Ганглиозидоз на КТ, МРТ головного мозга
Добавил пользователь Евгений Кузнецов Обновлено: 21.11.2025
Если нарушения происходят в мозге, то у человека могут быть утрачены все основные жизненные навыки касательно речи, написания и чтения.
Несмотря на то, что глиоз мозгового вещества не является заболеванием, но данный аномальный процесс способствует возникновению серьезных нарушений в привычной жизни человека.
Глиоз белого вещества мозга - что это?
Данный процесс представляет собой достаточно тяжелое морфофизическое нарушение патологического характера, которое протекает в тканях головного мозга под воздействием определенных экологических факторов, которые носят травмирующий характер.
Этот процесс сопровождается значительным разрастанием рубца, образованного на травмированном участке, на котором погибли нейроны.
Данный рубец в медицине называют нейроглией.
Под этим термином понимают дополнительное тканевое вещество головного мозга, который составляет порядка 30% от общей массы ткани мозга. Основной функцией нейроглии выступает обеспечение защиты мозгового вещества от воздействия патогенных микроорганизмов и различных повреждений. Также нейроглия вырабатывает полезные вещества и принимает участие в обменных процессах.
При получении травмы или инфекционном поражении мозговых клеток объем нейроглии увеличивается. На поврежденном участке мертвых нейронов обычно образуется рубцовая ткань.
Однако нейроглия исключает ее формирование, поскольку сама становится своеобразным биопроводником.
Главная проблема заключается в том, что нейроглия не способна функционировать наподобие естественной нервной ткани. Это в свою очередь вызывает серьезные проблемы со здоровьем.
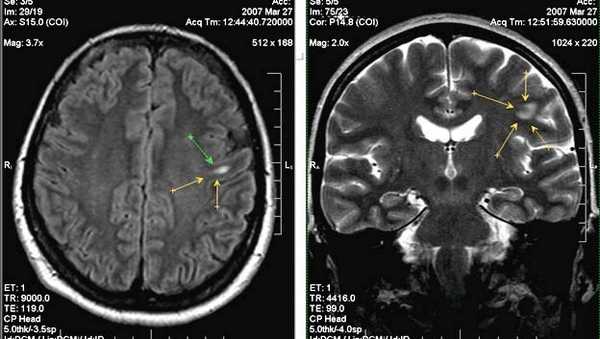
Очень четко видны очаги глиоза на МРТ головного мозга.
При повреждениях мозговых тканей наблюдаются следующие симптомы:
- Усталость, которая носит хронический характер. Человек испытывает беспричинные приступы переутомления, даже находясь в состоянии покоя.
- Продолжительные и неутихающие головные боли, которые могут сопровождаться головокружением, тошнотой, боязнью света, рвотой.
- Резкие скачки артериального давления, включая состояния артериальной гипертензии разной степени сложности.
- Эпилептические припадки и судороги. Если присутствует большой очаг поражения, то также могут наблюдаться неврологические симптомы.
- Нарушение координации движения, связанные с расстройствами мозжечка, что приводит к получению травм разной степени тяжести.
- Сбои в работе кратковременной и долговременной памяти.
- Возникновение звуковых и обонятельных галлюцинаций.
- Отсутствие способности ясно излагать свои мысли вслух и в письменной форме, что обусловлено образованием в мозге очага в области, отвечающей за формирование устной и письменной речи.
- Резкие перепады настроения, которые могут сопровождаться повышенной агрессией, депрессивными состояниями, абсолютной апатией ко всему.
Виды заболевания
Поскольку вследствие давления развивающейся нейроглии, некротические клетки постепенно погибают и отмирают.
На фоне этого появляются небольшие участки глиоза разного размера и формы, которые могут располагаться в любой области головного мозга.
Патологический процесс классифицируют по 7 формам:
- Внутрижелудочковая - очаги поражения образуются внутри желудочков мозга, что способствует существенному сокращению их объема, а также объема спинномозговой жидкости.
- Формирование островков поражения, которые образуются вокруг атеросклеротических сосудов, которые под давлением сильно сдавливаются.
- Краевая - предполагает образование единичных очагов поражения, которые концентрируются снаружи тканей мозга (данный тип нейроглии является наиболее простым, поскольку не затрагивает центральную область).
- Волокнистая - глиозные очаги могут заполняются волокнами, которые могут иметь различную длину и размеры.
- Массивная нейроглия - множественные очаги образуются на разных участках мозговой ткани (при сканировании изображение отображается в виде крупного пятнистого поля).
- Внутриоболочечная - измененные области находятся под внутренними оболочками мозга, что значительно усложняет диагностику заболевания.
- Анизоморфная - измененные очаги располагаются хаотично.
Очаги глиоза
В зависимости от того, как очаговые изменения отображаются на пленке при проведении МРТ головного мозга глиоз, их подразделяют на следующие группы:
- Гиподенсные - встречаются достаточно редко, не имеют определенной структуры и крайне сложно поддаются окрашиванию;
- Гиперинтенсивные - характеризуются ярко выраженной структурой, легко окрашиваются в процессе обследования.
В зависимости от числа патологических зон очаги нейроглии также разделяют на:
- единичные - при проведении МРТ головного мозга единичные очаги глиоза очень хорошо видны;
- множественные - также хорошо отображаются при проведении обследования.
Единичные образования
Подобные образования встречаются чаще у разных возрастных групп.
На МРТ головного мозга выявить очаги глиоза можно как у младенцев, так и у пожилых пациентов.
В первом случае формирование измененных очагов может быть связано с последствиями послеродовой травмы, во втором - быть результатом дегенерации тканей мозга вследствие возрастных изменений.
Данный процесс представляет собой естественные возрастные изменения, которые в 60% случаев отображаются при сканировании белого вещества у лиц старше 85 лет.
Как правило, подобные поражения выявляются случайно, поскольку они не приносят дискомфорта. Однако при образовании очагов в левой лобной доле, они нередко провоцируют появление галлюцинаций.
Данное явление обусловлено тем, что в этой части находятся наиболее важные центры, отвечающие за глубокие чувства и ощущения.
Главной особенностью такого поражения выступает то, что оно не предрасположено к разрастанию и несет существенного риска при развитии и обострении хронических болезней.
Множественные очаги
Такие поражения встречаются намного реже по сравнению с единичным глиозом головного мозга. Данная патология может развиться на фоне различных заболеваний кровеносных сосудов, ЦНС (в частности, белого вещества), а также соединительных тканей.
Обычно причиной подобных поражений выступают атеросклерозы, а также перенесенные инсульты и инфаркты. Также множественные очаги поражений могут возникать вследствие получения черепно-мозговой травмы.
Важно отметить, что при травматизме головного мозга протекает процесс некроза, причем - на разных участках и в разных областях. В результате этого глиозному перерождению намного лучше подвергаются именно субкортикальные очаги отмирания тканей.
При получении незначительных травм головы величина поражений составляет не более нескольких миллиметров. Благодаря этому функции мышления человека остаются практически неизменными.
Если у пациента присутствуют даже мельчайшие структурные изменения, их легко можно выявить с помощью КТ или МРТ обследования.
Ганглиозидоз GM1 тип I
GM1-ганглиозидоз тип I (генерализованный семейный ганглиозидоз, нейровисцеральный липидоз, недостаточность b-галактозидазы) характеризуется аутосомно-рецессивно наследуемой недостаточностью фермента GM1-b-галактозадазы. Активность этого фермента в головном мозге, печени и фибробластах кожи больного снижена до 0,1% нормы. Описано более 100 случаев заболевания.
Что провоцирует / Причины Ганглиозидоза GM1 типа I:
В основе болезни лежит мутация структурного гена, кодирующего мономерный полипептид A1GM1-b-галактозидазы и локализованного на коротком плече 3-й хромосомы (p12q21). При этом дефекте нарушено отщепление концевой галактозы от GM1-ганглиозида, который откладывается в больших количествах в сером веществе головного мозга и печени.
Симптомы Ганглиозидоза GM1 типа I:
GM1-ганглиозидоз обнаруживается при рождении или вскоре после него. Отмечаются плохой аппетит, слабость сосания и крика, недостаточная прибавка в весе, отечность нижних конечностей, мышечная гипотония и малая активность ребенка (спокоен, большую часть времени спит). Гепатоспленомегалия наблюдается с первых месяцев жизни. Часто встречаются дорсолюмбальный сколиоз, нерезкое увеличение размеров суставов, укорочение и утолщение пальцев (брахидактилия). Рентгенографически определяется множественный дизостоз. Характерны частые бронхопневмонии. Развиваются клонико-тонические судороги, Примерно у 50% больных с рано развившимся GM1-ганглиозидозом наблюдаются вишнево-красные пятна на глазном дне в области желтого пятна, образовавшиеся в результате отложения ганглиозидов в клетках сетчатки. Если ребенок дожил до 6 месяцев, то у него формируется характерный внешний вид (выступающие лобные бугры, запавшая переносица, большие низко расположенные ушные раковины, гипертрофия десен, макроглоссия, отек лица).
Дети с GM1-ганглиозидозом обычно погибают в возрасте 2-3 лет от рецидивирующей бронхопневмонии.
Диагностика Ганглиозидоза GM1 типа I:
На вскрытии обнаруживают расширение желудочков мозга и его атрофию в результате гибели нейронов. Гистологически выявляются пенистые гистиоциты в костном мозге, печени, селезенке, лимфатических узлах и др.
Диагноз GM1-ганглиозидоза подтверждается при определении активности b-галактозидазы в лейкоцитах и культивируемых фибробластах. GM1-ганглиозидоз тип I следует дифференцировать с мукополисахаридозом тип I - синдром Гурлер болезнью Ниманна - Пика и I-клеточной болезнью. GM1-ганглиозидоз тип I проявляется в более раннем возрасте, чем синдром Гурлер и болезнь Ниманна-Пика. Для последней характерны помутнение роговицы, поражение костей, менее выраженное изменение черт лица.
Лечение Ганглиозидоза GM1 типа I:
Специфическая терапия отсутствует. Разрабатываются методы заместительной терапии b-галактозидазой (очищенной или инкапсулированной в липосомах).
К каким докторам следует обращаться если у Вас Ганглиозидоз GM1 тип I:
Вас что-то беспокоит? Вы хотите узнать более детальную информацию о Ганглиозидоза GM1 типа I, ее причинах, симптомах, методах лечения и профилактики, ходе течения болезни и соблюдении диеты после нее? Или же Вам необходим осмотр? Вы можете записаться на прием к доктору .
Покажет ли МРТ головного мозга опухоль

Коротко отвечая на вопрос, покажет ли опухоль МРТ головного мозга, можно сказать уверенное ДА. Магнитно-резонансная томография является приоритетным методом дифференциальной диагностики различных объемных образований в головном мозге, оболочке головного мозга, гипофизе, нервных жилах, сосудах. Данная методика активно используется при онкопоиске, поскольку позволяет визуализировать не только первичный очаг образования, но и метастатические поражения вещества головного мозга.
Когда нужно сделать МРТ головного мозга при опухоли
Ранняя диагностика опухолей головного мозга - это трудная задача по двум основным причинам:
- Многие опухоли мозга на ранних этапах не дают никакой клинической симптоматики, поэтому пациенту заподозрить что-то неладное по изменению в своем самочувствии очень сложно;
- Неврологические симптомы опухоли носят разнообразный характер и сильно зависят от локализации новообразования.
Свидетельствовать о возможной патологии могут:
- головные боли непонятного происхождения;
- частые головокружения;
- резкие перепады давления и сопутствующие им тошнота, рвота;
- повторяющиеся боли в шее;
- нарушение зрения и слуха;
- обморочные состояния;
- спутанность сознания, ухудшение памяти;
- мигренеподобные приступы;
- нарушения сознания, эпилепсия и другие припадки.
При клиническом осмотре больного невролог или онколог не сможет диагностировать объемное образование. Для этого потребуется аппаратная диагностика, например, МРТ или КТ головного мозга.
Покажет ли МРТ опухоль головного мозга
В большинстве случаев приоритетным методом выявление опухолевых образований будет магнитно-резонансная томография, поскольку белое и серое вещество очень хорошо визуализируется на снимках МРТ. Физика получения изображений при магнитно-резонансной томографии основывается на эффекте ядерного магнитного резонанса. Когда тело пациента помещается внутрь сканера, на мозговые структуры оказывает влияние сильное магнитное поле и радиочастотные импульсы. Под их воздействием атомы водорода в клетках начинают совершать колебательные движения. Этот резонанс фиксирует компьютер томографа, оцифровывает и переводит в трёхмерные изображения обследуемой области. Поскольку структуры головы на 80% состоят из воды, аппарат поможет сделать снимки очень высокой контрастности и четкости. Это позволяет врачам оценить:
- местоположение опухоли;
- ее размеры и форму;
- степень инвазии в соседние структуры;
- тканевой состав.
Для того, чтобы лучше всего разглядеть очаги при подозрении на объемное образование, МРТ головного мозга проводится с контрастированием. В ходе этой процедуры пациенту через вену на локтевом сгибе вводят специальный контрастный препарат на базе солей редкоземельного металла гадолиния. Контрастный состав максимально увеличивает тканевую контрастность, а по типу накопления и сбрасывания контрастного препарата врачи могут провести виртуальную гистологию опухоли и сказать, носит ли образование доброкачественный или злокачественный характер.
Особенно хорошо МРТ головы с контрастом способно показать:
- опухоли мозжечка
- глиобластому
- эпендимому
- глиальные опухоли
- метастазы
- невриномы
- менингеальные опухоли
- новообразования ствола головного мозга.
Как выглядит опухоль головного мозга на МРТ- фото
| МРТ здорового головного мозга | Глиома | Глиобластома |
Признаки опухоли на МРТ снимках
- наличие зоны измененного МР-сигнала от тканей мозга;
- гиперинтенсивный МР сигнал, гипоинтенсивный МР сигнал, гетерогенно изменений МР сигнал, изоинтенсивный МР сигнал;
- ориентировочные размеры, форма, контуры объемного образования;
- смещение, давление или изменение величины и деформации желудочков;
- аксиальная дислокация;
- блокада ликворных путей с развитом окклюзионной гидроцефалии;
- наличие перифокального отека;
- латеральная дислокация срединных структур или сосудистого сплетения “масс-эффекта”.
Пример МРТ расшифровки опухоль головного мозга
На серии МР-томограмм, взвешенных по Т1 и Т2-ВИ, tirm, получены суб- и супратенториальные структуры, определяются округлое объёмное патологическое образование, располагающееся по конвекситальной поверхности левой лобной доли, размером до 20х17х19 мм. Образование имеет достаточно чёткие округлые контуры, прилежит широким основанием к твердой мозговой оболочке, структура его несколько неоднородная. Вокруг образования имеется небольшой ликворный ободок и умеренно выраженный перифокальный отек головного мозга. Менингеальная оболочка на этом уровне утолщена с признаками симптома «хвоста», что наиболее характерно для менингиомы.
Срединные структуры не смещены.
Субкортикально, паравентрикулярно в белом веществе головного мозга определяются единичные очаги глиоза, имеющие четкие контуры, характеризующиеся гиперинтенсивным сигналом на Т2 ВИ и Tirm ИП, гипо- изоинтенсивным на Т1 ВИ, размерами до 3-4 мм в диаметре.
Боковые желудочки обычной конфигурации, существенно не расширены, минимально асимметричны (D>S).
Вокруг боковых желудочков имеются небольшие глиозные изменения.
III-й, IV-й желудочки, базальные цистерны не деформирован.
Стволовые структуры мозга не деформированы, имеют не измененный МР-сигнал.
Субарахноидальное пространство вне зоны патологических изменений выражено неравномерно, умеренно расширено по конвекситальной поверхности лобных, теменных долей.
Супраселлярная не деформирована. Гипофиз обычного расположения и размеров. Топография перекреста зрительных нервов не изменена.
Мосто-мозжечковые цистерны не деформированы.
Миндалины мозжечка расположены обычно.
Определяется пристеночный отёк слизистой в клетках решетчатого лабиринта и левой верхнечелюстной пазухе, имеющий повышенный сигнала на Т2 ВИ.
МР-картина объемного образования левой лобной доли с небольшим перифокальным отеком головного мозга (менингиома?).
МР-картина немногочисленных очагов глиоза вещества головного мозга сосудистого характера.
Качественная МРТ диагностика опухолей головного мозга
Для качественной томографии и безошибочной диагностики при подозрении на опухоль рекомендуется:
- проводить МРТ головного мозга на аппарате мощностью не менее 1,5 Тесла;
- шаг сканирования должен быть не менее 3 мм;
- рекомендовано применение контрастного усиления.
Мощное магнитное поле томографа при обследовании головного мозга обуславливает ряд противопоказаний. Особенность поля МРТ аппарата взаимодействовать с объектами, содержащими металл, сдвигать их с места и нарушать работу электронных систем, ограничивает проведение МРТ процедуры для пациентов, в теле которых установлены любые металлические имплантаты. Поэтому к томографическому исследованию не допускаются пациенты, которые имеют:
- протезы из металла, пластины, хирургические скобки, шунты и штифты, сосудистые катетеры из ферромагнитных материалов, а также любые металлические предметы как пули, осколки, застрявшие в теле
- искусственные сердечный клапаны, стимуляторы сердечной деятельности и дефибрилляторы
- ушной кохлеарный имплант
- вшитые медицинские помпы для дозированной подачи медикаментов
- зажимы и клипсы на сосудах.
Обращаем Ваше внимание на то, что наличие зубных протезов в общем и целом не является противопоказанием для проведения МР-сканирование головного мозга. Исключением может стать лишь очень узкая группа протезов, которые вызывают искажение изображения во время диагностики.
Если у Вас есть сомнения в отношении возможности проведения томографического исследования, позвоните нам, и мы поможем найти приемлемое решение для Вашего индивидуального случая.
Вопросы



Покажет ли МРТ опухоль головного мозга без контраста
Крупные опухоли видны на нативных бесконтрастных снимках. Мелкие метастазные поражения на базовом обследовании могут плохо визуализироваться. Признаки опухоли почти всегда видны на нативном МРТ снимке, однако не достаточно четко, чтобы провести качественную дифференциальную диагностику. Поэтому врач-рентгенолог, обнаружив в ходе бесконтрастного обследования признаки объемного образования, предлагает пациенту дополнить исследование контрастной процедурой.
| Вид исследования | Минимальная Цена | Цена на 3 Тесла |
|---|---|---|
| МРТ головного мозга | от 2800 руб. | от 5200 руб. |
| МРТ сосудов головного мозга | от 2800 руб. | от 8200 руб. |
| МРТ гипофиза | от 2800 руб. | от 5200 руб. |
| МРТ пазух носа | от 2800 руб. | от 5200 руб. |
| МРТ орбит и зрительных нервов | от 3200 руб. | от 5200 руб. |
| МРТ уха и слуховых нервов | от 3200 руб. | от 5200 руб. |
| МРТ черепно-мозговых нервов | от 3200 руб. | от 5200 руб. |
| Стоимость введения контрастного вещества | от 3500 руб. | от 3500 руб. |
Как МРТ определяет злокачественную опухоль
Злокачественные опухоли составляют до 50% всех опухолей головного мозга. Эти опухоли врач определяет по:
- нечеткости и неровности контуров и формы опухоли;
- большому перифокальному отеку;
- наличию “масс-эффекта”;
- неоднородному накоплению контрастного усиления;
- типу накопления контраста.
Как часто нужно делать МРТ после удаления опухоли
Периодичность МРТ головного мозга после удаления опухоли обычно определяет лечащий врач. Чаще всего после оперативного вмешательства первое обследование проводят через один месяц. Далее контрольные сканирования осуществляют раз в полгода в течение 3 лет после хирургического вмешательства.
КТ головного мозга

Важно! При КТ исследовании с внутренним контрастированием используется йодосодержащий контраст. Необходимо исключить:
- аллергию на йод
- бронхиальную астму
- эпилепсию
- сахарный диабет (содержат ли сахароснижающие препараты МЕТФОРМИН) - за 48 часов этот препарат нужно отменить
- заболевания щитовидной железы
Анализ на креатинин - ОБЯЗАТЕЛЕН
Патологические процессы в головном мозге чреваты самыми неприятными последствиями вплоть до глубокой инвалидизации пациента и летального исхода. Своевременно обнаружить признак острых и хронических заболеваний помогает компьютерная томография. Она дает возможность оценить состояние содержимого черепной коробки и самого черепа в течение короткого промежутка времени. В клинике «Энергия здоровья» в Санкт-Петербурге Вы можете сделать КТ головного мозга с контрастом или без него по доступной цене, а также пройти другие исследования, необходимые для полноценной диагностики.
Что показывает КТ головного мозга
Метод компьютерной томографии основан на получении серии срезов с заданным расстоянием между ними. На изображениях видны костные структуры, ткань головного мозга, желудочки, а также разнообразные патологические изменения:
- абсцессы и другие воспалительные очаги;
- повреждения костей черепа;
- врожденные аномалии и деформации;
- опухолевые процессы и метастазы;
- инсульт, преимущественно в острой фазе (участки, пострадавшие в результате нарушения кровоснабжения);
- инородные тела.
Для визуализации сосудистых аномалий, например, аневризм, используется дополнительное контрастирование.
Показания
КТ головного мозга назначается лечащим врачом после анализа жалоб пациента, результатов общего и неврологического осмотра, данных лабораторной и инструментальной диагностики. Поводом обратиться за направлением могут стать следующие проблемы:
- травма головы;
- длительные и/или очень сильные головные боли;
- нарушения зрения, вкуса, слуха;
- локальные или общие изменения чувствительности или снижение мышечной силы;
- приступы судорог;
- тошнота, рвота, сильное головокружение, обмороки;
- двоение в глазах;
- разный размер зрачков и т.п.
Противопоказания
Проведение КТ сопровождается незначительным облучением. В связи с этим исследование категорически не подходит для беременных женщин и нежелательно для детей. Ограничения также возникают при непереносимости препаратов для контрастирования, чрезмерном весе пациента, невозможности сохранять неподвижность и/или выполнять команды врача.
Как проходит исследование
Предварительная подготовка не требуется. Диагностика проходит в положении лежа. Кушетка с пациентом двигается в специальном кольце, где находится рентгеновская трубка и датчики, принимающие информацию. Кольцо медленно вращается, делая серию снимков со всех ракурсов. В процессе необходимо сохранять полную неподвижность.
Если исследование требует контрастирования, препарат вводится внутривенно после первой серии срезов, после чего диагностика повторяется. Вся процедура занимает 15-30 минут. После ее завершения пациент получает на руки подробное заключение с описанием всех выявленных изменений и сами снимки в цифровом виде, а при необходимости - и на распечатанной пленке.
КТ головного мозга - это возможность своевременно выявить опасные нарушения и принять меры по их устранению. В клинике «Энергия здоровья» для этой цели установлено современное диагностическое оборудование, обеспечивающее снимки высокой четкости. Опытные специалисты проанализируют полученную информацию и дадут свое заключение. Не откладывайте проверку здоровья, особенно если есть хотя бы небольшие признаки неблагополучия. Запись на прием и диагностику в наш медицинский центр ведется по телефону и в режиме онлайн на сайте.
Ганглиозидоз на КТ, МРТ головного мозга
Звоните нам по телефону 8 (812) 241-10-46 с 7:00 до 00:00 или оставьте заявку на сайте в любое удобное время
Ваша заявка принята!
Благодарим за обращение.
В ближайшее время с вами свяжется наш специалист.
Глиоз головного мозга: причины, формы, симптомы
Глиальная оболочка выстилает пространства между нервными клетками, образуя каркас для основного вещества. Места инфекционного, воспалительного повреждения нейронов «зарастают» глиозом - это нормальная реакция на разрушение без возможности восстановления. В зависимости от количества очагов (единичные, множественные) либо появляются клинические признаки заболевания, либо нет внешних проявлений.
Морфология глиоза головного мозга
Разрушение функциональной мозговой ткани приводит к замещению участков повреждения нейроглией. Процесс необходим для обеспечения церебрального питания, обеспечения необходимыми веществами.

МРТ глиоза головного мозга
Основные анатомические структуры центральной нервной системы:
- Клеточные пласты выстилки желудочков - эпендимы;
- Функциональные элементы передачи нервного сигнала - нейроны;
- Ткани, обеспечивающие каркасную, строительную, метаболическую, секреторную функцию - нейроглия.
Большую часть церебральной структуры составляют глиальные элементы. Комплекс обеспечивает множество функций, но передача сигнала обеспечивается посредством взаимосвязей между нейронами. Чем меньше нервных волокон, тем медленнее протекают процессы. Трофические функции выполняет глия, заполняющая около сорока процентов головного мозга.
Воспаления, инфекции, травматические повреждения мозга могут приводить к разрушению нейронов, эпендимы. Места разрушения заполняются нейроглией, создающей рубцы, которые подобны шрамам на коже (разрастание соединительнотканных волокон).
Где появляются очаги глиоза
Если болит голове на фоне нозологии, МРТ определит множественные участки глиальной ткани. Очаги поражают разные отделы мозга. Располагаются с одинаковой вероятностью, как внутри белого вещества, так и поверхностно.
Формы глиоза по структуре очагов:
- Волокнистая - морфологические дефекты содержат большую часть волокон;
- Краевая - зоны локализуются поверхностно под оболочкой;
- Сосудистая - преобладает разрастание мелких капилляров;
- Анизоморфная - хаотичное расположение глиальных элементов, преобладающих над волокнами;
- Периваскулярная - нейроглия находится вокруг пораженных сосудов (при васкулитах);
- Очаговая - ограниченный участок на месте воспаления;
- Диффузная - распространение процесса на головной и спинной мозг;
- Супратенториальная - единичные очаги глиоза сосудистого генеза в головном мозге образуются при старении человека, после родов у детей. Течение бессимптомное.
Магнитно-резонансная томография головного мозга позволяет сосчитать очаги глиоза. Томограммы показывают структуру участков. Чем обширнее фокус, тем больше клинических симптомов повреждения ЦНС.
Динамическое обследование (повторное МРТ) позволяет оценить увеличение размеров очагов головного мозга.
Причины возникновения глиальных разрастаний
Любые патологические процессы с разрушением анатомических структур белого вещества мозга приводят к глиальным разрастаниям. Самые распространенные причины возникновения:
- Инфекционные процессы - туберкулез, цитомегаловирус, хламидиозные васкулиты;
- Аутоиммунные процессы с разрушением оболочек нервных волокон (демиелинизация, рассеянный склероз);
- Воспалительные болезни - энцефалит, менингит;
- Открытые и закрытые черепно-мозговые травмы (ЧМТ);
- Генетические дефекты жирового обмена;
- Гипоксические состояния, церебральная ишемия;
- Недостаток поступления кислорода мозгу при родах;
- Гипертонический криз;
- Последствия инсульта;
- Оперативные вмешательства;
- Дисциркуляторная энцефалопатия;
- Внутричерепная гипертензия;
- Гематома.
Кроме этиологических факторов существуют два провоцирующих механизма глиоза:
- Введение наркотических препаратов - приводит к постепенной атрофии белого вещества. Клинические исследования установили единичные глиальные очаги у пациентов с наркоманией;
- Злоупотребление алкоголем - избыточное поступление метаболитов спирта в головной мозг приводит к гибели нейронов. Умеренное потребление улучшает церебральное кровообращение.
Обнаружение единичных очагов глиоза требует лечения. Восстановить погибшие нейроны невозможно, но с помощью терапии удается исключить прогрессирование заболевания.
Признаки скопления нейроглии в мозге
Патологические проявления скопления нейроглии внутри головного мозга только в редких случаях провоцируются серьезными заболеваниями. У пожилых людей очаги глиоза постепенно нарастают, что приводит к прогрессированию неврологических симптомов:
- Нарушение координации движений;
- Ослабление памяти;
- Длительный болевой синдром головы;
- Частая смена артериального давления;
- Мышечные судороги;
- Эпилептические припадки;
- Головокружение.
С помощью МРТ и КТ удается рассчитать количество нейроглиальных разрастаний на единицу объема церебральной ткани. Величина используется для оценки прогрессирования заболевания, оценки эффективности лечения.
Интересный факт
Исследование эпидемиологов доказало влияние нейроглии на процессы старения. Специалисты добавили к морфологическому материалу глии кровь, взятую у пожилого человека. Последствия опыта оказались впечатляющими - нейроглиальные пласты начали активно размножаться, разрушая нейроны. Результаты позволяют предположить механизмы развития старческого слабоумия.
У детей подобный процесс не происходит. Разрастание нейроглии в белом веществе наблюдается только после гибели нейронов. Механизм носит локальный характер. Очаги закрывают образованные дефекты.
Симптомы очагового глиоза белого вещества
Клиническая симптоматика определяется размерами, локализацией, прогрессированием нейроглиальных скоплений:
- Сильные головные боли - диффузный вид;
- Нестабильность артериального давления, частые гипертонические кризы;
- Шаткая походка, нарушение координации;
- Снижение мнестических функций;
- Ухудшение памяти.
Терапевтические методики оказываются неэффективными при наличии диффузных перивентрикулярных очагов. Крупные скопления у ребенка прослеживаются редко, поэтому симптомы не возникают.
Чем опасен глиоз - прогноз жизни и здоровью
Прогноз жизни зависит от основной причины возникновения заболевания. Клинические симптомы определяются выраженностью повреждения белого вещества. Затрагивание функциональных центров дыхания, кровообращения может привести к летальному исходу. Опасны энцефалиты и менингиты, которые нередко приводят к неблагоприятному прогнозу, летальному исходу.
Незначительная симптоматика, благоприятный исход при глиозе в лобных долях мозга. Субкортикальные виды представляют опасность при диффузном распространении.
Диагностика глиоза головного мозга
В большинстве случаев заболевание верифицируется случайно при сканировании головного мозга МРТ или КТ. Опасности формы не представляют. Повторное обследование через несколько месяцев проводится с целью изучения старых глиальных участков. Отсутствие увеличения размеров указывает на благоприятный прогноз.
МР и КТ-ангиография с контрастным веществом помогает выявить сосудистый генез нозологии. Определяет или исключает изменение церебральной активности электроэнцефалография (ЭЭГ). Процедура назначается при появлении эпилептических приступов, мышечных судорогах.
Практика показывает преимущественную трансформацию нейроглии при старении в лобных долях.
Читайте также:
- Этапы и техника операции при бурсите локтевого сустава (бурсэктомии)
- Техника операции на нижней челюсти. Внутриротовые остеотомии нижней челюсти
- Инфицирование ленточными червями: диагностика, лечение, профилактика
- Изолированный дефект межпредсердной перегородки. Гемодинамика при дефекте межпредсердной перегородки
- Хронический тонзиллит: лечение, симптомы, причины, диагностика
