Введение в лучевую диагностику пространства околоушной железы: лучевая анатомия, методы исследования
Добавил пользователь Владимир З. Обновлено: 27.12.2025
Рентгенологический метод исследования является распространенным, доступным методом, характеризующимся простотой исполнения, дешевизной. Он позволяет выявить кисту, определить ее
размеры, локализацию, соотношение с зубами.
Признаком наличия кистозной полости является образование округлой или овальной формы достаточно однородной структуры с четкими ровными контурами. При лучевой диагностике радикулярной кисты удается проследить связь кистозной полости с верхушкой
корня зуба. Нередко корень зуба проникает в полость кисты. В структуре фолликулярной кисты всегда определяется коронковая часть непрорезавшегося, как правило, полностью сформированного зуба. На рентгенограммах изучаются такие симптомы: форма и размер кистозной полости, локализация, состояние кортикальных пластин челюсти, однородность структуры, наличие внутриполостных перегородок, степень деструкции костей и состояние зубов в проекции кисты. Контактные внутриротовые рентгенограммы обладают достаточной информативностью для определения кист небольших размеров и оценки состояния пародонта. При кистах больших размеров они не дают полной информации о рентгенологических признаках, а что особенно важно, не позволяют в полной мере оценить окружающие области, например верхнечелюстной синус. На рентгенограмме происходит суммация теней различных образований челюстно-лицевой области, что создает трудности при изучении рентгенограмм Радиовизиография с последующим компьютерным анализом оптической плотности изображения является диагностически значимым методом для оценки плотности костной ткани. Ее проводят для контроля процесса остеорегенерации в области костного дефекта после оперативного вмешательства.
Основной методикой рентгеновского исследования челюстно-лицевой области является ортопантомография (ОПТГ), которая совершенствуется, переходя на цифровой способ получения изображения. На ОПТГ отображается панорамный рентгеновский снимок зубочелюстной системы пациента, на котором видны верхняя и нижняя челюсти, развёрнутые в плоскости, корни, каналы зубов, имеющиеся имплантаты, ортопедические конструкции, пломбы, а также пародонтальные щели, гайморовы пазухи, носовые
ходы, височно-нижнечелюстные суставы, нижнечелюстной канал.

Методика оправдана для предварительных скрининговых исследований широких масс населения, поэтому активно используется при диспансеризации. Ортопантомография превосходит стандартные рентгеновские снимки и позволяет дифференцировать кисты одонтогенного и риногенного происхождения, оценивать окружающие структуры лицевого отдела головы. Однако ОПТГ имеет ряд ограничений — изображение является плоскостным, что не дает возможности оценить распространение кистозного процесса и состояние окружающих структур, а также не в полной мере дает информацию о состоянии корневых каналов.
Компьютерный томограф позволяет на основании стандартных изображений в аксиальной плоскости моделировать изображения лицевого отдела головы в любых произвольных проекциях для улучшения пространственной визуализации. Современные компьютерные томографы, имеют высокую разрешающую способность за счет возможности создания тонких срезов тканей. С применением оптической денситометрии удается определить структуру костной ткани в очаге деструкции, структуру содержимого кистозной полости, объективно оценить динамику восстановления костной ткани в патологическом очаге в процессе лечения. На компьютерном томографе с использованием трехмерной реконструкции можно установить «причинный» зуб, определить форму, истинные размеры кисты, направление ее роста и характер взаимоотношения с окружающими тканями. С помощью КТ может быть проведена дифференциальная диагностика между одонтогенной интрасинусальной кистой и истинной кистой пазухи путем выявления костной перегородки, отделяющей полость истинной кисты от полости пазухи, отсутствию связи с корнями зубов. МСКТ высокоэффективна в диагностике кист, но несет значительную лучевую нагрузку. МСКТ также требует оптимизации алгоритмов обследования и интерпретации полученных изображений в контексте стоматологической и челюстно-лицевой специфики с акцентом на определенные анатомические структуры. Перспективным направлением лучевой диагностики являются конусно-лучевые компьютерные томографы. Трехмерная конусно-лучевая компьютерная томография значительно увеличила возможности дифференциальной диагностики в специализированной амбулаторной стоматологии и челюстно-лицевой хирургии. В основе конусно-лучевых томографов используется рентгеновский луч конусной формы. Рентгеновский луч проходит через ограниченный объем ткани, с размером ребра куба не более 15 сантиметров, в итоге получается первичное трехмерное изображение высокого разрешения при минимальной дозе облучения. Конусно-лучевой томограф дает цифровое изображение высокого разрешения изучаемого объекта в трех плоскостях. С помощью конической формы луча толщина среза может быть установлена от 0,125 мм до 2 мм. При этом лучевая нагрузка на пациента в 6-10 раз меньше, чем при проведении стандартной спиральной компьютерной томографии.
Разрешающая способность у конусно-лучевого компьютерного томографа при визуализации корневых каналов зубов и костных структур альвеолярных частей не имеет аналогов. Конусно-лучевой компьютерный томограф позволяет проводить реконструкцию срезов под любым углом к зубной дуге. Благодаря этому лучевой диагност получает более полноценную и четкую визуализацию изображения. При лучевой диагностике патологии лицевого отдела головы особое внимание следует уделять оценке целостности костных стенок полости носа и верхнечелюстной пазухи, состоянию слизистой оболочки ЛОР-органов, наличию или отсутствию патологических соустий между полостью рта и носовой полостью через свищевой ход. Точность визуализации вышеперечисленных признаков влияет на выбор тактики лечения и прогноз в послеоперационном периоде.
Введение в лучевую диагностику пространства околоушной железы: лучевая анатомия, методы исследования
Кафедра травматологии челюстно-лицевой области МГМСУ им. А.И. Евдокимова
Клиника факультетской хирургии им. Н.Н. Бурденко Первого Московского государственного медицинского университета им. И.М. Сеченова
Контрастная рентгенография слюнных желез
Журнал: Стоматология. 2015;94(6): 45‑49
Слюнные железы (СЖ) являются важной частью поддержания гомеостаза организма и сферой интереса стоматологов, эндокринологов, ревматологов, урологов и других специалистов. Для диагностики их заболеваний используют общие, частные и специальные методы исследования [15]. Один из самых важных из них — сиалография (СГ). Ее продолжают применять в России в аналоговом режиме, который уже не соответствует современным критериям качества и информативности. В связи с переходом на цифровую аппаратуру появилась возможность придать СГ статус прецизионного источника информации. В связи с этим об истории и перспективах СГ — более подробно.
Впервые контрастирование СЖ выполнил Д. Шарпей в 1904 г. на трупе человека с помощью ртути, на живом человеке — Г. Арселин в 1913 г. с использованием висмута [28]. Клиническое значение СГ приобрела в связи с внедрением соединений йода, в частности макового масла с 40% содержанием йода под названием липойодол [40]. В СССР применялось оливковое масло с 30% содержанием йода — йодолипол [11, 13]. В зависимости от добавок, масел и концентрации йода были и другие аналоги. Поверхностное натяжение масла обеспечивало неплохое качество изображения, а наличие йода — определенный терапевтический эффект [14]. Однако масло медленно выводилось, создавало стойкие артефакты (Бабич Н.И., 1984), при попадании в паренхиму при повреждении протоков могло формировать липогранулемы и быть причиной воспаления [39].
В 60-х годах XX века для СГ начали применять водные растворы йода. Преимущества и недостатки масляных и водных препаратов долго дискутировались. Были аргументированные противники [7] и сторонники водорастворимых контрастов [1]. Однако стремление к более безопасному и функциональному исследованию постепенно вытеснило из практики масляные аналоги, а с развитием ангиографии это получило и экономическое обоснование. Для С.Г. продолжают использовать относительно недорогие водорастворимые вещества ионной природы (урографин, верографин). Опять же в связи с потребностями ангиографии в более безопасных препаратах стали применять водорастворимые контрасты с меньшей осмолярностью [17, 29]. Наиболее известный препарат неионной природы — омнипак и некоторые другие, действующим веществом в которых является йогексол (Iohexol) (табл. 1).

Таблица 1. Водорастворимые препараты, применяемые для СГ
Для поиска устья протока, диаметр которого около 1 мм, требуются определенные навыки. Оно находится в спавшемся состоянии и обнаружить его можно по вытекающей слюне с помощью массирования. У пациентов с ксеростомией можно стимулировать слюноотделение, например, ломтиком лимона и окрасить зону интереса красителем [3]. Зондирование и катетеризация протока практически безболезненны. Однако были предложения при проведении СГ накладывать на устье протока зажим [32] или перед установкой канюли рассекать проток [31], что, естественно, требовало обезболивания. Данные методики не утвердились, следовательно и обезболивание при СГ перестало быть актуальным. Для бужирования протока разработаны специальные зонды, однако можно пользоваться офтальмологическими. Для контрастирования раньше в проток устанавливали металлические канюли или затупленные инъекционные иглы. Однако в связи с вероятностью перфорации протока от них постепенно отказались в пользу эластичных катетеров. Для этой цели пробовали урологические катетеры [37]. В настоящее время наиболее чаще используют стандартные анестезиологические катетеры [9]. Катетер стараются установить в проток поглубже. По нашим данным [23], погружение более чем на 1 см нежелательно, так как катетер создает артефакты или нарушает визуализацию протока. На фиксацию это не влияет, так как при правильном подборе диаметра она осуществляется на уровне устья.
Слюна может мешать контрастированию и уменьшать качество изображения. Были даже рекомендации о проведении СГ на «сухой железе» после инъекции 1 мл атропина [4]. Мы не видим в этом необходимости. Протоки можно освободить от секрета и с помощью массирования. Во время контрастирования в протоки не должен попадать воздух, который может быть причиной артефактов. Если методика дигитальной СГ позволяет установить их природу, то при аналоговой СГ они могут быть причиной ошибок. Катетер можно заполнить контрастом перед установкой, а канюлю закрыть резиновой пробкой из анестезиологического комплекта.
До настоящего времени так и не нашли ответ на вопрос о количестве контраста, который необходим для получения объективного изображения. В результате контрастирования «вслепую» можно получить сиалограмму с неизвестной информативностью. В околоушную железу рекомендовали вводить: по одним данным — от 2,0 до 4,5 мл контраста [4, 12], по другим — от 0,3 до 1 мл [3], в поднижнечелюстную железу: от 1,5 до 2,5 мл [12] или 1 мл контраста [38]. В результате визуального контроля при проведении дигитальной СГ мы можем представить более объективные количественные показатели, на которые можно ориентироваться при контрастировании [24] (табл. 2).

Таблица 2. Количество контрастного препарата при проведении СГ (M±m)
Необходимо, впрочем, отметить значительный индивидуальный разброс показателя не только при заболевании, но и при контрастировании неизмененных желез. Если качество изображения вызывало сомнения, предлагали даже ориентироваться на количественные показатели предыдущей СГ и выполнить новую СГ с бо́льшим количеством контраста [38]. Катетер в таких случаях оставляли в протоке до проявления пленки и оценки сиалограммы. При определенной логике данный вариант практически не используется в связи с дополнительной лучевой нагрузкой.
В свое время возникла идея, что контраст в железу следует вводить под определенным давлением [1, 36, 38], а именно: водорастворимые препараты под давлением 150 мм рт.ст., масляные — 300 мм рт.ст. Однако так называемая изобарическая СГ не нашла применения в практике, так как для этого требовалось дополнительное устройство, состоящее из катетера, емкости с препаратом и тонометра, причем так и не понятно, предпринимались ли попытки наладить серийное производство аппарата или речь шла об использовании опытных образцов.
На данный момент единственной работоспособной методикой является сенсорный мониторинг. Считается, что распирание в области железы может соответствовать заполнению протоков, а болевое ощущение — паренхимы. Некоторые специалисты советуют вводить контраст до появления распирания [38], другие — до болевого ощущения [18]. Для получения изображения паренхимы некоторые авторы рекомендовали после появления ощущений дополнительно вводить в железу еще 0,5—1 мл контрастного препарата [41]. С помощью дигитальной СГ нам удалось установить, что возможности данного мониторинга весьма ограниченны из-за значительной вариабельности сенсорных ощущений. Оказывается, что они встречаются не у всех пациентов даже при контрастировании неизмененных желез [24] (табл. 3).

Таблица 3. Частота ощущений во время контрастирования СЖ, %
Тем не менее при проведении аналоговой СГ сенсорному мониторингу нет альтернативы. При этом после появления жалобы на боль мы рекомендуем дополнительно ввести еще около 0,5 мл контрастного препарата. При наличии только чувства распирания, например при сиалодохите, дополнительная порция может составить порядка 1 мл препарата. Следует иметь в виду, что при слюннокаменной болезни в отличие от других заболеваний во время контрастирования сначала может возникать «ретенционная» боль при подвижке конкремента и только затем — распирание.
С помощью дигитальной СГ нами установлено, что падение контрастности происходит очень быстро и приводит к снижению информативности сиалограмм. Поэтому при использовании водорастворимых контрастов рентгеновскую экспозицию необходимо проводить сразу же после контрастирования непосредственно в кабинете лучевой диагностики.
Интерпретация сиалограммы зависит не только от квалификации врача. Известно, что для репрезентации структурно-пространственной организации слюнных желез СГ следует выполнять в боковой проекции. Однако при этом изображение железы проецируется на кости лицевого скелета. Решить данную проблему предлагали за счет рентгенографии в специальной косой проекции [4], ортопантомосиалографии [10] и введения в клетчатку вокруг желез кислорода или закиси азота [2, 6]. Первые варианты не получили распространения, а пневмосиалография оказалась опасной. Данная проблема была решена только с появлением дигитальной субтракционной СГ, которая позволяет с помощью специальной программной обработки убирать или вычитать костный фон из-под контрастного изображения железы.
Основной недостаток аналоговой СГ — статичный характер конечного изображения. Легко предположить, что на единственной сиалограмме может быть представлена далеко не вся информация. Ведь в железу могли ввести недостаточное или избыточное количество контраста. Некоторые специалисты считали, что диагностической значимостью обладают сиалограммы, выполненные на этапе заполнения протоков [38], другие — что на этапе контрастирования паренхимы [41]. В конкретном случае может оказаться правильным каждый из вариантов. Для этого предлагали выполнять несколько сиалограмм по мере введения дополнительных порций контраста [11, 30]. Правильную идею на практике реализовать оказалось сложно. Помимо энтузиазма отдельных специалистов, нужен был диагностический стандарт, принять который из-за многократно увеличивающейся лучевой нагрузки на пациента невозможно.
Стоит признать, что возможности совершенствования аналоговой СГ на данный момент исчерпаны. Однако с переходом на цифровую аппаратуру появилась технологическая возможность решить проблемы СГ и превратить ее в прецизионный метод диагностики. Еще с 70-х годов XX столетия СГ начали выполнять на цифровом ангиографе [33—35]. С появлением дигитальной СГ (от англ. digital — цифровой) был решен основной недостаток аналоговой СГ, связанный с количеством контраста, так как его введение стали осуществлять под флюороскопическим контролем. Затем информацию можно уточнять при анализе видеоизображения. Из возможных вариантов можно выбрать и отпечатать наиболее диагностически значимые сиалограммы (см. рисунок). Решена и проблема анализа контрастного изображения, так как программа позволяет «удалить» из-под изображения железы подлежащий фон в виде костей лица. В таком виде метод получил название дигитальной субтракционной сиалографии (от англ. subtraction — вычитание). Преодолен основной недостаток аналоговой СГ — статичность изображения. На экране монитора и в записи можно наблюдать не только процесс контрастирования, но и эвакуацию контраста после экстубации, что определяет данный метод исследования СЖ как функциональный.
Дигитальная СГ позволила вывести диагностику заболеваний СЖ на принципиально иной уровень информативности. При слюннокаменной болезни можно исследовать движение конкремента по протоку и, таким образом, проводить дифференциальную диагностику с дефектами наполнения иного происхождения. Например, участки слизи при прохождении через более узкие участки и стриктуры изменяют свою форму, а воздух распадается на мелкие пузырьки и постепенно исчезает. Установлено, что эктазии протоков на разных этапах контрастирования могут иметь разный диаметр и разную форму. Симптом размытости изображения протоков и округлых сиалоэктазов при синдроме Шегрена не столь очевиден, как было принято считать раннее. По всей видимости, возможна гипердиагностика из-за невысокого качества аналоговых сиалограмм. Появилась возможность исследовать мелкие детали контрастного изображения, которые раннее были недоступны для анализа. Оказалось, что дефекты контрастирования паренхимы, которые соответствуют объемным образованиям, по-разному интерпретируются в зависимости от этапа наполнения протоков и паренхимы. И зачастую совсем необязательно для этого контрастировать паренхиму. Большей информативностью могут обладать СГ на этапе заполнения протоков. Возможность изучить процесс эвакуации контрастного препарата после экстубации превращает СГ в функциональный метод исследования, дифференциальные возможности которого еще предстоит изучить [22, 25, 26].
Наш опыт использования дигитальной субтракционной СГ берет начало в 90-х годах прошлого века [16, 27]. Результаты научных исследований представлены в кандидатских и докторских диссертационных работах, в научных публикациях, доложены на отечественных и международных конференциях [5, 19]. Дальнейшие совместные проекты МГМСУ им. А.И. Евдокимова и ПММУ им. И.М. Сеченова продолжаются и в настоящее время. С внедрением специальной аппаратуры дигитальная СГ начала выполняться непосредственно в МГМСУ им. А.И. Евдокимова [8]. Создана научно-методическая база для ее внедрения в широкую клиническую практику и смены ею технологически изжившей себя аналоговой С.Г. Кроме того, нами разработаны и могут быть предложены практическому здравоохранению математический алгоритм и автоматизированный вариант интеллектуальной системы поддержки принятия врачебных решений. Они могут помочь свести возможность диагностической ошибки до минимального уровня, интенсифицировать работу диагностических центров и повысить эффективность работы врачей на местах [20—22].
Аналоговая СГ более уже не может восприниматься в качестве объективного источника информации о состоянии С.Ж. Выполнение С.Г. на цифровой аппаратуре значительно повышает качество контрастного изображения. Однако только дигитальная субтракционная СГ, выполненная на ангиографе, может считаться прецизионным источником информации о состоянии С.Ж. Данная методика должна быть внедрена в работу лечебно-диагностических центров и преподаваться в системе додипломного и постдипломного образования как врачам-стоматологам, так и врачам-рентгенологам.
Методы рентгенодиагностики в стоматологии
Рентгенологические методы исследования являются ведущими в диагностике заболеваний челюстно-лицевой области, что обусловлено их достоверностью и информативностью. Методы рентгенодиагностики нашли широкое применение в практике терапевтической стоматологии (для выявления заболеваний пери- и пародонта); в ортопедической стоматологии (для оценки состояния сохранившихся зубов, периапикальных тканей, пародонта), что определяет выбор ортопедических мероприятий. Востребованы рентгенологические методы и челюстно-лицевой хирургией в диагностике травматических повреждений, воспалительных заболеваний, кист, опухолей и других патологических состояний.
Методика и техника рентгенологического исследования зубов и челюстей имеет свои особенности.
В стоматологической практике применяют следующие методы лучевой диагностики:
• Внутриротовая контактная рентгенограмма
• Внутриротовая рентгенография вприкус
• Внеротовые рентгенограммы
• Панорамная рентгенография
• Ортопантомография
• Радиовизиография
Дополнительные методы исследования:
• Компьютерная томография
• Магнитно-резонансная томография
• Методы с введением контрастных веществ

1. Внутриротовая контактная рентгенография
Основой рентгенологического исследования при большинстве заболеваний зубов и пародонта по-прежнему служит внутриротовая рентгенография.
Выполняется на специальном дентальном рентгеновском аппарате (хотя может быть выполнена и на обычном).
Для внутриротовой рентгенографии используют пакетированную или специально нарезанную (3x4 см) пленку, упакованную в светонепроницаемые стандартные пакеты.
На одном снимке можно получить изображение не более 2-3 зубов
2. Внутриротовая рентгенография вприкус.
Рентгенограммы вприкус выполняют в тех случаях, когда невозможно сделать внутриротовые контактные снимки (повышенный рвотный рефлекс, тризм, у детей), при необходимости исследования больших отделов альвеолярного отростка (на протяжении 4 зубов и более) и твердого неба, для оценки состояния щечной и язычной кортикальных пластинок нижней челюсти и дна полости рта.
Стандартный конверт с пленкой вводят в полость рта и удерживают сомкнутыми зубами. Рентгенограммы вприкус используют для исследования всех зубов верхней челюсти и передних нижних зубов.
Также окклюзионная рентгенография применяется и для получения изображения дна полости рта при подозрении на конкременты поднижнечелюстной и подъязычной слюнных желез, для получения изображения челюстей в аксиальной проекции. Она позволяет уточнять ход линии перелома в пределах зубного ряда, расположение костных осколков, состояние наружной и внутренней кортикальных пластинок при кистах и новообразованиях, выявлять реакцию надкостницы
3. Внеротовые (экстраоральные) рентгенограммы.
Внеротовые рентгенограммы дают возможность оценить состояние отделов верхней и нижней челюстей, височно-нижнечелюстных суставов, лицевых костей, не получающих отображения или видимых лишь частично на внутриротовых снимках.
Ввиду того что изображение зубов и окружающих их образований получается менее структурным, внеротовые снимки используют для их оценки лишь в тех случаях, когда выполнить внутриротовые рентгенограммы невозможно (повышенный рвотный рефлекс, тризм и т.п.).
Подбородочно-носовую проекцию применяют для исследования верхней челюсти, верхнечелюстных пазух, полости носа, лобной кости, глазницы, скуловых костей и скуловых дуг.
На рентгенограммах лицевого черепа в лобно-носовой проекции видны верхняя и нижняя челюсти, на них проецируются кости основания черепа и шейные позвонки.

Рентгенографию тела и ветви нижней челюсти в боковой проекции проводят на дентальном рентгенодиагностическом аппарате.
Рентгенограмму черепа в передней аксиальной проекции выполняют для оценки стенок верхнече¬люстной пазухи, в том числе задней, полости носа, скуловых костей и дуг; на ней видна нижняя челюсть в аксиальной проекции.
4. Панорамная томография
Более трех десятилетий назад в арсенал рентгенодиагностики заболеваний зубочелюстной системы, ЛОР-органов и других отделов черепа вошла панорамная рентгенография. При этом методе исследования аппликатор рентгеновской трубки вводят в рот пациента, а кассета располагается вокруг верхней или нижней челюстной дуги. В обоих случаях пациент придерживает кассету с наружной стороны ладонями, плотно прижимая ее к мягким тканям лица.
Проводится также и боковая панорамная томография, на боковом панорамном снимке одновременно отображаются зубы верхнего и нижнего ряда каждой половины челюсти.

Прямые панорамные рентгенограммы имеют преимущество перед внутриротовыми снимками по богатству деталями изображения костной ткани и твердых тканей зубов. При минимальной лучевой нагрузке они позволяют получить широкий обзор альвеолярного отростка и зубного ряда, облегчают работу рентгенолаборанта и резко сокращают время исследования. На этих снимках хорошо видны полости зуба, корневые каналы, периодонтальные щели, межальвеолярные гребни и костная структура не только альвеолярных отростков, но и тел челюстей. На панорамных рентгенограммах выявляются альвеолярная бухта и нижняя стенка верхнечелюстной пазухи, нижнечелюстной канал и основание нижнечелюстной кости.
На основании панорамных снимков диагностируют кариес и его осложнения, кисты разных типов, новообразования, повреждения челюстных костей и зубов, воспалительные и системные поражения. У детей хорошо определяется состояние и положение зачатков зубов.
5. Ортопантомография
Панорамная зонография, или, как ее чаще называют, ортопантомография, явилась своего рода революцией в рентгенологии челюстно-лицевой области и не имеет себе равных по ряду показателей (обзор большого отдела лицевого черепа в идентичных условиях, минимальная лучевая нагрузка, малые затраты времени на исследование).
Панорамная зонография позволяет получить плоское изображение изогнутых поверхностей объемных областей, для чего используют вращение рентгеновской трубки и кассеты.
Преимуществом ортопантомографии является возможность демонстрировать межчелюстные контакты, оценивать Результаты воздействия межчелюстной нагрузки по состоянию замыкающих пластинок лунок и определять ширину периодонтальных путей.
Ортопантомограммы демонстрируют взаимоотношения зубов верхнего ряда с дном верхнечелюстных пазух и позволяют выявить в нижних отделах пазух патологические изменения одонтогенного генеза.

Особенно важно использовать ортопантомографию в детской стоматологии, где она не имеет конкурентов в связи с низкими дозами облучения и большим объемом получаемой информации. В детской практике ортопантомография помогает диагностировать переломы, опухоли, остеомиелит, кариес, периодонтиты, кисты, определять особенности прорезывания зубов и положение зачатков.
6. Радиовизиография
Радиовизиография дает изображение, регистрируемое не на рентгеновской пленке, а на специальной электронной матрице, обладающей высокой чувствительностью к рентгеновским лучам. Изображение с матрицы, по оптоволоконной системе передается в компьютер, обрабатывается в нем и выводится на экран монитора. В ходе обработки оцифрованного изображения может осуществляться увеличение его размеров, усиление контраста, изменение, если необходимо, полярности — с негатива на позитив, цветовая коррекция.
Компьютер дает возможность более детального изучения тех или иных зон, измерения необходимых параметров, в частности длины корневых каналов, денситометрии. С экрана монитора изображение может быть перенесено на бумагу — с помощью принтера, входящего в комплект оборудования. Из всех достоинств цифровой обработки рентгеновского изображения мы отметим особо такие: быстроту получения информации, возможность исключения фотопроцесса и снижение дозы ионизирующего излучения на пациента в 2-3 раза.
7. Компьютерная томография (КТ).
Метод позволяет получить изображение не только костных структур челюстно-лицевой области, но и мягких тканей, включая кожу, подкожную жировую клетчатку, мышцы, крупные нервы, сосуды и лимфатические узлы.
Компьютерная томография широко используется при распознавании заболеваний лицевого черепа и зубочелюстной системы: патологии височно-нижнечелюстных суставов, врожденных и приобретенных деформаций, переломов, опухолей, кист, системных заболеваний, патологии слюнных желез, болезней носо- и ротоглотки.
Метод позволяет разрешить диагностические затруднения, особенно при распространении процесса в крылонебную и подвисочную ямки, глазницу, клетки решетчатого лабиринта.
С помощью КТ хорошо распознаются внутричерепные осложнения острых синуситов (эпидуральные и субдуральные абсцессы), вовлечение в воспалительный процесс клетчатки глазницы, внутричерепные гематомы при травмах челюстно-лицевой области.
Компьютерная томография позволяет точно определить локализацию поражений, провести дифференциальную диагностику заболеваний, планирование оперативных вмешательств и лучевой терапии.
8. Контрастные методы.
Среди многочисленных способов контрастных рентгенологических исследований при челюстно-лицевой патологии наиболее часто используются артрография височно-нижнечелюстных суставов, ангиография, сиалография, дакриоцистография.
Сиалография заключается в исследовании протоков крупных слюнных желез путем заполнения их йодсодержащими препаратами. С этой целью используют водорастворимые контрастные или эмульгированные масляные препараты (дианозил, ультражидкий липойодинол, этийдол, майодил и др.). Перед введением препараты подогревают до температуры 37—40 °С, чтобы исключить холодовый спазм сосудов.
Исследование проводят с целью диагностики преимущественно воспалительных заболеваний слюнных желез и слюнокаменной болезни.
В отверстие выводного протока исследуемой слюнной железы вводят специальную канюлю, тонкий полиэтиленовый или нелатоновый катетер диаметром 0,6—0,9 мм или затупленную и несколько загнутую инъекционную иглу. После бужирования протока катетер с мандреном, введенный в него на глубину 2—3 см, плотно охватывается стенками протока. Для исследования околоушной железы вводят 2—2,5 мл, поднижнечелюстной — 1 — 1,5 мл контрастного препарата.
Рентгенографию проводят в стандартных боковых и прямых проекциях, иногда выполняют аксиальные и тангенциальные снимки.

Введение контрастных веществ в кистозные образования осуществляют путем прокола стенки кисты. После отсасывания содержимого в полость вводят подогретое контрастное вещество. Рентгенограммы выполняют в двух взаимно перпендикулярных проекциях.
Контрастирование свищевых ходов (фистулография) выполняют с целью определения их связи с патологическим процессом или инородным телом. После введения контрастного вещества под давлением в свищевой ход производят рентгенограммы в двух взаимно перпендикулярных проекциях.
Для контрастирования артериальных и венозных сосудов челюстно-лицевой области (при образованиях, гемангиомах) контрастный препарат можно вводить тремя способами. Наиболее простым из них является пункция гемангиомы с введением контрастного вещества в толщу опухоли и регистрацией изображения на отдельных снимках. Чтобы получить представление о распространенности опухоли в прямой и боковой проекциях, пункцию выполняют 2 раза. Методика обеспечивает выявление характера венозных изменений, но не всегда позволяет увидеть детали кровотока, подходящие к гемангиоме сосуды, и не пригодна для контрастирования артериальной сосудистой сети.
При кавернозных гемангиомах и артериовенозных шунтах практикуют введение контрастных препаратов в приводящий сосуд, который выделяют операционным путем.
При пульсирующих артериальных и артериовенозных образованиях производят серийную ангиографию после введения контрастных препаратов в приводящий сосуд.
Целенаправленное комплексное использование в единой схеме обследования пациентов с патологией зубочелюстной области клинических и рентгенологических данных позволяет не только сделать более точной первичную и дифференциальную диагностику, но и объективно оценить эффективность проводимого лечения. Используя цифровое изображение, можно выполнить коррекцию искажений, благодаря улучшению визуальных характеристик добиться выявления тонких дифференциально-диагностических патологических состояний, осуществить передачу изображения по электронной почте для последующих консультаций специалистами.
Перспективы дальнейшего использования рентгенокомпьютерной сети в стоматологической практике связаны с увеличением технических возможностей современной рентген-аппаратуры, оптимизацией компьютерных программ для анализа изображения, а также разработкой рациональных диагностических алгоритмов комплексного клинико-рентгенологического обследования пациентов в зависимости от нозологической формы заболевания и задач предстоящего лечения.
Теория и практический опыт в ультразвуковой диагностике патологии слюнных желез

Экспертный класс по доступной цене. Монокристальные датчики, полноэкранный режим отображения, эластография, 3D/4D в корпусе ноутбука. Гибкая трансформация в стационарный сканер при наличии тележки.
В отечественной и зарубежной литературе встречается много работ, посвященных сиалогии (от греч. Sialon - слюна и logos - учение) - науке о заболеваниях и повреждениях слюнных желез, методах их диагностики и лечения. По данным разных авторов, на долю заболеваний слюнных желез приходится до 24% всей стоматологической патологии. В настоящее время в клинической практике наиболее часто встречаются дистрофические, воспалительные заболевания слюнных желез (сиалоаденозы, сиалоадениты), а также опухоли и врожденные пороки развития слюнных желез. Кроме того, патологические изменения слюнных желез часто сопутствуют другим заболеваниям (сахарный диабет, бронхоэктатическая болезнь, саркоидоз, цирроз печени, гипертриглицеридемия, лимфогранулематоз и др.).
Для диагностики заболеваний слюнных желез используются различные инструментальные методы [1]:
- рентгенография (при подозрении на образование камней в протоках слюнных желез, однако в 20% камни поднижнечелюстных слюнных желез и 80% околоушных слюнных желез нерентгеноконтрастны);
- сиалография (исследование протоков слюнных желез с рентгеноконтрастным веществом, редко оказывается полезно при дифференцировании опухолей от воспалительных процессов, однако она может помочь дифференцировать объемное образование слюнных желез от образований в соседних тканях. У больных с подозрением на аутоиммунное заболевание слюнных желез может обнаружиться характерная картина мешотчатого расширения протоковой системы. При острой инфекции слюнных желез сиалографию предпринимать не следует [2]);
- компьютерная томография вместе с сиалографией;
- ультразвуковой метод (является наиболее доступным, безопасным и информативным в процессе дифференциальной диагностики патологического состояния слюнных желез).
Анатомия слюнных желез [3]

Рис. 1. Лимфатические узлы в толще околоушной слюнной железы.
Малые слюнные железы - губные, щечные, язычные, небные, резцовые - располагаются в соответственных участках слизистой оболочки. Могут быть источником развития аденокарцином полости рта.
Патология слюнных желез
Пороки развития СЖ встречаются редко. Наиболее распространены аномалии размера желез (агенезия и аплазия, врожденная гиперплазия (рис. 2) и гипоплазия), их расположения (гетеротопия, добавочные СЖ), аномалии выводных протоков (атрезия, стеноз, эктазия, кистозная трансформация, дистопии протоков).

Рис. 2. Гиперплазия левой подъязычной слюнной железы.
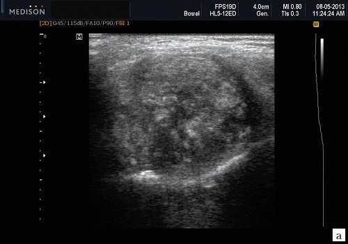
Сиаладениты - большая группа полиэтиологических воспалительных заболеваний СЖ (рис. 3). Первичные сиаладениты - сиаладениты, рассматриваемые в качестве самостоятельных заболеваний (например, эпидемический паротит). Вторичные сиаладениты - сиаладениты, являющиеся осложнениями или проявлениями других заболеваний (например, сиаладенит при гриппе). Эхографическая картина при разной этиологии малоспецифична. Этиология имеет клиническое значение в процессе определения тактики лечения.

Рис. 3. Сиаладенит правой поднижнечелюстной слюнной железы.
По этиологическому фактору сиаладениты классифицируют [4] на:
- сиаладениты, развивающиеся под влиянием факторов физической природы (травматический сиаладенит, лучевой сиаладенит (рис. 4) возникает при лучевой терапии злокачественных опухолей головы и шеи);
- сиаладениты, развивающиеся под действием химических факторов (токсические сиаладениты);
- инфекционные сиаладениты (пути проникновения ифекции в СЖ: стоматогенный (через протоки), контактный, гематогенный и лимфогенный);
- аллергические и аутоиммунные сиаладениты (рецидивирующий аллергический, болезнь и синдром Шегрена и др.);
- миоэпителиальный сиаладенит, вызванный патологическим процессом, ранее обозначавшийся как доброкачественное лимфоэпителиальное поражение. Термин доброкачественное лимфоэпителиальное поражение впервые применил J.T. Godwin в 1952 г., заменив понятие болезнь Микулича;
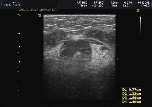
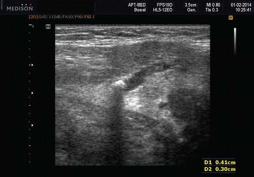
- обструктивные сиаладениты, развивающиеся при затруднении оттока слюны при обструкции выводного протока камнем (рис. 5-7) или сгустившимся секретом, а также вследствие рубцового стеноза протока. По распространенности процесса различают очаговый, диффузный сиаладениты и сиалодохит - воспаление выводного протока. Течение процесса может быть острым и хроническим;
- пневмосиаладенит, развивающийся при наличии в ткани СЖ воздуха при отсутствии бактериальной газообразующей инфекции. Воздух проникает в железу из полости рта при повышении там давления через проток. Пневмосиаладенит характерен для ряда профессий, прежде всего для стеклодувов и музыкантов, играющих на духовых инструментах.

Рис. 4. Постлучевой сиаладенит.

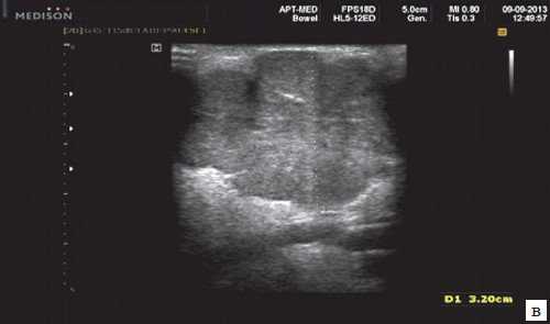
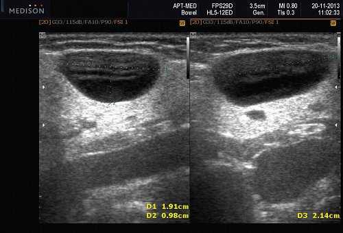
Рис. 5. Камень протока поднижнечелюстной слюнной железы.

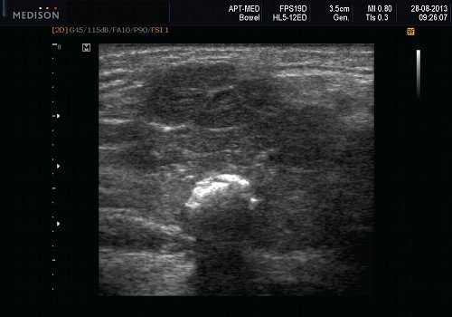
Рис. 6. Камень в паренхиме поднижнечелюстной слюнной железы.

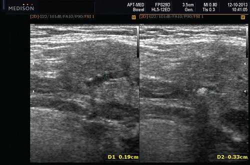
Рис. 7. Камень в протоке поднижнечелюстной слюнной железы.
Опухоли слюнных желез
Опухоли слюнных желез подразделяются на две группы: эпителиальные и неэпителиальные. Эпителиальные опухоли преобладают у взрослых (95%). У детей в СЖ эпителиальные и неэпителиальные опухоли встречаются одинаково часто. Помимо истинных опухолей в СЖ развиваются процессы, напоминающие опухоли (опухолеподобные поражения).
Среди эпителиальных опухолей СЖ различают доброкачественные новообразования, а также злокачественные - карциномы.
К доброкачественным эпителиальным новообразованиям СЖ относят папилломы протоков, аденомы и доброкачественную сиалобластому. Аденомы СЖ делят на две группы: полиморфные (самая частая аденома СЖ) и мономорфные (все остальные) аденомы. В группу мономорфных аденом были искусственно включены опухоли разного строения, происхождения и прогноза.
Плеоморфная (полиморфная) аденома (смешанная опухоль СЖ) - аденома СЖ, построенная из двух типов клеток: эпителия протоков и миоэпителиоцитов. Макроморфологическая картина. Опухоль обычно представляет собой эластичный или плотный узел дольчатой серовато-белой ткани, как правило, инкапсулированный частично. Типичной для плеоморфной аденомы является так называемая хондроидная строма, напоминающая гиалиновый хрящ. Варианты эхографического изображения плеоморфных аденом представлены на рисунке 8.



Рис. 8. Плеоморфная аденома СЖ.
Опухоль Уортина - аденолимфома, в которой образуются множественные кистозные полости, покрытые двухслойным эпителием. В просвет кист вдаются сосочки. В строме опухоли происходит выраженная пролиферация лимфоидной ткани. Эта опухоль почти исключительно развивается в околоушной железе.
Другие варианты доброкачественных опухолей встречаются реже. Это доброкачественная онкоцитома (оксифильная аденома), базально-клеточная аденома, канальцевая аденома, цистаденома доброкачественная сиалобластома.
Среди доброкачественных первичных неэпителиальных опухолей наиболее часто встречаются гемангиома, лимфангиома, нейрофиброма и липома.
Среди злокачественных неэпителиальных опухолей чаще обнаруживаются злокачественные лимфомы (они возникают, как правило, на фоне миоэпителиального сиалоаденита, болезни и синдрома Шегрена).
Опухолеподобные поражения слюнных желез

Рис. 9. Кисты слюнных желез.
- Кисты слюнных желез (мукоцеле). Различают два типа мукоцеле СЖ: ретенционный тип (ретенционная киста малой СЖ, формирующаяся при задержке слюны в выводном протоке) и тип внутритканевой секреции, когда при травме стенки протока слюна поступает непосредственно в волокнистую ткань, окружающую железу. Мукоцеле дна полости рта называются также ранулами.
- Кисты выводных протоков больших СЖ - выраженная дилатация выводного протока вследствие задержки в нем секрета. Блокада оттока слюны может быть вызвана различными причинами: опухолью, камнем, уплотнившейся слизью, поствоспалительным стенозом вплоть до рубцовой облитерации просвета.
- Сиалоаденоз (сиалоз) - неопухолевое и невоспалительное симметричное увеличение СЖ вследствие гиперплазии и гипертрофии секреторных клеток. Исходом сиалоза нередко является липоматоз СЖ. Процесс имеет хроническое рецидивирующее течение. Сиалоз встречается при ряде заболеваний и состояний: сахарный диабет, гипотиреоз, недостаточность питания, алкоголизм, цирроз печени, гормональные нарушения (гипоэстрогенемия), реакции на лекарственные препараты (чаще всего на антигипертензивные), неврологические нарушения.
Аденоматоидная гиперплазия малых СЖ приводит к их увеличению до 0,5-3,0 см в диаметре. Причинами аденоматоидной гиперплазии являются травма и длительное воздействие ионизирующей радиации.
Онкоцитоз - возрастные изменения секреторных клеток и эпителия протоков СЖ. СЖ при этом могут слегка увеличиваться, но обычно величина их не меняется.
Подводя итог, хочется отметить, что ультразвуковое исследование с применением допплерографии во многих наших наблюдениях помогало точно определить характер патологического процесса в СЖ. Однако этот метод диагностики не позволяет однозначно подтвердить или опровергнуть злокачественный характер образования слюнных желез.
Литература
- Доброкачественные и злокачественные опухоли мягких тканей и костей лица. А.Г. Шаргородский, Н.Ф. Руцкий. М.: ГОУ ВУНМЦ, 1999.
- Топографическая анатомия и оперативная хирургия. И.И. Каган, С.В. Чемезов. М.: ГЭОТАР-Медиа, 2011.
- Слюнные железы. Болезни и травмы. В.В. Афанасьев. М.: ГЭОТАР-Медиа, 2012.
- Воспалительные заболевания тканей челюстно-лицевой области и шеи. А.Г. Шаргородский. М.: ГОУ ВУНМЦ, 2001.
УЗИ аппарат HM70A
Современная лучевая диагностика. Часть I
Трудно переоценить роль радиологических методов исследования в диагностике онкологических заболеваний, а также в оценке результатов лечения и динамики болезни. Лучевые методы диагностики позволяют обнаружить многие новообразования на ранних стадиях, поэтому их широкое применение является очень важным аспектом в развитии современной медицины.
У онкологических пациентов, а также у всех, кто хочет пройти обследование, чтобы быть уверенным в отсутствии угрозы заболевания, возникает множество вопросов по методам современной лучевой диагностики, о необходимости и достаточности проведения тех или иных исследований.
На наиболее часто встречающиеся вопросы пользователей сайта отвечает заведующий отделением лучевой диагностики НИИ онкологии им.Н.Н.Петрова, д.м.н., профессор Андрей Владимирович Мищенко.

Какой метод лучевой диагностики является наиболее эффективным в онкологии? Пациенты спрашивают, почему, например, в одних случаях назначают КТ, в других МРТ?
Сегодня в арсенале современной клиники имеется довольно широкий спектр лучевых методов. Зачастую приходиться объяснять не только пациентам, но и консультировать врачей, какой метод лучевой диагностики в данной ситуации наиболее предпочтителен. Лучевая диагностика на сегодняшний день объединяет в себе пять основных методов исследований:
- Рентгенодиагностика
- Компьютерная томография (КТ)
- Магнитно-резонансная томография (МРТ)
- Ультразвуковая диагностика (УЗИ)
- Радионуклидная диагностика
Каждый из методов лучевой диагностики имеет свои особенности, позволяющие увидеть те или иные ткани организма человека. Так, головной и спинной мозг, мягкие ткани (мышцы, сухожилия), органы малого таза лучше визуализируется при магнитно-резонансной томографии.
Ультразвуковое исследование дает хорошее отображение поверхностных структур, мышц, молочной железы, щитовидной железы, лимфатических узлов. С помощью УЗИ исследуются паренхиматозные органы живота, малого таза, особенно при использовании специальных датчиков для исследования женских половых органов и предстательной железы у мужчин.

КТ наиболее часто используется для диагностики органов груди (легкие, средостение), живота, на томографе хорошо видны костные изменения. Однако, иногда можно быстрее и с минимальным воздействием решить вопросы патологии легких или костей при помощи классической рентгенографии.
Радионуклидная диагностика применяется в онкологической практике в основном в виде сцинтиграфии для диагностики метастатического поражения костей, а при использовании специальных препаратов также позволяет диагностировать поражения лимфатических узлов.
При назначении обследования онкологического пациента в каждом конкретном случае учитывается не только тип самой опухоли и степень ее злокачественности, но и проведенное лечение (операция, лучевая терапия, химиотерапия или их комбинации), давность проведенного лечения, состояние организма пациента, сопутствующая патология и другие факторы.
Что делать, если при обследовании в другом лечебном учреждении выявлена опухоль, а пациент не уверен в правильности диагноза?
Я советую пациентам следовать рекомендациям своего лечащего врача. Если у пациента возникают вопросы по назначенному обследованию и лечению, то он может и должен обсудить их с врачом. И, конечно, пациент имеет право на «второе мнение», он может проконсультироваться в любом другом лечебном учреждении, включая и НИИ онкологии им. Н.Н. Петрова. Врач-онколог сопоставит клинические данные с имеющимися результатами обследования и, при необходимости, назначит дополнительные исследования.
Когда пациенты приезжают на лечение в НИИ онкологии из других регионов России, они часто предоставляют результаты КТ и МРТ-исследований, лучше если это будет запись на компакт-диске. К сожалению, иногда на практике мы встречаемся с тем, что качество этих исследований оставляет желать лучшего. Мы всегда стараемся при экспертном анализе предоставленных данных предоставить максимальную информацию врачу-онкологу для принятия решения. В том случае, если этого будет недостаточно, пациенту может быть назначено повторное исследование.
Какие существуют рекомендации по проведению лучевых исследований после проведенного лечения, операции?
Как правило, больные после лечения онкологических заболеваний выписываются под наблюдение онкологов районных поликлиник с четкими рекомендациями: какие исследования и в какие периоды необходимо проходить. При наблюдении за процессом лечения принципиальным моментом является анализ динамики изменений органов, а также самой опухоли, если она осталась.
При сравнении предыдущей картины с сегодняшними данными для врача очень важно соблюдение методики исследования. В связи с этим я рекомендую проходить лучевые исследования по поводу опухолей исключительно в специализированных и проверенных учреждениях.
Читайте также:
- Случай лечения первичной открытоугольной глаукомы методом ИАГ-лазерной гониопунктуры
- Роман с женатым мужчиной. Причины отказаться от женатика
- Волосяной кератоз у ребенка при атопическом дерматите
- Состав медиального сосудисто-нервного пучка. Топография медиального пучка. Внутренняя яремная вена. Общая сонная артерия. Блуждающий нерв. Топография общей сонной артерии. Каротидный синус.
- Профилактика профессиональных болезней танцоров и артистов балета. Реабилитация танцоров
