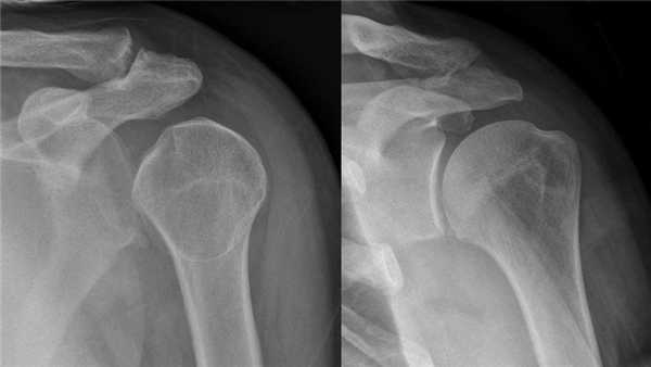
Признаки нижнего вывиха плеча (luxatio erecta)
Добавил пользователь Владимир З. Обновлено: 22.11.2025
Привычный вывих - исход первичного травматического вывиха, при котором суставные поверхности пострадавшего сустава повторно смещаются друг относительно друга. В отличие от первичного вывиха, который является результатом значительного травматического воздействия, привычный вывих происходит при минимальной травме или обычных повседневных действиях (поднятии тяжелых предметов, резких движениях, мытье, причесывании и т. д.). Наиболее часто наблюдается привычный вывих плеча и привычный вывих надколенника. Диагноз основывается на анамнестических данных, результатах осмотра, рентгенографии, МРТ и УЗИ поврежденного сустава. Лечение оперативное: укрепление капсулы, костная пластика, пластика мышц и сухожилий, применение трансплантатов.
МКБ-10


Общие сведения
Привычный вывих - исход первичного травматического вывиха, при котором суставные поверхности пострадавшего сустава повторно смещаются друг относительно друга. В отличие от первичного вывиха, который является результатом значительного травматического воздействия, привычный вывих происходит при минимальной травме или обычных повседневных действиях (поднятии тяжелых предметов, резких движениях, мытье, причесывании и т. д.). Чаще всего развивается привычный вывих плеча. Привычные вывихи других локализаций (привычный вывих надколенника, локтевого сустава, нижней челюсти и т. д.) возникают намного реже. Молодые люди страдают этой патологией чаще пациентов пожилого возраста.
Причины
Привычный вывих может развиться вследствие:
- тяжелого первичного травматического вывиха, сопровождающегося значительным повреждением капсулы сустава, окружающих сустав сухожилий, связок и мышц;
- дефекта суставной поверхности, возникшего во время первичного вывиха (например, при сдавлении головки плечевой кости краем суставной впадины);
- позднего обращения за медицинской помощью;
- отсутствия иммобилизации, недостаточной иммобилизации или ее преждевременного прекращения;
- чрезмерных физических нагрузок в периоде восстановления после травмы.
Привычный вывих плеча
Возникает у 16% пациентов, в прошлом перенесших травматический вывих плеча. Риск возникновения привычного вывиха плечевого сустава увеличивается при:
- крупной шаровидной головке плечевой кости;
- растянутой капсуле сустава;
- небольшой плоской суставной впадине лопатки;
- параличах, парезах и слабости вращательной манжеты плеча (мышц, фиксирующих плечевой сустав) другой этиологии.
Симптомы
Как правило, заболевание развивается в течение полугода с момента вправления травматического вывиха. Частота повторения привычных вывихов плеча может значительно различаться. У одних пациентов привычный вывих плечевого сустава возникает 1-2 раза в год, у других - несколько раз в день. С каждым рецидивом патологические изменения в суставе становятся все более выраженными, и временные интервалы между вывихами постепенно сокращаются. В отличие от первичного травматического вывиха, привычный вывих плеча не сопровождается выраженным болевым синдромом. Болевые ощущения обычно слабые или отсутствуют. Пациенты вправляют вывих самостоятельно, редко обращаются к травматологу.
В ряде случаев у больных возникает неполный привычный вывих плеча, сопровождающийся ощущением неустойчивости сустава. Раньше эта патология называлась подвывихом сустава. В настоящее время данное состояние носит название «нестабильность сустава» и рассматривается, как разновидность привычного вывиха плеча. Со временем движения в суставе становятся ограниченными, развивается деформирующий остаоартроз. Пациенты жалуются на хруст во время движений и ноющие боли в области сустава, усиливающиеся при физической нагрузке. Окружающие сустав мышцы постепенно атрофируются, появляется слабость в конечности.
Диагноз
Диагноз привычного вывиха плеча устанавливают на основании характерной истории болезни и данных внешнего осмотра. Изменения при рентгенографии после вправления вывиха могут не определяться. В ряде случаев выявляются признаки деформирующего артроза. В некоторых случаях для уточнения происходящих в суставе изменений проводят УЗИ плечевого сустава.
Лечение
Лечение привычных вывихов только оперативное. При привычном вывихе плеча показанием к оперативному лечению является 2 и более рецидивов вывиха в течение года. Существует множество методик хирургического лечение привычного вывиха плечевого сустава. Выбор оперативной методики определяется особенностями строения и характером патологических изменений в суставе, уровнем травматизации и другими факторами. Все операции при привычном вывихе плеча, которые проводятся в травматологии, можно разделить на:
- костно-пластические операции;
- оперативные вмешательства для укрепления капсулы сустава;
- пластические операции на сухожилиях и мышцах;
- оперативные вмешательства с использованием трансплантатов;
- комбинированные методики (например, сочетание пластики сухожилий с укреплением капсулы и т.д.).
В послеоперационном периоде руку пациента фиксируют специальной повязкой. Срок иммобилизации зависит от вида хирургического вмешательства и может колебаться от 1 недели до 1 месяца. Больному назначают ЛФК для укрепления мышц плечевого пояса. Продолжительность реабилитационного периода - 2-4 месяца. Полную нагрузку на сустав разрешают через полгода после операции.
Привычный вывих надколенника

Третья по частоте обращений за специализированной помощью патология коленного сустава. Возникает после травматического вывиха надколенника. Вероятность развития привычного вывиха надколенника увеличивается при повышенной эластичности связок коленного сустава, высоко расположенном надколеннике, несращении поддерживающей связки надколенника, поврежденной при травматическом вывихе.
Привычный вывих надколенника сопровождается слабыми болевыми ощущениями или протекает безболезненно и часто вправляется самостоятельно. При каждом рецидиве вывиха коленная чашечка и наружный мыщелок бедра ударяются друг о друга. При этом их суставные поверхности повреждаются. Патологические изменения в суставе усугубляются наличием «суставных мышей» (осколков хряща, отколовшихся в момент первичного вывиха и свободно плавающих в суставе), которые диагностируются на УЗИ или МРТ коленного сустава. Для более полной диагностики изменений в суставе проводится артроскопия коленного сустава.
Операцией выбора при привычном вывихе надколенника в настоящее время является артроскопическое вмешательство для удаления суставных мышей и восстановления поддерживающей связки надколенника.
Вывих плеча
Вывих плеча - это полное смещение головки плечевой кости относительно суставной впадины лопатки. Может произойти совместно с переломом шейки или головки плечевой кости, переломом суставной впадины и др. повреждениями. Характеризуется болью, отеком, деформацией и отсутствием движений в плечевом суставе. Уточнение диагноза вывиха плеча проводят с использованием рентгенографии, в отдельных случаях дополнительно назначают КТ или МРТ. Лечение вывиха плеча включает его закрытое или открытое вправление, ношение повязки Дезо, реабилитацию при помощи ЛФК и массажа.

Вывих плеча - распространенная травма. Вывихи плеча составляют более 50% от общего числа вывихов и 3% от всех травматических повреждений. Такая высокая частота патологии обусловлена особенностями анатомического строения и большим объемом движений в плечевом суставе. Плечевой сустав образован плоско-вогнутой суставной поверхностью лопатки, в которую на четверть входит шаровидная головка плечевой кости. Головка удерживается на месте за счет так называемой вращательной манжеты плеча - связок, мышц и капсулы сустава.

Как правило, травматический вывих плеча возникает в результате непрямой травмы - падения на отведенную или поднятую руку. Капсула плечевого сустава разрывается, головка плеча смещается в направлении разрыва. В отдельных случаях причиной переднего вывиха плеча становится прямой удар сзади, а причиной заднего вывиха - прямой удар спереди в область плечевого сустава.
Классификация
В зависимости от этиологии в травматологии и ортопедии выделяют первичные (травматические), произвольные, врожденные, привычные и патологические вывихи плеча.
- Привычный вывих плеча развивается в результате недостаточного восстановления вращательной манжеты плеча после травматического вывиха.
- Патологический вывих может возникнуть вследствие поражения тканей плечевого сустава при опухолях, остеомиелите, туберкулезе, остеохондропатии, остеодистрофии и т. д.
Вывих плеча может сочетаться с переломом головки, анатомической или хирургической шейки плеча, отрывом малого или большого бугорка плечевой кости, переломом суставной впадины, акромиального или клювовидного отростков лопатки, повреждением расположенных рядом сухожилий, сосудов и нервов. При сочетании вывиха с другой травмой говорят об осложненном вывихе плеча. В зависимости от направления смещения головки плечевой кости выделяют передние, задние и нижние вывихи плеча. Чаще всего (3/4 случаев) встречается передний вывих плеча. Второе место по частоте занимает нижний вывих плеча (около 20%).
Симптомы вывиха плеча

Травматические вывихи плечевой кости сопровождаются резкой болезненностью в месте повреждения, деформацией области плечевого сустава (сустав становится угловатым, впалым, вогнутым). Движения в суставе невозможны. При попытке пассивных движений определяется характерное пружинящее сопротивление.
При переднем вывихе плеча головка смещается вперед и вниз. Рука находится в вынужденном положении (отведена в сторону или согнута, отведена и развернута кнаружи). При пальпации головка плечевой кости не обнаруживается на обычном месте, может прощупываться в передних отделах подмышечной впадины (при передненижних вывихах) или ниже клювовидного отростка лопатки. Передние и передненижние вывихи плеча иногда сопровождаются отрывом большого бугорка плечевой кости, переломом клювовидного или акромиального отростков лопатки.
При нижнем вывихе плеча головка смещается в подмышечную впадину. В подмышечной впадине проходят сосуды и нервы. Если головка сдавливает сосудисто-нервный пучок, возникает онемение кожи и паралич мышц в области, которую иннервирует сдавленный нерв. Для заднего вывиха плеча характерно смещение головки в сторону лопатки.
Диагностика
Для уточнения диагноза вывих плеча, определения возможных сопутствующих повреждений плечевой кости и лопатки проводится рентгенологическое исследование в двух проекциях. В некоторых случаях застарелого вывиха плеча требуется проведение МРТ плечевого сустава.

Лечение вывиха плеча
После вправления вывиха плеча накладывают повязку Дезо на срок 3-4 недели. Как только головка плеча занимает положенное ей место, боли резко уменьшаются и через несколько суток могут исчезнуть, однако повязку сохраняют для обеспечения сращения поврежденных мягких тканей. После заживления капсулы плеча повязку снимают, назначают физиотерапевтические процедуры и лечебную гимнастику для разработки сустава.
Прогноз и профилактика
При своевременном вправлении вывиха и соблюдении рекомендаций врача прогноз обычно благоприятный. При преждевременном самовольном снятии повязки в отдаленном периоде часто наблюдается привычный вывих плеча. Первичная профилактика заключается в предупреждении травматизма, вторичная - в строгом следовании врачебным рекомендациям, обеспечении неподвижности сустава на срок, необходимый для полного заживления поврежденных структур.
Вывихи плечевой кости в плечевом суставе

Плечевой сустав является самым подвижным суставом в теле человека, потому что может совершать движения во всех трех плоскостях. Сам сустав состоит изсуставной поверхности лопатки (гленоидальной впадины), головки плечевой кости, которая абсолютно соответствует впадине по форме и ключицы. Головка плечевой кости крепится в надлежащем положении благодаря хрящевому валику, который располагается по краю гленоидальной впадины, и соединительной ткани, образующей суставную капсулу. Окружающие сустав мышцы и сухожилия гарантируют ему стабильность и прочность.
Но именно такая подвижность является виновницей вывихов и повреждений плеча (ввиду того, что площадь касания суставных поверхностей невелика). Вывих плеча - это нарушение стабильности, при котором в результате физического воздействия происходит выпадение головки плечевой кости из гленоидальной впадины. Вывихи плечевой кости в плечевом суставе бывают передними (встречаются чаще всего), задними и нижними (зависит от направления смещения головки плечевой кости).
Основные причины вывихов плеча.
- Травмы, полученные при падении на вытянутую руку или прямом ударе в область плеча
- Врожденные аномалии суставов и костей (гиперподвижность и др.)
- Частые однообразные вращательные движения, которые повторяются длительное время (в большей степени характерны для спортсменов)

Признаки вывиха.
- Острая боль в области плеча (при первичном вывихе у потерпевшего от резкой боли может наступить обморочное состояние с рвотой и тошнотой)
- Ограничение подвижности сустава
- Явная деформация плечевого сустава
- Малейшие движения рукой вызывают сильные болевые ощущения
- Потеря чувствительности в области плеча и кисти
- Отек тканей в области вывиха
Диагностика.
Диагностика вывиха включает себя детальный осмотр пациента, ощупывание поврежденного сустава и назначение рентгенографии в двух проекциях поврежденного сустава. С помощью полученного рентгена врач выявляет тип вывиха, нет ли перелома, и определяется со способом вправления. В более серьезных случаях для уточнения диагноза врач может назначить компьютерную и магнитно-резонансную томографию. При наличии серьезных повреждений необходима консультация хирурга.

Специалисты.
Лечение вывихов плечевой кости.
Для восстановления нормальной работоспособности плечевого сустава пострадавшего нужно срочно доставить в отделение травматологии, где ему будет оказана квалифицированная помощь.
При вывихе плеча лечение происходит в несколько этапов.
- Обезболивание (местная анестезия или общий наркоз, определяет врач)
- Вправление вывиха (консервативное или оперативное, по показаниям)
- Иммобилизация (дополнительная фиксация вправленного вывиха с помощью бинтов или гипсовой повязки, длительность 3- 6 недель)
- Прием обезболивающих и противовоспалительных лекарств
- Реабилитация
Восстановление после вывиха плеча.
Реабилитационные меры проходят в несколько этапов. На первоначальном этапе в первую неделю после травмы больному показан покой с ограничением любых действий в плечевом суставе, применяются холодные компрессы, врач назначает электрофорез. Рекомендуется осуществлять легкуюразминку кистей и запястья (для исключения в дальнейшем атрофии мышц руки). На следующих этапах происходит постепенное усиление упражнений для разработки руки (комплекс упражнений подбирается индивидуально для каждого пациента), назначаются различные физиотерапевтические процедуры. Строго следуя всем рекомендациям лечащего врача, продолжая заниматься гимнастикой для разработки сустава и соблюдая элементарные требования безопасности, можно избежать серьезных последствий (например, повторного вывиха и т.д.)
Вывих лучезапястного сустава
Лучезапястный сустав - сложное подвижное соединение костей кисти и предплечья, которое обеспечивапе6т многообразие действий. Данный участок отличается уязвимостью, так как принимает на себя силовые нагрузки различной интенсивности. Один из наиболее часто встречающихся видов повреждений лучезапястного сустава - вывих. При вывихе смещаютсяи полностью теряют контакты суставные концы.
Виды вывихов
- Патологические, возникающие вследствие болезней суставов. В этом случае за помощью нужно обращаться к ревматологу, терапевту, урологу или дерматологу.
- Травматические, полученные в результате травмы. Лечение этой патологии проводит хирург или травматолог.
Причины возникновения
Вывихи лучезапястного сустава составляют порядка 5% общего числа вывихов, с которыми пациенты обращаются к травматологам ЦКБ РАН. Чаще всего причина возникновения патологии травматическая:
- Падение на прямую или подвернутую кисть.
- Прямой удар в область сустава.
Также вывих может быть следствием длительного дегенеративного процесса, связанного с изменением сустава.
Симптомы вывихов
Вывих лучезапястного сустава - это выхождение из его полости суставной части кости, при котором нарушается суставная сумка и связки.
- При вывихе сустав изменяет форму.
- Двигательные функции связаны с сильной резкой болью, они ограничены или полностью блокированы.
- Область сустава и проксимальной кисти отечны.
- Тыльные вывихи характеризуются выбуханием с тыльной стороны кисти. Если происходит сдавливание срединного нерва, проявляется нарушение чувствительности.
Что нужно сделать?
После получения травмы у взрослого следует обездвижить конечность и обратиться за профессиональной помощью в травмпункт или ближайшее отделение травматологии.
Если признаки вывиха наблюдаются у ребенка, необходимо:
- Зафиксировать конечность и примотать ее к туловищу;
- К месту вывиха приложить холод;
- При жалобах на боль дать обезболивающее лекарство.
Запрещается проводить лечение самостоятельно, так как существует серьёзный риск усугубить положение.
- Руку осматривает специалист.
- Пациент сдает анализы мочи и крови.
- Выполняется рентген. Как правило, требуется сделать снимки в двух или трех проекциях.
- В некоторых случаях может потребоваться проведение компьютерной или магнитно-резонансной томографии.
Лечение
Вывих локтевой кости в лучезапястном суставе вправляет травматолог. Манипуляция проходится под анестезией:
- В локтевом суставе сгибают руку под прямым углом;
- Травматолог растягивает сустав и надавливает на зону выбухания;
- После восстановления правильного положения кисть сгибают (угол 40ᵒ);
- Руку фиксируют от локтя до основания пальцев.
В таком положении кисть находится 2 недели, после чего фиксация проводится в нейтральной позиции. При нестабильности сустава используют спицы Киршнера. Если у пациента застарелый вывих, или закрытое вправление провести невозможно, на кисть накладывают дистракционный аппарат. При сдавлении серединного нерва требуется хирургическое вмешательство.
Если речь идет о чрезладьевидно-перилунарных вывихах, тона реабилитацию после операции потребуется не менее 3 месяцев. После других видов вывихов лучезапястного сустава пациенты восстанавливаются быстрее - 1-1,5 месяца. Ускорить процесс поможет физиотерапия. Важно выполнять упражнения лечебной гимнастики, начинать двигательные движения пальцами в соответствии с рекомендациями ортопеда.
Записаться на консультацию специалиста
Реабилитационный период
Как правило, период восстановления не превышает полутора месяцев. Исключение составляют случаи, когда проводится операция - на восстановление требуется 3-4 месяца. После вправления вывиха пациенту показано движение суставами пальцев. После снятия фиксирующих конструкций назначают:
Вывихи акромиального, грудинного концов ключицы
Ключица - это изогнутая S-образная кость, состоящая из тела и имеющая два конца с суставными поверхностями - акромиальный(наружный) и грудинный (внутренний). Вместе с лопаткой она образует пояс верхних конечностей. Ключица - единственная кость, которая соединяет туловище (осевой скелет) с верхней конечностью. В связи с тем, что ключица задействована в формировании двух суставов (грудино-ключичного и акромиально-ключичного), то и вывихи случаются двух видов: грудинного конца ключицы и акромиального конца ключицы. Чаще всего происходят вывихи акромиального конца, вывихи грудинного конца ключицы встречаются гораздо реже. Вывих лопаточного (акромиального) конца может быть полным и неполным (зависит от того, какая связка разорвалась). Вывих грудинного конца подразделяется на надгрудинный, предгрудинный и загрудинный (в зависимости от траектории смещения ключицы).
Причины травматизации.
Чаще всего вывих возникает вследствие травмы - падение на прямую отведенную руку, на плечевой и локтевой суставы (непрямой механизм травмы) или непосредственно удар в область ключицы тяжелым предметом (прямой механизм). А также вывихи могут произойти в результате различных травм, полученных при ДТП.
- Боль в месте травмы умеренно-ограниченного характера
- Деформация в месте повреждения (из-за выпячивания внешнего конца кости)
- Отечность
- Болезненная пальпация
- Ограничение и болезненность при совершении движений рукой
- «Симптом клавиши» - верный признак разрыва акромиально-ключичного соединения.
- Детальный осмотр пациента на наличие характерных симптомов для данного типа вывиха
- Пальпация травмированного места
На основе рентгена врач принимает решение о дальнейшем лечении больного.
Специалисты, к которым необходимо обратиться за консультацией:
Лечение.
Для лечения вывихов ключицы используют два метода: консервативное и оперативное вмешательство. Консервативный метод лечения используют для вправления вывихов акромиального конца ключицы закрытым путемс применением анестезии. Затем специалист фиксирует вправленную ключицу при помощи гипсовой повязки, специальных шин с постоянным давлением и поддержкой (ортопедические пелоты). При полном вывихе и разрыве связок требуется срочное оперативное лечение. При грудинных вывихах показано только хирургический метод лечения (открытое вправление с использованием металлоконструкций). После операции руку фиксируют гипсовой повязкой. Период иммобилизации длится 4-6 недель.
Реабилитация.
Реабилитационные мероприятия направлены на скорейшее восстановление пациента после полученной травмы.
- Обязательный комплекс упражнений на разработку травмированной ключицы (подбирает врач-травматолог с учетом типа вывиха и сложностью травмы)
- Физиотерапевтическое лечение (УВЧ-терапия, лечебный массаж, иглоукалывание, электрофорез)
- Рациональное питание (с включением продуктов, содержащих необходимые микроэлементы и витамины)
Период восстановления составляет примерно 1,5-2 месяца, после чего возвращается привычная работоспособность.
Если при вывихе ключицы вовремя не обратиться за помощью к специалисту или не соблюдать его рекомендации, то последствием такого отношения могут быть повреждение нервов, сосудов и нарушение функций руки.
Читайте также:
