Характеристика риккетсий. Описание риккетсиозов
Добавил пользователь Евгений Кузнецов Обновлено: 11.12.2025
Риккетсии — плеоморфные паразиты, обитающие внутри клеток организма человека и вызывающие многочисленные инфекционные заболевания с преимущественно трансмиссивным механизмом передачи. В своей жизнедеятельности риккетсии тесно связаны с членистоногими — их переносчиками и первичными хозяевами. Патогенные свойства микробов реализуются в организме человека. Они вызывают острые лихорадочные заболевания — риккетсиозы. К роду Rickettsia относятся десять видов, объединенных в три биотипа. Типовой вид рода — R. prowazekii.
Микроорганизмы, как и данные заболевания, получили свое название в честь Риккетса, описавшего в 1909 году возбудителя пятнистой лихорадки Скалистых гор. Он обнаружил в препаратах крови палочковидный микроб очень маленького размера. Ученый погиб год спустя от сыпного тифа, изучением которого он занимался всю жизнь. В память о его заслугах в 1916 году H.da Rocha-Lima ввел термин «риккетсии». Микробиолог из Чехии С. Провацек посветил свою жизнь изучению риккетсиозов и также погиб от сыпного тифа. Риккетсия Провачека - возбудитель заболевания, получивший свое наименование в честь ученого.
Риккетсии - обширная группа грамотрицательных микроорганизмов, не имеющая до настоящего времени окончательно определенного систематического положения. Они обладают свойствами как вирусов, так и бактерий: размножаются только внутри клеток эукариот и используют их для роста, но при этом нуждаются в кислороде, имеют метаболические ферменты и клеточную стенку, чувствительны к антибиотикам. Данные микроорганизмы — прокариоты. Ядерная структура представлена зернышками, содержащими ДНК и РНК.
Эти своеобразные микробы имеют ряд общих свойств: обитают внутри клетки хозяина, не растут на простых питательных средах, паразитируют у членистоногих, имеют особое строение и размножение, обладают уникальными биологическими и иммунологическими свойствами, вызывают заболевания со своеобразной клиникой и эпидемиологией.

поражение кожи на участке укуса клеща
Риккетсиозы - группа инфекционных заболеваний, связанных общностью этиологии, эпидемиологии, патогенеза, патоморфологии и клиники. У больных возникает первичный аффект, лихорадка и интоксикация, развивается генерализованный васкулит, появляются высыпания на коже. Риккетсии размножаются в месте укуса клеща, пенетрируют кожу и слизистые оболочки, проникают в эндотелий венул, артериол и капилляров. Это приводит к развитию васкулита, проявляющегося характерной сыпью и признаками нейротоксикоза. Осложнениями риккетсиозов являются: геморрагический некроз кожи, гангрена пальцев, инфекционно-токсический шок, олигоурия, анурия, азотемия, анемия, гипонатриемия, гипохлоремия, отек, делирий и кома.
В группу риккетсиозов человека входит большое количество остро протекающих циклических патологий, среди которых выделяют основные и самые распространенные: сыпной тиф, клещевые лихорадки, пароксизмальные риккетсиозы, лихорадку цуцугамуши и лихорадку Ку. Риккетсиозы распространены повсеместно. Чаще всего они встречаются в развивающихся странах. На европейском континенте риккетсиозы регистрируются редко, а в Азии и Австралии эта инфекция широко распространена.
Диагностика риккетсиозов основывается на данных серологических исследований: реакции агглютинации, связывания комплимента, иммунофлюоресценции, иммуноферментного анализа. Подтвердить предполагаемый диагноз позволяет ПЦР. Лечение заболеваний этиотропное, противомикробное. Обычно применяют антибиотики «Тетрациклин», «Хлорамфеникол», «Ципрофлоксацин». Важно своевременно провести диагностику и лечение патологии, чтобы избежать развития тяжелых осложнений.
Этиология
Риккетсии — микроорганизмы, имеющие разнообразную форму: кокковидную, палочковидную, нитевидную. Чаще всего они представляют собой мелкие, короткие палочки, не имеющие жгутиков и капсулы. Их форма и размеры могут изменяться в зависимости от фазы роста. При изменении определенных условий они легко образуют клетки неправильной формы.
Для определения типового вида бактерий изучают морфологию клеток, особенности размножения в желточных мешках куриных эмбрионов, воспроизводят экспериментально инфекционный процесс на лабораторных животных, проводят серологический анализ антигенной структуры.

Жизненный цикл данных микроорганизмов очень прост. Они могут существовать в двух основных формах — вегетативной и покоящейся. В вегетативной стадии микробы имеют форму палочек, являются подвижными и быстро делятся пополам. Покоящиеся формы — сферические и неподвижные клетки, располагающиеся в клетках членистоногих и теплокровных. Зачастую такие формы могут находиться в организме до 10 лет, сохраняясь и при благоприятных условиях снова активируясь.
Эпидемиология
Риккетсиозы бывают двух видов — антропонозные и зоонозные. В первом случае источником инфекции является больной человек, а переносчиком - вши, во втором происходит передача микробов от животных через укусы блох и клещей. Риккетсии на протяжении длительного времени могут сохраняться в слюнных железах кровососущих насекомых. При заражении членистоногие обычно погибают.

Заражение переносчиков-членистоногих происходит через инфицированные яйца от одного поколения к другому, а также через кровь больного человека во время укуса. Возможно распространение инфекции через промежуточных хозяев - крыс, мышей, собак. У них наблюдается здоровое носительство или латентная форма инфекции без каких-либо клинических признаков. Опасность для человека также представляет моча больных коров и их фекалии. При сыпном тифе резервуаром инфекции является человек. Скрытое течение при неблагоприятных условиях сменяется острым, а инфекция, распространяясь, приобретает характер эпидемии.
Патогенетические звенья риккетсиозов:
- Укус кровососущего насекомого,
- Размножение риккетсий в месте внедрения,
- Развитие местной воспалительной реакции - первичного аффекта,
- Проникновение риккетсий в кровь,
- Размножение возбудителя в макрофагах и гистиоцитах,
- Распространение микробов с током крови по всему организму,
- Выраженный интоксикационный синдром,
- Размножение риккетсий в эндотелии капилляров,
- Генерализованный васкулит с тромбозом,
- Поражение ЦНС и сердечно-сосудистой системы,
- Появление характерной экзантемы.
После перенесенных риккетсиозов обычно остается стойкий иммунитет.
Симптоматика
Инкубационный период при риккетсионой инфекции составляет 1-2 недели.
Общие симптомы риккетсиозов:
- Головная боль,
- Миалгия,
- Лихорадка,
- Озноб, сменяющийся жаром,
- Развитие носовых кровотечений,
- Нарушение сознания,
- Судороги,
- Проблемы со зрением и слухом,
- Сыпь на коже конечностей и туловища,
- Струп на месте укуса насекомого,
- Лимфаденит,
- Апатия,
- Слабость во всем теле,
- Сухой кашель,
- Симптомы поражения ЦНС,
- Брадикардия,
- Головокружения,
- Артериальная гипотония.
В тяжелых случаях высокая температура сопровождается бредом и затрудненным дыханием, развитием бронхита, пневмонии, появлением светобоязни и конъюнктивита, потерей слуха. При отсутствии лечения возможен летальный исход. Риск смерти зависит от возраста пациента, вида болезни и иммунных возможностей организма человека. В большинстве случаев прогноз заболевания благоприятный. Выздоровление наступает через две недели от начала болезни. Чем быстрее будет проведена диагностика и начато лечение, тем выше шансы человека на полное выздоровление. Каждому риккетсиозу свойственна определенная клиническая картина.
Сыпной тиф манифестирует с лихорадки и симптомов интоксикации. У больных краснеет и отекает лицо, инъецируются склеры, появляется энантема на мягком небе. На коже боковой поверхности груди, живота, рук появляется яркая розеолезно-петехиальная сыпь, которая держится неделю, а потом бледнеет и исчезает. Одновременно нормализуется температура тела, проходит интоксикация. Постинфекционная астения сохраняется несколько дней. В тяжелых случаях поражается ЦНС, развивается менингит или энцефалит с характерной клиникой.

фото: клещевой риккетсиоз
Типичным признаком клещевого риккетсиоза является первичный аффект или струп - воспалительная реакция кожи в месте проникновения возбудителя. У больных повышается температура тела, развивается регионарный лимфаденит и интоксикационный синдром, брадикардия, гипотония, гепатоспленомегалия. На коже в области суставов появляются полиморфные розеолезно-папулезными элементы, нередко трансформирующиеся в прыщи. На фоне лихорадки и интоксикации возникает боль в горле, гиперемия слизистой, конъюнктивит. На месте сыпи появляется и длительно сохраняется пигментация. В отличии от сыпного тифа при клещевом риккетсиозе поражаются преимущественно сосуды кожи, а не головного мозга. Деструкция эндотелиальных клеток сосудов менее выражена.
Пароксизмальные риккетсиозы проявляются приступами лихорадки, во время которых температура повышается до 40°С. Больных знобит. У них болят кости, мышцы, суставы. Все остальные признаки, характерные для прочих риккетсиозов, обычно отсутствуют. Течение патологии затяжное, но доброкачественное.
Лихорадка Ку часто протекает по типу ОРЗ, гриппа, бруцеллеза. Заболевание начинается остро с подъема температуры, озноба, гипергидроза, цефалгии, артралгии и миалгии. Осложнения развиваются практически у всех больных: гепатолиенальный синдром, интерстициальная пневмония, тромбофлебит, панкреатит, эндокардит.
Диагностика
Диагностические мероприятия при подозрении на риккетсиоз включают сбор эпиданамнеза, анализ клинических данных и лабораторную верификацию возбудителя.

- Серологическое исследование заключается в постановке реакции связывания комплимента, реакции агглютинации, иммунофлюоресценции, иммуноферментного анализа. Эти методы позволяют идентифицировать возбудителя путем определения его антигенов и специфических антител. Результаты серодиагностики следует интерпретировать с большой осторожностью, поскольку часто встречается между штаммами различных видов бактерий перекрестная активность.
- Бактериологическое исследование — выделение риккетсий из крови, мочи, ликвора, биоптата струпа. В лаборатории заражают морских свинок, белых мышей или развивающийся куриный эмбрион. Выделение возбудителя - абсолютный диагностический критерий. Работать с риккетсиями разрешено только в специально оборудованных лабораториях, имеющих высокую степень защиты. Именно поэтому выделение возбудителя осуществляют редко.
- Проведение кожно-аллергических проб позволяет установить диагноз. Внутрикожная аллергическая проба становится положительной у больных к середине заболевания.
- Проба Музера-Нейла — введение в брюшко морской свинки венозной крови лихорадящего больного. Если у животных появляются симптомы лихорадки, некроз тканей, отек мошонки, диагноз подтверждается. Чаще всего животное погибает.
Лечение
Лечением риккетсиозов занимаются инфекционисты. Оно заключается в проведении этиотропной, симптоматической и патогенетической терапии.
- Противомикробные препараты — основа в лечении патологии. Больным назначают антибиотики из группы тетрациклинов «Тетрациклин», «Доксициклин», фторхинолонов «Офлоксацин», «Ципрофлоксацин», макролидов «Азитромицин», «Клацид», а также «Хлорамфеникол».
- Симптоматическое лечение - жаропонижающие средства «Аспирин», «Парацетамол», противовоспалительные препараты «Преднизолон», «Дексаметазон». Сердечные гликозиды назначают при появлении признаков сердечной дисфункции.
- Дезинтоксикационное лечение — инфузионное внутривенное введение солевых растворов, «Гемодеза», глюкозы; обильное питье, прием «Оралита», «Регидрона».
- Десенсибилизация - «Супрастин», «Лоратадин», «Тавегил».
- Местное лечение - обработка образовавшегося на коже струпа и удаление отмерших тканей.
Такое лечение длится около месяца. Проводится оно обязательно в стационаре под наблюдением медицинских работников. Специальные боксы инфекционного отделения не допустят распространения инфекции. Персонал больницы должен быть защищен от заражения. Сотрудники должны носить специальные защитные костюмы и выполнять все манипуляции в строгом соответствии с правилами безопасности.
Профилактика
Специфическая профилактика риккетсиозов заключается в применении аттенуированной вакцины. Иммунизация рекомендована лицам, которые планируют свой отдых в странах, где есть очаги инфекции.
Простые правила, позволяющие обезопасить себя от болезнетворных микробов и избежать развития патологии:
- Ношение одежды с длинным рукавом и шляпы с широкими полями в парках, скверах, лесах, зоопарках и других местах, где возможен контакт с кровососущими насекомыми,
- Использование репеллентов,
- Осмотр своего тела на предмет укусов,
- Борьба с клещами, вшами, блохами,
- Уничтожение мышей и крыс в канализации, на свалках и подвалах,
- Соблюдение правил личной гигиены.

Экстренная профилактика проводится при укусах клещей. Для этого используют «Доксициклин» или «Азитромицин». Больные риккетсиозом подлежат строгой изоляции. За контактировавшими с пациентом лицами устанавливается наблюдение. В очаге инфекции проводится санитарная обработка.
Риккетсиозы — большая группа заболеваний, которые имеют неоднозначный прогноз. Если лечение было начато своевременно и проводилось правильно, большинство недугов заканчивается выздоровлением. Тяжелые формы сыпного тифа и некоторых лихорадок с трудом поддаются терапии даже самыми сильным антибиотиками и могут привести к смерти больного.
Риккетсиоз
Риккетсиозы - многочисленные инфекционные заболевания, связанные общностью этиологии (возбудители - риккетсии) и эпидемиологии (имеют преимущественно трансмиссивный механизм передачи). Риккетсиозы протекают с возникновением первичного аффекта (при клещевых риккетсиозах), лихорадочным и интоксикационным синдромами, генерализованными васкулитами и кожными высыпаниями. Подтвердить диагноз риккетсиоза и верифицировать его клиническую форму позволяет серологическая диагностика (РИГА, РСК, РНИФ, ИФА). Этиотропная терапия риккетсиозов проводится антибактериальными препаратами из группы тетрациклинов и хлорамфениколом.
Общие сведения
Риккетсиозы - термин, используемый в отношении трансмиссивных лихорадочных заболеваний, вызываемых внутриклеточными возбудителями — риккетсиями. Группа риккетсиозов человека включает в себя сыпной тиф (эндемический и эпидемический), клещевые лихорадки (пятнистую лихорадку Скалистых гор, волынскую лихорадку, марсельскую лихорадку, везикулезный риккетсиоз, североазиатский клещевой риккетсиоз), пароксизмальные риккетсиозы (окопную лихорадку, клещевой пароксизмальный риккетсиоз), лихорадку цуцугамуши и лихорадку Ку. Несмотря на этиологические различия, всем этим заболеваниям свойственны некоторые общие эпидемиологические, патогенетические, патоморфологические, иммунологические и клинические признаки, позволяющие объединить их общим названием - риккетсиозы. Распространенность риккетсиозов повсеместная; наибольшая заболеваемость отмечается в развивающихся странах, где в структуре лихорадок неясной этиологии они составляют 15-25%.
Причины
По своим культуральным качествам риккетсии являются промежуточным звеном между бактериями и вирусами. С микробными возбудителями их сближают морфологические признаки (грамотрицательные палочковидные или кокковидные формы), а с вирусными агентами - способность к внутриклеточному паразитированию. Патогенными для человека являются следующие виды риккетсий (Rickettsia):
- R. Prowazekii - вызывает эпидемический (вшивый) сыпной тиф и его отдаленный рецидив - болезнь Брилла
- R. Typhi - вызывает эндемический (крысиный, блошиный) сыпной тиф
- R. Sibirica - вызывает североазиатский клещевой риккетсиоз
- R. Conorii - вызывает марсельскую лихорадку
- R. Rickettsii - вызывает пятнистую лихорадку Скалистых гор
- R. Australis - вызывает австралийский клещевой риккетсиоз
- R. Quintana (Rochalimea quintana) - вызывает волынскую лихорадку
- R. Akari - вызывает везикулезный риккетсиоз
- R. Japonica — вызывает японскую пятнистую лихорадку
- R. Orientalis - вызывает цуцугамуши
- R. Burneti (Coxiella burnetii) - вызывает Ку-лихорадку
Риккетсиозы делятся на антропонозные, при которых источниками инфекции выступает человек, а переносчиками - вши, и зоонозные, характеризующиеся передачей от животных через укусы клещей. К антропонозам относятся сыпной тиф и окопная лихорадка; к природно-очаговым зоонозам - все остальные риккетсиозы.
Симптомы риккетсиозов
Риккетсиозы группы сыпного тифа
Эпидемический (вшивый) сыпной тиф протекает с лихорадкой, интоксикацией, розеолезно-петехиальной сыпью на коже, поражением сосудистой и нервной системы. Инкубационный период занимает от 5 до 21 дня. Риккетсиоз манифестирует с повышения температуры тела и общеинтоксикационных симптомов, которые достигают максимальной выраженности к 3-6-й день заболевания. В этот период отмечается выраженная гиперемия и одутловатость лица, инъекция склер, энантема на мягком небе. Примерно на 5 сутки на коже боковой поверхности груди, живота, сгибательных поверхностях рук появляется яркая характерная розеолезно-петехиальная сыпь. Через неделю сыпь бледнеет, а на 2-3-й неделе от начала заболевания исчезает. Одновременно снижается температура и исчезает интоксикация, однако еще несколько недель сохраняется постинфекционная астения. При тяжелом течении риккетсиоза возникает поражении ЦНС в виде менингита или энцефалита. Осложнения эпидемического сыпного тифа могут включать отит, паротит, пневмонию, миокардит. Болезнь Бриля, или рецидивирующий сыпной тиф, проявляется теми же симптомами, однако менее выраженными.
Эндемический (крысиный или блошиный) сыпной тиф начинается остро и в начальном периоде характеризуется общеинфекционными симптомами (лихорадкой, познабливанием, артралгиями, головной болью). В разгар лихорадочного периода на груди, животе и на конечностях появляется сыпь, имеющая преимущественно розеолезно-папулезный характер. Характерна артериальная гипотония, брадикардия, общая слабость, головокружение. В целом заболевание протекает легче, чем эпидемический сыпной тиф.
Риккетсиозы группы пятнистых клещевых лихорадок
Североазиатский клещевой риккетсиоз, или клещевой сыпной тиф Северной Азии передается через укусы иксодовых клещей. Типичным признаком клещевого риккетсиоза служит первичный аффект - первичная воспалительная реакция кожи в месте проникновения возбудителя. Он представляет собой болезненное уплотнение, окруженное зоной гиперемии и в центре покрытое коричневым струпом. Одновременно с появлением первичного аффекта повышается температура тела, развивается регионарный лимфаденит и интоксикационный синдром. Кожные высыпания появляются на 2-3-й день и представлены полиморфными розеолезно-папулезными элементами, расположенными на туловище и вокруг суставов. Отмечается гиперемия лица и слизистой зева, брадикардия, гипотония, умеренная гепатоспленомегалия. Течение североазиатского клещевого риккетсиоза доброкачественное; обычно к 14 дню заболевания наступает выздоровление.
Марсельская лихорадка также характеризуется наличием первичного аффекта в месте внедрения клеща, лихорадкой, лимфаденитом, пятнисто-папулезной сыпью. Начальные признаки риккетсиоза аналогичны клещевому сыпному тифу Северной Азии. Первичный аффект выглядит как плотный инфильтрат с центральным некрозом, который в дальнейшем изъязвляется и эпителизируется только в периоде реконвалесценции (через 3-4 недели). На фоне лихорадочно-интоксикационных проявлений выражены гиперемия слизистой ротоглотки, боли в горле, конъюнктивит. Отличительным признаком марсельской лихорадки служит сыпь, которая затрагивает не только тело, но также лицо, ладони и подошвы. Обычно сыпь имеет пятнисто-папулезной характер, но может трансформироваться в прыщи («прыщевидная лихорадка») с геморрагическим содержимым. Угасание сыпи постепенное, на ее месте длительно сохраняется пигментация.
Пятнистая лихорадка Скалистых гор относится к риккетсиозам с тяжелым течением. В остром периоде заболевание сопровождается ознобом, сменяющимся жаром; сильной головной и мышечной болью, носовыми кровотечениями. Неврологические изменения включают бессонницу, нарушение сознания (оглушенность, прострацию), судороги, пара- и гемиплегии, нарушения зрения и слуха. Первичный аффект отсутствует. Сыпь при данном виде риккетсиоза обильная, петехиальная, имеет тенденцию к слиянию с образованием больших пятен. Летальность от этого риккетсиоза достигает 7%.
Пароксизмальные риккетсиозы
Пароксизмальные риккетсиозы протекают с рецидивирующими лихорадочными приступами, повторяющимися каждые 5 дней (при волынской лихорадке) или 2-3 дня (при пароксизмальном клещевом риккетсиозе). Во время приступа температура повышается до 39,0-40,5°С, появляются ознобы, оссалгии, миалгии, артралгии, головные боли. Первичный аффект, кожные высыпания и регионарный лимфаденит не являются постоянными спутниками пароксизмальных риккетсиозов и зачастую отсутствуют. Течение лихорадок обычно затяжное, однако доброкачественное.
Выявление и дифференциальная диагностика риккетсиозов проводится по нескольким направлениям: сбор эпидемиологического анамнеза, анализ клинических данных и лабораторная верификация возбудителя. В эпидемиологическом статусе акцент делается на природно-очаговый характер инфекции, связь заболевания с укусами клещей, педикулезом и т. д. При анализе клинической симптоматики риккетсиозов основное внимание обращается на наличие первичного аффекта, характер и локализацию сыпи.
Лабораторная диагностика риккетсиозов проводится с помощью серологических методов (РСК, РА, РИГА, РИФ, ИФА), позволяющих идентифицировать возбудителя путем определения его антигенов и специфических антител. В ряде случаев возможно выделение риккетсий из крови, мочи, спинномозговой жидкости, биоптатов, биомассы клещей, проведение кожно-аллергических проб. Дифференциальная диагностика риккетсиозов проводится с гриппом, корью, геморрагическими лихорадками, менингококковой инфекцией, брюшным тифом, энтеровирусной инфекцией, аллергией и др.
Лечение риккетсиозов
В качестве средств этиотропной терапии риккетсиоза используются антибиотики тетрациклинового ряда (тетрациклин, доксициклин), хлорамфеникол, фторхинолоны. Обычно курс лечения продолжается весь лихорадочный период и 2-3 дня после нормализации температуры тела. Одновременно проводится дезинтоксикационная, десенсибилизирующая, противовоспалительная терапия. При тяжелом течении риккетсиозов применяются кортикостероидные гормоны.
Прогноз и профилактика
По течению, исходам и процентам летальности к наиболее тяжелым риккетсиозам относятся эпидемический сыпной тиф, пятнистая лихорадка Скалистых гор и цуцугамуши. Остальные риккетсиозы протекают более доброкачественно и редко сопровождаются осложнениями. Профилактика заражения риккетсиозами предусматривает борьбу с педикулезом, клещами и грызунами, соблюдение мер личной защиты от нападения кровососущих насекомых. При укусах клещей рекомендуется проведение экстренной химиопрофилактики доксициклином или азитромицином. С целью профилактики сыпного тифа и лихорадки Ку проводится вакцинация. Больные сыпным тифом подлежат строгой изоляции; за контактировавшими с пациентом лицами устанавливается наблюдение; в очаге инфекции проводится санитарная обработка.
Строение и жизнедеятельность риккетсий
Риккетсии являются особенными микроорганизмами, которые сочетают свойства, присущие как бактериям, так и вирусам. Со многими бактериями риккетсии сходны благодаря аналогичному клеточному строению, наличию ферментной активности, кислородному дыханию и чувствительности к антибиотическим веществам, с вирусами - их способностью к жизни и размножению лишь внутри клетки живого организма.

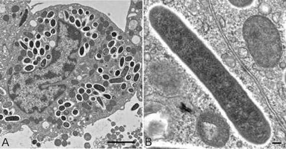
Рис. 1. Риккетсии.
Распространенность риккетсий
В природных условиях риккетсии часто обнаруживают в организме таких членистоногих насекомых, как клещи, блохи и вши. В их организмах эти бактерии живут в стенке кишечника, не вызывая болезней. В зависимости от вида насекомого риккетсии делят на группы. В организме человека их выявляют в клетках, которые выстилают поверхность кровеносных сосудов, благодаря чему могут вызывать проблемы их воспаления, закупорки или кровоизлияния.

Рис. 2. Насекомые — переносчики риккетсиозов.
Размер клеток риккетсий
Клетки данных бактерий при наличии оптимальных условий обладают палочковидным строением - в ширину приблизительно 0,2—0,6, а в длину — 0,4—2,0 мкм. То есть, своими размерами данные бактерии напоминают крупные вирусы. Стадия их роста способна влиять на их форму. Если произошла смена условий окружающей среды, возможно образование нитевидных клеток или клеток неправильных форм. Иногда встречается и бактерии в виде кокков.

Рис. 3. Форма риккетсий.
Особенности строения риккетсий
Клетки риккетсий имеют типичное бактериальное строение: поверхностная структура представлена оболочкой, они имеют протоплазму, диффузно расположенный в их цитоплазме ядерный материал, в числе которого выявляют присутствие нуклеоида, рибосом, РНК, а также ДНК. Кроме того, в их нуклеоиде, сходно с другими бактериальными нуклеоидами, нет оболочки и ядрышка.
Как большая часть грамотрицательных бактерий, на внешней стороне риккетсии содержат микрокапсулярный слой размерами от 10 до 15 нм, за ним- трехслойную мембрану размерами от 8 до 12 нм, а также цитоплазму, образованной грануламирибосом.

Рис. 4. Строение бактериальной клетки.
На поверхности риккетсий, вызывающих сыпный тиф и лихорадку цуцугамуши при использовании метода электронной микроскопии обнаружены сходные с бактериальными, волосовидные фимбрии, роль которых в жизнедеятельности риккетсий сегодня не установлена.
Однако в структуре риккетсий есть несколько особенностей, которые отличают их от остальных бактерий.
- На поверхностях их клеточных стенок выявлено наличие капсулоподобного слизистого покрова, а также микрокапсулы, которые содержат группоспецифичные антигены. В структуре стенокклеток этих бактерий обнаружены пептидогликаны, липополисахариды и белки, большая часть которых является видоспецифичными антигенами.
- В составе цитоплазматической мембраны таких бактерий выявлено наличие значительного количества ненасыщенных жирных кислот.
- Для их клеточных стенокхарактерны осмотические свойства и транспортная система по типу АТФ-АДФ.
- В составе их нуклеоида- кольцевая хромосома.
- Метаболизм данных бактерий независим от метаболизма хозяина. Главным источником энергетических ресурсов внеклеточных риккетсий является вещество глутамат.
- Бактериальные клетки риккетсий обладают способностью к индукции своего фагоцитоза при помощи эукариотной клетки.
- Риккетсии обладают фактором адгезии, что делает возможным их крепление и колонизацию в организме.

Рис. 5. Микрофотография риккетсии.
Жизненный цикл риккетсий
Риккетсии размножаются при помощи бинарного деления. Исследователи считают, что их размножение во многом происходит благодаря получению ими макроэргических (то есть богатых энергией) соединений от клеток организма хозяина. Жизненный цикл данных видов бактерий включает наличие двух стадий — вегетативной или покоящейся. При вегетативной — бактерия, как правило, представлена формой палочки, делится бинарно и является подвижной. При покоящейся - это сферическая неподвижная клетка, обычно располагающаяся в клетке организма хозяина.
Известно, что размножение риккетсий (за некоторым исключением), наблюдается только при условии, что они находятся внутри живых клеток. Именно поэтому риккетсии, как вирусы, относят к таким внутриклеточным паразитам, способным к процессам роста, а также размножения лишь внутри клетки организма-хозяина. Эти бактерии могут паразитировать в клеточной цитоплазме и в ядре клетки хозяина. Rochalimaeaquintana (возбудитель траншейной лихорадки) является единственным видом, который способен к внеклеточному росту. Поэтому насекомые считаются первичными хозяевами, а также основными переносчиками в жизненном цикле практически всех видов риккетсий.

Рис. 6. Деление клетки.
Устойчивость риккетсий к внешней среде
Риккетсии являются малоустойчивыми к разным условиям окружающей среды: при нагревании до 50°С они погибают уже спустя 10 минут, а до 80°С — спустя 1 минуту. К воздействию низких температур они являются более устойчивыми, что способствует сохранению своей жизнеспособности и вирулентности при температурах от -20 до -80°С целых несколько месяцев.
Клетки риккетсий могут жить лишь в клетках организма, даже в высушенных насекомых или фекалиях их можно обнаружить спустя несколько месяцев, однако при помещении в водный раствор клетки бактерий гибнут уже спустя 2,5—6 часа. Большинство риккетсий являются чувствительными к антибиотическим веществам широкого действия, в особенности к тетрациклиновому ряду.
Чем риккетсии могут быть опасны человеку?
Многие риккетсии патогенны, то есть вызывают заболевания, называемые риккетсиозами. Например, Coxiella, Rickettsia и Rochalimaea. Одни из этих видов способны вызвать тиф, другие лихорадки - например, Ку- или пятнистую, цуцугамуши, а также траншейную.
Заразиться риккетсиозом можно при укусе насекомыми-переносчиками. Существуют еще алиментарный (пищевой) и ингаляционный пути заражения.
Болезни, вызываемые риккетсиями у людей, часто протекают в тяжелой форме и проявляются симптомами лихорадки, которая нередко сопровождается поражениями центральной нервной, а также сердечно сосудистой систем.

Рис. 7. Заражение риккетсиозом через укус клеща.
Диагностика риккетсиозов
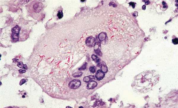
Симптомы риккетсиозов на ранних стадиях болезни слабо выражены. Только по прошествии нескольких дней можно заметить увеличение температуры, возникновение сыпи на коже и чувства слабости. Поэтому в диагностике риккетсиозов необходимы лабораторные исследования для выявления данных микроорганизмов при проведении специализированных посевов крови или при анализе образцов ткани. Эти бактерии можно увидеть под микроскопом при проведении специализированного окрашивания их клеток. Помимо этого, для диагностирования можно использовать метод обнаружения антител в крови.

Рис. 8. Диагностика риккетсиозов.
Способы получения вакцины
В связи с тем, что рост практически всех видов риккетсий вне клеток организма хозяина невозможен, то при создании вакцин против заболеваний, вызываемых этими бактериями, в лабораториях исследователи часто применяют их культивирование при использовании куриных эмбрионов, перевиваемых клеточных культур, мышиных легких. Для этого разработаны также специальные методы для заражения насекомых при помощи эпидермомембран, а также методики кормления насекомых кровью сквозь пленки эпидермиса для поддерживания жизнеспособности клеток риккетсий или возможности стимуляции заражения.
Общая характеристика риккетсиозов
Риккетсиозы — группа острых трансмиссивных инфекционных болезней, вызываемых риккетсиями, имеющих общность патогенеза и клинических проявлений болезни.
Строение риккетсий аналогично строению других бактерий, но ядерная структура представлена зернышками, содержащими ДНК и РНК. Риккетсии морфологически полиморфны. Риккетсии одного и того же вида могут иметь кокковидную, палочковидную и нитевидную формы. Являясь внутриклеточными паразитами, риккетсии могут культивироваться только в живых тканях, поэтому для их выделения от больных и паразитов-переносчиков используют заражение лабораторных животных, куриных эмбрионов или клеточные культуры.
Риккетсии содержат термолабильные белковые токсины, легко инактивируются при нагревании, но хорошо сохраняются в высушенном состоянии, чувствительны к тетрациклину.
Патогенез риккетсиозов сходен. Проникая через кожные покровы, риккетсии размножаются в месте внедрения, вызывая при некоторых риккетсиозах местную воспалительную реакцию с формированием первичного аффекта. Затем развивается гематогенная диссеминация возбудителя, который поражает преимущественно эндотелий сосудов микроциркуляторного русла. Развивается генерализованный васкулит, проявляющийся высыпаниями на коже, поражением сердца, оболочек и вещества головного мозга.
Риккетсиозы характеризуются цикличностью течения болезни. В результате формирования специфического иммунитета прекращается риккетсиемия и происходит выздоровление. Однако некоторые виды риккетсий (риккетсия Провачека, коксиелла Бернета) способны в течение многих лет персистировать в организме человека.
Работа с риккетсиями представляет большую опасность, допускается только в специально оборудованных лабораториях, имеющих высокую степень защиты, поэтому на практике для диагностики риккетсиозов бактериологические методы не используют. Лабораторную диагностику проводят серологическими методами. В прошлом широко применяли реакцию агглютинации с протеем ОХ 19 или ОХ 2 , имеющих общие антигены с риккетсиями; в настоящее время их не используют из-за недостаточной чувствительности и специфичности.
Широко применяют РСК с риккетсиозными антигенами. В меморандуме совещания ВОЗ по риккетсиозам в качестве основного метода диагностики рекомендуется НРИФ (непрямая реакция иммунофлюоресценции), которая позволяет отдельно определять lgM- и lgG-антитела, т.е. дифференцировать острую фазу болезни с анамнестическими реакциями. В ряде случаев применяют прямую РИФ и ПЦР.
Лечение риккетсиозов проводят препаратами тетрациклинового ряда (доксициклин по 0,1 г 2 раза в 1-е сутки, затем 0,1 г 1 раз в сутки или тетрациклин по 0,3 г 4 раза в сутки) или, при непереносимости тетрациклина, хлорамфениколом (левомицетин) по 0,5 г 4 раза в сутки до 2-го дня нормальной температуры включительно.
- эпидемический сыпной тиф и болезнь Брилла;
- эндемический (блошиный) сыпной тиф;
- лихорадка цуцугамуши;
- группа клещевых пятнистых лихорадок (пятнистая лихорадка Скалистых гор, марсельская лихорадка, австралийский клещевой риккетсиоз, клещевой сыпной тиф Северной Азии, везикулезный риккетсиоз);
- Ку-лихорадка (коксиеллез);
- эрлихиоз.
На территории РФ регистрируются эпидемический сыпной тиф и болезнь Брилла, эндемический сыпной тиф, лихорадка цуцугамуши, марсельская лихорадка, клещевой сыпной тиф Северной Азии и Ку-лихорадка.
Подробно о риккетсиях - причине эпидемий
Название «риккетсии» появилось в начале XX в. Так назвали обширную группу маленьких по размеру бактерий, являющихся облигатными внутриклеточными паразитами. Благодаря своим небольшим размерам и ряду свойств риккетсии имеют сходство как с вирусами, так и с бактериями. Благодаря развитию микробиологии удалось установить, что риккетсии являются возбудителями целого ряда серьезных заболеваний.

Что такое риккетсии
К одним из самых маленьких по размеру бактерий относятся риккетсии (латинское название Rickettsia). Они могут выглядеть как кокковидные, палочковидные или полиморфные клетки.
В это семейство входят как бактерии-сапрофиты, так и микроорганизмы, способные вызывать специфические заболевания.
Общая характеристика риккетсий:
- являются облигатными внутриклеточными паразитами, биологически связаны с членистоногими;
- не растут на бесклеточных питательных средах, чем отличаются от большинства бактерий;
- характеризуются рядом отличий и особенностей во всех сферах жизнедеятельности в сравнении с другими бактериями;
- заболевания, чаще всего лихорадочные, вызываемые этими микроорганизмами, имеют специфическую клиническую картину;
- даже методы изучения эти бактерии имеют особенные - риккетсиологические.
По своим свойствам риккетсии занимают промежуточное положение между бактериями и фильтрующимися вирусами:
- по строению, ферментной активности и чувствительности к антибиотикам близки к бактериям;
- по способности существовать только как внутриклеточный паразит - к вирусам.
К риккетсиям относят 29 видов (май 2017 г.) микроорганизмов, и в большей своей части они не патогенны для млекопитающих. К наиболее известным патогенным видам относятся Rickettsia prowazekii (возбудитель сыпного тифа), Rickettsia conorii (возбудитель марсельской лихорадки) и другие.
Таксономия и классификация
Согласно современной классификации, таксономическое положение этих бактерий выглядит следующим образом: они принадлежат к домену Бактерии, типу Протеобактерии, классу Альфа-протеобактерии, порядку Rickettsiales, семейству Rickettsiaceae, к которому относятся три рода, содержащие виды, патогенные для млекопитающих.
К ним относятся:
- Rickettsia;
- Rochalimaea;
- Coxiella.
Согласно общепринятой систематике, виды бактерий входят в состав рода.
К роду Rickettsia относятся восемь видов микроорганизмов, их принято подразделять на следующие группы.
Вшиво-блошиные сыпные тифы:
- Rickettsia prowazekii (риккетсии Провачека);
- Rickettsia typhi, Ber; H. Mooser (риккетсии Музера).
Клещевые пятнистые лихорадки:
- Rickettsia rickettsia;
- Rickettsia conorii;
- Rickettsia australis;
- Rickettsia sibirica;
- Rickettsia akari.
Японская речная лихорадка: Rickettsia tsutsugamushi (R. orientalis) - возбудитель лихорадки цуцугамуши (краснотелково-клещевая лихорадка).
Род Rochalimaea включает в себя Rickettsia quintana, возбудитель траншейной лихорадки.
К роду Coxiella относят Coxiella burnetii (риккетсии Бернета), вызывающие Ку-лихорадку.
Описание и морфология
Морфология риккетсий достаточно разнообразна, так как они относятся к плеоморфным бактериям - микроорганизмам, обладающим морфологической изменчивостью. Внешние условия способны оказывать большое влияние не только на размеры, но и на форму бактерий.
При благоприятных условиях риккетсии соизмеримы с крупными вирусами и имеют характерную палочкообразную форму (например, риккетсии Бернета) с размерами:
- ширина в среднем 0,5 мкм;
- длина от 0,4 до 2,0 мкм.

При наступлении неблагоприятных условий микробы могут изменять форму на кокки, нитевидные или клетки неправильного вида.
Строение клетки риккетсий соответствует нормам клеточного строения типичных прокариотов. В ней присутствует клеточная оболочка, протоплазма, ядерный материал. Как и все микробы, риккетсия не имеет ядра, а содержит ДНК, рибосомы и РНК. Наличие спор и капсул у этих бактерий не выявлено.
Нехарактерным для грамположительных, но типичным для грамотрицательных микроорганизмов принято считать наличие у бактерий (например, Rickettsia conorii) трехслойной мембраны и поверхностного микрокапсулярного слоя.
Характерная окраска - общая характеристика патогенных риккетсий:
- окрашивание по Граму отрицательное;
- окраска по Здродовскому насыщенно окрашивает микробы в рубиновый цвет, что позволяет легко их обнаружить на фоне синего клеточного ядра или голубой цитоплазмы;
- по Романовскому-Гимзе микроорганизмы окрашиваются в сиреневый цвет.
Исследования при помощи электронного микроскопа позволили выявить у некоторых видов рода Rickettsia волосовидные фимбрии (ворсинки на поверхности клетки), роль которых в физиологии этих микроорганизмов не выяснена.

Для морфологии и ультраструктуры риккетсий характерны ряд особенностей, отличающие их от других прокариотов:
- Клеточные стенки имеют капсулообразный слизистый покров.
- Наличие в значительном количестве ненасыщенных жирных кислот в составе мембраны, что нехарактерно для бактерий.
- В состав нуклеоида входит кольцевая хромосома.
- Хотя все риккетсии - внутриклеточные паразиты (ни о каком симбиозе или мутуализме нет и речи), их метаболизм независим от обменных процессов, протекающих в клетке-хозяине.
- Способность к индукции фагоцитоза посредством клеток эукариотов.
- Клетки бактерий обладают адгезивными свойствами, что способствует их креплению и колонизации чужого организма.
- Источником энергии для микробов является глутамат.
Риккетсии с вирусами и другими бактериями имеют как сходные черты, так и различия. Микробиологи считают их переходным звеном от вирусов к бактериям.
Биохимическая активность
Биохимическая активность риккетсий не выявлена. Реакция агглютинации риккетсий представляет собой специфическое взаимодействие агглютининов (антител) с целой клеткой, с образованием осадка (агглютината). Данная реакция применяется при серологическом методе исследования инфекционных болезней, а также при определении антигенной структуры микроба.
У бактерий выявлено два антигена:
- термостабильный групповой;
- термолабильный специфический.
Реакция пассивной гемагглютинации (непрямой РНГА), с использованием сухого антигена из риккетсий Провачека, является более чувствительной - в ней используют фиксацию антител на обработанных формалином эритроцитах.

Первым тестом при серодиагностике риккетсиозов была реакция агглютинации с протеями (Вейля-Феликса), исключение составляет лихорадка Скалистых гор, вызванная Rickettsia rickettsia.
Бактериальным токсином риккетсий является термолабильный эндотоксин. Ферментативные и биохимические свойства бактерий рода Rickettsia не выражены.
Особенности дыхания и питания
Группа микроорганизмов рода Риккетсии (Rickettsia conorii) по типу дыхания является аэробной и может развиваться только при наличии кислорода, в отличие от анаэробов, которым кислород для жизнедеятельности не нужен.
По типу питания представители рода Rickettsia являются хемоорганотрофами, облигатными (нежизнеспособными вне организма-хозяина) паразитами.
Для этих микроорганизмов характерен тип питания, при котором источником энергии для бактериальной клетки служат химические соединения, а углеводы она получает из органических веществ.
Рост и размножение
Ростом клетки называют согласованное воспроизведение клеточных компонентов, приводящее к увеличению клеточной массы. Чаще всего бактерии растят на различных питательных средах, но, являясь внутриклеточными паразитами, риккетсии размножаются и растут только внутри клетки-хозяина.
Размножением бактерий принято называть увеличение количества клеток внутри одной популяции. Размножение риккетсий происходит посредством простого бинарного деления, и оно случается в значительной степени благодаря получению паразитами от клеток-хозяев насыщенных энергией соединений.
Весь жизненный цикл риккетсий состоит из двух стадий:
- вегетативной - бактерии имеют форму палочек; очень подвижны и именно в этой стадии осуществляют бинарное деление;
- покоящейся - клетка микроба приобретает сферическую форму, данная стадия характерна для состояния «риккетсия в клетке хозяина». Хозяевами являются членистоногие или теплокровные.
Являясь облигатными паразитами, риккетсии способны размножаться, только (за малым исключением) находясь в живых тканях. Единственным известным видом, способным к внеклеточному росту, является возбудитель траншейной лихорадки Rickettsia quintana.
Покоящаяся форма бактерий обеспечивает им наилучшую сохранность в окружающей среде.
Культивирование
В связи с паразитарной природой культивирование риккетсий, которые способны к росту исключительно внутри живой клетки, осуществляют на следующих препаратах:
- различных тканях;
- живых лабораторных животных;
- курином эмбрионе.
Особенности культивирования риккетсий связаны с тем, что микроорганизмы - облигатные паразиты, не осуществляют рост ни на каких бесклеточных питательных средах.
- Выращивание микроорганизмов с использованием методов культивирования осуществляют на переживающих (временно сохранена клеточная жизнеспособность) материалах. Они представляют собой мелкодисперсную взвесь тканей или частей органов в солевом (возможно, в питательном) растворе.
- Хорошо показал себя метод выращивания микробов на двенадцатидневном курином эмбрионе, с поддержанием температурного оптимума роста (37°С) в течение шести дней. Метод прекрасно зарекомендовал себя для приготовления диагностических препаратов и получения вакцин из риккетсий.
- Успешно культивируют микробы в организме живых белых мышей - наибольшее количество бактерий собирается в легких грызунов.
- Микроорганизмы культивируют, инфицируя вшей дисперсной взвесью активных микробов (метод Вейгля-Мосинга), а также выращивают на их личинках (Пшеничнов-Райхер).
Где обнаруживаются риккетсии
В естественных условиях микроорганизмы, не вызывая заболеваний, обитают в клеточных тканях членистоногих, таких как:
- клещи преимущественно из рода Dermacentor;
- блохи;
- вши.
Основываясь на природе переносчика бактерий, все риккетсиозы делят на две большие группы, к ним относятся:
- клещевая пятнистая лихорадка;
- сыпной тиф.
Иксодовые клещи, преимущественно из рода Dermacentor, являются основными переносчикам возбудителей заболеваний группы клещевой пятнистой лихорадки. Инфекция передается через слюну во время укуса. В обеих Америках клещи видов D. andersonii и D. variabilis являются основными переносчикам Пятнистой лихорадки. В Сибири иксодовые клещи видов D. nuttali и D. silvarum разносят Rickettsia sibirica - причину заражения человека сибирским (североазиатским) риккетсиозом.
Платяная вошь переносит риккетсии, вызывающие сыпной тиф (Rickettsia prowazekii), и выделяет эти микроорганизмы с фекалиями. Способ передачи возбудителя - трансмиссивный, через контаминацию (заражение через втирание фекалий в момент расчесывания укусов).
Возбудители риккетсиоза успешно размножаются в клетках любых позвоночных - грызунов, овец, крупного рогатого скота и человека.
Передача инфекции в человеческий организм происходит по трансмиссивному пути. Попадая в организм, патогенные риккетсии вызывают протекающие в тяжелой форме риккетсиозы.
В истории человечества переоценить значение риккетсиозов невозможно. Только от сыпного тифа, возбудителем которого является R. prowazekii, человечество страдало многие века, а число жертв исчислялось миллионами. Во время военных действий эпидемия тифа (его еще называли военной лихорадкой) зачастую оказывала решающее влияние на исход военных действий.
У больных тифом быстро развивалось недомогание и поднималась высокая температура с ознобом и тошнотой. При проявлении лихорадки платяная вошь сразу покидает хозяина и переходит к другому - таким образом переносчик разносит инфекцию.
Типичным представителем трансмиссивного пути передачи инфекции посредством инокуляции (заражение здорового человека при укусе инфицированным насекомым) является марсельская лихорадка. Марсельская, или средиземноморская, лихорадка (возбудитель Rickettsia conorii) является острым зоонозным риккетсиозом. Переносчиком инфекции является собачий клещ, резервуаром считают собак, шакалов, различных грызунов и ежей.
Марсельская лихорадка характеризуется спорадическим (случайным) и ярко выраженным сезонным характером (май-октябрь). Географически марсельская лихорадка отмечалась на Черноморском побережье, в Средиземноморье и Индии. В Астраханской области отмечается астраханская риккетсиозная лихорадка, которую считают подвидом марсельской.
Бактерии в организме клеща способны сохраняться долго - 1,5 года. Кусая животных, клещи выделяют бактерии со слюной и с фекалиями.
В чем опасность для человека
Инфекционные заболевания, вызываемые патогенными для человека риккетсиями, носят название риккетсиозы. Чаще всего причиной являются укусы клещей или вшей. У человека риккетсиозы протекают в виде лихорадок различной степени тяжести.
Патогенез (механизм возникновения и развития патологии) различных риккетсиозов по своей сути сходен:
- Возбудитель проникает через кожные покровы и начинает размножаться вблизи места проникновения, вызывая в этом месте воспалительную реакцию.
- Далее поражаются сосуды. Для болезней, вызванных возбудителями риккетсиоза, типично появление кожных высыпаний.
- К опасным и вредным факторам следует отнести поражение сердца и головного мозга.
- У больных, перенесших риккетсиоз, формируется специфический иммунитет, однако некоторые риккетсии (Rickettsia prowazekii) способны спустя много лет спровоцировать повторное заболевание.
Поэтому создание вакцины из инактивированных микробов имеет большое положительное значение для жизни человека.
Наиболее распространенные заболевания, вызываемые риккетсиями
Тяжело протекает пятнистая лихорадка Скалистых гор, лихорадка цуцугамуши и сыпной тиф. Ку-лихорадка может протекать в латентной форме и не иметь симптомов риккетсиоза вообще.
Микробиологическая диагностика
Лабораторная диагностика различных инфекций, вызванных риккетсиями, основывается на выделении возбудителя. Наиболее эффективны исследования будут в острый период, до начала приема антибиотиков.
Патогенные риккетсии, вызвавшие заболевание, исследуют методами лабораторной диагностики. Используют несколько методов:
- серологические (РНГА, РСК, ИФА и другие);
- культуральные;
- молекулярно-генетические (ПЦР, изучение нуклеотидных последовательностей генов).
В результате исследования образцов в мазке может быть поставлен правильный диагноз, позволяющий исключить наличие других риккетсиозов и назначить правильное лечение.

Возможность изучать столь мелкие бактерии, как риккетсии, возникла только с появлением электронного микроскопа. История изучения этих микроорганизмов только начинается, и микробиологи открывают новые виды и новые свойства.
Образование высшее филологическое. В копирайтинге с 2012 г., также занимаюсь редактированием/размещением статей. Увлечения — психология и кулинария.
Читайте также:
- Функция и физиология клапанов сердца. Кривая аортального давления
- Практически важные моменты операции при остром панкреатите.
- Рецепторная теория действия лекарств. Комплекс агонист-рецептор
- Регуляция реабсорбции ионов натрия. Альдостерон. Регуляция транспорта ионов кальция, фосфата, магния.
- Экссудативный псориаз
