Достоверность допплерографии сердца плода. Допплероэхографические показатели сердца плода
Добавил пользователь Евгений Кузнецов Обновлено: 02.11.2025

Ультразвуковая допплерография (УЗДГ) - метод диагностики, основанный на эффекте Доплера, который дает возможность дать оценку кровоснабжения различных органов и тканей. УЗДГ основан на изменении частоты ультразвуковых волн при отражении их от движущихся объектов.
СТОИМОСТЬ НЕКОТОРЫХ УСЛУГ ГИНЕКОЛОГА В НАШЕЙ КЛИНИКЕ В САНКТ-ПЕТЕРБУРГЕ

*Клиника имеет лицензию на оказание этих услуг
УЗДГ объединяет в себе стандартное УЗИ и эффект Доплера, тем самым позволяя рассмотреть состояние сосудов и движение крови по ним. Исследование особенно важно при беременности, ведь вся жизнедеятельность плода осуществляется именно с помощью кровотока.
Чем отличается УЗДГ при беременности от обычного УЗИ
В зависимости от применяемых режимов одновременно выделяют: дуплексное и триплексное УЗГД. Как правило, для оценки внутриутробного состояния плода используют дуплексную допплерографию. При нем обычное серошкальное УЗИ сочетается с одним из режимов допплерографии, который в режиме реального времени передает изображение.
При триплексном сканировании режим УЗИ объединяется с режимом допплерографии и с цветным картированием кровотока, что позволяет оценить анатомию сосуда и его проходимость.
Когда назначают
Однако есть показания, при которых врач назначает УЗДГ и на более ранних сроках, а именно:
- При патологии плаценты (отслойка, отставание либо быстрое созревание плаценты, образование внутриплацентарных тромбов);
- Результаты УЗИ показали несоответствие плода сроку беременности (гипотрофия плода);
- При гестозе (осложнения при беременности, которые связаны с отеками, повышенным давлением, судорогами, потерей белка с мочой);
- При многоплодной беременности;
- В случае заболеваний матери, которые связаны с патологией сосудов. Например: сахарный диабет, болезни почек, гипертония (стойкое повышение артериального давления), болезни почек, нарушения свертываемости крови;
- В случае прерывания предыдущей беременности (мертворождение, выкидыш). А также при осложнениях предыдущей беременности;
- Возраст беременной свыше 35-ти лет;
- После травм живота;
- По результатам УЗИ - плод обвит пуповиной.
Что показывает
УЗДГ показывает: как ощущает себя ребенок в утробе матери, оценивает кровоток в пуповине, в сердце и в других органах ребенка. Также оценивает работу плаценты и кровотока в маточных артериях. Качественно проведенное исследование позволяет выявить сердечные пороки.
Этот метод диагностики позволяет соотнести полученную информацию с нормативными таблицами, тем самым определив наличие или отсутствие патологий в развитии плода.
Расшифровка УЗГД при беременности
Если УЗГД проводит опытный врач, он расшифровывает результат на месте. В остальных случаях нужно отнести результаты лечащему акушеру-гинекологу.
Расшифровка УЗГД содержит следующие характеристики:
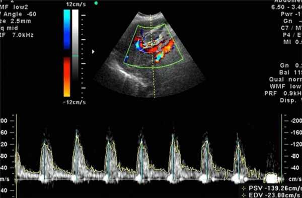
Систоло-диастолическое отношение в сосудах. СДО рассчитывается по формуле. Врач определяет соотношение максимальной скорости в сосуде в систолу и остаточной скорости - в диастолу. Показатель вычисляется для крупных сосудов матки, плода и пуповины. ДСО каждого сосуда меняется в зависимости от срока.
Норма СДО в артерии пуповины
Норма СДО в артериях матки в III триместре: 1,3-3,7
Индекс резистентности
ИР также рассчитывается по формуле. Гинеколог вычисляет отношение СДО к максимальной скорости движения крови в сосуде в систолу. Чем выше результат, тем хуже проходимость сосуда и тем больше сопротивление кровотока. Нормы УЗДГ при беременности по ИР зависят от сроков беременности, вида и диаметра сосуда.
1. Индекс резистентности в артериях матки в III триместре: 0,3-0,9.
2. Индекс резистентности в артериях пуповины:
| Срок, неделя | Индекс резистентности (ИР) |
| 16-19 | 0,78 |
| 20-22 | 0,74 |
| 23-25 | 0,71 |
Норма скорости кровотока в сосудах матки в III триместре в среднем: 60-71 см/секунду.
Пульсационный индекс
ПИ в III триместре должен составлять 0,4 -,64.
Результаты УЗГД дают возможность понять:
- не страдает ли плод от внутриутробной гипоксии, и если недостаток кислорода есть, то насколько состояние опасно;
- есть ли проблемы из-за конфликта по резус-фактору;
- степень повреждения сосудов матки, плаценты и плода из-за сахарного диабета, кардиальной патологии или гипертонической болезни женщины;
- есть ли проблемы развития при многоплодной беременности, как связаны и развиваются сосуды у близнецов.
Подготовка
Никакой специальной подготовки для проведения ультразвуковой допплерографии не требуется. Однако некоторые врачи отмечают, что лучше проводить УЗДГ через пару часов после еды. Это связано с тем, что после приема пищи, как правило, ребенок становится более активный. Это может исказить результаты исследования. Также не следует увлекаться продуктами, способными вызвать газообразование (овощи, фрукты).
Как проводится
Процедура совершенно безболезненна и полностью безопасна, но требует времени для выполнения. УЗГД займет 20-30 минут. Время проведения процедуры может увеличиться при наличии осложнений.
Для проведения исследования женщина ложится на спину, реже на бок. На оголенный живот наносится специальный гипоаллергенный гель, который обеспечивает нормальное прохождение ультразвуковой волны, и прикладывается датчик, вся информация поступает на экран. Врач обследует состояние маточных артерий, пуповину, среднюю мозговую артерию плода. Исследование: венозного протока, внутрисердечного кровотока ребенка, грудной аорты, почечных артерий, - выполняется при наличии показаний.
Заключение необходимо предоставить акушеру-гинекологу, который ведет беременность. Врач, обобщив результаты исследования, проводит общую оценку состояния плода и назначает лечение, при необходимости.
УЗДГ является это важный метод обследования. Выявление патологий на раннем сроке поможет назначить необходимое лечение. Если отклонения значительные и угрожают жизни ребенка - это показание для родоразрешения раньше срока.
Допплерометрия плода выявляет патологии кровотока при беременности

Доплерометрия при беременности - это современный метод диагностики при помощи ультразвука, позволяющий объективно и полноценно исследовать кровообращение плода, плаценты и матки. По состоянию кровеносной системы можно оценить состояние плода, скорость его развития — не страдает ли малыш от недостатка кислорода, а также возможные патологические изменения. Допплерометрия плода — единственная методика, способная показать точное нахождение патологии сосудов (в матке, пуповине или плаценте).
Зачем и когда проводить допплерометрию при беременности
Сегодня заболевания сосудов — одна из наиболее распространенных проблем в медицинской практике. Своевременная диагностика позволяет выявить такие патологии еще на ранней стадии развития, а вместе с тем и многие факторы, способные вызвать развитие нарушений кровообращения.

Ценность процедуры заключается в её высокой информативности, благодаря чему врач способен выявить не только уже развившуюся патологию, но и практически незаметные доклинические симптомы болезни. Процедура назначается после полного формирования плаценты — не ранее 18 недель, чаще на 32-34 неделе в качестве плановой проверки.
При наличии даже незначительных подозрений на нарушения развития плода - УЗИ с доплером проводят на любом сроке. Доплер делают в комплексе со скрининговым УЗИ , при этом по ощущениям для беременной женщины процедура ничем не отличается от классического УЗ-обследования.
Суть метода
Этот способ изучения кровеносной системы основан на применении эффекта Доплера.
Для обследования используется такой же ультразвук, как и при обыкновенном ультразвуковом исследовании. Отличие заключается в особом датчике, работающем на основе допплеровского эффекта, и интерпретации полученных данных. При исследовании фиксируются ультразвуковые волны, отраженные не от статичных тканей, а от подвижных объектов - клеток крови, в результате чего частота отраженных лучей сильно изменяется в сравнении с изучаемыми. Аппарат обрабатывает полученные данные и создает двухмерное цветное изображение. Благодаря этому возможно оценить скорость и направление кровотока, анатомию и проходимость сосудов.
Длительность допплерографии составляет 20 - 40 минут. Она не имеет ни противопоказаний, ни осложнений, ни негативного воздействия на организм. Исследование совершенно безболезненное и безопасное.
Показания
Гинекологи рекомендуют проходить обследование с доплером 1-2 раза во время беременности вместе с плановыми УЗИ . Если же есть проблемы, доппплер плода нужно сделать в ближайшие сроки. В основном допплерометрия назначается при несоответствии размеров плода гестационному возрасту. Также процедура проводится в следующих случаях:
- осложнения в вынашивании ребенка;
- фетоплацентарная недостаточность;
- у матери присутствуют хронические и тяжелые заболевания (сахарный диабет, гипертония, анемия, системные заболевания);
- резус-конфликт беременной и ребенка;
- многоплодная беременность;
- неиммунная водянка плода;
- неправильное положение плода в матке;
- преждевременное созревание плаценты;
- обвитие шеи ребенка пуповиной, подозрение на гипоксию;
- выраженное маловодие / многоводие;
- гестоз (поздний токсикоз, сопровождающийся ухудшением работы почек, сосудов и мозга — появляется белок в моче, повышается давление);
- травмы живота у беременной;
- хромосомные патологии младенца;
- плод шевелится меньше обычного или шевеления не ощущаются вовсе;
- неудовлетворительные результаты кардиотокографии;
- осложнения в вынашивании предыдущей беременности (преждевременные роды, выкидыш и т.д.).
Также УЗИ плода с доплером нужно пройти в случаях, если матери нет 20 лет или ей более 35 лет.
Что выявляет допплерометрия плода
Допплер помогает своевременно выявить гипоксию плода и избежать проблемы еще до того, как ребёнку будет угрожать опасность, или же свести негативные последствия к минимуму. С его помощью врач может узнать причины обвития пуповиной и увидеть сколько раз и насколько туго обвита шея младенца. Без этой жизненно необходимой информации специалисты не смогут выбрать правильную тактику родов, что ставит под угрозу здоровье и жизнь ребенка.
Также с помощью доплера можно увидеть:
- состояние и ритм работы сердца плода в состоянии покоя и движения;
- состояние сердечных клапанов основных кровеносных сосудов, артерий и вен;
- скорость и объем кровотока периферийной кровеносной системы;
- кровообращение в пуповине и плаценте;
- состояние кровеносной системы, сердца и почек беременной.
Полученная информация позволяет врачу оценить:
- проходимость и состояние сосудистого русла, наличие отклонений, блокирующих кровоток плода;
- насыщение кровью и питательными веществами всех тканей ребенка;
- проходимость и состояние пуповины, обвитие шеи младенца;
- эффективность работы плаценты;
- состояние и работа кровеносной системы женщины в период беременности.

Подготовка и особенности проведения УЗИ плода с доплером
Процедура не требует никаких подготовительных мер: ни рацион питания, ни наполненность мочевого пузыря и желудка не оказывают влияния на результаты обследования. Единственная рекомендация — сделать перерыв в еде на пару часов до обследования.
Беременной нужно взять с собой следующее: направление и результаты прошлых анализов и обследований (УЗИ, КТГ, ЭКГ), обменную карту беременной. Бумажные салфетки и одноразовую пеленку или полотенце не нужны — в нашей клинике все предоставляется бесплатно.
Методика проведения допплерометрии аналогична трансабдоминальному УЗИ. Женщина ложится на кушетку спиной и оголяет живот. Врач наносит на исследуемый участок специальный гель для лучшей проходимости ультразвуковых волн и затем водит по нему датчиком, параллельно исследуя полученные данные на мониторе. Интерпретация результатов выдается женщине в тот же день.
Доплерометрию при беременности можно проводить несколькими способами:
- Ультразвуковой допплер - применяется для оценки направления, интенсивности, характера кровотока в сосудах.
- Дуплексное исследование - отличается от предыдущего метода большей точностью и информативностью. Применяется для оценки кровотока сосудов и их анатомии.
- Цветное картирование - состояние даже мельчайших сосудов и их проходимость кодируется цветом.
Расшифровка результатов допплерометрии плода
Оценка состояния кровоснабжения с помощью допплера формируется на основе следующих показателей:
- Систоло-диастолическое отношение - отношение максимальной и минимальной скорости кровотока;
- Индекс резистентности - отношение разницы максимальной и минимальной скорости кровотока к максимальной в период сжатия;
- Пульсационный индекс - отношение разницы максимальной и минимальной скорости кровотока к средней скорости за полный цикл сердца.
Допплерометрия плода: норма по неделям и прогноз при отклонениях
Чтобы расшифровка результатов прошла правильно и все отклонения были выявлены, необходимо сравнить полученные данные с нормативными значениями с учетом гестационного срока.
Допплерография - что такое допплеровское исследование? Когда оно проводится?

Допплерография - неинвазивный метод, используемый при диагностике заболеваний сосудов - артерий и вен. Исследование основано на физическом явлении — эффекте Доплера, способном продемонстрировать направление и скорость кровотока в сосудах.
Допплерография применяется в диагностике многочисленных заболеваний, а благодаря отсутствию побочных эффектов это обследование можно проводить любым больным.
Допплерография - что это такое?
Классическое ультразвуковое исследование включает в себя визуализацию органов или тканей с помощью ультразвуковых волн. Головка ультразвукового аппарата оснащена пьезоэлектрическими кристаллами, генерирующими ультразвуковые волны, распространяющиеся внутри тканей организма. На границе заданной среды они отражаются и возвращаются в датчик, а затем обрабатываются специальным программным обеспечением и представляются в графическом виде.
Допплеровское явление, используемое на УЗИ, позволяет использовать ультразвук в диагностике заболеваний кровеносных сосудов.
Эффект Доплера - что это такое?
Эффект Доплера — это физическое явление, включающее изменение частоты волны, посылаемой объектом относительно волны, записанной другим объектом, возникающее, если объекты движутся относительно друг друга.
Хотя это явление кажется очень специфичным, оно часто наблюдается в повседневной жизни. Отличный пример, объясняющий эффект Доплера, — пожарная машина, едущая с включенным сигналом мимо прохожего. Когда автомобиль приближается к прохожему, звук принимаемого сигнала имеет более высокую частоту, чем при удалении.
В случае проведения допплеровского ультразвукового исследования роль пожарной машины играют морфотические элементы крови, от которых отражается акустическая волна. Роль прохожего играет приемник, расположенный в ультразвуковой головке. Основываясь на изменении частоты волны, соответствующее программное обеспечение определяет направление и скорость кровотока относительно головки.
Существует несколько видов УЗИ с допплером:
- Допплерография с непрерывной волной или пульсирующей волной. Определяет, какие изменения происходят в интенсивности текучей крови, не выявляет окружающие ткани;
- Дуплексная допплерография. Выявляет кровеносные сосуды и окружающие ткани;
- Цветная допплерография. Изображение текущей крови представлено красным или синим цветом в зависимости от направления кровотока и его скорости.
Допплерография - что показывает обследование?
Одна из многочисленных задач крови — снабжение органов кислородом и питательными веществами и выведение из них продуктов метаболизма и углекислого газа. Кровь течет от сердца по артериям и направляется к органам, из которых возвращается к сердцу через венозные сосуды.
Многочисленные патологии могут нарушить кровоток по сосудам, что приводит к недостаточному снабжению клеток кислородом и питательными веществами, или может блокировать отток бедной кислородом венозной крови. Классическое УЗИ часто полезно при визуализации сосудов, но оно не выявляет кровоток, это возможно только при использовании эффекта Допплера.
Допплерография применяется при диагностике многочисленных патологий, затрагивающих сосудистую систему многих участков тела, а благодаря высокой доступности и отсутствию доказанной вредоносности, является одним из наиболее часто выполняемых тестов.
Допплерография сонных и позвоночных артерий
Сонные и позвоночные артерии отвечают за снабжение кровью головного мозга. Центральная нервная система крайне чувствительна к гипоксии, из-за чего даже кратковременные эпизоды ишемии головного мозга связаны со значительным риском необратимой потери нервных клеток. Сужение артерий, снабжающих кровью головной мозг, связано с повышенным риском ишемического инсульта.
Исследование кровотока внутри сонных и позвоночных артерий позволяет обнаружить сужение по ходу этих сосудов, и заранее начать соответствующую профилактику. Среди показаний к обследованию сонных и позвоночных артерий:
- гипертония,
- атеросклероз,
- сахарный диабет II типа,
- транзиторная ишемия,
- травмы шеи,
- инсульты у близких родственников.
Допплерография нижних конечностей
Допплерография вен нижних конечностей проводится при подозрении на тромбоз глубоких вен. Показания к ультразвуку вен включают отек, покраснение, боль и варикозное расширение вен в пределах нижних конечностей.
Изучение направления кровотока в венах направлено на применение лечения к пациентам, особенно подверженным тромбозам или противодействующим осложнениям, способным привести к гибели больного.
Допплерография подключичных артерий
Допплеровское ультразвуковое исследование подключичной артерии проводится при подозрении на так называемый синдром позвоночной артерии. В ходе этого заболевания из-за сужения начального отдела подключичной артерии перед отходом позвоночной артерии возникает ситуация, при которой кровь не течет по позвоночной артерии к головному мозгу, а отступает в участок подключичной артерии, расположенный за местом стеноза, и снабжает кислородом и питательными веществами верхнюю конечность.
Симптомы, возникающие в результате синдрома Вертебра, могут быть связаны как с ишемией верхних конечностей, так и с ишемией центральной нервной системы. Исследование в подключичной артерии позволяет определить место и степень стеноза и принять решение о применении лечения.
Допплерография - показания
Среди основных показаний к проведению допплеровского ультразвукового исследования - атеросклеротические изменения внутри артерий. Отложение атеросклеротических бляшек в стенках сосудов приводит к нарушениям кровотока и может стать причиной недостаточного снабжения органов и тканей кислородом и питательными веществами. Допплерография позволит оценить степень сужения сосудов атеросклеротической бляшкой и поможет в принятии решения о дальнейшем терапевтическом ведении.
Другие показания к допплерографии УЗИ:
- наличие варикозного расширения вен в нижних конечностях;
- оценка васкуляризации раковых поражений;
- выявление пороков сердца;
- дифференцировка опухолей;
- оценка мозгового кровообращения;
- мониторинг эффекта от лечения, связанного с реконструкцией сосудов;
- оценка состояния кровеносных сосудов у пациентов после травм.
Другая группа показаний к допплеровскому УЗИ - беременность. Применение этого вида ультразвукового исследования позволяет оценить потоки внутри сосудов плаценты и органов плода. Допплерография во время беременности рекомендуется, если существует повышенный риск преждевременных родов, выкидыша или нарушений развития плода, хотя в настоящее время оно часто выполняется во время стандартных осмотров.
Допплерография - подготовка и ход обследования
Большое преимущество ультразвукового исследования тот факт, что к нему не нужно готовиться специально.
В случае обследования, проводимого в области конечностей и шеи, следует надеть свободную одежду и снять ювелирные изделия, которые могут помешать обследованию. Если допплерография направлена на сосуды в брюшной полости, пациент должен прийти натощак.
Среди немногих противопоказаний для проведения ультразвукового исследования:
- повреждения кожи;
- сильная болезненность в пределах исследуемой области.
Ход диагностики несложный. Пациент обнажает область тела, подлежащую осмотру, и ложится на кушетку. Врач, проводящий обследование, наносит гель на головку ультразвукового аппарата и водит ей по области исследования. На мониторе появляется изображение и раздается звук, изображающий поток крови по кровеносным сосудам. Все обследование занимает около 15-20 минут.
Допплерография - интерпретация обследования
После обследования на основании сделанных измерений врач УЗИ интерпретирует результаты и на их основании определяет или исключает нарушения кровотока по сосудам. Интерпретация допплеровского ультразвукового исследования обычно не является проблемой для специалиста и результат сообщается сразу после обследования.
Эхокардиография с доплеровским анализом
Для оценки турбулентности системы кровообращения, а также скорости тока крови потребуется эхокардиография с доплеровским анализом. На сегодняшний день метод считается наиболее востребованным исследованием в кардиологии, особенно для диагностирования сердечных патологий в детском возрасте. Какие существуют показания к проведению анализа? Какими преимуществами обладает исследование и как правильно к нему подготовиться?
Основная характеристика исследования
Эхокардиографию с доплеровским анализом считают наиболее эффективной методикой для определения расположения и работы различных сердечных структур в режиме реального времени.

Допплеровский принцип широко применяют в медицине для определения направленности кровотока в сосудах и структурах сердца
Основа метода заключается в вычислении соотношения скорости передвижения объекта по отношению к видоизмененной частоте отражаемого сигнала. При соприкосновении ультразвуковых волн с перемещающимися кровяными тельцами наблюдается преобразование частот, значимость которой является доплеровским сдвигом. Поскольку частота воспроизводства ультразвуковой волны постоянна, то изменение ее частоты указывает на направление и скорость тока крови. Как правило, он воссоздается эхо-прибором в виде слышимого сигнала, который доступен для восприятия человека.
Достоинства метода
Эхокг обладает высокой информативностью, поэтому её назначают мужчинам, женщинам в период беременности, и детям.
Анализ имеет множество преимуществ, среди которых:
- неинвазивная техника проведения диагностики;
- обработка большого количества информации в короткие сроки;
- точное воспроизведение результатов.
Информативное исследование имеет доступную ценовую политику, поэтому в случае необходимости его сможет пройти каждый.
Задачи диагностики
Оценить функционирование сердца невозможно без проведения диагностики его анатомических структур и показателей кровотока в магистральных сосудах. Именно с этой целью современное ультразвуковое оборудование, предназначенное для выполнения эхо кг, оснащено приборами с допплером и необходимым программным обеспечением. Благодаря этому, специалисты получают возможность проводить одновременную визуализацию сердечных структур и допплерографию.

Благодаря высокой информативности метода, можно выявить новообразования в структурах сердца на ранней стадии
Методика позволяет диагностировать следующие параметры деятельности органа:
- выявить патологические изменения в направлении тока крови;
- визуализировать пролапс митрального клапана;
- оценить параметры структурных элементов сердца;
- определить локализацию тромбов и аневризму аорты;
- диагностировать врожденные и приобретенные сердечные патологии.
Эхокардиография совместно с допплерографией позволяет специалистам провести оценку сердечной деятельности, а также выявить формирование патологических процессов на раннем этапе.
Показания к проведению исследования
Заболевания сердечно-сосудистой системы в большинстве случаев могут развиваться без каких-либо признаков. Для своевременной диагностики сердечных недугов рекомендовано походить эхокардиографию с допплером последующим посещением кардиолога для оценки результатов один раз в год.

Эхокардиограмму следует проходить людям, страдающим артериальной гипертензией, которая сопровождается частыми головокружениями и обмороками
В обязательном порядке диагностику следует проходить пациентам, у которых присутствуют следующая симптоматика:
- Посторонние шумы в сердце, сопровождаемые нарушениями ритма.
- Болезненность в области грудной клетки или сердца.
- Отечность нижних конечностей.
- Увеличение размеров печени.
- Острое или хроническое нарушение коронарного кровотока.
- Усиление сердцебиения.
- Одышка.
- Цианоз носогубного участка.
- Повышенная утомляемость, даже при незначительных усилиях.
Эхокардиографию назначают пройти ребенку, у которого в динамике наблюдается недостаточный набор массы тела.
Уздг необходимо пройти пациентам, которые перенесли оперативные вмешательства на область грудной клетки. Людям, страдающим от хронической головной боли также следует пройти процедуру. Поскольку характер головной боли может приобрести патологическое течение, когда часть тромба начинает мигрировать по сердечным отделам.
Используемые виды допплерографии
Современная ультразвуковая аппаратура позволяет осуществлять диагностику с допплерометрией в трех основных режимах:
Метод цветного картирования (ЦДК) - это очень эффективное исследование, позволяющие произвести оценку состояния не только сосудов, но и выявить локализацию тромбов, атеросклеротических бляшек, а также аневризму аорты. Интерпретация данных помогает определить специалисту характер новообразования и темп его развития.

Методика спектральной допплерографии объединяет в себе постоянный и импульсно-волновой режимы
На сегодняшний день наиболее широко применяемым исследованием при помощи допплера является тканевая методика. Данный метод оптимизирован для изучения не только направления кровотока, но и визуализации движений сердечных тканей. В ходе допплеровского анализа происходит окрашивание миокарда в различные цвета в соответствии со скоростью и направленностью кровяного потока. Технику применяют для выявления локализованных изменений в сократительной функции миокарда. Данные, получаемые в ходе анализа, регистрируются в виде графика, отображающего зависимость скорости от времени.
Алгоритм проведения процедуры
Эхокардиография с использованием допплера проводится как обычная ультразвуковая диагностика. Процедура не требует проведения специальных подготовительных мероприятий, за исключением отказа от пищи, алкоголя и курения за несколько часов до скрининга.

Процедура проведения эхокардиографии с допплерографией
Этапы проведения диагностики:
- Освободить область грудной клетки от одежды.
- Принять горизонтальное положение на левом боку, чтобы обеспечить максимальную визуализацию верхушки сердца.
- На область грудины наносить специальный гель, после чего подключают датчики.
- Датчики передают ультразвуковые волны по тканям организма пациента, затем они преобразовываются в электрический сигнал, обрабатываемый аппаратурой эхокардиограммы.
- Данные регистрируются на мониторе в виде четкого изображения.
- Интерпретация данных проводится после процедуры, однако в ходе исследования уже могут визуализироваться патологические изменения.
Оценка результатов
Данные, полученные в ходе процедуры, являются важным диагностическим критерием, поэтому их расшифровкой должен заниматься высококвалифицированный кардиолог. В первую очередь специалист проводит оценку сократительной способности миокарда, а затем определяет параметры, функциональное состояние левого и правого желудочков.

Параметры работы сердца и движения кровотока в норме
При оценке данных проведенного скрининга у ребенка необходимо учитывать площадь поверхности тела.
Эхокардиография с допплеровским анализом является высокоинформативной современной методикой для диагностирования различных заболеваний сердца. При помощи исследования определяется функциональная способность отдельных сердечных элементов, а также скорость и направленность кровотока. Все данные, полученные в ходе анализа, играют важную роль в постановке правильного диагноза, от них зависит дальнейшая тактика лечения пациента.
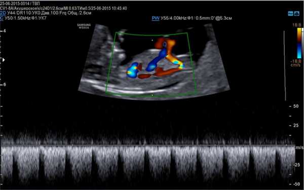
Эхо-КГ (эхокардиография) плода
Эхо кг плода является современным методом диагностики сердечно-сосудистой системы. Суть метода заключается в определении возможных патологических изменений в формировании сердца плода, которые визуализируются при помощи высокочастотных волн. Процедуру проводят по показаниям, в тех случаях, когда во время прохождения плановой УЗИ диагностики у беременной было выявлено отклонения от нормы. Какие ещё существуют показания к проведению исследования, и как оно осуществляется?
Основная характеристика метода
Эхокардиография плода - это не инвазивный метод исследования, способный визуализировать сердце и сосуды в период внутриутробного развития ребенка при помощи ультразвуковых волн. Современные технологии позволяют применять в пренатальной диагностике высокоточные и безопасные аппараты, которые гарантируют безопасность при проведении данного исследования.

Сделать качественный скрининг затруднительно женщинам с избыточной массой тела, так как толстый слой жировой клетчатки хуже пропускает ультразвук
Основой для качественной диагностики является наличие программы, позволяющей определить функциональное состояние сердечно-сосудистой системы на приборе, оснащенным специальным датчиком, имеющим частоту сканирования не менее 5 МГц, а также цветное картирование системы кровообращения и доплер.
Эхо кг плода позволяет определить следующие параметры:
- частоту сокращений сердца;
- проходимость кровеносных сосудов;
- скорость и направленность движения крови по сосудам;
- соотношение объема поступающей и выходящей из аорты крови.
Фетальная диагностика должна осуществляться перинатальными экспертами, имеющими сертифицированную специализацию для выполнения методики. Как правило, это кардиологи и акушеры-гинекологи.
Показания к проведению скрининга
Эхокардиография плода не входит в перечень обязательных исследований при беременности, она назначается для подтверждения или опровержения диагноза после прохождения планового ультразвука на 10-й - 12-й неделях.

Обязательным показанием к проведению скрининга являются беременные, у которых определяют отклонения в количестве околоплодных вод
Эхокардиографию плода назначают при наличии патологических состояний в анамнезе женщины:
- Системные и эндокринные заболевания (сахарный диабет, гипотериоз, васкулит, красная волчанка).
- Повышенный риск хромосомных патологий у плода (они выявляются на первом триместре беременности при прохождении комплексного анализа).
- Наличие ребенка от предыдущей беременности с врожденным пороком сердца.
- Предыдущая беременность закончилась самопроизвольным выкидышем.
- Настоящая беременность протекает с осложнениями (задержка в росте плода, фетоплацентарная недостаточность).
- Многоплодие (относятся и женщины, зачавшие при помощи искусственного оплодотворения).
- Перенесенные инфекционные заболевания в период вынашивания ребенка (герпес, краснуха, ветряная оспа, токсоплазмоз).
- Прием тератогенных медикаментов в первом триместре (антибиотики, ингибиторы МАО, противосудорожные средства, фенобарбитал).
- Возрастная категория женщин старше 35 лет.
Виды эхокардиографии
Методика включает в себя несколько разновидностей техник, которые зависят от используемого оборудования, и цели диагностики:
- Двухмерная диагностика позволяет изучить основные анатомические структуры сердца плода, на данный момент высокая четкость и визуализации способны выявить малейшие изменения.
- Одномерное исследование определяет параметры, функциональную способность и анатомическое строение клапанов, створок и стенок рабочего органа в процессе их деятельности.
- Доплер эхокардиография, более расширенная методика, определяющая гемодинамику, ритмичность и сократительную способность сердца, направленность тока крови по сосудам.

Визуализация анатомических структур сердца плода при эхо кг
Данные виды исследования также позволяют оценить количество циркулирующей крови, степень сужения артерий, минутный выброс, что является важным диагностическим критерием в диагностике патологий сердца.
Выявление патологии
Заподозрить наличие дефекта сердца можно и на ранних сроках вынашивания плода. Так, во время первого скрининга на 12-й - 14-й неделе специалист должен тщательно осмотреть камеры органа, дугу аорты. При подозрении на какие-либо патологические изменения женщина направляется на УЗИ-экспертизу, где находится под присмотром узких специалистов.

Венозный проток является основным маркером при выявлении дефектов ёще при прохождении первого скрининга
В случае подтверждения порока сердца родителям будущего малыша необходимо выяснить степень тяжести патологических проявлений, поскольку некоторые дефекты не приносят существенного вреда. Так, незначительные дефекты в мышечном или мембранном слое межжелудочковой перегородки считаются менее опасными. Данный вид дефекта наиболее часто встречается на эхокардиографии, однако отверстия могут закрыться до момента рождения плода или после него. Дети находятся на учете и постоянно проходят осмотр кардиолога до момента закрытия дефекта.
Выявление порока конотрункуса, основы для построения аорты и легочной артерии вместе с желудочками, чаще всего имеет неблагополучный прогноз и требует неотложного хирургического вмешательства.
Специалист, чтобы определить наличие порока на эхо кг плода при беременности, должен провести осмотр, согласно лекции Международного сообщества гинекологов, по следующим пунктам:
- Определение расположения плода в полости матки.
- Обозначение оси сердца.
- Установление соотношения окружности грудной клетки к переднезаднему размеру сердца.
- Срезы органа.
- Способность перегородок отражать звуковые волны.
- Функциональное состояние створок клапанов.
- Артерии, обеспечивающие доступ крови к сердцу и другим органам.
Если у беременной на эхокардиографии идентифицировали тяжелую сердечную патологию, то необходимо провести дополнительный скрининг для исключения или подтверждения диагноза через 7-10 дней.
Как осуществляется процедура?
Сделать эхо кг можно с помощью цветного аппарата ультразвуковой диагностики и прибором для допплерографии. На ранних сроках вынашивания ребенка применяется вагинальный метод исследования матки. Длительность процедуры составляет около 40-45 минут, однако при подозрении на патологию диагностика может несколько продлиться.

При правильном расположении плода в матке женщине достаточно занять горизонтальное положение на спине
Алгоритм того как, делают эхо кг плода:
- Женщина принимает горизонтальное положение на спине с вытянутыми ногами.
- На область живота наносится небольшое количество геля, улучшающего качество визуализации органов на мониторе.
- Затем на животе беременной закрепляется датчик.
Тактика ведения при выявлении патологии
В зависимости от результатов скрининга специалисты могут применить следующие подходы в ведении беременной:
- Прерывание беременности (при тяжелых дефектах, которые не совместимы с жизнедеятельностью ребенка вне утробы).
- Неотложное оперативное вмешательство (совместимые с жизнью, тяжелые патологии, при которых требуется срочная операция в специализированных учреждениях).
- Постоянный мониторинг состояния плода (незначительные патологические изменения требуют постоянного контроля и коррекции привычного образа жизни женщины).
Таким образом, данный вид исследования достаточно результативный, так как обладает высокой чувствительностью. Он позволяет снизить риск рождения детей с несовместимыми с жизнью патологиями сердца, а также дает возможность проведения своевременной операции.
Отзывы
Екатерина, 25 лет
При прохождении второго скрининга на 20-й неделе врач выявил дополнительную хорду. Гинеколог отправила пройти эхо кг, спустя 7 дней после УЗИ. Процедура заняла около 15 минут, после чего выдали заключение на руки. По результатам скрининга оказалось, что это особенность строения сердца, а так все параметры в норме.
Валентина, 36 лет
Данный скрининг проходила на 24-й неделе беременности, поскольку относилась к группе риска (у меня сахарный диабет). Процедуру делала в специализированной платной клинике, где работает высококвалифицированный кардиолог. Мне сделали допплер эхокардиографию, она показала не только строение сердца, но и ток крови по артериям, ведущим к сердцу. По результатам пороков не выявлено.
Анна, 27 лет
При прохождении УЗИ на 22-й неделе врач выявил дефект в межжелудочковой перегородке. Мне выписали направление на эхокардиографию, которую я прошла спустя 12 дней. По результатам скрининга диагноз подтвердился, у ребеночка определили малый мембранозный дефект ДМЖП. Меня поставили на учет к кардиологу, у которого я постоянно проходила обследование. Сразу после рождения дефект самопроизвольно закрылся, так как был небольшой в диаметре.
Читайте также:
- Принципы и методика хирургии по Mohs при меланоме кожи
- Техника, этапы операции Латарже при передней плечелопаточной нестабильности в сочетании с костным дефицитом суставной впадины или головки плеча
- Характеристика мужа-подкаблучника. Семейные отношения с подкаблучником
- Врожденные миопатии. Виды врожденной миопатии
- Шов Суита. Шов Метра—Богуша. Ушивание раны сердца.
