех случаях заканчивается смертью сразу или в раннем послеоперационном периоде.
- Обтурационные ателектазы, развившиеся при внезапной закупорке инородными телами на уровне главных (правый, левый) бронхов - также имеют серьезный прогноз при отсутствии экстренной помощи.
- Компрессионный и дистензионный ателектазы, развившиеся при гидротораксе, с удалением причины вызвавшей их, не оставляют каких-либо остаточных изменений и не изменяют объема жизненной емкости легких в дальнейшем.
Существенно изменять прогноз восстановления функций сжатого легкого может присоединившаяся пневмония, которая после себя в этих случаях оставляет рубцовую, замещающую спавшиеся альвеолы, ткань.
Читайте также:
- Случай лечения первичной открытоугольной глаукомы методом ИАГ-лазерной гониопунктуры
- Причины отравления сотрудников лабораторий
- Показатели функционального состояния легких. Функциональная операбельность
- Синдром Шамберга (Schamberg)
- Болезни с типичными патогномоничными изменениями кожи. Явные проявления болезни на коже.



















