Кардиоверсия. Показания и техника кардиоверсии
Добавил пользователь Евгений Кузнецов Обновлено: 02.02.2026
Оказание реанимационных мероприятий невозможно представить без проведения дефибрилляции сердца. Методика проведения эффективна при таких угрожающих жизни состояниях, как желудочковая фибрилляция и тахикардия без пульса. С помощью электрического разряда, производимого аппаратом, беспорядочная неэффективная деятельность прекращается, восстанавливается правильный сердечный ритм. В сочетании со своевременно начатой сердечно-легочной реанимацией, процедура значительно повышает шанс пострадавшего на благоприятный исход.
Принцип дефибрилляции: как восстанавливается ритм
Дефибрилляция - это важнейший этап сердечно-легочной реанимации. Принцип действия построен на остановке быстрых, нерезультативных сокращений камер сердца путем создания электрического разряда.
Восстановление ритма осуществляется с помощью высокоэнергетического (200-360 Дж) электрического импульса, который проходит через тело человека за 0,01 с и разрывает «замкнутый круг».
Технические этапы дефибрилляции:
1. Электрический ток пропускается между двумя электродами, которые накладываются в области основы и верхушки. Направление импульса соответствует нормальному прохождению возбуждения по проводящей системе органа.
2. Одновременный энергетический поток прекращает спонтанное сокращение отдельных волокон и «синхронизирует» кардиомиоциты.
3. После короткой паузы восстанавливается нормальный сердечный ритм, который задается синусовым узлом («водителем»).
В случае неэффективности первой процедуры допускается повторить дефибрилляцию с большей интенсивностью через 2 минуты (после оценки состояния и непрямого массажа сердца). Количество импульсов не ограничено.
Фибрилляция желудочков - это патологическое состояние, которое возникает, когда мышечная ткань начинает хаотично и очень быстро сокращаться, вплоть до 250—480 ударов в минуту. Желудочек в таком ритме не способен адекватно наполняться кровью и передавать ее организму. Без своевременного прекращения этого процесса прогноз на выживание неблагоприятный.
Виды аппаратов и их строение

Дефибриллятор - это медицинский аппарат, который генерирует мощные высоковольтные электрические импульсы. Современные устройства мало отличаются от своих предшественников, состоящих из конденсатора, зарядки и разрядной цепи со схемой формирования импульса - бифазного тока. В новых моделях встроен электрокардиограф для оценки успешности манипуляций.
На сегодня существуют такие разновидности приборов (примеры приведены на фото):
Ручной внешний дефибриллятор
Такой аппарат требует профессиональных навыков. Его используют совместно с кардиографом, который в зависимости от типа устройства может быть встроенным или отдельным. Медицинский работник определяет сердечный ритм и необходимый разряд.
Ручной внутренний дефибриллятор
Применяется в условиях операционной непосредственно на открытом сердце. Имеет специальные «ложки» для приложения разряда.
Автоматический внешний дефибриллятор (АВД)
Спроектирован специально для неопытных пользователей или для немедицинского персонала (полицейских, пожарных, работников аэропортов, вокзалов, стадионов и прочих публичных площадок). Аппарат самостоятельно определяет сердечный ритм и выбирает, когда требуется дефибрилляция, а когда нет.
Применение АВД до приезда специализированной помощи значительно повышает шансы пострадавшего на выживание. Однако, он не заменяет использования сердечно-легочной реанимации в ручном режиме (без искусственного дыхания).
Имплантируемый кардиовертер-дефибриллятор
Это устройство похоже на кардиостимулятор (искусственный водитель ритма), некоторые современные модели могут выполнять функцию пейсмейкера. Имплантат постоянно мониторирует сердцебиение пациента и автоматически наносит небольшой электрический разряд (этот процесс носит название кардиоверсии), если зарегистрирует угрожающую жизни аритмию. Это не приносит дискомфорта и значительно продлевает жизнь.

Переносной кардиовертер-дефибриллятор
Кардиовертер пациент носит на специальной портупее. Аппарат необходим для тех, кто находится на этапе предоперационной подготовки к имплантированию кардиостимулятора. Разряды, наносимые устройством, синхронизируют сердечную деятельность.
Показания
- желудочковая (вентрикулярная) фибрилляция;
- желудочковая (вентрикулярная) тахикардия без пульса.
Дефибрилляция не показана, если сердце полностью остановилось (при асистолии и электрической активности без пульса), а также когда пациент находится в сознании или имеет пульс.

Техника выполнения
Алгоритм проведения реанимации путем дефибрилляции, утвержденный Американской Ассоциацией Сердца в 2015 году, таков:
- Убедиться, что для дефибрилляции есть показания (оценивается по данным ЭКГ).
- Начать сердечно-легочную реанимацию (СЛР) с кислородной поддержкой.
- Первый разряд.
- Продолжить СЛР немедленно в течении пяти циклов (один цикл состоит из 30 компрессий грудной клетки и 2 вдохов). В минуту необходимо произвести 100 нажатий. Соответственно, перерыв на СЛР займет ровно 2 мин.). Установить внутривенный катетер и эндотрахеальную трубку. Начать вентиляцию легких с частотой 10 вдохов в минуту. Не проверять пульс и ритм до окончания этого времени.
- Проверить пульс и ритм сердца.
- Если ритм восстановлен, дефибрилляция прекращается, пациент переходит под наблюдение.
- Если первый удар не дал желаемого эффекта, стоит повторить разряд.
- Повторить цикл «проверка ритма-дефибрилляция-СЛР».
Перечисленные выше этапы выполняет только медицинский персонал.
Сейчас в повсеместное использование входят внешние автоматические дефибрилляторы (ВАД). Их можно обнаружить в аэропортах, вокзалах, торговых центрах и прочих местах скопления людей. Они сконструированы так, чтобы каждый человек без предварительной подготовки с помощью аудиоподсказок смог спасти кому-то жизнь.
- Если вы стали свидетелем того, как человек потерял сознание, убедитесь, что он не отвечает на внешние раздражители — громко обратитесь к нему, легко потрусите.
- Позвоните в службу спасения или попросите кого-то это сделать.
- Проверьте, дышит ли пострадавший, а также есть ли пульс. Если эти признаки отсутствуют или нерегулярны, начинайте сердечно-легочную реанимацию. Попросите кого-то подготовить ВАД.
- Перед применением ВАД убедитесь, что вы и пострадавший находитесь на сухой поверхности, рядом нет пролитой воды.
- Включите аппарат. Он будет направлять ваши дальнейшие действия.
- Освободите грудную клетку пострадавшего от одежды и белья. Если она влажная - вытрите. Приклейте липкие электроды так, как показано на экране (над правым соском и в сторону подмышки от левого соска).
- Произведите разряд. Не касайтесь пострадавшего в этот момент. Человеческое тело проводит ток, и электрическая дефибрилляция здорового сердца выведет реаниматора из строя.
- В течение 2 минут проводите СЛР. С помощью ВАД проверьте сердечный ритм. Если он восстановился, продолжайте СЛР.
- Если фибрилляция не купировалась, повторите разряд.
- Продолжайте цикл действий до приезда медицинской помощи.
Дальнейшая тактика оказания помощи пациенту после попытки восстановления ритма
В случае успешной дефибрилляции больной требует наблюдения и ухода. Часто нанесение электрического разряда по проводящей системе может стать причиной развития аритмии. Неврологические расстройства, связанные с временной гипоксией головного мозга, тоже возможны.
Основные цели дальнейших действий:
- диагностика и лечение причин, вызвавших остановку сердца;
- минимизирование негативных последствий на нервную систему.
Для этого должны быть выполнены такие условия:
- проведение ЭКГ в 12-ти отведениях;
- проведение энцефалографии в случаях нарушения сознания (кома) и у пациентов с эпилепсией;
- проведение экстренной реперфузии (восстановление тока крови), если причина остановки сердца инфаркт миокарда;
- поддержка стабильного артериального давления, уровня глюкозы в крови;
- снабжение кислородом;
- контроль температуры тела (в пределах 35-36 ˚C);
- консультация невропатолога.
Реанимационные действия прекращаются:
- при неэффективности реанимационных мероприятий, проводимых в течение 30 минут;
- при констатации смерти, основанной на безвозвратном прекращении функционирования головного мозга.
Выводы
В наши дни дефибриллятором оснащены не только каждый автомобиль скорой помощи, но и многие публичные пространства. По статистике превалирующее число внезапных остановок сердца происходит вне медицинских учреждений.
Чем раньше пострадавший, который потерял сознание, получит первую помощь, тем выше его шансы на выживание и сохранение здоровья. Вернуть к жизни пациента с вентрикулярной тахикардией или фибрилляцией возможно, если дефибриллятором запустить сердце, параллельно выполняя сердечно-легочную реанимацию.
Знание принципов СЛР и ваше неравнодушие может спасти кому-то жизнь.
Для подготовки материала использовались следующие источники информации.
Электрическая дефибрилляция и кардиоверсия
Электрическая дефибрилляция и кардиоверсия - немедикаментозный способ лечения некоторых видов сердечных аритмий путем нанесения кратковременного электрического разряда на область сердца. Это вызывает одномоментную деполяризацию мембран кардиомиоцитов и приводит к синхронизации процесса возбуждения миокарда.
Кардиоверсия - нанесение электрического разряда синхронизировано с комплексом QRS или зубцом R. Синхронизация необходима для того, чтобы разряд не попал на уязвимый период сердечного цикла (80 мс до, и 30 мс после, вершины зубца Т), поскольку в этом случае возможно развитие фибрилляции желудочков.
При дефибрилляции разряд наносится случайным образом по отношению к фазе сердечного цикла. С позиции здравого смысла применение дефибрилляции должно быть ограничено рамками сердечно-легочной реанимации. Но ситуации бывают разные. И иногда дефибрилляцию приходится применять по тем же показаниям, что и кардиоверсию. В этом случае всегда существует риск развития фибрилляции желудочков (около 0.4%). Повторная дефибрилляция, которую нужно провести в максимально короткие сроки, обычно восстанавливает ритм.
Дефибриллятор - это прибор, генерирующий электрический импульс нужной продолжительности и мощности (измеряется в Джоулях). По форме импульса дефибрилляторы делят на монофазные и бифазные. Последние считаются наиболее эффективными. Совет медикам: если вы не знаете, к какому типу устройств относится ваш дефибриллятор, считайте его монофазным.
Дефибрилляция
Проводится при перечисленных ниже нарушениях ритма. При проведении сердечно-легочной реанимации дефибрилляция при указанных нарушениях ритма должна быть выполнена как можно раньше. Если с момента фатального нарушения ритма сердца прошло более 3 минут, дефибрилляции должен предшествовать непрямой массаж сердца.
Дети: начальная мощность приблизительно 2 Дж/кг массы тела, повторная дефибрилляция - 4 Дж/кг массы тела.
Противопоказания: отказ от реанимационных мероприятий.
Показания для проведения дефибрилляции и рекомендуемая начальная мощность разряда для взрослых пациентов:
Мощность импульса в джоулях (Дж)
360 Дж или максимальной мощности
Полиморфная желудочковая тахикардия
Желудочковая тахикардия без пульса
Кардиоверсия
Показания
1.Фибрилляция (мерцательная аритмия) или трепетание предсердий
а. Фибрилляция или трепетание предсердий давностью более 48 ч (или неизвестной давности) при условии антикоагулянтной терапии в течение 3-4 недель с поддержанием MHO в диапазоне 2-3;
б. Пароксизм фибрилляции или трепетания предсердий, сопровождающийся нарушением гемодинамики или другими опасными состояниями:
- стенокардией;
- инфарктом миокарда;
- отеком легких;
- артериальной гипотонией;
- сердечной недостаточностью.
в. Фибрилляция или трепетание предсердий любой давности в отсутствие тромбов в левом предсердии и ушке левого предсердия по данным чреспищеводной ЭхоКГ;
г. Фибрилляция или трепетание предсердий давностью менее 48 ч (целесообразность антикоагулянтной терапии зависит от риска эмболических осложнений).
2. Предсердные тахикардии;
3. АВ-узловая реципрокная тахикардия;
4. Реципрокные тахикардии с участием дополнительных путей проведения.
Выбор начальной мощности разряда
Показания для проведения кардиоверсии и рекомендуемая начальная мощность разряда для взрослых пациентов:
Мощность импульса в джоулях
Стабильная мономорфная желудочковая тахикардия
Пароксизмальная наджелудочковая тахикардия
Противопоказания
1. Тромбы в предсердиях в отсутствие показаний к экстренной кардиоверсии;
2. Синусовая тахикардия;
3. Тахикардии, обусловленные повышенным автоматизмом:
- Политопная предсердная тахикардия;
- Ускоренный АВ-узловой ритм.
4. Гликозидная интоксикация;
5. Тяжелые электролитные нарушения в отсутствие показаний к экстренной кардиоверсии;
6. Фибрилляция предсердий неизвестной давности в отсутствие антикоагулянтной терапии и данных чреспищеводной ЭхоКГ;
7. Противопоказания к анестезии.
Подготовка к плановой кардиоверсии
- Пациент должен подписать согласие на проведение кардиоверсии;
- Перед проведением анестезии пациент в течение 4 часов не должен принимать пищу и жидкость;
- Больным перед плановой кардиоверсией показана чреспищеводная ЭхоКГ для выявления тромбов в левом предсердии. Стандартная ЭхоКГ в этом плане недостаточно информативна;
- Рекомендуется отмена сердечных гликозидов за 3-4 дня до процедуры;
- Уровень калия должен быть 4,0-5,0 ммоль/л.
Анестезиологическое обеспечение
Больные, которым проводится кардиоверсия, нуждаются в выключении сознания. Подготовка, предоперационное обследование, оснащение - общепринятые в анестезиологии. Мониторинг - стандартный. Особенности: внутривенная анестезия поверхностная и кратковременная - обратите внимание на рекомендуемые дозы анестетиков. Анестезия, как правило, проводится с сохранением спонтанного дыхания у больного.
Кардиоверсия производится, как только больной утрачивает сознание (плавающие глазные яблоки, утрата речевого контакта) - в условиях поверхностной анестезии. Из-за сниженного сердечного выброса время наступления анестезии может быть увеличено. Врачи не спешат увеличивать дозу анестетика больше рекомендуемых значений - это чревато развитием гипотензии и угнетения дыхания. Наготове должны быть наборы для интубации трахеи, проведения временной ЭКС.
Рекомендуется заранее развести в шприце 1 мг эпинефрина в 10,0 мл 0,9% натрия хлорида на случай резкого падения артериального давления - вводить по 1 мл болюсом в случае необходимости. Совет медикам: не включайте в премедикацию наркотические анальгетики и атропин.
Выполнение
2. Внутривенная анестезия, используется один из перечисленных ниже препаратов:
- 40-80 мг, препарат выбора; 5-15 мг, не очень удобен из-за длительной седации; 1% - 100-200 мг;
- Кетофол (пропофол 100 мг + кетамин 100 мг) - 3-6 мл смеси, показан при гипотензии у пациента.
Все перечисленные препараты вводить очень медленно.
Аппаратура
- Дефибриллятор с ЭКГ-монитором и наружным электрокардиостимулятором;
- Запасной дефибриллятор;
- ЭКГ-монитор с электродами;
- Гель для электродов.
Внимание. Дефибриллятор может сломаться в самый неподходящий момент, что может грозить непредсказуемыми последствиями для пациента. Запасной дефибриллятор, пусть простой конструкции, позволит избежать проблем.
Как правильно расположить электроды дефибриллятора при дефибрилляции и кардиоверсии
Стандартным расположением считается передне-боковое расположение электродов: один - справа под ключицей около грудины, второй - слева над верхушкой сердца. Но с такой же эффективностью, в зависимости от ситуации, можно использовать другие варианты расположения электродов, например передне-заднее, когда один электрод располагается около грудины слева приблизительно на уровне четвертого межреберья, а второй - напротив него со стороны спины. Или: передне-левое подлопаточное и передне-правое подлопаточное.
Если у больного имеется имплантированный кардиостимулятор или кардиовертер-дефибриллятор
При дефибрилляции, кардиоверсии у пациентов с имплантированными электрокардиостимуляторами электроды обычно устанавливают в передне-заднем или передне-боковом положении. Не стоит располагать электрод непосредственно над имплантированным устройством. Стараются выбрать такую позицию, чтобы расстояние между электродами и кардиостимулятором было > 8 см. После проведенной процедуры проводят проверку работы кардиостимулятора или кардиовертера-дефибриллятора.
Порядок проведения дефибрилляции и кардиоверсии
1. Убедитесь, что сознание у больного отсутствует. При проведении кардиоверсии с целью выключения сознания проводится кратковременная анестезия. Освободите грудную клетку от одежды.
Внимание. Перед проведением разряда отключите кислород, если больной его получал ранее.
2. Если есть запас времени, наладьте проведение мониторинга: ЭКГ, неинвазивное АД, SpO2.
3. На электрод наносят слой токопроводящего геля, следя, чтобы он равномерно покрыл электрод. Или используйте в качестве прокладки марлевые салфетки, обильно смочив их 0,9%, а еще лучше - 7-10% раствором натрия хлорида. Проследите, чтобы не был нанесен на электроды, по ошибке, Эхо-гель, предназначенный для проведения ультразвуковых исследований.
В случае использования бифазных дефибрилляторов с той же эффективностью применяют клейкие одноразовые электроды для дефибрилляторов. К тому же они, по сравнению с многоразовыми электродами, обеспечивают более стабильную ЭКГ-картинку на мониторе. В том случае, если вы пользуетесь монофазным дефибриллятором, не применяйте одноразовые электроды для дефибрилляторов, так как в этом случае эффективность дефибрилляции или кардиоверсии снижается.
4. Расположите на грудной клетке пациента электроды в соответствии с рекомендациями и согласно маркировки дефибриллятора - электрод с надписью «Apex», или электрод красного цвета (положительный), располагают над верхушкой сердца.
5. Включите дефибриллятор и задайте необходимую энергию.
6. Для включения синхронизированного режима нажмите на кнопку «SYNC» или «Синхронизировано», если планируется проведение кардиоверсии. Ни в коем случае не включайте синхронизированный режим, если планируется проведении дефибрилляции. Дефибриллятор может не сработать.
8. Убедитесь, что никто из персонала не касается больного и кровати, на которой он лежит.
9. Дайте команду «Разряд!» и нажмите на кнопку «разряд».
10. Если разряд выполнен эффективно, то у пациента непроизвольно сокращаются мышцы грудной клетки.
9. После произведенного разряда по показаниям ЭКГ-монитора оценивают, произошло ли восстановление правильно сердечного ритма. При возникновении фибрилляции желудочков, проводят немедленную дефибрилляцию. Если нарушение ритма не удается прекратить с помощью первого импульса, энергия последующих импульсов должна быть повышена, если это возможно.
Возможные причины неэффективности дефибрилляции и кардиоверсии
Используйте другой вариант расположение электродов;
- Гель на электродах отсутствует или его слишком мало (высокое сопротивление кожи):
Убедитесь, что используется подходящий для этих целей гель. Повторно смажьте электроды гелем;
- Электроды недостаточно плотно прижаты к грудной клетке:
Увеличьте мощность разряда и повторите попытку;
Проводите сердечно-легочную реанимацию и через несколько минут повторите попытку;
Рефрактерная фибрилляция желудочков:
Проводите сердечно-легочную реанимацию. В/в введите 300 мг амиодарона и 10 мл 25% магния сульфата. Повторите попытку дефибрилляции разрядом максимальной мощности.
Кардиоверсия при мерцательной аритмии (фибрилляции предсердий)
Фибрилляция предсердий (мерцательная аритмия, ФП) - нарушение ритма с частыми хаотичными сокращениями волокон предсердий, что проявляется на ЭКГ:
- отсутствием зубцов Р;
- разными интервалами R-R;
- частотой импульсов > 300/мин.
Формы ФП: пароксизмальная, персистирующая, длительно персистирующая, постоянная, немая. Учитывая частоту желудочковых комплексов, выделяют: нормосистолию - 60-80/мин., тахисистолию - > 90/мин., брадисистолию - < 60/мин.
Восстановление синусового ритма называется "кардиоверсия", чему и посвящена эта статья.
Что это такое?
Кардиоверсия - возобновление сердечного ритма при фибрилляции предсердий и других аритмиях. Выделяют: медикаментозную, электроимпульсную и плановую, а также внеплановую. Антикоагулянтную терапию нужно проводить при неотложной кардиоверсии («Гепарин» в/в) и обязательно перед плановой («Варфарин», «Ривароксабан» за три недели до процедуры).
Основные формы мерцательной аритмии и необходимость кардиоверсии при них:
- Пароксизмальная - характерны повторные эпизоды мерцания длительностью не больше 48 ч., восстановление синусового ритма происходит спонтанно.
- Персистирующая - регистрируется один или больше пароксизмов, которые длятся больше семи суток, ритм приходит в норму после медикаментозной или электроимпульсной кардиоверсии.
- Длительно персистирующая - тянется больше года к моменту принятия решения о необходимости возобновления нормального ритма.
- Постоянная - восстановление ритма не планируется или противопоказано.
- Немая - бессимптомная, манифестирует в виде осложнений аритмии (ишемический инсульт, тахикардиомиопатии) или диагностируется случайно.
Применение при мерцательной аритмии
Показания к восстановлению ритма:
- Пациенты с впервые возникшим эпизодом, у которых не случилось спонтанное (самостоятельное) восстановление синусового ритма на протяжении 48 ч.
- Люди с аритмией, вызванной острой патологией (пневмония, гипертиреоз, употребление алкоголя).
- Больные после возобновления адекватного ритма, если стоит выбор способа поддержки нормального сердцебиения.
Медикаментозная кардиоверсия
Много эпизодов аритмии прекращаются спонтанно в первые часы или сутки после ее начала. Больным с персистирующей формой или при нестабильной гемодинамике, несмотря на нормальный пульс, рекомендуется выполнять болюсное (прямое) введение антиаритмических препаратов. В отдельных случаях амбулаторно пациентам проводят медикаментозную кардиоверсию при фибрилляции предсердий по принципу «таблетка в кармане».
Для проведения фармакологического восстановления ритма могут использовать несколько препаратов:
- «Амиодарон» (блокатор калиевых и натриевых каналов) - вводят в дозе 5 мг на кг веса внутривенно на протяжении часа, далее доза составляет 50 мг/ч. до достижения общей в 1,2 мг за сутки (ритм восстанавливается за 24 ч.).
- «Флекаинид» (антиаритмический препарат ІС класса) - в расчете 2 мг/кг, в/в образом длительностью в 10 мин. или 200-300 мг внутрь таблетировано. Средство применяют у пациентов с пароксизмальной формой и не назначают больным с персистирующей. Возобновление синусового ритма происходит на протяжении 6 ч. Может вызвать удлинение комплекса QRS и интервала QT, а также трепетание предсердий.
- «Ибутилин» (противоаритмический препарат ІІІ класса) - 1 мг в/в капельно, вводить 10 мин., потом пауза 10 мин., после этого повторить. Восстановление ритма наступает быстро: за час. Лучше купирует трепетание, чем фибрилляцию. Способен удлинять QT и вызывать пируэт-тахикардию.
- «Пропафенон» (антиаритмический препарат ІС класса) - 2 мг на кг веса в/в, вводить 10 мин. Нормальный ритм восстанавливается на протяжении 2 ч. Перорально принять 450-600 мг внутрь по инструкции (ритм приходит в норму за 6 ч. - стратегия «таблетка в кармане»).
- «Вернакалант» - 3 мг/кг в/в длительностью 10 мин. Вторая инфузия в дозе 2 мг/кг в/в на протяжении 10 мин. после паузы в 15 мин.
Если пациент не имеет органического повреждения сердца, или оно незначительно, можно использовать «Флекаинид» и «Пропафенон». В других случаях чаще применяют «Амиодарон».
Электрическая кардиоверсия
Антифибрилляторная способность электрической кардиоверсии при мерцательной аритмии вызвана деполяризацией «критического» количества клеток, что возникает после разряда и приводит к восстановлению нормальной работы синусового узла. Самый распространенный способ - внешняя (трансторакальная) кардиоверсия. Электроды размещают: первый - над верхушкой сердца, второй - под правой ключицей или под левой лопаткой. Учитывая наличие боли и страха больного, при проведении процедуры применяют общую анестезию, в/в анальгезию и седацию.
Показания к процедуре:
- Отсутствие эффекта медикаментозной противоаритмической терапии.
- Непереносимость антиаритмических препаратов.
- Прогрессирующая сердечная недостаточность вследствие тахиаритмии, симптомы нарушения кровообращения.
- Указание в анамнезе на хороший эффект электроимпульсной кардиоверсии при лечении тахиаритмии.
Противопоказания к процедуре:
- Возможный тромб в левом предсердии.
- Электролитный дисбаланс.
- Гликозидная интоксикация.
- Противопоказания к анестезии со стороны дыхательной системы.
- Манифестный гипертиреоз.
- Алкогольная интоксикация.
- Острая инфекция.
- Декомпенсированная сердечная недостаточность.
- Документированная ССУ без ИВР.
- Непрерывно рецидивирующая ФП.
Подготовка включает в себя, помимо антикоагулянтной терапии, чреспищеводную эхокардиографию, мультиспиральную компьютерную томографию.
Какой разряд применять и как выполнять?
При фибрилляции используют первый разряд в 100 Джоуль. Если аритмия сохраняется, то при каждом следующем энергию увеличивают на 50-100 Дж, максимально до 360 Дж. Промежуток между попытками должен быть минимален и нужен для оценки эффективности дефибрилляций.

Эффективность и прогноз
Фармакологическая кардиоверсия при мерцательной аритмии эффективна только в 40-70% случаев, тогда как электроимпульсная у 90% больных. После дефибрилляции за пациентом нужно наблюдать до выхода из седации, оценивать ритм с помощью ЭКГ, поскольку возможны осложнения. Прогнозировать, сколько времени будет сохраняться правильный пульс, сложно, так как у многих пациентов он не держится больше года.
Также применяют хирургические тактики. Среди них: радиочастотная, лазерная, микроволновая, ультразвуковая абляции, операция «Maze», криодеструкция. Стоимость их высокая, но эффективность и, главное, безопасность наилучшие. Авторитетом среди пациентов в этом направлении пользуется НЦССХ им. А. Н. Бакулева, г. Москва.
Отзывы пациентов
Большинство людей получает шанс на длительную и благополучную жизнь благодаря кардиоверсии. Эта процедура решает их основную проблему - восстановить работу сердца в правильном ритме. Фибрилляция вызывает у больных сильный дискомфорт и ухудшает качество жизни. Она усугубляет течение сердечной недостаточности, чем приближает человека к смерти. Устранение аритмии поможет пациенту вновь обрести спокойствие и удовлетворение.
Кардиоверсия: что это такое?

Показания и противопоказания к электрической кардиоверсии
Первоочередное показание к проведению данной процедуры — это мерцательная аритмия (фибрилляция предсердий), не купирующаяся с помощью лекарственных препаратов. Электрическая кардиоверсия используется в том случае, если впервые возникший приступ мерцательной аритмии длится более двух суток, у пациента имеется предрасположенность к образованию тромбов или другая острая патология, вызвавшая нарушение ритма.
В 2017 году ученые из Казахского медицинского университета непрерывного образования опубликовали работу, результаты которой подтверждают эффективность электрической кардиоверсии при лечении пароксизмальной формы фибрилляции предсердий.
Кроме этого, данная манипуляция может проводиться и при других вариантах тахикардии, приводящих к гемодинамическим расстройствам. Трепетание предсердий, фибрилляция желудочков — все это может купироваться с помощью электрической кардиоверсии.
Что касается противопоказаний, они отсутствуют в случае проведения экстренных реанимационных мероприятий. Плановая кардиоверсия не осуществляется при нарушении ритма сердечных сокращений, сопровождающемся замедлением сердцебиения, тахикардии, вызванной передозировкой сердечными гликозидами, синдроме дисфункции синусового узла, высокой вероятности повторных приступов.
Методика проведения
Суть электрической кардиоверсии заключается в воздействии на сердце сильным электрическим разрядом. Для проведения процедуры пациент погружается в наркоз.
Место наложения электродов первоначально обрабатывается токопроводящим гелем, после чего непосредственно устанавливаются сами электроды. Затем происходит подача электрического импульса, сила которого будет зависеть от конкретной патологии. Через несколько минут осуществляется оценка сердечного ритма, при необходимости манипуляцию повторяют с применением более сильного разряда.
В том случае, если электрическая кардиоверсия проводится по экстренным показаниям, наркоз не используется. Между подачами электрического разряда пациенту осуществляется непрямой массаж сердца, вводятся различные лекарственные препараты, направленные на восстановление ритма сердечных сокращений.
Возможные осложнения

В большинстве случаев электрическая кардиоверсия не сопровождается какими-либо осложнениями. У части пациентов наблюдаются раздражение и покраснение в месте наложения электродов, которые самостоятельно проходят спустя несколько дней.
Иногда данная процедура приводит к выраженному снижению артериального давления, нарушению дыхательной функции, асистолии. К другим возможным осложнениям относятся:
- закупорка сосудов тромбами;
- полная атриовентрикулярная блокада;
- ваготонический шок;
- ожог кожных покровов.
Как показывают наблюдения, частота осложнений при электрической кардиоверсии не превышает 1%, что позволяет считать эту манипуляцию относительно безопасной.
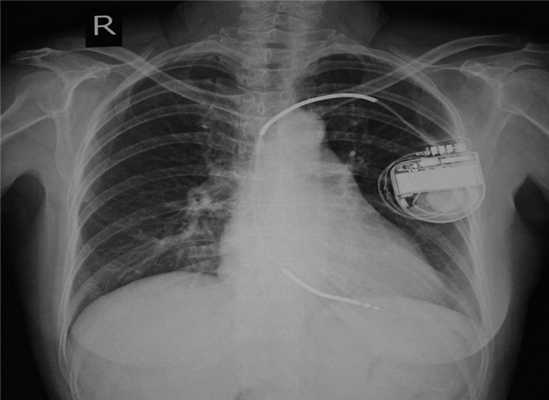
Лечение аритмии: дефибриллятор-кардиовертер в сердце

Большинство аритмий у пациентов не относится к жизнеугрожающим, но есть некоторые варианты, в частности, желудочковая тахикардия с развитием фибрилляции, она может стать причиной гибели пациента. Этим людям может быть показана имплантация кардиовертера-дефибриллятора — прибора, который за счет электрических импульсов, заставляет сердце выравнивать свой ритм. Решение об установке подобного прибора принимает врач, проводится процедура в стационаре. После постановки устройства необходимо изменение образа жизни, уровня физической нагрузки и знание определенных особенностей жизни с кардиовертером-дефибриллятором.
Имплантируемые дефибрилляторы-кардиовертеры при тахикардии

Желудочковая тахикардия и фибрилляция желудочков являются двумя типами аномальных сердечных ритмов, которые ответственны за внезапные сердечные смерти во всем мире. Имплантируемые кардиовертеры-дефибрилляторы (ИКД) используются у людей, которым выставлен диагноз желудочковая тахикардия или которые подвержены высокому риску развития фибрилляции. ИКД — это небольшое электронное устройство, имплантированное в тело пациента, чтобы постоянно контролировать его сердечный ритм. Оно действует как кардиостимулятор для снижения частоты сердечных сокращений. Когда возникает тахикардия, он влияет на сердечный ритм, обеспечивая необходимый тип электротерапии: при быстрой желудочковой тахикардии применяют низкоэнергетический или высокоэнергетический разряд. Два вида разрядов также могут использоваться в комбинации.
Управление ритмом сердца
Для того, чтобы сердце работало полноценно, в клинике пациенту устанавливается прибор. Сам генератор импульсов ИКД представляет собой небольшой металлический корпус, содержащий батарею, микропроцессор и электрические цепи. Имплантируется устройство в верхней части грудной клетки. Система ИКД также включает один или несколько изолированных проводов (называемых каналами), электроды и патчи (наклейки). Большинство имплантаций проводятся только под местной анестезией. Пациент также может получить седативные препараты, чтобы не волноваться.
Провода вставляются в вену под ключицей и передаются в сердце пациента под контролем рентгеновского оборудования для точного отслеживания прогресса. Затем провод-канал позиционируется в камере сердца и тестируется перед подключением к ИКД. Его позицию тщательно проверяют, чтобы убедиться, что он работает правильно.
Лечение аритмии: настройка прибора
Сердце получает разряд, чтобы создать быстрый ритм (тахикардию), который затем обнаруживается и преобразуется ИКД. Во время этого теста пациент вводится в кратковременный наркоз. Он не почувствует быстрый ритм сердца или разряд. Также у пациента может применяться дополнительное тестирование ИКД для программирования или настройки его для конкретных потребностей человека в зависимости от вида аритмии.
По мере использования батарея ИКД будет изнашиваться, и генератор необходимо будет заменить. Батарея проверяется врачом при каждом последующем визите. Замена обычно проводится как амбулаторная процедура.
Работа прибора, когда возникает аритмия, имеет свою специфику. Если пациент чувствует слабость или головокружение, нужно немедленно сесть или лечь. Сердечный ритм может быть аномальным. Может потребоваться от 5 до 10 секунд, чтобы ИКД скорректировал работу или подал разряд к сердцу после обнаружения ненормального ритма. Симптомы обычно уходят после того, как ИКД провел терапию. Важно подробно расспросить врача, при каких обстоятельствах и каких симптомах следует связаться с ним, используя прибор.
Жизнь с ИКД: физическая нагрузка, особенности

По мере восстановления пациента после имплантации прибора, он сможет вернуться к нормальной деятельности, включая физическую нагрузку, работу и привычный образ жизни. В течение двух недель после имплантации врач порекомендует резко не поднимать руку на стороне ИКД выше уровня плеча. Пациенту также стоит избегать тяжелой физической нагрузки и эмоциональных переживаний.
Пациент не должен водить машину, пока врач не скажет, что это можно делать. Управление автомобилем возможно через несколько месяцев после имплантации. В некоторых случаях, если у пациента недавно была остановка сердца или обморочное состояние вследствие желудочковой тахикардии или фибрилляции желудочков, пациенту будет запрещено возвращаться к вождению. Это связано с риском головокружения, когда возникает аритмия, прежде чем ИКД выполнит электротерапию.
Кроме того, пациент должен поговорить с врачом о том, какая физическая нагрузка для него допустима. Стоит отказаться от контактных видов спорта и соревнований, но привычная, ежедневная физическая нагрузка сокращаться не должна.
Советы врача и влияние внешних факторов
Электрооборудование, в том числе и медицинские приборы, могут повлиять на ИКД. Важно сообщать любому врачу о наличии прибора (сюда же относится и стоматолог). При наличии ИКД запрещено проведение магнитно-резонансного сканирования; мощный магнит прибора может повредить кардиовертер. Также врач должен знать о наличии прибора, когда планируется лучевая терапия, литотрипсия (методика дробления конкрементов почек) или процедуры, связанные с использованием тепловой энергии либо электричества для прижигания тканей (электрокоагуляция).
ИКД может активировать металлодетектор безопасности аэропорта, не приводя к сбоям в самом приборе. Пациенту нужно будет показать сотрудникам службы безопасности удостоверение, которое выдается при установке прибора. Ручные устройства сканирования служб безопасности могут срабатывать на ИКД, но их нельзя удерживать над ним, это риск повреждения кардиовертера.
Важно держаться подальше от детекторов на входе в магазины. При использовании сотового телефона нужно расстояние не менее 20-30 см, поэтому стоит использовать ухо на противоположной стороне от имплантата. Мощные магниты и промышленное оборудование с ними грозит выходом прибора из строя. Но обычные бытовые приборы на работу ИКД не влияют.

Знаете ли вы о том, какое у вас артериальное давление? А ведь оно является одним из главных показателей состояния здоровья. Мы предлагаем пройти маленький тест, который позволит вам определиться с этим вопросом и разобраться с тем, что следует предпринять для поддержания АД в норме.
Читайте также:
- Психические заболевания
- Ингибиторы транскрипции и синтеза нуклеиновых кислот. Анзамицины ( рифамицины, рифампицин ). Свойства и спектр действия рифампицина.
- Механизмы поражения органов нефтяными продуктами (дистиллятами)
- Школа Павлова о психосоматической концепции. Явление болезненного замещения в медицине
- Фосфолипиды как вторичные посредники. Система кальций-кальмодулин как вторичный посредник
