Головной мозг при серповидноклеточной анемии на КТ, МРТ, ангиограмме
Добавил пользователь Skiper Обновлено: 01.01.2026
Нейтропения - снижение числа нейтрофилов в периферической крови.
Никтурия - преобладание ночного диуреза над дневным
Нормохромная анемия - анемия с нормальным цветовым показателем (нормальным MCH) эритроцитов.
Остеомиелит - инфекционное воспаление всех составляющих частей костной ткани: кости, надкостницы и костного мозга
Остеонекроз - некроз костной ткани в результате плохого притока крови
Остеопения - состояние костной ткани, характеризующееся снижением минеральной плотности костной ткани, что приводит к хрупкости костей и повышенному риску их перелома
Острый грудной синдром - острые боли в грудной клетке, связанные с инфарктом легкого вследствие окклюзии сосудов при серповидно-клеточной анемии
Парциальная красноклеточная аплазия - заболевание или синдром, который клинически и лабораторно представлен глубокой анемией и избирательной (чистой) аплазией только красного ростка кроветворения
Пенициллинопрофилактика - применение антибиотиков пенициллинового ряда для профилактики инфекций, возбудители которых чувствительны к ним
Пренатальная диагностика - комплексная дородовая диагностика с целью обнаружения патологии на стадии внутриутробного развития
Приапизм - непроизвольная стойкая эрекция, не связанная с сексуальным возбуждением
Пролиферативная ангиопатия - нарушение проницаемости кровеносных сосудов, обусловленное утолщением эндотелия сосудов
Протрузия - первая стадия формирования грыжи межпозвоночного диска
Рабдомиолиз - синдром, характеризующийся разрушением клеток мышечной ткани, резким повышением концентрации креатинкиназы и миоглобина, миоглобинурией, развитием острой почечной недостаточности
Серповидно-клеточная болезнь - группа состояний, обусловленных наличием специфических мутаций в бета-глобиновом гене, приводящих к изменению физико-химических свойств гемоглобина (полимеризация в деокси-форме, нарушение сродства к кислороду)
Спленэктомия - хирургическая операция по удалению селезёнки
Тонзиллэктомия - хирургическая операция, заключающаяся в удалении миндалин
Транзиторные ишемические атаки - транзиторное нарушение мозгового кровообращения
Трофические язвы - длительно не заживающий дефект кожи, возникающий в результате нарушения кровоснабжения этого участка кожи
Хелатор - вещество, образующее устойчивое нетоксичное соединение с металлом (в данном случае с железом), способное покинуть организм
Хелаторная терапия - использование хелаторов с лечебной целью
Холестаз - патологический (ненормальный) процесс, связанный с нарушением синтеза (образования), секреции (выделения) и поступления желчи или ее отдельных компонентов в 12-перстную кишку
Холецистэктомия - операция по удалению желчного пузыря
Энурез - недержание мочи
Эритробластопения - снижение числа эритробластов в костном мозге
ASPEN синдром - сочетание СКБ, приапизма, заменной трансфузии и неврологического осложнения
1. Краткая информация
1.1 Определение
Серповидно-клеточная болезнь (СКБ) - группа состояний, обусловленных наличием специфических мутаций в бета-глобиновом гене, приводящих к изменению физико-химических свойств гемоглобина (полимеризация в деокси-форме, нарушение сродства гемоглобина к кислороду). К СКБ относится серповидно-клеточная анемия (гомозиготность по аномальному гемоглобину S (HbSS; результат замены в 6 позиции бета-глобина валина на глютамин) и другие состояния, развившиеся вследствие сонаследования аномального HbS с другими поломками бета-глобинового гена, приводящими к количественному уменьшению нормального бета-глобина (бета-талассемия), (S-?-талассемия) или другому качественному нарушению бета-глобина (например, HbE, HbC, HbDPunjab, HbOArab) (HbSE, HbSC, HbSD, HbSO, HbCC, HbCO, HbCD) 10.
1.2 Этиология и патогенез
Аномальный HbS полимеризуется в деоксиформе, теряя растворимость. Полимеризация гемоглобина зависит от концентрации HbS внутри эритроцитов, степени деоксигенации гемоглоибна, рН и внутриклеточной концентрации HbF. Полимеры HbS взаимодействуют с эритроцитарной мембраной, меняя внешний вид эритроцитов на серповидные. Серповидные эритроциты окклюзируют микроциркуляроное русло, приводя к повреждению сосуда, инфарктам органов, болевым кризам и другим симптомам, ассоциированным с СКБ 5.
При СКБ одновременно протекает два патологических процесса: гемолиз и вазо-окклюзия 4:
- Гемолиз приводит к анемии и функциональному дефициту оксида азота, что в свою очередь приводит к повреждению эндотелия сосудов, развитию пролиферативной эндотелиопатии и таких осложнений как легочная гипертензия, приопизм и инсульт.
- Вазо-окклюзия вызывает острую и хроническую ишемию тканей, что проявляется острой болью (болевой криз) и вызывает повреждение органов.
1.3 Эпидемиология
По данным ВОЗ в мире болеют СКБ >4 миллионов человек, ежегодно только в Африканских странах рождается 6-9 миллионов больных СКБ [12,13]. Около 80% больных СКБ - африканцы, достаточно часто СКБ встречается в Индии и арабских странах, а также среди выходцев из этих стран, проживающих в других регионах (страны северной америки, европейские страны, Великобритания), так в США СКБ встречается с частотой 1 случай на 5000 населения, во Франции - 1 случай на 2500 населения, Великобритании - 1 случай на 2000 населения [12,13]. Для Российской Федерации СКБ - редкое заболевание, немногочисленные случаи встречаются в основном в пограничных с республикой Азербайджан областях [6]. В среднем больные СКБ в развитых странах доживают до 30-40 лет [13].
Основная причина смертности и инвалидизации больных СКБ, особенно в детском возрасте - инсульты, которые встречаются у 5-10% детей с СКБ, «немые» инсульты встречаются до 20% больных СКБ в возрасте до 20%. Второй существенной причиной инвалидизации и смертности при СКБ является острый грудной синдром (ОГС), который развивается вследствие инфекции, инфаркта легкого или их комбинации, и острая секвестрация в селезенке 23. Другие причины инвалидизации - поражения легких, печени, почек и глаз, приапизм, аваскулярный некроз, остеомиелит, трофические язвы нижних конечностей 17. Одной из основных причин госпитализации при СКБ являются болевые кризы любой локализации и интенсивности 20. Жизни угрожающие остро возникающие осложнения СКБ - фульминантный сепсис, острый грудной синдром (ОГС), острая секвестрация в селезенке или печени, ишемический или геморрагический инсульт, субарахноидальное кровоизлияние, ОПН, СОПОН, синдром билиарной обструкции (внутрипеченочный холестаз), фульминантный приапизм, посттрансфузионный синдром гипергемолиза, острые офтальмологичесике осложнения, остеонекроз крупный суставов (например, тазобедренных, плечевых) [1,2,14-24].
Вследствие многократных вазо-окклюзивных кризов селезенки развивается аспления, что сопровождается резким возрастанием риска смерти от инфекций, особенно пневмококковой [1-6,25-26].
Инсульт - одно из основных осложнений СКБ, сопровождающее значительной инвалидизацией пациентов. У пациентов, перенесших инсульт, страдает когнитивная функция и нарушается социальная адаптация. Кооперативные исследования СКБ показали преимущественное развитие инсульта у пациентов с HbSS (в 4 раза выше, чем у пациентов с HbSC и др.), причем преимущественно в возрасте 2-5 лет, заболеваемость инсультами в США среди пациентов с HbSS составляет 0,6 на 100 пациенто-лет, к 20 годам - 11% всех больных СКБ [1-6,10,15,16,20-23,27].
Артериальное давление у пациентов с СКБ выше, чем ожидается при имеющейся у них степени тяжести анемии, что предполагает наличие относительной артериальной гипертензии (уровень убедительности доказательства С) [31,32]. Небольшое исследование показало взаимосвязь между повышением АД и развитием инсульта. Выживаемость снижается, риск развития инсульта растет при повышении АД. Что позволило предположить патогенетическую важность «относительной» артериальной гипертензии. Увеличение продолжительности жизни, более высокой распространенности серповидно-клеточной нефропатии, потребление высококалорийной, высоко-солевой диеты, все это, вероятно, способствует увеличению встречаемости абсолютной гипертензии у больных с СКБ. Если это прибавить к очевидным рискам даже относительной артериальной гипертензии и факту, что снижение артериального давления у людей без СКА может предотвратить последствие гипертонии, представляется разумным рассмотреть антигипертензивную терапию у пациентов с СКБ с пограничной гипертензией [31,32].
Инфаркт миокарда у больных СКБ встречается достаточно редко, окклюзия коронарных артерий также крайне редка (уровень убедительности доказательства С) [33], что позволяет предположить, что васкулопатия мелких сосудов приводит к поражению сердца. У больных с СКБ может быть ишемия миокарда, поэтому при жалобах на боль в груди необходимо ее исключать (уровень убедительности доказательства D) [33,34].
У взрослых больных с СКБ часто бывает внезапная смерть, что связано с дисфункцией проводящей системы сердца (уровень убедительности доказательства С) [34].
ОГС - остро возникшее заболевание, характеризующееся лихорадкой (выше 38,5 0 С) и респираторынми симптомами (укорочение дыхания, тахипноэ, шумное дыхание, хрипы, ослабление дыхания), сопровождающимися свежими инфильтративными изменениями в легких при рентгенографии [1-6,35,36]. Поскольку появление радиологических изменений может отставать, диагноз устанавливается не сразу. Основной фактор риска развития ОГС - генотип СКБ: наиболее часто встречается при HbSS, наиболее редко при S/? + -талассемии [35,38,39]. ОГС - наиболее частая причина хирургических вмешательств и анестезии у больных СКБ [38]. Дети имеют более высокую частоту развития ОГС, но при этом более низкую смертность (<2%), чем взрослые (4-9%) [35,38]. У больных HbSS случаи развития ОГС ассоциированы с низким HbF, высоким гематокритом, лейкоцитозом и отсутствием сонаследования ?-талассемии. У детей отмечается сезонность в частоте развития ОГС: ниже летом, чаще зимой, когда высокая вероятность острых респираторных заболеваний. У взрослых больных СКБ сезонность развития ОГС почти отсутствует. ОГС может протекать с или без прогрессирующей дыхательной недостаточности, характеризующейся некардиологическим отеком легких и тяжелой гипоксемией [35,36,38,39].
В большом клиническом исследовании (уровень убедительности доказательства B) [29,38,40],среди причин, вызвавших развитие ОГС, были отмечены жировая эмболия легких (16,2% случаев развития ОГС; у пожилых больных с низкой сатурацией кислорода - 44-77% случаев развития ОГС), инфекции (54% случаев развития ОГС). Спектр инфекционных агентов - хламидии (13%), микоплазма (12%), различные вирусы (12%), бактерии, включая St. aureus, Str. pneumonia, Hemophilia influenza (8,2%).
Инфаркт и некроз костного мозга - известные осложнения СКБ [41]. Когда инфаркт массивный, то некротизированный костный мозг и жир эмболизируют легочные сосуды [40,41]. Капельки жира могут попасть в системный кровоток, что приводит к развитию синдрома системной жировой эмболии (ССЖЭ) [42]. Таким образом, в дополнении к респираторной несостоятельности у пациентов развивается полиорганная недостаточность от эмболов в органах, например, почках и мозге. ССЖЭ может поражать больных даже с легким течением СКБ. Факторы риска развития ССЖЭ (уровень убедительности доказательства D) [42] - генотип HbSC, беременность, предшествующее лечение глюкокортикостероидами. Клинические проявления сильно варьируют и зависят от того, какой орган и в какой степени вовлечен. В начале - болевой криз с быстрым появлением лихорадки, гипоксемии, азотемии, поражение печени, изменение сознания или комы. Гематологические черты - прогрессирующая анемия, нормобластоз в периферической крови, тромбоцитопения, ДВС. ССЖЭ часто подозревается, но достаточно тяжело его подтвердить. Непрямые доказательства ССЖЭ - наличие макрофагов загруженных жировыми включениями в бронхоальвеолярном лаваже, жировые включения в клетках легочных микрососудов или наличие жировых включений в лейкомассе венозной крови или множественные очаги некроза костного мозга при сканировании. Поражение легких (ОГРС, жировая эмболия легких) часто предшествует или сопровождает ССЖЭ, таким образом начатая трансфузионная терапия гипоксемии у пациентов с ОГС останавливает или предотвращает развитие ССЖЭ 40.
Дисфункция печени и желчевыводящих путей - одно из наиболее частых осложнений СКБ [43]. Гепатобилиарные осложнения можно разделить на несколько категорий: связанные с гемолизом, вызванные анемией и ее трансфузионной терапией, последствия «серповидности» и вазо-окклюзии, заболевания несвязанные с СКБ [43].
Ультразвуковое обследование популяций пациентов показало, что начало желчнокаменной болезни приходиться на возраст от 2 до 4 лет [47]. С возрастом частота встречаемости желчнокаменной болезни увеличивается, достигая к 18 годам 30%. Распространенность этого осложнения зависит от пищевых привязанностей больных (пациенты, имеющие в рационе питания преобладание растительных волокон, реже имеют холелитиаз) и генотипа заболевания. Ксенобиотики, такие как цефалоспорины третьего поколения, могут кристаллизоваться в просвете желчного пузыря, а различия в использовании таких антибиотиков может объяснить некоторые географические различия в частоте развития холелитиаза. Сонаследование ?-талассемии уменьшает степень гемолиза и, соответственно, частоту образования камней в желчном пузыре. Обструкция общего желчного протока часто неполная, поскольку пигментные камни небольшие, но они все же могут вызывать характерные биохимические изменения холестаза. Желчнокаменная болезнь может протекать с или без панкреатита [43,44,47-49].
Желчный осадок представляет собой вязкий материал, который не дает акустической тени на УЗИ и может быть предвестником развития желчного камня. Некоторые антибиотики, такие как цефтриаксон, могут способствовать образованию осадка. Исследования у пациентов с СКБ показывают, что в желчном пузыре осадок часто встречается с камнями, но осадок сам по себе может и не прогрессировать в образование камней 48. Тем не менее, период наблюдения за больными в таких исследованиях мал.
Лихорадка, тошнота, рвота и боли в животе - частые проявления при многих заболеваниях печени, кишечника, поджелудочной железы, позвонков, легких и неврологических заболеваний [50]. В таблице 1 представлен перечень заболеваний, которые могут в дебюте иметь выше перечисленные симптомы, и часто встречаются у больных СКБ [50].
Таблица 1. Причины боли в животе (правый верхний квадрант) и изменения печеночных показателей в биохимическом анализе крови.
КТ или МРТ ангиография сосудов головного мозга - что лучше

КТ (компьютерная томография) и МРТ (магнитно-резонансная томография) сосудов головного мозга применяются для диагностики патологий сосудистой сети головы и шеи. Альтернативное название этого исследования - МР или КТ-ангиография головного мозга. Что лучше выбрать - МРТ или КТ сосудов головного мозга? Ответ на это вопрос мы постараемся дать в этой статье.
Что такое МРТ и КТ сосудов головного мозга
Понятие КТ или МР-ангиография часто используется в медицинской литературе и практике как собирательный термин для любого обследования сосудов с помощью томографа. В МРТ центрах МР-ангиографией принято называть магнитно-резонансное исследование артерий, альтернативное название МР- артериография или МРТ сосудов головного мозга. Это обследование не включает сканирование вен головы. Для этого проводится отдельное исследование - МР-венография. Отличие МР-ангиографии от МР-венографии заключается в диагностическом фокусе и программном обеспечении. МРА визуализирует артериальную сосудистую систему, а МР-венография (МРВ) показывает венозное русло.
Такое же деление наблюдается в компьютерной томографии. В диагностических центрах Вам могут сделать КТ ангиографию - она же КТ сосудов головного мозга или КТ обследование вен - КТ венографию. КТ сосудов головного мозга чаще всего совмещаются с КТ сосудов шеи.

Отличия МРТ и КТ ангиографии от классической ангиографии
МРТ и КТ ангиографию не следует путать с прямой ангиографией. Классическая ангиография - это технологически простой метод исследования. Он появился в 1927 году, когда португальский невролог доктор Мониц провел первое ангиографическое исследование с введением контрастного вещества. Долгое время этот метод оставался золотым стандартом обследования сосудов головы, сердца, позвоночника, шеи, нижних конечностей и брюшной аорты. Основным недостатком данного вида ангиографии является необходимость сделать механический прокол сосудов (сонной или бедренной артерии), чтобы ввести контрастное вещество и обследующее устройство. Прямая АГ- это, в конечном счете, инвазивная манипуляция, требующая госпитализации и имеющая определенный риск осложнений. Кроме того, классическая ангиография дает возможность делать ангиограммы только в прямой или боковой проекции.
У прямой агиографии есть и диагностические ограничения. С ее помощью врач может достаточно подробно рассмотреть сами сосудистые аномалии (стеноз, окклюзии), но по ней нельзя получить информацию о мальформациях артерий, тромбозах вен, характере кровоизлияния при инсульте, состоянии вещества головного мозга. Для этого потребуется КТ или МРТ сосудов головного мозга.
| Классическая ангиография | КТ ангиография | МР ангиография |
![]() |
В чем разница между МР или КТ агиографией мозга
Принцип получения изображения - это основное принципиальное отличие МРТ и КТ сосудов головного мозга. При компьютерной агиографии используется рентген-лучи. Во время сканирования они проходят сквозь зону обследования под различными углами, а датчики аппарата оценивают скорость прохождения Х-лучей сквозь ткани различной плотности.
Компьютерная томография сосудов головного мозга и шеи требует обязательного применения контрастного вещества на базе йода. Без него томограммы будут носить малоинформативный характер. Введение контраста обычно осуществляется посредством катетера, устанавливаемого в районе локтевого сгиба. Процесс контрастирования не сложен, и может быть выполнен в амбулаторных условиях. Однако контрастирование йодосодержащим препаратом имеет свои риски. При попадании в организм йод оказывает нефротоксическое воздействие, поэтому за несколько дней до проведения КТ с контрастом пациентам с хронической почечной недостаточностью нужно сдать анализы крови на креатинин, позволяющие определить функциональность почек
КТ сосудов головного мозга с контрастированием имеет ряд недостатков - стоимость этого обследования велика, а беременным женщинам и детям ее не назначают из-за риска навредить детскому организму. Стоимость КТ ангиографии почти в два раза выше МРТ сосудов головного мозга поскольку всегда включает дополнительную цену контраста.



Работа МРТ основывается на эффекте ядерно-магнитного резонанса, при котором атомы водорода в клетках организма начинают колебательные движения, находясь под воздействием магнитного поля и радиочастотных импульсов. Этот резонанс улавливает томограф и транслирует в трехмерные изображения сосудистой сети. Поскольку кровь содержит много воды и является хорошим парамагнетиком, контрастирования для МР-агиографии в большинстве случаев не требуется.
МР-ангиография головного мозга обычно занимает в среднем 15-20 минут. Если необходимо введение контраста, продолжительность исследования доходит до 40 минут, поскольку врачу нужно по сути провести два сканирования: пре-контрастное и контрастное, а потом сравнить результаты. КТ сосудов головного мозга с контрастированием занимает 20-30 минут.
Покажет ли МРТ головного мозга опухоль
Коротко отвечая на вопрос, покажет ли опухоль МРТ головного мозга, можно сказать уверенное ДА. Магнитно-резонансная томография является приоритетным методом дифференциальной диагностики различных объемных образований в головном мозге, оболочке головного мозга, гипофизе, нервных жилах, сосудах. Данная методика активно используется при онкопоиске, поскольку позволяет визуализировать не только первичный очаг образования, но и метастатические поражения вещества головного мозга.
Когда нужно сделать МРТ головного мозга при опухоли
Ранняя диагностика опухолей головного мозга - это трудная задача по двум основным причинам:
- Многие опухоли мозга на ранних этапах не дают никакой клинической симптоматики, поэтому пациенту заподозрить что-то неладное по изменению в своем самочувствии очень сложно;
- Неврологические симптомы опухоли носят разнообразный характер и сильно зависят от локализации новообразования.
Свидетельствовать о возможной патологии могут:
- головные боли непонятного происхождения;
- частые головокружения;
- резкие перепады давления и сопутствующие им тошнота, рвота;
- повторяющиеся боли в шее;
- нарушение зрения и слуха;
- обморочные состояния;
- спутанность сознания, ухудшение памяти;
- мигренеподобные приступы;
- нарушения сознания, эпилепсия и другие припадки.
При клиническом осмотре больного невролог или онколог не сможет диагностировать объемное образование. Для этого потребуется аппаратная диагностика, например, МРТ или КТ головного мозга.
Покажет ли МРТ опухоль головного мозга
В большинстве случаев приоритетным методом выявление опухолевых образований будет магнитно-резонансная томография, поскольку белое и серое вещество очень хорошо визуализируется на снимках МРТ. Физика получения изображений при магнитно-резонансной томографии основывается на эффекте ядерного магнитного резонанса. Когда тело пациента помещается внутрь сканера, на мозговые структуры оказывает влияние сильное магнитное поле и радиочастотные импульсы. Под их воздействием атомы водорода в клетках начинают совершать колебательные движения. Этот резонанс фиксирует компьютер томографа, оцифровывает и переводит в трёхмерные изображения обследуемой области. Поскольку структуры головы на 80% состоят из воды, аппарат поможет сделать снимки очень высокой контрастности и четкости. Это позволяет врачам оценить:
- местоположение опухоли;
- ее размеры и форму;
- степень инвазии в соседние структуры;
- тканевой состав.
Для того, чтобы лучше всего разглядеть очаги при подозрении на объемное образование, МРТ головного мозга проводится с контрастированием. В ходе этой процедуры пациенту через вену на локтевом сгибе вводят специальный контрастный препарат на базе солей редкоземельного металла гадолиния. Контрастный состав максимально увеличивает тканевую контрастность, а по типу накопления и сбрасывания контрастного препарата врачи могут провести виртуальную гистологию опухоли и сказать, носит ли образование доброкачественный или злокачественный характер.
Особенно хорошо МРТ головы с контрастом способно показать:
- опухоли мозжечка
- глиобластому
- эпендимому
- глиальные опухоли
- метастазы
- невриномы
- менингеальные опухоли
- новообразования ствола головного мозга.
Как выглядит опухоль головного мозга на МРТ- фото
| МРТ здорового головного мозга | Глиома | Глиобластома |
Признаки опухоли на МРТ снимках
- наличие зоны измененного МР-сигнала от тканей мозга;
- гиперинтенсивный МР сигнал, гипоинтенсивный МР сигнал, гетерогенно изменений МР сигнал, изоинтенсивный МР сигнал;
- ориентировочные размеры, форма, контуры объемного образования;
- смещение, давление или изменение величины и деформации желудочков;
- аксиальная дислокация;
- блокада ликворных путей с развитом окклюзионной гидроцефалии;
- наличие перифокального отека;
- латеральная дислокация срединных структур или сосудистого сплетения “масс-эффекта”.
Пример МРТ расшифровки опухоль головного мозга
На серии МР-томограмм, взвешенных по Т1 и Т2-ВИ, tirm, получены суб- и супратенториальные структуры, определяются округлое объёмное патологическое образование, располагающееся по конвекситальной поверхности левой лобной доли, размером до 20х17х19 мм. Образование имеет достаточно чёткие округлые контуры, прилежит широким основанием к твердой мозговой оболочке, структура его несколько неоднородная. Вокруг образования имеется небольшой ликворный ободок и умеренно выраженный перифокальный отек головного мозга. Менингеальная оболочка на этом уровне утолщена с признаками симптома «хвоста», что наиболее характерно для менингиомы.
Срединные структуры не смещены.
Субкортикально, паравентрикулярно в белом веществе головного мозга определяются единичные очаги глиоза, имеющие четкие контуры, характеризующиеся гиперинтенсивным сигналом на Т2 ВИ и Tirm ИП, гипо- изоинтенсивным на Т1 ВИ, размерами до 3-4 мм в диаметре.
Боковые желудочки обычной конфигурации, существенно не расширены, минимально асимметричны (D>S).
Вокруг боковых желудочков имеются небольшие глиозные изменения.
III-й, IV-й желудочки, базальные цистерны не деформирован.
Стволовые структуры мозга не деформированы, имеют не измененный МР-сигнал.
Субарахноидальное пространство вне зоны патологических изменений выражено неравномерно, умеренно расширено по конвекситальной поверхности лобных, теменных долей.
Супраселлярная не деформирована. Гипофиз обычного расположения и размеров. Топография перекреста зрительных нервов не изменена.
Мосто-мозжечковые цистерны не деформированы.
Миндалины мозжечка расположены обычно.
Определяется пристеночный отёк слизистой в клетках решетчатого лабиринта и левой верхнечелюстной пазухе, имеющий повышенный сигнала на Т2 ВИ.
МР-картина объемного образования левой лобной доли с небольшим перифокальным отеком головного мозга (менингиома?).
МР-картина немногочисленных очагов глиоза вещества головного мозга сосудистого характера.
Качественная МРТ диагностика опухолей головного мозга
Для качественной томографии и безошибочной диагностики при подозрении на опухоль рекомендуется:
- проводить МРТ головного мозга на аппарате мощностью не менее 1,5 Тесла;
- шаг сканирования должен быть не менее 3 мм;
- рекомендовано применение контрастного усиления.
Мощное магнитное поле томографа при обследовании головного мозга обуславливает ряд противопоказаний. Особенность поля МРТ аппарата взаимодействовать с объектами, содержащими металл, сдвигать их с места и нарушать работу электронных систем, ограничивает проведение МРТ процедуры для пациентов, в теле которых установлены любые металлические имплантаты. Поэтому к томографическому исследованию не допускаются пациенты, которые имеют:
- протезы из металла, пластины, хирургические скобки, шунты и штифты, сосудистые катетеры из ферромагнитных материалов, а также любые металлические предметы как пули, осколки, застрявшие в теле
- искусственные сердечный клапаны, стимуляторы сердечной деятельности и дефибрилляторы
- ушной кохлеарный имплант
- вшитые медицинские помпы для дозированной подачи медикаментов
- зажимы и клипсы на сосудах.
Обращаем Ваше внимание на то, что наличие зубных протезов в общем и целом не является противопоказанием для проведения МР-сканирование головного мозга. Исключением может стать лишь очень узкая группа протезов, которые вызывают искажение изображения во время диагностики.
Если у Вас есть сомнения в отношении возможности проведения томографического исследования, позвоните нам, и мы поможем найти приемлемое решение для Вашего индивидуального случая.
Вопросы
Покажет ли МРТ опухоль головного мозга без контраста
Крупные опухоли видны на нативных бесконтрастных снимках. Мелкие метастазные поражения на базовом обследовании могут плохо визуализироваться. Признаки опухоли почти всегда видны на нативном МРТ снимке, однако не достаточно четко, чтобы провести качественную дифференциальную диагностику. Поэтому врач-рентгенолог, обнаружив в ходе бесконтрастного обследования признаки объемного образования, предлагает пациенту дополнить исследование контрастной процедурой.
| Вид исследования | Минимальная Цена | Цена на 3 Тесла |
|---|---|---|
| МРТ головного мозга | от 2800 руб. | от 5200 руб. |
| МРТ сосудов головного мозга | от 2800 руб. | от 8200 руб. |
| МРТ гипофиза | от 2800 руб. | от 5200 руб. |
| МРТ пазух носа | от 2800 руб. | от 5200 руб. |
| МРТ орбит и зрительных нервов | от 3200 руб. | от 5200 руб. |
| МРТ уха и слуховых нервов | от 3200 руб. | от 5200 руб. |
| МРТ черепно-мозговых нервов | от 3200 руб. | от 5200 руб. |
| Стоимость введения контрастного вещества | от 3500 руб. | от 3500 руб. |
Как МРТ определяет злокачественную опухоль
Злокачественные опухоли составляют до 50% всех опухолей головного мозга. Эти опухоли врач определяет по:
- нечеткости и неровности контуров и формы опухоли;
- большому перифокальному отеку;
- наличию “масс-эффекта”;
- неоднородному накоплению контрастного усиления;
- типу накопления контраста.
Как часто нужно делать МРТ после удаления опухоли
Периодичность МРТ головного мозга после удаления опухоли обычно определяет лечащий врач. Чаще всего после оперативного вмешательства первое обследование проводят через один месяц. Далее контрольные сканирования осуществляют раз в полгода в течение 3 лет после хирургического вмешательства.
Что такое МРТ и КТ ангиография головного мозга

Виртуальная ангиография головного мозга в медицинских центрах Санкт-Петербурга осуществляются с помощью двух типов томографии:
С помощью КТ и МР ангиографии врачи детально могут исследовать группу экстракраниальных и интракраниальных сосудов головного мозга и выявить патологии на ранней стадии. Обследованием состояния вен головы занимается КТ и МР венография - одно из новых и инновационных направлений томографических технологий. Вены головного мозга очень долго время в медицине не оценивались, поскольку не было достойного диагностического метода их визуализации. Поэтому роль различных расстройств венозного кровообращения в этимологии болезней головного мозга продолжительный период сильно недооценивалась. Появление в последние 10 лет специальных ангиопрограмм МРТ и КТ, нацеленных на нейровизуализацию именно вен, значительно облегчило специалистам задачу выявления патологий и аномалий в этой области.
Что покажет МРТ и КТ ангиография
С помощью ангиорежима на томографе врачи с успехом могут диагностировать следующие патологии сосудов головы:
- аневризма сосудов головного мозга;
- атеросклероз;
- стенозирование экстракраниальных и интракраниальных сосудов (сужение просветов);
- рассеянный склероз;
- ОНМК - острое нарушение мозгового кровообращения (например, ишемический или геморрагический инсульт);
- окклюзии;
- гематомы внутри сосудистой стенки;
- патологические деформации и аномалии магистральных артерий головного мозга и шеи;
- кинкинг (перегиб артерии под острым углом);
- койлинг (аномальное петлеобразование);
- островки разделения сосудов;
- сосудистые мальформации и ангиомы;
- тромбоз вен и синусов мозга;
- нарушение сосудистого русла после черепно-мозговой травмы;
- воспалительный процесс в стенке сосуда;
- капиллярные мальформации;
- сосудистые последствия инфекционного энцефалита.
Как КТ ангиография, так и МР ангиография головного мозга весьма информативны. Считается, что КТ сосудов головного мозга лучше покажет аневризмы и нарушения кровообращения в острой фазе и сосудистые нарушения после ЧМТ. На МРТ сосудов головного мозга будет лучше всего видны деформации магистральных сосудов головы.
Разница в противопоказаниях к МРТ и КТ ангиографии
Для МР-ангиографии сосудов головного мозга абсолютными противопоказаниями является наличие в теле обследуемого:
- кардиостимулятора, инсулиновых насосов, аква-фильтров;
- электронных нейростимуляторов;
- ферромагнитных и электронных имплантов;
- больших металлических объектов и осколков;
- аппарата Илизарова.
Относительными ограничениями к магнитно-резонансной томографии может стать:
- и склонность к паническим атакам;
- избыточный вес или большие объемы тела пациента.
У КТ ангиографии основные противопоказания связаны с запретом на рентген облучение, например, при беременности, а также с непереносимостью контрастного вещества на базе йода.
Как проходит процедура ангиографии
Проведение процедуры виртуальной ангиографии сосудов головного мозга не требует никакой особой подготовки. Делать диагностику можно в любой удобный для Вас день и час. МРТ ангиографию сосудов головного мозга можно совмещать с любым другим видом исследования. КТ сосудов головного мозга из-за лучевой нагрузки не может быть совмещена с рентгеном и не может проводиться чаще, чем 1 раз в 6 месяцев. Чтобы сканирование сосудистого русла головы дало максимально точные диагностические результаты, в медицинский центр лучше всего принести все данные истории болезни, показатели предыдущих обследований и иметь при себе направление лечащего врача, в котором он четко укажет, на что рентгенологу обратить внимание в ходе ангиосканирования.
В большинстве диагностических клиник СПб МР-обследования проводятся по предварительной записи, за исключением случаев экстренного характера. На томографическое исследование лучше всего прийти в комфортной одежде, которая не ограничивает движения, позволяет занять положение лежа и не содержит металлических элементов. Металл в или на теле обследуемого может ухудшить качество изображения на МРТ. КТ не имеет никаких запретов, связанных с присутствием металла в теле или на теле пациента.



МР и КТ ангиография головного мозга с контрастным веществом
В большинстве случаев при процедуре МРТ ангиографии введение контрастного вещества не требуется. Здесь кровь сама выполняет функцию контраста, и в динамическом контрастном усилении нет никакой необходимости. Это выгодно отличает магнитно-резонансное обследование от КТ-ангиографии, когда пациенту всегда необходимо ввести контрастные препараты, содержащие йод, что может вызвать аллергическую реакцию.
Если Вам проводят комплексное обследование МРТ головы и сосудов головного мозга, контрастное вещество может вводиться для лучшей визуализации мозговых тканей. При контрастном протоколе проведения агиографии пациенту следует воздержаться от приема пищи за 4-2 часа до начала магнитно-резонансного сканирования, чтобы избежать тошноты или рвоты после введения контраста.
Расшифровка МРТ головного мозга
Результаты МРТ головного мозга - это серия снимков в нескольких плоскостях, представляющих собой послойные виртуальные срезы толщиной в пару миллиметров, сделанные через исследуемую область. Полная и точная интерпретация снимков магнитно-резонансной томографии - работа врача-рентгенолога, имеющего специализацию в соответствующей области. Задача данного материала - знакомство с основными принципами расшифровки результатов МРТ головного мозга, но не обучение данному процессу.
Как выглядит снимок МРТ головного мозга
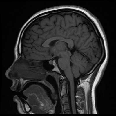
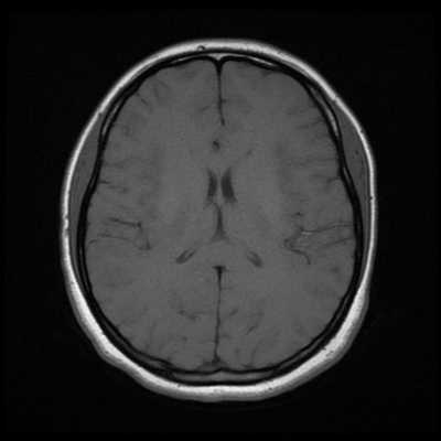
Классический пример МРТ снимков головного мозга показан на рисунках ниже. Магнитно-резонансная томография выполняется в поперечной (или аксиальной - рисунок снизу) и продольной (или сагиттальной — рисунок сверху) плоскостях.


Исследование выполняется в нескольких режимах. Основные из них Т1 и Т2. Изображения, полученные в данных режимах, часто также называют Т1-взвешенными или Т2-взвешенными снимками. Изображения, показанные выше, сделаны в Т1-режиме.


Главное отличие этих режимов - в том, как на снимках отображается жидкость и воздух. В Т1 режиме ткани, содержащие большое количество воды, имеют более темную окраску, в то время как в Т2 режиме они яркие, светлые. Это легко понять, посмотрев на снимки выше - глазные яблоки визуализируются в виде светлых парных округлых образований с одной стороны яркие и светлые, с другой - темные. Следовательно, снимок справа сделан в Т1 режиме, снимок слева - в Т2. Также существует разница в том, как в этих режимах отображается серое вещество головного мозга. В Т2 режиме оно светлее, чем белое вещество.
На самом деле режимов намного больше - FLAIR, DWI, STIR и так далее. Какой-то режим используется для подавления сигнала от богатых жиром тканей, какой-то - для изучения плотности распределения протонов в тканях, третий - для оценки броуновского движения молекул воды. Вот почему полный курс МРТ-диагностики для врачей длится не один месяц.
Норма и отклонения на МРТ головного мозга
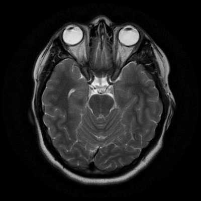
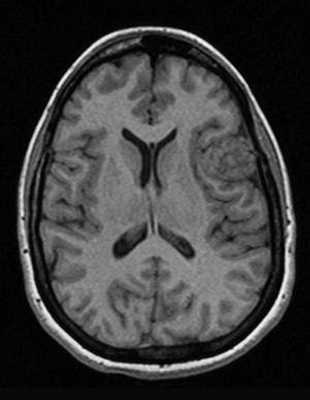
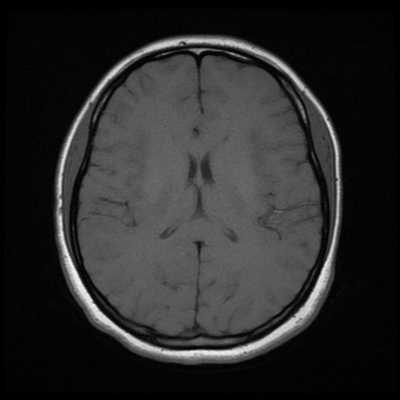
Как же узнать, есть ли на снимках признаки болезни? Самое главное - запомнить, как выглядит головной мозг здорового человека. Врач, изучая снимки пациентов, постоянно сравнивает их с нормальными снимками, хранящимися у него в голове. Чтобы понять, как это происходит - посмотрите на снимки внизу:


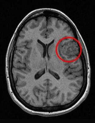
Перед вами - два снимка, сделанных в одном режиме. Снимок снизу - норма. Какое заболевание, в таком случае, есть на верхнем снимке? Чтобы понять это, нужно сравнить эти изображения. Явно видно отличие - на верхнем снимке в правой части головного мозга есть новообразование. Разница еще заметнее, если сравнить левую и правую части того же снимка.


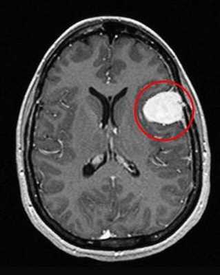
Отметим его красной окружностью. Визуально оно представляет собой узел, неоднородный по окраске и отличающийся от серого и белого вещества головного мозга. В таких случаях, чтобы точно определить границы опухоли и определить её тип исследование повторяют с контрастом. Введение контрастного препарата в кровь через локтевую вену приводит к накоплению контрастного вещества в тканях опухоли - нормальные здоровые ткани его практически не накапливают. И мы получаем следующую картину, показанную на рисунке справа. Яркая окраска опухоли соответствует накопленному контрасту - теперь можно не только сказать, где опухоль, но и примерно определить, что это доброкачественная опухоль, так как она имеет четкие границы (злокачественные опухоли прорастают окружающие ткани, из-за чего границы будут размытыми и не такими четкими).
Таким образом расшифровка результатов МРТ головного мозга проводится путем сравнения полученных снимков с нормой. При отсутствии отличий можно говорить о том, что пациент, чьи снимки исследует врач, скорее всего здоров. Сравнивается все - форма, размеры анатомических структур, локализация, симметричность, количество спинномозговой жидкости в полостях головного мозга, и множество других параметров. Каждое заболевание, будь то инсульт или рассеянный склероз, имеет свои характерные признаки.
Как читать результаты МРТ головного мозга
Теперь попробуем прочитать заключение МРТ головного мозга с расшифровкой снимков на следующем примере:

- Техника сканирования - перечисляются режимы, в которых проводилось исследование;
- На серии томограмм определяются мелкие очаги ишемии - участки белого вещества головного мозга, испытывающие дефицит кислорода (возрастные изменения). Любые очаговые изменения вне зависимости от локализации — патология;
- Далее описывается кора головного мозга - незначительная атрофия лобно-височных долей также является возрастными изменениями (исследование проводилось у пожилого человека);
- Затем описывается система желудочков головного мозга - полостей, в которых циркулирует спинномозговая жидкость - если они не расширены, имеют нормальную форму, значит все в норме.
- Мозолистое тело, мозжечок и ствол мозга без изменений;
- Далее идет описание гипофиза - железы, расположенной на основании мозга (незначительное уплощение возможно в норме), области перекреста зрительных нервов, синусы внутренней сонной артерии - также без изменений, так как нет асимметрии, их контуры четкие и ровные;
- Затем идет описание глазных яблок и содержимого глазниц - без патологических сигналов, т.е. в норме;
- Область мостомозжечкового угла - место отхождения слухового или преддверно-улиткового нерва, отвечающего за слух - без изменений, нерв определяется с обеих сторон;
- Описываются придаточные пазухи носа - в правой гайморовой пазухе имеется киста - остальные пазухи в норме, пневматизация обычная (содержат воздух, а не гной или жидкость);
- Далее идет исследование сосудов головного мозга или МР-ангиография - отсутствие изменений калибра, симметричность, отсутствие смещения и сужения просвета - норма. Небольшое сужение допускается;
- Затем проводится венография - отсутствие изменений и нормальный калибр - норма.
В заключение выносят только патологические изменения - в данном случае это очаги ишемии, атрофия лобно-височных областей, киста гайморовой пазухи. В целом картина соответствует возрасту пациента - 65 лет. МРТ-признаки сосудистой энцефалопатии - окончательный диагноз будет определен лечащим врачом. Обратите внимание - в норме на снимках отсутствуют изменения, очаговые или диффузные (распространенные равномерно), кисты, опухоли, новообразования, участки патологической гипер или гипоинтенсивности сигнала. Анатомические образования имеют четкие ровные контуры, не смещены, симметричны. Сосуды симметричны, без признаков сужения просвета, с нормальным ходом и калибром, интралюминарный сигнал (фактически кровь в сосуде) гомогенный, что говорит об отсутствии тромбов в просвете артерии или вены.
Подобным путем проводится расшифровка и описание снимков в любой клинике. Однако точность сделанного заключения зависит от квалификации врача МРТ-диагностики.
Читайте также:
- Пример внутрилегочной терапии деструктивной терапии. Эффективность внутрилегочного введения антибиотиков
- Лучевая диагностика поверхностного синдероза нервной системы
- УЗИ, МРТ при стенозе сильвиева водопровода у плода
- Подвешивающая техника протезирования молочной железы
- Болезнь Шейерманна (юношеский кифоз): атлас фотографий

