Гранулема в легких при микозах. Диагностика аспергиллемы и кандидоза.
Добавил пользователь Владимир З. Обновлено: 17.12.2025
ФГУ "НИИ пульмонологии" ФМБА России
Гистологическая дифференциальная диагностика гранулематозных болезней легких (часть I)
Журнал: Архив патологии. 2019;81(1): 65‑70
Гранулематозные болезни — это гетерогенная группа заболеваний различной этиологии, проявляющихся разнообразными клиническими синдромами и вариантами тканевых изменений, неоднородной чувствительностью к терапии и преобладанием общего доминирующего гистологического признака — наличием гранулем, определяющих клинико-морфологическую сущность каждой болезни. Гранулема является хронической воспалительной реакцией, в которой принимают участие клетки макрофагальной системы и другие клетки воспаления. После воздействия антигена происходит активация T-лимфоцитов, макрофагов, эпителиоидных клеток и гигантских многоядерных клеток, приводящая к образованию гранулемы. Гранулема включает также внеклеточный матрикс, продуцируемый фибробластами, позволяющий отграничить и изолировать антиген. Гранулематозные заболевания классифицируются по этиологии на инфекционные и неинфекционные. Однако, согласно последним исследованиям, патогенные микроорганизмы могут быть причиной развития гранулем при заболеваниях, ранее считавшихся неинфекционными. В ряде случаев классифицировать гранулематозный процесс как инфекционный и неинфекционный весьма трудно. Цель настоящего исследования — привлечь внимание читателей к разнообразию гранулематозных заболеваний, описать ключевые моменты патолого-анатомических проявлений различных болезней неинфекционной природы, а также определить подход к дифференциальной диагностике гранулематозов.
Название «гранулема» происходит от латинского слова granulum, означающее «зерно», греческое окончание (-oma) используется для обозначения узелкового образования. Таким образом, гранулема представляет собой узелковое очерченное образование. При микроскопической оценке термин используется для обозначения компактных агрегатов клеток. Микроскопически гранулемы могут состоять из гистиоцитов и/или эпителиоидных клеток, гигантских многоядерных клеток и других клеток воспаления (лимфоциты, нейтрофилы, эозинофилы). Эпителиоидные и гигантские многоядерные клетки являются производными моноцитов/макрофагов, первые являются дифференцированными секреторными клетками, тогда как последние специализированы на функции фагоцитоза [1]. Гигантские многоядерные клетки образуются путем слияния или неполного клеточного деления, что было доказано в экспериментальных исследованиях [2], причем раньше образуются гигантские клетки инородных тел, затем - клетки Пирогова—Лангханса. Лимфоциты располагаются преимущественно по периферии гранулемы и представляют популяцию T-клеток, тогда как B-лимфоциты разрозненно лежат вне гранулемы. В зависимости от заболевания T-лимфоциты представлены преимущественно T-хелперами 1 и 2 или же цитотоксическими T-супрессорами.
Гранулематозные болезни — гетерогенная группа заболеваний различной этиологии, проявляющихся разнообразными клиническими синдромами и вариантами тканевых изменений, неоднородной чувствительностью к терапии, при этом преобладает общий доминирующий гистологический признак — наличие гранулем, определяющих клинико-морфологическую сущность каждой болезни [3]. Настоящая публикация преследует цель привлечь внимание читателей к разнообразию гранулематозных заболеваний легких, описать ключевые моменты патолого-анатомических проявлений различных заболеваний инфекционной и неинфекционной природы, а также определить подход к дифференциальной диагностике гранулематозов.
При гранулематозных заболеваниях неинфекционной природы, как правило, развиваются ненекротические гранулемы, за некоторыми исключениями, о которых будет сказано ниже.
Саркоидоз

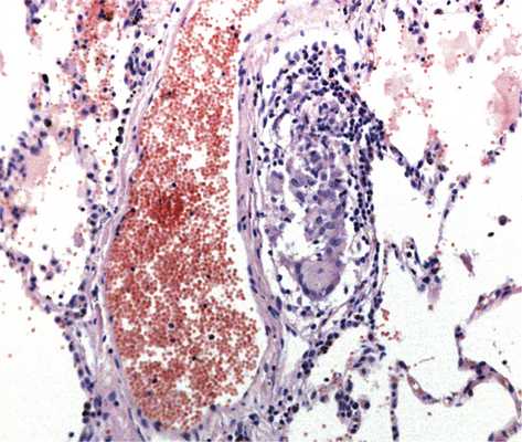
Поражение легких при саркоидозе описано в 90% наблюдений. Морфологическим субстратом саркоидоза является эпителиоидно-клеточная гранулема — компактное скопление мононуклеарных фагоцитов — макрофагов и эпителиоидных клеток. Каждая саркоидная гранулема имеет следующие стадии развития: 1) ранняя или лимфогистиоцитарная гранулема иногда с примесью нейтрофилов (рис. 1); Рис. 1. Ранняя фаза саркоидной гранулемы: периваскулярная лимфогистиоцитарная нечетко очерченная гранулема с единичной многоядерной клеткой. Здесь и на рис. 2—8: окраска гематоксилином и эозином, ×200. 2) гранулема со скоплением эпителиоидных клеток в центре и макрофагов по периферии; 3) эпителиоидно-лимфоцитарная гранулема; 4) гранулема с гигантскими многоядерными клетками (сначала клетки «инородных тел», а в последующем клетки Пирогова—Лангханса); 5) гранулема с ранними признаками некроза (пикноз ядер) или апоптоза (появление апоптотических телец) эпителиоидных или гигантских клеток в центре; 6) гранулема с центральным фибриноидным, гранулярным, ишемическим некрозом, как правило, в виде мелких фокусов; 7) гранулема с парциальным фиброзом (или гиалинозом, при окраске серебром выявляют ретикулиновые волокна); 8) гиалинизированная гранулема.
Процесс организации гранулем начинается с периферии, что придает им четко очерченный, «штампованный» вид (рис. 2). Рис. 2. Множественные четко очерченные эпителиоидно-клеточные саркоидные гранулемы в виде конгломератов, ×40. Зачастую при саркоидозе в одном и том же материале можно встретить гранулемы разного «возраста», от ранних, рыхлых, нечетко оформленных гистиоцитарных до четко очерченных («штампованных») эпителиоидно-клеточных, нередко гранулемы располагаются в виде конгломератов (рис. 3) Рис. 3. Типичная «штампованная» саркоидная гранулема, ×100. [4].
Значительное число лимфоцитов в ткани легких при саркоидозе представлено преимущественно Т-клетками. Для дифференциальной диагностики саркоидоза полезно оценивать бронхоальвеолярный смыв, в котором при этом заболевании среди лимфоцитов преобладают Т-хелперы (CD4+), соотношение CD4/CD8 составляет 3,5—10:1 (в норме 1,8:1). Гигантские клетки в составе гранулем могут содержать в цитоплазме включения, такие как астероидные тельца, тельца Шауманна или кристаллоидные структуры. Эти включения характерны для саркоидоза, однако не являются патогномоничными, так как могут присутствовать и при других гранулематозных заболеваниях [5].
При исследовании биоптатов бронхов и легких при гранулематозных заболеваниях, как правило, обнаруживают диссеминированное поражение с васкулитом, периваскулитом, перибронхитом; гранулемы чаще всего локализуются в межальвеолярных перегородках. Гранулематозное поражение бронхов и бронхиол при саркоидозе встречается часто и описано у 15—55% пациентов. Нередко гранулемы располагаются в стенке сосуда, частота гранулематозного васкулита может достигать 69%. В этих наблюдениях следует дифференцировать саркоидоз с некротизирующим саркоидным гранулематозом, который ряд авторов относят к узловой форме саркоидоза [6]. Для последнего характерно развитие некрозов.
В целом для саркоидоза характерными являются наличие четко очерченных, «штампованных гранулем», располагающихся по ходу лимфатических сосудов, концентрический фиброз вокруг гранулем, гиалиноз внутри и между гранулемами, гранулематозный васкулит, отсутствие хронического интерстициального воспаления вне гранулематозного поражения и фокусов организующейся пневмонии.
Помимо саркоидоза, встречается так называемая неспецифическая саркоидная реакция в виде эпителиоидно-клеточного гранулематоза. Она обычно наблюдается в регионарных лимфатических узлах, но может встречаться и в ткани легких при псевдоопухолях, злокачественных новообразованиях, паразитарных заболеваниях, экзогенном аллергическом альвеолите, туберкулезе. Гистологически саркоидная реакция отличается ограниченностью и топической связью с указанными патологическими процессами.
Гиперсенситивный пневмонит

В основе патогенеза гиперсенситивного пневмонита лежит развитие иммунологической реакции легочной ткани по III (иммунокомплексному) и IV типу при ингаляции аллергена. Этиологическим фактором болезни обычно являются термофильные бактерии, грибы, животные протеины. Другие бактерии и их продукты, амебы и некоторые химические вещества значительно реже являются причиной развития заболевания. При гиперсенситивном пневмоните гранулемы нечетко организованы, более «рыхлые», состоят из гистиоцитов, лимфоцитов, многоядерных клеток, иногда — эозинофилов (рис. 4) Рис. 4. Гиперсенситивный пневмонит: нечетко очерченная гранулема, состоящая из гигантских многоядерных клеток с игольчатыми структурами, окруженных лимфоцитами, лимфоцитарная инфильтрация межальвеолярных перегородок, ×100. [7], характерна перибронхиолярная локализация гранулем. Для диагностики гиперсенситивного пневмонита следует выявить триаду признаков: неспецифическую интерстициальную пневмонию в перибронхиолярных зонах, ненекротизирующие гистиоцитарные (гигантоклеточные гранулемы), фокусы облитерирующего бронхиолита. При повышении числа лимфоцитов в бронхоальвеолярном смыве, в отличие от саркоидоза, среди них преобладают цитотоксические Т-клетки и Т-супрессоры (CD8+), соотношение CD4/CD8
Хроническая аллергическая болезнь, вызванная металлами
Хронический бериллиоз представляет собой аллергический гранулематоз. Гранулемы сходны с таковыми при саркоидозе, могут быть несколько крупнее. Как и при саркоидозе, гранулемы располагаются перилимфатически, со сходным клеточным составом, включая субпопуляции T-лимфоцитов, характерно поражение лимфатических узлов. Такой же вариант гранулематоза может развиваться в результате действия циркония. Диагностику следует основывать на данных анамнеза и тесте трансформации лимфоцитов в ответ на действие того или иного металла [9].
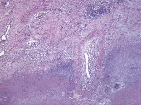
Особую сложность представляет, на наш взгляд, дифференциальная диагностика некротических гранулематозных процессов. Инфекционные заболевания, как одну из наиболее частых причин некротических гранулематозных процессов, следует дифференцировать прежде всего с полиангиитом с гранулематозом (ранее — гранулематоз Вегенера), аспирационной пневмонией, реже — с узелковой формой ревматоидного артрита, некротизирующим саркоидным гранулематозом (НСГ), инфарктом легкого и лимфоматоидным гранулематозом [10]. Несмотря на специфические гистологические изменения при этих заболеваниях, существует тем не менее перекрест, и лишь комбинация множества гистологических особенностей позволяет сформулировать окончательный диагноз. Инфекционная некротическая гранулема обычно имеет ровные контуры, как правило, эозинофильный некроз, окруженный валом гистиоцитов и гигантских многоядерных клеток. Напротив, при полиангиите с гранулематозом зоны некроза обычно с неровными контурами, напоминающими географическую карту, с большим количеством клеточного детрита, что придает некрозу «грязный» вид (рис. 5). Рис. 5. Гранулематоз Вегенера: некроз с клеточным детритом в виде «географической карты», ×40. Зоны некроза также окружены гистиоцитарным валом, однако гигантские клетки обычно немногочисленны и лежат разрозненно, не формируя компактные гранулемы. Характерной чертой полиангиита с гранулематозом является наличие некротического васкулита с фибриноидным некрозом мышечной оболочки (рис. 6), Рис. 6. Гранулематоз Вегенера: фибриноидный некроз стенки сосуда с лимфолейкоцитарной инфильтрацией, ×100. встречаются такие сосуды в зоне воспаления, поражение стенки часто эксцентрично, при этом заболевании поражаются ветви легочных артерий и вен. Возможно также развитие капиллярита, что сопровождается внутриальвеолярными кровоизлияниями. Некротический васкулит часто можно встретить в зоне воспаления и некроза и при инфекционном процессе, поэтому для подтверждения диагноза полиангиита с гранулематозом необходимо внимательно оценить сосуды вне зон некроза, желательно при этом использовать дополнительные окраски для выявления эластической ткани (по Верхофф, Ван-Гизону и т. д.). Кроме того, для полиангиита с гранулематозом в отличие от инфекционного гранулематоза нехарактерно вовлечение в процесс лимфатических узлов [11].
Некротический гранулематоз встречается также при аллергическом ангиите с гранулематозом (ранее — болезнь Черджа—Стросса) в сочетании с некротическим васкулитом и эозинофильной пневмонией. Гранулемы при аллергическом ангиите с гранулематозом хорошо оформленные, с центральным некрозом, содержащим множество эозинофилов, имеет место эозинофильная инфильтрация стенок сосудов и бронхиол, некротический васкулит с наличием эозинофилов и гигантских многоядерных клеток. Однако классическая триада изменений в виде гранулематоза, некротического васкулита и эозинофильной пневмонии в легких встречается нечасто, поэтому для установления диагноза необходимы дополнительные клинические и лабораторные данные.

Некротические гранулемы могут формироваться в легком и при ревматоидном артрите, однако диагноз в этом случае следует формулировать с осторожностью. Прежде всего следует учитывать клинические данные, поскольку узелковые формы ревматоидного артрита развиваются только в активной фазе заболевания, у серопозитивных пациентов с наличием выраженного суставного синдрома. При этом заболевании некроз, как правило, окрашен эозинофильно, клеточный детрит располагается обычно между некрозом и окружающим его гистиоцитарным валом, может сочетаться с васкулитом, однако некротический васкулит нехарактерен (рис. 7) Рис. 7. Ревматоидный артрит: обширная зона некроза с гистиоцитарным валом по периферии, лимфоидная инфильтрация стенок сосудов с обтурацией просветов, ×40. [12]. Описанные гистологические изменения практически неотличимы от таковых инфекционного гранулематоза, кроме того, описаны редкие наблюдения сочетания ревматоидного артрита и туберкулеза, поэтому необходимо исключить наличие инфекции.
При дифференциальной диагностике васкулитов с развитием гранулематозной реакции, описанных выше, следует учитывать специфические серологические признаки того или иного заболевания.

Инфекционный гранулематоз следует также дифференцировать с НСГ. Последний имеет также некоторые сходства с полиангиитом с гранулематозом. При НСГ характерно развитие интерстициального некроза, который чаще эозинофильно окрашен, однако иногда может содержать клеточный детрит. Однако некроз при НСГ сочетается с имеющимися ненекротизирующими гранулемами саркоидного типа, состоящими преимущественно из эпителиоидных и гигантских многоядерных клеток с небольшим числом лимфоцитов, эти гранулемы имеют тенденцию к слиянию, часто располагаются вблизи кровеносных сосудов или в их стенке, не приводя, однако, к развитию васкулита (рис. 8) Рис. 8. Некротизирующий саркоидный гранулематоз: гранулематозный васкулит, ×100. [6]. Для диагностики НСГ необходимо наличие триады признаков: гранулемы саркоидного типа, гранулематозного васкулита и некротического воспаления.
Поскольку некроз при инфекционном гранулематозе может быть коагуляционного типа, его также следует дифференцировать с инфарктом легкого. В стадии организации инфаркты могут быть окружены фибробластами и клетками воспаления, напоминая гранулематозное воспаление. В резецированных кусочках легкого при инфаркте, как правило, можно обнаружить тромбы в ветвях легочной артерии, явившиеся причиной развития инфаркта [13].
Наличие гигантских многоядерных клеток «инородных тел» и выраженной воспалительной реакции при аспирационной пневмонии в ряде случаев может напоминать гранулематозный процесс, для диагностики этого заболевания необходима тщательная оценка гистологических срезов с целью обнаружения различных инородных остатков пищи (растительных клеток, фрагментов поперечнополосатых мышц и др.).

Дифференциально-диагностические признаки основных неинфекционных заболеваний легких приведены в таблице. Ключевые диагностические признаки основных неинфекционных заболеваний легких [14]
Таким образом, для проведения дифференциальной диагностики гранулематозных заболеваний необходимо оценить форму (очерченность, «зрелось») гранулемы, ее клеточный состав, наличие/отсутствие некроза, цвет некроза, клеточную реакцию по периферии некроза, состояние ткани легкого вне зоны гранулематозного воспаления, а также другие специфические признаки. Дифференциальная диагностика гранулематозных процессов инфекционной природы будет рассмотрена в части II.
Авторы заявляют об отсутствии конфликта интересов.
Сведения об авторах
Грибковая пневмония ( Пневмомикоз )
Грибковая пневмония - это микотическое поражение легких, возбудителями которого выступают различные виды грибов. Заболевание проявляется повышением температуры, слабостью, кашлем со слизисто-гнойной мокротой и кровохарканьем, одышкой, болью в груди, миалгией. Диагноз грибковой пневмонии ставится по данным анамнеза, симптоматики, рентгенографии легких, микробиологического, серологического и молекулярно-генетического исследований. Лечение грибковой пневмонии включает назначение антимикотических препаратов, иммунокорректоров, поливитаминов, детоксикационных и десенсибилизирующих средств.
МКБ-10

Общие сведения
Грибковая пневмония (пневмомикоз) - воспалительный процесс, развивающийся в альвеолах и паренхиме легких при внедрении и бесконтрольном размножении патогенных или условно-патогенных штаммов грибов. Грибковая пневмония может возникать как самостоятельное (первичное) заболевание при непосредственном инфицировании ткани легких или вторично, как осложнение другой фоновой, в т. ч. респираторной патологии (бронхоэктатической болезни, обструктивного бронхита, абсцесса легкого).
Грибковую пневмонию считают одной из тяжелейших форм воспаления легких, количество случаев которой в последнее время увеличивается, несмотря на использование в пульмонологии новейших антимикотических препаратов. Специфичность возбудителей и торпидное течение пневмомикозов представляют большие трудности для точной постановки диагноза и затягивают своевременное начало терапии, усугубляя воспалительные изменения.

Причины
Причиной развития грибковой пневмонии является колонизация слизистой нижних отделов респираторного тракта штаммами грибов, многие из которых - представители условно-патогенной микрофлоры. Возбудителями заболевания могут выступать грибы различных видов - плесневые (Aspergillus, Mucor), дрожжеподобные (Candida), эндемичные диморфные (Blastomyces, Coccidioides, Histoplasma), пневмоцисты (Pneumocystis). Наиболее часто при грибковой пневмонии выявляются грибы кандида (C. albicans), аспергиллы и пневмоцисты (P. carinii), обладающие преимущественным тропизмом к легочной ткани.
В зависимости от возбудителя пневмомикозы разделяют на:
Патогенные грибы - возбудители экзогенных пневмомикозов (Aspergillus, Mucor, Blastomyces, Coccidioides, Histoplasma) могут присутствовать в почве, воде, производственной и бытовой пыли, во влажных помещениях, на гнилой древесине, недостаточно обработанном медицинском оборудовании и проникать в легкие человека преимущественно при вдыхании воздуха, загрязненного мицелием и спорами (воздушно-капельно-пылевым путем). Возбудитель пневмоцистной пневмонии передается только от человека к человеку. Сначала формируется временное, а затем - стойкое носительство с развитием грибковой пневмонии.
Грибковая пневмония может проявляться как микст-инфекция (смешанная, вызванная различными типами грибов - дрожжеподобными и плесневыми) и сочетанная, обусловленная грибами и другими микроорганизмами (например, аспергиллами с грамнегативной микрофлорой). Торакальный актиномикоз является псевдомикозом, так как вызывается анаэробными бактериями рода Actinomyces и сопровождается образованием инфекционной гранулемы (актиномикомы) с прорастанием в окружающие ткани и появлением гнойных свищей.
Возбудители эндогенной грибковой пневмонии попадают в легкие из других очагов микоза, имеющихся в организме: путем аспирации (например, при кандидозе полости рта, трахеи, бронхов) или гематогенным и лимфогенным путем - при распространенном поражении. Грибы кандида, присутствующие в составе микробиоценоза кожи и слизистых дыхательного тракта, при определенных условиях активизируются, приобретают патогенность и вызывают пневмомикоз.
Факторы риска
Грибковая пневмония часто развивается у пациентов со злокачественными заболеваниями крови (острый лейкоз) и лимфопролиферативными опухолями, получающих длительную лучевую или системную химиотерапию (иммунодепресантами и глюкокортикоидами); как осложнение ВИЧ-инфекции и СПИДа, сахарного диабета, апластической анемии, туберкулеза, состояния после трансплантации органов, искусственной вентиляции легких. Возникновению грибковой пневмонии способствует нарушение нормальной микрофлоры (дисбактериоз респираторного тракта), связанное с продолжительным и нерациональным приемом антибиотиков. Среди основных факторов развития и реактивации грибковой пневмонии у 50% больных выступает агранулоцитоз. Грибковая пневмония часто сочетается с микозным поражением слизистых оболочек, кожи, ногтей.
Патогенез
Реализации патогенного потенциала грибов всегда способствует угнетение факторов специфической и неспецифической общей и местной резистентности организма с развитием иммунодефицитного состояния. Заселяя просветы бронхиол и альвеол, грибы начинают активно размножаться, вызывая миграцию лейкоцитов и скопление серозной жидкости. В период обострения микозные повреждения ткани легких характеризуются наличием зон распада в виде полостей, иногда - образованием абсцессов, в которых обнаруживаются скопления гриба; в период выздоровления на их месте появляются участки плотной грануляционной ткани.
Симптомы грибковой пневмонии
В большинстве случаев начало пневмомикоза характеризуется нечеткой клинической картиной, с незначительными, иногда атипичными симптомами и проявляется эпизодами повышения температуры, слабостью, сухим кашлем, миалгией. Интоксикация связана с действием микотоксинов. Появление гнойной мокроты при разрыве абсцессов, образованных скоплением грибов в ткани легких, делает картину заболевания более выраженной.
Массивное однократное заражение экзогенными грибками провоцирует острый процесс, в случае многократно повторяющихся поступлений небольших доз патогенов и у ослабленных пациентов пневмомикоз принимает хроническое течение с рецидивами. Избыточное развитие соединительной ткани приводит к появлению одышки, прожилок крови в мокроте (иногда, профузным легочным кровотечениям). Микст-формы пневмомикозов протекают тяжелее, чем моноинфекция. Грибковая пневмония может осложниться экссудативным или фибринозным плевритом при вскрытии абсцесса в плевральную полость или прорастании грибка в плевру; развитием дыхательной (в т. ч., острой) и сердечно-сосудистой недостаточности. Течение пневмомикозов различной этиологии имеет определенные клинические особенности.
Аспергиллез легких
Аспергиллезные пневмонии могут быть острыми и хроническими, включать тяжелые молниеносные формы. Для них часто характерны признаки абсцедирующей пневмонии, возможное вовлечение плевры и лимфоузлов, а также образование специфических нагнаивающихся гранулем. Беспокоят почти постоянные приступы кашля с обильными слизисто-гнойными или гнойными выделениями (в виде плотных комочков) и примесью крови, боли и тяжесть в груди, одышка, переходящая в удушье, длительный субфебрилитет с температурными скачками, ознобами и ночным потоотделением. Наблюдается тяжелое общее состояние, сильная слабость, анорексия и кахексия.
Возможно прорастание грибами стенок сосудов с формированием тромбозов и геморрагических инфарктов. Хроническая аспергиллезная пневмония вторично наслаивается на различные поражения легких, проявляясь симптомами основного заболевания и грибкового поражения. Локализованная форма - аспергиллома легких возникает при инфицировании грибами уже имеющейся полости в ткани легких и часто протекает бессимптомно. При грибковой пневмонии абсцедирование может стать хроническим процессом.
Кандидоз легких
Первичная кандидозная пневмония может сопровождаться признаками интоксикации при нормальной температуре тела, иногда может начинаться остро с лихорадки, одышки, кашля со скудной мокротой, охриплости голоса, боли в груди, повышенной потливости. Типично двустороннее поражение, у детей раннего возраста возможно рецидивирующее течение с переходом в хронический гранулематозный генерализованный кандидоз. Вторичная кандидозная пневмония протекает тяжело с удушающим кашлем, гнойно-кровянистой мокротой, рвотой, дегидратацией. Нередко она приобретает характер прогрессирующего деструктивного процесса с образованием в легких крупных тонкостенных кист, развитием ателектаза легкого, милиарной диссеминации или септического состояния.
Пневмоцистоз
Пневмоцистная пневмония протекает как моно- или микст-инфекция, часто асимптомно или со стертой клиникой, может латентно протекать уже в первые годы жизни. Нередка вероятность последующего реинфицирования. Характеризуется постепенным нарастанием гипоксемии и дыхательных расстройств, длительным непродуктивным кашлем на фоне скудных физикальных и рентгенографических данных. У недоношенных детей отмечается манифестная форма пневмоцистной пневмонии с длительной, резко выраженной дыхательной недостаточностью. Возникая первой из оппортунистических инфекций у иммунокомпрометированных больных, пневмоцистоз имеет достаточно длительное вялое течение, осложняясь спонтанным пневмотораксом, присоединением суперинфекции. В отсутствие специфического лечения возможен летальный исход.
Диагностика
Определение генеза грибковой пневмонии часто затруднено из-за своеобразия микотической инфекции, поэтому необходим комплексный подход с разбором анамнеза, клинических симптомов, результатов рентгенографии легких, микроскопического, культурального, серологического (ИФА, РСК, РПГА, РНИФ) и молекулярно - генетического (ПЦР) исследования мокроты, крови, лаважной и плевральной жидкости, аспирата легочной ткани.
При аспергиллезе выявляется картина абсцедирующей пневмонии и явления гнойного бронхита. При наличии данных за предшествующее лечение антибиотиками и отсутствие ответа на терапию можно изначально заподозрить грибковую пневмонию. Присутствие очага микоза в виде молочницы полости рта дает повод думать о кандидозной природе заболевания. Необходимо учитывать, что при наличии иммунодефицитного состояния риск развития грибковой пневмонии намного выше.
При грибковой пневмонии терапевт или пульмонолог аускультирует в легких множественные сначала сухие, затем влажные разнокалиберные хрипы. В крови больного выявляется эозинофильный лейкоцитоз со сдвигом влево и повышение СОЭ. На рентгенограмме определяется усиление легочного рисунка, инфильтративные тени незначительных или огромных размеров с неровными краями; при появлении абсцессов видны хаотично расположенные полости с уровнем жидкости.
При пневмомикозах споры и мицелий грибов можно выявить при микроскопии мазка мокроты и бронхоальвеолярной жидкости. Бакпосев мокроты важно провести до начала лечения, что повышает вероятность выделения и идентификации возбудителя грибковой пневмонии и проведения его количественной оценки. Прямое обнаружение ДНК и установление штамма грибов в мокроте методом ПЦР должно соотноситься с наличием клинических проявлений заболевания. Один факт колонизации грибами дыхательного тракта в отсутствие симптомов инфекционного поражения для постановки диагноза грибковой пневмонии недостаточен. ПЦР исследование крови на грибы позволяет дифференцировать диссеминированную и локальную формы микоза.
Материал из дистальных отделов бронхов получают методом бронхоскопии с бронхоальвеолярным лаважем. В смыве возбудитель пневмоцистной пневмонии выявляется в 89-98% случаев. При необходимости показано получение аспирата (биоптата) методом пункционной или открытой биопсии легкого. ПЦР при грибковой пневмонии информативна и после начала антибиотикотерапии и позволяет провести одновременное определение ДНК разных возбудителей при микст-инфекции. При серодиагностике показателен анализ динамики выявления антител к потенциальным возбудителям грибковой пневмонии.
Лечение грибковой пневмонии
Поскольку при грибковой пневмонии применение антибиотиков приведет к усугублению течения заболевания, требуется назначение или специфических антимикотических препаратов (итраконазола, амфотерицина В, флуконазола, кетоконазола и др.), или ингибиторов фолиевой кислоты и клиндамицина при пневмоцистозе.
При грибковой пневмонии для устранения дефицита иммунитета применяются иммунокорригирующие препараты, поливитамины, детоксикационные и стимулирующие средства, рациональный режим и питание. В случае грибково-бактериальной природы пневмонии показан короткий курс антибиотиков, а при сочетании с аллергической симптоматикой применяют десенсибилизирующие препараты, кортикостероиды. При осложнении пневмомикоза экссудативным плевритом выполняют плевральную пункцию и промывание плевральной полости.
Прогноз и профилактика
Точная оперативная диагностика и терапия делают прогноз грибковой пневмонии обнадеживающим. В случае несвоевременного и неадекватного лечении высок риск тяжелых осложнений. Грибковая пневмония является одной из самых частых причин летального исхода больных СПИДом. При благоприятном прогнозе первичного аспергиллеза и кандидоза может сохраняться склонность к воспалительным заболеваниям респираторного тракта и грибковая сенсибилизация; а легочные осложнения (пневмосклероз) могут приводить к инвалидности больного. При вторичной грибковой пневмонии прогноз зависит от тяжести основного фонового заболевания.
Предупреждение грибковой пневмонии включает профилактику на производстве и в сельском хозяйстве (герметизацию технологических процессов, связанных с выделением пыли; применение респираторов, микробиологический контроль окружающей среды); в медицине и пищевой промышленности (соблюдение правил дезинфекции и стерилизации). Индивидуальная профилактика подразумевает укрепление иммунитета, устранение дисбактериоза и хронической патологии, проведение рациональной антибиотикотерапии.
3. Внебольничная пневмония у взрослых: практическое пособие по диагностике, лечению и профилактике/ Чучалин А.Г., Синопальников А.И. и др. - 2010.
Кандидоз легких
Кандидоз легких - инвазивное поражение легочной ткани дрожжеподобными грибами рода Candida, проникающими в респираторный тракт преимущественно из эндогенных очагов микоза. Грибковая инфекция проявляется сильным кашлем со скудной мокротой, кровохарканьем, субфебрилитетом, одышкой, болью в груди, слабостью, развитием бронхоспазма, плеврита, дыхательной недостаточности. Для подтверждения диагноза показано проведение рентгенографии органов грудной клетки, микроскопии мокроты, культурального и серологического исследований. Терапия включает антимикотические препараты, адаптогены, витамины, иммуномодуляторы, бронхо- и муколитики, антигистаминные средства.
Кандидоз (кандидамикоз) легких - дрожжевая грибковая инфекция, развивающаяся в легочной паренхиме на фоне иммунной недостаточности. В пульмонологии кандидозное поражение легких встречается в различных клинических вариантах: в форме кандидозной пневмонии (очаговой, лобарной, хронической); милиарного кандидоза легких; посткандидозного пневмофиброза; кавернизирующих видов кандидоза и вторичной кандида-инфекции туберкулезных каверн; микомы легкого, вызванной грибами Candida. Изолированная форма кандидоза легких развивается реже, чем проявление генерализованной формы и кандидасепсиса. Кандидоз легких встречается у пациентов всех возрастных групп - от детей периода новорожденности до пожилых людей.
Причины кандидоза легких
Возбудителем кандидоза легких выступают дрожжеподобные грибки рода Candida (чаще C. albicans) - условно-патогенные микроорганизмы, в норме присутствующие на поверхности слизистых оболочек пищеварительного тракта, половых органов, полости рта, верхних дыхательных путей. Кандиданосительство обнаруживается у 30-80% практически здоровых людей. Экзогенное поражение легких кандидами возможно, но не является этиологически значимым. В большинстве случаев кандидоза легких доминирующая роль принадлежит эндогенному источнику инфекции. В легочную ткань грибы Candida проникают путем аспирации секрета ротовой полости, трахеи, бронхов или содержимого желудка (первично), а также за счет лимфогематогенного распространения из очагов кандидоза в ЖКТ, половых органах (вторично).
Обретение патогенности и колонизация кандидами тканей и органов происходит в условиях ослабления общей и местной резистентности организма. Благоприятным фоном для развития кандидоза легких являются иммунокомпрометированные состояния (ВИЧ-инфекция, СПИД, нейтропения), эндокринные нарушения (сахарный диабет, надпочечниковая недостаточность, гипопаратиреоз), тяжелая соматическая или инфекционно-воспалительная легочная патология (бактериальные пневмонии, туберкулез), онкологические процессы (рак легких), болезни крови. Иммуносупрессии способствуют продолжительное лечение антибиотиками, системными кортикостероидами, иммунодепрессантами, цитостатиками, лучевая и химиотерапия, хроническая никотиновая и алкогольная интоксикация.
При кандидозе легких развиваются экссудативно-некротические (на ранней стадии) и туберкулоидно-гранулематозные (на поздней стадии) тканевые реакции. Вначале в легочной ткани возникают небольшие воспалительные очажки с некрозом в центре, окруженные внутриальвеолярным выпотом фибрина и геморрагиями. Наибольшее количество очагов воспаления организуется в средних и нижних отделах легких. Могут поражаться просветы мелких бронхов, в них появляются нити гриба и обильный лейкоцитарный экссудат. Легко прорастая стенки бронхов, кандида вызывают их некроз. Исходом острого кандидоза легких может стать нагноение очажков с формированием гнойных полостей, изъязвлением и образованием каверн; развитием последующей продуктивной тканевой реакции, грануляций и фиброза легких. Особенность кандидозной гранулемы состоит в отсутствии казеоза и наличии фрагментов грибов и клеточного детрита в ее центре и лимфоцитов по периферии.
Симптомы кандидоза легких
Кандидоз легких может протекать остро, с выраженными симптомами (в т.ч., в виде прогрессирующего деструктивного процесса или тяжелого септического состояния), но чаще характеризуется вялым затяжным течением и периодически возникающими обострениями.
Проявления кандидозной пневмонии схожи с симптомами бактериального или вирусного воспаления легких и характеризуются сильным кашлем, сухим или с незначительным выделением мокроты; нередко - кровохарканьем, субфебрильной или фебрильной температурой, одышкой, болью в груди. Больные предъявляют жалобы на общее тяжелое состояние - недомогание, слабость, обильное ночное потоотделение и потерю аппетита. Грибковая пневмония часто осложняется развитием плеврита с образованием большого количества бесцветного или слегка окрашенного кровью выпота. При милиарной форме кандидоза легких мучительный кашель со скудной слизисто-кровянистой мокротой сочетается с бронхоспастическими приступами на выдохе. При развитии кандидоза легких на фоне антибактериального лечения первичного заболевания (бактериальной пневмонии, туберкулеза и др.) после небольшого периода клинического улучшения состояние больного вновь ухудшается из-за активации микотического воспалительного процесса в легких.
Кандидозная микома легкого протекает бессимптомно. Возможно развитие латентных, «немых» форм кандидоза легких у пациентов с тяжелой патологией (заболеваниями крови и др.), а также находящихся на ИВЛ. Стертость течения кандидоза легких маскирует его под другие хронические воспалительные патологии дыхательных путей. Тяжелое течение кандидоза легких наблюдается у детей раннего возраста - у них часто развиваются острые или септические формы с высокой степенью летальности. У недоношенных отмечаются случаи интерстициальной пневмонии, связанные с инвазией грибов рода Candida.
У больных кандидозом легких нередко отмечаются признаки диссеминированного грибкового процесса с поражением кожных покровов, подкожной клетчатки, брюшной полости, глаз, почек и др. При тяжелом течении кандидамикоза легких наблюдается развитие выраженной дыхательной недостаточности. Летальность при кандидозной пневмонии может составлять от 30 до 70% в зависимости от категории больных.
Диагностика кандидоза легких
Диагностика кандидоза легких включает проведение рентгенографии и КТ легких, бронхоскопии, микроскопии мокроты, культурального и серологического исследований бронхоскопического материала и крови. Проявления кандидоза легких не патогномоничны, но могут сопровождаться кандидозным поражением других органов, анамнестическими сведениями о предшествующей кандида-инфекции. Аускультативная картина часто скудная, без ясных симптомов, иногда выслушиваются сухие и влажные мелкопузырчатые хрипы.
Рентгенологически может выявляться усиление легочного рисунка в прикорневых зонах на ранней стадии, позднее - множественные мелкие инфильтраты с нечеткими контурами в нижних и средних долях. Определяются реактивные изменения в легких, лимфатической системе корня и средостения; плевральный выпот, участки гнойного расплавления (абсцессы). Характерно затяжное течение и относительно быстрое изменение объективных данных со стороны легких и плевры (появление и исчезновение тонкостенных полостей, выпота), симптоматики (от хронического бронхита и пневмонии - до плеврита и абсцесса), а также результатов функциональных тестов.
При остром кандидозе легких почкующиеся клетки и нити псевдомицелия кандид обнаруживаются в секрете бронхов, препаратах легочной ткани (в пределах клеточного инфильтрата, внутри пораженных альвеол, в межальвеолярных перегородках). В крови имеется значительный лейкоцитоз, лимфопения, эозинофилия, резкое повышение СОЭ. Посевы секрета бронхов на специфические питательные среды обнаруживают обильное его обсеменение грибами рода Candida (более 1000 колоний в 1 мл). Подтверждает кандидозную природу заболевания выделение культуры кандид из крови (фунгемия).
Положительные результаты серологической диагностики (РНГА, РСК, РНИФ, РП) и внутрикожных проб с аллергенами кандид не дают четких различий между кандиданосителем, больным кандидозом легких и другими вариантами кандидоза. Важным признаком кандидоза легких является усиление клинических проявлений (возврат устойчивой лихорадки) при назначении антибиотикотерапии. Дифференциальную диагностику инвазивного кандидоза легких проводят с бронхитом и бронхопневмонией другой этиологии, туберкулезом легких, поверхностным кандидозом трахеи и бронхов, другими грибковыми поражениями легких, саркоидозом, лимфогранулематозом и раком легких.
Лечение и прогноз кандидоза легких
При кандидозе легких в качестве базисного лечения назначается этиотропная терапия антимикотическими препаратами - системно и в виде ингаляций. Рекомендован пероральный прием и внутривенное введение флуконазола, при низкой чувствительности к нему кандид возможна замена на каспофунгин, итраконазол. При наличии нейтропении, сочетании кандидоза легких с другими висцеральными формами микоза, диссеминированном процессе или кандидасепсисе возникает необходимость во внутривенном введении и ингаляциях амфотерицина В или микогептина. Эффективно проведение ингаляций с натриевой солью леворина и нистатина, миконазолом, натамицином под прикрытием бронхолитиков и местных анестетиков для профилактики бронхоспазма и побочных реакций. Длительность антифунгальной терапии составляет не менее 2-х недель после исчезновения симптомов кандидоза легких. При тяжелых формах заболевания необходимы повышенные дозы и повторные курсы антимикотиков.
Во избежание рецидивов кандидоза легких показано устранение фоновой первичной патологии за счет коррекции иммунодефицитного состояния, эндокринопатии, гиповитаминоза и др. Используются общеукрепляющие препараты, адаптогены, витаминно-минеральные комплексы, иммуномодуляторы, отхаркивающие, антигистаминные и дезинтоксикационные средства. Дополнительно назначаются местные разогревающие мази, массаж. При выявлении смешанной природы кандида-инфекции к основной терапии добавляются антибиотики.
При рациональной терапии изолированных легких форм кандидоза легких прогноз благоприятный; при генерализованных, септических формах микоза и запоздалом лечении возможен летальный исход. Тяжелое хроническое течение кандидоза легких приводит к инвалидизации больного. Мерами профилактики кандидоза легких являются: своевременное лечение хронических инфекционно-воспалительных заболеваний легких, эндокринных нарушений, прием антимикотиков во время антибактериальной и гормональной терапии, здоровый образ жизни и умеренная физическая активность.
1. Кандидоз: этиология, клиника, диагностика, лечение: Монография/ Сахарук Н.А., Козловская А.А. - 2010.
2. Ведение пациентов с кандидозом: обзор новых рекомендаций IDSA/ Веселов А.В.// Клиническая микробиология и антимикробная химиотерапия. - 2004 - Т. 6, №2.
Гранулема в легких при микозах. Диагностика аспергиллемы и кандидоза.
Кафедра патологической анатомии ГБОУ "Первый МГМУ им. И.М. Сеченова"
Научный центр акушерства, гинекологии и перинатологии им. акад. В.И. Кулакова, Москва
Иммунное гранулематозное воспаление как приспособительная реакция организма
Журнал: Архив патологии. 2014;76(4): 39‑44
Пауков В.С., Коган Е.А. Иммунное гранулематозное воспаление как приспособительная реакция организма. Архив патологии. 2014;76(4):39‑44.
Paukov VS, Kogan EA. Immune granulomatous inflammation as the body's adaptive response. Arkhiv Patologii. 2014;76(4):39‑44. (In Russ.).
На основании собственных исследований и анализа литературы авторы выдвигают гипотезу о приспособительном характере хронического иммунного гранулематозного воспаления, возникающего при инфекционных заболеваниях, характеризующихся развитием нестерильного иммунитета. Предлагаемая гипотеза позволяет утверждать, что не всякое хроническое воспаление является выражением несостоятельности защитных сил организма при взаимодействии с повреждающим фактором. На примере туберкулеза и лепры показана несостоятельность ряда существующих представлений о пато- и морфогенезе эпителиоидно-клеточной и лепрозной гранулем. Авторы считают, что при туберкулезе резидентные макрофаги сохраняют функцию уничтожения микобактерий, благодаря чему иммунная система получает информацию об антигенных детерминантах возбудителей. Израсходовав все гидролазы на уничтожение микобактерий, макрофаги не образуют новые лизосомы из-за способности возбудителей препятствовать их образованию. В результате макрофаг, лишенный лизосом, трансформируется в эпителиоидную клетку, которая, сохраняя функцию фагоцитоза, теряет способность убивать возбудителей. Именно в ней протекает эндоцитобиоз. Периодически эти микроорганизмы разрушают эпителиоидную клетку и выпадают в зону творожистого некроза гранулемы. Часть из них вновь фагоцитирует эпителиоидные клетки для поддержания нестерильного иммунитета, а остальные уничтожаются воспалительными макрофагами. Принципиально аналогично протекает пато- и морфогенез лепрозной гранулемы, особенно ее туберкулоидного типа. Таким образом поддерживается нестерильный иммунитет, характерный для туберкулеза, лепры и, возможно, для других микобактериозов.
Настоящая работа является анализом как собственных многолетних разнообразных исследований воспаления, так и известных фактов и представлений о нем на основе закономерностей общей патологии в соответствии с взглядами И.В. Давыдовского [1, 2] о причинности в медицине и А.И. Струкова [5] о единстве структуры и функции.
Воспаление определяют как реакцию организма, направленную на уничтожение повреждающего фактора, его элиминацию и репарацию возникших повреждений. Сейчас уже не возникают дискуссии по поводу приспособительного характера острого воспаления. Вместе с тем хроническое воспаление рассматривается как выражение несостоятельности защитных сил организма при взаимодействии с повреждающим фактором, в том числе и с инфекционным возбудителем, и поэтому оно не может иметь адаптивного значения [2, 3, 7, 17].
Причины такой несостоятельности защитных систем могут быть разными - от биологических особенностей возбудителя до иммунодефицита, развившегося у больного [3, 8, 14, 15]. Поэтому хроническое воспаление не способно выполнить функцию, делающую воспаление как общебиологическую реакцию приспособительным процессом, так как не может уничтожить патогенный фактор или не способно воспрепятствовать перманентному возникновению рецидивов воспалительной реакции и обеспечить полноценную регенерацию поврежденных тканей. По мере увеличения длительности хронического воспаления нередко развивается вторичный иммунный дефицит, что еще больше снижает способность организма уничтожать патогенный фактор, а, следовательно, и завершить воспалительный процесс [4]. При этом возникает каскад других патологических реакций в разных органах, развивается порочный круг и хроническое воспаление становится типично патологическим процессом [3].
Эти особенности хронического воспаления относятся в целом и к хроническому гранулематозному воспалению, особенно к таким гранулематозным болезням, как пневмокониозы, саркоидоз, и некоторым другим, характеризующимся образованием неиммунных гранулем. Вместе с тем хроническое иммунное гранулематозное воспаление не всегда подчиняется тем особенностям, которые характеризуют другие виды хронического воспаления. При этом следует отметить, что большинство авторов, описывая структуру различных гранулем, не указывают на их биологическое значение. Поэтому четкого, исчерпывающего определения гранулематозного воспаления и его биологического значения нет. А.И. Струков и О.Я. Кауфман [6] - немногие авторы, которые косвенно определяют функции гранулем, основываясь на их причине. Они считают, что «гранулематозное воспаление - это локальное хроническое воспаление, вызванное нерастворимыми или медленно разрушающимися (персистирующими) раздражителями и сопровождающееся очаговыми скоплениями макрофагов или макрофагов и эпителиоидных клеток с наличием гигантских многоядерных клеток, лимфоцитов, гранулоцитов или без них». Однако такое определение не исключает предположения о том, что гранулема - это не просто результат невозможности уничтожения какого-либо нерастворяющегося фактора, а образование, которое может быть почему-то нужно организму. Тем более что еще И.В. Давыдовский [2] считал, что все реакции организма целесообразны, и с этим трудно не согласиться. Действительно, весь опыт медицины свидетельствует о том, что все реакции организма исключительно целесообразны и, следовательно, повторяющиеся миллионы раз явления имеют смысл, который не всегда может быть ясен специалистам.
Это в первую очередь относится к хроническому гранулематозному воспалению, которое характерно для инфекций, сопровождающихся нестерильным иммунитетом, таким как туберкулез, лепра и некоторые другие. Пока что никто убедительно не объяснил, зачем организму нужен нестерильный иммунитет, но именно такой иммунитет характерен для хронических иммунных гранулем, в первую очередь для туберкулеза, лепры, особенно для ее туберкулоидного типа, возможно, и для некоторых других микобактериозов. Однако, несмотря на множество исследований этих болезней, особенно туберкулеза и лепры, в их патогенезе остается много неясного. Поэтому специалисты в своей практике пользуются сложившимися представлениями, часто не имеющими убедительных обоснований или объяснений.
Так, принято считать, что в формировании туберкулезной эпителиоидно-клеточной гранулемы и гранулемы при туберкулоидном типе лепры ведущую роль играет тот факт, что резидентные макрофаги теряют способность уничтожать микобактерии и поэтому в них происходит лишь эндоцитобиоз [7, 16]. Полагают, что это связано с особенностями бактерий, которые могут блокировать функцию лизосом [10]. Однако при анализе этого постулата возникает ряд вопросов.
Если макрофаги не способны уничтожать микобактерии туберкулеза, то каким образом и откуда иммунная система получает информацию об их антигенных детерминантах? Без такой информации невозможно формирование клеточного иммунитета по типу гиперчувствительности замедленного типа. Вместе с тем если макрофаги не уничтожают микобактерии, то возбудители должны размножаться внутри этих фагоцитов и в таком случае при туберкулезе и лепре количество микобактерий должно прогрессивно и быстро увеличиваться, что не может не сопровождаться нарастающей тяжелой интоксикацией с яркими клиническими и морфологическими проявлениями. Однако интоксикация развивается на более поздних этапах болезни и связана в основном с нарастающим казеозным некрозом и генерализацией процесса. Кроме того, при такой ситуации количество макрофагов должно быстро увеличиваться, так как их фагоцитарная функция сохраняется, а масса микобактерий также быстро нарастает. В этом случае гранулема достигала бы очень больших размеров и имела черты макрофагальной гранулемы, либо макрофаги не смогли бы локализоваться лишь в области гранулемы и распространялись с кровотоком, обусловливая генерализацию процесса. Если в макрофагах происходит эндоцитобиоз, то в чем смысл их трансформации в эпителиоидные клетки, которые практически не содержат лизосом, не образуют фагоцитарную вакуоль и, следовательно, не могут уничтожать микобактерии туберкулеза?
На основании собственных электронно-микроскопических и иммуногистохимических исследований туберкулезных гранулем из операционного материала, полученного в НИИ фтизиопульмонологии Минздрава РФ, а также на основании анализа литературы по иммунологии и морфологии туберкулеза и лепры у нас сложилась гипотеза, обосновывающая биологическую целесообразность хронического иммунного гранулематозного воспаления. Нам представляется, что в понимании патогенеза иммунных гранулем ключевым словосочетанием является «нестерильный иммунитет». Это означает, что иммунитет при инфицировании развивается, но он сохраняется только при наличии возбудителей в организме, однако при этом они не должны распространяться по крови или по лимфе. Следовательно, назначение иммунной гранулемы - локализовать возбудителей и сохранить их определенное количество для поддержания иммунитета.
С этих позиций многое становится понятным в пато- и морфогенезе туберкулеза и лепры, если учесть, что эти болезни также характеризуются нестерильным иммунитетом, т.е. для поддержания иммунитета как основного фактора защиты организма необходимо сохранение микобактерий. Наилучшим механизмом такой защиты является образование иммунной гранулемы. Однако для этого иммунная система вначале должна получить информацию об антигенных детерминантах возбудителей, для чего необходимы резидентные макрофаги с их обычной фагоцитарной функцией и большим количеством лизосом в цитоплазме. Без уничтожения возбудителя антиген не может быть выявлен.
При первичном инфицировании гранулемы нет, но есть первичный аффект, представляющий собой очаг некроза, вызванного микобактериями, и перифокального серозного воспаления. При этом закономерно в зоне воспаления появляются резидентные, а затем воспалительные макрофаги. Они содержат большое количество лизосом, фагоцитируют микобактерии, образуют фагоцитарную вакуоль и уничтожают их с помощью гидролаз лизосом, выявляя при этом антигенные детерминанты возбудителя, передают информацию о них в иммунную систему, которая начинает нарабатывать CD4 + T-лимфоциты подтипа T h1 (рис. 1, а б). Рисунок 1. Макрофаг из области первичного туберкулезного аффекта. а — цитоплазма макрофага содержит множество микобактерий туберкулеза и лизосом (стрелки). ×18 000. Рисунок 1. Макрофаг из области первичного туберкулезного аффекта. б — фагоцитарная вакуоль, в которой расположена микобактерия туберкулеза (стрелка). ×42 000. Эти лимфоциты в свою очередь стимулируют макрофаги, а также дендритные клетки к продукции провоспалительных цитокинов, усиливают экспрессию костимуляторных молекул, активные метаболиты кислорода, производные азота и др. [9, 12]. Однако для передачи информации в иммунную систему и ее первичного ответа требуется около 3 нед, но в начале инфицирования должна формироваться нормергическая ответная реакция, которая не может остановить размножение возбудителей. Возможно, это связано с недостаточным количеством резидентных макрофагов в зоне первичного аффекта. В таком случае макрофаги будут фагоцитировать микобактерий больше, чем могут уничтожить с помощью гидролаз своих лизосом.
Мы проверили в эксперименте такую возможность, создав условия для фагоцитоза макрофагами туши, после чего вводили в ту же ткань взвесь стафилококков [4, 6]. Было установлено, что макрофаги фагоцитируют тушь и образуют фагоцитарные вакуоли. Если при этом остается часть лизосом, то затем при инфицировании ткани стафилококками макрофаги их фагоцитируют и уничтожают. Однако если количество фагоцитированных капель туши столь велико, что все лизосомы расходуются на образование фаголизосом, то поглощенные затем микроорганизмы не уничтожаются лизосомами и вокруг них не образуются фагоцитарные вакуоли. По существу в макрофагах происходит эндоцитобиоз. Таким образом, эндоцитобиоз может развиваться в макрофагах при фагоцитозе ими количества возбудителей, превышающего потенциальные возможности этих клеток.
Не исключено, что при первичном инфицировании туберкулезом и лепрой происходит то же самое и переполненные микобактериями, но не имеющие возможности их уничтожить макрофаги, с одной стороны, служат источником сенсибилизации организма, а с другой - могут способствовать прогрессированию первичного аффекта или лепроматоидного очага и образованию отсевов в различных органах.

Вместе с тем микобактерии обладают способностью изменять рН цитоплазмы и «арестовывать» эндосомы макрофага [16]. Это означает, что основная масса лизосом будет израсходована на разрушение микобактерий, а новые не образуются. Таким образом, макрофаг практически лишается лизосом и трансформируется в эпителиоидную клетку, которая сохраняет функцию фагоцитоза, но не способна образовывать фагоцитарную вакуоль. В ней почти нет лизосом (рис. 2), Рисунок 2. Эпителиоидная клетка, в цитоплазме которой микобактерии туберкулеза и лишь единичные лизосомы, не образующие фагоцитарных вакуолей. × 15 000. и она становится резервуаром для сохранения микобактерий, которых еще и защищает своей цитомембраной от действия различных провоспалительных интерлейкинов и других цитокинов, обеспечивая нестерильный иммунитет. Это происходит в конце 2-й недели заболевания, когда появляется гиперчувствительность замедленного типа, однако казеозный некроз формируется позже [15].
В эпителиоидной клетке микобактерии находятся в дормантном состоянии, т.е. в состоянии своеобразного анабиоза, на что указывают и липидные скопления, состоящие из жирных кислот с длинными цепями, замедляющие их рост [16]. При этом они теряют часть генов и, следовательно, в них меняется генетический код и изменяются какие-то свойства, но они живы, в них протекает метаболизм [19, 20]. Не исключено, что метаболиты они получают за счет распада цитоплазмы эпителиоидной клетки и в конце концов разрушают ее, выпадая в окружающую ткань и вызывая в ней творожистый некроз. С таким механизмом образования казеоза согласны не все микробиологи. Разумеется, нельзя исключить развитие некроза и в результате действия Т-лимфоцитов, провоспалительных интерлейкинов и др., однако примечательно, что такой некроз возникает именно в туберкулезной гранулеме. Вокруг очага казеозного некроза, как известно, располагаются эпителиоидные клетки и макрофаги, которые вновь фагоцитируют микобактерии. При этом коль скоро антигенные детерминанты уже известны иммунной системе, новые возбудители ей не нужны, и они уничтожаются макрофагами, имеющимися в эпителиоидно-клеточной или лепроидной гранулеме. Необходимое количество микобактерий, дав новый стимул иммунной системе, вновь оказывается в эпителиоидных клетках. Тем самым поддерживается нестерильный иммунитет. Если часть живых микобактерий ускользнет из очага казеозного некроза, на их пути окажутся Т h1 -лимфоциты, воспалительные макрофаги и гигантские клетки Пирогова-Лангханса, которые фагоцитируют их и, возможно, дублируют функции эпителиоидных клеток. Вместе с тем активированные Т h1 -лимфоциты в качестве клеток памяти могут сохраняться годами.
Принципиально аналогичная ситуация наблюдается и при лепре, особенно при ее туберкулоидном типе, который также характеризуется образованием иммунной гранулемы, содержащей специфические пенистые макрофаги - клетки Вирхова, лимфоциты и эпителиоидные клетки. Различают два основных типа лепрозных гранулем - лепроматозный и туберкулоидный, между которыми несколько промежуточных типов. Можно провести аналогию между первичным аффектом при туберкулезе и лепроматозным типом лепры, с которого обычно начинается заболевание, когда много лепрозных клеток, т.е. макрофагов, при этом в них также скапливаются микобактерии, что расценивается как эндоцитобиоз, и иммунный ответ выражен отчетливо меньше, чем при туберкулоидном типе лепры. Туберкулоидный тип морфологически весьма схож с эпителиоидно-клеточной туберкулезной гранулемой. Эпителиоидные клетки не содержат лизосом, в них много микобактерий, находящихся в дормантном состоянии, но нет фагоцитарных вакуолей (рис. 3). Рисунок 3. Лепрозная гранулема, туберкулоидный тип. Эпителиоидная клетка содержит микобактерии лепры, но в ее цитоплазме нет лизосом. Сами микобактерии расположены в липидных каплях, образованных жирными кислотами (рис. 4), Рисунок 4. Лепрозная гранулема, туберкулоидный тип. В эпителиоидной клетке микобактерии расположены в липидных каплях, образованных жирными кислотами. которые микобактерии, находясь в дормантном состоянии, используют для своей жизнедеятельности [18]. Подобные же липидные капли в эпителиоидных клетках и в клетках Пирогова-Лангханса обнаруживаются и при туберкулезе.
Разумеется, лепра - это не туберкулез и нельзя искать в этих иммунных гранулемах полной аналогии, хотя обе болезни имеют много переходных форм, лишь часть имеет четкую форму гранулемы. Однако сами иммунные гранулемы имеют принципиальное сходство - и структурное, и функциональное.
Заключение
Таким образом, предложенная гипотеза ставит под сомнение ортодоксальный постулат о том, что хроническое воспаление всегда есть проявление неспособности организма обеспечить свою защиту от повреждающего фактора и поэтому является сугубо патологическим процессом. Она позволяет некоторые виды хронического воспаления, по крайней мере хроническое иммунное гранулематозное, рассматривать как приспособительный процесс, не только обеспечивающий защиту организма от генерализации инфекции, во всяком случае до тех пор, пока сохраняется достаточно высокая функция его иммунной системы, но и предохраняющий его от повторного заражения определенными микобактериями.
О том, что в организме здоровых людей, но перенесших инфицирование или заболевание туберкулезом, сохраняются микобактерии в очагах Гона, Симона и др., свидетельствует наличие у них специфических аллергических реакций, выявляемых известными пробами, а также то, что при ослаблении иммунитета у инфицированных больных в результате разнообразных дополнительных воздействий на иммунную систему развивается обострение туберкулеза и при этом гранулемы теряют черты эпителиоидно-клеточных. Мы понимаем, что эта гипотеза достаточно дискуссионна, может вызвать ряд возражений и нуждается в каких-то уточнениях, но полагаем, что она может заставить отказаться от сложившихся шаблонов и быть стимулом для попытки иного осмысления не вполне понятных механизмов патогенеза многих заболеваний и их осложнений.
На этом примере хотелось бы подчеркнуть, что если мы порой не можем что-то понять и объяснить какой-то феномен, повторяющийся у всех больных на протяжении многих сотен лет, не надо искать дефект в защите организма в виде нарушения функций определенных клеток - макрофагов, лейкоцитов, лимфоцитов и др. Если исходить прежде всего из целесообразности всех реакций организма и общих закономерностей развития патологических процессов, то часто за кажущимся дефектом защиты организма скрывается своеобразное приспособление. Понимание этого представляется нам принципиально важным для раскрытия патогенеза многих заболеваний и патологических процессов.
Читайте также:
- Лечение солнечного кератоза. Профилактика солнечного кератоза.
- Оценка зрачка при травме глаза. Относительно афферентный зрачковый дефект (ОАЗД)
- Газообмен и гемодинамика после пневмэктомии. Реакция гемодинамики на CPAP
- Исследование интимных мышц. Мотивация к тренингу интимных мышц
- Лучевая анатомия центрального отдела основания черепа
