Гингивит беременных. Диабетический гингивит. Отек десен при гипотиреозе.
Добавил пользователь Евгений Кузнецов Обновлено: 01.02.2026
Воспаление десен при беременности - это процесс, для которого характерна кровоточивость десен, а также гипертрофия десневых сосочков, возникающая в связи с увеличением концентрации эстрогена и прогестерона в крови беременной женщины. Это состояние обычно называют термином «гингивит беременных», и по статистике он наблюдается у 75% женщин - на сроке от 2 до 8 месяца. Чаще всего гингивит возникает в области передних зубов, и поражает он только десневой край у шеек зубов (включая десневые сосочки).
Клинические исследования показывают, что более половины всех женщин с гингивитом беременных - на начало беременности уже имели легкую форму хронического катарального гингивита, которая протекает практически бессимптомно. Таким образом, увеличение содержания эстрогенов и прогестерона в большинстве случаев приводило к обострению уже существовавшего гингивита, а не являлось первопричиной его развития. Подробнее о причинах воспаления мы подробнее расскажем ниже, т.к. существуют и другие факторы, которые нужно учитывать.
Хронический катаральный гингивит -
Но у беременных может наблюдаться не только гингивит, но и более серьезное заболевание десен, при котором воспаление распространяется с поверхностной части десны - на более глубокие ткани. Это заболевание называют термином - пародонтит, и при нем наблюдается разрушение костной ткань вокруг зубов, разрушение зубо-десневого прикрепления, гноетечение из пародонтальных карманов, а со временем присоединяется и подвижность зубов. И это заболевание уже опосредованно влияет и на плод, что требует обязательного его лечения.
Причины и симптомы гингивита беременных -
Развитие заболевания обычно связывают с перестройкой гормонального баланса во время беременности - прежде всего с высокой концентрацией эстрогенов, прогестерона, а также простагландинов. Ряд авторов также рассматривает в качестве дополнительной причины развития гингивита у беременных - явления токсикоза. Однако, как мы уже сказали выше - есть и дополнительные причины, не связанные ни с гормонами, ни с какими-либо другими изменениями в организме беременной женщины.
Эти изменения касаются, во-первых, изменений в пищевом поведении. Например, женщины обычно начинают потреблять значительно больше углеводов (продукты, содержащие содержащие сахар, муку, крахмал). Причем большое их количество потребляется между основными приемами пищи, т.е. это так называемые перекусы между едой. Естественно, что после каждой печеньки или булочки в середине дня - женщины не бегут чистить зубы, а максимум споласкивают рот водой или ополаскивателем.
Застрявшие пищевые остатки являются отличной питательной средой для мягкого микробного зубного налета, что приводит в том числе к бурному его росту. Патогенные бактерии зубного налета выделяют токсины, которые запускают в десне воспалительную реакцию. Таким образом, к развитию воспаления десен у беременных приводит как изменение пищевого поведения, так и наблюдаемый при этом недостаточный уровень гигиены полости рта.
1) Симптомы первой половины беременности -
Первые симптомы появляются обычно на 3-4 месяце беременности, т.е. как раз тогда, когда происходят самые интенсивные гормональные сдвиги в организме. Симптомы этого периода больше характерны для той формы гингивита, которую принято называть «катаральным гингивитом» -
- кровоточивость десен,
- отек десневых сосочков и краевой части десны,
- болезненность при чистке зубов,
- изменение цвета десны с бледно-розового на красный, а потом и на синюшный.

При этом жалобы женщин на то, что у них болят десны при беременности - могут быть связаны не только с болезненностью во время чистки зубов, т.е. когда происходит механическое раздражение десен. В случае развития выраженного воспаления - боли могут наблюдаться даже в покое.
Причем при появлении болезненности и кровоточивости десен многие женщины начинают «щадить» десны, начиная чистить зубы реже или менее интенсивно (больше налегая на полоскания полости рта). В результате происходит еще большее накопление мягкого микробного зубного налета в области шеек зубов, что только увеличивает кровоточивость, а также другие симптомы воспаления десен.
2) Симптомы второй половины беременности -
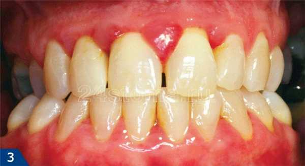
Выделяют 2 формы гипертрофического гингивита -
- Отечная форма -
при которой десневые сосочки увеличены, синюшны, мягкие на ощупь, имеют рыхлую консистенцию или полипозные разрастания. - Фиброзная форма -
когда десневые сосочки по-прежнему увеличены, но становятся плотными на ощупь (за счет разрастания фиброзной ткани).
Гингивит беременных: влияние на плод
Как было отмечено выше - гормональная перестройка и явления токсикоза способствуют нарушению кровоснабжения в деснах и гипертрофическому увеличению десневых сосочков. Но собственно же явления воспаления в деснах развиваются за счет недостаточной гигиены (на фоне изменений в режиме питания) - в результате чего у шеек зубов скапливается мягкий микробный зубной налет.
При возникновении гингивита у беременных - влияние на плод будет минимальным, т.к. гингивит это лишь поверхностная форма воспаления десен (хотя безусловно, что какая-то небольшая часть бактериальных токсинов и медиаторов воспаления - все-таки будет попадать в кровь беременной женщины). И в данном случае гипертрофический гингивит беременных является больше эстетической проблемой. Но совсем другая ситуация - когда вовремя невылеченный гингивит трансформируется в пародонтит, при котором между корнями зубов и десной появляются пародонтальные карманы.
В пародонтальных карманах всегда имеет место быть агрессивная патогенная микрофлора, которая разрушает костную ткань вокруг зубов и поддерживает выраженную воспалительную реакцию в глубине десен. В воспаленных тканях при пародонтите вырабатывается большое количество - 1) воспалительных цитокинов, 2) простагландинов «PGE-2», 3) интерлейкинов «IL-6» и «IL-8». Все эти воспалительные маркеры крайне негативно влияют на течение беременности, но кроме этого они увеличивают риск преждевременных родов в 6-7 раз.
При пародонтите повышенные уровни всех перечисленных выше воспалительных маркеров - обнаруживаются у беременной женщины уже не только в ее крови, но даже в амниотической жидкости (в которой находится плод). Клинические исследования показали, что риск преждевременных родов у беременных женщин с пародонтитом - связан с двумя факторами. Во-первых - это связано с высвобождением PGE-2, который ограничивает плацентарный кровоток, вызывая постепенный некроз плаценты и ограничение внутриутробного роста.
Во-вторых - это связано с цитокинами, выработка которых способствует сокращению матки и расширению цервикального канала. Все эти данные взяты из клинических исследований - 1) Дёртбудак О., Эберхардт Р. и др. «Пародонтит - маркер риска преждевременных родов при беременности», 2) Гепферт А.Р., Джеффко М.К. и др. «Связь заболеваний пародонта с воспалением верхних отделов половых путей и ранними преждевременными родами».
Лечение воспаления десен при беременности -
Лечение гингивита у стоматолога может быть начато уже в конце 1 триместра, начиная с 9 недели (к этому времени у плода уже заканчивается органогенез). Соответственно, после этого срока уже можно проводить снятие зубных отложений ультразвуком - безопасность этого была показана в клинических исследованиях (Lopez et al . 2002, 2005). Такую пародонтальную терапию можно далее смело проводить на протяжении всего 2 триместра беременности.
Терапия воспаления десен у беременных будет зависеть от формы гингивита, т.е. от преобладания симптомов катаральной или гипертрофической его формы. Напомним, что симптомом гипертрофического гингивита является разрастание десневого края (десневых сосочков).
1) Лечение катаральной формы гингивита у беременных -
Катаральная форма гингивита развивается у беременных на фоне недостаточной гигиены и увеличения микробного зубного налета. Изменение гормонального фона является тут больше провоцирующим фактором, чем первопричиной развития гингивита. Напомним, что эта форма прежде всего характеризуется кровоточивостью и отеком десен, а также их болезненностью при чистке зубов. Лечение будет включать в себя проведение следующих мероприятий:
- Удаление зубных отложений -
раньше считалось, что удалять зубные отложения беременным можно только ручными инструментами - специальными острыми кюретами. Однако сейчас существует масса исследований, что ультразвуковая чистка является самой обычной безопасной процедурой (после 8 недели беременности). Но при этом рекомендуется не ставить ультразвуковой скейлер на самую высокую мощность, а также не проводить слишком агрессивной работы насадкой ультразвукового наконечника в глубоких пародонтальных карманах.
В отношении удаления зубных отложений ручными инструментами мнение врачей сейчас поменялось кардинально. Это связано - 1) с высокой травматичностью этого метода для десен, 2) высокая травматичность всегда сопровождается бактериемией, т.е. попаданием бактерий в кровеносное русло.
Антисептические полоскания :
a) раствор Хлоргексидина 0,05% ( инструкция )
курс 10 дней (не более), 2 раза в день утром и вечером после гигиены полости рта. Рот полоскать каждый раз по целой минуте.
б) полоскания неспиртовыми настоями трав: ромашка, шалфей, эвкалипт.
в) фтористые полоскания: фтор не только укрепляет зубы, но и оказывает кариес-статический эффект на зубной налет и, следовательно, уменьшает воспаление в деснах. Выбирая полоскания, обращайте внимание на то, чтобы они не содержали спирта или антибиотиков (например, триклозана).
Аппликации противовоспалительных препаратов
а) гель МетрогилДента (инструкция)
содержит метронидазол 10 мг и хлоргексидин 0,5 мг. Этот препарат не рекомендуется назначать беременным женщинам только в 1 триместре беременности, но можно во 2-3 триместрах. В период лактации следует решить вопрос о прекращении грудного вскармливания на время применения.
б) ХолисалГель (инструкция)
содержит холина салицилат и цеталкония хлорид. Применение у беременных возможно, но с осторожностью, т.е по предписанию стоматолога.
Подобные противовоспалительные гели наносятся на краевую часть десны, межзубные сосочки - прежде всего со стороны передней поверхности зубов. После нанесения желательно 2-3 часа не принимать пищу и не полоскать рот (пить можно). Наносятся 2 раза в день утром и вечером после, например, полоскания хлоргексидином 0,05%. Курс не более 10 дней.
2. Лечение гипертрофического гингивита -
Эта форма гингивита характеризуется разрастанием краевой десны и десневых сосочков, высокой кровоточивостью. Легкие формы гипертрофического гингивита, как правило, излечиваются самостоятельно у большинства беременных сразу после родов. Если причиной разрастания десны стали нависающие края пломб, коронок, то нужно произвести их коррекцию. Местное лечение на протяжении беременности должно заключаться в поддержании хорошей гигиены, снятии зубных отложений, по необходимости - в проведении противовоспалительной терапии.
Более тяжелые формы заболевания могут потребовать активного лечения - курсов склерозирующей терапии (инъекций склерозирующих растворов в десневые сосочки) или хирургической коррекции десневого края. Такое лечение проводится уже после родов. Более подробно о лечении гипертрофического гингивита вы можете прочитать здесь.
Профилактика гингивита у беременных -
Несмотря на предрасположенность беременных к гингивиту, адекватная самостоятельная гигиена значительно снижает этот риск. Необходимо правильно подобрать зубную щетку и обучить правильному ее применению. При этом - при возникновении кровоточивости лучше использовать мягкие зубные щетки, которые позволяют снизить болезненность при чистке зубов. Неоценимую помощь в поддержании гигиены может оказать ирригатор для промывания межзубных промежутков, пародонтальных карманов и других труднодоступных участков полости рта.
Правильное использование зубной нити и щетки -
Необходимо приучить беременную женщину чистить зубы после каждого приема пищи, а не только 2 раза в день, что, кстати, является нормой не только для беременных, а для всех людей. Также необходимо после каждого приема пищи (до чистки зубов щеткой и пастой) использовать зубную нить для удаления пищевых остатков из межзубных промежутков. О том, как правильно чистить зубы - читайте в нашей статье: «Все о правильной гигиене полости рта».
Источники:
1. Доп. профессиональное образование автора по пародонтологии,
2. На основе личного опыта работы пародонтологом,
3. National Library of Medicine (USA),
4. American Academy of Periodontology (USA),
5. «Нехирургическое пародонтологическое лечение» (Ронкати М.).
Гингивит у беременных
Во время беременности повышается риск развития тех или иных заболеваний. Большая часть из них объясняется изменением гормонального фона, но и снижение общего иммунитета также имеет значение. Стоматологи нередко сталкиваются с такой проблемой, как кровоточивость десен при беременности. Это может оказаться симптомом гингивита. Заболевание требует лечения, так как его отсутствие может привести к развитию более опасных осложнений и потере зубов.
Причины гингивита при беременности

В полости рта постоянно находится большое количество микроорганизмов. Если при беременности возникает небольшой отек десны, увеличивается глубина зубодесневого кармана. Бактерии легко проникают в глубину кармана. Там создаются благоприятные условия для размножения болезнетворных бактерий. Если учесть, что беременные женщины часто балуют себя сладостями, поступление большого количества углеводов создает еще более комфортные условия для бактерий.
Таким образом, отек десны, характерный для беременности, снижение иммунитета, повышенное слюноотделение и особенности питания становятся главными провоцирующими факторами, по причине которых развивается гингивит у беременных.
Стоит отметить и провоцирующий фактор. Зачастую женщины во время беременности становятся капризны. Кого-то раздражает вкус зубной пасты, другие испытывают выраженный рвотный рефлекс. В результате этого страдает гигиена полости рта. Важно и то, что растущий ребенок забирает большое количество питательных веществ, поэтому во время беременности женский организм испытывает острый недостаток витаминов и микроэлементов. Все это повышает риск воспаления и кровоточивости.
Гингивит беременных встречается достаточно часто, но мало кто обращает внимание на кровоточивость из десен во время чистки зубов. Вместе с тем, если вовремя заняться лечением, подобрать препараты, то ухудшение состояния десен можно остановить.
Симптомы гингивита беременных
Катаральный гингивит
Определить заболевание можно по скоплению большого количества налета желтого цвета на поверхности зубов. Одновременно с этим появляется отечность тканей, десны могут болеть, кровоточить, особенно если их травмировать твердым предметом. Примечательно, что патология охватывает сразу все десны в полости рта.

За счет выраженных болевых ощущений и кровоточивости женщина старается щадить их, не чистит жесткой щеткой, не употребляет твердые продукты. Это еще больше усугубляет ситуацию и гингивит прогрессирует. Мягкий зубной налет может начать уплотняться за счет скопления минеральных частиц в его структуре. Если налет еще можно снять зубной щеткой, одновременно проводя лечение гингивита, то от камня уже не избавиться самостоятельно. Только врач может провести процедуры по удалению твердых отложений и подобрать терапию при гингивите.
Гипертрофический гингивит
Гипертрофический гингивит во время беременности развивается несколько позднее, на втором триместре. Зачастую именно к 20 неделе возникают проблемы со слизистой полости рта.
Примечательно, что при гипертрофической форме чаще страдает слизистая в области нижних зубов: резцов, премоляров. Ткани отекают, увеличиваются в размере, присоединяется кровянистые выделения от любого травмирования десны. За счет разрастания тканей карманы становятся более выраженными. Это повышает риск присоединения инфекции, так как бактериям проще достичь глубоких слоев.
Язвенный гингивит
Является наиболее тяжелой формы заболевания. Встречается редко, но доставляет массу неудобств женщине. Как правило, такая форма развивается в третьем триместре. Причиной является не только снижение иммунитета, но и отсутствие адекватного лечения первых двух форм. Стоит отметь и то, что выше шансы столкнуться с патологией у женщин, имеющих хронические патологии. Кроме того, повышает вероятность заболевания чрезмерный стресс.
Определить язвенный гингивит можно по характерным признакам. Десна начинает кровить, отекать, увеличивается в объемах. Болеть может постоянно, при этом боли усиливаются от температурных и механических раздражителей. Постепенно слизистая начинает кровоточить постоянно без ее травмирования. Параллельно может развиться стоматит. На месте кровяных выделений появляются язвочки.
Безопасное лечение гингивита у беременных
Не случайно каждая женщина должна два раза за всю беременность посещать стоматолога, даже если никаких признаков нет. Только врач своевременно может выявить воспаление тканей и подобрать лечение. При выявлении гингивита лечение будет включать:
- Профессиональную чистку зубов. Помогает снять воспаление и избавиться от неприятных ощущений. Выполняется с использованием ультразвукового скалера. Он максимально безопасен для женщины и для плода. После него применяется полировка с использованием пескоструйного аппарата. Рекомендуется провести процедуру с анестезией, так как при воспалении десны очень чувствительны.
- Обработка пораженных десен. Сразу после процедуры наносится гель или мазь на поверхность десны. Можно использовать компрессы.
- Назначение лекарственных препаратов. В первую очередь это анальгетики, полоскания растворами, орошение активными веществами.
- Параллельно важно убрать причину воспаления. Для этого женщине назначают комплексные витамины и микроэлементы. Лечить воспаление придется длительное время, но если этого не сделать, они будут регулярно воспаляться.

Крайне важно уделить внимание профилактике. Только так можно будет не допустить появления признаков гингивита в будущем. Самостоятельно лечить гингивит беременных нельзя. Объясняется этом тем, что большое количество препаратов имеет свои противопоказания.

Из-за гормональных изменений в организме беременной женщины ухудшается кровоснабжение кожи и слизистых оболочек. Кожным покровам это грозит обострением угревой сыпи и появлением растяжек, а слизистым — воспалением. Десны становятся более чувствительными, немного опухают и легко повреждаются во время чистки зубов. Следствием всего этого является гингивит у беременных.
Содержание статьи
Почему гингивит возникает при беременности?
В полости рта обитают десятки миллионов микроорганизмов. Легкое опухание десен приводит к увеличению зубодесневых карманов, которые становятся прекрасным резервуаром для жизни и размножения бактериальной микрофлоры. Ко всему прочему, микроорганизмы не испытывают недостатка в питании, так как женщины в положении любят баловать себя сладостями, а углеводная пища — лучший субстрат для развития бактерий.
Опухание десен, приводящее к увеличению зубодесневых карманов, обильное слюноотделение, кислая среда во рту, повышенное чувство голода — эти особенности, сопровождающие беременность, и есть главные факторы, способствующие быстрому разрастанию микрофлоры полости рта. А она, в свою очередь, провоцирует возникновение воспаления десневой ткани — гингивит.
Капризы или симптомы гингивита беременных?
Первые симптомы гингивита у беременных начинают проявляться на сроке 8 — 12 недель. Будущие мамы, как правило, страдают двумя формами — катаральной и гипертрофической, реже развивается язвенный гингивит.
Катаральный гингивит
Данная форма заболевания проявляется образованием достаточно большого количества мягкого желтого налета на поверхности зубов, отечностью десен, их болезненностью и значительной кровоточивостью при надавливании острым предметом. Для катарального гингивита характерно распространение воспаления по всей поверхности десны, иногда процесс затрагивает ткани и верхней, и нижней челюстей.
Гипертрофический гингивит
Первые симптомы гипертрофического гингивита обычно появляются не раньше двадцатой недели беременности. Воспаление затрагивает нижнюю челюсть, десны в области резцов, клыков и малых коренных зубов. Гипертрофическая форма гингивита характеризуется увеличением объема ткани десны, воспалительным процессом в ней и кровоточивостью. Появляются также десневые карманы — бороздки, образующиеся между зубом и десной из-за разрастания десневой ткани.
Язвенный гингивит
Самая тяжелая форма гингивита у беременных. Она возникает на фоне серьезных проблем со здоровьем, сопутствующих беременности, в последнем триместре или же под влиянием стрессовых ситуаций. Основными признаками язвенного гингивита являются сильный зуд, жжение, кровоточивость десен, их отек и изъязвление.

Безопасное лечение гингивит у беременных
Стоматолог входит в перечень обязательных специалистов для посещения во время беременности. Он сможет вовремя обнаружить заболевание и назначить безопасное лечение гингивита. Особенности терапии беременных заключаются в том, что меры, направленные на устранение гингивита, включают лишь удаление зубного камня и налета, противовоспалительную терапию и профилактику повторного развития воспаления, то есть терапевтические мероприятия подразумевают только купирование симптоматики.
Первым этапом лечения, который проведет стоматолог, будет профессиональная чистка зубов. Зубные отложения удалят механически с помощью Air Flow или ультразвука. Абсолютно беспочвенным является представление о том, что ультразвук, который используется при данной процедуре, вредит плоду: на протяжении всей беременности женщина минимум трижды планово проходит ультразвуковое обследование. В качестве противовоспалительной терапии врач подберет препараты, которые смогут максимально мягко действовать на уязвимый организм беременной женщины. Их применение сводится к местному влиянию на ткани десен: полоскания, ванночки, орошения.
Рекомендации, которые помогут избежать проблем
Для того чтобы не попасть в число беременных женщин, страдающих гингивитом (а их, по статистическим данным, более 60%), необходимо придерживаться простых правил.
- Регулярно проводить необходимые гигиенические процедуры: чистить зубы, используя зубную щетку с мягкой щетиной, причем делать это максимально тщательно, пользоваться флоссом и антисептическими ополаскивателями.
- Отказаться от чрезмерного количества сладкого, употреблять конфеты, шоколад и пирожные в умеренном количестве. Настоятельно рекомендуется воздерживаться от жевания ирисок и карамели, так как остатки тягучих лакомств могут скапливаться в зубодесневом пространстве припухших десен, провоцируя особенно активное размножение микроорганизмов.
- Есть больше овощей и фруктов, особое внимание уделить продуктам, содержащим витамин C.
Лечение гингивита у беременных нельзя откладывать на потом. Возникая из-за изменений в гормональном статусе и роста микробной микрофлоры, он провоцирует еще более активное размножение бактерий, которое в самых тяжелых случаях может вызвать внутриутробное инфицирование плода.
Чем лечить воспаление десен: лучшее лекарство
В зависимости от причины возникновения - воспаление десен может наблюдаться либо в области большинства зубов (что характерно для гингивита и хронического генерализованного пародонтита), либо может иметь место локальный воспалительный процесс, развивающийся в области всего 1-2 зубов. Последнее характерно для локализованного пародонтита, а также при гнойном периодонтите зуба.
Чем лечить воспаление десен (в том числе речь идет и о препаратах) - будет зависеть от причины, вызвавшей воспаление, а также от степени тяжести воспалительного процесса. Если речь идет о воспалении десен на фоне гингивита или пародонтита - в этом случае лечение будет состоять из противовоспалительной терапии (антисептические полоскания, аппликации геля на десны, иногда - антибиотики), а также процедуры удаления наддесневых и поддесневых зубных отложений.
Воспаление десен: фото катарального гингивита


Совершенного другое лечение требуется, если воспаление десны около зуба носит локальный характер (в области всего 1-2 зубов). Причинами такого воспаления могут быть - 1) нависающий край пломбы и коронки, травмирующие десневой край, 2) травматические суперконтакты между верхними и нижними зубами, 3) воспаление у верхушки корня зуба. Поэтому, если воспалилась десна около зуба - что делать в таких ситуациях всегда заключается в устранении конкретного причинного фактора, вызвавшего воспаление. А вот медикаментозное лечение препаратами - в этих случаях не будет играть очень большой роли.
Автор этой статьи более 10 лет проработал врачом-пародонтологом, занимаясь лечением воспаления десен у пациентов, и поэтому наши рекомендации действительно работают (документы госуд. образца о повышении квалификации по программе «Пародонтология» - можно увидеть в разделе редакция). Ниже мы расскажем о недорогих и эффективных препаратах для лечения воспаления десен.
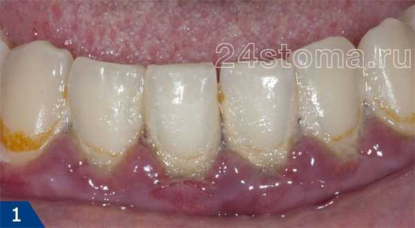
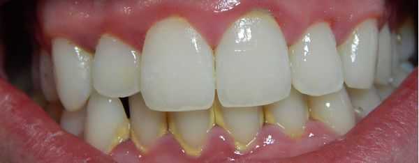
1. Воспаление десен при гингивите и пародонтите -
При гингивите пациент предъявляет жалобы - на отек, покраснение или синюшность десневого края и межзубных десневых сосочков, кровоточивость и болезненность десен при чистке зубов, неприятный запах изо рта (рис.1-2). Развитие гингивита связано с микробным фактором, т.е. когда на фоне не слишком хорошей гигиены полости рта - в области шеек зубов скапливается мягкий микробный зубной налет и образуется твердый зубной камень.
Патогенные бактерии мягкого микробного налета и твердого зубного камня продуцируют токсины и медиаторы воспаления, которые и вызывают воспаление в деснах. Обращаем внимание, что при гингивите - воспаление захватывает только десневой край и не сопровождается разрушением зубодесневого прикрепления, либо костной ткани вокруг зубов. Но если на этом этапе причинный фактор воспаления (микробный налет и зубной камень) - не удаляется, то со временем происходит разрушение зубодесневого прикрепления, костной ткани вокруг зубов, а также периодонтального прикрепления корней зубов к кости. Все это уже говорит о трансформации гингивита в «хронический пародонтит».
Воспаление десен (хронический пародонтит) -
Для пародонтита по-прежнему характерны все вышеперечисленные симптомы гингивита + со временем появляется подвижность зубов, в периоды обострений из под десны может выделяться гнойное отделяемое, постепенно появляется оголение корней зубов, а также при тяжелой стадии пародонтита происходит в том числе и веерообразное расхождение зубов (рис.5-6).
Воспаление десны: лечение при гингивите и пародонтите
Если пациент жалуется на генерализованное воспаление десен - лечение при гингивите и пародонтите начинается с процедуры удаления зубных отложений, а уже сразу после этого назначается курс противовоспалительной терапии. Удалить с зубов бактериальный налет и зубной камень можно только у стоматолога, и обычно для этого применяется ультразвуковая чистка зубов (рис.7-8). Однако сам курс противовоспалительной терапии можно будет провести и дома, и для этого стоматолог назначит вам курс антисептических полосканий и аппликаций геля на десны.
Удаление зубных отложений ультразвуком: фото

СХЕМА ПРОТИВОВОСПАЛИТЕЛЬНОЙ ТЕРАПИИ:
Давайте теперь посмотрим - чем лечить воспаление десен медикаментозно, и прежде всего в этом нам помогут антисептические полоскания и аппликации геля на десны. Но вы должны понимать, что если вы решите пренебречь этапом удаления зубных отложений у стоматолога и начнете именно с медикаментозной терапии - это позволит только лишь временно заглушить симптомы, но не остановит разрушение прикрепления десен к зубам (которое будет протекать просто более бессимптомно).
1) Антисептические полоскания -
медикаментозное лечение воспаления десен обычно продолжается - 7-8 дней при гингивите и 10 дней при пародонтите. Нам потребуются - раствор антисептика для полоскания полости рта (обычно назначается хлоргексидин), а также противовоспалительный гель для десен. Обработка десен проводится 2 раза в день (утром и вечером), причем важно делать ее только после еды и последующей гигиены полости рта. Причем именно в такой последовательности, а не наоборот!
Таким образом, утром вы должны позавтракать, почистить зубы и далее прополоскать рот антисептическим раствором хлоргексидина. Для этого вы должны набрать в рот 10 мл раствора (примерно 1 глоток) и, ничего не сплевывая, прополоскать полость рта в течение полной 1 минуты. Далее сплюнуть раствор и ни в коем случае не споласкивать рот водой! Важный вопрос - эффективные концентрации хлоргексидина, и подробнее об этом вы можете прочитать по этой ссылке (в этой статье приводится аргументация и ссылки на клинические исследования).
При гингивите все достаточно просто, и если вы сняли зубные отложения у стоматолога, то в принципе более-менее эффективным будет и обычный недорогой раствор 0,05% хлоргексидина, который продается в любой аптеке за 30-40 рублей (хотя оптимальным считается применение не менее 0,12% хлоргексидина). Но если речь идет о пародонтите, то минимальная эффективная концентрация должна быть уже как минимум 0,2%. Средства, содержащие 0,2-0,25% хлоргексидина стоят дороже, например, ополаскиватель «Parodontax Extra» с 0,2% хлоргексидином - будет стоить от 210 рублей за флакон 300 мл.
2) Аппликации геля на десны -
сразу после полоскания нам необходимо нанести на десну специальный противовоспалительный гель. Лучшее лекарство от воспаления десен для этих целей - гель Холисал, который очень быстро справляется с воспалением, но он стоит порядка 470 рублей (за тубу 15 г). При этом на курс лечения гингивита вам потребуется 1 туба, а на курс лечения пародонтита - уже 2 тубы препарата. Если это дорого, то можно использовать гель Пародонтоцид, который безусловно слабее Холисала, но он неплохо сработает, если скомбинировать его с 0,2% хлоргексидином.
Гели Холисал и Пародонтоцид:

Т.е. сначала вы втираете небольшие порции геля в десневой край (при помощи легких массирующих движений), после чего - наносите гель уже без массажа и оставляете на десне. На десневой край со стороны неба/ языка можно нанести гель только 1 раз, втирая небольшие порции геля легкими массирующими движениями. Другой вариант нанесения геля - при помощи тонкого медицинского (стоматологического) шпателя или аппликатора. После нанесения геля желательно не пить как минимум 30 минут, а также вы не должны полоскать рот или принимать пищу - как минимум в течение 2-3 часов.
Важно : в процессе нанесения геля может активно выделяться слюна, но ее не нужно копить в полости рта или сплевывать. Слюну нужно проглатывать как вы это обычно и делаете. Вечером обработку повторить - в той же последовательности (ужин → гигиена полости рта → антисептическое полоскание → нанесение геля на десну). И так вы должны делать все 7-8, либо 10 дней - в зависимости от типа воспаления десен.
Важно:
- При гингивите воспалением охвачена только краевая часть десны, поэтому вышеуказанного противовоспалительного курса и предварительного удаления зубных отложений вполне достаточно для полного прекращения воспаления в деснах. Но чтобы воспаление не возникло снова - очень важно поддерживать правильную гигиену полости рта. Ниже по ссылке вы можете прочитать исчерпывающую информацию по формам гингивита и их лечению -
2. Локальное воспаление десны у 1-2 зубов -
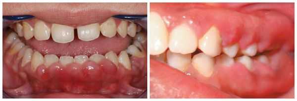
В этом разделе мы расскажем - как снять воспаление десны, если оно возникло в области всего 1-2 зубов. Причинами такого ограниченного воспаления может быть, например, локализованная форма пародонтита или обострение хронического периодонтита зуба. Припухлость десны при локализованном пародонтите находится обычно в проекции межзубного промежутка, причем ближе к десневому краю (рис.9-10). Часто при осторожном нажатии на такую припухлость можно увидеть, что из под десны начинает выделять гной.
Припухлость десны при локализованном пародонтите: фото
Основными причинами локализованного в области 1-2 зубов пародонтита чаще всего являются следующие факторы:
- Травматический прикус (суперконтакт) -
в области некоторых зубов может возникать так называемое «преждевременное накусывание», т.е. зубы антагонисты смыкаются не равномерно, а есть преждевременно накусывание на какой-то один из зубов. Наличие такого суперконтакта вызывает механическую перегрузку зуба, что приводит к разрушению костной ткани вокруг него и воспалению десны. Суперконтакты могут появляться самостоятельно, либо быть следствием некачественно изготовленных пломб и коронок.
- Нависающий край пломбы в межзубном промежутке -
при лечении кариеса между зубами стоматолог может оставить нависающий край пломбы, который будет травмировать десневой сосочек в межзубном промежутке. Это грубая ошибка стоматолога. Помимо травмирования десны нависающий край пломбы создает условия для задержки остатков пищи в межзубном промежутке, что также способствует развитию воспаления.
- Отсутствие контактного пункта между зубами -
когда разрушена та часть зуба, которая контактирует с боковыми зубами в межзубном промежутке - очень важно восстановить правильный контакт. Это достаточно сложная и кропотливая работа, требующая мастерства, и далеко не каждый стоматолог умеет восстанавливать «контактный пункт» между зубами. Отсутствие хорошего контакта будет приводить к застреванию пищи в межзубном промежутке, с последующим гниением пищевых остатков и развитием воспаления (особенно у пациентов, не пользующихся зубной нитью).
- Нависающие края коронок -
к постоянному травмированию десны могут привести некачественно изготовленные коронки. Например, коронки могут также иметь нависающий край, травмирующий десну. На рис.12 вы можете увидеть рентгеновский снимок зуба под коронкой: в межзубном промежутке стрелками ограничен глубокий пародонтальный карман, возникший по причине хронической травмы десны нависающим краем коронки.
Воспаление десны около зуба: лечение
если причиной стал нависающий край пломбы или коронки, то необходимо сточить бором нависающий край пломбы (если это возможно, в противном случае - полностью заменить пломбу), изготовить новую коронку. При отсутствии хорошего контактного пункта между зубами в межзубном промежутке необходимо также заменить некачественные пломбу или коронку, которые стали причиной отсутствия контакта. При наличии травматического суперконтакта проводится - «избирательное пришлифовывание зубов».
Все вышеперечисленное является базовой терапией, направленной на устранение причинного фактора, вызвавшего воспаление. Далее, в зависимости от степени тяжести воспаления и степени разрушения костной ткани вокруг зуба - может проводиться кюретаж пародонтального кармана (с закладкой в костный карман синтетической костной ткани для того, чтобы попытаться восстановить уровень кости), курс противовоспалительной терапии, шинирование зуба и т.д.
Воспаление десны при периодонтите -
При локализованном пародонтите воспаление развивается в межзубном промежутке, в котором происходит образование пародонтального кармана за счет воспалительной резорбции кости. В свою очередь припухлость десны при обострении хронического периодонтита - уже связана с развитием гнойного воспаления у верхушки корня зуба (рис.13). В этом случае припухлость десны или свищ с гнойным отделяемым - будут находиться уже не ближе к десневому краю, а ближе к проекции на десну верхушки корня больного зуба.
Воспаление десны при периодонтите: фото
Причиной развития периодонтита (воспаления у верхушки корня зуба) является инфекция в корневых каналах. Периодонтит возникает либо в результате отсутствия своевременного лечения кариеса и пульпита зуба, либо при некачественном лечении зубов, особенно часто - при некачественном пломбировании корневых каналов. Воспаление десны при периодонтите обычно ограничено 1 причинным зубом, но при формировании гнойного абсцесса больших размеров - может распространяться на несколько зубов (рис.14).
Во всех случаях воспаление, как правило, носит локализованный характер и располагается в проекции причинного зуба. У периодонтитного зуба на верхушке корня образуется «киста» (мешочек заполненный гноем), которая и вызывает припухлость десны. Отек и припухлость десны в этом случае могут - либо постоянно нарастать, либо будут периодически появляться, потом исчезать и т.д.
Как снять воспаление десны при периодонтите -
для начала нужно удостовериться, что воспаление вызвано действительно развитием периодонтита. В этом нам поможет рентгеновский снимок, который мы сопоставим с данными визуального осмотра зубов. Внешне причинный зуб всегда будет иметь либо пломбу, либо кариозный дефект (хотя если кариес расположен в межзубном промежутке, то вы его можете и не заметить). А рентген позволит увидеть воспалительные изменения костной ткани в области верхушки корня зуба, а также качество пломбирования корневых каналов, если оно ранее проводилось.
Далее проводится лечение зуба. Если лечение корневых каналов в зубе ранее не проводилось, то сначала проводят удаление нерва и механическую обработку корневых каналов, после чего проводится лечение воспалительного очага у верхушки корня зуба при помощи специальных паст на основе гидроксида кальция. Далее проводится пломбирование корневых каналов гуттаперчей и восстановление коронки зуба пломбой или коронкой. Исчерпывающую информацию по лечению периодонтита читайте в статье:
Воспаление десен: ошибки пациентов
Работая пародонтологом, я наблюдал тысячи пациентов с воспалением десен, и в большинстве случаев пациенты приходили уже с тяжелыми формами заболевания и осложнениями, которых можно было бы и избежать (в случае своевременного обращения). В основном пациенты делают следующие ошибки:
1) Используют при развитии пародонтита или гингивита только антисептические полоскания и аппликации гелей на десны, но игнорируют необходимость снятия зубных отложений при помощи ультразвука на приеме у стоматолога. Такая ситуация приводит к хронизации воспаления, и если у пациента был только гингивит, то благодаря самолечению он превратится в пародонтит. Если же у пациента уже есть пародонтит - это грозит лишь утяжелением его формы, появлением подвижности зубов и создает угрозу необходимости их удаления.
2) Пациенты часто думают, что антисептиков и антибиотиков вполне достаточно, чтобы контролировать воспаление десен, и поэтому применяют их регулярными курсами (игнорируя необходимость удаления причины воспаления). Помните, что даже длительное использование антисептиков и антибиотиков - не позволяет провести полную «дезинфекцию» зубных отложений, пародонтальных карманов или корневых каналов в зубе. Все это действует только поверхностно и имеет временный эффект.
3) При небольшом воспалении десны в области 1-2 зубов - пациенты часто вообще не обращаются к стоматологу, но постоянно поласкают рот антисептиками и мажут на десну разные гели. Учтите, что если воспаление десны вызвано наличием «суперконтактов» или травмированием ее нависающими краями пломб/ коронок (речь идет о локализованной форме пародонтита), то противовоспалительная терапия вообще не позволит остановить процесс разрушения кости вокруг зуба - пока не будет устранен травмирующий десну фактор. Т.е. к стоматологу идти все равно придется.
4) Если у вас происходит периодическое припухание десны в области 1-2 зубов на фоне периодонтита, то тут противовоспалительная медикаментозная терапия (включая антибиотикотерапию) совершенно бесполезна. Воспаление в этом случае вызывается инфекцией в корневых каналах, и пока корневые каналы этого зуба не будут качественно запломбированы - воспаление никуда не денется.
Важно : поэтому очень важно понять, что лечение дома может быть эффективным - только в плане проведения курса противовоспалительной терапии при гингивите и пародонтите (после удаления зубных отложений у стоматолога). Также лечение дома может использоваться и для укрепления десен - в периоды между основными курсами противовоспалительной терапии, но в этом случае должны использоваться средства без содержания антисептиков и антибиотиков.
Побочные эффекты длительного применения антисептиков (самолечения) -
Учтите, что антисептики не способны полностью «дезинфицировать» зубные отложения (состоящие из патогенных бактерий) - на всю их глубину. Любые антисептики воздействуют только на самый поверхностный слой микробного налета или зубного камня, и поэтому патогенное воздействие бактерий на десны - будет продолжаться даже на фоне антисептических полосканий. Но самое опасное заключается не в этом. Научные исследования показали, что антисептики нарушают способность бактерий полости рта - преобразовывать нитраты (содержащиеся в пищевых продуктах) - в нитриты.
Такая активность бактерий называется «нитрат-редуцирующей», и она является одним из регуляторов нашего артериального давления. Дело в том, что образуемые бактериями нитриты потом всасываются в кровь и способствуют снижению артериального давления. Поэтому, если вы регулярно используете средства с антисептиками (даже зубные пасты) - это вызовет снижение выработки нитритов бактериями полости рта и приведет к увеличению артериального давления.
Это может быть незаметно у молодых здоровых людей, но будет значимо для пациентов с хронической сердечно-сосудистой патологией. Все эти данные подтверждаются научным исследованием - «The increase in plasma nitrite after a dietary nitrate load is markedly attenuated by an antibacterial mouthwash. Nitric Oxide» (2008), авторы - Mirco Govoni, Emmelie Å. Jansson, Eddie Weitzberg, Jon O. Lundberg. При желании - по ссылке выше вы можете ознакомиться с этим исследованием, используя браузерный переводчик. Надеемся наша статья на тему: Что делать, если воспалилась десна - оказалась Вам полезной!
1. Стоматологическое образование автора статьи,
2. На основе личного опыта работы пародонтологом,
3. National Library of Medicine (USA),
4. «Терапевтическая стоматология. Учебник» (Боровский Е. В.),
5. «Оптимизация консервативного лечения больных пародонтитом» (Комлева А.С.).
Гингивит - симптомы и лечение
Что такое гингивит? Причины возникновения, диагностику и методы лечения разберем в статье доктора Карелина Андрея Сергеевича, стоматолога со стажем в 11 лет.
Над статьей доктора Карелина Андрея Сергеевича работали литературный редактор Юлия Липовская , научный редактор Сергей Федосов и шеф-редактор Лада Родчанина
Определение болезни. Причины заболевания
Гингивит — воспалительное заболевание дёсен, которое проявляется болезненностью, отёчностью, кровоточивостью и выделением экссудата (жидкости, которую продуцируют ткани в ответ на воспаление).

Воспалённая десна становится мягкой, шероховатой, неплотно прилегает к коронкам зубов. По данным Всемирной организации здравоохранения, более чем у 90-95 % взрослых людей присутствуют воспалительные процессы мягких тканей ротовой полости, а утрата зубов из-за воспаления дёсен и пародонта (тканей, окружающих зуб) случается в 5 раз чаще, чем от кариозных поражений [1] .
В большинстве случаев гингивит возникает из-за скопления зубного налёта в результате плохой гигиены ротовой полости. Бляшки из налёта постоянно раздражают слизистую, формируют карманы (увеличивают расстояние между зубом и мягкими тканями), в которых активно размножаются бактерии. Т. е. чаще всего причиной воспаления дёсен являются бактерии. Кроме того, гингивит может быть следствием аллергии, грибковых и вирусных инфекций.
Провоцирующие факторы в развитии воспаления дёсен:
- изменения гормонального фона;
- сахарный диабет;
- авитаминоз;
- приобретённые (ВИЧ) и врождённые иммунодефициты (синдром Ди Джорджи);
- беременность;
- лейкоз;
- недостаток витамина С;
- отягощённая наследственность (есть близкие родственники, которые страдали воспалительными заболеваниями дёсен);
- повреждение десны [1] .
Повреждения слизистой могут возникать при неправильном прикусе, стоматологических манипуляциях, воздействии агрессивных химических веществ, использовании жёсткой зубной щётки, употреблении твёрдой пищи. Даже незначительная травма эпителия — это входные ворота для инфекции.
К ятрогенным (связанным с врачебными манипуляциями) факторам, способствующим воспалению, относятся острые края зубных протезов, коронок, неотполированные пломбы, прилегающие к десне.
При обнаружении схожих симптомов проконсультируйтесь у врача. Не занимайтесь самолечением - это опасно для вашего здоровья!
Симптомы гингивита
На начальной стадии заболевания пациенты жалуются на дискомфорт в ротовой полости. При осмотре поражённый участок десны гиперемирован (т. е. имеется покраснение), увеличен в объёме. Возможна кровоточивость во время употребления твёрдой пищи и чистки зубов. Боли на ранней стадии заболевания, как правило, ещё нет. Многие пациенты жалуются на повышенное слюновыделение.

Воспалённая десна отстаёт от поверхности зуба, в образовавшейся полости скапливаются остатки пищи, появляется неприятный запах изо рта. Если не лечить заболевание, в кармане активно размножаются бактерии, развивается кариес шейки зуба [2] .
Со временем появляется боль в десне, которая усиливается во время приёма пищи и при стоматологическом осмотре. Особенно болевой синдром выражен при употреблении горячего, холодного и кислого. При выраженном воспалении или распространённом процессе могут появляться не только местные, но и общие симптомы: повышение температуры, слабость, повышенная утомляемость, раздражительность.
При осмотре стоматолог видит изменение цвета поражённых участков слизистой, гипертрофию (увеличение объёма) межзубных сосочков и края десны. Обычно в области воспаления присутствует зубной налёт, зубной камень и поражения кариесом. При обследовании стоматологическим инструментом десна может кровоточить. При хроническом воспалении клиническая картина стёрта, но может наблюдаться выраженная гипертрофия мягких тканей. При длительно текущем процессе разросшаяся десна может закрывать практически всю коронку зуба. При десквамативной ( с появлением пузырьков на дёснах) и язвенной форме гингивита на десне могут образовываться пузырьки и язвочки [3] .

Патогенез гингивита
Развитие гингивита начинается с формирования бляшек из зубного налёта. Они образуются после отсутствия полноценной гигиены ротовой полости в течение 1-2 дней. Наиболее частые места образования бляшек — межзубные промежутки и пришеечная зона.

Из слюны и выделяемой десной жидкости формируется плёнка — пелликула. В норме она выполняет защитную функцию, но на начальных стадиях гингивита способствует адгезии (прилипанию) бактерий, которые присутствуют в ротовой полости даже у здорового человека. Обычно это аэробные кокки и палочки.
Микроорганизмы активно размножаются, в глубине их колонии образуется анаэробная (бескислородная) среда. Это создает оптимальные условия для размножения агрессивной грамотрицательной микрофлоры. Эти бактерии продуцируют токсины, которые способны проникать в ткани и разрушать слизистую оболочку, что приводит к эрозивным изменениям эпителия.
Организм пытается противостоять повреждающему действию и в ответ запускает воспалительную реакцию с целью уничтожения патогенных факторов . В некоторых случаях иммунитет самостоятельно справляется с микрофлорой, но чаще воспаление прогрессирует или приобретает хронический характер.
Разрушающее действие микроорганизмов и воспалительный процесс ведут к ухудшению микроциркуляции в десне, снижению активности антиоксидантных защитных механизмов. Это приводит к агрессивному воздействию на эпителий факторов системы комплемента (защитных белков, циркулирующих в крови), что вызывает прогрессирующее разрушение слизистой. У пациентов с дефектами иммунитета, гормональными нарушениями, болезнями крови, травматическим повреждением дёсен и истончённой слизистой мягкие ткани более уязвимы, процесс их деструкции идёт более активно.
Если патологический процесс активно развивается, в мягких тканях возрастает количество клеток иммунной системы (лимфоцитов и макрофагов). Они разрушают клетки и фибриллярные структуры цитоплазмы ( жесткие, параллельно расположенные волокна, которые определяют форму клетки) . Это приводит к расширению пространства между десной и зубом, истончению эпителиального слоя.
Воспаление может полностью пройти с наступлением выздоровления, либо перейти в хроническую форму. Во втором случае процессы регенерации нарушаются, эпителий замещается грануляционной тканью (соединительной тканью, которая образуется при заживлении тканевых дефектов), которая может сильно разрастаться, прикрывая коронку зуба [4] .
Классификация и стадии развития гингивита
Согласно Международной классификации болезней 10 пересмотра (МКБ-10), выделяют острое и хроническое течение гингивита:
- При остром течении пациент ощущает болезненность и дискомфорт, часто бывают кровотечения, мягкие ткани гиперемированы.
- Хроническое воспаление иногда вызывает дискомфорт, пациента беспокоит неприятный запах изо рта, край десны часто утолщён в виде валика. Хроническую форму гингивита делят на такие виды:
- хронический без дополнительных уточнений;
- десквамативный (с появлением пузырьков на дёснах);
- гиперпластический (проявляется разрастанием десны);
- простой маргинальный (поражающий край десны);
- язвенный [5] .
По распространённости воспалительного процесса гингивит может быть локальным либо генерализованным (распространённым). В последнем случае часто выявляются общие симптомы в виде повышения температуры и слабости.
По тяжести течения:
- Лёгкие поражения слизистой — поражаются только межзубные сосочки.
- Поражения средней тяжести — в воспалительный процесс вовлекается свободный край десны.
- Тяжёлые поражения слизистой — воспаляются мягкие ткани, прикреплённые к зубу.
По морфологическим признакам:
- Катаральный гингивит. Х арактерно выделение большого количества экссудата, выраженное покраснение слизистой, отёчность, болезненность, локальное повышение температуры.
- Гипертрофический гингивит. Сосочки между зубами увеличиваются, со временем они могут полностью закрывать коронки зубов. Десна приобретает синюшный оттенок, кровоточит во время еды, чистки зубов или при стоматологическом осмотре, формируются глубокие десневые карманы.
- Язвенный гингивит. Слизистая приобретает серый оттенок, видны очаги деструкции [6] .
На ранней стадии заболевания отмечается покраснение, припухлость, кровоточивость дёсен. Если вовремя обратиться к стоматологу, можно быстро снять воспаление и полностью восстановить мягкие ткани. Если не лечить заболевание, развиваются деструктивные процессы в десне, дефекты замещаются грануляционной тканью. Если воспаление будет прогрессировать и дальше, процесс может перейти на ткани пародонта, что может привести к утрате зубов.
Осложнения гингивита
Гингивит — это не такое безобидное заболевание, как кажется некоторым пациентам. Многие полагают, что воспаление пройдёт само, не оставив следа. Это возможно только при небольшом очаге поражения и хорошем иммунитете. Следует помнить, что воспалённая десна — это источник инфекции, которая может распространяться в ротовой полости и вызывать серьёзные последствия. Именно поэтому при первых симптомах нужно обращаться за медицинской помощью. Самые распространённые осложнения гингивита:
- язвенно-некротические изменения слизистой; (воспаление пародонта); (воспаление соединительной связки, фиксирующей зуб в кости челюсти) ;
- распространение инфекции за пределы ротовой полости.
При гингивите на слизистую полости рта действуют иммунные силы организма (лимфоциты и макрофаги) и токсины, которые выделяют бактерии. Если воспалительный процесс вовремя не купировать, эпителий начнёт разрушаться. На начальных стадиях этот процесс обратим, но при длительном течении заболевания десна гипертрофируется за счёт грануляционной ткани. В этом случае терапевтическое лечение может быть неэффективным.
Микрофлора, которая поразила десну, может распространяться на ткани пародонта. Это приводит к шаткости зубов, а со временем — к их утрате. Таким образом, вследствие заболеваний дёсен можно потерять совершенно здоровые зубы.

Бактерии, размножающиеся между десной и зубом, могут вызывать пришеечный кариес. Кроме того, это постоянный источник неприятного запаха изо рта, от которого не избавит даже чистка зубов и использование растворов для полоскания и освежения дыхания.
В тяжёлых случаях воспалительный процесс переходит на костную ткань челюсти. Это очень опасное осложнение, которое сложно поддаётся лечению и может привести к необратимым изменениям лицевого скелета, утрате нескольких или всех зубов. Возможно развитие остеомиелита челюсти, когда разрушается костная ткань и образуются свищи — ходы, через которые гной из области корня зуба выходит в ротовую полость. Заболевание существенно ухудшает состояние пациента, приводит к общей интоксикации: слабости, снижению работоспособности, повышению температуры тела, боли в мышцах и суставах.
Инфекция по кровеносному руслу может распространяться далеко за пределы ротовой полости. В этом случае возможно развитие воспалительных заболеваний ЛОР-органов: ангины Винсента, парафарингеального абсцесса. Воспаляться могут не только соседние органы. С током крови инфекция может попасть в любой орган. Если гингивит вызван стрептококком, у пациента может развиться миокардит (воспаление сердечной мышцы) или пиелонефрит ( воспаление ткани почек) [7] .
Диагностика гингивита
Диагностика начинается с того, что врач слушает жалобы пациента и собирает анамнез. Обычно клиническая картина довольно типична. Необходимо выяснить, как давно появились первые симптомы, проводилось ли какое-либо лечение. При сборе анамнеза нужно обратить внимание на наличие хронических заболеваний, гормональных нарушений, оценить состояние иммунитета. Эти факторы важны при выборе тактики лечения.
При осмотре стоматолог без труда выявит изменённый участок десны. Задача доктора — определить тяжесть поражения, оценить распространённость процесса, выявить, задействованы ли в воспалении ткани пародонта и периодонта. Также нужно выяснить причину гингивита и устранить её. Если десна постоянно повреждается острым краем коронки, то снятие воспаления — это временная мера. Без устранения повреждающего фактора болезнь будет рецидивировать.
Если есть подозрение на распространение процесса за пределы десны, необходимы дополнительные обследования, позволяющие оценить состояние корня зуба, костной ткани челюсти, пародонта. С этой целью широко используют рентгенографию [8] .
Если процесс генерализован (распространён по организму), пациенту необходимо сдать общий анализ крови. Он позволяет оценить ответ организма на воспаление и определить степень тяжести состояния.
Для диагностики используют и дополнительные методы:
- проба Шиллера — Писарева — определение гликогена, содержание которого резко возрастает при воспалении;
- определение индекса кровоточивости;
- проба Кулаженко — определение стойкости и проницаемости микроциркуляторного русла;
- полярография — определение уровня кислорода в тканях пародонта;
- реопародонтография — исследование функционального состояния сосудов тканей пародонта путём регистрации пульсирующего в них потока крови .
Часто гингивит выявляется во время профилактического осмотра. При этом пациенты не предъявляют жалоб, так как на ранних стадиях процесс может протекать бессимптомно. Именно поэтому важно каждые 6 месяцев посещать стоматолога.
Лечение гингивита
Для успешного лечения нужно в первую очередь устранить причину воспаления. С этой целью обязательно проводится удаление налёта и зубного камня.

При начальных стадиях заболевания этой процедуры и использования местных антисептиков достаточно. Для снятия воспаления используется метронидазол, хлоргексидин, настои шалфея и ромашки. Для улучшения регенерации показано местное применение "Солкосерила", облепихового масла.
Если коронка, пломба или скол зуба приводят к постоянному повреждению десны, необходимо провести лечение зуба и устранить повреждающий фактор. К десне должна прилегать гладкая поверхность без шероховатостей и острых краёв.
Если воспаление имеет распространённый характер, нарушено общее самочувствие пациента, а в анализе крови есть признаки воспаления, назначают курс антибиотиков, активных в отношении грамотрицательной флоры. Также используют иммуностимуляторы и витамины [2] .
Если у пациента выражен болевой синдром, к терапии добавляют обезболивающие препараты. С этой целью используют препараты из группы НПВС (нестероидных противовоспалительных средств).
В комплексной терапии гингивита в качестве дополнительного лечения иногда используются физиотерапевтические методы лечения:
- электрофорез с алоэ, аскорбиновой кислотой;
- фонофорез с гепариновой мазью;
- облучение кварцевой лампой;
- лазеротерапия [12] ;
- дарсонвализация;
- вакуумный массаж десен [9] .
При гипертрофической форме гингивита перечисленные лечебные мероприятия могут не дать положительного результата. В таком случае для уплотнения разросшихся мягких тканей в межзубные сосочки делают инъекции склерозирующих средств. Если таким способом устранить разросшуюся грануляционную ткань не удалось, используют криодеструкцию (заморозку и удаление тканей с помощью жидкого азота), диатермокоагуляцию (иссечение слизистых тканей при помощи горячего инструмента) или удаление с помощью скальпеля — гингивэктомию [10] .

Прогноз. Профилактика
При своевременном начале лечения заболевания, особенно при катаральной форме (характеризуется покраснением и отёчностью дёсен), прогноз всегда благоприятный. Мягкие ткани полностью восстанавливаются, а при устранении причины воспаления оно не развивается снова.
При обширном поражении и разрастании десны приходится частично удалять десневые сосочки, это может привести к обнажению шеек зубов. Если таким пациентам регулярно не проводить профилактические мероприятия, быстро развивается пародонтит.
Если не пройти курс лечения, воспаление дёсен, как правило, заканчивается утратой зубов. Микрофлора поражает ткани пародонта, фиксирующие зуб, он начинает шататься и со временем выпадает.
Часто неблагоприятный прогноз при гингивите бывает у больных сахарным диабетом. Нарушение микроциркуляции, обусловленное основным заболеванием, приводит к нарушению трофики тканей, замедляет процессы регенерации. Таким пациентам необходима постоянная поддерживающая терапия, которая замедляет наступление необратимых изменений, а также контроль уровня глюкозы в крови.
Для профилактики гингивита нужно соблюдать следующие рекомендации:
- регулярно чистить зубы (2 раза в день);
- использовать щётку с мягкой щетиной;
- после еды пользоваться зубной нитью и ополаскивателем;
- каждые шесть месяцев проводить профессиональную чистку зубов у стоматолога;
- не пропускать плановые визиты к доктору;
- своевременно лечить кариес;
- если пломба или коронка травмирует десну, срочно обращаться к стоматологу;
- избегать употребления твёрдой пищи, травмирующей дёсны.
Если кровоточивость дёсен отмечается более трёх суток, не нужно заниматься самолечением, необходимо обратиться за медицинской помощью. Начальные стадии гингивита можно быстро вылечить с помощью местной терапии. Запущенное заболевание плохо поддаётся лечению и может закончиться необратимыми последствиями [11] .
Читайте также:
- Стадии лучевого поражения прямой кишки. Клиника лучевого повреждения прямой кишки.
- Питание в блоке кардиореанимации. Двигательный режим при инфаркте миокарда
- Санитарно-микробиологическое исследование воды. Микрофлора водоемов.
- Гименопластика. Особенности процедуры восстановления девственности
- Исследование дополнительной подвижности височно-нижнечелюстного сустава (ВНС)
