Движения нижней челюсти. Суставы нижней челюсти.
Добавил пользователь Евгений Кузнецов Обновлено: 13.12.2025
Наша клиника специализируется в ревматологии и неврологии, мы занимаемся лечением заболеваний височно-нижнечелюстного сустава и периферических нервов лица (невралгия тройничного нерва, парез лицевого нерва и т.д.).
Наша основная задача - точно установить причину страдания височно-нижнечелюстного сустава и выяснить, что именно приводит к лицевой боли: ревматическое заболевание височно-нижнечелюстного сустава, инфекционный процесс (тонзиллит, гайморит, киста зуба и т.д.), неправильный прикус, перенесенная травма, неправильно развитая головка височно-нижнечелюстного сустава и т.д. Болезни суставов и мышц челюсти обычно успешно поддаются лечению.
Все наши неврологи прошли солидную дополнительную подготовку по рентгенологии, остеопатии и мануальной терапии, восстановительному лечению. Воспалительными заболеваниями суставов занимается врач ревматолог. По ходу лечения Вы сможете поддерживать контакт с вашим врачом лично, по электронной почте и по телефону.
Подвижность нижней челюсти обеспечена двумя суставами, соединяющими челюсть с височными костями. Подробнее о строении здесь
Два сустава нижней челюсти в норме должны работать синхронно и симметрично. Тогда нагрузка на суставы распределяется правильно. Это обеспечивается синхронной работой мощных жевательных мышц, которую контролирует мозг.

Чтобы защитить сустав от перегрузок природа поместила внутрь сустава хрящевой эластичный диск. Диски равномерно распределяют нагрузку на поверхность височно-нижнечелюстных суставов.
Основные причины дисфункции ВНЧС:
- Последствия травмы сустава - это перенесенный, иногда очень давно, удар в челюсть. Если симметричность движений височно-нижнечелюстных суставов после удара восстановилась не до конца - со временем хрящи в суставе разрушатся от перегрузки (посттравматический артроз).
- Нарушение прикуса (смыкания зубов), последствия неадекватного лечения и протезирования зубов. В этих случаях мы обычно видим постоянное чрезмерное напряжение мышц одной половины челюсти. Напряженные мышцы препятствуют нормальным движениям височно-нижнечелюстного сустава: не позволяют суставу открыться полностью. Поэтому при открывании рта сустав противоположной стороны вынужден открываться чрезмерно, от чего постепенно разрушается (разрушение сустава - артроз).
- Неправильно развитый височно-нижнечелюстной сустав (недоразвита суставная головка). В этом случае в суставе повышено трение, жевательная нагрузка «сбрасывается» на другой, здоровый, сустав, перегружая его.
Возможны следующие проблемы:
- Боль в мышцах с одной стороны и в суставе другой стороны;
- Подвывих или вывих перегруженного сустава;
- Разрыв суставного диска;
- Боль и хруст при движении челюстей;
- Шум в ухе (сустав находится совсем рядом с ухом) или синдром Костена;
- Повышенный износ зубов.
Суставные симптомы
- Хруст, щелчки, боль при движении челюстью;
- При медленном широком открывании рта челюсть совершает С- или S-образные движения;
- Невозможность плавно открыть рот;
- Припухлость и боль в области сустава (между щекой и ушной раковиной;
- Недостаточное или асимметричное открывание рта;
- Шум в ухе;
- Повышенный износ зубов.
Мышечные симптомы
- Болевые точки в мышцах лица (их часто принимают за боли тройничного нерва);
- Усталость при жевании;
- Жевание на одной стороне при наличии полного комплекта зубов;
- Боли при жевании;
- Недостаточное или асимметричное открывание рта;
- Повышенный износ зубов.
Вы можете сами выполнить тест жевательных мышц. Для этого откройте рот на ½ ширины и поместите пальцы правой руки, от указательного до мизинца, на левую щеку, а большой палец в рот. Таким образом, щека окажется между Вашими пальцами. В области последних 2х зубов нащупайте жевательные мышцы. Сжав мышцы между большим пальцем и остальными пальцами прощупайте мышцы сверху вниз или снизу вверх. То же сделайте левой рукой справа. Оцените следующее:
- разницу в толщине и консистенции (напряженная мышца тверже) мышц справа и слева;
- болезненность мышц справа и слева.
Миофасциальный болевой синдром лица. Это болезненное напряжение лицевых и жевательных мышц, мускулатуры скальпа и шеи. Оно редко бывает заметно внешне, но легко распознается при исследовании типичных болевых мышечных точек. Мы часто видим, что такие пациенты получают необоснованное лечение по поводу невралгии тройничного нерва. Однако повышенный мышечный тонус повышается из-за чрезмерного нервного напряжения.
Лицевые боли и нарушения в работе жевательных мышц (тризм, бруксизм ССЫЛКА) могут быть как симптомом, так и причиной нервных расстройств. Это хронический стресс, депрессия, невроз, расстройства вегетативной нервной системы, бессонница.
Они успешно поддаются лечению, и мы будем рады помочь Вам!
Диагноз строится, в основном, на данных, полученных при тщательном осмотре и обследовании каждого пациента:
- исследование тройничного нерва (неврологический осмотр, электромиография лица),
- ручное исследование височно-нижнечелюстных суставов,
- ультразвуковое исследование (УЗИ) височно-нижнечелюстных суставов,
- ручное исследование или УЗИ мышц лица,
- исследование прикуса.
При необходимости мы предложим Вам выполнить:
- рентгеновское исследование или МР-томографию височно-нижнечелюстных суставов,
- анализы на предмет ревматического или инфекционного заболевания ВНЧС.
Мы предложим Вам лечение дисфункции височно-нижнечелюстных суставов в зависимости от причин:
- Если у Вас нарушен прикус, отсутствуют зубы, неудачный зубной протез. В этом случае мы попытаемся максимально адаптировать Ваши суставы и мышцы к Вашим зубам. Помогут специальные упражнения, массаж и самомассаж жевательных мышц. Мы широко используем остеопатическое лечение. Это метод ручного восстановления правильной работы суставов. Врач со специальной подготовкой по остеопатии мягко и безопасно расслабит напряженные мышцы, восстановит подвижность и нервно-рефлекторное обеспечение сустава. Если этих мер будет недостаточно - рекомендуем обратиться за помощью к стоматологу для коррекции прикуса или протеза.
- Если сустав воспален. Это может быть реактивный или аутоиммунный артрит. Главное условие успешного лечения - точно найти причину воспаления. Диагноз устанавливается, в основном, на основании анализа крови и УЗИ. Исходя из результатов анализа выполним подходящее противовоспалительное лечение. Могут быть использованы НПВП, хондропротекторы, иммуномодуляторы и др. Если воспаление настолько сильное, что препятствует приему пищи, выполним внутрисуставную инъекцию с помощью особо тонких игл, и через несколько часов воспаление стихнет.
- Если разрушен диск и другие хрящи сустава. Хорошо зарекомендовали себя хондропротекторы и электрофорез Карипаина в сочетании с мягким остеопатическим лечением. К восстановлению хрящей можно приступить сразу после стихания воспаления.
- В тяжелых случаях, когда невозможен прием пищи, мы успешно применяем инъекции препаратов ботулотоксина (Диспорт, Ботокса и др) для расслабления спазмированных болезненных жевательных мышц. Эффект наступает через несколько дней и сохраняется обычно 3-6 месяцев.
Височнонижнечелюстной сустав. Болезни ВНЧС. Лечение болезней ВНЧС у ортодонта.⠀
Дисфункция височно-нижнечелюстного сустава диагностируется, когда начинает неправильно работать сустав, отвечающий за соединение челюстей. Он имеет очень сложное строение, в него входит большое количество составляющих. Это позволяет челюсти двигаться вверх-вниз и влево-вправо. Когда отмечается патология хотя бы одной мышцы, связки, хряща или кости, врачи могут заподозрить ВНЧС. Одним из признаков дисфункция височно-нижнечелюстного сустава является знакомое многим людям чувство, что при движении челюсть будто бы «щелкает» или «заклинивает». Но каждый симптом может быть признаком совершенно иного заболевания, причины болезни также не всегда удается точно выявить, поэтому постановка диагноза затруднена и требует обследования.
Использование нового оборудования позволяет стоматологам клиники «Новодента» не только правильно определить наличие недуга, но и назначить адекватное лечение, часто с наложением особой шины.
Признаки и симптомы патологии височно-нижнечелюстного сустава
Дисфункция височно-нижнечелюстного сустава симптомы имеет разнообразные. Поскольку выявленные признаки зачастую свидетельствуют о патологиях, не имеющих отношения к ВНЧС, стоматологу для успешного диагностирования нужно ознакомиться с медкартой обратившегося за помощью человека, назначить комплекс исследований и анализов. Также рекомендуется сделать рентгеновские снимки. Только после этого можно определять схему лечения патологии височно-нижнечелюстного сустава. Пациенту нужно быть внимательным к своему здоровью и незамедлительно посетить специалиста, если наблюдаются дисфункции височно-нижнечелюстного сустава симптомы:
- Головные боли и в области ушей.
- Давление на глаза также может свидетельствовать о патологии височно-нижнечелюстного сустава.
- Неприятное «клацанье» или «щелканье» челюсти.
- Случается, что боль сопровождает зевание, процесс жевания пищи и даже широкое открывание рта.
- Временами челюсти словно «заклинивает», их невозможно разжать, зачастую они «выскакивают».
- Мышцы челюсти ослабевают.
- Резко меняется характер смыкания челюстей.
Причины дисфункции височно-нижнечелюстного сустава (ВНЧС)
Почему возникает дисфункция ВНЧС? У врачей нет единого мнения о том, каковы причины дисфункции височно-нижнечелюстного сустава. Самые распространенные теории следующие:
- Окклюзионно-артикуляционная: дисфункция ВНЧС - следствие неправильного строения зубо-челюстного аппарата. Их причиной становятся патологии рядов зубов, сильная стираемость зуба, перенесенные травмы, ошибки в протезировании, аномалии формирования или развития зубо-челюстного аппарата, нарушения прикуса.
- Миогенная: по мнению специалистов, данная причина дисфункции височно-нижнечелюстного сустава может появиться в результате некорректной работы мышц из-за спазма, постоянной перегрузки и прочего. Спровоцированы они могут быть факторами, приводящими к постоянным микротравмам: односторонним жеванием, непроизвольным ночным скрежетанием зубами, высокими речевыми нагрузками.
- Психогенная: специалисты считают, что дисфункции височно-нижнечелюстного сустава - следствие нарушений деятельности нервной системы человека, ненормальное психо-физическое напряжение, в результате которого и некорректно движется сустав и работает мускулатура.
Большинство исследователей сходятся во мнении, что причины дисфункции височно-нижнечелюстного сустава носят комплексный характер.
Как лечить дисфункцию височно-нижнечелюстного сустава (ВНЧС)
Как лечить дисфункцию височно-нижнечелюстного сустава? Прежде всего, врач должен провести комплекс диагностических действий. В ходе диагностики проводится глубокое медицинское и стоматологическое обследование, делаются панорамные рентгеновские снимки. Это позволяет определить, в каком состоянии находятся челюстные суставы и окружающие их ткани, проверить характер окклюзии. Кроме того, врач должен исключить наличие воспалительного процесса. Во многих случаях стоматолог рекомендует обратиться за дополнительной консультацией к специалисту в области челюстно-лицевой хирургии.
Сегодня нет дисфункции ВНЧС лечения. Однако врачи располагают рядом возможностей для избавления от выявленных симптомов. В большинстве случаев врач дает такие рекомендации:
- Нужно снять спазм и болевые ощущения. Помогают горячий компресс, прием миорелаксантов и безрецептурных обезболивающих препаратов. Возможно назначение противовоспалительных средств.
- Неблагоприятное последствие сильного сжимания челюстей или скрежетание зубами уменьшается при использовании особых капп, изготовленных индивидуально и наложенных на зубы верхней челюсти.
- Хороший эффект дают техники расслабления челюстных мышц. Для приобретения таких навыков существуют особые тренинги и консультации.
- В том случае, когда дисфункции ВНЧС лечение указанными методами неэффективно и выявлены патологии суставов челюсти, может быть рекомендовано оперативное вмешательство.
Наложение шины на нижнюю челюсть как способ лечения дисфункции ВНЧС
Хорошие результаты для лечения дисфункции ВНЧС показывает наложение шины на нижнюю челюсть. После обследования полости рта пациента изготавливается индивидуальная шина на челюсть. Используются гипоаллергенные гибкие пластмассы, которые не затрудняют речь и проведение гигиенических процедур.
Наложение шины на нижнюю челюсть позволяет:
- Восстановить окклюзионную высоту.
- Перераспределить жевательные нагрузки.
- Предотвратить патологическую стираемость зубов.
- Шина на челюсть ограничивает движения нижней челюсти, вызывающие бруксизмом.
- Лечить болевой синдром, вызванный неправильным функционированием жевательной мускулатуры.
- Защитить сустав от повторной окклюзионной травмы.
- Обеспечить регенерацию суставных тканей.
Проведенное в стоматологической клинике «Новодента» наложение шины на челюсть снимает боль и облегчает состояние пациента.
Стоимость первичного приёма у опытного ортодонта-гнатолога 1 900 руб.

Височно-нижнечелюстной сустав (ВНЧС) - это сустав, который расположен спереди от уха и соединяет нижнюю челюсть с основанием черепа. Его основная функция - обеспечивать движения нижней челюсти.
ВНЧС - это один из важнейших суставов нашего организма, без него мы не смогли бы ни разговаривать, ни принимать пищу. Именно поэтому важно на ранней стадии выявить заболевания ВНЧС.
Заболевания ВНЧС распространены - по разным данным ими страдают от 70% до 92% населения, люди разного пола и возраста. Чаще всего из заболеваний ВНЧС встречается мышечно-суставная дисфункция ВНЧС.
Основные признаки мышечно-суставной дисфункции ВНЧС:
- Болевой синдром. В зависимости от стадии заболевания возможно ощущение боли в области жевательных мышц при приеме пищи, долгом говорении, а в сложных случаях даже постоянной мышечной боли.
- Хруст, щелчки в области ВНЧС. Важно понимать, что в норме движения в суставе должно быть бесшумным, а любые щелчки и похрустывания в области сустава говорят о том, что хрящевая ткань сустава травмируется.
- Несимметричное, неравномерное открывание рта. В норме при открывании рта нижняя челюсть должна двигаться равномерно вниз, без боковых смещений. Если происходит смещение нижней челюсти в сторону при открывании рта или ее S-образное движение стоит обратиться к врачу.
- Ограничение открывания рта. В норме рот должен открываться на 40-45 мм, это расстояние примерно равно ширине трех пальцев. При дисфункции ВНЧС открывание рта ограничивается до 20 мм и менее при максимальном открывании рта.
- Прочие симптомы. Так же при дисфункции ВНЧС может быть заклинивание челюсти, скрежет зубами (бруксизм), головокружение, головная боль.
В начале заболевания симптомы дисфункции могут быть выражены незначительно, но без лечения болезнь будет прогрессировать.
Опасно! При длительно сохраняющейся дисфункции может развиваться остеоартроз ВНЧС.
Для правильной диагностики заболеваний сустава необходимо обратиться к врачу. Врач проведет необходимую диагностику: пальпацию жевательных мышц и ВНЧС, аускультацию сустава, оценит ограничение открывания рта, определит согласованность и симметричность работы правого и левого ВНЧС и жевательных мышц. При необходимости назначит дополнительные обследования и консультации смежных специалистов.
Лечение заболеваний ВНЧС:
Лечение назначается в зависимости от результатов обследования. При лечения сустава используется:
- медикаментозная терапия
- физиотерапия
- миогимнастика (мышечная гимнастика)
- сплинт-терапия
Сплин-терапия - один из наиболее эффективных методов лечения мышечно-суставной дисфункции ВНЧС. Пациенту изготавливается индивидуальная капа, которая помогает расслабить жевательную мускулатуру, установить сустав в правильное положение, тем самым устранить причину мышечно-суставной дисфункции ВНЧС.
Биомеханика движений нижней челюсти
В организме человека создана гармоничная структура всех биологических механизмов. Человеческий организм целесообразно задействует все силы и энергию, связывая процессы реализации потенциалов. Без правильной деятельности человека, человек не может существовать.
Назначение зубочелюстной системы
Биологическая механика зубочелюстной системы и ее понимание приводят к своевременному распознаванию патологий зубов и мягких тканей ротовой полости. Нормальная работа височно-нижнечелюстного сустава во многом зависит от строения и нормального функционирования пародонта - мягких тканей, окружающих полость зуба.
Анатомия и физиология строения пародонта обуславливает биомеханику строения и особенности работы пародонта. Кроме того, биомеханика пародонта помогает в работе других органов.
Знание законов биологической механики работы челюсти и суставов помогает проектировать и использовать особенности, в качестве основополагающего знания на тему протезирования и имплантации зубов. Знание анатомических особенностей челюсти необходимо при изготовлении конструкций и стоматологического материала.
Разработаны аппараты, которые практически полностью повторяют движения челюсти и позволяют воспроизвести анатомически схожие конструкции с челюстью человека. Популярными устройствами служат окклюдатор, лицевая дуга и артикулятор. Последняя конструкция играет важную роль в подгонке и создании индивидуальных протезов.
В случае возникновения нарушений нижней челюсти происходит сбои в артикуляции, речи, питании и глотании. Сегодня разработана система артикуляции движений, которую возглавляют такие авторы, как Ганау, Гизи, Монсон. Эти авторы наиболее точно описали биомеханику движений нижней челюсти.
Авторы утверждают, что нарушение работы нижней челюсти, а также больные мышцы шеи обязательно приводят к нарушению дыхания. Различные углы наклона нижней челюсти определяют здоровье человека.

Окклюзия - состояние, характеризующееся полноценным соприкасанием обеих челюстей, которое обеспечивает полноценное пережевывание пищи. Поэтому соприкосновение зубов являются определяющим фактором для характеристики жевательных механизмов.
Работа и действие нижнего зубного ряда во время жевания обусловлено синхронной работой всех мышц и суставов. Работа происходит под воздействием ЦНС. При этом смещения, возникающие самопроизвольно, происходят под воздействием нервно-мышечной структуры.
К осознанным движениям зубного ряда относят момент попадания еды в рот и проглатывания пищи. Остальные движения, происходящие после потребления еды - результат бессознательных двигательных функций организма.
Нижняя часть жевательного аппарата человека представляет собой единственную двигающуюся кость в организме человека. Однако большое значение в строении жевательного ряда и в нормальной работе мышц несет соединяющая и мышечная ткань, которая приводит механизм в движение.
В строении нижнего зубного ряда существует несколько групп мышц, которые отвечают за различные движения челюсти.
Направления движения нижней челюсти
Во время движения нижней челюсти происходит сагиттальное, вертикальное и трансверзальное смещение её головок.
Вертикальное смещение необходимо для открывания и закрывания рта. При этом движение, в зависимости от силы, происходит с различной силой, определяющей степень движения головки.
Сагиттальной осью смещения называется возможность движение нижней челюсти вперед-назад. При этом, движение челюсти вперед и биомеханизм головки суставной части в момент движения называется сагиттальным путем суставов.
Трансверзальным называется возможность челюсти двигаться влево или вправо. При этом происходит движение определенных групп мышц. Например, направление жевательного аппарата вправо обуславливает левое направление латеральной мускулатуры, и наоборот.
Без знания работы мышц и суставов стоматолог не может регулировать нормальную работу жевательного аппарата, а значит - не сможет изготовить и установить подходящие протезы и импланты.
Проблемы функционирования ВНЧС
Нарушение работы и функции суставов и мышц нижней челюсти носит название дисфункции ВНЧС . Патология обусловлена возникновением дефекта на зубах, повышенной стираемостью и аномальным прикусом человека.
Основным клиническим проявлением дисфункции являются щелкания и клацания зубами во время открывания рта. В более запущенных случаях происходит боль в ушах, челюсти, начинаются болезненные ощущения во время жевания и зевании.
Главный метод диагностики дисфункции ВНЧС - ренгенография, выявляющая нарушение работы челюсти и сустава.
Лечение заключается в комплексном воздействии на состояние челюсти, которое стоматолог проводит, исходя из знаний биомеханики её работы.
Лечение заболеваний ВНЧС

Височно-нижнечелюстной сустав - это сложно устроенное парное анатомическое образование, которое обеспечивает горизонтальное и вертикальное движение нижней челюсти относительно нижней. Нагрузка на сустав определяется не только качеством пищи, которую нужно пережевывать, но и состоянием зубочелюстной системы. Состояние височно-нижнечелюстного сустава (ВНЧС) в свою очередь влияет на наше самочувствие и общее состояние здоровья.
По данным, приведенным в отчетах Всемирной организации здравоохранения за 2018 год, мышечно-суставная дисфункция ВНЧС выявляется примерно у каждого второго человека в возрасте от 20 до 50 лет. И это только те случаи, которые зафиксированы в медицинской документации. Достаточно большое количество людей не связывают упорные головные боли, щелчки в суставах при жевании, трудности с открыванием рта с болезненным состоянием ВНЧС и не торопятся обращаться за медицинской помощью.
Часто патология височно-нижнечелюстного сустава выявляется в ходе осмотра, выполняемого по другому поводу, например, при подготовке к протезированию. При этом варианты заболеваний суставов могут быть самые разные от дисфункционального синдрома до привычного вывиха сустава.
Строение и функции височно-нижнечелюстного сустава
Образуют сустав головка рога нижней челюсти и суставная поверхность (ямка) височной кости. Между этими костными образованиями располагается волокнистый внутрисуставной диск, который со всех сторон сращен с капсулой сустава. Способствуют удержанию сустава в правильном положении связки и мышцы. Они ограничивают амплитуду движения в суставе. Попытка превысить это функциональное ограничение вызывает боль и препятствует повреждению ВНЧС.

Основная функция сустава - обеспечение движения нижней челюсти в трех направлениях:
вертикальном: открывание и закрывание рта;
горизонтальном: боковые смещения нижней челюсти относительно верхней;
сагиттальном: движение нижней челюсти вперед-назад относительно верхней.
Комбинация движений одной челюсти относительно другой позволяет нам жевать, говорить, выражать эмоции посредством мимики.
Причины дисфункции жевательных суставов
Занимается диагностикой и лечением заболеваний ВНЧС врач-гнатолог. Фактически, это стоматолог, имеющий узкую специализацию. К числу факторов, которые могут привести к заболеванию височно-нижнечелюстного сустава, можно отнести:
сосудистую патологию, которая приводит к нарушению кровоснабжения сустава;
повышение тонуса мышц лица и шеи (повышение тонуса, спазмы);
Нарушения окклюзии лежат в основе наибольшего числа случаев заболевания ВНЧС. В норме зубы антагонисты верхней и нижней челюстей контактируют своими жевательными поверхностями определенным образом. Бугорки и углубления на верхней поверхности зубов-антагонистов должны контактировать по принципу «пестик в ступке». Если зубы на челюсти расположены неправильно и их правильный контакт нарушен, включаются компенсаторные механизмы. В частности, изменяется тонус жевательных мышц и нижняя челюсть смещается таким образом, чтобы добиться полного контакта всех жевательных поверхностей зубов.
Такое смещение позволяет устранить окклюзионное препятствие, но создает дополнительную нагрузку на височно-нижнечелюстной сустав. Привычное смещение челюсти со временем приводит к повреждению анатомических структур сустава. Повышенный тонус жевательных мышц провоцирует нарушение гемодинамики в области ВНЧС, что не способствует быстрой регенерации.
Если причиной появления неприятных симптомов в области ВНЧС становится нарушение окклюзии, гнатолог может посоветовать проведение ортодонтического лечения. Это единственный способ избавиться от проблемы, так как при неправильном положении зубов на челюсти можно проводить лишь симптоматическое лечение проблем ВНЧС, которое будет приводить лишь к временному улучшению состояния.
Симптомы и профилактика дисфункции ВНЧС
Боли в области жевательного сустава - явление крайне редкое. В связи с этим имеющиеся патологические проявления пациенты редко связывают с состоянием ВНЧС. Давайте посмотрим, с какими симптомами необходимо записываться на прием к гнатологу:
Головные боли. Причин головных болей великое множество, но вот «вклад» височно-нижнечелюстного сустава чаще всего «забывается» специалистами. Устранение патологии ВНЧС часто избавляет человека от болей в голове.
Щелчки в суставе. Характерный звук во время открывания рта является следствием вывиха или подвывиха жевательного сустава, который привычно вправляется самостоятельно.
Ограничение открывания рта. Это может быть следствием отека тканей сустава в результате развития воспалительного процесса или же вывиха сустава.
Патологическая стираемость эмали зубов.
К мерам профилактики развития дисфункции ВНЧС можно отнести регулярное посещение стоматолога, рациональное протезирование, своевременное лечение и восстановление разрушенных зубов, ортодонтическое лечение по показаниям.
Диагностика
Для того, чтобы поставить диагноз, врач проводит обследование по следующей схеме:
Расспрос пациента. Интерес для специалиста представляют жалобы, условия появления неприятных симптомов, длительность течения болезни, ранее проводимое лечение и его эффективность.
Внешний осмотр и пальпация. Гнатолог осматривает лицо пациента, уделяя внимание области расположения ВНЧС. Ощупывая суставы, можно получить представление о его строении, состоянии его тканей.
Стоматологический осмотр. Проводится выявление аномалий окклюзии и степень их выраженности.
Рентгенологическое исследование. На снимках видны костные образования, образующие сустав. По их взаимному расположению можно установить наличии вывихов и подвывихов, а по толщине суставной щели судить о состоянии хрящевого диска.
Лечение
Врач-гнатолог может проводить лечение как самостоятельно, так и с привлечением специалистов другого профиля. Особенно это актуально тогда, когда причина развития патологии ВНЧС выявлена и может быть устранена. Помощь ортодонта необходима пациентам с неправильным прикусом. Ношение брекет-системы или элайнеров с целью коррекции окклюзии благоприятно сказывается на состоянии всей зубочелюстной системы.

Выявление артроза или анкилоза височно-нижнечелюстного сустава также требует привлечения профильных специалистов. Специальность врача будет определяться причиной развития дегенеративно-дистрофических процессов в тканях ВНЧС. Обменные нарушения, травмы, инфекции будут требовать дополнительного обследования и составления индивидуального плана лечения.
Оказание первой помощи
Вывих или подвывих сустава, случившийся впервые, может вызвать острую боль. Такую же по интенсивности боль может вызвать и дисфункция сустава. Независимо от причины появления неприятных ощущений, необходимо сделать следующее:
обеспечить суставу покой: не есть, как можно меньше говорить;
принять обезболивающее средство;
обратиться к врачу как можно скорее и пройти необходимое обследование.
Специалисты категорически не рекомендуют греть больной сустав, если причина появления боли неизвестна. При дисфункции тепловое воздействие может привести к некоторому облегчению состояния, а при вывихе наоборот повредит. Под воздействием тепла к тканям усиливается приток крови, что способствует развитию отека и затрудняет вправление. Таким образом, пытаясь оказать себе или близкому человеку помощь, можно по незнанию серьезно навредить.
Вы можете пройти бесплатную диагностику и получить бесплатную консультацию
Врач-ортодонт даст медицинское заключение: вам лучше подходят брекеты, виниры или элайнеры
Лечение височно нижнечелюстного сустава через красивую улыбку

Аркашов Максим , главный врач Клиники дентальной медицины ДенМед, Москва
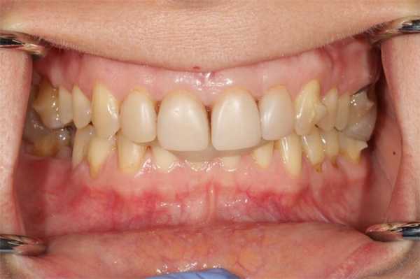
Пациентка К.,возраст 50 лет, обратилась к нам в клинику с жалобами на беспокойства в области височно нижнечелюстного сустава (щелчки, хруст, боль). Эстетическая неудовлетворенность видом своей улыбки, отсутствие зуба нижней челюсти справа. Это мешало полноценно пережевывать пищу на правой стороне.
Что привело к такому состоянию височно нижнечелюстной сустав
Давайте проведем мини-экскурсию, где наглядно покажем все "болевые точки", которые в той или иной мере привели к нарушению прикуса, перегрузкам в районе височно нижнечелюстного сустава и в конце концов заставили пациентку обратиться к нам в клинику
Проблемы височно нижнечелюстного сустава можно вылечить исправлением прикуса с помощью элайнеров
Хочу консультацию по элайнерам в моем городе!
На ортопантомограмме мы видим:
Зубные ряды в состоянии перегрузки нижнечелюстного сустава

На представленном ниже фото обратите внимание, что при сомкнутых зубных рядах зубы верхней челюсти очень сильно перекрывают зубы нижней челюсти (глубокое перекрытие), что увеличивает нагрузку на височно нижнечелюстной сустав, видим неровный зубной ряд.
Всё это было отсканировано (об этом расскажем позже) и отправлено в лабораторию для создания виртуального плана лечения.
Цифровое с канирование в 3D - объяснило нам многие проблемы ВНЧС
- дезаклюзию (несмыкание в боковом отделе пациентки)
- при пережевывание пищи и разговоре мышцам приходиться дотягивать зубы до появления контакта и из-за этого перенапрягаться, что приводит к повышению нагрузки на сустав и опорные зубы,
- измененный в цвете ранее леченный зуб верхней челюсти резорцин-формалиновым методом, абфрации (сколы) эмали на зубах 34-35 в области шейки зуба,
- кариозные полости на зубе 46-47,
- обращаем внимание на вестибулярную позицию вторых резцов, то есть наклон зубов вперед
- мы видим избыточный наклон центральных резцов назад - это приводит к уменьшению “функционального пространства “ и, соответственно, зубы нижней челюсти пытаясь избежать контакта с зубами верх. Челюсти заставляют мышцы смещать нижнюю челюсть назад, что сразу увеличивает давление головки нижний челюсти на структуры ВНЧС
- наличие зубного камня на центральных нижних зубах,
- видим сколы режущей кромки центральных нижних резцов,
- видим отсутствие контактов нижних зубов с правой стороны
- глубокое перекрытие центральными резцами нижних центральных резцов (глубокое перекрытие).
Далее, на нижнем скане мы видим:
- рецессии десны на зубах 44, 45, 47, 16,
- мезиальный наклон зубов 47, 48,
- выдвижение зуба 16,
- абфракции - сколы на зубе 44, 16,
- отсутствие жевательного контакта зубов 47, 48 с зубами 17, 16,
- отсутствие 46 зуба,
- потеря костного объема в области отсутствующего зуба
Думаете это все? Нет. Резерв , запас прочности височно нижнечелюстного сустава достаточно крепок. Но то, что мы сейчас увидим, вполне возможно и послужило "последней каплей". На скане мы видим:
- глубокое перекрытие верхними зубами нижних,
- сужение верхней челюсти в области премоляров,
- наклон премоляров клыков и центральных резцов верхней челюсти вовнутрь,
- наклон двух боковых резцов верхней челюсти - кнаружи.
- отсутствие функционального пространства - это свободное пространство между щечным бугром зуба верхней челюсти и щечным бугром нижней челюсти.

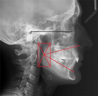
Итак, на сканах мы в полном объёме смогли оценить повреждения зубных рядов и сделать первые предположения о причине возникновения дисфункции ВНЧС. Для более чёткого понимания нарушений биомеханики сустава мы провели аксиографию (исследования движений сустава) на котором мы подтвердили что нижняя челюсть занимает не самое идеальное положение и траектория движения имеет отклонения, связанные с попыткой нижней челюсти обойти препятствие ( зубы верхней челюсти ) .
Взаимодействие со Star Smile при лечении височно нижнечелюстного сустава
Планируя лечение данной проблемы, мы вместе с пациенткой решили провести недолгое ортодонтическое лечение на элайнерах Star Smile для того, чтобы уменьшить величину отклонений положения зубов от их правильной позиции.
У Star Smile есть отличная визуальная услуга - создание виртуального 3D сетапа , который показывает конечный результат лечения - исправления прикуса еще ДО того, как мы к нему приступим. Посмотрите как это выглядело на представленном ниже видео - на каждый месяц в ролике мы отвели по 1 секунде:
Используя ТРГ боковую мы предположили параметры будущих зубов

И приступили к лечению височно нижнечелюстного сустава в рамках формирования красивой женской улыбки

В виду того что на каждом зубе имелось по несколько пломб, и было желание пациентки изменить цвет и форму зубов, а также присутствовала необходимость заместить потерянную высоту прикуса - было принято решение по изготовлению виниров и накладок на зубы.
После исправления положения наклонившихся зубов появилось функциональное пространство - у нижней челюсти появилась возможность размещаться в более переднем положении, что само по себе нормализует ситуацию в височно нижнечелюстном суставе (позволяет всем элементам сустава занять правильное положение).
Также мы установили имплантат в области отсутствовавшего зуба 46.
Проведя несколько коррекций, мы получили согласие пациентки с формой будущих зубов.
Приступаем к препарированию зубов
- минимально инвазивная обработка центральных резцов верхней челюсти с сохранением слоя эмали, необходимого для адгезивной фиксации керамических конструкций - виниров.
- видим атравматичную обработку зубов (нигде нет продкравливания и царапин десны),
- видим препарирование с сохранением анатомических контуров шейки зуба,
- четко просматриваемый уступ для будущих конструкций (коронок),
- на зубах видим огромные объемы предыдущих реставраций,
- видим цвет и структуру исходной культи зуба
Определение цвета исходного зуба

На фото мы видим маркеры, необходимые определения подлежащих структур под керамическую реставрацию. В дальнейшем техник, ориентируясь на эти маркеры, создает искусственную культю зуба такого же цвета как у пациентки во рту, что дает возможность учитывать цветовые изменения на будущих керамических прозрачных конструкциях.
Сканирование внутри ротовым сканером, получения 3D объекта
Видим сканы того же препарирования, необходимые для изготовления керамических конструкций в CAD/CAM-программе.
После этого отправили сканы в лабораторию для изготовления керамических конструкций.
Работы такого объема мы в клинике ДенМед проводим в несколько этапов, сперва делается передний отдел, выверяется функция (проверяется стойкое устранение щелчков, хруста в ВНЧС ), эстетика, пропорции и делается клиническая примерка во рту у пациента.
На нижнем фото мы видим черновой вариант конструкций, на котором мы отработали эстетические и функциональные аспекты в полости рта. Фиолетовая масса между зубами - это масса для фиксации соотношения челюстей при наличии новых конструкций на передних зубах. Это положение обеспечивает контроль пространства необходимого для вправления диска в суставе и его правильного функционирования.

Теперь оцениваются все недочеты и вносятся коррективы. Ниже на фото вы видите примерку готовых конструкций полости рта. В этот момент происходит также оценка визуального восприятия пациентом.
Пациентке все понравилось. После работа отправилась обратно в лабораторию, и через несколько дней мы получили готовую работу.
Начинается следующий, очень важный этап: фиксация конструкций на зубы

На фото мы видим этап ортопедической реабилитации, фиксация постоянных конструкций в полости рта.
Обратите внимание на высокий уровень эстетики проведения работ доктором. У пациента во рту закреплен коффердам, который удерживается специальными кламмерами. Коффердам используется для изоляции рабочего поля от попадания слюны и влаги при выдохе у пациентов, потому что адгезивная фиксация не приемлет попадание влаги в любом количестве на поверхности фиксации виниров и коронок (т.к. впоследствии возможно развитие кариеса).
Минимальная травматичность слизистой при удалении остатков композита, используемого при фиксации. Возможность хорошей визуализации зоны контакта зуба с искусственной коронкой и возможность полировки этих переходов.
Очень кропотливая и длительная процедура. Но здесь мы с пациентом выходим фактически на финишную прямую лечения.
Э тап фиксации конструкции

Но этот этап и самый приятный, наша пациентка видит и чувствует новые зубы у себя во рту
После этого доделываем боковые зубы, и работа полностью может радовать нашу пациентку!
Устранены все жалобы (отсутствуют болевые ощущения, хруст, щелчки в височно нижнечелюстном суставе суставе). Хотя сами щелчки не всегда устранимы при застарелой патологии, но в данном случае нам удалось полностью исключить патологический щелчок ВНЧС .
Сроки лечения данной пациентки, ортодонтическая подготовка заняла около 7 месяцев (ношение элайнеров), на этапе ортодонтической реабилитации проведён этап хирургической реабилитации (установка имплантата в области 46-го зуба), окончательная ортопедическая реабилитация заняла ещё 2 месяца .
Итого мы получили 9-10 месяцев лечения
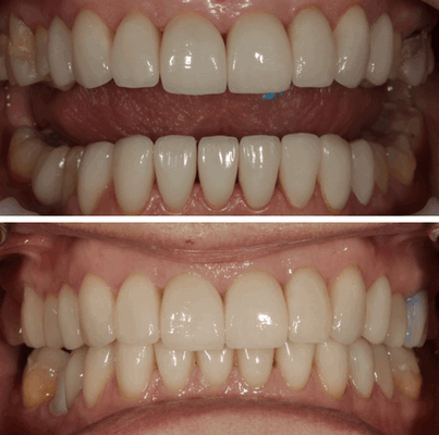
Итак, улыбка при заболевании ВНЧС - ДО и ПОСЛЕ
Как говорится - почувствуйте разницу. А самое главное - что лечение височно нижнечелюстного сустава на фоне исправления прикуса и формирования красивой улыбки прошло отлично. Сейчас нагрузки на ВНЧС в пределах нормы, он не перегружен и идет процесс его восстановления.

Почему так можно говорить? У элайнеров огромное количество преимуществ перед брекетами и винирами. Есть только несколько редких зубных патологий, которые под силу только брекетам. Но патологии височно нижнечелюстного сустава уже легко и давно исправляются элайнерами и ортодонтическими шинами.
Star Smile - российский лидер по производству элайнеров и ортодонтических шин. Мы сотрудничаем с ортодонтами более чем в 70 (!) городах России. И можем обеспечить вам качественную консультацию и диагностику в любом из городов Вашего проживания.
И немаловажно, что Вы сможете увидеть вашу будущую улыбку на компьютере доктора ДО начала лечения. А после этого и примите решение как проводить лечение ВНЧС.
Ну что, готовы избавиться от болей в суставе и сделать свой первый шаг к красивой здоровой улыбке?
Строение височно-нижнечелюстного сустава
Височно-нижнечелюстной сустав (ВНЧС) — это синовиальный сустав, и он является единственный истинным суставом в челюстно-лицевой области. Он также известен как нижнечелюстной сустав, либо как черепно-нижнечелюстное сочленение. Височно-нижнечелюстной сустав является уникальным в связи с его вращательными (гинглимоидный сустав) и поступательными (артроидальный сустав) движениями во время функционирования нижней челюсти, включая открывание и закрывание рта, жевание и речь. Правый и левый суставы не могут двигаться независимо друг от друга, так как они соединяются через нижнюю челюсть, образуя двухмыщелковое сочленение (Alomar et al. 2007). Более того, зубы служат направлением и ограничивают определенные движения нижней челюсти. Как следует из названия, в образовании височно-нижнечелюстного сустава участвуют две кости, то есть височная кость и нижняя челюсть (Рисунок 1, 2, 3, и 4 ).

Рисунок 1 Височно-нижнечелюстной сустав в черепе (белый пунктирный круг), вид справа сбоку. СМ мыщелок нижней челюсти, СР венечный отросток. 1 Чешуйчатая часть височной кости 2 сосцевидный отросток височной кости 3 барабанная часть височной кости с наружным слуховым проходом 4 скуловой отросток височной кости

Рисунок 2 Правый боковой вид разреза головы трупа, на котором видна область височно-нижнечелюстного сустава (черный пунктирный круг). СМ мыщелок нижней челюсти, СР венечный отросток, TBz скуловой отросток височной кости

Рисунок 3 3D визуализация изображений конусно-лучевой компьютерной томографии левого височно-нижнечелюстного сустава у 62-летнего мужчины. АТ Суставной бугорок, СМ мыщелок нижней челюсти, СР венечный отросток, ЕАС наружный слуховой проход, МР сосцевидный отросток, StP шиловидный отросток, TBz скуловой отросток височной кости

Рисунок 4 Сагиттальный срез конусно-лучевой компьютерной томографии височно-нижнечелюстного сустава у 22-летней женщины. АТ Суставной бугорок, СМ мыщелок нижней челюсти, СР венечный отросток, ЕАС наружный слуховой проход, МF отверстие нижней челюсти
Суставная ямка височно-нижнечелюстного сустава образована нижнечелюстной ямкой, медиолатерально вытянутой полостью, расположенной в нижней части височной кости непосредственно перед наружным слуховым проходом (Рисунок 5 и 6). Суставная ямка спереди ограничена костным выступом - суставным бугорком. Головка височно-нижнечелюстного сустава — это верхняя часть мыщелкового отростка, который является задней частью ветви нижней челюсти и расположена напротив ее передней части - венечного отростка.
Читайте также:
- Аортальный стеноз у ребенка. Гемодинамика при аортальном стенозе.
- Гастроэзофагеальная рефлюксная болезнь (ГЭРБ): причины, симптомы и лечение
- Введение в лучевую диагностику пространства околоушной железы: лучевая анатомия, методы исследования
- Сердечно-сосудистая система эмбриона. Развитие сердца эмбриона
- Рекомендации по удалению матки (гистерэктомии) при раке эндометрия

