Этапы и техника операции при переломе медиальной лодыжки
Добавил пользователь Евгений Кузнецов Обновлено: 11.12.2025
Самая часто встречающаяся травма голеностопа - перелом лодыжки.
Такое повреждение ограничивает двигательную активность и нарушает привычный жизненный уклад, к тому же несвоевременное лечение и безответственный подход к реабилитации могут послужить причиной серьезных осложнений.
Во избежание неблагоприятных последствий стоит незамедлительно принимать меры, правильно организовать ортопедическое лечение и начать реабилитацию.
Где находится лодыжка?
Лодыжка - двухсторонний костный отросток голени, состоящий из наружной (латеральной) и внутренней (медиальной) щиколотки.
Наружная щиколотка является дистальным окончанием малой берцовой кости, которая формирует голень. К внутренней прилегает большая берцовая кость.
Они проходят параллельно друг другу и образуют “угол”, расположенный на сочленении этих частей. Визуально лодыжка представляет собой костный бугорок с обеих сторон голеностопа.
Лодыжка - самая важная часть голеностопа, выполняющая функции стабилизатора. Из-за высоких механических нагрузок она наиболее уязвима к повреждениям.
Что может послужить причиной перелома лодыжки
- сильный удар или ушиб
- подвернутая стопа
- падение с высоты или на неустойчивой поверхности
Симптомы перелома лодыжки
- сразу после получения травмы появляется резкая боль, частично ограничивающая подвижность ноги или вовсе ее блокирующая
- на месте травмы образуется отечность
- появляется гематома и деформация
- максимальные болевые ощущения в районе 3-4см выше лодыжки
- наблюдаются разлитые кровоподтеки при смещении костных отломков
- появляется "угол" между голенью и дистальным отделом конечности
- возникает патологическая подвижность
- отчетливо слышен характерный хруст при движении конечностью
Виды переломов лодыжек
Большеберцово-малоберцовый синдесмоз - это костное соединение состоящее из трех голеностопных связок.
- изолированное повреждение
- нарушение целостности медиальной лодыжки
- нарушение целостности заднемедиального края
- изолированный перелом
- с медиальными повреждениями
- повреждение медиальной части и переломом заднелатерального края
- простой диафизарный перелом малоберцовой кости
- многооскольчатый диафизарный перелом малоберцовой кости
- проксимальный перелом малоберцовой кости
Диагностика перелома
- Рентген голеностопа в двух проекция
- Компьютерная томография
- Ангиография
- МРТ (самая информативная и безопасная технология)
Лечение
Консервативное лечение переломов лодыжек
Лечение заключается в ручном анатомическом восстановлении поврежденного сустава, полной иммобилизации и лечении поврежденных связок.
Консервативное лечение показано при переломах лодыжек без смещения, а также при тяжелых сопутствующих заболеваниях или неудовлетворительном состоянии мягких тканей, когда операция противопоказана.
- ручную репозицию отломков
- наложение фиксирующих гипсовых повязок
- иммобилизацию жесткими ортезами
- ношение ортопедических брейсов
Операция должна происходить не позднее, чем через 8 часов после травмы, до образования отечности тканей. В противном случае, операция должна отложиться до спадения отека. До операции перелом должен быть зафиксирован рассеченной гипсовой повязкой или с помощью скелетного вытяжения.
В обоих случаях реабилитация сопровождается приема медикаментов, с целью обезболивания, снятия воспаления и профилактики тромбоза.
Реабилитация
Благодаря реабилитационным мероприятиями удается вернуть подвижность суставов, восстановить форму и исключить развитие осложнений. Грамотный и ответственный подход к реабилитации, хорошо составленный план специально подобранных упражнений поможет значительно быстрее восстановиться и вернуться к прежнему полноценному образу жизни после такой серьезной травмы.
Пренебрежение этими рекомендациями грозит неправильным сращением отломков, которое грозит серьезными последствиями: ложными сочленениями, частыми последующими вывихами, хромотой, плоскостопием, а также возможными неутихающими болями и развитием деформирующего псевдоартроза.
- перелом без смещения - 1 неделя
- травмы со смещением и ручное вправление перелома - 2 недели
- после операции по вправлению отломков - 3 недели
- 2 месяца после отрыва края большеберцовой кости
Разрабатывать ногу без костылей можно начинать через 3 месяца после перелома. Вопрос о возврате к привычному образу жизни решается индивидуально. Например, к занятию спорта можно возвращаться только через два года после травмы.
Альтернатива гипсу при переломе лодыжек
Много лет использование гипса являлось золотым стандартом в травматологии, но тяжелый и совершенно не дышащий материал практически не пропускает рентгеновские лучи, а это значительно затрудняет контроль процесса реабилитации. Ношение гипса сопровождается сильным зудом, а большой вес излишне нагружает и без того пострадавшую конечность. Совокупность этих факторов дали толчок для поиска новых технологий в лечении подобных травм.
Ортезы при переломе лодыжки
В современной медицинской практике все чаще применяется альтернативный гипсу метод фиксации поврежденных конечностей - ортезы.
Метод основан на ношении специального ортопедического изделия на месте перелома костей, вывихе, травм мягких тканей, для восстановления их прежней работоспособности.
Выбор голеностопного ортеза при переломе лодыжек зависит от стадии течения процесса. В острый период выбор врача остановится на жёстком ортезе, который со временем заменится на полужёсткий, а затем и эластичный.
- полная или частичная иммобилизация
- направление или ограничение движения
- уменьшение нагрузки на поврежденный участок
- профилактика вторичного повреждения при раннем снятии гипса
- коррекция формы
- облегчение передвижения или снятие болевого синдрома
- переломы в области голеностопа
- вывихи и подвывихи в области голеностопа
- повреждения связок различной сложности
- целый комплекс воспалительных и дегенеративных заболеваний
- нестабильность голеностопного сустава
- детские врожденные аномалии, рахит и прочие
- профилактика травм у спортсменов и людей с избыточной массой тела
- Жёсткие (степень фиксации: полная)
Ортез представляет собой удобную, дышащую конструкцию, визуально напоминающую сапог с молниями или липучками.
Применятся при травмах Ахилла и повреждениях связок.
Такой ортез влезает в повседневную обувь.
Бандаж поможет обеспечить дополнительную поддержку связкам и суставам во время интенсивных нагрузок, благодаря чему вероятность повредить их станет минимальной. Если Вы часто бегаете, занимаетесь футболом, волейболом или другими активными видами спорта, подобные приспособления для Вас являются просто незаменимыми.
Перелом лодыжек
Перелом лодыжек - это нарушение целостности лодыжек в результате травматического воздействия. Обычно возникает при подворачивании стопы кнаружи или кнутри. Проявляется болью, отеком, кровоподтеками, ограничением опоры и движений. В ряде случаев наблюдается крепитация, деформация и патологическая подвижность. Для уточнения диагноза назначают рентгенографию голеностопного сустава. Лечение чаще консервативное: по показаниям осуществляется репозиция, на лодыжки накладывается гипсовая повязка. При неэффективности закрытой репозиции требуется операция.
МКБ-10


Общие сведения
Перелом лодыжек - одна из самых распространенных скелетных травм. Может возникать у пациентов любого возраста и пола, однако чаще страдают люди среднего и пожилого возраста, что обусловлено ухудшением координации движений и общей физической формы. Частота переломов лодыжек резко увеличивается зимой, особенно в период гололедицы. Повреждение может сопровождаться или не сопровождаться разрывом связок, подвывихом и смещением отломков. Бывает одно-, двух- или трехлодыжечным. Прогноз, а также тактика и сроки лечения зависят от особенностей перелома.
Патология может сочетаться с переломами других костей конечностей, повреждением грудной клетки, ЧМТ, переломом таза, тупой травмой живота, повреждением почки и т. д. Изолированные переломы лодыжек, как правило, закрытые. При сочетанной травме нередко наблюдаются открытые повреждения и размозжения. Лечение осуществляют врачи-травматологи.

Причины
Обычно перелом лодыжек является изолированным повреждением, возникает в результате подкорачивания ноги. Реже патология обнаруживается в составе сочетанной травмы. В последнем случае перелом может быть обусловлен ударом, падением тяжелого предмета или сдавлением области голеностопного сустава при автодорожной либо производственной аварии.
Классификация
В зависимости от механизма повреждения в травматологии и ортопедии различают следующие виды переломов лодыжек:
- Пронационно-абдукционные. Возникают при чрезмерном насильственном поворачивании стопы кнаружи. Характерны отрывы внутренней лодыжки у основания в сочетании с переломом наружной лодыжки на уровне сустава или на 5-7 см выше него, в самой тонкой части малоберцовой кости. Возможен разрыв передней межберцовой связки с незначительным (1-2 мм) расхождением берцовых костей. В тяжелых случаях наблюдается разрыв обеих межберцовых связок с образованием выраженного подвывиха кнаружи.
- Супинационно-аддукционные. Возникают при насильственном чрезмерном повороте стопы кнутри. Характерен перелом наружной лодыжки на уровне сустава либо отрыв верхушки наружной лодыжки. Линия излома внутренней лодыжки располагается выше, чем при пронационно-абдукционных переломах, и нередко захватывает нижневнутреннюю часть большеберцовой кости. Возможен подвывих стопы кнутри.
- Ротационные переломы. Образуются при чрезмерном выворачивании стопы (как правило, кнаружи, реже - кнутри). Обычно наблюдается перелом обеих лодыжек на уровне сустава, при форсированном воздействии возможен также отрыв заднего края большеберцовой кости с образованием треугольного отломка.
- Изолированные сгибательные переломы заднего края большеберцовой кости. Образуются при насильственном подошвенном сгибании стопы, выявляются очень редко. Сопровождаются образованием треугольного отломка. Смещение, как правило, отсутствует.
- Изолированные разгибательные переломы переднего края большеберцовой кости. Образуются при насильственном тыльном сгибании стопы или при прямом ударе по передней поверхности голеностопного сустава. При такой травме треугольный отломок образуется не по задней, а по передней поверхности большеберцовой кости, обычно наблюдается смещение фрагмента кпереди и кверху.
- Комбинированные (сочетанные). Возникают при одновременном действии нескольких перечисленных выше механизмов.
В клинической практике переломы одной лодыжки называют однолодыжечными, переломы обеих лодыжек (внутренней и наружной) - двухлодыжечными, переломы обеих лодыжек и переднего или заднего края большеберцовой кости - трехлодыжечными. Одно- и двухлодыжечные повреждения в 50-70% случаев не сопровождаются смещением фрагментов. Трехлодыжечные переломы относятся к категории тяжелых повреждений, при них, как правило, наблюдается выраженное смещение, расхождение вилки голеностопного сустава, подвывих и разрыв связок.
Симптомы перелома лодыжек
Пациент жалуется на боль в голеностопе или области травмированной лодыжки. Выраженность симптомов напрямую зависит от степени повреждения связочного аппарата, а также от смещения лодыжек, стопы и периферического конца большеберцовой кости. При повреждениях без смещения (особенно однолодыжечных) клиническая картина может напоминать ушиб или надрыв связок. Отек локальный, кровоизлияния в области сустава выражены незначительно или отсутствуют. Опора и движения умеренно затруднены. Осевая нагрузка по оси голени болезненна, но возможна. При пальпации боль локализуется выше верхушки лодыжек. Выявляется положительный «симптом иррадиации» - боль в области лодыжек при сжатии костей голени в средней трети.
При переломах со смещением сустав сильно отечен, деформирован. Кожа с синюшным или багровым оттенком, имеются выраженные кровоподтеки, иногда распространяющиеся на тыл стопы и подошву. Лодыжки не контурируются из-за отека. Между голенью и стопой образуется угол, открытый кнаружи или кнутри (в зависимости от вида подвывиха). Отмечается патологическая подвижность, в некоторых случаях определяется крепитация. Движения и опора невозможны из-за боли.
Диагностика
Переломы лодыжек следует дифференцировать с повреждением связок голеностопного сустава. При переломах боль, как правило, локализуется выше, максимальная болезненность определяется при пальпации костей, а не мягкотканных образований. Для постановки окончательного диагноза назначается рентгенография голеностопного сустава в двух стандартных проекциях (боковой и переднезадней). На снимках определяются линии изломов, направление и степень смещения отломков, вид подвывиха и степень расхождения берцовых костей. В сомнительных случаях назначают КТ голеностопного сустава, при необходимости оценить состояние мягкотканных структур - МРТ голеностопного сустава.

Лечение перелома лодыжек
Репозиция и гипсовая иммобилизация
Основной задачей при лечении повреждений лодыжек является точное восстановление нарушенных анатомических соотношений между различными элементами голеностопного сустава, поскольку без такого восстановления нормальное функционирование сустава невозможно. При переломах без смещения соотношение между элементами сустава не нарушено, поэтому достаточно наложить гипсовую повязку сроком на 4-8 недель. При переломах со смещением проводится одномоментная закрытая репозиция.
Репозиция осуществляется под местной анестезией в условиях стационара. При подвывихе сустава кнаружи травматолог одной рукой надавливает на наружную поверхность сустава, а другой - на внутреннюю поверхность голени выше лодыжки. После вправления подвывиха он сдавливает вилку голеностопного сустава, устраняя расхождение берцовых костей. При подвывихе сустава кнутри проводятся аналогичные манипуляции, но руки травматолога располагаются наоборот: одна - на внутренней поверхности сустава, вторая - на наружной поверхности голени выше лодыжки.
При повреждении заднего края большеберцовой кости стопу выводят вперед, производя тыльное сгибание, при повреждении переднего края - назад, производя подошвенное сгибание. Затем на ногу накладывают гипсовый сапожок в положении гиперкоррекции и выполняют контрольные снимки. Пациенту назначают обезболивающие и УВЧ. После спадания отека гипс циркулируют. Срок иммобилизации зависит от характера повреждения и составляет 4 недели при однолодыжечных переломах, 8 недель - при двухлодыжечных переломах и 12 недель - при трехлодыжечных переломах.
Хирургическое лечение
Показанием к хирургическому вмешательству является неустранимое смещение лодыжек, подвывих стопы и расхождение вилки сустава, а также невозможность удержания фрагментов в правильном положении. Кроме того, операции проводят при несросшихся переломах, интенсивных болях, выраженных нарушениях функции и статики. При свежих повреждениях хирургическое вмешательство обычно осуществляется на 2-5 день после травмы, при застарелых - в плановом порядке.
Внутреннюю лодыжку фиксируют двухлопастным гвоздем или винтами. При разрывах межберцового синдесмоза производят сближение берцовых костей, используя длинный винт или специальный болт. Для фиксации наружной лодыжки применяют гвоздь или спицу. При переломах заднего и переднего края производят остеосинтез лодыжек винтом или гвоздем. Затем рану послойно ушивают и дренируют, на ногу накладывают гипс. В послеоперационном периоде проводят антибиотикотерапию, назначают анальгетики, УВЧ и лечебную физкультуру. После снятия гипса осуществляют мероприятия по разработке сустава.
Прогноз и профилактика
Переломы лодыжек без смещения, как правило, хорошо срастаются и в дальнейшем не доставляют неудобства пациентам. Иногда отмечаются нерезкие боли, связанные с изменением погоды или со значительной нагрузкой на сустав. При правильно отрепонированных переломах со смещением изредка развивается посттравматический дистрофический болевой синдром - выраженные боли в стопе и голеностопном суставе, делающие невозможной опору на ногу. Причиной развития такого синдрома являются сосудистые и нейротрофические нарушения. Лечение консервативное - электрофорез с новокаином, парафин, новокаиновые блокады, ЛФК и витаминотерапия. Обычно выздоровление наступает в течение года.
Исходом нерепонированных переломов лодыжек со смещением становятся постоянные боли, деформация и отек сустава, ограничение движений, неустойчивость и неуверенность при ходьбе, хромота. Быстро развивается деформирующий артроз, который еще больше затрудняет опору и движения в голеностопном суставе. В подобных случаях требуются восстановительные операции, которые могут предусматривать иссечение рубцовых тканей, остеосинтез с применением различных металлоконструкций, использование костных трансплантатов и пластику связок. Профилактика заключается в проведении мероприятий по снижению уровня травматизма.
Операция при переломе лодыжки
Переломы лодыжек являются одной из наиболее частых причин обращения к травматологам-ортопедам.
Когда возможно консервативное лечение перелома лодыжек.
Консервативное лечение методом гипсовой иммобилизации возможно в ситуации изолированных переломов наружной или внутренней лодыжек без смещения костных фрагментов и повреждения связочных структур. Даже в случаях подобных изолированных повреждений сроки иммобилизации не могут быть меньше 6 недель, что в конечном счёте значительно затрудняет реабилитацию и может приводить к более продолжительным срокам нетрудоспособности в сравнении с оперативным лечением. Плюсами консервативного лечения перелома лодыжек являются отсутсвие рисков связанных с самим оперативным вмешательством и наркозом, а также отсутсвие необходимости удалять металлофиксаторы в будущем.
Разнообразие переломов лодыжек.
Итак, подавляющее большинство переломов лодыжек требует оперативного вмешательства, при отсутсвии противопоказаний. Для планирования оперативного вмешательства и понимания взаимоотношений между различными анатомическими структурами в области голеностопного сустава и стопы, которые могут повреждаться при переломах лодыжек, существуют различные классификации. Наиболее широко распространённой в международной практике, подробной, и оценивающей все аспекты как собственно травмы, так и возможных путей её лечения является классификация АО. Вы можете найти её на сайте международной ассоциации остеосинтеза.
К сожалению данная классификация довольно сложная и громосткая, мы не будем приводить её здесь полностью, так как только её треть относящаяся к группе А выглядит примерно так:

Максимально упрощая, можно свести переломы лодыжек к одно\двух\трёх- лодыжечным переломам и их эквивалентам. Консервативное лечение применимо только в случае однолодыжечных переломов. При консеравтином лечении двух- и трёх-лодыжечных переломов и их эквивалентов вторичное смещение практически неизбежно, что приводит в дальнейшем к нарушению взаимоотношений между таранной костью и соответсвующих ей суставных поверхностей большеберцовой и малоберцовой костей, что в свою очередь приводит к неправильному распределению нагрузки, износу суставного хряща и формированию посттравматического артроза с грубым нарушением функции опоры и ходьбы уже в течение 1-2 лет после травмы. Именно это и объясняет возросший за последние 2 десятилетия интерес хирургов-ортопедов к данному виду травмы.
Цели операции при переломе лодыжек.
Главной целью хирургического лечения перелома лодыжек является восстановление нормального взаимоотношения костей в голеностопном суставе. Даже при смещении таранной кости кнаружи на 1 мм площадь её контакта с большеберцовым плато уменьшается на 40%. Получается что при сращении наружной лодыжки с, казалось бы, небольшим смещением в 1 мм кнаружи, на 60 % площади будет приходиться 100 % нагрузки.
Вторым важным моментом является обеспечение условий для сращения перелома за счёт плотного контакта костных фрагментов и их надёжной фиксации, предотвращающей движение отломков между собой.
Третьей целью является уход от иммобилизации. Гипсовая повязка сама по себе способна нанести значительный вред её обладателю за 6 недель, приводя к нарушению питания тканей, атрофии мышц, повышая риски тромбоза глубоких вен нижних конечностей, препятствуя движению в суставе, что в конечном счёте может приводить к его контрактуре. При правильно выполненном остеосинтезе движения в голеностопном суставе разрешаются уже на следующий день после операции. Вы можете посмотреть статью посвящённую операции при переломе лодыжки перейдя по этой ссылке.
Что происходит после того, как вы обратились в клинику с переломом лодыжек.
В нашем центре мы стараемся максимально быстро и эффективно оказывать помощь пациентам с переломами любой локализации, в том числе и с переломами лодыжек. Полное предоперационное обследование и операция выполняются в течение первых 24 часов после обращения. Выписка под наблюдения травматолога поликлиники в большинстве случаев происходит уже на вторые сутки после обращения и операции. При обращении вам выполнят рентгенограммы для подтверждения диагноза, будет наложена транспортная гипсовая иммобилизация. Непосредственно перед операцией с профилактической целью вводятся внутривенно антибиотики. Возможно использование спинномозговой анестезии или эндотрахеального наркоза. С целью снижения стресса от оперативного вмешательства за 10 минут до операции вас погрузят в медикаментозный сон, проснётесь вы также через 10 минут после её окончания. Во время операции ортопедический хирург произведёт открытое сопоставление отломков с их фиксацией пластинами и винтами. После операции вам понадобятся костыли, так как полная нагрузка всё равно не рекомендуется до сращения перелома. На следующий день после операции вам выполнят перевязку, научат как правильно ходить с дополнительной опорой на костыли и какие упражнения делать для разработки движений и укрепления мышц голени, после чего вы можете быть выписаны домой.
Операция при переломе лодыжек.
При переломе лодыжек выполняется оперативное вмешательство называемое: открытая репозиция и внутренняя фиксация, или остеосинтез. Для доступа к сломанной кости выполняются разрезы вне проекции крупных сосудисто нервных пучков.



Сломанная кость обнажается, производится сопоставление костных отломков, временная фиксация при помощи костодержателей, спиц, костных цапок. Далее выполняется остеосинтез при помощи пластин и винтов. Временная фиксация удаляется.
Производится гемостаз, рана послойно ушивается, накладывается асептическая повязка, эластическая компрессия.
Что происходит после операции при переломе лодыжек.
После операции нога должна находится на возвышении, через повязку на область оперативного вмешательства укладывается лёд (лучше всего мягкая резиновая грелка наполненная льдом и холодной водой) на 30 минут каждые 3 часа. Это позволяет уменьшить отёк и боль в зоне вмешательства. После операции вам будут вводиться обезболивающие и противовоспалительные препараты. Вечером в день операции или на следующий день после операции инструктор по лечебной физкультуре обучит вас каким образом надо правильно ходить с дополнительной опорой на костыли и покажет вам упражнения которые надо будет выполнять для сохранения массы и силы мышц голени. Утром на следующий день после операции вам сделают перевязку. После этого вы можете быть выписаны под наблюдение травматолога по месту жистельства. Дома также следует продолжать использовать возвышенное положение конечности и лёд для более быстрого спадения отёка и уменьшения болей. Через 2 недели после операции вам надо будет приехать в клинику для того чтобы снять швы. Через 6 недель производится рентгенконтроль и при наличии признаков консолидации разрешается нагрузка на ногу. Обычно требуется ещё около 2 недель для того чтобы полностью восстановить функцию конечности. На этом этапе очень полезно позаниматься с инструктором по лечебной физкультуре. Форсированные(спортивные) нагрузки на ногу не рекомендуются до 6-12 месяцев после травмы.
Осложнения операции при переломе лодыжек.
Существует ряд осложнений характерных для любого хирургического вмешательства и для любого вида анестезии. Операция при переломе лодыжек не исключение. К ним относятся инфекция, повреждение сосудов и нервов, кровотечение, тромбоз глубоких вен. Их риск не превышает 2 % от общего числа вмешатльств.
Также существуют специфические осложнения. К ним относятся тугоподвижность голеностопного сустава, слабость мышц голени, формирование посттравматического артрозп голеностопного сустава. Эти риски в значительной степени зависят от морфологии перелома, наличия сопутсвующих заболеваний, таких как диабет, аутоимунные заболевания требующие приёма стероидных препаратов, курение.
Нужно ли удалять пластины и винты после операции при переломе лодыжек.
Пластины и винты используемые в современной хирургической практики сделаны или сплава титана или хирургической стали не вызывающих реакции со стороны организма. Их удаление показано в случаях когда они вызывают раздражение мягких тканей за счёт механического их повреждения, в случаях инфекционных осложнений, а также при настойчивом желании пациента. Также зачастую требуется удаление позиционного винта через 6-8 недель при фиксации межберцового синдесмоза. Полное удаление металлофиксаторов при переломе лодыжек рекомендуется не ранее 12 месяцев после операции.
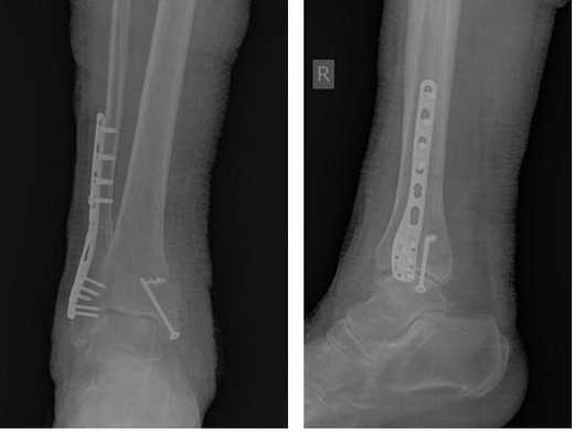
Клинический случай 1. Перелом обеих лодыжек с подвывихом стопы кнаружи.
44 В2-2
Пациентка Т. 80 лет. Травма за 3 недели до обращения, получила перелом обеих лодыжек правой голени со смещением, подвывихом стопы кнаружи. Обратилась в РТП, выполнена рентгенография, наложена гипсовая повязка. В связи с сохраняющимся выраженным отёком и болевым синдромом обратилась в клинику К+31.

На рентгенограммах в гипсе определяется значительный подвывих таранной кости кнаружи, консолидирующийся перелом нижней трети малоберцовой кости.

В день обращения пациентка послоностью обследована, проведено оперативное лечение, открытая репозиция, остеосинтез перелома нижней трети малоберцовой кости пластиной, внутренней лодыжки винтом, внутренняя лодыжка дополнительно фиксирована анкерным фиксатором.

На контрольных рентгенограммах после операции положение отломков, металлофиксаторов правильное, подвывих таранной кости устранён.
Пациентка выписана на 2 сутки после операции на амбулаторное долечивание.
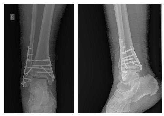
Клинический случай 2. Перелом обеих лодыжек с вывихом стопы кнаружи, кзади.
44 А3-3
Пациентка Л. 50 лет, травма в быту, получила закрытый перелом обеих лодыжек с вывихом стопы кнаружи и кзади. Данный случай интересен значительным повреждением мягких тканей произошедшем при травме и потребовавшем значительных усилий в борьбе с отёком, а также морфологией перелома внутренней лодыжки, сломавшейся одним большим блоком вместе с задним краев большеберцовой кости, что потребовало её фиксации при помощи пластины и винтов.

В связи с выраженным отёком мягких тканей, высоким риском некроза краёв ран и инфекционных осложнений пациентке с целью предоперационной подготовки выполнялись скелетное вытяжение, сосудистая и метаболическая терапия, лимфодренаж, физиотерапия. После спадения отёка, на 3 день после поступления выполнено оперативное вмешательство: открытая репозиция, остеосинтез переломов наружной и внутренней лодыжек пластинами и винтами.

Через 4 дня пациентка выписана на амбулаторное долечивание. Послеоперационные раны зажили первичным натяжением, швы удалены через 14 дней.
Через 6 недель после первичного вмешательства произведено удаление позиционного винта, пациентка приступила к активной разработке движений в голеностопном суставе.
Амплитуда движений через 8 недель после травмы и оперативного вмешательства по поводу этого тяжёлого повреждения близка к полной. Пациентка ходит с полной опорой, не используя костыли или трость, не хромает, боли не беспокоят. Сохраняется умеренный отёк в области голеностопного сустава.
Перелом лодыжки

Перелом лодыжки — это самое распространенное повреждения кости. Связано это с особенностью ее строения и большой нагрузкой на нее. В большинстве случаев пациенты называют лодыжки щиколотками.
Анатомия голеностопного сустава
Голеностоп соединяет кости стопы с костями голени. Лодыжки - это дистальные отделы большеберцовой и малоберцовой кости.
Строение голеностопа довольно сложное: он образован таранной костью и костями голени, которые связаны между собой хрящевой и мышечной тканью. Каждый сустав имеет разветвленную сеть кровеносных сосудов и нервов, которые обеспечивают трофику тканей и слаженность движения конечности.
В случае травмы все это нарушается и при неправильном лечении никогда не восстанавливается полностью.
Причины и симптомы перелома лодыжки
Главной причиной перелома щиколотки являются прямые (удар) и непрямые (подворачивания нижней конечности) травмы.
Непрямые травмы встречаются чаще. Они могут возникнуть при падении во время гололеда, спортивных тренировок, катание на роликах и сноуборде, подскальзывание на мокром полу и т. д.
Причинами прямых травм лодыжки могут быть автомобильные аварии, падение на ногу чего-нибудь тяжелого и т.д.
Перелом лодыжки сопровождается:
- Болевым синдромом;
- Отеком мягких тканей;
- Гематомами;
- Нарушением функции сустава.
Диагностика перелома лодыжки
Диагностируют перелом лодыжки методом рентгенографии в прямой, косой и боковой проекции.
В сложных случаях назначается компьютерная и магнитно-резонансная томография, ультразвуковое исследование голеностопа.
Первая помощь при переломе наружной лодыжки
При переломе лодыжки пострадавшего нужно доставить в травмпункт. Лучше вызвать карету «Скорой помощи». Когда же нет такой возможности, придется организовать носилки из подручных средств и доставить пострадавшего в ближайшее медучреждение.
До приезда медиков больному нужно оказать доврачебную помощь:
Поврежденную конечность аккуратно согнуть в коленном суставе и расположить ступню, так чтобы пятка была по отношению к голени под прямым углом. Наложить импровизированную шину и зафиксировать ее бинтом, поясом, ремнем и т.д.
Лечение перелома лодыжки
Лечат перелом лодыжки консервативным и хирургическим путем.
Консервативные методы лечения используют в следующих случаях:
- Закрытий перелом без смещения;
- Перелом со смещением, но возможна одномоментная закрытая репозиция;
- Незначительное повреждение связок голеностопа;
- Нельзя провести операцию (риск наркоза при серьезных заболеваниях, отказ пациента, некоторые патологии ССС и ЦНС, декомпенсированный сахарный диабет).
Этапы консервативного лечения перелома лодыжки:
- Закрытое вправление (репозиция) кости.
- Наложение гипсовой повязки.
- Снятие гипса.
Показание к хирургическому методу терапии:
- Открытый перелом;
- Неэффективность закрытой репозиции (вправлении);
- Застарелые травмы;
- Повреждение обоих конечностей;
- Разрыв связочного аппарата голеностопного сустава;
- Повреждение лодыжки с одновременным переломом большеберцовой и малоберцовой кости, разрывом связок и подвывихом стопы кнаружи.
Реабилитация после перелома лодыжки
В течение первых 3 недель после оперативного вмешательства на больную конечность вставать категорически запрещено. Передвижение на костылях возможно только спустя это время. Гипс после хирургического вмешательства обычно накладывают минимум на 2 месяца. После его снятия некоторое время показано ношение эластичного бинта.
Если в качестве фиксаторов были использованы изделия из титана, то с ними можно жить долгое время. Если же фиксаторы выполнены из других металлов, то их нужно удалить максимум через полгода.
Передвижение без костылей разрешено минимум через 3 месяца.
На восстановления сустава требуется от 3 до 24 месяцев.
Время зависит от возраста больного, его физического состояния, сложности перелома.
При реабилитации перелома лодыжки показана:
- Лечебная физкультура;
- Массаж;
- Физиолечение;
- Диета, обогащенная кальцием.
Курс реабилитации подбирается индивидуально в зависимости от тяжести перелома лодыжки.
Удаление металлоконструкции после остеосинтеза
Операция по удалению металлоконструкций после остеосинтеза переломов
Несколько доводов:
- В любом случае, это инородное тело и никто не спрогнозирует, как металл поведет себя через несколько лет, хоть это и высокотехнологичный сплав титана. Это и металлозы, и нагноения металлоконструкций, вплоть до такого осложнения как остеомиелит.
- Если металлоконстукция начнет мешать через 3 или более лет, то костная мозоль так "обрастет" пластину или винты, или стержень, что будет очень сложно технически её удалить. Поэтому имплантаты нужно удалять в плановом порядке примерно через год после установки.
Другое дело - удаление конструкций из костей таза часто сопровождается обильным кровотечением, обширными повреждениями тканей, риском травматизацией тазовых органов. Вследствие этого извлечение имплантатов нужно производить только при появлении абсолютных показаний — присоединении осложнений, признаков отторжения имплантата и др. Планово удалить можно только конструкции, фиксирующие лонное сочленение, при этой операции можно избежать обширной травматизации.
Экстренное удаление металлоконструкций
Показаниями к экстренному удалению могут стать:
- глубокое нагноение,
- непереносимость материала, из которого изготовлен имплантат,
- нестабильная фиксация,
- формирование ложного сустава,
- отсутствие признаков образования костной мозоли в течение долгого времени.

Технически удаление остеосинтеза является несложной операцией, если металлоконструкция установлена правильно, по принятой методике. При наружном расположении спиц производится простое механическое удаление. При внутрикостной фиксации с помощью штифтов, гвоздей, винтов производится полноценная операция под проводниковой анестезией или наркозом. Как правило это внутрисуставное внедрение. Рассечение кожи происходит с иссечением первичного рубца, либо без иссечения. Вскрывается суставная сумка, производится механическое удаление конструкции специальными инструментами с последующим зашиванием сумки, мягких тканей, кожного покрова.

Для определения состояния имплантата непосредственно перед операцией производится контрольная рентгенография, для опрелеления возможной миграции винтов или спиц. Также применение компьютерной томографии.
Удаление металлоконструкций после остеосинтеза.
Удаление имплантатов из бедра, голени, плеча и предплечья, ключицы обычно производится в плановом порядке после формирования полноценной костной мозоли и надежной консолидации места перелома. Показания к экстренному вмешательству возникают нечасто, но пациент все равно требует регулярного осмотра.
Удаление спиц после операции
Спицами Киршнера в основном фиксируют мелкие кости и суставы (пальцы стопы и кисти, плюсневые и пястные кости). Иммобилизация проводится, как правило, в течение 4-6 недель после операции. Факсация может быть как наружной, т.е. конец спицы находится над поверхностью кожи, так и внутренней, т.е. спица полностью погружена под кожу для снижения риска инфицирования и неудобств пациента. Исполюзуется для временной фиксации. Так же существует погружной остеосинтез спицами и проволокой для остеосинтеза более крупных костей по Веберу, например, при:
Удаление спиц и проволоки после остеосинтеза надколенника по Веберу
При переломах надколенника (коленной чашечки) со смещением отломков выполняется операция остеосинтеза, т.е. скрепление костных фрагментов для восстановления целостности кости и соответственно функции коленного сустава. Так как при отказе от операции пациент рискует остаться инвалидом.
Для остеосинтеза надколенника в подавляющем большинстве случаев используется методика Вебера. Когда костные отломки скрепляются двумя титановыми спицами Киршнера и дополнительно стягиваются титановой проволокой 8 образно. Это позволяет быстро и очень эффективно восстановить поврежденную кость и что немаловажно металлоконструкция минимальна по стоимости. Но у нее есть один большой минус. Очень часто пациенты испытывают дискомфорт и боль в области мпиц и проволоки, так как она находится правктичекски сразу под кожей. Поэтому часто выполняется удаление металлоконструкции из надколенника.

После того как кость срослась и металлоконструкция выполнила свою функцию ее можно удалить. Полное сращение кости происходит за 6- 8 месяцев, в некоторых случая 1 год. Именно спустя этот срок можно удалять металл.
Перед данной операцией нужно выполнить стандартные анализы крови; список можно посмотреть здесь.
Операция зачастую выполняется в условиях дневного стационара, т.е. через несколько часов после операции пациент может уйти домой. Анестезия местная, проводниковая либо наркоз. Непосредственно сама операция по времени занимает 30 минут. Найти проволку и спицы, как правило, не представляет труда для хирурга. После того как металлоконструкция удалена проводится зашивание раны и наложение асептической повязки. Пациент приходит на перевязки в первые сутки, далее можно перевязываться самостоятельно либо в лечебном учреждении рядом с домом. Швы необходимо снять через 14 дней после операции. В раннем послеоперационном периоде назначаются обезболивающие и антибактериальные препараты.
Примерно через 1 месяц после операции по удалению металлоконструкции из надколенника можно постепенно увеличивать нагрузку и возвращаться в свой обычный ритм жизни.
Удаление пластины после операции
Пластинами и винтами фиксируют практически любые кости человеческого тела. Это очень надежный и удобный метод остеосинтеза. На сегодняшний день существуют огромное количество пластин различной формы, размеров и модификации для определенного вида перелома. Самые распространенные примеры остеосинтеза пластинами это:
- Остеосинтез ключицы;
- Остеоситез плечевой кости
- Остеосинтез наружной лодыжки;
- Остеосинтез переломов голени;
- Остеосинтез пястных и плюсневых костей;
- Остеосинтез лучевой и локтевой кости.

Удаление стержня (штифта) после операции
Внутрикостными (интрамедуллярными) стержнями с блокированием винтами или, как еще их называют, штифтами выполняют фиксацию переломов трубчатых костей, а в частности поперечных и винтообразных переломов с небольшим количеством отломков и осколков. Также предпочтение для внутрикостного остеосинтеза отдают ввиду скорости операции, миниинвазивности и малой травматичности операции. Стоит сказать, что фиксация стержнями очень хорошая и дозированную нагрузку на оперированную конечность разрешают давать уже через нечколько дней.
После успешной операции и сращения перелома, как правило, удаляют динамический винт и увеличивают нагрузку на конечность, для полного сращения перелома. Через 1 год после операции, когда перелом полностью сросся, в плановом порядке выполняется удаление винтов и стержня.
Почти всегда операция по удалению стержня не занимает более 30 минут, Удаление происходит с использованием подобных инструментов как и при установке.
Сложности при удалении стержня могут возникнуть, он установлен некорректно. Либо резьба и шляпки винтов сорваны. В таком случае нужно будет высверливать винты и стержень.


Удаление спицестержневого аппарата, аппатата Илизарова после операции
Удаление аппарата Илизарова не представляет сложности, так как спицы и стержни расположены над кожей. После выполнения общей или регионарной анестезии выполняется "скусывание" спиц и удаление их из кости. При наличии стержней, они выкручиваются. Раны обрабатывают растворами антисептиков, накладывают асептичесие повязки.

В нашей клинике производится удаление всех видов металлоконструкций .
Стоимость удаления металлоконструкции зависит от сложности операции и локализации имплантата, так же от вида анестезии, которая необходима для удаления.
Читайте также:
