Функциональные моменты препарирования зуба под коронку. Рекомендации
Добавил пользователь Евгений Кузнецов Обновлено: 10.01.2026
В статье описаны современные представления о препарировании зубов. Представлены теоретические основы и практические методы для достижения наилучшего краевого прилегания металлокерамической коронки. Подробно описаны различные аспекты препарирования зубов под коронки. В статье представлена методика препарирования зубов.
Ключевые слова
Статья
Основные принципы препарирования зубов под металлокерамические коронки.
В технологии изготовления несъемных конструкций самым критическим звеном является препари- рование опорных зубов, поскольку сам процесс является необратимым в отличие от других этапов, и допущение грубых ошибок неприемлемо. Поэтому я считаею, что геометрически правильное препарирование опорных зубов, а также тщательная обработка твердых тканей в области краев будущей конструкции служит очень важным фактором в обеспечении долговечности конструкции и ее биологической совместимости с окружающими тканями.
В целом же при препарировании опорных зубов следует создавать ретенционную форму культи, а также должное межокклюзионное пространство, необходимое для размещения эстетически удовлетворяющей и резистентной к нагрузке конструкции. При этом желательно избегать избыточного сошлифовывания твердых тканей и травмирования маргинального пародонта. В некоторых случаях возможен и больший объем сошлифовывания твердых тканей, и поддесневое расположение границы препарирования, обоснованные эстетическими требованиями или для увеличения ретенции.
Виды уступов
Профессор Мартиньони предлагает на выбор три вида уступов
- Плечо (shoulder) (перекрывается керамикой и металлом)
- Плечо со скосом (shoulder with bevel) (перекрывается металлом)
- Закругленный уступ со скосом (shamfer with bevel)(перекрывается металлом)
Скос края уступа необходим для того, чтобы достичь более плотного прилегания коронки к зубу. Угловой уступ (50 градусов), который предложил Кувата, по мнению профессора Мартиньони, должен перекрываться металлом, иначе не удастся создать точный наружный контур коронки.
Предлагаемая Мартиньони схема препарирования выглядит следую- щим образом.
С вестибулярной поверхности плечо, на остальных поверхностях плечо или закругленный уступ со скосом. Ширина уступа в среднем 1,2 мм, на апроксимальных поверхностях возможно уменьшение ширины до 0,8 мм.
Доменико Массирони предлагает создавать уступ в виде модифицированного закругленного ската (длинный закругленный скат). Такой уступ универсален и подходит для любого вида коронки. Врач может контролировать редукцию тканей, используя для препарирования половину диаметра алмазного бора и удерживая центр бора как можно ближе к конечной линии препарирования. Угол уступа составляет примерно 60 градусов.
Двухплоскостное препарирование.
Теория двухплоскостного препарирования была разработана и подробно описана Кувата известным японским зубным техником. Согласно его теории, вестибулярная поверхность всех зубов и небная (язычная) поверхность моляров и премоляров имеет 3 плоскости:
- Пришеечную (которая соотвествует направлению плоскости корня)
- Основную (которая совпадает с плоскостью десны аль- веолярного отростка)
- Плоскость режущего края (у резцов и клыков) или бугорка (у премоляров и моляров).
Во время препарирования под коронку необходимо учитывать 2 плоскости: основную и режущего края. Пришеечная плоскость будет иметь значение при создании коронки, в идеале контур коронки в области края должен совпадать с пришеечной плоскостью и направлением корня. Гиперконтур коронки приведет к хроническому воспалению десны. Трехплоскостное препарирование выполняется при обработке вестибулярной поверхности зуба под винир.
Преимущества двухплоскостного препарирования.
- Создается достаточное пространство для изготовления эстетичной металлокерамической коронки. Особенно это важно в области режущего края резцов и клыков.
- Сохраняются ткани зуба в области средней трети культи. Исключается избыточное препарирование зуба.
- Создается более ретенционная форма культи за счет меньшей конусности в нижней и средней трети, то есть не теряется так называемая «ретенционная зона» культи.
Заключение
Планирование препарирования опорных зубов должно основываться на следующих принципах:
Литература
1. Cargiulo A., Wentz F., Orban B. Dimensions and relations of the dentogingival junction in humans // J Periodontol 1961; 32: 261.
2. Derrien G, Le Menn G. Evaluation of detail reproduction for three die materials by using scanning electron microscopy and two-dimensional profilometry. // J Prosthet Dent. 1995 Jul;74(1):1-7.
3. Hahn R, Weiger R, Netuschil L Microbial accumulation and vitality on different restorative materials // Dent Mater. 1993 Sep; 9(5):312-6.
4. Gilboe DB, Teteruck WR. Fundamentals of extracoronal tooth preparation. Part I. Retention a n d r e s i s t a n c e f o r m . 1 9 7 4 // J Prosthet Dent. 2005 Aug; 94 (2).
5. Kaufman EG, Coelho AB, Colin L. Factors infl uencing the retention of cemented gold castings. J Prosthet Dent 1961;11:486-502.
6. Kuwata M. Color Atlas of CeramoMetal Technology., St Louis: Ishiyaku EuroAmerica, 1986.
7. Massironi D., Pascetta R., Romeo G. Precision in dental esthetics. Clinical and laboratory procedures // Quintessence, 2007.
8. Martignoni, M and Schoenberger, Alwin. Precision Fixed Prosthodontics Clinical and Laboratory Aspect: Quintessence, 580pp
9. Maynard JG, Wilson RD. Physiologic dimensions of the periodontium signifi cant to the restorative dentist // J Periodontol 1979; 50; 170-177.
Статьи
Особенности препарирования зубов под протезирование коронками различных видов
Комфортность и продолжительность использования протеза напрямую зависит от надежности фиксации ортопедической конструкции. Вот почему практически все случаи восстановления зубов несъемным протезированием предполагают процедуру обточки или, так называемого, препарирования. Ранее эта манипуляция зачастую сопровождалась болевыми ощущениями. Сегодня, благодаря современным анестетикам и методикам, препарирование проходит без дискомфорта и утраты естественной формы зубных тканей.

Только при максимально плотном прилегании к поверхности зуба конструкция надежно встанет на свое место. Природная выпуклость стенок единицы мешает этому. Стачиванием верхнего слоя стоматолог добивается такой формы, которая бы оптимально подходила под несъемную реставрацию. Кроме того, во избежание повторного инфицирования снимаются зубные ткани, затронутые кариозным процессом.
Методы препарирования под несъемные реставрации
Ультразвуковой. При использовании высокочастотной вибрации эмаль и дентин не греются, наконечник практически не оказывает давления на ткани.
Лазерный. Под действием импульсного лазера вода в зубных тканях мгновенно нагревается и охлаждается. Бесконтактная манипуляция исключает растрескивание и образование сколов. Процедура проходит бесшумно, быстро, не доставляя дискомфорта.
Турбинный. Металлические или алмазные наконечники в специальных стоматологических установках позволяют контролировать толщину стачивания и прогнозировать конечный результат.
Воздушно-абразивный. Бесконтактная обточка быстро нивелирует микронеровности на зубной поверхности без вмешательства вибрационными инструментами.
Химический. Процедура размягчения эмали и дентина кислотами с последующим их удалением не доставляет беспокойства пациентам.
Обработка зуба под штампованную металлическую коронку

Процедура предусматривает поочередное сошлифовывание:
- зубных контактов для создания параллельных стенок;
- жевательной поверхности на 0,25-0,3 мм (на толщину коронки);
- вестибулярной и оральной поверхности на толщину металла.
В результате зуб принимает цилиндрическую форму с диаметром, равным шейке. После этого края сглаживаются и образовавшаяся культя полируется.

Препарирование под цельнолитую конструкцию
Этапы обработки зуба под цельнометаллическое изделие совпадают с препарированием под штампованный аналог, однако объем стачивания и конечная форма обточенного зуба отличаются. Литые коронки толще, чем штампованные, поэтому твердые ткани ошлифовывают значительнее:С окклюзионной поверхности снимается не менее 1 мм, с боковых - 0,5-0,8 мм, с пришеечной - 0,3-0,5 мм, с коронковой - 0,5-1 мм. Культя приобретает слабоконусную форму с углом сходящихся стенок зуба от 2° до 8°.
В числе существенных отличий обточки под литой протез - формирование уступа в пришеечной зоне. Площадка, демонстрируя четкую границу препарирования, не только служит зуботехнику ориентиром при конструировании края ортопедической конструкции. Она равномерно распределяет нагрузки на корень посредством протеза и улучшает эстетические показатели финишного результата протезирования.
Подготовка зуба под комбинированные коронки (металлопластмассовые, металлокерамические), а также под керамику и диоксид циркония, по технике совпадает с обработкой под цельнометаллические конструкции.

Но при этом применяется менее щадящее стачивание зубных тканей. Это необходимо для того, чтобы создать достаточно места под определенную облицовку. Так, например, под литую керамику глубина препарирования маргинального края варьируется от 1,5 до 2 мм.
Особенности зубопротезирования циркониевыми коронками
В протезировании зубных рядов материал на основе минерала ZrSiO4 (циркона) признан одним из лучших. Сегодня производители научились выпускать полупрозрачные блоки диоксида циркония (ZrO2), стабилизированные иттрием и обогащенные алюминием. Внешний вид и функциональность циркониевых зубов не уступают родным. Достичь высоких результатов в зубопротезировании удалось, благодаря революционным технологиям. Лучшим материалом считается KATANA UTML (производство Япония). Это многоцветные заготовки с мягким цветовым переходом от пришеечной зоны к дентину и эмали.
Как создаются коронки
Безметаловую керамику на основе оксида циркония стоматологи практикуют около 15-ти лет. На сегодня она доступна в клиниках любого масштаба. Созданием циркониевых протезов занимаются в специальных лабораториях. Конструкции изготовляются не вручную, а с помощью передовой компьютерной техники. Cad/Cam технология обеспечивает анатомическую точность коронок. Методика подразумевает фрезеровку блоков на программированном станке.
В протезировании востребованы 2 типа циркониевых коронок - классический (более популярный) и монолитный (делают реже). В первом варианте основу конструкции составляет прочный фрезерованный каркас из циркония, послойно облицованный снаружи фарфоровой массой для лучшей эстетики. Второй вариант исключает фарфоровые слои и состоит из одного только циркония. Монолитными протезами восстанавливают жевательную поверхность, которая практически не видна при разговоре, а значит, не требует особой эстетики. Дело в том, что обычные блоки ZrO2 ярко-молочного цвета, не обладают прозрачностью, а потому монолитные протезы менее похожи на свои зубы. Фарфор же на поверхности циркония имитирует полупрозрачный эмалевый слой.
Стоит отметить, что отсутствие фарфора не так уж и плохо для коронки, с точки зрения ее долговечности. На границе каркаса с фарфоровым слоем находится самое уязвимое место протеза. Циркониевая основа в 10 раз прочнее фарфора (1000 МПа против 100 МПа). Кроме того, со временем и под влиянием красителей связь между цирконием и фарфором ослабевает, что может привести к сколу.
Изготовление протезов из обогащенного минерала на оборудовании Cad/Cam - многоэтапный сложный процесс без участия человека. Снятые оттиски протезист отправляет в лабораторию. Зуботехники подготавливают рабочую модель и помещают ее в сканер 3D для оцифровки зубов. Создается компьютерный образец конструкции, который в точности воспроизводится на автоматическом фрезерном оборудовании из заводского куска ZrO2. Затем изделие подвергают высокотемпературному обжигу. По такой схеме у будущей коронки формируется закаленный каркас. В классических коронках основу покрывают слоями керамики, после чего образец снова запекают. Готовые изделия отправляют в клинику.
Подготовка и протезирование цирконием

ZrO2 подходит, как для одиночных колпачков на свои зубы и на импланты, так и для мостовидных протезов. Протезированию цирконием предшествует подготовка опорных зубов. Поверхность зубных единиц тщательно очищается, каналы пролечиваются и надежно герметизируются. Исключены любые воспалительные очаги. Процедура восстановления зубов безметалловой керамикой поэтапная и включает:
- консультацию, составление подробного плана;
- препарирование под коронки;
- снятие оттисков, определение цвета протезов;
- изготовление изделий в лаборатории;
- пригонку протезов по прикусу после примерки (если требуется);
- фиксацию коронок на цемент.
Циркониевые коронки на имплантах - наилучший вариант протезирования безметаловой керамикой. Под колпачки из диоксида циркония используются такие же циркониевые абатменты. Однородность материала способствует отличной адаптации десны. А это значит, что вокруг искусственного корня мягкая ткань выглядит, как у своего зуба. Такой результат крайне важен для пациентов. После имплантации они чаще не удовлетворены из-за эстетики в зоне импланта, нежели из-за угрозы его отторжения.
Показания и противопоказания
Цирконием рекомендуют покрывать зубы в случае:
- плохой эстетики твердых тканей и потемнения десен возле старых протезов;
- сколов эмали, травм и значительного разрушения зубной ткани;
- врожденных дефектах эмали, несовершенства формы зубных единиц;
- больших пробелов в зубных рядах;
- эстетического протезирования на имплантах;
- индивидуальной аллергической непереносимости к другим видам протезирования.
Как лекарственные препараты не подходят всем подряд, так и у циркониевой методики имеются свои ограничения. Противопоказаний к применению немного и они практически такие же, как и у любой другой методики зубопротезирования. Не рекомендована установка циркония в случае:
- анатомически мелких зубных единиц в зонах соединения мостов;
- беременности;
- крайне выраженного глубокого прикуса;
- ночного скрежета (бруксизма);
- воспалительного заболевания в челюстно-лицевой зоне;
- ослабления иммунной системы;
- некоторых расстройств психики;
- тяжелых заболеваний общего характера.
Все «за» и «против» циркониевых коронок
Из положительных сторон протезирования цирконием дантисты отмечают:
- невероятную прочность материала. После термической обработки, предусматриваемой технологией, ZrO2, не уступает по прочности металлу и поэтому подходит для длинных мостовидных протезов. А также для жевательной поверхности, испытывающей огромные нагрузки.
- щадящее препарирование зубной поверхности. Ввиду небольшой толщины коронки (0,4 мм) во время обточки снимается меньший объем твердой ткани (под металлокерамику больше);
- биосовместимость - не вызывают аллергий, гальванизма;
- отсутствие чувствительности на температурные раздражители. Циркониевый каркас по отношению к тепловым и холодовым раздражителям обладает высокой сопротивляемостью.
К недостаткам относят:
- проблему сколов керамики для классического варианта, из-за слабой связи между каркасом из циркония и фарфоровым слоем. Поэтому протезисты не рекомендуют ставить «классику» на жевательную поверхность;
- стираемость антагонистов. ZrO2 - крайне прочный материал и не подвергается истиранию. В связи с чем, противоположные зубы при трении о циркониевые протезы могут быстрее изнашиваться. При повышенной стираемости пациентам обычно ставятся аналогичные коронки и в противоположном ряду;
- высокую стоимость. В отношении таких протезов, как циркониевые, цена варьируется. Однако нужно понимать, в связи, с чем так происходит, чтобы самостоятельно контролировать этот момент. Сумма, которую называет доктор, чаще всего относится к стоимости самой конструкции. Разумеется, что она не маленькая, ввиду дороговизны материала и технологий. Однако предстоит еще оплата за обследование, за препарирование и пломбирование, за создание оттисков и т.д. Стоимость также будет зависеть от квалификации лечащего доктора и рейтинга стоматологического учреждения.
Возможные осложнения и как их избежать
После установки циркониевых зубов может возникнуть некоторый дискомфорт. Это нормальное явление, поскольку к инородному телу во рту нужно привыкнуть в течение 1-3-х дней. В период адаптации крайне важно не забывать о рекомендациях протезиста касательно ухода за полостью рта и гигиены самой конструкции. К коронкам необходимо относится в это время щадяще, стараться не кушать твердую и жесткую пищу. При выраженном бруксизме на ночь одевают каппу.
Протезирование цирконием сопряжено с определенными осложнениями, как впрочем, и все медицинские манипуляции. К нежелательным последствиям относится развитие воспаления под протезом и неплотное прилегание коронки к зубу. Воспаление встречается после некачественно проведенного лечения и пломбировки каналов. Состояние опасно тем, что дорогостоящую коронку придется снимать, чтобы повторно пролечить зуб. Вот почему ключевым условием для проведения протезирования является полная санация полости рта и завершение лечения всех проблемных зубов, а также тканей возле них.
Что касается прилегания к зубу, то компьютерное изготовление протезов сводит к минимуму неточности. Тем не менее, если слепки сняли неточно, либо подобрали неправильно цвет, то в итоге протез может не подходить или выделяться среди своих зубов. Важно соблюдать все этапы создания циркониевого изделия, и тогда можно получить абсолютно точный по форме и размеру протез.
Уход

Циркониевые протезы не требуют какой-то специальной гигиены, с которой бы ни справился обычный пациент. Уход такой же, как и за родными зубами. Для хороших результатов достаточно ежедневной чистки утром и вечером, и хотя бы одного полоскания. После употребления еды рекомендуется удаление флоссом пищевых остатков между зубами и вымывание их изо рта кипяченой водой.
Ортопедические конструкции из циркония прочные и крепкие. Тем не менее, обладателю таких коронок следует быть осторожным при употреблении твердых и жестких продуктов питания. Лучше их ограничить, а в первые дни пользования вообще исключить из своего рациона. Для оценки целостности и состояния протезов лечащего дантиста следует посещать 2 раза на год. К тому же это будет поводом для профессиональной чистки от мягких и твердых отложений.
Согласно последним исследованиям, посвященным долговечности конструкций из ZrO2, при должном уходе за коронками они способны в среднем прослужить 15 лет.
Вывод: Коронки из диоксида циркония - более эстетичная альтернатива зубопротезной металлокерамике. Отсутствие внутри металлической основы делает их максимально похожими на свои зубы. И все же, эстетика циркониевых коронок несколько уступает аналогам IPS E-max.
Протезирование коронками: как ставят коронку на зуб
Реставрация коронками - один из вариантов восстановления утерянных зубных единиц. Установка коронки позволяет одинаково эффективно восстановить как функциональность зуба, так и его эстетику. Коронки могут быть рекомендованы к установке на зуб и в том случае, если он подвергся сильному разрушению из-за кариеса (более 50%).
Установка коронок - многоэтапная процедура, имеющая свои особенности, узнать о которых в подробностях вы сможете из этой статьи. Материал познакомит вас с показаниями и противопоказаниями к установке зубных коронок, расскажет обо всех этапах лечебного процесса, видах коронок, которые могут быть применены для реставрации зубов. Также в статье мы поговорим о том - больно ли ставить коронку на зуб и как можно снять протез с зуба, если возникли осложнения после протезирования.
В каких случаях показана реставрация установкой коронки на зуб?
Процедура установки коронки на зуб имеет свои показания к проведению, в числе которых:
- Разрушение коронковой части зуба кариозным процессом более чем на 50%;
- Травматическое повреждение зубной единицы, при котором ее корни сохранили жизнеспособность и не повреждены;
- Эстетические дефекты, которые невозможно устранить применением иных технологий: заметные сколы на эмали, изменение цвета эмалевого покрытия, трещины.
Стоматолог может порекомендовать установку временных коронок пациенту с пародонтитом: процедура поможет избежать дальнейшего расшатывания зубов и предотвратит их потерю в будущем.
Реставрация коронками противопоказана:
- При некоторых патологиях крови;
- При аллергии на местные анестетики;
- При наличии хронических заболеваний организма в стадии обострения;
- При наличии расстройств психики.
Противопоказания к установке коронок выявляются в ходе подготовки к процедуре протезирования и проведения диагностических исследований.
Больно ли ставить коронку на зуб?
Услышав от врача, что на зуб нужно будет поставить коронку, пациент обычно тут же начинает интересоваться - а насколько болезненной и неприятной будет процедура для пациента? Ответим на этот вопрос честно и подробно - до конца неприятные ощущения в ходе лечебного процесса устранить нельзя. Самой неприятной будет подготовка к протезированию, во время которой врач будет рассверливать зуб, удалять поврежденные кариесом ткани, а также создавать доступ к каналам зуба.
Процедура рассверливания зуба, а также обработки его каналов могут быть весьма болезненными для пациента, поэтому перед проведением данных манипуляций обязательно делается местная анестезия.
В современных клиниках применяются сильнодействующие анестетики, способные блокировать болевые импульсы в течение нескольких часов и этого времени обычно достаточно для качественной обработки зуба и его подготовки к установке коронки. Анестетик подбирается для пациента в индивидуальном порядке, с учетом возможных противопоказаний и аллергических реакций. А вот процесс установки зубных коронок проходит для пациента безболезненно, так как готовый протез ставится на депульпированные зубы, из которых удален нервный пучок.
Этапы лечения: как проходит подготовка, установка коронки на зуб
Ниже мы детально разберем каждый из этапов протезирования коронками, а если вы хотите получить консультацию непосредственно от специалиста - звоните и записывайтесь на прием к врачам-ортопедам нашей стоматологической клиники в Санкт-Петербурге - «Унидент». Первичная консультация ортопеда нашей клиники предоставляется на бесплатной основе!
Осмотр и диагностика
Лечебный процесс начинается с визита в кабинет к стоматологу-ортопеду. Специалист внимательно осмотрит ротовую полость пациента, выявит имеющиеся проблемы, а также при необходимости - назначит к проведению ряд дополнительных диагностических мероприятий. На базе собранной по клиническому случаю информации ортопед составит подробный план лечения, а также предложит пациенту все возможные варианты протезирования.
Грамотно составленный план лечения обязательно учитывает не только установку зубной коронки, но также и дополнительные процедуры:
- Удаление зубов, восстановление и лечение которых невозможно по объективным причинам;
- Предварительное лечение диагностированных заболеваний зубов и десен;
- Обработка каналов зуба и их пломбирование (проводится при решении депульпировать зуб перед установкой коронки);
- Профессиональная гигиена ротовой полости. Санацию полости рта перед протезированием необходимо проводить для полного удаления с поверхности зубов твердого и мягкого налета. Мероприятие позволит максимально точно подобрать коронку под цвет естественной эмали зубов пациента, а также положительно скажется на качестве лечения.
Завершается составление плана лечения подбором определенного типа зубных коронок, после чего рассчитывается общая стоимость протезирования и оговариваются сроки его проведения.
Подготовительный этап
Продолжительность подготовительного этапа зависит от того, какие процедуры будет нужно провести до протезирования, чтобы обеспечить его качественный и долговечный результат. Ниже подробно рассмотрим все возможные стадии подготовки к протезированию зубов коронками.
Депульпирование
Еще несколько лет назад перед установкой коронок зубы депульпировались в обязательном порядке. Но современные ортопеды, если клинический случай позволяет - стремятся сохранить зубы жизнеспособными и обойтись без удаления нерва. Зуб с сохраненной пульпой не лишается полноценного питания минералами и полезными веществами, не приобретает повышенной хрупкости. Коронки, установленные на живые зубы служат дольше, но к сожалению - отказаться от депульпирования возможно не всегда.
Чаще всего депульпируют зубы передние, а вот жевательные зубные единицы сохраняют живыми. Они имеют достаточно большую площадь естественной коронки, в них расстояние от эмали до пульповой камеры значительно больше, а потому риски ожога нервного пучка при установке коронки будут минимальными.
Решение о целесообразности предварительного депульпирования также принимается исходя из количества корней, которое у разных зубов может быть различным. Если поставить коронку планируется на однокорневой зуб - процедура депульпирования проводится в обязательном порядке. При обработке однокорневых зубов слишком высоки риски ожога пульпы, а термическое повреждение чувствительного нервного пучка чревато возникновением воспалительного процесса под установленной коронкой. Для предотвращения подобных негативных последствий однокорневые зубы депульпируются, полости каналов обрабатываются антисептическими средствами и пломбируются гуттаперчей.
Лечение заболеваний зубов и десен
Если в ходе визуального осмотра ротовой полости врач обнаружит кариес, признаки развития воспалительного процесса - до установки коронок эти состояния должны быть в обязательном порядке устранены. Если зуб в значительной степени разрушен кариесом - врач удаляет пораженные ткани и проводит реставрацию коронковой части установкой прочной пломбы. Пульпит и периодонтит пролечиваются по более сложной схеме, включающей в себя обработку зубных каналов, их пломбирование.
На зуб обязательно должна быть поставлена качественная и прочная пломба, в противном случае - она может выпасть, а вместе с ней выпадет и установленная коронка. При выраженном разрушении зубной единицы ее коронковая часть может быть отреставрирована разными способами:
- Установкой пломбы на штифте. Штифтом называется особая конструкция в виде стержня, которая вставляется в корневой канал зуба и выступает надежной опорой для пломбы;
- Культевой вкладкой. Вкладки для реставрации зубов производятся в зуботехнической лаборатории и устанавливаются, как и штифт в канал, но при этом также фиксируются в коронковой части зуба.
При сильном разрушении зуба рекомендуется его реставрация вкладкой, которая признается более надежной и долговечной, чем обычное пломбирование или установка пломбы на штифте.
Завершаются подготовительные мероприятия проведением профессиональной гигиены ротовой полости. Санация нужна для полного и качественного устранения зубного налета, являющегося благоприятной средой для размножения патогенных организмов, кроме того - процедура позволит точно подобрать цвет коронки для установки, чтобы он максимально точно совпадал с оттенком естественной эмали зубов пациента.
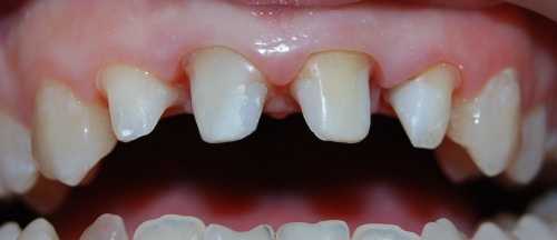
Препарирование
Препарирование или обточка зубов - процедура которую врач проводит до снятия слепков. В ходе препарирования эмаль зуба будет обточена на толщину будущей коронки. В процессе обтачивания применяется бормашина: с ее помощью зубу придается определенная форма, способная обеспечить максимально прочную фиксацию установленной коронке. Если препарированию подвергаются живые, недепульпированные зубы - процедура может оказаться весьма неприятной и болезненной для пациента, а потому перед ее проведением применяется местное обезболивание.
Толщина снятия эмали будет зависеть от типа коронки, которую в дальнейшем будут ставить на препарированный зуб. Максимум естественных тканей убирается с зуба для установки коронок керамических и металлокерамических, по минимуму обтачивается эмаль перед протезированием литыми коронками.
После проведения препарирования зуба остается культя, с которой врач будет снимать слепки для производства коронок.
Лабораторный этап
С обточенных зубов снимается оттиск. Для получения качественного, анатомически точного слепка зубов для производства коронки применяется специализированная высокоэластичная масса. Используя оттиски, зубной техник в лаборатории изготовит гипсовую модель зубов пациента, по ней будут делаться коронки для дальнейшей установки. Зубные коронки могут быть произведены из разнообразных материалов - сплавов драгоценных и недрагоценных металлов, керамики, диоксида циркония, металлокерамики. Вид коронок для установки выбирается исходя из особенностей конкретной клинической ситуации, предпочтений пациента, его пожеланий по уровню эстетики, а также финансовых возможностей.
От вида сырья, из которого будет произведена коронка будут зависеть сроки ее изготовления. Длительное время занимается производство коронок из керамики и металлокерамики. Чтобы пациенту не пришлось в течение всего срока производства коронок ходить с некрасивой культей - на нее на этот период ставится временный иммедиат-протез. Изготавливаются временные коронки из пластика, и их установка позволяет избавить пациента от психологического дискомфорта, а также защитить препарированные и уязвимые зубы от действия патогенной микрофлоры и вредных факторов внешней среды.
Примерка и установка зубных коронок
Когда зубной техник изготовит каркас коронки - пациент будет приглашен в клинику для примерки. В ходе примерки каркасной части коронки оценивается плотность ее прилегания к поверхности культи зуба. Если плотность прилегания будет недостаточной - под установленную коронку будут попадать остатки пищи, бактерии и все это может привести к началу воспалительного процесса.
Если при примерке коронка сядет на культю идеально - каркас передается в лабораторию, где его покроют керамической массой. Готовую коронку примеряют второй раз и при второй примерке она будет зафиксирована на временный цементный раствор. Вторая проверка требуется для оценки качества контакта протеза с зубами-антагонистами и если, и она пройдет хорошо, то коронка будет установлена на зуб с применением постоянного цемента. Происходит процесс постоянной установки коронки на зуб по нижеописанной схеме:
- Внутренняя часть коронки покрывается слоем цементирующего раствора, после чего коронка надевается на зуб;
- Зуб с коронкой подвергается световому воздействию, ускоряющему процесс затвердевания цементного раствора;
- Все излишки цементирующей смеси тщательно удаляются, так как она является веществом достаточно едким и при попадании на мягкие ткани может спровоцировать их сильный ожог.
Завершается лечение подробной консультацией от ортодонта по уходу за протезом и ротовой полостью после протезирования. Соблюдение рекомендаций специалиста гарантирует отсутствие негативных побочных реакций и осложнений после установки коронки.
Ситуации, в которых требуется снять установленную коронку
К сожалению, могут возникнуть обстоятельства, при которых установленную коронку может потребоваться снять:
- Активный воспалительный процесс под протезом, чаще всего возникающий из-за некачественного эндодонтического лечения. Для устранения воспаления протез снимается, каналы зуба перелечиваются, после чего протез устанавливается повторно;
- Коронка неудобна в повседневном использовании и доставляет пациенту серьезный дискомфорт. Причиной такого явления всегда являются ошибки, допущенные в процессе производства коронки.
Также коронки снимают для ремонта и плановой замены, при появлении осложнений после проведенной реставрации.
Чтобы процесс установки коронки прошел успешно, и конструкция безупречно служила вам долгие годы, сохраняя при этом функциональные и эстетические характеристики - процедуру протезирования следует проходить в современной стоматологической клинике, у опытного и грамотного специалиста.
Наша клиника «Унидент» в СПБ оснащена высокотехнологичным оборудованием, позволяющим проводить протезирование зубов быстро, качественно и с долговечным результатом. В работе специалисты клиники активно применяют инновационные технологии и материалы от лучших мировых производителей и потому обратившись к нам вы можете не сомневаться в качестве и безопасности лечения!
Филиалы нашей клиники находятся на станциях метро: Академическая, Выборгская и Пионерская и вы можете выбрать тот филиал, добираться до которого вам будет удобнее всего. Записывайтесь к нам на прием по телефону или через интерактивную форму сайта и приходите в «Унидент» за красивой улыбкой и здоровыми зубами!
Функциональные моменты препарирования зуба под коронку. Рекомендации
Дефекты коронок зубов кариозного и некариозного происхождения являются самой частой патологией полости рта. В зависимости от степени разрушения зуба в ортопедической стоматологии чаще всего применяют искусственные коронки и культевые вкладки.
Искусственные коронки
Искусственные коронки - это несъемные протезы, покрывающие коронковую часть зуба и восстанавливающие его анатомическую форму, размеры и функцию.
Искусственные коронки делят по нескольким признакам.
По способу изготовления:
- штампованные
- литые
- полимеризованные из полимерных и композитных материалов
- методом обжига керамики
- фрезерованные
- цельнометаллические (сплавы золота, нержавеющая сталь, кобальтохромовые сплавы, серебряно-палладиевые, титановые)
- пластмассовые
- металлопластмассовые
- металлокерамические
- керамические
- на основе диоксида циркония и т.д.
Есть несколько показаний для использования коронок:
- Разрушение зуба, которое не может быть устранено пломбой .
- Для опоры при лечении несъемными мостовидными протезами.
- Как опорный элемент кламмеров съемных ортопедических конструкций.
- При патологической стираемости зуба.
- При аномалии формы, цвета, структуры зубов.
- Для крепления различных ортодонтических или челюстно-лицевых аппаратов.
- Для шинирования при заболеваниях пародонта и при переломах челюстей.
- Для временного закрытия зубов.
- Для удержания лекарств.
Все конструкции искусственных коронок связаны с препарированием, то есть сошлифовыванием определенного количества твердых тканей зуба. Особенности препарирования зависят от материала и конструкции протеза, состояния естественной коронки зуба.
Препарирование под металлическую штампованную коронку:
Сначала сошлифовываются межзубные контакты, создаются параллельные стенки. Затем сошлифовывается жевательная поверхность (или режущий край) на толщину коронки — 0,25-0,3 мм. Затем на толщину металла препарируют вестибулярную и оральную поверхности. В результате диаметр зуба становится равен диаметру шейки зуба и принимает форму цилиндра. В конце сглаживают края и полируют получившуюся культю зуба.
Препарирование зуба под цельнолитую коронку:
Процесс обработки совпадает, с этапами препарирования под штампованную коронку, но есть несколько отличий. Стенки зуба сходятся под небольшим углом от 2° до 8°, принимая форму усеченного конуса. С жевательной поверхности сошлифовывают 1мм, сохраняя ее индивидуальную анатомическую форму, а с боковых 0,5-0,8 мм. Еще одно значительное отличие это необходимость формирования уступа 0,5-1,0 мм, для улучшения ретенционных свойств и эстетических показателей, так же как ориентир для техника.
Препарирование под комбинированные, керамические, на основе диоксида циркония, коронки:
этапы препарирования полностью совпадают с техникой обработки под цельнолитые коронки, но сошлифовываются чуть больше тканей для создания места под облицовку.
Культевые вкладки
Культевая вкладка это ортопедическая конструкция позволяющая восстановить значительно разрушенные зубы, которые невозможно сразу восстановить искусственной коронкой.
Сначала изготавливается вкладка, для последующего обязательного покрытия коронкой.
Вкладка состоят из двух основных частей: коронковой части зуба и корневой части.
Могут быть неразборными и разборными (если в зубе несколько каналов).
Культевые вкладки бывают: металлические (кобальтохромовый, серебрено-палладиевый, золотосодержащий сплав) и безметалловые (керамические, а так же из оксида циркония)
Показания и условия к применению:
- разрушенная коронковая часть более чем на 2/3 и более 1/2 у фронтальной группы зубов
- хорошо пролеченные каналы зуба
- здоровые ткани, окружающие зуб
- стенки корня не должны быть разрушены кариозным процессом, имеют достаточную толщину - не менее 1,5 мм и высоту над уровнем десны
Противопоказания:
- гнойные воспаления вокруг зуба: периодонтит, гранулемы, кисты
- патологическая подвижность зубов (заболевания тканей пародонта)
- аллергические реакции на используемые материалы (как правило, на металлы)
- плохо пролеченные каналы и невозможность их перелечить
Этапы одонтопрепарированния под культевую вкладку
Подготовительный этап: пациенту необходимо сделать рентгеновский снимок. Зуб должен быть депульпирован, каналы хорошо пролечены, а в окружающих тканях не должно быть патологических изменений. Если эти условия не выполняются, то пациент направляется для лечения в терапевтический кабинет.
Первое посещение у врача ортопеда:
- препарирование зуба, для удаления всех кариозных тканей и создания определенной формы полости
- распломбирование каналов зуба, ранее леченого у терапевта
- снятие слепка с необходимого зуба, а также с соседних, расположенных на противоположной челюсти (или же самостоятельное изготовление врачом вкладки в полости рта из специальной пластмассы, тогда слепки не снимаются)
- закрытие зуба временной пломбой
- удаление временной пломбы, медикаментозная обработка каналов и полости зуба
- фиксация на стоматологический цемент вкладки, изготовленной техником в лаборатории
Сроки лечения на первых двух этапах затягиваются минимум на 1-2 недели, так как культевая вкладка создается индивидуально для каждого пациента.
Читайте также:
- Истинная конъюгата. Диагональная конъюгата ( conjugata diagonalis ). Вычисление истинной конъюгаты. Размеры истинной конъюгаты в норме.
- Географическое распространение трипаносомоза. Трипаносомоз Американский
- Женский псевдогермафродитизм. Причины и диагностика
- Операции при повреждении печени. Методы остановки кровотечений из печени.
- Локальные поражения черепных нервов у ребенка
