Глиома зрительного нерва: клиника и признаки
Добавил пользователь Евгений Кузнецов Обновлено: 14.12.2025
Глиома зрительного нерва- медленно растущая первичная опухоль, развивающаяся из ствола зрительного нерва. Течение доброкачественное, несмотря на инфильтративный характер роста, твердую мозговую оболочку не прорастает. По клеточной структуре выделяют астроцитому, олигодендроглиому, спонгиобластому. Глиомы встречаются на всем протяжении зрительного нерва, чаще всего в его орбитальной части.
Симптомы Глиомы зрительного нерва:
Одним из ранних симптомов является снижение остроты зрения, позднее развивается экзофтальм. В связи с тем, что опухоль располагается в мышечной воронке, смещения глазного яблока не наблюдается. Его движения только при резко выраженном экзофтальме могут быть ограниченными. Отмечается увеличение степени гиперметропии. В результате медленного роста опухоли экзофтальм прогрессирует медленно. В случаях резко выраженного экзофтальма возможно развитие кератита, язвы роговой оболочки. В начале процесса глазное дно не изменено.
Затем развивается застойный диск зрительного нерва, может возникнуть тромбоз центральной вены сетчатки. Наступает вторичная атрофия зрительного нерва. Возможно и развитие первичной атрофии зрительного нерва. Угасание зрительных функций происходит в течение l,5-2лет.
При росте внутриорбитальной глиомы опухоль может распространяться по зрительному нерву через костный канал на хиазму (глиома хиазмы). При глиомах, локализующихся в черепной части зрительного нерва, экзофтальм отсутствует, развивается первичная атрофия зрительного нерва, зрение снижается. Иногда опухоль орбитальной части прорастает в область диска зрительного нерва. В таких случаях в области диска при офтальмоскопии видно новообразование различных размеров. Цвет опухоли белый или желтовато-розовый, форма округлая или овальная, поверхность гладкая или бугристая с тонкими сосудами.
Диагностика Глиомы зрительного нерва:
Диагноз ставят на основании клинических симптомов. Для дифференциального диагноза между глиомами и мепингиомами зрительного нерва большое значение имеет рентгенологическое исследование глазницы и канала зрительного нерва.
При глиоме зрительного нерва отмечается равномерное расширение глазницы и ее затемнение, а также равномерное расширение канала зрительного нерва без деструктивных изменений его стенок. В случае поражения хиазмы турецкое седло приобретает грушевидную форму. При менингиомах канал зрительного нерва в большинстве случаев не изменен. Если же канал расширен, то он бывает неравномерным с деструкциями в стенках. Глиомы чаще бывают у детей раннего возраста (1-10 лет), менингиомы зрительного нерва - в возрасте 20-50 лет.
Лечение Глиомы зрительного нерва:
При локализации опухоли в орбите применяют простую орбитотомию для удаления участка зрительного нерва, пораженного. опухолью, с сохранением глаза. В случаях прорастания опухоли в полость черепа производят трепанацию лобной кости и вскрытие канала зрительного нерва, верхней стенки орбиты с последующим удалением орбитальной и внутричерепной частей опухоли. Нередко благоприятные результаты отмечаются после рентгенотерапии, которую целесообразно проводить до операции. После рентгенотерапии экзофтальм значительно уменьшается, но держится в течение многих лет.
Прогноз зависит от распространенности процесса и своевременности лечения. При глиоме орбитальной части зрительного нерва после радиакального удаления опухоли и рентгенотерапии прогноз обычно благоприятный. Распространение процесса через канал зрительного нерва в полость черепа значительно ухудшает прогноз, в этих случаях требуется нейрохирургическое вмешательство.
Профилактика Глиомы зрительного нерва:
Одной из основных мер профилактики роста опухоли, распространения ее на хиазму следует считать раннее хирургическое удаление опухоли из орбиты.
К каким докторам следует обращаться если у Вас Глиома зрительного нерва:
Вас что-то беспокоит? Вы хотите узнать более детальную информацию о Глиомы зрительного нерва, ее причинах, симптомах, методах лечения и профилактики, ходе течения болезни и соблюдении диеты после нее? Или же Вам необходим осмотр? Вы можете записаться на прием к доктору .
Глиома зрительного нерва
Зрительный нерв — это пучок нервных волокон, по которому информация в виде изображения поступает от глаз к мозгу. Можно сравнить его с электрическим проводом, который не будет передавать ток, если его повредить. Наш мозг и нервная система состоят из нервных и глиальных клеток. Когда глия имеет дефект и вырастает не такой, как надо, возникает опухоль — глиома зрительного нерва.
Почему в группе риска дети?
По неизвестным причинам чаще всего (в 75% случаев) глиомы зрительного нерва развиваются в возрасте до 10 лет, при этом у 30% пациентов этот диагноз сочетается с болезнью Реклингхаузена, или нейрофиброматозом I типа. Глиома зрительного нерва может иметь вторичный характер и возникать у детей после прохождения лечения другого злокачественного процесса. Есть данные о том, что некоторые генетические заболевания связаны с образованием глиомы (Синдром Ли-Фраумени, синдром Турко, туберозный склероз).

Какие клинические признаки и симптомы могут говорить о глиоме зрительного нерва?
На начальной стадии никаких проявлений глиомы может не быть, а дети не всегда могут объяснить, что их беспокоит. Поэтому крайне важно проходить плановые офтальмологические осмотры, на которых врач может заметить патологию. Из-за сдавливания и разрушения нервных волокон по мере разрастания опухоли наблюдается:
Снижение остроты зрения на одном или обоих глазах;
Головные боли и тошнота;
Нистагм — непроизвольные движения глазных яблок;
Появление скотом, сужение полей зрения;
Экзофтальм — выпячивание или смещение глаза вбок, ограничение его подвижности и неполное смыкание век;
Вестибулярная атаксия (изменение походки, ухудшение координации);
Сонливость, изменения аппетита и задержки в развитии ввиду гормональных нарушений. Опухоль в зрительном нерве может влиять на эндокринную систему.
Глиома оптических путей может появиться на любом участке зрительного нерва.
В зависимости от локализации выделяют три вида опухолей:
Интраорбитальные располагаются в пределах глазницы;
Интракраниальные — в черепной части зрительного нерва;
Глиомы хиазмы — новообразования в области зрительного перекреста;
Внутримозговые, то есть разросшиеся в структуры головного мозга.
Диагностика и лечение
Как правило, главной причиной обращения к доктору становится экзофтальм. Для постановки диагноза офтальмолог или оптометрист проводит визиометрию и выявляет ухудшение зрения, в ходе периметрии — проверки полей зрения — в поле зрения могут обнаружиться слепые зоны.
При офтальмоскопии (осмотре глазного дна) на начальных этапах развития глиомы изменения могут быть незаметными. На более поздних стадиях наблюдаются клинические проявления вторичной атрофии зрительного нерва. В этом случае в первую очередь необходимо выяснить, какая сопутствующая патология спровоцировала нарушения питания нервных волокон.
Атрофия зрительного нерва — состояние, при котором зрительный нерв частично или полностью повреждается, а связь мозга с глазным яблоком нарушается.
Заболевание может быть похоже на менингиому, ангиому, невриному, ретинобластому, кровоизлияние в глазницу. Для дифференциации диагноза понадобится магнитно-резонансная томография (МРТ), компьютерная томография (КТ) или прицельная рентгенография, а также консультация эндокринолога для исключения гипертиреоза.

Глиомам свойственно медленно расти, они чувствительны к химио- и радиотерапии. Детям до трёх лет, как правило, назначают первый вид лечения, так как он имеет меньше побочных эффектов, чем лучевая терапия. Если новообразование заметить на ранней стадии и своевременно начать лечение, скорее всего получится остановить рост опухоли и сохранить зрительную функцию. Самый предпочтительный вариант лечения — хирургическое вмешательство. Операция может быть эффективна даже когда зрение ухудшается слишком стремительно. В зависимости от степени поражения показано удаление поражённой части зрительного нерва или энуклеация (удаление глазного яблока) с последующим протезированием.

Иногда врачи объединяют хирургические методы и химиотерапию, например, если опухоль невозможно удалить полностью. Комбинированное лечение глиом зрительных путей способно обеспечить длительную ремиссию благодаря уничтожению оставшихся опухолевых клеток.
Реабилитация и профилактика после лечения глиомы оптического нерва
Выживаемость детей с диагностированной глиомой зрительного нерва составляет около 90%, а вероятность полной утраты зрения — всего 5%. Острота зрения на момент постановки диагноза — главный фактор успешности лечения. Обычно улучшение зрения в ходе терапии даёт основание сделать прогноз, что после окончания курса оно восстановится. По статистике, дети младшего возраста чаще сохраняют хорошее зрение после излечения от глиомы.
Даже самый опытный и квалифицированный врач не сможет гарантировать, что болезнь не вернётся. Именно поэтому в течение первых шести месяцев необходимо регулярно наблюдаться у врача, чтобы наблюдать динамику и убедиться, что заболевание отступило. Затем посещать офтальмолога нужно будет каждые полгода ещё 2-3 года, а после — минимум раз в год. Риск слепоты возрастает в случаях, когда опухоль слишком долго оставалась незамеченной и давила на зрительный нерв дольше полугода. Рецидив может случиться и через много лет, и обычно опухоль появляется на том же месте. Всё это означает, что руку на пульсе нужно держать всю жизнь, даже если никаких жалоб после излечения нет.
Если ребёнка лечили с применением ионизирующего излучения или медикаментозно, полезно будет пройти восстановительную терапию для избавления от неприятных последствий.
Из-за болезни и длительного лечения дети пропускают много занятий в школе, к тому же когнитивные функции могут снижаться, ведь повреждены не только злокачественные клетки, но и все остальные ткани организма. В этот момент ребёнку как никогда нужна поддержка и забота родителей. Работа с психологом, реабилитологом, а также временный перевод на домашнее обучение могут быть очень полезны для того, чтобы вернуть его качество жизни на прежний уровень.
Глиома хиазмы
Глиома хиазмы — опухолевое образование, берущее свое начало из глиальных клеток, расположенных в области зрительного перекреста. Глиома хиазмы проявляется снижением остроты зрения, сужением или выпадением части полей зрения, симптомами гидроцефалии и нейроэндокринными нарушениями. Комплекс диагностических обследований при глиоме хиазмы включает визиометрию, офтальмоскопию, периметрию, исследование зрительных ВП, МРТ и КТ головного мозга, стереотаксическую биопсию. Лечится глиома хиазмы в зависимости от ее характеристик, локализации и возраста больного. Это может быть хирургическое вмешательство (удаление или частичная резекция глиомы, восстановление ликвороциркуляции), химио- или радиотерапия.
МКБ-10

Общие сведения
Глиома хиазмы составляет около 2% от глиом головного мозга. Наиболее часто она имеет гистологическое строение соответствующей астроцитоме. В отличие от большинства глиом зрительного нерва, глиома хиазмы встречается не только в детском возрасте, но и у пациентов старше 20 лет. Примерно в 33% случаев глиома хиазмы сопровождает нейрофиброматоз Реклингхаузена — факоматоз, характеризующийся образованием пигментных пятен и многочисленных нейрофибром, появлением неврином, глиом и менингиом различной локализации.
Развитие глиомы хиазмы у детей и лиц молодого возраста делает ее своевременную диагностику и эффективное лечения важной задачей, над решением которой совместно работают неврология, офтальмология и нейрохирургия.
Анатомия хиазмы
Хиазма представляет собой расположенный в основании мозга частичный перекрест зрительных нервов. Над хиазмой находится гипоталамус, осуществляющий нейроэндокринную регуляцию и прежде всего влияющий на секреторную активность гипофиза. Вблизи зрительного перекреста локализуется III желудочек.
В области хиазмы перекрещиваются волокна зрительного нерва, идущие от носовых (медиальных) половин сетчатки правого и левого глаза. Волокна, берущие начало в височных (латеральных) половинах сетчатки, остаются на своей стороне. От хиазмы отходят правый и левый зрительные пути, содержащие нервные волокна от медиальной части сетчатки противоположного глаза и латеральной части сетчатки глаза со своей стороны. Поскольку изображение попадает на сетчатку в перевернутом виде (от правого поля зрения в левую половину сетчатки и наоборот), каждый зрительный путь несет в кору головного мозга информацию от противоположных ему половин полей зрения обоих глаз.
Симптомы глиомы хиазмы
Глиома хиазмы может возникать первично и вследствие распространения в область зрительного перекреста глиомы зрительного нерва. Со своей стороны глиома хиазмы способна распространяться по зрительному нерву в полость орбиты, прорастать в гипоталамус и III желудочек. Большинство авторов указывают на то, что глиома хиазмы обычно сопровождается оптохиазмальным реактивным арахноидитом, приводящим к образованию спаек и субарахноидальных кист. Клинические проявления глиомы хиазмы зависят в первую очередь от расположения опухоли и направления ее роста. В основном они представлены снижением остроты зрения, изменениями зрительных полей, эндокринно-обменными нарушениями и ликворно-гипертензионным синдромом (внутричерепной гипертензией).
Нарушения со стороны зрения могут быть вызваны как сдавлением глиомой хиазмы зрительного нерва, так и разрушением прорастающей опухолью его зрительных волокон. При разрастании глиомы хиазмы по ходу зрительного нерва происходит утолщение инфильтрированных опухолью зрительных волокон, что ведет к сдавлению нерва в зрительном канале. Снижение остроты зрения чаще носит двусторонний характер. Иногда в начальном периоде глиома хиазмы дает только одностороннее ухудшение зрения, а поражение второго глаза проявляется спустя несколько месяцев или даже лет. Глиома хиазмы отличается медленно прогрессирующим и зачастую асимметричным понижением остроты зрения. Если глиома хиазмы распространяется до глазницы, то наряду с ослаблением зрения наблюдается прогрессирующий экзофтальм.
Изменение полей зрения напрямую зависит от места расположения глиомы хиазмы. Наиболее часто глиома хиазмы находится в передней части зрительного перекреста и поражает зрительные волокна до их перехода на противоположную сторону. В таких случаях отмечается битемпоральный характер сужения полей зрения обоих глаз. Возможно концентрическое сужение полей зрения и образование центрально расположенных скотом (участков выпадения изображения). Если глиома хиазмы располагается в задней ее части за перекрестом зрительных нервов, то наблюдается выпадение одноименных половин полей зрения (гомонимная гемианопсия).
Эндокринно-обменные расстройства, которыми сопровождается глиома хиазмы при ее прорастании в гипоталамус, могут включать: гипоталамический синдром, несахарный диабет, гиперсомнию, диэнцефальный синдром, ожирение, гиперкортицизм, преждевременное половое созревание, нарушения психики.
Глиома хиазмы может протекать с признаками повышения внутричерепного давления: головная боль, тяжесть в глазных яблоках, тошнота. Зачастую эти симптомы обусловлены реактивным арахноидитом. Наиболее выражены они, когда глиома хиазмы прорастает в область III желудочка и, вызывая окклюзионные ликвородинамические нарушения, приводит к развитию гидроцефалии.
Диагностика глиомы хиазмы
Поскольку глиома хиазмы начинает проявляться с нарушений зрения, то первичное обращение пациентов происходит преимущественно к офтальмологу. Врач проводит офтальмологическое тестирование: определение остроты зрения, обычную или компьютерную периметрию, а также осмотр структур глаза. Важное значение в диагностике глиомы хиазмы имеет проведение периметрии, результаты которой позволяют определить уровень поражения зрительных путей и получить ориентировочное представление о локализации опухоли. В начальном периоде роста глиома хиазмы может не давать никаких изменений на глазном дне. В дальнейшем при офтальмоскопии отмечаются застойные диски зрительных нервов, признаки первичной атрофии зрительного нерва. Определить степень и уровень поражения зрительных нервов позволяет исследование зрительных ВП.
Результаты комплексного офтальмологического исследования, свидетельствующие о наличие внутричерепного объемного процесса зрительных путей, является поводом для консультации невролога и проведения МРТ или КТ головного мозга. При отсутствии возможности томографического исследования проводят рентгенографию черепа, которая выявляет характерную для глиомы хиазмы грушевидную деформацию турецкого седла. Дополнительно проводят рентгенографию орбит в косой проекции. В случаях, когда глиома хиазмы прорастает в орбиту, на рентгенограммах определяется одно- или двустороннее расширение зрительных отверстий до 9 мм.
Томографические методы исследования головного мозга являются намного более информативными. Они позволяют точно определить наличие опухоли, ее расположение, размеры и степень прорастания по ходу зрительных нервов, в ткани головного мозга и гипоталамуса. Однако томография не дает возможности отличить глиому хиазмы от других опухолей этой локализации (ганглионевромы, тератомы, ретикулоэндотелиомы и др.). Это можно сделать лишь путем гистологического исследования клеток опухоли, полученных путем стереотаксической биопсии или в ходе операции.
Лечение глиомы хиазмы
Хирургическое лечение глиомы хиазмы может применяться при ее экзофитном росте, когда нарушения зрения вызваны в основном сдавлением зрительного нерва. Если глиома хиазмы прорастает внутрь зрительного нерва, то к ее полному удалению обычно прибегают лишь в случае развития слепоты. Распространенная глиома хиазмы подлежит лишь частичной резекции, поскольку ее полное удаление приводит к двусторонней слепоте и значительным эндокринным нарушениям. При прорастании глиомы хиазмы в III желудочек оперативное вмешательство необходимо для ликвидации прогрессирующей гидроцефалии. С этой же целью может потребоваться проведение операции по рассечению спаек и вскрытию кист, образовавшихся в результате реактивного арахноидита. Выбор лечебной тактики у пациентов с диагнозом «глиома хиазмы» осуществляется нейрохирургом в зависимости от локализации и размеров опухоли, возраста пациента, гистологического вида опухоли и пр.
Наряду с хирургическим лечением в отношении глиомы хиазмы может применяться лучевая терапия и химиотерапия. Однако в детском возрасте из-за высокой радиочувствительности диэнцефальной области лучевая терапия приводит к выраженным эндокринным расстройствам, поведенческим и интеллектуальным нарушениям. Чем меньше возраст ребенка, тем более выражены у него побочные эффекты облучения опухоли. Поэтому у детей с глиомой хиазмы применяют преимущественно химиотерапию (карбоплатин, винкристин), а лучевое воздействие осуществляют лишь при отсутствии эффекта от химиопрепаратов.
Прогноз глиомы хиазмы
Наиболее благоприятный прогноз имеет экзофитно растущая ограниченная глиома хиазмы, в отношении которой удалось полное хирургическое удаление. Частичная резекция и последующая химиотерапия в большинстве случаев позволяют остановить рост глиомы. Однако в 20-30% случаев после такого лечения наблюдается прогрессирующий рост опухоли.
Глиома зрительного нерва — опухоль, возникающая из глиальных элементов зрительного нерва. Глиома зрительного нерва может иметь интраорбитальную или интракраниальную локализацию. Она характеризуется малосимптомным началом и постепенным развитием, приводящим к прогрессирующему понижению зрения и экзофтальму, первичной или вторичной атрофии зрительного нерва. Диагностируется глиома зрительного нерва при помощи офтальмологического обследования (периметрии, визиометрии, офтальмоскопии), рентгенографии черепа и КТ головного мозга. Лечение проводится преимущественно сочетанием лучевой терапии и хирургического удаления пораженного участка зрительного нерва.
Глиома зрительного нерва по разным данным составляет до 35% всех опухолей глазницы. Она может локализоваться на любом участке по всей протяженности зрительного нерва. Глиома зрительного нерва, локализующаяся в пределах глазницы, носит название интраорбитальной и относится к клинической офтальмологии. Глиома, расположенная в черепной части зрительного нерва, называется интракраниальной. Ее диагностикой и лечением занимаются специалисты в области неврологии и нейрохирургии. При расположении опухоли в области зрительного перекреста говорят о глиоме хиазмы, при ее прорастании в ткани головного мозга — о внутримозговой опухоли.
Глиома зрительного нерва возникает в основном в детском возрасте, наиболее часто — в первые годы жизни ребенка. Однако в последнее время все чаще стали описываться случаи ее возникновения у лиц старше 20 лет. В некоторых случаях глиома зрительного нерва возникает совместно с нейрофиброматозом Реклингхаузена.
Патогенез глиомы зрительного нерва
Зрительный нерв состоит из аксонов, окруженных глиальной тканью, клетки которой осуществляют синтез миелина, обеспечивают метаболизм и несут поддерживающую функцию. Именно из глиальных клеток берет свое начало глиома зрительного нерва. Чаще всего она развивается из астроцитов (астроцитома), реже из олигодендроглиоцитов (олигодендроглиома). Кроме истинных глиом, характеризующихся разрастанием глиальной ткани и инфильтративным ростом, различают так называемый глиоматоз — гиперплазию (увеличение размеров) клеток глии. Некоторые авторы считают, что глиоматоз представляет собой начальную стадию глиомы зрительного нерва.
Начинаясь из клеток глии, глиома зрительного нерва прорастает межвлагалищные пространства и окружающие нерв оболочки. Ее распространение происходит преимущественно вдоль нервного ствола. По мере роста глиома зрительного нерва может достигнуть размеров куриного яйца и привести к полному разрушению нерва. Внутри опухоли могут образовываться кисты, имеющие слизистое или жидкое содержимое.
Симптомы глиомы зрительного нерва
В начальной стадии своего развития глиома зрительного нерва практически не имеет клинических проявлений. Наиболее ранним признаком ее возникновения является прогрессирующее снижение остроты зрения, возникающее вследствие сдавления, а позднее разрушения нервных волокон увеличивающейся в размерах опухолью. Однако зачастую у маленьких детей нарушение зрения остаются незамеченными, а у детей старшего возраста они требуют дифференцировки от развивающейся близорукости. По мере роста глиомы зрительного нерва в поле зрения возникают участки выпадения (скотомы), отмечается прогрессирующее угасание зрительной функции вплоть до полной слепоты.
К более поздним клиническим проявлениям глиомы зрительного нерва относится экзофтальм. Обычно он характеризуется постепенным увеличением степени выстояния глазного яблока и отсутствием его бокового смещения. Появление смещения глаза в сторону, как правило, возникает при наличии опухолевой кисты или эксцентричном росте глиомы. Именно экзофтальм часто является причиной обращения к врачу у детей с глиомой зрительного нерва. При выраженном экзофтальме возникает ограничение подвижности глазного яблока и неполное смыкание глазной щели, приводящее к высыханию роговицы с развитием кератита и язв роговицы. Дальнейшее развитие патологических процессов в роговице может привести к ее истончению и прободению, влекущему за собой потерю глаза.
Интракраниальная глиома зрительного нерва не сопровождается экзофтальмом. Если она распространяется на ткани мозга, возникает клиника, характерная для глиомы головного мозга (симптомы гидроцефалии, вестибулярная атаксия, двигательные и чувствительные нарушения и пр.). Экзофтальм может наблюдаться на поздних стадиях интракраниальной глиомы зрительного нерва, когда она прорастает в глазницу.
Диагностика глиомы зрительного нерва
Диагноз опухоли зрительного нерва устанавливается на основании клинических данных, результатов исследования зрительной функции и глазного дна, данных рентгенологического исследования и компьютерной томографии.
Зачастую первым врачом, к которому обращаются пациенты с глиомой зрительного нерва является офтальмолог. Проводя проверку остроты зрения, он выявляет ее снижение, в ходе периметрии и компьютерной периметрии в поле зрения могут обнаруживаться отдельные скотомы. Осмотр глазного дна (офтальмоскопия) в ранних стадиях развития глиомы зрительного нерва может не выявить наличия каких-либо изменений. Позже определяется застойный диск зрительного нерва и картина, характерная для вторичной атрофии зрительного нерва. Может отмечаться тромбоз центральной вены сетчатки. В случаях, когда глиома зрительного нерва прорастает диск зрительного нерва, при офтальмоскопии определяется овальное или округлое образование желтовато-розовой или белой окраски, которое может иметь как бугристую, так и гладкую поверхность. При интракраниальной глиоме наблюдается первичная атрофия зрительного нерва.
Наиболее достоверно глиома зрительного нерва диагностируется при помощи КТ головного мозга, которое позволяет визуализировать утолщенный зрительный нерв, определить границы разрастания опухоли и ее прорастание в полость черепа. При невозможности проведения КТ, используют прицельную рентгенографию черепа и рентгенографию орбиты, которые при интраорбитальной локализации глиомы выявляют одностороннее расширение полости орбиты и канала зрительного нерва, их затемнение, истончение стенок глазницы.
Глиому зрительного нерва необходимо дифференцировать от менингиомы зрительного нерва, которая в отличие от глиомы чаще встречается у людей старшего возраста. При наличие экзофтальма следует исключить гипертиреоз. Дифференциальная диагностика проводится также с ангиомой, невриномой, ретинобластомой, кровоизлиянием в глазницу.
Лечение глиомы зрительного нерва
Учитывая высокую радиочувствительность глиом, лечение глиомы зрительного нерва может проводиться путем ее облучения. Зачастую лучевая терапия приводит к остановке роста опухоли и даже к улучшению зрительной функции. В случае быстро прогрессирующего ухудшения зрения показано хирургическое лечение.
Удалением интраорбитальной глиомы зрительного нерва занимаются офтальмоонкологи и хирурги-офтальмологи. Объем операции зависит от степени разрастания опухоли. Удаление глиом небольшого размера возможно путем орбитотомии и резекции пораженного участка зрительного нерва. Прорастание глиомы до склерального кольца является показанием к энуклеации глазного яблока. Наиболее приемлемой методикой в этом случае является энуклеация с формированием опорной культи для последующего протезирования глаза. Если глиома зрительного нерва прорастает в полость черепа, то вопрос о возможности хирургического лечения решает нейрохирург. Операция проводится в соответствии с общими принципами удаления глиальных опухолей головного мозга.
Прогноз глиомы зрительного нерва
К сожалению, глиома зрительного нерва в 100% случаев ведет к полной потери зрения. При интраорбитальных глиомах важным вопросом является сохранение глаза и в случае адекватно проведенного лечения прогноз для жизни, как правило, благоприятный. При интракраниальных глиомах прогноз для жизни зависит от распространенности опухолевого процесса и своевременности проведенного лечения. По некоторым данным в ситуациях, когда глиома зрительного нерва распространяется до области зрительного перекреста, погибает до 50% пациентов.
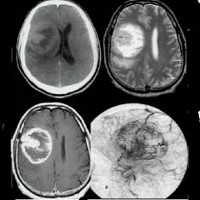
Глиома головного мозга
Глиома головного мозга — наиболее распространенная опухоль головного мозга, берущая свое начало из различных клеток глии. Клинические проявления глиомы зависят от ее расположения и могут включать головную боль, тошноту, вестибулярную атаксию, расстройство зрения, парезы и параличи, дизартрию, нарушения чувствительности, судорожные приступы и пр. Глиома головного мозга диагностируется по результатам МРТ головного мозга и морфологического исследования опухолевых тканей. Вспомогательное значение имеет проведение Эхо-ЭГ, ЭЭГ, ангиографии сосудов головного мозга, ЭЭГ, офтальмоскопии, исследования цереброспинальной жидкости, ПЭТ и сцинтиграфии. Общепринятыми способами лечения в отношении глиомы головного мозга являются хирургическое удаление, лучевая терапия, стереотаксическая радиохирургия и химиотерапия.

Глиома головного мозга встречается в 60% случаев опухолей головного мозга. Название «глиома» связано с тем, что опухоль развивается из глиальной ткани, окружающей нейроны головного мозга и обеспечивающей их нормальное функционирование. Глиома головного мозга представляет собой в основном первичную внутримозговую опухоль полушарий мозга. Она имеет вид розоватого, серовато-белого, реже темно-красного узла с нечеткими очертаниями. Глиома головного мозга может локализоваться в стенке желудочка мозга или в области хиазмы (глиома хиазмы). В более редких случаях глиома располагается в нервных стволах (например, глиома зрительного нерва). Прорастание глиомы головного мозга в мозговые оболочки или кости черепа наблюдается лишь в исключительных случаях.
Глиома головного мозга часто имеет округлую или веретенообразную форму, ее размер колеблется от 2-3 мм в диаметре до величины крупного яблока. В подавляющем большинстве случаев глиома головного мозга отличается медленным ростом и отсутствием метастазирования. Однако при этом она характеризуется настолько выраженным инфильтративным ростом, что границу опухоли и здоровых тканей не всегда удается найти даже при помощи микроскопа. Как правило, глиома головного мозга сопровождается дегенерацией окружающих ее нервных тканей, что зачастую приводит к несоответствию выраженности неврологического дефицита размерам опухоли.
Классификация
В соответствии с классификацией ВОЗ выделяют 4 степени злокачественности глиом головного мозга.
- К I степени относится доброкачественная медленно растущая глиома (ювенильная астроцитома, плеоморфная ксантоастроцитома, гигантоклеточная астроцитома).
- Глиома II степени злокачественности считается «пограничной». Она отличаются медленным ростом и имеет только 1 признак злокачественности, в основном клеточную атипию. Однако такая глиома может трансформироваться в глиому III и IV степени злокачественности.
- При III степени злокачественности глиома головного мозга имеет 2 из трех признаков: фигуры митозов, ядерную атипию или микропролиферацию эндотелия.
- Глиома IV степени злокачественности отличается наличием области некроза (мультиформная глиобластома).
По месту расположения глиомы классифицируются на супратенториальные и субтенториальные, т. е. находящиеся выше и ниже намета мозжечка.
Симптомы глиомы головного мозга
Подобно другим объемным образованиям глиома головного мозга может иметь разнообразные клинические проявления, зависящие от ее расположения. Чаще всего у пациентов наблюдается общемозговая симптоматика: некупируемые обычными средствами головные боли, сопровождающиеся ощущением тяжести в глазных яблоках, тошнотой и рвотой, иногда судорожными приступами. Наибольшей выраженности эти проявления достигают, если глиома головного мозга прорастает в желудочки и ликворные пути. При этом она нарушает циркуляцию цереброспинальной жидкости и ее отток, приводя к развитию гидроцефалии с повышением внутричерепного давления.
Среди очаговых симптомов глиомы головного мозга могут наблюдаться нарушения зрения, вестибулярная атаксия (системное головокружение, шаткость при ходьбе), расстройство речи, понижение мышечной силы с развитием парезов и параличей, снижение глубоких и поверхностных видов чувствительности, психические отклонения (нарушения поведения, расстройство мышления и различных видов памяти).
Диагностика
Процесс диагностики начинается с опроса пациента по поводу его жалоб и последовательности их возникновения. Неврологический осмотр при глиоме головного мозга позволяет выявить существующие нарушения чувствительности и расстройства координации, оценить мышечную силу и тонус, проверить состояние рефлексов и т. п. Отдельное внимание уделяют анализу состояния мнестической и психической сферы пациента.
Провести оценку состояния нервно-мышечного аппарата неврологу помогают такие инструментальные методы исследования как электронейрография и электромиография. Для выявления гидроцефалии и смещения серединных мозговых структур может применяться эхоэнцефалография. Если глиома головного мозга сопровождается зрительными нарушениями, то показана консультация офтальмолога и комплексное офтальмологическое обследование, включающее визиометрию, периметрию, офтальмоскопию и исследование конвергенции. При наличии судорожного синдрома проводится ЭЭГ.
Наиболее приемлемым способом диагностики глиомы головного мозга на сегодняшний день является МРТ головного мозга. При невозможности ее проведения может применяться МСКТ или КТ головного мозга, контрастная ангиография мозговых сосудов, сцинтиграфия. ПЭТ головного мозга дает сведения о метаболических процессах, по которым можно судить о скорости роста и агрессивности опухоли. Кроме того, с диагностической целью возможно проведение люмбальной пункции. При глиоме головного мозга анализ полученной цереброспинальной жидкости выявляет наличие атипичных (опухолевых) клеток.
Вышеперечисленные неинвазивные методы исследования позволяют диагностировать опухоль, однако точный диагноз глиомы головного мозга с определением ее вида и степени злокачественности можно поставить только по результатам микроскопического исследования тканей опухолевого узла, полученных при проведении оперативного вмешательства или стереотаксической биопсии.
Лечение глиомы головного мозга
Полное удаление глиомы головного мозга представляет собой практически невыполнимую задачу для нейрохирурга и возможно только в случае ее доброкачественности (I степени злокачественности по классификации ВОЗ). Это связано со свойством глиомы головного мозга значительно инфильтрировать и прорастать окружающие ее ткани. Разработка и применение в ходе нейрохирургических операций новых технологий (микрохирургии, интраоперационного картирования головного мозга, МРТ-сканирования) немного улучшило ситуацию. Однако до сих пор хирургическое лечение глиомы в большинстве случаев по сути является операцией по резекции опухоли.
Противопоказаниями к осуществлению хирургического метода лечения является нестабильное состояние здоровья пациента, наличие других злокачественных новообразований, распространение глиомы головного мозга в оба полушария или ее неоперабельная локализация.
Глиома головного мозга относится к радио- и химиочувствительным опухолям. Поэтому химио- и радиотерапия активно применяются как в случае неоперабельности глиомы, так и в качестве пред- и постоперационной терапии. Предоперационная лучевая и химиотерапия может быть проведена только после подтверждения диагноза результатами биопсии. Наряду с традиционными методами радиотерапии возможно применение стереотаксической радиохирургии, позволяющей воздействовать на опухоль при минимальном облучении окружающих тканей. Следует отметить, что лучевая и химиотерапия не могут служить заменой хирургического лечения, поскольку в центральной части глиомы головного мозга зачастую располагается участок, плохо поддающийся воздействию облучения и химиопрепаратов.
Прогноз
Глиомы головного мозга имеют преимущественно неблагоприятный прогноз. Неполное удаление опухоли приводит к ее быстрому рецидивированию и лишь продлевает жизнь пациента. Если глиома головного мозга имеет высокую степень злокачественности, то в половине случаев больные погибают в течение 1 года и только четверть из них живет дольше 2 лет. Более благоприятный прогноз имеет глиома головного мозга I степени злокачественности. В случаях, когда удается произвести ее полное удаление с минимальным послеоперационным неврологическим дефицитом, более 80% прооперированных живут дольше 5 лет.
Читайте также:
