Аллергия на препараты химиотерапии рака - реакции гиперчувствительности
Добавил пользователь Алексей Ф. Обновлено: 21.01.2026
На протяжении последних десятилетий химиотерапия является одним из эффективных методов лечения опухолей. Основной механизм действия химиопрепаратов - воздействие на клетки опухоли таким образом, что происходит замедление или прекращение их размножения.
К сожалению химиотерапия не обладает специфичностью: помимо клеток опухоли, повреждаются и клетки здоровых тканей и органов. В первую очередь это касается тех органов, ткани которых могут быстро расти, размножаться - волосяные фолликулы, клетки слизистой оболочки кишечника и ротовой полости, костный мозг. Наиболее часто, 80-90% осложнений после химиотерапии при раке наблюдается со стороны системы крови и пищеварительного тракта.
Осложнения делятся по степени выраженности. Всемирная организация здравоохранения выделяет 3 степени тяжести осложнений:
- I степень — минимальные изменения самочувствия пациента и лабораторных показателей, не требующие лечения. Например, выпадение волос или некоторое снижение лейкоцитов по результатам анализов.
- II степень — необходимость лечения осложнений, поскольку они влияют на общую активность пациента и вызывают изменения лабораторных показателей.
- III степень — значительное ухудшение самочувствия и состояния пациента и лабораторных показателей. Необходимость активного лечения, отсрочки очередного цикла химиотерапии или уменьшения дозы цитостатиков.
- Крайне важно сообщить врачу о первых проявлениях последствий после химиотерапии и не допустить их дальнейшего развития.

Осложнения со стороны пищеварительной системы
К наиболее частым осложнениям со стороны пищеварительной системы при проведении лекарственной терапии относятся:
- Тошнота и рвота
- Жидкий стул (диарея)
- Стоматит
Тошнота и рвота занимают лидирующие позиции среди жалоб пациентов. Причина возникновения тошноты и рвоты до сих пор до конца не ясна. Известно, что химиотерапия вызывает тошноту и рвоту посредством высвобождения эметогенных соединений, таких как допамин, серотонин и субстанция Р, воздействующих на рецепторы пищеварительной системы и центральной нервной системы, запуская рвотный рефлекс. Другими словами, развитие тошноты и рвоты связано с раздражением рецепторов в желудке и головном мозге.
Виды тошноты и рвоты
Вид тошноты и рвоты определяется временем его возникновения на протяжении цикла химиотерапии:
острая — в первые сутки после введения цитостатиков
отсроченная — в течение 2-5 суток после введения цитостатиков.

При последующих введениях препарата возможно появление «преждевременной рвоты» (тошнота и рвота «ожидания») — в течение нескольких часов до введения цитостатиков. Она, как правило, развивается у больных, получавших ранее высокоэметогенные режимы ПХТ и страдавших от ее осложнений. Ее могут провоцировать запахи, вкусовые ощущения, вид предметов и обстановки, напоминающих о лечении. Для профилактики такой тошноты и рвоты используются транквилизаторы, психотренинг, гипноз.

К сожалению, часто пациенты могут не сообщать о развитии у них осложнений. Данное поведение обусловлено широким распространением заблуждений относительно процесса химиотерапии, таких как:
- «Тошнота и рвота обязательно сопровождают химиотерапию»
- «Наличие тошноты и рвоты указывает на эффективность химиотерапии»
- «Мне отменят химиотерапию!»
- «Нет эффективных средств против тошноты и рвоты»
Некоторые пациенты преуменьшают силу и значение развивающихся осложнений и не хотят лишний раз беспокоить медицинский персонал. Такое поведение сильно затрудняет конструктивное взаимодействие между пациентом и доктором и создает дополнительные риски для здоровья.
Факторы риска развития тошноты и рвоты
Существуют различные причины, предрасполагающие к появлению тошноты и рвоты. В первую очередь, это особенности используемого препарата или их комбинации.
Большое значение имеют индивидуальные особенности пациента:
- Возраст моложе 50 лет
- Женский пол
- Склонность к укачиванию в транспорте
- Присутствие утренней тошноты во время беременности
- Наличие тошноты и рвоты в течение предыдущего цикла химиотерапии
- Редкое употребление алкоголя
Наиболее тяжело химиотерапию переносят женщины и больные моложе 30 лет.
Эффективность противорвотной терапии
Лечение таких осложнений после химиотерапии, как тошнота и рвота, может дать хороший эффект. Арсенал препаратов, которые обеспечивают профилактику и лечение тошноты и рвоты, очень большой. Комплексное их использование способно предотвратить появление этих симптомов в 90% случаев.

Полный контроль: отсутствие рвоты после введения противорвотных препаратов,
Частичный контроль: один эпизод рвоты или умеренная тошнота
Образ жизни и питание при проведении химиотерапии
Большое значение имеет образ жизни и питание при проведении химиотерапии. Рекомендуется двигательная активность, свежий воздух, дыхательная гимнастика. Двигательная активность помогает избежать осложнений.
Необходимо правильно питаться - голод усиливает тошноту. Прием пищи нужно начинать до появления голода, а есть необходимо медленно и небольшими порциями.
- Не употреблять продукты с сильным запахом
- Исключить жареную, жирную и сладкую пищу
- Пища должна быть комнатной температуры или охлажденной
- Необходимо пить достаточно жидкости, но не во время приема пищи
- Старайтесь не готовить пищу сами
- Рекомендуются легкие, быстроусвояемые продукты: отварной картофель, йогурты, куриное мясо, отварная говядина, нежирные бульоны, рисовая или овсяная каша, сухарики.

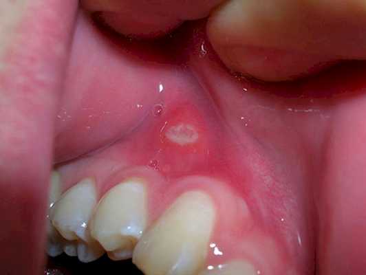
Стоматит
Стоматит — это воспаление ротовой полости, которое наблюдается примерно у трети пациентов. Воспаление чаще всего вызвано активацией бактериальной и грибковой инфекции на поврежденных цитостатиками участках слизистой оболочки. Стоматит является проявлением скрытых осложнений.
- «пощипывание», боль во рту
- изменение вкуса
- повышенное слюноотделение
- покраснение слизистой оболочки
- появление язвочек
- кровоточивость десен
- отечность языка и десен


При отсутствии своевременного лечения, может развиться выраженное воспаление, обезвоживание, прием пищи станет затруднен.
Предрасполагающие факторы развития стоматита
- Плохая гигиена полости рта (кариес, зубные протезы, гингивит, тонзиллит и др.)
- Курение, употребление алкоголя
- Острая, горячая, соленая пища
Профилактика стоматита включает в себя максимальное санирование полости рта до начала химиотерапии. Очень часто мы до начала лечения отправляем пациентов к стоматологу чтобы избежать последующих осложнений.
- Оценка состояния зубов и слизистых оболочек перед началом и на протяжении лечения
- Полноценная санация ротовой полости (лечение кариеса, использование зубных эликсиров)
- Тщательное соблюдение гигиены полости рта и диеты
Гигиенические мероприятия включают чистку зубов мягкой зубной щеткой, полоскание слабым раствором перекиси водорода, фурацилина, хлоргексидина.
Если стоматит все же развился, необходимо максимально щадить ротовую полость при питании - исключить те продукты, которые могут вызвать раздражение.
Питание при стоматите:
- Исключите кислые фрукты и цитрусовые
- Употребляйте до 1.5 - 2 литров жидкости в день
- Рекомендуются готовые питательные смеси для детей, творог, йогурты, мороженое, мягкие сыры, каши, тушеные и вареные на пару говядина и птица, суфле, пудинги
Сама по себе химиотерапия не накладывает ограничений на питание, но для ускорения восстановления поврежденных клеток, мы рекомендуем употреблять больше белка и вообще здоровую полноценную разнообразную пищу.
- Полоскание теплыми отварами ромашки, шалфея, коры дуба, зверобоя, раствором соды, куриного белка
- Полоскание ротовой полости «Тантум-Верде», орошение аэрозолями («Пропосол», «Гексорал»)
- Смазывание язвочек облепиховым маслом, солкосерилом, актовегином
- Пастилки для рассасывания (Септолете, Фарингосепт)
Местное лечение направлено на удаление из ротовой полости зубного налета и поддержание влажности слизистых оболочек. Обезболивание местными анестетиками (прокаин, лидокаин). При развитии эзофагита применяют антацидные препараты, обволакивающие средства, спазмолитики.
Диарея
Третья группа осложнений — диарея или жидкий стул. Также встречается довольно часто (25-30% пациентов).
- Учащение стула
- Изменение консистенции и объема стула
- Появление болезненных позывов
- Вздутие и боли в животе
- Обезвоживание
- Интоксикация (лихорадка, тошнота, рвота)
Диета при диарее должна быть максимально щадящей для кишечника. В первые дни можно применить водную диету чтобы кишечник максимально успокоился. Продукты, которые максимально легко усваиваются.

- Уменьшение жиров, углеводов и клетчатки
- Исключение жирных сортов мяса, рыбы, маринадов, копченостей, цельного молока, кондитерских изделий
- Исключение винограда, свежих овощей, орехов, кофе, газированных напитков
- Мягкая и жидкая пища
- Приготовление пищи на пару или варка
- Обильное питье (теплые минеральные воды без газа, некрепкий чай)
- Рекомендуются вареный рис, бананы, тосты без масла, картофель, каши


Авторская публикация:
СЕМЕНОВА АННА ИГОРЕВНА
химиотерапевт, онколог, кандидат медицинских наук
Что вам необходимо сделать
Если вы хотите узнать побольше о бесплатных возможностях ФБГУ НМИЦ онкологии им. Н.Н. Петрова Минздрава России, получить очную или заочную консультацию по диагностике и лечению, записаться на приём, ознакомьтесь с информацией на официальном сайте.
Если вы хотите общаться с нами через социальные сети, обратите внимание на аккаунты в ВКонтакте и Одноклассники.
Химиотерапия при раке яичников

По распространенности, рак яичников занимает второе место и следует сразу после рака матки. Так же он считается одной из наиболее частых причин летального исхода среди онкологических заболеваний. До сих пор не определена точная причина возникновения данного заболевания. Считается, что среди определяющих факторов находится наследственность, инфекционные заболевания или ядовитые вещества. При наличии данного недуга у нескольких близких родственников, риск возникновения возрастает в два раза. Также, в таком случае, он появляется на 10 лет раньше обычного.
Заболевание имеет четыре основные стадии:
На первой стадии происходит поражение яичника с одной стороны.
Вторая стадия связана со злокачественными образованиями с двух сторон.
При третьей стадии заболевания происходит распространение на сальник.
Четвертая стадия заключается в проникновении раковых клеток в соседние органы и распространение их по всему организму.
До 45 лет данное заболевание проявляется редко. Чаще всего оно возникает у женщин в возрасте после 60 лет.
Первые стадии болезни практически не имеют клинических проявлений. Обычно среди симптоматики можно отметить нарушение месячного цикла, наличие проблем с мочеиспусканием, болевые ощущения в нижней части живота, неприятные ощущения при половом контакте. В редких случаях могут происходить кровяные выделения в середине месячного цикла.
Основным признаком, который считается наиболее объективным, является наличие в малом тазу объемного бугристого образования с шероховатой поверхностью. Данный отросток является неподвижным. Также на наличие опухоли могут указывать прощупываемые придатки, проявляющиеся у женщины после климакса.
Наиболее эффективным способом лечения заболевания считается сочетание химиотерапии с оперативным лечением. Крайне редко прибегают к использованию лучевой терапии. Радиохирургия за последние годы стала набирать высокую популярность при лечении этого недуга. Метод почти не причиняет болевых ощущений, а так же минимально повреждает здоровую ткань. Суть заключается в применении гамма-ножей, которые направляют радиоактивные лучи в место злокачественного образования. В этом случая требуется точно определить местонахождение опухоли. Применять данный способ возможно только при небольших размерах образования.
На ранней стадии заболевания возможно удаление яичника, пораженного опухолью. Если происходит распространение данного заболевания на матку, необходимо будет удалить и ее точно вместе с яичниками и маточными трубами. Во время постановки диагноза невозможно на 100 процентов исключить ошибку, поэтому онкологи предпочитают перестраховываться.
Показания для проведения химиотерапии при заболевании
Все пациенты, которые были прооперированы из-за рака яичников, обязаны проходить лечение с помощью химиотерапии. Среди показаний можно выделить:
Проведение процедуры перед вмешательством, чтобы значительно улучшить ее эффективность и снизить объемы оперативного вмешательства.
В том случае, когда невозможно удаление опухоли, что значительно повышает процент выживаемости.
Во время третьей или четвертой стадии заболевания или проведении операции по частичному удалению, для того, чтобы значительно уменьшить рост опухоли.
При радикальном удалении, чтобы снизить риск возникновения метастазов и новообразования на фоне рецидивов.
Подтвержденный цитологическими и гистологическими обследованиями рак яичников.
Проведение химиотерапевтических процедур назначают:
Перед тем, как провести оперативное вмешательство, чтобы повысить эффективность проводимой операции.
После проведения паллиативного лечения, что позволяет значительно облегчить самочувствие больного.
После того, как была частично удалена опухоль 3 или 4 степени, чтобы снизить процесс образования новых злокачественных тканей.
После проведенной операции, когда опухоль была полностью удалена, чтобы снизить риск рецидива и образования метастазов.
Химиотерапия после того, как было проведено оперативное вмешательство, обычно включает в себя сразу три курса лечения:
В период после операции.
Спустя 1,5-2 месяца.
Спустя 3-6 месяцев после курса под номером два.
Курс химиотерапии
После того, как было проведено хирургическое лечения опухоли яичников, почти во всех случаях следует пройти химиотерапевтическое лечение. Обычно оно включает в себя 3-4 курса, но может быть увеличено при необходимости. Сразу после операции женщина должна пройти первый курс лечения. Последующий назначается спустя 2 месяца, а через полгода после операции назначают третий. При необходимости возможно назначение курсов каждые полгода.
Первый курс лечения должен включать в себя максимальное количество лекарственных средств. Последующие курсы предусматривают снижение этого количества, но оно должно составлять не менее 75% от предыдущей дозы. Чтобы увеличить показатели выживаемости, курсы продолжаются в течение 1-3 лет.
Существуют свои особенности при лечении с использованием химиопрепаратов. До проведения операции новообразования у придатков увидеть практически невозможно. Курс химиотерапии может быть назначен при отсутствии операции, чтобы понять, что происходит разрушение опухоли. Даже в том случае, если было проведено оперативное вмешательство, химиотерапия снижает риск повторного развития опухоли.
Для уничтожения опухоли, лечение может быть проведено на всех этапах. Так же оно способствует снижению скорости роста, предупреждения метастазных образований и т.п.
Любая химиотерапия связана с наличием довольно большого числа побочных эффектов. Однако среди ее преимуществ можно отметить воздействие на все ткани организма, что позволяет снизить риск развития метастазов.
Во время химиотерапии активные вещества проникают в очаги поражения с лимфой или кровью. Этим обусловлена более высокая эффективность лечения в отличие от лучевой терапии.
Воздействие происходит даже на те клетки, которые имеют активный рост и размножаются, при этом они могут не проявлять себя.
Отказываться от химиотерапии не стоит, поскольку на сегодняшний день это один их важнейших этапов лечения онкологии.
Схемы лечения химическими препаратами
Наиболее высокая эффективность отмечается при использовании нескольких видов терапии и комбинированном лечении. Оно включает в себя введение сразу нескольких препаратов.
Самой популярной схемой считается САР, которая включает в себя применение Адриабластина, Циклофосфана и Цисплатина в различных дозировках.
Если опухоль носит герминогенный характер, высокую эффективность показывает схема VФС. Она включает в себя применение Актиномицина D, Циклофосфана и Винкристина.
Схема PVB тоже используется для лечения герминогенных опухолей. В данном случае терапевт применяет Блеомицин, Винбластин и Цисплатин.
При проявлении рецидива заболевания, а так же в случае, когда опухоль оказывается не чувствительной к проводимой ранее терапии, специалист выбирает другую схему с использованием других препаратов для лечения заболевания. Вот наиболее распространенные их них:
VIP: Этопозид, Ифофосфамид, Цисплатин.
VeIp: Цисплатин, Ифосфамид, Винбластин.
TIP: Цисплатин, Ифосфамид, Палитаксел.
Монотерапия, подразумевающая лечение одним препаратом, используется намного реже. На практике было доказано, что использование сразу нескольких медикаментов улучшает эффект.
Считается, что шестикурсовое лечение способно обеспечить полное разрушение злокачественного образования. Однако четкого мнения по этому поводу нет, и специалисты не могут ответить на данный вопрос. Многие врачи говорят, что трех или четырех курсов уже достаточно. Максимально благоприятное воздействие оказывает лечение, включающее оперативное вмешательство и химиотерапию. Именно в этом случае шансы выживаемости пациентов увеличиваются.
В каждом случае требуется индивидуальный подход. На практике встречались ситуации, когда пациенткам было необходимо проходить по 9-10 курсов, чтобы избавиться от недуга.
Применяемые препараты
Для раковых клеток наиболее губительными считаются цитотоксические препараты и именно их используют при лечении рака яичников. Возможно использование внутрибрюшного введения с помощью специальной трубки или внутривенно. В редких случаях препарат применяется перорально или в виде таблеток.
Карбоплатин - это препарат, относящийся к группе производных от платины. Он считается наиболее распространенным для лечения заболевания. Допускается введение только внутривенно.
Так же к производным от платины относят цисплатин. Его действие снижает размеры опухоли или вызывает ее регресс. Может быть назначен в качестве самостоятельного средства или совместно с другими препаратами.
Паклитаксел - лекарственное средство растительного происхождения. Его добывают искусственным или наполовину искусственным способом из тисового дерева.
Доцетаксел - это полусинтетический препарат, который имеет растительное происхождения. Для его выпуска необходимы иголки европейского тиса.
При необходимости приживания тканевого трансплантата используется циклофосфамид. Так же он позволяет снизить реакцию иммунной системы на различные изменения внутри организма. Действие препарата направлено на укрепление иммунитета организма человека.
В качестве самостоятельного средства при метастазирующих формах рака используется оксалиплатин. Совместно с другими препаратами или как отдельное средство. Зачастую его используют совместно с цисплатином.
Противопоказания к химиотерапии
Уже была доказана эффективность применения химиотерапии при заболеваниях рака яичников. Однако есть ряд противопоказания, которые необходимо учитывать. Курс лечения не будет назначен:
При сильных расстройствах нервной системы.
При психических нарушениях, которые не позволяют пациенту выразить свое согласие на лечения.
При нарушении работы печени и почек.
По шкале активности ВОЗ показатель общего состояния здоровья не должен превышать отметку в два пункта.
При сопутствующих заболеваниях тяжелой формы, которые могут усугубиться после прохождения курса.
У каждого конкретного препарата существуют собственные противопоказания. Если состояние пациентки считается неудовлетворительным, то не производят назначение Доксорубицина или Топотекана.
Все вышесказанное позволяет сделать вывод, что онкологу необходимо индивидуально подходить к случаю каждой пациентки и рассматривать его исходя из особенностей организма.
Среди противопоказаний можно выделить тяжелые стадии заболеваний, которые сопутствуют раковой опухоли. Это могут быть:
Повышенная чувствительность или аллергические реакции на препараты, используемые для лечения.
Нарушение поведения и интеллекта пациентки, что не позволяет дать согласие на проведение лечения.
При неврологических нарушениях.
При повышенном отклонении от нормы работы печени и почек.
Побочные эффекты при химиотерапии во время рака яичников
Облысение считается наиболее частым побочным эффектом, которое возникает при лечении таким образом. Спустя некоторое время наблюдается восстановление роста волос. Так же могут проявляться нарушение стула, рвота и тошнота, частые головокружения, поскольку у многих препаратов повышенная токсичность. У пациентов отмечается отсутствие аппетита, что приводит к снижению веса. После завершения курса лечения, данные явления быстро проходят.
Картина крови при терапии так же может измениться. Происходит снижение гемоглобина и числа тромбоцитов и лейкоцитов. Чтобы контролировать данный процесс, пациентам назначают прохождение клинического анализа крови каждую неделю.
В отличие от Цисплатина у Карбоплатина побочные эффекты менее выражены, поэтому специалисты рекомендуют назначать именно его в качестве внутривенного препарата. Стоит учитывать, что воздействие данных средств почти не отличается. Допускается использование сочетания прочих медикаментов.
Химиопрепараты направлены на уничтожение раковых клеток. Однако их воздействие оказывается и на здоровые ткани. Специалист, назначая терапию, должен учитывать все эти факторы. При этом производится подбор лекарственного препарата таким образом, чтобы побочный эффект был минимальным.
Степень и число побочных воздействий будет зависеть от используемого препарата. Так же многое зависит от времени приема и дозировок. Зачастую среди побочных эффектов выделяют:
Язвенные образования в полости рта.
Тошнота и рвота.
Высыпания на коже.
Также воздействие химиопрепаратов сказывается на органах кровеобразования. Это сказывается на числе кровяных клеток. В свою очередь нарушения в составе крови могут стать причиной:
Увеличения проницаемости сосудов.
Снижение иммунитета, что может привести к возникновению инфекционных или простудных заболеваний.
Повышенная утомляемость и чувство слабости.
После того, как курс лечения завершен, многие побочные эффекты проходят. Рост волос возобновляется и к пациенту возвращается аппетит. В редких случаях, возможны длительные побочные эффекты, а иногда они сопровождаются на протяжении всей жизни. Например, использование Цисплатина вызывает нарушение нормальной работы почек. Применение данного средства с таксанами может стать причиной образования невропатии. Химиотерапия также может стать причиной раннего климакса или бесплодия. Явления могут быть как временными, так и остаться на всю жизнь.
Развитие миелоидного лейкоза проявляется крайне редко, и возникает из-за нарушения лейкоцитов в крови. Чтобы не допустить подобных осложнений, специалист должен крайне внимательно контролировать весь процесс лечения.
Возможные осложнения
Угнетение кроветворной системы является одним из наиболее частых при химиотерапии опухоли. Есть риск развития лейкопении или анемии. Нередко можно столкнуться с заболеваниями почек или возникновение почечной недостаточности. Пациент, чтобы избежать данных проблем, должен регулярно сдавать кровь и проходить УЗИ почек.
Возможны отклонения со стороны сердца и сосудов. Чтобы их избежать, перед началом терапии следует пройти ЭКГ и выполнять его периодически во время лечения.
Чтобы снизить риск кахексии и истощения, необходимо отслеживать вес и аппетит больного. Препараты обладают повышенной токсичностью, что повышает риск возникновения токсического гепатита, поскольку печень не всегда справляется с такого рода воздействием.
После курса лечения могут возникнуть повторные проявления опухоли. После заключительного курса химиотерапии они проявляются в следующие 1,5-2 года. Злокачественные клетки могут появиться в пространстве между прямой кишкой и телом матки.
Существует целый ряд причин, повышающие риск возникновения осложнений. Зависят они от следующих факторов:
Количество препаратов, используемых во время лечения.
Продолжительность химиотерапии, а так же дозировка средств.
Была ли выполнена операция, а при ее наличии, какое количество злокачественного образования было удалено.
Существует ряд правил, которым необходимо придерживаться для снижения риска развития осложнений:
2 раза в год прохождение осмотра у гинеколога.
Взятие крови на наличие онкомаркеров и УЗИ.
Недопустимость воздействия на организм излучений и химических препаратов.
Правильное и полноценное питание.
При наличии любого заболевания, своевременное обращение к специалисту.
Курение, наркотики и алкоголь должны быть полностью исключены.
Не стоит воспринимать данный диагноз излишне пессимистично, но и медлить с лечением нельзя. Следует сразу настроить себя на то, что терапия будет продолжительной и серьезной. Своевременная помощь позволяет излечиться от болезни. Постоянно происходит совершенствование методов лечения данного заболевания, поэтому вероятность положительного исхода с каждым годом увеличивается.
Аллергические реакции после проведения химиотерапии

Зачастую после проведения химиотерапевтических курсов у пациентов возникают аллергические проявления. Они проявляются несколько чаще в сравнении с интоксикацией организма химиопрепаратами. При этом зачастую аллергия не появляется в зависимости от воздействия тех или иных медикаментов, а как отдельная реакция организма. То есть при наличии реакции на определенные препараты речь идет о непереносимости их пациентом.
Симптоматика возникновения аллергии варьируется от легких и незначительных проявлений до тяжелых явлений вплоть до гибели человека. Поэтому при проведении химиотерапевтического курса важно тщательно следить за состоянием здоровья пациента и его самочувствием.
Легкие симптомы зачастую выражаются в явлениях:
высыпания на кожных покровах;
повышение уровня эозинофилов в крови пациента;
незначительное кратковременное повышение температуры тела человека до 37,5 градусов;
отечность на участке введения химиопрепаратов.
К тяжелой симптоматике относятся такие явления:
эксфолиативный, буллезный дерматит;
Подобные аллергические реакции могут приводить к ухудшению состояния здоровья, самочувствия пациента. Тяжелые типы могут провоцировать гибель оного. Зачастую медики не связывают симптомы аллергии с химиотерапевтическим лечением из-за медленного проявления. Поэтому пациенты могут попадать к другим специалистам для постановки диагноза. Однако необходимо внимательно следить за реакцией организма на терапию, фиксировать ее, консультироваться с доктором при появлении аллергической симптоматики.
Возникновение аллергических реакций зачастую характерно при повторном введении химиопрепаратов. Такое явление называется сенсибилизацией. При этом такие реакции могут происходить не сразу. Бывает и так, что аллергическая симптоматика появляется при прохождении первого курса химиотерапии. Но все же чаще они возникают при повторных процедурах лечения цитостатическими и другими типами медикаментов.
Ощущение зуда после химиотерапевтического курса
Химиопрепараты оказывают токсическое воздействие на кожные покровы, ухудшая их качество. Такое влияние может выражаться в возникновении зуда на коже, повышении чувствительности тканей. Пациент ощущает сухость, появляются шелушения, зуд, а также стремление расчесать участок. Наиболее сильно такие явления характерны для ладоней рук, подошв стоп. Такие аллергические эффекты проходят в течение нескольких месяцев после завершения химиотерапии.
Также зуд может возникать после завершения курсов лечения посредством химиопрепаратов. Зачастую проявляются высыпания, покраснения, отечность участков. Такие эффекты также устраняются через несколько месяцев после окончания курса лечения. В качестве вспомогательных средств можно применять продукты для улучшения качества кожи, увлажнения, питания.
Для предотвращения ухудшения качества кожи необходимо:
Ежедневно принимать гигиенический душ с применением мягкой губки, которая не повреждает кожные покровы. При вытирании полотенцем кожу нельзя тереть, необходимо выполнять мероприятия посредством промакивающих, легких движений.
Отказаться от горячих ванн, в особенности нахождения в горячей воде длительное время.
После воздействия воды рекомендуется наносить на кожу увлажняющий крем без спирта, ароматизаторов.
При работе с моющими средствами необходимо применять перчатки, чтобы предотвратить агрессивное воздействие на кожу.
Также зуд после проведения химиотерапевтических мероприятий может возникать в районе ануса. Он может сопровождаться образованием геморроидальных шишек, развитием геморроя после терапии. Такое явление может возникнуть также при наличии геморроя до проведения химиотерапии. Поэтому необходимо сразу подготовить медикаменты, которые позволят устранить данный недуг.
Зуд также может говорить о попадании периректальной инфекции в область заднего прохода. Данные явления возникают у 5-8 % пациентов после прохождения химиотерапевтических курсов. Недуг может сопровождаться возникновением геморроидальных шишек, расстройства кишечника, болевых ощущений в районе ануса, повышением температуры.
Возникновение сыпи после химиотерапевтических курсов
После проведения химиотерапевтического лечения у пациентов может проявляться кожная сыпь. Она возникает на определенных участках тела или по всему покрову. Данное явление относится к побочным эффектам при терапии посредством химиопрепаратов. Сыпь может появляться по причине аллергических реакций, а также при непереносимости медикамента пациентом. В 10 % случаев данное появление говорит об иммунологическом характере или аллергии, в 90 % сыпь вызвана неиммунологическими аспектами, то есть представляет собой непереносимость препарата.
Кожные покровы зачастую реагируют на воздействие медикаментов такими проявлениями:
Осложнения противоопухолевого лекарственного лечения: кожная токсичность
Кожная токсичность - результат токсического воздействия лекарственных средств на быстро делящиеся клетки, к которым, помимо опухолевых клеток, относятся также клетки кожи и ее придатков. Это частое явление на фоне лекарственной терапии, особенно на фоне таргетной терапии EGFR-препаратами. В 70 % случаев она проявляется на фоне химиотерапии, в 35 % - иммунотерапии, в 90 % - таргетной терапии.
Важно! Кожная токсичность - это не аллергическая реакция, а побочный эффект от проводимой терапии!
Кожная токсичность тяжело воспринимается пациентами, вызывая дискомфорт, психологическую тревожность, что значимо ухудшает качество жизни.
Кожная токсичность на фоне химиотерапевтического лечения (цитостатиков)
Преимущественно развивается при приеме таблетированных лекарственных средств.
Какие препараты могут вызывать кожную токсичность

Какие препараты могут вызывать кожную токсичность
Эти побочные эффекты возникают примерно через 2-3 недели от начала химиотерапии.
Что такое ладонно-подошвенный синдром?
Это сухость, шелушение и трещины верхнего слоя кожи на ладонях и стопах.
Данное осложнение чаще возникает у пациентов с факторами риска, к ним относятся:
- возраст старше 65 лет;
- ожирение;
- частое переохлаждение рук и ног.
Классификация осложнений, вызванных кожной токсичностью
Осложнения бывают трёх степеней, в зависимости от изменений кожи:
- I степень - безболезненные изменения кожи. Это покраснения, небольшие трещины.
- II степень - болезненные изменения кожи, но не ограничивающие жизнедеятельность пациента. Это небольшие волдыри и изъязвления.
- III степень - тяжёлые осложнения, достаточно большие волдыри и изъязвления, отёки.


Осложнение мешает нормальной жизнедеятельности пациента. Часто невозможно нормально носить обувь, выполнять повседневные действия руками.
Профилактика ладонно-подошвенного синдрома
- Ежедневный самостоятельный осмотр кожи ладоней и стоп.
- Нанесение смягчающего, увлажняющего крема на кисти и стопы примерно 4-5 раз в сутки, можно и чаще - в зависимости от типа кожи.
- Необходимо избегать веществ, которые раздражают кожу. Это духи, спиртосодержащие средства - их нанесение ухудшает течение осложнения.
- Мыть посуду, убирать квартиру следует в плотных хозяйственных резиновых перчатках, чтобы избежать контакта с агрессивной бытовой химией.
- Удалить мозоли, другие загрубевшие участки кожи аппаратным методом до начала противоопухолевого лекарственного лечения.
- Использовать для ухода за кожей рук и ног только мягкие пилинги, ванночки с морской солью и не использовать агрессивные абразивные мочалки, пемзы и др. Это приводит к ухудшению течения осложнения. То, что кожа начала отшелушиваться, не значит, что нужно усиленно её тереть. С кожей нужно обращаться бережно.
- Ежедневно утром и вечером необходимо мыть ноги тёплой водой. Во время водных процедур использовать мягкое мыло, промокать (не растирать) кожу полотенцем.
- Носить хлопчатобумажное бельё (толстые носки, перчатки) и комфортную обувь, которая не сжимает стопы и не натирает мозоли.
- Новую обувь желательно не носить. Использовать ту, которая уже разношена и комфортна для ног.
- Не использовать пластыри.
- Избегать длительно повторяющихся движений, вызывающих трение кожи.
- Несколько раз в день давать отдых ногам - лежать ногами вверх, таким образом, чтобы они были выше головы.
Что делать, если кожные осложнения все-таки возникли?
В первую очередь рассказать о симптомах кожной токсичности своему лечащему врачу, который проводит лекарственную терапию. Если у пациента появились симптомы 3 степени (особенно во время приема капецитабина): волдыри, изъязвления, отёки на руках и/или на ногах, необходимо приостановить приём препарата и обратиться к врачу, он назначит терапию для купирования осложнения.
Особенности кожной токсичности, возникшей на фоне приема таргетных препаратов
Таргеты - самая частая причина кожной токсичности у онкопациентов. Нередко возникает осложнение 2-3 степени, что приносит достаточно длительный дискомфорт пациенту.
Какие таргетные препараты вызывают кожную токсичность

Какие таргетные препараты вызывают кожную токсичность
Акнеподобная сыпь
Это очень частое осложнение на фоне терапии EGFR-ингибиторами. Обычно сыпь возникает на коже лица, центральных участках груди и спины, волосистой части головы (что наиболее неприятно), в подмышечных областях и в промежности.
В зависимости от степени поражения сыпь может быть как мало распространенной, так и обильной - осложнение третьей степени.


Профилактика возникновения акнеподобной сыпи
- Не умываться горячей или слишком холодной водой.
- Использовать душ вместо ванны.
- Свести к минимуму водные процедуры (и по частоте, и по длительности). Кожу не распаривать долго.
- Использовать мягкое мыло, шампуни для ежедневного применения с увлажняющим, противомикробным действием.
- Не использовать агрессивные моющие и спиртосодержащие средства.
- Не использовать хозяйственное мыло или мыло, которое применяется только для мытья рук, потому что в них содержится много агрессивных поверхностно-активных веществ, раздражающих кожу.
Очень важный аспект - это защита кожи от солнца.

Защита кожи от солнца
Как защищать кожу от солнца с целью профилактики возникновения акнеподобной сыпи
- Ограничить время пребывания на солнце.
- Обязательно использовать головной убор.
- После нанесения увлажняющих средств обязательно использовать солнцезащитные средства с SPF>30.
Как правильно наносить солнцезащитный крем
Солнцезащитный крем необходимо наносить на открытые участки тела утром, сразу после сна, и за 30 минут до выхода на улицу. Делать это необходимо регулярно, даже если есть облака. Ведь УФ-излучение проникает и через них, попадает на кожу и вызывает дополнительное раздражение.
Во время пребывания вне помещения нанесение крема необходимо возобновлять каждые 2-3 часа.
Можно использовать солнцезащитные средства в любой форме - спреи, аэрозоли, молочко или стики.
Увлажнение и смягчение кожи
Обязательно использовать увлажняющие средства для лица, шеи, груди, спины, кистей рук, везде, где может потенциально появиться угреподобная сыпь.

Увлажнение и смягчение кожи
Алгоритм профилактического ухода за кожей следующий:
- 1 этап - очищение кожи;
- 2 этап - увлажнение кожи;
- 3 этап - SPF-защита.
Нельзя пренебрегать ни одним из этапов ухода, вне зависимости от типа кожи. В том числе нельзя забывать об этапе увлажнения пациентам с жирной кожей. То, что жирная кожа не нуждается в дополнительном увлажнении - это миф.
Часто очищающие средства достаточно агрессивны и после этого коже требуется дополнительное увлажнение.
Что делать, если акнеподобная сыпь возникла
Сыпь может появиться через 2-3 недели после начала таргетной терапии. Если это произошло, то необходимо обязательно обратиться к лечащему врачу.
Врач осмотрит кожные покровы, определит степень распространения сыпи. В зависимости от этого будет назначено лечение. Оно может включать различные средства: от местных глюкокортикостероидов до антибактериальной терапии (в форме мазей или кремов, а также таблеток для приема внутрь). То есть лечение бывает абсолютно разным, и подобрать его должен лечащий врач.
Как ухаживать за кожей в период высыпаний
- Не использовать жирные мази при возникновении акнеподобной сыпи.
- В период появления острых высыпаний в области лица минимизировать или исключить использование макияжа.
- Не выдавливать и не тереть воспаления.
- Не использовать пилинги и высокоагрессивные очищающие средства.
- Увлажнять кожу.
Кожная токсичность на фоне приема иммуноонкологических препаратов
Какие иммуноонкологические препараты вызывают кожную токсичность

Препараты, которые вызывают кожную токсичность
Одним из частых осложнений при проведении иммунотерапией является сыпь.
Сыпь может быть различной степени распространения и вида. Например, сыпь бывает похожей на пятна (пятнистая сыпь), может быть акнеподобной. Часто сопровождается зудом или жжением.
Что делать, если возникла сыпь
Необходимо обратиться к лечащему врачу, сообщить о степени распространения и сопутствующих симптомах, таких как зуд и жжение.
Лечение назначается в зависимости от клинической картины. Чаще всего это глюкокортикостероиды в виде мази.
При 3 степени осложнения применяются системные глюкокортикостероиды, доза которых рассчитывается в зависимости от массы тела. Самостоятельно использовать какие-либо средства, особенно глюкокортикостероидосодержащие, не следует.
Синдромы Стивенса-Джонсона и Лайелла
Это тяжелые осложнения, которые встречаются редко. Они отличаются быстрым распространением сыпи, иногда с отслойкой кожи.
В этом случае необходимо срочно обратиться к лечащему врачу-онкологу или вызвать скорую медицинскую помощь, так как эти осложнения - жизнеугрожающие.
Они требуют срочной госпитализации и системной лекарственной терапии. Не следует затягивать, ждать записи к врачу.
Достаточно редкими, но всё же возникающими на фоне системного противоопухолевого лечения осложнениями, являются паронихия и онихолизис.


Синдром Лайелла, Синдром Стивена-Джонсона
Паронихия
Это воспаление околоногтевого валика. Проявляется обычно как припухлость или покраснение.
При этом осложнении нужно обратиться к лечащему врачу, потому что лечение данной патологии может быть различным: от местных манипуляций до хирургического вмешательства.


Онихолизис
Достаточно часто возникает у пациентов, которые получают длительную терапию таксанами. Сопровождается воспалением ногтевого ложа, которое в итоге приводит к отслойке ногтя.

Что делать с пораженным ногтем? В настоящий момент единственная рекомендация - это аккуратно его обработать. Ноготь постепенно сам отрастает, то есть дополнительное какое-то лечение околоногтевого валика и ложа ногтя желательно не проводить. Если ноготь сам не отрастает, то его аккуратно срезают и после завершения противоопопухолевого лечения он вырастает уже абсолютно нормальным и никаких дополнительных манипуляций с ним проводить не нужно.
Профилактика паронихии и онихолиза
- Бережный маникюр и педикюр без срезания кутикулы.
- Не распаривать кисти и стопы.
- Воздержаться от наращивания ногтей, покрытия ногтей гель-лаком, так как эти процедуры маскируют осложнение.
- Просторная обувь, исключающая трение, образование мозолей.
До начала лекарственной терапии желательно посетить маникюрный/педикюрный салон с обработкой стопы и ногтей на руках и ногах, следить за состоянием рук и ног. Тогда лечение будет достаточно комфортным для вас и пройдёт без неприятных осложнений.
Что делать, если возникли паронихия и онихолиз
В первую очередь необходимо обратиться к своему лечащему врачу.
Если наблюдается сильный паронихий, то ногти и руки не надо мыть, только обрабатывать любым антисептическим раствором (например, 0,05 % раствором хлоргексидина биглюконата).
При тяжелой степени осложнения паронихий удаляется хирургическим путем.
Сухость и трещины кожи
Одним из самых частых осложнений на фоне как химиотерапии, так и таргетной терапии являются сухость и трещины кожи.


Сухость и трещины кожи
Сухость (или ксероз) кожи - это гетерогенное состояние кожи, проявляющееся её истончением, шелушением, мелким трещинами, ощущениями стягивания и покалывания.
Профилактика ксероза
- Комплексный уход за кожей: бережное очищение с использованием синдетов или специализированных масел, увлажнение.
- Ограничение контакта с водой, моющими средствами и агрессивными жидкостями.
- После каждого мытья кожи необходимо обязательно использовать увлажняющий крем.
Кожная токсичность может возникнуть во время системной противоопухолевой терапии с использованием различных лекарственных препаратов.
К общим принципам профилактики кожной токсичности относится:
- Ношение удобной одежды и обуви. Необходимо воздержаться от использования синтетической одежды, которая раздражает кожу, некомфортной обуви, которая давит, натирает ноги.
- Защита кожи рук от агрессивных веществ.
- Использование дополнительных средств для увлажнения кожи.
- Выполнение до начала лекарственного лечения аккуратного маникюра без покрытия гель-лаком и наращивания ногтей.
- Работа с агрессивными моющими средствами и иными веществами только в хозяйственных резиновых перчатках.
Список литературы:
Автор:

Валентина Андреевна Загоруйко,
врач-онколог, химиотерапевт НМИЦ онкологии им. Н.Н. Петрова
Противоопухолевое лечение и кожная токсичность
Кожная токсичность - это кожные реакции, которые появляются более чем у 80% пациентов на фоне системной лекарственной противоопухолевой терапии. Эти реакции являются результатом токсического, угнетающего воздействия химиотерапии на растущие, быстроделящиеся клетки организма, в том числе клетки кожи, волос и ногтей. Так ранние реакции развиваются через 1-2 недели, отсроченные реакции через 3-5 недель и поздние реакции через 6 и более недель.

При химиотерапии кожа у пациента становится очень сухой, истончается, шелушится, трескается; может появляться кожный зуд. На лице, голове, туловище появляются акнеподобные (угревые) высыпания. На ладонях и подошвах кожа краснеет, грубеет, трескается, шелушится. На туловище и конечностях могут появляться высыпания в виде пятен и узелков. При попадании на кожу солнечных лучей могут возникать фотоаллергические реакции. Развивается выпадение волос, изменения ногтей и ногтевых валиков.
Типы кожной токсичности
К настоящему моменту описано более 30 различных вариантов кожной токсичности. Наиболее часто встречаются:
- акнеподобные (угревые) высыпания;
- ксероз (сухость, истончение, шелушение) кожи;
- кожный зуд;
- ладонно-подошвенная кожная реакция;
- ладонно-подошвенный синдром;
- пятнисто-папулезные высыпания (в виде пятен и узелков);
- фотореакции (патологические кожные реакции на солнце);
- изменения роста волос и ногтей;
- новообразования кожи и другие.
Химиотерапия, таргетная терапия и кожная токсичность

Для различных видов противоопухолевой терапии характерны свои особенности кожных реакций.
Так при химиотерапии (цитостатики) нарушаются процессы роста и механизмы деления всех клеток организма, а не только опухолевых. При этом происходит прямое цитотоксическое действие на клетки кожи и ее придатков, вследствие чего развиваются ладонно-подошвенный синдром, нарушение пигментации кожи, выпадение волос, изменение ногтей.
При таргетной терапии клетки кожи становятся «второй мишенью», помимо опухолевых клеток, так как несут на себе те же рецепторы, блокируемые препаратом. Например, препараты ингибиторы EGFR (эпидермального фактора роста) подавляют рост клеток кожи, волос и ногтей, вызывают выброс повреждающих тканевых ферментов и асептическое воспаление. В результате развиваются акнеподобные (угревые) высыпания, ксероз (сухость, истончение, шелушение) кожи, изменения волос и ногтей, поражение слизистых оболочек, ладонно-подошвенные кожные реакции, фотореакции (патологические кожные реакции на солнце).
Степень кожной токсичности
При оценке степени тяжести кожной токсичности учитывается площадь поражения, объективное ухудшение кожного процесса, выраженность субъективных ощущений пациента, нарушение его повседневной жизнедеятельности.
Так, например, по выраженности угревой (акнеподобной) сыпи выделяют 4 степени процесса:
I степень — площадь высыпаний менее 10%, возможен кожный зуд (болезненность);
II степень — площадь высыпаний 10-30%, кожный зуд (болезненность), негативное психологическое воздействие, ограничение активности;
III степень — площадь высыпаний более 30% кожный зуд (болезненность), негативное психологическое воздействие, ограничение самообслуживания, возможна локальная суперинфекция;
IV степень — площадь высыпаний любая связанная с распространенной суперинфекцией, требующей назначения внутривенной антибиотикотерапии, жизнеугрожающее состояние.
Таким образом, более тяжелые степени кожной токсичности требуют более активной терапии, снижения дозы химиопрепаратов, а при тяжелой III-IV степени приходится прерывать противоопухолевую терапию.
Первая помощь при кожной токсичности

Уже накануне противоопухолевой терапии врач-онколог назначает профилактическую терапию кожной токсичности, которая включает в себя:
- нанесение аптечных увлажняющих кремов-эмолентов утром;
- нанесение глюкокортикоидных кремов вечером (с активностью не выше 1% гидрокортизоновой мази);
- нанесение аптечных солнцезащитных кремов на открытые участки тела перед выходом на улицу в период с весны по осень (с фильтрами SPF>20, PPD>1/3 SPF)
- при таргетной терапии дополнительно назначаются антибиотики тетрациклинового ряда в противовоспалительной дозировке.
Если на фоне профилактической терапии проявления кожной токсичности все-таки прогрессируют, необходимо сообщить об этом лечащему врачу и получить консультацию врача-дерматолога (дерматовенеролога), который назначит дополнительное лечение кожной токсичности.
Кроме того, пациенты с наличием хронических кожных заболеваний должны получить консультацию врача-дерматолога еще перед началом курса химиотерапии.
Чем опасно отсутствие лечения кожной токсичности?
При отсутствии лечения кожной токсичности возможно развитие распространенной суперинфекции, тяжелого жизнеугрожающего состояния и прерывание курса системной лекарственной противоопухолевой терапии.
Как правильно ухаживать за кожей во время химиотерапии?

Полностью избежать кожной токсичности невозможно, но при помощи следующих профилактических мероприятий можно уменьшить ее интенсивность:
- использование мягких синдетных моющих средств, мягких полотенец;
- увлажнение кожи, кремы-эмоленты 2 раза в день;
- аптечные солнцезащитные кремы с максимальными фильтрами;
- исключение макияжа, травм, агрессивных процедур (обрезной маникюр, электробритвы и др.)
- рекомендован аппаратный медицинский педикюр в подологическом кабинете;
- ограничить физические нагрузки на стопы и пальцы кистей;
- ношение головных уборов, просторной мягкой хлопчатобумажной одежды;
- ношение просторной и удобной обуви с ортопедическими стельками;
- пользоваться хлопчатобумажными защитными перчатками;
- избегать воздействия бытовой химии, раздражителей и спиртовых растворов;
- ограничить водные процедуры (горячий душ, ванны, баня);
- в рационе питания должны быть продукты богатые кальцием, железом, цинком, витаминами А, Е и омега 3-6-9 жирными кислотами;
- при наличии заболеваний кожи, ногтей и волос, либо если такие проблемы были ранее, необходимо получить консультацию врача-дерматолога (дерматовенеролога)
Что делать, если возникает зуд?
Если пациент получает профилактическую терапию кожной токсичности: увлажняющие кремы-эмоленты утром, 1% гидрокортизоновый крем вечером, солнцезащитный крем и все-таки возникает зуд, — следует обратиться к лечащему врачу, либо на консультацию врача-дерматолога (дерматовенеролога).
Для облегчения зуда можно дополнительно нанести на зудящие области кремы-эмоленты. Внутрь можно принять 1 таблетку антигистаминного препарата 2-го поколения.
Что делать, если возникает сыпь?
Если пациент применяет профилактическую терапию кожной токсичности и при этом развивается сыпь, следует обратиться к лечащему врачу, который оценит степень тяжести, назначит дополнительное лечение, либо консультацию врача-дерматолога (дерматовенеролога).
Что делать, если поднялась температура?
Следует сообщить об этом лечащему врачу. При повышении температуры тела выше 38 гр. необходимо принять внутрь нестероидный противовоспалительный препарат.
Что делать, если есть сухость и шелушения?
Сухость и шелушение хорошо корректируются при помощи кремов-эмолентов, которые можно наносить 2 и более раз в сутки.
Что делать, если кожа меняет цвет?
Гиперпигментация кожи обычно развивается через 2-3 недели после окончания химиотерапии или на 10-12 неделе после начала курса лечения. Появляются окрашенные пятна на кончиках пальцев, локтевых суставах или ладонях, лице, вдоль используемых для инъекции вен.
Гиперпигментация дополнительного лечения не требует. После окончания курса противоопухолевой терапии она постепенно исчезнет. Специфической профилактики нет.
Как вести себя на солнце во время проведения курса химиотерапии?
Необходимо исключить пребывание на солнце. Рекомендовано ношение одежды с длинным рукавом, головной убор с широкими полями, солнцезащитные очки. Для верхней одежды предпочтение следует отдавать льняным тканям как более эффективным в отношении солнцезащиты, чем хлопчатобумажные. При этом окрашенные ткани обладают большим защитным эффектом по сравнению с белыми. Кроме того, нейлон, шерсть и полиэстер лучше защищают от ультрафиолетового облучения, чем хлопок.
Даже в холодные периоды года и при отсутствии солнца за 20 мин до выхода на улицу рекомендуется наносить на открытые участки кожи (лицо, кисти и др.) аптечные солнцезащитные кремы с максимальной комплексной защитой: SPF 50+/PPD 46.
Что при кожной токсичности категорически нельзя делать?
Нельзя заниматься самолечением кожной токсичности, в том числе народными средствами и самостоятельно снижать дозу, либо отменять противоопухолевые препараты.
Список литературы:


Авторская публикация:
Назаров Роман Николаевич
кандидат медицинских наук, врач-дерматовенеролог, онкодерматолог, трихолог ФГБУ «НМИЦ онкологии им. Н.Н. Петрова» Минздрава России
Читайте также:
- Физиология обмена глюкозы. Транспорт глюкозы через мембрану клетки
- Корь. Причины и механизмы развития
- Названия лекарств. Генерические наименования препаратов в фармакологии
- Вигабатрин, левирактам, окскарбазепин, зонизамид, АКТГ при эпилепсии у детей
- Случай реабилитации пациента с тяжелой степенью пародонтита при помощи имплантации с немедленной нагрузкой
