Факторы риска стрессовой кардиомиопатии (СКМП). Наследственная предрасположенность
Добавил пользователь Владимир З. Обновлено: 21.01.2026
Кардиомиопатия такоцубо — это преходящая острая сердечная недостаточность, сопровождающаяся расширением верхушки левого желудочка. Основные клинические проявления включают резкую загрудинную боль, одышку, тахикардию. Иногда развиваются пресинкопальные состояния и обмороки. Для диагностики назначают лабораторные анализы (определение уровня креатинкиназы, тропонина, ПНП), инструментальные неинвазивные (ЭКГ, ЭхоКГ, МРТ сердца) и инвазивные методы (коронарография, сцинтиграфия). При синдроме такоцубо показано медикаментозное лечение — гипотензивные средства, антикоагулянты, транквилизаторы. При кардиогенном шоке проводится внутриаортальная контрпульсация.
МКБ-10
Общие сведения
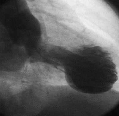
Кардиомиопатия такоцубо имеет множество синонимов: синдром «разбитого сердца» (СРС), стресс-индуцированная кардиомиопатия, синдром верхушечного баллонирования. Необычное название «такоцубо» происходит от японского слова tako-tsubo, что в переводе означает «ловушка для осьминога». Это приспособление имеет широкое основание и узкое горлышко — похожую форму приобретает левый желудочек во время приступа. Кардиомиопатия такоцубо выявляется у 1-2% пациентов с острым коронарным синдромом. Более 90% больных — женщины в постменопаузальном периоде.

Причины
Точные этиологические факторы развития кардиомиопатии такоцубо неизвестны. В качестве ведущих рассматриваются две рабочие гипотезы:
- Стрессовая. Основная теория заключается во влиянии стрессовых ситуаций на выработку гормонов, что приводит к транзиторным нарушениям работы миокарда. Триггерами начала болезни «разбитого сердца» бывают как эмоциональные потрясения (смерть близких, насилие, попадание в чрезвычайную ситуацию), так и медицинские причины — операция, астматический приступ.
- Наследственная. В последние годы разрабатывается теория о генетической предрасположенности к синдрому такоцубо. Описано несколько случаев появления кардиомиопатии у близких родственников. Предположительно, такие эпизоды вызваны наличием мутаций в генах, которые отвечают за чувствительность рецепторов к катехоламинам и эстрогенам. У страдающих стресс-индуцированной кардиомиопатией наблюдается функциональный полиморфизм этих генов.
Факторы риска
Среди способствующих факторов наиболее важны неуправляемые — пол и возраст. Кардиомиопатии такоцубо преимущественно встречается у женщин после 60 лет, что обусловлено большей чувствительностью к эмоциональным стрессам и гормональными перестройками в периоде постменопаузы. Фактором риска является наличие хронической сердечно-сосудистой патологии, которая увеличивает процент осложненного течения синдрома такоцубо. К управляемым факторам принадлежат: избыточный вес, частые стрессы дома или на работе, вредные привычки.
Патогенез
В клинической кардиологии выделяют несколько патогенетических механизмов развития синдрома. Характерное расширение верхушки сердца обусловлено аномальным расположением левой нисходящей артерии, которая кровоснабжает этот отдел сердца. Переходящий сбой в сократительной способности миокарда, вероятно, связан с одновременным вазоспазмом нескольких коронарных артерий и транзиторной ишемией сердечной стенки.
Другая патогенетическая теория предполагает множественную дисфункцию микрососудистого русла. Мелкие ветви коронарных артерий подвергаются спазму или дегенеративно-дистрофическим изменениям, в результате чего нарушается оксигенация миокарда левого желудочка. Важную роль в патогенезе кардиомиопатии играет чрезмерная активация симпатической системы и выделение катехоламинов, которые влияют на состояние сосудистого русла.
Классификация
Заболевание подразделяется на варианты в зависимости от локализации анатомических изменений. В 75-80% случаев развивается апикальное расширение желудочка, у 10-15% больных диагностируют срединно-левожелудочковый вариант кардиомиопатии. Более редкие разновидности поражения: инвертированный (менее 5%), бивентрикулярный (до 0,5%), правожелудочковый. Кардиологи чаще пользуются классификацией по клиническому течению, которая включает:
- Первичный синдром такоцубо. Расстройство возникает у здорового человека и зачастую имеет конкретные триггерные факторы. Тяжелые клинические симптомы служат причиной для обращения за экстренной медицинской помощью.
- Вторичный синдром такоцубо. Состояние наблюдается у пациентов, которые госпитализированы по поводу хирургической, акушерской или другой патологии. Кардиомиопатия осложняет течение основного заболевания, что обуславливает особые подходы к диагностике и лечению.
Симптомы
Основное проявление стресс-индуцированной формы кардиомиопатии — внезапная загрудинная боль. Приступ кардиалгии чаще возникает на фоне сильного эмоционального потрясения или испуга. Человек испытывает сжимающую или острую боль в области проекции сердца, которая может иррадиировать в плечо, лопатку. Характерным признаком синдрома такоцубо является «волна давления», которая поднимается от груди к шее и голове.
Болевой синдром обычно сопровождается повышенной потливостью, тревожностью. Одновременно с болью появляются одышка, чувство нехватки воздуха. Человек ощущает сильное сердцебиение, слабость в ногах. При этом кожа бледнеет, становится холодной и влажной. Часто появляется головокружение, потемнение в глазах. Тяжело протекающий приступ кардиомиопатии заканчивается обмороком вследствие снижения сердечного выброса.
Осложнения
В первые дни после манифестации кардиомиопатии сохраняется высокий риск фибрилляции предсердий (5-15%). У пациентов с отягощенным преморбидным фоном в 4% случаев наблюдаются желудочковые аритмии, в 1,5% — кардиогенный шок. Летальность при тяжелом течении синдрома составляет около 1%. У 5% больных, перенесших острый приступ, наступает рецидив, обусловленный теми же пусковыми механизмами.
Диагностика
По клинической картине индуцированная стрессом кардиомиопатия напоминает приступ стенокардии или инфаркт миокарда, что требует от врача-кардиолога проведения дифференциальной диагностики. Обследование необходимо выполнить в максимально короткие сроки. Диагностическая программа включает ряд лабораторно-инструментальных исследований:
- Электрокардиографию. Типичные изменения на ЭКГ регистрируют у 95% пациентов в острой фазе СРС. Основные признаки заболевания: изменение положения сегмента ST относительно изоэлектрической линии, блокада ножки пучка Гиса. Через сутки после развития кардиомиопатии наблюдается удлинение интервала QT.
- Определение биомаркеров. Первично определяются уровни сердечного тропонина и креатинкиназы, количество которых незначительно повышено. В остром периоде кардиомиопатии выявляют увеличение концентрации предсердного натрийуретического пептида (ПНП).
- Эхокардиография. Трансторакальная ЭхоКГ выполняется всем больным с предположительным диагнозом стресс-индуцированной кардиомиопатии. При УЗИ сердца выявляют большую площадь дисфункции миокарда, симметричные нарушения сокращения стенок левого желудочка.
- Коронарная ангиография. Назначение исследования в ургентном порядке целесообразно для исключения инфаркта миокарда. При кардиомиопатии такоцубо визуализируются неизмененные коронарные сосуды с сохраненным кровотоком. Для уточнения диагноза рекомендована левожелудочковая вентрикулография.
- Высокоспециализированные методы. Для разграничения кардиомиопатии такоцубо и других кардиологических болезней применяется МРТ сердца, отображающая участки поражения миокарда в трехмерном режиме. При невозможности проведения исследования показана перфузионная сцинтиграфия миокарда.

Лечение
Консервативная терапия
Кардиомиопатия такоцубо относится к неотложным состояниям, поэтому медицинскую помощь оказывают в условиях специализированного кардиологического стационара или в отделениях интенсивной терапии. Обычно назначается поддерживающая лечебная схема, которая обеспечивает постепенное восстановление функциональной активности миокарда. Для лечения используют следующие группы лекарственных препаратов:
- Кальциевые сенсибилизаторы. Рекомендованы при резком снижении фракции выброса и динамической обструкции кровотока из левого желудочка. Медикаменты (в основном — левосимендан) улучшают показатели перфузии и микроциркуляции, предотвращают развитие кардиогенного шока.
- Гипотензивные препараты. Средства из этой группы используются при легком варианте течения кардиомиопатии для устранения возможных провоцирующих факторов. Назначаются бета-адреноблокаторы, антагонисты кальция, диуретики.
- Антикоагулянты. Применяются для профилактики образования апикальных тромбов и растворения уже имеющихся кровяных сгустков. Показано профилактическое введение низкомолекулярных гепаринов в терапевтических дозах, прием ацетилсалициловой кислоты.
- Транквилизаторы. Препараты целесообразно использовать, если появлению симптомов кардиомиопатии такоцубо предшествовал сильный стресс. Помимо влияния на психоэмоциональное состояние транквилизаторы обладают дополнительным анальгетическим эффектом.
Хирургическое лечение
Если кардиомиопатия такоцубо осложняется кардиогенным шоком, используют современный малоинвазивный метод — внутриаортальную баллонную контрпульсацию. Процедура предполагает механическое нагнетание крови в большой круг кровообращения с помощью небольшого медицинского насоса, установленного в аорте. Методика внутриаортальной контрпульсации улучшает гемодинамические показатели.
Прогноз и профилактика
При своевременной медицинской помощи большинство пациентов переживают острый приступ кардиомиопатии без отдаленных осложнений. Долгосрочный прогноз, как правило, благоприятный. Даже у больных с хроническими сердечно-сосудистыми заболеваниями сократительная способность миокарда после приступа индуцированной стрессом кардиомиопатии восстанавливается почти полностью. Специфическая профилактика патологии не разработана.
3. Синдром «разбитого сердца» или стресс-индуцированная кардиомиопатия (синдром такоцубо). Т.П. Харина, П.В. Таряник, Е.В. Геращенко, Н.А. Конорева, А.И. Баранец // Здоровье. Медицинская экология. Наука. - 2016.
4. Синдром такоцубо: современное состояние проблемы. Н.Т. Ватутин, Г.Г. Тарадин, А.С. Смирнова, М.А. Эль-Хатиб, Ю.П. Гриценко, Д.В. Борт, Е.В. Картамышева, Е.С. Гасендич// Практическая ангиология. - 2016.
Кардиомиопатия Такотсубо, или стресс - индуцированная кардиомиопатия
Донецкая О.П., Тулупова В.А., Дзвониская В.Н., Бесшапошникова И.А.

Кардиомиопатия такотсубо была описана впервые в Японии в 1990 г. H. Satoh как преходящие нарушения сократимости миокарда. Классический вариант болезни сопровождается акинезом или дискинезом верхушки сердца с гиперкинезом базальных сегментов. Сердце при этом приобретает своеобразную конфигурацию: левый желудочек в острой фазе по форме напоминает песочные часы или японскую ловушку для осьминогов такотсубо — кувшин с узким горлышком и широким дном. Кадиомиопатия такотсубо - это обратимая дисфункция левого желудочка в ответ на физический или психический стресс, клинически и электрокардиографически напоминающая острый коронарный синдром, преимущественно у женщин в посменопаузе без значимого стеноза коронарных артерий, отличающаяся относительно благоприятным исходом.
Патогенез синдрома такотсубо полностью не известен. Для объяснения возможных механизмов развития КМПТ было предложено несколько гипотез: вазоспазм коронарных артерий, обструкция выводного тракта левого желудочка (ВТЛЖ), перегрузка катехоламинами, нейрогуморальные нарушения и дисфункция микроциркуляторного коронарного русла. Основной теорией развития кардиомиопатии на настоящий момент является токсическое действие повышенного уровня катехоламинов на миокард и избыточная симпатическая стимуляция. Воздействие эндогенного (эмоционального) или экзогенного (травма, хирургические операции или чрезмерная физическая нагрузка) стресса отмечают в преобладающем большинстве случаев развития кардиомиопатии. Данная взаимосвязь привела к предположению, что механизм развития кардиомиопатии может быть ассоциирован с воздействием симпатической нервной системы при стрессе.
Клиническая картина. Как описано российскими и зарубежными исследователями, симптомы, развивающиеся при кардиомиопатии, во многом совпадают с клинической картиной, наблюдаемой при остром инфаркте миокарда. Так, наиболее типичными клиническими признаками кардиомиопатии являются острое начало, приступ загрудинных болей или одышки, тогда как на электрокардиограмме наиболее часто наблюдаются подъемы сегмента ST, а в крови определяется повышение уровня креатинфосфокиназы, МВ-фракции креатинфосфокиназы и тропонина, а также гиперкатехоламинемия. В тех случаях, когда проводится эндомиокардиальная биопсия, гистологически определяются очаги миоцитолиза, инфильтрация мононуклеарами, а также некроз кардиомиоцитов по типу полос пересокращения при отсутствии признаков миокардита. При проведении эхокардиографии у таких пациентов определяются тяжелые нарушения сократимости миокарда левого желудочка. При этом на коронарографии у пациентов с кардиомиопатией отсутствуют значимые стенозы коронарных артерий. Необходимо отметить, что основным критерием для постановки диагноза КМПТ является полная обратимость нарушений сократимости миокарда. Изменения ЭКГ в острой фазе КМПТ развиваются примерно в 80-85 % случаев. Согласно рекомендациям по диагностике КМПТ, основными изменениями ЭКГ, характерными для КМПТ, являются подъемы сегмента ST, инвертированные зубцы Т, удлинение интервала QT и редкие реципрокные изменения либо их отсутствие. Наиболее часто среди изменений ЭКГ у пациентов с КМПТ встречаются подъемы сегмента ST в грудных отведениях (в отведениях V1-V4). Также с течением времени возможно появление отрицательных зубцов Т и патологических зубцов Q. Таким образом, особенностями течения КМП Такотсубо является: отсутствие значимой обструкции коронарных артерий; площадь акинезии не соответствует зоне, которая может кровоснабжаться одной коронарной артерией; колоссальная разница между объемом вовлеченного миокарда и степенью повышения ферментов; быстрая полная нормализация сократимости миокарда.
Основные критерии диагностики кардиомиопатии Такотсубо («модифицированные критерии клиники Мейо»):
1. Транзиторный гипокинез, дискинез и акинез средних сегментов левого желудочка с вовлечением верхушки или без такового, баллоноподобное расширение полости левого желудочка, не соответствующее зоне кровоснабжения какой - либо одной коронарной артерии, желателен физический или психический травмирующий фактор, предшествующий развитию этого состояния.
2. Отсутствие обструкции коронарных артерий или ангиографического свидетельства признаков острого разрыва атеросклеротической бляшки.
3. Появление изменений ЭКГ - элевация сегмента ST, возможна инверсия зубца Т.
4. Умеренное повышение тропонина
5. Отсутствие предшествующей травмы головы, внутричерепного кровоизлияния, гипертрофической кардиомиопатии, феохромоцитомы или миокардита.
Осложнения:
- Аритмии: АВ - блокады, синусовая брадикардия, фибрилляция предсердий, желудочковые тахикардия и фибрилляция
- Острая левожелудочковая недостаточность
- Образование тромба в верхушке ЛЖ и эмболии
Лечение: В настоящее время специфические методы лечения не разработаны. Четких критериев длительности терапии нет. Необходимо продолжить терапию до полного восстановления сердечной функции. В большинстве случаев пациенты с кардиомиопатией поступают в больницу с клиническими и лабораторными признаками острого инфаркта миокарда, до установления диагноза кардиомиопатии тактика их лечения определяется рекомендациями по лечению острого инфаркта миокарда с подъемом сегмента ST. После диагностирования кардиомиопатии такотсубо возможно переведение пациентов на поддерживающую медикаментозную терапию. В связи с тем, что синдром такотсубо сопровождается развитием преходящей дисфункции левого желудочка, пациентам показано лечение ингибиторами ангиотензинпревращающего фермента либо блокаторами рецепторов к ангиотензину II. У гемодинамически нестабильных пациентов необходимо исключать возможную обструкцию выходного тракта левого желудочка (ВТЛЖ), при наличии которой требуется назначение в-блокаторов. В связи с отсутствием исследований по негативному влиянию вазопрессоров при тяжелом течении кардиомиопатии таким пациентам также показана поддержка ионотропными препаратами. Некоторые исследователи считают, что длительное лечение в-блокаторами показано для предотвращения рецидивов кардиомиопатии. Однако данное заболевание является доброкачественным, в большинстве случаев заканчивающийся полным восстановлением функции левого желудочка через 2-4 недели после манифестирования симптомов.
Прогноз: 95 % пациентов прогноз благоприятный, в течение нескольких недель наблюдается полная обратная динамика изменений ЭКГ и ЭХО-КГ, повторные случаи крайне редкие 2,7%
Заключение: Таким образом, кардиомиопатия такотсубо относится к редким синдромам. Тем не менее можно предположить, что встречается данный синдром значительно чаще, чем описывается, что связано со сложностью его диагностики. Синдром такотсубо занимает важное место среди сердечно-сосудистых заболеваний. Связано это прежде всего с тем, что в остром периоде по клиническим характеристикам болезнь напоминает острый инфаркт миокарда. Чаще всего болезнь развивается после эмоционального стресса и сопровождается приступом загрудинной боли, подъемами сегмента ST на ЭКГ, а также нарушениями сократимости миокарда по данным ЭхоКГ. Показано, что из числа пациентов, поступающих в отделение неотложной кардиологии с предварительным диагнозом ОКС, 3 % впоследствии ставится диагноз кардиомиопатии такотсубо.
Лечение гипертрофической кардиомиопатии

Гипертрофическая кардиомиопатия (ГКМП) - это генетически обусловленное заболевание миокарда, проявляющееся комплексом специфических морфо-функциональных изменений и постепенно прогрессирующим течением с высоким риском развития жизнеугрожающих аритмий и внезапной смерти.
ГКМП может диагностироваться в любом возрасте, от первых дней до последней декады жизни, однако преимущественно заболевание выявляется у лиц молодого трудоспособного возраста. Ежегодная смертность больных ГКМП колеблется в пределах от 1 до 6%: у взрослых больных составляет 1-3% , а в детском и подростковом возрасте у лиц с высоким риском внезапной смерти - 4-6%.
Типичными являются морфологические изменения: аномалия архитектоники сократительных элементов миокарда (гипертрофия и дезориентация мышечных волокон), развитие фибротических изменений мышцы сердца, патология мелких интрамиокардиальных сосудов.
При ГКМП происходит массивная гипертрофия миокарда левого (и реже правого желудочка), чаще асимметричного характера за счет утолщения межжелудочковой перегородки, часто с развитием обструкции выходного тракта левого желудочка (ЛЖ) при отсутствии каких-либо явных причин.
Общепризнанной является представление о преимущественно наследственной природе ГКМП. В связи с этим, широкое распространение получил термин «семейная гипертрофическая кардиомиопатия». К настоящему времени установлено, что более половины всех случаев заболевания являются наследуемыми, при этом основной тип наследования - аутосомно-доминантный. Оставшиеся приходятся на так называемую спорадическую форму; в этом случае у пациента нет родственников, болеющих ГКМП или имеющих гипертрофию миокарда. Считается, что большинство, если не все случаи спорадической ГКМП, также имеют генетическую причину, т. е. вызваны случайными мутациями.
Гипертрофическая кардиомиопатия - это генетически гетерогенное заболевание, причиной которого являются более 200 описанных мутаций нескольких генов, кодирующих белки миофибриллярного аппарата. К настоящему времени известны 10 белковых компонентов сердечного саркомера, выполняющих контрактильную, структурную или регуляторную функции, дефекты которых наблюдаются при ГКМП. Причем в каждом гене множество мутаций могут становиться причиной заболевания (полигенное мультиаллельное заболевание).
Наличие той или иной ассоциированной с ГКМП мутации признается «золотым» стандартом диагностики заболевания. При этом описанные генетические дефекты характеризуются разной степенью пенетрантности, выраженностью морфологических и клинических проявлений. Тяжесть клинической картины зависит от присутствия и степени гипертрофии.
Таким образом, ГКМП характеризуется крайней гетерогенностью вызывающих ее причин, морфологических, гемодинамических и клинических проявлений, разнообразием вариантов течения и прогноза, что существенно затрудняет выбор адекватных и наиболее эффективных лечебных подходов по контролю и коррекции имеющихся нарушений.
Возможны три гемодинамических варианта обструктивной ГКМП:
- с субаортальной обструкцией в покое (так называемой базальной обструкцией);
- с лабильной обструкцией, характеризующейся значительными спонтанными колебаниями внутрижелудочкового градиента давления без видимой причины;
- с латентной обструкцией, которая вызывается только при нагрузке и провокационных фармакологических пробах (в частности, вдыханием амилнитрита, при приеме нитратов или внутривенном введении изопротеренола).
Cимптомы болезни разнообразны и малоспецифичны, связаны с гемодинамическими нарушениями (диастолическая дисфункция, динамическая обструкция путей оттока, митральная регургитация), ишемией миокарда, патологией вегетативной регуляции кровообращения и нарушением электрофизиологических процессов в сердце. Диапазон клинических проявлений крайне велик: от бессимптомных до неуклонно прогрессирующих и трудно поддающихся медикаментозному лечению форм, сопровождающихся тяжелой симптоматикой.
Повышение диастолического давления в левом желудочке из-за диастолической дисфункции, динамическая обструкция выносящего тракта левого желудочка проявляются одышкой в покое и при физической нагрузке, утомляемости, слабости. Нарастание давления в малом круге кровообращения сопровождается развитием острой левожелудочковой недостаточности (чаще в ночные часы - сердечная астма, альвеолярный отек легких).
Падение фракции выброса при физической нагрузке или нарушениях сердечного ритма сопровождается ухудшением кровообращения головного мозга. Преходящая ишемия мозговых структур проявляется кратковременной потерей сознания (обморок) или предобморочными состояниями (внезапная слабость, головокружение, потемнение в глазах, шум и "заложенность" в ушах).
Методы исследования:
ЭХО-КГ - основной метод диагностики ГКМП. Критериями диагностики ГКМП на основании данных ЭХО-КГ являются:
- Асимметричная гипертрофия межжелудочковой перегородки (> 13 мм)
- Переднее систолическое движение митрального клапана
- Маленькая полость левого желудочка
- Гипокинезия межжелудочковой перегородки
- Срединно-систолическое прикрытие аортального клапана
- Внутрижелудочковый градиент давления в покое более 30 мм рт. ст.
- Внутрижелудочковый градиент давления при нагрузке более 50 мм рт. ст.
- Нормо- или гиперкинезия задней стенки левого желудочка
- Уменьшение наклона диастолического прикрытия передней створки митрального клапана
- Пролапс митрального клапана с митральной недостаточностью
- Толщина стенки левого желудочка (в диастолу) более 15 мм
Если в покое обструкции выносящего тракта левого желудочка нет, ее можно спровоцировать медикаментозными (ингаляция амилнитрита, введение изопреналина, добутамина) или функциональными пробами (проба Вальсальвы, физическая нагрузка), которые уменьшают преднагрузку или повышают сократимость левого желудочка.
Катетеризация сердца и коронарная ангиография проводятся для оценки коронарного русла перед миоэктомией или операцией на митральном клапане, а также чтобы выяснить причину ишемии миокарда. При этом к характерным признакам ГКМП относят:
- Внутрижелудочковый градиент давления на уровне средних сегментов левого желудочка или его выносящего тракта
- Кривая давления в аорте вида пик-купол (в результате обструкции выносящего тракта левого желудочка)
- Повышение диастолического давления в желудочках
- Повышение ДЗЛА
- Высокая волна V на кривой ДЗЛА (Может возникать как из-за митральной регургитации, так и из-за повышения давления в левом предсердии.)
- Повышение давления в легочной артерии
Сцинтиграфия миокарда и позитронно-эмиссионная томография
При гипертрофической кардиомиопатии сцинтиграфия миокарда имеет некоторые особенности, однако в целом ее значение в диагностике ишемии такое же, как и обычно. Стойкие дефекты накопления указывают на рубцовые изменения после инфаркта миокарда, обычно они сопровождаются снижением функции левого желудочка и плохой переносимостью физической нагрузки. Обратимые дефекты накопления указывают на ишемию, вызванную снижением коронарного резерва при нормальных артериях или коронарным атеросклерозом. Обратимые дефекты часто никак не проявляются, однако, по-видимому, они повышают риск внезапной смерти, особенно у молодых больных с гипертрофической кардиомиопатией. При изотопной вентрикулографии можно выявить замедленное наполнение левого желудочка и удлинение периода изоволюмического расслабления.
Позитронно-эмиссионная томография - более чувствительный метод, кроме того, она позволяет учесть и устранить помехи, связанные с затуханием сигнала. Позитронно-эмиссионная томография с фтордезоксиглюкозой подтверждает наличие субэндокарлиальной ишемии, вызванной снижением коронарного резерва.
Современные подходы к лечению ГКМП
По современным представлениям, лечебная стратегия определяется в процессе разделения больных на категории в зависимости от описанных выше вариантов течения и прогноза.
Все лица с ГКМП, включая носителей патологических мутаций без фенотипических проявлений болезни и пациентов с бессимптомным течением заболевания, нуждаются в динамическом наблюдении, в ходе которого оцениваются характер и выраженность морфологических и гемодинамических нарушений. Особое значение имеет выявление факторов, определяющих неблагоприятный прогноз и повышенный риск внезапной смерти (в частности, скрытых, прогностически значимых аритмий).
Общие мероприятия
Ограничение значительных физических нагрузок и запрещение занятий спортом, способных вызывать усугубление гипертрофии миокарда, повышение внутрижелудочкового градиента давления и риска внезапной смерти.
Медикаментозное лечение
До настоящего времени окончательно не решен вопрос о необходимости проведения активной медикаментозной терапии у наиболее многочисленной группы больных с бессимптомной или малосимптомной формами ГКМП и низкой вероятностью внезапной смерти. Противники активной тактики обращают внимание на то, что при благоприятном течении заболевания продолжительность жизни и показатели смертности не отличаются от таковых в общей популяции. Некоторые же авторы указывают на то, что использование в этой группе пациентов β-адреноблокаторов и антагонистов кальция (верапамил) может приводить к сдерживанию гемодинамических нарушений и клинической симптоматики. При этом никто не оспаривает тот факт, что выжидательная тактика в случаях бессимптомного или малосимптомного течения ГКМП возможна лишь при отсутствии признаков внутрижелудочковой обструкции, обмороков и серьезных нарушений сердечного ритма, отягощенной наследственности и случаев ВС у близких родственников.
Следует признать, что лечение ГКМП, генетически обусловленного заболевания, обычно распознаваемого на поздней стадии, пока может быть в большей степени симптоматическим и паллиативным. Тем не менее к основным задачам лечебных мероприятий относятся не только профилактика и коррекция основных клинических проявлений заболевания с улучшением качества жизни пациентов, но и положительное влияние на прогноз, предупреждение случаев ВС и прогрессирования заболевания.
Основу медикаментозной терапии ГКМП составляют препараты с отрицательным инотропным действием: β-адреноблокаторы и блокаторы кальциевых каналов. Для лечения весьма распространенных при этом заболевании нарушений сердечного ритма используются также дизопирамид (антиаритмический препарат IA класса) и амиодарон.
β-адреноблокаторы стали первой, и остаются и по сей день, наиболее эффективной группой лекарственных средств, применяемых в лечении ГКМП. Они оказывают хороший симптоматический эффект в отношении основных клинических проявлений: одышки и сердцебиения, болевого синдрома, включая стенокардию, не менее чем у половины больных с гипертрофической кардиомиопатией, что обусловлено, в основном, способностью этих препаратов уменьшать потребность миокарда в кислороде. Благодаря отрицательному инотропному действию и уменьшению активации симпатоадреналовой системы при физическом и эмоциональном напряжении, β-блокаторы предотвращают возникновение или повышение субаортального градиента давления у больных с латентной и лабильной обструкцией, существенно не влияя на величину этого градиента в покое. Убедительно доказана способность β-блокаторов улучшать функциональный статус пациентов в условиях курсового и длительного применения. Хотя препараты не оказывают прямого влияния на диастолическое расслабление миокарда, они могут улучшать наполнение ЛЖ косвенно - за счет уменьшения частоты сердечных сокращений и предупреждения ишемии сердечной мышцы. В литературе имеются данные, подтверждающие способность β-блокаторов сдерживать и даже приводить к обратному развитию гипертрофии миокарда. Однако другие авторы подчеркивают, что вызываемое β-блокаторами симптоматическое улучшение не сопровождается регрессией гипертрофии ЛЖ и улучшением выживаемости больных. Хотя эффект этих препаратов в отношении купирования и предупреждения желудочковых и суправентрикулярных аритмий и внезапной смерти не доказан, ряд специалистов все же считают целесообразным их профилактическое назначение больным ГКМП высокого риска, включая пациентов молодого возраста с отягощенным случаями внезапной смерти семейным анамнезом.
Предпочтение отдается β-блокаторам без внутренней симпатомиметической активности. Наибольший опыт накоплен по применению пропранолола (обзидан, анаприлин). Его назначают начиная с 20 мг 3-4 раза в день, с постепенным увеличением дозы под контролем пульса и артериального давления (АД) до максимально переносимой в большинстве случаев 120-240 мг/сут. Следует стремиться к применению возможно более высоких доз препарата, так как отсутствие эффекта терапии β-блокаторами, вероятно, связано с недостаточной дозировкой. При этом нельзя забывать о том, что повышение дозировок существенно увеличивает риск известных побочных эффектов.
Инвазивные методы лечения:
1. Чрезаортальная септальная миэктомия
2. Вальвулопластики или протезирования митрального клапана
В ряде случаев при наличии дополнительных показаний для уменьшения выраженности обструкции и митральной регургитации одномоментно выполняется операция вальвулопластики или протезирования митрального клапана низкопрофильным протезом. Улучшить отдаленные результаты миэктомии позволяет последующая длительная терапия верапамилом, обеспечивающая улучшение диастолической функции ЛЖ, что не достигается при хирургическом лечении.
3. Иссечения межжелудочковой перегородки
В настоящее время разработаны и успешно применяются отличные от классической миэктомии методики. В частности, в НЦССХ им. А. Н. Бакулева под руководством академика Л. А. Бокерия разработана оригинальная методика иссечения зоны гипертрофированной МЖП из конусной части правого желудочка. Этот способ хирургической коррекции обструктивной ГКМП является высокоэффективным и может стать методом выбора в случаях одновременной обструкции выходных отделов обоих желудочков, а также в случаях среднежелудочковой обструкции ЛЖ.
4. Транскатетерная септальная аблация
Другим альтернативным методом лечения рефракторной обструктивной ГКМП является транскатетерная алкогольная септальная аблация. Методика предполагает инфузию через баллонный катетер в перфорантную септальную ветвь 1-3 мл 95% спирта, вследствие чего возникает инфаркт гипертрофированного отдела МЖП, захватывающей от 3 до 10% массы миокарда ЛЖ (до 20% массы МЖП). Это приводит к значимому уменьшению выраженности обструкции выходного тракта и митральной недостаточности, объективной и субъективной симптоматике заболевания.
В Волынской больнице отработана методика выполнения транскатетерной септальной аблации при ГКМП. Доказан положительный результат данного вмешательства при относительно низком риске развития осложнений.
Кардиомиопатия

Кардиомиопатия (устаревшее название - миокардиолистрофия) и ее разновидности подразделяются на три основных вида: дилатационная кардиомиопатия, гипертрофическая кардиомиопатия, рестрикивная кардиомиопатия. Каждый из трех видов кардиомиопатии имеет свои «частные случаи» - кардиомиопатии, обусловленные конкретными факторами.
Причины кардиомиопатии различны - от генетической предрасположенности до злоупотребления алкоголем. В случае, если причины кардиомиопатии установлены, кардиомиопатия считается вторичной. При невозможности установления точной причины кардиомиопатии принято говорить о первичной кардиомиопатии.
Все разновидности кардиомиопатии имеют схожие симптомы: одышка, отеки (преимущественно нижних конечностей), тахикардия, увеличение массы тела, повышенный показатель артериального давления, невозможность заниматься физической активностью, сердечная недостаточность. Нередко именно развившаяся сердечная недостаточность позволяет установить наличие кардиомиопатии.
Кардиомиопатия и ее разновидности имеет свои характерные особенности воздействия на сердечную мышцу. Дилатационная кардиомиопатия приводит к увеличению объема всех камер сердца (желудочков и предсердий), стенки камер при этом становятся тонкими и дряблыми. Существенно снижается сократительная способность сердечной мышцы.
В результате гипертрофической кардиомиопатии наблюдается утолщение стенок сердца, полость левого желудочка поглощается, нарушается кровоток.
Рестриктивная кардиомиопатия встречается наиболее редко и характеризуется жесткостью стенок сердца, плохой способностью переходить в фазу расслабления. В результате затрудняется доставка крови и кислорода в левый желудочек сердца, нарушается кровообращение во всем организме. В ряде случаев наблюдается рестриктивная кардиомиопатия у детей, обусловленная наследственными факторами.
Частными случаями дилатационной кардиомиопатии являются алкогольная кардиомиопатия, токсическая кардиомиопатия, ишемическая кардиомиопатия, идиопатическая кардиомиопатия. Алкогольная кардиомиопатия и токсическая кардиомиопатия провоцируются чрезмерным употреблением алкоголя и токсическими отравлениями (наркотическими, химическими и др.).
Ишемическая кардиомиопатия характеризуется чрезмерным повреждением сосудов сердца атеросклеротическими бляшками, то есть, причина возникновения ишемической кардиомиопатии -атеросклероз сосудов. Для ишемической кардиомиопатии свойственно наличие хронической сердечной недостаточности.
Причиной идиопатической дилатационной кардиомиопатии, как правило, является наследственный фактор. Идиопатическая кардиомиопатия способна длительное время протекать бессимптомно, и начинает проявляться с жалоб пациентов на одышку, тахикардию, упадок сил.
Метаболическая кардиомиопатия (дисметаболическая кардиомиопатия) возникает вследствие нарушения обмена веществ в сердечной мышце и приводит к дистрофии стенок и нарушениям сократительной способности сердечной мышцы. Метаболическая кардиомиопатия является вторичной, то есть, причины ее возникновения известны, и они порождают «подкласс» метаболических кардиомиопатий. К числу метаболических кардиомиопатий относят следующие виды. Климактерическая кардиомиопатия или дисгормональная кардиомиопатия вызвана нарушением выработки гормонов и взаимного потребления вырабатываемых гормонов внутренними органами. В период климакса организму свойственна «гормональная перестройка», поэтому возникает вероятность развития климактерической кардиомиопатии. Заболевания, влекущие гормональные сбои, заведомо способны спровоцировать дисгормональную кардиомиопатию. Причинами возникновения метаболической кардиомиопатии также могут стать ожирение, недостаточное употребление витаминов, заболевания эндокринной системы, желудочно-кишечного тракта, нарушения обмена веществ и др. Некоторые разновидности метаболической кардиомиопатии у детей имеют врожденный характер заболевания.
Диабетическая кардиомиопатия является частным случаем гипертрофической кардиомиопатии с аналогичным механизмом воздействия на сердечную мышцу: утолщаются (гипертрофируются) стенки сердца, затрудняется работа левого желудочка, нарушается кровообращение. Сахарный диабет - кардиомиопатия являют собой причинно-следственную связь возникновения диабетической кардиомиопатии. То есть, в ряде случаев диабетическая кардиомиопатия диагностируется у ребенка вследствие наличия у матери сахарного диабета. Диабетическая кардиомиопатия у детей может длительное время протекать бессимптомно. Помимо врожденной формы, диабетическая кардиомиопатия может быть спровоцирована развившимся сахарным диабетом. Сахарный диабет способствует закупорке сосудов атеросклеротическими бляшками, что затрудняет доставку крови к сердцу. Склонность к ожирению при сахарном диабете создает дополнительную нагрузку на сердечную мышцу. Диабетическая кардиомиопатия, причиной возникновения которой является сахарный диабет, может протекать без конкретной симптоматики, что усложняет ее своевременную диагностику.
Аритмогенная кардиомиопатия или, пользуясь принятой в медицине терминологией, аритмогенная правожелудочковая кардиомиопатия, отличается неуклонным замещением мышечной сердечной ткани правого желудочка сердца на жировую и фиброзную (соединительную) ткани. То есть, нарушается сократительная функция сердечной мышцы за счет «инородных» сердцу тканей, не способных сокращаться. Современная медицина склонна считать, что аритмогенная кардиомиопатия имеет наследственный характер возникновения. Аритмогенная кардиомиопатия может существовать в организме наряду с миокардитом, который будет являться вторичным и возникать вследствие уязвимости сердечной мышцы вирусам и инфекциям. Аритмогенная кардиомиопатия встречается у людей различных возрастов, вплоть до глубокой старости. В ряде случаев аритмогенная кардиомиопатия диагностируется у спортсменов. Симптомы аритмогенной кардиомиопатии, как правило, начинают проявляться до достижения пациентом 40-летнего возраста и выражаются в аритмии, тахикардии, головокружениях, симптомах сердечной недостаточности.
Причины и симптомы кардиомиопатии
Как мы говорили выше, причины и симптомы кардиомиопатии могут отличаться в зависимости от конкретного вида кардиомиопатии.
Для установления причин кардиомиопатии в медицине широко применяется метод исключения иных заболеваний, в том числе сердечно-сосудистых, а также пороков клапанов сердца и врожденных аномалий. Причины кардиомиопатии могут быть установлены не во всех случаях ее возникновения.
К ряду причин кардиомиопатии, поддающихся установлению, относят генетическую предрасположенность, миокардиты (поражающее воздействие вирусов и бактерий на сердечную мышцу), аритмии, систематический авитаминоз (особенно нехватка витаминов группы «В»), заболевания эндокринной системы, гормональные нарушения различного происхождения, алкогольные, токсические, химические отравления организма.
Симптомы кардиомиопатии имеют свойство проявляться спустя длительный период времени после возникновения кардиомиопатии. Нередки случаи, когда первыми симптомами кардиомиопатии оказывается развившаяся на ее фоне хроническая сердечная недостаточность.
К числу симптомов кардиомиопатии относятся одышка, тахикардия, повышенный показатель артериального давления, склонность к отекам (особенно нижних конечностей), невозможность спать в положении лежа, головокружения, вынужденное снижение физической активности. Медицинские обследования диагностируют увеличение размеров сердца, снижение показателей фракции выброса, звучания тонов, сердечного ритма. Наблюдается увеличение печени вследствие застоя крови и нарушение функции почек (что провоцирует плохой вывод жидкостей, отеки и увеличение массы тела).
Установление первых симптомов кардиомиопатии - существенный повод безотлагательно начать эффективное лечение кардиомиопатии.
Кардиомиопатия Takotsubo: определение понятий, роль катехоламинов в развитии заболевания, диагностические критерии
Стресс-индуцированная кардиомиопатия, также называемая синдром преходящей дисфункции левого желудочка или Takotsubo-кардиомиопатия, становится все более известной, обычно характеризуется транзиторной систолической дисфункцией и обширной акинезией апикальных и / или средних сегментов левого желудочка, жалобами имитирующие острый коронарный синдром, но при отсутствии обструкции коронарных артерии [1, 2], сопровождаются изменениями на ЭКГ, а также ограниченным выбросом сердечных маркеров, не соответствующих этой степени акинезией.
Около 20 лет назад этот синдром описывался только у японских пациентов. Однако во всем мире на данный момент по статистике 2% из 300000 сердечных приступов приходится на это заболевание. Это говорит о большей информированности врачей, улучшении диагностики и установления четких критериев для постановки диагноза. Следует ожидать увеличения частоты своевременной диагностики такоцубо-кардиомиопатии при условии доступности неотложной коронароангиографии в большинстве кардиологических центров в первые 24 часа, как того и требуют современные рекомендации по оказанию неотложной помощи больным с острым коронарным синдромом [3].
Термин «такоцубо» (tako-tsubo) в переводе с японского языка означает приспособление для ловли осьминогов - керамический горшок с круглым основанием и узким горлышком. Именно такую форму у больных при эхокардиографии приобретает левый желудочек (ЛЖ) в систолу, что объясняется отсутствием сокращения его верхушки с одновременным избыточным сокращением базальных отделов [4].
Патогенез
Патогенетические механизмы включают в себя избыток катехоламинов спазм коронарных артерии, и микрососудистую дисфункцию [5, 6].
Потенциальная роль разрыва холестериновой бляшки и тромбоза со спонтанным тромболизисом не были установлены. Однако результаты внутрисосудистого ультразвукового исследования (ВСУЗИ) показали доказательство разрыва бляшки в середине левой передней нисходящей коронарной артерии в 5 из 5 пациентов с диагнозом стресс-индуцированной кардиомиопатии [7] , но другая серия ВСУЗИ не нашла никаких доказательств относительно этой гипотезы [8, 9] .
Связь развития стрессовой кардиомиопатии с физическим или эмоциональным стрессом [1, 10-15], показывают, что это расстройство может быть вызвано диффузным действием катехоламинов вызванным микрососудистым спазмом или дисфункцией, путем прямого токсического действия катехоламинов [16]. У некоторых пациентов с индуцированной стрессом кардиомиопатией, единственным очевидным стрессом является воздействие препаратов катехоламинов или бета-агонистов в обычных клинических дозах [17].
Дальнейшая поддержка гипотезы действия катехоламинов обеспечивается наблюдениями подобной обратимой кардиомиопатии с глобальной или очаговой дисфункцией у пациентов с феохромоцитомой [24] и в условиях острого повреждения головного мозга, которые также постулируются связанными с действием катехоламинов [25]. По данным эндомиокардиальной биопсии в серии из восьми пациентов в период дисфункции левого желудочка [11, 13, 16] обнаружены гистологические признаки катехоламиновой токсичности [26, 27] - отсутствие признаков миокардита [28], обнаружение интерстициального фиброза [11], внутриклеточное накопление гликогена, множество вакуолей, дезорганизованность цитоскелета миокардиоцитов, увеличение белка внеклеточного матрикса [23, 27]. Эти изменения нивелировались почти полностью после функционального восстановления. Предположительно, что наибольший эффект в апикальной части миокарда может быть связан с более высокой плотностью бета-адренорецепторов в этом месте [29].
Эпидемиология
Факторы риска
К факторам риска, которые обычно связаны с развитием стрессовой кардиомиопатии следует отнести курение, злоупотребление алкоголем, тревожные состояния и гиперлипидемия. Провоцирующими факторами могут выступать: физический стресс, внезапное падение артериального давления, тяжелая болезнь, операция или медицинская процедура (например, сердечный стресс-тест), сильная боль, насилие в семье, приступ астмы, получение плохих новостей (например, диагностика рака), несчастный случай, неожиданная потеря или болезнь близкого родственника, финансовый убыток, сильный страх, публичные выступления [34].
Клиника
Наиболее распространенным симптомами являются острая загрудинная боль (58,8% случаев), а затем одышка (30% случаев), обмороки, тахикардия. Острыми осложнениями стресс-индуцированной кардиомиопатии являются остановка сердца, тахиаритмии (включая желудочковую тахикардию и фибрилляцию желудочков), брадиаритмии. Стресс-индуцированный гиперкинез левого желудочка может способствовать развитию шока и серьезной митральной регургитации [1, 10, 12], верхушечное тромбообразование и инсульт [17]. Вероятность развития острой сердечной недостаточности возможно предсказать на основе наличия или отсутствия следующих трех переменных : возраст > 70 лет, наличие физического стрессора и снижение фракции выброса левого желудочка ( ФВ ЛЖ ) < 40 процентов [35] . При обследовании 118 больных, вероятность развития острой сердечной недостаточности был < 10 процентов при отсутствии этих факторов риска.
Диагностика
Диагностическими критериями клиники Мейо являются [30, 34, 35]:
- Переходные гипокинезия, акинезия или дискинезия левого желудочка середины сегментов с или без апикального участия.
- Региональных аномалий движения стенки обычно выходят за рамки одного эпикардиальной коронарного распределения.
- Наличие стрессовых триггеров часто, но не всегда.
- Отсутствие обструкции коронарных артерий или ангиографических признаков острого разрыва бляшки.
- Электрокардиографические аномалии (либо изменение высоты ST- сегмента и / или инверсия зубца Т).
- Скромные высоты сердечного тропонина и креатинфостокиназы.
- Отсутствие феохромоцитомы или миокардита.
- Фракция выброса левого желудочка (ФВ ЛЖ ) < 40 процентов.
Электрокардиографические проявления имитируют острый коронарный синдром. Характерен инфарктоподобный подъем сегмента ST, наиболее распространенной в передних грудных отведениях ; диффузная инверсии зубца Т с продлением интервала QT , аномальные волны Q , неспецифические нарушения. Восстановление ЭКГ происходит на 2-3 неделе болезни.
Наиболее специфичные изменения при ЭХО-кг и контрастной вентрикулографии. Характерен акинез или дискинез верхушки и средней части ЛЖ с гиперконтрактильностью основания и обструкцией выходного тракта ЛЖ. При этом форма ЛЖ напоминает приспособление для ловли осьминогов. Общая систолическая функция снижается, а средняя ФВ ЛЖ варьируется в диапазоне от 20 до 49 процентов [1, 2, 31].
Ангиография является ценным методом диагностики. Принципиальное отличие кардиомиопатии токацубо от острого коронарного синдрома - отсутствие гемодинамически значимого стеноза коронарных артерий.
МРТ с гадолинием помогает в дифференциальном диагнозе с такими заболеваниями как инфаркт миокарда и миокардит. Гадолиний не накапливается при стресс-индуцированной кардиомиопатии, в отличие от инфаркта миокарда, в котором интенсивное (т.е. > 5 стандартных отклонений выше средней интенсивности сигнала дистанционного миокарда) субэндокардиально или трансмурально. При миокардите характерно неоднородное накопление гадолиния. МРТ может также дать определение тромбов в левом или правом желудочке, которые не могут быть обнаружены с помощью ЭХО-кг [11, 31].
Повышение сердечных сывороточных маркеров контрастирует с часто тяжелыми нарушениями гемодинамики. Распространенность повышения креатинкиназы-МВ и / или тропонина у пациентов было в 89,3% случаев, в 10,7% показало нормальный уровень этих сердечных ферментов. Средняя максимальная вариабельность креатинкиназы-MB и рост тропонина были 27,4 мкг/л (норма 5.2-115.7 мкг / л) и 18,7 мкг / л (норма 2.0-97.6 мкг/л), соответственно [1, 3, 20].
Лечение
До настоящего времени отсутствуют формальные рекомендации по лечению больных с СКМП. Считается, что в острой фазе заболевания показано применение транквилизаторов, если развитию синдрома предшествовал эмоциональный стресс, а также устранение других возможных провоцирующих факторов, например боли. Назначаются ингибиторы АПФ, бетаадреноблокаторы, антикоагулянты, диуретики, антагонисты кальция. Кроме того, в таких случаях целесообразно выполнение внутриаортальной баллонной контрпульсации. При динамической обструкции выходного тракта ЛЖ противопоказано использование препаратов положительного инотропного действия. Продолжительность приема антикоагулянтов варьируются в зависимости от скорости восстановления функции сердца. На фоне поддерживающей терапии всегда происходит спонтанное выздоровление в течение 2 месяцев. В 5% случаев возникает рецидив заболевания, вероятно, провоцируемый ассоциированным пусковым механизмом.
Заключение
Takotsubo кардиомиопатия представляет собой новый вариант кардиомиопатии, который стал диагностироваться в последние годы. Основным пусковым фактором заболевания является выраженный физический и эмоциональный стресс, относительно часто встречается у пожилых женщин. Патогенетические механизмы обуславливаются токсическим действием катехоламинов, поэтому сочетании α-и β-адреноблокаторов, добавление эстрогенов в терапию у женщин в постменопаузе может защитить от его развития или смягчить клинические проявления. Этот вид кардиомиопатии следует считать возможной причиной внезапной сердечной смерти в результате аритмии, в том числе у лиц без явных сердечных заболеваний. Чтобы лучше понять патогенетические механизмы, разработать рациональную систему профилактики и схем лечения, созданы регистры.
Читайте также:
- Послеоперационный уход после операции по поводу мультисвязочного повреждения коленного сустава
- Пациенты с коллоидными кистами мозга. Анестезиологические особенности
- Синдром Олбрайта-Баттлера-Блумберг (Albright-Buttler-Bloomberg)
- Влияние гипоксии на артериальное давление. Предсердные рефлексы регулирующие давление
- Техника и этапы эндоскопической операции на верхнечелюстной пазухе при гайморите
