Доступ и ход лапароскопической резекции печени
Добавил пользователь Владимир З. Обновлено: 22.01.2026
Кафедра хирургических болезней педиатрического и стоматологического факультетов ГБОУ ВПО ВолгГМУ Минздрава России, Волгоград
Кафедра хирургических болезней педиатрического и стоматологического факультетов, кафедра оперативной хирургии и топографической анатомии Волгоградского государственного медицинского университета, Волгоград, Россия
Лапароскопическая резекция множественных непаразитарных кист печени
Журнал: Эндоскопическая хирургия. 2019;25(4): 41‑45
Представлен результат хирургического лечения пациентки с множественными непаразитарными кистами правой доли печени, суммарный наибольший размер которых составил 117 мм, вероятнее всего сформировавшихся после лапароскопической холецистэктомии, выполненной по поводу острого калькулезного холецистита. Кисты значительно деформировали желчевыводящие пути и воротную вену, имевшие экстраорганную бифуркацию. Прецизионная лапароскопическая техника и минимальная операционная травма позволили избежать осложнений. При контрольном обследовании через 8 мес после операции в V сегменте печени диагностирована зона послеоперационного фиброза, признаков желчной и портальной гипертензии, холангита нет.
Непаразитарные кисты печени диагностируют у 1—2% населения, клинически болезнь манифестирует у 10—16% пациентов, женщины болеют в 3—5 раз чаще [1]. Несмотря на достаточное количество проведенных исследований, вопросы о происхождении билиарных кист печени и выборе способа их хирургического лечения остаются дискутабельными до настоящего времени. Большинство хирургов отдают предпочтение радикальным традиционным, минилапаротомным или лапароскопическим вмешательствам при кистозном поражении печени, оставляя паллиативную роль эхоконтролируемым пункционным манипуляциям [2—5].
Пациентка Л., 36 лет, госпитализирована в клинику в плановом порядке 21.05.18 с диагнозом «эхинококковая киста печени», с жалобами на боли в правом подреберье, общую слабость, которые беспокоили на протяжении нескольких лет. Сопутствующая патология: «морбидное ожирение I степени (индекс массы тела 34,6 кг/м 2 ). Вегетативно-сосудистая дистония по смешанному типу». В декабре 2014 г. пациентка перенесла плановую лапароскопическую холецистэктомию. Диагноз после операции в представленной выписке: «острый калькулезный обтурацион-ный холецистит; морфологической верификации изменений стенки желчного пузыря нет».
В марте 2018 г. при ультразвуковом исследовании в правой доле печени было верифицировано многокамерное анэхогенное образование 117×89×98 мм с ровными, четкими контурами, неоднородной структуры за счет пристеночных гиперэхогенных включений и взвеси; диаметр воротной вены составлял 11 мм, селезеночной вены — 5 мм, холедоха — 6 мм, внутрипеченочные желчные протоки не были расширены, селезенка — 110×56 мм. Заключение: объемное кистозное образование правой доли печени (эхинококковая киста?). В апреле 2018 г. выполнена магнитно-резонансная томография (МРТ) с контрастным усилением: в правой доле печени имелось многокамерное кистозное образование размером 106×87×97 мм, компримирующее прилежащие отделы паренхимы, несколько деформировавшее ход холедоха, воротной вены, диаметр последних составлял 8 и 12 мм соответственно, а селезеночной вены — 6 мм. Заключение: кистозное обра-зование правой доли печени — наиболее вероятно эхинококковая киста (рис. 1, 2). Рис. 1. МРТ брюшной полости, фронтальный срез: кисты компримируют прилежащую паренхиму печени, деформируют воротную вену. Рис. 2. МРТ брюшной полости, горизонтальный срез: множественные кисты правой доли печени. При иммуноферментном анализе крови иммуноглобулины класса G к антигенам эхинококка однокамерного не обнаружены, в общем анализе крови количество эозинофилов и скорость оседания эритроцитов не превышали норму — эхинококкоз лабораторно не подтвержден.
Лапароскопическая резекция непаразитарных кист I, IV, V, VI сегментов печени была выполнена 24.05.18. Через пупок установлен мультипорт, в эпигастральной области и правом подреберье — 3 троакара диаметром 11 мм. Рассечены сращения сальника с правой долей печени, мобилизована супрадуоденальная часть холедоха. Верифицирована низкая экстраорганная бифуркация правого и левого печеночных протоков, при мобилизации которых выделена культя пузырного протока, несущая клипсу и впадающая в правый печеночный проток (рис. 3). Рис. 3. Низкая экстраорганная бифуркация (конфлюенс) правого и левого печеночных протоков. Культя пузырного протока, несущая клипсу, впадает в правый печеночный проток. Мобилизованы правая и левая ветви v. portae, диаметр которых составлял около 15 мм, а бифуркация также имела экстраорганную позицию; элементы гепатодуоденальной связки, диаметр которых равнялся: v. рortae — около 15 мм, d. choledochus — около 12 мм, a. hepatica propria — около 5 мм. В результате выполненных манипуляций осмотру оказалась доступна передненижняя стенка наибольшей кисты (№ 1).Пунктировали, эвакуировали около 300 мл мутной светло-коричневой жидкости без запаха с хлопьями коричневого цвета (была отправлена на цитологическое и бактериологическое исследование, посев роста не дал). Киста вскрыта, через ее просвет пунктированы, вскрыты и резецированы еще 2 кисты — № 2 и № 3, их содержимое по органолептическим характеристикам соответствовало содержимому кисты № 1 (рис. 4). Рис. 4. Через просвет кисты № 1 верифицирована киста № 2. Через просвет кисты № 3 визуализирована, вскрыта и резецирована киста № 4, заднюю стенку которой удалось отделить от нижней полой вены (рис. 5, 6). Рис. 5. Через просвет кисты № 3 визуализирована киста № 4. Рис. 6. Подпеченочное пространство после резекции кист. При резекции технически доступных фрагментов 4 наибольших кист были вскрыты и иссечены еще 2 кисты диаметром около 2 см. Суммарно из всех кист было эвакуировано около 500 мл мутного светло-коричневого содержимого. Толщина резецированных фрагментов стенок кист варьировала от 2 до 4 мм, при гистологическом исследовании они были представлены волокнистой фиброзной тканью с рассеянной хронической воспалительной инфильтрацией, на большем протяжении без эпителиальной выстилки, местами покрытые кубическим эпителием без видимых новообразований. Остаточная полость обработана аргон-усиленным биполярным коагулятором, в нее апплицировано 2 пластины гемостатического препарата, изготовленного из окис-ленной регенерированной целлюлозы 10×7,5 см. Улавливающие дренажи установлены в правое поддиафрагмальное и подпеченочное пространства, в остаточную полость.
Из операционной больная была переведена в хирургическое отделение, где проводилось восстановительное лечение. При ультразвуковом исследовании брюшной полости 01.06.18 в IV сегменте печени определялась остаточная полость размером 26×17 мм, без четкого контура, неоднородной структуры; диаметр v. рortae — 10 мм, d. choledochus — 6 мм. Улавливающие дренажи были поочередно удалены: из поддиафрагмального пространства, затем из подпеченочного пространства, затем из остаточной полости резецированных кист. Пациентка 05.06.18 выписана в удовлетворительном состоянии на амбулаторное лечение у хирурга поликлиники.
При контрольном ультразвуковом обследовании через 3 мес после операции в области ворот печени верифицирована эхопозитивная зона с неровным контуром, 59 мм в наибольшем измерении, неоднородной структуры — зона послеоперационного фиброза в остаточной полости.
Расширенное обследование мы провели через 8 мес после операции. Общее состояние пациентки удовлетворительное, жалоб не предъявляет, лихорадки нет. Прибавила в весе около 5 кг (индекс массы тела 35,0 кг/м 2 ). Живот симметричный, при пальпации мягкий, безболезненный во всех отделах. Стул регулярный, оформленный, кал темно-коричневый, без примесей. Показатели общего и биохимического анализов крови, включая щелочную фосфатазу, лактатдегидрогеназу, гамма глутамилтрансферазу, в пределах нормы, иммуноглобулины класса М и G к антигенам описторхов, иммуноглобулины класса А, М и G к лямблиям не обнаружены; уровень таких онкомаркеров, как альфа-фетопротеин, раково-эмбриональный антиген, Са-19−9, в пределах нормы.
При ультразвуковом исследовании в проекции бифуркации воротной вены визуализирован участок повышенной эхогенности, без четкого контура, 30 мм в наибольшем измерении, диаметр воротной вены 11 мм, холедоха — 8 мм. На компьютерной томографии брюшной полости с контрастированием в воротах печени определяется участок пониженной плотности, не накапливающий контраст, размером 42×37×39 мм — послеоперационные изменения. При МРТ с холангиографией также в V сегменте печени верифицирована зона структурных изменений со снижением сигнала по Т1 и слабо повышенным сигналом по Т2, с нечеткими контурами, размером 42×35×27 мм; диаметр воротной вены 13 мм, холедоха — 9 мм, долевых протоков — 5 мм, культи пузырного протока — 4 мм, внутрипеченочные желчные протоки не расширены, без дефектов наполнения, сигнал от внутреннего содержимого однородный.
Таким образом, полученные нами положительные результаты лапароскопической резекции множественных кист правой доли печени, компримировавших желчевыводящие пути и сосуды портальной системы, подтверждают правильность выбранной тактики и высокую эффективность малоинвазивного способа лечения сложных непаразитарных паренхиматозных кист.
Лапароскопия брюшной полости
Хирургические методики активно применяются при лечении широкого спектра заболеваний. Однако в последнее время классические операции, при которых выполняются большие разрезы и формируется доступ к органам, постепенно замещаются современными лапароскопическими вмешательствами. Последние отличаются минимальной травматичностью, реже приводят к развитию осложнений, проще переносятся пациентами. Одной из наиболее частых разновидностей подобных операций является лапароскопия брюшной полости. Она может выполняться как с диагностической, так и с лечебной целью.
Диагностическая лапароскопия
Не всегда традиционные методы обследования брюшной полости (УЗИ, КТ, МРТ) позволяют получить достаточно информации для постановки диагноза и составления плана лечения. В некоторых случаях врачу необходимо «своими глазами» осмотреть тот или иной орган, либо выполнить различные манипуляции. В таких ситуациях назначается диагностическая лапароскопия. Кроме «живой» оценки состояния органов брюшной полости, данная операция позволяет:
- Выявить аномалии развития.
- Определить наличие спаек в брюшной полости.
- Установить точное местоположение патологического очага.
- Взять образец биологического материала для дальнейшего исследования.
В некоторых случаях непосредственно во время диагностической лапароскопии могут быть проведены и лечебные мероприятия, например, удаление спаек.
Какие заболевания брюшной полости можно устранить лапароскопически
Лапароскопия брюшной полости с лечебной целью применяется в самых разнообразных областях медицины. Такие операции могут назначаться пациентам со следующими заболеваниями:
- Желчнокаменная болезнь.
- Доброкачественные новообразования (кисты, полипы) печени, почек и других органов.
- Нефроптоз (опущение почки).
- Спайки в брюшной полости.
- Язвенная болезнь желудка и 12-перстной кишки.
- Аппендицит.
- Диафрагмальные грыжи и др.
Ход операции
Как и перед любым другим оперативным вмешательством, пациент накануне проходит определенную подготовку. Прежде всего, необходимо сдать стандартные анализы, сделать УЗИ, снять ЭКГ, проконсультироваться с врачами других специальностей. Лапароскопию выполняют под общим наркозом, поэтому в день операции следует отказаться от приема пищи и воды.
Реабилитационный период после операции сокращается в среднем в два раза (по сравнению с классическим операциями) и лучше переносится пациентами. Сроки выписки из стационара также сокращаются. Обычно пациент может вернуться домой уже через неделю после операции, но при этом необходимо строго следовать всем рекомендациям, которые дал врач.
Преимущества
Среди главных достоинств лапароскопии можно отметить:
- Минимальная травматичность и хороший косметический эффект за счет небольших разрезов на передней брюшной стенке (всего 1-1,5 см).
- Быстрое восстановление после операции.
- Меньший риск развития осложнений.
- Минимальная кровопотеря.
Несмотря на все достоинства лапароскопических вмешательств, они имеют ряд ограничений, поэтому могут применяться не всегда. Например, хирургу приходится работать в ограниченном диапазоне движений, а такая возможность имеется не всегда. Поэтому лапароскопические операции не могут полностью заменить классические хирургические вмешательства и применяются наравне с последними. Выбор точного метода лечения всегда остается за хирургом.
Резекция печени
Продолжительное время печень считалась хирургами «неприкасаемым» органом из-за высокой смертности пациентов во время и после операции. В последние десятилетия хирургические вмешательства стали распространены благодаря внедрению новых технологий и совершенствованию оперативных методик.
Проведение резекции (удаление части) органа сделало излечимыми ранее смертельные заболевания: первичные опухоли и метастатическое поражение печени. Резекция печени при злокачественных новообразованиях может выступать как самостоятельный метод лечения, так и комбинироваться с химио- или лучевой терапией.
Показания
Основные показания к удалению части печени — объемное образование любой локализации или обширная травма, не поддающаяся ушиванию. Среди объемных образований лидирующую позицию занимают отдаленные метастазы из других органов. Наиболее часто к метастатическому поражению печени приводят злокачественные новообразования органов малого таза, легких, желудка и колоректальный рак. Несмотря на значительный прогресс в лечении онкологических заболеваний, хирургическое вмешательство наряду с химиотерапией остается одним из основных методов лечения метастазов печени.
Еще одно показание к операции — первичные злокачественные новообразования печени: гепатоцеллюлярная карцинома, гепатобластома, цистаденокарцинома и другие. Эти опухоли характеризуются агрессивным течением, без своевременного лечения быстро растут в толщу органа и дают метастазы в другие органы.
Наиболее частое злокачественное новообразование печени — гепатоцеллюлярная карцинома. Она составляет более 85% всех первичных онкологических заболеваний органа. Оперативное лечение гепатоцеллюлярной карциномы возможно на стадиях I-III. На четвертой стадии возможность проведения резекции рассматривается индивидуально.
Среди других объемных образований печени, которые требуют хирургического лечения, являются:
- гемангиомы больших размеров;
- другие редко встречающиеся доброкачественные новообразования: цистаденомы, аденомы желчных протоков, миелолипомы, мезотелиомы, нейрофибромы;
- эхинококковые кисты;
- абсцессы;
- кисты.
Показанием к хирургическому вмешательству на печени также может стать ряд заболеваний: описторхоз, аспергиллез, туберкулез, сифилис. При этих инфекционных болезнях в органе также могут возникать очаги деструкции или воспаления.

Все резекции можно разделить на две большие группы: атипичные и типичные. К первым относятся краевая, клиновидная и поперечная резекции — операции, направленные на удаление периферических отделов печени. Атипичные хирургические вмешательства выполняются с учетом топографии кровеносных и венозных сосудов, а также желчных протоков.
Типичные резекции — анатомически обоснованные хирургические вмешательства, которые выполняются с учетом долевого и сегментарного строения органа. Печень условно делится на две большие части — правую и левую доли. Каждая из них имеет автономное кровоснабжение из печеночной артерии и воротной вены. В свою очередь, доли состоят из сегментов (по 4 с каждой стороны). Они также имеют изолированное кровоснабжение и отток желчи.
Относительная автономность отдельных участков — основной фактор, позволяющий проводить удаление одного или нескольких сегментов печени без влияния на здоровую ткань органа. В зависимости от объема операции, типичные резекции бывают нескольких видов:
- гемигепатэктомия — удаление одной из двух долей (или 4 сегментов) печени;
- право- и левосторонние латеральные лобэктомии — удаление 6 и 7 или 2 и 3 сегментов соответственно;
- право-и левосторонние парамедианные лобэктомии — резекция 5 и 8 или 3 и 4 сегментов;
- расширенные гепатэктомии — правосторонняя (удаление 4-8 сегментов), левосторонняя — 2-8 сегмента;
- сегментэктомии и бисегментэктомии — удаление одного или двух близлежащих сегментов.
Типичные и атипичные операции имеют свои преимущества и недостатки. Например, при типичных резекциях соблюдается принцип анатомичности и меньше риск кровотечения. Однако, даже при небольшом патологическом очаге, приходится удалять минимум один сегмент печени. Атипичные резекции более экономные и щадящие, но имеют более высокий риск как интраоперационных, так и послеоперационных осложнений.
Предоперационное обследование и подготовка
Хирургическое вмешательство на печени не проводится без полного лабораторно-инструментального обследования. Диагностический минимум включает в себя:
- общеклинические анализы крови (общие, биохимический крови, коагулограмма);
- определение группы и резус-фактора;
- исследование на маркеры вирусных гепатитов, ВИЧ, сифилис;
- ФГДС (фиброгастродуоденоскопия);
- рентгенография органов грудной клетки;
- инструментальные исследования, направленные на визуализацию печени, других органов брюшной полости и отдаленных метастазов при опухолевом процессе (УЗИ органов брюшной полости, компьютерная и/или магнитно-резонансная томография).
Большое значение при подготовке к хирургическому вмешательству имеет правильная оценка функциональных резервов печени. Это позволяет предположить степень поражения органа и операционные риски. Определение функционального состояния печени проводится по международной классификации Чайлд-Пью. Высокий операционный риск имеют пациенты при наличии следующих состояний:
- варикозным расширением вен пищевода, особенно с кровотечением из них в анамнезе;
- гипоальбуминемия — снижение белка альбумина в крови;
- снижение уровня протромбина — вещества, участвующего в процессах свертывания крови.
Перед оперативным вмешательством обязательно проводится коррекция метаболических и других изменений, вызванных заболеваниями печени. Так, если у пациента имеется желтуха, назначается внутривенная инфузионная терапия, направленная на детоксикацию организма. При асците (наличие невоспалительной жидкости в брюшной полости) выполняется дозированная эксфузия выпота. В случае нарушения свертывающей способности крови проводится трансфузия плазмы или отдельных факторов свертывания.
При первичном злокачественном новообразовании печени и метастатическом поражении, не поддающимся хирургическому лечению или требующем обширной резекции, прибегают к сеансам химиоэмболизации. Этот метод представляет собой разновидность местной химиотерапии.
Химиотерапевтические препараты вводятся через катетер, проведенный через бедренную артерию до ветвей печеночной артерии, кровоснабжающих опухолевый узел. Благодаря прямому цитотоксическому действию этих лекарств уменьшаются размеры опухоли или метастаза, что позволяет провести резекцию у ранее неоперабельных пациентов или уменьшить объем операции.
Наркоз
Перед хирургическим вмешательством пациента обязательно осматривает анестезиолог. Он оценивает общее состояние и саму возможность проведения операции, а также прогнозирует течение общей анестезии (наркоза) и возможные риски от нее.
При операциях на печени используется многокомпонентная ингаляционная эндотрахеальная анестезия. Для анестезиологического обеспечения используют несколько групп лекарственных средств, избирательно влияющих на функции организма (угнетение сознания, чувствительности, памяти, устранение боли).
Выбор препаратов для ввода в наркоз и его поддержания — один из ответственных этапов подготовки к хирургическому вмешательству. К этому процессу врач-анестезиолог подходит с большой ответственностью, так как некоторые наркозные средства угнетают функцию печени и могут привести к появлению или усугубят имеющуюся функциональную недостаточность органа.

Общие принципы операций на печени
Технические проблемы при вмешательствах на печени обусловлены несколькими факторами:
- сложность создания полноценного оперативного доступа к органу;
- богатое кровоснабжение печени, приводящее к повышенному риску массивного кровотечения;
- большое количество трубчатых структур (сосуды, желчные пути), требующих перевязки перед пересечением;
- мягкая консистенция органа обуславливает сложность его ушивания.
Для нивелирования перечисленных сложностей используется ряд оперативных приемов и техник. Во-первых, при хирургических вмешательствах на печени используется специальный инструментарий: реберные ретракторы, электрокоагуляторы с дополнительными насадками и ножи, ультразвуковые деструкторы-аспираторы, сосудистые зажимы для печеночных вен, клипаторы для сосудов и желчных протоков, аппараты для реинфузии (обратное вливание) крови, гемостатические пленки и губки.
Во-вторых, для обеспечения хорошего поля деятельности прибегают к специальным хирургическим доступам. Они предполагают большие разрезы, проходящие как по правой половине грудной клетки, так и по передней брюшной стенке. Существует более 70 модификаций доступов к печени (по Куино, Петровского-Почечуеву, Боровскому и другие). Большинство из них являются травматичными, а некоторые предполагают и резекцию участков ребер.
Выбор доступа осуществляется индивидуально, исходя из объема планируемой резекции. Однако общепризнанным и самым удобным признается двухподреберный доступ с вертикальным продолжением. Он предполагает разрезы под реберными дугами и по срединной линии живота. Мечевидный отросток грудины при этом удаляется. Основные преимущества этого доступа — удобство работы при любом типе операции и широкое рабочее поле для хирургов.
В-третьих, оперативная техника на печени предполагает использование специальных приемов. Например, для ушивания раны используются специальные гемостатические швы. Их выполняют тупоконечной атравматической иглой и нитью. Для быстрого и прочного ушивания наглухо сосудов или желчных путей также могут применяться клипаторы. В ходе хирургического вмешательства также нередко прибегают к интраоперационному УЗ-исследованию печени и другим инвазивным методам исследования.
Основные этапы резекции печени
Хирургическое вмешательство по резекции печени состоит из нескольких последовательных шагов:
- послойное вскрытие передней брюшной стенки и остановка кровотечения из поврежденных сосудов кожи, подкожно-жировой клетчатки и мышц;
- мобилизация печени и выделение элементов глиссоновой ножки — пересечение ряда связок, перевязка трубчатых структур (вены, артерии, желчные протоки);
- разделение паренхимы (основной ткани) печени и резекция органа;
- гемостаз оставшейся части печени и профилактика желчеистечения;
- постановка дренажных трубок и контрольная ревизия брюшной полости;
- ушивание операционной раны.
Доступ к печени осуществляется одним из перечисленных способов при помощи скальпеля или электроножа. Капиллярное кровотечение из поврежденных сосудов останавливают методом электрокоагуляции, после чего разъединяют мышечные пучки передней брюшной стенки и вскрывают брюшину. После визуализации печени приступают к ее мобилизации. Она начинается с рассечения круглой связки.
Затем пошагово приступают к пересечению связочного аппарата в зависимости от вида операции. Следующий этап — визуализация и перевязка трубчатых структур глиссоновой ножки. Существует несколько методов хирургической обработки сосудов печени:
- в воротах органа до его рассечения;
- перевязка по мере обнаружения во время резекции с временным пережатием глиссоновой ножки печени, расположенной у ворот печени;
- смешанная техника, объединяющая в себе элементы первых двух методик.
Один из самых ответственных и опасных этапов операции — перевязка и рассечение правой или левой печеночной вены. Всегда существует риск соскальзывания нити или наложенного зажима с культи вены. При этом развивается неконтролируемое кровотечение, и появляется риск воздушной эмболии (засасывание воздуха в венозную систему). Для профилактики такого осложнения перед обработкой печеночной вены проводят лигатуру под ее основной ствол — нижнюю полую вену. Это позволяет временно пережать крупный венозный сосуд и прошить печеночную вену заново.
После обработки всех трубчатых структур производят удаление пораженной части печени. После тщательного гемо- и желчестаза проводят контрольный осмотр брюшной полости. Завершающие этапы операции — постановка дренажей для оттока сукровичного отделяемого и ушивание раны.
Восстановительный период
Течение послеоперационного периода во многом зависит от общего здоровья пациента и функционального состояния оставшейся части печени. В раннем послеоперационном периоде пациент находится в отделении реанимации под пристальным присмотром медицинского персонала. Основными задачами на этом этапе являются:
- поддержание жизненно-важных функций;
- адекватное обезболивание наркотическими и ненаркотическими анальгетиками;
- контроль за функцией печени;
- профилактика послеоперационных осложнений;
- уход за послеоперационной раной и дренажами;
- адекватная инфузионно-трансфузионная терапия;
- парентеральное введение сбалансированных питательных смесей, а затем постепенный переход на обычное здоровое питание.
В раннем послеоперационном периоде пациенту следует соблюдать постельный режим, уделять больше времени отдыху и придерживаться всех рекомендаций лечащего врача. В поздние реабилитационные сроки (более 1 месяца с операции) пациент может вернуться к привычному образу жизни с ограничениями по физическим нагрузкам и питанию. Кроме того, в этот период обязательно проводится полноценное контрольное обследование основных систем органов, печени и ее функциональной активности.
Возможные осложнения и прогноз
Послеоперационные риски резекции печени во многом зависят от объема операции. Самые грозные осложнения — массивное кровотечение в брюшную полость, печеночная недостаточность и тромбоэмболия (отрыв тромба и его перенос по сосудистому руслу) легочной артерии или ее ветвей. Частота этих осложнений коррелирует с тяжестью операции — чем больше объем хирургического вмешательства, тем выше риск перечисленных осложнений.
Среди менее опасных осложнений — скопление жидкостных образований (крови, невоспалительной серозной жидкости) в брюшной полости, нагноение послеоперационной раны и несостоятельность швов, появление выпота в плевральной полости.
При резекции по поводу первичного рака печени прогноз неоднозначный — он зависит от возраста и состояния пациента, стадии и размера опухоли. Неблагоприятными факторами являются:
- возраст старше 40-45 лет;
- наличие участка некроза в ткани опухоли;
- высокая степень злокачественности новообразования;
- поражение опухолью правой доли печени;
- наличие цирроза печени и выраженной печеночной недостаточности.
Продолжительность жизни после резекции печени у этой группы онкобольных в сроки до 5 лет составляет от 37 до 50%. Рецидив злокачественного новообразования наблюдается у части пациентов, однако риск его развития во многом определяется качеством проведенного оперативного вмешательства. В клиниках «Евроонко» данную операцию проводят квалифицированные хирурги с большим опытом работы.
Лапароскопическая резекция опухоли печени
Лапароскопическая резекция опухоли печени при метастазе рака толстой кишки
Автор: Пучков К.В.
Лапароскопическая резекция опухоли печени при метастазе рака толстой кишки
Оперирует профессор К. В. Пучков (2020 г).
Данная пациентка перенесла 1,5 года назад резекцию кишки по поводу опухоли толстой кишки злокачественного характера, а сегодня я буду убирать образование печени примерно 3см в диаметре, которое может оказаться метастазом, что точно будет известно после окончательного гистологического исследования. По данным предварительного исследования данное образование копит контраст, поэтому его нужно обязательно удалять. Суть проводимой мною хирургической коррекции патологии печени состоит в иссечении опухоли в пределах здоровых тканей без резекции органа, что не нарушает его функцию. Для этого я использую современные ультразвуковые хирургические ножницы и аппарат дозированного элекротермического лигирования тканей Thunderbeat, позволяющие проводить эти операции на паренхиматозных органах бескровно. Также я использую современные гемостатические средства - пластину Taсhocomb, чтобы быть уверенным, что с точки зрения желчеистечения и гемостаза в этой зоне всё будет хорошо. Удаленная опухоль обязательно отправляется на гистологическое исследование.
Подробнее о методике Вы можете прочитать на личном сайте профессора Пучкова Константина Викторовича перейти
Лапароскопическая атипическая резекция печени
Лапароскопическая атипическая резекция печени.
Оперирует профессор К. В. Пучков (2018 г).
На видео демонстрируется техника лапароскопической резекции левой доли печени при аденоме размером 6 см. Мобилизация левой доли печени и диссекция печеночной паренхимы проводится с помощью 5 мм инструмента Thunderbeat Olympus, в котором реализована концепция одна операция - один инструмент. Диссекция тканей выполняется быстро и бескровно. Окончательный гемостаз осуществляется точечной биполярной коагуляцией. Опухоль погружается в специальный пластиковый контейнер MEDTRONIC COVIDIEN, который извлекается через умбиликальный доступ. В зону оперативного вмешательства на 1 сутки оставлен страховой дренаж. Время операции 25 минут.
Лапароскопическая резекция печени (2-3 сегменты, ФНГ 7 см)
Автор: Галямов Э.А.
Лапароскопическая резекция печени (2-3 сегменты, ФНГ 7 см)
Оперирует профессор Э. А. Галлямов, модерирует профессор К. В. Пучков, ассистирует к.м.н. Д. К. Пучков (2018 г).
Мастер-класс 6.07. с комментариями, г. Дербент.
В фильме показана техника резекции печени ( 2,3 сегментов), с сохранением 4 сегмента при фокальной нодулярной гиперплазией (7 см). Мобилизация печени проводится с помощью 5 мм инструмента Harmonic Scalpel Ethicon и инструментами Компании Karl Storz, с последовательным пересечением круглой и серповидной связок. Намечается линия резекции. Далее последовательно гармоническим скальпелем и биполярным пинцетом выполняется диссекция печёночной паренхимы до секреторной ножки и вены 2 и 3 сегментов. Эти образования выделяются печеночным диссектором (Aesculap), лигируются системой Hem-o-lock и пересекаются между клипсами. Затем выделяется левая печеночная вена, которая берётся на держалку, прошивается и пересекается аппаратом Endo GIA MEDTRONIC COVIDIEN сосудистой белой кассетой 45 мм. Окончательный точечный гемостаз выполняется биполяром и гемостатиком PerClot (Italy). Препарат с опухолью погружается в специальный пластиковый контейнер MEDTRONIC COVIDIEN, который извлекается через поперечный минидоступ над лоном 6 см. Объём кровопотери составил 500 мл. Время операции 2ч 40 минут
Полезные разделы для студентов и начинающих специалистов
Доступ и ход лапароскопической резекции печени
ГБОУ ВПО «ОрГМУ» Минздрава России, Оренбург, Россия
ФГБОУ ВО «Оренбургский государственный медицинский университет» Минздрава России, Оренбург, Россия
Оптимизация лапароскопического доступа к задним сегментам правой доли печени
Журнал: Эндоскопическая хирургия. 2020;26(2): 29‑33
Цель исследования. Разработка оптимального лапароскопического доступа к задним сегментам правой доли печени. Материал и методы. С 2015 г. в университетской хирургической клинике ОрГМУ на базе ГКБ им. Пирогова Оренбурга нами оперированы лапароскопическим доступом 60 пациентов по поводу доброкачественной патологии печени (гемангиомы, гепатоаденомы, обызвествленные и живые эхинококковые кисты, непаразитарные кисты). Из них с локализацией патологии в SVII—VIII было 17 пациентов. Результаты. Представлен нестандартный подход при лапароскопических вмешательствах на VII и VIII сегментах печени. Оперативное вмешательство выполнялось в положении пациента на левом боку под углом 90° к поверхности операционного стола, что приводило после пересечения связочного аппарата правой доли печени к ее медиальному смещению и попаданию в плоскость операционного действия задненижней поверхности печени. По данной методике выполнены лапароскопические вмешательства 17 пациентам с патологией, локализованной в задних сегментах правой доли печени. Заключение. Способ позволяет осуществить необходимую визуализацию и доступность для свободных манипуляций лапароскопическими инструментами в зоне VII и VIII сегментов печени и, как следствие, повысить эффективность и безопасность хирургического вмешательства.
Введение
Широкое применение в клинической практике лучевых методов визуализации (ультразвуковое исследование, компьютерная и магнитно-резонансная томографии) обусловило увеличение количества больных с выявленными объемными жидкостными и солидными образованиями печени, требующими хирургического вмешательства. Нередко эти образования, в первую очередь эхинококковые кисты, локализуются в задних сегментах правой доли печени (VII и VIII) — технически наиболее сложных для оперативного действия, особенно в лапароскопической хирургии [1, 2].
В настоящее время приоритетным и общепринятым в абдоминальной хирургии является лапароскопический доступ, обладающий минимальной инвазивностью по сравнению с лапаротомией. При передних локализациях патологических образований печени (II, III, IV, V, VI сегменты) их интраоперационная визуализация не затруднена, зона операционного действия открыта, лапароскопическое вмешательство технически выполнимо при помощи стандартных приемов. При задних локализациях патологии ситуация прямо противоположная, что требует решения задачи создания адекватного лапароскопического доступа с необходимой визуализацией и технической возможностью работы лапароскопическими инструментами в зоне хирургического интереса [3].
Известное количество лапароскопических доступов при оперативных вмешательствах на правой доле печени ограничено стандартным доступом в положении пациента на спине [4, 5]. В данной позиции оптический порт устанавливается супраумбиликально, манипуляционные троакары — в верхнем этаже по принципу триангуляции. Пересекаются круглая и серповидная связки печени, производится тракция ее вниз. Доступ к задним сегментам правой доли печени осуществляется спереди — между диафрагмальной поверхностью печени и диафрагмой (рис. 1). Однако в операционном положении пациента на спине особенность объемных образований правой доли печени задней локализации, даже при создании хорошей визуализации с использованием специализированных приемов (пересечение связочного аппарата, скошенная оптика), заключается в их недоступности для свободных манипуляций лапароскопическими инструментами. Выступающая в виде округлого ската поверхность верхнего контура печени не позволяет подвести рабочую часть прямого инструмента к области вмешательства (рис. 2).

Рис. 1. Обзор до (а) и после (б) пересечения круглой и серповидной связок печени.

Рис. 2. Схематическое изображение участков задней поверхности печени, недоступных визуальному осмотру и манипуляциям инструментами.
Зона, недоступная для лапароскопического вмешательства, указана стрелкой.
Таким образом, к недостаткам данного способа лапароскопического доступа следует отнести то, что визуализация и возможность манипуляций на задневерхней поверхности правой доли печени существенно ограничены, а на задненижней отсутствуют, что делает невозможным выполнение эффективного оперативного приема указанным лапароскопическим доступом при локализации патологии в нижних отделах VII и VIII сегментов.
В клинической практике применятся также методика мануально-ассистированной лапароскопической резекции печени [6, 7], которая подразумевает установку через дополнительный разрез (примерно 10 см) газонепроницаемого hand-порта, через который в брюшную полость вводится рука хирурга, что позволяет, в том числе осуществить необходимую тракцию печени для доступа к задним сегментам. Данный метод представляют собой переходный вариант от открытых к полностью лапароскопическим резекциям печени. Недостатком этой технологии является необходимость большего доступа, который нивелирует преимущества минимально инвазивной хирургии.
В лапароскопической хирургии довольно широко применяются операционные положения пациентов, позволяющие оптимизировать экспозицию плоскости операционного действия за счет силы всемирного тяготения (позиция Тренделенбурга при вмешательствах в малом тазу, боковые положения при вмешательствах на почках, надпочечниках) [8]. В теории лапароскопической техники хирургии печени данный вопрос не проработан.
Цель исследования — разработка оптимального лапароскопического доступа к задним сегментам правой доли печени.
Материал и методы
С 2015 г. в университетской хирургической клинике ОрГМУ на базе ГКБ им. Пирогова Оренбурга нами оперированы лапароскопическим доступом по поводу патологии печени 60 пациентов. Во всех случаях использовали видеосистему высокого разрешения, а также современные энергетические установки — ультразвуковой диссектор и биполярный коагулятор. Все пациенты госпитализированы в плановом порядке. Все новообразования были доброкачественными (гемангиомы, гепатоаденомы, обызвествленные и живые эхинококковые кисты, непаразитарные кисты).
Выполнены следующие вмешательства: сегментарная, бисегментарная резекция, резекция левого латерального сектора печени — 29, в том числе в 6 случаях при обызвествленном и в 4 случаях при живом эхинококке (перицистэктомия); иссечение непаразитарных кист с атипичной резекцией сегмента печени — 13; открытая эхинококкэктомия — 10, перицистэктомия при эхинококке — 8. Всего с локализацией патологии в SVII—VIII было 17 пациентов.
Результаты и обсуждение
На этапе освоения методики мы закономерно предпочитали передние и боковые локализации (SII—VI). По мере набора опыта встал вопрос о необходимости вмешательств при локализации образований в VII и VIII сегментах. При этом мы разработали прием, позволяющий существенно облегчить ход оперативного вмешательства. Сущность способа заключается в том, что лапароскопическое вмешательство при указанной локализации патологии в печени выполняется в положении пациента на левом боку с его фронтальной плоскостью, перпендикулярной поверхности операционного стола (как при правосторонней адреналэктомии). После пересечения связочного аппарата правой доли печени под действием силы гравитации происходит ее медиальное смещение, что приводит к попаданию в плоскость операционного действия ее задненижней поверхности — VII—VIII сегментов (рис. 3).

Рис. 3. Положение пациента на операционном столе.
1 — расстановка троакаров; 2 — смещение мобилизованной печени.
Способ осуществляется следующим образом. Для выполнения оперативного вмешательства на VII—VIII сегментах печени пациента укладывают на операционный стол на левый бок с углом 90° к плоскости операционного стола. Оптический и манипуляционные троакары вводят в правом подреберье «веером», пересекают треугольную связку правой доли печени, производят диссекцию area nuda печени. После пересечения фиксирующего аппарата правая доля печени под действием силы тяжести смещается медиально, что делает доступной для визуализации и выполнения лапароскопического оперативного приема задненижнюю поверхность правой доли печени (VII и VIII сегменты), кавальные ворота печени.
Следует отметить, что идея оптимизировать операционное положение пациента при задних локализациях патологии печени представленным способом появилась у нас при выполнении лапароскопической адреналэктомии при большом новообразовании правого надпочечника. Верхний полюс новообразования располагался позади area nuda печени и почти достигал диафрагмы, что потребовало мобилизации правой доли печени. Выполнив мобилизацию, мы визуализировали зоны печени, ранее недоступные при классическом доступе в позиции пациента на спине.
Данным доступом нами выполнено 17 лапароскопических вмешательств на задних сегментах правой доли печени (1 гепатоаденома, 16 паразитарных кист). Во всех случаях цель операции (удаление патологического образования) достигнута. Случаев расширения доступа не было.
Клинический пример № 1. Пациентка Д., 29 лет. Диагноз: аденома VII сегмента печени (рис. 4). В положении пациентки на левом боку после пересечения правой треугольной связки и диссекции area nuda печени выполнена атипичная резекция VII сегмента с новообразованием. Послеоперационный период без осложнений. Выписана на 6-е сутки после операции.

Рис. 4. Клинический пример № 1: объемное образование в VII сегменте печени (1).
Клинический пример № 2. Пациент Б., 55 лет. Диагноз: две паразитарные кисты (эхинококк) в VII и VIII сегментах печени (рис. 5). В положении пациента на левом боку после пересечения правой треугольной связки и диссекции area nuda печени выполнено иссечение кист с атипичной резекцией VII и VIII сегментов печени. Послеоперационный период без осложнений. Выписан на 7-е сутки после операции.

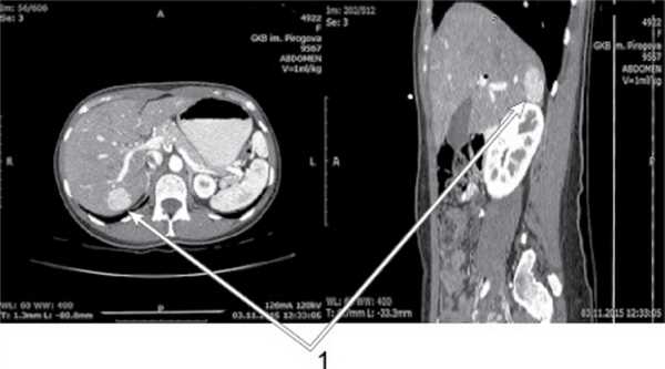
Рис. 5. Клинический пример № 2: Кисты в VII—VIII сегментах печени (1).
Клинический пример № 3. Пациент В., 35 лет. Диагноз: паразитарная киста (эхинококк) в VIII сегменте печени, прилежащая к нижней полой вене (рис. 6). В положении пациента на левом боку после пересечения правой треугольной связки и диссекции area nuda печени выполнена перицистэктомия с отделением фиброзной капсулы кисты от нижней полой вены. Послеоперационный период без осложнений. Выписан на 6-е сутки после операции.

Рис. 6. Клинический пример № 3: киста в VIII сегменте печени (1) и нижняя полая вена (2).
Конверсий при применении данного способа не было ни в одном случае. Интраоперационных осложнений и осложнений в послеоперационном периоде не было. У всех больных послеоперационный период протекал гладко. Больных выписывали на 6—9-е сутки после операций.
Представленный метод лапароскопического доступа к задним сегментам правой доли печени показал более высокую эффективность по сравнению со стандартными способами малоинвазивных вмешательств при данной локализации патологии. Способ позволяет осуществить необходимую визуализацию и доступность для свободных манипуляций лапароскопическими инструментами в зоне VII и VIII сегментов печени и, как следствие, повысить эффективность и безопасность хирургического вмешательства со снижением вероятности интра- и послеоперационных осложнений.
Заключение
Таким образом, предлагаемый способ лапароскопического доступа эффективен, технически прост, выполним в любом хирургическом стационаре. Полученные результаты свидетельствуют, что при применении данной методики уменьшается время оперативного вмешательства, повышается эргономичность хирургических манипуляций, снижается вероятность осложнений, особенно на этапе освоения лапароскопичеких операций. По нашему мнению, данный способ доступа является методом выбора при выполнении лапароскопических вмешательств на задних сегментах правой доли печени.
Читайте также:
