Гиперпигментация (меланоз) после ожога
Добавил пользователь Алексей Ф. Обновлено: 02.11.2025
Информацию из данного раздела нельзя использовать для самодиагностики и самолечения. В случае боли или иного обострения заболевания диагностические исследования должен назначать только лечащий врач. Для постановки диагноза и правильного назначения лечения следует обращаться к Вашему лечащему врачу. 
Для корректной оценки результатов ваших анализов в динамике предпочтительно делать исследования в одной и той же лаборатории, так как в разных лабораториях для выполнения одноименных анализов могут применяться разные методы исследования и единицы измерения.
Гиперпигментация кожи: причины появления, при каких заболеваниях возникает, диагностика и способы лечения.
Определение
Гиперпигментация кожи - это различное по локализации, форме и размеру избыточное отложение пигмента меланина, приводящее к изменению цвета кожных покровов различной интенсивности.
Поверхностный слой кожи (эпидермис) представляет собой многослойный (пять слоев) эпителий. Наибольшее количество меланоцитов, главная функция которых - продукция меланина, находятся в базальном слое кожи (базальной мембране)
Формирование пигментных пятен во многом зависит от состояния базальной мембраны.

 Разновидности гиперпигментации кожи 
 
По механизму возникновения различают следующие виды гиперпигментации кожи:
- меланоцитарные - пигментация возникает за счет увеличения числа клеток меланоцитов;
 - меланиновые - пигментация вызвана увеличением выработки и накопления меланина или снижением скорости обновления рогового слоя эпидермиса.
 

 Возможные причины гиперпигментации кожи 
 
Ученые выделяют несколько основных причин гиперпигментации кожи:
- генетическая предрасположенность;
 - воздействие ультрафиолета (изолированно или в комбинации с другими причинами);
 - ожоги (термические, химические, электрические);
 - воспалительные процессы;
 - инфекционные заболевания, в том числе паразитарные;
 - эндокринные нарушения;
 - метаболические нарушения;
 - использование веществ растительного происхождения и лекарственных препаратов с фотосенсибилизирующим действием
 
Привычные для людей веснушки (эфелиды) являются ярким примером реализованной генетической предрасположенности, в основе которой лежит увеличение образования меланина.
При каких заболеваниях возникает гиперпигментации кожи
В группу меланоцитарных пигментаций входят различного вида лентиго.
Простое лентиго возникает в любом возрасте как одиночное (или множественное) образование размером до 5 мм, коричневого цвета. С течением времени не меняется.
При пигментной ксеродерме лентиго возникает в возрасте до 2 лет на участках кожи, подверженных воздействию солнца (на лице, шее, тыльной стороне кистей рук), затем распространяется по телу. Часто сочетается с кератозом - утолщением и шелушением кожи.
Солнечное лентиго появляется, как правило, после 40 лет на участках кожи, ранее подвергавшихся солнечным ожогам. Выглядит как пятна размером от 1 до 3 см, их цвет может варьироваться от светло-желтого до темно-коричневого.

Сетчатое лентиго напоминает черную кляксу и считается разновидностью солнечного лентиго. Чаще всего встречается у лиц с I и II фототипами кожи, у которых были в анамнезе сильные солнечные ожоги с образованием пузырей.
Реже встречаются другие виды лентиго, возникающие изолированно под воздействием ламп соляриев, лекарственной терапии (ПУВА-лентиго) или в составе синдромов с поражением других внутренних органов (например, при синдроме Пейтца-Егерса лентиго слизистой оболочки ротовой полости сочетается с полипами кишечника).
Гиперпигментация кожи может возникать при гормональном дисбалансе.
Например, во время беременности повышается уровень эстрогенов, и на фоне воздействия ультрафиолета может сформироваться хлоазма - округлые пятна разного размера и цвета на лице.
На поздних сроках беременности могут потемнеть имеющиеся родинки, веснушки, соски и ареолы грудных желез, белая линия живота, кожа вокруг пупка. Нередко хлоазма наблюдается у женщин, принимающих гормональные контрацептивы, а также с воспалительными или опухолевыми патологиями яичников. Редко хлоазма регистрируется у мужчин - как правило, у них обнаруживают повышенный уровень лютеинизирующего гормона и сниженный уровень тестостерона.
Гиперпигментация кожи по всему телу с более темными участками, открытыми для солнечных лучей, наблюдается при первичной или вторичной хронической недостаточности надпочечников (болезнь или синдром Аддисона) из-за низкого уровня гормона кортизола.
В результате избыточной функции щитовидной железы (тиреотоксикоза) возникает вторичная недостаточность коры надпочечников, при этом пигментация может быть диффузной или ограниченной в виде хлоазмы.
При заболеваниях, сопровождающихся крайней степенью истощения (кахексией), кожа шеи, живота, половых органов окрашивается в грязно-коричневый цвет.
Пигмент может накопиться в местах термического, химического или электрического ожога, травм с повреждением кожных покровов. Пигмент часто остается после разрешившихся фурункулов, карбункулов, крапивницы, красного плоского лишая, псориаза, а также после чесотки и педикулеза.
При меланозе Риля на тыльной стороне кистей и предплечья появляется синевато-коричневая сетчатая пигментация, то же происходит при контакте с синтетической одеждой, резиновыми изделиями или углеводородом, подкрепленном воздействием ультрафиолета.
Некоторые растения (бобовые, инжир, петрушка, цитрусовые) содержат фотосенсибилизирующие вещества - псоралены.
Присутствуя в пище, они увеличивают фоточувствительность кожи. Такие растения могут входить в состав косметических средств, - если нанести их на кожу, а затем выйти на солнце, то на месте нанесения возникнет гиперпигментация. Фотосенсибилизирующим действие обладают и некоторые лекарства: сульфаниламиды, тетрациклины, нейролептики и др. Прием цитостатиков замедляет скорость обновления эпидермиса, поэтому пигмент выводится медленнее.
К каким врачам обращаться при гиперпигментации 
 
При возникновении гиперпигментации следует обратиться к врачу-дерматологу. Если в результате обследования выявятся патологии внутренних органов, может потребоваться консультация эндокринолога, терапевта, гинеколога, уролога и других специалистов, а если есть риск озлокачествления процесса - врача-онколога.
Диагностика и обследования при гиперпигментации кожи
Диагностика гиперпигментаций проводится на основании данных клинического осмотра и опроса пациента.
При необходимости врач может удалить пигментированное образование (например, сетчатое лентиго) с последующим гистологическим исследованием для подтверждения его доброкачественности.
Взятие биоматериала оплачивается отдельно. Согласно требованиям п. 17 Правил проведения патолого-анатомических исследований, утв. Приказом Минздрава Росс.
Гиперпигментация
БЕСПЛАТНАЯ КОНСУЛЬТАЦИЯ: поможем врачам и владельцам клиник выбрать оборудование для удаления гиперпигментации
Оглавление
Гиперпигментация (дисхромия, потемнение кожи) — это состояние, при котором определенные участки лица и/или тела становятся темнее окружающей кожи под влиянием различных факторов.
В нашей компании Вы можете приобрести следующее оборудование для удаления гиперпигментаций:
Этиология и патогенез гиперпигментации кожи
Одной из наиболее распространенных причин гиперпигментации является ультрафиолетовое излучение. В результате длительного и/или частого пребывания человека на открытом солнце, а также при регулярном посещении соляриев меланоциты начинают усиленно продуцировать пигмент, который откладывается в коже и вызывает ее потемнение. Интересно, что после 30 лет количество меланоцитов в коже снижается в среднем на 6-10% каждые 10 лет. Однако на участках загара их число, наоборот, увеличивается — это повышает риск появления гиперпигментации в зонах привычного загара.
Гиперпигментация кожи может возникать в результате загрязнения окружающей среды (pollution). Эта проблема сегодня актуальна для всех людей, проживающих в крупных городах и мегаполисах. Твердые частицы урбанистического смога диаметром 2,5-10 мкм (PM2.5-10) легко проникают в кожу и могут накапливаться в ней, создавая участки потемнения. Кроме того, под их влиянием в кератиноцитах активируются гены, ответственные за образование пигментных пятен и преждевременное старение кожи.
Не последнюю роль в появлении гиперпигментации играют изменения гормонального фона, связанные с беременностью, менопаузой, приемом оральных контрацептивов и других лекарственных препаратов. Чаще всего потемнение кожи вызывается ростом эстрогена, меланоцит-стимулирующего гормона, прогестерона или увеличением числа рецепторов к ним в клетках.
Гиперпигментация кожи лица и тела может быть следствием различных заболеваний — как врожденных, так и приобретенных. Например, плоские пигментные пятна на коже цвета «кофе с молоком», с четкими границами и, как правило, неправильной формы являются отличительным признаком нейрофиброматоза I типа (болезни Реклингхаузена).
Определенную роль играет генетическая предрасположенность — наследственный механизм отвечает за возникновение эфелид (веснушек). Потемнение кожи часто формируется в результате воспалительного процесса (так называемая поствоспалительная гиперпигментация) — например, после акне.
С практической точки зрения, для косметолога и врача-клинициста важно следующее:
- синтез меланина осуществляется в цитоплазме меланоцита из тирозина;
 - два первых его этапа идут при участии тирозиназы (которая чаще всего является мишенью для отбеливающих средств).
 
После завершения синтеза меланина он загружается в транспортные меланосомы и продвигается по длинным отросткам меланоцитов к кератиноцитам. Поэтому еще один способ уменьшить пигментацию заключается в нарушении образования меланосом и/или их транспортировки по отросткам.
Клинические проявления гиперпигментации
Основные типы гиперпигментации кожи по клиническим проявлениям:
- Эфелиды (веснушки) — небольшие пятна светло- или темно-желтого цвета, обычно локализующиеся на лице (рис. 1).
 - Мелазма (хлоазма) — размытые пятна на лице, возникающие, как правило, на фоне гормональных изменений (рис. 2).
 - Солнечный эластоз — неравномерная желтушная гиперпигментация с утолщением кожи, наличием динамических или статических морщин.
 - Солнечная пурпура — неравномерная интенсивная гиперпигментация с телеангиэктазиями и морщинами.
 - Посттравматическая (вторичная) гиперпигментация — темные пятна, имеющие легкий синеватый оттенок в первые недели после появления, которые формируются на месте травмы кожи.
 - Поствоспалительная гиперпигментация кожи лица и тела — локальные потемнения, возникающие на месте очагов воспаления.
 - Системная гиперпигментация — окрашивание кожи в результате какого-либо заболевания (например, болезни надпочечников).
 
Следует также упомянуть, что по глубине залегания пигмента различают 3 типа гиперпигментаций: эпидермальная, дермальная и смешанная. Это важно с точки зрения дальнейшего выбора тактики лечения.
Рис. 1. Веснушки (Danish national service on dermato-venereology)

Рис. 2. Мелазма (Danish national service on dermato-venereology)

Принципы лечения гиперпигментации
Основные принципы лечения гиперпигментации:
- Нормализовать гормональный фон, вылечить системное заболевание (при его наличии).
 - Снизить чувствительность кожи, уменьшить воспаление, восстановить микрофлору и барьерную функцию кожи, усилить антиоксидантную защиту.
 - Уменьшить синтез меланина в пигментных клетках.
 - Максимально заблокировать переход меланина из пигментных клеток в эпидермальные кератиноциты.
 - Стимулировать и контролировать постоянное обновление кожи.
 - Защитить кожу от ультрафиолета, загрязнения и других внешних воздействий.
 
Достаточно известным ингредиентом для отбеливания кожи является гидрохинон. Его механизм действия основан на блокировании превращения тирозина в предшественник меланина — диоксифенилаланин (ДОФА). В результате синтез пигмента тормозится, и кожа постепенно светлеет. Для повышения эффективности гидрохинон сочетают с третиноином, гликолевой кислотой и кортикостероидами. Следует помнить, что у гидрохинона есть ряд побочных эффектов: деструкция меланоцитов, охроноз (окрашивание кожи в желтоватый или голубоватый оттенок), канцерогенное действие и др. Например, в США законодательно ограничены сроки применения гидрохинона, и свободно продаются только средства, содержащие не более 2% гидрохинона (средства с концентрацией 2-4% назначаются врачом).
Транексамовая кислота действует сразу в нескольких направлениях — она напрямую блокирует образование меланина в клетках и устраняет пигмент, который уже присутствует в коже. При ее использовании меланоциты прекращают синтезировать меланин, и кожа постепенно светлеет вплоть до полного выравнивания цвета. Среди преимуществ транексамовой кислоты стоит отметить ее нетоксичность и то, что она не раздражает даже очень чувствительную кожу. Кроме того, она снижает чувствительность кожи к ультрафиолету, а, следовательно, и риск повторного развития гиперпигментации после лечения.
Экстракт папайи (Carica Papaya Extract) содержит большое количество витамина С. Он осветляет действие на кожу, ускоряет ее восстановление после солнечных ожогов и загара, способствует сужению пор и повышению тонуса.
Экстракт пальмарии (Palmaria Palmata Extract) уменьшает синтез меланина в пигментных клетках, снижает чувствительность кожи к солнцу и уменьшает трансфер пигмента из меланоцитов в верхние слои кожи.
Экстракт толокнянки (Arctostaphylos Uva Ursi Extract) содержит арбутин, который подавляет синтез тирозиназы. Исследования показали, что 0,01% экстракта толокнянки в косметическом средстве подавляет активность фермента на 34%, 0,1% экстракта — на 77%, а более 0,3% экстракта толокнянки полностью блокирует тирозиназу.
При некоторых видах гиперпигментации в лечении можно использовать азелаиновую кислоту. Она не действует на веснушки, простое и старческое лентиго, себорейные бородавки и гиперпигментированные невусы. Однако ее можно назначать при мелазме, поствоспалительной гиперпигментации, ожогах, механическом и химическом повреждении кожи.
Бороться с гиперпигментацией можно с помощью ретиноидов. Считается, что они подавляют активность тирозиназы и способны напрямую влиять на меланоциты через рецепторный аппарат. Кроме того, для успешного лечения гиперпигментации можно использовать возможности салицилового пилинга и альфа-гидроксикислот.
В табл. 1 приведены основные точки воздействия на гиперпигментацию и используемые для этого ингредиенты.
Табл. 1. Точки воздействия на гиперпигментацию и применяемые ингредиенты
Точки воздействия
Ингредиенты
Подавление активности тирозиназы
Гидрохинон, резорцин, койевая кислота, арбутин, деоксиарбутин, аскорбиновая кислота
Хелатирование тирозиназы медью
Эллаговая кислота, койевая кислота
Подавление гликолизирования тирозиназы
Глюкозамин, N-ацетинглюкозамин, туникамицин
Ниацинамид, ингибиторы протеаз
Ингибирование присоединения альфа-меланоцитстимулирующего гормона к меланоцитам
Снижение активности тирозиназы
Витамин С, витамин Е
Гидрокортизон, фитостерол, глицирретиновая кислота,транексамовая кислота, экстракт ромашки
Активация клеточного обновления
Ретиноиды, салициловая кислота, альфа-гидроксикислоты, аденозин монофосфат
Большинство форм гиперпигментации с успехом поддаются лечению методами аппаратной косметологии. В основном используются два подхода: фракционный фототермолиз и селективный фототермолиз с применением IPL и лазеров.
Фракционный фототермолиз позволяет разрушать микроучастки пигментированной кожи, что приводит к ее осветлению. При этом важно не использовать агрессивные параметры процедуры, чтобы не спровоцировать поствопалительную пигментацию. Применение неаблятивных фракционных лазеров с успехом сочетают с нанесением на кожу активных ингредиентов, часть из которых перечислена в данной статье. В этом случае фракционный лазер выступает как транспортная система, увеличивающая проницаемость биологически активных веществ в кожу.
IPL-терапия и лазеры, работающие в видимой части спектра, также с успехом применяются для лечения гиперпигментации и особо эффективны в тех случаях, когда пигмент залегает поверхностно и располагается на светлой коже. Принцип действия таких аппаратов — избирательный нагрев меланина и разрушение структур, которые его содержат.
Глубокие пигментации
БЕСПЛАТНАЯ КОНСУЛЬТАЦИЯ: поможем врачам и владельцам клиник выбрать оборудование для лечения глубоких пигментаций
Глубокие пигментации — это врожденные или приобретенные гипермеланозы, при которых основной объем избыточного пигмента залегает в дермальном слое кожи.
В нашей компании Вы можете приобрести следующее оборудование для удаления глубоких пигментаций:
Этиология и патогенез
Врожденный дермальный меланоцитоз (монгольское пятно)
Наследственная гиперпигментация, вызванная активным привлечением меланоцитов в дерму при их миграции из нервного гребня в эпидермис. Этиологию этого заболевания связывают с нарушением структуры G-белков — это протеины-ГТФазы, которые действуют в качестве вторичных посредников при внутриклеточных сигнальных каскадах.
Распространенность монгольских пятен варьируется в различных этнических группах. Чаще всего они встречаются у восточноафриканских детей с темной кожей (до 80%), несколько реже — у латиноамериканских детей (до 46%) и крайне редко — у светлокожих европейцев (1-9%).
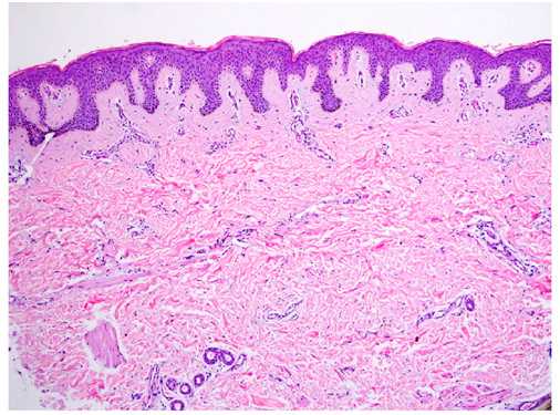
При гистологическом исследовании монгольских пятен видны сильно разветвленные меланоциты, которые располагаются в глубокой ретикулярной дерме и несут в себе много пигментированных меланосом (рис. 1). Как правило, меланоциты ориентированы параллельно эпидермису.
Рис. 1. Гистологические изменения в монгольском пятне (Dermpedia)

Меланоз (невус) Беккера
Его этиология и патогенез на сегодняшний день остаются неизученными. Определенную роль играют андрогены, о чем свидетельствует наличие сопутствующего гипертрихоза и преобладание данного гипермеланоза у мужчин. Так, исследование 19 302 мужчин в возрасте 17-26 лет выявило, что распространенность меланоза Беккера составляет 0,52%.
При микроскопии отмечается увеличение количества меланина в базальном слое эпидермиса. В кератиноцитах увеличиваются меланосомы, при этом гигантские меланосомы могут выявляться как в кератиноцитах, так и в меланоцитах. В дерме присутствуют меланофаги — макрофаги, фагоцитировавшие избыточный пигмент (рис. 2).
Рис. 2. Гистологические изменения в невусе Беккера (Parth P., et al. Sebaceus and Becker’s nevus: Overview of their presentation, pathogenesis, associations, and treatment. Am J Clinic Dermatol 2015)

Лентиго
Широко распространенная пигментная патология, обычно связанная с хроническим воздействием солнца на кожу. В США лентигиозные изменения наблюдаются у 90% людей со светлой кожей в возрасте старше 60 лет и у 20% — младше 35 лет. Основной причиной солнечного и старческого лентиго является длительная инсоляция; ПУВА-лентиго возникает после ПУВА-терапии (лечебного воздействия на кожу ультрафиолета спектра А с предварительным приемом фотосенсибилизатора псоралена); радиационное лентиго — после больших доз ионизирующего излучения.
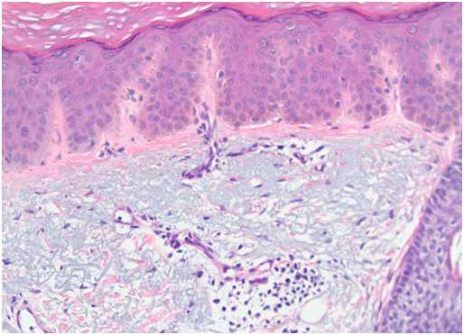
Солнечное лентиго гистологически характеризуется удлинением эпидермальных гребней, увеличением числа меланоцитов, которые производят избыточное количество пигмента, и количества меланофагов — макрофагов, поглотивших пигмент и окрасившихся в темный цвет. Атипичных меланоцитов при солнечном лентиго обычно не выявляется (рис. 3).
При ПУВА-лентиго отмечается увеличение числа гипертрофированных меланоцитов, часто с признаками клеточной атипии. Дополнительно можно увидеть удлиненные эпидермальные гребни и усиленную пигментацию клеток базального слоя эпидермиса. Эти же изменения можно увидеть и при лентиго после множественных посещений солярия (tanning-bed lentigines).
Радиационное лентиго проявляется избыточным отложением гранул меланина в базальных кератиноцитах, клеточной или ядерной атипией, ростом числа меланоцитов и уменьшением количества эпидермальных гребней.
Старческое лентиго характеризуется пролиферацией базальных клеток с образованием тяжей, содержащих избыточное число меланина. Также может выявляться увеличение числа меланоцитов в области дермо-эпидермального соединения. В целом меланоциты при старческом лентиго обладают более высокой активностью и более длинными отростками, чем в норме. При электронной микроскопии в кератиноцитах заметны крупные комплексы меланосом.
Рис. 3. Гистологические изменения при лентиго (Dermpedia)

Мелазма
Рецидивирующая приобретенная дисхромия, обусловленная повышенной активностью эпидермально-меланиновых единиц. Возникает на участках кожи, подверженных выраженной и/или регулярной инсоляции, чаще у женщин репродуктивного возраста.
У пациентов с мелазмой отмечается увеличение объема меланина в эпидермисе, дерме или (чаще всего) в обоих указанных слоях кожи. Эпидермальный меланин выявляется в кератиноцитах базальной и супрабазальной области. Число меланоцитов в большинстве случаев не увеличивается, но имеющиеся пигментные клетки более крупные — они обладают выраженными отростками и гораздо более высокой активностью, чем в норме. Меланин также выявляется в мекрофагах поверхностной и средней дермы, которые часто собираются вокруг небольших расширенных сосудов (рис. 4).
Рис. 4. Гистологические изменения при мелазме (Nooshin B., et al. An overview on melasma. Pigmentary Disorders 2015; 2: 216)

Поствоспалительные гиперпигментации
Одно из распространенных дерматологических состояний, которое чаще развивается у людей с темными фототипами (V-VI). Патогенез связан с гиперпродукцией себума сальными железами и наличием избытка сквалена на коже (например, при акне). Солнечный ультрафиолет генерирует синглетный кислород, который окисляет сквален. Последний стимулирует выработку простагландина Е2, запускающего активный меланогенез.
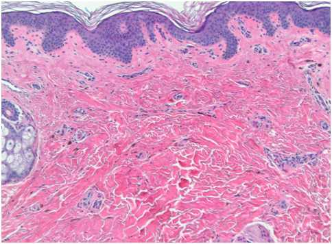
При микроскопии поствоспалительная гиперпигментация может проявляться как эпидермальным, так и дермальным увеличением количества пигмента (рис. 5). В последнем случае отмечается рост числа меланофагов в папиллярной дерме. Дермальная гиперпигментация может существовать много лет или даже оставаться на всю жизнь.
Рис. 5. Гистологические изменения при поствоспалительной гиперпигментации на фоне системной красной волчанки (Dr. Andrew Ryan, pathologist)
Гистологические изменения при поствоспалительной гиперпигментации
Клинические проявления
Врожденный дермальный меланоз (монгольское пятно)
Монгольское пятно отличается сине-серой макулярной пигментацией. Характерно изменение цвета пятна и появление голубоватого оттенка под разными углами обзора из-за эффекта Тиндаля — рассеивания света при его прохождении через неоднородную среду.
Поражения могут быть единичными или множественными, занимать площадь от нескольких квадратных сантиметров до поражения обширных участков тела. Чаще всего монгольское пятно локализуется на пояснично-крестцовой области, но может распространяться на ягодицы, спину, плечи и др. (рис. 6) Сообщалось о генерализованных монгольских пятнах, захватывающих всю переднюю и заднюю поверхность тела, включая конечности.
Монгольские пятна часто связаны с заячьей губой, менингеальной опухолью позвоночника, меланомой и пигментоваскулярным факоматозом (врожденным гипермеланозом, включающим в себя меланоцитарные и/или эпидермальные невусы).
Рис. 6. Врожденный дермальный меланоз — множественные монгольские пятна на спине (Danish national service on dermato—venereology)

Ранним проявлением невуса Беккера является бессимптомное светло- или темно-коричневое пятно неравномерной окраски и контура. Чаще оно появляется над плечом, на верхней части груди или на спине. Спустя несколько месяцев или лет в невусе и возле него начинают расти густые волосы коричневого или черного цвета (рис. 7). Центральная область меланоза может утолщаться с развитием акне (acne vulgaris).
Рис. 7. Меланоз Беккера с наличием темных волос (Danish national service on dermato-venereology)

Солнечное лентиго представляет собой плоские или слегка вогнутые округлые пятна различного диаметра, светло-коричневого или темно-коричневого цвета. Обычно они возникают на открытых участках — на лице, тыльных поверхностях рук и кистей, верхней половине туловища (рис. 8). Сразу после появления размеры солнечного лентиго очень маленькие (менее 5 мм), но в дальнейшем очаги становятся больше, темнее и сливаются в крупные пятна. Они могут содержать в себе участки нормальной кожи или разделяться мелкими морщинами.
Лентиго после солярия (tanning-bed lentigines) похоже на солнечное, но выявляется в нетипичных местах на теле пациента, куда обычно не попадает много солнца — внутренняя поверхность рук и бедер, область подмышек и др. Образования имеют диаметр от 2 до 5 мм, цвет коричневый или черный. Они появляются внезапно после интенсивного загара, либо после длительного (от 1 года и более) регулярного посещения солярия. Злокачественный потенциал этих поражений до конца не изучен.
При ПУВА-лентиго пигментные пятна также похожи на солнечное лентиго, но имеют неправильные контуры. После прекращения сеансов фотолечения небольшие очаги сохраняются на коже до 3-6 месяцев, крупные — до 2 лет.
Радиационное лентиго включает в себя дополнительные признаки долговременного радиационного поражения кожи — подкожный фиброз, кератоз, телеангиэктазии.
Рис. 8. Солнечное лентиго (Danish national service on dermato-venereology)

Проявляется в виде одиночного поражения или множественных очагов темно-коричневой или черной гиперпигментации, симметрично расположенных на лице и/или шее (рис. 9). По локализации мелазма может быть центрофациальной (лоб, щеки, нос, над верхней губой и на подбородке), малярной (нос и щеки) и мандибулярной (в области нижней челюсти). В редких случаях мелазма появляется на предплечье, что связано с приемом прогестерона.
Некоторые области лица у пациентов могут оставаться интактными при мелазме, и причина этого в настоящий момент не установлена. Считается, что данная особенность связана с плотностью и активностью сальных желез на коже.
Рис. 9. Мелазма (Danish national service on dermato-venereology)
Поствоспалительная гиперпигментация
Распределение гипермеланозных поражений зависит от локализации исходного дерматоза или места травмы. Их цвет варьируется от светло-коричневого до черного — если пигмент расположен в дерме, то оттенок будет темнее (рис. 10).
Рис. 10. Поствоспалительная гиперпигментация на ноге (AboutKidsHealth)

Принципы лечения
Глубокие пигментации плохо поддаются наружным методам лечения, поскольку пигмент залегает достаточно глубоко в коже — и воздействовать на него снаружи крайне затруднительно. Определенный эффект при некоторых состояниях (например, при мелазме) могут дать отбеливающие средства — гидрохинон, транексамовая или азелаиновая кислоты. Есть данные о пользе химических пилингов, но здесь следует быть крайне осторожным, чтобы не вызвать еще большее усиление пигментации в области воздействия.
Глубокие пигментации успешно лечатся аппаратными методами — интенсивным импульсным светом (IPL) и лазерами. Принцип действия IPL-терапии основан на селективном фототермолизе — поглощении меланином энергии светового излучения с последующим разрушением нежелательного пигмента. Для более точного воздействия и профилактики нагрева окружающей кожи в IPL-модуле аппарата М22 от Lumenis используется комплект светофильтров. Каждый из этих фильтров отсекает диапазон длин волн, наиболее подходящий для определенной глубины залегания пигмента и фототипа.
Если пигмент залегает очень глубоко, интенсивный импульсный свет может оказаться недостаточно эффективным — в этом случае рекомендован неаблятивный фракционный фототермолиз на аппаратах Fraxel и M22 ResurFX. В комплектацию Fraxel входит эрбиевый лазер 1550 нм для работы на уровне дермы в глубине до 1400 мкм (1,4 мм), а также тулиевый лазер 1927 нм для воздействия на уровне эпидермиса до 210 мкм (0,21 мм). ResurFX использует одну длину волны — 1565 нм, но этот модуль может совмещаться в аппарате M22 с модулем IPL и Nd:YAG Q-Switched лазером, благодаря чему можно успешно лечить любые формы пигментаций.
Неаблятивный фракционный фототермолиз основан на создании в коже микротермальных лечебных зон — крошечных очагов термического повреждения, между которыми находятся интактные (нетронутые) области. Это позволяет не только эффективно разрушать нежелательный пигмент, но и ускоряет последующее восстановление кожи, т.к. клетки из интактных областей мигрируют в микрозоны повреждений. Неаблятивный фракционный фототермолиз является методом выбора у пациентов с IV-VI фототипами кожи, которым можно проводить IPL-терапию с ограничениями.
Поствоспалительные дисхромии (поствоспалительная гиперпигментация)
БЕСПЛАТНАЯ КОНСУЛЬТАЦИЯ: поможем врачам и владельцам клиник выбрать оборудование для лечения поствоспалительных дисхромий
Поствоспалительные дисхромии (поствоспалительная гиперпигментация, поствоспалительная гипопигментация) — приобретенные расстройства пигментации, возникающие из-за склонности меланоцитов к избыточному или недостаточному синтезу пигмента, а также вследствие накопления в коже патологического пигмента (например, липофусцина при старении).
В нашей компании Вы можете приобрести следующее оборудование для лечения поствоспалительных дисхромий:
Поствоспалительная гиперпигментация является одним из наиболее распространенных дерматологических состояний, которое чаще развивается на темной коже. В одном из исследований было установлено, что пигментация при акне наблюдается у 65,3% афроамериканцев, 52,7% латиноамериканцев и 47,4% азиатов. Она может возникать в любом возрасте, ей в равной степени подвержены как женщины, так и мужчины.
Что касается гипопигментации, то в одной из работ с участием 423 здоровых людей у 20 (4,7%) был выявлен хотя бы один очаг осветления кожи. Локальное обесцвечивание особенно заметно на темных фототипах кожи вследствие контраста с окружающими здоровыми тканями.
Поствоспалительные дисхромии могут возникать после перенесенных инфекций, аллергических реакций, механических повреждений кожи, реакций на лекарства, фототоксического дерматита, ожогов и воспалительных заболеваний (системная красная волчанка, атопический дерматит и др.), а также при длительном применении гидрохинона или химических пилингов. Состояние поражений может усугубляться под влиянием ультрафиолета, различных химических веществ и лекарств — тетрациклины, доксорубицин, блеомицин и 5-фторурацил (цитостатики), клофазимин (противотуберкулезный препарат), серебро, золото, противомалярийные препараты, гормоны.
Интересно, что у разных людей под действием одних и тех же факторов может развиваться как гипер-, так и гипопигментация — некоторые специалисты связывают это с тяжестью воспалительного процесса в каждом конкретном случае. Однако есть более глубокая теория, которая называется индивидуальной хроматической склонностью (individual chromatic tendency). Она отталкивается от положения о том, что у каждого человека могут быть «сильные» и «слабые» меланоциты, число и тип которых передаются по наследству. На любое внешнее воздействие «сильные» меланоциты реагируют избыточной продукцией пигмента, что выражается гиперхромией, тогда как «слабые» меланоциты практически перестают синтезировать пигмент, что создает гипохромные участки кожи. При этом «слабые» (лабильные) меланоциты подвержены деструкции, поэтому воспалительный процесс может просто уничтожить их, в результате чего некоторые участки лица и тела станут значительно светлее окружающей кожи.
Что касается поствоспалительной гиперпигментации, то одним из патогенетических механизмов ее развития является избыток на коже сквалена вследствие гиперпродукции себума сальными железами. Попадающее на кожу ультрафиолетовое излучение генерирует в коже синглетный кислород, который под действием сквалена превращается в пероксид сквалена. В свою очередь, он стимулирует выработку простагландина Е2, который запускает меланогенез. Избыточное количество себума вырабатывается, например, при акне — соответственно, при данном заболевании содержание сквалена в поверхностных липидах повышено. Кроме того, в воспалительных очагах процессы окисления протекают особенно активно, поэтому после акне может возникать поствоспалительная гиперпигментация.
В основном поствоспалительная гиперпигментация локализуется в эпидермисе (коричневая пигментация), однако иногда пигмент может захватываться макрофагами и переносится в дерму — в этом случае участок кожи приобретает серовато-голубую окраску. Дермальная пигментация может существовать много лет или даже оставаться на всю жизнь.
Различные дерматологические заболевания и состояния с возможными исходами в гипер- или гипопигментацию представлены в табл. 1.
Табл. 1. Возможные исходы дерматологических заболеваний и состояний кожи
Гиперпигментация: современные возможности терапии и профилактики
По наблюдениям дерматологов, в течение месяца активной практики к ним за профессиональной помощью обращаются как минимум десять пациентов с проблемой пигментных пятен.
По наблюдениям дерматологов, в течение месяца активной практики к ним за профессиональной помощью обращаются как минимум десять пациентов с проблемой пигментных пятен. Несмотря на то, что подобный эстетический недостаток чаще всего никак не отражается на здоровье, не влияет на работоспособность и даже не привлекает внимание окружающих, для человека он является причиной серьезного психологического дискомфорта.
Пигментообразование — сложный биохимический процесс, происходящий в коже и зависящий от многих факторов. Синтез пигмента меланина происходит из аминокислоты тирозина под влиянием фермента тирозиназы в клетках эпидермиса меланоцитах, которые располагаются под слоем базальных кератиноцитов. Синтезированный меланин из меланосом по отросткам меланоцитов передается кератиноцитам, где накапливается и равномерно распределяется, придавая определенный оттенок коже. Различают несколько видов меланина: эумеланин — коричневого и черного цвета, феомеланин — красного цвета и бесцветный лейкомеланин. Преобладание одного из них в коже и волосах определяет цвет волос и кожи человека. Выделяют эндогенные и экзогенные причины гиперпигментации. К эндогенным относят генетическую предрасположенность, нарушения гормонального фона, соматические и кожные заболевания. К экзогенным относят: ультрафиолетовое (УФ) излучение, нарушение целостности покрова (механическая, химическая, термическая травмы), косметологические процедуры. Гиперпигментацию могут вызвать практически все виды химического пилинга и дермабразия, а также косметологические процедуры, сопровождающиеся травмированием кожи (подкожные инъекции, введение имплантов, эпиляция, чистка лица, пластические операции) [1].
Нарушения пигментации могут быть первичными, а также вторичными, возникающими на фоне разрешения первичных морфологических элементов (папул, пустул, пузырей и т. д.). Первичные гиперпигментации могут быть ограниченными (веснушки, мелазма) или же иметь генерализованный характер. Распространенные гиперпигментации могут быть при болезни Адиссона (бронзовый оттенок кожи), заболеваниях гепатобилиарной системы (окраска кожи от соломенно-желтой до темно-желтой и оливковой), при хронических интоксикациях, при хроническом дефиците белкового питания и витамина В12 (гиперпигментированные пятна грязно-коричневого цвета на коже туловища, гипермеланоз вокруг мелких суставов кисти с преждевременным поседением волос). Вторичные гиперпигментации возникают после острых и хронических дерматозов (акне), криодеструкции, лазерной деструкции, склеротерапии вен [1, 2].
К первичным гиперпигментациям (меланодермиям) относят мелазму, веснушки, лентиго, невус Беккера и некоторые фотодерматозы.
Веснушки, или эфелиды (в переводе с греческого — «солнечные нашлепки»), появляются в весеннее время у лиц с І-IІ фототипами. Причина их возникновения — наличие специфического гена в меланоцитах, в которых происходит повышенная выработка меланина под воздействием УФ-излучения. Гистологически выявляют нормальное количество меланоцитов, в части из них обнаруживают увеличенные меланосомы, активно продуцирующие меланин. Самые яркие веснушки появляются в возрасте 20-25 лет. До 35 лет их количество может нарастать, но с возрастом они бледнеют.
Мелазма, или хлоазма, — приобретенная неравномерная пигментация, преимущественно в области лица и шеи. Существенную роль играет нарушение гормонального фона. Мелазма появляется во время беременности, при приеме оральных контрацептивов, опухолях яичников, в перименопаузе. Важным в развитии дерматоза является использование фотосенсибилизирующих средств как в составе наружных косметических средств, так и прием внутрь некоторых фотосенсибилизаторов. Болеют мелазмой преимущественно женщины. Высыпания характеризуются неравномерной пигментацией коричневато-желтого цвета в центральной части лба, над верхней губой, подбородке, щеках, скулах. В зависимости от локализации высыпаний выделяют три клинических формы мелазмы: центрофациальная (локализация на коже центральной части лба, над верхней губой, спинки носа, подбородка), молярная (локализация в области щек, проекции моляров и носа) и мандибулярная (пигментация локализуется в области углов нижней челюсти). В диагностике мелазмы чрезвычайно важным является осмотр с помощью фильтра Вуда. На основании осмотра может быть диагностирован один из гистологических типов мелазмы.
Эпидермальный тип мелазмы. При этом типе очаги становятся более яркими и контрастными при осмотре люминисцентной лампой Вуда. Этот феномен связан с преимущественной локализацией меланина в эпидермисе. Этот тип прогностически наиболее благоприятен при лечении гиперпигментации.
Дермальный тип мелазмы. При осмотре люминисцентной лампой Вуда очаги не контрастируют с окружающей непораженной кожей. Этот тип свидетельствует о глубокой миграции меланофагов в дерму, что говорит о неблагоприятном прогнозе при лечении.
Смешанный тип мелазмы. При данном типе некоторые области становятся более яркими и контрастными, другие — наоборот. Свидетельствует о локализации пигмента как в эпидермисе, так и в дерме. Адекватная тактика может привести к частичному регрессу гиперпигментации.
Лентиго проявляется в виде овальных, плоских либо выпуклых пятен на коже лица и других открытых участках тела. Цвет их варьирует от светло-бежевого до темно-коричневого. Лентиго может возникать в любом возрасте, в том числе у детей (юношеское лентиго) на фоне острой или хронической инсоляции. Старческое лентиго появляется, как правило, после 40 лет на фоне нарушения липидного барьера и повышения проницаемости рогового слоя эпидермиса. Реже лентиго провоцируется ПУВА-терапией (ПУВА-индуцированное лентиго). Гистологическая картина лентиго характеризуется увеличением количества меланоцитов на границе эпидермиса и дермы без признаков атипизма и недержания пигмента. В лечении лентиго показана активная фотопротекция.
Невус Беккера — немеланомоопасное пигментное образование. Дебют заболевания в подростковом возрасте. Очаг светло-коричневого цвета с локализацией на коже плеча, грудной клетки, спины имеет, как правило, линейное или сегментарное расположение. В последующем на фоне пятна появляются темные волосы. Встречается у 0,5% мужчин и связан со стигмами эмбриогенеза (гипоплазия груди, spina bifida и др.). Гистологически выявляют увеличение количества меланина в меланоцитах, гигантские меланосомы, реже — увеличение количества меланоцитов. Традиционные методики лечения дают отрицательный результат. Рекомендуют камуфляж.
Как бороться с гиперпигментацией?
Устранение гиперпигментации — это совместная задача дерматологии и косметологии. Перед началом проведения курса косметических отбеливающих процедур необходимо установить причину, вызвавшую гиперпигментацию. Зачастую с устранением причины гиперпигментации нормализуется состояние кожи, и в этом случае для осветления пигментных пятен достаточно будет применить отшелушивающие средства. Если же гиперпигментация вызвана каким-либо соматическим заболеванием, то осветление пигментных пятен не только не принесет положительного результата, но и спровоцирует серьезные осложнения.
На современном этапе эстетическая медицина и косметология располагают огромным арсеналом средств, позволяющих избавиться практически от любого вида гиперпигментации. Косметологическая коррекция гиперпигментации обязательно должна проводиться в двух направлениях: отшелушивание рогового слоя кожи и уменьшение продукции меланина, а также обеспечение надежной защиты кожи от агрессивного воздействия ультрафиолета при помощи косметики с УФ-фильтрами.
Для отшелушивания рогового слоя применяют химические и энзимные пилинги, аппаратные методики. Для устранения эпидермальной гиперпигментации применяют поверхностные и срединные пилинги, не затрагивающие глубокие слои кожи. Это могут быть гликолевые, ретиноевые, ТСА-пилинги. Из аппаратных методик наиболее распространенными и эффективными являются лазерная шлифовка, микродермабразия и фототерапия [3].
Применение лазерной шлифовки позволяет удалить большинство видов пигментации, в том числе веснушки и возрастные лентигинозные пятна. Поскольку кожа прекрасно поглощает излучение лазера, она нагревается в месте расположения гиперпигментированного пятна, что приводит к его испарению. Лазерная шлифовка требует определенных навыков и профессионализма косметолога, поскольку неграмотное применение этой процедуры может привести к таким осложнениям, как ожоги и усиление пигментации. Микродермабразия — это процесс механического удаления поверхностного слоя кожи с помощью потока микрокристаллов, проводится под местной анестезией. После проведения нескольких таких сеансов пигментные пятна удаляются и поверхностные слои эпидермиса полностью обновляются.
В случае фототерапии используют технологию интенсивного импульсного света (IPL). Пятно поглощает свет, темнеет, затем практически полностью исчезает. Дополнительный плюс процедуры в том, что импульсный свет стимулирует синтез коллагена, что дает заметный эффект омоложения. К сожалению, результаты лечения пигментаций никогда не бывают устойчивыми, необходимо постоянно защищать кожу от солнечных лучей. Один день пребывания на ярком весеннем солнце может свести на нет усилия многих месяцев.
Традиционно отбеливание кожи включает отшелушивающие процедуры и меры по снижению продукции меланина. В последние годы, когда стала очевидной роль свободных радикалов и медиаторов воспаления в развитии гиперпигментации, в отбеливающие средства стали вводить антиоксиданты и противовоспалительные средства. Обязательным условием всех отбеливающих процедур является защита от УФ-излучения, включающая применение УФ-фильтров с высокой степенью защиты (SPF > 15). С целью уменьшения синтеза пигмента меланина применяют вещества, непосредственно уменьшающие синтез этого пигмента меланоцитами (гидрохинон, азелаиновая кислота), а также вещества, ингибирующие фермент тирозиназу, участвующую в меланогенезе (арбутин, койевая кислота). Кроме того, синтез меланина уменьшают аскорбиновая кислота, антиоксиданты различных групп, противовоспалительные вещества. Гидрохинон — ароматическое органическое соединение, является высокоэффективным осветляющим средством, оказывающим отбеливающий эффект за счет токсического действия на меланоциты. Но вместе с тем и наиболее опасным, поскольку токсическое действие может распространиться и на другие клетки кожи, вызвав аллергический дерматит или другие повреждения и нарушения функции кожи. В связи с высокой токсичностью использование гидрохинона в косметологии ограничено. Наибольшую популярность в качестве осветляющего средства в настоящее время имеет соединение гидрохинона с глюкозой — арбутин. Арбутин — это гликозид, который в больших количествах содержится в листьях толокнянки и в некоторых других растениях. Арбутин значительно угнетает синтез меланина и активность тирозиназы, но в отличие от гидрохинона не оказывает токсического действия на клетки кожи.
В линии отбеливающих кожу средств растительные препараты занимают ведущее место по эффективности за счет содержащихся в растениях веществ: фенолов (фенол, хинон, тимол, эвгенол, арбутин), производных фенолкарбоновых кислот (салициловая кислота). Растительными компонентами в препаратах могут являться экстракт толокнянки, корень тутового дерева, огуречный и лимонный экстракты. Вещества, содержащиеся в лекарственных растениях, могут оказывать на пигментацию как прямое, так и опосредованное действие. Механизм прямого осветляющего действия растительных препаратов связан с ингибированием тирозиназы; связыванием меди, необходимой для работы тирозиназы; окислением или блокировкой сульфгидрильных групп (-SH); связыванием серебра, висмута, мышьяка, стимулирующих ферментативное превращение тирозина. Опосредованное действие компонентов растительных препаратов происходит за счет отшелушивающего, антиоксидантного и противовоспалительного действия и защиты от УФ-излучения, являющегося одной из причин развития гиперпигментации.
Среди современных инновационных средств для лечения и ухода за кожей с реактивной гиперпигментацией (мелазма, лентиго, постакне) следует отметить косметическую серию Иклен ® , разработанную на основе Руцинола ® (запатентованное активное вещество) с высокой степенью переносимости и высокой стабильностью. Принцип действия Руцинола ® основан на двойном механизме регуляции пигментации в меланоцитах, что позволяет активно снижать интенсивность пигментных пятен. Руцинол ® — это первое депигментирующее активное вещество, действующее одновременно на две ключевые энзиматические системы меланогенеза: значительно уменьшает продукцию меланина за счет подавления фермента тирозиназы и снижения активности энзимов TRP1. Руцинол ® в комплексе с транспортной молекулой, которая облегчает его абсорбцию кожей, включен в концентрированную формулу Сыворотки Интенсивной Депигментирующей Иклен ® (интенсивный уход) и увлажняющую формулу Поддерживающего Крема Иклен ® .
В состав Сыворотки Интенсивной Депигментирующей Иклен ® включены экстракты айвы, Софоры альфа, оказывающие опосредованное действие на гиперпигментацию и потенциирующие отбеливающий эффект Руцинола ® . Специально для женщин с сухой и очень сухой зрелой кожей для профилактики фотостарения и солнечного лентиго рекомендуется Иклен ® Дневной Уход против морщин и пигментных пятен SPF 15, а также Иклен ® Мелано-Эксперт Концентрированный Крем против пигментных пятен. Гамма средств Иклен ® гипоаллергенна (не содержит ароматизаторов), не вызывает фотосенсибилизации, цитотоксического и тератогенного эффекта.
Читайте также:
