Энцефалоцеле у детей. Клиника
Добавил пользователь Евгений Кузнецов Обновлено: 28.01.2026
Энцефалоцеле (encephalocele; энцефало- + греч. kēlē выбухание, грыжа; син.: гидроцефалоцеле - нрк, гидроэнцефалоцеле - нрк) - черепно-мозговая грыжа, содержащая оболочки и вещество головного мозга, но не включающая его желудочки.
Грыжа состоит из ткани мозга, заключенной в грыжевой мешок. Так как энцефалоцеле поражает головной мозг, у больных могут наблюдаться нарушения интеллекта и двигательных функций.
Что провоцирует / Причины Энцефалоцеле:
Ученые считают, что грыжа головного мозга является результатом действия многих факторов (заболевание полиэтиологично), если только энцефалоцеле не является составной частью какого-либо синдрома (синдром - это устойчивое сочетание нескольких симптомов).
Все вышеперечисленные врожденные аномалии, кроме грыж головного мозга, не сопровождаются нарушениями интеллекта.
Симптомы Энцефалоцеле:
Менее чем в 25% случаев грыжа выпячивается через лицевой скелет, обычно в области лба или между глазами (обе эти формы называются лобными грыжами головного мозга). Если энцефалоцеле располагается в области лба, оно может смещать глазницы, в результате чего у больных широко расставлены глаза. Если аномалия расположена между глазами, то наблюдается расширение спинки носа, хотя иногда такую грыжу можно заметить только при исследовании носовых ходов, то есть снаружи дефект совершенно незаметен. Часто грыжу принимают за полип носа (см. полипы), в результате ставится неправильный диагноз, и грыжа головного мозга остается нераспознанной.
Энцефалоцеле часто всречается изолированно; однако эта аномалия может сочетаться со многими другими дефектами, например с микросомией половины лица. Лобная грыжа головного мозга, расположенная между глазами, может сочетаться с волчьей пастью или непроходимостью носовых ходов. Грыжа головного мозга, расположенная в затылке (она называется затылочным энцефалоцеле), может сочетаться с гидроцефалией.
Осложнения. Для каждой врожденной аномалии существуют свои специфические осложнения. Некоторые деформации сопровождаются возникновением функциональных нарушений: расстройствами глотания, слуха, речи, дыхания и зрения. Встречаются случаи задержки развития и снижения способности к обучению.
Представление ребенка о самом себе и его отношения с семьей и другими людьми - эти эмоциональные аспекты жизни ребенка всегда нарушены при деформациях лица. Разрешение этих проблем - такая же важная часть лечения, как ликвидация дефектов с помощью хирургических операций.
Диагностика Энцефалоцеле:
Так как перечисленные в этом разделе деформации лица являются врожденными, диагноз ставится обычно уже при первичном осмотре врачом новорожденного. Педиатр направляет ребенка к специалисту по нарушениям лица и черепа, который осуществляет диагностику в полном объеме.
Тщательное диагностическое обследование проводится до того, как составляется подробный план лечения. Диагностические процедуры включают в себя серию фотографий, сделанных с близкого расстояния, различные виды рентгенологического обследования, исследования состояния слуха и зрения, оценку состояния психики.
Лечение Энцефалоцеле:
В последнее десятилетие были разработаны новые методики хирургических операций, которые позволяют корригировать практически любые деформации лицевого скелета. В настоящее время почти во всех случаях врожденных аномалий лица можно с помощью реконструктивной хирургии ликвидировать или значительно уменьшить проявления врожденных деформаций. Конечной целью таких вмешательств является нормальное самочувствие ребенка - создание у него благоприятного впечатления от собственной внешности. Кроме ликвидации косметического дефекта, целью хирургической операции является устранение функциональных расстройств. Ранняя диагностика и своевременное лечение - ключ к успеху в коррекции аномалий лица. Если удается вовремя скорригировать костный дефект, то в дальнейшем кости ребенка начинают расти нормально.
В большинстве случаев для коррекции или улучшения состояния при врожденных аномалиях лица показано проведение хирургической операции. Если деформированы несколько участков лицевого скелета, то хирурги могут ликвидировать их в ходе одной операции, используя при этом различные методы. Однако в большинстве подобных случаев для полноценной коррекции дефектов требуется выполнить не одну, а несколько последовательных операций.
Пластические операции такого типа требуют применения костных трансплантатов (костный трансплантат - это кусок живой кости, предназначенный для пересадки). Такие трансплантаты получают из ребер, бедренных костей или костей свода черепа больных. Сложные трансплантаты состоят из совокупности кожи, мышц, нервов, жира и костей.
После операций на челюстях их надо зафиксировать, чтобы они не двигались. Фиксация (иммобилизация) выполняется с помощью проволочных шин или эластичных бинтов-стяжек, которыми верхняя челюсть фиксируется к нижней. Проволока или эластичные бинты крепятся к бюгельным назубным протезам - металлическим, изогнутым в виде дуги полоскам с крючками. Этими крючками назубные полоски прикрепляются к верхним и нижним зубам. Металлические ортодонтические пластинки со скобками («зажимами») часто просто приклеиваются к зубам. Иммобилизация челюстей необходима для срастания костей в нужном положении.
Все то время, пока челюсти сомкнуты проволочными шинами, ребенка можно поить и кормить только протертой пищей. Этот период выздоровления будет продолжатся около шести недель (1-2 недели в больнице, остальное время - дома).
Период выздоровления и реабилитации очень важен - в это время ребенок периодически осматривается специалистами, получает поддерживающую терапию. Члены семьи получают консультации по интересующим их вопросам.
Профилактика Энцефалоцеле:
Врожденные деформации лица предупредить невозможно. Если в семье родился ребенок с подобной деформацией, то родителям желательно пройти медико-генетическое консультирование, чтобы иметь возможность оценить риск появления такой же аномалии у следующего ребенка.
К каким докторам следует обращаться если у Вас Энцефалоцеле:
В зависимости от особенностей конкретного случая, в бригаду специалистов могут входить врачи следующих специальностей:
- специалист по пластической хирургии, который обычно координирует работу всей бригады, руководит лечением и выполняет операцию, часто совместно со специалистом в области челюстно-лицевой хирургии и нейрохирургом;
- специалист по челюстно-лицевой хирургии, который руководит подготовкой стоматологической части операции и проводит ее;
- нейрохирург, который привлекается к работе, если в ходе операции возникает необходимость вмешательства на мозговом черепе;
- анестезиолог;
- педиатр;
- медсестра;
- стоматолог-ортопед, который занимается выравниванием зубных рядов и укреплением зубов;
- детский стоматолог,
- офтальмолог - специалист по расстройствам глаз, которые могут сочетаться с различными врожденными аномалиями лица;
- логопед;
- аудиолог - специалист, который занимается выявлением нарушений слуха и оценкой их степени;
- психолог;
- социальный работник;
- специалист по медицинской генетике, который может проконсультировать по вопросам особенностей наследования тех или иных нарушений;
- рентгенолог, который проводит рентгенологическое исследование, помогающее поставить точный диагноз и выработать приемлемый план лечения.
Вас что-то беспокоит? Вы хотите узнать более детальную информацию о Энцефалоцеле, ее причинах, симптомах, методах лечения и профилактики, ходе течения болезни и соблюдении диеты после нее? Или же Вам необходим осмотр? Вы можете записаться на прием к доктору .
Энцефалоцеле
Энцефалоцеле - это порок развития черепа и головного мозга, при котором часть мозгового вещества оказывается вне черепной коробки вследствие дефекта костной ткани. Проявляется видимым выпячиванием на стыке костей, сопровождается разнообразными симптомами в зависимости от размеров и локализации. Возможны судороги, гидроцефалия, ликворея, зрительные расстройства, признаки умственной отсталости. Диагноз энцефалоцеле основывается на клинической картине аномалии развития при подтверждении результатами КТ и МРТ. Лечение оперативное, проводится удаление грыжевого мешка и закрытие костного дефекта.
МКБ-10

Общие сведения
Энцефалоцеле - врожденное заболевание, которое исторически относили к группе мозговых грыж, включающих также менингомиелоцеле и энцефалоцистоцеле. Однако позже грыжевое происхождение патологии было опровергнуто, поскольку сама по себе грыжа предполагает выпячивание правильно развитых тканей, а в случае энцефалоцеле мозговое вещество имеет структурные дефекты. Аномалия встречается с частотой 1 случай на 4000-5000 новорожденных, то есть достаточно редко. Прогноз при энцефалоцеле зависит от тяжести патологии. Порок часто является множественным, в этом случае даже успешное оперативное лечение не позволяет компенсировать возникшие нарушения по причине умственной отсталости или стойкой гидроцефалии. Терапия заболевания продолжает разрабатываться.
Причины энцефалоцеле
Энцефалоцеле представляет собой аномалию развития головного мозга, причиной которой становится воздействие тератогенных факторов на ранних сроках беременности. Нарушать правильную закладку мозга и его оболочек могут:
- внутриутробные инфекции;
- прямое токсическое действие на плод (употребление алкоголя и наркотиков, курение, различные медикаменты);
- хроническая гипоксия.
Определенную роль играет наследственность. Особенно это касается врожденных синдромов, частью клинической картины которых является энцефалоцеле. К числу таких патологий относится, например, синдром Меккеля-Грубера, включающий также микроцефалию, микрофтальм и другие пороки.
Классификация
Возможна передняя и задняя локализация. Передние энцефалоцеле располагаются между лобной и носовой костью, иногда выпячивание проходит через внутренний край глазницы. Задние образования, в свою очередь, делятся на верхние и нижние по отношению к затылочному бугру. Также существуют базальные энцефалоцеле. Частота их не превышает 1,5%, при этом они представляют наибольшую опасность в связи с невыраженной клиникой и сложностями диагностики. В практической педиатрии диагноз, как правило, включает указание конкретных костей, между которыми располагается выпячивание, например, височно-сфеноидальное, носо-орбитальное энцефалоцеле и т. д.
Симптомы энцефалоцеле
Клинические проявления крайне разнообразны ввиду разных размеров и локализации. Образование представлено выпячиванием округлой формы и мягкоэластической консистенции, всегда расположенным по средней линии на стыке костей черепа. Кожа над ним бывает неизмененной, но чаще можно заметить рубцовую деформацию либо истончение и цианотичность. Большие энцефалоцеле иногда флюктуируют и пульсируют, что могут обнаружить как педиатр, так и родители малыша. Иногда пульсация и изменение окраски проявляются только при напряжении и плаче, но отсутствуют в состоянии покоя.
При передних энцефалоцеле возможно затруднение носового дыхания, ликворея. Всегда присутствует истинный гипертелоризм, то есть увеличение расстояния между глазницами, которое часто сопровождается зрительными расстройствами. Носовая перегородка расширена и уплощена, заметно ее смещение в здоровую сторону. Для затылочных образований более характерна неврологическая симптоматика, судороги и отставание в развитии, поскольку при такой локализации выпячивание может достигать больших размеров и в нем задействуется больший объем мозгового вещества. По этой же причине задние мозговые грыжи часто сочетаются с микроцефалией.
Диагностика
Первичная диагностика возможна уже в первые дни и часы жизни ребенка, поскольку образование визуализируется сразу после рождения. Любое опухолеподобное выпячивание изначально расценивается как энцефалоцеле с последующей дифференциальной диагностикой. Чаще всего приходится исключать полипы и ангиомы.
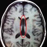
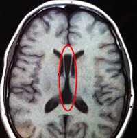
Диагноз уточняется на основании данных КТ и МРТ, при этом проводится серия снимков, подтверждающих наличие костного дефекта и присутствие мозговых тканей в выпячивании. Просвечивание (трансиллюминация) позволяет заподозрить наличие в образовании нервных тканей. Кроме того, даже легкое надавливание вызывает беспокойство пациента в связи с резким повышением внутричерепного давления.
Лечение энцефалоцеле
Лечение только оперативное. Срочность операции определяется состоянием ребенка. Чаще всего вмешательство по удалению энцефалоцеле планируется в возрасте от 3 лет. Такой срок необходим для того, чтобы понаблюдать за развитием головного мозга, в том числе за участком в составе выпячивания. Кроме того, ребенок этому времени уже достаточно окрепнет, чтобы благополучно перенести такую сложную операцию. Противопоказаниями являются повышенное внутричерепное давление, выраженные психические и неврологические расстройства. Истончение кожи над энцефалоцеле, наоборот, является показанием к срочному хирургическому вмешательству.
Операция осуществляется в два этапа. Сначала выполняется закрытие костного дефекта и отсечение ножки грыжи. В раннем возрасте отверстие в черепе можно закрыть лоскутом надкостницы, при более поздних операциях (в возрасте более 3 лет) применяется костный трансплантат.
Второй этап операции - косметическое иссечение поверхностно расположенной оставшейся части грыжевого мешка. Проводится через 15-20 дней после первого этапа (3-6 месяцев в случае интракраниального доступа). Тактику операции в каждом конкретном случае определяют в зависимости от степени вовлеченности мозговых тканей в энцефалоцеле.
Прогноз и профилактика
Исход более благоприятный в случае небольшого размера грыж, особенно передних. Затылочные грыжи, включающие значительный объем мозгового вещества, а также труднооперабельные базальные грыжи значительно ухудшают прогноз. Двухэтапная операция в раннем возрасте приводит к излечению, тем не менее, практически 100% детей после вмешательства имеют отставания в нервно-психическом развитии. Возможна умственная отсталость различной степени выраженности.
Основными послеоперационными осложнениями являются ликворея и нарастающая внутричерепная гипертензия. В дальнейшем это может привести к развитию инфекционных процессов. Наименее благоприятный прогноз - при синдромальных формах, включающих множественные пороки развития, часто несовместимые с жизнью. Профилактика энцефалоцеле возможна только в антенатальном периоде.
Анэнцефалия
Анэнцефалия — это порок развития нервной системы, при котором у плода отсутствуют большие полушария мозга, недоразвиты кости свода черепа, мягкие ткани головы. Аномалия возникает под действием химических, биологических или физических тератогенных факторов. Большинство плодов с анэнцефалией погибают во внутриутробном периоде, и даже при живорождении срок жизни ребенка не превышает нескольких часов. Диагностика выполняется пренатально с помощью УЗИ, МРТ, амниоцентеза, биохимического скрининга. В такой ситуации показано прерывание беременности, при отказе родителей от аборта — оказание паллиативной помощи ребенку.
По данным ВОЗ, пороки развития ЦНС занимают первое место среди врожденных аномалий у плода (25%). Анэнцефалов стоит отличать от ацефалов (акефалов), у которых вовсе отсутствует головной мозг. Анэнцефалия встречается в США и России с частотой 1 на 10000 новорожденных, в Великобритании — 5:10000, в Китае — 8:10000. Заболевание чаще наблюдается у плодов женского пола. Риск повторения анэнцефалии при следующей беременности составляет до 5%, а при рождении женщиной двух детей с этим пороком ЦНС — возрастает до 10%. Вероятность аномалии у кровных родственников составляет не более 3%.
Причины
Порок формируется при нарушениях внутриутробной закладки нейроструктур в эмбриональном периоде формирования плода. Он считается мультифакториальным, точные причины такого состояния окончательно не установлены. Ученые предполагают, что появление анэнцефалии связано с воздействиями негативных факторов на ранних этапах беременности. Типичными тератогенными влияниями считаются:
К предрасполагающим факторам со стороны родителей относят генетические — наличие различных генных мутаций, частые случаи родственных браков и кровосмешения. Риск аномалий развития ЦНС у ребенка повышается, если в организме матери низкий уровень йода, фолатов и других витаминов группы В. Вероятность анэнцефалии повышается при тяжелом течении гестации, наличии у беременной женщины экстрагенитальных патологий: сахарного диабета, сердечной недостаточности, гипотиреоза.
Патогенез
Патоморфологически головной мозг плода с анэнцефалией представляет собой геморрагическую массу, в основном выполненную в виде недоразвитой сосудистой ткани, с элементами глии, единичных нервных клеток. Гистологически определяются аномальные сосуды, хориоидальные сплетения, беспорядочно расположенные фибробласты, кистозные полости с медуллярным эпителием. Ствол мозга и спинной мозг обычно имеют патологические структурные изменения, однако они выражены не так интенсивно.
Симптомы анэнцефалии
У живорожденных младенцев с анэнцефалией резко уменьшена мозговая часть черепа, отсутствуют плоские кости, недоразвиты мягкие ткани. На месте головного мозга находится аномальная сосудистая ткань, которая может быть покрыта кожей.
Такие дети пребывают в бессознательном состоянии, они слепые и глухие, не реагируют ни на какие внешние стимулы. Зачастую есть сопутствующие пороки: спинномозговые грыжи, патологии надпочечников, расщелины неба.
Хотя большинство живорожденных пациентов погибает практически сразу, в медицине описано по крайней мере три случая, когда дети смогли прожить более 2-х лет. Долгожителем среди анэнцефалов считается девочка Стефани Кин (более известная по прозвищу Бэби Кей), которая прожила 2,5 года и умерла от остановки сердца. У нее были проблемы с дыханием, которые требовали проведения ИВЛ. Двухлетний рубеж также преодолели Джексон Буэлл из Бостона, Виктория де Кристо из Бразилии.
Однако продление срока жизни анэнцефалов возможно только при постоянной кардиореспираторной поддержке, восполнении нутритивных потребностей. Ввиду отсутствия большей части мозга состояние младенцев остается стабильно тяжелым вплоть до смерти. Объем и необходимость паллиативной помощи для таких новорожденных поднимает важные вопросы биомедицинской этики.
Осложнения
Анэнцефалия признана 100% летальным пороком. В 75% случаев гибель плода происходит пренатально, что чревато замершей беременностью. Если это состояние не будет вовремя обнаружено, существует риск септических осложнений у женщины. К казуистическим на сегодня последствиям внутриутробной гибели плода относят литопедион, мумификацию плода. В остальных 25% случаев смерть младенца наблюдается в течение первых дней после родов из-за несовместимых с жизнью нарушений.
Аномалия обнаруживается антенатально во время плановых ультразвуковых скринингов беременности. Такой диагноз является абсолютным показанием к прерыванию беременности независимо от возраста плода, поэтому на акушеров-гинекологов ложится большая ответственность — необходимо как можно раньше установить диагноз, чтобы снизить риски для женщины. Для обнаружения порока применяются следующие методы:
- Пренатальное УЗИ. Ультразвуковое сканирование — основной способ диагностики, который при анэнцефалии демонстрирует неправильную форму головы, недоразвитие костно-мышечных структур черепа, отсутствие больших полушарий. Однако остальные структуры тела обычно развиты нормально. УЗИ позволяет выявить патологию с 11-12 недели гестационного срока.
- МРТ плода. Магнитно-резонансная томография — безопасный и наиболее информативный метод уточнения анатомических особенностей ЦНС, если результаты УЗИ дают сомнительную картину. Исследование проводится с 14-15 недель беременности.
- Амниоцентез. Инвазивная диагностика с забором околоплодных вод необходима, чтобы определить биохимические показатели, выполнить дифференциальную диагностику с врожденными синдромальными заболеваниями, вызванными генными или хромосомными мутациями.
- Биохимический скрининг. Заподозрить патологию удается по повышению уровня хорионического гонадотропина и альфа-фетопротеина, снижению количества протеина-А в первом триместре беременности.
Женщинам, которые планируют прервать беременность при выявленной анэнцефалии плода, требуется расширенная диагностика. Назначается стандартное гинекологическое исследование, а также набор анализов: клиническое исследование крови, анализы на вирусные гепатиты, ВИЧ-инфекцию. Впоследствии пациенткам рекомендовано медико-генетическое консультирование, чтобы оценить риски врожденных пороков при последующих беременностях.
Лечение анэнцефалии
Решение о прерывании беременности должны принимать родители. Единственным исключением является мертвый плод, когда женщине требуется экстренное хирургическое вмешательство. Живорожденным детям с анэнцефалией можно оказать только паллиативную помощь. Около 66% таких детей живут несколько часов после рождения, остальные погибают в первые минуты. Основные направления медицинской помощи при анэнцефалии:
- Респираторная поддержка. У детей случаются кризы в работе дыхательной системы, требующие назначения ИВЛ для адекватной оксигенации тканей организма.
- Нутритивная поддержка. Применяется парентеральное питание с использованием растворов глюкозы, специальных аминокислотных смесей для новорожденных.
Важной составляющей является психологическая помощь родителям на всех этапах от момента диагностики аномалии у плода, поскольку это становится тяжелым испытанием для семьи, у женщин зачастую возникают депрессии, апатии, суицидальные мысли. Помощь оказывают психологи, психиатры (в случае серьезных нарушений психоэмоционального состояния), верующим людям можно порекомендовать обратиться к представителям религии.
Прогноз неблагоприятный, поскольку анэнцефалия заканчивается внутриутробной смертью плода или летальным исходом вскоре после того, как родился живой ребенок. Современные возможности медицины позволяют обеспечить такому младенцу достойный уход из жизни, если родители приняли решение не прерывать беременность.
Учитывая разнообразие предрасполагающих факторов, эффективные меры профилактики этого состояния пока не разработаны. Положительным для предупреждения тяжелых аномалий плода является прием беременной по назначению гинеколога витаминных добавок с солями фолиевой кислоты, дополнение рациона зелеными листовыми овощами, фасолью, апельсиновым соком, содержащими фолаты.
1. Особенности врожденных пороков головы и шеи/ В. А. Белая// Актуальная медицина: материалы I Студенческой научно-теоретической конференции, посвященной 120-летию со дня рождения С. И. Георгиевского. - 2018.
2. Эпидемиология анэнцефалии в крымском регионе/ Н. Н. Каладзе и др./ Таврический медико-биологический вестник. - 2018. - №1.
3. Анэнцефалия/ А.С. Николаева, И.С. Коршиков// VII Всероссийская (81-й Итоговая) студенческая научная конференция
Аномалии развития головного мозга ( Пороки развития головного мозга )
Аномалии развития головного мозга — это результат происходящих во внутриутробном периоде нарушений формирования отдельных церебральных структур или головного мозга в целом. Зачастую имеют неспецифическую клиническую симптоматику: преимущественно эпилептический синдром, задержку психического и умственного развития. Тяжесть клиники напрямую коррелирует со степенью поражения головного мозга. Диагностируются антенатально при проведении акушерского УЗИ, после рождения — при помощи ЭЭГ, нейросонографии и МРТ головного мозга. Лечение симптоматическое: противоэпилептическое, дегидратационное, метаболическое, психокоррегирующее.

Наиболее весомой причиной сбоев внутриутробного развития является влияние на организм беременной и на плод, различных вредоносных факторов, обладающих тератогенным действием. Возникновение аномалии в результате моногенного наследования встречается лишь в 1% случаев. Наиболее влиятельной причиной пороков головного мозга считается экзогенный фактор. Тератогенным эффектом обладают многие активные химические соединения, радиоактивное загрязнение, отдельные биологические факторы. Немаловажное значение здесь имеет проблема загрязнения среды обитания людей, обуславливающая поступление в организм беременной токсических химических веществ.
Различные эмбриотоксические воздействия могут быть связаны с образом жизни самой беременной: например, с курением, алкоголизмом, наркоманией. Дисметаболические нарушения у беременной, такие как сахарный диабет, гипертиреоз и пр., могут также стать причиной церебральных аномалий плода. Тератогенным действием обладают и многие медикаменты, которые может принимать женщина в ранние сроки беременность, не подозревая о происходящих в ее организме процессах. Мощный тератогенный эффект оказывают инфекции, перенесенные беременной, или внутриутробные инфекции плода. Наиболее опасны цитомегалия, листериоз, краснуха, токсоплазмоз.
Дифференцировка нейробластов (зародышевых нервных клеток) приводит к образованию нейронов, формирующих серое вещество, и глиальных клеток, составляющих белое вещество. Серое вещество отвечает за высшие процессы нервной деятельности. В белом веществе проходят различные проводящие пути, связывающие церебральные структуры в единый функционирующий механизм. Рожденный в срок новорожденный имеет такое же число нейронов, как и взрослый человек. Но развитие его мозга продолжается, особенно интенсивно в первые 3 мес. жизни. Происходит увеличение глиальных клеток, разветвление нейрональных отростков и их миелинизация.
Сбои могут произойти на различных этапах формирования головного мозга. Если они возникают в первые 6 мес. беременности, то способны приводить к снижению числа сформированных нейронов, различным нарушениям в дифференцировке, гипоплазии различных отделов мозга. В более поздние сроки может возникать поражение и гибель нормально сформировавшегося церебрального вещества.
Виды аномалий мозга
Анэнцефалия — отсутствие головного мозга и акрания (отсутствие костей черепа). Место головного мозга занято соединительнотканными разрастаниями и кистозными полостями. Может быть покрыто кожей или обнажено. Патология несовместима с жизнью.
Энцефалоцеле — пролабирование церебральных тканей и оболочек через дефект костей черепа, обусловленный его незаращением. Как правило, формируется по средней линии, но бывает и асимметричным. Небольшое энцефалоцеле может имитировать кефалогематому. В таких случаях определить диагноз помогает рентгенография черепа. Прогноз зависит от размеров и содержимого энцефалоцеле. При небольших размерах выпячивания и наличии в его полости эктопированной нервной ткани эффективно хирургическое удаление энцефалоцеле.
Микроцефалия — уменьшение объема и массы головного мозга, обусловленное задержкой его развития. Встречается с частотой 1 случай на 5 тыс. новорожденных. Сопровождается уменьшенной окружностью головы и диспропорциональным соотношением лицевого/мозгового черепа с преобладанием первого. На долю микроцефалии приходится около 11% всех случаев олигофрении. При выраженной микроцефалии возможна идиотия. Зачастую наблюдается не только ЗПР, но и отставание в физическом развитии.
Макроцефалия — увеличение объема головного мозга и его массы. Гораздо менее распространена, чем микроцефалия. Макроцефалия обычно сочетается с нарушениями архитектоники мозга, очаговой гетеротопией белого вещества. Основное клиническое проявление — умственная отсталость. Может наблюдаться судорожный синдром. Встречается частичная макроцефалия с увеличением лишь одного из полушарий. Как правило, она сопровождается асимметрией мозгового отдела черепа.
Кистозная церебральная дисплазия — характеризуется множественными кистозными полостями головного мозга, обычно соединенными с желудочковой системой. Кисты могут иметь различный размер. Иногда локализуются только в одном полушарии. Множественные кисты головного мозга проявляются эпилепсией, устойчивой к антиконвульсантной терапии. Единичные кисты в зависимости от размера могут иметь субклиническое течение или сопровождаться внутричерепной гипертензией; зачастую отмечается их постепенное рассасывание.
Голопрозэнцефалия — отсутствие разделения полушарий, в результате чего они представлены единой полусферой. Боковые желудочки сформированы в единую полость. Сопровождается грубыми дисплазиями лицевого черепа и соматическими пороками. Отмечается мертворождение или гибель в первые сутки.
Агирия (гладкий мозг, лиссэнцефалия) — отставание развития извилин и тяжелое нарушение архитектоники коры. Клинически проявляется выраженным расстройством психического и моторного развития, парезами и различными формами судорог (в т. ч. синдромом Веста и синдромом Леннокса-Гасто). Обычно заканчивается летальным исходом на первом году жизни.
Пахигирия — укрупнение основных извилин при отсутствии третичных и вторичных. Сопровождается укорочением и выпрямлением борозд, нарушением архитектоники церебральной коры.
Микрополигирия — поверхность коры мозга представлена множеством мелких извилин. Кора имеет до 4-х слоев, тогда как в норме кора насчитывает 6 слоев. Может быть локальной или диффузной. Последняя, полимикрогирия, характеризуется плегией мимических, жевательных и глоточных мышц, эпилепсией с дебютом на 1-ом году жизни, олигофренией.
Гипоплазия/аплазия мозолистого тела. Часто встречается в виде синдрома Айкарди, описанного только у девочек. Характерны миоклонические пароксизмы и сгибательные спазмы, врожденные офтальмические пороки (колобомы, эктазия склеры, микрофтальм), множественные хориоретинальные дистрофические очаги, обнаруживаемые при офтальмоскопии.
Фокальная корковая дисплазия (ФКД) — наличие в коре головного мозга патологических участков с гигантскими нейронами и аномальными астроцитами. Излюбленное расположение — височные и лобные зоны мозга. Отличительной особенностью эпиприступов при ФКД является наличие кратковременных сложных пароксизмов с быстрой генерализацией, сопровождающихся в своей начальной фазе демонстративными двигательными феноменами в виде жестов, топтания на одном месте и т. п.
Гетеротопии — скопления нейронов, на этапе нейронной миграции задержавшихся на пути своего следования к коре. Гетеротопионы могут быть единичными и множественными, иметь узловую и ленточную форму. Их главное отличие от туберозного склероза — отсутствие способности накапливать контраст. Эти аномалии развития головного мозга проявляются эписиндромом и олигофренией, выраженность которых прямо коррелирует с числом и размером гетеротопионов. При одиночной гетеротопии эпиприступы, как правило, дебютируют после 10-летнего возраста.
Тяжелые аномалии развития головного мозга зачастую могут быть диагностированы при визуальном осмотре. В остальных случаях заподозрить церебральную аномалию позволяет ЗПР, гипотония мышц в неонатальном периоде, возникновение судорожного синдрома у детей первого года жизни. Исключить травматический или гипоксический характер поражения головного мозга можно при отсутствии в анамнезе данных о родовой травме новорожденного, гипоксии плода или асфиксии новорожденного. Пренатальная диагностика пороков развития плода осуществляется путем скринингового УЗИ при беременности. УЗИ в I триместре беременности позволяет предупредить рождение ребенка с тяжелой церебральной аномалией.
Одним из методов выявления пороков головного мозга у грудничков является нейросонография через родничок. Намного более точные данные у детей любого возраста и у взрослых получают при помощи МРТ головного мозга. МРТ позволяет определить характер и локализацию аномалии, размеры кист, гетеротопий и других аномальных участков, провести дифференциальную диагностику с гипоксическими, травматическими, опухолевыми, инфекционными поражениями мозга. Диагностика судорожного синдрома и подбор антиконвульсантной терапии осуществляется при помощи ЭЭГ, а также пролонгированного ЭЭГ-видеомониторинга. При наличии семейных случаев церебральных аномалий может быть полезна консультация генетика с проведением генеалогического исследования и ДНК-анализа. С целью выявления сочетанных аномалий проводится обследование соматических органов: УЗИ сердца, УЗИ брюшной полости, рентгенография органов грудной полости, УЗИ почек и пр.
Лечение аномалий мозга
Терапия пороков развития головного мозга преимущественно симптоматическая, осуществляется детским неврологом, неонатологом, педиатром, эпилептологом. При наличии судорожного синдрома проводится антиконвульсантная терапия (карбамазепин, леветирацетам, вальпроаты, нитразепам, ламотриджин и др.). Поскольку эпилепсия у детей, сопровождающая аномалии развития головного мозга, обычно резистентна к противосудорожной монотерапии, назначают комбинацию из 2 препаратов (например, леветирацетам с ламотриджином). При гидроцефалии осуществляют дегидратационную терапию, по показаниям прибегают к шунтирующим операциям. С целью улучшения метаболизма нормально функционирующих мозговых тканей, в какой-то степени компенсирующих имеющийся врожденный дефект, возможно проведение курсового нейрометаболического лечения с назначением глицина, витаминов гр. В и пр. Ноотропные препараты используются в лечении только при отсутствии эписиндрома.
При умеренных и относительно легких церебральных аномалиях рекомендована нейропсихологическая коррекция, занятия ребенка с психологом, комплексное психологическое сопровождение ребенка, детская арт-терапия, обучение детей старшего возраста в специализированных школах. Указанные методики помогают привить навыки самообслуживания, уменьшить степень выраженности олигофрении и по возможности социально адаптировать детей с церебральными пороками.
Прогноз во многом определяется тяжестью церебральной аномалии. Неблагоприятным симптомом выступает ранее начало эпилепсии и ее резистентность к осуществляемой терапии. Осложняет прогноз наличие сочетанной врожденной соматической патологии. Эффективной мерой профилактики служит исключение эмбриотоксических и тератогенных влияний на женщину в период беременности. При планировании беременности будущим родителям следует избавиться от вредных привычек, пройти генетическое консультирование, обследование на наличие хронических инфекций.
Энцефалит у детей
Энцефалит - группа заболеваний, характеризующихся воспалительным поражением вещества головного мозга в результате вирусной или бактериальной инфекции.
Что провоцирует / Причины Энцефалита у детей:
Различают 2 группы энцефалита, вызываемые разными возбудителями: первичные энцефалиты, обусловлены непосредственным воздействием вируса на клетки и их поражением, к ним относят клещевой и комариный энцефалит, а также энцефалит без очерченной сезонности (энгеровирусные, аденовирусные, герпетические, энцефалиты при бешенстве) и эпидемический энцефалит.
К группе вторичных энцефалитов относятся все инфекционно-аллергические энцефалиты (параинфекционные, поствакцинальные, прививочные и др.), ведущая роль и развитие которых принадлежит различным комплексам антиген-антитело или аутоантителам, формирующим аллергическую реакцию в ЦНС, а также ряд демиелинизирующих заболеваний нервной системы (энцефаломиелит острый рассеянный, болезнь Шильдера). Поствакцинальные энцефалиты развиваются после прохождения вакцинации, вызывают редкое поражение мозга аллергического характера.
Патогенез (что происходит?) во время Энцефалита у детей:
По течению энцефалит может быть острым, подострым и хроническим. Для острых энцефалитов характерно внезапное начало заболевания с высокой температурой тела, бредом, спутанностью сознания или его потерей, судорожным синдромом, менингеальными симптомами. Появляются признаки очагового поражения головного мозга - парез, паралич, гиперкинез, наблюдаются изменения состава спинномозговой жидкости, повышается ее давление.
Симптомы Энцефалита у детей:
Первичные энцефалиты
Эпидемический энцефалит. Дети в первые 10 лет жизни болеют редко, но заболевание у них (особенно в возрасте до 5 лет) протекает тяжело. Возбудитель эпидемического энцефалита не определен. Поражаются преимущественно структуры мозга, которые примыкают непосредственно к ликворным путям. В острой стадии эпидемического энцефалита часто отмечаются птоз, косоглазие, двоение в глазах, парез взора в сочетании с нарушением сна, чаще в виде резкой сонливости, спячки на фоне гриппоподобного заболевания. Для хронической стадии, которая может развиться через несколько месяцев и даже лет после острой, характерен синдром паркинсонизма. У детей повышается температура тела, появляются озноб, рвота, судороги, менингеальный синдром. У детей старшего возраста симптоматика развивается постепенно. Уже в острой стадии болезни, кроме глазодвигательных и вегетативных нарушений, наблюдаются симптомы поражения мозговой системы, главным образом в виде гиперкинеза (хореического, атетоидного, миоклонического). Иногда отмечаются нарушения пирамидной и мозжечковой систем, появляется психомоторное беспокойство, часто возникают вестибулярные нарушения. В хронической стадии у детей и подростков нередко отмечаются изменения психики, снижение интеллекта, изменение характера, патологические влечения (склонность к бродяжничеству, воровству, гиперсексуальность и др.).
Клещевой и комариный энцефалиты. Переносится данное заболевание кровососущими насекомыми от больных животных и птиц. Эта инфекция обусловлена сезонностью цыкла жизни насекомых, георасположенностью, природной очаговостью. Инкубационный период составляет 7-21 день. Выделяют следующие клинические формы клещевого энцефалита:
Полиомиелитическая и полиоэнцефаломиелитическая формы могут принимать хронически прогрессирующее течение. Заболевание начинается обычно остро: повышение температуры тела, головная боль, рвота, нарушение сознания. При полиоэнцефаломиелитической форме отмечаются нарушения фонации, глотания, часто отмечаются расстройства дыхания и кровообращения, спинальным порезом, параличем мышц шеи и верхних конечностей, может быть летальный исход.
Менингеальная форма является наиболее частой, сопровождается повышенным давлением. При этой форме обычно отмечается полное выздоровление.
Для церебральной формы с преимущественным поражением больших полушарий характерны различные расстройства сознания и эпилептические припадки.
Стертая форма протекает как острое лихорадочное заболевание, без четких неврологических симптомов.
Клинические симптомы развиваются быстро, с высоким подъемом температуры тела, выраженными общеинфекционными симптомами, имеет тяжело протекание, сопровождается бредом, галлюцинациями, психомоторным возбуждением, иногда коматозным состоянием. Могут быть эпилептические припадки. Значительно выражена гипертония мышц, иногда наблюдается децеребрационная ригидность. Вместе с тем у детей чаще, чем у взрослых, бывает менингеальная форма с благоприятным течением.
Энтеровирусные энцефалиты. Вызываются различным типом вирусов ECHO и Коксаки. Различают следующие формы энтеровирусных энцефалитов: стволовую, мозжечковую, полушарную.
При стволовой форме характерны общемозговые симптомы - головная боль, повышение температуры тела, рвота, нарушение сознания, возможно поражение лицевого нерва.
При мозжечковой форме в тяжелых случаях ребенок не может ходить, стоять, сидеть, нарушается речь.
При полушарной форме обычно отмечаются общемозговые симптомы, эпилептические припадки с последующим развитием пареза и паралича, могут отмечаться гиперкинезы (непроизвольные движения). У маленьких детей часто возникают эпилептические припадки, бессознательное состояние. Течение энтеровирусных энцефалитов обычно благоприятное, только в отдельных случаях (при поражении продолговатого мозга) может быть летальный исход.
Герпетические энцефалиты. 10% всех энцефалитов у детей вызываются вирусами герпеса, чаще всего 2 типа. У новорожденных может отмечаться герпетический сепсис с поражением печени, селезенки и мозга. Течение заболевания очень тяжелое. Наблюдаются выраженные общеинфекционные и общемозговые симптомы, эпилептические припадки, парез и параличи, менингеальные симптомы.
Полисезонные энцефалиты у детей встречаются в течение всего года. Уже на 2-3-й день появляются очаговые симптомы. У детей младшего возраста отмечается более тяжелое течение с частыми припадками, бессознательным состоянием, грубыми очаговыми симптомами, иногда летальным исходом. У детей старшего возраста летальный исход наблюдается редко, наступает полное выздоровление, но чаще остаются те или иные очаговые симптомы, нарушения психики, эпилептические припадки.
Вторичные энцефалиты
К вторичным энцефалитам относят энцефалиты при экзантемных инфекциях и поствакцинальные. Характерно отсроченное появление неврологических симптомов, отмечается диффузное поражение центральной нервной системы с преимущественным поражением белого вещества мозга. Воспалительные очаги располагаются главным образом вокруг вен среднего и малого калибра (перивенозный энцефалит).
Коревой энцефалит. Проявляется на 3-4-й день высыпания, поражая белое вещество полушарий. Симптоматика выражена расстройствами сознания различной степени - спутанность, оглушенность, глубокое бессознательное состояние, кома. Вторым по частоте симптом являются судороги, проявляются уже в первые дни болезни, переходят в паралич или парез соответствующих конечностей. Возможны психосенсорные нарушения, галлюцинации, развитие синдрома паркинсонизма, ожирение, слепота по типу ретробульбарного неврита с последующим восстановлением зрения. Наблюдается спинальный паралич или парез, нарушение функции тазовых органов, воспалительные изменения мозговых оболочек, возможен переход в менингоэнцефаломиелит.
Краснушный энцефалит. Неврологические расстройства возникают, как правило, на 3-4-й день высыпания либо с 1 по 15-й день заболевания, редко могут проявится за 1-12 дней до возникновения сыпи. Краснушный энцефалит может развиваться и без кожных высыпаний. Заболевание начинается в острой форме с появления высокой температуры тела, головной боли, рвоты, расстройства сознания, это связано с отека-набуханием мозга. После чего появляются двигательные нарушения в виде миоклонии, опистотонуса, хореоатетоза, центрального пареза, поражения черепных нервов, мозжечковые, нарушения, атаксия, гипертермия, центральные расстройства дыхания и сердечно-сосудистой деятельности. Часто дети подвергаются расстройствам сознания: легкая спутанность или глубокая кома.
Энцефалит при коклюшно-дифтерийно-столбнячной вакцинации. Энцефалиты, которые возникают после адсорбированной коклюшно-дифтерийно-столбнячной вакцины (АКДС), имеют широкую симптоматику: поражение черепных нервов, судороги, галлюцинации, параличи или парезы, гиперкинезы, атрофия зрительных нервов и др. Заболевание протекает в тяжелой форме с высокой вероятностью летальности, у больных детей наблюдается множество остаточных явлений, проявляющихся эпилептическими припадками и задержкой развития.
Для коревого поствакцинального энцефалита характерны симптомы в виде судорог, расстройств координации. Излечение проходит индивидуально в одних случаях имеется благоприятный результат, в других есть выраженные остаточные явления.
Энцефалит при антирабических прививках. У детей первых лет жизни нервная система поражается редко, в отличие от детей школьного возраста. Заболевание портекает в острой или подострой формах. В виде общего недомогания развиваются различные неврологические нарушения. Могут наблюдаться симптомы миелита, энцефаломиелита, менингоинцефаломиелита, энцефалополирадикулоневрита. Наиболее тяжелое течение наблюдается при восходящем параличе Ландри (начинаясь с поражения нижних конечностей и распространяясь вверх по спинному мозгу).
Диагностика Энцефалита у детей:
В диагностировании энцефалитов сначала проводиться анализ на основании симптоматики. Тщательное изучение клинической картины заболевания, даже при отсутствии лабораторного подтверждения, у большинства больных позволяет поставить правильный диагноз. Далее следует ряд анализов, по которым можно подтвердить диагноз:
Анализ ликвора - проводится забор спинномозговой жидкости, в которой при энцефалите обнаруживается повышенное количество лимфоцитов, белка, сахара иногда с примесью крови (ветряночный, краснушный энцефалит).
Серологический анализ - при энцефалите в крови есть антитела, которые помогают распознать вирус.
Компьютерная томография головного мозга и магнитно-резонансная томография головного мозга - позволяют увидеть воспаленные очаги или кровоизлияния в мозге.
Электроэнцефалограмма - фиксирует повышение или снижение электрической активности головного мозга.
Биопсия головного мозга - в случае неэффективности иных методов определения вируса делают забор образцов ткани мозга. Данная процедура проводится под контролем МРТ.
Вирусологический анализ носоглоточных смывов - определяет уровень специфических антител (ветряночный, краснушный энцефалит).
Основанием для постановки диагноза поствакцинальных диагнозов служат хронологические совпадения с вакцинацией и отрицательные результаты выделения возможных возбудителей энцефалита.
Лечение Энцефалита у детей:
Лечение первичных энцефалитов
В остром периоде необходима обязательная госпитализация. Терапия энцефалитов должна быть комплексная.
При клещевом энцефалите в первые три дня болезни вводят противоклещевой человеческий у-глобулин в дозе 1,5-3 мл 1-2 раза в сутки. Положительный эффект при первичном энцефалите оказывает введение рибонуклеазы из расчета 2,5-3 мг/кг н сутки в/м 4 раза в день в течение лихорадочного периода и еще 2 дней после снижения температуры. Возможно применение и дезорибоиуклеазы в дозе 0,5 мг/кг в сутки по той же схеме.
В лечении клещевого энцефалита используется антибактериальная терапия: бензилпенициллин (курс 15 дней), доксициклин (курс 10 дней), цефотаксим (клафоран) (курс 1 мес.), лендацин (цефтриаксон) (курс 14-28 дней) в возрастных дозах. Все препараты вводят внутривенно. При хроническом течении клещевого энцефалита проводят повторные курсы антибиотиков, преимущественно цефалоспоринов.
При смешанных инфекциях (вирусно-бактериальных) необходимо применение антибиотиков: левомицетина, цефотаксима (клафорана), цефтазидима (фортума), цефтриаксона (роцефи-ма), меропенема (меронема) и др.
В остром периоде заболевания показана дегидратационная терапия. Предпочтительна длительная внутривенная инфузия большого объема жидкости. Одновременно больному в мочевой пузырь помещают постоянный катетер. Затем в течение 2 ч проводят внутривенную водную нагрузку инфузионной смесью из синтетических низкомолекулярных кровезаменителей (гемодез, реополиглюкин) и глюкозосолевых растворов. При отсутствии признаков почечной недостаточности, с 3-го часа лечения переходят к следующему этапу форсированного диуреза. Назначают внутривенно калийсодержащие препараты. Также в курс лечения входят мочегонные средства. При отеке мозга положительный эффект оказывают и осмотические диуретики, которые вводят в виде раствора в дозе 0,5-1 г сухого вещества на 1 кг массы тела.
В первые 2 нед. болезни показано внутримышечное введение витаминов (Bt, В6, В12, С) и препаратов нейропротекторного действия (пирацетам, пантогам, инстенон) в возрастных дозах. Иногда назначают преднизолон из расчета 1-2 мг/кг вместе с препаратами калия. Симптоматическое лечение включает применение гипотензивных средств при гипертонии, для купирования судорожных приступов, нормализации сердечно-сосудистой деятельности. При гипертермии показан парацетамол, анальгин в возрастных дозах. При развитии судорог назначают седуксен, оксибутират натрия, а при сердечной недостаточности - строфантин, дигоксин или дофамин. В случае развития периферических параличей показаны прозерин и препараты кальция. При наличии гиперкинезов назначаются циклодол, паркопан в возрастных дозах. Для первичной терапии назначают мидантан по 1-2 таблетки 3 раза в день. С этой же целью используют юмекс (селегилин) по 1 таблетке 3 раза в день в течение 4-5 нед. При неэффективности названных препаратов назначают небольшие дозы леводопы (70-80 мг в сутки). Иногда добавляют холинолитики (акинетон, норакин) из расчета 2-5 мг/кг. При неэффективности консервативной терапии паркинсонического синдрома используют стереотаксические операции.
Для предупреждения остаточных явлений первичного энцефалита проводится восстановительная терапия: массаж, лечебная гимнастика, физиотерапия, хвойные и сероводородные ванны, занятия с психотерапевтом.
Основу лечения коревого энцефалита составляет гормональная терапия. Используются предмизолон или гидрокортизон парентерально в течение 2-4 нед. (вне зависимости от тяжести состояния) из расчета 2-3 мг/кг. Назначают также десенсибилизирующие препараты - димедрол, пипольфен, тавегил, супрастин в возрастных дозах внутрь 2-3 раза в день; проводится дегидратация. Для повышения устойчивости организма назначают большие дозы аскорбиновой кислоты - 900-1000 мг парентерально или внутрь. С целью нормализации обменных процессов в мозге применяется пантогама, пиридитола, пирацетама (нопропила), глутаминовой кислоты в возрастных дозах 2-З раза в день в течение месяца. В остальном осуществляется патогенепческая терапия.
Лечение краснушного энцефалита в целом такое же, как и у других экзантемных энцефалитах. Проводится кортикостероидная, противовоспалительная терапия; устраняется отек и набухание мозга дегидратацией, дезинтоксикацией. В остальном лечение проводится посиндромно.
В случае появления при АКДС-вакцинации любых симптомов, указывающих на вовлечение ЦНС, отменяются следующие вакцинации. При судорожных приступах проводится противосудорожная терапия. Если судороги повторяются, применяется активная комплексная терапия - противосудорожная, дегидратационная, десенсибилизирующая с обязательным включением кортикостероидных гормонов. Своевременность лечения обычно позволяют добиться успеха. При необходимости курсы лечения повторяют. Противосудорожная терапия продолжается длительно, не менее 3 лет после прекращения припадков. Ввиду возможности развития в дальнейшем эпилепсии данная группа детей находится под диспансерным наблюдением.
При коревом поствакцинальном энцефалите в случае возникновения судорог рекомендуется противосудорожная терапия препаратами в возрастных дозах, дегидратация, десенсибилизация. В остальных случаях проводится посиндромная терапия.
Энцефалит при антирабических прививках. Для данной формы заболевания наибольшее значение имеет десенсибилизирующая терапия. В остром периоде болезни назначаются антигистаминные препараты - димедрол, пипольфен, супрастин, диазолин, обычно под защитой антибиотиков применяют гормоны, чаще преднизолон 1-2 мг/кг, с одновременным назначением препаратов калия. В тяжелых случаях вводится внутривенно или внутримышечно гидрокортизон. Дегидратационная терапия включает лазикс, маннитол, гипотиазид, диакарб, сульфат магния, глицерин. Обязательно применяется витаминотерапия (комплекс витаминов В, аскорбиновая кислота). Для лечения и профилактики осложнений применяют антибиотики. Проводится симптоматическая терапия (противосудорожные средства) и восстановительное лечение.
Профилактика Энцефалита у детей:
Специфической профилактической терапии по всем группам энцефалита не существует, только для отдельных видов. Так, профилактика эпидемического энцефалита основывается на изолировании больного и дезинфекции его жилья, одежды и личных вещей. Большое значение имеет профилактика таких энцефалитов, как клещевого, комариного. Кроме неспецифической профилактики (защита себя от укусов насекомых при помощи плотной одежды для похода в лесные массивы, использование защитных средств, высокая обувь) при клещевом энцефалите проводятся предохранительные прививки. Не стоит самостоятельно удалять клеща, необходимо обратиться за медицинской помощью.
К каким докторам следует обращаться если у Вас Энцефалит у детей:
Вас что-то беспокоит? Вы хотите узнать более детальную информацию о Энцефалита у детей, ее причинах, симптомах, методах лечения и профилактики, ходе течения болезни и соблюдении диеты после нее? Или же Вам необходим осмотр? Вы можете записаться на прием к доктору .
Читайте также:
- Вестибулярные функции при ушном менингите. Слух при отогенном менингите
- Влияние галоперидола на пищевое поведение. Влияние диазепама на условные рефлексы
- Ганглионеврома
- Семенной канатик. Элементы семенного канатика. Круглая связка матки. Оболочки круглой связки матки.
- Иммунокомплексный вариант воспаления в легких.
