Доступ и ход дренирования псевдокисты поджелудочной железы в двенадцатиперстную кишку
Добавил пользователь Евгений Кузнецов Обновлено: 21.11.2025
Примерно 75% патологических кистозных образований, которые обнаруживают в поджелудочной железе — это псевдокисты. Они представляют собой полости, которые возникают после приступа острого панкреатита. Обычно это происходит через 6 недель после его манифестации.
Приставку «псевдо» используют, чтобы отличать эти образования от истинных кист и кистозных неоплазий. Однако разница между ними невелика. Основное отличие в том, что стенка истинной кисты выстлана эпителиальной тканью.
В клинике «Евроонко» в Москве для лечения псевдокист при хроническом панкреатите применяются современные эндоскопические методики. По сравнению с классическими вмешательствами, они менее травматичны и более эффективны. Также они сопровождаются меньшим риском осложнений. После таких вмешательств пациенты быстрее возвращаются к привычной жизни и надолго избавляются от причин, приведших к возникновению симптомов, вызванных псевдокистой.
Почему в поджелудочной железе возникают псевдокисты?
Чаще всего причиной становится воспалительный процесс и нарушение проходимости протоков поджелудочной железы.
В 75-85% случаев псевдокистам предшествует панкреатит, связанный с чрезмерным употреблением алкоголя, желчнокаменной болезнью или другими причинами. Значительно реже к патологии приводят тупые и проникающие травмы живота. Иногда причины возникновения псевдокист неизвестны, поэтому они называются идиопатическими.
Немного цифр и фактов:
- Псевдокисты поджелудочной железы бывают единичными и множественными. Множественные встречаются в 15% случаев — чаще всего у людей, страдающих алкоголизмом.
- Размер псевдокист может составлять от 2 до 30 см.
- В 2/3 случаев эти образования появляются в хвосте поджелудочной железы, в 1/3 случаев — в головке.
- В целом причины развития псевдокист те же, что и для панкреатита.
Симптомы и возможные осложнения
Заболевание может проявляться по-разному. Чаще всего — в виде болей и вздутии живота. Другие возможные симптомы: тошнота и рвота, беспричинное снижение веса, потеря аппетита, диарея, повышение температуры.
Если ничего не предпринимать и не лечиться, могут развиться серьёзные осложнения:
- Наиболее опасно внутреннее кровотечение из-за повреждения кровеносного сосуда или разрыва кисты. Оно проявляется в виде сильных болей в животе, бледности и слабости. В таких случаях нужна экстренная операция — лапаротомия или эмболизация кровоточащего сосуда.
- Разрыв псевдокисты способен привести к перитониту (воспалению брюшины — оболочки, которая покрывает внутренние органы и выстилает брюшную полость) и гибели больного.
- Инфицирование псевдокисты сопровождаются высокой температурой и ухудшением общего состояния. Это служит показанием к немедленному дренированию и курсу антибиотиков.
- Сильная тошнота и рвота указывают на нарушение проходимости пищеварительного тракта, связанной со сдавлением ЖКТ за счёт больших размеров кисты.
- Также воспаление поджелудочной железы и давление кисты на желчные протоки зачастую приводят к нарушению оттока желчи и являются причиной механической желтухи.
- У некоторых пациентов развивается асцит — состояние, при котором в брюшной полости скапливается жидкость.
Если у пациента есть что-либо из этого списка, прогноз для него ухудшается. Имейте в виду: чем больше размеры псевдокисты, тем выше вероятность появления этих симптомов и возникновения осложнений.
Диагностика псевдокист поджелудочной железы
Псевдокисту поджелудочной железы можно обнаружить с помощью ультразвукового исследования. Это самый простой, быстрый и недорогой метод диагностики. Дополнительную важную информацию покажет компьютерная томография.
Затем проводят биохимический анализ крови и оценивают показатели, которые отражают состояние поджелудочной железы. Например, определение уровней ферментов амилазы и липазы помогает диагностировать панкреатит.
Эндоскопическая ретроградная холангиопанкреатография (ЭРХПГ) — эндоскопическое вмешательство, которое выполняют при возникновении признаков желтухи и помогает пациентам при помощи малоинвазивного способа.
Магнитно-резонансная томография не обязательна, но в некоторых случаях к ней прибегают, чтобы лучше изучить анатомию поджелудочной железы и изучить структуру псевдокисты, провести дифференциальную диагностику с опухолевой патологией.
Преимущества эндоскопического дренирования
В течение 6 недель после возникновения приступа панкреатита, кисты имеют свойства самостоятельно исчезать. Многие пациенты ограничиваются периодическими наблюдением у врача, проведением компьютерной томографии и соблюдением диеты с низким содержанием жиров. Показания к хирургическому лечению возникают лишь в определенных случаях:
- Если киста увеличивается в размерах.
- Если у пациента имеются симптомы.
- Если развиваются осложнения.
Задача операции — удалить содержимое псевдокисты. Это можно сделать разными способами:
- Наружное дренирование — псевдокисту прокалывают через переднюю брюшную стенку специальной иглой прямо через кожу, помещают в нее катетер, а его второй конец выводят наружу. К этому способу обычно прибегают при отсутствии эндоскопических методик дренирования, а также в диагностических целях или в качестве временной меры. В 54% случаев наружное дренирование неэффективно, в 63% случаев происходят рецидивы. Высок риск инфицирования. Однако если в псевдокисте обнаружен инфекционный процесс, такой вид дренирования подойдёт в качестве экстренной меры.
- Хирургическое дренирование. Во время операции (обычно лапароскопической — без разрезов, через проколы), полость псевдокисты соединяют с желудком или тонкой кишкой. Этот способ эффективен в 85-90% случаев, но высок и риск осложнений — 24%.
Современный метод лечения псевдокист поджелудочной железы — эндоскопическое дренирование. Оно проводится без разрезов и проколов на теле.

Эндоскопическое дренирование под контролем эндосонографии — это современный способ дренирования псевдокист поджелудочной железы. Он считается мировым стандартом лечения данной категории пациентов. Развитие каких-либо осложнений, связанных с операцией минимальны, так как дренирование выполняется под рентгеновским, эндоскопическим и эндосонографическим контролем. Сочетание этих методик обеспечивают для пациентов минимальные риски и максимальную информативность выполнения операции. Также применение современного инструментария и инновационных систем обеспечивает оптимальное дренирование и течение послеоперационного периода.
В «Евроонко» есть всё необходимое, чтобы выполнить эндоскопическое дренирование псевдокисты поджелудочной железы максимально успешно:
- Аппаратура для эндоскопии экспертного класса от ведущих производителей.
- Возможность выполнения вмешательства в специализированной операционной, где есть все необходимое рентгенологическое, эндоскопическое и ультразвуковое оборудование
- Большой опыт: наши врачи установили более 1500 стентов в разных органах.
- Отделением эндоскопии заведует Михаил Сергеевич Бурдюков, д.м.н., врач-эндоскопист экспертного уровня с 16-летним опытом работы.
- Инновационные дренирующие системы Стенты Hot AXIOS от американской компании Boston Scientific Corporation. На данный момент — это наилучшее решение для дренирования псевдокист поджелудочной железы. Стент Hot AXIOS имеет гантелевидную форму. За счёт этого он крепко держится на нужном месте. Широкий просвет сводит к минимуму риск непроходимости.
«Евроонко» — это место, где можно получить профессиональную консультацию и медицинскую помощь на уровне ведущих мировых медицинских центров. Свяжитесь с нами, чтобы узнать подробнее об эндоскопическом лечении псевдокист поджелудочной железы и записаться на предварительную консультацию к врачу:
Доступ и ход дренирования псевдокисты поджелудочной железы в двенадцатиперстную кишку
На протяжении длительного времени лапаротомия в сочетании с наружным дренированием или иссечением панкреатических псевдокист (ППК) традиционно расценивались как предпочтительное лечение для симптоматических локальных скоплений жидкости в поджелудочной железе. Хотя операция считается эффективным методом коррекции ППК, в 35% случаев она сопровождается осложнениями и летальностью, близкой к 10% [1, 2]. Эти обстоятельства стимулировали развитие минимально инвазивных хирургических подходов в лечении ППК. Среди всех существующих на сегодняшний день альтернатив эндоскопическое трансмуральное дренирование является, несомненно, главным прорывом за последние годы, особенно после появления в практике эндоскопического ультразвукового исследования и инновационных устройств — эхоэндоскопов [3]. Эндоскопическая техника делает возможным пункцию кист под ультразвуковым контролем, без повреждения кровеносных сосудов, которое без ультразвукового наведения происходило в 6% случаев [4]. Возможности метода значительно расширились после разработки стентов, которые позволяют дренировать псевдокисту в полость желудка (цистогастростомия) или просвет двенадцатиперстной кишки (цистодуоденостомия). Сведения об использовании метода в педиатрической популяции являются единичными. Цель нашего исследования состоит в том, чтобы продемонстрировать возможность выполнения эндоскопического дренирования ППК под ультразвуковым контролем у детей и оценить эффекты этих операций.
Материал и методы
Мы сообщаем о двух случаях посттравматической псевдокисты поджелудочной железы, которые были успешно пролечены с применением эндоскопического дренирования под ультразвуковым наведением.
Эндоскопическое дренирование ППК выполнялось опытным врачом-эндоскопистом под общей внутривенной анестезией.
Рассмотрим последовательность 7 этапов эндоскопического дренирования ППК.

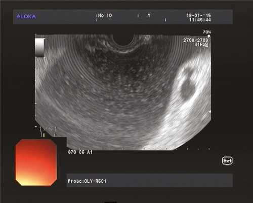
1. Проведение в желудок эхоэндоскопа OlympusGF-UE 160 и эндоскопическое ультразвуковое сканирование органов брюшной полости для определения зоны контакта стенки кисты со стенкой желудка (рис. 1). Рис. 1. Эхоэндоскопия и ультразвуковая визуализация панкреатической псевдокисты в теле поджелудочной железы (случай 1).
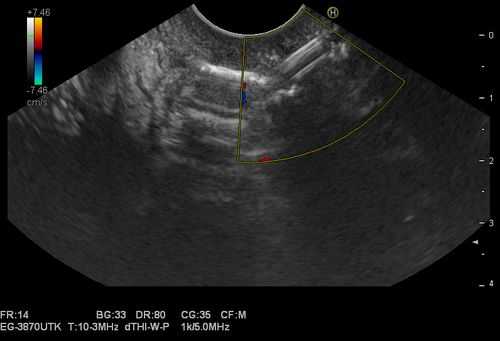
2. Допплерография абдоминальных сосудов для определения бессосудистой зоны, в которой затем производится цистотомия.

3. Электрокоагуляция тканей желудка и стенки кисты с последующей цистотомией стенки кисты посредством 8,5 Ch цистотома (MTWEndoscopieManufaktur, Germany) (рис. 2). Рис. 2. Цистотомия стенки кисты устройством МТW (MTW Endoscopie Manufaktur, Германия) (случай 1).
4. Аспирация содержимого ППК для биохимического, цитологического и бактериологического исследования.
5. Установка трехлепесткового стента MTW таким образом, чтобы конец, содержащий два лепестка, оставался в просвете кисты (рис. 3, 4). Рис. 4. Эндоскопическая цистогастростомия с установкой в кисту трехлепесткового стента MTWE. Рис. 3. Эндоультразвуковое сканирование псевдокисты поджелудочной железы после цистотомии (в просвете определяется катетер) (пациент 1).

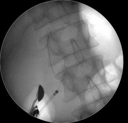
6. Альтернативный метод дренирования состоит в установке по металлическому проводнику, помещенному в полость кисты, наружного назобилиарного катетера, конец которого имеет форму pig-tail (рис. 5). Рис. 5. Наружное эндоскопическое дренирование с использованием назобилиарного катетера, конец которого имеет форму pig-tail (случай 2).
7. Извлечение устройства, предназначенного для доставки стента, наружу и повторное эндоскопическое ультразвуковое сканирование для определения позиции стента и размеров ППК после дренирования.
После размещения внутреннего стента или наружного катетера пациенты наблюдались в хирургическом отделении, где выполнялись серийные трансабдоминальные ультразвуковые исследования в течение 48—72 ч после операции. Стент удалялся через 3 мес в тех случаях, когда просвет ППК облитерировался, по данным ультразвука или компьютерной томографии.
Описание случаев
Случай 1. Мальчик в возрасте 14 лет находился на лечении в хирургическом отделении Ивано-Матренинской детской клинической больницы (ИМДКБ) с диагнозом «тупая травма органов брюшной полости, повреждение поджелудочной железы». Основные жизненные константы пациента при поступлении были стабильны. Ультразвуковое исследование брюшной полости обнаружило диффузные изменения в области тела поджелудочной железы размером 2—5 см без скопления жидкости. Лечение включало отмену самостоятельного питания, назначение полного парентерального питания, проведение антибактериальной терапии, прием синтетического аналога соматотропного гормона (октреотид). Пациент хорошо восстанавливался после перенесенной травмы и был выписан из больницы на 15-й день. Через 3 мес больной повторно обратился в госпиталь с жалобами на боли в эпигастрии. Исследование крови определило подъем концентрации амилазы в крови до 797 Ед/л и до 6915 Ед/л — в моче. Ультразвуковое исследование обнаружило кистозное образование в проекции тела поджелудочной железы диаметром около 6 см. Магнитно-резонансная томография подтвердила наличие ППК, располагающейся позади желудка. Под общей внутривенной анестезией была выполнена гибкая гастроскопия. С помощью эндоскопического ультразвука обнаружена ППК. В допплеровском режиме определена бессосудистая зона и выполнена пункция кисты через заднюю стенку желудка в самом видном месте выпуклости кисты. В просвет кисты был установлен стент MTW. Полость кисты почти сразу спалась. Послеоперационный период протекал без особенностей, и пациент был выписан из больницы на 3-и сутки. Серологический анализ обнаружил существенное снижение концентрации амилазы в крови до 147 мкмоль/л и до 211 Ед/л — в моче. Стент был удален через 3 мес с помощью повторной фиброгастроскопии без анестезии. Наблюдение за пациентом на протяжении 24 мес после эндоскопической цистогастростомии показало отсутствие рецидива кисты и нормальную функцию поджелудочной железы.
Случай 2. Мальчик в возрасте 15 лет поступил в приемный покой ИМДКБ с жалобами на боли в околопупочной области и рвоту. При разговоре с пациентом стало известно, что около 1 мес назад он совершил падение с высоты при игре со сверстниками. За медицинской помощью не обращался. Исследование крови при поступлении выявило подъем в крови концентрации амилазы до 1397 Ед/л, липазы до 728 Ед/л, концентрации амилазы мочи — до 17 735 Ед/л. Ультразвуковое сканирование органов брюшной полости обнаружило многокамерную псевдокисту в поджелудочной железе на границе хвоста и тела. Магнитно-резонансная томография установила, что в проекции тела и хвоста поджелудочной железы располагается кистозное образование размером 6—8 см с наличием перегородок и гиперэхогенной капсулой толщиной 2 мм. Под общей внутривенной анестезией в желудок установлен эхоэндоскоп. В точке, расположенной на задней стенке желудка и наиболее соприкасающейся со стенкой ППК, произведена пункция кисты с использованием цистотома MTW. При аспирации получено густое содержимое коричневого цвета. Попытка установки стента MTW не увенчалась успехом из-за спадения кисты в момент ее опорожнения, что привело к деформации устройства. В полость ППК установлен металлический проводник, по которому проведен назобилиарный наружный катетер. Конец катетера имеет завиток по типу pig-tail, который надежно фиксируется путем затягивания петли. Дренажная трубка была заведена в полость кисты на глубину около 10 см до исчезновения отверстий. Назобилиарный катетер был выведен через носовой ход и фиксирован к крылу носа. Течение послеоперационного периода гладкое. Объем отделяемого из кисты в 1-е сутки после операции составил 70 мл. Пациент находился в госпитале на протяжении 10 дней. Болевой синдром полностью исчез. Ультразвуковое сканирование обнаружило полное спадение кисты. К моменту выписки объем отделяемого из кисты уменьшился до 10 мл в сутки. Уровень амилазы крови составил 432 Ед/л, липазы — 60 Ед/л, амилазы мочи — 2120 Ед/л. В ходе амбулаторного наблюдения через 30 дней после операции ультразвуковое исследование показало, что выделение патологического содержимого из кисты прекратилось, признаки деформации поджелудочной железы отсутствуют. Биохимический анализ показал значительное снижение концентрации амилазы в крови до 130 мкмоль/л и до 145 Ед/л в моче. Катетер был удален. Дальнейшее наблюдение за больным в течение 18 мес показало нормализацию концентрации в крови амилазы и отсутствие признаков рецидива.
Дискуссия
ППК у детей являются обычно следствием тупой травмы живота и встречаются в 56% случаев всех повреждений поджелудочной железы [5, 6]. Многие из них исчезают спонтанно на фоне консервативного лечения. Размер кисты может быть предиктором исхода этого состояния. Так, если размер ППК меньше 4 см, то они исчезают в 90% случаев, в то время как кисты размером 6 см и более регрессируют только у 20% больных [7].
В литературе сведения о применении эндоскопического дренирования у детей единичны, сообщается не более чем о 30 таких пациентах. В исследовании I. Patty и соавт. [15] были представлены пациенты в возрасте 11, 3 и 2,5 года, которые имели ППК диаметром соответственно 11, 9 и 7 см. Эндоскопическое стентирование привело к полному исчезновению кистозных образований поджелудочной железы через 6—8 нед. В 2008 г. S. Sharma [16] сообщил о 9 пациентах с ППК, которым было выполнено эндоскопическое дренирование. У 8 пациентов применена цистогастростомия, у 1 пациента — цистодуоденостомия. При наблюдении на протяжении от 2 до 10 лет признаков рецидива не обнаружено.
Самые важные предпосылки для достижения успешного результата эндоскопического дренирования — это расположение кисты в прямом контакте со стенкой желудка или двенадцатиперстной кишки, видимая выпуклость в полости желудка и толщина стенки кисты менее 1 см [12, 17]. Осложнения эндоскопического дренирования ППК включают кровотечение, перфорацию стенки кишки, рецидив, окклюзию стента, его смещение в желудок, инфицирование полости ППК и рецидив [6]. В случае неудачи при установке внутреннего стента можно использовать наружный катетер с конфигурацией кончика в виде pig-tail, чтобы избежать его смещение из полости кисты [18].
Сравнительные исследования различных методов лечения ППК малочисленны. В современном метаанализе [19], относящемся к лечению кистозных скоплений жидкости в поджелудочной железе, продемонстрированы результаты одного крупного национального исследования, которые показали снижение летальности и осложнений при использовании хирургического лечения по сравнению с чрескожным подходом. Три других исследования сообщили о сопоставимых результатах клинической эффективности эндоскопического стентирования и хирургического дренирования. При этом внутреннее дренирование под ультразвуковым контролем уменьшало длительность пребывания пациентов в госпитале и стоимость лечения.
Заключение
Описание двух клинических случаев успешного дренирования панкреатических кист у детей, представленное в исследовании, демонстрирует, что эндоскопическое дренирование под ультразвуковым наведением является эффективным и безопасным методом лечения ППК.
Авторы заявляют об отсутствии конфликта интересов.
Сведения об авторах
Неустроев Владимир Геннадьевич — к.м.н., заведующий отделом эндоскопии Иркутского областного клинического консультативно-диагностического центра
Вебер Ирина Николаевна — доцент кафедры педиатрии ГБОУ ВПО ИГМУ
Латыпов Вячеслав Хамзиевич — заведующий операционным блоком экстренной и плановой хирургии ОГАУЗ ИМДКБ Иркутска
Чубко Давид Марленович — заведующий отделением детской хирургии КГБУЗ «Красноярский краевой клинический центр материнства и детства»
Тимофеев Андрей Дмитриевич — ординатор курса детской хирургии факультета повышения квалификации специалистов ГБОУ ВПО ИГМУ;
Ложная киста поджелудочной железы
Ложная киста поджелудочной железы (псевдокиста) - полость в паренхиме поджелудочной железы, лишенная эпителиальной выстилки и содержащая панкреатический секрет и тканевой детрит. Причиной развития патологии наиболее часто являются панкреатиты (острые и хронические), реже - травмы брюшной полости. Основной признак заболевания - боль, интенсивность которой максимально выражена на первом этапе формирования полости. Также характерны диспепсические жалобы. Диагностическая программа включает рентгенографию органов брюшной полости, УЗИ и КТ поджелудочной железы, РХПГ. Лечение комплексное: фармакотерапия, эндоскопические и хирургические вмешательства (дренирующие или удаление кисты).
МКБ-10


Общие сведения
Ложная киста поджелудочной железы относится к опухолеподобным процессам. Данная патология представляет серьезную проблему в гастроэнтерологии, тесно связанную с увеличением заболеваемости населения острыми и хроническими панкреатитами, которые являются основной причиной формирования псевдокист. При алкогольном панкреатите ложные кисты поджелудочной железы образуются у 34-50% пациентов.
Псевдокисты склонны к нагноению, перфорации, малигнизации, образованию плохо поддающихся лечению внутренних и наружных свищей, чем обусловлена высокая летальность при данной патологии - до 53%. Клиническая картина псевдокисты часто маскируется под обострение основного заболевания, в ряде случаев ложные кисты являются интраоперационными находками. Несмотря на постоянное совершенствование методик лечения, в том числе микрохирургических, на сегодняшний день отсутствует единый лечебно-диагностический алгоритм и «золотой стандарт» лечения пациентов.

Причины ложной кисты поджелудочной железы
Наиболее часто формированию панкреатических псевдокист предшествует острый и хронический панкреатит, при этом острая форма сопровождается формированием полости в паренхиме железы в половине, а хроническая - в 80% случаев. В зоне повреждения паренхимы органа происходят деструктивные изменения, отграничение воспалительной массы с ее уплотнением и последующим разрастанием в строме соединительной ткани. Тканевой детрит постепенно уничтожается иммунными клетками, и на его месте остается полость без эпителиальной выстилки.
Реже причиной образования ложных кист поджелудочной железы выступает травма органа. Посттравматические псевдокисты - это гематомы с большим количеством панкреатических ферментов. Они обладают склонностью к быстрому нагноению, в связи с чем требуют неотложного хирургического вмешательства. Отдельным вариантом посттравматических псевдокист являются ятрогенные ложные кисты, которые формируются после оперативных вмешательств. Такие псевдокисты представляют собой затеки желчи (это осложнение характерно для лапароскопической холецистэктомии) или панкреатического сока (развиваются после резекции поджелудочной железы). После обширных хирургических вмешательств в поджелудочной железе может скапливаться осумкованная перитонеальная жидкость.
Иногда псевдокисты образуются при ограничении воспалительного процесса вследствие применения высоких дозировок ингибиторов панкреатических ферментов. Такие ложные кисты протекают на фоне хронического панкреатита. Редкой причиной формирования ложных кист поджелудочной железы является атеросклероз сосудов данного органа.
Классификация ложных кист поджелудочной железы
Панкреатические псевдокисты классифицируют по этиологии: возникающие после деструктивного панкреатита, посттравматические и другие. В зависимости от локализации различают псевдокисты головки, тела и хвоста панкреас.
Отдельно выделяют 4 стадии псевдокист, образующихся на месте очага деструкции паренхимы органа:
- Первая стадия характеризуется образованием начальной полости в зоне инфильтрации и аутолитических процессов, длится около шести недель.
- На второй стадии полость ограничивается рыхлой соединительнотканной капсулой, при этом продолжается разрушение инфильтрата иммунными клетками. Этот период может длиться 2-3 месяца.
- На третьей стадии псевдокиста «созревает» - образуется капсула из фиброзной ткани. Данный процесс происходит примерно через полгода от начала заболевания.
- Четвертая стадия характеризуется окончательным формированием плотной капсулы, которая легко отделяется от окружающих тканей.
В практической гастроэнтерологии чаще используется следующая классификация псевдокист:
- острые (до 2-3 месяцев)
- подострые (до полугода)
- хронические (более полугода).
Симптомы ложной кисты поджелудочной железы
Ведущим симптомом панкреатической псевдокисты является боль. Ее характеристики зависят от размера, локализации, а также стадии формирования полости. Наиболее интенсивную боль испытывают пациенты в первом периоде «созревания» псевдокисты, когда происходят деструктивные процессы в паренхиме органа. Через некоторое время боль стихает, становится тупой. У некоторых пациентов остается только ощущение дискомфорта. В дальнейшем возможны повторные болевые приступы, которые связаны с гипертензией в протоках поджелудочной железы. Значительное усиление боли может свидетельствовать о развитии таких осложнений, как разрыв, нагноение, кровоизлияние в полость псевдокисты.
Локализация болевых ощущений зависит от расположения псевдокисты: при образовании в области головки панкреас боли возникают в правом подреберье, тела и хвоста - в эпигастрии и левом подреберье. Некоторых пациентов беспокоят постоянные боли, что может быть связано с давлением псевдокисты на солнечное сплетение. В таких случаях ощущения усиливаются при смене положения тела, физических нагрузках, давлении поясом одежды. Характерны также диспепсические жалобы: тошнота, рвота, ухудшение аппетита.
Диагностика ложной кисты поджелудочной железы
Важную роль в диагностике панкреатических псевдокист играет оценка анамнеза и объективное обследование пациента. Консультация гастроэнтеролога позволяет выявить в анамнезе указания на недавно перенесенный острый панкреатит или обострение хронического, травму живота, а также наличие после них «светлого промежутка». При пальпации живота определяется боль, в некоторых случаях (при крупных псевдокистах) - асимметрия, прощупывание округлого образования.
Результаты лабораторных исследований обычно малоинформативны, поскольку выявляют изменения, причиной которых является первичное заболевание - панкреатит (лейкоцитоз, повышение СОЭ, возможно повышение билирубина и активности щелочной фосфатазы). Характерно изменение уровня панкреатических ферментов: на первой стадии формирования псевдокисты после купирования болевого синдрома определяется гиперферментемия, на более поздних стадиях - гипоферментемия.
При проведении рентгенографии органов брюшной полости возможно обнаружение тени псевдокисты, а также смещения двенадцатиперстной кишки или желудка. Более информативна ультразвуковая диагностика. УЗИ поджелудочной железы позволяет визуализировать ложную кисту, оценить ее локализацию и размеры, в некоторой степени - связь с протоковой системой, а также наличие или отсутствие осложнений (нагноения, кровоизлияния в полость). В случае сдавления холедоха выявляется расширение желчных протоков, при портальной гипертензии - селезеночной и воротной вен. При малигнизации псевдокисты визуализируются неровные контуры ее стенки.
Эзофагогастродуоденоскопия проводится с целью выявления косвенных признаков воспалительного процесса в поджелудочной железе, сдавления желудка и двенадцатиперстной кишки: над участками сдавления определяются эрозии слизистой оболочки, может быть обнаружено варикозное расширение вен пищевода.
Важным методом диагностики панкреатических псевдокист является эндоскопическая ретроградная холангиопанкреатография (ЭРХПГ). Данный метод исследования позволяет оценить связь полости псевдокисты с протоковой системой, что играет определяющую роль в выборе лечебной тактики. Однако в связи с тем, что существует высокий риск инфицирования полости в ходе исследования, ЭРХПГ проводится исключительно перед хирургическим вмешательством для выбора метода лечения.
Для окончательной верификации диагноза, детальной оценки состояния ложной кисты поджелудочной железы и ее содержимого выполняются такие диагностические исследования, как МРТ поджелудочной железы, цитологическое исследование содержимого кисты. Дифференциальная диагностика проводится с ретенционными кистами, доброкачественными кистомами, злокачественными опухолями поджелудочной железы.

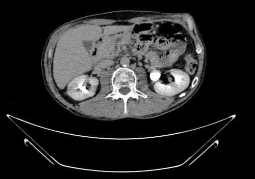
КТ органов брюшной полости. Псевдокиста поджелудочной железы у пациента после приступа острого панкреатита
Лечение ложной кисты поджелудочной железы
На данном этапе фармакотерапия комбинируется с ранним чрескожным пунктированием с установкой катетера. Катетер может находиться в полости псевдокисты до нескольких месяцев, что дает возможность выполнять промывание антисептическими растворами, аспирацию содержимого, а также пломбирование полости силиконовыми быстротвердеющими композициями. До формирования фиброзной капсулы псевдокисты применяется выжидательная тактика, которая обоснована и при бессимптомных ложных кистах поджелудочной железы. При этом активные методы применяются только при появлении клинических симптомов (сдавление соседних органов, боль).
Во втором и последующих периодах формирования псевдокисты ведущим методом лечения является дренирование. В настоящее время в клинической практике более часто применяются эндоскопические малоинвазивные методы, включающие цистогастростомию и цистодуоденостомию. В ходе данных вмешательств выполняется пункция стенки желудка или двенадцатиперстной кишки в области сдавления псевдокистой и установка стента, который может находиться в анастомозе несколько недель. Однако данные методы лечения имеют определенные недостатки: существует риск инфицирования псевдокисты с попаданием химуса в ее полость, раздражения слизистой пищеварительной трубки, кровотечения, а также рубцевания соустья, что приводит к рецидивам.
Хирургическое лечение показано при больших размерах ложных кист поджелудочной железы (более 6-7 сантиметров в диаметре), быстром их увеличении, длительно существующих полостях, большом количестве детрита в полости, а также при травматической этиологии. Также операция проводится при нагноении, перфорации, кровотечении, формировании свищей, неэффективности других методов лечения. Для лечения панкреатических псевдокист выполняется наружное дренирование (вскрытие псевдокисты с вшиванием в рану передней брюшной стенки), внутреннее дренирование (вскрытие кисты, ее ушивание и наложение анастомоза с желудком, двенадцатиперстной или тощей кишкой), удаление кисты (цистэктомия или резекция части панкреас с псевдокистой).
Прогноз и профилактика
Прогноз при ложных кистах поджелудочной железы зависит от причины их развития и выбора оптимального метода лечения в каждом конкретном случае. Послеоперационная летальность при данной патологии очень высокая - около 50%. В то же время рецидивы после различных видов лечения, в том числе эндоскопических, развиваются в 30% случаев. Существует высокий риск таких осложнений, как кровотечение, нагноение, перфорация псевдокисты, формирование свищей, малигнизация. Профилактика панкреатических псевдокист сводится к предупреждению панкреатитов (отказу от употребления алкоголя, рациональному питанию), травм брюшной полости.
Дренирование сложной кисты поджелудочной железы под контролем эндосонографии
Псевдокисты поджелудочной железы представляют собой скопления жидкости в участках расплавления тканей органа. Наиболее часто они развиваются в результате хронического панкреатита, но могут стать следствием острого панкреатита, травмы поджелудочной железы и хирургических вмешательств.
Пациент, диагноз
Пациент 52 лет. Постнекротическая киста поджелудочной железы. Хронический рецидивирующий панкреатит.

Рис. 1

Рис. 2
Пациент был направлен в хирургическое эндоскопическое отделение НМИЦ хирургии им. А.В. Вишневского с целью решения вопроса о дальнейшей тактике лечения.
При эндосонографии (эндоУЗИ) в области головки поджелудочной железы визуализировано анэхогенное образование с четкими неровными контурами неправильной продольной формы, размерами 3,1х10 cм, прилежащее к воротной вене - постнекротическая киста с преимущественно внеорганным расположением (рис. 3).

Рис. 3
Как принималось решение
По результатам обследования было принято решение выполнить операцию с использованием внутрипростветного доступа - эндоскопическое дренирование постнекротической кисты под контролем эндосонографии.
Риски и особенности ситуации
К особенностям ситуации нужно отнести крупный размер и сложную конфигурацию кисты, ее преимущественно внеорганное расположение и близость воротной вены. Для того чтобы оценить пространственное соотношение кисты с прилежащими анатомическими структурами, а также определить наилучшее место для дренирования, была проведена 3D виртуальная компьютерная реконструкция (рис. 4).

Рис. 4
Суть хирургического вмешательства
Использовался эндоскопический доступ из просвета желудочно-кишечного тракта без внешних разрезов - в этом случае операция выполняется через стенку желудка или двенадцатиперстной кишки.
С помощью ультразвуковой навигации определяется безопасная траектория для внутреннего дренирования кисты. В инструментальный канал специального эхо-эндоскопа проводится цистотом, посредством которого формируется соустье между луковицей двенадцатиперстной кишки и просветом кисты (рис. 5 а, б).
Содержимое кисты (жидкость) отправляется на цитологическое, микробиологическое и биохимическое исследования.
Затем под контролем рентгеноскопии в полость кисты вводится струна-проводник для установки пластикового стента (double pigtail) диаметром 10 Fr и длиной 10 см. Осуществляется рентгенологический и ультразвуковой контроль: он подтвердил, что дистальный конец стента располагается в просвете кисты, проксимальный - в луковице двенадцатиперстной кишки (рис. 5 в, рис. 6). При эндоскопическом осмотре оценивается область сформированного соустья для исключения кровотечения (рис. 7).

Рис. 5 (а)

Рис. 5 (б)

Рис. 5 (в)

Рис. 6

Рис. 7
Через 3 месяца после операции при контрольной КТ отмечена полная ликвидация кисты поджелудочной железы (рис. 8). В связи с этим стент, полностью выполнивший свою функцию, был удален.

Рис. 8
Таким образом, использование современной технологии эндоскопического дренирования сложной кисты позволило избежать большого травматичного доступа, минимизировать послеоперационные осложнения и выписать пациента на третий день после операции. (Впервые в нашей стране внутреннее дренирование псевдокисты поджелудочной железы под контролем эндоУЗИ выполнили Ю.Г. Старков и Е.Н. Солодинина в 2010 г. в Институте хирургии им. А.В. Вишневского.)
Комментарий хирурга
Юрий Геннадьевич Старков, доктор медицинских наук, профессор, зав. хирургическим эндоскопическим отделением НМИЦ хирургии им. А.В. Вишневского
Постоянный рост заболеваемости хроническим панкреатитом обусловливает развитие хирургических методов лечения этой категории больных. Существует несколько видов вмешательств, включающих эндоскопическое дренирование, чрескожное дренирование, лапароскопическую и открытую дренирующую операцию.
Среди оперативных вмешательств, выполняемых при таком осложнении хронического панкреатита, как псевдокисты поджелудочной железы, методом выбора является их внутреннее дренирование под контролем эндоУЗИ. Эндоскопическая методика имеет преимущества, поскольку характеризуется меньшим числом серьезных осложнений.
Техника эндоскопического дренирования за последние два десятилетия прошла путь от «слепой пункции» и аспирации содержимого до эндоскопической некрэктомии (удаления нежизнеспособных тканей) и установки специализированных металлических стентов под контролем эндоУЗИ.
Применение эндоУЗИ позволяет надежно контролировать псевдокисту при формировании соустья - это особенно актуально для неконтурирующихся скоплений, на долю которых приходится 42-48% всех псевдокист.
Также к преимуществам эндоУЗИ относят возможность дифференцировать кровеносные сосуды в области пункции, что уменьшает риск кровотечения.
Результаты внутреннего дренирования под контролем эндоУЗИ демонстрируют высокий уровень технического и клинического успеха, низкую частоту осложнений и рецидивов.
Операционная бригада
Операторы - Ю.Г. Старков, С.В. Джантуханова
Ассистенты - Р.Д. Замолодчиков, А.А. Зверева
Анестезиологи - А.Ю. Ершова
Операционная сестра - Н.В. Калашникова
Современные дренирующие вмешательства в хирургическом лечении кист поджелудочной железы

Цель работы: оценка возможностей современных мини-инвазивных вмешательств под лучевым наведением в хирургическом лечении кист поджелудочной железы.
Материалы и методы. Оперативные вмешательства выполнены 88 пациентам. Чрескожное пункционное дренирование под ультрасонографическим наведением выполнено 56 больным, эндоскопическое трансмуральное дренирование кист под контролем ультрасонографии — 32 пациентам.
Результаты. После выполнения чрескожных дренирований кист положительные результаты отмечены у 42 (75,0%) больных. Рецидивы кистозных образований отмечены у 14 (25,0%) пациентов. При эндоскопическом трансмуральном дренировании под контролем ультрасонографии через 6 мес. у всех оперированных пациентов дислокации стента и рецидива кист не выявлено. Отдаленные результаты прослежены только у 11 больных.
Выводы. Чрескожное наружное дренирование кист поджелудочной железы является эффективным вмешательством у 75% больных. Достаточно высокий процент (25%) рецидивов обусловлен тем, что длительное наружное дренирование и склерозирование не позволяют добиться полной облитерации полости кисты при ее связи с главным панкреатическим протоком и сохранении протоковой гипертензии поджелудочной железы. Эндоскопическая установка стента между полостью кисти и просветом желудка позволяет создать условия для постоянного оттока содержимого кисты в желудок и устранения панкреатической гипертензии. Эффективность внутреннего дренирования определяется длительностью функционирования стента, а также возможностью формирования внутреннего цистогастрального свища в зоне стояния стента (3 рис., библ.: 8 ист.).
Ключевые слова
Полный текст
ВВЕДЕНИЕ
Увеличение числа больных острым и хроническим панкреатитами, а также совершенствование и доступность методов неинвазивной инструментальной диагностики привели к тому, что в последние десятилетия частота выявления кист поджелудочной железы возросла в два раза 2.
Основные подходы к хирургическому лечению кист поджелудочной железы стали формироваться еще в XIX в. В 1882 г. Gassenbaur впервые выполнил наружное дренирование кисты путем ее марсупиализации. В 1900 г. немецкий хирург F. Bassel Hagen впервые выполнил наложение цистогастроанастомоза. На протяжении многих лет традиционными видами хирургического лечения кист поджелудочной железы оставались открытые оперативные вмешательства, направленные на наружное дренирование кист либо внутреннее путем формирования цистодигестивных анастомозов [5, 6].
Развитие современных хирургических методов интервенционной радиологии и эндоскопии в настоящее время позволяет осуществлять оперативные вмешательства, направленные на дренирования кист, миниинвазивно. Широкое применение в клинической практике нашли такие методы, как чрескожное пункционное наружное дренирование под ультразвуковым наведением и внутренне дренирование — эндоскопическая трансмуральная цистогастростомия [7, 8].
Оценка эффективности современных миниинвазивных вмешательств в хирургическом лечении кист поджелудочной железы.
МАТЕРИАЛЫ И МЕТОДЫ
В период с 2006 по 2020 г. в клинике общей хирургии миниинвазивные дренирования кист поджелудочной железы выполнены 88 пациентам.
Показаниями к дренированию являлись:
Возможность выполнения чрескожных и эндоскопических вмешательств определялась после выполнения комплекса диагностических исследований.
Основными задачами предоперационного обследования являлись:
— топическая локализация, отношение к соседним органам и передней брюшной стенке кистозного образования.
Скрининговым методом в обследовании всех больных являлось ультразвуковое исследование брюшной полости. С целью более точной визуализации кист, а также проведения дифференциальной диагностики с кистозными формами опухолей поджелудочной железы всем пациентам выполнялась спиральная компьютерная томография брюшной полости.
Взаимоотношение кистозных образований со стенкой желудка и двенадцатиперстной кишки также исследовали при выполнении эндоскопической ультрасонографии (ЭУС) у 39 больных. Данный диагностический метод позволил во всех случаях визуализировать и оценить толщину стенок кисты и желудка, локализацию и протяженность мест интимного прилегания кист к желудку, возможность эндоскопических трансмуральных вмешательств.
Для выявления признаков панкреатической и желчной гипертензии, связи полости кист с протоковой системой поджелудочной железы на дооперационном этапе всем больным проводилась магнитно-резонансная томография в режиме холангиопанкреатикографии.
РЕЗУЛЬТАТЫ
Чрескожное пункционное дренирование кист поджелудочной железы выполнено 56 пациентам.
При выполнении пункционного дренирования интраоперационных осложнений выявлено не было. Местная инфильтрационная анестезия обеспечила адекватное обезболивание при выполнении вмешательства у 52 больных. У 4 больных в случаях проведения дренажного катетера через печень и желудок выполнялась внутривенная анестезия.
Критериями удаления дренажа считали:
Сроки стояния дренажей варьировали от 12 до 74 сут.
Сроки наблюдения за пациентами составили от 6 мес. до 8 лет. После выполнения чрескожных дренирований кист положительные результаты отмечены у 42 (75,0%) больных. У 21 (37,5%) пациента при контрольных исследованиях отмечалось сохранение остаточной кистозной полости не более 3 см в диаметре без клинических проявлений, что не расценивалось как рецидив заболевания. Рецидивы кистозных образований отмечены у 14 (25,0%) пациентов. У 8 из них кисты локализовались в проекции хвоста поджелудочной железы и сообщались с протоковой системой.
Эндоскопическое трансмуральное дренирование кисты поджелудочной железы в клинике общей хирургии выполняется с 2012 г. Указанное вмешательство выполнено 32 пациентам. Необходимыми условиями безопасного трансмурального дренирования являются интимное прилегание стенки кисты к желудку или двенадцатиперстной кишке и наличие бессосудистой зоны в проекции установки дренажного катетера или стента, выявляемое при ЭУС.
В 14 случаях неосложненного течения дренирование кисты завершено установкой пластикового цистогастрального стента «double pig-tail» диаметром 9 Fr. В 11 случаях инфицирования кисты в связи с необходимостью проведения санационного промывания полости растворами антисептиков в послеоперационном периоде устанавливался наружный цистоназальный дренаж. После купирования воспалительного процесса в кисте, на 7-е сут после операции выполнялась замена цистоназального катетера на цистогастральный стент «double pig-tail» (рис. 1).

Рис. 1. Пластиковый стент «double pig-tail»
В 7 случаях пациентам с постнекротическими кистами, содержащими секвестры, выполнено эндоскопическое цистогастральное стентирование с использованием металлического покрытого саморасширяющегося стента диаметром 10 мм (рис. 2, 3), с временной установкой санационного цистоназального катетера через просвет стента.
Рис. 2. Фотография при эндоскопии. В просвете желудка визуализируется саморасширяющийся покрытый металлический стент и установленный через его просвет цистоназальный дренаж

Рис. 3. КТ-3D реконструкция. 1 — просвет желудка; 2 — цистоназальный дренаж; 3 — саморасширяющийся стент; 4 — полость кисты поджелудочной железы
Интра- и послеоперационных осложнений отмечено не было. При обследовании через 6 мес. у всех оперированных пациентов дислокации стента и рецидива кист не выявлено. Отдаленные результаты прослежены только у 11 больных. У 4 пациентов пластиковые стенты удалены через год, в 6 случаях — через 2 года после установки. В данных наблюдениях при инструментальных исследованиях кисты не визуализировались. У 1 пациента стент мигрировал в просвет желудка через 2,5 года, при компьютерной томографии определялась остаточная полость кисты диаметром 3 см.
ОБСУЖДЕНИЕ
Чрескожное наружное дренирование кист поджелудочной железы является эффективным вмешательством у 75% больных. Достаточно высокий процент (25%) рецидивов обусловлен тем, что длительное наружное дренирование и склерозирование не позволяют добиться полной облитерации полости кисты при ее связи с главным панкреатическим протоком и сохранении протоковой гипертензии поджелудочной железы. Эндоскопическая установка стента между полостью кисты и просветом желудка позволяет создать условия для постоянного оттока содержимого кисты в желудок и устранения панкреатической гипертензии. Эффективность внутреннего дренирования определяется длительностью функционирования стента, а также возможностью формирования внутреннего цистогастрального свища в зоне стояния стента.
В настоящее время отсутствуют общепринятые представления о максимально возможном времени функционирования пластиковых и металлических стентов, сроках формирования цистогастральных свищей. Отсутствует программа наблюдения за пациентами после эндоскопической цистогастростомии. Все это определяет необходимость дальнейших исследований в данной области.
УВЕДОМЛЕНИЕ
Авторы внесли равный вклад в данную работу и сообщают об отсутствии какого-либо конфликта интересов.
ACKNOWLEDGMENT
Authors contributed equally into this work and declare no conflict of interest.
Читайте также:
- Аллергия на препараты химиотерапии рака
- Коагулопатия потребления. Причины, диагностика, лечение
- Поздние изменения кожи при лучевой болезни. Влияние бета-облучения на кожу
- История глубоководного погружения. Физиология насыщенного подводного погружения
- Миелодисплазия и анемия, обусловленная нарушением транспорта железа
