Техника, этапы малоинвазивной операции при переломе пяточной кости
Добавил пользователь Евгений Кузнецов Обновлено: 21.01.2026
1 ФГБУ «Уральский научно-исследовательский институт травматологии и ортопедии им. В.Д. Чаклина» Минздрава России
Работа представляет авторскую методику оперативного лечения внутрисуставных оскольчатых переломов пяточной кости и может использоваться в том числе при двусторонних переломах. Основной проблемой лечения данного вида повреждений является местное воспаление, приводящее в ряде случаев к тяжелым нагноениям, следствием которых может быть (по данным литературы) даже ампутация стопы. Оригинальная методика заключается в проведении первым этапом дистракционного остеосинтеза нижней трети голени и стопы, устранения имеющегося смещения отломков пяточной кости. Вторым этапом выполняется закрытая элевация импрессированной суставной поверхности и окончательная репозиция пяточной кости через минидоступ и фиксация отломков стержнем с блокированием. У прооперированного пациента в срок 2,5 мес. достигнута консолидация пяточной кости с восстановлением опорной функции конечности, сохранена коррекция положения отломков кости, достигнутая во время операции. При этом инфекционных осложнений в виде нагноений, краевых некрозов кожи не зафиксировано.

1. Asik M., Sen C. Surgical management of intraarticular fractures of the calcaneus // Arch. Orthop.Trauma Surg. - 2002. - Vol. 122, № 6. - P. 354-359.
2. Coughlin M.J., Mann R.A., Salzmann C.L. Surgery of the foot and ankle. - 8th ed. - 2007. - Vol. 11. - 2061 p.
3. Ebraheim N.A., Mehalik J.N., Rezcallah A.T. Internal Architecture of the Calcaneus: Implication for Calcaneus Fractures // J.foot and ankle surgery. - 2000. - Vol. 21, № 1. - Р. 323-325.
4. Hutchinson F., Huebener M.K. Treatment of the os calcis fracture by open reduction and internal fixation // Clin. Orthop. - 1993. - Vol. 290. - P. 41-46.
5. Sanders R. [et al.] Results using a prognostic computed tomography scan classification // Clin. Orthop. - 1993. - Vol. 290. - P. 87-95.
Неудовлетворительные исходы лечения тяжелых компрессионных переломов пяточной кости варьируют от 13 до 80,5 % [3], притом что сами переломы пяточной кости составляют 1,1-2,9 % от всех повреждений костей скелета и 40-60 % от всех переломов костей стопы [2], а 75 % переломов пятки являются внутрисуставными [5]. По данным различных авторов первичный выход на инвалидность при переломах пяточной кости составляет от 15 до 78 %, а приблизительно 90 % больных данной категории - это люди молодого и трудоспособного возраста от 18 до 55 лет [1, 4]. Перечисленные статистические показатели подтверждают актуальность дальнейшей оптимизации методик оперативного лечения внутрисуставных переломов пяточной кости.
Материалы и методы исследования
Нами представляется типичный клинический пример оперативного лечения внутрисуставного перелома пяточной кости.
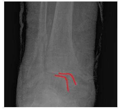
Пациент М. 1980 г.р., травму получил при падении на стопы с высоты 1,5 метра. Лечился по месту жительства (в травмпункте районной больницы) консервативно в гипсовой повязке в течение 14 дней. Консультирован в травматологическом отделении ФГБУ «УНИИТО им. В.Д. Чаклина» Минздрава РФ, предложено оперативное лечение. При поступлении кожные покровы стопы чистые, без признаков воспаления и сдавления тканей. Стопа отечна, уплощена. На рис. 1 представлены рентгенограммы пациента. Прооперирован через 2 недели после травмы. Операция состоит из двух этапов. Первый этап заключается в наложении дистракционного аппарата. Проводятся две спицы 1,8 мм во фронтальной плоскости: первая через нижнюю треть диафиза большеберцовой кости, вторая через бугор пяточной кости (рис. 2). Спицы фиксируются в дистракционном аппарате, выполненном из двух полуколец, соединенных между собой двумя телескопическими тягами. Особое расположение полуколец, фиксация спиц на концах полуколец, крепление кронштейнов для телескопических тяг обеспечивает тракцию пяточной кости в необходимом направлении с использованием минимального количества спиц и внешних опор при сохранении необходимого поля обзора для проведения рентгенологического и визуального контроля репозиции и фиксации. Второй этап - закрытая элевация импрессированной суставной поверхности и окончательная репозиция пяточной кости. Через разрез длиной до 1 см по латеральному краю ахиллова сухожилия (рис. 3) в месте его прикрепления к пяточной кости под соответствующий фрагмент подводится элеватор (рис. 4), манипуляцией которым устраняется смещение и выполняется провизорная фиксация спицами 1,5 мм (рис. 5). При сагиттальном раскалывании суставной фасетки целесообразно проведение одного-двух винтов субхондрально (рис. 6). Стержень вводится с дорзальной поверхности пяточной кости по ее оси через разрез до 2 см по предварительно сформированному остеотомом каналу (рис. 7, 8). Далее через проколы кожи с помощью кондуктора (рис. 9) выполняется запирание винтами с латеральной поверхности, внешнее устройство демонтируется. Достигнуто удовлетворительное стояние отломков (рис. 10).
Результаты исследования и их обсуждение
В послеоперационном периоде внешняя иммобилизация не применялась. Лечебная физкультура голеностопного и подтаранного суставов назначалась с первых суток после операции. Двигательный режим - без опоры на поврежденную стопу до 2,5 месяцев после операции. Разработка движений в голеностопных суставах начата с первых суток после операции. В послеоперационном периоде пациент принимал только обезболивающие препараты в течение трех дней, дополнительной медикаментозной терапии не требовалось. Ходьба на костылях без опоры на оперированную конечность начата с первых суток после операции до 2,5 месяцев. Дозированная нагрузка с доведением до полной назначена к 3 месяцам после оперативного лечения. Пациент реабилитирован полностью, исходом оперативного лечения доволен, приступил к труду по основному месту работы.


Рис. 1. На рентгенограмме левой стопы в прямой и боковой проекциях определяется оскольчатый внутрисуставной перелом левой пяточной кости

Рис. 2. Первый этап оперативного лечения - наложение дистракционного аппарата

Рис. 3. Под контролем ЭОП из разреза длиной до 1 см латеральнее места прикрепления ахиллова сухожилия выполняется элевация суставной поверхности пяточной кости



Рис. 4. Устранение смещения отломка


Рис. 5. Провизорная фиксация репонированной суставной поверхности спицами


Рис. 6. Окончательная фиксация компрессирующим винтом, введенным субхондрально


Рис. 7. По оси пятки проводится спица, по которой затем канюлированным сверлом формируется канал для введения стержня


Рис. 8. Вводится стержень на кондукторе. Данная иллюстрация показывает, что компоновка аппарата внешней фиксации не создает помех для кондуктора


Рис. 9. Внешний вид конечности после демонтажа аппарата и снятия кондуктора


Рис. 10. На рентгенограмме левой стопы в прямой и боковой проекциях определяется удовлетворительное стояние костных фрагментов на фоне металлофиксатора
Предлагаемый авторами способ оперативного лечения переломов пяточной кости является малотравматичным эффективным вариантом хирургического вмешательства, позволяющими профилактировать возможные типичные осложнения, такие как нагноения, и достигать сращения кости в физиологические сроки консолидации.
Рецензенты:
Герасимов А.А., д.м.н., профессор, зав. кафедрой медицины катастроф, ГБОУ ВПО «Уральская государственная медицинская академия» Минздрава РФ, г. Екатеринбург;
Борзунов И.В., д.м.н., зам. декана лечебно-профилактического факультета, ГБОУ ВПО «Уральская государственная медицинская академия» Минздрава РФ, г. Екатеринбург.
Техника, этапы малоинвазивной операции при переломе пяточной кости
Работа описывает авторскую методику малоинвазивного оперативного лечения оскольчатого перелома пяточной кости. Оригинальность методики заключается в проведении первым этапом дистракционного остеосинтеза нижней трети голени и стопы аппаратом, закрытого устранения имеющегося смещения отломков пяточной кости. Вторым этапом выполняется закрытая элевация импрессированной суставной поверхности и окончательная репозиция пяточной кости через минидоступ и фиксация отломков стержнем с блокированием. Основными проблемами лечения данного вида повреждений является местное воспаление, приводящее, в ряде случаев, к тяжелым нагноениям, следствием которых может (по данным литературы) даже ампутация стопы. У прооперированного пациента в срок 2,5 мес. достигнута консолидация пяточной кости с восстановлением опорной функции конечности, сохранена коррекция положения отломков кости, полученная во время операции. При этом инфекционных осложнений в виде нагноений, краевых некрозов кожи не зафиксировано.

1. Дрягин В. Г. Диагностика и лечение нестабильных переломов пяточной кости: автореф. дис… канд. мед. наук. - Уфа, 2004. - 240 с.
2. Зиганшин И. Н., Еникеев Р. И., Имаев JI. A. Морфофункциональные особенности в лечении переломов пяточной кости // Материалы III пленума Правления Ассоциации ортопедов и травматологов России. - Уфа, 1999. - С. 86-87.
3. Золотев A. C. Закрытая репозиция компрессионного перелома пяточной кости // Вестн. травматологии и ортопедии им. Н. Н. Приорова. - 2005. - № 4. - С.29-32.
4. Копысова В. А. Реконструктивный остеосинтез при внутрисуставных импрессионных переломах пяточной кости // Вестн. травматологии и ортопедии им. Н. Н. Приорова. - 2008. - № 2. - С.40-43.
5. Корышков Н. А., Платонов С. М. Лечение повреждений пяточной кости // Вестн. травматологии и ортопедии им. Н. Н. Приорова. - 2005. - № 1. - С.90-92.
7. Пахомов И. А. Принципы патогенетического лечения тяжелых переломов пяточной кости // Материалы Конгресса травматологов-ортопедов России с международным участием «Новые имплантаты и технологии в травматологии и ортопедии», 2-5 июня 1999 г. - Ярославль, 1999. - С.319-321.
8. Тихилов Р. М., Фомин Н. Ф., Корышков Н. А. Современные аспекты лечения последствий переломов костей заднего отдела стопы // Травматология и ортопедия России. - 2009. - №2. - С.144-149.
9. Швед С. И., Сысенко Ю. М., Шилов В. Г. Оценка отдаленных анатомо-функциональных результатов лечения больных с переломами пяточной кости // Современные проблемы биологии и медицины: материалы XXX областной научно-практической конференции. - Курган, 1998. - С.92-94.
10. Bruce J., Sutherland A. Surgical versus conservative interventions for displaced intra-articular calcaneal fractures // Cochrane Database Syst. Rev. - 2013. - Jan. - Vol. 31, № 1: CD008628. doi: 10.1002/14651858.иCD008628.pub2.
11. Clare M. P., Sanders R.W. Calcaneus fractures // Unfallchirurg. - 2011. - Oct. - Vol.114 (10). - S.869-876. doi: 10.1007/s00113-011-2076-9.
12. Coughlin M. J., Mann R. A., Salzmann C. L. Surgery of the foot and ankle. - 8th ed. - 2007. - Vol.11. - P.2061.
13. Hutchinson F., Huebner M. K. Treatment of os calcis fractures by open reduction and internal fixation // Foot Ankle Int. - 1993. - Vol.15. - P.225-232.
14. Myerson M.S. Primary subtalar arthrodesis for the treatment of comminuted fractures of the calcaneus // Orthop. Clin. North. Am. - 1995. - Apr. - Vol. 26 (2). - P.215-227.
15. Palmersheim K., Hines B., Olsen B. L. Calcaneal fractures: update on current treatments // Clin. Pediatr. Med. Surg. - 2012. - Apr. - Vol. 29 (2). - P.205-220. doi:10.1016/j.cpm.2012.01.007.
16. Sanders R., Fortin P., DiPasquale T., Walling A. Operative treatment in 120 displaced intraarticular calcaneal fractures. Results using a prognostic computed tomography scan classification // Clin.Orthop. - 1993. - May. - Vol.290. - P.87-95.
17. Sanders R., Hansen S. T., McReynolds I. S. Trauma to the calcaneus and its tendon // W.B. Saunders Co., 1991. - P.2326.
Переломы пяточной кости составляют 1,1-2,9 % от всех повреждений костей скелета [1, 12] и 40-60 % от всех переломов костей стопы [3,4, 6, 10, 12, 15]. Подавляющее большинство переломов являются внутрисуставными - от 74,7 до 90,4 % [1, 2] и 90 % больных данной категории - это люди молодого и трудоспособного возраста от 18 до 55 лет [2, 11, 13]. При переломах пяточной кости встречается значительное число неудовлетворительных результатов как консервативного, так и оперативного лечения, отмечается продолжительный период нетрудоспособности и частота инвалидности от 20 % до 93 % [5, 9, 14, 16, 17]. К числу неудовлетворительных результатов относятся неправильно сросшиеся переломы, сопровождающиеся снижением высоты свода стопы, укорочение пяточной кости, уменьшение угла Белера, укорочение стопы. Все это приводит к развитию деформирующего артроза в подтаранном суставе, стойкому болевому синдрому и вызывает тяжелые функциональные нарушения стопы [7]. По данным Тихилова Р. М. (2009) [8], в целом от 23,5 % до 78 % пострадавших становятся инвалидами III и II групп.
Материал и методы. Нами представляется клинический пример оперативного лечения внутрисуставного перелома пяточной кости.
Пациент П., 45 лет, получил травму пяточных костей при падении с высоты 2 м. Избранный метод лечения - консервативное - был безуспешным. При поступлении в институт установлен диагноз: внутрисуставной импрессионный перелом пяточной кости (рис.1 а, б, в. - рентгенограммы в разных проекциях). Через 2 недели после травмы проведена операция по предлагаемому способу. Сначала был наложен дистракционный аппарат (рис. 2) и осуществлена дистракция под контролем электронно-оптического преобразователя. Далее производится проведение спицы по оси пяточной кости (рис. 3). По проведенной спице канюлированным сверлом осуществляют формирование канала до импрессированного отломка пяточной кости (рис. 4).
Проведение репозиции суставной поверхности пяточной кости осуществляется применением элеватора, введенного в кость через сформированный канал (рис. 5). При достижении удовлетворительного стояния отломков их компрессия осуществляется введением спонгиозных винтов диаметром 3,5 мм через проколы кожи, без осуществления больших операционных доступов.
Операция при переломе лодыжки
Переломы лодыжек являются одной из наиболее частых причин обращения к травматологам-ортопедам.
Когда возможно консервативное лечение перелома лодыжек.
Консервативное лечение методом гипсовой иммобилизации возможно в ситуации изолированных переломов наружной или внутренней лодыжек без смещения костных фрагментов и повреждения связочных структур. Даже в случаях подобных изолированных повреждений сроки иммобилизации не могут быть меньше 6 недель, что в конечном счёте значительно затрудняет реабилитацию и может приводить к более продолжительным срокам нетрудоспособности в сравнении с оперативным лечением. Плюсами консервативного лечения перелома лодыжек являются отсутсвие рисков связанных с самим оперативным вмешательством и наркозом, а также отсутсвие необходимости удалять металлофиксаторы в будущем.
Разнообразие переломов лодыжек.
Итак, подавляющее большинство переломов лодыжек требует оперативного вмешательства, при отсутсвии противопоказаний. Для планирования оперативного вмешательства и понимания взаимоотношений между различными анатомическими структурами в области голеностопного сустава и стопы, которые могут повреждаться при переломах лодыжек, существуют различные классификации. Наиболее широко распространённой в международной практике, подробной, и оценивающей все аспекты как собственно травмы, так и возможных путей её лечения является классификация АО. Вы можете найти её на сайте международной ассоциации остеосинтеза.
К сожалению данная классификация довольно сложная и громосткая, мы не будем приводить её здесь полностью, так как только её треть относящаяся к группе А выглядит примерно так:

Максимально упрощая, можно свести переломы лодыжек к одно\двух\трёх- лодыжечным переломам и их эквивалентам. Консервативное лечение применимо только в случае однолодыжечных переломов. При консеравтином лечении двух- и трёх-лодыжечных переломов и их эквивалентов вторичное смещение практически неизбежно, что приводит в дальнейшем к нарушению взаимоотношений между таранной костью и соответсвующих ей суставных поверхностей большеберцовой и малоберцовой костей, что в свою очередь приводит к неправильному распределению нагрузки, износу суставного хряща и формированию посттравматического артроза с грубым нарушением функции опоры и ходьбы уже в течение 1-2 лет после травмы. Именно это и объясняет возросший за последние 2 десятилетия интерес хирургов-ортопедов к данному виду травмы.
Цели операции при переломе лодыжек.
Главной целью хирургического лечения перелома лодыжек является восстановление нормального взаимоотношения костей в голеностопном суставе. Даже при смещении таранной кости кнаружи на 1 мм площадь её контакта с большеберцовым плато уменьшается на 40%. Получается что при сращении наружной лодыжки с, казалось бы, небольшим смещением в 1 мм кнаружи, на 60 % площади будет приходиться 100 % нагрузки.
Вторым важным моментом является обеспечение условий для сращения перелома за счёт плотного контакта костных фрагментов и их надёжной фиксации, предотвращающей движение отломков между собой.
Третьей целью является уход от иммобилизации. Гипсовая повязка сама по себе способна нанести значительный вред её обладателю за 6 недель, приводя к нарушению питания тканей, атрофии мышц, повышая риски тромбоза глубоких вен нижних конечностей, препятствуя движению в суставе, что в конечном счёте может приводить к его контрактуре. При правильно выполненном остеосинтезе движения в голеностопном суставе разрешаются уже на следующий день после операции. Вы можете посмотреть статью посвящённую операции при переломе лодыжки перейдя по этой ссылке.
Что происходит после того, как вы обратились в клинику с переломом лодыжек.
В нашем центре мы стараемся максимально быстро и эффективно оказывать помощь пациентам с переломами любой локализации, в том числе и с переломами лодыжек. Полное предоперационное обследование и операция выполняются в течение первых 24 часов после обращения. Выписка под наблюдения травматолога поликлиники в большинстве случаев происходит уже на вторые сутки после обращения и операции. При обращении вам выполнят рентгенограммы для подтверждения диагноза, будет наложена транспортная гипсовая иммобилизация. Непосредственно перед операцией с профилактической целью вводятся внутривенно антибиотики. Возможно использование спинномозговой анестезии или эндотрахеального наркоза. С целью снижения стресса от оперативного вмешательства за 10 минут до операции вас погрузят в медикаментозный сон, проснётесь вы также через 10 минут после её окончания. Во время операции ортопедический хирург произведёт открытое сопоставление отломков с их фиксацией пластинами и винтами. После операции вам понадобятся костыли, так как полная нагрузка всё равно не рекомендуется до сращения перелома. На следующий день после операции вам выполнят перевязку, научат как правильно ходить с дополнительной опорой на костыли и какие упражнения делать для разработки движений и укрепления мышц голени, после чего вы можете быть выписаны домой.
Операция при переломе лодыжек.
При переломе лодыжек выполняется оперативное вмешательство называемое: открытая репозиция и внутренняя фиксация, или остеосинтез. Для доступа к сломанной кости выполняются разрезы вне проекции крупных сосудисто нервных пучков.



Сломанная кость обнажается, производится сопоставление костных отломков, временная фиксация при помощи костодержателей, спиц, костных цапок. Далее выполняется остеосинтез при помощи пластин и винтов. Временная фиксация удаляется.

Производится гемостаз, рана послойно ушивается, накладывается асептическая повязка, эластическая компрессия.
Что происходит после операции при переломе лодыжек.
После операции нога должна находится на возвышении, через повязку на область оперативного вмешательства укладывается лёд (лучше всего мягкая резиновая грелка наполненная льдом и холодной водой) на 30 минут каждые 3 часа. Это позволяет уменьшить отёк и боль в зоне вмешательства. После операции вам будут вводиться обезболивающие и противовоспалительные препараты. Вечером в день операции или на следующий день после операции инструктор по лечебной физкультуре обучит вас каким образом надо правильно ходить с дополнительной опорой на костыли и покажет вам упражнения которые надо будет выполнять для сохранения массы и силы мышц голени. Утром на следующий день после операции вам сделают перевязку. После этого вы можете быть выписаны под наблюдение травматолога по месту жистельства. Дома также следует продолжать использовать возвышенное положение конечности и лёд для более быстрого спадения отёка и уменьшения болей. Через 2 недели после операции вам надо будет приехать в клинику для того чтобы снять швы. Через 6 недель производится рентгенконтроль и при наличии признаков консолидации разрешается нагрузка на ногу. Обычно требуется ещё около 2 недель для того чтобы полностью восстановить функцию конечности. На этом этапе очень полезно позаниматься с инструктором по лечебной физкультуре. Форсированные(спортивные) нагрузки на ногу не рекомендуются до 6-12 месяцев после травмы.
Осложнения операции при переломе лодыжек.
Существует ряд осложнений характерных для любого хирургического вмешательства и для любого вида анестезии. Операция при переломе лодыжек не исключение. К ним относятся инфекция, повреждение сосудов и нервов, кровотечение, тромбоз глубоких вен. Их риск не превышает 2 % от общего числа вмешатльств.
Также существуют специфические осложнения. К ним относятся тугоподвижность голеностопного сустава, слабость мышц голени, формирование посттравматического артрозп голеностопного сустава. Эти риски в значительной степени зависят от морфологии перелома, наличия сопутсвующих заболеваний, таких как диабет, аутоимунные заболевания требующие приёма стероидных препаратов, курение.
Нужно ли удалять пластины и винты после операции при переломе лодыжек.
Пластины и винты используемые в современной хирургической практики сделаны или сплава титана или хирургической стали не вызывающих реакции со стороны организма. Их удаление показано в случаях когда они вызывают раздражение мягких тканей за счёт механического их повреждения, в случаях инфекционных осложнений, а также при настойчивом желании пациента. Также зачастую требуется удаление позиционного винта через 6-8 недель при фиксации межберцового синдесмоза. Полное удаление металлофиксаторов при переломе лодыжек рекомендуется не ранее 12 месяцев после операции.
Клинический случай 1. Перелом обеих лодыжек с подвывихом стопы кнаружи.
44 В2-2
Пациентка Т. 80 лет. Травма за 3 недели до обращения, получила перелом обеих лодыжек правой голени со смещением, подвывихом стопы кнаружи. Обратилась в РТП, выполнена рентгенография, наложена гипсовая повязка. В связи с сохраняющимся выраженным отёком и болевым синдромом обратилась в клинику К+31.

На рентгенограммах в гипсе определяется значительный подвывих таранной кости кнаружи, консолидирующийся перелом нижней трети малоберцовой кости.

В день обращения пациентка послоностью обследована, проведено оперативное лечение, открытая репозиция, остеосинтез перелома нижней трети малоберцовой кости пластиной, внутренней лодыжки винтом, внутренняя лодыжка дополнительно фиксирована анкерным фиксатором.

На контрольных рентгенограммах после операции положение отломков, металлофиксаторов правильное, подвывих таранной кости устранён.
Пациентка выписана на 2 сутки после операции на амбулаторное долечивание.
Клинический случай 2. Перелом обеих лодыжек с вывихом стопы кнаружи, кзади.
44 А3-3
Пациентка Л. 50 лет, травма в быту, получила закрытый перелом обеих лодыжек с вывихом стопы кнаружи и кзади. Данный случай интересен значительным повреждением мягких тканей произошедшем при травме и потребовавшем значительных усилий в борьбе с отёком, а также морфологией перелома внутренней лодыжки, сломавшейся одним большим блоком вместе с задним краев большеберцовой кости, что потребовало её фиксации при помощи пластины и винтов.

В связи с выраженным отёком мягких тканей, высоким риском некроза краёв ран и инфекционных осложнений пациентке с целью предоперационной подготовки выполнялись скелетное вытяжение, сосудистая и метаболическая терапия, лимфодренаж, физиотерапия. После спадения отёка, на 3 день после поступления выполнено оперативное вмешательство: открытая репозиция, остеосинтез переломов наружной и внутренней лодыжек пластинами и винтами.

Через 4 дня пациентка выписана на амбулаторное долечивание. Послеоперационные раны зажили первичным натяжением, швы удалены через 14 дней.
Через 6 недель после первичного вмешательства произведено удаление позиционного винта, пациентка приступила к активной разработке движений в голеностопном суставе.
Амплитуда движений через 8 недель после травмы и оперативного вмешательства по поводу этого тяжёлого повреждения близка к полной. Пациентка ходит с полной опорой, не используя костыли или трость, не хромает, боли не беспокоят. Сохраняется умеренный отёк в области голеностопного сустава.
Перелом пяточной кости
Рекомендовано
Экспертным советом
РГП на ПХВ «Республиканский центр
развития здравоохранения»
Министерства здравоохранения
и социального развития
Республики Казахстан
от «27» ноября 2015 года
Протокол № 17
Определение: Перелом пяточной кости - патологическое состояние, возникающее в ходе нарушения анатомической целостности пяточной кости [1].
Название протокола: Перелом пяточной кости.
Код протокола:
Код(ы) по МКБ-10:
S92.0 Перелом пяточной кости
Сокращения, используемые в протоколе:
АЛТ - аланинаминотрансфераза
АСТ - аспартатаминотрансфераза
НПВС - нестероидные противоспалительные средства
ОАК - общий анализ крови
ОАМ - общий анализ мочи
ЛФК - лечебная физическая культура
ЭКГ - электрокардиограмма
Дата разработки протокола: 2015 год.
Категория пациентов: взрослые с переломами пяточной кости.
Пользователи протокола: травматологи, ортопеды, хирурги, врач общей практики
Примечание: в данном протоколе используются следующие классы рекомендаций и уровни доказательств:
Классы рекомендаций:
Класс I - польза и эффективность диагностического метода или лечебного воздействия доказана и/или общепризнаны
Класс II - противоречивые данные и/или расхождение мнений по поводу пользы/эффективности лечения
Класс IIа - имеющиеся данные свидетельствуют о пользе/эффективности лечебного воздействия
Класс IIb - польза/эффективность менее убедительны
Класс III - имеющиеся данные или общее мнение свидетельствует о том, что лечение неполезно/неэффективно и в некоторых случаях может быть вредным
| А | Высококачественный мета-анализ, систематический обзор РКИ или крупное РКИ с очень низкой вероятностью (++) систематической ошибки результаты которых могут быть распространены на соответствующую популяцию. |
| В | Высококачественный (++) систематический обзор когортных или исследований случай-контроль или Высококачественное (++) когортное или исследований случай-контроль с очень низким риском систематической ошибки или РКИ с невысоким (+) риском систематической ошибки, результаты которых могут быть распространены на соответствующую популяцию. |
| С | Когортное или исследование случай-контроль или контролируемое исследование без рандомизации с невысоким риском систематической ошибки (+). Результаты которых могут быть распространены на соответствующую популяцию или РКИ с очень низким или невысоким риском систематической ошибки (++ или +), результаты которых не могут быть непосредственно распространены на соответствующую популяцию. |
| D | Описание серии случаев или неконтролируемое исследование или мнение экспертов. |
| GPP | Наилучшая фармацевтическая практика. |

Автоматизация клиники: быстро и недорого!
- Подключено 300 клиник из 4 стран
- 800 RUB / 4500 KZT / 27 BYN - 1 рабочее место в месяц

Автоматизация клиники: быстро и недорого!
- Подключено 300 клиник из 4 стран
- 1 место - 800 RUB / 4500 KZT / 27 BYN в месяц
Мне интересно! Свяжитесь со мной
Классификация
Клиническая классификация АО (Ассоциации остеосинтеза):
По локализации переломы пяточной кости делятся на три типа:
· внесуставные;
А1.1 - переднего отростка;
А1.2 - медиального отростка (сустентакулум);
А1.3 - бугорка.
· переломы тела изолированные;
В1 - переломы без смещения;
В2 - переломы со смещением;
В3 - переломы проникающие на таранно-кубовидный сустав.
· внутрисуставные.
С1 - внутрисуставные, состоящие из двух частей;
С2 - внутрисуставные, состоящие из трех частей;
С1 - внутрисуставные, состоящие из четырех частей;
Диагностика
Перечень основных и дополнительных диагностических мероприятий:
Основные (обязательные) диагностические обследования, проводимые на амбулаторном уровне:
· рентгенография пяточной кости.
Дополнительные диагностические обследования, проводимые на амбулаторном уровне (по показаниям):
· ОАК;
· ОАМ;
· ЭКГ;
· микрореакция;
· определение глюкозы крови по показаниям;
· определение времени свертываемости;
· определение длительности кровотечения;
· биохимический анализ крови: билирубин общий, АлТ, АсТ, мочевина, креатинин, белок общий.
Минимальный перечень обследования, который необходимо провести при направлении на плановую госпитализацию: согласно внутреннему регламенту стационара с учетом действующего приказа уполномоченного органа в области здравоохранения.
Основные (обязательные) диагностические обследования, проводимые на стационарном уровне:
· ОАК;
· ОАМ;
· рентгенография пяточной кости в двух (прямая и аксиальная) проекциях.
Дополнительные диагностические обследования, проводимые на стационарном уровне (по показаниям):
· определение группы крови;
· определение резус-фактора;
· микрореакция;
· определение глюкозы крови по показаниям;
· определение времени свертываемости;
· определение длительности кровотечения;
· ЭКГ;
· биохимический анализ крови: билирубин общий АлТ, АсТ, мочевина, креатинин, белок общий.
Диагностические мероприятия проводимые на этапе скорой неотложной помощи:
· сбор жалоб и анамнеза, физикальное обследование.
Диагностические критерии постановки диагноза:
Жалобы: на
· боли в пяточной области;
· нарушение функции нижней конечности;
· наличие ран при открытых переломах.
Анамнез: наличие травмы с прямым (падение с высоты) механизмом травмы.
Физикальное обследование:
При осмотре отмечается:
· отек в месте перелома;
· деформация (расширение пяточной области);
· кровоизлияние в окружающие ткани.
При пальпации отмечается:
· боль;
· болезненность, усиливающая при осевой нагрузке.
Лабораторные исследования: могут быть в пределах нормы.
Инструментальные исследования:
Рентгенографию в боковой и аксиальной проекциях:
· выявление нарушение костной структуры;
· наличие линии излома.
Показанием для консультации специалистов:
· консультации нейрохирурга: при повреждении нерва и сочетанной травме головного мозга;
· консультация хирурга: при сочетанной травме живота;
· консультация сосудистого хирурга: при сопутствующем повреждении сосудов;
· консультация уролога: при повреждении органов мочеполовой системы;
· консультация терапевта: при наличии сопутствующих заболевании терапевтического профиля.
Дифференциальный диагноз
Лечение
Цели лечения:
· устранение смещения костных отломков;
· восстановление функции конечности.
Тактика лечения:
При переломах без смещения и при переломах со смещением, но с удовлетворительным стоянием отломков показано консервативное лечение. При переломах со смещением производиться блокада места перелома, закрытая одномоментная ручная репозиция отломков, наложение гипсовой лонгеты и контрольная рентгенография. Если на контрольной рентгенографии сохраняется смещении отломков, то показано оперативное лечение.
Немедикаментозное лечение:
Режим в зависимости от тяжести состояния - 1, 2, 3.
Диета - 15;
Другие виды диет назначаются в зависимости от сопутствующей патологии.
Медикаментозное лечение:
Таблица 1. Лекарственные средства, применяемые при переломе пястных костей
| № | Препарат, формы выпуска | Дозирование | Длительность применения | Уровень доказательности |
| Препарат для проведения блокады | ||||
| 1 | Прокаин | |||
Другие виды лечения:
Другие виды лечения, оказываемые на амбулаторном уровне: [7].
· новокаиновая блокада места перелома;
· закрытая репозиция при переломах со смещением;
· наложение гипсовой повязки;
· ортопедических изделии и шин.
Другие виды лечения, оказываемые на стационарном уровне: [7].
· новокаиновая блокада места перелома;
· закрытая одномоментная ручная репозиция при переломах со смещением;
· наложение гипсовой повязки;
· ортопедических изделии и шин.
Другие виды лечения, оказываемые на этапе скорой медицинской помощи: не проводится.
Хирургическое вмешательство:
Хирургическое вмешательство, оказываемое в амбулаторных условиях: не проводятся.
Хирургическое вмешательство, оказываемое в стационарных условиях:
При переломах пяточной кости применяются такие виды операции:
· закрытая репозиция костных обломков предплюсневых и плюсневых костей с внутренней фиксацией (для остеосинтеза используются спицы, винты и пластины различных модификаций);
· открытая репозиция костных обломков предплюсневых и плюсневых костей с внутренней фиксацией (для остеосинтеза используются спицы, винты и пластины различных модификаций);
· хирургическая обработка места открытого перелома предплюсневых и плюсневых костей;
· наложение аппарата для компрессионно-дистракционного остеосинтеза.
Дальнейшее ведение:
Лечебная физкультура:
С первых дней после операции показано активное ведение больных:
• повороты в постели;
• дыхательные упражнения (статического и динамического характера);
• активные движения в крупных и мелких суставах нижних конечностей;
• изометрические напряжения мышц нижних конечностей;
• приподнимание туловища с поддержкой за балканскую раму или трапецию, подвешенную над постелью.
Индикаторы эффективности лечения и безопасности методов диагностики и лечения:
· устранение смещения отломков на контрольных рентгенограммах;
· восстановление функции нижней конечности:
MRC- scale - от 3 баллов;
Индекс Карновского - 80 баллов;
Гониометрия - менее 80% от нормы.
Препараты (действующие вещества), применяющиеся при лечении
| Амоксициллин (Amoxicillin) |
| Ванкомицин (Vancomycin) |
| Кетопрофен (Ketoprofen) |
| Кеторолак (Ketorolac) |
| Клавулановая кислота (Clavulanic acid) |
| Клиндамицин (Clindamycin) |
| Парацетамол (Paracetamol) |
| Прокаин (Procaine) |
| Трамадол (Tramadol) |
| Тримеперидин (Trimeperidine) |
| Цефазолин (Cefazolin) |
Госпитализация
Показания для госпитализации :
Показания для экстренной госпитализации: переломы пяточной кости.
Показания для плановой госпитализации: нет.
Профилактика
Профилактические мероприятия:
Профилактика травматизма:
Имеются два социальных пусковых механизма, порождающие травмоопасные
ситуации.
Первый пусковой механизм: нарушение правил техники безопасности в быту из-за дефектов социального уклада общества и воспитания. К этого рода травмоопасным ситуациям относятся, нарушение правил дорожного движения, ныряние на мелководье, прыжки с высоты, перелезание с балкона на балкон и прочие. Несоблюдение общественной дисциплины вследствие дефектов воспитания проявляется драками, избиениями.
Второй пусковой механизм: возникновения травм связан с необеспечением специальными государственными службами безопасных условий быта людей и безопасных условий для деятельности людей в быту. Самой частой травмоопасной ситуацией второго пускового механизма является гололедица. Надо постоянно вести работу по устранению этих травмоопасных ситуаций. Непременно следует информировать население о происшедших травмах, их причинах и добиваться конкретных мер по устранению травмоопасных ситуаций, послуживших причиной каждой конкретной травмы.
Информация
Источники и литература
Информация
Список разработчиков протокола:
1) Баймагамбетов Шалгинбай Абыжанович - доктор медицинских наук, РГП на ПХВ «Научно-исследовательский институт травматологии и ортопедии» заместитель директора по клинической работе.
2) Мурсалов Нагмет Капанович - кандидат медицинских наук РГП на ПХВ «Научно-исследовательский институт травматологии и ортопедии» заведующий отделением травматологии №5.
3) Балгимбаев Арман Куралбаевич - РГП на ПХВ «Научно-исследовательский институт травматологии и ортопедии» врач-травматолог 1 категории.
4) Абильмажинов Мухтар Толегенович - доктор медицинских наук АО «Медицинский университет Астана» заведующий кафедрой травматологии и ортопедии.
5) Ботаев Руслан Сагатович - ГКП на ПХВ «Городская больница №1» Управление здравоохранения города Астаны, руководитель центра политравмы и восстановительной ортохирургии.
6) Ихамбаева Айнур Ныгымановна - АО «Национальный центр нейрохирургии» клинический фармаколог.
Конфликт интересов: отсутствует.
Рецензент: Тулеубаев Берик Еркебуланович - доктор медицинских наук РГП на ПХВ «Карагандинский государственный медицинский университет», профессор кафедры общей хирургии, травматологии и ортопедии.
Условия пересмотра протокола: пересмотр протокола через 3 года после его опубликования и с даты его вступления в действие или при наличии новых методов с уровнем доказательности.
Перелом пяточной кости ( Перелом пятки )
Переломы пяточной кости - это нарушение целостности пяточной кости вследствие травматического воздействия. Симптомы включают боли и отечность пяточной области, расширение и уплощение пятки, невозможность оперы на пятку при сохранности объема движений голеностопного сустава. Диагностика перелома пяточной кости производится травматологом на основании жалоб, результатов осмотра и рентгенографии стопы в 3-х проекциях. Лечение включает наложение гипсовой лонгеты от пальцев до колена, затем проведение ЛФК и массажа.
МКБ-10


Общие сведения
По данным последних исследований, переломы пяточной кости составляют 5,8% от общего числа переломов. Имеют серьезный прогноз, в отдаленном периоде нередко наблюдается посттравматическое плоскостопие и другие последствия. Патология часто сочетается с переломами поясничных и грудных позвонков, переломовывихами и переломами лодыжек. В 15% случаев выявляются двухсторонние переломы пяточных костей. Лечение осуществляют специалисты в сфере травматологии.
Причины
Причиной перелома пяточной кости практически всегда является падение с высоты в положении стоя. Целостность кости нарушается при ударе пятками о землю. Очень редко наблюдаются повреждения в результате удара по подошве снизу (например, при взрыве). Тяжесть перелома определяется высотой, особенностями поверхности и прочностными характеристиками пяточной кости. У пожилых больных с остеопорозом травма может возникать при незначительном воздействии, например, соскальзывании ноги со ступеньки или падении с табуретки.
Патогенез
Пяточная кость - самая крупная кость стопы, несущая основную часть нагрузки при стоянии и ходьбе. Выделяют две основные части пяточной кости: тело и расположенный сзади бугор. Сверху пяточная кость соединяется с таранной костью, спереди - с кубовидной. Таранная кость выполняет функцию связующего звена между пяточной костью и костями голени. При падении на пятки сила тяжести всего тела передается через кости голени на таранную кость, которая вклинивается в пяточную кость и раскалывает ее на части.
Вид перелома пяточной кости и направление смещения ее отломков зависят от высоты падения и положения стопы в момент удара о землю. Воздействие травмирующей силы и тяга трехглавой мышцы голени приводят к смещению задних отделов кости кверху, в результате чего продольный свод уплощается. При отсутствии репозиции или наличии остаточной деформации это может стать причиной нарушения функций опоры и ходьбы после сращения отломков.
Переломы пяточных костей могут быть компрессионными, изолированными и краевыми, без смещения и со смещением отломков. В современной травматологии и ортопедии выделяют две большие группы повреждений:
- Внутрисуставные - составляют 80% от общего количества травм пяточной кости, включают переломы, линия которых распространяется в область подтаранного сустава.
- Внесуставные - подразделяются на переломы тела и бугра пяточной кости, доля таких повреждений составляет 20%.
Переломы бугра, в свою очередь, делятся на четыре группы:
- горизонтальные;
- вертикальные;
- отрывы срединного бугорка;
- переломы по типу «клюва».

КТ стопы (3D реконструкция). Оскольчатый перелом пяточной кости с разнонаправленным смещением осколков.
Симптомы перелома пятки
Пациент предъявляет жалобы на боли в области пятки. При осмотре выявляется разлитой отек пяточной области, быстро распространяющийся до ахиллова сухожилия, уплощение и расширение пятки, гематома в центре подошвы. Контуры ахилла сглаживаются. Высота стопы уменьшается, а ширина в задней части увеличивается. Через несколько часов после травмы иногда появляются кровоподтеки по боковым поверхностям стопы (ниже лодыжек)
Опора на ногу невозможна. Движения в голеностопном суставе сохранены. Пальпация пятки резко болезненна. При сдавливании пяточной области в поперечном направлении болевой синдром усиливается, становится нестерпимым. При компрессионных переломах и травмах без смещения отломков крепитация не определяется. В остальных случаях наличие костного хруста является вариативным признаком.
Осложнения
Вероятность развития осложнений возрастает прямо пропорционально степени смещения отломков пятки, зависит от качества репозиции - при неполном вправлении фрагментов и их вторичном смещении риск негативных последствий увеличивается. В отдаленном периоде у пациентов часто выявляется посттравматическое плоскостопие. Внутрисуставные переломы пяточной кости нередко становятся причиной развития артроза подтаранного сустава.
Диагноз выставляется врачом-травматологом на основании анамнеза, данных объективного осмотра и результатов визуализационных исследований. Повреждения пяток иногда остаются незамеченными на фоне травм позвоночника и лодыжек, сопровождающихся яркой симптоматикой, поэтому все пациенты с характерным механизмом травмы (падение на ноги с высоты более 1,5 м) должны быть осмотрены для исключения переломов пяточных костей. План обследования включает:
- Внешний осмотр. В пользу перелома свидетельствует деформация пяточной области, наличие разлитого отека и резкой болезненности. Патогномоничным признаком является костный хруст.
- Рентгенография пяточной кости. Для подтверждения диагноза и уточнения степени смещения фрагментов выполняют рентгенографию в четырех проекциях: латеральной, аксиальной, косой и переднезадней. О выраженности патологических изменений судят по изменению угла Белера (угол бугра пяточной кости) и угла Гиссана (угол между верхним краем латеральной части кости и наружным краем суставной поверхности).
- КТ пяточной кости. Позволяет уточнить расположение первичной линии перелома пятки, количество характер и смещения отломков. Назначается для выбора оптимальной тактики лечения. Производится в аксиальной, коронарной и сагиттальной проекциях.

Дифференциальную диагностику повреждения пятки проводят с переломами таранной кости. Решающую роль играют результаты визуализационных исследований.
Лечение перелома пяточной кости
Лечение обычно осуществляется в условиях травматологического отделения, может быть консервативным или оперативным. Программа лечения определяется видом и тяжестью перелома пятки, включает открытую или закрытую репозицию (при наличии смещения), иммобилизацию, обезболивание, специальный режим, использование дополнительных средств (костылей).
Переломы без смещения
Компрессионные и оскольчатые переломы
Лечение сложных внутрисуставных переломов пяточной кости связано с существенными затруднениями, обусловленными сложностью восстановления нормального взаиморасположения отломков и их удержания до момента сращения. С учетом вида перелома и характера смещения могут применяться следующие методы:
- Закрытая репозиция. Проводится с использованием специальных ручных приемов. Вначале устраняют смещение по длине, затем - уплощение пятки, в заключение - боковое смещение фрагментов. Конечность иммобилизуют гипсовой повязкой.
- Одномоментное скелетное вытяжение. Позволяет усилить тягу, повысить точность манипуляций. Осуществляется с помощью одной или двух спиц, которые проводят через отломки. Спицы закрепляют на скобы, выполняют перечисленные выше приемы, фиксируют костные фрагменты другими спицами, накладывают гипсовую повязку.
- Репозиция аппаратом Илизарова. Показана при несвежих повреждениях пятки, которые невозможно устранить путем одномоментного вправления. Производится в течение 1-2 недель под регулярным рентгенологическим контролем. В дальнейшем лечение осуществляется по тем же принципам, что при одномоментном вытяжении.
При неэффективности консервативного лечения проводят оперативные вмешательства. Остеосинтез пяточной кости выполняют с использованием шурупов и реконструктивных пластин, металлоконструкции применяют с осторожностью из-за большой опасности осложнений. При наличии костных дефектов дополнительно осуществляют трансплантацию ауто- или гомокости. При сложных застарелых повреждениях накладывают аппарат Илизарова для микродистракции отломков в течение 2,5-3 месяцев.
В послеоперационном периоде назначают анальгетики и антибактериальные средства. Обязательной частью лечения является лечебная физкультура. Из физиотерапевтических методов показаны:
- локальная криотерапия;
- ультрафиолетовое облучение;
- лазеротерапия;
- магнитотерапия.
Срок иммобилизации сложных переломов пяточной кости составляет 3-4 месяца. После снятия гипсовой повязки рекомендуется ношение стелек-супинаторов для предупреждения плоскостопия. Общая продолжительность периода нетрудоспособности достигает 5-6 месяцев.
Прогноз
При повреждениях пятки без смещения прогноз относительно благоприятный, при сложных переломах со смещением костных фрагментов - сомнительный. В отдаленном периоде часто развивается посттравматическое плоскостопие, деформации стопы, артрозы сустава Шопара и подтаранного сустава. Возможно образование костных выступов, нарушающих опорную функцию конечности.
Превентивные мероприятия предусматривают меры по предупреждению падений с высоты в быту и на производстве. Профилактика развития осложнений при переломах пяточной кости включает раннее обращение за медицинской помощью, строгое соблюдение врачебных рекомендаций относительно опоры на ногу в различные фазы лечения, ношение супинаторов или ортопедической обуви в реабилитационном периоде.
1. Патогенетическое лечение перелома пяточной кости/ Гарбуз И.Ф.// Международный журнал экспериментального образования. - 2017 - № 5
Читайте также:
- Тяжелый туберкулез тотальной распространенности. Оперативная тактика при распространенном туберкулезе
- Метод перемены отношения (рефрейминга) в семейной психотерапии
- Рекомендации по дренированию плевральной полости у новорожденного ребенка
- Неинвазивная оценка гемодинамики
- История клинической гематологии
