Эффективность перевязки легочной артерии. Пневмэктомия при раке легкого
Добавил пользователь Евгений Кузнецов Обновлено: 28.01.2026
Заведующая онкологическим отделением в клинике Ихилов.
Как пройти дистанционное лечение рака в Израиле во время эпидемии коронавируса?
Пневмонэктомия - это удаление целого легкого. Легкие - это два крупных органа, расположенных в грудной полости. Работа легких заключается в обеспечении движения и фильтрации кислорода и в обогащении кислородом крови. Кроме того, легкие защищают организм от дыма и других загрязняющих веществ, бактерий и вирусов. Они захватывают и частично уничтожают вредные вещества и микробов в слизи, которую сами же и вырабатывают. После этого слизь выводится из организма через кашель и/или глотание.
Каждое легкое состоит из нескольких долей: левое - из двух, правое - из трех. Правое легкое крупнее левого.
Пневмонэктомия показана некоторым пациентам со следующими диагнозами:
- ;
- злокачественная мезотелиома;
- травматические повреждения;
- диссеминированные тимомы;
- бронхиальная обструкция;
- врожденные пороки развития легких;
- легочные инфекции (туберкулез).
Существует два вида пневмонэктомии:
- Традиционная пневмонэктомия - удаление целого легкого.
- Экстраплевральная пневмонэктомия - удаление целого легкого вместе с частью перикарда (соединительной ткани, покрывающей сердце), частью диафрагмы и плеврой (тканью, выстилающей внутреннюю поверхность грудной клетки).
Пневмонэктомия проводится в ходе операции под названием “торакотомия”. Во время торакотомии хирург делает разрез между двумя ребрами, начиная с груди и заканчивая спиной. Такой подход позволяет удалить легкое и любые другие элементы, также подлежащие удалению.
Бесплатный Онкотест Онкоцентра Ихилов
Какие риски связаны с пневмонэктомией?

Пневмонэктомия сопряжена с определенными рисками и побочными эффектами. К таким рискам и побочным эффектам относятся:
- потребность в аппарате, обеспечивающем нормальное дыхание (аппарат искусственной вентиляции легких/респиратор);
- реакции на анестезию (анестетик - это препарат, благодаря которому пациент спит во время операции и впоследствии не помнит процедуру. Общая анестезия - это один из способов обезболивания. К нежелательным реакциям на анестезию относятся такие явления, как свистящее дыхание, сыпь, отеки и низкое артериальное давление);
- кровотечение;
- патологии сердца, включая аритмию (нарушение сердечного ритма) и инфаркт миокарда;
- тромбоэмболия легочной артерии (тромб в легком);
- пневмония;
- инфицирование операционной раны;
- бронхоплевральный свищ (патологическое соединение между бронхом и плевральной полостью);
- плевральный абсцесс (эмпиема) и/или жидкость в легких;
- функциональная недостаточность органов (например, почечная недостаточность);
- повреждение соседних тканей и/или кровеносных сосудов;
- длительные нарушения дыхания и/или потребность в длительном применении дополнительного кислорода;
- постпневмонэктомический синдром (состояние, при котором освободившееся пространство заполняется другими органами грудной клетки. В целях профилактики постпневмонэктомического синдрома вместо удаленного легкого можно установить протез).
Хирург и другие члены вашей врачебной бригады обсудят с вами риски, характерные для рекомендованной процедуры.
Как проходит выздоровление?
Выздоровление после пневмонэктомии зависит от масштаба процедуры. Многие пациенты остаются в стационаре на 7-10 дней. После операции вас подключат к аппарату ИВЛ/респиратору. В грудь установят трубки, предназначенные для выведения лишней жидкости и/или воздуха.
Перед выпиской из Ихилов вам расскажут о том, как ухаживать за операционной раной. Вам также дадут дополнительные рекомендации по выздоровлению.
Специалисты в Израиле обсудят с вами назначенные препараты, включая лекарства для профилактики болевого синдрома, тромбообразования, инфекций, запоров и/или иных нарушений.
Врач также расскажет вам о том, каких ограничений нужно придерживаться. Большинству пациентов, перенесших пневмонэктомию, дают следующие рекомендации:
- Держите операционные раны в чистоте и сухости. Если врач не дал иных указаний, откажитесь от применения кремов, лосьонов и мазей.
- Отдыхайте. Усталость и упадок сил - это нормальная составляющая процесса реабилитации.
- Избегайте любых занятий, причиняющих боль.
- Не поднимайте тяжести.
- Лежите на том боку, где вас оперировали. Оставшееся легкое должно быть сверху.
- Откажитесь от курения и пассивного курения. Если вам требуется помощь, проконсультируйтесь с врачом.
- Скорее всего, вы сможете выйти на работу приблизительно через 8 месяцев после операции. Многое зависит от типа работы и того, полностью ли вы выздоровели.
- Не садитесь за руль во время приема наркотических обезболивающих.
- Измеряйте и записывайте пульс (частоту сердечных сокращений) согласно указаниям врача.
- Обязательно пользуйтесь стимулирующим спирометром и кашляйте согласно рекомендациям специалистов. Как правило, спирометром пользуются по 5-10 раз в день на протяжении двух недель.
- Применяйте дополнительный кислород в соответствии с указаниями врача.
Как подготовиться к пневмонэктомии?
- Перед пневмонэктомией обсудите все детали с врачом нашего онкоцентра. Обязательно расскажите ему обо всех лекарствах, которые принимаете:
- лекарства, отпускаемые без рецепта (такие как аспирин)
- все отпускаемые по рецепту лекарства
- травы, витамины и другие добавки.
- Возможно, вам придется прекратить прием некоторых лекарств перед операцией, таких как разжижители крови.
- Если вы курите, нужно будет бросить курить до операции. Сотрудник онкоцентра сможет предоставить вам полезную информацию, чтобы помочь бросить курение.
- Потребуется сообщить есть какие-либо аллергии, в том числе на латекс.
- Сообщите врачу, если у вас когда-либо была реакция на местную или общую анестезию.
- Ежедневные физические упражнения являются важной частью подготовки к операции. Спросите своего врача, какой вид лучше для вас.
- Возможно, придется выполнять дыхательные упражнения с помощью устройства, называемого спирометром.
- Не ешьте и не пейте после полуночи в день перед операцией.
- Любые волосы на месте и вокруг операции могут быть удалены с помощью кусачек перед процедурой.
Вам также могут потребоваться следующие тесты:
- Рентген грудной клетки, чтобы увидеть сердце и легкие
- Компьютерная томография грудной клетки, чтобы получить более подробные снимки легких
- Позитронно-эмиссионная томография (ПЭТ) для поиска раковой ткани
- Электрокардиограмма (ЭКГ), чтобы увидеть ваш сердечный ритм
- Тесты на легочную функцию, чтобы увидеть, насколько хорошо работают ваши легкие
- Вентиляционно-перфузионное сканирование, чтобы выяснить, какие области легких вносят наибольший вклад в дыхание
- Анализы крови, чтобы проверить ваше общее состояние здоровья.
Оставьте заявку ниже, чтобы пройти пневмонэктомию в израильском онкоцентре.
Что происходит во время пневмонэктомии?
Спросите своего лечащего врача о том, чего ожидать во время пневмонэктомии. Эта процедура может отличаться, если лечащий врач использует малоинвазивную хирургию. Зачастую операция происходит так:
- Вы будете лежать на боку на операционном столе, подняв руку над головой.
- Вы, вероятно, получите антибиотики, чтобы предотвратить инфекцию.
- Вы получите анестезию до начала операции. Это погрузит вас в глубокий сон, чтобы вы не чувствовали боли во время процедуры.
Операция займет несколько часов.
- Хирург делает разрез длиной в около 5 см. между 2 ребрами. Порез будет от подмышки до спины, со стороны удаляемого легкого.
- Хирург отделяет 2 ребра. В некоторых случаях хирург может удалить небольшую часть ребра.
- Хирург удаляет пораженное легкое.
- Хирург может удалить некоторые близлежащие лимфатические узлы. Это может помочь показать, насколько запущенным может быть рак.
- Ваш хирург закроет ребра, мышцы и кожу. На разрез будет наложена повязка.
- Большую часть времени грудная трубка остается в плевральном пространстве, откуда было удалено легкое.
Что должно быть в доме?

- Термометр для проверки температуры. Лихорадка может оказаться признаком инфекции.
- Планшет или дневник для записи жизненно важных показателей и любых изменений вашего состояния.
- Принадлежности для ухода за операционной раной и дополнительный кислород, поставляемый больницей или врачебным кабинетом.
В каких обстоятельствах нужно звонить врачу:
- Лихорадка. Специалисты сообщат, о какой именно температуре следует их уведомлять.
- Выделения, покраснение, опухание или боль в области операционной раны.
- Тошнота или рвота.
- Новая или усиливающаяся боль.
- Одышка, боль в груди или кровавая, желтая, зеленая или коричневая мокрота.
- Опухание в одной или обеих ногах.
- Неровное, быстрое или патологическое сердцебиение.
Обратитесь за неотложной медицинской помощью, если у вас:
- боль в груди или затрудненное дыхание;
- послеоперационная повязка насквозь пропиталась кровью;
- открылась операционная рана;
- кровавый кашель (с объемом отделяемого более одной чайной ложки) или большой объем коричневой/кровавой мокроты.
Как обеспечить послеоперационный уход?
Нужно, чтобы родственник или друг помогал вам с выполнением повседневных обязанностей до тех пор, пока вам не станет лучше. Возможно, пройдет немало времени, прежде чем врачи разрешат вам окончательно вернуться к привычной жизни.
Обязательно принимайте назначенные лекарства для профилактики боли, инфекции и/или запоров. При усугублении симптомов или возникновении новых проблем звоните врачу или медсестре.
Существует несколько способов борьбы с запорами после операции. Можно изменить рацион, пить больше жидкости, принимать безрецептурные препараты. Перед тем, как начать прием любого из лекарств против запоров, проконсультируйтесь с врачом.
Дышите глубоко и отдыхайте - так вы справитесь с болью, сохраните здоровье легких после анестезии и поспособствуете быстрому оттоку лимфы. В первую неделю старайтесь практиковать глубокое дыхание и релаксацию по несколько раз в день либо каждый раз, как почувствуете чрезмерное напряжение.
Пример упражнения для релаксации
Сядьте, закройте глаза и сделайте 5-10 медленных глубоких вдохов. Расслабьте мышцы. Медленно повращайте головой и плечами.
Информация подготовлена врачами онкоцентра Ихилов (Израиль, Тель-Авив).
Как начать лечение рака лёгких?
Вскоре вы получите план лечения рака лёгких в Израиле с предварительной ценой. Составление данного документа не обязует вас ни к каким действиям и является полностью бесплатным. К тому же нами гарантируется конфиденциальность всей предоставленной информации и соблюдение врачебного этикета.
Удаление злокачественных опухолей легкого
Операции при злокачественных опухолях легких — сложные хирургические вмешательства, которые сопровождаются риском серьезных осложнений и требуют длительного восстановительного периода. Их могут выполнять только торакальные , имеющие соответствующий опыт, в клиниках, где есть операционные, оборудованные соответствующим образом. Существуют малоинвазивные техники, которые позволяют снизить риски и сократить восстановительный период.

В международной клинике Медика24 для этого есть все необходимое. В наших операционных установлена современная аппаратура экспертного класса от ведущих мировых производителей. У нас работают ведущие врачи, которые могут правильно оценить состояние пациента, определить оптимальный объем хирургического вмешательства, правильно подготовить к нему больного. Они выполняют операции любой степени сложности, в том числе малоинвазивные, торакоскопические.
Радикальные операции являются основным методом лечения при ранних стадиях немелкоклеточного рака легкого (НМРЛ) — это наиболее распространенная форма заболевания, на нее приходится 85% случаев. При мелкоклеточном раке легкого (МРЛ), на который приходятся оставшиеся 15%, показания к хирургическому вмешательству намного более ограничены. Такие злокачественные опухоли на момент установления диагноза обычно уже успевают сильно распространиться в организме и являются неоперабельными. Мелкие единичные новообразования, которые можно удалить, встречаются менее чем у одного из 20 пациентов.
Как пациента готовят к операции по поводу рака легкого?
Перед хирургическим вмешательством больной проходит всестороннее обследование, которое помогает оценить размер, локализацию, количество опухолевых очагов, стадию заболевания, выявить очаги в регионарных лимфатических узлах и отдаленные метастазы. Это помогает разобраться, возможна ли радикальная операция в данном случае, и какой вариант хирургического вмешательства оптимален. Применяют такие методы диагностики, как компьютерная томография, томография, , цитологическое исследование мокроты, биопсия ткани легкого. Могут быть назначены эндоскопические исследования: бронхоскопия, эзофагоскопия (исследование пищевода), эндоУЗИ. Чтобы оценить состояние внутригрудных лимфатических узлов, выполняют медиастиноскопию. Торакоскопия позволяет провести биопсию, оценить состояние плевры.

Также в предоперационное обследование входят:
- Функциональные легочные тесты. Они помогают оценить дыхательную функцию, выяснить, сможет ли ее обеспечить оставшаяся легочная ткань.
- Оценка состояния системы и других внутренних органов.
- Стандартное предоперационное обследование, которое включает общий и биохимический анализы крови, общий анализ мочи, исследование свертываемости, группы крови, , тесты на инфекции (ВИЧ, сифилис, вирусные гепатиты).
Хирург должен выяснить, какими сопутствующими заболеваниями страдает пациент, какие лекарственные препараты он постоянно принимает, есть ли у него аллергические реакции на лекарства.
Предварительно врач объясняет пациенту, какой вид операции планируется, с какой целью, каковы возможные риски, какие могут быть осложнения, последствия. Получив от доктора всю необходимую информацию, пациент или его законный представитель должен подписать информированное письменное согласие.
Как показывает статистика, удаление злокачественных опухолей легких возможно лишь примерно у 30% пациентов. У остальных противопоказаниями к радикальной операции становятся:
- прорастание злокачественной опухоли в соседние органы, в результате чего ее невозможно удалить полностью;
- злокачественная опухоль в пределах легкого, которая неоперабельная размеров, особенностей локализации;
- множественные метастазы;
- выраженная дыхательная, недостаточность;
- тяжелые поражения внутренних органов.
Разновидности операций по удалению злокачественных опухолей легких
Все хирургические вмешательства при злокачественных опухолях легких выполняются под общей анестезией. Объем операций бывает разным, в зависимости от размера, локализации злокачественного новообразования, функционального состояния легких. Обычно хирурги стремятся выполнить вмешательство в максимально возможном объеме, так как за счет этого удается с максимальной вероятностью удалить всю опухолевую ткань и добиться минимального риска рецидива.
- — предпочтительное и наиболее распространенное хирургическое вмешательство при раке легкого. Во время него удаляют долю органа. Анатомически правое легкое состоит из трех долей, левое — из двух долей, разделенных бороздами.
- Пневмонэктомия (пульмонэктомия) — удаление всего легкого. Такое вмешательство может быть показано при центральном раке легкого. — удаление сегмента легкого. Эту операцию также называют клиновидной резекцией, во время нее удаляют часть доли. Таким хирургическим вмешательствам отдают предпочтение, когда нужно максимально сохранить легочную ткань, если есть риск того, что она не сможет полноценно справляться со своей функцией после удаления целой доли.
- Рукавная лобэктомия является альтернативой пневмонэктомии, когда злокачественная опухоль находится в главном или долевом бронхе. Хирург пересекает бронх выше и ниже пораженного участка и удаляет его. Затем соединяют оставшиеся концы.
Во время всех этих операций, помимо легочной ткани, удаляют близлежащие лимфатические узлы, так как в них тоже могут находиться раковые клетки.
Пневмонэктомия
Пневмонэктомия — это удаление легкого. Операция может быть выполнена через большой разрез (переднебоковой, заднебоковой) или через несколько небольших проколов.
Первый тип хирургических вмешательств называется торакотомическими, второй — торакоскопическими. Другое название этой операции — пульмонэктомия. Показанием к ее проведению служит рак и ряд других заболеваний.
Вв международной клинике Медика24 предпочтение отдается торакоскопическим операциям, которые дают ряд преимуществ:
- Более быстрое восстановление. Реабилитационный период после торакоскопической пневмонэктомии занимает вдвое меньше времени, чем после полостной операции.
- Меньший риск осложнений. Торакоскопическая пневмонэктомия легкого существенно меньше травмирует мягкие ткани, кровеносные сосуды. Такие операции создают меньшую нагрузку на организм, что особенно важно при наличии сопутствующих заболеваний ( системы, печени, почек, др.).
- Меньшее время пребывания в стационаре. После торакоскопической операции заживление тканей и стабилизация состояния происходят существенно быстрее. Это позволяет раньше выписать пациента из стационара.
- Лучший эстетический результат. Торакоскопическая пневмонэктомия легкого не оставляет рубца, шрама, поскольку не требует широкого разреза.
При всех преимуществах торакоскопической пневмонэктомии это более сложная операция, чем торакотомическая, когда доступ к легкому создается через широкий разрез грудной клетки.
Это связано, в первую очередь с тем, что обзор оперируемой области ограничен возможностями видеокамеры. Это требует от хирурга особенно высокой квалификации и опыта.
При невозможности малоинвазивного вмешательства легкое удаляется посредством полостной операции.
Вв международной клинике Медика24 выполняются как торакоскопические, так и торакотомические пневмонэктомии. Хирурги нашей клиники имеют большой опыт проведения таких хирургических операций, это обеспечивает высокие результаты лечения и минимальный риск осложнений.
Закажите обратный звонок. Мы работаем круглосуточно
Показания
Рак легкого
Главным показанием к пневмонэктомии служит рак легкого. В зависимости от типа клеток это может быть мелкоклеточный или немелкоклеточный рак с разной степенью злокачественности.
При составлении плана операции, определении объемов иссечения тканей в международной клинике Медика24 хирурги стремятся к максимально возможному сохранению органа.
На 0 — 1 стадиях рака легкого хирургическое вмешательство может быть ограничено удалением одной легочной доли. Такая операция называется лобэктомией.
При удалении опухоли соблюдаются принципы абластики и футлярности.
Это значит, что новообразование удаляется в пределах здоровых тканей (на границах удаленного участка отсутствуют раковые клетки). Соблюдение правила абластики минимизирует рецидив раковой опухоли.
При этом опухоль удаляется вместе с «футляром» — обособленной анатомической единицей. В случае рака легкого это одна или две доли органа. Во втором случае операция называется билобэктомией.
При невозможности органосохраняющего лечения принимается решение об удалении всего органа целиком — выполняется пневмонэктомия легкого.

Распространенный гнойный процесс
При неэффективности лечения антибиотиками обширного гнойного процесса в легком может быть принято решение о его удалении.
Каверозный, фиброзный туберкулез
Каверозная форма туберкулеза означает образование в легком участка некроза ткани — каверны, которая имеет вид полости, заполненной жидкой массой.
Некротический процесс может сопровождаться замещением нормальной ткани соединительной (фиброзной). Такие изменения называются цирротическими и обычно сопровождаются легочными кровотечениями.
Обширный процесс при туберкулезе служит показанием к удалению легкого.
Травма
Значительное повреждение (размозжение) легочной ткани при ушибе, повреждение корня, сопровождаемое сильным кровотечением, которое не удается купировать, требуют проведения радикальной хирургической операции, такой как пневмонэктомия легкого.
Врожденные анатомические патологии
Показанием к пульмонэктомии может стать врожденный порок развития легкого, обычно это мальформация.
Большинство легочных заболеваний (за исключением онкологических — карцином, сарком, карциноидов) на ранней стадии поддаются консервативному лечению. Но в запущенной форме они требуют хирургического лечения.
К таким заболеваниям относятся:
- инфекционные воспаления,
- плевриты,
- туберкулез,
- образование спаек,
- паразитоз,
- кисты,
- абсцесс,
- атеклектаз (спадение легкого).
Онкологические болезни безусловно требуют хирургического лечения, и чем раньше оно будет проведено, тем лучше. В этих случаях консервативные методы (химиотерапия, таргетная, лучевая терапия, иммунотерапия) могут иметь вспомогательный характер на стадии подготовки к операции или после нее. При невозможности хирургического лечения они применяются как средства паллиативной терапии.
Противопоказания
Метастазы
Пневмонэктомия при раке легкого не проводится на поздней стадии онкологического заболевания, когда есть метастазы в отдаленных органах.
Чаще всего рак легких образует метастазы в позвоночнике, головном мозге, печени, надпочечниках, почках, костях. В этих случаях удаление органа с первичным опухолевым очагом уже не может остановить развитие болезни.
При невозможности хирургического лечения на 3 — 4 стадиях онкологического заболевания (рак, саркома) в международной клинике Медика24 проводится комплексная паллиативная терапия, чтобы облегчить симптомы, предотвратить осложнения, поддержать качество жизни человека и увеличить ее продолжительность.
Узнать больше о паллиативной медицинской помощи
Дыхательная недостаточность
Легкие — парный орган. При удалении одной половины другая должна взять на себя ее функцию. В случае дыхательной недостаточности это становится невозможным, что означает угрозу смерти человека. В таких случаях радикальная операция пульмонэктомии не проводится.
Общее тяжелое состояние
Пневмонэктомия легкого относится к радиальным, обширным хирургическим вмешательствам. Это существенное испытание для организма.
При наличии тяжелой печеночной, почечной, сердечной или полиорганной недостаточности организм человека может не выдержать обширной операции или ее последствий. Это может стать противопоказанием к проведению радикального хирургического лечения.
Большие размеры опухоли
На ранней стадии рака злокачественная опухоль остается в том месте, где она образовалась. Это дает возможность удалить ее вместе с сегментом, несколькими сегментами, долей легкого или вместе со всем органом.
На поздней стадии онкологического заболевания опухоль прорастает в магистральные кровеносные сосуды, в бронх или легочную ткань с противоположной стороны.
Это делает опасным, невозможным и бессмысленным удаление одного из парных органов.
Симптомы, при которых требуется пневмонэктомия легкого
- Кашель.
Рак легкого проявляется мучительным, упорным, надсадным, продолжительным кашлем, который не облегчается бронхолитическими, отхаркивающими препаратами, не поддается консервативному лечению.
Все начинается с легкого покашливания, но со временем кашель усиливается, становится постоянным. Как правило, кашель при раке легкого сухой, но возможно выделение некоторого количества слизистой мокроты. - Кровохарканье.
Кровь присутствует в отхаркиваемой мокроте в виде прожилок, сгустков. Кровохарканье может быть постоянным или происходить время от времени. - Одышка.
Сдавление бронха опухолью вызывает сужение его просвета. Это приводит к одышке, как при физических нагрузках, так и в покое. - Боль в груди.
Болевой синдром при раке легкого появляется при вовлечении в онкологический процесс плевры, межреберных нервов, ребер, фасций, обычно на поздней стадии заболевания. Боль может быть эпизодической или постоянной, острой или покалывающей, распространяться по ходу межреберных нервов. - Отечность.
При сдавлении опухолью верхней полой вены развивается характерный синдром, который проявляется отеком, расширением поверхностных вен и посинением лица и шеи, охриплостью, осиплостью голоса, затрудненным глотанием (дисфагией). Эти симптомы усиливаются в положении лежа. - Симптомы интоксикации.
На онкологическое заболевание (рак легкого) и необходимость его хирургического лечения могут указывать такие симптомы, как общая слабость, потеря аппетита, быстрое снижение массы тела, высокая утомляемость, повышенная температура тела.

Диагностика и подготовка к операции
Пневмонэктомия легкого — это серьезная, обширная операция, которая требует обязательной комплексной диагностики и предоперационной подготовки.
Комплексная диагностика в международной клинике Медика24 позволяет выбрать оптимальный метод проведения операции (торакоскопический или торакотомический с переднебоковым или заднебоковым доступом), определить необходимые объемы хирургического вмешательства и резекции тканей.
Обязательно оценивается возможность проведения органосберегающей операции — сегментэктомии, лобэктомии, билобэктомии.
Диагностика
После госпитализации пациента в стационар международной клиники Медика24 незамедлительно проводится полный комплекс диагностических исследований:
- Общий и биохимический анализы крови.
- Общий анализ мочи.
- Флюорография. Рентгеновские снимки выполняются в двух проекциях. Они показывают наличие новообразования, его размеры, локализацию, сдавление (стеноз) бронха.
- КТ. Компьютерная томография выполняется в трех проекциях. Это позволяет получить точную информацию о размерах опухоли, распространенности опухолевого процесса, вовлечении в него средостения, плевры, регионарных лимфоузлов, диафрагмы, оценить степень поражения бронхов (стеноза, окклюзии).
- Цитология. Цитологическое исследование мокроты под микроскопом показывает наличие в ней раковых (атипичных) клеток.
- Бронхоскопия, биопсия. Бронхоскопия — это визуальное исследование бронхов, для которого используется миниатюрная видеокамера с подсветкой — бронхоскоп. Этот прибор вводится через нос, опускается в трахею и далее в бронх. С помощью бронхоскопа можно изучить опухоль, а также взять образец ткани из нее. Этот метод называется биопсией. После забора образца ткани он подвергается гистологическому исследованию. Гистология не только помогает отличить доброкачественное новообразование от злокачественной опухоли и поставить однозначный диагноз, но также оценить степень злокачественности раковых клеток, а значит, оценить риск рецидива опухоли после операции. Эта информация очень важна для определения необходимых объемов хирургического вмешательства и удаления тканей. Забор образца опухолевой ткани может быть выполнен посредством тонкоигольной биопсии, с помощью тонкой полой иглы, которая вводится в опухоль чрескожно под контролем УЗИ.
- ЭндоУЗИ. Это исследование сочетает возможности эндоскопии и УЗИ. Через нос, глотку и далее трахею в бронх вводится эндоскоп, оснащенный излучателем ультразвуковых волн. Подведя прибор вплотную к опухоли, врач выполняет УЗИ. Такое ультразвуковое исследование дает намного больше диагностической информации по сравнению с обычным УЗИ, которое выполняется через поверхность тела.
- УЗИ. Ультразвуковое исследование органов брюшной полости и забрюшинного пространства помогает обнаружить метастазы при раке легкого.
- МРТ. томография показывает наличие метастазов в головном, спинном мозге при раке легкого.
- Остеосцинтиграфия. Это исследование показывает наличие метастазов в позвоночнике, костях.
После постановки диагноза и приятия решения об удалении легкого — пневмонэктомии проводятся предоперационные исследования, включая:
- ЭКГ, (чтобы оценить работу сердца),
- бронхоспирографию (для оценки дыхательной функции),
- перфузионную сцинтиграфию (для изучения кровообращении, легочного кровотока).
- коагулограмму (анализ на свертываемость крови).
Проведение операции
Пневмонэктомия легкого проводится под общим наркозом в операционной международной клиники Медика24, оснащенной по самым последним стандартам современной мировой хирургии.
Одновременно с ингаляционным наркозом внутривенно вводится . Выполняется интубация трахеи, пациент подключается к аппарату искусственной вентиляции легких (ИВЛ).
Операции при раке легкого
Радикальное удаление злокачественной опухоли — основной вид лечения рака легких на ранних стадиях. Выбирая тактику лечения и рассматривая возможность хирургического вмешательства, должен учитывать три главных фактора: гистологический тип злокачественной опухоли, ее стадию и общее состояние здоровья пациента (позволяет ли оно перенести операцию).
Чаще всего радикальные операции выполняют при немелкоклеточном раке легкого (НМРЛ), который составляет 85% от всех случаев, на стадиях I и II. При стадии IIIA хирургическое лечение также может быть возможно, при этом решение о тактике лечения должен принимать врачебный консилиум, в который входят онколог, радиотерапевт, химиотерапевт, торакальный хирург. При НМРЛ стадиях IIIB и IV радикальные вмешательства невозможны, таким пациентам показана лучевая терапия, системная терапия противоопухолевыми препаратами, выполняют паллиативные операции. Однако в некоторых случаях при стадии IV встречаются резектабельные опухоли с единичным метастазом, который также можно удалить с помощью операции или стереотаксической радиохирургии (, ).
При мелкоклеточном раке легкого, на который приходится 15% случаев, радикальные операции возможны лишь в редких случаях, примерно у одного из 20 пациентов, если опухоль не успела распространиться в лимфатические узлы и окружающие ткани.

В международной клинике Медика24 пациенты со злокачественными новообразованиями легких могут пройти обследование на оборудовании последних поколений от ведущих мировых производителей, получить консультацию у высококвалифицированных клинических онкологов, торакальных хирургов. Врач внимательно оценит результаты обследования и решит, возможна ли радикальная операция в конкретном случае, определит оптимальный объем хирургического вмешательства. Все сложные случаи в нашей клинике обсуждаются на врачебном консилиуме с участием разных специалистов.
По данным Министерства Здравоохранения РФ и Ассоциации онкологов России, только у 10-20% пациентов на момент установления диагноза рака легких удается выполнить радикальную операцию.
Наши врачи вам помогут
Виды хирургических вмешательств при раке легкого
Объем хирургического вмешательства зависит от размеров злокачественной опухоли и ее локализации в легком:
- В большинстве случаев показано удаление всего легкого (пневмонэктомия), его доли (лобэктомия) или двух долей (билобэктомия). Хирурги всегда стремятся придерживаться как можно большего объема операции, потому что это помогает снизить риск рецидива. Но при этом также важно учитывать функциональные возможности оставляемой легочной ткани.
- Если опухоль находится в периферической части легкого, вдали от его корня, имеет размер менее 1,5 см, и у больного снижены показатели функций дыхательной, системы, чаще всего удаляют только сегмент легкого (сегментэктомия, или клиновидная резекция) или выполняют атипичную резекцию. Перед тем как принимать такое решение, врач должен тщательно всё взвесить, так как удаление части легкого меньше доли сопровождается более высоким риском рецидива.
Любая из этих операций обязательно сопровождается удалением регионарных лимфатических узлов с окружающей клетчаткой, так как в них могут находиться микроскопические опухолевые очаги.
Раньше операции на легких в основном выполняли открытым способом через разрез — с помощью торакотомии. В настоящее время доказано, что при эндоскопических операциях через проколы — торакоскопии — результаты ничуть не хуже, и не повышается риск рецидива. В международной клинике Медика24 применяется современное оборудование для видеоассистированных торакоскопических вмешательств на легких (VATS). Этот метод является довольно сложным, требует от торакального хирурга соответствующего уровня мастерства. В клинике Медицина работают ведущие , отлично владеющие VATS.
Во время торакоскопической операции на грудной клетке делают небольшие надрезы (1-3 см), через них вводят инструмент с видеокамерой (торакоскоп) и специальные хирургические инструменты. Врач проводит операцию и наблюдает за ее ходом на экране, куда передается изображение с камеры торакоскопа.

Преимущества VATS в международной клинике Медика24 перед классической открытой операцией (торакотомией)
Резекция легких методом VATS начала практиковаться более 20 лет назад. С тех пор проведено много исследований, которые показали, что эта хирургическая техника обладает рядом преимуществ перед торакотомией:
- Более низкий риск осложнений. При открытой операции он достигает 58%, при торакоскопической — от 6 до 34%, в зависимости от оборудования и уровня мастерства хирурга.
- Более короткий срок госпитализации и реабилитационного периода. После VATS пациент может быстрее покинуть стационар и вернуться к привычной жизни.
- Результаты VATS зачастую лучше, чем после открытого вмешательства, при этом не повышается риск рецидива.
- Пациентов меньше беспокоят боли в послеоперационном периоде.
- Во время торакоскопической операции меньше травматизация тканей, лучше косметический результат — на коже остаются совсем небольшие рубцы.
Подготовка к операции
Перед удалением злокачественной опухоли легкого пациенту назначают предоперационное обследование, которое включает функциональные дыхательные пробы, рентгенографию и компьютерную томографию грудной клетки, , электрокардиографию, общий и биохимический анализы крови.
Обязательная составляющая подготовки к операции — отказ от курения и регулярные дыхательные упражнения. Если пациент постоянно принимает лекарственные препараты, некоторые из них, например, антикоагулянты, на время отменяют.
Послеоперационный период
Обычно срок госпитализации после торакоскопической операции составляет 3-4 дня. В послеоперационном периоде могут быть назначены обезболивающие препараты, антибиотики. Пациента помещают в палату интенсивной терапии, где его состояние тщательно контролируют с помощью различных датчиков. Может быть назначена оксигенотерапия или ИВЛ. На некоторое время в грудной клетке остается дренаж — специальная трубка для оттока жидкости.
После выписки из стационара, если послеоперационный период протекает без осложнений, пациент может вернуться к привычной жизни в течение недели. Интенсивные физические нагрузки противопоказаны в течение года. При выписке каждый пациент получает от врачей международной клиники Медика24 подробные рекомендации.
Случай успешного радикального хирургического лечения ложно местно-распространённого рака лёгкого

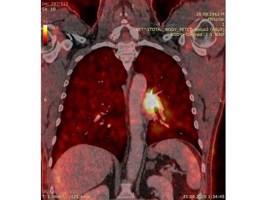
Несмотря на достижения современных медицинских технологий в торакальной онкологии, рак лёгкого остаётся одной из основных причин смертности населения. Алгоритм и тактика лечения пациентов со злокачественными опухолями лёгких определяются на основании клинической стадии заболевания. Стадия устанавливается по результатами диагностических исследований: компьютерной (КТ) и позитронно-эмиссионной томографии (ПЭТ-КТ), радиоизотопных исследований и бронхоскопии.
Достаточно часто (13-30 %) течение рака лёгкого осложняется вторичным параканкрозным (расположенным вокруг опухоли ) воспалением, которое затрудняет своевременную диагностику и адекватное стадирование рака лёгкого. Нередко это приводит к гипердиагностике, то есть ошибочному медицинскому заключению о наличии у пациента осложнений, которые на самом деле отсутствуют. Применимо к раку лёгких, гипердиагностика возможна по характеристикам первичной опухоли и поражению лимфатических узлов (категории "T" и "N" в классификации TNM), что отодвигает хирургические методы лечения на второй план или вовсе исключает их из возможных опций лечения рака лёгкого.
Приводим клиническое наблюдение пациента с ложно местно-распространённой злокачественной опухолью лёгкого. Учёт характера новообразования в этом случае позволил провести пациенту успешное хирургическое лечение первым этапом.
31.07.2020 мужчина 57 лет обратился в Клиническую больницу № 2 АО ГК МЕДСИ с данными компьютерной томографии, где выявлено центральное новообразование в корне нижней доли левого лёгкого.
Жалобы
Пациент предъявлял жалобы на боль в груди (в проекции грудины и нижне-грудного отдела позвоночника), эпизоды повышения температуры тела до субфебрильных значений (до 38 °C) и постоянный кашель с выделением небольшого количества светлой мокроты.
Сначала болезненные ощущения трактовались как проявления гастроэзофагеальной рефлюксной болезни (ГЭРБ). Пациент получал лекарственную терапию, но без существенного эффекта.
Анамнез
У пациента длительный анамнез курения — 40 пачколет (т. е., 1 пачка в день в течение 40 лет или 2 пачки в день в течение 20 лет и т .д.). Считает себя больным с апреля 2020 года, когда появилась боль в груди и кашель. С этими симптомами больной обратился к терапевту в поликлинику по месту жительства. Жалобы были расценены как проявления гастро-эзофагеальной рефлюксной болезни (ГЭРБ). По результатам гастроскопии диагностированы признаки хронического гастрита и косвенные признаки ГЭРБ. Назначенное лечение не дало эффекта.
При дальнейшем дообследовании, по данным рентгенографии и компьютерной томографии органов грудной клетки выявлено новообразование в нижней доле левого лёгкого. После этого пациент был направлен на консультацию к торакальному онкологу.
- (терапия метформином и гликлазидом);
- мультифокальный атеросклероз с преимущественным поражением сосудов головного мозга. 27.12.2019 зафиксирована транзиторная ишемическая атака (острое кратковременное нарушение кровообращения головного мозга).
Обследование
При осмотре и физикальном обследовании обращало на себя внимание наличие экспираторных (при выдохе) свистящих хрипов по всем лёгочным полям (больше слева) и ослабление дыхания в нижних отделах слева.
Периферические лимфатические узлы шеи, подмышечных, над- и подключичных областей не увеличены в размерах или не пальпируются (не прощупываются).
Первым этапом пациенту была проведена фибробронхоскопия, по данным которой выявлено, что устье нижнедолевого бронха слева сужено за счёт подслизистого и перибронхиального распространения опухоли.
Выполнена многократная биопсия из устья нижнедолевого бронха слева. По данным гистологического исследования материала эндоскопической биопсии верифицирован диагноз немелкоклеточного рака лёгкого.
Чтобы провести первичное стадирование опухоли, пациенту проведена позитронно-эмиссионная томография в сочетании с компьютерной томографией (ПЭТ-КТ). По данным исследования, выявлена метаболически активная опухоль в корне левого лёгкого с бугристыми контурами размерами 41 х 43 мм. В толще опухоли проходят нижнедолевой бронх и бронх 6-го сегмента левого лёгкого, просветы бронхов значительно сужены. Нижняя доля левого лёгкого уменьшена в размерах за счёт того, что сегменты 6, 9 и 10 субтотально (частично) инфильтрированы и безвоздушны. Лимфатические узлы корня лёгкого и средостения не увеличены в размерах и не накапливают радиофармпрепарат (РФП), который был введён пациенту перед обследованием внутривенно. Других очаговых образований и очагов гиперметаболизма в организме не обнаружено.
При этом отмечено, что опухоль распространяется в средостение по нижней стенке левого главного бронха и широко прилежит к нижнегрудному отделу аорты (по заключению специалиста ПЭТ-КТ — имеется инвазия опухоли в ткани средостения и возможное врастание в стенку аорты). При самостоятельном пересмотре изображений отмечено, что "опухолевая" ткань, которая распространяется по нижней стенке левого главного бронха в средостение, не накапливает РФП (т. е. не является злокачественной), а стенка аорты в области "инвазии" опухоли имеет ровный чёткий контур и адвентициальную границу, что также свидетельствует об отсутствии онкологического процесса в этой области.
- эхокардиография;
- ультразвуковая допплерография (УЗДГ) артерий и вен нижних конечностей и брахиоцефальных артерий;
- спирометрия (измерение объёмных и скоростных показателей дыхания с целью диагностики и оценки функционального состояния лёгких).
По результатам исследований не выявлено существенных патологий, которые могли бы ограничить возможности хирургического вмешательства на лёгких.
На период обследования пациенту была рекомендована противовоспалительная (НПВС) и ингаляционная терапия, на фоне чего пациент отметил уменьшение болевого синдрома и выраженности кашля.
Диагноз
Основное заболевание: Центральный немелкоклеточный рак нижней доли левого лёгкого, сT2bN0M0, IIА стадия. (T2b — опухоль более 5 см, но менее 7 см в наибольшем измерении; N0 — нет метастазов в региональных лимфатических узлах; M0 — нет отдалённых метастазов).
- Сахарный диабет 2 типа, субкомпенсированный (среднетяжёлое течение болезни).
- Мультифокальный атеросклероз с преимущественным поражением сосудов головного мозга (транзиторная ишемическая атака от 27.12.2019). Код МКБ-10 — E11.9.







Интраоперационное фото: клипированные межрёберные артерии; аорта на тесёмочных держалках по краям зоны резекции адвентиции; культя главного бронха с провизорными швами при ушивании по Оверхольту


Лечение
Проведён онкологический консилиум (Клиническая больница № 2 АО ГК МЕДСИ). Решением консилиума рекомендовано первым этапом провести хирургическое лечение в объёме нижней лобэктомии (удаления доли органа) с циркулярной резекцией левого главного бронха (удалением сегмента бронха с восстановлением целостности бронхиального дерева) или пневмонэктомии слева (полного удаления лёгкого) после интраоперационной ревизии с систематической медиастинальной лимфодиссекцией (иссечением лимфатических узлов).
- боковая торакотомия (вскрытие грудной клетки) слева;
- пневмонэктомия с резекцией адвентиции (наружной оболочки) аорты, париетальной и медиастинальной плевры и мышечной стенки пищевода;
- медиастинальная лимфаденэктомия.
1. В положении на правом боку с раздельной вентиляцией лёгких выполнена боковая торакотомия слева. При ревизии:
- в плевральной полости выпота (скопления жидкости) нет;
- имеются единичные сращения в области верхней доли и 6 сегмента — разделены при помощи электрокоагуляции;
- очагового поражения париетальной и висцеральной плевры нет.
- в нижней доле имеется плотная большая опухоль, подрастающая к грудной аорте и врастающая в медиастинальную плевру и средостение;
- сосуды корня лёгкого в опухолевый процесс не вовлечены;
- определяются множественные неувеличенные в размерах лимфатические узлы.
Учитывая данные интраоперационной ревизии, диагноз скорректирован: центральный местно-распространённый немелкоклеточный рак нижней доли левого лёгкого с врастанием в адвентицию аорты и ткани средостения — cT4NxM0. Принято решение о выполнении пневмонэктомии (полного удаления лёгкого).
2. Выделены и взяты на держалки верхняя и нижняя лёгочные вены, выделен ствол лёгочной артерии, который также взят на держалку. Выполнено пробное пережатие лёгочной артерии — нарушений гемодинамики (движения крови по сосудам) и гемоксигенации (насыщения крови кислородом) нет.
3. Последовательно прошиты сшивающими аппаратами и пересечены нижняя и верхняя лёгочные вены и ствол лёгочной артерии. Выявлено, что опухоль подрастает к мышечной стенке пищевода, выполнена краевая резекция мышечной стенки пищевода на протяжении 2 см.
4. Острым путём отсечён левый главный бронх, при этом обнаружено, что опухоль распространяется перибронхиально. Культя левого главного бронха реампутирована (ампутирована повторно) в пределах визуально здоровой ткани стенки бронха, до 1,5-2 см от карины трахеи (гребня хряща между разделением двух главных бронхов). Центральная часть культи левого главного бронха ушита по Оверхольту.
5. Отступив по грудной стенке от края врастания опухоли в аорты на 2 см, рассечена и отсепарована (отделена хирургически) париетальная плевра и адвентиция аорты. Аорта мобилизована по типу "ручки чемодана" и взята на тесёмочные держалки выше и ниже места врастания опухоли.
6. Скелетизируя грудную стенку и аорту, с перевязкой левых межрёберных артерий, на участке рёбер 4, 5, 6 и 7 выполнена полуциркулярная резекция адвентиции аорты, мягких тканей грудной стенки с париетальной плеврой и тканей средостения.
7. Пневмонэктомия. Проверка аэростаза (герметичности) под уровнем жидкости — просачивания воздуха в области культи бронха нет.
8. Выполнена лимфодиссекция из области лёгочной связки, области бифуркации трахеи (места её разделения на главные бронхи), аортального окна, левого трахеобронхаильного угла и нижних паратрахеальных лимфатических узлов слева. Проверка гемостаза — сухо.
10. В плевральную полость заведён толстый силиконовый дренаж. Послойное ушивание раны, рёбра сведены тремя перикостальными швами. Наложена асептическая повязка.
- дренаж из плевральной полости удалён на первый послеоперационный день;
- из отделения реанимации и интенсивной терапии (ОРИТ) пациент переведён в госпитальное отделение с целью активизации.
Проведена профилактическая стандартная антибактериальная терапия в течение пяти суток. По данным контрольной рентгенографии, отмечено смещение средостения в оперированную сторону.
- умеренно-дифференцированная аденокарцинома лёгкого (G2) с очаговой периневральной и лимфо-васкулярной инвазией (Pn1, LV1), выраженной фибропластической реакцией стромы, умеренной воспалительной инфильтрацией, фокусами некрозов.
- Размер опухоли — 6,0 х 4,5 х 3,5 см — pT2b.
- В 40 исследованных лимфатических узлах (4 группа — 5 шт., 5 группа — 4 шт., 7 группа — 10 шт., 9 группа — 1 шт., 10 группа — 2 шт., 11 группа и внутрилегочные — 18 шт.) метастазов опухоли не обнаружено — pN0.
- Края резекции без опухоли — R0.
- Область "подрастания" опухоли к адвентиции аорты и врастания опухоли в средостения была представлена фиброзной тканью с воспалительной инфильтрацией стромы.
Еженедельный амбулаторный контроль состояния пациента в течение трёх недель констатировал неосложнённый поздний послеоперационный период.
Проведён повторный онкологический консилиум Клинической больницы № 2 АО ГК МЕДСИ по результату первого этапа лечения: учитывая размеры опухоли, периневральную и лимфо-васкулярную инфильтрацию, степень дифференцировки опухоли и возраст пациента, рекомендовано проведение химиотерапии в адъювантном режиме по схеме Пеметрексед + Карбоплатин (4 курса). Первый курс химиотерапии проведён в штатном режиме на 28 послеоперационный день.
Заключение
Таким образом, принимая во внимание данные предоперационного обследования и заключение специалистов лучевой диагностики, можно было ложно определить "нехирургическую" стадию рака лёгкого и констатировать полную невозможность радикального хирургического лечения (инвазия в стенку аорты). Однако прицельный пересмотр данных ПЭТ-КТ и учёт клинической картины воспалительного синдрома ( температура тела до 38 °С ; кашель, купированный на фоне ингаляционной терапии; болевой синдром, купированный приёмом НПВС) позволили принять решение о возможности хирургического лечения. Интраоперационная ревизия на мгновение пошатнула уверенность в правильности стадирования онкологического процесса, однако патологоанатомическое исследование полностью подтвердило предоперационную трактовку клинической ситуации.
Данное клиническое наблюдение свидетельствует о важности учёта параканкрозного воспаления при раке лёгких, которое может вносить существенный вклад в ложную трактовку стадии заболевания. Каждый пациент с злокачественной опухолью лёгкого требует индивидуального подхода и оценки рисков и возможностей радикального хирургического лечения.
Читайте также:
