Эпендимома задней черепной ямки у ребенка
Добавил пользователь Владимир З. Обновлено: 08.01.2026
Среди большого множества патологий головного мозга особого внимания заслуживают те, которые поражают, прежде всего, детей, и одним из таких заболеваний является эпендимома головного мозга. В детском возрасте нередки случае возникновения злокачественной опухоли, в то время как у большей части молодых людей диагностируется доброкачественное новообразование. Примерно три процента от всех заболеваний эпендимомы приходится на анапластическую эпендимому головного мозга, имеющую третью степень злокачественности.
Симптомы анапластической эпендимомы
В основе заболевания лежат производные эпендимы, покрывающие поверхность стенок желудочков головного мозга, при этом характерно быстрое деление и образование большого количества незрелых клеток, быстро распространяющихся посредством ликворы. На данную патологию приходится примерно 25% от общего количества эпендимарных опухолей, при этом лечение рецидива анапластической эпендимомы должно быть своевременным, а помочь в этом может правильная диагностика и своевременное беспокойство пациента, обнаружившего у себя признаки заболевания.
Специалисты сегодня достаточно изучили данное заболевание и выяснили, что чаще всего отмечается анапластическая эпендимома 4 желудочка - на эту часть головного мозга приходится порядка 70% случаев болезни. Стоит также обратить внимание, что в 20-ти процентах заболевание локализовано в боковых желудочках, а одно заболевание из десяти приходится на область конского хвоста. Причины анапластической эпендимомы могут быть разными, и часто это врожденная патология, поэтому вы должны следить за состоянием и поведением вашего ребенка. Бить тревогу надо в том случае, если ребенок стал отставать от сверстников в школе, появилась раздражительность, болит голова, возникает тошнота и рвота. Эти же симптомы, собственно, присущи и взрослым.
Диагностика и лечение анапластической эпендимомы
Лечение анапластической эпендимомы - задача непростая, и этому должна предшествовать тщательная диагностика. Помочь правильно поставить диагноз может компьютерная томография или МРТ, а в некоторых случаях специалистам приходится делать биопсию. Все данные исследования вы должны предоставить неврологу НИИ им. Бурденко, по результатам очной консультации которого будет принято решение о целесообразности направления больного в стационар института.
Правильная диагностика позволит назначить эффективное лечение анапластической эпендимомы головного мозга, а выбор лечения зависит от многих факторов. Важно знать, в частности, где локализована опухоль, и какие она имеет размеры, во многом это зависит также от возраста пациента. Чаще всего лечение проводится комплексно - одновременно с хирургическим вмешательством применяется лучевая терапия, при этом химическая терапия в данном случае эффекта не приносит, поэтому применяется крайне редко.
Удаление анапластической эпендимомы чаще всего необходимый шаг, однако, даже такое кардинальное вмешательство не всегда приводит к окончательному излечению. Поэтому после трепанации и иссечения опухоли назначается лучевая терапия. Проводиться такая терапия может, как перед операцией, так и по ее окончанию, что помогает уничтожить оставшиеся раковые клетки. К слову сказать, только лучи помогут излечиться, если усложнен доступ к опухоли или общее состояние пациента не позволяет выполнять операцию.
Эпендимома спинного мозга
Эпендимома спинного мозга — это опухолевое образование из клеток эпендимы позвоночного канала, имеющее различную степень злокачественности. Проявляется локальной болью в позвоночнике (реже — корешковым характером боли), расстройствами чувствительности, периферическими и центральными парезами, нарушением мочеиспускания, дефекации. Окончательный диагноз устанавливается при помощи МРТ поражённого отдела, гистологического исследования опухолевых тканей. Лечение хирургическое — удаление неоплазии с использованием микрохирургических методик. При злокачественном характере эпендимомы применяется постоперационная лучевая терапия.
МКБ-10
Общие сведения
Спинальная эпендимома встречается реже эпендимом головного мозга. Среди взрослого населения она диагностируется в 34% случаев интрамедуллярных опухолей спинного мозга. В 40% наблюдений эпендимома является опухолью конского хвоста и локализуется в терминальном отделе позвоночного канала. Относительно недавно было доказано, что эпендимальные образования конского хвоста относятся к экстрамедуллярным опухолям. По мере роста они либо раздвигают терминальные нервные пучки, либо муфтообразно окружают их.
Эпендимома не склонна к экстрадуральному росту (прорастанию за пределы твёрдой мозговой оболочки). Экстрадуральный рост отмечается преимущественно при локализации новообразования на уровне крестца. Средний возраст пациентов с диагностированной спинальной эпендимомой составляет 45 лет.
Причины
Этиофакторы, провоцирующие онкогенез, окончательно не изучены. Отдельные авторы предполагают, что эпендимома является результатом гетеротопии эпендимных клеток, возникшей вследствие неполного закрытия нервной трубки в процессе эмбриогенеза. Большинство исследователей отводят основную этиологическую роль комбинированному воздействию ряда факторов, общих для различных опухолевых процессов. Предрасполагающие к развитию опухоли факторы подразделяют на 3 основные группы:
- Экзогенные. Онкогенные свойствами обладают радиоактивное излучение, пищевые канцерогены, отдельные красители и средства бытовой химии, некоторые металлы, загрязняющие воздух химические вещества. Длительно воздействуя на организм, указанные факторы вызывают изменение базовых свойств отдельных его клеток, что может привести к возникновению неоплазии.
- Эндогенные. Основным внутренним фактором, способствующим развитию новообразований, является снижение противоопухолевого иммунитета. Отсутствие должной противоопухолевой защиты обуславливает сохранение жизнеспособности и последующее размножение атипичных (мутировавших) клеток, формирующих опухоль.
- Наследственные. Предполагается генетическая детерминированность возникновения неоплазий. Наследственная предрасположенность к онкогенезу подтверждается существованием семейных форм рака, склонностью к развитию опухолевых образований при нейрофиброматозе Реклингхаузена, семейном полипозе и прочих наследственных заболеваниях.
Патогенез
Эпендимома формируется как результат размножения изменённых (атипичных) клеток, образующих эпендимальную выстилку позвоночного канала. Процесс запускается при приобретении эпендимоцитами аномальных свойств, в том числе способности к усиленному делению. В большинстве случаев спинальная эпендимома является доброкачественным образованием, её клинические проявления обусловлены компрессией спинного мозга увеличивающимся объёмом опухолевых тканей.
Результатом спинальной компрессии является дисфункция нейронов поражённого сегмента, приводящая к нарушению иннервации соответствующего участка тела с развитием сенсорных расстройств, парезов. Сдавление проходящих в спинном мозге проводящих трактов обуславливает тотальную денервацию тканей, расположенных ниже уровня поражения. В случае экстрадурального роста опухолевый процесс протекает с прорастанием в костную ткань крестца, распространением в полость малого таза, подкожную клетчатку крестцовой области. Злокачественная эпендимома отличается деструктивным ростом с разрушением спинальных тканей.
Классификация
По характеру роста выделяют интра- и экстрамедуллярные эпендимомы. К последним относятся преимущественно образования терминальных отделов позвоночного канала. По расположению спинальная эпендимома классифицируется на шейную, грудную, поясничную и эпендимому конского хвоста. В практической неврологии и нейрохирургии основополагающей считается классификация, базирующаяся на морфологических особенностях и степени злокачественности неоплазии. Она включает 4 основных типа эпендимом:
- Истинная. Известны различные морфологические варианты: клеточная, папиллярная, смешанная, эпителиальная. В одних случаях опухоль образует периваскулярные розетки, в других — имеет ворсины и трабекулы. Истинная эпендимома относится к неоплазиям II степени злокачественности.
- Миксопапиллярная. Отличительной особенностью является слизистая дистрофия тканей опухоли, обуславливающая их расплавление с образованием кист. Типично экстрамедуллярное расположение опухоли, локализация в районе конского хвоста. Образование имеет I степень злокачественности.
- Анапластическая (эпендимобластома). Наиболее злокачественный вариант (III степень). Характеризуется низкой дифференцировкой клеток, способностью давать метастазы, распространяющиеся ликворным путём.
- Субэпендимома (эпендимоастроцитома). Представляет собой доброкачественный опухолевый узел, состоящий из эпендимальных клеток и глиальных волокон. Редко встречается в тканях спинного мозга.
Симптомы эпендимомы спинного мозга
Доброкачественные эпендиматозные неоплазии отличаются медленным ростом. Манифестация клинической симптоматики возможна через 1-1,5 года от начала заболевания, обращение за медицинской помощью происходит в среднем спустя 4,5 года. Симптомы зависят от уровня поражения. Типичным проявлением дебюта заболевания выступает локальный болевой синдром в позвоночнике. 70% пациентов жалуются на усиление боли в горизонтальном положении, ночью. У ряда пациентов боли носят радикулярный характер, хотя полная клиническая картина не вписывается в классический корешковый синдром.
Ранним симптомом выступают сегментарные нарушения чувствительности. Возможны болевые дизэстезии в виде ощущения жара/холода в соответствующих конечностях, диссоциированные сенсорные расстройства (понижение поверхностной чувствительности при сохранении глубокой). Прогрессирование опухолевого процесса сопровождается нарастанием сенсорных расстройств, их распространением в нижележащие отделы, появлением периферического одно- и двустороннего пареза, а затем центрального парапареза ниже уровня неоплазии, тазовых нарушений. Периферические двигательные расстройства протекают с понижением мышечного тонуса, угасанием сухожильных рефлексов. Центральный парез отличается спастическим мышечным гипертонусом, гиперрефлексией.
Эпендимома шейных сегментов спинного мозга может сопровождаться головокружением, цефалгией затылочной локализации, хрипотой, приступообразным кашлем, дисфагией, спастическим тетрапарезом. Образование конского хвоста дебютирует болями корешкового типа, распространяющимися в нижнюю конечность на стороне поражения. С течением времени боли приобретают двусторонний характер. Типичны периферические парезы дистальных отделов (стоп, голеней), задержка мочеиспускания.
Осложнения
Прогрессирующие изменения спинного мозга приводят к грубой инвалидизации пациента, ограничению его подвижности. Сопутствующее развитие трофических расстройств обуславливает возникновение пролежней, легкое травмирование и инфицирование кожных покровов, проникновение инфекционных агентов в кровь. Возможны связанные с дисфункцией тазовых органов ургентные нарушения: острая задержка мочи, каловая интоксикация. Экстрадуральная эпендимома крестцовой локализации осложняется деструкцией крестца, опухолевым поражением органов малого таза. Наиболее опасным осложнением является характерное для эпендимобластомы метастазирование в головной мозг.
Диагностика
Заподозрить спинальное новообразование клиницисту-неврологу позволяет локализация боли непосредственно в области позвоночника, сегментарный характер сенсорных нарушений. Выраженные затруднения возникают при локализации неоплазии в пояснично-крестцовом отделе, поскольку в подобных случаях клиника сходна с проявлениями радикулита. Подозрение на опухоль возникает при развитии тазовых расстройств, двустороннем характере симптоматики, малой эффективности консервативной терапии. Необходимые диагностические мероприятия включают:
- Неврологический осмотр. В ходе обследования невролог выявляет периферические и центральные сенсорные, двигательные нарушения. Результаты осмотра позволяют предположить уровень поражения спинного мозга, заподозрить наличие объёмного образования.
- МРТ спинного мозга. МРТ-миелография служит «золотым» стандартом диагностики эпендимом. Дополнительное контрастирование позволяет детально изучить компоненты образования (кисты, кровоизлияния), отдифференцировать опухолевые ткани от перитуморозного отёка. При невозможности проведения магнитно-резонансной томографии осуществляется КТ позвоночника.
- Гистологическое исследование. Изучение морфологии туморозных тканей на микроскопическом уровне даёт возможность точно верифицировать эпендимому, её тип, злокачественность. В большинстве случаев проводится интраоперационная гистология. После операции осуществляется дополнительное исследование операционного материала.
Эпендимома требует дифференцировки от вертеброгенной миелопатии, миелита, нарушений спинального кровообращения, посттравматической гематомы позвоночного канала, сирингомиелитической кисты, гемангиомы позвоночника. Поскольку клиническая дифдиагностика затруднительна, первостепенное значение приобретает МРТ. Установление окончательного диагноза возможно только по результатам гистологического исследования.
Лечение эпендимомы спинного мозга
Единственный адекватный способ лечения — это радикальное удаление. Операция проводится нейрохирургом с применением микрохирургических технологий под контролем моторных и сенсорных вызванных потенциалов. Доброкачественная эпендимома хорошо отделяется от прилегающих тканей, что позволяет достичь наиболее полного удаления. Злокачественный характер образования, подтверждённый результатами интраоперационной гистологии, служит показанием к расширенной резекции неоплазии. В послеоперационном периоде проводится контрольная МРТ. При выявлении неудалённого опухолевого фрагмента рекомендуется повторное хирургическое вмешательство.
Послеоперационная лучевая терапия применяется только в отношении злокачественных эпендимом. Хирургическое лечение сочетается с последующей восстановительной терапией, осуществляемой реабилитологами, массажистами, врачами ЛФК. Восстановительное лечение имеет медикаментозную составляющую, включающую противовоспалительные, сосудистые, нейрометаболические фармпрепараты.
Прогноз и профилактика
Применение микрохирургии, интраоперационного нейрофизиологического мониторинга позволяет производить удаление интрамедуллярных эпендимом без увеличения неврологического дефицита. Степень восстановления утраченных функций зависит от локализации, размеров и распространения опухолевого процесса, своевременности, объёма проведенной операции, полноты реабилитационных мероприятий. В отдельных случаях неоплазия рецидивирует, что требует проведения повторной операции, связанной с риском формирования ликворной фистулы, обуславливающей возникновение менингита, арахноидита.
Первичная профилактика неспецифична, включает уменьшение любых онкогенных воздействий окружающей среды, повышение иммунитета. Вторичная профилактика предусматривает своевременное выявление рецидива, осуществляется путем ежегодного проведения контрольной МРТ.
2. Удаление эпендимомы шейного отдела спинного мозга/ Ступак В.В., Рабинович С.С., Шабанов С.В.// Хирургия позвоночника. - 2014 - №4.
3. Хирургическое лечение интрамедуллярной эпендимомы спинного мозга/ Муравский А.В.// Украинский нейрохирургический журнал.- 2002.
4. Интрамедуллярные опухоли спинного мозга (эпидемиология, диагностика, принципы лечения)/ Кушель Ю.В.// Нейрохирургия. - 2008 - № 3.
Медуллобластома
Медуллобластома (medulloblastoma) — злокачественная опухоль из медуллобластов, незрелых клеток глии, локализующаяся обычно в черве мозжечка, который находится рядом с четвертым желудочком мозга. Характерны симптомы раковой интоксикации, нарастающей интракраниальной гипертензии и мозжечковой атаксии. Диагноз ставится на основании клинической картины, результатов анализа спинномозговой жидкости, ПЭТ, КТ или МРТ, биопсии. Лечение включает хирургическое удаление опухоли, восстановление нормальной циркуляции спинномозговой жидкости, лучевую и химиотерапию.
Медуллобластома (гранулобластома, нейроглиома эмбриональная, глиома саркоматозная) — весьма злокачественная патология задней черепной ямки. Опухоль, как правило, находится в черве мозжечка, а у детей старше шести лет может локализоваться в полушариях органа. Медуллобластома обычно быстро метастазирует по ликворным путям, чем отличается от других опухолей мозга.
На долю медуллобластомы приходится 7-8% от общего числа известных в неврологии объемных образований, среди опухолей мозга в педиатрии — 30%. Медуллобластома стоит на втором месте по частоте среди опухолей мозга у детей. Распространенность данного вида новообразований - 1,5-2 случая на сто тысяч. Чаще развивается у мальчиков, по сравнению с девочками (соотношение 65/35).
Типичный возраст, когда обнаруживают медуллобластому, пять-десять лет. Но это не только «детская» патология, ее выявляют в любом возрасте. Дети составляют ¾ от общего числа больных медуллобластомой. У взрослых эта опухоль встречается обычно в возрасте от 21 до 40 лет.
Причины медуллобластомы
Обычно случаи медуллобластомы — спорадические. Однако есть наследственные болезни, ассоциированные с высоким риском развития данной опухоли. К ним относятся: синдром Рубинштейна-Тейби, синдром Горлина, синдром Тюрко и синдром голубых невусов.
Почему развивается медуллобластома, на сегодняшний день остается неясным. Известны лишь факторы риска данной патологии, к ним относятся: возраст до 10 лет, действие ионизирующего излучения, влияние канцерогенов пищи, лаков, красок, бытовой химии; вирусные инфекции (цитомегаловирус, ВПЧ, инфекционный мононуклеоз, герпетические инфекции), повреждающие геном клеток; отягощенная наследственность. Медуллобластома — это примитивная нейроэктодермальная опухоль (PNET). Обычно она расположена субтенториально, то есть под наметом мозжечка, быстро прорастает в его червь и заполняет весь четвертый желудочек мозга. Это ведет к блокированию ликворооттока, так как увеличивающаяся в размерах опухоль перекрывает пути циркуляции спинномозговой жидкости. Внутричерепное давление у пациента резко повышается, что проявляется синдромом выраженной интракраниальной гипертензии. Поражение бульбарных отделов возникает на поздних стадиях болезни за счет прорастания опухоли в ствол мозга.
Гистологическая картина медуллобластомы представляет собой сосредоточение небольших, округлых, малодифференцированных, пролиферирующих эмбриональных клеток с очень тонкой цитоплазмой и гиперхромным ядром.
Классификация медуллобластом
Эта злокачественная опухоль в 80% случаев возникает в черве мозжечка, а в 20% — в его двух полушариях. По гистологическому строению различают следующие виды новообразования:
- Медулломиобластома, содержащая в составе мышечные волокна
- Меланотическая медуллобластома, которая состоит из нейроэпителиальных клеток, имеющих в составе меланин
- Липоматозная медуллобластома, в которой есть жировые клетки (самый доброкачественный вариант опухоли).
Помогает определить клинический прогноз для каждого больного медуллобластомой классификация, предложенная Чангом в 1969 году. Она основана на принципах TNM и учитывает размер новообразования, метастазирование и степень инфильтрации.
Симптомы медуллобластомы
Клинические проявления медуллобластомы могут быть разными. Они зависят от локализации новообразования, от выраженности общемозгового синдрома, который напрямую связан с повышением внутричерепного давления, и от расположения метастазов.
Так как медуллобластома чаще всего располагается в мозжечке, у больного развивается мозжечковая атаксия. Формируется «мозжечковая походка»: пациент ходит, расставив нижние конечности и балансируя верхними, чтобы не потерять равновесие и не упасть; его «кидает» из стороны в сторону. Вследствие нарушения координации движений, больной часто падает, особенно при поворотах. Если опухоль прорастает в ствол мозга, состояние сразу ухудшается, так как присоединяются расстройства дыхания и гемодинамики. В неврологическом статусе выявляется: угнетение глоточного рефлекса, парезы взора, спонтанный нистагм, нарушение конвергенции. Если вовлекается спинной мозг, появляются параличи конечностей, нарушения чувствительности.
Для общемозговых проявлений медуллобластомы характерны изменения сознания в виде психомоторного возбуждения, повышенной раздражительности, нарушения ориентации в месте, времени, собственной личности. Нередко у больного отмечаются судорожные приступы. Пациент предъявляет жалобы на утреннюю головную боль, постоянную тошноту, многократную рвоту, которые являются составляющими синдрома интракраниальной гипертензии. Своевременное диагностирование медуллобластомы у детей раннего возраста затрудняют особенности строения их черепа. Синдром внутричерепной гипертензии может долгое время не проявляться, так как размеры черепной коробки у детей увеличены, мозг пластичен, а сосуды очень эластичные. Нередко диагноз ставится поздно, когда медуллобластома занимает червь, гемисферу мозжечка и четвертый желудочек мозга; прорастает в бульбарные структуры.
Метастазы значительно ухудшают состояние пациента. Клиническая картина зависит от их локализации и размеров. Медуллобластома — опухоль необычная, в отличие от первичных новообразований головного мозга (астроцитомы, глиомы), которые не дают метастазы за пределами центральной нервной системы, эта опухоль способна метастазировать в печень, легкие и кости (примерно в 5% случаев).
Наиболее частое осложнение медуллобластомы — развитие гидроцефалии (водянки мозга). Это происходит за счет перекрытия оттока ликвора растущей опухолью, либо в области водопровода мозга, либо отверстий Люшка и Мажанди. Для гидроцефалии характерны: круглосуточные упорные головные боли, тошнота, частое запрокидывание головы, смещение глазных яблок вниз, нистагм и косоглазие; у детей - увеличенный в объеме череп.
Диагностика медуллобластом
С диагностический целью врачом неврологом производится суммарная оценка данных неврологических, офтальмологических, ликворологических исследований, а также результатов КТ или МРТ головного мозга. Для комплексного обследования и поставки диагноза медуллобластомы могут потребоваться результаты следующих видов исследований: общий анализ крови, общий анализ мочи, биохимия крови; осмотр офтальмолога, который при проведении офтальмоскопии выявляет застойные диски зрительных нервов, свидетельствующие об интракраниальной гипертензии; нейросонография у детей с незакрытыми родничками, обеспечивающий наиболее раннюю диагностику опухоли; компьютерная томография (КТ), которая дает возможность определить точно местоположение и размеры опухоли, степень инфильтрации окружающей мозговой ткани; магнитно-резонансная томография (МРТ), позволяющая выявить самые незначительные изменения в структуре головного мозга; позитронно-эмиссионная томография (ПЭТ), оценивающая процесс метастазирования; определение онкомаркеров в крови; биопсия (гистопатологический анализ тканей) для выставления окончательного клинического диагноза; консультация нейрохирурга.
Лечение медуллобластомы
Радикальным методом лечения медуллобластомы является ее хирургическое удаление. Если позволяет состояние пациента, лучше тотально удалять раковую опухоль. Во время операции используются микрохирургические методики, интраоперационная МРТ-навигация.
Радиотерапия занимает важное место в терапии данной патологии. Если медуллобластома удалена полностью и отсутствуют метастазы, после оперативного вмешательства назначается радиотерапия в низких дозах, что сводит к минимуму побочные эффекты. Если выявлены метастазы или новообразование удалено не совсем, применяется радиотерапия в больших дозах. При внушительных размерах медуллобластомы лучевая терапия показана до удаления опухоли с целью уменьшения ее размеров до операбельных. Детям младше трех лет радиотерапия не проводится.
Химиотерапия в лечении этой опухоли является частью комплексных мер и используется после хирургической и радиологической терапии. Наиболее эффективно применение следующих химиотерапевтических препаратов: винкристина, нитрозомочевины и прокарбазина.
Американские ученые совсем недавно предложили в комплексном лечении медуллобластомы использовать вирус кори, предварительно подвергнув его генетической модификации. Опыты на мышах подтвердили, что модифицированный вирус кори убивает злокачественные клетки медуллобластомы всего за 72 часа.
Режим и диета — другая часть системного лечения опухоли. Есть нужно небольшими порциями, но часто. Не следует заставлять больного принимать пищу. Рекомендуется есть больше цитрусовых. При приготовлении блюд нужно учитывать пожелания больного, ведь его вкусовые пристрастия на фоне лечения могут измениться и даже показаться странными. Реабилитация — неотъемлемая часть лечения медуллобластомы. Она разрабатывается индивидуально для каждого пациента.
Прогноз и профилактика медуллобластомы
На сегодняшний день летальность и инвалидизация при медуллобластоме остаются очень высокими. Важное значение для снижения частоты неблагоприятных исходов опухоли имеют: раннее выявление заболевания, полнота обследования и выбор оптимального метода хирургического лечения новообразования.
Послеоперационная летальность равна 5%, а после пяти лет выживают только 20 - 30% больных медуллобластомой. Выживаемость более пяти лет у мальчиков составляет около 24%, а у девочек всего 10%. Чем младше возраст больного ребенка, тем злокачественнее новообразование, и тем быстрее в патологический процесс вовлекается ствол мозга, отвечающий за витальные функции. Самый худший прогноз имеют больные с рецидивом опухоли после ее удаления.
Специфических методов профилактики медуллобластомы в настоящее время не существует. Есть исследования американских врачей, которые сообщают, что прием витаминных добавок во время беременности уменьшает риск возникновения этой опухоли.
Эпендимома головного мозга
Эпендимома головного мозга — это опухоль из эпендимальной ткани желудочковой системы головного мозга. Клинически проявляется, прежде всего, признаками повышенного внутричерепного давления, а также атаксией, нарушениями со стороны зрения и слуха, судорожными приступами, нарушением речи и глотания. Диагностика осуществляется преимущественно при помощи МРТ головного мозга, спинальной пункции, ЭЭГ, гистологического исследования. Основу лечения составляет радикальное удаление эпендимомы с последующей лучевой или химиотерапией. У взрослых применяется стереотаксическая радиохирургия.
Эпендимома головного мозга — опухоль ЦНС, берущая свое начало из эпендимоцитов. Последние представляют собой эпителиоподобные клетки, образующие эпендиму — тонкую эпителиальную выстилку церебральных желудочков и центрального спинномозгового канала. Эпендимомы составляют до 8% всех опухолей головного мозга, относятся к глиомам.
Эпендимомы чаще встречаются в детском возрасте, около 60% больных составляют дети первых пяти лет жизни. По своей распространенности эпендимома головного мозга занимает 3-е место среди всех церебральных опухолей у детей. В детском возрасте более часто, чем у взрослых, наблюдаются ее злокачественные варианты. Лечение эпендимом является актуальной проблематикой современной онкологии, неврологии и нейрохирургии.
Исследования позволили обнаружить вирус SV40, находящийся в клетках эпендимом в активном состоянии. Однако до сих пор не понятна его роль в развитии новообразования. Предполагают, что эпендимома головного мозга возникает в связи с воздействием общих для большинства опухолей онкогенных факторов: химических канцерогенов, радиоактивного излучения, длительно действующих неблагоприятных природных условий (например, гиперинсоляции), онкогенных вирусов (вирус герпеса, папилломы человека и пр.).
Кроме того, нельзя исключить участия генетических факторов в развитии эпендимом. Известны сочетания церебральных эпендимом с нейрофиброматозом Реклингхаузена, синдромом множественных эндокринных неоплазий (МЭН), семейным полипозом толстой кишки.
Эпендимома головного мозга чаще образуется в задней черепной ямке. Во многих случаях характеризуется медленным ростом, отсутствием прорастания в окружающие церебральные ткани. Однако по мере роста новообразования оно может вызвать масс-эффект — сдавление головного мозга. Метастазирование эпендимомы происходит преимущественно по ликворным путям и, как правило, не выходит за пределы ЦНС. Наиболее часто отмечаются ретроградные метастазы в спинной мозг.
Согласно современной классификации, различают 4 вида эпендимом, отличающихся степенью доброкачественности и характером течения опухолевого процесса:
- Миксопапиллярная эпендимома является наиболее доброкачественной, локализуется, главным образом, в спинном мозге в области конского хвоста. Встречается в основном у взрослых.
- Субэпендимома отличается медленным доброкачественным ростом, зачастую бессимптомным течением и относительно редким рецидивированием.
- Классическая эпендимома наблюдается наиболее часто. Может стать причиной окклюзии ликворных путей. Часто рецидивирует, со временем способна трансформироваться в анапластическую эпендимому.
- Анапластическая эпендимома составляет около четверти всех эпендимом. Отличается ускоренным ростом и метастазированием, за что получила синонимичные названия: эпендимобластома, злокачественная эпендимома, недифференцированная эпендимома.
Симптомы эпендимомы
Эпендимома головного мозга манифестирует признаками внутричерепной гипертензии: нарастающей головной болью, ощущением давления в глазных яблоках, независимой от приема пищи тошнотой, рвотой. Наряду с этим у многих пациентов наблюдается раздражительность, некоторые изменения в привычном поведении, атаксия — неуклюжесть и шаткость ходьбы, дискоординация движений, затрудняющая, в первую очередь, мелкие действия руками, в т. ч. и письмо. У детей школьного возраста отмечается заметное ухудшение результатов учебы.
Выше указанные симптомы являются следствием ликворно-гипертензионного синдрома и усугубляются по мере нарастания внутричерепного давления. Если эпендимома становится препятствием на пути циркуляции цереброспинальной жидкости и вызывает обтурацию ликворных путей, развивается обтурационная гидроцефалия. В клинической картине это проявляется резким нарастанием имеющихся симптомов — головная боль становиться очень интенсивной и сопровождается многократной рвотой без облегчения состояния. Возможны судорожные приступы.
Очаговая симптоматика, сопровождающая церебральную эпендимому, варьирует в соответствии с месторасположением опухоли. Для опухолей задней черепной ямки характерна вестибулярная атаксия, двоение в глазах. Если эпендимома головного мозга располагается в нижней части IV желудочка, то возможны тугоухость, дизартрия, мозжечковая атаксия, дисфагия.
Выраженный ликворно-гипертензионный синдром, появление другой неврологической симптоматики или впервые возникший эпиприступ являются для невролога поводом к всестороннему обследованию пациента. Спектр проводимых исследований включает:
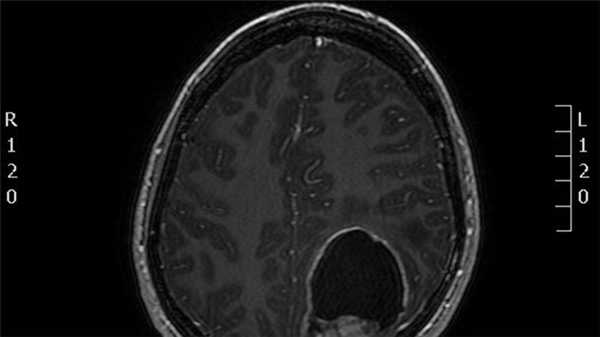
- МРТ или КТ головного мозга.МРТ головного мозга предпочтительнее, поскольку дает более полную информацию и позволяет избежать лучевой нагрузки, особенно, когда речь идет об обследовании ребенка.
- НСГ. Для детей до года этапом первичной диагностики может стать нейросонография, которая выполняется через еще незакрывшийся родничок.
- Цитоморфологическая диагностика. Для определения распространенности процесса на спинномозговой канал производится люмбальная пункция и исследование цереброспинальной жидкости. Окончательная верификация диагноза возможна лишь после морфологического изучения материала эпендимомы, полученного интраоперационно или путем стереотаксической биопсии.
- Дополнительные методы. Проводится электроэнцефалография, консультация офтальмолога, прямая офтальмоскопия.
Лечение эпендимомы головного мозга
Нейрохирургические операции
Оптимальным способом лечения эпендимомы является ее тотальное удаление. Частое расположение опухоли в задней черепной ямки обуславливает определенные трудности доступа к ней, с которыми сталкивается нейрохирург. Если полное удаление опухоли невозможно, операция может носить паллиативный характер. В таких случаях для улучшения оттока цереброспинальной жидкости может быть проведена шунтирующая операция.
У взрослых разрушение опухоли возможно методом стереотаксической радиохирургии. Последнее время все шире применяется установка «Кибер-нож», позволяющая достигнуть большой суммарной дозы облучения эпендимомы путем схождения на опухоли многочисленных пучков, исходящих из разных точек аппарата. Однако, в связи с большой лучевой нагрузкой, этот метод не рекомендован детям до 14 лет.
Противоопухолевая терапия
С целью уменьшения вероятности рецидива церебральной эпендимомы после хирургического лечения проводится лучевая терапия. У детей раннего возраста, мозг которых особо восприимчив к радиоактивному излучению, лучевая терапия должна быть сокращена или заменена химиотерапией. Лечение цитостатиками (цисплатином, карбоплатином) может проводиться после лучевой терапии или вместо нее. Его объем зависит от характера и распространенности эпиндимомы.
Прогноз
Миксопапиллярная эпендимома и субэпиндимома после их радикального удаления обычно имеют благоприятный прогноз. В случае классической эпендимомы полное удаление удается не всегда. Новообразование рецидивирует, как правило, в месте своего первоначального появления. При удачном удалении 5-летняя выживаемость оценивается на уровне 67-80%.
Наиболее негативный прогноз у анапластической эпендимомы, что связано с ее быстрым распространением по ликворным путям. Следует отметить, что даже после успешно осуществленного лечения у пациентов в последующем может сохраняться различная неврологическая симптоматика, тугоухость, ухудшение зрения; у детей возможна задержка психического развития.
Эпендимомы

Эпендимомы - редкие опухоли, исходящие из эпендимы - оболочки выстилающей изнутри желудочки головного мозга и центральный канал спинного мозга. Из этого следует, что в подавляющем большинстве случаев эпендимомы расположены в желудочковой системе и в спинном мозге интрадурально. Значительно реже эпендимомы встречаются вне желудочковой системы, непосредственно в веществе головного мозга. Отличительной чертой этих образований является то, что они лучше отграничены от мозгового вещества в сравнении с большинством других внутримозговых опухолей. Из этого следует, что задачей нейрохирурга является максимально радикальное удаление опухоли, как в случае интракраниальной локализации, так и при локализации эпендимомы в спинном мозге. В случае невозможности радикального удаления, возможно проведение последующей лучевой терапии.
Эпендимомы возникают из эпендимальных клеток, выстилающих желудочки мозга и центральный канал спинного мозга. Они могут располагаться по всей длине нервной трубки.
Частота:
Интракраниальная локализация: составляют ≈5-6% внутричерепных глиом, в 69% бывают у детей, составляя 9% педиатрических мозговых опухолей.
Спинальная локализация: ≈60% глиом спинного мозга, в 96% случаев встречаются у взрослых, особенно в области конечной нити.
Средний возраст пациентов в момент диагностирования опухоли:
Интракраниальная локализация: взрослые - 17 лет, дети - 5 лет.
Инфратенториальная локализация: взрослые - 14 лет, дети - 4 года.
Супратенториальная локализация: взрослые - 22 года, дети - 6 лет.
Спинальная локализация: 40 лет.
Интрамедуллярная локализация: 47 лет.
Каудальная часть: 32 года.
Эпендимомы обладают способностью распространяться по нервной трубке по ликворным путям, этот процесс называется обсеменением, что приводит к возникновению «потерянных» метастазов в 11% случаев. Частота метастазирования возрастает по мере повышения степени злокачественности опухоли. В редких случаях имеет место системное распространение.
Патология
1. Неанапластическая (низкая степень злокачественности)
2. Папиллярная: «классическое поражение» ГМ и СМ. Метастазирование возможно вплоть до 30%.
3. Миксопапиллярная эпендимома: отдельная форма, встречается только в области конечной нити. Папиллярная эпендимома с микрокистозными вакуолями и слизистым содержимым.
5. Анапластическая: плеоморфизм, многоядерность, гигантские клетки, митозы, сосудистые изменения, участки некроза (иногда при большей выраженности анапластических изменений используют термин эпендимобластома, но этот термин должен быть оставлен для отдельного вида опухолей, редких примитивных нейроэктодермальных опухолей у детей). Влияет ли степень анаплазии на исходы пока неясно.
Внутричерепные эпендимомы
1. Часто возникают в дне IV желудочка
2. Существует потенциальная угроза распространения по нервной трубке
3. Молодые пациенты имеют худший прогноз
4. Лечение: максимальная резекция с последующей лучевой терапией.
Обычно это хорошо отграниченные и доброкачественные опухо- ли (хотя встречаются и злокачественные эпендимомы). Они часто возникают в дне IV желудочка (в 60-70% случаев располагаются инфратенториально, всегда вблизи IV желудочка, на их долю приходится 25% от всех опухолей области IV желудочка). Эпендимомы задней черепной ямки у детей часто являются анапластическими, при этом имеется больший риск распространения по нервной трубке. Хотя гистологически они не выглядят такими злокачественными, как медуллобластомы, они имеют худший прогноз из-за того, что они имеют тенденцию врастать в obex(задвижку), что препятствует их полному удалению. Субэпендимомы: для них типично расположение в передних отделах боковых желудочков или в задней части IV желудочка, выраженная роль субэпендимарных глиальных клеток. Нередко обнаруживаются на аутопсиях, подлежат хирургическому лечению в редких случаях.
Клинические данные
Симптомы
Большинство из них связаны с наличием объемного образования в задней черепной ямке, сопровождающимся повышением внутричерепного давления:
3. Атаксия или вертиго: 60%
4. Припадки: при супратенториальной локализации только в ≈30% случаев; это составляет только 1% больных с внутричерепными опухолями, которые проявили себя припадками.
КТ/МРТ:
Обычно обнаруживают объемное образование в дне IV желудочка, часто с окклюзионной гидроцефалией.
Рентгенологически может быть трудно отличить от медуллобластомы, могут помочь следующие признаки:
1. Калицификаты часто встречаются в эпендимомах, но редко (<10%) в медуллобластомах
2. Медуллобластомы обычно возникают из крыши IV желудочка (из его вершины, фастигиума), который покрывает опухоль («симптом банана»), эпендимомы имеют тенденцию врастать в IV желудочек со дна
3. Эпендимомы имеют негомогенную структуру на МРТ в Т1 режиме
4. Экзофитный компонент в эпендимомах имеет тенденцию давать высокий сигнал на МРТ в Т2 режиме (у медуллобластом он только немного гиперинтенсивный)
Миелография
Миелография с водорастворимым контрастным веществом обладает такой же чувствительностью для определения метастаз, как и МРТ с гадолиниумом. Также при этом можно сделать цитологическое исследование цереброспинальной жидкости для определения стадии опухоли.
Лечение
Хирургическая резекция
Цель операции: максимальное удаление интракраниальной части опухоли без неврологического дефицита. Если имеется значительная инвазия опухоли в дно IV желудочка, то удалить ее тотально невозможно. После операции производят лучевую терапию и миелографию для исключения возможного метастазирования. 10 мл цереброспинальной жикдкости направляют на цитологическое исследование, чтобы определить количество злокачественных клеток (если они в ней есть), ее можно также использовать в качестве способа контроля эффективности лечения.
Лучевая терапия
Эпендимомы являются вторыми по радиочувствительности после медуллобластом. Лучевую терапию назначают после хирургического удаления опухоли (выживание улучшается после проведения лучевой терапии в послеоперационном периоде: выживание 50% пациентов было на 2 года больше при проведении лучевой терапии, чем без нее, при этом количество пациентов, имевших 5-летний срок выживания увеличивается с 20-40% до 40- 80%)
Исходы
Оперативная летальность: 5-8%. При тотальной резекции первичной интракраниальной опухоли и проведении последующей краниоспинальной лучевой терапии срок 5-летнего выживания составляет 41%. У молодых пациентов выживание хуже (в педиатрической группе срок 5-летнего выживания составляет 20-30%, по сравнению с почти 80% у взрослых). За исключением эпендимобластом, наличие злокачественных признаков в эпендимомах не обязательно является признаком худшего прогноза.
Читайте также:
