Эффективность и результаты лечения ретинопатии недоношенных
Добавил пользователь Евгений Кузнецов Обновлено: 22.01.2026
предоставляем актуальную медицинскую информацию от ведущих специалистов, помогая врачам в ежедневной работе
Для цитирования: Методика лазерного лечения прогрессирующей ретинопатии недоношенных с различными вариантами течения. Клиническая офтальмология. 2006;7(4):156.
Laser treatment of progressiv retinopathy of prematurity with different courses of disease
S.A. Korotkih, E.A. Stepanova, P.V. Kulakova
State Medical Academy, Ekaterinburg
Purpose. The development of an original laser coagulation technique in retinal avascular zones with intent to increase the efficacy of progressive stages of ROP treatment.
Materials and methods. More than 100 patients of our centre (including 58 children diagnosed with malignant form of the disease) have been operated on with diode photo coagulator “Keeler Multilaser 1500”. An original technique of diode coagulation was used to increase the efficacy of laser treatment. The technique consisted in blocking the largest possible area of avascular retina with the volume of coagulation approaching 100%. Having received laser treatment a course of parabulbar injections of retinalamin was prescribed for retinal and vascular protection.
Two groups of patients comparable according to hazards of developing ROP were selected. The control group comprising 24 children with progressive ROP (10 patients among them were diagnosed with plus-disease) received conventional laser treatment. The experimental group composed of 31 children with progressive ROP, including 11 cases of plus-disease, received laser treatment using the new technique.
Results and discussion. The follow-up period after the procedure comprised from 6 to 36 months. There was a notably higher stabilization rate of both regular course of ROP (91, 2%) and plus-disease (75%). We consider negative outcomes to be either the result of retarded treatment or bigger intervals between the stages of treatment, when the proliferation syndrome is impossible to control.
Conclusions
1. The incidence of ROP stabilization after received laser treatment was higher in the experimental group both in cases of regular ROP (91, 2%) and plus-disease (75%).
2. There was a notably higher efficacy of treatment (especially in the case of plus-disease) using the method of maximum coagulation of avascular retinal zones.
3. Laser treatment should be prescribed at earlier stages of the diagnosed plus-disease (at stage 2 or having detected the initial signs of extraretinal growth).
Литература
1. Асташева И.Б., Сидоренко Е.И. Молниеносная ретинопатия недоношенных («плюс-болезнь»): распространенность, факторы риска, критерии диагностики и варианты течения. // Вестн. офтальмол.- 2002.- №6.- с.5-9.
2. Асташева И.Б., Сидоренко Е.И., Аксенова И.И. Лазеркоагуляция в лечении различных форм ретинопатии недоношенных. // Вестн. офтальмол.- 2005.- №2.- с.31-34.
3. Володин Н.Н. «Ретинопатия недоношенных». // Методические рекомендации для врачей. - М. - 2003. - 23 с.
4. Катаргина Л.А., Хватова А.В., Коголева Л.В., Дементьева Г.М. Особенности ретинопатии недоношенных, протекающей как «плюс-болезнь». // Вестн. офтальмол.- 2002.- №6.- с.3-5.
5. Катаргина Л.А., Хватова А.В., Коголева Л.В., Денисова Е.В. Проблемы и перспективы профилактического лечения ретинопатии недоношенных. // Вестн. офтальмол.- 2005.- №2.- с.38-41.
6. Парамей О.В., Захарченко А.В., Валявская М.Е. Восьмилетний опыт криолечения активной ретинопатии недоношенных: тактика ведения больных и результаты. // Вестн. офтальмол.- 2005.- №2.- с.34-38
7. Фомина Н.В., Сайдашева Э.И. О лазерном лечении активной фазы ретинопатии у недоношенных детей в Санкт-Петербурге. // Материалы юбилейной научной конференции, посвященной 70-летию основания первой в России кафедры детской офтальмологии «Современные проблемы детской офтальмологии».- Санкт-Петербург.- «Пиастр».- 2005.- с.183-184.
8. Хватова А.В., Катаргина Л.А., Коголева Л.В., Дементьева Г.М. и др. Активные и рубцовые стадии ретинопатии недоношенных. Диагностика и контроль за лечением. // Пособие для врачей. - М., 1998. - 16 с.
9. Хватова А.В., Катаргина Л.А., Дементьева Г.М., Коголева Л.В., Фролова М.И., Скрипец П.П. Эффективность выявления и профилактического лечения ретинопатии недоношенных. // Вестн. офтальмол.-2000.- №5.- с.34-37.
10. Noonan C.P., Clarс D. I. Trends in the management of stage 3 retinopathy of prematurity. // Br. J. Ophthalmol. - V.80. - P. 278-281.
Ретинопатия недоношенных
Ретинопатия недоношенных - вазопролиферативное поражение сетчатки, обусловленное незрелостью структур глаза у детей, рожденных раньше срока. Ретинопатия недоношенных характеризуется нарушением нормального васкулогенеза и нередко самопроизвольно регрессирует; в остальных случаях сопровождается помутнением стекловидного тела, миопией, астигматизмом, косоглазием, катарактой, глаукомой, тракционной отслойкой сетчатки. Ретинопатия диагностируется в ходе осмотра недоношенного ребенка детским офтальмологом с помощью офтальмоскопии, УЗИ глаза, электроретинографии, зрительных ВП. Лечение ретинопатии недоношенных может включать крио- или лазеркоагуляцию сетчатки, витрэктомию, склеропломбирование.
Общие сведения
Ретинопатия недоношенных - нарушение процессов васкуляризации сетчатки у детей, имеющих низкий гестационный возраст. Частота ретинопатии недоношенных в неонатологии и детской офтальмологии тесно коррелирует со степенью зрелости организма ребенка: так, у детей с массой тела менее 1500 г патология сетчатки развивается в 40-50% случаев; менее 1000 г - в 52-73%; а у глубоко недоношенных детей с массой тела менее 750 г - в 81-95% случаев. Парадоксальность ситуации заключается в том, что совершенствование условий выхаживания детей с экстремально низкой массой тела приводит к увеличению случаев ретинопатии недоношенных, которая в развитых странах становится ведущей причиной слепоты у детей.
Причины ретинопатии недоношенных
Нормальный васкулогенез (рост сосудов) сетчатки у плода начинается с 16 недели внутриутробного развития и завершается к 40 неделям гестации. Т. о., чем меньше гестационный возраст ребенка, тем больше в его сетчатке содержится аваскулярных зон. Наиболее подвержены возникновению ретинопатии недоношенных дети, рожденные от преждевременных родов ранее 34-ой недели гестации с массой тела менее 2000 г.
Развитие сосудов сетчатки регулируется различными медиаторами - факторами роста, из которых наиболее значимы и изучены фактор роста сосудистого эндотелия, фактор роста фибробластов и инсулиноподобный фактор. Нарушению регуляции нормального ангиогенеза и развитию ретинопатии у недоношенных способствуют условия, вызывающие изменение парциального давления кислорода и углекислого газа в крови. Дело в том, что метаболические процессы в сетчатке осуществляются посредством гликолиза, т. е. расщепления глюкозы, протекающего без участия кислорода. Поэтому длительное пребывание ребенка на ИВЛ, кислородотерапия, колебания в режиме назначения сурфактантов и т. п. способствуют развитию ретинопатии недоношенных.
Дополнительными факторами риска, влияющими на возникновение ретинопатии недоношенных, служат гипоксия плода, внутриутробные инфекции, синдром дыхательных расстройств, внутричерепные родовые травмы, сепсис, анемия новорожденных и др. Одним из вероятных триггеров развития ретинопатии является воздействие на незрелую сетчатку недоношенного избыточной освещенности, тогда как в норме ангиогенез сетчатки протекает внутриутробно в отсутствии светового воздействия.
Патогенез ретинопатии недоношенных связан как с нарушением образования новых сосудов сетчатки, так и с изменением уже сформировавшихся сосудистых трактов. При ретинопатии недоношенных образование сосудов в аваскулярных зонах периферии сетчатки прекращается, а новообразованные сосуды начинают прорастать в стекловидное тело, что в дальнейшем приводит к кровоизлияниям, новообразованию глиальной ткани, натяжению и тракционной отслойке сетчатки.
Классификация ретинопатии недоношенных
Принятая в мировой практике классификация ретинопатии недоношенных выделяет в течении заболевания активную и рубцовую (регрессивную) фазы. Активная фаза ретинопатии недоношенных, в зависимости от локализации и выраженности сосудистых изменений, подразделяется на 5 стадий:
- I стадия - образование демаркационной линии - узкой границы, отделяющей васкулярную (сосудистую) часть сетчатки от аваскулярной (бессосудистой).
- II стадия - формирование на месте демаркационной линии возвышения - демаркационного вала (гребня). Сосуды врастают в вал и могут образовывать небольшие участки неоваскуляризации.
- III стадия - в области вала появляется экстраретинальная фиброваскулярная пролиферация. Соединительная ткань и сосуды разрастаются по поверхности сетчатки и проникают в стекловидное тело.
- IV стадия - соответствует частичной отслойке сетчатки, обусловленной экссудативно-тракционным механизмом. Данная стадия ретинопатии недоношенных подразделяется на подстадии: IVa - без отслойки макулы и IVб — с вовлечением в отслойку макулярной зоны.
- V стадия - тотальное отслоение сетчатки воронкообразной формы (с узким, широким или закрытым профилем воронки).
В 70-80% случаев I и II стадии ретинопатии недоношенных самопроизвольно регрессируют, оставляя минимальные остаточные изменения на глазном дне. III стадия является «пороговой» и служит основанием для проведения профилактической коагуляции сетчатки. IV и V стадии ретинопатии недоношенных расцениваются как терминальные из-за неблагоприятного прогноза в отношении зрительных функций.
В большинстве случаев при ретинопатии недоношенных наблюдается последовательное, постадийное развитие изменений, однако возможен молниеносный вариант («плюс»-болезнь), характеризующийся злокачественным, быстрым течением.
Продолжительность активной стадии ретинопатии недоношенных составляет 3-6 месяцев. Если в течение этого времени не произошло спонтанного регресса изменений, наступает фаза рубцевания с развитием остаточных явлений. В этой стадии у ребенка могут развиваться микрофтальм, близорукость, косоглазие и амблиопия, поздняя отслойка сетчатки, фиброз стекловидного тела, осложненная катаракта, вторичная глаукома, субатрофия глазного яблока.
Объективные офтальмологические данные являются единственными проявлениями ретинопатии недоношенных, особенно в ее активной фазе, поэтому одновременно могут расцениваться как симптомы заболевания.
Диагностика ретинопатии недоношенных
Для выявления ретинопатии обследованию детского офтальмолога подлежат все недоношенные через 3-4 недели после рождения. В более раннем возрасте признаки ретинопатии недоношенных еще не проявляются, однако при офтальмологическом осмотре может быть выявлена другая врожденная патология глаза: глаукома, катаракта, увеит, ретинобластома.
Дальнейшая тактика предполагает динамическое наблюдение недоношенного ребенка офтальмологом каждые 2 недели (при незавершенной васкуляризации сетчатки) либо еженедельно (при первых признаках ретинопатии), либо 1 раз в 2-3 дня (при «плюс»-болезни). Осмотры недоношенных детей проводятся в присутствии неонатолога и анестезиолога-реаниматолога.
Основным методом выявления ретинопатии недоношенных служит непрямая офтальмоскопия, осуществляемая после предварительного расширения зрачка (мидриаза). С помощью УЗИ глаза дополнительно выявляются экстраретинальные признаки ретинопатии недоношенных в III-IV стадиях. С целью дифференциальной диагностики ретинопатии недоношенных и патологии ЗН (аномалий развития или атрофии зрительного нерва) выполняется исследование зрительных ВП, электроретинография ребенку. Для исключения ретинобластомы информативны УЗИ и диафаноскопия.
Для оценки степени отслойки сетчатки предлагается использовать оптическую когерентную томографию.
Лечение ретинопатии недоношенных
В I-II стадии ретинопатии недоношенных лечение не показано. В III стадии с целью предупреждения прогрессирования ретинопатии недоношенных до терминальных стадий проводится профилактическая лазеркоагуляция либо криокоагуляция аваскулярной зоны сетчатки (не позднее 72 часов от момента выявления экстраретинальной пролиферации).
Эффективность профилактического коагуляционного лечения при ретинопатии недоношенных составляет 60-98%. Среди местных осложнений хирургических процедур встречаются ожоги глаз, гифема, преретинальные мембраны, иридоциклиты, окклюзия центральной артерии сетчатки. Общесоматические осложнения могут включать апноэ, цианоз, брадикардию или тахикардию.
Оценка результативности коагуляционного лечения ретинопатии недоношенных проводится спустя 10-14 дней. При стабилизации или регрессе процесса лечение расценивается как эффективное; в случае продолжающейся эктраретинальной пролиферации возможно повторение крио- или лазеркоагуляции.
В регрессивном и послеоперационном периоде назначаются инстилляции лекарственных препаратов (дизинфицирующих, антиоксидантных, противовоспалительных), физиотерапевтическое воздействие (электрофорез, магнитостимуляция, электроокулостимуляция).
В случае дальнейшего прогрессирования ретинопатии недоношенных до IV-V стадий возникает необходимость проведения витрэктомии (ленсвитрэктомии) или циркулярного пломбирования склеры (экстрасклерального пломбирования).
Прогноз и профилактика ретинопатии недоношенных
У большинства детей ретинопатия недоношенных не прогрессирует дальше I-II стадии, изменения сетчатки подвергаются обратному развитию; при этом сохраняется достаточно высокая острота зрения. Тем не менее, у половины из них к 6-10 годам выявляются аномалии рефракции (близорукость, дальнозоркость, астигматизм), глазодвигательные нарушения (косоглазие, нистагм). При прогрессировании ретинопатии недоношенных до IV-V стадии или молниеносной форме заболевания прогноз на сохранение зрительной функции неблагоприятный.
Профилактика ретинопатии недоношенных - это, прежде всего, профилактика преждевременных родов; проведение терапии, направленной на пролонгирование беременности; правильное выхаживание недоношенных, их динамическое наблюдение детским офтальмологом. Дети, перенесшие ретинопатию недоношенных, в старшем возрасте должны проходить регулярное офтальмологическое обследование, включающее визометрию, рефрактометрию, электрофизиологические исследования, компьютерную периметрию и др.
Эффективность и результаты лечения ретинопатии недоношенных
ФГБУ «Московский НИИ глазных болезней им. Гельмгольца» Минздрава России, Москва
Отдел патологии глаз у детей ФГБУ "Московский НИИ глазных болезней им. Гельмгольца" Минздравсоцразвития России
Особенности течения и результаты лечения ретинопатии недоношенных первой зоны
Журнал: Вестник офтальмологии. 2013;129(3): 24‑27
Нероев В.В., Коголева Л.В., Катаргина Л.А. Особенности течения и результаты лечения ретинопатии недоношенных первой зоны. Вестник офтальмологии. 2013;129(3):24‑27.
Neroyev VV, Kogoleva LV, Katargina LA. Clinical course and results of treatment of zone I retinopathy of prematurity. Vestnik Oftalmologii. 2013;129(3):24‑27. (In Russ.).
Обследовано 23 ребенка (46 глаз) с ретинопатией недоношенных (РН) первой зоны. РН первой зоны различается клиническими проявлениями, течением процесса, прогнозом, а также результатами лечения. Эффективность коагуляции сетчатки в активной фазе РН первой зоны составила 70%: при задней РН - 56,3%, при передней - 79%. Хирургическое лечение проведено на 12 глазах с РН 4а-5-й стадиями. Частичное или полное прилегание сетчатки достигнуто на 5 глазах с 4а-4в стадиями РН в результате ленссберегающей витрэктомии на 44-53-й неделе гестации. В остальных случаях операции носили органосохранный характер. Отдаленные функциональные результаты свидетельствуют о многофакторности патогенеза нарушений зрительных функций у детей с РН первой зоны.
Несмотря на принятые Международным комитетом Early Treatment ROP (ETROP) новые стандарты и показания к лечению активной РН, которые позволили повысить эффективность лечения РН первой зоны и ЗАРН до 60% [2, 7], частота неблагоприятных исходов остается достаточно высокой, что требует более четких критериев диагностики, особой организации динамического наблюдения и дифференцированных подходов к лечению.
Целью нашей работы было изучение клинических особенностей и течения РН первой зоны, а также анализ результатов лечения.
Материал и методы
За период с 2006 по 2011 г. под нашим наблюдением находилось 23 ребенка (46 глаз), у которых на момент первого офтальмологического осмотра васкуляризация сетчатки была только в первой зоне глазного дна. Эти дети родились на сроке от 25 до 31 нед гестации (в среднем 27,8 нед) с массой тела от 580 до 1300 г (в среднем 908,6 г).
Офтальмологические осмотры проводили под мидриазом методом бинокулярной обратной офтальмоскопии и на педиатрической ретинальной камере RetCam II.
Транспупиллярную лазеркоагуляцию сетчатки осуществляли на стационарном лазере Visulas 532 combi производства «Carl Zeiss meditec AG» (ФРГ) через щелевую лампу с помощью контактной трехзеркальной линзы диаметром 13 и 10 мм. Число коагулятов на одном глазу в зависимости от площади и возможностей визуализации аваскулярных зон составляло от 1800 до 3500.
Криокоагуляцию проводили криокоагулятором ERBO Cryo (ФРГ) под контролем бинокулярной офтальмоскопии. Число коагулятов варьировало от 8 до 14.
Микрохирургические вмешательства выполнялись методом трехпортовой витрэктомии 23 G с сохранением хрусталика и ленсвитрэктомии 20—23 G на хирургической системе CV — 24 000 AP («Nidek», Япония).
Оценивая клинико-функциональные результаты, определяли степень остаточных изменений на глазном дне [1], остроту зрения методом предпочтительного взора или по таблицам, регистрировали общую, ритмическую и макулярную ЭРГ на электроретинографе МБН-6 (Россия).
Оптическую когерентную томографию (ОКТ) проводили с помощью прибора Spectralis HRA+OCT («Heidelberg Engineering», Germany).
Результаты и обсуждение
Установлено, что не на всех глазах с васкуляризацией сетчатки в первой зоне на момент первого осмотра развилась РН: на 6 (13%) глазах с наличием умеренно извитых ретинальных сосудов васкуляризация сетчатки продолжалась до 42-й недели с постепенным уменьшением сосудистой активности без признаков РН и формированием остаточных аваскулярных зон на височной периферии сетчатки.
В остальных случаях (40 глаз, 87%) развилась РН, причем форма заболевания была различной.
В зависимости от клинических проявлений и особенностей течения заболевания мы выделили два типа РН первой зоны.

16 глаз мы отнесли к 1-му типу и назвали его «задняя РН первой зоны». Задняя РН первой зоны характеризовалась наличием ретинальных сосудов в круге с центром в центре диска зрительного нерва (ДЗН) и радиусом до центра макулы (рис. 1). Рисунок 1. Задняя РН первой зоны.

При 2-м типе РН первой зоны (24 глаза) процесс хотя и локализовался в первой зоне, но это был круг с радиусом от центра ДЗН плюс два расстояния диск—центр макулы, что позволило нам трактовать его как «переднюю РН первой зоны» (рис. 2). Рисунок 2. Передняя РН первой зоны.
Задняя РН первой зоны (1-й тип) характеризовалась выраженной сосудистой активностью в заднем полюсе с расширенными, извитыми сосудами и сосудистыми аркадами-анастомозами на границе с аваскулярной сетчаткой, экссудацией в субретинальном пространстве, геморрагическим компонентом, присутствующим в заднем полюсе. Одним из признаков прогрессирования задней РН первой зоны являлись изменения переднего отдела глаза: опалесценция роговицы, рубеоз радужки, ригидность зрачка, экссудация в стекловидном теле, что затрудняло проведение офтальмоскопии (рис. 3). Рисунок 3. Рубеоз радужки при задней РН первой зоны. При этом типе РН отсутствует стадийность процесса, заболевание стремительно прогрессирует с развитием экстраретинальной пролиферации нетипичной, центральной локализации (у ДЗН, вдоль сосудов, не связанная с границей с бессосудистой сетчаткой). Тяжесть процесса при 1-м типе РН первой зоны подтверждалась данными ОКТ: наряду с расширенными, извитыми сосудами отмечался кистовидный отек в макуле, что свидетельствует о вовлечении в патологический процесс макулярной зоны уже в начальных стадиях заболевания (рис. 4). Рисунок 4. Результаты ОКТ: кистовидный отек макулы при задней РН первой зоны.

При дальнейшем прогрессировании процесса в ранние сроки (36—42 нед гестации) развивается отслойка сетчатки «воронкообразной» или «вулканообразной» конфигурации, при которой отслаивается васкуляризированная сетчатка в первой зоне в виде купола, закрывающая ДЗН (рис. 5). Рисунок 5. «Вулканообразная» отслойка сетчатки в первой зоне.
Передняя РН первой зоны (2-й тип) также характеризовалась прогрессирующим течением: с умеренной сосудистой активностью в заднем полюсе с постепенным ростом экстраретинальной пролиферации на границе с аваскулярной сетчаткой

(6 глаз) и с выраженной сосудистой активностью в заднем полюсе глаза и образованием сосудистых аркад и анастомозов на границе с аваскулярной сетчаткой (18 глаз). Однако при этом типе заболевания рост экстраретинальной пролиферации отмечался на границе с аваскулярной сетчаткой и можно было проследить стадийность процесса. Геморрагический компонент присутствовал, как правило, на границе с бессосудистой сетчаткой. По данным ОКТ отмечалось наличие формирующейся фовеолярной депрессии, причем на фоне выраженной сосудистой активности с наличием экстраретинальной пролиферации на границе с аваскулярной сетчаткой, что свидетельствует о большей степени «зрелости» сетчатки и отсутствии патологического процесса в макуле на ранних стадиях РН (рис. 6). Рисунок 6. Результаты ОКТ: формирующаяся фовеолярная депрессия при передней РН первой зоны.
Сроки манифестации РН при 1-м и 2-м типах РН первой зоны были различными: при 2-м типе — на 34—36-й неделе, а при 1-м типе существенно раньше — на 32—34-й неделе, следовательно, сроки коагуляции сетчатки также значительно более ранние (34—36 нед при 1-м типе РН первой зоны и 35—38 нед при 2-м типе).
Коагуляция сетчатки проведена на 40 глазах с прогрессирующей РН первой зоны: транспупиллярная лазеркоагуляция — на 24 глазах (на 10 глазах с 1-м типом РН первой зоны и на 14 глазах — со 2-м типом); комбинированная коагуляция (транспупиллярная лазеркоагуляция центральных аваскулярных зон и транссклеральная криокоагуляция периферических зон) — на 16 глазах (на 6 глазах с 1-м типом и на 10 глазах — со 2-м типом). Результаты лечения оценивались через 7—10 дней после коагуляции.
Благоприятные анатомические результаты достигнуты на 28 глазах (70%): при 1-м типе РН первой зоны — на 9 глазах (56,3%), при 2-м типе РН первой зоны — на 19 глазах (79,2%), из них на шести глазах стабилизировать процесс и добиться регресса заболевания удалось только после повторной коагуляции остаточных, незаблокированных аваскулярных зон и повторной коагуляции сетчатки центральнее вала между сосудистыми аркадами.
На 12 глазах РН прогрессировала, несмотря на проведенную коагуляцию, с развитием 4—5-й стадий, что потребовало микрохирургического вмешательства.
Семь глаз с 4а—4в стадиями РН прооперировано в раннем возрасте (на 44—53-й неделе постконцептуального возраста), из них на 4 глазах с 4а стадией РН произведена ленссберегающая витрэктомия, на 3 глазах с 4в стадией — ленсвитрэктомия.

В результате хирургического лечения удовлетворительные анатомические результаты достигнуты на пяти глазах (на трех глазах с 4а стадией и на двух глазах с 4в стадией) (рис. 7). Рисунок 7. Прилегание сетчатки в центральной зоне после ленссберегающей витрэктомии. На двух глазах развилась воронкообразная отслойка сетчатки, что было обусловлено геморрагическими, экссудативными и репролиферативными осложнениями во время операции и в раннем послеоперационном периоде.
На пяти глазах с 4в и 5-й стадией РН ленсвитрэктомия выполнялась по мере стихания активности процесса в возрасте 6—11 мес, однако операции носили органосохранный характер. Частичного прилегания сетчатки удалось добиться лишь на двух глазах.
Отдаленные клинико-функциональные исходы РН первой зоны изучены у 17 детей (28 глаз) в возрасте от 1 до 6,5 года (средний возраст 3,5 года).
При благоприятных исходах РН с 1—3-й стадией РН (22 глаза) предметное зрение определялось на 20 глазах: в большинстве случаев (14 глаз) острота зрения не превышала 0,2, а относительно высокое зрение (0,5—0,7) было только на 6 глазах.
Сниженная острота зрения на глазах с РН первой зоны объяснялась не только степенью остаточных изменений на глазном дне, но и сопутствующей патологией зрительного нерва и высших отделов зрительного анализатора (6 глаз), миопией высокой степени (9 глаз), глазодвигательной патологией и амблиопией (12 глаз).
О нарушениях функциональной активности сетчатки у обследованных детей свидетельствует большая частота патологической ЭРГ разных видов. Так, общая ЭРГ была снижена в большинстве случаев на глазах с благоприятными исходами РН (18 из 22 глаз, 81,8%), что отражает степень дисфункции преимущественно периферических отделов сетчатки. Однако и центральные отделы сетчатки вовлекаются в патологический процесс; частота субнормальной ритмической ЭРГ составила 68,2% (15 глаз), макулярной ЭРГ на красный стимул — 72,7% (16 глаз). Степень выраженности этих изменений была большей при тракционной деформации макулы (3-я степень остаточных изменений).
После хирургических вмешательств предметное зрение (не более 0,05) определялось лишь на четырех глазах, на которых была проведена ленссберегающая витрэктомия в 4а стадии. В остальных случаях дети имели правильную светопроекцию и светоощущение.
Выводы
1. Клинические проявления и течение РН первой зоны отличаются ранней манифестацией, выраженным полиморфизмом, высоким риском прогрессирования (87%), причем со стремительным переходом от начальных проявлений до отслойки сетчатки, что требует более частого динамического наблюдения (не реже двух раз в неделю) и более ранней коагуляции: при появлении первых признаков экстраретинальной пролиферации любой локализации и четкой границы между сосудистой и бессосудистой сетчаткой, что является «пороговой» стадией при РН первой зоны. Следует проводить сплошную коагуляцию аваскулярной сетчатки с элементами отграничивающей центральнее вала.
2. Своевременно и методически правильно проведенная коагуляция сетчатки позволяет остановить прогрессирование процесса и сохранить зрение в 70% случаев, причем эффективность лечения при задней РН первой зоны значительно ниже, чем при передней РН первой зоны (56,3 и 79% соответственно), что, возможно, объясняется различиями в патогенезе заболевания [5].
3. Ранняя витрэктомия при РН первой зоны оправданна при 4а стадии, когда имеется возможность сохранения хрусталика и есть шансы на сохранение и развитие зрительных функций [6]. Однако следует помнить, что хирургические вмешательства на фоне выраженной сосудистой активности имеют высокий риск развития интра- и послеоперационных геморрагических осложнений, а также осложнений со стороны общесоматического статуса глубоко недоношенного младенца.
4. Зрительные функции у детей с РН первой зоны зависят не только от степени остаточных изменений на глазном дне, но и от сопутствующей патологии: нарушений проводящих путей и высших отделов зрительного анализатора, миопии высокой степени, глазодвигательных нарушений, а также от недоразвития функциональной системы сетчатки, связанной как с перенесенной РН, так и с морфофункциональной незрелостью.
5. РН первой зоны требует поиска новых путей профилактики и лечения, а дети, перенесшие эту форму заболевания, нуждаются в длительном диспансерном наблюдении и комплексной реабилитации для сохранения и развития зрительных функций.
Изучить отдаленные клинико-функциональные исходы ретинопатии у глубоко недоношенных детей.
В исследование вошли 42 пациента (84 глаза) с ретинопатией недоношенных (РН) в возрасте 9—18 лет. Всем больным проведено комплексное офтальмологическое обследование, включая морфометрические (оптическая когерентная томография), функциональные (электроретинограмма) и психофизические (компьютерная периметрия) методы исследования.
РЕЗУЛЬТАТЫ
Выявлена высокая частота слабовидения в школьном и юношеском возрасте (67%) у глубоко недоношенных детей с РН, что обусловлено тяжестью течения активной РН и формированием выраженных остаточных изменений на глазном дне в рубцовой фазе заболевания, высокой частотой аномалий рефракции (92%), в том числе миопии высокой степени (46%), поздними осложнениями, развивающимися при РН любой степени (68%), нарушением электрогенеза сетчатки вследствие как РН, так и глубокой морфофункциональной незрелости сетчатки.
Заключение. Пациенты с любой степенью рубцовой РН, родившиеся на ранних сроках гестации и с экстремально низкой массой тела, нуждаются в регулярном комплексном офтальмологическом обследовании и пожизненном динамическом наблюдении.
ФГБУ «Национальный медицинский исследовательский центр глазных болезней имени Гельмгольца» Минздрава России
Дата принятия в печать:
Введение
Несмотря на успехи в организации офтальмологической помощи недоношенным детям, в совершенствовании методов диагностики и лечения, ретинопатия недоношенных (РН) остается ведущей причиной снижения зрения в детском возрасте. Несомненные достижения в организации скрининговых осмотров недоношенных детей и изучении клинических проявлений активной РН, а также разработанные показания и методы лечения прогрессирующих форм РН позволили значительно сократить число неблагоприятных анатомо-функциональных результатов и тяжелых исходов РН, приводящих к инвалидности по зрению с детства.
Однако в связи с возрастанием числа выживших недоношенных младенцев с ранним гестационным возрастом, экстремально низкой массой тела при рождении и большой соматической отягощенностью растет частота тяжелых и атипичных форм заболевания, резистентных к традиционной терапии [1—7]. Именно у данного контингента пациентов анализ особенностей клинического течения, результатов лечения, отдаленных клинико-функциональных исходов РН и прогнозирование зрительных функций являтся важной и актуальной задачей.
Цель исследования — изучить клинико-функциональное состояние глаз у детей с РН, рожденных на раннем сроке гестации и с низкой массой тела, в подростковом и юношеском возрасте.
Материал и методы
Обследовано 42 пациента (84 глаза) в возрасте 9—18 лет (в среднем 13,9 года); все дети наблюдались нами с момента окончания активной фазы РН (4—6 мес жизни), из них 11 человек — до 18 лет. Все дети родились от преждевременных родов в гестационном возрасте 22—27 нед (в среднем 25,9 нед), с массой тела 510—1200 г. (в среднем 820 г). Коагуляция сетчатки (крио- и лазеркоагуляция) в активной фазе РН произведена на 53 (63,1%) глазах. Группу сравнения составили 128 пациентов с рубцовой РН различной степени в возрасте 9—17 лет, родившихся в гестационном возрасте 28—33 нед (в среднем 29,6 нед) и с массой тела 1050—1860 г (в среднем 1430 г).
Кроме стандартных методов (визометрия, тонометрия, рефрактометрия под мидриазом, биомикроскопия, офтальмоскопия глазного дна) обследование включало фоторегистрацию структур глазного яблока с помощью фундус-камеры Topcon FX-50 (Topcon Corporation, Япония), Smartscope 5M (Optomed Ltd, Финляндия). Оптическую когерентную томографию (ОКТ) выполняли, используя прибор Spectralis HRA+OCT (Heidelberg, Германия), оценивали толщину сетчатки в фовеа, толщину нейроэпителия в височной (Т1) и носовой (Т2) парафовеолярной зонах, макулярный объем, сохранность фовеолярной депрессии и состояние слоев нейроэпителия.
Для оценки функциональной активности сетчатки регистрировали общую электроретинограмму (ЭРГ), ритмическую ЭРГ (РЭРГ), хроматическую макулярную ЭРГ (МЭРГ) с помощью электроретинографа научно-медицинской фирмы «МБН-6» (Россия). Компьютерную статическую периметрию проводили, используя прибор Perimat-206 (Германия).
Результаты
В исследуемой группе пациентов после окончания активной фазы РН в результате самопроизвольного или индуцированного регресса (после коагуляции сетчатки) сформировались остаточные изменения различной степени, характеризующие рубцовую фазу заболевания [8]. Распределение глаз в зависимости от степени остаточных изменений на глазном дне после перенесенной РН представлено на рис. 1.

Рис. 1. Распределение глаз, включенных в исследование, по степени рубцовой РН.
Благоприятные исходы РН с формированием остаточных изменений I—III степени выявлены на 54 (64,3%) глазах, неблагоприятные (РН IV—V степени) — на 30 (35,7%) глазах, из них на 16 (52%) глазах прогрессирование РН произошло, несмотря на проведенную коагуляцию сетчатки. У 8 (19%) пациентов IV—V степень РН сформировалась на обоих глазах. Асимметричное поражение (I—III степень РН на «лучшем» глазу/IV—V степень — на парном глазу) выявлено у 11 (26,2%) обследуемых.
Частота сопутствующей неврологической и общесоматической патологии у пациентов с ранним гестационным возрастом при рождении составила 33% (14 человек), что значительно выше, чем у детей контрольной группы (17%; 22 из 128 человек; p<0,05). Структура сопутствующей патологии в исследуемой группе была следующей: детский церебральный паралич (n=5), отставание в умственном развитии (n=4), аутизм (n=2), тугоухость IV—V степени (n=2), постгипоксическая энцефалопатия, органическое поражение ЦНС (n=4). В ряде случаев сопутствующие патологические состояния сочетались между собой.
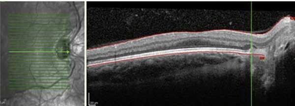
При анализе клинического состояния глаз у глубоко недоношенных пациентов выявлены некоторые особенности. На 10 (18,5%) из 54 глаз с благоприятными исходами РН, на которых в активной фазе РН локализовалась в I или II зоне, наблюдались смещение ретинальных сосудов и тракция сетчатки в носовую сторону. Данный факт свидетельствует о более ранней манифестации заболевания в назальном отделе сетчатки, что характерно для детей, рожденных на ранних сроках гестации (рис. 2) [4, 9].

Рис. 2. Смещение ретинальных сосудов и эктопия макулы в носовую сторону (данные ОКТ).
Кроме того, при самопроизвольном регрессе на 12 глазах с I—III степенью рубцовой РН в отдаленном периоде наблюдения сохранялись остаточные аваскулярные зоны на периферии сетчатки, а также анастомозы и сосудистые «щетки» на границе с аваскулярной сетчаткой, что косвенно подтверждает «незрелость» сетчатки на момент рождения. При этом, несмотря на локализацию патологического процесса в активной фазе РН в I или II зоне глазного дна, остаточные аваскулярные зоны определялись только на височной периферии, что свидетельствует о возможности продолженного васкулогенеза сетчатки уже после завершения активной фазы РН (рис. 3).

Рис. 3. Остаточные аваскулярные зоны и сосудистые анастомозы у ребенка 10 лет на глазу с рубцовой РН.
Особенностью неблагоприятного течения РН в исследуемой группе было стремительное развитие отслойки сетчатки на 6 глазах через 1,5—3 нед после выявления первых признаков экстраретинальной пролиферации, несмотря на проведенную коагуляцию сетчатки. Отслойка сетчатки носила тракционно-экссудативный характер с геморрагическим компонентом, выраженной пролиферацией и рубцеванием в стекловидном теле, что приводило к раннему развитию синдрома мелкой передней камеры (6—10 мес жизни), иридо-корнеального контакта и вторичной глаукомы, что, по-видимому, явилось следствием течения заболевания по типу задней агрессивной РН.
На момент исследования в возрасте 9—18 лет острота зрения у пациентов исследуемой группы широко варьировала. На 27 (32,2%) глазах острота зрения составляла 0,3 и более, а на 57 (67,8%) глазах — менее 0,3, что значительно превосходило частоту низкого зрения в контрольной группе (32,3%; p<0,05). Слепота и слабовидение определялись на 27 глазах с IV—V степенью рубцовой РН и на 30 глазах с благоприятными исходами РН, что потребовало детального изучения причин снижения зрения.
Одним из факторов снижения зрения были аномалии рефракции, выявленные на 50 (92,6%) из 54 глаз с РН I—III степени, что превышает частоту аномалий рефракции в контрольной группе (84%). При этом преобладающим видом нарушений рефракции была миопия — 47 (87%) из 50 глаз, из них миопия высокой степени определялась на 25 (46,3%) глазах (частота миопии высокой степени у детей в контрольной группе — 14,9%; p<0,05), миопия средней степени — на 8 (14,8%) глазах, миопия слабой степени и астигматизм — на 14 (25,9%) глазах. Только на трех глазах (5,6%) выявлена гиперметропия. В большинстве случаев в процессе динамического наблюдения миопия носила стационарный характер, а на 9 (18%) из 50 глаз она прогрессировала в возрастной период от 5 до 14 лет.
Важной причиной снижения зрения у глубоко недоношенных детей в отдаленном периоде наблюдения послужили поздние осложнения, развившиеся на 57 (67,9%) из 84 глаз. Виды осложнений при рубцовой РН разной степени и сроки их развития представлены в табл. 1.
Таблица 1. Осложнения при рубцовой РН разной степени
Степень рубцовой РН
Срок развития осложнений (средний возраст)
Периферические ретинальные дистрофии
Вялотекущий увеит и субатрофия глазного яблока
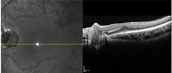
При благоприятных исходах РН основным видом осложнений было развитие и прогрессирование периферических ретинальных дистрофий (26 глаз) по типу «решетки», «следа улитки», разрывов сетчатки, ретиношизиса (рис. 4). В большинстве случаев развитие этого вида осложнений произошло на глазах с РН II степени (19 из 26 глаз; 73%).

Рис. 4. Периферическая ретинальная дистрофия по типу «следа улитки» на глазу со II степенью рубцовой РН.
Развитие и прогрессирование ретинальных дистрофий привело к возникновению отслойки сетчатки на 13 глазах с II—IV степенью РН у детей в возрасте от 9 до 17 лет (в среднем в 14,1 года). При II степени РН отслойка сетчатки носила регматогенный характер (5 глаз), а при III и IV степени — регматогенный и тракционно-регматогенный характер (8 глаз), что потребовало комбинированных хирургических вмешательств (рис. 5).

Рис. 5. Поздняя субтотальная отслойка сетчатки регматогенного характера на глазу с РН II степени и частичной атрофией зрительного нерва.
При неблагоприятных исходах РН также возможно развитие поздних осложнений, что приводит к потере остаточного зрения, косметическим дефектам и ухудшению качества жизни пациентов. Так, на 8 глазах с IV—V степенью РН развилась осложненная катаракта. Начальные помутнения появлялись в задней капсуле хрусталика в зоне фиксации витреальных тяжей и пленок, затем распространялись на все слои хрусталика с включением кальцификатов. При потере остаточного зрения, а также во избежание развития иридо-корнеального контакта целесообразно проведение ленсвитрэктомии, несмотря на плохой функциональный прогноз.
Вторичная глаукома возникла на 4 глазах с V степенью РН у детей в возрасте от 10 мес до 11 лет (в среднем 7,5 года). Глаукома при V степени рубцовой РН является результатом стойких органических изменений переднего сегмента глаза вследствие массивного рубцевания в ретрохрусталиковом пространстве, образования прехрусталиковых пленок, сращения и заращения зрачка. В этих случаях наблюдалось формирование мелкой передней камеры с иридо-роговичным контактом, распространенным зрачковым и витреальным блоками, что препятствует циркуляции внутриглазной жидкости.
Лечение вторичной глаукомы — должно быть хирургическим, включая реконструкцию передней камеры, формирование зрачка, рассечение ретрохрусталиковой пролиферативной мембраны, ленсэктомию, витрэктомию. Целесообразно проводить хирургическое вмешательство еще до повышения уровня внутриглазного давления при угрозе формирования иридо-корнеального контакта. При отсутствии предметного зрения и плохом прогнозе, а также при декомпенсации глаукомного процесса на афакичном глазу и восстановленной передней камере возможно проведение циклодиодфотокоагуляции.
Прогрессирующая субатрофия глаза зафиксирована на 4 глазах с V степенью РН, начиная с 10 мес жизни ребенка она сопровождалась вялотекущим увеитом, постепенным уменьшением переднезадней оси глаза и утолщением оболочек по данным эхографии.
Коатсоподобные хориоретинальные очаги выявлены на двух глазах с IV степенью РН у пациентов 12 и 17 лет. Развитие этих изменений произошло в зонах интра- и преретинального фиброза и характеризовалось появлением субретинального экссудата желтоватого цвета, сосудистых мальформаций с новообразованными сосудами (рис. 6). Причины таких изменений окончательно неизвестны, возможно, их развитие связано с длительной ишемией.

Рис. 6. Коатсоподобные хориоретинальные изменения на глазу с рубцовой РН III степени.
Учитывая, что одним из определяющих факторов развития остроты зрения является состояние макулы, мы провели морфофункциональные исследования центральных отделов сетчатки [10—12].
Результаты проведенной ОКТ показали, что у глубоко недоношенных детей с благоприятными исходами РН на 33 (61%) из 54 глаз отмечалось нарушение анатомического контура макулы. На 12 глазах с остаточными изменениями I—II степени сглаженность фовеолярного контура в совокупности с сохранностью эмбрионального строения макулы (слоев нейроэпителия в фовеа) свидетельствовала о нарушении дифференцировки макулы вследствие недоношенности, и лишь на трех глазах она сопровождалась снижением остроты зрения ниже 0,3. На 10 глазах со II степенью РН сглаженность фовеолярного контура сопровождалась наличием структурных изменений (кистовидный отек и тракционная деформация нейроэпителия), невидимых при офтальмоскопии, что и объясняло некорригируемое снижение остроты зрения. При III степени РН сформированный фовеолярный контур и сохранность слоев нейроэпителия в макуле выявлены только на двух глазах. В остальных случаях фовеолярный контур был сглажен или отсутствовал вследствие тракционной деформации макулы после перенесенной РН и коррелировал со сниженной остротой зрения (рис. 7).

Рис. 7. Сглаженный фовеолярный контур и тракционная деформация сетчатки на глазу с рубцовой РН III степени.
При сравнении морфометрических показателей центральной зоны сетчатки в исследуемой (26 глаз) и контрольной (58 глаз с благоприятными исходами РН) группах выявлены достоверные различия (табл. 2).
Таблица 2. Морфометрические показатели макулы
Современные аспекты диагностики, лечения и организации высокотехнологичной офтальмологической помощи детям с активными стадиями ретинопатии недоношенных

Глава 1. Современное состояние проблемы ретинопатии недоношенных
Глава 2. Компьютерная программа «Rop-Morphometry» для количественной оценки состояния сетчатки и ретинальных сосудов при ретинопатии недоношенных
Глава 3. Диагностический цифровой мониторинг ранних стадий ретинопатии недоношенных
Глава 4. Лазерное лечение активных стадий ретинопатии недоношенных
Глава 5. Ранняя витреальная хирургия при прогрессировании активных стадий ретинопатии недоношенных после лазеркогуляции сетчатки
Глава 6. Отдаленные результаты лазерного и хирургического лечения активных стадий ретинопатии недоношенных
Глава 7. Организация офтальмологической помощи детям с ретинопатией недоношенных
Заключение
Практические рекомендации
Литература
В книге представлены результаты собственных исследований авторов по ранней диагностике, мониторингу и лечению ретинопатии недоношенных, а также современные аспекты организации высокотехнологичной офтальмологической помощи детям с активными стадиями заболевания. Приведены данные комплексного офтальмологического обследования пациентов, базирующиеся на использовании современных высокоинформативных методов: цифровой ретиноскопии с морфометрией сетчатки и ее сосудов, флюоресцентной ангиографии, электроретинографии, оптической когерентной томографии. Разработаны новые методы и дифференцированные походы к паттерновой лазеркоагуляции сетчатки и ранней витреальной хирургии в лечении ретинопатии недоношенных и определена их эффективность. Работа насыщена иллюстративным материалом: цифровыми фотографиями глазного дна, флюоресцентными ангиограммами, - которые отражают особенности течения активных стадий ретинопатии недоношенных, а также ранние и отдаленные результаты лечения.
Книга предназначена для врачей-офтальмологов.
А.В. Терещенко, доктор медицинских наук;
А.М. Чухраёв, профессор, доктор медицинских наук;
Ю.А. Белый, профессор, доктор медицинских наук;
И.Г. Трифаненкова, кандидат медицинских наук;
М.С. Терещенкова, кандидат медицинских наук;
С.В. Исаев;
Ю.А. Сидорова;
П.Л. Володин, доктор медицинских наук
© ООО «Издательство «Офтальмология», 2016
Издатель: ООО «Издательство «Офтальмология»
ФГАУ «МНТК «Микрохирургия глаза» им. акад. С.Н. Федорова» Минздрава России
Читайте также:
- Пропионовокислое брожение. Маслянокислое и ацетонобутиловое брожение. Гомоацетатное брожение. Получение энергии окислительным фосфорилированием. Дыхание.
- Случай успешного органосохраняющего лечения послеродовой атонии матки, осложненной массивной жизнеугрожающей кровопотерей
- Примеры меланоцитомы цилиарного тела
- Когнитивные нарушения в медицинских учреждениях. Показатели распространенности деменции в Англии
- Общие сведения о заболеваниях кровеносных сосудов почек
