Доступ и ход операции панкреатоеюностомии по Пуэстоу
Добавил пользователь Евгений Кузнецов Обновлено: 21.11.2025
Эндоскопическая папиллосфинктеротомия или «ЭПСТ» — малоинвазивная лечебно-диагностическая процедура, показанная при заболеваниях желчевыводящих путей. Процедура проводится при блоке общего желчного протока опухолевого генеза или при нарушении оттока желчи в следствии блокирования общего желчного протока конкрементами.
Показания к ЭПСТ
В Юсуповской больнице ЭПТС операция проводится при условии отсутствия результатов после проведения лечения иными методами.
Эндоскопическая папиллосфинктеротомия может быть показана в целях диагностики и манипуляций хирургического характера при патологиях:
- папиллярном стенозе доброкачественного типа;
- камни в общем желчном протоке;
- повторное сужение желчных протоков после предыдущей ЭПСТ;
- стеноз БДС;
- хронический панкреатит;
- рак дуоденального сосочка.
Процедура ЭПСТ может быть выполнена как первый этап подготовки к сложной операции в целях исследования поджелудочной железы и желчевыводящих путей, или как отдельный способ хирургического вмешательства при необходимости нормализации оттока желчи. Решение о проведении эндоскопической папиллосфинктеротомии принимается лечащим врачом.
Ограничения к проведению ЭПСТ
Процедура ЭПСТ относится к малоинвазивным методикам, но введение в организм инструментов не рекомендуется при ряде заболеваний.
ЭПСТ противопоказана при следующих состояниях:
- обострение панкреатита;
- патологии свертываемости крови;
- изменение структур проксимального отдела протока;
- сильное расширенные протоков;
- папиллостеноз протяженный;
- тяжелое состояние пациента, обусловленное выраженной сопутствующей патологией.
При наличии у пациента противопоказаний специалист процедура не проводится. Ее заменяют на другую процедуру, либо принимают меры по устранению ограничений.

Как подготовиться к операции
Перед ЭПСТ пациенту необходимо:
- сдать анализы для лабораторных исследований;
- пройти инструментальную диагностику (МСКТ грудной клетки, ЭКГ, узи вен нижних конечностей);
- исключить прием лекарств, оказывающих кроворазжижающий эффект;
- отказаться от ужина за день до процедуры.
Индивидуальные рекомендации дает лечащий врач. Никаких сложностей в подготовке к процедуре нет.
Особенности ЭПСТ
В Юсуповской больнице эндоскопическая папиллосфинктеротомия проводится с применением современного оборудования с возможностью постоянного контроля врачом за выполняемыми манипуляциями на мониторе, куда передается изображение с эндоскопа.
Рассечение дуоденального сосочка током малой мощности для восстановления оттока желчи
Предполагает проведение холедоходуоденостомии супрапапиллярной или предрассечение
Заключается в объединений двух других методик
Квалифицированные хирурги Юсуповской больницы проводят операцию быстро и безболезненно. Многолетний опыт и высокая квалификация специалистов сводит все риски к минимуму.

Ход процедуры
Эндоскопическая папиллосфинктеротомия проводится в операционной, оснащенной современным рентгенографическим оборудованием, используемым для дополнительного контроля.
Процедура проходит с применением эндоскопического оборудования и специального инструмента, представляющий собой тонкую трубку с режущим наконечником.
- Пациенту проводится общий наркоз.
- Через ротовую полость вводят эндоскоп с рабочим каналом, через который будут вводить необходимые для манипуляции инструменты.
- Наконечником инструмента рассекают патологические ткани.
- На рассеченный участок подают небольшой заряд тока.
Выполняемые врачом манипуляции внутри желчного протока зависят от целей проведения процедуры и показаний.По показаниям, после завершения основных манипуляций врач, может удалить камни, установить стент, выполнить биопсию.
Период восстановления
Процедура проводится стационарно. В период восстановления пациенту назначается медикаментозная терапия и соблюдение диеты, направленной на стабилизацию функциональности желчевыводящих путей.
Перед операцией необходимо качественное обследование состояния здоровья пациента, чтобы исключить возможность появления негативных последствий. А после операции пациент должен придерживаться соблюдения всех рекомендаций лечащего врача. Осложнения после ЭПСТ возникают в редких случаях.
Юсуповская больница является многофункциональным медицинским центром, оказывающим помощь пациентам, нуждающимся в сложном лечении. В клинике проводится широкий спектр хирургических операций абдоминального типа и оказывается все необходимая помощь в лечении и восстановлении пациентов.
Панкреатоеюностомия

Терапия хронического панкреатита не всегда ограничивается медикаментозным лечением. Часто для облегчения вывода секрета поджелудочной железы в тонкую кишку назначается панкреатоеюностомия. Это достаточно простая операция, направленная на преодоление непроходимости в разных отделах органа. Обычно проводится продольная панкреатоеюностомия, отличающаяся удобным доступом. Также возможны и другие варианты оперативного вмешательства. Врачебная консультация поможет пациенту узнать больше о такой операции, как панкреатоеюностомия: виды, подготовка, проведение, возможные осложнения и другие важные аспекты.
Основные сведения о болезни
Панкреатитом называют воспалительное заболевание поджелудочной железы, характеризующееся поражением клеток органа. Основным механизмом развития болезни является нарушение выделения поджелудочного сока из железы в двенадцатиперстную кишку. Ферменты, оставшиеся в тканях поджелудочной железы, активируются и разрушают органные структуры. К тяжелым осложнениям панкреатита относят панкреонекроз и обширный инфекционный процесс в брюшной полости.
Основные формы заболевания:
- Острый панкреатит, характеризующийся резким возникновением, активацией ферментов внутри железы и обширным разрушением тканей органа при несвоевременном лечении. Постепенно развивается гнойный воспалительный процесс. Летальность такой формы болезни очень высока.
- Хронический панкреатит - более мягкая форма болезни, характеризующаяся дистрофическими изменениями железы, абдоминальной болью и ферментной недостаточностью. Это также фактор риска возникновения других патологий органов пищеварения.
Таким образом, хронический панкреатит в медицинской литературе обычно определяется как продолжительный воспалительный процесс, характеризующийся необратимыми морфологическими изменениями органа. Чаще всего поражаются экзокринные функции железы, однако в ряде случаев у пациентов диагностируют недостаточность инсулина на фоне болезни. Более тяжелые осложнения могут быть обусловлены обострением хронического панкреатита.
Морфологические изменения при хроническом панкреатите зависят от обширности воспалительного процесса. Нередко в клинической картине отмечается расширение протоков железы и кальцификация. Из-за постоянной воспалительной реакции в тканях органа обнаруживают большое количество моноцитов и лимфоцитов. По мере прогрессирования болезни возникает частичный фиброз органа. Панкреатоеюностомия может помочь облегчить течение болезни.
Анатомические и функциональные особенности
Поджелудочная железа является важным органом пищеварительной системы. Орган расположен позади желудка в верхней области живота. Протоки поджелудочной железы связаны с двенадцатиперстной кишкой, являющейся продолжением желудка. Выделение поджелудочных ферментов в кишечник во время приема пищи способствует усвоению всех питательных элементов. В этом аспекте работа поджелудочной железы не менее важна, чем секреторная функция печени.
Орган имеет экзокринные и эндокринные части. Большая, экзокринная часть железы продуцирует ферменты, способные расщеплять белки, углеводы, жиры и другие химические соединения до простых компонентов, что необходимо для всасывания питательных веществ в стенки кишечника. Эндокринная часть поджелудочной железы выделяет гормональные вещества в кровоток. Важнейшим гормоном органа является инсулин, контролирующий метаболизм глюкозы. Выделение инсулина в кровь во время приема пищи способствует всасыванию сахара в клетки и уменьшению концентрации этого вещества в кровотоке.
Основные функции органа:
- Участие в процессе пищеварения с помощью выделения ферментов в тонкую кишку.
- Выделение инсулина и глюкагона - гормонов, регулирующих метаболизм глюкозы в организме.
- Регуляция процесса переваривания пищи.
Без наличия доступа к двенадцатиперстной кишке выполнение экзокринной функции поджелудочной железы невозможно, поскольку при этом ферменты остаются в тканях органа. В норме ферменты поджелудочного сока не взаимодействуют с тканями, однако преждевременная активация этих веществ способствует развитию воспалительного процесса. Панкреатоеюностомия помогает восстановить транспортировку ферментов железы в кишечник при хроническом панкреатите.
Причины возникновения и симптомы
Существуют разные причины хронического панкреатита. Наиболее распространенной этиологией болезни является длительное употребление алкоголя. Также панкреатит может быть связан с нарушением работы иммунной системы. Примерно в 30% случаев причину хронического панкреатита не удается установить в ходе диагностики.
Аутоиммунные процессы не в последнюю очередь определяют риск возникновения болезни. При этом собственная иммунная система организма начинает атаковать здоровые ткани. Воспалительные процессы в кишечнике и первичный желчный холангит связаны механизмом развития с хроническим панкреатитом.
Другие причины и факторы риска:
- Сужение выводных протоков поджелудочной железы с нарушением выделения ферментов в двенадцатиперстную кишку.
- Закупорка протока поджелудочной железы конкрементами.
- Кистозный фиброз, сопровождающийся ростом патологических структур в органе.
- Злокачественные новообразования в брюшной полости.
- Нарушение кровоснабжения поджелудочной железы с развитием ишемии.
- Негативная наследственность, связанная с выявлением панкреатита у родственников пациента.
- Гиперкальциемия - высокая концентрация кальция в крови.
- Высокая концентрация триглицеридов в крови.
- Желчекаменная болезнь.
В случае если врач не может установить причины хронического воспаления поджелудочной железы, болезнь называют идиопатической.
Симптоматика хронического панкреатита во многом отличается от острой формы болезни. Неприятные симптомы могут появляться периодически и пропадать. Отсутствие тяжелых некротических процессов и нагноения также определяет меньшую выраженность боли и системных процессов.
- Периодически возникающие боли в верхней части живота.
- Жидкий стул.
- Рыхлый бледный стул из-за избытка жира в каловых массах.
- Тошнота и рвота.
- Нарушение дыхания.
- Необъяснимая потеря веса.
- Чрезмерная жажда и усталость.
- Отек в области живота. на фоне нарушение выделения желчи в кишечник.
- Закупорка кишечника.
Большинство перечисленных симптомов неспецифичны, поэтому врачи при диагностике ориентируются на данные объективных признаков болезни.
Показания к операции и подготовка

Главным показанием к операции является непроходимость протоков железы в области головки или перешейки органа. Перед лечением проводится тщательная диагностика для исключения противопоказаний. К возможным противопоказаниям следует отнести обширный воспалительный процесс, обострение панкреатита, системные инфекции, тяжелое нарушение свертываемости крови и распространенные злокачественные новообразования.
Во время консультации врач объясняет пациенту возможные риски. Панкреатоеюностомия характеризуется низкой оперативной смертностью (меньше 3%) и высокой эффективностью. При соблюдении техники проведения операции и отсутствии осложнений облегчение боли наблюдается у 75% процентов. Совмещение хирургического вмешательства с медикаментозной терапией и строгой диетой показывает хорошие результаты.
Проведение операции
Продольная панкреатоеюностомия проводится посредством широкой срединной лапаротомии для получения доступа к органам брюшной полости. Само вмешательство может быть проведено под местной анестезией или наркозом.
- Обеспечение хирургического доступа к железе через сальник.
- Пункция протока поджелудочной железы для бактериологического анализа содержимого.
- Формирование петли тощей кишки.
- Формирование искусственного анастомоза между просветом протоков поджелудочной железы и тощей кишки.
- Ушивание ран и накладывание стерильной повязки.
В зависимости от состояния пациента и клинической картины болезни помимо операции назначаются ферментные препараты, инсулин, антиоксиданты, антибиотики и другие препараты.
Предварительная диагностика
Для уточнения формы болезни, обширности распространения воспаления и других клинических данных необходима предварительная диагностика. Во время консультации врач спрашивает пациента о симптомах, изучает анамнестические данные и проводит общий осмотр. Далее назначаются инструментальные и лабораторные исследования.
Основные методы диагностики:
- Ультразвуковое обследование поджелудочной железы.
- Эндоскопическое обследование ЖКТ.
- Анализ крови на биохимию.
- Рентгенография с контрастом.
- Компьютерная и магнитно-резонансная томография.
Перечисленные исследования помогают уточнить природу заболевания.
Таким образом, операция по созданию искусственного соустья между кишечником и поджелудочной железой является вариантом лечения хронического панкреатита. Своевременное обращение к врачу помогает назначить наиболее эффективное лечение.
Доступ и ход операции панкреатоеюностомии по Пуэстоу
Областная клиническая больница, Омск, кафедра факультетской хирургии с курсом урологии Омской государственной медицинской академии
Кафедра хирургических болезней с курсом урологии Омской государственной медицинской академии;
Областная клиническая больница, Омск
Омская государственная медицинская академия федерального агентства по здравоохранению и социальному развитию
Способ панкреатоеюностомии при субтотальной резекции головки поджелудочной железы
Журнал: Хирургия. Журнал им. Н.И. Пирогова. 2015;(6): 74‑76
Среди большого количества клинико-морфологических форм хронического панкреатита особое место занимает панкреатит с воспалительными изменениями в головке поджелудочной железы (inflammatory mass in the head of the pancreas) [3]. В течение многих лет стандартом в хирургическом лечении этой формы хронического панкреатита была панкреатодуоденальная резекция. Однако в большинстве исследований показано, что у 45—50% больных потеря дуоденального этапа пищеварения в отдаленном периоде приводит к значительным нарушениям экзо- и эндокринной функции поджелудочной железы, что негативно отражается на качестве жизни [2]. В последние годы шире используется дуоденумсохраняющая резекция головки поджелудочной железы [1].
В 1972 г. H. Beger впервые описал технику изолированной резекции головки поджелудочной железы с сохранением двенадцатиперстной кишки, включающей поперечное пересечение поджелудочной железы на уровне перешейка, отсечение головки от двенадцатиперстной кишки с оставлением 5—8 мм ткани на кишке с формированием двух панкреатикоеюнальных анастомозов на реконструктивном этапе [3]. В 1985 г. Ch. Frey предложил модификацию резекции головки поджелудочной железы с сохранением двенадцатиперстной кишки, дополненную продольной панкреатоеюностомией [5]. Однако операция Frey не являлась адекватной при наличии билиарной и портальной гипертензии. В 2000 г. описан бернский вариант операции Beger — субтотальная дуоденумсохраняющая резекция головки без поперечного пересечения поджелудочной железы с оставлением задней паренхиматозно-капсулярной пластинки и ободка панкреатической ткани толщиной 3—5 мм вдоль стенки двенадцатиперстной кишки [6]. Почти одновременно было опубликовано описание способа, предложенного G. Farkas, который заключается в субтотальной резекции головки поджелудочной железы с последующей терминолатеральной панкреатоеюностомией на отключенной по Ру тонкой кишке [4].
С учетом органосохраняющей направленности в хирургии поджелудочной железы разработка способов хирургического лечения хронического панкреатита с сохранением паренхимы органа является актуальной проблемой.
Нами разработан новый способ панкреатоеюностомии 1 при субтотальной резекции головки поджелудочной железы (рис. 1). Задачей изобретения явилось создание функционально выгодного внутреннего дренирования протоковой системы поджелудочной железы при изолированной субтотальной резекции головки, сочетающего упрощение техники анастомоза и снижение риска его несостоятельности. Непременным условием разработанного способа является оставление паренхиматозно-капсулярной пластинки задней стенки поджелудочной железы, использующейся в качестве каркаса, ограничивающего полость для анастомозирования с тонкой кишкой, а также наличие проходимости и отсутствие стриктур главного панкреатического протока в дистальных отделах поджелудочной железы.

Рис. 1. Схема панкреатоеюностомии. Объяснения в тексте.
Мобилизацию петли тонкой кишки по Ру осуществляли таким образом, что оральный конец кишки не ушивали. Для соответствия диаметра анастомозируемой полости, полученной после резекции головки поджелудочной железы (см. рис. 1, б), и просвета тонкой кишки оральный конец петли тонкой кишки дополнительно продольно рассекали по противобрыжеечному краю (см. рис. 1, а). Термино-терминальную панкреатоеюностомию выполняли однорядным непрерывным швом двумя нерассасывающимися нитями, каждую из которых проводили через край анастомозируемой полости поджелудочной железы и стенки тонкой кишки, захватывая серозный, мышечный и подслизистый слои от орального конца до места рассечения ее в дистальном направлении, формируя последовательно сначала нижнюю (см. рис. 1, в), а затем верхнюю губу анастомоза, после чего находящиеся рядом концы противоположных нитей натягивали с дозированным усилием для герметизации совмещенных тканей и связывали между собой (см. рис. 1, г). При этом плотная, фиброзно-измененная ткань поджелудочной железы не дает анастомозу гофрироваться.
Приводим клинический пример.
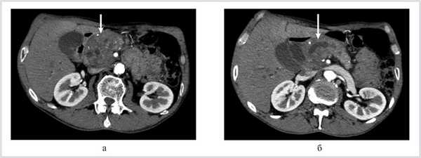
Больной Ш., 59 лет, оперирован 3 мес назад в одной из клиник города с подозрением на рак головки поджелудочной железы в объеме диагностической лапаротомии и пункционной биопсии. Гистологическое заключение: хронический панкреатит. После операции сформировался наружный панкреатический свищ. При поступлении больной предъявлял жалобы на постоянную боль в мезогастральной области, наличие жидкого стула и снижение массы тела. Установлен диагноз: хронический калькулезный панкреатит с изолированным поражением головки поджелудочной железы. Этот диагноз был подтвержден результатами мультиспиральной компьютерной томографии: имелись увеличение головки поджелудочной железы до 5—6 см (рис. 2, а), внутрипротоковая гипертензия в виде равномерной вирсунгэктазии (13—14 мм) без нарушения проходимости главного панкреатического протока (см. рис. 2, б).

Рис. 2. Компьютерные томограммы. а — увеличение головки поджелудочной железы (стрелка); б — расширение вирсунгова протока (стрелка).
Больному выполнили вмешательство в объеме субтотальной резекции головки поджелудочной железы, используя бернский вариант операции Beger с однорядной термино-терминальной панкреатоеюностомией. Резекционный этап выполнили по известной методике, диаметр полости после резекции головки поджелудочной железы получился около 4—4,5 см. Для достижения соответствия просвета тонкой кишки диаметру полости, полученной после резекции головки поджелудочной железы, произвели продольное рассечение незаглушенного орального конца петли тонкой кишки по противобрыжеечному краю на протяжении 2,5—3 см. Далее сформировали нижнюю губу анастомоза однорядным непрерывным швом нерассасывающейся нитью пролен 3/0 (рис. 3, а). Убедившись, что продольного рассечения незаглушенного конца тонкой кишки достаточно для совмещения ее просвета с анастомозируемой полостью резецированной головки поджелудочной железы, начали формирование верхней губы анастомоза. Верхнюю губу термино-терминальной панкреатоеюностомы выполнили с помощью второй непрерывной нерассасывающейся нити пролен 3/0 также однорядным швом. При формировании анастомоза захватывали серозный, мышечный и подслизистый слои стенки тонкой кишки. В результате для создания анастомоза были использованы всего две нити. Далее находящиеся рядом концы противоположных нитей были связаны между собой без дополнительной перитонизации (см. рис. 3, б). Длительность операции 2 ч 40 мин. Кровопотеря 200 мл. Операция закончена установкой двух контрольных полихлорвиниловых трубок, которые были удалены на 2-е и 3-и сутки. На 16-й день после операции больной выписан. Рана зажила первичным натяжением.

Рис. 3. Интраоперационные фотографии. а — формирование нижней губы панкреатоеюноанастомоза; б — сформированный панкреатоеюноанастомоз.
Данные гистологического исследования резецированной головки поджелудочной железы: хронический фиброзирующий панкреатит с очаговым аденоматозом протоков и кальцинатами, очаги гнойного воспаления (микроабсцессы).
Предложенный способ позволил устранить внутрипротоковую гипертензию при хроническом панкреатите, обеспечить функционально выгодное внутреннее дренирование протоковой системы поджелудочной железы путем создания анастомоза конец в конец при минимальном количестве выпол-няемых швов, снизить риск несостоятельности сформированного анастомоза, упростить технику и сократить длительность операции.
Материал и методы
Описание оригинальной методики
В 1987 г. C. Frey и G. Smith предложили новый способ хирургического лечения ХП [7]. Это оперативное вмешательство, которое принято называть операцией Фрея, заключается в резекции головки ПЖ с сохранением двенадцатиперстной кишки (ДПК) и продольной панкреатоеюностомией на протяжении тела и хвоста железы с выключенной по Ру петлей тощей кишки (рис. 1). Рисунок 1. Схема оперативного лечения хронического панкреатита, предложенного C. Frey и G. Smith в 1987 г. [7]. а - объем резекции головки поджелудочной железы. Рисунок 1. Схема оперативного лечения хронического панкреатита, предложенного C. Frey и G. Smith в 1987 г. [7]. б - реконструктивный этап операции. В отличие от операции Бегера полное пересечение ПЖ в области перешейка не производится.
Лапаротомия выполняется двухподреберным доступом. После мобилизации ДПК по Кохеру рассекается желудочно-ободочная связка, и передняя поверхность ПЖ становится доступной осмотру. Главный проток поджелудочной железы (ГПП) вскрывается продольно на всем протяжении, при этом удаляются конкременты, рассекаются стриктуры. Выделяются воротная и верхняя брыжеечная вены выше и ниже перешейка железы. По мнению авторов, этот прием позволяет избежать полного пересечения железы и предупреждает повреждение указанных сосудов. Рассасывающейся нитью накладываются превентивные гемостатические швы на ткань головки ПЖ параллельно и отступя 3-4 мм от края ДПК. C помощью электрокоагулятора резецируется ткань головки ПЖ с оставлением вдоль внутреннего края ДПК слоя паренхимы, который содержит ветви верхних и нижних панкреатодуоденальных артерий, обеспечивающих кровоснабжение кишки. Авторы рекомендовали сохранять переднюю панкреатодуоденальную аркаду и избегать травмы интрапанкреатической части общего желчного протока. Для лучшей идентификации общего желчного протока предложено его маркировать металлическим бужом, после чего передняя поверхность протока освобождается от фиброзно-измененных тканей. Медиально, справа от воротной вены, сохраняется участок паренхимы железы шириной 4-5 мм во избежание ранения конфлюенса воротной вены и пересечения перешейка. Продольный панкреатоэнтероанастомоз с рассеченным ГПП и резецированной головкой ПЖ авторы предлагали формировать двухрядным швом. Внутренний ряд отдельных швов накладывается нитью PDS 3/0 (Polydioxanone, PDS - торговое название) наружный ряд - шелком 3/0. Подобный вариант создания продольного панкреатоеюноанастомоза был предложен P. Partington и R. Rochelle еще в 60-м году прошлого века [13].
В 2003 г. C. Frey и K. Mayer [6] сообщили о модификациях техники операции. Авторы отказались от выделения воротной вены выше ПЖ. При этом по-прежнему рекомендовали мобилизацию верхней брыжеечной вены по нижнему краю железы «…для обеспечения представления о расположении сосудов за перешейком ПЖ». Для достижения гемостаза перевязывается желудочно-сальниковая артерия в месте ее отхождения. Особое внимание уделяется адекватности дренирования протоков крючковидного отростка головки ПЖ. Авторы не описывают изменения техники формирования панкреатоэнтероанастомоза, однако отмечают, что возможно вовлечение в швы анастомоза и стенки ДПК при тонкой прослойке паренхимы головки ПЖ.
Показания и противопоказания к операции Фрея
Операция Фрея показана больным ХП со стойким болевым синдромом на фоне панкреатической гипертензии, обусловленной камнями, стриктурами ГПП и/или постнекротическими кистами железы (рис. 2) Рисунок 2. Результаты инструментального обследования больных хроническим калькулезным панкреатитом, которым показана операция Фрея. а - СКТ органов брюшной полости. Отсроченная фаза. Увеличенная фиброзно-измененная головка поджелудочной железы (стрелка). Рисунок 2. Результаты инструментального обследования больных хроническим калькулезным панкреатитом, которым показана операция Фрея. б - СКТ органов брюшной полости. Отсроченная фаза. Увеличенная фиброзно-измененная головка поджелудочной железы, киста головки поджелудочной железы (стрелка). Рисунок 2. Результаты инструментального обследования больных хроническим калькулезным панкреатитом, которым показана операция Фрея. в - СКТ органов брюшной полости. Нативное исследование. Панкреатическая гипертензия, вирсунголитиаз (стрелка). Рисунок 2. Результаты инструментального обследования больных хроническим калькулезным панкреатитом, которым показана операция Фрея. г-УЗИ органов брюшной полости. В-режим. Киста головки поджелудочной железы, панкреатическая гипертензия (стрелки). [4, 5, 7]. Противопоказаниями к этой операции являются сдавление верхней брыжеечной вены с развитием региональной портальной гипертензии, дуоденальная дистрофия и невозможность исключить опухолевую природу заболевания [6, 10-12]. При перечисленных осложнениях ХП необходимо выполнение субтотальной резекции головки ПЖ (операция Бегера) или панкреатодуоденальной резекции с сохранением привратника. Относительным противопоказанием, по нашему мнению, является наличие билиарной гипертензии. Освобождение интрапанкреатической части общего желчного протока из рубцовых тканей существенно затрудняет и увеличивает длительность операции, требует маркировки протока зондом. В подобных наблюдениях целесообразнее формировать единую полость, включающую вскрытую интрапанкреатическую часть общего желчного протока и ГПП, анастомозируемую с просветом тощей кишки, - «бернский вариант» резекции головки ПЖ [8].
Описание техники выполнения операции Фрея, используемой в Институте хирургии им. А.В. Вишневского
Производится поперечная или двухподреберная лапаротомия. Для достижения максимального качества оперирования и обеспечения оптимальной экспозиции, устанавливается универсальный ранорасширитель с креплением к операционному столу и круговым незамкнутым контуром фирмы «Sattler Medizintechnik» (Германия). Моделируя положения дуг под конкретные анатомические условия и хирургический доступ, обеспечивается возможность широкого и, что особенно важно - абсолютно стабильного обзора операционного поля (рис. 3 см. на цв. вклейке). Рисунок 3. Интраоперационные фотографии. Этапы выполнения операции Фрея. а - операционный доступ. Установлен универсальный ранорасширитель. Вид раны со стороны оперирующего хирурга. Рисунок 3. Интраоперационные фотографии. Этапы выполнения операции Фрея. б - вид раны со стороны ассистентов. Рисунок 3. Интраоперационные фотографии. Этапы выполнения операции Фрея. в - произведена резекция головки поджелудочной железы, вскрыт главный проток поджелудочной железы на всем протяжении (стрелка). Рисунок 3. Интраоперационные фотографии. Этапы выполнения операции Фрея. г - этап формирования панкреатоеюно анастомоза на выключенной по Ру петле тонкой кишки. Нижний ряд швов (стрелка). Рисунок 3. Интраоперационные фотографии. Этапы выполнения операции Фрея. д - этап формирования панкреатоеюноанастомоза на выключенной по Ру петле тонкой кишки. Верхний ряд швов (стрелка). Количество используемых лопаток определяется конституциональными особенностями пациента и конкретной ситуацией. Использование данного ранорасширителя позволяет отказаться от второго ассистента.
После установки ранорасширителя вскрывается сальниковая сумка. Для определения расположения верхней брыжеечной вены ориентиром служит срединная вена поперечной ободочной кишки, верхняя брыжеечная вена не выделяется. Производится мобилизация ДПК по Кохеру. Последний прием должен обеспечивать свободное введение кисти левой руки позади головки ПЖ. Вскрытие просвета ГПП выполняется на том участке, где он лучше визуализируется или определяется пальпаторно - как правило, в области тела железы. В редких случаях, когда идентификация ГПП затруднена, выполняем интраоперационное УЗИ, позволяющее безошибочно обнаружить и вскрыть проток. После вскрытия последнего на небольшом протяжении, он рассекается электроножом на всем протяжении к хвосту и головке ПЖ. Далее, левой рукой, введенной под головку ПЖ и ДПК, последние фиксируются и, ориентируясь на пальцы левой кисти, производится резекция ткани головки и крючковидного отростка. Этот прием позволяет уверенно резецировать ткань без опасения «выхождения» за пределы резецируемого органа. Паренхима иссекается тонкими пластинами по спирали от вскрытого ранее просвета ГПП к периферии с помощью электроножа. Верхняя поджелудочнодвенадцатиперстная артерия часто располагается в зоне резекции, что требует ее пересечения и перевязки. Культя артерии в последующем не должны входить в линию швов анастомоза. При завершении резекции остается слой ткани железы шириной не более 5 мм по периметру головки и крючковидного отростка. Дном образованной полости является тонкая прослойка ткани, через которую четко определяются пальцы левой кисти, расположенные позади головки. Все конкременты из оставшейся ткани головки и крючковидного отростка должны быть удалены. Поскольку конкременты часто имеют коралловидную форму и плотно фиксированы, они удаляются с иссечением прилежащей ткани, что уменьшает травму паренхимы ПЖ. После завершения резекции кончик зонда или диссектора должен свободно проходить через большой сосочек ДПК в ее просвет. При отсутствии желчной гипертензии обнажения стенки общего желчного протока не требуется. Окончательный гемостаз должен быть чрезвычайно тщательным и обеспечивается за счет прошивания. Срочное гистологического исследования удаленной ткани железы является строго обязательным для исключения опухолевой природы заболевания.
Тощая кишка пересекается в 20-30 см от связки Трейтца на уровне первой артериальной аркады. Формируется «Ру-петля» длиной не менее 50 см с формированием межкишечного анастомоза конец-в-бок однорядным непрерывным швов. Изолированная петля проводится позади ободочной кишки через окно в мезоколон. Кишка рассекается по противобрыжеечному краю до слизистого слоя, отступя 1 см от ее культи. Длина разреза стенки кишки должна быть короче протяженности вскрытого ГПП и полости резекцированной головки на 5-10 мм. Формирование панкреатоеюноанастомоза начинается с дистального угла. В крайней дистальной части вскрытого ГПП ткань железы прошивается двумя полипропиленовыми лигатурами 3/0 длиной 70 см. Лигатуры должны располагаться в 2-3 мм одна над другой. Нижней лигатурой формируется нижняя губа панкреатоеюноанастомоза обвивным швом в один ряд. Расстояние между стежками 5-7 мм, глубина захвата стенки кишки и ткани ПЖ не менее 5-6 мм. Далее окончательно вскрывается просвет кишки. Ранее наложенной верхней лигатурой аналогично формируется верхняя губа анастомоза на две трети ее длины. Оставшаяся часть анастомоза прошивается новой лигатурой. Подобный способ формирования верхней губы анастомоза позволяет производить ревизию последнего в случае возникновения кровотечения в ближайшем послеоперационном периоде с наименьшей травмой ткани ПЖ. В завершении операции Ру-петля подшивается в окне брыжейки поперечной ободочной кишки. К области сфомированного анастомоза подводится дренажная трубка.
Результаты и обсуждение
По описанной методике с 2007 по 2010 г. в Институте хирургии им. А.В. Вишневского выполнено 60 операций. Мужчин было 56 (93,3%), женщин - 4 (6,7%). Возраст больных колебался от 21 до 71 года (в среднем 48,1±1,2 года). Во всех наблюдениях заболевание возникло на фоне злоупотребления алкоголем. Средняя продолжительность операции составила 4 ч 32 мин ± 1 ч 39 мин. Послеоперационные осложнения различной степени тяжести развились у 21 (35%) больного. Только у 4 (6,7%) больных тяжесть послеоперационных осложнений расценена как «grade III - grade V» и выше по классификации P. Clavien [3]. Кровотечение в просвет панкреатоеюноанастомоза на 3-и сутки после операции возникло у 2 больных; в одном наблюдении удалось ограничиться консервативным лечением, в другом была выполнена релапаротомия, разобщение передней губы анастомоза, прошивание кровоточащего сосуда ПЖ, восстановление анастомоза.
Послеоперационный панкреатит развился у 17 (28,3%) больных; осложнение соответствовало отечной форме панкреатита у 16, панкреонекрозу - у 1 больного. Панкреонекроз привел к аррозионному кровотечению в просвет анастомоза, что потребовало релапаротомии, разобщения панкреатоеюноанастомоза, прошивания кровоточащего сосуда. Несостоятельность швов анастомоза с последующим формированием панкреатических свищей возникла в 2 наблюдениях. Свищи закрылись самостоятельно через 2 и 3 мес после операции. Средняя длительность пребывания в стационаре после операции составила 12±4 койко-дня. Умер 1 (1,7%) больной от полиорганной недостаточности на фоне панкреонекроза.
Хронический панкреатит является тяжелым заболеванием, которое часто приводит к развитию осложнений, требующих хирургического лечения:
- болевой синдром в эпигастральной области, рефрактерный к медикаментозному лечению;
- подозрение на опухоль ПЖ на фоне воспалительных изменений паренхимы;
- стеноз интрапанкреатической части общего желчного протока с развитием билиарной гипертензии, механической желтухи;
- панкреатическая гипертензия, обусловленная стриктурами главного протока ПЖ, вирсунголитиазом;
- сдавление верхней брыжеечной и/или воротной вены с развитием синдрома региональной портальной гипертензии;
- сдавление ДПК с развитием дуоденальной непроходимости (необходимо дифференцировать с дуоденальной дистрофией);
- постнекротические кисты поджелудочной железы (особенно ложные аневризмы артерий бассейна чревного ствола, верхней брыжеечной артерии).
Все операции на ПЖ сопряжены с высоким риском развития послеоперационных осложнений, поэтому их выполнение требует строгого соблюдения показаний к хирургическому лечению. По данным мировой литературы, в ближайшем послеоперационном периоде у 18 - 55% больных развивались осложнения различной степени тяжести [5, 9, 11]. R. McClaine и соавт. [11] опубликовали данные, показывающие, что в 9% наблюдений повторно производились операции в связи с развившимися осложнениями, а панкреатические свищи развились у 14% больных. По данным C. Frey и соавт. [5, 6], послеоперационные осложнения отмечались у 19-22% больных, послеоперационная летальность составила 0,7%. H. Beger и соавт. при анализе собственного опыта выполнения резекций головки ПЖ отмечают, что послеоперационная летальность составляет 0,8%, частота релапаротомий - 5,6%, общая частота осложнений - 20% [2, 14]. Средняя продолжительность пребывания в стационаре после операции составляла 14-19 койко-дней (от 7 до 87 койко-дней) [2, 5, 14].
Выполняя операцию Фрея, мы стремились свести к минимуму ее травматичность, именно поэтому полностью отказались от выделения воротной и верхней брыжеечной вен. Формирование панкреатоеюноанастомоза однорядным обвивным швом, по нашему мнению, уменьшает повреждение паренхимы железы, обеспечивая при этом необходимую герметичность. Незамкнутая конструкция непрерывного шва, созданного тремя нитями, обеспечивает равномерное распределение внутриполостного давления и уменьшает натяжение тканей по линии швов.
Несмотря на то что мы являемся сторонниками и пропагандистами лапароскопических и робот-ассистированных методов выполнения операций на ПЖ, операцию Фрея, по нашему мнению, целесообразно исполнять из традиционного доступа. Причин для этого несколько. Часто возникающее кровотечение из мелких артерий ПЖ, которое легко останавливается прошиванием после временного гемостаза за счет придавливания пальцем, трудно останавливать при эндоскопическом доступе. Коагуляционный гемостаз, являющийся основным в эндоскопической хирургии, при этой операции ненадежен. Значительная протяженность непрерывного шва и необходимость при этом обеспечивать равномерное тугое натяжение нити существенно усложняют эндоскопическую операцию.
Таким образом, применяемая нами техника выполнения резекции головки ПЖ с формированием продольного панкреатоеюноанастомоза относительно проста и достаточно надежна. Только у 6,7% больных тяжесть послеоперационных осложнений расценена как «grade III» и выше. При формировании продольного панкреатодигестивного анастомоза мы отдаем предпочтение непрерывному однорядному шву.
Концепция дренирования обтурированного главного панкреатического протока вначале основывалась на вскрытии либо проксимального конца протока в ампуле посредством сфинктеротомии, либо дистального конца протока посредством резекции хвоста (операция Дюваля). Заслуга Puestow состоит во внедрении продольного рассечения главного панкреатического протока в теле и головке поджелудочной железы. Эта операция была впервые описана как модификация операции Дюваля, и поэтому включала резекцию хвоста поджелудочной железы.
Partington и Rochelle установили, что в резекции хвоста необходимости нет, и выполняли только боковую панкреатикоеюностомию «бок в бок». Принцип операции состоит в декомпрессии обтурированного главного панкреатического протока (и возможно также в декомпрессии паренхимы поджелудочной железы - при синдроме повышения панкреатического давления, описанном Reber). Это предположение основывается на факте затрудненного оттока панкреатического секрета из протока, расширенного в значительной степени.
а) Показания:
- Хроническая постоянная боль
- Для профилактики эпизодов обострений хронического панкреатита
- Для разрешения симптоматической псевдокисты поджелудочной железы
- Для предотвращения прогрессирующего снижения экзокринной и эндокринной функции поджелудочной железы
б) Противопоказания:
- Хронический панкреатит «малого протока» (- Внепеченочная обструкция вен (вследствие риска кровотечения)
- Подозрение на злокачественный процесс
- Выраженный цирроз печени
в) Предоперационные исследования и подготовка к операции:
1. Анамнез. Хроническая, упорная боль в эпигастрии или обострение типичной панкреатической боли, злоупотребление алкоголем или другие возможные причины хронического панкреатита.
2. Клиническое обследование. Наличие или отсутствие приема наркотических средств и потребность в них (если присутствует наркомания, оцените необходимость в послеоперационной детоксикации), частота госпитализаций, состояние питания, состояние функции поджелудочной железы (экзокринной и эндокринной), риск обезболивания по шкале анестезиологического риска (ASA).
3. Лабораторные исследования. Сывороточная амилаза и/или липаза, альбумин, щелочная фосфатаза, ГГТ (гамма глутамилтранспептидаза), билирубин, параметры гемостаза, основной опухолевый маркер карциномы поджелудочной железы (раковый антиген СА 19-9), глюкоза.
4. Селективные исследования. КТ или МРТ/МРХПГ, ЭРХПГ по показаниям.
5. Подготовка к операции. Коррекция эндокринного статуса (инсулин) и экзокринного статуса (заместительная ферментная терапия), при необходимости подготовка кишечника, предоперационная профилактическая антибактериальная терапия.
г) Операция: боковая панкреатикоеюностомия (модифицированная операция Пуэстоу (Puestow)):
1. Экспозиция и ревизия облегчаются введением ретрактора (Томпсона). Доступ в малый сальник осуществляется путем разделения желудочно-ободочной связки.
Широко рассекаются любые «врожденные» или приобретенные спайки между задней поверхностью желудка и передней поверхностью поджелудочной железы, обнажая переднюю поверхность железы; правые желудочно-сальниковые артерию и вену, которые находятся между головкой поджелудочной железы и привратником, необходимо обнаружить и сохранить.

2. Мобилизация нижнего края тела поджелудочной железы. Найдите нижнюю брыжеечную вену слева от позвоночника и сохраните ее.
Диссекция выполняется от тела к головке поджелудочной железы. Это облегчает бимануальное исследование и пальпацию передней поверхности железы. Установите широкий ретрактор под заднюю стенку желудка и отведите его кверху.
Расположение главного панкреатического протока определяется пальпаторно.

3. Оценка поджелудочной железы не вызывает затруднений, вследствие ее плотной, фиброзной структуры.
Расширенный главный панкреатический проток ощущается рукой как большая вена в виде перекатывающейся структуры с четким «желобком».
Фиброзная ткань железы с обеих сторон прощупывается как плотные тяжи, ограничивающие более мягкую область паренхимы.
После ориентировочной пальпации, сквозь переднюю поверхность поджелудочной железы в панкреатический проток вводится игла 22 G; при извлечения иглы, вы должны получить прозрачную жидкий аспират, наличие которого подтверждает успешную пункцию главного панкреатического протока. Цель этого маневра состоит в том, чтобы избежать рассечения селезеночной вены или другой структуры, ошибочно принятой за главный панкреатический проток.
После обнаружения протока передняя поверхность тела поджелудочной железы рассекается электрокаутером до панкреатического протока параллельно и рядом с иглой, которая остается в панкреатическом протоке в качестве ориентира.

4. Изогнутый под прямым углом зажим облегчает широкое раскрытие протока электрокаутером от хвоста поджелудочной железы до ее головки. По достижении колена главного панкреатического протока, необходимо расширить разрез через колено до ампулы. Этот маневр требует не только поворота разреза вниз, но также значительного увеличения глубины разреза через паренхиму головки поджелудочной железы, так как проток в этом месте отклоняется кзади.
Эта область богато кровоснабжается, и в ходе разреза может возникнуть кровотечение. Считается, что вероятность успеха в значительной степени зависит от адекватности дренирования головки поджелудочной железы именно таким способом. Дренирование хвоста поджелудочной железы считается менее важным, за исключением тех случаев, когда патологический процесс локализован преимущественно в хвостовой части органа.
После получения достаточного пространства можно использовать зажим Сера. Все обнаруженные камни нужно удалить не только из главного протока, но и из протоков второго порядка.

5. Подготовка Y-образной петли тощей кишки по Ру. Для анастомоза выбирается место примерно на 15 см дистальнее связки Трейтца, так чтобы можно было легко выполнить еюноеюностомию. Брыжейка пересекается между зажимами для мобилизации петли по Ру. Для пересечения тощей кишки в этом месте используется сшивающий аппарат GIA.
Затем выбирается бессосудистая зона в левой половине брыжейки поперечноободочной кишки. Создается окно, через которое можно провести дистальный пересеченный конец тощей кишки. Важно избежать избыточного натяжения брыжейки; иногда, чтобы получить подвижную петлю, необходимо пересечь стволовые ветви сосудов брыжейки тощей кишки под аркадой. Пересеченный конец тощей кишки подводится к головке поджелудочной железы, и начинается наложение анастомоза «бок в бок».

6. Панкреатикоеюностомия. Анастомоз выполняется однорядным швом из нерассасывающейся нити. Мы используем две отдельные нити из шелка 3-0. Задний ряд накладывается сначала, еще до рассечения тощей кишки (А-1.1). Следите за тем, чтобы промежутки между швами в тощей кишке были меньше, чем межшовные расстояния на протоке. Первый шов накладывается непосредственно в углу рассеченного протока в хвостовой части железы, последующие швы - по направлению к головке поджелудочной железы (А-1.2).
Промежутки между швами на тощей кишке могут быть не более 3 мм, тогда как промежутки на панкреатическом протоке могут составлять 6 мм. Глубина введения иглы в ткань железы и в проток зависит от самой железы. В относительно тонкой паренхиме швы накладываются непосредственно на проток. Иногда при очень толстой паренхиме следует прошивать капсулу железы, а швы могут быть завязаны над эпителием главного панкреатического протока. Швы не завязываются до полного наложения ряда в направлении головки поджелудочной железы.
Затем петля тощей кишки укладывается именно так, как это необходимо для наложения анастомоза, и все швы завязываются.
В тощей кишке выполняется разрез, соответствующий размеру панкреатического протока. На кишке швы накладываются более часто, поскольку при рассечении кишка обычно расслабляется и растягивается, что приводит к очень плохому сопоставлению стежков в переднем ряду швов.

Передний ряд швов начинается с заглубления углового шва заднего ряда путем подтягивания этого шва к разрезу протока и наложения на каждый угол разреза в тощей кишке шва по Ламберу. Выполняется переход от швов, наложенных «снаружи внутрь» на задней стенке, к переднему ряду «изнутри наружу» на передней стенке. Такие швы нужно наложить на оба угла, угловые швы заднего ряда можно срезать.
В противоположность заднему ряду швов, каждый шов в передней линии завязывается сразу после наложения. Это особенно удобно для выравнивания и обеспечения совпадения размеров разрезов для анастомоза (А-2).
Чтобы выровнять кишку относительно линии анастомоза, после наложения двух угловых швов на петлю тощей кишки, посередине между правым и левым краем разреза панкреатического протока накладывается шов по Ламберу. Затем на тощую кишку посередине расстояния между центральным швом и углами разреза накладываются швы, фиксирующиеся к верхнему краю разреза панкреатического протока. После этого анастомоз легко завершается отдельными швами из шелка 3-0, заполняющими промежутки между уже наложенными швами.
Место, где тощая кишка проходит через брыжейку поперечно-ободочной кишки, должно быть фиксировано к брыжейке отдельными шелковыми швами; это поможет предотвратить образование внутренней грыжи.
Наконец, на 40 см дистальнее панкреатикоеюностомии выполняется еюноеюностомия «конец в бок». Мы предпочитаем ручной анастомоз с наружным рядом из отдельных шелковых швов 3-0 и внутренним рядом, наложенным непрерывной рассасывающейся нитью из полигликолевой кислоты.

д) Послеоперационные исследования:
- Наблюдение для выявления кровотечения в первые 24 часа
- Мониторинг уровня сывороточной глюкозы - непереносимость глюкозы возможна даже у пациентов, которым до операции инсулин не требовался
- Усиленно способствуйте прогрессирующему снижению приема наркотических анальгетиков (также и после выписки из стационара)
- Шкалы оценки боли могут иметь некоторое значение, однако окончательный итог можно подвести только после того, как пациент сможет отказаться от наркотических средств
е) Местные послеоперационные осложнения:
1. Ближайшие:
- Внутрибрюшное кровотечение
- Подтекание из панкреатического протока (постоянное отделяемое по дренажу)
- Непереносимость глюкозы вследствие операционного стресса
- Синдром отмены алкоголя
- Раневая инфекция
2. Отдаленные:
- Отсутствие снижения выраженности болевого синдрома
- Продолжающийся прием наркотических средств
- Рецидивы панкреатита
- Прогрессирующее снижение функции поджелудочной железы
ж) Советы опытного хирурга:
- Проток может пальпироваться с большим трудом, поэтому используйте различные приемы пальпации.
- Мобилизуйте двенадцатиперстную кишку по Кохеру и тщательно пропальпируйте головку поджелудочной железы.
- Выполните интраоперационную ультрасонографию.
- Выберите область в середине тела поджелудочной железы и сделайте вертикальный разрез в надежде пересечь проток.
- Если паренхима рассечена, хирург может безопасно массировать хвост и проксимальную часть тела железы, надеясь получить панкреатический сок.
- Не стоит пытаться войти в панкреатический проток непосредственно над слиянием верхней брыжеечной/воротной/селезеночной вены - слишком глубокий разрез может привести к тяжелому кровотечению.
- Обеспечьте наиболее точное совпадение размеров разрезов протока и тощей кишки; несовпадение разрезов может привести к несостоятельности анастомоза.
Читайте также:
