Герпес: как проявляется, как снизить количество рецидивов
Добавил пользователь Владимир З. Обновлено: 21.11.2025
Герпес - одно из наиболее распространенных заболеваний человека, возбудителем которого является вирус простого герпеса. В мире 90% населения заражены данным типом вируса. По данным многочисленных европейских исследований к 18 годам более 90 % жители городов инфицируются одним или несколькими штаммами по меньшей мере 7 клинически значимых вирусов (простого герпеса 1 и 2 типов, варицелла зостер, цитомегаловирусом, ЭпштейнБарр, герпеса человека 6 и 8го типов).
Особенность вируса простого герпеса в том, что он может скрыто находиться в организме долгое время и никак не проявлять себя. Герпес начинает активно рецидивировать, когда иммунитет человека ослаблен. Вот тогда и появляются характерные симптомы - мелкие болезненные пузырьки. Чаще всего герпес поражает кожу, глаза и наружные половые органы.
Общая информация о герпесе
Большинство людей видели у себя или у других неприятные прыщики на краю губы, которые через какое-то время покрываются корочкой. В народе этот недуг называют «простудой» или «лихорадкой». Откуда появляется это заболевание и как с ним бороться?
Установлено, что женщины в возрасте 20-35 лет являются группами риска, в которых заболеваемость генитальным герпесом составляет 135,7 случаев на 100.000 населения данного пола и возраста. В Европе среди инфекций, передающихся половым путем он, занимает второе место после трихомониаза. В США ежегодно выявляется 20.000 больных. Известно, что инфицированность вирусом в мире у подростков к 13-14 годам достигает 75%, к 35 годам почти 90%.
Как происходит заражение
Источником заражения является больной человек, у которого вирус присутствует на эпителии слизистых оболочек.
При контакте с партнёром (заражение вирусом ВПГ-2 обычно происходит при половом контакте, ВПГ-1 при оральногенитальном и половом контактах) вирус проникает через эпителий слизистой оболочки партнёра и через повреждённую кожу.
Для вируса герпеса характерна склонность к обитанию в нервных клетках. По чувствительным нервам он приникает в нервные ганглии (скопления крупных нервных клеток, отростками которых и являются нервы), где инфекция приобретает скрытое течение.
Часто рецидивирующий герпес
Программа Чек-ап "Герпес под контролем"
Стоимость услуг по прейскуранту 28330 рублей - скидка 15% = к оплате 24080 рублей.
Ваша экономия 4250 рублей!
Размножение инфекции
Размножение происходит в ядре поражённой клетки. Внедряясь в клетку, вирус герпес использует её структурные компоненты в качестве строительного материала, а также подчиняет себе синтезирующие системы клетки, "заставляя" вырабатывать вещества, необходимые для построения новых вирусов. После инфицирования клетки синтез новых вирусных белков начинается через 2 часа, а число их достигает максимума примерно через 8 ч. Наиболее быстрые темпы клонирования вирионов происходят в клетках эпителия и слизистых оболочек, крови и лимфатических тканей.
Передача вируса
Вирус передается главным образом контактным путем:
- прямой контакт (в том числе половой путь передачи),
- воздушно капельным,
- через предметы обихода и гигиены (общие полотенца, носовые платки и т.п.)
- вертикальным путями (от матери к плоду). Такое заражение может произойти во время родов (контакт с родовыми путями матери), трансплацентарно или же вирус проникает в полость матки через цервикальный канал шейки матки (восходящий путь).
Классификация вирусов
Согласно существующей международной классификации различают первичный и рецидивирующий генитальный герпес. Последний, в свою очередь, подразделяется на типичную и атипичную клинические формы и бессимптомное вирусовыделение.
Термин "генитальный герпес" возник в начале XX в. для обозначения очага поражения на коже и слизистых оболочках наружных половых органов. С развитием вирусологических методов исследования стали появляться сведения об "атипичных" формах болезни. Диагноз "атипичная форма генитального герпеса " ставится гинекологами для обозначения хронического воспалительного процесса внутренних гениталий (кольпит, вульвовагинит, эндоцервицит и т.д.) при наличии лабораторно подтвержденной герпетической природы заболевания, в отличие от "типичной" картины болезни, при которой на слизистой оболочке этих органов имеются очаги поражения с везикулезно-эрозивными элементами. Вместе с тем из этой группы выпадают герпетические поражения уретры, анальной области и ампулы прямой кишки, хотя эти органы анатомически и функционально тесно связаны с половой сферой.
Исследования, проведенные в Герпетическом Центре показали: диагностики вируса ВПГ сейчас осложняется из-за того, что в 65% случаев заболевание протекает атипично.
Как долго живет вирус?
Полностью сформированные и готовые к последующей репродукции “дочерние“ инфекционные вирионы появляются внутри инфицированной клетки через 10 ч, а их число становится максимальным через 15 ч. За все время своей жизни первичная (“материнская”) вирусная частица воспроизводит от 10 до 100 “дочерних” вирусных частиц, а в 1 мл содержимого герпетического пузырька находится от 1000 до 10 миллионов вирусных частиц. Вирионы чрезвычайно термостабильны - инактивируются (разрушаются) при 50-52 градусах в течение 30 мин, при 37,5 градусах - в течение 20ч, устойчивы при 70 град., длительно сохраняются в тканях,. На металлических поверхностях (монеты, дверные ручки, водопроводные краны) выживает в течение 2 ч, на пластике и дереве - до 3 ч, во влажных медицинских вате и марле в течение всего времени их высыхания при комнатной температуре (до 6 ч). Уникальным биологическим свойством вирусов является пожизненное сохранение вирусов в видоизмененной форме в нервных клетках регионарных (по отношению к месту внедрения вируса) ганглиев чувствительных нервов. Наиболее активны в этом отношении вирусы простого герпеса (лабиальный и генитальный), наименее - вирус Эпштейн-Барр.
Герпесвирусы способны привести к инфицированию плода во время беременности. Беременность очень часто является физиологическим иммуносупрессивным фактором (происходит закономерное снижение иммунитета). В цервикальном канале беременных женщин значительно увеличивает риск внутриутробного инфицирования плода, а также инфицированию ребёнка в родах. Вирус наиболее распространенная у беременных инфекция, передаваемая половым путем. Поэтому перед предполагаемой беременностью будущим мамам мы рекомендуем пройти обследование на наличие вируса простого герпеса и цитомегаловирусной инфекции на слизистых половых органов, определить наличие и уровень антител к этим вирусам и при необходимости получить курс профилактического лечения.
Органы и системы организма, которые может поражать вирус простого герпеса, и заболевания которые он вызывает:
- Зрительный тракт (кератит, иридоциклит, хориоретинит, неврит зрительного нерва, флеботромбоз)
- ЛОР-органы (фарингит, «герпетическая ангина», ларингит, наружное ухо, внезапная глухота, вестибулярные расстройства)
- Органы полости рта (стоматит, гингивит)
- Кожа и слизистые оболочки ( лица, губ, генитальный герпес и пр.)
- Легкие (бронхопневмония)
- Сердечно-сосудистая система (миокардит, миокардиопатия, участие ВПГ в процессах, лежащих в основе атеросклероза)
- ЖКТ (гепатит, илео-колит, проктит)
- Женские половые органы (кольпит, внутриматочная ВПГ-инфекция: эндометрит, амнионит, хорионит, метроэндометрит, нарушения детородной функции)
- Мужские половые органы (простатит, уретрит, поражение сперматозоидов)
- ЦНС (энцефалит, симпатоганглионеврит, поражение нервных сплетений)
- Психоэмоциональная сфера (депрессия, отягощающее влияние ВПГ на течение синильной деменции и ядерной шизофрении)
- Лимфатическая система (ВПГ-лимфоаденопатия)
Памятка при заболевании
Нужно помнить, что при появлении высыпаний человек становится остро заразным. Причем могут пострадать не только окружающие, но и сам больной человек. Например, с очага на губах грязными руками вирус герпеса может быть занесен в глаза или на половые органы.
Поэтому важно соблюдать следующие правила
- Не трогайте губы, пораженные высыпаниями. Если вы к ним прикоснулись, тщательно мойте руки.
- Пользуйтесь личным полотенцем и посудой.
- Если у вас поражены губы, не выдавливайте пузырьки и не отрывайте корочки. Это может вызвать дополнительное инфицирование кожи.
- Воздержитесь от поцелуев и орально-генитальных контактов.
- Если вы пользуетесь контактными линзами, не смачивайте их слюной для увлажнения.
- Противовирусный крем на губы наносите не пальцами, а косметическими палочками.
Профилактика
Профилактика герпеса заключается, прежде всего, в укреплении иммунитета. Желательно соблюдать режим сна и отдыха, не забывать про закаливание. В период эпидемий ОРВИ и гриппа важно избегать пребывания в людных местах.
Тем, у кого часто бывают обострения герпеса, рекомендуется проверить состояние иммунитета и пройти обследование, в том числе на наличие других скрытых инфекций.
Симптомы герпеса
«Простуда на губах» возникает из-за заражения человека вирусом простого герпеса I типа (ВПГ-I). Как правило, впервые человек сталкивается с герпетической инфекцией в раннем детстве, заражаясь от больного при поцелуях или использовании общих столовых приборов. Возможно также заражение от родственников воздушно-капельным путем при чихании и кашле.
Наиболее частой формой инфекции, вызванной ВПГ-I, является герпес лица, то есть «простуда на губах». Причем при первом эпизоде ВПГ у ребенка нередко поражаются не только губы, но и кожа в области носогубного треугольника, и слизистая носа. Бывают также герпетический стоматит и герпетическая ангина. Затем вирус распространяется по нервам и навсегда «селится» в нервных ганглиях. По статистике, вирусом ВПГ-I заражены до 90-95% людей. Но проявляется эта инфекция по-разному. Более чем у 80% инфицированных вирус находится в неактивной форме и не дает о себе знать.
Однако у 17—20% людей вирус ВПГ-I периодически «просыпается» и начинает активно размножаться. Этот процесс называется рецидивом и сопровождается появлением высыпаний на лице.
К наиболее частым факторам, способным спровоцировать рецидив герпеса, относятся:
- переохлаждение;
- простуда и другие вирусные или бактериальные инфекции;
- переутомление;
- стресс;
- травма;
- менструация;
- «жесткие» диеты, гиповитаминоз и истощение;
- чрезмерное увлечение загаром.;
Вирус при этом может поражать любой участок кожи или слизистых оболочек организма. Но чаще всего при рецидиве мишенью становятся губы и слизистая носа. У некоторых герпес на лице возникает лишь изредка, являясь в основном косметическим недостатком. Но для людей с резко сниженным иммунитетом наличие в организме вируса может стать серьезной проблемой. Так, к примеру, у больных СПИДом, онкологических пациентов, людей, перенесших трансплантацию органов, обычный вирус герпеса может вызвать поражение внутренних органов.
Лечение герпеса
против вируса простого герпеса
(ВПГ) Ι и ΙΙ серотипов
Рецидивы, поражающие губы или слизистую носа, неплохо поддаются местному лечению кремом или мазью. В более тяжелых случаях врач может порекомендовать таблетки.
Необходимо помнить, что раннее начало лечения герпеса - залог успеха. Перед появлением пузырьков губы становятся очень чувствительными, возникает зуд и покалывание. И если заболевание начать лечить на стадии этих предвестников, то высыпания могут и не появиться, а выздоровление наступит в кратчайшие сроки.
На сегодня не существует лекарств, которые бы полностью уничтожали вирус герпеса в организме человека. Однако существует группа специальных противовирусных средств, эффективно подавляющих размножение ВПГ-I.
Если противовирусный крем начать использовать при уже имеющихся высыпаниях, заживление наступает быстрее, чем при лечении другими способами.
Хронический рецидивирующий герпес (herpes chronicus recidivans)
Что такое Хронический рецидивирующий герпес (herpes chronicus recidivans) -
Это наиболее частая форма эндогенной инфекции, вызываемой вирусом простого герпеса. Появляется в любом возрасте у людей, ранее инфицированных вирусом простого герпеса и имеющих противовирусные антитела. В патогенезе рецидивирующего герпеса основная роль принадлежит факторам, снижающим иммунитет: переохлаждение, вирусные инфекции, пневмония, хронические стрессы, тяжелые общие заболевания (лейкоз, рак и др.). У женщин обострение хронического герпеса часто связано с менструальным циклом.
Что провоцирует / Причины Хронического рецидивирующего герпеса (herpes chronicus recidivans):
К местным факторам, способствующим возникновению обострения, следует отнести травму слизистой оболочки рта, повышенную инсоляцию, высушивание красной каймы губ. Рецидивы могут возникать с различной частотой, в разное время года и не имеют сезонности. У некоторых больных рецидивы возникают 1-2 раза в год, у других 3-4 раза в месяц. В редких случаях заболевание приобретает перманентный характер, когда одни высыпания еще не разрешились, а другие уже появляются.
Симптомы Хронического рецидивирующего герпеса (herpes chronicus recidivans):
Локализация герпетических высыпаний обычно определяется местом внедрения вируса в кожу или слизистую оболочку. Пузырьки могут располагаться на любых участках слизистой оболочки рта, но чаще они появляются на красной кайме губ в области границы с кожей (hepres labialis), передних отделах твердого неба, спинке языка, деснах, щеках, крыльях носа (hepres nasalis), реже - на коже ягодиц, в области крестца, на бедрах. Рецидивирующий герпес чаще всего локализуется в тех участках слизистой оболочки рта, где наблюдается процесс физиологического ороговения. При повторной локализации герпеса на одном и том же месте говорят о фиксированном герпесе. Иногда возникновение пузырьков сопровождается увеличением поднижнечелюстных и подъязычных лимфатических язлов.
Диагностика Хронического рецидивирующего герпеса (herpes chronicus recidivans):
Хронический рецидивирующий герпес необходимо дифференцировать от:
Дифференциальная диагностика основывается на особенностях клинической картины хронического рецидивирующего герпеса, а также на данных цитологических исследований содержимого пузырьков и соскоба из области эрозий, образовавшихся после вскрытия пузырьков в первые 2-3 дня заболевания.
В препаратах обнаруживают гигантские многоядерные клетки. Применяют также вирусологический метод исследования.
Лечение Хронического рецидивирующего герпеса (herpes chronicus recidivans):
Проводят комплексное лечение: на разных этапах заболевания применяют этиотропное и патогенетическое лечение, которое, с одной стороны, направлено на подавление возбудителя, а с другой - на повышение иммунной реактивности организма.
При выборе лечения следует учитывать стадию заболевания: при рецидиве рекомендуется назначать противовирусные химиопрепараты - интерферон и его индукторы, дезоксирибонуклеазу, левамизол и др. В период ремиссии хронического рецидивирующего герпеса применяют иммуномодуляторы, пирогенал, герпетическую вакцину.
Противовирусные химиопрепараты назначают в первые часы и дни после появления высыпаний. Использование ацикловира по 0,2 г 5 раз в день в течение 5 дней при рецидивах хронического герпеса сокращает сроки обострения заболевания и уменьшает болезненные ощущения в областях поражения.
Назначают также бонафтон внутрь по 150 мг в сутки в течение 5-7 дней. Одновременно можно использовать 0,5 % бонафтоновую мазь.
Можно использовать и другие противовирусные препараты: алпизарин, риодоксол, хелепин, теброфен, флореналь, мегосин, метисазон.
Интерферон и его индукторы (госсипол, мегасин) применяют при рецидивах хронической герпетической инфекции. Наиболее эффективно их действие в продромальный период и при появлении первых признаков рецидивов. Хорошее интерфероногенное действие оказывает дибазол, который назначают по 0,01 г 2 раза в день в течение месяца.
Местно используют противовирусные мази с первых дней рецидива, лейкоцитарный интерферон, раствор которого в виде аппликаций наносят на область поражения 5-6 раз в день.
Эффективна лазерная терапия (гелийнеоновый, инфракрасный лазеры).
Внутрь обычно назначают большие дозы аскорбиновой кислоты.
Несколько меньший терапевтический эффект оказывает дезоксирибонуклеаза (ДНКаза), которую вводят внутримышечно по 10-25 мг, предварительно растворив порошок в дистиллированной воде или изотоническом растворе натрия хлорида. Инъекции делают через день; на курс 6-10 инъекций.
При нарушениях системы иммунитета эффективны курсы иммунокорригирующей терапии. Вводят Тактивин по 50 мкг подкожно через день, на курс 5-8 инъекций. Аналогичный препарат тимоптин вводят подкожно по 100 мкг, на курс 4-5 инъекций с интервалами между введениями 4 дня.
Левамизол (декарис) благоприятно действует на течение рецидивирующих форм простого герпеса, сокращая продолжительность рецидивов, удлиняя периоды ремиссии и уменьшая болезненность высыпаний. Назначают препарат по 50-150 мг в первые 3 дня каждой недели с перерывами между курсами 5-6 дней; всего 2-4 курса.
В межрецидивный период вводят внутримышечно гаммаглобулин - по 3 мл в сутки с интервалом в 3-4 дня, на курс 6 инъекций; интервал между курсами 2 мес.
Необходимо тщательное обследование больных рецидивирующим герпесом для выявления и устранения очагов хронической инфекции в организме, в том числе и в полости рта (периодонтит, пародонтит, тонзиллит, гайморит и др.). Устраняют местные факторы, способствующие возникновению рецидивов (хроническая травма, сухость губ, хронические трещины губ).
К каким докторам следует обращаться если у Вас Хронический рецидивирующий герпес (herpes chronicus recidivans):
Вас что-то беспокоит? Вы хотите узнать более детальную информацию о Хронического рецидивирующего герпеса (herpes chronicus recidivans), ее причинах, симптомах, методах лечения и профилактики, ходе течения болезни и соблюдении диеты после нее? Или же Вам необходим осмотр? Вы можете записаться на прием к доктору .
Опоясывающий герпес (опоясывающий лишай) - симптомы и лечение
Что такое опоясывающий герпес (опоясывающий лишай)? Причины возникновения, диагностику и методы лечения разберем в статье доктора Александрова Павла Андреевича, инфекциониста со стажем в 14 лет.
Над статьей доктора Александрова Павла Андреевича работали литературный редактор Маргарита Тихонова , научный редактор Сергей Федосов
Определение болезни. Причины заболевания
Опоясывающий герпес (опоясывающий лишай) — это инфекционное заболевание, которое возникает у людей, переболевших ветряной оспой. Его вызывает вирус Varicella zoster (вирус ветряной оспы), который активизируется из латентного состояния и поражает задние корешки спинного мозга, межпозвоночные нервные узлы (ганглии) и кожу.
Клинически характеризуется умеренно выраженным синдромом общей инфекционной интоксикации, везикулёзной сыпью по ходу чувствительных нервов, вовлечённых в процесс, и выраженными болями.

Этиология
Семейство — Herpesviridae (от греч. herpes — ползучий)
Вид — вирус герпеса 3 типа — Varicella zoster (VZV, HHV-3).
Varicella zoster — ДНК-содержащий клеточно-ассоциированный вирус овальной формы. В диаметре он достигает 120-179 нм. Покрыт липидной оболочкой с гликопротеиновыми шипиками. Имеет антигены как снаружи, так и внутри (сердцевинные антигены). Их количество и качество непостоянно. Других вариантов патогена не найдено.

После того, как человек перенёс ветряную оспу, вирус ретроградным обратным путём перемещается по отросткам нервных клеток (аксонам) к ганглиям. Там он пожизненно сохраняется в латентном состоянии. Антигены вируса на поверхности инфицированных нейронов отсутствуют. Это не позволяет иммунной системе распознать данные клетки.
Для животных непатогенен. Очень неустойчив во внешней среде, изменяется при нагревании. Солнечная радиация, свежий воздух при проветривании, стандартные дезинфицирующие средства и жирорастворители убивают вирус почти мгновенно [1] [2] [5] [7] [9] [10] .
Эпидемиология
Заболеванию подвержены люди, которые перенесли ветряную оспу (как правило, давно) при снижении иммунореактивности организма. К ним относятся пожилые, беременные, ВИЧ-инфицированные, люди после стресса или трансплантации органов — получающие иммуносупрессивную терапию (подавление нежелательных реакций иммунной системы) и другие иммунодепрессированные контингенты.
Так как заболевание развивается из-за реактивации вируса, уже находящегося в организме, опоясывающий герпес называют эндогенной болезнью.
Заболевание не носит массовый характер. У него нет чёткой сезонности. Чуть чаще болеют женщины и представители белой расы.
Люди с опоясывающим герпесом являются источником распространения вируса и могут быть опасны в плане заражения ветряной оспой у ранее не болевших людей, особенно детей.
В среднем заболеваемость находится на уровне 10-12 случаев на 1000 человек старше 60 лет. В последнее десятилетие наблюдается рост заболеваемости в более младших возрастных группах.
У ВИЧ-инфицированных опоясывающий герпес — достаточно частое проявление при снижении уровня СД4 (белых кровяных телец) ниже 0,5 на 10 9 /л. При отсутствии прогрессирующей иммуносупрессии повторные рецидивы наблюдаются редко (не более 5 % случаев) [1] [3] [5] [7] [10] .
При обнаружении схожих симптомов проконсультируйтесь у врача. Не занимайтесь самолечением - это опасно для вашего здоровья!
Симптомы опоясывающего герпеса
Инкубационный период в привычном понимании отсутствует, так как опоясывающий герпес — это не первичная инфекция. Может пройти вся жизнь, а манифестация так и наступит, хотя вирус в организме присутствует.
Предугадать развитие болезни сложно. Её начало и проявления широко различаются и зависят от степени тяжести. Заболеванию может предшествовать стресс, травма или ОРЗ.
Выделяют симптоматику отдельных форм опоясывающего лишая.
Ганглиокожная форма
Эта форма начинается с продромы — лёгкое недомогание, нарушения чувствительности, умеренные болевые ощущения в местах будущих высыпаний. Этот период длится до семи дней. Затем боли становятся выраженными, появляется лихорадка, умеренно выраженный синдром общей инфекционной интоксикации. Иногда боли усиливаются даже при дуновении ветра (т.н. аллодинические боли — от неболевых раздражителей).
Через 3-10 дней в этих местах на фоне покраснения появляется везикулёзная сыпь. При этом интенсивность боли обычно снижается. Сыпь возникает с одной стороны, ограниченная областью иннервации одного сенсорного ганглия. Везикулы имеют тенденцию к группировке.

В дальнейшем содержимое везикул мутнеет, иногда вскрывается. Через 4-5 дней от появления сыпи появляются корочки. Они исчезают на 2-4 неделе болезни.

Разрешаются в ысыпания бесследно, но только при отсутствии расчёсов и глубоких воспалительных повреждений. А вот болевые феномены могут сохраняться длительно, иногда до года. Это требует своевременной противовирусной терапии и купирования боли.
В целом боли при опоясывающем герпесе достаточно выраженные, усиливаются при движении, прикосновении (даже незначительном). Их можно расценить как острые (с продромы и до одного месяца), подострые (1-4 месяца) и хронические (более 4 месяцев - постгерпетическая невралгия - типичная нейропатическая боль). Характер болей может быть различным - постоянным и спонтанным, чаще жгучим, давящим. Иногда боли сравнивают с ударом тока. Они могут причинять значительные физические страдания больным, нарушать сон, изматывать пациента.
Локализация болей и сыпи соответствует проекции поражённых нервов.

Глазная форма
Высыпания появляются на лице, носе и глазах. Это связано с поражением тройничного нерва и гассерова узла. Сыпь распространяется от уровня глаза до теменной области, резко прерывается по срединной линии лба. Иногда процесс затрагивает глаз.

Ушная форма
Поражается коленчатый узел. При этом захватывается ушная раковина, наружный слуховой проход. Может возникнуть паралич лицевого нерва и лицевой мускулатуры — т.н. синдром Ханта. Теряется вкусовая чувствительность.

Гангренозная (некротическая) форма
Возникает глубокое поражение кожи. Формируются грубые рубцы, иногда с геморрагическим пропитыванием содержимого — геморрагическая форма. Чаще всего развивается у пожилых людей с отягощённым соматическим анамнезом — сахарным диабетом, язвенной болезнью и т. д.

Менингоэнцефалитическая форма
Чаще наблюдается при расположении сыпи на голове. Повышается температура, возникают головные боли, тошнота и рвота, не приносящая облегчения, менингеальный синдром, нарушения сознания, кома. Летальность при этом состоянии — свыше 60 %.
Диссеминированная форма
Возникает при СПИДе. Высыпания распространяются по всему кожному покрову. Часто при этом поражаются внутренние органы — лёгкие, мозг, печень, почки. Прогноз неблагоприятный.
Ганглионевралгическая форма
Характерные высыпания отсутствуют, но есть явный болевой синдром. Диагностика крайне затруднительна. Из-за очень позднего диагноза лечение сводиться лишь к купированию боли. Применение противовирусных препаратов в отсроченный период явно не влияет на процесс.
Опоясывающий герпес при беременности
У беременных опоясывающий герпес (при отсутствии ВИЧ) обычно не имеет каких-либо отличий. Он не влияет на течение беременности и не вызывает поражения плода/ребёнка [2] [3] [6] [8] [10] .
Патогенез опоясывающего герпеса
Даже спустя много лет после перенесённой ветряной оспы вирус сохраняется в межпозвоночных нервных узлах и задних корешках спинного мозга. Под воздействием провоцирующего фактора (ВИЧ, стресса, приёма иммунодепрессантов, онкологии, радиации, пересадки органов и других) он активизируется и выходит из нервных клеток. Продвигаясь по аксонам чувствительных нервных стволов (чаще межрёберных, тройничного нерва) до кожного покрова, вызывает характерное поражение кожи — болезненную везикулёзную сыпь.
Такой процесс происходит у людей с наличием специфических антител класса G в низких концентрациях и сниженным уровнем клеточного иммунитета.

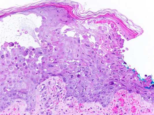
Патоморфологические изменения кожи напоминают изменения при простом герпесе:
- возникает внутриклеточный и межклеточный отёк эпидермиса;
- в верхних отделах росткового слоя образуются пузырьки;
- происходит баллонирующая дегенерация и дистрофия цитоплазмы — клетки шиповатого слоя округляются, увеличиваются и отделяются друг от друга и разрушаются;
- появляются гигантские клетки, которые содержат несколько ядер, в том числе с эозинофильными включениями.

В патогенезе болезни ведущими являются не эпителиотропные свойства вируса, а нейротропные. Из-за часто повторяющихся болевых стимулов, частичного повреждения миелиновой оболочки, покрывающей аксоны и нейроны, и участков чувствительных нервов вирус повышает чувствительность ноцицепторов центральной нервной системы [1] [2] [5] [7] [10] .
Классификация и стадии развития опоясывающего герпеса
МКБ-10 (Международная классификация болезней) выделяет семь вариантов опоясывающего герпеса (B02):
- B02.0 — опоясывающий лишай с энцефалитом;
- B02.1 — опоясывающий лишай с менингитом;
- B02.2 — опоясывающий лишай с другими осложнениями со стороны нервной системы: постгерпетический ганглионит узла коленца лицевого нерва, полиневропатия, невралгия тройничного нерва;
- B02.3 — опоясывающий лишай с глазными осложнениями: блефарит, конъюнктивит, иридоциклит, ирит, кератит, кератоконъюнктивит, склерит;
- B02.7 — диссеминированный опоясывающий лишай;
- B02.8 — опоясывающий лишай с другими осложнениями;
- В02.9 — опоясывающий лишай без осложнений.
По клинической картине выделяют две основные формы заболевания:
- Типичная (без осложнений и с осложнениями):
- эритематозная — покраснения;
- везикулёзная — покраснение с образованием везикул (пузырьков);
- пустулёзная — покраснение, везикулы, нагноение пузырьков;
- буллёзная — тяжело протекающая форма с появлением на коже пузырей, наполненных экссудатом, впоследствии нередко нагнаивающихся.
- Атипичная (без осложнений, с осложнениями):
- абортивная — наблюдается лишь гиперемия, иногда возникают папулы, но без везикул, т. е. без пузырьков;
- геморрагическая — содержимое везикул пропитывается кровью;
- гангренозная — с некрозом тканей;
- генерализованная — обширные высыпания, поражающие несколько участков кожи;
- диссеминированная (в т. ч. у ВИЧ-инфицированных) — обширные высыпания с поражениями внутренних органов; крайне неблагоприятный прогноз;
- опоясывающий герпес с поражением органа зрения (офтальмогерпес с развитием кератита, эписклерита, иридоциклита) и неврита зрительного нерва;
- опоясывающий герпес с поражением слизистой полости рта, глотки, гортани, ушной раковины и слухового прохода.
По степени тяжести заболевание может быть:
- лёгким;
- среднетяжёлым;
- тяжёлым (с осложнениями) [1][2][10]
Осложнения опоясывающего герпеса
- Поперечный миелит — острое воспаление серого и белого вещества одного или нескольких прилегающих сегментов спинного мозга. Возникают головные, шейные и спинные боли. Затем добавляется чувство слабости, опоясывающей скованности груди и живота — двигательные параличи, задержка мочи и кала. Для диагностики проводится МРТ и анализы ликвора.
- Менингоэнцефалит — резкое повышение температуры, сильная головная боль, тошнота, рвота, менингеальный симптомы, нарушение сознания. Диагностируется с помощью МРТ и анализов ликвора. Прогноз неблагоприятный.
- Офтальмогерпес — покраснение, нарушение зрения, боль в глазу. В итоге приводит к глаукоме и слепоте.
- Отит — боли в ухе, повышение температуры тела, выделения из уха, нарушения слуха. Может привести к глухоте.
- Ганглионеврит — воспаление нервного ганглия с относящимися к нему нервными стволами. Сопровождается выраженными стреляющими, жгучими болезненными ощущениями, которые возникают из-за малейших воздействий на поражённый очаг. Возникает в основном у пожилых больных при отсутствии своевременного лечения.
- Бактериальная суперинфекция — нагноение участков высыпаний.

- Диссеминация у больных СПИДом — распространение вируса. Приводит к бронхиту, эзофагиту, гастриту, колиту, циститу, миозиту, перикардиту, плевриту, перитониту, пневмонии, гепатиту, миокардиту и артриту[1][4][9][10] .
Диагностика опоясывающего герпеса
Лабораторная диагностика:
- Клинический анализ крови: нормоцитоз (нормальные размеры эритроцитов) или лейкопения (сниженное количество лимфоцитов). При присоединении вторичной флоры возможен нейтрофильный лейкоцитоз — чрезмерно повышенный уровень нейтрофилов. СОЭ в норме или повышена.
- Биохимический анализ крови: как правило, без существенных отклонений, зависит от распространённости процесса и наличия сопутствующих заболеваний.
- ИФА-диагностика крови: выявление повышенного титра IgG антител как маркера инфицирования вирусом, нарастание титра в 4 раза, иногда появление IgM к вирусу ветряной оспы.
- ПЦР биологического материала (отделяемого высыпаний, ликвора, крови): выявление ДНК вируса.
- Экспресс-методы — изучение под микроскопом мазков-отпечатков из высыпаний: обнаруживаются гигантские многоядерные клетки — симпласты — с внутриядерными включениями и специфические антигены с моноклональными антителами. Проводится в основном в научных целях.
- Общий анализ мочи неинформативен [1][2][5][7][9][10] .
Дифференциальная диагностика:
- везикулёзный осповидный риккетсиоз — пребывание на очаговой территории, факт укусу клеща, первичный аффект, панваскулит (воспаление стенок сосуда), генерализованная лимфаденопатия;
- инфекция простого герпеса — одиночные пузырьки, чаще в области губ и половых органов, отсутствие явных болей; — контакт с больным ветряной оспой или опоясывающим герпесом, отсутствие ветряной оспы в прошлом, единичные несливающиеся везикулы по всему телу, отсутствие болей в местах высыпаний;
- энтеровирусная инфекция — теплое время года, преимущественное поражение кистей и стоп, в основном папулёзные элементы сыпи, часто в совокупности с синдромом поражение ЖКТ;
- укусы блох и клопов — яркая зудящая сыпь — папулы, гиперемия в местах укусов — первичные аффекты, наличие элементов в основном на открытых участках кожи;
- болевая форма терапевтических заболеваний до характерных высыпаний — стенокардия, инфаркт, печёночная и почечная колики — заключение делается на основании характерных изменений биохимии, УЗИ и ЭКГ;
- рожистое воспаление — отсутствие везикул, характерный вид пламени [1][3][4][10] .
Лечение опоясывающего герпеса
Пациентов с тяжёлыми формами опоясывающего герпеса необходимо госпитализировать в инфекционный стационар. Остальные больные при отсутствии серьёзных сопутствующих состояний могут лечиться на дому.
В первую очередь показан приём препаратов прямого противогерпетического действия (на основе ацикловира) в высоких дозировках. Он снижает выраженность и длительность инфекционного и постинфекционного (болевой синдром) процесса.
Начать такое лечение нужно как можно раньше — не позднее семи дней от начала болезни и трёх дней от появления сыпи.
При применении препаратов в более поздние сроки их эффективность резко снижается, так как вирус уже достиг пика своего развития и вызвал каскад иммунонейропатологических реакций.
Использование местных средств против герпеса — мазей и кремов — оказывает слабый терапевтический эффект.
Для подсушивающего, местного антисептического действия используют любой местный антисептик подобного рода — цинковые болтушки, растворы бриллиантового зелёного.
При обширных поражениях, сопровождающихся выраженной воспалительной реакцией, используются противовоспалительные средства, глюкокортикостероиды и противоаллергические препараты.
При выраженных болях (ганглионевритах) стандартные противоболевые средства (НПВС) малоэффективны, поэтому предпочтение следует отдавать антиконвульсантам центрального действия и антидепрессантам. Физиотерапия ослабляет болевые ощущения. Приём витаминов, БАДов и т. п. явного значения не имеет [1] [2] [3] [8] [10] .
Прогноз. Профилактика
При неосложнённых и локализованных формах болезни прогноз благоприятный. При развитии ганглионевритических болей может существенно снизиться качество жизни на достаточно длительный срок (до года), а при менингоэнцефалитической и диссеминированной формах — на ещё более серьёзный срок, нередки летальные исходы.
Профилактика болезни в очаге заражения не проводится. Если опоясывающим герпесом болел ВИЧ-инфицированный пациент, то достаточно проветрить помещение.
В целях неспецифической профилактики опоясывающего герпеса нужно постараться вести здоровый образ жизни, сбалансировано и полноценно питаться, избегать стрессовых ситуаций.
В качестве специфической профилактики используются вакцины против ветряной оспы — "Варилрикс" и "Окавакс". Их можно делать как до болезни ветряной оспы (детям и неболевшим взрослым), так и после (пожилым людям с риском реактивации вируса).
Герпес
Информацию из данного раздела нельзя использовать для самодиагностики и самолечения. В случае боли или иного обострения заболевания диагностические исследования должен назначать только лечащий врач. Для постановки диагноза и правильного назначения лечения следует обращаться к Вашему лечащему врачу.
Для корректной оценки результатов ваших анализов в динамике предпочтительно делать исследования в одной и той же лаборатории, так как в разных лабораториях для выполнения одноименных анализов могут применяться разные методы исследования и единицы измерения.
Герпес: причины появления, симптомы, диагностика и способы лечения.
Определение
Герпесом, или герпетической инфекцией, называют несколько заболеваний, вызываемых вирусами отряда Herpesvirales семейства Herpesviridae.
Все они характеризуются поражением кожи, слизистых оболочек с локализацией либо в области глаз, носа и губ, гениталий, а также нервных волокон.
У лиц с иммунодефицитом могут наблюдаться генерализованные формы инфекции с вовлечением в процесс других органов и тканей.

Среди известных науке восьми типов герпеса самым распространенным является вирус герпеса простого типа (Herpes simplex virus).
Простой вирус герпеса достаточно неустойчив во внешней среде. В условиях комнатной температуры сохраняется до 24 часов, на металле — до 2 часов. Под действием температуры выше 50°C погибает за 30 минут, под действием спирта и хлорсодержащих веществ - в течение нескольких минут, при замораживании сохраняется до пяти суток.
Причины герпетической инфекции
Источником инфицирования всегда служит человек. Он заразен в любую фазу болезни или носительства, но преимущественно при обострении.
Возбудитель может передаваться воздушно-капельным, контактно-бытовым или половым путем, а также от матери плоду через плаценту, во время родов или грудного вскармливания.
К вирусу восприимчивы все люди, хотя у многих отмечаются бессимптомные формы заболевания. Попадая через слизистую рта, половых органов или дыхательные пути в организм человека, герпесная инфекция остается в нем навсегда. Вирус, скрытый внутри клетки-хозяина, не доступен для иммунных клеток, уничтожающих возбудителей. Вирус активизируется при ослаблении иммунитета в результате переохлаждения, перегрева, простудного заболевания, недостатка витаминов, переутомления, стресса, нехватки сна. Рецидив инфекции могут вызвать травмы, оперативные вмешательства, а также половой контакт при условии повреждения слизистой оболочки. Использование лекарственных и косметических средств, содержащих стероидные гормоны, также способствует манифестации вируса герпеса.
Классификация герпеса
В МКБ-10 (Международной классификации болезней) выделяют две группы заболеваний, связанных с вирусом простого герпеса:
- Инфекционные герпетические заболевания:
- герпетическая экзема (экзема Капоши);
- герпетический везикулярный дерматит;
- герпетический гингивостоматит и фаринготонзиллит;
- герпетический менингит;
- герпетический энцефалит;
- офтальмогерпес;
- диссеминированная герпетическая болезнь (герпетический сепсис);
- другие формы герпетических инфекций;
- неуточненная герпетическая инфекция.
- Генитальные герпетические инфекции:
- герпетические инфекции перианальных кожных покровов и прямой кишки;
- неуточненная аногенитальная герпетическая инфекция.
По клинической картине и локализации высыпаний:
- Типичные формы:
- герпес кожи — с поражением губ, крыльев носа, лица, рук, ягодиц и других частей тела;
- герпес глаз — иридоциклит, кератит, конъюнктивит, неврит зрительного нерва;
- герпес слизистых оболочек желудочно-кишечного тракта — стоматит, гингивит, фарингит, эзофагит;
- герпес половых органов — поражение слизистой оболочки полового члена, влагалища, вульвы, цервикального канала;
- герпес внутренних органов — гепатит, пневмония, панкреатит, трахеобронхит;
- герпес нервной системы — неврит, менингит, менингоэнцефалит, поражения бульбарных нервов, энцефалит;
- генерализованный простой герпес — висцеральная форма (пневмония, гепатит, эзофагит) и диссеминированная форма (сепсис).
- Атипичные формы:
- герпетиформная экзема Капоши — обширные сливающиеся высыпания по всему телу;
- абортивный герпес — почти незаметные папулы на грубой коже или дискомфорт без высыпаний;
- язвенно-некротический герпес — с развитием некроза тканей;
- эрозивно-язвенный герпес — с образованием язв и эрозий;
- геморрагический герпес — с кровянистым пропитыванием высыпаний и тканей;
- отечный герпес — с отеком тканей и болью в области губ и век;
- зостериформный простой герпес — с локализацией по ходу нервного ствола;
- диссеминированный герпес — с тенденцией перехода в генерализованную форму при ВИЧ;
- рупиоидный герпес — возникает на лице с присоединением вторичной бактериальной флоры;
- мигрирующий герпес — с тенденцией к изменению локализации высыпаний.
- латентная стадия — носительство с отсутствием симптомов;
- локализованная стадия — наличие одного очага поражения;
- распространенная стадия — наличие не менее двух очагов поражения;
- генерализованная стадия — висцеральная, диссеминированная.
При заражении герпесом детей в возрасте от 6 месяцев до 3 лет чаще всего развивается герпетический стоматит, для которого характерно острое начало с симптомами интоксикации и подъемом температуры.
На слизистой оболочке полости рта появляются сгруппированные пузырьки с прозрачным содержимым, на месте которых после вскрытия образуются болезненные эрозии. У детей старшего возраста первичный герпес характеризуется появлением зудящих пузырьков на красной кайме губ и коже носогубного треугольника. После их вскрытия остаются неглубокие язвочки, которые покрываются корочками. Корочки, отпадая, не оставляют следов на коже.
При первичном заражении взрослых вирусом простого герпеса симптомы более выражены, чем при дальнейших рецидивах. Больной испытывает озноб, головные боли, повышенную утомляемость, у него отсутствует аппетит, может наблюдаться расстройство сна. Покраснение, а затем характерные пузырьки появляются на губах, возле крыльев носа. В некоторых случаях увеличиваются подчелюстные лимфоузлы.
Герпетические нейроинфекции сопровождаются наиболее тяжелым течением, особенно если вирус поражает оболочки или ткань головного мозга.
В этих случаях симптомы включают головные боли, подъем температуры тела, напряжение затылочных мышц, психомоторное возбуждение (болезненное состояние, при котором наблюдается беспокойство и двигательная активность различной степени выраженности, вплоть до судорог). При несвоевременной диагностике заболевания существует риск летального исхода.
Офтальмогерпес сопровождается покраснением глаза, развитием блефаро- или кератоконъюнктивита, эрозиями роговицы.
Диагностика герпеса
Типичные случаи герпетической инфекции выявляются на основании клинической картины и анамнеза заболевания. Характерно его волнообразное течение со сменой периодов обострения и ремиссии.
Косвенным признаком служит склонность к простудным заболеваниям, чувствительность к переохлаждению, периодически возникающие состояния, сопровождаемые подъемом температуры, усталостью, депрессией.

При атипичных формах герпетической инфекции необходимы дополнительные обследования: клинический анализ крови, биохимический анализ крови (общий белок, белковые фракции, С-реактивный белок, АЛТ, АСТ, ЛДГ, креатинин, электролиты: калий, натрий, хлор, кальций) и клинический анализ мочи - для выявления поражения внутренних органов и предупреждения осложнений.
Синонимы: Общий анализ крови, ОАК. Full blood count, FBC, Complete blood count (CBC) with differential white blood cell count (CBC with diff), Hemogram. Краткое описание исследования Клинический анализ крови: общий.
Генитальный герпес
Генитальный герпес: причины появления, классификация, симптомы, диагностика и способы лечения.
Определение
Генитальный герпес - хроническое рецидивирующее заболевание вирусной этиологии, передающееся преимущественно половым путем. Герпес считается крайне распространенным эрозивно-язвенным заболеванием половых органов - ежегодно в мире регистрируется 500 000 новых случаев обращений по этому поводу. В Российской Федерации у лиц старше 18 лет инфицированность вирусом, вызывающим генитальный герпес, составляет 17,2 случая на 10 000 населения.
В 70% случаев заболевание протекает бессимптомно, что и обусловило широкое распространение этой патологии.
Причины появления генитального герпеса
Генитальный герпес вызывает вирус простого герпеса (ВПГ) I и/или II типов. Вирус герпеса I типа чаще всего поражает слизистую оболочку рта и носит название орального (лабиального) герпеса. При заражении этим вирусом очаги поражения локализуются на лице в области губ.
Вирус герпеса II типа чаще вызывает генитальный герпес, однако оба типа могут провоцировать развитие патологии оральной и генитальной локализации. Для ВПГ II типа более характерно рецидивирующее течение, чем для ВПГ I.
- Половой путь - самый часто встречающийся путь передачи генитальной герпетической инфекции.
- Передача вируса бытовым путем является самой редкой.
- Аутоинокуляция - перенос вируса с зараженных участков слизистой на здоровые самим больным.
- Трансплацентарный - через плаценту от инфицированной матери плоду.
- Перинатальный - в процессе родов.
- Контактно-бытовой (при несоблюдении правил ухода и гигиены).
- Аутоинокуляция (см. выше).
- Беспорядочная половая жизнь без использования барьерной контрацепции (презервативов).
- Нарушение правил личной и бытовой гигиены.
- Снижение иммунитета (в силу наличия длительно текущих хронических заболеваний, несбалансированного питания, подверженности частым стрессам, нарушения режима сна).
- Первый эпизод развития клинической симптоматики генитального герпеса.
- Рецидивирующая герпетическая инфекция.
- Инфекция мочеполовых органов.
- у мужчин,
- у женщин.
- Инфекция прямой кишки и перианальной кожи.
- Герпес с типичной клинической картиной.
- Атипичное течение.
Если иммунная система справляется с вирусом на этом этапе, то формируется иммунитет и носительство вируса, не исключающее рецидива заболевания при ослаблении защитных функций организма.
Если у организма нет ресурсов противостоять ВПГ, то вирус проникает во внутренние органы и фиксируется на них. При снижении иммунитета, прочих вирусных инфекциях или при обострениях хронических заболеваний ВПГ из органов вновь выходит в кровь и с ее током разносится по организму.
Симптомы генитального герпеса
При первичном инфицировании инкубационный период составляет от 1 до 10 дней, а клинические проявления длятся от 18 до 24 дней с нарастанием симптоматики в течение недели. До возникновения очагов повреждения у 50% больных появляются продромальные симптомы - парестезии, чувство жжения в генитальной области, невралгии в ягодичной, паховой бедренной областях, дизурия - и продолжаются до 24 часов. В последующем вирусное повреждение эпителия проявляется в виде везикул на эритематозном фоне с дальнейшим характерным разрешением (образованием корочек). Симптомы общей интоксикации, свойственные любой вирусной инфекции, - недомогание, слабость, субфебрилитет, головная боль - развиваются, как правило, при первичном инфицировании, при рецидиве они минимальны.
Непервичная генитальная герпетическая инфекция протекает менее выраженно: длительность клинических проявлений составляет до 15 дней, реже наблюдается бессимптомное выделение вируса, длительность слущивания поврежденного эпителия составляет всего 4-5 дней.
Высыпания на половых органах и/или в перианальной области всегда носят пузырьковый характер, содержимое прозрачное, основание пузырьков гиперемировано (красного цвета); могут быть множественными и единичными.
Пораженная область слизистой оболочки отечная. У мужчин самая частая локализация высыпаний - мошонка, половой член, лобок, промежность, перианальная область.
У женщин - клитор, влагалище, вульва, лобок, шейка матки, перианальная область. В случае присоединения вторичной (чаще бактериальной) инфекции появляются гнойные и слизисто-гнойные выделения.

В случае обострения генитального герпеса присутствует боль при половом контакте.
Диагностика генитального герпеса
Диагностика этого заболевания строится на характерной клинической картине высыпаний и на выявлении ДНК вируса в крови или в отделяемом с пораженных тканей.
Необходимо сдать анализы крови для подтверждения инфицированности вирусом герпеса и определения активности процесса, для выявления ДНК вируса в эякуляте, секрете простаты, в соскобе клеток урогенитального тракта, а также в соскобах с конъюнктивы, кожи, слизистой оболочки носа, ротоглотки.
Раздельное определение ДНК-вируса простого герпеса 1 типа (губного или лабиального) и 2 типа (генитального) в сыворотке крови методом полимеразной цепной реакции (.
Читайте также:
- Причины и механизмы развития тератом шеи. Диагностика тератом шеи плода
- Генетическая гетерогенность как причина глазных болезней
- Неотложная помощь. Неотложная медицинская помощь.
- Курение и развитие атеросклероза. Отрицательные эмоции, стрессы как факторы риска атеросклероза.
- Подострая форма радиационного поражения. Хроническая форма радиационной язвы
