Пример внутрилегочной терапии деструктивной терапии. Эффективность внутрилегочного введения антибиотиков
Добавил пользователь Дмитрий К. Обновлено: 31.10.2025
На фоне снижения заболеваемости и смертности от туберкулеза (ТБ) в мире наблюдаются и серьезные негативные изменения, главное из которых — увеличение доли пациентов с ТБ с множественной лекарственной устойчивостью (МЛУ) и широкой лекарственной устойчивостью (ШЛУ).
ТБ — заболевание, требующее комплексного лечения. В настоящее время во фтизиатрии часто используется только этиотропная терапия ТБ — химиотерапия (ХТ). И хотя ее ведущее место не вызывает сомнений, однако далеко не всегда ХТ достаточно эффективна, прежде всего при наличии МЛУ и ШЛУ микобактерий туберкулеза (МБТ), отягощающих факторов и особенно их сочетания. В связи с этим необходимо более широко использовать принципы комплексного лечения ТБ, т. е. наряду с химиопрепаратами применять необходимый арсенал патогенетических, физиотерапевтических, коллапсотерапевтических и хирургических методов лечения ТБ.
При деструктивных формах ТБ, особенно при наличии МЛУ и ШЛУ МБТ, один из путей повышения эффективности терапии — применение коллапсотерапевтических методик в разных модификациях наряду с хирургическим лечением.
Одним из направлений дальнейшего развития лечения деструктивного ТБ легких является совершенствование методик сочетанного применения ХТ и методов коллапсотерапии (искусственного пневмоторакса (ИП), пневмоперитонеума, клапанной бронхоблокации (КББ)), в том числе как этапа подготовки пациентов к резекционной хирургии, и внедрение коллапсотерапии в широкую клиническую практику. Методы сочетанной коллапсотерапии и КББ позволяют значительно увеличить эффективность лечения деструктивного ТБ легких с ЛУ возбудителя. Следует отметить, что многие вопросы их применения и оценки эффективности остаются неразработанными и малоизученными.
Для определения вероятности сохранения полостей распада на фоне ХТ используем регрессионное уравнение (уравнение 1) для расчета прогнозирования возможного сохранения полостей распада на фоне ХТ:
*КП-2,169*СЗА-A,
где: КФ (клиническая форма) = 0 при инфильтративном ТБ легких в фазе распада; КФ = 1 при кавернознoм;
КП (количество полостей распада) = 0 при наличии 1 полости распада; КП = 1 при наличии 2-х полостей и более;
СЗА — синдром зависимости от алкоголя (0 — признака нет, 1 — признак есть);
A = 0 — абациллирование получено в срок до 3 месяцев; А = 4,115 — 3- 4 месяца; А = 5,189 — 5-6 месяцев; А = 25,249 — при отсутствии абациллирования.
Чувствительность метода составляет 97 %, специфичность — 80,6 %.
В случаях, когда имеются показания для комбинированной терапии — наложения ИП или проведения оперативного лечения в сочетании с ХТ, — важное практическое значение приобретает вопрос об оптимальных сроках ХТ до применения ИП или оперативного лечения.
Для определения прогнозирования сроков наложения искусственного пневмоторакса в условиях химиотерапии решается следующее регрессионное уравнение (уравнение 2):
где: В = 1 — возраст более 30 лет; В = 0 — возраст менее 30 лет или равен 30 годам;
МЛУ = 1 при ее наличии и равно 0 при отсутствии;
Д = 1, если диаметр полости распада более 2 см; Д = 0, если диаметр менее или равен 2 см.
Чувствительность метода составляет 90 %, специфичность — 75 %.
Для прогнозирования длительности применения ИП в комплексном лечении деструктивных форм туберкулеза легких используем расчеты регрессионного уравнения (уравнение 3):
- Z3=-1,076+1,385*(МЛУ)+1,315*(Пр)+1,357*(пол)+0,835*(ИС),
где: МЛУ = 1 при ее наличии и равно 0 при отсутствии;
Пр = 1 — при наличии туберкулезного процесса в объеме двух и более сегментов; Пр = 0 — при процессе менее двух сегментов;
Пол = 1 — женский пол и 0 — мужской;
ИС = 1 — при наличии интоксикационного синдрома, ИС = 0 — при его отсутствии.
Чувствительность метода составляет 65,5 %, специфичность — 83,3 %.
На основании полученных данных нами сформулирован алгоритм лечения пациентов с деструктивными формами туберкулеза легких (см. рис. 1).
Рисунок 1. Алгоритм лечения пациентов с деструктивными формами туберкулеза легких.

После первого контрольного рентгенологического обследования в каждом конкретном случае используются основные предикторы закрытия полостей распада и решается регрессионное уравнение 1. На основании данного уравнения рассчитывается значение Z1.
Пример применения
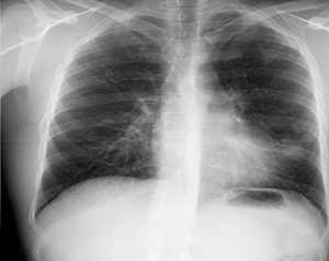
Пациент У., 1987 года рождения (на момент наложения ИП полных 28 лет). При контрольном рентгенологическом исследовании (через 3 месяца после ХТ) в S1-2 слева выявлена замкнутая кольцевидная тень диаметром 31 мм, томографически — в Д1 справа полость распада (см. рис. 2).

При исследовании мокроты на МБТ выявлен рост культуры МБТ, по результатам тестирования на лекарственную чувствительность (ТЛЧ) — МЛУ МБТ (HRS). Диагноз: кавернозный туберкулез верхней доли левого легкого, МБТ (+) плюс, МЛУ (HRS).
При изучении анамнеза, медицинской документации установлено, что ранее ТБ не болел. Состоит на учете у нарколога: СЗА 2-й ст., других факторов риска не установлено. Лечение по режиму ХТ для МЛУ ТБ. Абациллирован на 4-м месяце лечения. Прогнозирование сохранения полости распада выполнено в конце 4-го месяца ХТ.
Проводим решение согласно уравнению 1:
Пациенту предложен ИП. Получено согласие. Выполнена контрольная обзорная рентгенограмма органов грудной клетки и томографическое исследование — каверна в Д1 слева сохраняется (см. рис. 3).

Используя уравнение 2, прогнозируем длительность ХТ до ИП.
Данное Z2=2, прогнозируем срок ХТ до ИП — 3 месяца. Учитывая, что прогнозирование сохранения полости распада выполнено на 4-м месяце, пациенту сразу наложен ИП.
Применив уравнение 3, прогнозируем длительность ведения ИП. На момент наложения ИП клинические и лабораторные проявления интоксикационного синдрома отсутствовали. Решаем регрессионное уравнение:

Данное Z3≤1,07, прогнозируем длительность применения ИП в течение 3-х месяцев. ИП поддерживали на протяжении 3-х месяцев. Каверна закрылась (см. рис. 4).
Таким образом, данный метод позволяет определить показания для применения ИП на ранних этапах и оптимизировать методику его использования.
Бактериальная деструкция легких
Бактериальная деструкция легких - это осложнения бактериальной пневмонии, протекающие с развитием гнойно-воспалительных процессов в легком и плевре. Общими проявлениями различных форм бактериальной деструкции легких служат симптомы гнойной интоксикации и дыхательной недостаточности. Диагностика и дифференциальная диагностика основывается на данных рентгенографии легких, УЗИ плевральной полости, торакоцентеза, лабораторного исследования мокроты, экссудата, периферической крови. Основные принципы лечения бактериальной деструкции легких включают антибиотикотерапию, инфузионную детоксикацию, санацию бронхов, по показаниям - пункцию и дренирование плевральной полости, хирургическое лечение.
МКБ-10
Общие сведения
Бактериальная деструкция легких (син. гнойно-деструктивная пневмония) - это воспаление легочной ткани, приобретающее гнойно-некротический характер и приводящее к грубым морфологическим изменениям паренхимы легких. Бактериальной деструкцией легких осложняются около 10% пневмоний у детей, летальность при этом составляет 2-4 %. Среди взрослых гнойно-деструктивная пневмония чаще всего регистрируется у мужчин в возрасте 20-40 лет. Примерно в 2/3 случаев поражается правое легкое, в 1/3 - левое легкое, очень редко (у 1-5% больных) развивается двусторонняя бактериальная деструкция легких. Поскольку данное состояние всегда вторично и развивается на фоне бактериальной пневмонии, важнейшей задачей пульмонологии является поиск путей предупреждения, ранней диагностики и оптимального лечения деструктивных процессов в легких.
Причины
Наиболее частыми инициаторами деструктивных пневмоний выступают стафилококки, зеленящие стрептококки, протей, синегнойная и кишечная палочки. Среди возбудителей отмечается абсолютное преобладание стафилококка, что заставило выделить в особую этиологическую подгруппу стафилококковую деструкцию легких. Реже бактериальную деструкцию легких вызывают палочки Пфейффера и Фридлендера, пневмококки. В большинстве случаев начало гнойно-некротическим процессам дают микробные ассоциации, одновременно представленные 2-3 и более видами бактерий.
В основе развития первичной бактериальной деструкции легких лежит аэрогенный или аспирационный механизм проникновения возбудителей в легкие с развитием бактериальной пневмонии. Факторами риска в этом случае выступают предшествующие воспалению легких ОРВИ, аспирация содержимого носо- и ротоглотки, желудка; ГЭРБ, фиксация инородных тел в бронхах и др. При вторично-метастатической деструкции главенствующее значение принадлежит гематогенному распространению инфекции из локальных гнойных очагов (при остром остеомиелите, фурункулезе, пупочном сепсисе и пр.).
Развитию бактериальной деструкции легких способствуют состояния, сопровождающиеся снижением кашлевого рефлекса, уровня сознания и резистентности организма: никотиновая зависимость, злоупотребление алкоголем, наркомания, профессиональные вредности, ЧМТ, переохлаждение, эпилептические приступы, инсульт, кома, перенесенные инфекции и др. Нередко деструктивные процессы в легочной ткани развиваются вследствие функционирующих пищеводно-бронхиальных свищей, ранения легкого.
Патогенез
В своем развитии бактериальная деструкция легких проходит три стадии: преддеструкции (от 1-2 до 7-14 суток), собственно деструктивных изменений и исхода. Стадия преддеструкции протекает по типу очагово-сливной пневмонии или гнойного лобита. Вторая стадия характеризуется некрозом и распадом легочной паренхимы с последующим отторжением некротических масс и формированием осумкованной гнойной полости. Благоприятным исходом бактериальной деструкции легких является выздоровление с формированием пневмофиброза или кисты легкого, к числу неблагоприятных относятся осложнения и смерть.
Классификация
Бактериальные деструкции легких классифицируются по этиологии, механизму инфицирования, формам поражения, течению. В зависимости от типа возбудителя различают процессы, вызванные аэробной, анаэробной, аэробно-анаэробной флорой. Некоторые авторы на основании этого же принципа различают стафилококковые, стрептококковые, протейные, синегнойные, смешанные деструкции. По механизму поражения патологические процессы делятся на первичные (аэрогенные - 80%) и вторичные (гематогенные - 20%). Среди клинико-рентгенологических форм бактериальной деструкции легких выделяют:
- преддеструкцию (острые массивные пневмонии и лобиты)
- легочные формы (буллы и абсцессы легких)
- легочно-плевральные формы (пиоторакс, пневмоторакс, пиопневмоторакс)
- хронические формы (кисты легких, бронхоэктазы, пневмофиброз, хронический абсцесс легкого, эмпиема плевры) являются исходами острой деструкции.
В клинической практике преобладают легочно-плевральные формы деструкции, на долю легочных приходится всего 15-18%. По динамике течения процесс может быть стабильным, прогрессирующим, регрессирующим; неосложненным и осложненным. Течение бактериальной деструкции легких может быть острым, затяжным и септическим.
Симптомы
Вместе с тем, заподозрить начавшуюся бактериальную деструкцию легких позволяет ряд клинических признаков: гнилостный запах изо рта, тяжелейшая интоксикация, характерная для гнойных процессов (адинамия, тахикардия, температурные пики до 39-40 о С, анорексия и др.). После прорыва абсцесса в бронхи начинается обильное откашливание гнойной зловонной мокроты. На этом фоне отмечается улучшение самочувствия, снижение температуры, повышение активности, появление аппетита и т. д. Если дренирования абсцесса не происходит, гнойно-септический синдром сохраняется и прогрессирует.
При пиотораксе состояние больного ухудшается постепенно. Возникают выраженные боли в груди при дыхании, прогрессирует одышка, температура тела повышается, главным образом, по вечерам. У детей может развиться абдоминальный синдром, симулирующий острый живот, и нейротоксикоз. Бурное клиническое течение может принимать пиопневмоторакс, являющийся следствием разрыва легочной ткани и прорыва гнойного очага в плевральную полость. В этом случае резко возникает приступообразный кашель, одышка, нарастающий цианоз, тахикардия. Вследствие внезапно развившегося коллапса легкого и плевропульмонального шока возможно кратковременное апноэ. При ограниченном пиопневмотораксе вся симптоматика выражена умеренно.
Течению хронических форм бактериальной деструкции легких свойственны признаки гнойной интоксикации (бледный, землисто-серый цвет кожи, недомогание, плохой аппетит, похудание). Беспокоит кашель с умеренным количеством гнойной мокроты с запахом, кровохарканье, небольшая одышка. Типичен легкий цианоз, утолщение дистальных фаланг пальцев.
Осложнения
Различные формы бактериальной деструкции легких могут осложняться легочным кровотечением, внутриплевральным кровотечением (гемотораксом), перикардитом. При массивной инфекции и сниженной иммунной реактивности развивается молниеносный сепсис, при хроническом течении - амилоидоз внутренних органов. Летальные исходы в большинстве своем обусловлены острой почечной недостаточностью, полиорганной недостаточностью.
Диагностика
В анализах крови - признаки активного воспаления: лейкоцитоз со сдвигом влево, значительное повышение СОЭ; увеличение уровня сиаловых кислот, гаптоглобина, серомукоидов, фибрина. Микроскопическое исследование мокроты определяет ее гнойный характер, большое количество лейкоцитов, наличие эластических волокон, холестерина, жирных кислот. Идентификация возбудителя производится при бактериологическом посеве мокроты. Бронхиальный секрет может быть получен как при откашливании, так и во время проведения диагностической бронхоскопии.
Картина, выявляемая по данным рентгенографии легких, различается в зависимости от формы бактериальной деструкции легких. В типичных случаях легочные деструкции определяются в виде полостей с горизонтальным уровнем жидкости, вокруг которых распространяется воспалительная инфильтрация легочной ткани. При плевральных осложнениях выявляется смещение тени средостения в здоровую сторону, уровень жидкости в плевральной полости, частичный или полный коллапс легкого. В этом случае целесообразно дополнение рентгенологической картины данными УЗИ плевральной полости, плевральной пункции и исследования экссудата. Бактериальную деструкцию легких требуется дифференцировать от полостной формы рака легкого, бронхогенных и эхинококковых кист, кавернозного туберкулеза. В проведении дифдиагностики, должны участвовать пульмонологи, торакальные хирурги, фтизиатры.
Лечение бактериальной деструкции легких
В зависимости от формы и течения бактериальной деструкции легких ее лечение может быть консервативным или хирургическим с обязательной госпитализацией в пульмонологический стационар или отделение торакальной хирургии. Консервативный подход возможен при хорошо дренирующихся неосложненных абсцессах легкого, острой эмпиеме плевры.
Независимо от тактики ведения патологии проводится массивная антибактериальная, дезинтоксикационная и иммуностимулирующая терапия. Антибиотики (карбапенемы, фторхинолоны, цефалоспорины, аминогликозиды) вводятся внутривенно, а также эндобронхиально (во время проведения санационных бронхоскопий) и внутриплеврально (в процессе лечебных пункций или проточно-промывного дренирования плевральной полости). Кроме инфузионной детоксикации, в лечении бактериальных деструкций легких находят широкое применение экстракорпоральные методы (ВЛОК, УФОК, плазмаферез, гемосорбция). Иммунокорригирующая терапия предполагает введение гамма-глобулинов, гипериммунной плазмы, иммуномодуляторов и др. В фазе стихания воспаления медикаментозная терапия дополняется методами функциональной реабилитации (физиопроцедурами, ЛФК).
Из оперативных методов лечения при неадекватном опорожнение гнойника в легком используется пневмотомия (открытое дренирование), иногда - резекционные вмешательства (лобэктомия, билобэктомия) или пневмонэктомия. При хронической эмпиеме плевры может потребоваться проведение торакопластики или плеврэктомии с декортикацией легкого.
Прогноз и профилактика
Полным выздоровлением заканчивается примерно четверть случаев бронхиальной деструкции легких; у половины больных достигается клиническое выздоровление с сохранением остаточных рентгенологических изменений. Хронизация заболевания происходит в 15-20% наблюдений. Летальным исходом заканчивается 5-10% случаев. Основу профилактики развития бактериальной деструкции легких составляет своевременная антибиотикотерапия бактериальных пневмоний и гнойных внелегочных процессов, клинико-рентгенологических контроль излеченности, повышенное внимание к больным группы риска по развитию деструктивных процессов в легких. На этапе первичной профилактики важна пропаганда здорового образа жизни, борьба с алкоголизмом и наркоманией.
1. Гнойные заболевания легких и плевры: Учебно-методическое пособие/ Голуб А.М., Алексеев С.А. - 2012.
2. Лучевая диагностика инфекционных деструкций легких/ Тюрин И.Е.//Пульмонология и аллергология. - 2009 - №2.
3. Осложнения пневмонии. Хронические неспецифические бронхолегочные заболевания у детей/ Миронова Э.В., Долбня С.В. - 2016.
Пример внутрилегочной терапии деструктивной терапии. Эффективность внутрилегочного введения антибиотиков
ФГБОУ ДПО «Российская медицинская академия непрерывного профессионального образова- ния» МЗ РФ, Москва ; ГБУЗ «Детская городская клиническая больница им. З.А. Башляевой» ДЗ г. Москвы
Для цитирования: Анаэробные пневмонии у детей и принципы их антибактериальной терапии. РМЖ. 2007;1:24.
Анаэробные пневмонии - инфекционно-воспалительные заболевания легких, вызванные анаэробными микроорганизмами [5,10,12]. Анаэробами называют бактерии, которые способны существовать и размножаться при отсутствии в окружающей среде свободного кислорода [5,15]. Энергию для обеспечения своих метаболических потребностей анаэробы получают в процессе брожения или в результате анаэробного дыхания. Эти механизмы позволяют анаэробам осуществлять биохимическое окисление питательных веществ без участия кислорода. Терминальными акцепторами электронов (окислителями) при этом выступают органические соединения (пируват, лактат и др.) - при брожении и неорганические соединения (нитраты, сульфаты, карбонаты и др.) и трехвалентное железо - при анаэробном дыхании [5,15]. В зависимости от особенностей метаболизма выделяют облигатные (строгие) и факультативные анаэробы. К облигатным анаэробам относятся клостридии, бактероиды, фузобактерии, превотеллы и др., а к факультативным анаэробам - коринебактерии, лактобациллы, листерии, пептококки, пептострептококки и др. Кроме этого, выделяют спорообразующие (Clostridium botulinum, Clostridium tetani, Clostridium perfringes и др.) и споронеобразующие анаэробы (Corynebacterium spp., Bacteroides spp., Peptococcus spp. и др.) [5,15].
Литература
1. Антибактериальная терапия пневмонии у детей. Пособие для врачей. - Клиническая микробиология и антимикробная терапия у детей. - 2000. - №1. - С.77 - 87.
2. Ашкрафт К.У., Холдер Т.М. Детская хирургия. - СПб.: Харфорд, 1996.
3. Классификация клинических форм бронхолегочных заболеваний у детей. - Рос. Вест. Перинатол. и Педиатр. - 1996. - №2. - С.52-56.
4. Коровина Н.А., Заплатников А.Л., Захарова И.Н. Антибактериальная терапия пневмонии у детей. - М.: Медпрактика, 2006.
5. Медицинская микробиология/ Под ред. В.И.Покровского, О.К.Поздеева. - М: ГЭОТАР МЕДИЦИНА, 1999.
6. Пневмонии у детей/ Под ред. С.Ю.Каганова, Ю.Е.Вельтищева. - М., 1995.
7. Рачинский С.В., Таточенко В.К. Болезни органов дыхания у детей. - М.: Медицина, 1987. - 494 с.
8. Самсыгина Г.А., Дудина Т.А. Тяжелые внебольничные пневмонии у детей: особенности клиники и терапии. - Consilium Medicum. - 2002. - Приложение №2. - С.12-16.
9. Страчунский Л.С., Козлов С.Н. Современная антимикробная химиотерапия. - М.: Боргес, 2002.
10. Таточенко В.К. Практическая пульмонология детского возраста. - М., 2001. - 268 с.
11. Таточенко В.К., Федоров А.М., Краснов М.В. Острые пневмонии у детей. - Чебоксары, 1994. - 323 с.
12. Red Book: 2006. Report of the Committee on Infection Diseases. 27rd: American Academy of Pediatrics, 2006.
13. Brook J., Finegold S. Bacteriology of aspiration pneumonia. - Pediatrics. - 1980. - vol. 65, №6. - P. 1115-1120.
14. Infections disease secrets. Gates R. ed. Philadelphia: Hanley & Belfus, 1998.
15. Microbiology and Infections Diseases/ 3rd edition. Virella G. Baltimor: Williams & Wilkins, 1997
Для цитирования: ХИРУРГИЧЕСКАЯ ТАКТИКА В УСЛОВИЯХ СОВРЕМЕННОГО ТЕЧЕНИЯ ТУБЕРКУЛЕЗА ЛЕГКИХ. РМЖ. 1998;17:11.
Хирургические методы используют в лечении больных туберкулезом органов дыхания более 100 лет. Разработаны методики оперативного лечения как ограниченных, так и распространенных форм туберкулеза, применяющиеся в сочетании с противотуберкулезной химиотерапией. До 1990 г. оперативное лечение преимущественно проводили при ограниченных поражениях легких. В настоящее время в связи с учащением случаев лекарственной полирезистентности микобактерий туберкулеза приоритет отдается хирургическому лечению распространенных прогрессирующих процессов в легких.
Surgical interventions are used in the treatment of patients with pulmonary tuberculosis over 100 years. Surgical techniques in combination with antituberculosis drug therapy both for restrictive and disseminated tuberculosis have been developed. Before 1990, surgery was made chiefly in restrictive pulmonary diseases. Due to the greater cases of Mycobacterium tuberculosis multiresistance, surgery for disseminated progressive processes in the lung is of high priority.
В.Н. Наумов — профессор, доктор мед.наук, руководитель отдела хирургии ЦНИИ туберкулеза РАМН
А.Я. Шайхаев — доктор мед. наук, ведущий научный сотрудник ЦНИИ туберкулеза РАМН
К.В. Токаев — доктор мед. наук, ведущий научный сотрудник ЦНИИ туберкулеза РАМН, Москва
V.N. Naumov — Prof., MD, Head, Department of Surgery, Central Research Institute of Tuberculosis, Russian Academy of Medical Sciences A.Ya.
A.Ya. Shaikhayev — MD, Leading Researcher, Central Research Institute of Tuberculosis, Russian Academy of Medical Sciences
K.V. Tokayev — MD, Leading Researcher, Central Research Institute of Tuberculosis, Russian Academy of Medical Sciences, Moscow
В России наблюдается рост показателей заболеваемости туберкулезом, в том числе с бактериовыделением, и смертности от него на 70% и более по сравнению с 1990 г. Особое значение имеет увеличение числа больных с тяжелыми остропрогрессирующими формами заболевания, первичной полирезистентностью микобактерий туберкулеза (МБТ) и вторичным иммунодефицитом, которые способствуют развитию эпидемии туберкулеза, а ее последствия, представленные в прогнозах для населения России и других стран мира, крайне неблагоприятны . Антибактериальная комбинированная полихимиотерапия при этих формах туберкулеза часто малоэффективна вследствие лекарственной резистентности МБТ, нарушений иммунитета и др. Поэтому особенно остро встает проблема повышения противоэпидемической роли фтизиохирургии, а также разработки методов спасения обреченных на неблагоприятный исход больных, как правило, молодого и среднего возраста.
Таблица 1. Виды оперативных вмешательств (в %) по поводу туберкулеза органов дыхания, проведенных в ЦНИИТ РАМН за период с 1975 по 1996 г.
Сроки выполнения
1975 - 1990 гг. (n=6416)
1992 - 1996 гг. (n=1008)
кавернопластика, торакопластика, ЛЭП)
Исторический путь развития хирургических методов лечения больных туберкулезом легких и плевры в мире и в России насчитывает более 100 лет. Хирургия туберкулеза легких стала важной проблемой во всем мире еще в доантибактериальный период. В нашей стране Н. Г. Стойко выполнял операции торакопластики, начиная с 1917 г. В 1936-1938 гг. Л.Л.Богуш в Нижнем Новгороде успешно проводил операции перевязки легочных вен, удаления доли пораженного туберкулезом легкого. К 60-м годам эпидемиологическая ситуация в Европе и Америке значительно улучшилась, и количество операций стало уменьшаться. В Советском Союзе в связи с сохраняющейся высокой распространенностью туберкулеза с 1961 г. была принята государственная программа по его хирургическому лечению. При областных противотуберкулезных диспансерах (ПТД) были открыты типовые хирургические отделения, подготовлены специалисты-фтизиохирурги.
Таблица 2. Эффективность хирургических вмешательств при туберкулезе органов дыхания, проведенных в 1992 - 1996 гг., в ЦНИИТ РАМН
Названия операций
Клинический эффект, %
Летальность, %
Количество операций по поводу торакального туберкулеза постоянно увеличивалось и к 1989 г. достигло 28 000 в год. Были разработаны методы хирургического лечения как ограниченных, так и распространенных туберкулезных поражений легких, исключая остро прогрессирующие формы, в том числе казеозную пневмонию.
Начиная с 90-х годов отмечено нарастание частоты развития остропрогрессирующих форм туберкулеза легких, включая казеозную пневмонию, плохо поддающихся противотуберкулезной терапии. Происшедшие изменения в клиническом течении туберкулеза легких потребовали коррекции хирургической тактики и разработки новых хирургических методов лечения, применимых при остропрогрессирующих формах туберкулеза.
Таблица 3. Пневмонэктомия при двустороннем туберкулезном поражении
В настоящее время фтизиохирургия должна ориентироваться в первую очередь на совершенствование методов хирургического лечения больных с заразными прогрессирующими формами туберкулеза, чтобы предотвратить рост резервуара инфекции и добиться снижения показателя смертности. Совершенствование методов химиотерапии, особенно внедрение новых программ противотуберкулезной терапии, новых мощных антибиотиков широкого спектра и иммуномодуляторов, совершенствование хирургической и анестезиологической техники, использование новых технических средств открывают новые возможности для расширения показаний к операциям у ранее бесперспективных больных, даже с двусторонними деструктивными процессами. Таким образом, сформировались условия для пересмотра хирургической тактики.
Табл. 1 показывает изменения в структуре хирургических операций у больных туберкулезом легких, проведенных в хирургическом отделе ЦНИИ туберкулеза РАМН за последние 20 лет.
Частичные, экономные и комбинированные резекции легких при ограниченных туберкулезных процессах ранее были основными во фтизиохирургической службе по стране и составляли более 80 % всех операций при туберкулезе. Показания к этим видам операций и техника их выполнения хорошо отработаны, прошли испытание временем и не претерпели существенных изменений. Общее сокращение числа частичных резекций с 27,4 до 13,9 % объясняется не столько поздней выявляемостью ограниченных форм туберкулеза (снижение роли профилактических осмотров, флюорографии), но и социально-экономическими причинами. Эффективность частичных резекций легких в нашей клинике остается на уровне 98,4 % (табл. 2) .
В арсенале фтизиохирургических вмешательств значительное место вновь приобретают нерезекционные методы лечения: варианты эндокавитарного, в том числе лазерного лечения, экстраплеврального пневмолиза (ЭПП), кавернотомия, кавернопластика, торакопластика, вскрытие полости эмпиемы, торакомиопластика, сроки выполнения которых необоснованно затягиваются на местах. Этот вид операций в нашей клинике составляет от 19,5 до 21,7 %. Основные показания к этим операциям остались прежними: большие (в том числе двусторонние) каверны на фоне обширной диссеминации как основной источник интоксикации при неэффективности полихимиотерапии и прогрессирующем течении заболевания, когда радикальные операции противопоказаны из-за распространенности процесса или ограниченности функциональных резервов пациента. В последние годы уменьшилось число пациентов, которым показана одномоментная кавернопластика. При этом наиболее часто использовались ЭПП, одно- и двухэтапные кавернотомии как самостоятельные (11 %) операции, которые не сопровождались серьезными осложнениями и у 85,7 % больных позволили прекратить бацилловыделение и стабилизировать распространенный туберкулезный процесс. Новый вариант открытого ЭПП весьма щадящий, выполняется с резекцией участков 2-3 ребер (в зоне над каверной), преимущественно из подмышечного доступа с последующим местным лечением каверны путем пункций с введением антибиотиков, использованием различных видов физического воздействия. Такие операции можно проводить в качестве предварительного эффективного лечения с целью стабилизации двустороннего туберкулезного процесса и подготовки к радикальному оперативному вмешательству на стороне основного поражения. Авторы использовали этот вид операций более чем у 40 больных, а за последние 5 лет - у 18 человек при поражении единственного легкого. Кроме того, ЭПП у 21 пациента сочетался с одномоментными этапными (в том числе комбинированными) вмешательствами на контрлатеральном легком. Разработанные в нашей клинике и используемые в настоящее время операции уникальны в мировой практике и могут сыграть еще большую роль в излечении распространенных прогрессирующих деструктивных форм туберкулеза.
Важным разделом современной фтизиохирургии является разработка методов предоперационной подготовки с целью стабилизации туберкулезного процесса, лечение сопутствующих заболеваний: интенсивное местное лечение (пункции, дренирование каверн, внутрилегочное и внутрикавитарное введение препаратов), коррекция легочно-сердечной недостаточности, компенсация сахарного диабета и др.. Прослеживается тенденция использования современных, иммунокорригирующих средств, методов экстракорпоральной детоксикации для эффективного и быстрого способа подготовки к обширным вмешательствам вплоть до плевропульмонэктомии у больных, которые ранее считались неоперабельными и некурабельными.
Классическая плеврэктомия, в том числе и с резекцией легкого, при эмпиеме плевры составила 1,2% против 2,3 % в 80-е годы.
Объясняется это не только уменьшением числа пациентов с постпневмотораксной эмпиемой плевры, но и возрастанием числа больных с хроническими экссудативными плевритами, в излечении которых роль хирургических методов часто незаслуженно принижается.
По данным ПТД, в последние годы увеличился поток больных с экссудативными плевритами среди вновь выявленных больных туберкулезом легких. Общая лечебная сеть отправляет их в ПТД, а последние практически не учитывают, что в случаях хронизации воспалительного процесса в плевре оперативное лечение (в сроки до года от начала заболевания) эффективно и позволяет полностью восстановить функцию дыхания. Поэтому фтизиохирургам следует ориентироваться на раннее (через 4 - 8 мес от момента начала заболевания) применение реконструктивных операций при хронических плевритах и начальных стадиях хронической эмпиемы плевры. Эффективность при этом достигает 98,1%. На операцию удаления легкого (пневмонэктомия, плевропневмонэктомия, доудаление остатков легкого) приходится сейчас 16,2 % вместо 13,4 % в прошлые годы. Послеоперационная летальность достигает 8,1 - 9,2%, эффективность - 86,3 %. Показания для пневмонэктомии при так называемом стабильном одностороннем распространенном деструктивном туберкулезе в настоящее время имеются значительно реже (не более 15%). Оказывается, удельный вес пневмонэктомий обусловлен ростом (до 55%) числа остропрогрессирующих форм фиброзно-кавернозного туберкулеза и его осложнений (пиопневмоторакса, легочных кровотечений), случаев полирезистентности МБТ, когда современная полихимиотерапия уже неэффективна и бесперспективна. При этом пневмонэктомия как одномоментная операция может быть выполнена только у 62,5 % пациентов. Эффективность операции удаления всего легкого при относительно стабильном варианте клинического течения составляет 92%, без летальных исходов. В остальных случаях пневмонэктомия является заключительным этапом комплексного хирургического лечения больных двусторонним осложненным прогрессирующим деструктивным туберкулезом легких (табл. 3) .
Эффективность этапной пневмонэктомии составляет 82,6 % при летальности 10-12,4 % случаев (см. табл. 2). Метод более эффективен, чем одномоментная пульмонэктомия у аналогичных групп больных.
Ключевым моментом новой хирургической тактики при развившихся осложнениях, таких как бронхиальные, торакальные свищи, остеомиелиты ребер, двусторонние осложненные процессы, является трансстернальная трансперикардиальная окклюзия главных бронхов и легочных сосудов на стороне основного поражения. При этом одновременно на стороне меньшего поражения (практически единственного легкого!) осуществляют такие вмешательства, как ЭПП с тампонадой, этапные кавернотомии, реже - частичные резекции. На стороне основного поражения одновременно производят вскрытие полости эмпиемы и каверны с открытой тампонадой. Для предотвращения тяжелой дыхательной недостаточности одномоментно производят трахеостомию с последующей длительной искусственной вентиляцией легких (иногда до 1 - 1,5 мес). Комплексное лечение после первого хирургического этапа, включающее использование полихимиотерапии, экстракорпоральных методов детоксикации, различных типов лазеров, УФО, парентерального питания, позволяет в большинстве случаев подготовить таких пациентов к заключительной операции - удалению легкого.
Таким образом, гармоничное применение всего арсенала фтизиохирургических вмешательств, которые могут выполняться у значительного числа нуждающихся, по нашему убеждению, позволяет значительно снизить резервуар инфекции, расширить возможности хирургического излечения наиболее тяжелой группы больных туберкулезом органов дыхания всех возрастов и определяет хирургическую тактику, соответствующую требованиям времени.
1. Богуш Л.К. Хирургическое лечение туберкулеза легких .- М., 1979.
2. Репин Ю.М. Хирургия отягощенных форм туберкулеза .- Л., 1984.
3. Перельман М.И., Стрельцов В.П., Наумов В.Н. / Органощадящие оперативные вмешательства во фтизиопульмонологии .- М., 1989 -. С.4-7.
Контент доступен под лицензией Creative Commons «Attribution» («Атрибуция») 4.0 Всемирная.
Пройдя регистрацию вы можете добавлять в избранное понравившиеся статьи, а также получите подборку статей по вашей специальности
Для цитирования: Алгоритмы выбора антибактериальной терапии при внебольничных пневмониях. РМЖ. 2000;4:174.
Кафедра пульмонологии ФУВ РГМУ, Москва
Внебольничные пневмонии - самая большая группа пневмоний, с которой каждодневно приходится иметь дело практическому врачу в амбулаторной практике, а при тяжелом течении болезни - и в каждом терапевтическом стационаре. По современной классификации Европейского респираторного общества к внебольничным пневмониям относят:
• легкую пневмококковую пневмонию;
• легкую атипичную пневмонию;
• тяжелую пневмококковую пневмонию;
• тяжелую пневмонию неизвестной этиологии;
• аспирационную (анаэробную) пневмонию.
Очевидна практическая значимость этой классификации, когда основными критериями служат этиология и степень тяжести пневмонии, необходимые в первую очередь для выбора антибиотика.
Антибактериальная терапия пневмоний относится к разряду этиотропной терапии - самому рациональному виду лечения. Успех лечения пневмонии в значительной степени зависит от точности определения возбудителя. Даже при современном оснащении бактериологической службы медицинского учреждения первично антибактериальное лечение назначается эмпирически с учетом анамнеза, клинической картины, эпидемиологической ситуации. В большинстве современных пособий к выбору антибактериального препарата рекомендуется подходить с учетом деления пневмоний на внебольничные и госпитальные, микрофлора которых принципиально отличается, и, следовательно, необходимо назначение принципиально разных антибиотиков. При внебольничных пневмониях - это пенициллины (особенно с ингибиторами b-лактамаз) и макролиды (мидекамицин и др). В некоторые случаях возможно назначение тетрациклинов и сульфаметоксазола с триметопримом. При госпитальных пневмониях предпочтение отдается противостафилококковым антибиотикам и антибиотикам, действующим на грамотрицательную флору и анаэробы (гликопептиды, цефалоспорины II и III поколения, фторхинолоны).
Другим критерием для выбора антибиотика является возраст больного: моложе или старше 60 лет (табл.1). Следует отметить, что хотя эти критерии проверены в больших статистических исследованиях, они не гарантируют успеха в конкретном клиническом случае.
Следующий критерий для выбора антибактериальной терапии чрезвычайно важен - это тяжесть заболевания. Если при легкой форме пневмонии у врача есть время для подбора и определения эффективности антибиотика в течение 3 дней, то при тяжелом состоянии этого времени нет - больной просто может погибнуть. В этом случае необходимо назначение комбинации антибиотиков для того, чтобы перекрыть весь спектр возможных возбудителей (табл. 2, 3). Критерии тяжести и критерии для госпитализации в стационар и блок интенсивной терапии приведены в предыдущей статье (см. Рус. мед. журн., 1999, №17).
Стандартная жизненная ситуация не позволяет строго следовать правилам назначения антибиотиков. Результаты микробиологического исследования обычно бывают готовы лишь к 3-5-му дню от взятия мокроты, причем в 10-25% случаев возбудителя не удается определить.
Поэтому при эмпирическом выборе антибактериального препарата рационально использовать большее количество критериев, чем только возраст и тяжесть состояния.
Алгоритм выбора антибиотика основан на знании:
Анамнеза ( возраст и статус здоровья):
• исходно здоровый человек; • больной хроническими болезнями; • больной в стационаре; • больной с иммунодефицитом; • пожилой человек.
Клинической картины заболевания
Степени тяжести заболевания.
Медицинское учреждение, имеющее свою микробиологическую службу, может ориентировать врачей, используя и архивные данные о наиболее часто встречающихся возбудителях пневмоний и сезонных изменениях, характерных для конкретного региона.
Врач на основании этих данных заранее знает, что пневмококк наиболее часто встречается в январе-марте, а легионеллезная инфекция - в августе-ноябре и т.д. (см. схему 1). Эти сведения наряду с клиническими и лабораторными данными помогают распознать инфекцию.
Очень характерным примером определяющей роли эпидемиологической ситуации в постановке микробиологического диагноза и выборе терапии (табл. 4) является эпидемия гриппа, когда возбудителем пневмонии чаще всего становятся стафилококки.
Об атипичной пневмонии, вызванной хламидией или микоплазмой, с большой степенью вероятности можно думать при вспышке респираторной инфекции в организованном коллективе, когда наряду с заболеваниями верхних дыхательных путей выявляются бронхиты и пневмонии.
Эпидемиологические данные срабатывают при постановке диагноза и выборе терапии у “путешественников”, когда также велика этиологическая роль атипичных возбудителей.
Эпидемиологические данные являются только одним из ориентиров для назначения антибактериального препарата. Анамнез и клиническая картина дополняют информацию, необходимую для принятия правильного решения (табл. 5, 6). Значимость анамнестических данных подчеркивается современной классификацией пневмоний, когда выделяются две большие группы: внебольничные и больничные (нозокомиальные) пневмонии, которые имеют различную этиологию и, соответственно, различную этиотропную терапию.
Если ваш пациент - исходно здоровый человек - заболел пневмонией, то наиболее вероятным возбудителем будут пневмококк, различные вирусно-бактериальные ассоциации, гемофильная палочка, микоплазма и хламидия, но не синегнойная палочка и не пневмоциста, которые встречаются у хронических больных при иммунодефицитах. В соответствии с этой логикой ему рационально назначить пенициллин (амоксициллин и др.) или макролид (мидекамицин и др.), или цефалоспорин I-II поколения (цефалексин и др.).
Но если пациент страдает сахарным диабетом и в декомпенсированном состоянии поступил в стационар, где на 4-й день заболел пневмонией, то, конечно, это нозокомиальная пневмония и возбудителями могут быть стафилококки, клебсиелла, синегнойная и кишечная палочка, грибковая флора, а антибиотиками выбора являются фторхинолоны, аминогликозиды, цефалоспорины II-III поколения. В этом случае назначать пенициллины следует обязательно с ингибиторами b-лактамаз.
Во время осмотра пациента врач получает дополнительные клинические ориентиры для выбора антибактериального препарата (см. табл. 5).
Традиционно пневмонии делят на бронхопневмонии и долевые пневмонии. Долевые пневмонии в 94-96% случаев имеют пневмококковую этиологию, а в 4-6% вызываются клебсиеллой.
Долевая пневмококковая пневмония, хотя и не называется крупозной в современной клинической классификации, имеет хорошо известные клинические особенности. Заболевание часто начинается остро, пациент может указать час начала заболевания. В первые сутки преобладают общие симптомы интоксикации (тифоподобное начало). Локальные симптомы поражения каких-либо органов и систем отсутствуют. Затем присоединяются кашель с ржавой мокротой, боли в грудной клетке при кашле и глубоком вдохе. Определяется усиление голосового дрожания, притупление и крепитация над пораженной долей. Если антибактериальная терапия начата в первые часы от начала заболевания, то возможно рудиментарное течение без вовлечения в процесс всей доли, в этом случае рентгенологически пневмония будет определяться как очаговая. Показано лечение пенициллинами, в том числе в сочетании с ингибиторами b-лактамаз, цефалоспоринами I-II поколения, макролидами (мидекамицин и др.).
Долевая пневмония, вызванная клебсиеллой, также имеет свои особенности. Характерна скудная физикальная симптоматика из-за густой, вязкой, цвета “малинового желе” мокроты, не позволяющей образовываться звуковым феноменам в виде хрипов и крепитации. Симптомы уплотнения легочной ткани такие же, как и при пневмококковой пневмонии. Кроме того, клебсиелла резистентна к действию пенициллинов, что может служить критерием этиологического диагноза. Показано назначение цефалоспоринов, аминогликозидов и фторхинолонов.
Очаговые неосложненные пневмонии, вызываемые стафилококком и стрептококком, не имеют клинических особенностей. Но если при остающихся общих симптомах интоксикации начинают появляться аускультативные феномены полостных образований, выделение большого количества мокроты (необязательный симптом, так как количество мокроты зависит от размера полости и условий дренирования), сопровождающееся улучшением состояния больного, то можно думать о стафилококковой природе пневмонии. Стрептококковая пневмония тоже может осложняться абсцедированием, но чаще это наблюдают в случаях вторичной пневмонии при сепсисе, бактериальном эндокардите, когда абсцессы носят метастатический характер и нередко не определяются из-за малых размеров и отсутствия дренирования. Общие симптомы интоксикации, кашель, гнойная мокрота и плевральные поражения характерны для всей группы кокковых пневмоний. В этих случаях рационально назначение полусинтетических пенициллинов с ингибиторами b-лактамаз, цефалоспоринов I-II поколения, клиндамицина, ванкомицина.
Атипичные пневмонии - это пневмонии молодых. Для диагностики важны эпидемиологические данные. Можно выделить клинические особености хламидийной и микоплазменной пневмонии: чаще наблюдается несоответствие высокой степени интоксикации и ограниченного поражения легких с малой физикальной симптоматикой и непродуктивным кашлем. Рентгенологически часто описывается локальное усиление легочного рисунка и интерстициальные изменения. Препаратами выбора в этом случае являются макролиды.
Нозокомиальные пневмонии всегда вторичны по отношению к тому заболеванию, по поводу которого больной был госпитализирован. Возбудителем этих пневмоний может быть и пневмококк, но наиболее характерны все-таки грамотрицательные микроорганизмы и стафилококк. Клиническая картина самой пневмонии не является определяющей в этиологическом диагнозе. Большее значение имеет клиника тех заболеваний, на фоне которых развилась пневмония (тяжелая дыхательная недостаточность и искусственная вентиляция легких, онкологические заболевания, первичный или вторичный иммунодефицит и т.д.). При госпитальной пневмонии назначают цефалоспорины III поколения, аминогликозиды, фторхинолоны, клиндамицин, ванкомицин, карбапенемы, а при уточнении возбудителя - противогрибковые средства, сульфаметоксазол/триметоприм или ацикловир.
Дальнейшее обследование носит объективный характер и в первую очередь за счет микробиологических методов - окраска по Граму, посев с количественным определением колониеобразующих единиц, определение чувствительности к антибиотикам, что не решает проблемы антибактериальной терапии, но в значительной степени оптимизирует ее решение.
1. A pragmatic approach to community-acquired pneumonia: patients and pathogens. D.Lew. New trends in the management of community-acquired pneumonia: the patient approach., 282.
2. Community-acquired pneumonia. Etiology, epidemiology and treatment. Lionel A. Mandel, MD. Chest 1995; 357.
4. Diagnosis and management of pneumonia and other respiratory infections. Alan Fein et al.1999.
5. Lecture notes on respiratory diseases. R.A.L. Brevis, 1985.
6. Management of adult community-acquired lower respiratory tract infections. Erohtan Study on Community Acquired Pneumonia (ESOCAP) committee: Chairmen: G. Huchon, M.Woodhead.
Читайте также:
- Частота повреждений грудного протока при ранениях шеи
- Восстановление слизистой верхнечелюстной пазухи. Ведение раны гайморовой пазухи
- Боли при онкологии: причины, симптомы и лечение
- Техника дорсального доступа к пястно-фаланговому суставу кисти
- Неофтальмологические причины аномалия положения головы (тортиколлиса)
