Гамартома гипоталамуса - причины, симптомы, диагностика и лечение
Добавил пользователь Евгений Кузнецов Обновлено: 11.12.2025
Гамартома - что это такое: симптомы, диагностика, лечение
Гамартома - доброкачественное новообразование с преимущественной локализацией в легких. Гамартома сетчатки глаза и гамартома печени встречаются очень редко.
Доброкачественная опухоль - медленно растущее новообразование без прорастания в соседние ткани. Такие опухоли не метастазируют и не малигнизируют. Выраженность симптоматики зависит от размеров и особенностей локализации.
Какие бывают гамартомы:
- липоматозная (образована жировым компонентом);
- хондроматозная (наиболее часто встречается хондроматозная гамартома легкого);
- лейомиоматозная (состоит из гладкомышечных волокон);
- ангиоматозная (преобладание в структуре сосудистого компонента);
- органоидная;
- фиброматозная (в отдельном разделе будет рассмотрена фиброзная гамартома младенцев).
Новообразования бывают единичными и множественными.
Хондроматозная гамартома легкого
Гамартома легкого - врожденная доброкачественного опухоль, состоящая из ткани легкого, сосудистых структур и хрящей. Выделяют три вида заболевания: эндобронхиальная гамартома, передняя периферическая и задняя периферическая.
В большинстве случаев симптомы слабо выражены. Как правило, диагноз ставится по результатам МРТ или рентгенографии. Иногда больной может жаловаться на кашель, небольшую одышку и боль в области груди. Диагноз ставится с учетом анамнеза, общего состояния и результатов инструментальных исследований. К дополнительным методам обследования относится пункция, позволяющая определить статус опухоли, и биопсия. В отличие от билиарной гамартомы печени диагноз «хондроматозная гамартома легкого» ставится в три раза чаще.
Фиброзная гамартома у детей
Новообразование возникает в период внутриутробного развития. Точные причины фиброзной гамартомы до сих пор не изучены. Однако многие врачи связывают развитие патологии с наследственностью, генными мутациями и воздействием неблагоприятных фактов на эмбрион.
- периодический кашель;
- слабая боль в груди;
- одышка;
- кровохарканье (проявляется при прогрессировании заболевания).
Опухоль, как правило, выявляется случайно после рентгена или обследования по поводу другого заболевания. Для уточнения диагноза врач может назначить УЗИ, МРТ, электроэнцефалографическое исследование и фибробронхоскопию.
Лечение фиброзной гамартомы у детей состоит из постоянного наблюдения врача, симптоматической терапии (при обострении симптомов) и оперативного вмешательства (при прогрессировании заболевания).
Причины гамартомы гипоталамуса
Этот вид опухоли считается довольно редким и трудным для диагностики и лечения. Гамартома гипоталамуса проявляется в виде судорог, когнитивных расстройств и эндокринологических нарушений. Преждевременная половая зрелость - характерный симптом патологии.
Диагноз ставится по результатам МРТ, ЭЭГ (электроэнцефалографии), нейропсихологического тестирования, учитывая общую симптоматику и жалобы больного.
Основные причины гамартомы гипоталамуса - генетические нарушения и воздействие негативных факторов во время внутриутробного развития (инфекции, стрессы и воспалительные заболевания матери). Диагноз ставится одному из 200 тысяч детей.
Общая диагностика заболевания
Диагностика включает в себя рентгенографию, МРТ, компьютерную томографию, электроэнцефалограмму, анализ на гормоны. Больному рекомендуют пройти неврологическое обследование, в ходе которого будет оценена степень чувствительности кожи, рефлексы, работа мозжечка и исключены нарушения в работе вестибулярного аппарата.
На консультации врач поможет определиться с методом диагностики и ответит на вопрос о том, видна ли гамартома селезенки на КТ.
Лечение заболевания
Гамартома легкого. Если заболевание не прогрессирует, пациенту рекомендовано постоянное наблюдение пульмонолога или терапевта. В случае разрастания опухоли показано хирургическое вмешательство. Новообразование удаляют вылущиванием легочной ткани или путем резекции. Решение в данном случае принимает врач.
Гамартома гипотоламуса. Лечение опухоли длительное, включающее в себя применение противосудорожных препаратов и агонистов к рецепторам лютеинизирующего гормона. Операция проводится по особым показаниям.
Гамартома молочной железы при бессимптомном течении нуждается в постоянном наблюдении врача. Удаление гамартомы молочной железы рекомендовано в случае роста опухоли и получении анормальных результатов биопсии. Лампэктомия - операция по удалению опухоли, которая проводится под общим наркозом. Больному делается небольшой разрез на груди, через который вводят зонд, подключенный к вакууму, и удаляют новообразование. Хирургическое вмешательство считается малоинвазивным с минимумом осложнений.
Гипоталамический синдром
Гипоталамический синдром - комплекс эндокринных, обменных, вегетативных расстройств, обусловленных патологией гипоталамуса. Характеризуется изменением (чаще увеличением) массы тела, головными болями, неустойчивостью настроения, гипертензией, нарушением менструального цикла, повышенным аппетитом и жаждой, усилением или снижением либидо. Для диагностики гипоталамического синдрома проводится расширенное гормональное исследование, ЭЭГ, МРТ головного мозга, при необходимости УЗИ щитовидной железы, надпочечников. Лечение гипоталамического синдрома заключается в подборе эффективной стимулирующей или ингибирующей гормональной терапии, проведении симптоматического лечения.

Общие сведения
Гипоталамический синдром - комплекс эндокринных, обменных, вегетативных расстройств, обусловленных патологией гипоталамуса. Характеризуется изменением (чаще увеличением) массы тела, головными болями, неустойчивостью настроения, гипертензией, нарушением менструального цикла, повышенным аппетитом и жаждой, усилением или снижением либидо. Прогноз зависит от тяжести поражения гипоталамуса: от возможности полного выздоровления до прогрессирования заболевания (развитие выраженного ожирения, стойкой гипертонии, бесплодия и т. д.).
Патология гипоталамической области часто встречается в эндокринологической, гинекологической, неврологической практике, вызывая сложности в диагностике из-за многообразия форм проявления. Гипоталамический синдром чаще развивается в подростковом (13-15 лет) и репродуктивном (31-40 лет) возрасте, преобладая у лиц женского пола (12,5-17,5% женщин).
Проблема медицинской и социальной значимости гипоталамического синдрома определяется молодым возрастом пациентов, быстро прогрессирующим течением заболевания, выраженными нейроэндокринными нарушениями, нередко сопровождающимися частичным снижением или полной утратой трудоспособности. Гипоталамический синдром вызывает серьезные нарушения репродуктивного здоровья женщины, вызывая развитие эндокринного бесплодия, поликистоза яичников, акушерские и перинатальные осложнения.

Причины развития гипоталамического синдрома
Гипоталамический отдел головного мозга отвечает за регуляцию гуморальных и нервных функций, обеспечивающих гомеостаз (стабильность внутренней среды). Гипоталамус выполняет роль высшего вегетативного центра, регулирующего обмен веществ, терморегуляцию, деятельность кровеносных сосудов и внутренних органов, пищевое, половое поведение, психические функции. Кроме того, гипоталамус управляет физиологическими реакциями, поэтому при его патологии нарушается периодичность тех или иных функций, что выражается вегетативным кризом (пароксизмом).
Вызывать нарушения деятельности гипоталамуса и развитие гипоталамического синдрома могут следующие причины:
- опухоли головного мозга, сдавливающие гипоталамическую область;
- черепно-мозговые травмы с прямым повреждением гипоталамуса;
- нейроинтоксикации (токсикомания, наркомания, алкоголизм, производственные вредности, экологическое неблагополучие и т. д.);
- сосудистые заболевания, инсульт, остеохондроз шейного отдела позвоночника;
- вирусные и бактериальные нейроинфекции (грипп, ревматизм, малярия, хронический тонзиллит и др.);
- психогенные факторы (стрессы, шоковые ситуации, умственные нагрузки);
- беременность и сопряженные с ней гормональные перестройки;
- хронические заболевания с вегетативными компонентами (бронхиальная астма, гипертония, язвы желудка и двенадцатиперстной кишки, ожирение);
- конституциональная недостаточность гипоталамической области.
Классификация гипоталамического синдрома
Клиническая эндокринология насчитывает большое число исследований по изучению гипоталамического синдрома. Результаты этих исследований легли в основу современной расширенной классификации синдрома.
По этиологическому принципу гипоталамический синдром подразделяется на первичный (вследствие нейроинфекций и травм), вторичный (вследствие конституционального ожирения) и смешанный.
По ведущим клиническим проявлениям выделяют следующие формы гипоталамического синдрома:
- вегетативно-сосудистую;
- нарушения терморегуляции;
- гипоталамическую (диэнцефальную) эпилепсию;
- нейротрофическую;
- нервно-мышечную;
- псевдоневрастеническую и психопатологическую;
- расстройство мотиваций и влечений;
- нейроэндокринно-обменные расстройства.
Выделяют клинические варианты гипоталамического синдрома с преобладанием конституционального ожирения, гиперкортицизма, нейроциркуляторных нарушений, герминативных расстройств.
Тяжесть проявления гипоталамического синдрома может быть легкой, средней и тяжелой формы, а характер развития - прогрессирующий, стабильный, регрессирующий и рецидивирующий. В пубертатном периоде гипоталамический синдром может протекать с задержкой или ускорением полового созревания.
Симптомы гипоталамического синдрома
Проявления гипоталамического синдрома зависят от зоны поражения гипоталамуса (передний или задний отделы) и вызванных нейрогуморальных расстройств в гипоталамо-гипофизарной области. В проявлениях гипоталамического синдрома чаще преобладают следующие нарушения:
- вегетативно-сосудистые - 32%,
- эндокринно-обменные - 27%,
- нервно-мышечные - 10%,
- нарушения терморегуляции и др. - 4% и т. д.
Гипоталамический синдром проявляется общей слабостью, повышенной утомляемостью, физическим и психическим истощением, плохой переносимостью смены метеорологических условий, покалываниями в сердце, склонностью к аллергическим реакциям, неустойчивым стулом, чувством нехватки воздуха, эмоциональными расстройствами (тревогой, приступами панического страха), нарушениями сна, повышенной потливостью. Объективно выявляются тахикардия, асимметрия артериального давления со склонностью к его повышению, тремор пальцев и век.
У большей части пациентов гипоталамический синдром протекает пароксизмально (приступообразно), чаще в виде вагоинсулярных и симпатико-адреналовых кризов. Вазоинсулярные кризы при гипоталамическом синдроме сопровождаются чувством жара, прилива к лицу и голове, головокружением, удушьем, неприятными ощущениями в эпигастрии, тошнотой, замиранием сердца, потливостью, общей слабостью. Может наблюдаться усиленная перистальтика кишечника с послаблением стула, учащенное и обильное мочеиспускание, повторные позывы в туалет. Возможно развитие аллергических проявлений в форме крапивницы и даже отека Квинке. Частота сердечных сокращений урежается до 45-50 уд. в мин., АД снижается до 90/60-80/50 мм рт. ст.
Продолжительность криза может быть от 15 мин. до 3 и более часов, после чего на протяжении нескольких часов сохраняется слабость и страх повторения подобного приступа. Часто при гипоталамическом синдроме кризы носят смешанный характер, сочетая симптомы вагоинсулярного и симпатико-адреналового кризов.
Нарушение терморегуляции при гипоталамическом синдроме сопровождается развитием гипертермического криза, характеризующегося внезапным скачком температуры тела до 39-40 °С на фоне длительного субфебрилита. Для терморегуляционных нарушений типично утреннее повышение температуры и ее снижение к вечеру, отсутствие эффекта от приема жаропонижающих препаратов. Расстройства терморегуляции чаще наблюдаются в детском и юношеском возрасте и зависят от физического и эмоционального напряжения. У подростков они нередко связаны со школьными занятиями и исчезают в каникулярный период.
Проявлениями терморегуляционных нарушений при гипоталамическом синдроме могут служить постоянная зябкость, непереносимость сквозняков и низких температур. Такие пациенты постоянно кутаются, носят одежду не по погоде, даже в теплое время не открывают форточки и окна, избегают принимать ванну. Расстройство мотиваций и влечений при гипоталамическом синдроме характеризуется эмоционально-личностными нарушениями, различными фобиями, изменением либидо, патологической сонливостью (гиперсомнией) или бессонницей, частой сменой настроения, раздражительностью, гневом, слезливостью и т. д.
Нейроэндокринно-обменные расстройства при гипоталамическом синдроме проявляются нарушением белкового, углеводного, жирового, водно-солевого обмена, булимией, анорексией, жаждой. Нейроэндокринные нарушения могут сопровождаться синдромами Иценко-Кушинга, несахарного диабета с полиурией, полидипсией и низкой относительной плотностью мочи, акромегалией, ранним климаксом у молодых женщин, изменениями в щитовидной железе. Могут наблюдаться дистрофия костей и мышц, нарушения трофики кожи (сухость, зуд, пролежни), изъязвления слизистых внутренних органов (пищевода, 12-перстной кишки, желудка). Для гипоталамического синдрома характерно хроническое или длительное течение с рецидивами и обострениями.
Осложнения гипоталамического синдрома
Течение гипоталамического синдрома наиболее часто осложняется поликистозными изменениями яичников, гинекомастией, нарушениями менструального цикла от олиго- и аменореи до маточных кровотечений, миокардиодистрофией, гирсутизмом и инсулинорезистентностью. Осложнением беременности при гипоталамическом синдроме может являться тяжелая форма позднего гестоза.
Диагностика гипоталамического синдрома
Полиморфная клиника гипоталамического синдрома представляет немалые трудности в его диагностике. Поэтому ведущими критериями диагностики гипоталамического синдрома служат данные специфических тестов: сахарной кривой, термометрии в трех точках, ЭЭГ головного мозга, трехдневной пробы Зимницкого.
Глюкозу крови при гипоталамическом синдроме исследуют натощак и с нагрузкой 100 г сахара, определяя уровень глюкозы через каждые 30 минут. При гипоталамическом синдроме встречаются следующие варианты сахарной кривой:
- гипергликемический (подъем уровня глюкозы выше нормы);
- гипогликемический (содержание глюкозы ниже нормы);
- двугорбовый (снижение уровня глюкозы чередуется с новым подъемом);
- торпидный (небольшой подъем глюкозы фиксируется в одной точке).
Термометрию при гипоталамическом синдроме проводят в трех точках: обеих подмышечных впадинах и в прямой кишке. Термометрические нарушения могут выражаться в изотермии (равной температуре в прямой кишке и подмышечных областях, при норме в прямой кишке на 0,5-1°С выше); гипо- и гипертермии (в подмышечных впадинах температура ниже или выше нормы); термоинверсии (температура в прямой кишке ниже, чем в подмышечных впадинах).
Электроэнцефалография выявляет изменения, затрагивающие глубинные структуры мозга. В трехдневной пробе по Зимницкому у пациентов с гипоталамическим синдромом изменяется соотношение выпитой и выделяемой жидкости, ночного и дневного диуреза. Методом МРТ головного мозга при гипоталамическом синдроме выявляется повышенное внутричерепное давление, последствия гипоксии и травм, опухолевые образования.
Обязательным критерием диагностики гипоталамического синдрома является определение гормонов (пролактина, ЛГ, эстрадиола, ФСГ, тестостерона, кортизола, ТТГ, Т4 (свободного тироксина), адренотропного гормона в крови и 17-кетостероидов в суточной моче) и биохимических показателей для выявления эндокринно-обменных нарушений. Дифференцировать гипоталамический синдром с органическим поражением других систем позволяет УЗИ надпочечников, УЗИ щитовидной железы и внутренних органов. При необходимости дополнительно проводится МРТ или КТ надпочечников.
Лечение гипоталамического синдрома
Комплекс мероприятий по лечению гипоталамического синдрома должен осуществляться совместными усилиями эндокринолога, невролога и гинеколога (у женщин). Подбор методов лечения гипоталамического синдрома всегда индивидуален и зависит от ведущих проявлений. Целью терапии гипоталамического синдрома является коррекция нарушений и нормализация функции гипоталамических структур головного мозга.
На первом этапе лечения проводят устранение этиологического фактора: санацию инфекционных очагов, лечение травм и опухолей и т. д. При интоксикациях алкоголем, наркотиками, инсектицидами, пестицидами, тяжелыми металлами проводится активная дезинтоксикационная терапия: внутривенно вводятся солевые растворы, тиосульфат натрия, глюкоза, физиологический раствор и др. Для профилактики симпатико-адреналовых кризов назначаются пирроксан, алкалоиды красавки + фенобарбитал, сульпирид, тофизопам, антидепрессанты (тианептин, амитриптилин, миансерин и др.).
Нейроэндокринные нарушения корректируются заместительными, стимулирующими или тормозящими гормональными препаратами, назначением диеты и регуляторов нейромедиаторного обмена (бромокриптин, фенитоин) курсом до полугода. При развитии посттравматического гипоталамического синдрома проводят дегидратирующую терапию, цереброспинальную пункцию. При нарушениях обмена назначается диетотерапия, анорексанты, витамины.
При гипоталамическом синдроме назначаются средства, улучшающие мозговое кровообращение (пирацетам, гидрализат головного мозга свиней, винпоцетин), витамины группы В, аминокислоты (глицин), препараты кальция. В лечение гипоталамического синдрома включают рефлексотерапию, физиопроцедуры, лечебную гимнастику. В структуре лечения гипоталамического синдрома важная роль отводится нормализации режима отдыха и работы, диете, нормализации массы тела, курортотерапии.
Прогноз и профилактика гипоталамического синдрома
Гипоталамический синдром может приводить к снижению и утрате работоспособности в случаях часто повторяющихся вегетативных пароксизмов. Таким пациентам с учетом их профессиональной деятельности может устанавливаться инвалидность III группы. Резко выраженные нейроэндокринно-обменные формы гипоталамического синдрома также могут приводить к потере трудоспособности с установлением III или II группы инвалидности.
Поскольку кризы при гипоталамическом синдроме, как правило, возникают в определенное время и при изменениях метеоусловий, значительных эмоциональных и физических перенапряжениях, их профилактика заключается в предупреждающем приеме седативных средств, антидепрессантов, транквилизаторов. Также, по возможности, необходимо исключить провоцирующие приступы факторы, нервно-психические и физические нагрузки, работу в ночные смены.
Гамартома гипоталамуса
Гамартома гипоталамуса — это редко встречающаяся доброкачественная гипоталамическая опухоль, которая по гистологическим характеристикам напоминает ганглиоцитому. Этиологические факторы точно не установлены. Новообразование проявляется эпилептическими приступами, снижением когнитивных возможностей, опережением темпов полового созревания. Для диагностики гипоталамической неоплазии требуется проведение электроэнцефалографии, церебрального МР-сканирования. Лечение включает противосудорожные препараты, транскраниальные физические методы воздействия (магнитную стимуляцию, микрополяризацию), нейрохирургические операции.
МКБ-10
Врожденные гамартомы гипоталамуса встречаются в клинической неврологии крайне редко: около 1 случая на 200 тыс. живорожденных детей. Половые и расовые различия в заболеваемости не выявлены. Согласно классификации новообразований ЦНС (ВОЗ, 1993 г.), патология принадлежит к категории «кисты и опухолевидные поражения». Высокая актуальность проблемы связана с неспецифичностью симптоматики, трудностью своевременной диагностики, что создает препятствия для адекватного лечения опухоли.
Причины
Гамартомы входят в категорию эмбриональных доброкачественных образований, формирующихся у детей в период раннего внутриутробного развития (первый триместр беременности). До сих пор в детской неврологии отсутствует общепринятая концепция появления неоплазий. Считается, что они возникают спонтанно под влиянием факторов риска, которые объединяются в следующие группы:
- Генетические нарушения. Точечные генные мутации остаются одной из основных причин аномалий развития ЦНС, однако их детальное изучение представляет трудности из-за большого разнообразия патологий, полиморфности клинической картины.
- Тератогенные факторы. Поражение гипоталамуса часто обусловлено нейроинфекциями (токсоплазмозом, краснухой, вирусами простого герпеса), физическими вредностями (ионизирующим излучением), химическими токсинами (некоторыми медикаментами, средствами бытовой химии, сельскохозяйственными ядами).
- Патологии беременности. Гамартомы чаще встречаются у детей, рожденных от матерей с экстрагенитальными заболеваниями (сердечно-сосудистая недостаточность, эндокринные нарушения, болезни печени и почек), а также при осложненном течении беременности (токсикоз, резус-конфликт).
Патогенез
Гипоталамус является структурой промежуточного мозга, в нем выделяют 50 пар ядер, каждое из которых выполняет специфическую функцию. Орган имеет нейронные связи с корой больших полушарий, мозжечком, стволом мозга и спинным мозгом, регулирует витальные функции (голод, жажда, сон и бодрствование), влияет на высшую психическую деятельность, выделяет гормоны, управляющие работой желез внутренней секреции.
При образовании эмбриональной опухоли нарушаются все функции гипоталамуса, что проявляется разнообразием патологических симптомов. Степень расстройств зависит от размеров гамартомы: новообразования медленно увеличиваются в размерах, сдавливают окружающую нервную ткань, вызывая усугубление симптоматики. Гамартома имеет ту же гистологическую структуру, что и здоровые отделы гипоталамуса, однако клетки отличаются аномальным строением и незрелостью.
Гипоталамические эмбриональные неоплазии по морфологической классификации являются ганглиоцитомами. Они содержат элементы симпатических нервных узлов, клетки имеют низкий пролиферативный потенциал, минимальную ядерную атипию и высокую степень дифференцировки — признаки, указывающие на доброкачественный характер неоплазии.
Классификация
Благодаря усовершенствованию МРТ-диагностики новообразований гипоталамуса у детей гамартомы удалось разделить на 3 типа по анатомической локализации, что важно для определения ведущей симптоматики и выбора тактики лечения. Существуют следующие варианты расположения эмбрионального образования:
- Инфрагипоталамический (педункулярный). Диагностируется у 67% больных, характеризуется расположением гамартомы вблизи вентральной гипоталамической поверхности.
- Супрагипоталамический. Наблюдается в 18,5% случаев, представлено опухолевым разрастанием в области хиазмального рецессуса третьего желудочка.
- Интрагипоталамический (сессильный). Определяется у 14,5% страдающих гамартомами гипоталамуса. Неоплазия занимает место серого бугра и прилежит на широком основании к его вентральной части.
Симптомы гамартомы гипоталамуса
Манифестация заболевания в основном происходит у детей раннего возраста, однако не исключены случаи клинического проявления неоплазии у подростков или у взрослых. Чем раньше возникают первые признаки гамартомы, тем больше размер новообразования, и тем сильнее оно нарушает функционирование гипоталамуса. В клинической картине выделяют 3 основных симптома: эпилептические приступы (87,5% пациентов), интеллектуальные нарушения, признаки преждевременного полового созревания (62,5%).
Отличительной чертой гипоталамической гамартомы являются геластические приступы — самая редкая форма судорожных пароксизмов, которая встречается у 0,1% больных эпилепсией. Судороги у детей преимущественно представлены приступами насильственного смеха. Пароксизмы дополняются вегетативными нарушениями: расширением зрачков, покраснением лица, дискомфортом в животе, недержанием мочи.
Преждевременное половое созревание диагностируется при появлении вторичных половых признаков у мальчиков до 9 лет и у девочек до 8 лет. У мальчиков голос становится более грубым, начинает вырисовываться кадык, увеличиваются линейные размеры яичек и полового члена. У девочек набухают молочные железы, появляются волосы в подмышечных впадинах и на лобке, начинаются менструации. Также типичны угревая сыпь, повышенная жирность кожи, резкий запах пота.
Когнитивные нарушения разной степени тяжести отмечаются у 100% пациентов. В раннем возрасте они проявляются в виде задержки речевой функции, позднего развития навыков сидения, стояния, ходьбы, отсутствии у детей познавательной активности. По мере взросления ребенка симптомы дополняются нарушениями психоэмоциональной сферы: неустойчивостью настроения, приступами агрессии, излишней замкнутостью.
Осложнения
Умственная отсталость, возникающая при гипоталамической гамартоме, вызывает серьезные нарушения социализации у детей, создает проблемы во время школьного обучения. Степень интеллектуальных нарушений варьирует от легкой, при которой сохранена способность к обучению, до тяжелой, когда у ребенка присутствуют только элементарные навыки самообслуживания, а речевые способности ограничиваются отдельными словами.
При прогрессировании опухоли гипоталамуса наблюдается тотальное поражение промежуточного мозга, проявляющееся генерализованной эпилепсией. При отсутствии лечения у детей может начаться эпилептический статус — угрожающее жизни состояние, при котором происходит серия судорожных приступов без возвращения сознания. Преждевременное половое развитие чревато ранним закрытием ростовых зон костей, у девочек есть риск возникновения синдрома поликистозных яичников.
Диагностика
Заподозрить гамартому гипоталамуса удается при клиническом обследовании у детского невролога по наличию жалоб на неконтролируемые приступы смеха. При физикальном осмотре оценивается степень моторного и психического развития ребенка, сохранность рефлекторной деятельности, функционирование органов чувств. Для верификации диагноза назначаются инструментальные методы:
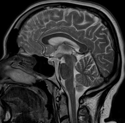
- МРТ головного мозга. На снимках МРТ визуализируется объемное образование однородной структуры с четкими контурами, которое не накапливает контрастное вещество, не имеет признаков инвазивного роста. При исследовании в режиме Т1 очаг является гипоинтенсивным, а в Т2-режиме — переменным гиперинтенсивным.
- ЭЭГ. По результатам исследования определяются различные варианты эпилептической активности: спайки, острые волны, патологические комплексы «пик-медленная волна», «острая-медленная волна». Для уточнения диагноза необходима электроэнцефалография с фотостимуляцией, гипервентиляцией.
Лечение гамартомы гипоталамуса
Консервативная терапия
Медикаментозное лечение новообразования у детей носит симптоматический характер. Для коррекции геластических пароксизмов назначаются антиконвульсанты (вальпроаты, бензодиазепины). Для улучшения функциональных возможностей мозга применяются нейрометаболические вещества, витаминно-минеральные комплексы. Высокую эффективность в лечении эпилепсии показывают нелекарственные методы:
- Транскраниальная магнитная стимуляция. При ТМС на область гипоталамуса и другие зоны мозга воздействуют низкоинтенсивным магнитным полем для достижения эффекта торможения, усиления выработки ГАМК.
- Транскраниальная микрополяризация. Суть метода заключается в воздействии постоянного слабого тока на кожу головы в определенных точках — так называемая нейромодуляционная методика, которая корректирует психопатологические проявления, уменьшает нейрональное взаимодействие в эпилептическом очаге.
Хирургическое лечение
Нейрохирургическое операции на гипоталамусе показаны при размерах гамартомы более 1,5 см, фармакорезистентной эпилепсии с генерализованными приступами либо тяжелых эндокринных расстройствах у детей. С учетом особенности локализации опухолевого процесса применяется микрохирургическая резекция, эндоскопический доступ, современный метод радиохирургии. Эффективность хирургического лечения составляет 54-90%.
Реабилитация
Учитывая выраженные интеллектуальные расстройства, детям с гипоталамическими эмбриональными неоплазиями требуется помощь коррекционных педагогов. При легкой или умеренной степени умственной отсталости возможно обучение в специальных классах, для развития речи необходима длительная программа занятий с детским логопедом. По показаниям к реабилитации привлекают клинических психологов.
Прогноз и профилактика
Поскольку гамартомы относятся к доброкачественным опухолям без риска малигнизации, прогноз благоприятный при условии ранней диагностики болезни, своевременного устранения органического дефекта гипоталамуса. При крупных новообразованиях, расположенных в труднодоступных для нейрохирургов участках мозга, прогноз ухудшается. Учитывая неясность этиопатогенеза гамартомы, меры первичной профилактики не разработаны.
1. Эпилепсия с геластическими приступами и гамартома гипоталамуса (описание редкого клинического наблюдения)/ В.А. Михайлов, А.К. Дружинин, Н.И. Шова, Е.А. Корсакова// Эпилепсия и пароксизмальные состояния. — 2017. — №3.
3. Геластические приступы/ М.Б. Миронов, И.В. Иванова, К.Ю. Мухин// Эпилепсия и пароксизмальные состояния. — 2014. — №3.
4. Гамартомы гипоталамуса у детей/ Т.В. Семичева, С.К. Горелышев// Проблемы эндокринологии. — 2006. — №4.
Гамартома легкого ( Гамартохондрома легкого , Липохондроаденома легкого , Хондроаденома легкого )
Гамартома легкого - врожденное доброкачественное новообразование легких, развивающееся из различных элементов эмбриональной ткани с преобладанием хрящевых, жировых, мышечных или фиброзных компонентов. Клиническая картина гамартомы легкого варьирует от полного отсутствия симптомов до выраженных проявлений, включающих затруднение дыхания, боль в груди, кашель, иногда кровохарканье и развитие обтурационной пневмонии. Диагноз гамартомы легкого основан на данных рентгенографии, КТ и МРТ грудной клетки, трансторакальной пункционной биопсии. Лечение гамартомы легкого заключается в хирургическом удалении опухоли.


Гамартома легкого (гамартохондрома, хондроаденома, липохондроаденома) - дизэмбриогенетическая опухоль легких, в которой сочетаются тканевые компоненты легочной паренхимы, дистальных бронхов и других структур. Гамартома является одним из наиболее распространенных доброкачественных образований легкого и самой частой формой легочной опухоли периферической локализации (60-64% случаев).
Гамартома обычно располагается в переднем сегменте нижних долей (чаще правого легкого), в толще паренхимы (внутрилегочно) или поверхностно (субплеврально). В единичных случаях она может локализоваться на внутренней стенке крупного бронха (эндобронхиально), выдаваясь в его просвет. Для гамартомы легкого характерны: медленный рост на протяжении многих лет, отсутствие инфильтрации легочной ткани и метастазирования, крайне низкий риск злокачественной трансформации. Гамартома легкого в 2-4 раза чаще выявляется у лиц мужского пола, обычно в возрасте 30-50 лет.

До настоящего времени в пульмонологи предметом дискуссии остается вопрос: является ли гамартома опухолью de novo либо следствием дизэмбриогенеза и последующей опухолевой трансформации. Большинство ученых склонно считать гамартому пороком развития легких, возникающим вследствие нарушения закладки и формирования бронхолегочных структур в эмбриогенезе. Соединительнотканные, хрящевые и гладкомышечные компоненты гамартомы легкого развиваются из зародышевой ткани (мезенхимы). Эпителиальные структуры могут вовлекаться вторично из окружающей легочной ткани в процессе роста опухоли или из мезодермальных и энтодермальных зачатков бронха.
Факторами риска возникновения гамартомы легкого могут выступать генетическая предрасположенность, генные нарушения, длительное воздействие на организм будущих родителей мутагенов (опасных химических веществ, ионизирующего излучения).
Патанатомия
Большинство гамартом имеет вид округлого инкапсулированного узла плотной или эластичной консистенции с гладкой или мелкобугристой поверхностью, четко отграниченного от паренхимы легкого. Диаметр опухоли может варьировать от 0,5 мм до 10-12 см, в среднем составляет 2-3 см. В состав гамартомы легкого могут входить хаотично расположенные островки хрящевой ткани, прослойки жира, соединительнотканные и гладкомышечные волокна, сосудистые элементы, скопления лимфоидных клеток, полости с выстилкой из железистого эпителия и костные включения.
В клинической практике преимущественно встречается локальная форма гамартомы, редко - диффузная с поражением целой легочной доли. Гамартомы легкого чаще являются одиночными образованиями, множественные опухоли менее распространены.
Наиболее часто гистологически верифицируются хонроматозные гамартомы легкого (гамартохондромы), содержащие большое количество гиалинового хряща различной степени зрелости. На срезе узла видна зернистая или гладкая полупрозрачная поверхность серовато-белого или беловато-желтого оттенка. Нередко возможно ослизнение и петрификация участков хрящевой ткани.
В структуре лейомиоматозной гамартомы легкого преобладают гладкомышечная ткань и бронхоальвеолярные структуры. По своим морфологическим и клиническим признакам она схожа с гамартохондромой. Также имеют место гамартомы легкого, содержащие в избытке компоненты других тканей: жировой (гамартолипома, липогамартохондрома), фиброзной (гамартофиброма, фиброгамартохондрома) и т. д. Описаны массивные гамартомы легкого, образованные клетками неороговевающего плоского эпителия в окружении кровеносных сосудов и волокон гладкомышечной ткани.
По выраженности клинической картины выделяют 3 степени гамартомы легкого:
- I - характеризующуюся бессимптомным течением
- II - имеющую скудные проявления
- III - с выраженной симптоматикой из-за роста опухоли и компрессии окружающих тканей
Симптомы гамартомы легкого
Симптомы гамартомы легкого определяются величиной опухоли, ее расположением относительно крупных бронхов, диафрагмы и грудной стенки. Большинство гамартом легкого протекают длительно и бессимптомно, опухоль выявляется случайно при проведении рентгенографии грудной клетки или на вскрытии. Периферическая локализация и небольшая величина гамартомы обусловливают отсутствие клинических проявлений.
При достижении большого размера гамартома начинает сдавливать ткань легкого, бронхи, диафрагму и грудную стенку. Больного начинают беспокоить одышка, болевые ощущения в грудной клетке на стороне поражения, возникающие обычно на высоте глубокого вдоха и сопровождающиеся кашлем, а при серьезной физической нагрузке - кровохарканьем. Сдавление гамартомой крупного бронха дает клиническую картину центральной опухоли легкого.
При эндобронхиальной локализации гамартомы развивается локальное нарушение проходимости бронха, приводящее к гиповентиляции и сегментарному (реже долевому) ателектазу соответствующего отдела легкого и обтурационной пневмонии. В этом случае течение гамартомы сопровождается клиническими проявлениями хронического инфекционного процесса легкого.
Множественная гамартома легкого может быть проявлением триады Карнея, сочетаясь с лейомиобластомой желудка и экстраадренальной параганглиомой, или Кауден-синдрома, характеризующегося множественными доброкачественными образованиями внутренних органов и высоким потенциалом развития рака молочной и щитовидной желез, ЖКТ, мочеполовых органов.
Диагноз гамартомы легкого устанавливают по данным рентгенографии, КТ или МРТ легких и трансторакальной пункционной биопсии с гистологическим исследованием биоптата.
- Рентгенодиагностика. На рентгенограмме и томограмме гамартома легкого визуализируется обычно как одиночная небольшая (редко >2-4 см) округлая тень периферической локализации с резкими и четкими контурами на фоне неизмененной легочной ткани. Поверхность опухоли может быть гладкой или бугристой. Интенсивность тени гамартомы легкого зависит от размера узла и содержания известковых включений.

Выделяют несколько рентгенологических вариантов гамартомы легкого - тени средней интенсивности и гомогенной структуры; неоднородные тени средней интенсивности с обызвествлением; неоднородные тени средней интенсивности со слоистым обызвествлением/уплотнением в центре и неоднородные тени высокой интенсивности с массивной инкрустацией. При больших размерах гамартомы легкого (4 - 5 см) может появиться усиление легочного рисунка за счет сближения между собой сосудистых и бронхиальных ветвей.
- Эндоскопическая диагностика.Бронхоскопия целесообразна только при эндобронхиальном расположении гамартомы.
- Биопсия с гистологией. Для подтверждения доброкачественной природы гамартомы легкого выполняется гистологическое исследование материала опухоли, взятого путем трансторакальной пункционной биопсии, диагностической торакоскопии или торакотомии. В пунктате гамартохондромы легкого могут выявляться элементы незрелой хрящевой ткани, более зрелые хондроциты, гроздевидные комплексы из клеток кубического или призматического эпителия, небольшие участки соединительной ткани, скопления лимфоидных клеток, гистиоциты и капли жира.
Динамическое наблюдение за гамартомой легкого показывает отсутствие или чрезвычайно низкий темп роста опухоли в течение длительного периода. Гамартому необходимо дифференцировать от злокачественных легочных новообразований (рака легкого, карциноида, хондросаркомы), солитарных метастазов рака иной локализации (молочных желез и яичников у женщин, предстательной железы у мужчин, почек и др.), туберкуломы, истинных доброкачественных опухолей и кист легких, эхинококкоза. При гамартоме легкого показаны консультации пульмонолога, фтизиатра, онколога, торакального хирурга.
Лечение гамартомы легкого
При небольшой (менее 2,5 см), гистологически подтвержденной гамартоме легкого и отсутствии компрессии окружающих тканей больной может находиться под динамическим наблюдением пульмонолога на протяжении нескольких месяцев. Вопрос о дальнейшей тактике лечения решается в зависимости от наличия или отсутствия увеличения размера тени на рентгенограмме.
Лечение гамартомы легкого только оперативное, заключается в удалении опухоли через торакоскопический или торакотомический доступ. При периферической локализации гамартомы применяется вылущивание (энуклеация) опухоли, при необходимости - сегментарная и краевая резекция легкого. Удаление легочной доли (лобэктомию) выполняют в случае длительного сдавления сосудов, бронхов, паренхимы легкого и осложненного течения гамартомы.
Эндобронхиальную гамартому удаляют путем бронхотомии с иссечением узла, а также резекции бронха вместе с патологическим образованием и последующим ушиванием или пластикой дефекта. Для исключения периферического или эндобронхиального рака легкого показано срочное интраоперационное гистологическое исследование удаленной опухоли.
Прогноз
При своевременном хирургическом лечении гамартомы легкого прогноз благоприятный, риск рецидивов - низок. При небольшом объеме торакальной операции трудоспособность полностью восстанавливается. Случаи малигнизации гамартохондромы чрезвычайно редки, однако описаны случаи трансформации опухоли в хондросаркому, липосаркому, фибросаркому, аденокарциному, эпидермоидный рак.
1. Гамартома легких: предмет исследования и опыт наблюдения/ Васильев Н.В., Самцов Е.Н., Байдала П.Г.// Сибирский онкологический журнал. - 2008 - №3 (27).
2. Периферические образования легких. Дифференцированная диагностика и хирургическое лечение: Автореферат диссертации/ Аблицов Ю. А. - 2004.
3. Доброкачественные опухоли лёгких: клинико-рентгенологическое исследовние/ Розенштраух Л.С., Рождественская А. И. —1968.
Гипоталамическая гамартома

Классификация, клиническая картина, диагностика и лечение гипоталамической гамартомы.
Гипоталамическая гамартома (ГГ) - редкий порок развития центральной нервной системы, Распространенность составляет 1 случай на 100 тыс.населения. Гамартома гипоталамусасостоит из нейрональных и глиальных клеток, неправильно распределенных в гипоталамусе.Она располагается на стенке или дне III желудочка или прикрепляется к серому бугру либо к мамиллярным телам.
Гамартомы не связаны с другими аномалиями и не считаются наследственным заболеванием. Однако в 5 % случаев гамартома гипоталамуса выявляются в составе синдрома Паллистера-Холл, который в 1980 г. впервые описали у 6 детей J. G. Hall, P. D. Pallister.
Классификация
J. Régis и соавт. в 2007 г. описали 6 типов гипоталамических гамартом:I тип - ГГ малых размеров с минимальным распространением в III желудочек; II тип - расположенные преимущественно в III желудочке; III тип - в области дна III желудочка; IV тип - распространяющиеся в межножковую цистерну; V тип - соединенные с гипоталамусом тонкой перемычкой; VI тип - гигантские.
Клиническая картина
Распространенность эпилепсии, связанной с ГГ, составляет от 0,5 до 2 случаев на 100 тыс. населения. Эпилептические приступы в среднем начинаются в 10,5-16,0 мес.С анатомическими особенностями ГГ коррелируют 2 клинических фенотипа.
При 1-м фенотипе ГГ соединяется с задними отделами гипоталамуса в области мамиллярных тел и проявляется эпилепсией, причем наиболее часто - геластическими приступами, дебютирующими в младенчестве и устойчивыми к консервативной терапии.
В. Oehl и соавт. выявили, что, помимо геластических приступов, у 51 % пациентов с ГГ могут развиваться простые парциальные приступы, у 26 % - сложные и парциальные, и у 6 % - вторично-генерализованные тонико-клонические. Это может быть объяснено тесной взаимосвязью ГГ с височной долей (через мамиллярные тела) и с лобной долей (через медиальные отделы гипоталамуса). Не более чем у 0,5 % пациентов с ГГ, могут иметь место дакристические приступы, характеризующиеся патологическим стереотипным криком, слезотечением, гримасами, всхлипываниями, печальным выражением лица или субъективным ощущением грусти.
При 2-м клиническом фенотипе ГГ соединяется с передними отделами гипоталамуса в области серого бугра и проявляется ранним половым созреванием: у девочек - в возрасте до 8 лет, у мальчиков - до 9 лет. В 80 % случаев оно начинается в возрасте до 2 лет. У большинства пациентов с геластическими приступами имеются сопутствующие патологии: пороки развития, психические расстройства и нарушения . поведения. у 50 % больных развиваются множественные эпилептические приступы с когнитивными и поведенческими нарушениями.
Диагностика
ГГ I типа растут из мамиллярной области и способны вызывать смещение и деформацию мамиллярных тел. При этом свод смещается кпереди и латерально, наблюдается расширение III желудочка. Исследования показывают, что в 97 % случаев при магнитно-резонансной томографии выявляют интрагипоталамическое распространение ГГ, которая оттесняет кпереди переднюю комиссуру свода и серое вещество гипоталамуса и располагается между сводом мозга, мамиллярными телами и мамиллярно-таламическим трактом. Гамартомы не прогрессируют, но по мере развития головного мозга увеличиваются в размерах .Интенсивность сигнала при стандартной магнитно- резонансной томографии определяется строением ГГ.
Поскольку по структуре она напоминает кору, на Т1-взвешенных изображениях (ВИ) ГГ выглядит изоинтенсивной, на Т2-ВИ - изо- или гиперинтенсивной. Степень повышения интенсивности сигнала на Т2-ВИ напрямую зависит от количества глиальных клеток в ГГ. Увеличение количества глиальных клеток также коррелирует с размером ГГ, что подтверждается при патоморфологическом исследовании. По периферии ГГ, в отличие от глиом, имеется гипоинтенсивный ободок, представляющий собой слой миелиновых волокон и особенно хорошо заметный на стандартных Т2-ВИ в режиме тонких срезов (толщиной ≤3 мм).
Структура ГГ, как правило, однородна (кисты в ГГ выявляют в 2-3 % наблюдений), а контрастное усиление в случае ГГ малоинформативно, так как они не накапливают контрастное вещество. Это сближает ГГ с другими интракраниальными опухолями, прежде всего с глиомой гипоталамуса и хиазмы, и затрудняет дифференциальный диагноз.
Читайте также:
