Факторы риска осложнений клипирования аневризм мозга. Частота
Добавил пользователь Евгений Кузнецов Обновлено: 01.11.2025

Аневризма сосудов головного мозга - это серьезное заболевание, при котором в стенке артерий головного мозга образуется локальное выпячивание, обусловленное истончением и потерей эластичности пораженного участка стенки. Как показывает статистика, с данной патологией сталкивается около 5% населения. При отсутствии лечения она может осложняться таким жизнеугрожающим состоянием, как разрыв аневризмы. Основным методом лечения этой болезни является хирургическое вмешательство. В данное статье мы поговорим о такой оперативной технике, как клипирование аневризмы сосудов головного мозга.
Суть метода, его преимущества и недостатки

В 2012 году ученые из Новосибирского научно-исследовательского института патологии кровообращения им. акад. Е.Н. Мешалкина опубликовали работу, по результатам которой было установлено, что микрохирургическое клипирование остается достаточно надежным и эффективным методом выключения церебральных аневризм для пациентов, находящихся в хорошем клиническом состоянии.
Клипирование аневризм сосудов головного мозга является довольно сложной операцией, требующей проведения трепанации черепа. Суть данного метода заключается в наложении специального устройства, называемого клипсой, на шейку аневризмы с внешней стороны сосуда. Таким образом патологически измененный участок отсекается от общего кровотока.
Как мы уже сказали, первоочередным недостатком данного метода является сложность проведения операции. Кроме этого, осуществить клипирование не удастся в том случае, если аневризма расположена глубоко в головном мозге. Также нельзя исключать вероятность развития различных послеоперационных осложнений.
Однако, несмотря на это, клипирование аневризм сосудов головного мозга считается одним из наиболее эффективных методов выключения пораженного сосудистого участка из мозгового кровотока.
Показания и противопоказания к операции
Основными показаниями к проведению клипирования аневризмы являются размер выпячивания более 7-10 миллиметров, а также наличие риска разрыва патологически измененного участка сосуда.
Абсолютными противопоказаниями являются:
- Сосудистый спазм, выявляющийся с помощью рентгеноконтрастного исследования;
- Тяжелые соматические патологии в стадии обострения;
- Нарушение свертываемости крови;
- Декомпенсированный сахарный диабет;
- Острые инфекции.
Возможные осложнения и прогноз

Как показывает статистика, с различными осложнениями при проведении клипирования аневризмы сосудов головного мозга сталкиваются около 8% пациентов, для 10% из которых все заканчивается летальным исходом.
Данная операция может сопровождаться как незначительными, так и крайне серьезными осложнениями. В ближайшем периоде пациент может столкнуться с повторными кровотечениями, послеоперационным спазмом сосудов, тромбоэмболией.
В отдаленном периоде нередко наблюдаются частые головные боли, речевые и психомоторные расстройства, проблемы с памятью, двигательные нарушения и так далее.
Прогноз при таком хирургическом вмешательстве более чем в 80% случаев благоприятный. Большинству пациентов удается вернуться к исходному образу жизни, части из них - к трудовой деятельности.
Читайте далее

Мозг ребенка и жиры пищи: зачем нужны омега-3 кислоты?
Питание многих детей к школьному возрасту существенно отличается от здорового, сбалансированного рациона.
Аневризма сосудов головного мозга: симптомы неразорвавшейся и разорвавшейся аневризм

Под термином «аневризма» понимают выпячивание стенки сосуда, происходящее по причине ее истончения или сильного растяжения. Такая патология сосудов может быть как приобретенной, так и врожденной. Аневризма сосудов головного мозга - нередко встречающаяся патология с высоким процентом смертности. Кроме того, данная патология представляет сложности в плане диагностики, так как при небольших размерах эта сосудистая аномалия может протекать бессимптомно. Яркая симптоматика возникает лишь при осложнении - разрыве аневризмы с кровоизлиянием. На этом этапе не всегда есть возможность спасти пациента - обширные кровоизлияния могут приводить к коматозным состояниям, инвалидизации и смерти.
Распространенность заболевания

По данным статистики, аневризмы сосудов головного мозга встречаются примерно у 5% населения. В большинстве случаев данная аномалия имеет небольшие размеры и может не быть диагностированной при жизни, представляя собой находку на столе патологоанатома. Примерно в 50% случаев аневризмы небольших размеров не сопровождаются разрывом, протекают бессимптомно или с невыраженной симптоматикой.
Актуальность данной проблемы заключается в том, что при разрыве имеющейся аневризмы очень высок риск инвалидизации и смертности. Так, по данным исследований, проводившихся американскими учеными совместно с учеными из Англии, было установлено, что около 50% случаев нетравматических субарахноидальных кровоизлияний происходит по причине разрыва артериальной аневризмы. При этом частота летальных исходов после первичного разрыва составляет около 30%, тогда как при повторных разрывах эта цифра приближается к 70%.
У кого развивается аневризма?
От данной патологии никто не застрахован, так как неизвестны причины, по которым развиваются аневризмы сосудов головного мозга. Тут мнения специалистов разделяются. Часть считают, что чаще всего такие образования - врожденные, образующиеся в результате дефекта сосудистой стенки. Другие отрицают эту теорию, придерживаясь мнения, что аневризма всегда является вторичной по отношению к какому-либо заболеванию, на фоне которого она возникает.
Считается, что аневризмы головного мозга не имеют какой-либо закономерности в своем развитии и выявляются у случайных лиц. Однако есть данные о том, что в редких случаях заболевание может носить наследственный характер. По половому признаку различий не отмечается - их диагностируют одинаково часто как у мужчин, так и у женщин. Встречаются они и у детей.
Еще известно, что аневризмы головного мозга могут быть ассоциированы с некоторыми заболеваниями. Так, эта сосудистая аномалия часто встречается у пациентов с поликистозной болезнью почек, при синдроме Марфана, фибромышечной дисплазии.
Приобретенные аневризмы артерий головного мозга связывают с патологическими изменениями сосудистой стенки и гемодинамики в целом.
К провоцирующим факторам развития аневризм относят истончение сосудистой стенки вследствие каких-либо болезней (например, дисплазии соединительной ткани или воспалительных заболеваний сосудистой стенки), а также кратковременные или продолжительные подъемы артериального давления (при артериальной гипертензии).
Симптомы аневризмы головного мозга без разрыва
Если выпячивание в стенке артерии имеет небольшие размеры, то аневризма может не давать о себе знать. Такие аномалии сосудистой стенки протекают бессимптомно и могут выявляться случайно при обследованиях.
Клиническую симптоматику дают аневризмы гигантских размеров - диаметром свыше 2,5 см. Своими размерами такая аневризма сдавливает ткань мозга и черепные нервы, симптомы при этом похожи на таковые при опухолях мозга, их выраженность и характер зависят от области мозга, которая подвергается компрессии.
Наиболее частой жалобой пациентов с аневризмой на этапе, когда еще не произошел ее разрыв, являются периодические головные боли, боли в области глазниц. Нередко при этом больным ставится диагноз «мигрень», потому как болевой синдром очень напоминает это заболевание.
Симптомы разорвавшейся аневризмы головного мозга

Яркую клиническую картину имеют разорвавшиеся аневризмы. Как правило, симптомы появляются внезапно, пациент предъявляет жалобы на резко возникшую головную боль, может наблюдаться рвота, в тяжелых случаях - потеря сознания и кома. Разрыву может предшествовать физическое напряжение или сильное эмоциональное потрясение, но иногда кровоизлияние может случиться спонтанно.
При обследовании пациента с разрывом внутричерепной аневризмы и образованием субарахноидального кровоизлияния выявляют наличие менингеальных симптомов, светобоязнь, очаговые симптомы.
Особенностью разорвавшихся аневризм головного мозга является способность их к повторным кровоизлияниям. После первичного кровоизлияния стенки сосудов могут спазмироваться, а кровь - превратиться в сгусток. Но спустя какое-то непродолжительное время (чаще всего через 2-3 недели) снова может случиться кровоизлияние. После повторного кровоизлияния, как правило, прогноз становится неблагоприятным, пациент может остаться инвалидом или не выжить совсем.
Так почему у одних пациентов аневризмы протекают без разрыва, а у других разрываются с образованием кровоизлияний головного мозга? Украинскими медиками в период с 2009 по 2012 год было проведено исследование, в котором участвовали пациенты с разорвавшимися и неразорвавшимися аневризмами. Изучив их истории болезни и проведя необходимые исследования, были выявлены, так называемые, факторы риска разрыва аневризмы головного мозга:
- возраст пациента старше 50 лет;
- расположение аневризмы в бассейне средней или передней мозговой артерии
- размер образования более 5 мм.
Такие знания позволят выбрать наиболее подходящий вариант лечения на этапе, когда аневризма еще не разорвалась.
Принципы лечения
Лечение включает в себя консервативные и хирургические методы (клипирование, эмболизация). Статистика показывает, что применение хирургических вмешательств значительно сокращает процент летальности по сравнению с применением только медикаментозных способов лечения.
Лучшие результаты дает оперативное вмешательство в догеморрагический период - когда аневризма еще не разорвалась.

Пройдите этот тест и узнайте, во сколько баллов - по десятибалльной шкале - можно оценить состояние вашего здоровья.
Аневризма: жизнь под дулом пистолета

Аневризма — скрытая угроза, готовая, в буквальном смысле, прорваться в любой момент. Что мы знаем об аневризме и насколько она действительно опасна, разбирался MedAboutMe.
Что такое аневризма?
Вообще аневризмой называют выпячивание стенки кровеносного сосуда, которое возникает из-за его растяжения или истончения. При этом формируется аневризматический мешок — образование, которого не должно быть по плану строения организма. Это «лишнее» образование может давить на окружающие ткани. И если эти ткани состоят из нейронов, как в головном мозге, то аневризма может проявляться головными болями, например. Но человеческий организм пластичен и умеет приспосабливаться к своим недостаткам. Поэтому аневризма годами, а иногда и на протяжении всей жизни человека, может оставаться незамеченной.
Аневризмы могут развиваться на разных сосудах. По месту локализации выделяют следующие их основные разновидности:
- Аневризмы аорты.
- Аневризмы периферических сосудов.
- Аневризмы сосудов головного мозга.
Откуда берется аневризма головного мозга?

Нередко дефект сосудов головного мозга является врожденным. В 20% случаев от общего числа таких аневризм в семье пациента уже встречались аналогичные патологии — у двух и более родственников. Поэтому считается, что наследственный фактор играет роль при развитии аневризмы.
Существует также ряд генетических заболеваний, повышающих риск расслоения стенки кровеносного сосуда, образования и разрыва аневризмы — синдром Элерса-Данлоса, синдром Марфана и др.
Здоровье человека в немалой степени определяет риск формирования аневризмы. Например, перенесенное заболевание головного мозга или его травмы повышают вероятность данной патологии. Некоторые вредные привычки тоже приводят к повреждению стенок сосудов кровеносной системы и провоцируют формирование аневризмы. Существует также целый ряд заболеваний, наличие которых повышает риски формирования аневризмы:
- гипертония;
- дисплазия соединительной ткани;
- артериовенозная мальформация головного мозга;
- коарктация аорты;
- атеросклероз и др.
Как аневризма головного мозга влияет на здоровье?

На ранних этапах своего формирования, когда аневризма еще небольшая, она может оставаться совершенно незаметной для самого человека и никак не влиять на его здоровье. Со временем, если аневризматический мешок растет, он, как было сказано выше, начинает давить на окружающие ткани: отдельные участки головного мозга, нервы и сосуды, питающие их. Коварство аневризмы головного мозга в том, что в 75% случаев при этом не проявляется никаких симптомов, и человек до последнего трагического момента остается в неведении.
Но каждый четвертый пациент с аневризмой в определенный момент начинает страдать от необъяснимых приступов головных болей или болей в области лица. Среди других симптомов того, что в мозге пациента что-то не так:
- появление ауры и иные зрительные расстройства — если аневризма расположена близко к оптическим нервам;
- нарушение восприятия звуков и запахов, изменение чувствительности к ним, сбои в работе мимических мышц, иные нарушения работы черепно-мозговых нервов;
- тошнота, расстройства координации;
- судороги;
- транзиторные ишемические атаки — острые нарушения кровообращения головного мозга, которые могут продолжаться до 24 часов.
Аналогичные симптомы могут наблюдаться при мигренях, а также при опухолях головного мозга, которые, в свою очередь, могут быть причиной мигрени. В любом случае, такие симптомы — повод для обращения к врачу.
Главная опасность аневризмы головного мозга заключается в том, что истонченная стенка сосуда может разорваться. Это чревато кровоизлиянием в окружающие ткани, то есть, развивается геморрагический инсульт. В 40% случаев человек при этом погибает. Из тех, кому удалось пережить разрыв аневризмы головного мозга, 66% получают тяжелые и необратимые его повреждения.
Женщины чаще страдают от разрывов аневризмы: на слабый пол приходится 60-65% от всех таких случаев. Чаще всего аневризмы рвутся в возрасте 30-60 лет. Крайне редко они встречаются и у детей.
Врачи указывают, что в слабой форме все вышеперечисленные симптомы могут начать проявляться за 2-3 недели до разрыва аневризмы. Если успеть своевременно обратиться к врачу, то шансы на жизнь у такого пациента повышаются. В список подозрительных симптомов, входят следующие:
- судороги;
- головокружения и заглазничная боль;
- шум в ушах;
- опущение верхнего века и двоение в глазах;
- расстройства речи.
При этом подобные симптомы могут говорить о множестве других заболеваний. Самодиагностика аневризмы невозможна без аппаратного обследования и консультации невролога и нейрохирурга.
Возможных пациентов должен утешить следующий факт: несмотря на то, что аневризма головного мозга есть у 2-3% всего населения земного шара, ее разрыв происходит лишь у 9 из 100 тысяч этих людей.
Какие действия повышают риск разрыва аневризмы?

Итак, предположим, что у человека есть аневризма сосуда головного мозга. Какие ситуации или действия могут спровоцировать ее разрыв? Спектр таких факторов обширен и затрагивает все, без исключения, сферы человеческой жизни.
Прежде всего, это те ситуации, при которых возрастает артериальное давление или происходит повреждение стенок кровеносных сосудов. Самыми значимыми факторами риска являются:
- Курение. Считается ключевым по силе воздействия фактором.
- Наркотики. Самый опасный — кокаин, он сужает кровеносные сосуды, повышает артериальное давление и частоту сердечных сокращений.
- Алкоголь. В любых количествах опасен для человека с аневризмой.
Но, кроме традиционно вредных привычек, опасность разрыва аневризмы возрастает при совершении многих вполне безобидных, на первый взгляд, действий:
- любовь к кофе и регулярное его употребление повышает риск на 10,6%;
- газированные напитки — на 3,5%;
- физическая активность, например, интенсивные тренировки — на 7,0%;
- натуживание в процессе дефекации — на 3,6%;
- сильный испуг — на 2,7%;
- злость не так опасна — риски возрастают только на 1,3%;
- даже банальное высмаркивание носа может спровоцировать разрыв аневризмы головного мозга — вероятность увеличивается на 5,4%;
- и, наконец, половой акт — это прекрасное занятие повышает опасность разрыва на 4,3%.
Мифы об аневризме

Значит ли это, что нельзя злиться, чихать, высмаркиваться и заниматься любовью, а также надо немедленно отказаться от кофе и посещения спортзала? — Нет.
Но люди боятся неизвестного. Нередко наличие аневризмы обнаруживается только после ее разрыва — и среди населения ходит множество подобных историй о молодых и красивых, умерших внезапно и на месте. Часто эта патология выявляется случайно, в ходе УЗИ, МРТ или рентгенологического обследования головного мозга по какому-то иному поводу. И тогда человек впадает в панику и ищет признаки скорой смерти в любых изменениях своего организма. Но надо помнить статистику: подавляющее большинство населения с аневризмой в голове не знает и так никогда и не узнает, что она у них имеется.
Можно выделить два основных мифа об аневризме, которые волнуют человечество.
Нет, это не так. Врачи придерживаются того мнения, что оперировать аневризму следует, если она угрожает здоровью и жизни человека. А если она обнаружена случайным образом, небольших размеров, никак себя не проявляет, то человек вполне может прожить с ней долгую и счастливую жизнь. Решение о необходимости операции всегда принимает врач: на основании семейного анамнеза, истории болезни человека, обследования и, прежде всего, по результатам расчета соотношения рисков и выгод для данного конкретного пациента. Если врач решил, что операция не нужна, то пациент должен регулярно проходить обследование (ангиографию) и проверять состояние своей аневризмы. Это позволит сохранять контроль над ситуацией на протяжении сколь угодно долгого времени.
- Миф №2. Аневризма лечится только путем сложной хирургической операции.
Нет, это тоже не совсем так. Действительно, в некоторых случаях требуется вскрывать череп пациента и накладывать металлическую клипсу (зажим) на шейку аневризмы. Это полностью выключает данный участок сосуда из кровотока. Однако, современная нейрохирургия достигла таких высот, что может лечить некоторые виды аневризм методами эндоваскулярной терапии. Это значит, что череп не вскрывается, а в сосуды мозга вводится специальный катетер. С его помощью в участок с аневризмой доставляется эмболизирующая спираль. Она закрывает просвет сосуда и прекращает кровоток в нем. Кровь распределяется по другим сосудам, окружающим данный участок, опасная часть сосуда оказывается блокированной, а риски разрыва в нем сводятся к нулю.
- Если у человека в семейном анамнезе есть близкие с аневризмами, ему стоит обратиться к врачу и пройти обследование. На всякий случай.
- Если обнаружена аневризма, надо понимать: это не конец света, а повод обратиться к врачу.
- Если врач считает, что оперироваться не надо, а стоит просто мониторить состояние аневризмы, значит, риски минимальны, а впереди — долгая здоровая жизнь.
- Но про факторы риска следует помнить. Как минимум, следует избавиться от всех вредных привычек — слишком высоки ставки. Как максимум, помнить, что любые физиологические излишества — в спорте, эмоциях и даже при половых контактах — повышают риск разрыва аневризмы.
этот тест и узнайте, во сколько баллов - по десятибалльной шкале - можно оценить состояние вашего здоровья.
Клипирование аневризмы головного мозга: показания, проведение, альтернативы, реабилитация

Аневризма - это патология, которая характеризуется расширением просвета сосуда, выпячиванием сосудистой стенки и формированием аневризматического мешка, обусловленная воздействием факторов врожденного или приобретенного характера. Как правило, аневризма развивается в стенке артерий, а не вен, и чаще всего локализуется в сосудах головного мозга и в аорте.
Операция клипирования аневризмы, используется в основном при локализации в сосудах головного мозга, поэтому речь пойдет о данной патологии.
Аневризма головного мозга встречается не только у взрослых, но и у детей. В последнем случае развитие патологии обусловлено врожденными причинами, в частности, формированием сосудистой (артерио-венозной) мальформации, или неправильного развития сосудов головного мозга плода во время беременности. У взрослых аневризма может никак себя не проявлять с детского возраста, или формироваться под воздействием приобретенных причин - атеросклероза, сифилиса, патологии сосудов и др.
Из клинических проявлений аневризмы головного мозга можно отметить как незначительные признаки (головные боли, тошнота, общая слабость, нечеткость и помутнение зрения), так и яркую симптоматику, обусловленную не только значительными размерами аневризмы, но и спонтанным ее разрывом с возникновением кровоизлияния в мозг. Опасность аневризмы в том, что человек с ее разрывом и кровоизлиянием может просто мгновенно погибнуть или остаться глубоким инвалидом. Поэтому при диагностированной аневризме сосудов головного мозга принимается решение о ее клипировании или эмболизации.
Сущность методики, преимущества и недостатки
Клипирование аневризмы головного мозга - это наложение специального устройства, называемого клипсой, на шейку аневризмы с внешней стороны сосуда. Такая операция является одной из самых сложных в нейрохирургии и проводится с помощью открытого доступа - трепанации черепа.

Клипирование аневризмы головного мозга
Эмболизация аневризмы, как альтернатива открытому клипированию - это внутрисосудистое, (эндоскопическое, эндоваскулярное) вмешательство, целью которого является заполнение аневризмы изнутри баллоном или спиралью, которые полностью «выключают» аневризматический мешок из кровотока.

Каждый из методов имеет свои преимущества и недостатки. Так, например, эндоваскулярное вмешательство менее травматично для пациента, после него не остаются рубцы, а также минимален риск возникновения инфекционных осложнений. В то же время клипирование аневризмы предпочтительнее, так как оно более надежно в плане отключения аневризмы от мозгового кровотока.
Недостатком клипирования является тот факт, что операцию невозможно осуществить при глубоком расположении аневризмы в головном мозге пациента. Недостатком обеих методик является риск возникновения постоперационных осложнений (не более 8%).
Таким образом, выбор методики осуществляется не только в зависимости от исходного состояния аневризмы, но и от ее локализации. Поэтому в каждом случае должны быть тщательно взвешены и оценены показания для операции и риски возможных осложнений.
Показания к операции
Операция на аневризме сосудов головного мозга показана, если у пациента обнаружено аневризматическое выпячивание, размером более 7-10 мм, подтвержденное инструментальными методами диагностики:
- Ультразуковым исследованием сосудов головного мозга,
- МРТ и/или КТ головного мозга, в том числе с использованием рентгеноконтрастного вещества, введенного в сосудистое русло пациента,
- Спинномозговой пункцией с исследованием ликвора (спинномозговой жидкости) на предмет субарахноидального кровоизлиянияпри разорвавшейся аневризме.
Противопоказания для операции
Тактика хирургического лечения у пациентов с кровоизлиянием определяется на основании шкалы, разработанной специально для нейрохирургов (шкала Hunt и Hess (1968); шкала WFNS SAH Scale (1988)). Основными критериями здесь является наличие клинических проявлений аневризмы, двигательных или речевых нарушений, а также сосудистого спазма у пациента (ангиоспазма), диагностированного по результатам рентгеноконтрастного исследования. Так, у пациента с выраженным ангиоспазмом следует воздержаться от операции, так как риск постоперационных осложнений превышает пользу от операции.
Кроме этого, операция противопоказана при наличии у пациента тяжелых острых соматических заболеваний или декомпенсации хронических заболеваний - острого инфекционного процесса, нарушения свертываемости крови, тяжелого сахарного диабета, тяжелого обострения бронхиальной астмы и др.
Подготовка к клипированию аневризмы головного мозга

Подготовка к клипированию или к эндоваскулярному лечению аневризмы различается в зависимости от того, по каким показаниям проводится вмешательство.
Так, при проведении операции в плановом порядке пациент должен получить консультацию невролога, нейрохирурга, а также предоставить этим врачам методы обследования, подтверждающие диагноз и/или выписки из стационара, где пациент получал лечение.
Из необходимых анализов, требующихся для госпитализации в клинику, практикующую подобные операции, следует отметить общеклинические анализы крови и мочи, анализ крови на свертываемость, анализ крови на антитела к ВИЧ и вирусным гепатитам, и флюорографию.
После необходимого обследования и консультации нейрохирурга, определившего показания для клипирования, пациент направляется на госпитализацию в соответствующую клинику. Далее начинается этап непосредственно предоперационной подготовки.
При проведении операции по экстренным показаниям, когда пациент поступает в нейрохирургический стационар с клиникой развившегося внутримозгового кровотечения, после необходимого минимума обследований (КТ, МРТ или УЗИ сосудов) начинается предоперационная подготовка. Проводится коррекция высокого или низкого артериального давления, коррекция гиповолемии (обезвоживания) и водно-электролитного состава крови с помощью препаратов и лечебных растворов (физ. раствор, глюкоза, Рингер и др).
Как проводится операция?
Операция на аневризме всегда проводится с использованием общего наркоза.
При клипировании после осуществления доступа к головному мозгу обнажаются ткани, под которыми располагается аневризма. Далее острым путем рассекаются прилегающие ткани и обнажается несущая артерия. При выделении шейки аневризмы на нее накладывается клипса. При малых размерах аневризмы используются оптические инструменты с увеличением масштаба операционного поля. Иногда у пациента во время операции обнаруживается сложное анатомическое строение аневризмы и окружающих тканей, а также значительные размеры аневризматического выпячивания. В этом случае может быть использовано временное наложение клипс, которые снимаются после осуществления основного этапа операции - наложения клипсы на шейку аневризмы.

техника клипирования аневризмы головного мозга
При эндоваскулярном вмешательстве доступ к аневризме осуществляется путем пункции бедренной артерии и ведения зонда под МРТ-контролем к месту операции. На конце зонда располагается баллон, вводимый в просвет аневризмы. После того, как баллон установлен и зафиксирован в аневризме, происходит эмболизация («закупорка») аневризмы, и она становится функционально неактивной.

эндоваскулярная эмболизация аневризмы
Все этапы операции осуществляются под строгим МРТ или КТ-контролем. После вмешательства пациент около пяти суток находится в отделении реанимации, после чего может быть переведен в отделение нейрохирургии.
Какова стоимость операции
В связи с тем, что клипирование аневризмы является очень сложной и опасной операцией, ее проводят не во всех крупных городах России. Так, клиники с соответствующей кадрово-технической оснащенностью существуют в Москве, Тюмени, Уфе, Кирове, Волгограде, Краснодаре и некоторых других областных центрах.
Относительно стоимости операции следует отметить, что плановое вмешательство может быть выполнено по квоте, выделенной из средств Минздрава РФ, но для этого пациент должен обратиться в региональный отдел Минздрава и предоставить все документы, подтверждающие необходимость проведения вмешательства.
В том случае, когда пациент ждать несколько недель или месяцев не намерен, он может быть прооперирован в любом городе на свое усмотрение, но за свой счет. Стоимость операций при этом зависит от многих факторов и составляет от 12 тыс руб до 180 тыс руб при эндоскопической операции и от 22 тыс руб до 170 тыс руб при клипировании аневризмы.

аневризма до/после операции
Возможные осложнения
Осложнения при клипировании аневризмы составляют не более 8%. Однако определенный риск все равно существует, поэтому пациент должен быть тщательно осведомлен о всех возможных последствиях. Последствия могут быть как незначительными, так и серьезными, и даже жизнеугрожающими.
В первом случае после операции у пациента нарушается память, речь, внимание, развиваются двигательные нарушения, а также возникают интенсивные головные боли.
В последнем случае осложнения обусловлены развитием постоперационного сосудистого спазма, приводящего к возникновению ишемии и отека легких. Несмотря на тяжесть этих состояний, все они могут быть скоррегированы соответствующей терапией в условиях реанимационного отделения (антиоксиданты, нейропротекторы, маннитол и др).
При эндоваскулярном вмешательстве возможно прободение стенки сосуда или аневризмы баллоном или спиралью, а также тромбоэмболические осложнения, могущие стать причиной летального исхода.
Профилактикой осложнений является технически правильное проведение оперативного вмешательства, а также беспрерывное наблюдение за пациентом в раннем постоперационном периоде.
Образ жизни

Разумеется, операция по устранению аневризмы в подавляющем большинстве случаев приводит к полному ее выключению из кровотока, и отсутствию риска ее разрыва с кровоизлиянием в ткани мозга. Но это не означает, что пациент после операции может сразу приступить к привычному образу жизни, который он вел до вмешательства. Да, жизнь после операции меняется кардинально, и каждому пациенту перед хирургическим лечением следует это учитывать. Зачастую многим людям после операции приходится заново учиться ходить, принимать пищу, разговаривать, читать и писать. Но это вовсе не означает, что стоит отказывать от клипирования аневризмы, так как ее разрыв без хирургического лечения может стать причиной гибели.
После выписки из стационара, где проводилась операция, пациент направляется на долечивание и реабилитацию в поликлинику по месту жительства. На этом этапе лечением пациента занимается невролог, нейрохирург (если есть в штате поликлиники) и эпилептолог (если у пациента была или наблюдается симптоматическая эпилепсия). Кроме этого, немаловажную роль в реабилитации играют врач-реабилитолог, врач ЛФК, логопед, психолог и другие специалисты.
Прогноз
Прогноз в большинстве случаев после операции на аневризме головного мозга благоприятный. Однако, не стоит забывать о постоперационной летальности, которая в общем (по данным разных клиник), составляет не менее 10%. В то же время летальность среди пациентов, не получивших хирургического лечения, колеблется в пределах 20%. То есть летальность среди лиц, получивших оперативное лечение, ниже в два раза, чем среди лиц, такое лечение не получивших.
Относительно прогноза для здоровья можно сказать, что для 7% пациентов операция на аневризме является инвалидидизирующей, а 80-90% прооперированных пациентов возвращаются практически к исходному уровню здоровья. Относительно трудового прогноза - более 40% пациентов могут вернуться к трудовой деятельности.
В заключение следует отметить, что все показания и противопоказания к клипированию и к эндоскопическому лечению аневризмы определяются только врачами при очном осмотре пациента. Конечно, операция на головном мозге - это не банальная царапина, но в том случае, когда врач открыто говорит пациенту о том, что без операции он может умереть - на хирургическое вмешательство следует согласиться. Самое главное при этом - позитивный настрой и вера в благополучный исход операции, ведь летальный исход и осложнения, как правило, более вероятны у пациентов с гигантскими размерами аневризмы, а также с повторными кровоизлияниями в мозг.
Операция на аневризму сосудов головного мозга: показания, проведение, реабилитация после

Аневризма мозговых сосудов - очень коварная патология. Долгое время она может протекать бессимптомно, и ее обладатель даже не догадывается о наличии аномалии. Вместе с тем, любая аневризма несет в себе риск кровоизлияния, последствия от которого могут стать фатальными, поэтому операция на аневризму - единственно верное решение при ее обнаружении.
Аневризма мозговых сосудов чаще имеет артериальное строение, может располагаться в самых разных отделах черепа и иметь размеры от микроскопических до гигантских. Конечно, риск разрыва несоизмеримо выше при крупном образовании, но и при мелких аневризмах он есть.
По статистике, аномалии мозговых сосудов можно обнаружить у 5% населения, а разрыв их приходится на самый активный возраст - 30-50 лет. У детей кровоизлияния из аневризм встречаются крайне редко.

виды аневризм сосудов головного мозга
По размеру аневризмы бывают мелкими, средних размеров, крупными и гигантскими, одно- и многокамерными. В зависимости от локализации бывает аневризма сонной артерии (внутренней), передней и средней мозговых, вертебро-базилярного бассейна. Примерно 15% случаев составляют множественные сосудистые аномалии.
Из всех кровоизлияний внутри черепа субарахноидальное - одно из самых тяжелых, а причиной его в 85% случаев становится сосудистая мальформация. Кровь при этом проникает под мягкую мозговую оболочку, сдавливает мозг, нарушает движение ликвора, провоцирует тяжелые неврологические нарушения, а дислокация структур ствола мозга имеет высокий риск гибели в острейшем периоде заболевания.
Оперативное лечение аневризм проводится к отделениях сосудистой хирургии. Оно ставит целью не только борьбу с последствиями разрыва образования, но и его профилактику, что еще более важно. Диагностировать аневризму можно с помощью МРТ, но только в том случае, если пациент сам обратится за помощью. Бессимптомные формы патологии часто остаются вне поля зрения врачей, составляя большую угрозу для здоровья и жизни больных.
При появлении любых признаков нарушения деятельности мозга, сильных головных болей, особенно, повторяющихся, при неблагополучном семейном анамнезе в плане сосудистой патологии мозга следует как можно раньше обратиться за помощью для исключения или подтверждения диагноза, а также своевременного хирургического лечения, которое поможет не допустить развития сценария, угрожающего жизни.
Показания и сроки выполнения операции при аневризме головного мозга
Показанием к операции при аневризме сосудов головного мозга считается уже само наличие аневризмы, даже если она небольшая и протекает бессимптомно. Пациенты с аневризмами живут в буквальном смысле на пороховой бочке, которая может «рвануть» в любой момент. Стресс и постоянные переживания от осознания этого риска могут спровоцировать колебания давления и ангиоспазм, тем самым приблизив момент разрыва, поэтому операцию если и откладывают, то не на длительное время.

Лишь в редких случаях врачи могут принять выжидательную тактику: когда аневризма очень маленькая, расположена глубоко, и операция может нанести больший вред, недели ее наличие, однако, как показывает практика, зачастую нерешительность врача и промедление играют отрицательную роль - патология прогрессирует и следует разрыв.
Неразорвавшиеся аневризмы требуют планового хирургического лечения в нейрохирургии или сосудистом отделении, при этом важно, чтобы его проводили специалисты, имеющие достаточный опыт подобных вмешательств, а клиника имела минимальные показатели смертности и инвалидности среди пациентов.
Часто больные, у которых диагностирована аневризма, сами мучаются вопросом: делать или не делать операцию? Наслушавшись и начитавшись о возможных последствиях лечения, боясь неврологических осложнений от вмешательства, они всерьез задумываются об отказе от него. В таких случаях стоит все же думать не столько о рисках плановой операции, которая может быть малоинвазивной и безопасной, сколько о вероятности кровоизлияния с совсем другой негативной статистикой.

разрыв аневризмы мозга
Разрыв аневризмы в обязательном порядке подлежит хирургической коррекции, но есть некоторые различия по срокам ее выполнения, которые связаны с индивидуальными особенностями течения патологии.
В острейшем и остром периоде кровоизлияний (первые две недели с момента разрыва) показаниями к операции считают:
- Состоявшийся разрыв при неосложненном течении патологии;
- Стабильное состояние пациента;
- Большой риск повторного кровоизлияния;
- Угроза выраженного спазма сосудов и, как следствие, ишемии мозга.
Пациентам в тяжелом и критическом состоянии в этот срок выполняется хирургическая операция только по жизненным показаниям - сдавление мозга, смещение стволовых структур, острая гидроцефалия, массивные очаги некроза мозговой ткани. В иных случаях операцию откладывают на момент стабилизации состояния.
По прошествии первых 14 суток с момента излития крови из аневризмы операцию проводят больным:
- В тяжелом состоянии по причине осложненного течения (выраженный ангиоспазм);
- С аневризмами, трудно доступными для удаления.
Повторное кровоизлияние - одно из опаснейших осложнений, которое дает крайне высокие показатели летальности, поэтому требует экстренной хирургической помощи. Если состояние больного столь тяжело, что операция чрезвычайно рискованна, то наблюдение осуществляют в нейрореанимации, оказывая паллиативную помощь - дренирование желудочков для снижения давления в черепе.
Вопрос хирургического лечения разорвавшихся аневризм при сильной ишемии мозга остается открытым и спорным, до сих пор точно не определены четкие показания к операции у таких пациентов. Вмешательство и общий наркоз могут усугубить повреждение мозговой ткани, поэтому операцию проводят сразу же только при компенсированном ангиоспазме, в других случаях тактика выжидательная.
Предоперационная подготовка

аневризма сосудов мозга на снимке
При плановых клипированиях аневризмы специалисты располагают временем для тщательного обследования пациента и подготовки его к вмешательству. В качестве консервативной терапии назначаются антигипертензивные средства, препараты, нормализующие ритм сердца при аритмиях, проводится коррекция липидного спектра при наличии отклонений.
Перед планированием операции больной подвергается всевозможным обследованиям, включая анализы крови, мочи, коагулограмму, кардиограмму и т. д., как и при других оперативных вмешательствах. Для локализации и уточнения характера сосудистого образования проводят КТ, МРТ с контрастированием, ангиографию, ультразвуковое исследование с допплером.
В случае разорвавшихся аневризм больной поступает в стационар с клиникой острого субарахноидального или внутримозгового кровоизлияния и направляется в нейрохирургическое отделение, времени на обследования фактически нет, поэтому приходится ограничиваться минимумом, позволяющим определиться с расположением мальформации.
Как трепанация, так и эндовазальная хирургия предполагают общий наркоз, хотя в последнем случае возможно применение местной анестезии. Перед операцией пациент беседует с хирургом и анестезиологом (кроме случаев коматозного состояния и острого кровотечения), не ест ближайшие 8 часов до операции, старается выспаться. Волосы в месте трепанации сбриваются.
Техника операций по удалению аневризм
Основными видами вмешательств на сосудистых мальформациях мозга признаны:
- Удаление аневризмы при открытом доступе;
- Эндоваскулярная методика.
Лечение аневризмы при трепанации
Эффективность открытых операций достигает 98%, проводятся они при достаточной доступности аневризмы и в случае разрыва. Пациенту проводится общий наркоз, хирург осуществляет трепанацию черепа, разрезает твердую мозговую оболочку, отыскивает целую аневризму либо место ее разрыва. Далее необходимо выключить мальформацию из общего кровотока. Делается это обычно с помощью металлической клипсы, напоминающей прищепку, которая помещается на сосуд, питающий аневризму, и перекрывает движение по нему крови.
После «выключения» аневризмы твердая мозговая оболочка ушивается, костный лоскут укладывается на место, накладываются швы на кожный лоскут. При сильном отеке мозга возможна декомпрессионная трепанация с оставлением открытого костного окна до того момента, как отек спадет и не будет угрожать смещением стволовых структур. Фрагмент кости на время помещается в клетчатку живота для сохранения жизнеспособности, а затем возвращается на место.

Открытая операция на мозге может повлечь повреждение его ткани и неврологические расстройства впоследствии, поэтому важно действовать предельно осторожно. При наличии кровоизлияния, сгустки и жидкая кровь удаляются из черепа, при проникновении ее в желудочковую систему производится дренирование полостей мозга.
После клипирования аневризмы важно оценить сохранность кровотока по здоровым сосудам мозга еще до того, как операционная рана будет ушита. С этой целью используют интраоперационную допплерографию микродатчиком. Если кровоток в порядке, то операцию можно считать успешной и завершать.
Видео: открытое клипирование аневризмы внутренней сонной артерии
Эндоваскулярное лечение
К числу малоинвазивных вмешательств относят эндовазальное лечение аневризм мозга. Показаниями к нему являются:
- Глубокое и труднодоступное расположение сосудистого клубка;
- Близость жизненно важных структур, что делает открытую операцию очень опасной;
- Старческий возраст и сопутствующая патология, препятствующие общему наркозу и трепанации;
- Неэффективность клипирования при трепанации.

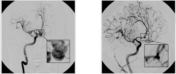
эндоваскулярное лечение аневризм мозга
Доступ при эндоваскулярной операции осуществляют через бедренную артерию, в которую вводят катетер, доставляющий к аномальным сосудам отделяющийся баллон или специальные спирали, вызывающие прекращение кровотока в образовании. Могут быть использованы также стенты, блокирующие аневризму, но обеспечивающие беспрепятственное движение крови по магистралям мозга.
Сначала в просвет аневризмы устанавливается самая крупная спирать, затем полость заполняется более мелкими, которые вызывают тромбоз и выключение аневризмы из кровотока. При широкой шейке питающего сосуда установка спиралей дополняется стентированием.
Разновидностью эндоваскулярного лечения является эмболизация сосудов аневризмы, когда стенки их склеиваются при помощи спирта, хирургического геля, специальных составов. Для устранения аневризмы может потребоваться несколько таких процедур.
При проведении операций на сосудах мозга используется операционный микроскоп, специальный стол с фиксирующей скобой, эндоскопическая и микрохирургическая техника. Состояние кровотока контролируется микродатчиками УЗИ.
Видео: репортаж о малоинвазивном лечении аневризмы мозга
Послеоперационный период
После операции на аневризме минимум сутки пациент находится в отделении нейрореанимации под пристальным контролем врачей. В этот период он получает медикаментозную поддержку в виде анальгетиков, диуретиков, ноотропных препаратов и нейропротекторов в случае состоявшегося кровотечения. Проводится профилактика отека мозга и вторичных неврологических осложнений.
При улучшении самочувствия через сутки больного переводят в отделение нейрохирургии, при ухудшении показана экстренная компьютерная томография, возможно - повторное вмешательство.
Любые операции на сосудах мозга чреваты осложнениями, особенно это касается открытых трепанаций и манипуляций непосредственно вблизи тканей мозга. Среди последствий операции вероятны:
- после разрыва аневризмы, по причине которого возможны некрозы нервной ткани и неврологический дефицит;
- Повторные кровоизлияния;
- Инфекционно-воспалительные изменения в зоне вмешательства (кране редко);
- Тяжелые неврологические нарушения.
Реабилитация после операции на аневризме включает двигательную активность, массаж, физиотерапевтическое лечение. Если неразорвавшаяся аневризма была клипирована эндоскопически, то уже на 3-4 сутки пациент возвращается к привычной жизни, необходимости в каких-либо специальных восстановительных мероприятиях нет.
При состоявшемся кровоизлиянии может потребоваться длительное время для восстановления нарушенных функций мозга. Хорошо, если период реабилитации пройдет в специализированном центре для инсультных больных или санатории. Там специалисты определят необходимые физические занятия и их интенсивность, проведут курсы массажа, обеспечат консервативное лечение неврологических расстройств.
Прооперировать аневризму можно также платно. Стоимость открытой операции колеблется в пределах 20-50 тысяч рублей, эндоваскулярной - начиная с 12-15 тысяч. В цену включены расходные материалы, оплата работы персонала, условия пребывания в больнице и его продолжительность.
В целом, прогноз при своевременно пролеченной аневризме без разрыва благоприятный. В случае кровоизлияний он определяется массивностью гематомы и тем, как сильно был задействован в этом мозг. До 80% больных успешно восстанавливаются, не менее половины из них возвращаются к трудовой деятельности.
Сложнее дело обстоит при повторных кровотечениях из аневризматических сосудов. Смертность при этом достигает 50% и более, четверть больных навсегда остаются глубокими инвалидами. Именно это обстоятельство и заставляет проводить экстренные операции при первичном кровоизлиянии для предупреждения рецидива, риск которого очень высок в первые дни и недели с момента разрыва аневризмы.
Читайте также:
