Гипомиелинизация головного мозга на КТ, МРТ
Добавил пользователь Владимир З. Обновлено: 21.11.2025
Миелинизация - это увеличение содержания липидов и уменьшение содержания воды в оболочках нервных путей. Процесс миелинизации мозга начинается на пятом месяце внутриутробного развития и продолжается активно до 2 лет . При МРТ головного мозга сигнал от миелинизировавшегося белого вещества мозга в связи с сокращением релаксационных времён четко отличается от участков с незавершившейся миелинизацией.
Поскольку белое вещество у новорожденного еще не созревшее, отношение интенсивности сигнала белого и серого вещества у него обратное взрослому: на Т1-взвешенных МРТ головного мозга белое вещество темнее серого, на Т2-взвешенных МРТ головного мозга ярче. Созревание белого вещества, следовательно, выглядит как увеличение интенсивности сигнала от белого вещества на Т1-взвешенных МРТ головного мозга и уменьшение на Т2-взвешенных МРТ головного мозга. До возраста 6 мес. Т1-взвешенные МРТ головного мозга более чувствительны к процессу миелинизации.
На Т1-взвешенных МРТ головного мозга при рождении нормальный для взрослого мозга сигнал дают задние участки продолговатого и среднего мозга , ножки мозжечка , передне-боковые участки зрительного бугра, задние ножки внутренней капсулы, зрительный нерв, его перекрест и тракт. Процесс миелинизации идёт от центра к периферии, снизу вверх и сзади вперёд. К 3 месяцам жизни высокий сигнал приобретает зрительная лучистость и мозжечок, к 4-6 месяцам - мозолистое тело, 7-11 мес. - белое вещество кверху от полуовального центра, от 8 до 12 мес. - заканчивается созревание подкорковых участков белого вещества и в 12 мес. - перивентрикулярного белого вещества, миелинизация лобных долей полностью завершается к 11-14 месяцам, височных - 14-18 мес.
На Т2-взвешенных МРТ головного мозга тот же процесс идет как бы медленнее. Типичный для взрослого мозга низкий сигнал при рождении дает белое вещество задних участков ствола, нижние и верхние ножки мозжечка. Целиком мозжечок становится гипоинтенсивным только к 18 месяцам жизни. Между 6 и 8 месяцами созревает мозолистое тело, к 11 месяцам - передняя ножка внутренней капсулы, 14 месяцам - белое вещество в глубоких отделах лобной доли, между 18 и 24 месяцами заканчивается созревание подкорковых участков белого вещества.
Небольшой участок немиелинизировавшегося белого вещества у взрослых иногда встречается у передних рогов и реже за задними рогами боковых желудочков. Он отражает медленную миелинизацию и не относится к патологическим состояниям. Выглядит как симметричные “облачка” на Т2-взвешенных МРТ головного мозга, отделенные от рогов тонкой прослойкой нормального белого вещества. Эта темная прослойка важна в дифференциальной диагностике с демиелинизацией, некрозом или отеком, которые примыкают к желудочкам. Важной особенностью томограмм, полученных с помощью МРТ последовательности FLAIR (инверсия - восстановление с подавленным сигналом от жидкости ), является “подчеркнутость” контура боковых желудочков. Яркая линия толще вокруг задних рогов. Не следует принимать это за нарушение миелинизации или разрушение миелина.
На Т2-взвешенных МРТ головного мозга можно проследить созревание мозга не только за счет миелинизации, но и накопления железа в подкорковых структурах. В 6 месяцев низкий сигнал приобретают подкорковые ядра. Только к 9-10 годам низкого сигнала становится бледный шар, черное вещество и красное ядро, причем интенсивность сигнала продолжает уменьшаться и на втором десятилетии жизни. Зубчатое ядро мозжечка начинает темнеть после 15 лет, причем процесс идет медленно на протяжении всей жизни.
При МРТ в СПб детей до 2 лет мы пристальное внимание уделяем незавершенной миелинизации, чтобы не пропустить дисмиелогенные заболевания и последствия ишемических нарушений. Процесс миелинизации одинаково виден в высоких полях, так и в низких на открытых МРТ.
Нарушения миелинизации мозга и их отображения на МРТ
В целом, нарушения метаболизма составляют группу многочисленных редко встречающихся дефектов энзимов, часто с аутосомно - рецессивным типом наследствания. Некоторые нарушениям метаболизма приводят к нарушениям миелинизации, называемым дисмиелогенными заболеваниями. Дисмиелогенные заболевания классифицируются по дефекту энзимов следующим образом:
- Нарушения лизосомального накопления - метахроматическая лейкодистрофия, болезнь Краббе (глобоидно-клеточная лейкодистрофия), болезнь Сала, мукополисахаридоз
- Пероксисомальные нарушения - адренолейкодистрофия, связанная с Х-хромосомой; адреномиелонейропатия, синдром Зелвегера
- Нарушения метаболизма аминокислот и органических кислот - болезнь Канавана
- Демиелинизации с неясным метаболическим дефектом - болезнь Пелицеуса-Мерцбахера, болезнь Александера, синдром Съёгрена-Ларссона, лейкоэнцефалопатии (митохондриальная, мегалоцефальная и др.)
Нарушение миелинизации является одним из главных проявлений перечисленных заболеваний. При некоторых из них, например болезни Пелицеуса-Мирцбахера, в процесс вовлекается также серое вещество подкорковых ядер. Клинически дисмиелогенные заболевания проявляются в детском возрасте и начинаются с диффузных симптомов. Затем быстро прогрессируют от небольших парезов и легких нарушений интеллекта до спастичности и деменции. До появления МРТ, диагностика во многих случаях была очень затруднена, так как биопсия мозга выполняется в исключительных случаях. При МРТ в СПб нарушения метаболизма встречаются, в основном, в детской практике. В открытом МРТ дисмиелогенные процессы также могут быть видны.
МРТ головного мозга необычайно высоко чувствительна к дисмиелогенным нарушениям, но не очень специфична в плане дифференциальной диагностики внутри группы. При всех этих патологиях на Т2-взвешенных МРТ и МРТ, отражающих протонную плотность, видны гиперинтенсивные поля в белом веществе.
При адренолейкодистрофии на МРТ процесс быстро распространяется из центра затылочных долей вперед через внутреннюю и наружную капсулы, полуовальные центры и на подкорковое белое вещество. При МРТ головного мозга с контрастированием с контрастировании по краям поражения иногда бывает усиление, что, соответствует активному процессу разрушения миелина. Низкий сигнал на МРТ в связи с депонированием железа дают зрительные бугры, скорлупа и хвостатые ядра. При КТ могут наблюдаться участки кальцификации. Вариант заболевания, встречающийся у взрослых, адреномиелонейропатия, течет медленнее и сопровождается разрушением миелина (демиелинизацией) спинного мозга, что отображается на МРТ, периферических нервов, а также дисфункцией надпочечников.
Морфологические признаки болезни Краббе (глобоидный тип лейкодистрофии) отличается поражением зрительных бугров и лучистого венца. При МРТ описано также распространение на базальные ганглии.
Болезнь Александера (лейкодистрофия Розенталя) преимущественно поражает центральные участки лобных долей и сочетается с энцефаломегалией. В лобных долях нередко встречаются кисты. Часто поражается продолговатый мозг, где очаг на МРТ надо отличать от опухоли.
При болезни Канавана (спонгинозная дегенерация белого вещества, болезнь Канавана - ван Богарта - Бертрана) поражение начинается с затылочных долей и распространяется вплоть до кортико-медуллярного перехода . Последними вовлекаются височные доли. Наблюдаются также энцефаломегалия и атрофия мозжечка.
МРТ находки плохо коррелируют с клинической тяжестью течения заболевания. Роль МРТ заключается не в высокоспецифическом диагнозе (что требует биопсии) или оценке тяжести процесса, а в дифференциальной диагностике с заболеваниями, имеющими сходную клиническую симптоматику.
Менингиома головного мозга
Менингиома головного мозга (код по МКБ 10 - D32.0) представляет собой новообразование, которое происходит из арахноидальной (паутинной) оболочки мозга. Менингиома головного мозга морфологически имеет четкие очертания и выглядит как подковообразный или шаровидный узел, чаще всего сращенный с твердой оболочкой мозга.
В Юсуповской больнице для лечения менингиомы квалифицированные специалисты применяют самые передовые технологии и проверенные временем эффективные методы: лучевую терапию, стереотаксическую радиохирургию, качественное удаление менингиомы головного мозга. Восстановление после операции проводится в отделении реабилитации Юсуповской больницы под тщательным наблюдением компетентных врачей-реабилитологов и внимательного медицинского персонала.

Менингиома: что это такое?
Как правило, менингиома имеет доброкачественный характер, однако, как и любая другая опухоль, локализованная внутри черепной коробки, доброкачественная менингиома головного мозга считается относительно злокачественной, сопровождающейся симптомами, связанными со сдавлением мозгового вещества. Злокачественная опухоль головного мозга (менингиома) - менее распространенное заболевание, для которого характерен агрессивный рост и высокая частота рецидивов после хирургического лечения.
Наиболее часто менингиома мозга локализуется в области большого затылочного отверстия, больших полушарий, пирамиды височной кости, крыльев клиновидной кости, тенториальной вырезки, парасагиттального синуса и мостомозжечкового угла.
В большинстве случаев менингиома находится в капсуле. Опухоль не характеризуется образованием кист, может быть маленькой, всего несколько миллиметров или достигать больших размеров - свыше 15 сантиметров в диаметре. Если менингиома растет в сторону мозга, то образуется узел, который со временем начинает сдавливать мозговое вещество. Если опухоль растет в сторону костей черепа, то со временем она прорастает между клетками кости и вызывает утолщение и деформацию кости. Опухоль может расти одновременно в сторону кости и мозга, тогда образуются узлы и деформация костей черепа.
Причины развития
Прямые причины развития менингиом на сегодняшний день достоверно не изучены. Однако существует ряд факторов, которые могут провоцировать их возникновение:
- чаще всего менингиома головного мозга диагностируется у пациентов зрелого возраста, после 40 лет;
- известно, что женщины подвержены развитию менингиомы мозга больше, чем мужчины. Это обусловлено тем, что на рост опухоли оказывают большое влияние женские половые гормоны;
- возникновение различных новообразований в головном мозге нередко связано с высокими дозами ионизирующего излучения;
- влияние таких негативных факторов, как химические и токсические вещества, травма, воздействие мобильного телефона и других;
- немалая роль в развитии менингиомы принадлежит генетическим заболеваниям, одним из которых является нейрофиброматоз второго типа, вызывающий множественные злокачественные менингиомы.
Симптомы и признаки
Менингиома головного мозга (МКБ 10 - D32.0) отличается относительно медленным ростом, поэтому достаточно долго может развиваться бессимптомно.
Одним из первых симптомов является головная боль - тупая, распирающая или ноющая. Она отличается разлитым характером и локализацией в области затылка, лба или висков.
Возникновение других симптомов связано с локализацией опухоли (сдавлением тех или иных структур головного мозга). Подобная симптоматика называется очаговой.
Менингиома головного мозга может подозреваться в случае наличия следующих симптомов:
- парезов конечностей (выраженной слабости, снижения чувствительности, появления патологических рефлексов);
- выпадения полей зрения и иных зрительных расстройств (снижение остроты зрения, двоение в глазах). Характерным признаком является птоз - опущение верхнего века;
- ухудшения слуховой функции;
- снижения или полной потери обоняния, обонятельных галлюцинаций;
- эпилептиформных припадков;
- психоэмоциональных нарушений, поведенческих расстройств - такими симптомами чаще всего проявляется менингиома лобной доли головного мозга;
- нарушений мышления;
- нарушения координации и походки;
- повышения внутриглазного давления;
- тошноты и рвоты, не приносящей облегчения.
При нарушении оттока ликвора отмечается возникновение гидроцефалии, отека головного мозга, вследствие чего у пациентов появляются упорная головная боль, головокружения, психические расстройства.

Диагностика
Наиболее информативными и точными методами диагностики менингиомы являются компьютерная томография (КТ) и магнитно-резонансная томография (МРТ). Как правило, данные исследования проводят с контрастированием. КТ и МРТ позволяют определить размер опухоли, её локализацию, степень поражения окружающих тканей и возможные осложнения.
Для определения химического профиля и характера новообразования применяют магнитно-резонансную спектроскопию (МРС). Установить очаги рецидива менингиомы позволяет позитронно-эмиссионная томография (ПЭТ).
Вспомогательным методом, позволяющим определить характер кровоснабжения опухоли, является ангиография. Данное исследование нередко используется в процессе предоперационной подготовки.
Различают 11 видов доброкачественных менингиом:
- менинготелиальные менингиомы - 60%;
- переходные менингиомы - 25%;
- фиброзные менингиомы - 12%;
- редкие виды менингиом - 3%.
Опухоль мозга может располагаться на разных участках головного мозга:
- конвекситальная опухоль - 40%;
- парасаггитальная - 30%;
- базальное расположение опухоли - 30%.
Менингиома головного мозга лобной доли
Менингиома лобной области образуется очень часто, в большинстве случаев длительное время не беспокоит больного. Если менингиома расположена в правой лобной доли, то симптомы будут проявляться на противоположной стороне тела.
Причины развития менингиомы лобной области различные: черепно-мозговая травма, воспалительное заболевание оболочек мозга, генетическая предрасположенность, пища с высоким содержанием нитратов, нейрофиброматоз и другие причины. Доказанной причиной развития опухоли считается радиоактивное облучение, все остальные причины относятся к факторам риска.
Менингиома лобной области может вызывать ухудшение зрения, головную боль, парез мимических лицевых нервов, мускулатуры рук, вялость и другие симптомы.
Анапластическая менингиома
Анапластическая менингиома - это опухоль головного мозга 3 степени злокачественности, в течение трех лет после лечения у всех больных происходит рецидив опухоли.
Менингиома парасаггитальная
Менингиома парасаггитальная располагается в затылочной, теменной или лобной части вдоль продольной средней линии. Нередко эта опухоль сопровождается патологическим увеличением содержания костного вещества в костной ткани. Менингиомы парасаггитальные, растущие в лобной части головы, вызывают:
- повышение внутричерепного давления;
- развитие застойных дисков зрительного нерва на глазном дне;
- сильную тошноту и рвоту, головную боль;
- эпилептические припадки.
Парасаггитальная менингиома теменной области головы характеризуется нарушением чувствительности и эпилептическими припадками. Менингиома затылочной области характеризуется повышением внутричерепного давления, беспокоят галлюцинации.
Атипичная менингиома
Атипичная менингиома головного мозга - это опухоль 2 степени злокачественности, рецидив опухоли возникает у 30% больных в течение 10 лет после лечения.
Менингиома фалькс
Опухоль, растущая из большого серповидного отростка мозга, называется менингиома фалькс. Со временем опухоль прорастает в сагиттальный венозный синус, возникает нарушение венозного кровообращения, внутричерепная гипертензия. Рост опухоли вызывает следующие негативные симптомы: эпилептические припадки, нарушение чувствительности и двигательной активности ног, тазовые нарушения.

Лечение
Менингиома очень часто вызывает развитие отека окружающих тканей, что влияет на появление различных негативных симптомов. Для снятия отека назначают стероидные препараты. Лечение менингиомы зависит от типа и размера опухоли, ее локализации, состояния здоровья и возраста пациента.
Согласно данным медицинской статистики, в 90% случаев менингиомы головного мозга представляют собой доброкачественные опухоли, для которых характерно медленное развитие и отсутствие сопутствующего поражения жизненно важных органов.
Злокачественные образования отличаются быстрым ростом, наличием метастазов в любых других органах человеческого организма.
Удаление опухоли
Удаление менингиомы проводится не всегда. Чаще всего за доброкачественной опухолью устанавливается наблюдение. Хирургическое вмешательство требуется, если менингиома злокачественная и увеличивается в размерах.
Основным методом лечения растущей доброкачественной и злокачественной опухоли является операция по удалению менингиомы головного мозга. Очень важно выполнить грамотное удаление новообразования. Последствия некорректного хирургического вмешательства, при котором были поражены окружающие ткани мозга или венозные синусы могут быть весьма плачевными. Такая операция может стать причиной значительного снижения качества жизни больного, поэтому нередко нейрохирурги оставляют часть раковых тканей, постоянно контролируя их рост.
Злокачественные менингиомы имеют склонность рецидивировать, что требует проведения повторного хирургического вмешательства.
Последствия операции
В зависимости от расположения опухоли и ее размера, после операции могут развиться осложнения: ухудшение или потеря зрения, частичная или полная потеря памяти, парез конечностей, нарушение концентрации внимания, изменение характера, личности, отек мозга, кровотечение.
Лучевая терапия
Лечение менингиомы мозга без операции предполагает применение методов лучевой терапии, которые используются при отсутствии возможности эффективного удаления опухоли хирургическим путем. Патологические клетки разрушаются под воздействием высоких доз рентгеновского облучения. Применение стандартной лучевой терапии нецелесообразно для лечения пациентов с диагнозом «большая менингиома головного мозга». Однако лечение без операции в таких случаях малоэффективно.
При локализации опухоли в труднодоступном для нейрохирурга месте, либо при близком расположении к ней зон, повреждение которых может привести к нарушению жизненно важных функций, специалисты Юсуповской больницы отдают предпочтение стереотаксическим методам. Данный вид терапии может применяться для лечения опухолей большого размера. В основе стереотаксической радиохирургии лежит прицельное облучение опухолевого образования лучами, расположенными под разными углами.
Часто стереотаксический метод комбинируют с хирургическим лечением - при наличии противопоказаний для удаления опухолей обычным способом.
Для лечения доброкачественных менингиом головного мозга не применяется химиотерапия.

Рецидивы
При обнаружении у больного доброкачественной, четко ограниченной менингиомы, не проросшей в окружающие ткани, хирургическое вмешательство чаще всего обеспечивает полное выздоровление.
Однако необходимо помнить, что после удаления даже доброкачественных менингиом могут возникнуть рецидивы. Рецидивы атипичных менингиом регистрируются почти в 40% случаев, злокачественных - в 80%.
Развитие рецидивов в течение пяти лет после операции зависит и от локализации опухоли.
Реже всего возникают рецидивы при менингиоме, локализованной в своде черепа, чаще - в области турецкого седла и тела клиновидной кости. Наиболее часто рецидивируют опухоли, поражающие клиновидную кость и пещеристый синус.
Реабилитация
Реабилитационный период после операции длится, как правило, 7-8 недель. В первую, щадящую неделю пациенту необходимо строгое соблюдение постельного режима, режима сна и отдыха, исключение стрессов, лечебная гимнастика, правильное питание, отказ от физических нагрузок.
Стационарный медицинский контроль необходим пациентам, которым была удалена атипичная или злокачественная менингиома головного мозга. Операция стереотаксическим методом проводится для увеличения продолжительности ремиссии в случае выявления рецидива на ранних стадиях развития.
Полное выздоровление может быть гарантировано только в случаях, когда абсолютно удалена менингиома головного мозга. Прогноз жизни без операции менее благоприятен.
Для того, чтобы сократить реабилитационный период после операции, специалисты Юсуповской больницы проводят мероприятия, способствующие более быстрому восстановлению пациентов: медикаментозную терапию (больному назначается прием препаратов, снижающих внутричерепное давление, снимающих отек и воспаление, купирующих неврологические проявления), физиотерапию и др.
Пройти диагностику и лечение злокачественных и доброкачественных опухолей можно в Юсуповской больнице, которая оснащена инновационным оборудованием. Высококвалифицированные специалисты работают только в поле доказательной медицины с применением стандартов, протоколов и лечебных подходов ведущих стран мира. Записаться на консультацию можно по телефону и через форму записи на сайте.
Рассеянный склероз и другие демиелинизации

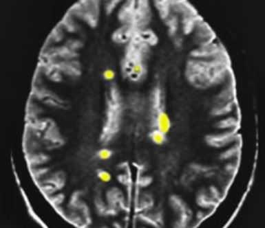
МРТ головного мозга. Т2-взвешенная аксиальная МРТ. Рассеянный склероз. Цветовая обработка изображения.
Демиелинизация - это разрушение оболочки аксона, отростка нервной клетки. Миелиновая оболочка играет роль «изоляции электропровода». При её нарушении нарушается проводимость электрического импульса.
Демиелинизирующие заболевания имеют вирусное происхождение и протекают по аутоиммунному типу. То есть, вирус только запускает сбой иммунной системы. Известны 3 основных демиелинизирующих заболевания - рассеянный склероз, острый диссеминирующий энцефаломиелит и прогрессирующая мультифокальная лейкоэнцефалопатия. МРТ СПб обладает мнгими центрами, где выявляют рассеянный склероз. МРТ в СПб демиелинизаций в наших клиниках занимает большое место, мы выявляем эти процессы как в НИИ нейрохирургии им.А.Л.Поленова, так и на открытом МРТ.
Рассеянный склероз (множественный склероз, РС) - аутоиммунное демиелинизирующее заболевание ЦНС. Процесс состоит из локального разрушения миелина, повреждения аксонов, глиоза и образования бляшек.
Частота составляет около 2 на 1000 населения. Соотношение М:Ж как 1:2. Возраст пациентов от 2 до74 лет. Однако у детей и лиц старше 50 лет заболевание встречается редко, пик частоты - 35 лет. Типично первый приступ расеянного склероза отмечается около 20 лет.
Клиника: известно несколько вариантов течения РС. Обычно волнообразное, с прогрессирующим неврологическим дефицитом от рецидива к рецидиву. Клинические признаки - чувствительные и двигательные нарушения, зрительные нарушения, тазовые расстройства (80%).
Разными авторами предлагались критерии постановки диагноза. Все они основанный результатах МРТ головного мозга. Главным для постановки диагноза служит наличие нескольких (от 2 до 9) типично расположенных на МРТ очагов. Локализация очагов может быть любая, но типичная - нижняя треть мозолистого тела, перивентрикулярно (вокруг желудочков мозга), ствол, спинной мозг. Форма очагов округлая и овоидная, направленная радиально от желудочков на сагиттальных (боковых) МРТ (симптом “пальца” или Доусона), что отражает перивенулярный (вокруг вен) процесс. Существует много предложений по оценке активности процесса. К сожалению, все способы оценки активности очень недостоверны. Обычно края активных очагов нечёткие, отмечается слабое контрастирование. Чувствительность и специфичность МРТ на самых ранних стадиях составляет 70-80%. Однако через очень короткий срок течения заболевания точность МРТ уже приближается к 100%.

МРТ головного мозга. Рассеянный склероз. Аксиальная МРТ Т2-взвешенного типа. Перивентрикулярные очаги.
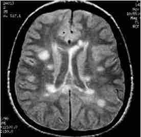
К редким агрессивным формам рассеянного склероза относится опухолевидный тип Марбурга и концентрический тип Бало. Бляшки достигают больших размеров с отеком и “слоистостью” в связи с частыми обострениями. Агрессивные варианты яркие на МРТ типа ДВИ и хорошо контрастируются.

МРТ головного мозга. Т2-взвешенная аксиальная МРТ. Рассеянный склероз, Концентрический тип Бало.
Демиелинизирующие заболевания
Демиелинизирующие заболевания - это большая группа болезней, при которых разрушаются миелиновые оболочки структур центральной и периферической нервной системы. Они имеют мультифакториальную природу, возникают при сочетании отягощенной наследственности и внешних факторов риска. Самые распространенные нозологии: рассеянный склероз, разные клинические формы рассеянного энцефаломиелита и полинейропатий. Диагностика демиелинизирующих патологий требует проведения МРТ, нейрофизиологических и иммунологических исследований. Лечение включает гормонотерапию, иммуносупрессию, экстракорпоральную гемокоррекцию, мультидисциплинарную реабилитацию.
МКБ-10



Общие сведения

Причины
Общепринята мультифакториальная теория демиелинизирующих заболеваний, согласно которой они возникают при сочетании внешних и внутренних провоцирующих факторов. Большинство патологий связаны с наследственными причинами. Лучше всего эти закономерности изучены у больных рассеянным склерозом (РС), за развитие которого отвечают как минимум 2 гена из комплекса HLA. К экзогенным факторам риска относятся следующие:
- Инфекции. Специфический возбудитель рассеянного энцефаломиелита - вирус ОРЭМ. Зачастую демиелинизацию провоцируют вирусы кори, краснухи, инфекционного мононуклеоза. Особого внимания заслуживает ВИЧ-инфекция: энцефалопатия и деменция развиваются у 15-20% больных на стадии СПИДа.
- Метаболические нарушения. Демиелинизирующие процессы по типу миелинолиза развиваются при накоплении продуктов азотистого обмена на фоне ХПН, декомпенсированном сахарном диабете, патологии цикла обмена мочевины.
- Церебральная ишемия. Поражение миелиновых оболочек провоцируется эпизодами нарушения мозгового кровообращения. Они характерны для людей с осложненным течением артериальной гипертензии, повторными гипертензивными кризами, тяжелыми аритмиями.
- Интоксикация. В развитии демиелинизирующих заболеваний играют роль отравления химическими растворителями, лакокрасочной продукцией, угарным газом. К провоцирующим факторам относят передозировки лекарственных препаратов, которые влияют на регуляцию кардиореспираторной деятельности и вызывают гипоксию.
- Вакцинация. Описаны единичные случаи поражения ЦНС после проведения иммунизации АКДС и КПК, при факультативной вакцинации против гриппа и бешенства. Такие патологии вызваны индивидуальной реакцией организма на прививку и чаще развиваются у пациентов с отягощенной наследственностью.
Патогенез
Миелин представляет собой наружную оболочку нервных волокон и состоит из нескольких слоев плазмолеммы. Он обеспечивает электроизоляцию и питание нервов, чтобы импульсы могли быстро достигать разных структур нервной системы. Демиелинизация - патологический процесс утраты миелина при относительной сохранности аксонов. Ее следует отличать от миелинопатий - заболевания, при котором нарушаются первичные процессы образования миелиновых оболочек.
В зависимости от типа повреждения выделяют 4 вида демиелинизации: дизиммуновоспалительная, вирусная, метаболическая и гипоксически-ишемическая. Дизиммуновоспалительные формы встречаются при рассеянном склерозе и близких к нему патологиях. Она проявляется избирательной очаговой деструкцией миелина, появлением липофитов и пролиферацией микроглиоцитов. При этом большинство аксонов в ЦНС продолжают функционировать.
Вирусные демиелинизирующие заболевания развиваются при накоплении в нервной ткани патогенов, которые постепенно разрушают миелиновые оболочки. Гипоксически-ишемическое повреждение сопряжено с хроническими эпизодами гипоперфузии мозга либо с поражением ЦНС нейротоксическими агентами. Метаболическая демиелинизация может быть связана с резкими колебаниями уровня натрия. В этом случае развивается центральный понтинный миелинолиз.

Классификация
С учетом этиопатогенеза демиелинизирующие заболевания подразделяются на первичные, которые возникают без четкой причины под влиянием аутоиммунных механизмов, и вторичные - результат повреждающего действия вирусных или токсических агентов. В практической неврологии широко применяется классификация по локализации поражения и клиническому течению. Согласно ей, выделяют такие варианты демиелинизирующих болезней:
1. Поражения ЦНС. В этом случае повреждение локализовано в белом веществе головного и спинного мозга. Заболевания отличаются тяжелым течением, неуклонным прогрессированием и нарушением всех неврологических функций. По скорости развития они подразделяются на подгруппы:
- Острые. К этой категории относят первичный рассеянный энцефаломиелит и его отдельные формы: оптикомиелит, диссеминированный миелит, полиоэнцефалит. Острое течение типично для параинфекционных и вакцинальных энцефалопатий.
- Подострые. Такой тип течения характерен для рассеянного склероза, который проявляется в виде цереброспинальной, церебральной, оптической и других клинических форм.
- Хронические. В эту группу демиелинизирующих заболеваний входят энцефалиты Даусона, Петте-Деринга, диффузный лейкоэнцефалит Шильдера.
2. Поражение периферических нервов. Чаще всего диагностируется первичный полирадикулоневрит при болезни Гийена-Барре. Также к группе периферических демиелинизирующих патологий относят инфекционные и токсические нейропатии, диабетическую полинейропатию.
Симптомы демиелинизирующих заболеваний
Рассеянный склероз
Дебют происходит в молодом возрасте. Начальные симптомы представлены парестезиями в одной или нескольких конечностях, мышечной слабостью в руках и ногах, периодическими нарушениями зрения. Пациенты отмечают легкую дискоординацию движений, неустойчивость походки. Иногда в начале болезни проявляются расстройства функций тазовых органов: недержание мочи, частые позывы на мочеиспускание.
По мере прогрессирования рассеянного склероза возникают парезы или параличи конечностей, нарушаются функции черепно-мозговых нервов (ЧМН), усиливаются поражения чувствительных нервных волокон. Присоединяется спастичность мышц, которая усиливается при вертикализации пациента и во время ходьбы. Для РС типичен синдром диссоциации: несоответствие между поражениями внутренних органов и клиническими симптомами.
Острый рассеянный энцефаломиелит
Клинические проявления демиелинизирующего заболевания соответствуют энцефалопатии. Патология манифестирует нарушениями сознания разной степени тяжести - от оглушенности до комы. Пациентов беспокоят сильные головные боли, тошнота, рвота, которая не приносит облегчение. Неврологическая симптоматика достигает максимума в течение нескольких дней, из-за чего больные госпитализируются в отделение интенсивной терапии.
Очаговые проявления вариабельны и зависят от локализации поражения. Демиелинизирующая патология проявляется нарушениями координации, параличами половины дела, нарушениями зрения, речи и других функций, которые контролируются ЧМН. До 35% случаев сопровождается эпилептическими приступами, около 25% пациентов страдают от корешкового болевого синдрома, дисфункции тазовых органов.
Синдром Гийена-Барре
Главным признаком заболевания является симметричные мышечная слабость, которая начинается в ногах и постепенно распространяется на мышцы туловища, верхних конечностей, лица и шеи. Она сопровождается шаткостью походки, покалыванием в руках и ногах, болями в спине. В процесс вовлекаются мышцы, отвечающие за глотание и артикуляцию, поэтому развивается дисфагия, дизартрия. При параличе дыхательной мускулатуры возможна асфиксия.
Другие виды полинейропатий
Повреждения периферических нервов проявляются сочетанием моторных, сенсорных и вегетативных симптомов. Большинство случаев демиелинизирующего заболевания начинается с мышечной слабости в дистальных отделах конечностей, которая постепенно распространяется на вышележащие отделы тела и может достигать дыхательной мускулатуры. Характерно угнетение или полное отсутствие сухожильных рефлексов.
В дебюте полинейропатии пациенты жалуются на симметричное нарушение чувствительности по типу «носков» и «перчаток». В дистальных отделах наблюдается повышенная болевая и тактильная чувствительность, некоторые больные жалуются на ощущение ползания мурашек и онемение кожи. Постепенно симптомы раздражения сменяются признаками выпадения неврологической функции, нарушается температурная и болевая чувствительность.
Осложнения
Демиелинизирующие болезни сопровождаются неврологическим дефицитом, который неумолимо прогрессирует. На поздних стадиях пациенту устанавливают группу инвалидности из-за двигательных или когнитивных нарушений. При остро протекающих заболеваниях (концентрическом склерозе, рассеянном энцефаломиелите) летальный исход возможен в первые месяцы. Диффузно-диссеминированный склероз завершается смертью через 3-7 лет от появления симптоматики.
Для демиелинизации характерно тотальное поражение мышц, поэтому как минимум у трети больных развивается дыхательная недостаточность, нарушение пережевывания и глотания пищи, расстройства речевой функции. Особенно тяжело протекает бульбарный синдром, вызванный поражением (ЧМН). Присоединяются расстройства вегетативной нервной системы, которые проявляются аритмиями, колебаниями артериального давления. нарушениями перистальтики и работы тазовых органов.
Для выявления демиелинизирующих заболеваний пациенту требуется полное обследование у врача-невролога. На первичной консультации большое внимание уделяется сбору анамнеза, поскольку у 80% людей выявляются факторы риска в виде перенесенных инфекций, ятрогенных вмешательств, интоксикации и прочих экзогенных вредностей. Осмотр дополняется оценкой неврологического статуса. Диагностическая программа состоит из следующих методов:
- Магнитно-резонансная томография. Нейровизуализация головного и спинного мозга является основным методом для диагностики демиелинизации в ЦНС, определения ее топографии и размеров. Внимание врачей привлекает сочетание накапливающих и не накапливающих контрастное вещество очагов в рамках одного МРТ-снимка.
- Нейрофизиологическая диагностика. При судорожном синдроме обязательно проводят классическую электроэнцефалографию и ЭЭГ с депривацией сна для выявления эпилептиформной активности. Признаки патологии периферических нервов требуется выполнение электронейромиографии, которая определяет локализацию патологии и скорость прохождения нервных импульсов.
- Иммунологические анализы. Обязательным при РС считается исследование крови и ликвора на олигоклональные антитела IgG. Чтобы определить возможные провоцирующие факторы, проводится анализ на антитела к нативной ДНК, кардиолипину, волчаночному антикоагулянту. Отличить РС от оптиконевромиелита позволяет исследование на антитела к аквапорину-4.
- Дополнительные методы. Базовая диагностическая программа включает общие анализы крови и мочи, расширенный биохимический анализ крови, определение острофазовых показателей. Для исключения хронических инфекций выполняются серологические и молекулярно-генетические реакции.
- Консультации специалистов. Зрительные нарушения требуют консультации офтальмолога, проведения офтальмоскопии, биомикроскопии глаза и визометрии. При снижении слуха пациента направляют на консультацию к отоларингологу с обязательным проведением аудиометрии, исследованием слуховых вызванных потенциалов.
Дифференциальная диагностика
Дифференциальная диагностика демиелинизирующих процессов сложна из-за разнообразия клинической картины, отсутствия четких клинико-морфологических критериев. При обследовании исключают вирусные и бактериальные энцефалиты, системные болезни соединительной ткани, паранеопластический синдром. В сложных случаях симптоматику дифференцируют с проявлениями митохондриальных заболеваний, для чего назначают биопсию мышц и ДНК-диагностику.

Лечение демиелинизирующих заболеваний
Консервативная терапия
Схема лечения подбирается индивидуально для каждого больного с учетом вида заболевания, его стадии, степени тяжести и клинических особенностей. Пациенты с умеренными проявлениями неврологического дефицита и стабильным развитием болезни проходят лечение в домашних условиях под наблюдением врача. При более тяжелых формах требуется госпитализация в неврологический стационар или реанимационное отделение. При демиелинизирующих заболеваниях показано несколько направлений консервативной терапии:
- Иммуносупрессия. Поскольку патология носит аутоиммунный характер, для купирования симптоматики назначают лечение глюкокортикостероидами. Для быстрого купирования обострения показана гормональная пульс-терапия с парентеральным введением лекарств. При их неэффективности применяются цитостатики, интерфероны, моноклональные антитела.
- Коррекция неврологических симптомов. Для ликвидации мышечной спастичности применяются миорелаксанты центрального действия, антиконвульсанты. Чтобы уменьшить координационные нарушения, используют препараты против системного головокружения. Коррекцию психоэмоционального статуса проводят антидепрессантами и анксиолитиками.
- Экстракорпоральные методы. Для удаления циркулирующих антител и иммунных комплексов проводят каскадную фильтрацию плазмы, криоаферез, лимфоцитаферез и другие методы гемоккоррекции. Терапия ускоряет наступление ремиссии и увеличивает ее продолжительность.
При вторичных формах демиелинизирующих процессов, связанных с конкретным этиологическим фактором, по возможности устраняют первопричину. Пациентам назначают противовирусную или антибактериальную терапию нейроинфекций, рациональную гипогликемическую терапию, медикаментозные и экстракорпоральные методы лечения ХПН. При токсических формах полинейропатии необходимо прекратить контакт с ядовитым веществом и ввести соответствующие антидоты.
Экспериментальное лечение
Ведутся клинические испытания блокатора ионов кальция (4-амидопирина) для купирования симптоматики демиелинизирующих процессов в ЦНС. Доказано, что препарат ускоряет проводимость по миелиновым нервным волокнам и уменьшает явления неврологического дефицита. Он действует на кальциевые каналы аксолеммы волокон, благодаря чему регулирует потенциал действия.
В 2017 году группа американских ученых представила уникальный метод генной терапии, который основан на подавлении активности иммунных клеток и ликвидации аутоиммунных повреждений миелина. Исследователи создали безопасный вирус с генетическим кодом MOG, который встраивается в ДНК печени и снижает агрессию Т-киллеров на головной мозг. Терапия находится в стадии разработки и требует длительной подготовки к клиническим исследованиям.
Реабилитация
Пациентам требуется комплексный уход и медико-социальная реабилитация. Эти меры направлены на повышение качества жизни, нормализацию физического и интеллектуального функционирования человека. Лечебная физкультура (ЛФК) улучшает силу скелетной мускулатуры, тренирует сердечно-сосудистую и дыхательную системы. Рекомендованы когнитивные тренировки, занятия с логопедом и клиническим психологом.
Прогноз и профилактика
Несмотря на усовершенствование знаний об этиопатогенезе и возможностях лечения, демиелинизирующие болезни пока представляют неразрешимую проблему для неврологии. Комплексная терапия замедляет или останавливает их прогрессирование, однако методы полного излечения не разработаны. Осторожный оптимизм внушают направления иммунотерапии и генной терапии, которые влияют на первопричину развития заболеваний.
Эффективные меры первичной профилактики отсутствуют. Чтобы снизить риск активации аутоиммунных процессов, пациентам с генетическими факторами риска рекомендуется избегать токсических воздействий, нейроинфекций, полипрагмазии лекарственных препаратов. Необходим рациональный подход к плановой вакцинации, которая предупреждает корь, краснуху и другие инфекции, выступающие триггерами демиелинизирующей болезни.
1. Неврология. Национальное руководство/ под ред. Е.И. Гусева, А.Н. Коновалова, В.И. Скворцовой. - 2018.
2. Редкие демиелинизирующие заболевания центральной нервной системы/ Т.Е. Шмидт// Неврологический журнал. - 2016. - №. 5.
3. Дифференциальная диагностика миелитов при демиелинизирующих заболеваниях/ И.С. Бакулин// Нервные болезни. - 2015. - №. 4.
4. Демиелинизирующие заболевания/ Ю.И. Стаднюк, Д.С. Лезина, О.В. Воробьева// Лечение заболеваний нервной системы. - 2012. - №2.
Читайте также:
