Синдром Петцля (Potzl) - синонимы, авторы, клиника
Добавил пользователь Morpheus Обновлено: 21.11.2025
(Potzl О., 1919). Характеризуется буквенной слепотой (алексия), неразличением цвета (цветовая агнозия), и сужением полей зрения. Наблюдается при органических поражениях головного мозга с локализацией в язычной извилине доминантного полушария.
Толковый словарь психиатрических терминов . В. М. Блейхер, И. В. Крук . 1995 .
Смотреть что такое "Пётцля синдром" в других словарях:
Пётцля синдром — (Potzl, 1919) - сочетание «буквенной слепоты» (алексии), неразличения цвета (цветовая агнозия) и сужения полей зрения. Описан при повреждении язычной извилины доминантного полушария … Энциклопедический словарь по психологии и педагогике
Пётцля криз — (Potzl О.). Синдром, характеризующийся сочетанием появления светящихся точек в одном глазу и парестезии на противоположной стороне тела. Наблюдается при гипертонической болезни и может свидетельствовать о преходящих нарушениях мозгового… … Толковый словарь психиатрических терминов
Пётцля-Гоффа синдром — (Potzl О., Hoff H., 1937). Агнозия на лица. Больной различает лица собеседников, но при их восприятии теряет чувство знакомости . Лица людей не воспроизводятся по памяти. Наблюдается при органических поражениях головного мозга с локализацией в… … Толковый словарь психиатрических терминов
Криз — (crisis; франц. crise, от греч. krisis внезапная перемена в течении болезни) внезапно возникающее, относительно кратковременное состояние у больного, характеризующееся появлением новых или усилением имеющихся симптомов болезни. Криз… … Медицинская энциклопедия
Синдром Пейтца-Егерса ( Гамартомный полипоз )
Синдром Пейтца-Егерса — это редко встречающийся гамартомный гастроинтестинальный полипоз генетического происхождения. Проявляется абдоминальной болью разной интенсивности и локализации, метеоризмом, запорами, лентигообразной пигментацией, бледностью кожи и слизистых, частыми головокружениями и головной болью. Диагностируется с помощью УЗИ брюшной полости, контрастной рентгенографии органов ЖКТ, ЭГДС, колоноскопии и гистологического анализа биоптатов. Для терапии могут применяться ингибиторы циклооксигеназы-2, производные рапамицина, однако ведущими методами лечения являются лапаротомная или эндоскопическая полипэктомия, клиновидная резекция кишечника.
МКБ-10

Общие сведения
Гамартомный полипоз Пейтца-Егерса — редкое (орфанное) заболевание: ежегодно синдром регистрируется у 1 пациента на 25 000-300 000 населения. Одинаково часто выявляется у мужчин и женщин независимо от этнических или расовых отличий. Описание характерных признаков синдрома было впервые представлено в 1921 году в работах голландского врача Я. Пейтца и позднее дополнено в трудах американского доктора Г. Егерса. Заболевание чаще всего диагностируется в 30-40-летнем возрасте, нередко ассоциируется с опухолями ЖКТ, яичника, молочной железы и шейки матки. Полипы могут развиваться в любом отделе желудочно-кишечного тракта. Около 48% пациентов, страдающих гамартомным полипозом, умирают до 57 лет.

Причины
Синдром Пейтца-Егерса принадлежит к категории врожденных заболеваний, связанных с хромосомными аномалиями. Развитие гамартомного полипоза ЖКТ вызвано делецией, сплайсингом, инсерцией или другим вариантом мутации гена STK11, который расположен на коротком плече 19-й хромосомы в локусе 13.3. Поскольку явные изменения участка 19p13.3 определяются только у 70-80% больных с клиникой синдрома, специалисты в сфере клинической гастроэнтерологии и медицинской генетики допускают существование другого регуляторного гена, локализованного в позиции 19q13.4.
Болезнь Пейтца-Егерса передается по аутосомно-доминантному типу, однако наследственная отягощенность прослеживается у половины пациентов. Допускается, что в остальных случаях критическая мутация происходит в половых клетках родителей под воздействием различных повреждающих факторов (радиации, токсических химических веществ, вирусов, эндогенных свободных радикалов). Отличия в клинической картине синдрома, манифестировавшего у разных больных, по-видимому, связаны с особенностями экспрессии гена.
Патогенез
Механизм развития синдрома Пейтца-Егерса основан на несостоятельности серин-треониновой протеинкиназы 11, синтез которой кодируется мутировавшим геном STK11. За счет снижения функциональной активности энзима ускоряется пролиферация и клеточный рост, нарушаются межклеточные взаимодействия, угнетается апоптоз, что приводит к формированию полипов в желудочно-кишечном тракте. Ситуация усугубляется высоким риском малигнизации при наличии у пациента двух мутировавших аллелей или утрате гетерозиготности вследствие дополнительной соматической мутации.
В отличие от классических аденоматозных полипов, гамартомы у пациентов с болезнью Пейтца-Егерса отличаются нарушением нормального соотношения основных тканевых элементов желудочной или кишечной стенки. Гладкомышечные волокна собственной пластинки эпителиального слоя пролабируют в строму полипозного образования и разветвляются, создавая ложный эффект инвазии эпителия. При этом эпителиоциты имеют нормальную цитологическую структуру, отсутствуют признаки их активной пролиферации. В тонкокишечных полипах, кроме энтероцитов, выявляются бокаловидные клетки и клетки Панета.
Симптомы
Заболевание проявляется с рождения, у ребенка обнаруживают множественные лентиго — пигментные пятна темно-коричневого цвета размером от нескольких миллиметров до 1 см. При болезни Пейтца-Егерса они преимущественно располагаются на губах и слизистой оболочке ротовой полости, второй по частоте локализацией является промежность (на наружных половых органах и вокруг анального отверстия). Изредка пятна выявляют на нижних конечностях. У некоторых пациентов пигментация исчезает самостоятельно после периода полового созревания.
Другой характерный признак синдрома — боли в животе различной локализации и интенсивности. Болевые ощущения могут сочетаться с хроническими запорами и вздутием живота. Об осложненном течении синдрома Пейтца-Егерса свидетельствуют примеси крови в кале, иногда развиваются профузные кровотечения из ЖКТ. Наблюдаются нарушения общего состояния: бледность кожных покровов и слизистых оболочек, частые головные боли и головокружения, непереносимость физических нагрузок.
Осложнения
Вследствие постоянной мацерации поверхности полипов каловыми массами отмечаются хронические кровотечения различной интенсивности. При незначительной кровопотере формируется анемический синдром, о чем свидетельствует одышка, бледность, проявления сидеропении (изменение вкусовых пристрастий, ломкость волос и ногтей). В редких случаях при патологии Пейтца-Егерса возникают обильные кровотечения, представляющие опасность для жизни больного из-за быстрого развития коллаптоидного состояния.
Почти у 50% пациентов наблюдается инвагинация участка кишечника, которая проявляется очень сильными болями, может приводить к ишемии и некрозу кишки. Изменение нормальной структуры тонкого кишечника способствует появлению синдромов мальабсорбции и мальдигестии, сопровождающихся значительной потерей веса. Наиболее опасное осложнение — малигнизация полипов. Распространенность озлокачествления, по разным источникам, составляет от 10% до 24% всех случаев заболевания Пейтца-Егерса.
Диагностика
Постановка диагноза зачастую затруднена, что обусловлено низкой распространенностью синдрома Пейтца-Егерса и неспецифичностью диспепсических симптомов. Заподозрить заболевание можно при обнаружении у пациента выраженной пигментации, которая появляется уже в раннем возрасте, наличии данных о наследственной отягощенности. Диагностический поиск предполагает проведение комплексного обследования пищеварительной системы. Наиболее информативными являются:
- Сонография брюшной полости. Неинвазивное ультразвуковое сканирование применяется для экспресс-диагностики синдрома. УЗИ органов брюшной полости позволяет обнаружить объемные образования в просвете кишечника и патологию других органов ЖКТ. Сонография может быть недостаточно информативной при небольших размерах полипов (до 5 мм).
- Контрастная рентгенография. Выполнение рентгенограмм после перорального введения густой бариевой взвеси необходимо для выявления полиповидных разрастаний. При аномалии Пейтца-Егерса просматриваются дефекты наполнения округлой формы. Прогностически неблагоприятно обнаружение нечетких контуров или локального нарушения перистальтики.
- Эндоскопическое исследование. Для визуализации слизистой оболочки верхних отделов пищеварительной трубки осуществляют ЭГДС, для изучения состояния толстой кишки проводят колоноскопию. Полипы Пейтца-Егерса по внешнему виду напоминают аденомы, могут достигать нескольких сантиметров и иметь ножку. Иногда отмечают гиперемию и эрозии эпителия.
- Гистологический анализ. Цитоморфологическое изучение биоптатов необходимо для дифференцировки с другими новообразованиями. Для заболевания характерно сохранение всех слоев слизистой оболочки, отсутствие клеточной атипии и патологических митозов, разрастание стромы и гладкомышечных волокон. По тканевой структуре полипы являются гамартомами.
В общем анализе крови обнаруживают признаки анемического синдрома - уменьшение количества гемоглобина и числа эритроцитов. В биохимическом анализе крови выявляют снижение уровня общего белка. Всем пациентам выполняют копрограмму, для подтверждения кровотечений из ЖКТ проводят реакцию Грегерсена на скрытую кровь. По показаниям производят цитологический анализ кожных биоптатов из пигментированных участков.
Дифференциальный диагноз при симптомокомплексе Пейтца-Егерса в первую очередь осуществляют с другими формами полипоза (диффузным семейным, ювенильным). Основными диагностическими отличиями являются наличие гиперпигментации отдельных участков кожного покрова и специфическое гистологическое строение полипов. Также нужно дифференцировать заболевание с множественным лентиго. Для обследования пациента с признаками полипозного синдрома привлекаются специалист-гастроэнтеролог, проктолог, дерматолог.
Лечение синдрома Пейтца-Егерса
Этиопатогенетическая терапия не предложена. Из медикаментозных средств применяют нестероидные противовоспалительные препараты группы коксибов, которые ингибируют циклооксигеназу 2-го типа и замедляют развитие полипоза. В качестве потенциально эффективной терапии рассматривается назначение производных рапамицина, продемонстрировавших хорошие результаты при сочетании рака поджелудочной железы с патологией Пейтца-Егерса. Наиболее распространенным способом лечения является удаление образовавшихся полипов:
- При размерах новообразований до 15 мм: рекомендована эндоскопическая полипэктомия. Полипы желудка и двенадцатиперстной кишки удаляются в ходе ЭГДС, для иссечения полипов тонкого кишечника с учетом их локализации проводят интраоперационную или двойную баллонную энтероскопию.
- При полипах размерами больше 15 мм: показано лапаротомное хирургическое вмешательство с интраоперационной эндоскопической полипэктомией. Больным с множественным кишечным полипозом осуществляется классическая или лапароскопическая клиновидная резекция тонкого или толстого кишечника.
Прогноз и профилактика
Исход заболевания зависит от распространенности полипоза и своевременности диагностических мероприятий. При диффузном поражении желудка и всех отделов кишечника прогноз относительно неблагоприятный, часто возникают кровотечения, возможна злокачественная трансформация полипов. Из-за врожденного характера синдрома меры специфической профилактики не разработаны. Для предупреждения осложнений необходимо активное динамическое наблюдение за пациентами с наследственным полипозом Пейтца-Егерса.
1. Синдром Пейтца-Егерса: обзор литературы и описание собственного клинического наблюдения/ Кайбышева В.О., Ивашкин В.Т., Баранская Е.К. и др.// РЖГГК - 2011 - №2.
2. Болезни поджелудочной железы, кишечника, системные заболевания с нарушением функций пищеварительного тракта/ Комаров Ф.И., Гребенев А.Л., Бурков С.Г. и др. - 1996.
3. Наследственные синдромы, ассоциированные с полипами и развитием злокачественных опухолей у детей/ Казубская Т.П., Белев Н.Ф., Козлова В.М. и др.// Онкопедиатрия — 2015 — Т.2, №4.
Синдром Туретта - симптомы и лечение
Что такое синдром Туретта? Причины возникновения, диагностику и методы лечения разберем в статье доктора Диордиева Максима Борисовича, психиатра со стажем в 8 лет.
Над статьей доктора Диордиева Максима Борисовича работали литературный редактор Вера Васина , научный редактор Владимир Вожжов и шеф-редактор Маргарита Тихонова
Определение болезни. Причины заболевания
Синдром Туретта (Tourette's syndrome) — это заболевание нервной системы, при котором возникают множественные двигательные и вокальные тики. Для постановки диагноза они должны присутствовать дольше года.

Впервые заболевание, похожее на синдром Туретта, было описано в 1486 году в книге «Молот ведьм». Там упоминался священник с моторными и вокальными тиками, считавшийся одержимым. В конце XIX века симптомы заболевания на примере нескольких пациентов описал вместе с коллегами французский невролог Жорж Жиль де ла Туретт, в честь которого и назван синдром [1] .
Обычно синдром Туретта проявляется уже в детстве, но часто заболевание выявляют поздно или не диагностируют вовсе, так как родители не обращают на тики должного внимания. Из-за этого маленькие пациенты не получают своевременной помощи и могут страдать не только от самих тиков, но и от психологических проблем, связанных с заболеванием. В Европе от возникновения первых симптомов синдрома Туретта до постановки диагноза проходит в среднем более 5 лет [2] .
Распространённость синдрома Туретта
Синдром Туретта очень распространён — он встречается примерно у 10 из 1000 детей. В России его диагностируют у 8 человек на 10 000 населения, им могут страдать до 5 % школьников [3] . Мужчины болеют чаще, чем женщины: соотношение между ними составляет примерно 3 к 1.
Причины синдрома Туретта
Синдром Туретта — это генетическое расстройство, которое передаётся от родителей. Однако точный механизм наследования и ген, ответственный за болезнь, не известны. Риск передачи заболевания ребёнку составляет около 50 %. В прошлом, в начале XX века, тики считались следствием психотравм, но современная медицина это отвергает, так как такое предположение не удалось доказать [4] . Психосоциальные факторы и аутоиммунные заболевания не являются причиной синдрома Туретта, но могут влиять на тяжесть течения болезни.
Существует теория, что недостаток магния в организме и связанные с ним нарушения обмена веществ могут влиять на развитие синдрома Туретта. Косвенным доказательством этого служит то, что препараты с некоторыми соединениями магния могут улучшать состояние больных. Однако большие исследования на эту тему не проводились [5] .
При обнаружении схожих симптомов проконсультируйтесь у врача. Не занимайтесь самолечением - это опасно для вашего здоровья!
Симптомы синдрома Туретта
Синдром Туретта проявляется тиками — быстрыми, внезапными, повторяющимися навязчивыми движениями или произнесением звуков. Чаще всего они возникают у мальчиков в возрасте от 4 до 11 лет. Тяжесть тиков доходит до пика примерно в 10-12 лет и ослабляется в подростковом возрасте. Большинство тиков исчезают спонтанно, но примерно у 1 % детей они сохраняются во взрослой жизни [7] .
Выделяют две основные группы тиков:
- Моторные тики — это непроизвольные движения частей тела. Самый распространённый из них — усиленное моргание. Также могут возникать подпрыгивания, постукивания по себе, развороты и повороты тела, гримасы, плевки, нецензурная жестикуляция и повторения чужих движений (копропраксия и эхопраксия).
- Вокальные, или звуковые, тики — это навязчивое произношение звуков, реже слов. Может проявляться кашлем, покашливанием, кряхтением. Иногда таких детей ошибочно лечат от бронхитов, трахеитов и бронхиальной астмы. Синдром Туретта часто ассоциируется с копролалией — внезапным высказыванием нецензурных фраз или слов, которое зачастую сопровождается копропраксией. Однако копролалия возникает только у 10 % пациентов [6] . Помимо копролалии, они могут повторять чужие слова, собственное слово или фразу (эхолалия и палилалия).
При синдроме Туретта моторные тики обязательно сочетаются с вокальными. Если присутствуют моторные тики, но нет вокальных, то стоит заподозрить другие заболевания: органическое поражение головного мозга, эпилепсию, синдром дефицита внимания (СДВГ), обсессивно-компульсивное расстройство (ОКР).
У многих детей и подростков с синдромом Туретта также отмечается СДВГ, ОКР, повышенная агрессивность, тревожность и склонность к депрессиям.
При синдроме Туретта интеллектуальные способности не нарушаются. Дети с этим заболеванием могут сильно расстраиваться от подшучиваний своих сверстников. При эмоциональном напряжении, вызванном пристальным вниманием или насмешками окружающих, тики могут усиливаться.
Форма тиков при синдроме Туретта может меняться в течение суток или недели, например от лёгких единичных моторных тиков утром или в начале недели до сложных и множественных по вечерам или под конец учебной недели. Видимо, их выраженность зависит в том числе от психоэмоциональных нагрузок.
Иногда дети пытаются сдерживать тики, но такой контроль возможен лишь в некоторой степени. Когда ребёнок старается подавить тики, симптомы могут усилиться. Попытка сдержать тик вызывает выраженный дискомфорт, из-за чего возрастает тревога — тикозные движения, наоборот, немного успокаивают. Из-за стресса, тревожных состояний и усталости тики могут учащаться и усиливаться.
Патогенез синдрома Туретта
Патогенез синдрома Туретта до конца не изучен. Известно лишь, что расстройство вызвано генетическими причинами. Скорее всего, при определённых генетических факторах нарушается работа нейромедиаторных систем в подкорковых образованиях и лобной коре.
Помимо генетических факторов, в патогенезе может участвовать и органическое повреждение головного мозга, например при патологии беременности и родов, черепно-мозговых травмах или нейроинфекциях.
Основная роль в патогенезе заболевания, вероятно, принадлежит дисфункции лобных долей. Считается, что большую роль в развитии синдрома Туретта играет правая лобно-височная область, сенсомоторные отделы орбитофронтальной коры, моторная область, базальные ганглии и поясная извилина. Также важное значение имеют нарушения в кортико-стрио-таламо-кортикальном контуре — нейронных цепях, связывающих кору, базальные ганглии и таламус.

Нарушения в работе этих структур также характерны для детей с ОКР и СДВГ — эти заболевания часто сопутствуют синдрому Туретта. Даже известны генетически связанные с синдромом Туретта формы ОКР (преимущественно ОКР с навязчивыми действиями — F42.1).
Предположительно, при синдроме Туретта нарушается работа дофаминергической системы. Изменения, вероятно, затрагивают серотонин-, норадреналин-, глутамат-, холин-, ГАМКергическую и опиоидную системы. Косвенно на связь синдрома Туретта с дофамином указывает то, что тики уменьшаются при лечении препаратами, которые воздействуют на передачу нервного импульса, вызванную дофамином ( например, путём блокады постсинаптических D2-рецепторов) [2] .
Классификация и стадии развития синдрома Туретта
Синдром Туретта — это разновидность хронических тиковых (или тикозных) нарушений. В Международной классификации болезней (МКБ-10) заболевание кодируется как F95.2 Комбинированные голосовые и множественные двигательные тики.
В следующей Международной классификации болезней (МКБ-11) тики и синдром Туретта из психических расстройств перенесены в неврологические [1] .
Согласно классификации Американской психиатрической ассоциации (DSM-IV), тики подразделяются на следующие группы:
- по виду — двигательные или голосовые;
- по продолжительности — преходящие или хронические.
Преходящее тиковое расстройство — это множественные двигательные, голосовые или тики обоих видов, которые длятся от 1 до 12 месяцев. Хронические тиковые расстройства присутствуют больше года. Они могут быть одиночными или множественными, двигательными или голосовыми, но не оба вида сразу. Синдром Туретта относится к хроническому тиковому расстройству. Для постановки диагноза необходимо, чтобы множественные двигательные тики и хотя бы один голосовой тик наблюдались более года.
Стадии синдрома Туретта не выделяют. Но обычно расстройство начинается с преходящих двигательных тиков, как правило подёргивания лица, которые длятся до года. Часто это гримасничание, затем покашливание и шипение. Постепенно тики распространяются на руки, ноги и мышцы шеи. Затем, обычно через год, присоединяются вокальные тики, которые осложняют картину болезни.
Осложнения синдрома Туретта
Синдром Туретта может сопровождаться депрессией, тревожным расстройством, ОКР и СДВГ, что осложняет прогноз. Депрессия возникает из-за того, что детей с этим синдромом часто обижают и унижают. В результате у них формируется чувство одиночества и может развиться аутоагрессия, вплоть до попытки суицида. Поэтому важно не оставлять ребёнка один на один с этим расстройством: ему особенно необходима поддержка родителей и друзей.
При симптоме копролалии дети выкрикивают нецензурную брань, из-за чего могут подвергаться агрессии со стороны окружающих. Поэтому для таких пациентов очень важно организовать правильную социальную среду [7] .
Диагностика синдрома Туретта
Синдром Туретта диагностирует врач-психиатр или невролог, основываясь на наблюдении и сборе сведений об истории болезни, условиях жизни и перенесённых заболеваниях. Сейчас разрабатываются генетические карты, которые позволят с самого рождения определять совокупность генов, характерных для синдрома Туретта, но пока этот метод недоступен.
Чтобы установить диагноз «синдром Туретта», состояние должно соответствовать следующим критериям:
- присутствуют множественные двигательные тики и как минимум один голосовой тик;
- тики возникают много раз в день, почти ежедневно;
- расстройство длится более года, но необязательно непрерывно, ремиссии продолжаются меньше двух месяцев;
- симптомы появились в возрасте до 18 лет [8] .
Очень важно отличать тики при синдроме Туретта от вторичных тиков, которые появились на фоне инфекций или черепно-мозговых травм при беременности, родах или в раннем детстве. Их различают только на основе анамнеза и физикального обследования. Другие методы, например магнитно-резонансная томография и анализы крови, для диагностики синдрома Туретта не используются.
Лечение синдрома Туретта
Перед врачом всегда стоит выбор — назначать ли препараты при синдроме Туретта. При этом важно ориентироваться на состояние пациента, так как более чем в половине случаев симптомы исчезают без приёма медикаментов.
Психологическая помощь
Если тики не мешают человеку общаться, учиться и работать, то, скорее всего, принимать препараты не нужно. В такой ситуации будет полезно психологическое консультирование ребёнка и родителей. Важно рассказать родителям, что от ребёнка ни в коем случае нельзя требовать, чтобы он перестал кашлять и гримасничать, — это только усилит эмоциональное напряжение и, соответственно, тики.
В зарубежных странах, особенно в США, хорошо зарекомендовал себя метод под названием «Habit reversal training», т. е. тренировка отмены привычки [10] . Пациента учат отслеживать ощущение, предшествующее тикам, и пытаться заменить их на более приемлемые действия. Метод не избавляет от тиков, но заметно уменьшает их проявления.
Также для коррекции поведения используется когнитивно-поведенческая психотерапия [12] .
Медикаментозное лечение
Для лечения синдрома Туретта могут применяться антипсихотики (нейролептики) в невысоких дозировках, которые воздействуют на дофаминэргическую активность. Наиболее эффективны Арипипразол, Рисперидон и Галоперидол. Из них лучше всего переносится Арипипразол. Однако в российских инструкциях по лечению синдрома Туретта это лекарство не упоминается, хотя в США оно одобрено Управлением по санитарному надзору за качеством пищевых продуктов и медикаментов (FDA) и активно используется в терапии. В России назначают Галоперидол и Рисперидон, а также ряд ноотропов (чаще всего гопантеновую и аминофенилмасляную кислоту) без достаточной доказательной базы.
Есть данные об эффективности Клонидина, но этот препарат опасен при передозировке. Среди возможных побочных эффектов — коллаптоидные состояния, т. е. резкое падение артериального давления, которое может привести к развитию обморока.
Существуют не подтверждённые данные об эффективности инъекции ботулотоксина в мышцы лица.
При возникновении сопутствующих заболеваний, таких как тревожно-депрессивное расстройство и ОКР, применяются селективные ингибиторы обратного захвата серотонина: Сертралин, Пароксетин, Эсциталопрам. При выраженной агрессии, направленной на себя или окружающих, назначаются нормотимики (препараты лития и другие) [12] .
Транскраниальная магнитная стимуляция
В настоящее время изучается влияние транскраниальной магнитной стимуляции на синдром Туретта как у детей, так и у взрослых, но пока недостаточно данных об эффективности этого метода [11] .
Нейрохирургическое лечение
При тяжёлом течении заболевания и выраженной устойчивости к медикаментам может применяться нейрохирургический подход — глубокая стимуляция подкорковых структур головного мозга (бледного шара и таламуса). Её используют для взрослых пациентов.
Прогноз. Профилактика
Прогноз благоприятнее и заболевание чаще заканчивается ремиссией или выздоровлением, если тики появились в возрасте до 7 лет.
Синдром Туретта часто вызывает у людей страх и ассоциации, что эта особенность мешает нормально общаться с другими. Но если грамотно подойти к терапии и исключить провоцирующие факторы, расстройство может протекать вполне благоприятно. Примером служит певица Билли Айлиш. Из-за тяжести заболевания она не ходила в школу и обучалась дома. Это не помешало певице в 2019 году записать сингл, завоевавший первые места в мировых хит-парадах, а в 2021 году войти в список 100 наиболее влиятельных людей года по версии журнала Time. Также синдромом Туретта, предположительно, страдал Вольфганг Моцарт [13] .
Синдром Туретта — это генетическое заболевание, поэтому предупредить его развитие нельзя. Однако если своевременно обратиться к врачу, можно снизить тяжесть болезни и предотвратить развитие депрессии, аутоагрессии и обсессивно-компульсивного расстройства.
При сильных тиках, не поддающихся лечению и мешающих общаться, учиться или работать, пациент может пройти медико-социальную экспертизу: специалисты оценят тяжесть состояния и, при необходимости, определят группу инвалидности.
Что такое эписиндром и в чем особенности его причин и лечения

Эпилепсия как заболевание возникает в раннем детстве или на фоне пубертатного возраста. В современной медицинской практике нет достоверных данных о причинах появления эписиндрома.
Вследствие эпилепсии могут возникнуть не только психоэмоциональные, но и когнитивные нарушения. А в случае сильных судорожных приступов можно даже умереть. Поэтому нужно знать, как действовать во время обострения заболевания, а также его клинические проявления, чтобы вовремя помочь и облегчить страдания больного.
Из истории и статистики
В древние времена к эпилепсии относились весьма настороженно, считая ее психическим заболеванием. Таких людей избегали и всячески унижали, полагая, что эта болезнь «от дьявола».
Многие страны с низким уровнем развития цивилизации не изменили своего отношения к этому заболеванию до сих пор, хотя достижения современной медицины опровергли безосновательность такого стереотипного мышления.
Новые терапевтические подходы к лечению кардинально изменили общественные взгляды в развитых странах и способствовали положительной социальной адаптации, облегчению соматических страданий больных эпилепсией.
По мнению врачей, эпилепсия-это хроническое расстройство мозговой деятельности со специфическими клиническими изменениями в виде припадочных состояний. По статистическим данным ВОЗ в мире около 50 миллионов людей страдают эти заболеванием.
Приблизительно их число составляет от 4 до 9 случаев на 1000 людей. Более половины больных проживает в странах с низким уровнем жизни. Эпилепсию невозможно диагностировать при одном судорожном припадке. Как правило, они происходят чаще с определенным разрывом во времени.
Судорожные припадочные состояния проявляются непроизвольно и кратковременно в виде непроизвольных судорог любой части тела, или всего тела.
Часто такие судорожные состояния сопровождаются потерей сознания, рвотой, конвульсиями конечностей. Припадочные состояния могут происходить в любое время суток. В зависимости от клинического течения заболевания (основное или сопутствующее) их количество колеблется от одного в год-до нескольких приступообразных припадков в день.
Количество эпилептиков в последнее десятилетие значительно возросло, поэтому исследования в этой области продолжаются. Особенно, в странах с низким уровнем жизни (от 7-14 на 1000 человек).
Ежегодно в мире эпилепсию диагностируют у 2,3 миллиона человек. Вспышки заболевания характерны для стран с высоким риском эндогенно-органических заболеваний, низким уровнем медицинского обслуживания(родовые травмы, отсутствует экстренная помощь в дорожно-транспортных происшествиях, финансовые трудности в получении качественной медицинской помощи). В 65% случаях эпилепсия поддается медикаментозному лечению.
Этиология заболевания
Причины эпилептических припадочных состояний до конца не изучены. Многие исследования доказывают наследственный характер заболевания.

Кроме наследственного фактора, в качестве причин ученые рассматривают условия внутриутробного развития плода и раннее постнатальное травмирование мозга ребенка при родах или инфицирование в натальном периоде стафилококковой, или стрептококковой инфекцией. В 25% случаев патогенез заболевания выяснить не удалось. В целом, исследователям удалось составить классификацию основных причин эпилепсии.
- травмирование мозга при родах или в перинатальном периоде;
- врожденные генетические отклонения в развитии;
- травмирование головы;
- кровоизлияния в мозг;
- менингококковая, энцефалитная, стрептококковая инфекции;
- генетические синдромы;
- опухолевые процессы;
- эклампсия;
- алкогольная абсистенция.
Основные формы заболевания
В медицине классифицировали виды эпилепсии, исходя из вероятной этиологии и локализации очага поражения головного мозга. Различают следующие виды заболевания:
- Фокальная форма. Определяется в случае локального проявления. Бывает симптоматическая (лобная, теменная, височная, затылочная), идиопатическая (вследствие органического поражения головного мозга, криптогенная (без определенной этиологии).
- Генерализированная форма. Судорожные состояния, в которых задействованы оба полушария головного мозга.
Симптоматические проявления
Основным эписимптомом являются судороги с потерей сознания. Характерные особенности дополнительных симптомов свидетельствуют об определенной области поражения головного мозга.
Условно различают простые и сложные судорожные состояния. При простых наблюдается кратковременные судороги головы и конечностей без потери сознания. В сложных судорожных припадках сознание полностью отключено.
Фокальная форма эпилепсии сопровождается следующей симптоматикой:
- При поражении лобных долей: задействована одна половина тела: руки, ноги, лицо,которые конвульсивно напрягаются. Появляется обильное слюноотделение и непроизвольное выкрикивание. Глаза и голова конвульсивно отводятся в сторону.
- При височном очаге поражения наблюдаются слуховые галлюцинации, повышение температуры, усиленное сердцебиение, потоотделение, рези в животе и тошнота. Возможно нарушение остроты зрения, слуха и речи. Для больных женщин этот приступ может повторяться в предменструальном периоде. Для височной эпилепсии характерен лунатизм.
- Признаками теменной эпилепсии является онемение отдельных участков тела, головокружение, потеря пространственной ориентации, нарушение сознания.
- В случае затылочного эписиндрома на коже вокруг глаз появляются цветные круговые пятна, частое подергивание век и частичная потеря зрения.

Кратковременные фокальные приступы могут переходить в сложную (генерализованную) форму. Симптоматически это выглядит как полная потеря сознания, замирание пострадавшего с отрытыми глазами и «окаменелым «лицом.
Далее у больного повышается артериальное давление, наблюдаются пенистые выделения изо рта, непроизвольное мочеиспускание и дефекация. Такое состояние может сопровождаться от несколько секунд до минуты и проходит самостоятельно. После приступа больной приходит в сознание, но то, что с ним произошло, не помнит.
Диагностика эписиндрома
Для начала врач собирает анамнез заболевания: тип припадка, условия появления судорог, причина такого состояния, ощущения больного.

Далее проводят неврологический осмотр. В качестве дополнительного исследования назначают электроэнцефалографию лобных долей. Как метод, совершенно безвредный, но информативный, так как определяет очаг поражения и эпилептическую активность в коре головного мозга.
Диагностику проводят в течение 20 минут и используют при этом разные раздражители (звуковые, зрительные), изменяют ритм дыхания. Это определяет установить возможную патологическую электрическую активность. Диагностику проводят в условиях стационара. Для сравнения показателей мозговой активности, ее проводят во время сна и в течение дня.
Для исключения злокачественной этиологии проводят компьютерную томографию и магнито-резонансную томографию. Последняя поможет определить нарушения кровообращения и другие структурные изменения в коре головного мозга.
Комплекс терапевтических мероприятий

Лечение эпилепсии начинают после повторения приступов. В качестве лекарственных препаратов чаще других назначают Вальпроат и Карбамазепин.
После курса лечения (приблизительно через месяц) назначают Леветирацетам и Топирамат. Еще через месяц оценивают общее состояние больного и характер повторения приступов. Если судорожные состояния не прекратились, один из препаратов заменяют и продолжают лечение.
К сожалению, только таким экспериментальным методом можно подобрать оптимальное лечение, которое может длиться до 3 лет. Одновременно можно принимать два противоконвульсивных препарата. Они считаются не совсем безвредными и оказывают побочные действия на организм.
Больные с эпилептическим симптомом должны обследоваться один раз в месяц у профильного специалиста и один раз в полугодие контролировать общее состояние здоровья у смежных специалистов. При положительной динамике выздоровления врач может назначить меньшую дозу или отменить лечение. Если на этом фоне эписимптом активизируется, то лечение продолжают.
Возможные соматические осложнения
Больные с эпистатусом состоят в «группе риска» и могут иметь сопутствующие соматические нарушения:
- Пневмонию. Во время приступов в дыхательные пути могут попасть мелкие частички еды. Они могут провоцировать воспалительный процесс.
- Отечность легких. Судороги повышают артериальное давление, развивается кислородное голодание. На этом фоне развивается отек легкого.
- Разные травмирования. Во время приступа больной может повредить мышцы, сломать конечности или повредить позвоночник.
- Токсические нарушения. Появляются боли в животе, запоры.
- Аллергические реакции в виде головокружения, головных болей, повышение температуры, утомляемости, крапивницы и раздражительности.
- Нарушения психоэмоционального характера: депрессии, психопатии, неврастении.
Профилактические меры
Исходя из этиологии эписиндрома, можно снизить риск заболеть симптоматической (приобретенной) формой болезни. В качестве профилактических мер врачи рекомендуют:
- избегать чрезмерного употребления алкогольных напитков;
- ограничить потребление кофе и жирной пищи;
- обеспечить комплекс медицинских процедур по уходу за новорожденными в перинатальный период;
- больным с эписиндромом во избежание повторения приступов категорически запрещается работа на высоте, на воде, контакт с промышленными ядами, профессиональная деятельность,требующая повышенной концентрации внимания и монотонных действий.
В целом, причиной эпилептических припадков могут быть врожденный и приобретенные факторы. Лечение заболевания симптоматическое.
Эффективность выздоровления зависит от постоянного наблюдения, применения лекарственных препаратов и профилактических мер. При хроническом состоянии лекарства принимают пожизненно.
Синдром Маршалла (PFAPA синдром)
Что такое синдром Маршалла, клиническая картина, симптомы, лечение.

3.90 (Проголосовало: 20)
- Что это такое?
- Клиническая картина
- Диагностика
- Важными диагностическими критериями являются:
- Может ли ребенок посещать детский сад или школу?
- Можно ли водить ребенка в спортивную секцию?
- Можно ли ребенку делать прививки?
Что это такое?
Синдром Маршалла - синдром периодической лихорадки, афтозного стоматита, фарингита и шейного лимфаденита.
Заболевание проявляется в детском возрасте, чаще у мальчиков.
Характеризуется периодическими эпизодами лихорадки (38 - 41ºC) с регулярными интервалами от 2 до 8 недель и клиническими проявлениями афтозного стоматита, фарингита, шейного лимфаденита. Между эпизодами клинические проявления отсутствуют.
На сегодняшний день причина заболевания не известна, возможно, имеет генетический характер. Распространённость также не известна.
Клиническая картина
Периодическая лихорадка - главный признак, по которому можно заподозрить синдром Маршалла. На фоне полного здоровья у ребенка повышается температура до 38 - 41 ºC. И держится от 2 до 7 дней, иногда до 10 дней и исчезает самостоятельно. Как правило, ребенку назначают антибиотики и жаропонижающие препараты, на фоне которых нет эффекта.
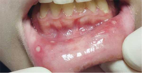
Афтозный стоматит - язвы располагаются на слизистой оболочки губ и щёк. Этот признак проявляется примерно у 40-80% пациентов.
![]()
Фарингит с экссудативным компонентом на миндалинах встречается у 65-100% пациентов.
Шейная лимфаденопатия (увеличение лимфоузлов) встречается 60-100% пациентов. Шейные лимфоузлы могут быть уплотнены, болезненны при пальпации.
К сожалению, на данный момент специфической диагностики нет. Диагноз ставится на основании жалоб и эпизодов лихорадки.
В общем анализе крови могут быть незначительные изменения - увеличение СОЭ, нейтропения (уменьшение количества нейтрофилов). Посевы на микрофлору из горла часто не дают никаких результатов при данном заболевании.
PFAPA синдром - это диагноз исключения. В первую очередь исключаются другие причины рецидивирующей лихорадки: инфекция, воспалительные заболевания кишечника, лихорадка при лимфоме Ходжкина, циклическая нейтропения и другие.
Важными диагностическими критериями являются:
- Более 3 эпизодов лихорадки продолжительностью до 5 дней и возникающих регулярно на фоне полного здоровья;
- Фарингит и лимфаденопатия или афтозные язвы;
- Хорошее здоровье между эпизодами и нормальный рост;
- Разрешение симптомов в течение нескольких часов после лечения преднизолоном в виде однократной дозы или двух доз с интервалом от 12 до 48 часов.
Лечение синдрома Маршалла
Для лечения в период обострения используют глюкокортикостероиды (преднизолон) с интервалом введения. Но фоне приема которых симптомы заболевания проходят после 1-2 инъекции.
Назначение жаропонижающих препаратов иногда приводит к снижению температуры.
Хирургическое лечение - тонзиллэктомия (удаление миндалин), назначается пациентам, которые не реагируют на терапию гормональными препаратами или у которых заболевание вызывает серьёзное ухудшение качества жизни. После тонзиллэктомии симптомы заболевания купируются, в том числе и лихорадка, кроме афтозного стоматита.
Прогноз благоприятный. С возрастом клиническая картина улучшается, периоды ремиссии становятся длиннее, а симптомы менее выраженными. У большинства пациентов проявления заболевания прекращаются к 10 годам.
Наиболее частые вопросы от родителей
Может ли ребенок посещать детский сад или школу?
- Да, может и должен, но не в момент обострения.
Можно ли водить ребенка в спортивную секцию?
- Единственное противопоказание - это период обострения.
Можно ли ребенку делать прививки?
- Да, ребенка можно и нужно вакцинировать. Врач-педиатр должен быть проинформирован о вашем заболевании. Доктор также может составить индивидуальный план прививок. Особое внимание нужно уделить, когда ребенку вводится живая или ослабленная вакцина.
Своевременное обращение к врачу поможет сохранить Ваше здоровье.
Не откладывайте лечение, звоните прямо сейчас. Мы работаем круглосуточно в Москве.Читайте также:

