Хирургическая анатомия атланта (первого шейного позвонка)
Добавил пользователь Евгений Кузнецов Обновлено: 07.01.2026
Аномалии дужек позвонков встречаются редко и, как правило, обнаруживаются случайно, так как практически не имеют прямых клинических проявлений. Врожденные аномалии первого позвонка хорошо описаны в литературе. Совершенствование методов диагностики повышает частоту выявления аномалий и объясняет их связь с некоторыми клиническими проявлениями. В связи с появлением многомерных методов изображений и объемных реконструкций повысилась частота выявления таких аномалий, что стало основой для более точного определения частоты встречаемости и определения возможной связи с некоторыми клиническими проявлениями. Для ретроспективного анализа нами были отобраны 2857 магнитно-резонансных исследований (мр-исследований) шейного отдела позвоночника, среди которых расщепление передней дужки атланта выявлено в 6 случаях (0,21±0,09%). Определяли прямые и косвенные признаки тех или иных аномалий. В данном исследовании выявлены частота выявления расщепления передней дужки атланта при магнитно-резонансной томографии (МРТ) и основные характерные отличительные анатомические признаки конфигурации расщепленной дужки. Также мы определяли влияние данного анатомического варианта на появление дегенеративных изменений в атланто-аксиальном суставе. Большой интерес для исследователей представляет связь или комбинация различных аномалий краниовертебральной области. В статье представлена усредненная конфигурация расщепленной передней дужки атланта.

1. Chalmers A.G., Gallegos N.C. Spondyloschisis of the anterior arch of the atlas. Br. J. Radiol. 1985. V. 58. Р. 761-763.
2. Garg A., Gaikwad S.B., Gupta V., Mishra N.K., Kale S.S., Singh J. Bipartite atlas with os odontoideum: case report. Spine. 2004. V. 29. Р. E35-E38.
4. Klimo P. Jr., Blumenthal D.T., Couldwell WT. Congenital partial aplasia of the posterior arch of the atlas causing myelopathy: case report and review of the literature. Spine. 2003. V. 28. Р. E224-E228.
5. Martirosyan N.L., Cavalcanti D.D., Kalani M.Y.S., Maughan P.H., et al. Aplasia of anterior arch of atlas associated with multiple congenital disorders: Case report. Neurosurgery. Figura 4. Clasificación de Currarino y colaboradores. 2011. V. 69. Р. 1317-1320.
6. Senoglu M., Safawi-Abrasi S. The frequency and clinical significance of congenital defects of the posterior and anterior arch of the atlas. J. Neurosurg Spine. 2007. V. 7. Р. 399-402.
Формирование первого шейного позвонка происходит из трех основных центров окостенения: переднего центра окостенения, из которого формируется передний бугорок, и двух боковых центров, из которых формируются латеральные массы и задняя дуга. Два боковых центра распространяются заднемедиально; соединяясь, они образуют заднюю арку обычно на четвертом году жизни. Приблизительно у 2% населения четвертый центр окостенения образует задний бугорок между двумя задними дугами около второго года жизни.
Дефекты задней дуги, как полагают, возникают из-за нарушения локального хондрогенеза, а не из-за последующего окостенения. Это предположение подтверждается тем фактом, что соединительная ткань тянется между костными концами дефекта. Следовательно, дефекты задней дужки атланта - это результат нарушения хондрификации.
Расщепление передней дуги атланта представляет собой врожденную аномалию передней дуги атланта (рис. 1). Встречается довольно редко, около 0,1% от всех аномалий. Передняя арка соединяется с боковыми центрами в возрасте от 5 до 9 лет.
Рис. 1. Схема расщепления передней дужки атланта
Эти дефекты обнаруживаются, как правило, случайно. Из-за особенностей анатомического строения на прямых рентгенограммах не всегда удается выявить данную аномалию, так как происходит наслоение костей лицевого скелета, зуба осевого позвонка или задней дуги атланта. С момента появления в диагностической практике полипроекционных, полиплоскостных с 3D-реконструкцией методов визуализации компьютерной томографии (КТ), МРТ-сканирования значительно повысилось количество выявленных случаев незаращения передней дуги атланта. Недостаточно изучены характерные признаки анатомической конфигурации расщепленной передней дужки атланта, дегенеративные изменения, свойственные данному анатомическому состоянию. Наиболее информативная визуализация костных структур осуществляется по данным КТ-сканирования с 3D-реконструкцией. МРТ-исследование позволяет в большей степени оценить состояние мягких тканей. В частности, в литературе недостаточно широко описаны характеристики тканей, заполняющих диастаз расщепленной дужки. Выявление незаращений передней дуги атланта возможно при исследовании как шейного отдела позвоночника, так и головного мозга, так как краниовертебральный переход входит в поле визуализации. Недостаточно описаны анатомические изменения конфигурации передней дужки атланта при ее расщеплении, а также влияние на развитие дегенеративных изменений в атланто-дентальном суставе. Дифференцировка проводится с переломами Джефферсона передней дуги атланта, отличительным признаком является наличие кортикальных слоев, покрывающих дефект при расщеплении передней дуги атланта.
Цель исследования: определить частоту встречаемости незаращения передней дуги атланта (split atlas) по данным МРТ, установить возможную связь с другими аномалиями и вариантами анатомии краниовертебральной области, основные анатомические отличительные признаки незаращенной передней дужки атланта и связь с морфологическими изменениями в атланто-дентальном суставе; выявить косвенные диагностические мр-признаки расщепления передней дужки атланта.
Материал и методы исследования. Для ретроспективного анализа были отобраны 2857 мр-исследований шейного отдела позвоночника, проведенных с получением сагиттальных Т2, Т1ВИ, STIR, или DIXON_T1, Т2, коронарных и аксиальных Т2 изображений с толщиной срезов 3-4 мм на МР томографе с индукцией магнитного поля 3Т (Philips Ingenia). Исследования проводились по различным показаниям.
На мр-томограммах выявлялась расщелина (незаращение) передней дужки атланта, определялись особенности анатомического строения и особенности контуров передней дужки атланта в каждой из стандартных проекций (рис. 2).


Рис. 2. Коронарный и сагиттальный срезы Т2ВИ (стрелкой указаны поверхности расщепленной передней дужки)
Также обращали внимание на возможные изменения конфигурации строения зубовидного отростка осевого позвонка, связочного аппарата - толщину поперечной связки атланта, анатомическое строение составляющих атланто-затылочных суставов и дегенеративные изменения атланто-дентального сустава. Помимо выявления незаращения передней дужки атланта, определяли морфологические изменения, возникающие в процессе онтогенеза в атланто-дентальном суставе. Определяли влияние наличия расщепления передней дужки на ее анатомическую конфигурацию.
При наличии дегенеративных изменений определяли частоту, приблизительный возраст наступления и степень изменений, проводили сверку с общей статистикой дегенеративных изменений в атланто-аксиальных суставах. Произведены сравнительная анатомия конфигурации частей атланта и осевого позвонка в основной и контрольной группах, измерение сагиттальных размеров толщины передней дужки атланта на различной удаленности от медианы (переднего бугорка). Измеряли переднезадние и вертикальные размеры сечения в сагиттальной плоскости, отступив на 2 мм от медианы латерально (рис. 3).


Рис. 3. Сагиттальные томограмммы Т1 и Т2ВИ (красный контур сагиттальной плоскости сечения расщепленной передней дужки атланта)
Статистическая обработка данных проводилась с применением программы Satistica 10 (StatSoft). Применялись стандартные методы описательной статистики: расчет относительных, средних показателей и их средних ошибок. Для оценки достоверности полученных данных использовался t-критерий Стьюдента с уровнем статистической значимости (р), равным 0,05.
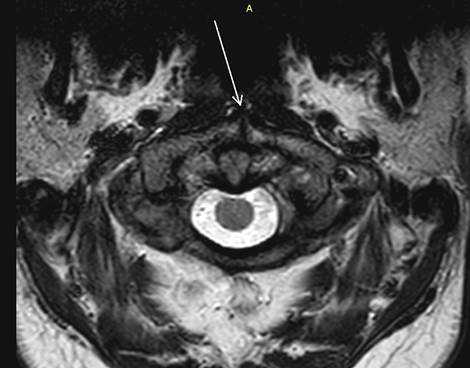
Результаты исследования и их обсуждение. Из 2857 мр-исследований шейного отдела позвоночника незаращение передней дужки атланта (рис. 4) было выявлено в 6 случаях (0,21±0,09%). Средний возраст обследуемых составил 43±5,4 года, возрастной диапазон выявленных случаев расщепления атланта составил от 34 до 48 лет. Из них мужчин было 1 (16,7%), женщин - 10 (83,3%). Диастаз расщелины варьировал от 0,3 до 2,1 мм, М = 1,4±0,7 мм.

Рис. 4. Аксиальный срез (Т2ВИ, стрелкой указан split atlas)
Для выявления влияния варианта анатомии на дегенеративные изменения из общего количества обследованных краниовертебральных областей была сформирована случайная выборка контрольной группы соответствующей возрастной категории (n=60) в возрасте от 34 до 48 лет без признаков расщепления атланта, обследованных по независимым причинам, без признаков каких-либо аномалий и вариантов развития.
Дегенеративные изменения атланто-дентального сустава были определены у 4 из 6 пациентов (66,7%) в основной группе и у 27 из 60 исследований (45,0%) в контрольной группе.
Среди выявленных дегенеративных изменений в основной группе имели место:
- сужение суставной щели до 0,8-1 мм - у 4 пациентов (66,7%);
- краевые экзостозы суставных поверхностей - у 2 (33,3%);
- субхондральный склероз - у 2 (33,3%);
- гипертрофия поперечной связки атланта - у 1 (16,7%).
Расщелина передней дужки атланта во всех случаях имеет гипоинтенсивный сигнал импульсных последовательностей Т2ВИ, Т1ВИ, STIR, что в большей степени соответствует синдесмозу.
При сравнении изменений конфигурации передней дужки выявлено заметное утолщение парасагиттальных отделов, образующих поверхности расщепленной дужки. Причем утолщение происходило как по вертикальным, так и по переднезадним размерам (таблица).
Средние значения величин сагиттального сечения частей передней дужки атланта, образующих расщепленные поверхности
Зона особого внимания — первый шейный позвонок
В ортодонтической практике, методы клинического обследования пациентов с аномалиями окклюзии и функциональные клинические пробы не могут быть достаточными для диагностики и выбора рационального метода лечения. Ведущая роль принадлежит специальным методам исследования, таким, как телерентгенограмма головы (ТРГ), позволяющая диагностировать " скрытые" аномалии размеров и положения челюстных костей в черепе, положения и взаиморасположения апикальных базисов, резцов и моляров, оценивать профиль лица и тип роста лицевого отдела черепа.
Однако кроме тщательных измерений, по которым проводятся основные расчёты, при глубоком изучении ТРГ мы имеем возможность, исследовать шейный отдел позвоночника, который хорошо виден на ТРГ в боковой проекции. Сегодня эта часть ТРГ имеет важное диагностическое значение.
Ранее, для определения пика роста челюстных костей, исследовали степень минерализации сесамовидной кости у большого пальца руки. Для чего дополнительно выполняли рентгенограмму кисти.
В современной ортодонтии, анализ темпов роста, проводят по шейным позвонкам. Тело позвонка меняет свою форму, по изменениям которого и определяют стадию роста. Однако, при тщательном исследовании шейного отдела позвоночника по ТРГ в боковой проекции, мы можем столкнуться с патологией, которая не входит в сферу нашей профессиональной деятельности.
Так, у ряда пациентов, нами были замечены изменения рентгенологичекой картины области первого шейного позвонка. Над дугой первого шейного позвонка были выявлены аномальные дополнительные костные дужки-полукольца. Это так называемая, оссификация косой атланто-окципитальной связки области атланта, впервые описана Kimmerle и известна в мировой литературе, как «вариант Киммерле» — врождённая краниовертебральная аномалия. Патология шейного отдела позвоночника является наиболее значимой причиной возникновения церебральных сосудистых нарушений.
Большое значение в настоящее время придается профилактике и ранней диагностике сосудистых нарушений при спондилогенных заболеваниях, а лечение сосудистых заболеваний головного мозга по-прежнему является актуальной проблемой современной медицины.
По нашим данным, у лиц молодого возраста отмечается значительная распространенность аномалии развития первого шейного позвонка (аномалия Киммерле). В нашей клинике, только за последние 12 месяцев, из общего количества обследуемых (лиц, которым была выполнена ТРГ в боковой проекции) — 1700 человек, было выявлено 135 человек с аномалией развития в области первого шейного позвонка.
Эта связка склонна к частичному или полному обызвествлению и окостенению с образованием костных перемычек или мостиков, перекидывающихся над бороздой позвоночной артерии атланта.
При этом образуется дугообразное или сводчатое отверстие, через которое проходят позвоночная артерия и субокципитальный нерв.
Задние отделы головного мозга питаются, главным образом, из системы позвоночных артерий, проходящих в полость черепа через шейные позвонки. Позвоночные артерии правая и левая огибают первый шейный позвонок, затем проходят в полость черепа, где и включаются в общую систему мозгового кровообращения. При аномалии Киммерле, костные дужки-полукольца, могут сдавливать позвоночные артерии. Как правило, артерии сдавливаются между аномальной дужкой и мышцами шеи. Это происходит при некоторых положениях головы или избыточном напряжении шейных мышц.
Сдавление позвоночных артерий приводит к дефициту кровоснабжения головного мозга, отсюда и характерные симптомы аномалии Киммерле.
При аномалии Киммерле, как правило, наблюдают два-три или более из перечисленных симптомов:
- головокружение и/или шаткость (может усиливаться при повороте головы);
- шум (звон, гул, свист) в одном или обоих ушах (может усиливаться при повороте головы);
- потемнение в глазах, «мушки» или «звёздочки» перед глазами при напряжении или некомфортном положении мышц шеи, повороте головы;
- утрата сознания (полная или частичная) глазами при напряжении или некомфортном положении мышц шеи, повороте головы;
- внезапная слабость мышц и падение при сохранённом сознании.
В более тяжёлых случаях возможно следующее:
- головная боль;
- нистагм (непроизвольное подёргивание глазных яблок);
- тремор рук, ног, расстройства координации движений;
- снижение чувствительности части лица, части туловища, одной или нескольких конечностей;
- слабость мускулатуры части лица, части туловища, одной или нескольких конечностей.
В некоторых случаях аномалии Киммерле возможно развитие состояний, угрожающих инсультом головного мозга.
Надо отметить, что симптоматика может долгое время отсутствовать, а затем развиться внезапно, после травмы, гриппа или другой провокации, причём в любом возрасте.
Тщательное и внимательное изучение ТРГ даёт возможность выявить и диагностировать заболевание на ранней стадии. Своевременное направление к врачу невропатологу, позволяет начать лечение, когда патология ещё не проявляет себя клинически.
Глубокий анализ ТРГ даёт нам право обоснованного направления таких пациентов на консультацию к невропатологу для проведения необходимого лечения. Основываясь на нашем опыте работы, мы считаем, что необходимо использовать любую возможность для выявления заболеваний, имеющих значение для здоровья человека.
Шулькина Наталья Михайловна
Руководитель Ортодонтического центра «ДентИдеал»
Доцент Санкт-Петербургского Государственного
Медицинского Университета им. академика И.П. Павлова
Клиники сети не работают в рамках ОМС (обязательного медицинского страхования).
Режим работы:
пн.-сб.: 9:00-20:00
Строение и функции первого шейного позвонка
Шейный отдел позвоночника состоит из 7 позвонков, этот сегмент является наиболее подвижным. Краниовертабральный переход - это верхняя часть шейного сегмента, которая состоит из таких позвонков, как атлант, аксис, а также затылочного основания черепа. Это сочленение обеспечивает подвижность шеи. На этом же участке размещены кровеносные сосуды, которые поставляют кровь к мозгу, а также луковица головного мозга (задний отдел головного мозга), регулирующий жизненно важные функции (вегетативные, моторные, сенсорные).
Первый шейный позвонок подвергается наибольшей нагрузке, он поддерживает череп, спинной мозг, позвоночные артерии, имеет точки, к которым крепятся мышцы шеи. Его напряжение усиливается еще из-за того, что голова постоянно двигается. Его строение отличается от других позвонков, что позволяет ему нормально функционировать.
Строение
Позвоночник начинается с атланта, этот позвонок еще называется С1 или atlas. Он размещен под мыщелками (шарообразное окончание кости) затылочной кости и над вторым позвонком шейного отдела (С2, аксис). Атлас можно прощупать пальцами, при его правильном расположении сохраняется нормальная подвижность головы, нормально функционирует организм.
Анатомия атланта отличается от других шейных позвонков. Это самый тонкий элемент позвоночника, который имеет кольцевидную форму и несколько небольших выступов. 1 шейный позвонок не имеет тела, вместо этого на переднем его конце размещена передняя дуга, самую выпуклую часть которой называют передним бугорком. Передняя дуга имеет изгибы назад, а также по бокам от бугорка, а ее задняя поверхность гладкая. На задней поверхности передней арки находится суставное углубление для зуба второго позвонка шейного отдела (аксис).
Справа и слева от передней дуги размещены самые широкие участки С1. На каждой латеральной массе (утолщения) размещены овальные впадины, которые имеют гладкую поверхность, их называют суставные фасетки. К этим углублениям крепятся мыщелки затылочной кости, так образуется атлантозатылочное сочленение. Это костное соединение позволяет сгибать, а также разгибать шею. На нижней поверхности каждой латеральной массы размещены суставные углубления, которые обеспечивают сочленение с аксисом (С2). Так образуется атлантоаксиальный сустав.
По бокам каждой латеральной массы размещены расширения, которые называют поперечные отростки, внутри них есть отверстия для позвоночных артерий, а также вен, идущих через шею. Эти костные структуры защищают сосуды от повреждения. Кроме того, к поперечным отросткам крепятся мышцы, отвечающие за движения шеей.
От поперечных отверстий простирается задняя арка, которая замыкает кольцо атланта, а внутри него размещено позвоночное отверстие. Тонкий кольцевидный позвонок имеет расширение только на заднем участке, где образуется бугорок. Его структура и функции схожи со многими остистыми отростками. Углубления с каждой стороны задней арки служат для выхода нервных корешков из позвоночного отверстия, а также позволяют позвоночной артерии пройти в затылочное отверстие через полость в позвоночном столбе.

Атлант - вид сверху

Атлант - вид снизу
Изучить структуру атласа можно на фото выше, где представлен его вид сверху и снизу.
Таким образом, можно выделить основные отличительные особенности строения атланта от других позвонков:
- С1 не имеет тела.
- Вместо тела атлас имеет латеральные массы, которые соединяются передней и задней дугами.
- Атлант имеет бугорок спереди, а также сзади.
- На внутренней стороне передней дуги находится суставное углубление для сочленения атланта с аксисом. Это костное соединение сохраняет подвижность обеих позвонков.
- Между С1 и С2 размещено подвижное сочленение, которое обеспечивает движения головой.
Это основные черты атласа, которых нет ни у одного из других позвонков.
Функции атланта
Позвонок С1 поддерживает череп, а также обеспечивает движения головой и шеей. Костное соединение между затылочной костью и атлантом позволяет сгибать-разгибать шею с помощью нескольких мышц. Атлантоаксиальный сустав обеспечивает боковое сгибание, вращение головой в разные стороны. Большинство мышц шеи задействованы при повороте головы, но некоторые из них (в том числе прямая латеральная, а также косая мышцы головы) крепятся к поперечным отросткам атласа. Несколько мышц соединяют поперечные отростки с аксисом, позволяя сгибать шею в стороны к плечам.
С1 образует костное кольцо, которое защищает спинной мозг, а также исходящие из него нервные корешки, от повреждений. Позвоночное отверстие атласа имеет больший диаметр, чем у других позвонков, что позволяет мягкой нервной ткани беспрепятственно двигаться при сгибании или вращении шеи. Поперечные отверстия защищают позвоночные артерии, вены, которые обеспечивают питание головного мозга. Эти костные структуры не позволяют сжимать или повреждать кровеносные сосуды.
Атлантоаксиальный сустав
Как упоминалось ранее, под атлантом размещен аксис. 1 и 2 позвонок образуют атлантоаксиальный сустав. Строение аксиса или осевого позвонка отличается от С1, это заметно на фото ниже.

Аксис - второй позвонок шейного отдела
Это костное соединение является комбинированным, оно содержит 3 отдельных сочленения: срединный, а также 2 латеральных. Срединный сустав состоит из передней и задней суставных углублений атласа, которые сочленяются с ямкой зуба, поперечной связкой С1, натянутой между его боковыми массами. Это цилиндрическое одноосное костное соединение, которое позволяет поворачивать голову вправо-влево. Атлант вместе с черепом может поворачиваться вокруг зуба С2 на 30 - 40° в обе стороны.
Латеральный атлантоаксиальный сустав - это парное костное соединение (правое и левое). Он состоит из нижнего суставного углубления С1, а также верхней сочленяющейся поверхности С2. Это плоское многоосное соединение, которое обеспечивает повороты черепа при движении атласа вокруг зубовидного отростка осевого позвонка.
Срединный и латеральные соединения имеют отдельные суставные сумки, они укреплены связками. Фиксацию зубовидного отростка при его вращении вокруг С1 осуществляет крестообразная связка. Ее образует поперечная связка атласа, а также 2 пучка (верхний и нижний), которые проходят вверх к затылочному отверстию, а потом вниз к задней части С2.
Справка. Крестообразная связка фиксирует зуб, направляет его движения. Кроме того, она не допускает его вывих, повреждение спинного, а также продолговатого мозга, что может привести к смерти.
Крыловидные связки размещены по бокам зубовидного отростка, они поднимаются к затылочной кости. Связка верхушки зуба - это тонкий пучок, который идет от верхней части отростка до основания черепа.
Атлантозатылочный сустав
Далеко не все люди знают, что такое атлантозатылочный сустав. Это костное соединение, которое соединяет череп с шейным отделом позвоночника, оно состоит из двух мыщелков затылочной кости и верхних суставных углублений позвонка С1. Сочленяющиеся поверхности образуют комбинированный мыщелковый двуосный сустав.

Атлантозатылочный сустав
Каждое костное соединение имеет отдельные капсулы, а снаружи их фиксируют связки:
- Передняя мембрана, которая натянута между передней аркой С1 и костью затылка.
- Задняя мембрана, которая размещена на участке между задней аркой атласа, а также задней окружностью отверстия в затылочной кости черепа.
Атлантозатылочный узел человека позволяет совершать движения вокруг фронтальной и сагиттальной оси. Вокруг первой можно наклонять голову вперед-назад, а вокруг второй - наклонять ее вправо-влево. Передний конец сагиттальной оси расположен немного выше заднего. Благодаря диагональному расположению оси при боковом наклоне голова немного поворачивается в противоположную сторону.
Мышцы и связки атлантозатылочного узла позволяют двигать головой относительно шеи, фиксируют затылок, черепную коробку в нужной позиции. Связочные узлы удерживают зубоподобную кость в постоянном положении при вращении головой, предохраняя спинной мозг и кровеносные сосуды от повреждения. На участке соединения черепа с шейным отделом позвоночника возможны движения с небольшой амплитудой, более широкие движения возможны при участии всей шеи.
Как упоминалось ранее, С1 имеет широкое позвоночное отверстие, что позволяет нормально функционировать верхнему отделу спинного мозга. На задней поверхности атлантозатылочного узла проходит позвоночная артерия, а также большое количество спинномозговых нервов, которые передают сигналы от ЦНС.
При нарушении кровообращения на участке атлантозатылочного сустава люди ощущают такие симптомы:
- Головные боли, мигрени.
- Повышение артериального давления.
- Часто возникающая тошнота, вертиго (кружится голова), периодическая рвота.
- Потеря сознания.
- Расстройства слуха и зрения и т. д.
При нарушении кровоснабжения мозг страдает от недостатка питательных веществ, кислорода. В таком случае необходимо медикаментозное лечение.
Смещение атланта
Причины и симптомы
Одна из наиболее частых патологий шейного отдела позвоночника - это смещение атланта относительно оси С2. Тогда нарушается функциональность верхнешейной зоны в результате компрессии нервных корешков, а также кровеносных сосудов, а это приводит ко многим патологиям.
Когда смещается самый первый позвонок шейного сегмента, тогда нарушается работа важных регуляторных отделов ЦНС. При повреждении луковицы головного мозга могут прекратиться дыхательные движения и работа сердца, так как на этом участке содержатся важные нервные центры.
Справка. При подвывихе атланта практически у всех больных появляются головные боли, деформируется позвоночник. У некоторых пациентов возникают боли в верхних, а также нижних конечностях, животе, развивается остеохондроз, межпозвонковые грыжи, головокружения и т. д. После вправления позвонка все неприятные симптомы исчезают.
Атлант может сместиться в результате аномалии Киммерли - это врожденная патология, при которой в шейном отделе образуется дополнительная костная дужка в форме полукольца. Но чаще всего подвывих могут спровоцировать следующие факторы:
- Заболевания позвоночного столба, например, остеохондроз, кифоз, спондилез.
- Травма во время родов, допущенная вследствие неаккуратных действий акушера.
- Спондилолиз - несращение дуги позвонка на участке между суставами или ножки дуги, которое возникает вследствие задержки развития заднего отдела позвоночного столба.
- Спортивные травмы, падения, аварии и т. д.
Смещение атланта - это патология, которая имеет скрытое течение, поэтому долгое время больные даже не подозревают о своем состоянии. Однако выявить заболевание можно по таким симптомам:
- Сильно и долго болит голова.
- Возникают расстройства слуха, зрения.
- Нарушается кровоснабжение мозга.
- Ухудшается память.
- Нарушается чувствительность рук, что проявляется покалыванием, ощущением «ползанья мурашек», онемением.
- Ослабление мышц шеи до такой степени, что больной не может удерживать голову.
- Появляется боль в затылке или шее.
- Возникают расстройства сна.
- Пересыхает слизистая рта.
- Нарушается дыхание.
- Возникают приступы кашля без видимой причины, меняется голос.
Справка. После травмирования шейного отдела нужно срочно посетить врача, даже если подозрительные симптомы отсутствуют.
При отсутствии лечения подвывиха атланта нарушается работа нервной системы, вазомоторного центра, из-за чего страдает головной мозг, повышается риск вегетативной дисфункции. При смещении С1 в позвоночном канале скапливается цереброспинальная жидкость, как следствие, нарушаются функции позвоночника, спинного мозга. Также существует риск сжатия сосудов, тогда может появиться тошнота, рвота, повышается вероятность нарушения работы нервной, психической, гормональной систем.
Как видите, атлант - это важнейший позвонок, который участвует в работе многих органов и систем. Поэтому при его смещении нарушается их нормальная работа.
Лечение смещения атланта
При появлении симптомов смещения атланта нужно обратиться к травматологу. Для выявления патологии проводят пальпацию, рентгенографию, функциональные пробы. Также может понадобиться КТ или МРТ.

Вправление атланта при его смещении
После вправления атланта пациент должен носить специальный воротник на протяжении нескольких месяцев. Для купирования сильной боли применяют обезболивающие средства, анестетики (Новокаин), в тяжелых случаях не обойтись без глюкокортикостероидов. Миорелаксанты помогут расслабить спазмированные мышцы, избежать паралича.
Дополнить комплексное лечение рекомендуется физиотерапией (магнитотерапия, электрофорез, фонофорез и т. д.), рефлексотерапией, массажем, мануальным воздействием, лечебной физкультурой.
Комплексная и своевременная терапия поможет ускорить выздоровление, а также предотвратить опасные осложнения.
Основные выводы
Атлант - это важнейший позвонок шейного сегмента позвоночника. Благодаря особенному строению С1 способен удерживать голову, совершать разнообразные движения шеей. Однако из-за его чрезмерной подвижности атлас часто повреждается. Смещение первого позвонка - это одна из наиболее распространенных патологий шейного отдела. При появлении первых симптомов подвывиха атланта следует сразу посетить врача, в противном случае повышается риск опасных осложнений, вплоть до паралича или гибели человека.
Кости
, massa lateralis atlantis. Расширенная боковая часть позвонка, на которой расположена суставная поверхность для сочленения с черепом. Рис. А.
Верхняя суставная поверхность
Нижняя суставная поверхность
Передняя дуга атланта
Ямка зуба
, fovea dentis. Суставная поверхность для сочленения с зубом осевого позвонка, расположенная на внутренней поверхности передней дуги атланта. Рис. А.
Передний бугорок
Задняя дуга атланта
Борозда позвоночной артерии
Задний бугорок
Осевой позвонок
Верхушка зуба
Передняя суставная поверхность
Задняя суставная поверхность
Крестец [крестцовые позвонки]
Основание крестца
, promontorium. Передний край тела первого крестцового позвонка. Значительно выступает в верхнюю апертуру таза. Рис. Е.
Крестцовое крыло
Верхний суставной отросток
Латеральная часть
, pars lateralis. Объединенные в единое целое поперечные отростки крестцовых позвонков и рудименты ребер. Рис. В, Рис. Е.
Ушковидная поверхность
Крестцовая бугристость
, tuberositas sacralis. Шероховатая поверхность позади facies auricularis, предназначенная для прикрепления связок. Рис. В.
Тазовая поверхность
Поперечные линии
, lineae transversae. Четыре поперечных линии - следы срастания тел пяти крестцовых позвонков. Рис. Е.
Межпозвоночные отверстия
, foramina intervertebralia. Образованы верхней и нижней позвоночными вырезками. Служат местом выхода спинномозговых нервов. Рис. Г.
Передние крестцовые отверстия
, foramina sacralia anteriora (pelvica). Места выхода передних ветвей спинномозговых нервов и сосудов. Рис. Г, Рис. Е.
Дорсальная поверхность
Срединный крестцовый гребень
, crista sacralis mediana. Расположен по средней линии. Состоит из рудиментов остистых отростков крестцовых позвонков. Рис. В.
Задние крестцовые отверстия
Промежуточный крестцовый гребень
, crista sacralis intermedia. Формируется рудиментами суставных отростков. Расположен билатерально от срединного крестцового гребня. Рис. В.
Латеральный крестцовый гребень
, crista sacralis lateralis. Образован рудиментами поперечных отростков позвонков и расположен кнаружи от дорсальных крестцовых отверстий. Рис. В.
Крестцовый рог
Крестцовый канал
Крестцовая щель
, hiatus sacralis. Нижнее отверстие позвоночного канала, через которое выходит терминальная нить. Расположена на уровне S3 - 4. Служит местом проведения нижней эпидуральной анестезии. Рис. В.
Проблемы с шейными позвонками. Что делать?
Гиподинамия - бич цивилизации и причина появления симптомов поражения шейных позвонков - сковывающей боли, не дающей возможности двигать головой и руками. Что делать, когда признаки уже проявились. Как избежать осложнений и продлить ремиссию.
ДОСТУПНЫЕ ЦЕНЫ НА КУРС ЛЕЧЕНИЯ
Мягко, приятно, нас не боятся дети

Что бы ни болело у человека - это всегда дискомфорт и неудобство. Когда боль «стреляет» в шею, возникает эффект панциря: чтобы повернуть голову надо двигать весь корпус. Почему это происходит и как действовать - об этом ниже.
Чем отличается строение шейного отдела позвоночника
Шея человека представлена семью верхними позвонками, которые обеспечивают свободное движение головы и верхних конечностей. Естественный изгиб амортизирует резкие толчки при движении. Ведь любые встряски могут привести к травме головного мозга с непредсказуемыми последствиями. Рассмотрим позвонок поближе. Это причудливое почти круглое торообразное тело с отростками соединяется через хрящик с соседним позвонком. Хрящ образует межпозвоночный диск, предотвращающий разрушение расположенных сверху и снизу позвонков из-за трения. Через полости позвонков пролегает спинномозговой канал, напоминающий длинный корень, по которому головной мозг и органы тела с конечностями обмениваются информацией и командами в виде электрических сигналов. Через каждое отверстие между отростками идут нервные окончания и кровеносные сосуды. Они обеспечивают ткани кислородом и питанием, способствуя прохождению импульсов.
Что может случиться с шейным отделом
При возникновении патологии в одном из элементов спинного мозга и позвоночного столба появляются зоны с ухудшенным кровоснабжением, образованием наростов и зачастую защемлением нервных окончаний. Это сопровождается болью острой или умеренной.
Частые диагнозы при проблемах в позвоночнике:
- Деформирующий артроз. Как видно из названия, происходит деформация межпозвоночных дисков вследствие трения на фоне размягчения костной и хрящевой ткани.
- Остеохондроз. Образование остеофитов - солевых отростков в застойных участках. Защемление нервных корешков между отростками позвонков и остеофитами.
Деформирующий артроз
Процесс вымывания солей из костно-хрящевой ткани сопровождается потерей эластичности и прочности соединений позвонков. При повышенных нагрузках идет разрушение, сначала незаметное, а потом необратимое.
Остеохондроз
Болезненные симптомы появляются не сразу. На поверхностях костей постепенно откладываются соли. Они затрудняют нормальное кровоснабжение прилегающих зон, и в результате подвижность позвонков ограничивается. При резком движении слышен характерный хруст. При шейном остеохондрозе боли проецируются на различные части головы, руки.
Интенсивность болевых ощущений не всегда зависит от движения. Возникает при статическом напряжении, например, от продолжительного стояния или сидения и от усилия по поддержанию головы в приподнятом положении.
Защемление нервных окончаний
Когда отложения на костных поверхностях становятся большими, то возникает риск защемления нервных окончаний между отростками. Это сопровождается следующими симптомами:
- Головная боль, звон в ушах, головокружение, ухудшение зрения;
- Острый прострел в верхние отделы рук, плечи, онемение в пальцах;
- Боли в грудной клетке по типу сердечного приступа.
Как предотвратить и лечить
Как правило, усугубление начавшихся негативных процессов можно затормозить и избежать серьезных осложнений путем специальных тренировок с упором на укрепления мышц спины и шеи. В сочетании с массажем, водными процедурами эффект не заставит себя ждать.
В случае более серьезных повреждений назначают различные хондропротекторы: препараты для восстановления хрящевой и костной ткани с хондроитином, глюкозамином, коллагеном.
В качестве профилактических мер специалисты рекомендуют здоровый образ жизни. Сюда входит сбалансированное питание с компонентами для восстановления хряща: холодец, мармелад, молочные продукты, нежирная говядина и рыба. Рекомендуется плавание, ходьба, упражнения в тренажерных залах, наблюдение врача.
Читайте также:
