Фиброз поджелудочной железы - причины, симптомы, диагностика и лечение
Добавил пользователь Владимир З. Обновлено: 01.11.2025

Фиброзом называются патологические изменения, происходящие в различных органах. Они связаны с разрастанием рубцовой ткани. Фиброз поджелудочной железы возникает как следствие хронического панкреатита. Как правило, проблема обнаруживается случайно при плановом медицинском осмотре пациента. В процессе развития фиброза клетки поджелудочной железы замещаются соединительной тканью. Такой патологический процесс вызывает нарушения работы органа. Железа начинает вырабатывать в недостаточном количестве такие гормоны, как инсулин, лактаза, глюкагон, трипсин и другие.
Информацию из данного раздела нельзя использовать для самодиагностики и самолечения. В случае боли или иного обострения заболевания диагностические исследования должен назначать только лечащий врач. Для постановки диагноза и правильного назначения лечения следует обратиться к профильному специалисту.

Симптомы
Заболевание вызывает необратимые процессы, которые могут провоцировать серьезные осложнения, вплоть до появления в органе доброкачественных новообразований. Человек может даже не догадываться о том, что его поджелудочная железа подвержена серьезным патологическим изменениям. Это связано с тем, что заболевание не имеет ярко выраженных симптомов. Причинами беспокойства больного должны стать следующие признаки:
- часто возникающая тошнота;
- вздутие живота;
- регулярные отрыжки;
- нарушения стула (диарея);
- метеоризм.

Причины
Как правило, главной причиной появления фиброза поджелудочной железы является панкреатит. Он может развиваться на фоне как хронического, так и острого недуга. Специалисты выделяют также следующие основные причины, которые провоцируют развитие проблемы:
- воспалительные болезни желчевыводящих путей;.
- лишний вес;
- болезни, связанные с обменом веществ;
- злоупотребление спиртными напитками;
- табакокурение;.
- отравление;
- сильный стресс.
Повышает вероятность развития фиброза также длительное употребление некоторых медикаментов, преклонный возраст и частые отравления.
Какой врач поможет?
Стеатоз поджелудочной железы ( Липоматоз поджелудочной железы , Неалкогольная жировая болезнь поджелудочной железы )
Стеатоз поджелудочной железы - это накопление внутриклеточного жира в тканях органа, которое сопровождается клинико-лабораторными изменениями. Патология в основном возникает как компонент метаболического синдрома у людей с ожирением, неправильным питанием, гиподинамией и другими факторами риска. Заболевание проявляется неустойчивым стулом, дискомфортом в животе, признаками авитаминоза и ферментной недостаточности. Для диагностики используют УЗИ и КТ, биохимический профиль крови, функциональные тесты экзокринной функции ПЖ. Лечение стеатоза предполагает заместительную ферментотерапию, коррекцию признаков метаболического синдрома.
МКБ-10


Общие сведения
В современной панкреатологии нет консенсуса по поводу медицинских терминов, обозначающих ожирение поджелудочной железы (ПЖ). Наиболее общим признан термин «стеатоз», однако для описания изменений в органе на фоне метаболического синдрома часто употребляют название «неалкогольная жировая болезнь поджелудочной железы» - по аналогии с НАЖБ печени. Точная частота стеатоза ПЖ неизвестна. Предполагается, что патология широко распространена у людей среднего и старшего возраста, поскольку около 25-34% населения этой возрастной группы имеют значимые метаболические нарушения.

Основным этиологическим фактором стеатоза поджелудочной железы называет ожирение, которое является одной из составляющих метаболического синдрома. При этом наблюдается дислипидемия с повышением атерогенных липопротеидов, расстройства обмена глюкозы, снижение чувствительности тканей к инсулину. Такие процессы усиливают негативное действие друг друга, способствуя избыточному отложению жира в паренхиме ПЖ. Существует и другие причины заболевания:
- Вирусная инфекция. Жировая инфильтрация поджелудочной железы намного чаще диагностируется у пациентов с ВИЧ-инфекцией, особенно на стадии СПИДа. В литературе существует ограниченные сведения о связи вирусного гепатита В и стеатоза ПЖ, однако они требуют дальнейшего изучения.
- Врожденные заболевания. Жировое перерождение поджелудочной железы характерно для пациентов с муковисцидозом, синдромом Швахмана-Даймонда, синдромом Йохансона-Близзарда. Изредка причиной патологии выступает гетерозиготная карбоксилэстеразная мутация.
- Гемохроматоз. Пусковым фактором являются избыточные отложения железа в ПЖ и других внутренних органах. На фоне заболевания усиливается жировое замещение паренхимы, возникшее под влиянием других факторов риска. Подобные симптомы возможны при многочисленных переливаниях крови у пациентов с анемическим синдромом.
- Токсические воздействия. Панкреатический стеатоз развивается при приеме некоторых химиотерапевтических препаратов и глюкокортикостероидов. Он также возникает вследствие повышения кортикостероидных гормонов в крови на фоне синдрома Кушинга.
- Генетические мутации. Ряд исследователей подтверждают наличие специфических генов, кодирующих гипертриглицеридемию. На фоне мутации этих генов развивается стеатопанкреатит, который сопровождается жировой дистрофией поджелудочной железы. Также описаны генетические мутации в локусах, отвечающих за синтез липопротеиновой липазы.
Патогенез
При нарушениях липидного обмена возникает дислипидемия, которая провоцирует повышение уровня свободных жирных кислот в поджелудочной железе. При этом нарушается синтез инсулина и развивается дисфункция бета-клеток островков Лангерганса, отвечающих за гормональную активность. Повышенный уровень жирных кислот активирует выработку оксида азота и свободных радикалов, которые сопровождают поражение органа, патологии внутри- и внешнесекреторной функции.
Многочисленные метаболические нарушения при ожирении ПЖ связывают с действием цитокинов, таких как интерлейкин-6 лептин, адипонектин и фактор некроза опухоли. Они имеют прямое цитотоксическое влияние на клетки, вызывая их быструю гибель. Повышение лептина и резистина усиливает провоспалительную активность других цитокинов, стимулирует выброс интерлейкина из макрофагов и становится основой для развития хронического панкреатита.
При патоморфологическом исследовании поджелудочной железы определяют увеличение количества адипоцитов. Жировые капли визуализируются внутри секреторных клеток органа, которые расположены в островковой части поджелудочной железы и во внешнесекреторных элементах ПЖ. Для количественной оценки стеатоза существует гистологическая панкреатическая шкала, которая имеет ограниченное значение на практике и чаще применяется в исследовательских целях.

Поджелудочная железа обладает большим функциональным резервом и способностью к адаптации, поэтому клинические проявления стеатоза возникают только при поражении более 90% органа. В таком случае снижается выработка пищеварительных ферментов и эндокринных веществ, которые необходимы для правильного функционирования организма. У некоторых пациентов симптоматика полностью отсутствует, ухудшение здоровья возникает только при присоединении хронического панкреатита.
Манифестные формы стеатоза поджелудочной железы характеризуются неспецифическими нарушениями пищеварения. Пациенты предъявляют жалобы на неустойчивый стул, кашицеобразный кал, учащение дефекации. Возможен дискомфорт в верхних отделах живота, метеоризм, тяжесть в желудке после еды. Характерна плохая переносимость жирной пищи и алкоголя. Поскольку яркие клинические проявления отсутствуют, пациенты длительное время не обращаются к врачу.
Специфическим признаком является симптом Тужилина, который характерен не только для хронического панкреатита, но и для других патологий панкреатической зоны. Он представляет собой красные высыпания в эпигастрии и левом подреберье. Сыпь вызвана сосудистыми причинами, поэтому она имеет стойкий оттенок и не исчезает при надавливании. Отличительной чертой стеатоза является повышенная масса тела пациентов, тогда как при воспалительных заболеваниях вес снижается.
Осложнения
Накопление жира в поджелудочной железе - основа для развития других органических патологий. В 2006 году на конгрессе Международной гепатопанкреатобилиарной ассоциации высказана гипотеза о прогрессировании стеатоза в стеатопанкреатит и рак поджелудочной железы. Такая теория подтверждается многолетними клиническими наблюдениями, однако развитие панкреатита и тем более онкопатологии наблюдается не у всех пациентов.
Серьезную проблему представляет экзокринная недостаточность ПЖ. Отсутствие специфических ферментов, которые расщепляют белковую, жировую и углеводную пищу, нарушает процессы пищеварения. В результате пациенты страдают от стеатореи, креатореи, амилореи. Проблемы с перевариванием и всасыванием пищи провоцируют авитаминозы, связанные с ними ухудшения состояния кожи, волос и ногтей, репродуктивные проблемы, нарушения кроветворной функции.
Диагностика
Обследование пациентов с панкреатическими жалобами проводится у гастроэнтеролога либо узкоспециализированного врача-панкреатолога. На первичной консультации уточняют характер симптомов, их длительность, наличие факторов риска у пациента. Также проводятся антропометрические измерения для оценки параметров тела и оценки степени ожирения, если таковое имеется. Для подтверждения болезни назначаются следующие методы диагностики:
- УЗИ поджелудочной железы. Стеатоз проявляется диффузным повышением эхогенности органа и однородной структурой паренхимы. При наличии очагов фиброза ПЖ они визуализируются при эхосонографии в виде плотных однородных новообразований, которые смещаются вместе с органом.
- КТ поджелудочной железы. Компьютерная томография признана наиболее точным методом подтверждения стеатоза. Исследование определяет снижение денситометрических показателей паренхимы органа, диффузное ослабление сигнала. Чтобы уточнить количество липидов в ПЖ, дополнительно проводится магнитно-резонансная спектроскопия.
- Биохимическая диагностика. При исследовании крови определяется повышение уровня общего холестерина и ЛПНП, возрастание количества триглицеридов более 1,7 ммоль/л, уменьшение «полезных» ЛПВП менее 1,1 ммоль/л. Характерно повышение уровня глюкозы натощак свыше 6,1 ммоль/л, что указывает на развитие метаболического синдрома. При анализе кала определяется большое количество нейтральных жиров и мыла.
- Функциональные тесты. Для оценки степени ферментной недостаточности ПЖ применяются зондовые (прямые и непрямые) методики. Они основаны на стимуляции работы поджелудочной железы с помощью секретина и холецистокинина либо путем пробного приема пищи. Активно применяются триолеиновый, йодолиполовый и другие беззондовые способы диагностики.
Дифференциальная диагностика
Поскольку стеатоз поджелудочной железы является «белым пятном» в современной панкреатологии, перед постановкой диагноза исключают другие панкреатические заболевания. Дифференциальная диагностика проводится с хроническим панкреатитом, холециститом, гепатитом. При выраженном болевом синдроме исключают пептическую язву, патологии мезентериальных сосудов. Локальная формы жировой дистрофии требуют исключения кист и злокачественных опухолей ПЖ.
Лечение стеатоза поджелудочной железы
Специфические варианты терапии отсутствуют. Лечение пациентов зависит от тяжести секреторной недостаточности органа, интенсивности сопутствующих проявлений метаболического синдрома. Чаще всего применяется заместительная ферментная терапия. Лечение направлено на улучшение работы пищеварительного тракта пациента, нормализацию консистенции стула, купирование синдрома мальабсорбции, что важно для устранения и профилактики авитаминозов.
Ведение пациентов в рамках метаболического синдрома включает коррекцию нарушений липидного и углеводного обмена. По показаниям применяются гиполипидемические препараты в стандартных дозировках, которые не только препятствуют прогрессированию стеатоза поджелудочной железы, но и проводят профилактику опасных последствий — атеросклероза коронарных и церебральных сосудов. При нарушениях гликемии используются сахароснижающие препараты.
Важную роль в терапии панкреатического стеатоза имеет модификация образа жизни. Проводятся мероприятия по снижению массы тела, поскольку похудение на 7-10% от исходного веса способствует значимому уменьшению объема жира в ПЖ и улучшению функционального статуса. Пациентам подбирают сбалансированное питание со сниженным количеством животных жиров и простых углеводов, повышенным уровнем аминокислот, витаминизированных компонентов, клетчатки.
Прогноз и профилактика
Стеатоз поджелудочной железы ‒ не жизнеугрожающее заболевание, однако оно сопряжено с хроническим панкреатитом, жировой дистрофией других внутренних органов. Прогноз для пациента определяется своевременностью диагностики патологии, успешностью контроля метаболического синдрома и готовностью соблюдать врачебные рекомендации Профилактика болезни включает стандартные меры по коррекции образа жизни, уменьшению атерогенных продуктов в рационе, нормализации массы тела.
2. Хронический панкреатит, стеатоз поджелудочной железы и стеатопанкреатит/ В.Т. Ивашкин, О.С. Шифрин, И.А. Соколина. - 2014. Стеатоз поджелудочной железы - «белое пятно» панкреатологии/ С.И. Пиманов// Медицинский совет. - 2014. - №11.
3. Стеатоз поджелудочной железы. Подходы к терапии/ В.Б. Гриневич, Е.И. Сас, Ю.А. Кравчук, К.В. Матюшенко// Гастроэнтерология Санкт-Петербурга. - 2012. - №2-3.
4. Поджелудочная железа и метаболический синдром/ Н.Г. Самсонова, Л.А. Звенигородская// Экспериментальная и клиническая гастроэнтерология. - 2011. - №11.
Атрофия поджелудочной железы
Атрофия поджелудочной железы - это уменьшение объема органа, проявляющееся недостаточностью внешнесекреторной (продукция пищеварительных ферментов, бикарбоната) и внутрисекреторной (синтез инсулина, глюкагона) функции. Наиболее частыми причинами патологии являются хронический панкреатит, сахарный диабет, соматические заболевания с выраженным истощением, а также цирроз печени, нарушение кровоснабжения, сдавление опухолью. Диагностика основана на лабораторных данных, выявляющих дефицит ферментов и низкий уровень инсулина, УЗИ поджелудочной железы, результатах биопсии. Лечение заключается в назначении заместительной терапии: ферментных препаратов, инсулина; восстановлении кишечной флоры; коррекции дефицита нутриентов.


Атрофия поджелудочной железы - состояние, характеризующееся уменьшением размеров органа, уплотнением его структуры и недостаточностью функций. Данный процесс может развиваться вследствие физиологических возрастных изменений, а также заболеваний, сопровождающихся повреждением паренхимы, сдавлением, нарушением кровоснабжения, при длительно протекающих истощающих заболеваниях. При этом вес железы, который в норме составляет около 80-90 г, уменьшается до 30-40 и ниже.

Атрофия поджелудочной железы может быть физиологической, развивающейся в результате естественных процессов старения организма. Она сопровождает тяжелые истощающие заболевания (кахектическая форма). Также атрофия является исходом всех форм хронического панкреатита, при этом значительная часть стромы замещается фиброзной тканью, что сопровождается прогрессированием эндокринной и экзокринной недостаточности.
Своеобразным типом атрофии является липоматоз, при котором большая часть паренхимы органа замещена жировой тканью. Отдельное место занимает атрофия панкреас при сахарном диабете. К более редким случаям заболевания в гастроэнтерологии относится атрофия железы при циррозе печени, системной склеродермии, сдавлении опухолью, перекрытии выводных протоков конкрементами.
Патанатомия
Данная патология сопровождается существенным уменьшением размеров железы - до 20-18 г, консистенция значительно уплотнена, поверхность органа бугристая, капсула сращена с окружающей ее жировой тканью, а также соседними органами. Изменяется структура поджелудочной железы, характерно избыточное развитие соединительной ткани, которая может пролиферировать вокруг долек (перилобулярный склероз) либо диффузно (интралобулярный склероз). На микроскопическом уровне поражение характеризуется диффузным разрастанием фиброзной ткани (интраацинозный склероз), гибелью клеток железистой паренхимы.
При липоматозе, несмотря на то, что данное состояние характеризуется сохранением или даже увеличением размеров органа (псевдогипертрофия), его большая часть замещена жировой тканью, в которой находятся отдельные железистые участки. По наблюдениям специалистов в области клинической гастроэнтерологии и эндокринологии, большинстве случаев при данной патологии сохраняется островковый аппарат и эндокринная функция органа.
Симптомы атрофии
Клиническая картина атрофии поджелудочной железы определяется причиной ее развития (сахарный диабет, хронический панкреатит и другие). Однако в любом случае характерными симптомами являются экзокринная и эндокринная недостаточность. Экзокринная (внешнесекреторная) недостаточность железы характеризуется пониженной продукцией пищеварительных ферментов, а также бикарбонатов и других электролитов, которые нейтрализуют содержимое желудка, обеспечивая благоприятную для действия панкреатических ферментов среду. Типичными симптомами являются послабление стула, ухудшение аппетита, снижение веса.
Ранним симптомом недостаточности внешнесекреторной функции является стеаторея (повышенное выведение жиров с калом). Этот признак развивается при снижении секреции на 10% от нормы. Снижение веса происходит вследствие нарушения переваривания пищи, всасывания веществ в кишечнике, потери аппетита. При длительно существующей патологии развиваются признаки дефицита витаминов.
Эндокринная (внутрисекреторная) недостаточность проявляется нарушениями углеводного обмена, протекающими по типу гипергликемического синдрома. При этом симптомы сахарного диабета развиваются лишь у половины пациентов. Это объясняется тем, что инсулинпродуцирующие клетки обладают способностью лучше сохраняться при патологии в сравнении с ацинарными. Развивается дефицит инсулина, глюкагона. Пациента может беспокоить выраженная слабость, головокружение, жажда.
При обследовании пациента с атрофией поджелудочной железы определяется дефицит массы тела. Кожные покровы сухие, шелушащиеся. При уменьшении размеров железы пропальпировать ее не удается. Если причиной состояния стал панкреатит, возможна болезненность при прощупывании. Алгоритм диагностики включает:
- Анализы. При проведении биохимических анализов крови определяется снижение активности панкреатических ферментов. Характерными симптомами являются выявляемые при проведении копрограммы стеаторея (обнаружение в кале более 9% жиров от суточного употребления) и креаторея (большое содержание в кале мышечных волокон). Зачастую диагностируется повышение уровня глюкозы крови, что является поводом для консультации у эндокринолога или диабетолога.
- Визуализирующие методики. При УЗИ поджелудочной железы определяется уменьшение ее размеров, уплотнение структуры, повышение эхогенности, неровность контуров. Для более детальной визуализации органа, выяснения причины атрофии проводится МРТ поджелудочной железы. С целью оценки состояния протоковой системы, изменения которой характерны для хронического панкреатита, показана РХПГ - эндоскопическая ретроградная холангиопанкреатография (контрастное рентгенологическое исследование). С ее помощью можно выявить сужение главного панкреатического протока, неровность стенок, извилистость. Для исключения новообразований панкреаса проводится ангиография.
- Биопсию. Важным диагностическим методом является биопсия поджелудочной железы. При исследовании биоптата оценивается степень фиброза и деструкции паренхимы, степень повреждения железистых элементов, островков Лангерганса (инсулинпродуцирующие зоны). В случае липоматоза обнаруживается жировая дистрофия органа. Проведение биопсии позволяет оценить прогноз заболевания.

Лечение атрофии поджелудочной железы
Консервативные мероприятия
При атрофии панкреас обязательно назначается диетотерапия. Питание должно быть с минимальным содержанием жиров. Достаточно внимания следует уделять белково-энергетическому дефициту, коррекции гиповитаминозов. Обязательным мероприятием является полное прекращение курения, поскольку никотин нарушает продукцию бикарбонатов поджелудочной железой, в следствие чего значительно повышается кислотность содержимого двенадцатиперстной кишки.
Основным направлением терапии данной патологии является замещение экзокринной и эндокринной секреции поджелудочной железы. Для компенсации нарушенных процессов полостного пищеварения врач-гастроэнтеролог назначает ферментные препараты. Для достижения клинического эффекта препараты должны обладать высокой активностью липазы, быть устойчивыми к действию желудочного сока, обеспечивать быстрое высвобождение ферментов в тонкой кишке, активно содействовать полостному пищеварению. Данным требованиям соответствуют ферменты в виде микрогранул.
Поскольку именно липаза из всех ферментов панкреаса быстрее всего теряет активность, коррекция производится с учетом ее концентрации в препарате и выраженности стеатореи. Эффективность лечения оценивается по содержанию эластазы в кале и степени уменьшения стеатореи. Действие ферментных препаратов направлено и на устранение болевого синдрома, уменьшение вторичного энтерита, создание условий для нормализации кишечного микробиоценоза, улучшение углеводного обмена.
Коррекция эндокринной недостаточности проводится путем инсулинотерапии. При атрофии поджелудочной железы частично сохраняются островки Лангерганса, поэтому инсулин в организме продуцируется, но в малых количествах. Дозировка и режим введения инсулина определяются индивидуально в зависимости от течения патологии, этиологического фактора, данных суточного мониторирования глюкозы крови. Назначение ферментных препаратов значительно улучшает функцию поджелудочной железы в целом и углеводный обмен в том числе. Поэтому режим инсулинотерапии определяется в зависимости от дозировки и эффективности заместительной ферментной терапии.
Важным условием эффективной коррекции пищеварительных функций является нормализация микробиоценоза кишечника, поскольку на фоне приема ферментов создаются благоприятные условия для заселения патогенной флоры. Применяются пробиотики, пребиотики. Обязательно назначается витаминотерапия инъекционно, а также препараты магния, цинка, меди.
Хирургическое лечение
Хирургическое лечение данной патологии проводится в специализированных центрах. Осуществляется трансплантация островков Лангерганса с последующим удалением железы и заместительной ферментной терапией. Однако, поскольку атрофия зачастую является следствием тяжелых заболеваний с выраженным нарушением общего состояния пациента, такое лечение проводится редко.
Прогноз при атрофии поджелудочной железы определяется степенью поражения экзокринных и эндокринных структур органа. Поскольку островковый аппарат частично сохранен, существует и остаточный синтез инсулина. Ввиду этого редко развивается кетоацидоз, но часто возникают гипогликемические состояния. Определение этиологии заболевания, устранение основной патологии, своевременное начало лечения позволяют достичь хороших результатов.
Профилактика заключается в своевременном лечении заболеваний, которые могут стать причиной атрофии панкреас. При наличии хронического панкреатита обязателен полный отказ от алкоголя, соблюдение диеты, поддержание достаточного уровня ферментативной активности железы.
Фиброз поджелудочной железы
Фиброз поджелудочной железы - это диффузное пери- и интралобулярное замещение здоровой функционирующей ткани поджелудочной железы соединительнотканными очагами. Основными симптомами являются выраженная экзокринная (нарушение пищеварения, снижение веса, диарея) и эндокринная недостаточность органа (нарушение углеводного обмена). Диагностика включает проведение лабораторных исследований, УЗИ поджелудочной железы, КТ, биопсии. Лечение направлено на коррекцию внешнесекреторной недостаточности (ферментные препараты), гипергликемии. Прогноз неблагоприятный: полное излечение невозможно, при адекватной терапии достижима компенсация панкреатической недостаточности.

Фиброз поджелудочной железы - клинико-морфологическая форма хронического воспалительного процесса панкреас, являющаяся исходом, завершающим этапом течения основного заболевания. Распространенность фиброза поджелудочной железы неуклонно растет в связи с увеличивающейся частотой острых и хронических панкреатитов; данная патология диагностируется более чем у 40% пациентов с заболеваниями панкреас.
При злоупотреблении спиртными напитками полное замещение паренхимы поджелудочной железы фиброзной тканью развивается в течение 15-20 лет, что приводит к инвалидизации и летальному исходу. Росту заболеваемости способствует неэффективное лечение основной патологии, несоблюдение пациентами рекомендаций, зачастую - продолжение алкоголизации. Лечением фиброза поджелудочной железы занимаются специалисты в области клинической гастроэнтерологии, терапии, хирургии.
Основной причиной развития фиброза поджелудочной железы является хронический панкреатит. Специалистами доказано, что очаги замещения функционирующих элементов соединительной тканью формируются в периоды обострения воспаления, и их распространенность зависит от стажа заболевания.
Фиброз поджелудочной железы также может развиваться при заболеваниях, сопровождающихся повышением давления в протоковой системе панкреас (при патологии желчевыводящих путей и желчного пузыря): панкреатическая гипертензия приводит к нарушению целостности протоков, повреждению паренхимы, воспалению. К редким причинам фиброза поджелудочной железы относят гиперлипидемию, муковисцидоз, воздействие токсических веществ (в том числе лекарственных препаратов: гипотиазида, ацетилсалициловой кислоты и других), травмы.
Факторы риска
К рецидивированию основной патологии и прогрессированию фиброза поджелудочной железы чаще всего приводит:
- употребление алкоголя;
- обилие в рационе жирной пищи;
- недостаток витаминов и антиоксидантов, микроэлементов;
- табакокурение, которое нарушает секрецию бикарбонатов поджелудочной железой.
Независимо от провоцирующих факторов, фиброз поджелудочной железы является следствием аутолиза ее паренхимы при активации протеолитических ферментов, отека, некроза и инфильтрации. Патогенез заболевания при воздействии алкоголя имеет особенности: в результате алкогольного повреждения снижается содержание в панкреатическом соке бикарбонатов и повышается уровень белка, вследствие чего белковые преципитаты в виде пробок обтурируют мелкие протоки, создавая условия для формирования фиброза поджелудочной железы.
Клиническая картина фиброза поджелудочной железы определяется внешнесекреторной недостаточностью (снижением секреции ферментов, бикарбонатов и уменьшением объема панкреатического сока) и нарушением углеводного обмена. Объем продуцируемых ферментов снижается на 80-90% и более, поэтому симптомы экзокринной недостаточности при фиброзе поджелудочной железы выражены существенно: снижается масса тела, имеет место диарея до восьми раз в сутки (при приеме ферментных препаратов и соблюдении пациентом диеты данный признак может быть менее выраженным или даже отсутствовать), стеаторея.
Вследствие нарушения секреции бикарбонатов снижается интрадуоденальный уровень рН, что приводит к активации цАМФ клеток кишечной стенки и секреторной диарее: наблюдается водянистый стул. Снижение массы тела вызвано не только нарушением переваривания пищи и ее всасывания в кишечнике, но и ограничением ее объема при болевом синдроме.
Длительная стеаторея при фиброзе поджелудочной железы приводит к дефициту жирорастворимых витаминов (К, А, Е, D), что проявляется нарушением адаптации зрения в условиях темноты, повышенной кровоточивостью, развитием остеопороза. У подавляющего большинства пациентов имеет место нарушение углеводного обмена, а у двух третей - признаки сахарного диабета (сухость во рту, жажда, общая слабость, кожный зуд, сонливость). Поскольку фиброзные изменения затрагивают все клетки островкового аппарата железы, снижается секреция и инсулина, и глюкагона. Диабет при фиброзе поджелудочной железы редко сопровождается гипогликемическими состояниями, кетоацидозом, ангиопатией.
Консультация гастроэнтеролога при фиброзе поджелудочной железы позволяет выявить некоторые объективные признаки патологии: дистрофические изменения (вплоть до кахексии), сухость кожи, языка, цианоз, покраснение лица, атрофию подкожной клетчатки в области проекции панкреас. Поджелудочная железа пальпируется в виде плотного тяжа. Лабораторно-инструментальная диагностика:
- Биохимические пробы. В лабораторных анализах определяется выраженное уменьшение содержания белка крови, снижение альбумино-глобулинового коэффициента. Активность панкреатических ферментов, в том числе амилазы, низкая (это неблагоприятный признак, свидетельствующий о тотальном поражении поджелудочной железы).
- УЗИ. Важный метод диагностики фиброза поджелудочной железы - УЗИ брюшной полости. Определяется диффузное повышение эхогенности органа, структура неоднородная, размеры уменьшены; возможно выявление расширения вирсунгова протока. Более информативна эндоскопическая ультросонография, которая позволяет выявить линейные тяжистые включения разной протяженности и формы, бугристость контуров, гиперэхогенность паренхимы.
- Рентгенодиагностика. При проведении ЭРХПГ выявляются изменения протокового аппарата, вызванные образованием рубцов. Для подтверждения диагноза может проводиться КТ поджелудочной железы.
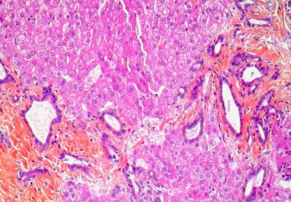
- Пункционная биопсия. Если данный метод диагностики не дает необходимой информации, выполняется биопсия поджелудочной железы, которая является «золотым стандартом» диагностики фиброза поджелудочной железы и позволяет получить достоверные данные о морфологических изменениях органа.
Лечение фиброза поджелудочной железы
Лечение фиброза поджелудочной железы направлено на восполнение внешне- и внутрисекреторной недостаточности. Назначается диета № 5п, включающая стимулирующие секрецию ферментов блюда, продукты с высоким содержанием белка. Ограничиваются легкоусвояемые углеводы. При выраженной кахексии питание парентеральное. Этиотропное лечение заключается в устранении причин патологии (исключение употребления алкоголя, проведение холецистэктомии при желчнокаменной болезни, хирургическое лечение папиллостеноза и т. д.).
С целью замещения экзокринной недостаточности назначаются ферментные препараты: панкреатин, липаза и другие. При абсолютной недостаточности поджелудочной железы данные препараты применяются постоянно в максимальных дозировках. Критериями эффективности заместительной терапии являются прекращение снижения массы тела, снижение диспепсических явлений, устранение диареи. Коррекция нарушений углеводного обмена проводится пероральными сахароснижающими препаратами; крайне редко требуется инсулинотерапия. Вне эпизодов обострения основного заболевания показано санаторно-курортное лечение.
При выраженном болевом синдроме, неэффективности консервативной терапии, стремительном снижении веса, частых рецидивах панкреатита проводится хирургическое лечение фиброза (резекция поджелудочной железы в различных объемах).
Прогноз при фиброзе поджелудочной железы определяется объемом функционирующей ткани, а также соблюдением пациентом рекомендованного лечения. При полном пожизненном отказе от алкоголя, правильном применении ферментных препаратов возможно длительное течение заболевания без существенного прогрессирования. Однако не существует методов, позволяющих устранить фиброз.
Профилактика патологии заключается в отказе от алкоголя, своевременном лечении заболеваний, которые могут стать причиной фиброза поджелудочной железы. Пациенты с диагностированным фиброзом подлежат диспансеризации. Дважды в год необходимо профилактическое обследование с оценкой наличия или отсутствия прогрессирования и проведением коррекции терапии (при необходимости).
Фиброз

Значительное уплотнение соединительной ткани называется фиброзом. При этом заболевании начинаются рубцовые изменения в органах, что приводит к нарушениям в их работе. К примеру, в дыхательной системе развивается легочная недостаточность, которая мешает человеку вести привычный образ жизни. Нередко такое состояние провоцируют инфекции или аллергены из внешней среды. Часто наблюдается разрастание соединительной ткани в легких и печени у курильщиков и тех, кто часто пьет алкогольные напитки. Фактором риска также считаются частые стрессы, которые ослабляют защитные механизмы в организме.
Симптомы и признаки
На начальной стадии любой вид фиброза протекает без каких-либо признаков. Человек может работать, заниматься спортом, делать, что привык, причин для беспокойства у него нет. Однако через определенное время начинаются проявляться следующие симптомы:
- постоянная усталость;
- синяки после любого удара, даже незначительного;
- гипертензия;
- отдышка;
- посинение кожных покровов.
Признаки различаются, в зависимости от того, в каком органе образовался фиброз. К примеру, в груди у женщин уплотнение из соединительной ткани прощупывается только, когда оно достигает средних размеров. При этом болезненность этой части тела и общее состояние усталости отсутствуют.
Виды фиброза: очаговый и тотальный
Заболевание поражает орган частично или полностью. В зависимости от локализации выделяют два вида фиброза: очаговый и тотальный. Оба они встречаются в легких, печени, предстательной железе, поджелудочной железе, сердце, женских и мужских половых органах. Очаговый фиброз может не проявлять себя длительное время. На протяжении 6-8 лет у больных часто не появляется никаких симптомов. Они могут вести привычный образ жизни, даже заниматься спортом.
Тотальная форма обычно проявляется на последней стадии развития недуга. При ней множество плотных узлов покрывают ткани. Обычно такое образование доброкачественное, хотя пациентам больниц нередко назначают биопсию.
Кроме того, очаговый фиброз может быть:
- кардиальным;
- врожденным;
- идиопатическим.
В большинстве случаев к появлению очагового фиброза приводит радиационное воздействие. Оно характерно чаще всего для женщин, лечащихся от злокачественных образований в молочных железах. У них обычно диагностируется фиброз легких. В итоге появляются уже два недомогания. Снизить риск от облучения можно, если принимать поливитаминные комплексы, вести здоровый образ жизни.

Что касается причин, то к ним относят такие факторы:
- хронические воспалительные процессы;
- травмы;
- вирусные заболевания;
- гормональные изменения;
- аллергические реакции;
- иммунологические изменения.
Также врачи разделяют причины фиброза, в зависимости от места его локализации.
Какой врач лечит фиброз?
На ранней стадии заболевание редко диагностируется. Как правило, оно протекает без явных симптомов. Пациенты обращаются к врачу только в том случае, если их начинают беспокоить усталость, отдышка, острая боль. По сути, ответа на вопрос «какой врач лечит фиброз?» не существует. Это связано с тем, что образования в каждом органе лечит профильный специалист. Что бы узнать какой именно специалист нужен вам, обратитесь к врачу следующей специальности:
Читайте также:
- Гипертонические кризы у детей
- Техника переднелатерального доступа к тазобедренному суставу
- Анатомия: Оболочки головного мозга. Твердая оболочка, dura mater encephali
- Декомпрессия рабочих кессонов. Особенности декомпрессии рабочих водолазов
- Показатели корреляции рангов артикуляции у различных дикторов. Различия артикуляции речи
