ЭхоКГ при двойном отхождении магистральных сосудов от правого желудочка
Добавил пользователь Владимир З. Обновлено: 02.11.2025
В отдел Телемедицины НЦССХ им. А.Н. Бакулева для уточнения диагноза и определения плана дальнейшего лечения поступила выписка на ребёнка восьми лет из Смоленска с направительным диагнозом:
Врождённый порок сердца (ВПС), комбинированный: двойное отхождение магистральных сосудов от правого желудочка, дефект межжелудочковой перегородки, дефект межпредсердной перегородки (ДОС ПЖ, ДМЖП, ДМПП), декстрокардия, состояние после операции суживания лёгочной артерии (в возрасте одного года), НК 2а-б степени. Гетеротопический синдром: аспления, леворасположенная печень, декстракардия. Внутренняя гидроцефалия, стадия субкомпенсации.
Обследование по месту жительства
Мальчик родился от первой беременности, протекавшей с фетоплацентарной недостаточностью, от первых срочных родов на 40 неделе. Масса тела при рождении составила 3310 г, длина — 53 см. На седьмой день жизни ребёнок был переведён в отделение патологи новорожденных в тяжелом состоянии в связи с врождённой сердечной патологией, неврологической симптоматикой и неонатальной желтухой. Выставлен диагноз:
ВПС (декстракардия, ДМЖП, ДМПП, ОАП).
Пациент получал лечение препаратами, затем был выписан под наблюдение кардиохирурга.
В возрасте одного года ребёнку была выполнена операция:
Суживание лёгочной артерии.
После чего ребёнок наблюдался в центре кардиологии и кардиохирургии (Киев).
В дальнейшем была запланирована поэтапная коррекция порока. Но по причинам организационного характера последующие этапы хирургического лечения не состоялись. К моменту консультации ребёнок проживал в лагере беженцев (Смоленска).
Результаты исследований
Из объективного осмотра:
Состояние мальчика тяжёлое, за счёт хронической сердечной недостаточности. Не лихорадит. Частота дыхания (ЧД) 26-28 в минуту, частота сердечных сокращений (ЧСС) 100уд\мин, артериальное давление (АД) 80/50 мм.рт.ст., насыщение крови О2 — 79-81%.
Мальчик низкого роста, пониженного питания. Отмечается деформация грудной клетки (грудина западает, послеоперационный рубец, реберные дуги приподняты вверх), деформация пальцев по типу «барабанных палочек», ногтей — по типу «часовых стекол». Подкожно-жировая клетчатка практически отсутствует. Лимфатические узлы не увеличены. Кожные покровы чистые, бледные, расширена венозная сеть в области груди, живота, верхних и нижних конечностей. Отмечается акроцианоз. Слизистые влажные, цианотичные. В зеве без признаков воспаления. Перкуторно над лёгкими лёгочный звук с коробочным оттенком. Дыхание в лёгких жесткое, хрипов нет. Границы сердца смещены, т.к. оно расположено справа. Тоны сердца звучные ритмичные; систолический шум грубый, «машинного тембра», над всей областью сердца, проводящийся на спину и в подмышечную область. Живот мягкий, безболезненный при пальпации, печень слева, не увеличена. Селезёнка отсутствует. Отёков нет. Стул и мочеиспускание не нарушены.
Инструментальные исследования
Электрокардиография (ЭКГ): нижнепредсердный эктопический ритм с ЧСС=80 уд\мин. Отклонение электрической оси сердца (ЭОС) вправо. Предсердные нарушения. ЭКГ признаки гипертрофии ПЖ и ПП.

Рис 1 — Результат электрокардиографии
Рис 2 — Результат электрокардиографии
Холтеровское мониторирование ЭКГ: основной ритм предсердный (83,8%), с ЧСС=98 уд\мин, синусовый ритм (6,1%), в среднем 105 уд\мин, эпизоды миграции водителя ритма. Среднесуточная ЧСС=99 уд\мин. Ригидный циркадный профиль сердечного ритма (1,13). Максимальная частота сердечных сокращений — 150 уд\мин (после игры), минимальная ЧСС — 58 уд\мин (сон). Отмечена тенденция к тахикардии в ночные часы. Нельзя исключить преходящий WPW. Патологических пауз не выявлено. Регистрируются частые, одиночные, политопные экстасистолы, всего 1538. Интервал ОТ соответствует нормативному. ST-T без диагностически значимой динамики. Функция разброса снижена, повышена функция концентрации сердечного ритма. Уровень парасимпатических влияний на ритм сердца снижен.
Ультразвуковое исследование (УЗИ) органов брюшной полости: аномалия расположения печени — гетеротопия (под левой реберной дугой), лабильный перегиб желчного пузыря. Нижняя полая вена не визуализируется, паренхима печени диффузно изменена, почки без эхоструктурных изменений.
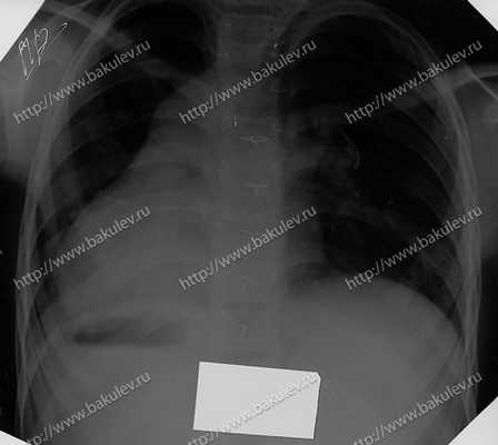
Рентгенограмма органов грудной клетки: ВПС, комбинированный, оперированный, декстракардия. Очаговых и инфильтративных теней не видно. Корни лёгких: левый нечётко структурен, правый не виден из-за тени сердца. Лёгочный рисунок избыточный в нижних отделах с обеих сторон. Сердце расположено в правой половине грудной клетки, расширено, увеличено в поперечнике. Сердечно-лёгочный коэффициент — 67%. Контуры диафрагмы чёткие. Синусы свободные. Г азовый пузырь желудка расположен справа.

Рис 3 — Рентгенограмма органов грудной клетки
Эхокардиография (ЭхоКГ): Сердце расположено справа. Расширены камеры сердца, больше правые. Гипертрофия миокарда обоих желудочков, перегрузка объёмом правых камер. Аорта и лёгочная артерия смещены в правый желудочек. Верхушка сердца выполнена правым желудочком. Расширен коронарный синус в левом предсердии. ДМЖП подаортальный 17 мм, вторичный ДМПП 12-14мм. Снижена сократительная способность левого желудочка, ФВ — 53%. Расширение аорты в области синусов, кровоток ускорен. Выражена недостаточность трикуспидального клапана. Высокая лёгочная гипертензия, среднее давление в лёгочной артерии — 102,7 мм. рт. ст.
В анализах крови и мочи патологии нет.


Рис 4,5 — Результаты ЭхоКГ-исследования
Для подтверждения диагноза и определения тактики лечения данные направлены в НЦССХ им. А.Н. Бакулева.
Телемедицинская консультация в Центре Бакулева
Телемедицинская конференция проведена в 8 лет 26 дней жизни ребенка. После разговора с лечащими врачами, изучения результатов исследований принято решение о необходимости госпитализации в НЦССХ для дополнительного обследования и решения вопроса о возможности оперативного лечения.
Поликлиника НЦССХ
Через 14 дней после телемедицинской консультации в поликлинике НЦССХ проведено обследование, по результатам которого поставлен диагноз:
Situs inversus. Левосформированное праворасположенное сердце. Двойное отхождение магистральных сосудов от правого желудочка. Дефект межжелудочковой перегородки. Дефект межпредсердной перегородки (вторичный). Состояние после операции суживания лёгочной артерии по Мюллеру. НК 2а-б степени.
Госпитализация в Центр Бакулева
Ребёнок госпитализирован в возрасте восьми лет в отделение лёгочной гипертензии (ОЛГ).
В стационаре при осмотре:
Общее состояние ребёнка — средней степени тяжести. Рост — 118 см, вес — 17 кг. Площадь поверхности тела: BSA = 0,75, BMI — 15,5.
Развитие подкожной клетчатки резко снижено. Отёков нет. Окраска кожи: цианоз, насыщение по датчику — 68%. Слизистые цианотичные. Лимфатические узлы не увеличены, не спаяны с близлежащими тканями. Симптом «барабанных палочек». Симптом «часовых стёкол». Грудная клетка — диспластическая.
В лёгких ясный лёгочный звук. ЧД — 22 в мин. Дыхание везикулярное, проводится во все отделы, хрипов нет. Сердце расположено справа. ЧСС 94 уд/мин. Систолический шум над всей областью сердца, эпицентр вдоль правого края грудины. Частота пульса 94, удовлетворительного наполнения. Пульсация на верхних и нижних конечностях отчетлива, симметрична. Артериальное давление: на левой руке — 113/58 мм. рт. ст., на правой руке — 110/60 мм. рт. ст. Язык чистый, влажный. Печень расположена слева, не увеличена. Cелезёнка не пальпируется. Стул со слов папы б/о. Мочеполовая система сформирована по мужскому типу. Зрение б/о. Слух б/о. Нервная система без грубой очаговой патологии. Умственное развитие — в соответствии с возрастом.
Инструментальные исследования:
Рентгенография органов грудной клетки:
свежих инфильтративных изменений не выявлено. Избыточный лёгочный рисунок — в нижних отделах с обеих сторон. Сердце расположено в правой половине грудной клетки, расширено, увеличено в поперечнике. Декстрокардия. КТИ — 67%.
ЭКГ: Нижнепредсердный эктопический ритм с ЧСС — 86 уд/мин. Отклонение ЭОС вправо. Признаки перегрузки правых отделов сердца.
Особенности ультразвуковой анатомии ДОС от ПЖ
Отхождение аорты и легочной артерии от правого желудочка - врожденный порок сердца (ВПС), анатомические критерии которого до настоящего времени являются предметом широкой дискуссии.
Цель работы:
оценить тип ДМЖП, особенности расположения магистральных артерий и конусной перегородки, наличие подлегочного и подаортального конуса, сопутствующую кардиальную патологию.
Материалы и методы исследования:
В основу исследования были положены результаты исследования эхокардиографии 354 детей с ВПС. Из них ДОС от ПЖ было выявлено у 21 пациента с различными типами ДМЖП, взаиморасположением сосудов и сопутствующей кардиальной патологией. Возраст пациентов составил от 1- го дня жизни до 10 лет. Для оценки сердечных структур использовали алгоритм ЭхоКГ исследования, основанный на сегментарном подходе Van Praagh в модификации Becher А.Е. Использовали стандартные позиции (субкостальную, парастернальную, супрастернальную) и их модификации. Исследование сердце плода проводили в режиме импульсной допплерографии, цветового доплеровского картирования, с использованием трехмерной реконструкции в реальном масштабе времени на УЗ аппаратах: HD 11XE (Philips) Sonos 7500 (Philips), Logic E9.
Результаты:
В обследованной группе пациентов с ДОС от ПЖ преобладало сочетание подаортального ДМЖП и расположения магистральных сосудов бок о бок. Вторым по частоте встречаемости было D - транспозиционное положение сосудов с подаортальным ДМЖП. В 1 случае была выявлена аномалия Тауссинг - Бинга с подлегочным ДМЖП и расположение сосудов side by side. В 2 случаях - подаортальный ДМЖП с нормальным расположением сосудов. В случае наличия большого приточного ДМЖП был выявлен верхосидящий ТК. ДОС от ПЖ часто сочетался со стенозом легочной артерии, также с патологией атриовентрикулярного канала, в 3 случаях с патологией дуги аорты (коарктация). У 2-х пациентов была выявлена добавочная ВПВ. Из сопутствующей аномалии ДОС от ПЖ сочетался с гетеротаксией.
Выводы:
Анатомия порока ДОС от ПЖ определяется типом ДМЖП и взаиморасположением сосудов, наличием конусной перегородки. Сопутствующая кардиальная патология определяет конечное решение в выборе тактики хирургического лечения.
Комментарии посетителей
Комментарии могут отправлять участники данного мероприятия или члены Ассоциации.
Преимущества членства в ассоциации
Отхождение сосудов от правого желудочка
Отхождение обоих магистральных сосудов, выносящих кровь из сердца не от соответствующих («своих») левого и правого желудочков, а только от одного правого — большая группа нарушений нормального развития сердца, это целый спектр аномалий, объединенных одним общим названием. Если вы читаете только эту главу, потому что у вашего ребенка именно такой диагноз, то мы советуем вам вернуться немного назад и просмотреть разделы, касающиеся изолированных больших дефектов межжелудочковой перегородки, легочной гипертензии и тетрады Фалло, потому что все, что сказано там о клиническом проявлении порока, симптомах, осложнениях и последствиях, можно в полной мере отнести и к этому пороку.
Главное нарушение формирования сердца заключается в том, что аорта, которая на 5-й неделе от момента зачатия должна «повернуться» против часовой стрелки и соединиться с левым желудочком, этого не делает, а остается «сидеть» над правым желудочком целиком. Выход крови из левого желудочка осуществляется только через большой дефект межжелудочковой перегородки и хотя потоки крови в правом желудочке, естественно, смешиваются, все же остается их частичное разделение, и артериальная кровь поступает, в основном, в аорту, которая отделена от левого желудочка мышечным валиком межжелудочковой перегородки, а венозная идет преимущественно в легкие.
Иными словами, в типичных случаях и структурное нарушение, и клинические проявления имеют черты больших дефектов межжелудочковой перегородки и — соответствующие последствия. Если же к этому добавить сужение выводного тракта правого желудочка, то картина будет напоминать тетраду Фалло.
При первых вариантах ребенок бледный, без выраженных признаков цианоза, и имеется большой сброс «слева-направо», ранние признаки сердечной недостаточности и переполнения кровью сосудов легких со всеми вытекающими отсюда последствиями, которые могут привести к развитию необратимой легочной гипертензии.
При вторых — ребенок синюшный, с выраженным цианозом и большой вероятностью одышечно-цианотических приступов.
Возможности радикального хирургического лечения сегодня существуют практически для всех вариантов порока, но нужно учитывать несколько важных деталей.
Многое зависит от того, какой у ребенка дефект межжелудочковой перегородки, где он расположен в перегородке и какого он размера. Если отверстие большое и находится прямо под устьем аорты, его закрывают, создавая тоннель из продолговатой синтетической заплаты, который соединит стенки дефекта с аортой, и таким образом аорту с левым желудочком.
Но, к сожалению, дефект (а иногда и два-три дефекта) может находится в мышечной части перегородки. Это делает операцию очень травматичной, а подчас и просто невозможной технически.
Наконец, последний вариант — дефект может располагаться под началом, устьем легочной артерии. Тогда просто соединить аорту с левым желудочком внутри сердца невозможно (так называемая ).
Выбор способа хирургической помощи, зависит от очень многих обстоятельств. Главное, что вам нужно знать — вы должны обратиться к специалистам как можно раньше, т.е. как только поставлен диагноз. Не надо ждать ухудшения — вы рискуете сделать ситуацию «запущенной». Но не надо и впадать в отчаяние. Ребенка можно и нужно лечить, и для этого есть все средства.
Об операции при «подаортальном» дефекте мы рассказывали. Она — относительно проста и ее можно делать в любом возрасте, т.е. как и при больших дефектах межжелудочковой перегородки, в зависимости от клинических проявлений порока. Но, если дефект нельзя просто превратить в выводной отдел для левого желудочка, что тогда? Если диагноз установлен достаточно рано, а давление в легочной артерии растет, то для защиты сосудов легких от необратимых повреждений нужно сузить легочную артерию, наложив манжетку, как это было описано ранее.
Делая это, мы думаем о будущем, а пока — знаем, что сосуды легких не страдают. Что нас ожидает? Через несколько месяцев или лет, а в данном случае спешить, как правило, не следует, — можно поставить вопрос о возможности радикальной операции. Ребенок подрос, набрал в весе, неплохо развит, и хотя у него может усиливаться цианоз губ, особых опасений это не вызывает — причина цианоза понятна, т.к. создана хирургически. И тут существуют две возможности. Первая и наилучшая — это удалить манжетку и закрыть дефект, создав внутри полости правого желудочка тоннель между дефектом и аортой желудочка. Этот тоннель, однако, будет более длинным, и сделать его намного труднее, чем при «подаортальном» дефекте, — из-за далекого расположения в перегородке. Иногда это технически невозможно. И тогда есть второй путь — «радикальная паллиация», когда, удалив манжетку, нужно закрыть заплатами вход в правый желудочек (т.е. трехстворчатый клапан) и сделать из обоих желудочков один, работающий на большой круг, а в предсердии произвести операцию Фонтена, как это было описано для атрезии трехстворчатого клапана. Второе — не идеальный выход, но все же — выход, когда нет другой возможности. И, надо сказать, что такой путь применяется и при других сложных пороках сердца, о которых мы скажем позже.
При аномалии Тауссиг-Бинга, или отхождении сосудов от правого желудочка и огромном дефекте межжелудочковой перегородки, расположенном под легочной артерией, тактика и стадийность хирургического лечения полностью зависит от времени первого появления ребенка в специализированном хирургическом учреждении. В любом случае, вмешательство следует делать в течение первых месяцев жизни. Не будем подробно останавливаться на существующих методиках лечения этого сложного порока. Достаточно сказать, что при раннем обращении вполне возможно выполнение операции в один этап и восстановление нормального кровообращения в обоих кругах. Но если момент упущен, то не отчаивайтесь, потому что на вооружении сегодняшней хирургии имеется много способов помочь вашему ребенку , и они зависят от типа порока и возраста ребенка. В одном из последних учебников по кардиохирургии врожденных пороков сердца насчитывается 5 вариантов хирургического лечения различных типов отхождения сосудов от правого желудочка. Мы описали только некоторые из них, наиболее типичные. В каждом конкретном случае можно и нужно выбрать наиболее логичный и безопасный метод.
Рецептов, которые были бы одними и теми же для разных детей — нет. Каждый случай индивидуален. Но главное — больные, которые еще 10 лет назад считались неоперабельными, сегодня могут рассчитывать на хирургическую помощь, которая не только продлит жизнь, но и изменит ее качество, сделает их полноценными членами общества.
Транспозиция магистральных сосудов
Вариантов транспозиции может быть много: полная, неполная, корригированная, в сочетании с другими пороками.
Пока мы коснемся только полной транспозиции, т.е. ситуации, когда сосуды полностью переместились, поменялись своими местами. Аорта отходит от правого желудочка, а легочная артерия — от левого. Остальные отделы сердца, т.е. предсердия с впадающими в них венами, и желудочки, нормальны и не имеют никаких других пороков (иногда применяют термин «простая ТМС»). Как не трудно себе представить, но такое бывает с сердцем, и не так уж редко. Это как если бы там, где должна быть руки - выросли ноги, а там, где ноги — руки. К счастью, это не так страшно выглядит. Дети рождаются доношенными, совершенно нормальными, но, в отличие от тетрады Фалло, сразу очень синюшными. Становится очевидным, что ребенку сразу после рождения очень трудно просто — жить.
Венозная кровь, бедная кислородом, поступает в правое предсердие, в правый желудочек, а отсюда — снова в отходящую от него аорту и в большой круг кровообращения, так и не пройдя через легкие, не насытившись кислородом и не отдав углекислый газ. А кровь из легких по легочным венам идет в левое предсердие, в левый желудочек, и снова - в легочную артерию и в легкие, что с точки зрения ее насыщения кислородом бессмысленно, т.к. она уже насыщена. Образуется два разобщенных круга кровообращения.
И, если мы ранее условно изобразили взаимоотношение кругов кровообращения в виде восьмерки, лежащей на боку, то при транспозиции — это два замкнутых кольца, не связанных между собой.
Ясно, что такое положение дела просто несовместимо с жизнью. Но природа решает по-своему: оставляет открытым овальное окно (т.е. естественный дефект) в межпредсердной перегородке, через который происходит утечка части венозной крови в левые отделы, и потом — в легкие. Оба круга между собой связаны только этим шунтом.
Понятно, что количество крови, которое пройдет через дефект с каждым сердечным циклом, и от которого зависит ее насыщение, очень мало и никак не может обеспечить потребность организма. Если дефектов два, или добавляется еще дефект межжелудочковой перегородки - то это несколько лучше, т.к. количество окисленной крови в артериальной системе становится больше. Но все равно ее крайне недостаточно.
Дети, родившиеся с полной транспозицией магистральных сосудов, быстро впадают в критическое состояние , и, если им не помочь уже в первые дни жизни, они погибнут. Приступов одышки, как при тетраде Фалло, у них не будет, но цианоз появляется уже в первые часы, и малейшее физическое усилие — движения, сосание, плач — становится трудно или совсем невыполнимым. Что же необходимо делать? В первую очередь — расширить имеющийся дефект, увеличить его размер, чтобы сделать большим объем проходящей через него венозной крови.
Это достигается так называемой процедурой Рашкинда, суть которой сводится к тому, что в открытое овальное окно проводится катетер с баллончиком, который раздувают, тем самым разрывая межпредсердную перегородку и увеличивая дефект в диаметре. Процедура выполняется в кабинете рентгенохирургии и подготовка к ней включает все моменты, которые мы описали выше, когда говорили о зондировании сердца или о закрытии открытого артериального протока.
При полной транспозиции расширение дефекта должно быть сделано экстренно. Но это расширение — и увеличение потока смешанной крови — само по себе ничего не решает. Оно только немного улучшает состояние ребенка и продлевает ему жизнь, и надо что-то делать дальше, не откладывая. Эффект процедуры будет очень недолгим — всего несколько недель, а если ждать дольше, то ребенок может погибнуть от сердечной недостаточности и постоянного кислородного голодания.
Понятно, что идеальным методом лечения транспозиции является полное устранение этой «ошибки природы» — т.е. хирургическое перемещение аорты и соединение ее со «своим» левым желудочком (тогда как она сейчас отходит от правого), а легочной артерии - с правым желудочком.
Описание операции хирургического перемещения аорты и соединения ее со «своим» левым желудочком
После обычного введения ребенка в наркоз, открытия грудной клетки, соединения с аппаратом, начинают искусственное кровообращение, с помощью которого кровь одновременно охлаждают (это всегда делается и при других операциях, которые могут потребовать достаточно длительного времени — 1,5-2 часа и больше). Дело в том, что при охлаждении замедляются все обменные процессы (как у медведя в зимней спячке), а это - защита организма от всевозможных осложнений в последующем. С помощью аппарата охлаждение происходит быстро (как и согревание в завершающей стадии операции).
Аорта и легочная артерия рассекаются пополам. Коронарные артерии отрезаются от аорты и вшиваются в начало легочной артерии, которое будет потом устьем новой аорты. К этому участку подшивают отсеченную «свою» аорту, а затем из кусочка собственного перикарда делают трубку, которая вшивается в новую легочную артерию, восстанавливая и ее.
Таким образом, достигают истинной анатомической коррекции порока. Теперь все нормально: магистральные сосуды отходят от тех желудочков, от которых и должны отходить. Эта операция, как видим, сложная и длительная. Но сегодня ее делают достаточно успешно в нескольких кардиологических клиниках страны. Однако чтобы рассчитывать на успех, ее надо делать очень рано, т.е. в первые недели жизни.
Дело в том, что при рождении оба желудочка, правый и левый, хорошо развиты, имеют одинаковую мышечную массу и толщину стенок. При нормальном развитии у правого желудочка нагрузка оказывается меньше, чем у левого: ему не надо качать кровь в большой круг, т.е. по всему телу, и он довольно быстро привыкает к этому. Пройдет немного времени — и его стенка станет тоньше, и масса мышц уменьшится: зачем работать, если можно и не работать? То же самое происходит и при транспозиции — но с левым желудочком. При транспозиции желудочки новорожденного тоже изначально одинаковы, и то, что они работают против разных сопротивлений большого и малого кругов кровообращения, в первое время их никак не касается. Но потом левый желудочек истончается и теряет массу, а ведь после операции перемещения сосудов именно ему предстоит выполнять главную работу. И вот тут важно не упустить время, т.к. если ждать несколько месяцев, то даже в случае хорошего эффекта процедуры Рашкинда, радикальная коррекция будет уже невозможна. Наилучшее время для такой коррекции — первый месяц жизни.
Надо сказать, что такое лечение полной транспозиции применяется в течение уже 25 лет, а в последние годы становится стандартным. Понятно, что для успешного выполнения этой сложной операции необходима не только хорошо отработанная методика, но и безопасные для грудного ребенка методы обеспечения наркоза, искусственного кровообращения, ведения послеоперационного периода, т.е. всего того, что и приводит к окончательному успеху. Это может быть сделано только в крупных детских кардиохирургических центрах, имеющих большой опыт лечения врожденных пороков сердца.
Чего ждать после операции? В целом, результаты очень хорошие. Сегодня сотни оперированных больных ведут нормальный образ жизни, а продолжительность жизни некоторых детей, прооперированных одними из первых, уже насчитывает 20 и более лет. Конечно, наблюдение кардиолога, а иногда и подробные обследования, являются обязательными, т.к. по мере роста ребенка и самого сердца могут возникнуть проблемы. Однако, главные из этих проблем вполне можно устранить рентгенохирургическим путем, не прибегая к повторной операции.
К сожалению, радикальную операцию сделать можно не всегда. Главная из причин — позднее обращение к специалистам, когда время уже упущено. Нередко приходится видеть детей с полной транспозицией в возрасте одного-двух лет. Они очень синие и сильно отстают в физическом развитии. Их глаза — умные, страдающие, и как будто все понимающие — невозможно забыть никогда. Этим детям тоже можно и нужно срочно помочь, и такие методы есть, их применяют давно, и они хорошо себя зарекомендовали. Задолго до того, как хирургическая наука сделала возможным раннее и анатомически радикальное лечение транспозиции, был предложен другой, менее радикальный, но достаточно эффективный метод.
Идея заключается не в исправлении анатомии (тогда это было технически невозможно), а в изменении путей потоков крови, т.е. направлении крови из вен в легкие, в малый круг, а окисленной крови — в левый желудочек и в аорту, т.е. в большой круг.
Методы, известные как «внутрипредсердная коррекция» были долгое время единственными в лечение транспозиции, но они применяются и сегодня, когда по каким-то причинам нет возможности выполнить анатомическую коррекцию.
Суть операции сводится к рассечению правого предсердия, удалению всей межпредсердной перегородки и вшиванию внутри полости заплаты из собственных тканей ребенка (перикарда, или стенки предсердия) таким образом, что кровь из полых вен направляется в левый желудочек, от которого отходит легочная артерия, и затем — в легкие, а из легочных вен — в правый желудочек, в аорту и в большой круг кровообращения. Эти операции, известные по имени их авторов - Мастарда и Сеннинга, исправляют гемодинамику, но не сам порок. Сегодня в мире накоплен большой опыт таких операций, и судьба оперированных больных прослежена в течение уже нескольких десятков лет. У половины из них нормальная, достаточно активная и длительная жизнь. У другой части могут со временем возникать осложнения в виде нарушений ритма, недостаточности предсердно-желудочковых клапанов — ведь желудочки сердца остались на месте и работают не так, как предусмотрено природой. Люди, перенесшие такую операцию, иногда немного синюшные — особенно губы и ногти на руках и ногах. Остаются ограничения в физических нагрузках. Девочкам, достигшим зрелого возраста, могут не рекомендовать рожать детей, и не из-за того, что ребенок будет с пороком - это полное заблуждение, а из-за того, что беременность и роды могут оказаться чересчур большой физической нагрузкой. Но, как бы то ни было, методы внутрипредсердной коррекции спасли жизнь сотням детей. Так что, если и упущен момент для анатомической коррекции, выход есть, и хороший выход.
Тем более что в последние годы начали осуществлять операции перемещения сосудов с удалением старых внутрипредсердных заплат. Такое — не всегда возможно и необходимо, и, кроме как «высшим пилотажем» в кардиохирургии это нельзя и назвать. Но время идет вперед, и я только хочу, чтобы вы поверили: транспозиция магистральных сосудов сегодня — вполне излечимый порок, и ни один ребенок, родившийся с ним, погибать не должен. Но при этом его будущее зависит во многом и от вас, и от вашей веры в современные возможности медицины.
ЭхоКГ при двойном отхождении магистральных сосудов от правого желудочка


- НИО хирургии аорты, коронарных и периферических артерий
- НИО новых хирургических технологий
- НИО хирургической аритмологии
- НИО эндоваскулярной хирургии
- НИО сосудистой и гибридной хирургии
- НИО онкологии и радиотерапии
- НИО ангионеврологии и нейрохирургии
- НИО анестезиологии и реаниматологии
- НИО лучевой и инструментальной диагностики
- Состав совета по защите докторских и кандидатских диссертаций
- Требования к соискателям
- Соискатели
- Апелляции
- ГОСТ по оформлению диссертации и автореферата
- Контакты совета
- Генеральный директор Центра
- Руководство Центра
- Миссия
- История
- Мероприятия
- Фотопроекты
- Истории пациентов
- Нормативные документы
- Структура отдела
- Организационно-методическая работа с регионами
- Развитие телемедицинских технологий
- Кадровая политика и повышение квалификации
- Публичный отчет
- Устав и регистрационные документы
- Лицензии
- Публичный отчет
- Сведения о медицинских работниках
- План развития Центра
- Политика обработки персональных данных
- Охрана труда
- Политика в области охраны труда
- Противодействие коррупции
- Учетная политика
Двойное отхождение магистральных сосудов от правого желудочка (ДОС от ПЖ) - это редкий конотрункальный порок, при котором и аорта, и легочная артерия берут свое начало из правого желудочка. Является следствие ошибки в формировании конотрункуса, который является основным выходом из сердца во время эмбрионального развития.
ДОС от ПЖ составляет приблизительно 2-3% всех врожденных пороков сердца.
Симптомы порока можно обнаружить у ребенка в первые же дни его жизни: цианоз (синий оттенок кожи), одышка, быстрая утомляемость, плохой аппетит, медленная прибавка в весе, тахикардия или шумы в сердце.
ДОС от ПЖ всегда сопровождается дефектом межжелудочковой перегородки, который способствует выбросу крови из левого желудочка. Также может сочетаться со стенозом легочной артерии, гипоплазией левого и правого желудочка, атриовентрикулярными дефектами.
ДОС от ПЖ классифицирован в подтипы, основанные на взаимосвязи ДМЖП (подаортальный, двойной коммитированный, подлегочный или некоммитированный) с магистральными сосудами.
В качестве метода лечения специалисты НМИЦ им. Е.Н. Мешалкина назначают бивентрикулярную коррекцию при простых формах порока.
При сложных формах (ДОС от ПЖ с некоммитированным ДМП или с атриовентрикулярным дефектом перегородки) назначается операция Фонтена, при которой венозная кровь из нижней полой вены перемещается в легочные артерии с помощью сосудистого протеза.
В результате вся венозная кровь сразу поступает к легким, где насыщается кислородом, минуя сердце. Из легких богатая кислородом кровь поступает в камеры сердца, и единственный желудочек выбрасывает ее в большой круг кровообращения ко всем органам и жизненно-важным системам организма.
После перенесенной операции при ДОС от ПЖ пациентам назначается регулярное ежегодное наблюдение у кардиолога.
Читайте также:
