КТ при разрыве цепи и вывихах слуховых косточек
Добавил пользователь Евгений Кузнецов Обновлено: 05.11.2025
Кафедра оториноларингологии Российской медицинской академии последипломного образования, Москва
Рентгенодиагностическое отделение ЦКБ гражданской авиации
Кафедра оториноларингологии учебно-научного медицинского центра Управления делами Президента России, Москва
Кафедра оториноларингологии РМАПО
МРТ в предоперационном обследовании и послеоперационном контроле при хроническом среднем отите с холестеатомой
Журнал: Вестник оториноларингологии. 2012;77(5): 14‑19
Косяков С.Я., Лазебный В.В., Коршок В.В., Пчеленок Е.В. МРТ в предоперационном обследовании и послеоперационном контроле при хроническом среднем отите с холестеатомой. Вестник оториноларингологии. 2012;77(5):14‑19.
Kosiakov SIa, Lazebnyĭ VV, Korshok VV, Pchelenok EV. The role of MRI in the preoperative examination and postoperative follow up of the patients presenting with a combination of chronic otitis media and cholesteatoma. Vestnik Oto-Rino-Laringologii. 2012;77(5):14‑19. (In Russ.).
Цель работы - изучить возможности определенных режимов МРТ в диагностике холестеатомы, а также определить критерии предлагаемых протоколов. Исследование проводилось в стандартных режимах Т1, Т2, а также в режиме non-EPI DWI. Нами были обследованы пациенты как с первичной холестеатомой, так и с резидуальной и рецидивирующей холестеатомой. Основной алгоритм радиологической диагностики холестеатомы заключался в следующем: низкоинтенсивный сигнал в режиме Т1, сигнал высокой интенсивности в режимах Т2 и non-EPI DWI. В статье представлены 3 клинических наблюдения. Всем пациентам была выполнена МРТ в режимах Т1, Т2 и non-EPI DWI. У 2 пациентов было подтверждено наличие холестеатомы и верифицирован данный факт на операции, а в одном из примеров данный метод позволил исключить наличие холестеатомы.
Холестеатома — это скопление кератина в матриксе чешуйчатого эпителия в полости среднего уха. Только в 2% случаев холестеатома может быть врожденной. В остальных же случаях это приобретенное заболевание, развивающееся на фоне хронического среднего отита в результате ретракции барабанной перепонки [1].
Холестеатома разрушает структуры среднего уха, нарушает такие функции последнего, как слух, равновесие, функцию лицевого нерва и вызывает осложнения.
Осложнения холестеатомы связаны с костной деструкцией в полости среднего уха, что обусловлено механическим давлением и активностью медиаторов воспаления, которые стимулируют остеокласты. Костная деструкция приводит к разрушению цепи слуховых косточек, развитию лабиринтных фистул, эрозиям канала лицевого нерва с развитием пареза и, наконец, к тяжелым внутричерепным осложнениям.
Лечение холестеатомы всегда только хирургическое. Хирургические подходы могут быть различными и включать операции с сохранением задней стенки наружного слухового прохода и ее удалением, с реконструкцией цепи слуховых косточек и стенок паратимпанальных пространств [2]. Закрытые типы операций длительное время применяли с большой осторожностью по причине высокого процента развития как резидуальных заболеваний, так и рецидива холестеатомы. В связи с этим «золотой стандарт» лечения включал обязательную ревизию через год после операции. Например, по данным клиники в Антверпене, повторные оперативные вмешательства у взрослых составляют 57%, из которых только в 7,2% случаев обнаружена резидуальная холестеатома, а в остальных случаях (92,8%) проводились необоснованные оперативные вмешательства [3].
В настоящее время для предоперационного обследования больных широко используется компьютерная томография (КТ) височных костей. Данный метод позволяет определить состояние слуховых косточек, сосцевидного отростка, надбарабанного пространства, стенок барабанной полости, состояние окон лабиринта и внутреннего уха [4]. Однако специфичность КТ в диагностике холестеатомы низка. В связи с этим КТ можно рассматривать только как «дорожную карту» для оценки состояния различных структур среднего уха (сохранены, повреждены, разрушены). Это дает возможность ориентироваться в наличии анатомических структур, определить костную деструкцию, но ни в коем случае не определить, за счет чего произошла деструкция. На КТ невозможно дифференцировать холестеатому, грануляционную, рубцовую ткань и опухоль. Исследования последних 15 лет это подтверждают [5]. Для послеоперационного контроля КТ имеет еще меньшее значение, так как вследствие низкой специфичности не позволяет дифференцировать послеоперационные рубцовые изменения от экссудата или резидуальной холестеатомы. КТ наиболее значима при определении аэрации среднего уха и сосцевидного отростка, но значимость ее снижается при наличии мягкотканных образований [6].
В течение последних нескольких лет было опубликовано несколько работ [5, 7—10] о диагностике холестеатомы с применением магнитно-резонансной томографии (МРТ) в различных режимах (Т1, Т2, EPI DWI и non-EPI DWI). Эти работы были опубликованы в основном врачами-радиологами в соавторстве с оториноларингологами и носят специфический характер, так как информация в них излагается с позиций рентгенологов с указанием массы технических характеристик оборудования и протоколов обследования.
Цель нашей работы — изучить возможности определенных режимов МРТ в диагностике первичной холестеатомы различных размеров в диагностически сложных случаях, резидуальной холестеатомы у пациентов, подвергнутых множественным оперативным вмешательствам. В конечном счете, предполагается популяризировать данный метод и сделать его доступным для лечебной практики.
Методика исследования
Все пациенты были обследованы на МР-томографе Signa HD GE («Helthcare», США) с напряженностью магнитного поля 1,5 Тесла. Обследование выполнялось без контрастирования в импульсных последовательностях:
— Т1 во фронтальной плоскости с подавлением сигнала от жировой ткани с толщиной среза 3 мм;
— Т2 во фронтальной и сагиттальной плоскостях с толщиной среза 3 мм;
— non-EPI DWI в аксиальной плоскости с толщиной среза 2 мм.
При наличии холестеатомы характерны следующие МРТ-признаки:
1. Сигнал низкой интенсивности в режиме Т1.
2. Гиперинтенсивный сигнал или сигнал средней интенсивности в режиме Т2.
3. Сигнал высокой интенсивности в режиме non-EPI DWI.
При наличии воспаления и грануляционной ткани выявляются следующие МРТ-признаки:
1. Сигнал низкой интенсивности в неконтрастном режиме Т1.
2. Cигнал высокой интенсивности в режиме T2.
3. Сигнал низкой интенсивности в режиме non-EPI DWI.
Для холестерол-гранулемы характерны следующие МРТ-признаки:
1. Сигнал высокой интенсивности в режиме Т1.
2. Сигнал высокой интенсивности в режиме Т2.
Основная проблема закрытых методов хирургии уха заключается в необходимости длительного наблюдения. Развитие резидуальной холестеатомы после первичной операции до момента клинических проявлений, как правило, занимает около 12—18 мес [7]. Учитывая огромные пространства нашей страны, повторная ревизия для иногороднего пациента часто представляет финансовую нагрузку. В то же время с широким распространением диагностического оборудования и, в частности, магнитно-резонансных томографов, появляется возможность, применив описанный метод, контролировать состояние заболевания, не прибегая к повторному хирургическому вмешательству.
Идеальным методом скрининга на сегодняшний день является применение МРТ в режиме non-EPI DWI. Преимуществом является отсутствие необходимости применения дорогого контраста (например, гадолиниума) и связанного с его применением возможного нефротоксического действия, сокращение времени обследования на 45 мин (ожидание поздней фазы контрастирования). Обследование только в режиме non-EPI занимает всего 3—6 мин [8].
Существует два диагностических исключения, которые могут маскироваться под наличие холестеатомы и демонстрировать те же закономерности. Это абсцесс (как правило, имеющий клинические признаки) и скопление серы в наружном слуховом проходе.
Метод МРТ обеспечивает высокую безопасность при хирургических вмешательствах, использующих облитерацию паратимпанальных пространств, что дает возможность контроля резидуального заболевания и позволяет диагностировать рецидивы холестеатомы. Проведение МРТ-исследования в режиме non-EPI DWI через 1 год и 5 лет позволяет, в зависимости от результата, планировать хирургическое вмешательство [10, 12].
Послеоперационный контроль заключается в тщательной отоскопии и наблюдении в течение 10 лет, при подозрении на рецидив холестеатомы необходимо проводить МРТ-исследование (в том числе в режиме non-EPI DWI).
Под нашим наблюдением находились 30 пациентов с подозрением на первичную холестеатому (где клиническая картина не была однозначна) и пациенты со сложностями в диагностике, ранее подвергнутые оперативным вмешательствам. Всем пациентам была проведена МРТ основания черепа в стандартных режимах (во фронтальной проекции) и режиме non-EPI DWI (в аксиальной проекции), без контрастного усиления.
Больная Ф., 30 лет, обратилась с жалобами на головокружение, снижение слуха на правое ухо, слизистое отделяемое из правого уха. Болеет в течение 6 лет, лечилась консервативно. При отомикроскопии визуализируется перфорация в верхнем отделе барабанной перепонки.

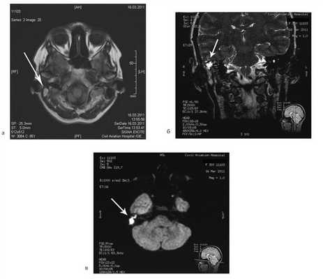
Пациентке была выполнена МРТ основания черепа по описанной методике (рис. 1). Рисунок 1. МРТ основания черепа больной Ф. с хроническим правосторонним гнойным средним отитом. Фистула лабиринта. Холестеатома. а — исследование в режиме Т1; б — в режиме Т2; в — в режиме non-EPI DWI.
В режиме Т1 справа определяется образование с низкой интенсивностью сигнала, а в режиме Т2 и non-EPI DWI — образование с гиперинтенсивным сигналом. Диагноз: хронический правосторонний гнойный средний отит; холестеатома; фистула лабиринта. Пациентка была подвергнута санирующей операции на правом ухе с тимпанопластикой и облитерацией паратимпанальных пространств. Были выявлены холестеатома, заполняющая аттик, адитус, антрум, деструкция цепи слуховых косточек, фистула латерального полукружного канала. Послеоперационный период протекал без особенностей, на 15-е сутки была удалена гемостатическая губка и силиконовая выстилка. При контрольном осмотре ухо сухое, отмечает улучшение слуха, головокружения нет. Через 12 мес проведено повторное МРТ-исследование. Признаков холестеатомы не обнаружено. Получен хороший функциональный результат — ухо толерантно к воде, самоочищается.
Больная У., 25 лет, обратилась с жалобами на снижение слуха на правое ухо, периодические выделения из правого уха. 18 лет назад была выполнена радикальная операция по поводу острого мастоидита, острого гнойного среднего отита справа. После операции развился парез лицевого нерва. В связи с продолжающимися обострениями через 8 лет была выполнена повторная операция с тимпанопластикой и мастоидопластикой. Частота обострений снизилась, но периодические выделения из уха продолжались. При отомикроскопии визуализируется неомембрана на задней стенке наружного слухового прохода с отверстием 2×4 мм, которое ведет в мастоидальную полость. Дно и стенки полости необозримы.

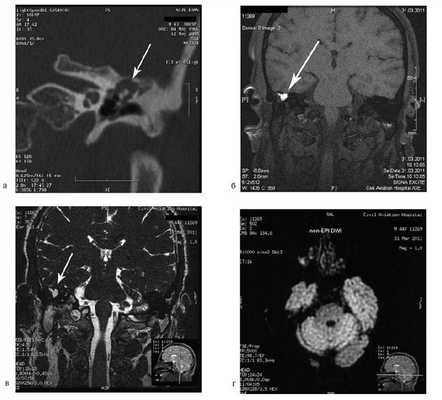
На КТ височных костей справа послеоперационная полость, заполненная мягкотканным образованием, определяется большой костный дефект в направлении сигмовидного синуса и мозжечка (рис. 2, а). Рисунок 2. КТ и МРТ височных костей больной У. с хроническим правосторонним средним отитом. Состояние после радикальной операции (1993 г.), санирующей операции с мастоидопластикой и тимпанопластикой (2003 г.). Холестеатома. Парез лицевого нерва. а — КТ; б — МРТ основания черепа в режиме Т1; в — в режиме Т2; г — в режиме non-EPI DWI.
Больной была выполнена МРТ (рис. 2, б—г).
В режимах Т2 и non-EPI DWI определяется сигнал высокой интенсивности, в режиме Т1 — низкоинтенсивный сигнал. Это может свидетельствовать о наличии холестеатомы мастоидальной полости и пирамиды височной кости. Диагноз: хронический правосторонний средний отит; состояние после радикальной операции в 1993 г. и санирующей операции с мастоидопластикой и тимпанопластикой в 2003 г.; холестеатома; парез лицевого нерва.
Больной произведена санирующая реоперация, в ходе которой удалена холестеатома больших размеров, заполняющая отшнурованную послеоперационную полость. Эта полость распространялась до верхушки сосцевидного отростка, граничила с твердой мозговой оболочкой и достигала верхушки пирамиды височной кости. Полость облитерирована. В послеоперационном периоде получен хороший функциональный результат. Ухо толерантно к воде, не было обострений, гноетечения, головокружений. Сохранилась кондуктивная тугоухость I степени. МРТ через 9 мес подтвердила отсутствие холестеатомы.
Больной А., 44 лет, обратился с жалобами на периодические (2 раза в год) гноетечения из правого уха. Ранее пациенту неоднократно предлагалось оперативное вмешательство.
При отомикроскопии определяется утолщение барабанной перепонки, перфорация не визуализируется, признаков холестеатомы нет.

На КТ правой височной кости определяется затемнение в области аттика и антрума, цепь слуховых косточек сохранена (рис. 3, а). Рисунок 3. КТ и МРТ височных костей больного А. с адгезивным средним отитом справа, фиброзной облитерацией аттика. а — КТ; б — МРТ основания черепа в режиме Т1; в — в режиме Т2; г — в режиме non-EPI DWI.
Пациенту выполнена МРТ основания черепа по описанной методике (рис. 3, б—г).
В режиме Т1 и Т2 справа определяется очаг с высокой интенсивностью сигнала, тогда как в режиме non-EPI DWI патологических образований не выявлено. Диагноз: адгезивный средний отит справа, фиброзная облитерация аттика.
В связи с отсутствием данных о холестеатоме операция не производилась, выявленные изменения расценены как фиброзные изменения, оторея была обусловлена периодическим возникновением наружного отита. Больной получал консервативное лечение.
Результаты и обсуждение
Приведенные примеры характеризуют диагностически сложные ситуации, когда пациент перенес, например, несколько обострений, не было четко обозримой перфорации, когда можно было только заподозрить развитие холестеатомы, учитывая данные анамнеза, и, напротив, несколько перенесенных операций затрудняли дифференцирование холестеатомы от послеоперационных изменений.
Проведение пациентам КТ позволило определить мягкотканные образования, но они могли быть обусловлены грануляциями, полипами, рубцовой тканью, мозговой грыжей, а также холестеатомой. Предложенные нами клинические примеры можно разделить на 2 группы. 1-ю группу составили пациенты с хроническим гнойным средним отитом, где была заподозрена первичная холестеатома. Диагностическая сложность состояла в отсутствии явных клинических признаков, наличии косвенных признаков холестеатомы на КТ. 2-ю группу составили пациенты, которые были подвергнуты неоднократным оперативным вмешательствам, однако полного выздоровления не было достигнуто и было подозрение на развитие резидуальной холестеатомы в отшнурованных областях. Для определения наличия и точной локализации распространения резидуальной холестеатомы КТ не могла дать нам достоверной информации, потому что все патологические изменения выглядели абсолютно одинаково. Кроме того, у этих больных периодически возникали обострения, а это само по себе может давать затемнение на КТ. Поэтому нами было принято решение выполнить МРТ основания черепа. Это позволило в большинстве случаев с высокой степенью достоверности подтвердить наличие холестеатомы и верифицировать данный факт на операции, а в одном из примеров отвергнуть ее наличие.
В исследовании, проведенном P. Aikele и соавт. [9], была проведена оценка эффективности МРТ-исследования у пациентов, ранее оперированных по поводу холестеатомы. Из 17 пациентов у 13 холестеатома была выявлена на МРТ и верифицирована при повторном оперативном вмешательстве. Наименьший размер диагностированной холестеатомы составил 5 мм.
Согласно исследованиям B. De Foer и соавт. [10], режим non-EPI DWI позволяет определять холестеатому размером до 2 мм. По данным авторов, повторные оперативные вмешательства в послеоперационном контроле проводились в 62% случаев. С использованием новой методики этот процент снизился до 10%.
У нас в стране пока данный метод не получил широкого распространения, но результаты даже предварительных исследований показали, что МРТ — достоверный метод диагностики холестеатомы, но требуются дальнейшие исследования по определению его чувствительности и специфичности.
Заключение
Метод МРТ, особенно в режиме non-EPI DWI, эффективен в диагностически сложных случаях — при отсутствии явных клинических признаков холестеатомы, но существующем подозрении на нее. Метод также эффективен для диагностики резидуальной холестеатомы и рецидива и может применяться в качестве контроля у пациентов, ранее оперированных по поводу холестеатомы, не прибегая к повторным ревизиям.
Использование метода МРТ изменяет взгляд за закрытые типы операций, снимая последний сдерживающий фактор — трудность контроля. МРТ позволяет диагностировать рецидив холестеатомы и резидуальное заболевание и является абсолютно экономически эффективным методом [11].
КТ при разрыве цепи и вывихах слуховых косточек
Дооперационные признаки повреждения цепи слуховых косточек при хроническом гнойном среднем отите
Журнал: Вестник оториноларингологии. 2017;82(1): 82‑82
Дооперационные признаки повреждения цепи слуховых косточек при хроническом гнойном среднем отите. Вестник оториноларингологии. 2017;82(1):82‑82.
Preoperative Predictors in Chronic Suppurative Otitis Media for Ossicular Chain Discontinuity: A Cross-Sectional Study. Vestnik Oto-Rino-Laringologii. 2017;82(1):82‑82. (In Russ.).
Разрыв слуховых косточек может возникать как результат воспаления при хроническом гнойном среднем отите и обычно обнаруживается интраоперационно. Цель данного исследования состояла в том, чтобы определить, может ли дооперационная аудиограмма предсказать наличие или отсутствие разрыва слуховых косточек (до начала операции). Для этого было проведено перекрестное исследование пациентов в возрасте 12—75 лет, оперированных по поводу хронического гнойного среднего отита. Предоперационные аудиограммы были проанализированы на предмет измерения костно-воздушного интервала (КВИ). Интраоперационно была тщательно проверена целостность цепи слуховых косточек. Логистический регрессионный анализ был проведен для получения прогнозной модели. Результаты аудиологического исследования до операции сопоставлялись с интраоперационными находками. В общей сложности в исследование были включены 270 пациентов (306 ушей). Выявлено, что величина костно-воздушного интервала может указывать на разрыв цепи слуховых косточек, а именно: высокие значения КВИ при 1000 Гц (>27,5 дБ) и 2000 Гц (>17,5 дБ) являются наиболее достоверным подтверждением разрыва цепи слуховых косточек. Таким образом, авторы заявляют, что с помощью предоперационных аудиограмм можно прогнозировать наличие разрыва цепи слуховых косточек при хроническом гнойном среднем отите. Высокие значения КВИ как при 1000, так и при 2000 Гц с большей достоверностью могут указывать на разрыв цепи слуховых косточек.
- (бесплатный номер
по вопросам подписки)
пн-пт с 10 до 18
- Издательство «Медиа Сфера»
а/я 54, Москва, Россия 127238
Компьютерная томография в диагностике патологии уха , страница 10

Рис.92 Адгезивный отит у больного, перенесшего баротравму.
С помощью КТ у пострадавших с баротравмой уха удается выявить следующие патологические изменения: разрывы цепи слуховых косточек, разрывы мышцы, напрягающей барабанную перепонку и спайки в полости среднего уха, как следствие баротравмы (рис.92).
Разрывы цепи слуховых косточек локализуются, как правило, в наковальне-молоточковом суставе, однако визуализация этой патологии на компьютерных томограммах все же не всегда возможна (лишь у 35% пострадавших).
У ряда пациентов на компьютерных томограммах можно увидеть разрыв мышцы, напрягающей барабанную перепонку. При этом в области внутреннего отверстия мышечно-трубного канала появляется свободно лежащее мягкотканное патологическое образование лентовидной формы (рис.95). Интересно, что именно у этих больных показанием к проведению КТ служат клинические, отоскопические и электрофизиологические данные, которые лишь ориентировочно указывают на наличие патологического процесса в среднем ухе. Характерным примером этому служит следующее наблюдение.
При КТ (рис.96а): левое ухо - слуховые косточки смещены к латеральной стенке барабанной полости и вниз, в гипотимпаническое пространство, фиксированы фиброзными тяжами: имеется расхождение косточек в наковальне-молоточковом суставе (рис.94) на уровне окна преддверия (рис.95) из мышечно-трубного канала выходит свободно лежащее в полости среднего уха мягкотканное образование - разорванная мышца, напрягающая барабанную перепонку (m. tensor tympani). Правое ухо - КТ-признаки хронического эпитимпанита.
Во время оперативного вмешательства разрыв наковальне-молоточкового сустава подтвержден, равно как разрыв и резкие изменения в мышце, напрягающей барабанную перепонку. Слуховые косточки были смещены вниз и латерально, фиксированы к наружной стенке барабанной полости соединительнотканными тяжами рубцовой тканью. При КТ после операции (рис.966) наковальня не видна (оперативно удалена), рукоятка молоточка фиксирована к латеральной стенке барабанной полости в переднем её отделе. Признаков воспаления в среднем ухе нет.

Рис.93а КТ больного с разрывом цепи слуховых косточек: головка молоточка и тело наковальни визуализируются в гипотимпаническом пространстве.

Рис.936 КТ того же больного после оперативного вмешательства: наковальня удалена, тело молоточка находится около окна преддверия.

Рис.95 КТ больного после баротравмы левого уха: в полости среднего уха виден свободно лежащий конец разорванной мышцы, напрягающей барабанную перепонку (звездочка).


Рис.96 КТ больного П.. 43 лет: а) до оперативного вмешательства, б) после операции (пояснения в тексте).
При обследовании пациентов с баротравмой следует помнить, что патологические изменения в барабанной полости могут быть небольшими, например, расхождение косточек при разрыве наковальне-стременного сочленениия. Вследствие небольшого смещения косточек это патологические изменения не видны на компьютерных томограммах, как из-за малой дистанции такого расхождения, так из-за небольших размеров самой наковальни, лежащих вне пределов разрешающей способности нашей КТ-установки.
И все же, учитывая уникальность диагностической информации, получаемой с помощью КТ при обследовании больных с баротравмой уха, мы считаем обязательным проведение данного метода исследования у каждого пострадавшего, даже при сомнительных или отрицательных данных отоскопии и аудиометрии.
Диагностика отосклероза и определение формы заболевания является достаточно сложной задачей в отиатрии [68,126,172, 300]. Вместе с тем именно форма отосклероза определяет характер лечения, но и его исход [306]. Кроме того, оперативное вмешательство, например, внедрение многоканального электрода в улитку при её хирургическом протезировании, требует точного знания анатомии височной кости у конкретного пациента [172].
Трудности в клинико-инструментальной диагностики отосклероза возникают, в основном, в поздней стадии заболевания и при значительном вовлечении в процесс кохлеарного рецептора, когда с помощью клинико-аудиологического исследования весьма сложно дифференцировать его от иных патологических процессов, например, неврита слухового нерва [202]. Однако и на ранних стадиях болезни нарушения звукопроведения могут быть связаны не только с отосклеротическим процессом, но и с такими заболеваниями, как адгезивный отит и сальпингоотит, что требует проведения тщательной дифференциальной диагностики, ибо в этом случае ошибка врача может повлечь за собой неоправданное оперативное вмешательство [203].
Результаты рентгенологического исследования лишь изредка помогают уточнить диагноз отосклероза, причем диагностическая ценность метода невысока, особенно при кохлеарной форме заболевания [143]; информативность же его такова, что при несовпадении рентгенологических и аудиологических симптомов диагноз должен основываться на основании последних [39,197].
Список сокращений:
КТ — компьютерная томография
МРТ — магнитно-резонансная томография
ОАЭ — отоакустическая эмиссия
КСВП — коротколатентные слуховые вызванные потенциалы
КИ — кохлеарная имплантация
По данным отечественных и зарубежных авторов, кохлеарная имплантация (КИ) в настоящее время является самым эффективным методом лечения глухоты [1—3]. Успешное проведение КИ является залогом эффективной реабилитации пациентов.
Перед операцией проводится тщательное обследование пациентов для выявления показаний и противопоказаний к хирургическому этапу К.И. Предоперационная подготовка включает в себя сбор анамнеза, клинический осмотр, аудиологическое обследование: регистрацию отоакустической эмиссии (ОАЭ) и коротколатентных слуховых вызванных потенциалов (КСВП), проведение акустической импедансометрии, при возможности — тональной пороговой и речевой аудиометрии, сурдопедагогическую консультацию; для пациентов старшего возраста желательно проведение промонториального теста. Также необходимы консультация педиатра, невролога, терапевта и/или других специалистов, у которых больной состоит на учете.
КТ крайне важна при обследовании пациентов с глухотой, так как позволяет получать изображения сложных анатомических структур височной кости с точностью до 0,5 мм, оценить степень развитости и пневматизации сосцевидного отростка и барабанной полости, определить уровень и протяженность атрезии наружного слухового прохода, топографии лицевого нерва, характер изменения цепи слуховых косточек, состояние улитки и окон лабиринта, положение крупных сосудов, полукружных каналов и внутреннего слухового прохода.
Различают следующие варианты врожденных аномалий внутреннего уха, которые можно определить только по данным КТ: кохлеарная гипоплазия, общая полость улитки, преддверия и полукружных каналов (на КТ определяется общая полость, имеющая кистообразную форму, которая представляет улитку и вестибулярный аппарат без дальнейшей дифференцировки); аномалия Мондини I—II — деформация, которая представлена нормальным базальным завитком улитки в комбинации со слиянием второго и третьего завитков. В случае деформации Michel улитка и полукружные каналы отсутствуют (тотальная аплазия лабиринта), а среднее и наружное ухо визуализируются без патологических изменений [4].
Полным противопоказанием для проведения КИ являются отсутствие слухового нерва и аплазия улитки.
Также по данным КТ можно определить аномальное сужение или расширение внутреннего слухового прохода. Узкий (менее 2 мм) слуховой проход свидетельствует об отсутствии слухового нерва. Широкий внутренний слуховой проход встречается как аномалия развития, при нейрофиброматозе; кроме этого, встречается бульбообразное расширение внутренних слуховых проходов неясной этиологии или после перенесенного менингита или менингоэнцефалита [5, 6].
КТ позволяет определить размеры улитки, которые не меняются с возрастом и составляют в среднем 8,0×5,0×6,0 мм [5, 6]. За этими размерами скрываются индивидуальные особенности строения улитки, которые могут влиять на процесс интракохлеарного размещения электродов, а также быть прогностическими критериями при планировании хирургического вмешательства.
Пациентам, оглохшим вследствие перенесенного менингита, необходимо в обязательном порядке проводить МРТ височных костей для выявления поражения ЦНС органического характера и изменений во внутреннем ухе, так как МРТ позволяет более четко (по сравнению с КТ) диагностировать облитерацию улитки, развивающуюся вследствие перенесенного воспалительного процесса. По данным разных авторов, частота сенсоневральной тугоухости вследствие менингита составляет 4—40%. Чаще глухота развивается у детей до 3 лет на фоне менингококкового, пневмококкового, гриппозного менингита, а также менингита, вызванного палочкой Афанасьева—Пфейффера [7].
Цель исследования — определение возможностей КТ и МРТ в диагностике врожденной и приобретенной патологии внутреннего уха у глухих пациентов.
Пациенты и методы
Для выполнения поставленной цели в консультативно-диагностической поликлинике ФГБУН РНПЦ аудиологии и слухопротезирования ФМБА России и в ЛОР-отделении ДГКБ св. Владимира ДЗМ были обследованы две группы пациентов. В 1-ю группу были включены 75 пациентов — кандидатов на КИ в возрасте от 1 года до 43 лет с врожденной или приобретенной посттравматической глухотой. 2-ю группу составили 75 пациентов в возрасте 3—12 лет с глухотой, развившейся после перенесенного острого бактериального менингита.
Всем пациентам проводили КТ и МРТ височных костей. КТ височных костей была выполнена полипозиционно в коронарной и аксиальной проекциях с шагом 0,5 мм и МРТ — в стандартных отведениях в SEFSE FLAIR Т1 и Т2 взвешенном изображении в аксиальной, коронарной и сагиттальной проекциях с акцентом на внутреннее ухо.
Результаты и обсуждение
У 5 пациентов 1-й группы отмечалисьпосттравматические изменения височных костей (у 4 процесс носил односторонний характер, у 1 — двусторонний): у пациента с двусторонним поражением височных костей имели место разрыв и дислокация цепи слуховых косточек, изменений в структурах внутреннего уха выявлено не было. У остальных 4 был диагностирован поперечный перелом пирамиды височной кости: линия перелома проходила через область лабиринта и хорошо определялась на томограммах, при этом у одного из этих пациентов была обнаружена полная облитерация улитки, у другого был найден участок костной плотности в преддверии (давность травмы составила 25 и 8 лет соответственно).
У 2 больных был выявлен локальный порок развития слуховых косточек: гипоплазия цепи слуховых косточек и аномалия развития молоточка в сочетании с уплотнением мембраны круглого окна.
У 9 пациентов определялись воспалительные изменения в среднем ухе: мягкотканные компоненты в барабанной полости и клетках сосцевидного отростка, проявление хронического среднего отита, в том числе у одного больного с холестеатомой барабанной полости и деструкцией промонториальной стенки.
Также в 1-й группе в одном наблюдении было выявлено двустороннее симметричное расширение внутренних слуховых проходов, потребовавшее дополнительного обследования пациента.
Анализ КТ и МРТ 75 пациентов 2-й группы — кандидатов на КИ с двусторонней глухотой после перенесенного менингита показал, что у 63 пациентов (84% наблюдений) изменения височных костей отсутствовали. В одном случае была выявлена аномалия Арнольда—Киари (врожденная аномалия развития головного мозга), при которой основные изменения связаны с нарушением функций мозжечка и продолговатого мозга.
У 11 (14,6%) пациентов были обнаружены изменения внутреннего уха: у 1 больного с рецидивирующим менингитом, приведшим к глухоте, на КТ обнаружен склеротический тип строения сосцевидного отростка (результат ранее перенесенных отитов), дефект дна барабанной полости над луковицей яремной вены и дополнительный венозный коллектор, идущий от луковицы яремной вены в заднюю черепную ямку. По данным МРТ, структуры внутреннего уха — без изменений, количество внутриулитковой жидкости — удовлетворительное с двух сторон.
Один пациент после перенесенного менингита имел КТ-признаки двусторонней частичной костной облитерации лабиринта без вовлечения улиток с двух сторон. Данные МРТ подтвердили находки КТ: правая и левая улитки — без патологических изменений.
У 1 пациента после перенесенного менингита по данным КТ имелась картина двусторонней частичной костной облитерации лабиринта с вовлечением улитки справа. На МРТ патологические изменения структур внутреннего уха отсутствовали, количество внутриулитковой жидкости было удовлетворительным с двух сторон.
Один пациент, по данным КТ височных костей, имел двустороннюю облитерацию лабиринта, включая улитки с двух сторон, с большей выраженностью патологических изменений справа. На МРТ было выявлено уменьшение количества жидкости в улитке справа, слева количество жидкости в улитке соответствовало норме (рис. 1, 2).

Рис. 1. КТ, аксиальная проекция. Облитерация улитки (стрелка).

Рис. 2. МРТ, аксиальная проекция. Справа — полное отсутствие жидкости в улитке (короткая стрелка), слева — частичное (длинная стрелка).
У одного пациента на КТ определялись двусторонняя аномалия внутреннего уха по типу Мондини (рис. 3), двусторонний локальный порок развития цепи слуховых косточек, костная облитерация лабиринта, включая улитку справа. На МРТ внутриулитковая жидкость справа не определялась, слева количество внутриулитковой жидкости было в норме.

Рис. 3. КТ, аксиальная проекция. Аномалия Мондини, состояние после КИ.
По данным КТ височных костей, 5 пациентов имели двустороннюю частичную облитерацию лабиринта с односторонним вовлечением улитки. По данным МРТ, с одной стороны количество внутриулитковой жидкости было в норме, с другой — внутриулитковая жидкость не была обнаружена.
Один пациент, по данным КТ, имел двустороннее бульбообразное расширение внутреннего слухового прохода, что явилось рентгенологической находкой, при этом, по данным МРТ, внутриулитковая жидкость с двух сторон определялась в удовлетворительном количестве, патологии VII—VIII пар ЧМН не было.
Таким образом, среди обследованных 75 пациентов с глухотой, развившейся вследствие острого бактериального менингита, у 11 (14,6%) были выявлены изменения структур височных костей. Анализ данных КТ с изменениями височных костей всех 11 пациентов (22 уха) выявил частичную облитерацию улиток в 20 наблюдениях, у 1 пациента с одной стороны на фоне аномалии Мондини облитерации улитки не было выявлено, с другой — была обнаружена полная костная облитерация улитки. По данным МРТ, в тех же наблюдениях нормальное количество жидкости в улитке было выявлено в 15 случаях, в 1 — определялось уменьшенное количество внутриулитковой жидкости, в 6 — жидкость отсутствовала. Данные результаты повлияли не только на выбор стороны операции, но и позволили хирургу выбрать необходимый тип электродной решетки кохлеарного импланта: в 6 случаях использовалась прямая электродная решетка, в 5 — перимодиолярная.
В то же время отсутствие поражения улитки в 84% наблюдений после перенесенного менингита является хорошим прогностическим показателем успешной реабилитации оглохшего вследствие менингита больного.
Все пациенты обеих групп были успешно прооперированы, операцию перенесли удовлетворительно, перимодиолярная электродная решетка была введена полностью у 144 пациентов. У пациентов с облитерацией улитки, выявленной в предоперационном периоде, в 5 случаях электродная решетка импланта double array и в 1 — прямая были введены не полностью, так как облитерация основного завитка составляла более 4,0 мм.
Выводы
1. КТ и МРТ височных костей позволяют выявить индивидуальные особенности строения наружного, среднего и внутреннего уха, которые могут влиять на процесс интракохлеарного размещения электродной решетки кохлеарного импланта в улитке и являются прогностическими критериями при планировании хирургического вмешательства.
2. МРТ имеет преимущество перед КТ в диагностике ранней облитерации улитки.
3. КТ и МРТ являются обязательными методами обследования пациентов с глухотой, возникшей вследствие менингита. Совокупность данных КТ и МРТ позволяет хирургу выбрать оптимальную сторону проведения КИ.
КТ. Слуховые косточки. Кратко
Основная задача среднего уха - передача звуков, усиление или ослабление их, а также защита от слишком громких, ударных воздействий.
Эту функцию выполняет цепь слуховых косточек, а также связки и мышцы барабанной полости.

Анатомия слуховых косточек:
- Молоточек: головка, шейка, передний отросток, рукоятка;
- Наковальня: тело, короткий отросток, длинный отросток, чечевицеобразный отросток;
- Стремя: головка, передняя (более прямая) ножка, задняя (более изогнутая) ножка, площадка (основание) стремени.

Суставы:
- наковальне-молоточковый сустав (articulatio incudomallearis) - между головкой молоточка и телом наковальни;
- наковальне-стременной сустав (articulatio incudostapedia) - между чечевицеобразным отростком наковальни и головкой стремени.
Мышцы барабанной полости:
- мышца, напрягающая барабанную перепонку (m.tensor tympani) - начинается в хрящевом отделе слуховой трубы. По выходу из трубы, сухожилие m.tensoris tympani делает поворот вокруг маленького крючкообразного выступа на мысе (улиткового отростка, processus cochleariformis), пересекает барабанную полость латерально и прикрепляется к рукоятке молоточка вблизи шейки.
- стременная мышца, m.stapedius - от задней (мастоидальной, сосцевидной) стенки барабанной полости (пирамидальное возвышение, eminentia pyramidalis) к шейке стремени.

Барабанная перепонка, membrana tympani - отделяет наружное ухо от среднего. Это довольно прочная фиброзная полупрозрачная пластинка округлой формы диаметром 9-11 мм и толщиной 0,1 мм.)
Барабанная перепонка взрослого человека расположена косо по отношению к оси слухового прохода. Она образует с горизонтальной плоскостью угол в 45 градусов,открытый в латеральную сторону, и со срединной плоскостью - угол такой же величины, открытый кзади.
В барабанную перепонку вплетена рукоятка (длинный отросток) молоточка, к шейке молоточка крепится m. tensor tympani, (между шейкой молоточка и барабанной перепонкой расположено пространство Пруссака).
Передний отросток (processus anterior) молоточка, представляет собой тонкий острый выступ от шейки молоточка. К этому отростку крепится передняя молоточковая связка. Передней и задней связками молоточек как бы расчален в барабанной вырезке. Эти связки являются осью его вращения.
От крыши барабанной полости к головке молоточка идет верхняя связка молоточка. Головка молоточка наковальне-молоточковым суставом (articulatio incudomallearis) соединяется с телом наковальни.
Наковальня имеет две связки - заднюю, прикрепленную к короткому отростку, и верхнюю, которая спускается сверху и прикрепляется к телу наковальни. Короткий отросток наковальни, crus breve, помещается в костном углублении, ямке наковальни (fossa incudis).
Длинный отросток наковальни, crus longum, идет параллельно рукоятке молоточка. Нижний изогнутый его конец (чечевицеобразный отросток, processus lenticularis) образует наковальне-стременной сустав (articulatio incudostapedia) с головкой стремени.
Между передней (crus anterius) и задней (crus posterius) ножками стремени находится мембрана стремени. Основание стремени (basis stapedis) посредством кольцевидной связки соединяется с хрящевым краем овального окна преддверия (у задне-верхнего отдела мыса).
Читайте также:
- Тампонирующие вещества для витреальной полости. Особенности
- Крипторхизм у мальчиков. Диагностика и лечение
- Современная молекулярная диагностика в стоматологии. Ценность молекулярной диагностики
- Организующаяся гематома конъюнктивы (кровяная киста, гематоцеле): признаки, гистология, лечение, прогноз
- Порокератозы у ребенка (Мибелли, линейный, диссеминированный, точечный)
