Хирургическое лечение деструктивного туберкулеза. Операбельность рака легкого
Добавил пользователь Владимир З. Обновлено: 13.12.2025
Рак легкого - это злокачественная опухоль, источником которой являются клетки бронхиального и альвеолярного эпителия. Это опасное заболевание характеризуется неконтролируемым ростом клеток в тканях лёгкого, склонностью к метастазированию. При отсутствии лечения опухолевый процесс может распространиться за пределы легкого в близлежащие или отдаленные органы. В зависимости от характеристик опухолеобразующих клеток, основными типами рака легких являются мелкоклеточный рак легкого (МРЛ) и немелкоклеточный рак лёгкого (НМРЛ).
По данным ВОЗ эта болезнь занимает одну из лидирующих позиций неинфекционных заболеваний, ставших причиной смерти до 70 лет.
Классификация
По месту первичного очага классифицируют виды опухоли легкого.
Центральный рак локализирован в проксимальных (центральных) отделах бронхиального дерева. Первые признаки рака легких (симптомы), которые должны насторожить, в этом случае выражены ярко:
- сухой продолжительный кашель, не поддающийся лечению.
- начинается кровохарканье с присоединением мокроты.
- закупорка просвета бронха опухолевыми массами приводит к одышке даже в состоянии покоя. В некоторых случаях возможно повышение температуры.

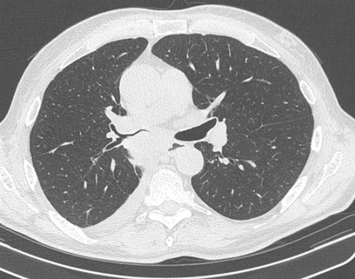
Фото 1 — Центральный рак правого нижнедолевого бронха (1) с обтурацией и метастазами (2) в бифуркационные лимфатические узлы
Периферический рак постепенно сформировывается в боковых отделах легких, медленно прорастая и ничем себя не обнаруживая. Данная опухоль легкого симптомы долгое время может не давать, они появляются при значительном местном распространении, вовлечении соседних органов и структур, прорастания бронхов. Диагностика рака легких этого типа локализации чаще всего возможна при профилактическом обследовании (рентгенографии или компьютерной томографии).

Фото 2 — Периферический рак (1) верхней доли правого легкого
Причины
Причиной рака легких, в подавляющем большинстве случаев (до 85%), становится долгосрочное табакокурение. В 10-15-процентной вероятностью заболевание проявляется у людей, которые не имеют этой вредной привычки. В этом случае можно отметить сочетание генетических факторов и воздействие радона, асбеста, вторичного табачного дыма или других форм загрязнения воздуха.
Диагностика
Онкология легких обычно выявляется при рентгенографическом исследовании грудной клетки и компьютерно-томографическом сканировании (КТ). Диагноз подтверждается биопсией, которая обычно выполняется при трахеобронхоскопии или под КТ контролем.

Профилактика
Профилактикой рака легкого является снижение влияния факторов риска:
- отказ от курения, в том числе и «пассивного» (вдыхание табачного дыма от находящегося рядом курящего человека),
- применение средств индивидуальной защиты (маски, респираторы) при работе с вредными материалами.
Лечение
Лечение онкологии легких и отдаленные результаты зависят от типа рака, степени распространения (стадии), а также общего состояния здоровья человека. При немелкоклеточном раке легкого применяют:
- хирургический
- химиотерапевтический
- лучевой методы лечения
Для мелкоклеточного рака легкого характерна лучшая чувствительность к медикаментозной и лучевой терапии.
Хирургический метод лечения рака легкого
— основной радикальный способ при 1-3 стадии болезни. Операции, выполняемые при данном заболевании классифицируются:
- по объему резекции (лобэктомии (удаление доли легкого), билобэктомии (удаление двух долей легкого), пневмонэктомии (удаление целого легкого)),

Фото 3 — Лобэктомия
Фото 4 — Пневмонэктомия
- по объему удаления лимфатических узлов грудной полости (стандартные, расширенные, сверхрасширенные),
- по наличию резекции соседних органов и структур (комбинированные операции проводятся при прорастании опухоли в перикард, трахею, верхнюю полую вену, пищевод, аорту, предсердие, грудную стенку, позвоночник). Помимо оперативного лечения возможно применение комплексного подхода, включающего лучевую и химиотерпию.

При лечении местнораспространенного злокачественного образования с переходом на главный бронх и лёгочную артерию, в тех случаях, где раньше единственным вариантом оперативного лечения являлась пневмонэктомия, сейчас возможно выполнение органосохранных операций. В этом случае иссекается пораженный участок главного бронха с последующим восстановлением непрерывности (бронхопластические и ангиопластические лобэктомии)

Фото 5 — Схема верхней бронхопластической лобэктомии
Лучевая терапия рака лёгкого
На сегодняшний день активное внедрение получают такие современные методы радиотерапии, как IMRT (радиационная терапия с возможностью изменения дозы излучения), 3Д конформная лучевая терапия (трехмерное компьютерное планирование избирательного облучения) стереотаксическая (точно сфокусированная) лучевая терапия. В проведении этих манипуляций, помимо онкологов, участвуют медицинские физики, врачи-радиологи, физики-дозиметристы и др. специалисты.
- пациентам с резектабельной опухолью лёгкого, которым оперативное лечение выполнить невозможно ввиду противопоказаний со стороны сердечно-сосудистой системы или по другим причинам;
- как альтернатива хирургическому вмешательству;
- для снижения риска рецидива при поражении лимфаузлов средостения, положительном крае резекции по данным гистологического исследования.
Химиотерапия
Планирование курса лечения немелкоклеточного рака лёгкого включает в себя использование фармакологических средств. Применяется в целях профилактики: адъювантная (вспомогательная), послеоперационная химиотерапия при 2-3 стадии заболевания и в терапевтическом курсе.
В зависимости от гистологического типа опухоли, стадии заболевания и предполагаемой чувствительности к воздействию, разработаны различные схемы применения химиопрепаратов.
Таргетная терапия (англ. target - мишень, цель)
Отдельный вид фармакологического лечения, заключающийся в назначении препаратов-ингибиторов, действующих только на опухолевые клетки, в которых выделены различные нарушения, задерживающих или даже блокирующих дальнейший рост.
- ингибиторы тирозинкиназы (гефитиниб, эрлотиниб, афатиниб) используются в лечении больных, в опухолевой ткани которых выявлены мутации в гене EGFR.
- При отрицательном статусе EGFR-мутации — ингибиторы ALK (кризотиниб, алектиниб).
Существуют таргетные препараты, для назначения которых не требуется выявление каких-либо нарушений в опухолевых клетках. К ним относятся бевацизумаб (ингибитор VEGF), ниволюмаб и пембролизумаб (анти PDL1 антитела).
Прогноз жизни
Прогноз онкологии легких при НМРЛ включает симптоматику, размер опухоли (> 3 см), неплоскоклеточный гистологический вариант, степень распространения (стадию), метастазирование в лимфаузлы и сосудистую инвазию. Неоперабельность заболевания, выраженная клиника и потеря веса более, чем на 10% — дают более низкие результаты. Прогностические факторы при мелкоклеточном раке легкого включают в себя статус состояния, пол, стадию заболевания и вовлеченность центральной нервной системы или печени во время диагностики.
Для немелкоклеточного рака легкого прогноз жизни, при полной хирургической резекции стадии IA (ранняя стадия заболевания) — 70% пятилетняя выживаемость.
Хирургическое лечение деструктивного туберкулеза. Операбельность рака легкого
Цель работы — изучить эффективность и возможности хирургических методов лечения туберкулеза легких на основании систематического обзора российской и зарубежной литературы и оценить возможности совершенствования оперативных вмешательств при помощи современных медицинских технологий.
Материал и методы
Выполнен анализ клинических исследований, касающихся хирургического лечения туберкулеза легких, за последние 20 лет. В анализ включили публикации в научных рецензируемых журналах с 2000 г., в которых даны сведения о методологии исследования и результатах хирургического лечения.
Результаты
История торакальной хирургии начала свое развитие с операций, выполняемых при туберкулезе легких. Основные подходы к хирургическому лечению туберкулеза разработаны и внедрены в практику хирургов в 60-е гг. ХХ века, считающегося периодом расцвета фтизиохирургии, и проверены многолетней практикой [1]. Социально-экономические потрясения и качественные изменения эпидемической ситуации в конце ХХ — начале ХХI века снизили эффективность консервативного лечения и заставили переосмыслить применение и эффективность хирургических методов [2, 3].
Особые надежды в настоящее время возлагают на хирургию как на метод, способствующий радикальному устранению основного очага инфекции и облегчению задач терапии при лекарственной устойчивости микобактерий туберкулеза (МБТ) [4—6]. Современный уровень хирургии, анестезиологии и интенсивной терапии позволяет расширить объем необходимой хирургической помощи как этапа в многокомпонентном процессе преемственности лечения больных туберкулезом. Наиболее значимой задачей планового хирургического лечения туберкулеза легких является удаление необратимых морфологических (преимущественно деструктивных) изменений легочной ткани [7]. Плановые оперативные вмешательства резекционного типа отличаются высокой эффективностью, низкой летальностью и небольшим количеством осложнений [8—11].
Ряд авторов сомневаются в целесообразности оперативных вмешательств при ограниченных и небольших поражениях легких (малых формах туберкулеза) [12]. Другие, наоборот, доказывают целесообразность хирургического лечения [11, 13]. Поэтому показания к операции при малых формах туберкулезного процесса определяют индивидуально, с учетом всех факторов [7, 14].
Большинство российских и зарубежных исследователей признают наличие деструктивных форм туберкулеза и множественной лекарственной устойчивости (МЛУ) МБТ прямым показанием к хирургическому лечению [15—24]. Основным критерием эффективности операции в отдаленном периоде большинство исследователей считают отсутствие реактивации туберкулезного процесса в легком, медицинскую реабилитацию и снятие пациента с диспансерного наблюдения в связи с выздоровлением. Все авторы отмечают наилучшие результаты хирургического лечения у пациентов с ограниченными формами туберкулеза, наихудшие — при распространенных и нестабильных туберкулезных процессах [8, 9, 25, 26].
Не существует единого мнения, на каком сроке следует оценивать эффективность лечения [9, 11, 15]. Используя данные литературы, можно оценить результаты работ за последние 20 лет (см. таблицу).

Таблица. Отдаленные результаты хирургического лечения туберкулеза легких за последние 20 лет
При изучении факторов реактивации туберкулеза в отдаленном периоде условно выделяют 2 группы: основные и второстепенные. К основным факторам относят наличие МЛУ, дефекты химиотерапии, большую распространенность туберкулезного процесса (особенно двустороннее поражение легких), бактериовыделение на момент операции, сохранение высокой активности воспалительного туберкулезного процесса перед операцией, остаточные очаги в легком. К второстепенным факторам — наличие сопутствующих заболеваний и осложнений в раннем послеоперационном периоде, социальную дезадаптированность пациентов, необоснованный отказ от применения манипуляций и операций по коррекции гемиторакса, дефицит массы тела, плохую переносимость антибактериальной терапии, выраженные нарушения функции внешнего дыхания, иммунодефицит, дефекты диспансерного наблюдения за больными [8—11, 15, 16,24—30].
Выбор объема оперативного лечения является одним из определяющих факторов его эффективности [7]. Малые резекции легких больные переносят хорошо, и они высокоэффективны [1, 8, 9, 10]. Сочетание резекционных операций с отсроченной корригирующей экстраплевральной торакопластикой значительно улучшает результаты лечения распространенных форм туберкулезного процесса, в том числе уменьшает риск возникновения послеоперационных плевролегочных осложнений [7, 17, 19, 21].
В современной торакальной хирургии широкое распространение получили операции с применением эндоскопической техники. Ограничения в первую очередь связаны с часто встречающимися при туберкулезе легких плотными плевральными сращениями [26—29]. В последние годы появились сведения об успешном применении техники видеоассистированной торакоскопии (ВАТС) с использованием торакоскопической техники [31—34].
Видеоторакоскопия при туберкулезе легких наиболее эффективна в диагностике плеврита и диссеминированных поражений легких неясной этиологии. У мини-инвазивных торакоскопических операций отмечены технические трудности при распространенных плотных плевральных сращениях и фиброзной трансформации элементов корня легкого [31]. Ряд авторов не рекомендуют применение видеоторакоскопических резекций в хирургии туберкулеза легких, поскольку эта методика не позволяет провести полноценный пальпаторный контроль линии резекции и всегда сопряжена с риском наложения швов на рентгенонегативные очаги [7, 10].
Операции ВАТС технически более просты и возможны даже при наличии спаечного процесса. Привлекательность этого метода в малой травматичности, низком болевом синдроме, коротких сроках послеоперационной реабилитации, существенном сокращении сроков стационарного лечения [21, 31, 33].
Новым направлением в торакальной хирургии являются робот-ассистированные операции, при которых плевральные сращения, как правило, не являются противопоказанием даже при условии тотальной облитерации плевральной полости [35, 36].
Спиральная КТ, обязательно применяемая перед хирургическим лечением, значительно расширяет возможности предоперационного планирования [37]. Существующие методики цифровой обработки данных КТ позволяют выполнять трехмерное (3D) моделирование и реконструкцию патологических изменений в легком и изучать анатомические особенности оперируемого органа [38].
В последние годы появились работы, описывающие возможности применения 3D-моделирования и реконструкции в различных областях медицины (особенно в хирургии) [39—45]. Большое количество исследований выполнены на базе Центра прорывных исследований «Информационные технологии в медицине» СамГМУ.
В торакальной хирургии КТ с 3D-моделированием возможно детально оценить распространенность процесса, визуализировать пространственное распределение бронхососудистых структур, что позволяет существенно влиять на ход и продолжительность хирургической операции и избегать осложнений, связанных со случайным повреждением сосудов и недооценкой распространенности туберкулезного процесса [43—45].
Заключение
Успех хирургического лечения определяется грамотным предоперационным планированием и мастерством хирурга. Современные технологии моделирования и прототипирования позволяют у точно интраоперационно ориентироваться в персонифицированной анатомии пациента для эффективного использования хирургических методов лечения туберкулеза легких. С учетом социальной значимости туберкулеза легких и востребованности хирургического лечения следует считать, что 3D-моделирование с последующим предоперационным планированием является перспективным для изучения.
Несмотря на довольно высокую эффективность хирургии в лечении лекарственно-устойчивого туберкулеза, применение этого метода в РФ и во всем мире остается очень ограниченным, в том числе по причине частого двустороннего поражения легких, низких функциональных резервов и тяжелых сопутствующих заболеваний у таких пациентов [1].
К числу наиболее тяжелых относятся случаи с тотальным разрушением одного легкого при наличии ограниченных деструктивных изменений в контралатеральном легком. Такие пациенты, по данным отечественной и зарубежной литературы, могут быть кандидатами для последовательной пневмонэктомии и операции на единственном легком резекционного или коллапсохирургического плана [2—5].
Однако частота как резекционных, так и коллапсохирургических операций на единственном легком остается на протяжении 60 лет их применения казуистически малой и является прерогативой лишь нескольких хирургических клиник.
Цель исследования — повышение эффективности лечения пациентов с деструктивным туберкулезом единственного легкого путем совершенствования коллапсохирургических операций.
Пневмонэктомия с последующими коллапсохирургическими вмешательствами по поводу деструктивного туберкулеза единственного легкого выполнена у 123 пациентов: 78 (63,4%) мужчин и 45 (36,6%) женщин в возрасте от 14 до 59 лет, средний возраст 35±1,6 года. У 117 (95,1%) пациентов при поступлении в наши хирургические отделения на стороне большего поражения определен фиброзно-кавернозный туберкулез, у 1 — эмпиема плевры с циррозом легкого, у 5 — тотальная казеозная пневмония.
Фиброзно-кавернозный туберкулез со стороны меньшего поражения отмечен у 33 (26,8%) больных, очаговый туберкулез с распадом — у 31 (25,2%), кавернозный — у 29 (23,6%), туберкулемы с распадом — у 25 (20,3%), инфильтративный с распадом — у 5 (4,1%).
Срок заболевания туберкулезом, как и сроки химиотерапии до хирургического лечения, варьировал от 9 мес до 46 лет, но у 121 (98,4%) пациента составлял более 1 года. При этом 36 (29,3%) пациентов болели туберкулезом более 10 лет.
На момент хирургического лечения бактериовыделение в мокроте сохранялось у 122 (99,2%) больных. Данные о лекарственной устойчивости (ЛУ) микобактерий туберкулеза (МБТ) до операции получены у 117 (95,1%) пациентов, в том числе у 63 (53,8%) определена широкая лекарственная, у 46 (39,3%) — множественная лекарственная устойчивость, у 4 (3,3%) — поли- и монорезистентность.
У всех больных по данным КТ на стороне наибольшего поражения установлено тотальное обсеменение легкого с множественными кавернами. Каверны диаметром 2—4 см в наиболее пораженном легком описаны у 24 (19,5%) пациентов, 5—6 см — у 57 (46,3%), 7 см и более — у 42 (34,1%).
Осложнения легочного туберкулеза до хирургического лечения были у 114 (92,7%) больных, в том числе эмпиема плевры на стороне большего поражения у 65 (52,8%), туберкулез или дефекты грудной стенки после ранее перенесенных операций у 17 (13,8%), легочные кровотечения у 23 (18,7%), туберкулез гортани, трахеи и бронхов у 28 (22,8%), острое прогрессирование или генерализация процесса у 34 (27,6%).
Показатели внешнего дыхания оценивали по классификации В.Б. Нефедова (1988 г.). В оценке степени дыхательной недостаточности (ДН) учитывали также показатели газов крови: I степень ДН — PO2 60 —79 мм рт.ст., SaO2 90—94%; II степень ДН — PO2 40— 59 мм рт. ст., SaO2 75—89%; III степень ДН — PO2 менее 40 мм рт.ст., SaO2 менее 75%.
Отсутствие ДН выявлено при обследовании у 1 (0,8%) больного, ДН I степени — у 3 (2,4%), ДН II степени — у 40 (32,5%) и ДН III степени — у 79 (64,2%) пациентов.
Сопутствующие заболевания были у 122 (99,2%) оперированных, из них наиболее значимые — хроническая обструктивная болезнь легких и хронический бронхит у 103 (83,7%), кардиальная патология у 101 (82,1%), чаще всего легочное сердце, гепатиты или цирроз печени (38/30,9%), патология желудочно-кишечного тракта у 41 (33,3%), алкоголизм у 10 (8,1%) и сахарный диабет у 9 (7,3%).
Всем больным на стороне наибольшего поражения выполнены пневмонэктомии (58) или плевропневмонэктомии (65).
Показанием к использованию у этих пациентов коллапсохирургических операций послужило наличие ограниченных полостей без выраженных рубцовых перифокальных изменений, сочетающихся с очаговым обсеменением, делающим резекцию в пределах здоровых тканей невыполнимой, а также сохранение бактериовыделения и деструкций без тенденции к закрытию после 12 мес лечения и более, проводимого с учетом ЛУ МБТ при функциональной и технической возможности выполнения торакопластики или экстраплеврального пневмолиза (ЭПП).
К числу коллапсохирургических операций, выполненных нами у 123 пациентов, относились: ВАТС-торакопластика на стороне пневмонэктомии (патент РФ на изобретение №2428942, опубликовано 20.09.11 в бюл. №26), направленная на ликвидацию перерастяжения единственного легкого, а следовательно, оказывающая лечебное действие на легочной процесс — 63; торакомиопластика, при которой использовали широчайшую мышцу спины — 46; ВАТС-экстраплевральная торакопластика на стороне единственного легкого — 12 [6]; в 13 случаях осуществлен ЭПП с использованием надувных силиконовых баллонов (патент РФ №2338560) на стороне единственного легкого; в 2 случаях — ЭПП с миопластикой экстраплевральной полости широчайшей мышцей спины на сосудистой ножке.
У 13 больных различные виды коллапсохирургических операций с обеих сторон сочетались.
Таким образом, у 104 (84,6%) оперированных (1-я группа) применены коллапсохирургические операции только на стороне выполненной ранее пневмонэктомии и у 19 (15,4%) — на стороне единственного легкого или с обеих сторон (2-я группа). Пациенты 2-й группы отличались от пациентов 1-й группы большей распространенностью деструктивного процесса в единственном легком, что и обусловило более агрессивный хирургический подход.
Интраоперационное осложнение во время коллапсохирургических операций возникло только у 1 (0,8%) пациента (ранение плевры во время ЭПП потребовало дополнительного дренирования плевральной полости).
Средняя продолжительность операции ЭПП составила 60,4 мин (40—100 мин). Средняя интраоперационная кровопотеря — 37,3 мл (5—100 мл).
Средняя длительность ВАТС-торакопластики составила 59,7 мин (25—155 мин), кровопотеря — 180 мл (10—800 мл).
Более травматичным вмешательством была торакомиопластика. Средняя продолжительность торакомиопластических операций 142,6 мин (25—285 мин), средняя интраоперационная кровопотеря 565,2 мл (10—2000 мл).
Послеоперационные осложнения после коллапсохирургических операций развились у 13 (9,6%) пациентов, в том числе эмпиема плевры или экстраплевральной полости у 5, прогрессирование туберкулеза у 2, тромбоэмболия легочной артерии (ТЭЛА) у 1, инфаркт миокарда у 1, у 3 больных отмечен разрыв экстраплеврального баллона и у 2 — миграция дренажа.
Тридцатидневная летальность после 136 коллапсохирургических операций составила 1,5% (в 1 случае от ТЭЛА, в 1 — от инфаркта миокарда).
После заживления раны пациентов переводили во фтизиатрические отделения того же стационара, где продолжали консервативное лечение. Непосредственную эффективность оценивали при выписке из терапии через 5—6 мес после завершения хирургического этапа лечения и получения результатов от 3 до 12 анализов мокроты на МБТ методами люминесцентной микроскопии и посева (табл. 1). Полный эффект достигнут у 79,7% оперированных.
Таблица 1. Непосредственные исходы хирургического лечения у выписанных больных
Полный эффект (КВ-, БК-)
Улучшение (КВ+, БК-)
Без перемен (КВ+, БК+)
При сравнении распределения исходов в 1-й и 2-й группах различия были недостоверны, χ 2 3≈0,85, p=0,838.
Отдаленные результаты удалось изучить у 100 (84,0%) из выписанных пациентов в сроки от 1 года до 5 лет, в том числе у 16 (88,9%) из 18 выписанных больных 2-й группы.
Через 5 лет после завершения хирургического лечения частота излечения уменьшилась. Полный эффект лечения отмечен у 55 (77,5%) из 71 больного, прослеженных более 5 лет, рецидивы или обострения туберкулеза (в том числе и излеченные) наблюдались у 24 (33,8%) пациентов, из которых 11 (15,5%) умерли от туберкулеза.
Через 1, 2, 3, 4 и 5 лет были живы 96, 94,5, 87,1, 83,1 и 81,2% оперированных соответственно (табл. 2).
Таблица 2. Выживаемость больных, оперированных по поводу туберкулеза
Фактическая выживаемость оперированных обеих групп достоверных различий не имела (χ 2 5≈4,51, p=0,479).
Вопросы трудовой реабилитации изучены через 3 года после хирургического лечения у 74 пациентов, все они на момент операции были нетрудоспособны (II группа инвалидности). Через 3 года II группа инвалидности была у 36 (48,6%) оперированных, II группа с правом работать — у 4 (5,4%), III группа — у 31 (41,9%), не имели инвалидности 3 (4,1%) больных. В народном хозяйстве работали 38 (51,4%) оперированных, выполняли домашнюю работу через 3 года после хирургического лечения 67 (90,5%) больных.
Эффективность лечения туберкулеза легких с МЛУ/РУ нельзя признать удовлетворительной. Например, при лечении когорты впервые выявленных больных 2013 г. среди больных с МЛУ/РУ в странах мира в среднем достигнута эффективность 52%, а в РФ — 48% [8]. При этом, по мнению экспертов ВОЗ, риск смерти у пациентов с МЛУ/РУ в среднем в мире превышает 40% [8]. Еще более мрачным является прогноз лечения больных с ШЛУ туберкулеза. Эффективность лечения этой категории пациентов в когорте, впервые выявленных 2013 г., составила в странах мира и РФ в среднем 28% [8].
Несмотря на успехи фтизиохирургии в лечении ограниченных процессов, хирургический метод в лечении распространенного двустороннего фиброзно-кавернозного туберкулеза легких применяется казуистически редко.
В случае тотального поражения одного легкого и деструктивном процессе во втором легком большинство хирургов считают операцию не показанной [1, 9, 10], причем многие подчеркивают опасность прогрессирования деструктивного туберкулеза в единственном легком после пневмонэктомии, чему способствует его перерастяжение [4, 11, 12]. Однако также существует мнение, что пневмонэктомия и последующее проведение антибактериальной терапии благоприятно влияют в подобной ситуации на течения заболевания в целом [10].
Публикации, в которых хотя бы упоминаются операции на единственном легком по поводу туберкулеза, встречаются в отечественной и зарубежной литературе казуистически редко [2—4, 11—13], хотя сложность и низкая эффективность консервативного лечения пациентов с деструктивным туберкулезом в единственном остающемся легком подчеркивают многие авторы [11—13].
Впервые резекции единственного легкого по поводу туберкулеза у 6 пациентов описали F. Woods, N. Wilson и R. Overholt [3] в 1956 г., а первая публикация об успешном применении коллапсохирургии (торакопластика) на единственном легком у 3 больных принадлежит B. Bicford и соавт. [4].
С тех пор предложены и ограниченно применялись различные варианты хирургических операций на единственном легком: пневмонэктомия с последующей резекцией единственного легкого [3, 14, 15], резекция легкого на стороне меньшего поражения с последующей пневмонэктомией [11, 16, 17], одномоментные пневмонэктомии с экономной резекцией единственного легкого из трансстернального доступа [14], одномоментная трансстернальная трансперикардиальная окклюзия главного бронха и сосудов разрушенного легкого с одномоментной резекцией остающегося легкого и последующей плевропневмонэктомией [2], одномоментная трансстернальная трансперикардиальная окклюзия культи главного бронха с резекцией единственного легкого [2], одномоментная контралатеральная трансплевральная окклюзия культи главного бронха с резекцией единственного легкого [2], искусственный пневмоторакс и торакокаустика [11], ЭПП [2, 12], экстраплевральная торакопластика [4, 14], экстраплевральная торакопластика с клапанной бронхоблокацией до или после выполнения торакопластики, микродренирование каверны [14, 18], кавернотомия [2], кавернопластики [13, 19], одномоментная трансстернальная трансперикардиальная окклюзия главного бронха разрушенного легкого с ЭПП и пломбировкой поролоном на стороне остающегося легкого и последующей плевропневмонэктомией [2, 12], одномоментная трансстернальная трансперикардиальная окклюзия культи главного бронха с ЭПП и пломбировкой поролоном [2].
Наиболее частыми операциями в лечении туберкулеза единственного легкого, по данным литературы, являются его резекции, однако и эти вмешательства выполняются редко.
В 2014 г. мы обобщили [5] сведения о 132 резекциях единственного легкого, упомянутых в 27 работах. Послеоперационные осложнения при операциях по поводу туберкулеза составили в среднем 52,4%, послеоперационная летальность — 21%, а полный клинический эффект — 73,8% [5].
Гораздо более редко, чем резекции, в лечении туберкулеза единственного легкого применялись коллапсохирургические операции, причем отношение к хирургии коллапса у многих авторов неоднозначно. Так, F. Woods, N. Wilson и R. Overholt в 1956 г. [3] отмечали безрезультатность лечения туберкулеза единственного легкого искусственным пневмотораксом, торакопластикой, экстраплевральным пневмолизом и дренированием каверны. В то же время некоторые хирурги получили при операциях коллапса на единственном легком большую эффективность, чем при резекции единственного легкого [2, 13]. Большинство зарубежных авторов в последние 30 лет относились к коллапсохирургическим операциям в лечении туберкулеза вообще отрицательно и совсем их не применяли [1, 20, 21]. Только в самые последние годы появились немногочисленные публикации в англоязычной литературе, свидетельствующие о некотором возрождении интереса к хирургии коллапса [22—25].
Сведения о торакопластиках на стороне единственного легкого за 62 года с момента их первого применения единичны: в 1957 г. B. Bicford и соавт. [4] сообщили о 3 операциях, в 1983 г. Л.К. Богуш [2] — об 1, в 2002 г. В.А. Порханов [18] — о 3 операциях.
Наибольший опыт торакопластики и кавернопластики на единственном легком опубликован А.В. Елькиным [13]. После 21 торакопластики и кавернопластики летальность составила 9,5%, а эффективность в отдаленный период — 47,6%.
ЭПП с пломбировкой полости поролоном применяли в клинике ЦНИИТ Л.К. Богуш и В.Н. Наумов [2, 12], как правило, из стернотомии одномоментно с окклюзией главного бронха разрушенного легкого и последующим его удалением. После операции умерли 7 (33%) из 21 больного, оперированного с применением этапной хирургической тактики, и у 1 из выписанных операция была неэффективной.
Вообще метод ЭПП, используемый в первой половине XX века, в последующие годы из-за высокой частоты осложнений и сравнительно низкой эффективности исчез из арсенала торакальной хирургии практически полностью. Мы нашли только 4 публикации [2, 11—13], в которых приведены непосредственные и отдаленные результаты коллапсохирургических операций в лечении деструктивного туберкулеза легких, и суммировали приведенные в них данные: средняя послеоперационная летальность составила 22,4% (13 из 58 больных), эффективность в отдаленный период — 62,1% (36 случай) (табл. 3).
Таблица 3. Результаты коллапсохирургических операций, выполненных по поводу деструктивного туберкулеза единственного легкого, по данным литературы
Для цитирования: ХИРУРГИЧЕСКАЯ ТАКТИКА В УСЛОВИЯХ СОВРЕМЕННОГО ТЕЧЕНИЯ ТУБЕРКУЛЕЗА ЛЕГКИХ. РМЖ. 1998;17:11.
Хирургические методы используют в лечении больных туберкулезом органов дыхания более 100 лет. Разработаны методики оперативного лечения как ограниченных, так и распространенных форм туберкулеза, применяющиеся в сочетании с противотуберкулезной химиотерапией. До 1990 г. оперативное лечение преимущественно проводили при ограниченных поражениях легких. В настоящее время в связи с учащением случаев лекарственной полирезистентности микобактерий туберкулеза приоритет отдается хирургическому лечению распространенных прогрессирующих процессов в легких.
Surgical interventions are used in the treatment of patients with pulmonary tuberculosis over 100 years. Surgical techniques in combination with antituberculosis drug therapy both for restrictive and disseminated tuberculosis have been developed. Before 1990, surgery was made chiefly in restrictive pulmonary diseases. Due to the greater cases of Mycobacterium tuberculosis multiresistance, surgery for disseminated progressive processes in the lung is of high priority.
В.Н. Наумов — профессор, доктор мед.наук, руководитель отдела хирургии ЦНИИ туберкулеза РАМН
А.Я. Шайхаев — доктор мед. наук, ведущий научный сотрудник ЦНИИ туберкулеза РАМН
К.В. Токаев — доктор мед. наук, ведущий научный сотрудник ЦНИИ туберкулеза РАМН, Москва
V.N. Naumov — Prof., MD, Head, Department of Surgery, Central Research Institute of Tuberculosis, Russian Academy of Medical Sciences A.Ya.
A.Ya. Shaikhayev — MD, Leading Researcher, Central Research Institute of Tuberculosis, Russian Academy of Medical Sciences
K.V. Tokayev — MD, Leading Researcher, Central Research Institute of Tuberculosis, Russian Academy of Medical Sciences, Moscow
В России наблюдается рост показателей заболеваемости туберкулезом, в том числе с бактериовыделением, и смертности от него на 70% и более по сравнению с 1990 г. Особое значение имеет увеличение числа больных с тяжелыми остропрогрессирующими формами заболевания, первичной полирезистентностью микобактерий туберкулеза (МБТ) и вторичным иммунодефицитом, которые способствуют развитию эпидемии туберкулеза, а ее последствия, представленные в прогнозах для населения России и других стран мира, крайне неблагоприятны . Антибактериальная комбинированная полихимиотерапия при этих формах туберкулеза часто малоэффективна вследствие лекарственной резистентности МБТ, нарушений иммунитета и др. Поэтому особенно остро встает проблема повышения противоэпидемической роли фтизиохирургии, а также разработки методов спасения обреченных на неблагоприятный исход больных, как правило, молодого и среднего возраста.
Таблица 1. Виды оперативных вмешательств (в %) по поводу туберкулеза органов дыхания, проведенных в ЦНИИТ РАМН за период с 1975 по 1996 г.
Сроки выполнения
1975 - 1990 гг. (n=6416)
1992 - 1996 гг. (n=1008)
кавернопластика, торакопластика, ЛЭП)
Исторический путь развития хирургических методов лечения больных туберкулезом легких и плевры в мире и в России насчитывает более 100 лет. Хирургия туберкулеза легких стала важной проблемой во всем мире еще в доантибактериальный период. В нашей стране Н. Г. Стойко выполнял операции торакопластики, начиная с 1917 г. В 1936-1938 гг. Л.Л.Богуш в Нижнем Новгороде успешно проводил операции перевязки легочных вен, удаления доли пораженного туберкулезом легкого. К 60-м годам эпидемиологическая ситуация в Европе и Америке значительно улучшилась, и количество операций стало уменьшаться. В Советском Союзе в связи с сохраняющейся высокой распространенностью туберкулеза с 1961 г. была принята государственная программа по его хирургическому лечению. При областных противотуберкулезных диспансерах (ПТД) были открыты типовые хирургические отделения, подготовлены специалисты-фтизиохирурги.
Таблица 2. Эффективность хирургических вмешательств при туберкулезе органов дыхания, проведенных в 1992 - 1996 гг., в ЦНИИТ РАМН
Названия операций
Клинический эффект, %
Летальность, %
Количество операций по поводу торакального туберкулеза постоянно увеличивалось и к 1989 г. достигло 28 000 в год. Были разработаны методы хирургического лечения как ограниченных, так и распространенных туберкулезных поражений легких, исключая остро прогрессирующие формы, в том числе казеозную пневмонию.
Начиная с 90-х годов отмечено нарастание частоты развития остропрогрессирующих форм туберкулеза легких, включая казеозную пневмонию, плохо поддающихся противотуберкулезной терапии. Происшедшие изменения в клиническом течении туберкулеза легких потребовали коррекции хирургической тактики и разработки новых хирургических методов лечения, применимых при остропрогрессирующих формах туберкулеза.
Таблица 3. Пневмонэктомия при двустороннем туберкулезном поражении
В настоящее время фтизиохирургия должна ориентироваться в первую очередь на совершенствование методов хирургического лечения больных с заразными прогрессирующими формами туберкулеза, чтобы предотвратить рост резервуара инфекции и добиться снижения показателя смертности. Совершенствование методов химиотерапии, особенно внедрение новых программ противотуберкулезной терапии, новых мощных антибиотиков широкого спектра и иммуномодуляторов, совершенствование хирургической и анестезиологической техники, использование новых технических средств открывают новые возможности для расширения показаний к операциям у ранее бесперспективных больных, даже с двусторонними деструктивными процессами. Таким образом, сформировались условия для пересмотра хирургической тактики.
Табл. 1 показывает изменения в структуре хирургических операций у больных туберкулезом легких, проведенных в хирургическом отделе ЦНИИ туберкулеза РАМН за последние 20 лет.
Частичные, экономные и комбинированные резекции легких при ограниченных туберкулезных процессах ранее были основными во фтизиохирургической службе по стране и составляли более 80 % всех операций при туберкулезе. Показания к этим видам операций и техника их выполнения хорошо отработаны, прошли испытание временем и не претерпели существенных изменений. Общее сокращение числа частичных резекций с 27,4 до 13,9 % объясняется не столько поздней выявляемостью ограниченных форм туберкулеза (снижение роли профилактических осмотров, флюорографии), но и социально-экономическими причинами. Эффективность частичных резекций легких в нашей клинике остается на уровне 98,4 % (табл. 2) .
В арсенале фтизиохирургических вмешательств значительное место вновь приобретают нерезекционные методы лечения: варианты эндокавитарного, в том числе лазерного лечения, экстраплеврального пневмолиза (ЭПП), кавернотомия, кавернопластика, торакопластика, вскрытие полости эмпиемы, торакомиопластика, сроки выполнения которых необоснованно затягиваются на местах. Этот вид операций в нашей клинике составляет от 19,5 до 21,7 %. Основные показания к этим операциям остались прежними: большие (в том числе двусторонние) каверны на фоне обширной диссеминации как основной источник интоксикации при неэффективности полихимиотерапии и прогрессирующем течении заболевания, когда радикальные операции противопоказаны из-за распространенности процесса или ограниченности функциональных резервов пациента. В последние годы уменьшилось число пациентов, которым показана одномоментная кавернопластика. При этом наиболее часто использовались ЭПП, одно- и двухэтапные кавернотомии как самостоятельные (11 %) операции, которые не сопровождались серьезными осложнениями и у 85,7 % больных позволили прекратить бацилловыделение и стабилизировать распространенный туберкулезный процесс. Новый вариант открытого ЭПП весьма щадящий, выполняется с резекцией участков 2-3 ребер (в зоне над каверной), преимущественно из подмышечного доступа с последующим местным лечением каверны путем пункций с введением антибиотиков, использованием различных видов физического воздействия. Такие операции можно проводить в качестве предварительного эффективного лечения с целью стабилизации двустороннего туберкулезного процесса и подготовки к радикальному оперативному вмешательству на стороне основного поражения. Авторы использовали этот вид операций более чем у 40 больных, а за последние 5 лет - у 18 человек при поражении единственного легкого. Кроме того, ЭПП у 21 пациента сочетался с одномоментными этапными (в том числе комбинированными) вмешательствами на контрлатеральном легком. Разработанные в нашей клинике и используемые в настоящее время операции уникальны в мировой практике и могут сыграть еще большую роль в излечении распространенных прогрессирующих деструктивных форм туберкулеза.
Важным разделом современной фтизиохирургии является разработка методов предоперационной подготовки с целью стабилизации туберкулезного процесса, лечение сопутствующих заболеваний: интенсивное местное лечение (пункции, дренирование каверн, внутрилегочное и внутрикавитарное введение препаратов), коррекция легочно-сердечной недостаточности, компенсация сахарного диабета и др.. Прослеживается тенденция использования современных, иммунокорригирующих средств, методов экстракорпоральной детоксикации для эффективного и быстрого способа подготовки к обширным вмешательствам вплоть до плевропульмонэктомии у больных, которые ранее считались неоперабельными и некурабельными.
Классическая плеврэктомия, в том числе и с резекцией легкого, при эмпиеме плевры составила 1,2% против 2,3 % в 80-е годы.
Объясняется это не только уменьшением числа пациентов с постпневмотораксной эмпиемой плевры, но и возрастанием числа больных с хроническими экссудативными плевритами, в излечении которых роль хирургических методов часто незаслуженно принижается.
По данным ПТД, в последние годы увеличился поток больных с экссудативными плевритами среди вновь выявленных больных туберкулезом легких. Общая лечебная сеть отправляет их в ПТД, а последние практически не учитывают, что в случаях хронизации воспалительного процесса в плевре оперативное лечение (в сроки до года от начала заболевания) эффективно и позволяет полностью восстановить функцию дыхания. Поэтому фтизиохирургам следует ориентироваться на раннее (через 4 - 8 мес от момента начала заболевания) применение реконструктивных операций при хронических плевритах и начальных стадиях хронической эмпиемы плевры. Эффективность при этом достигает 98,1%. На операцию удаления легкого (пневмонэктомия, плевропневмонэктомия, доудаление остатков легкого) приходится сейчас 16,2 % вместо 13,4 % в прошлые годы. Послеоперационная летальность достигает 8,1 - 9,2%, эффективность - 86,3 %. Показания для пневмонэктомии при так называемом стабильном одностороннем распространенном деструктивном туберкулезе в настоящее время имеются значительно реже (не более 15%). Оказывается, удельный вес пневмонэктомий обусловлен ростом (до 55%) числа остропрогрессирующих форм фиброзно-кавернозного туберкулеза и его осложнений (пиопневмоторакса, легочных кровотечений), случаев полирезистентности МБТ, когда современная полихимиотерапия уже неэффективна и бесперспективна. При этом пневмонэктомия как одномоментная операция может быть выполнена только у 62,5 % пациентов. Эффективность операции удаления всего легкого при относительно стабильном варианте клинического течения составляет 92%, без летальных исходов. В остальных случаях пневмонэктомия является заключительным этапом комплексного хирургического лечения больных двусторонним осложненным прогрессирующим деструктивным туберкулезом легких (табл. 3) .
Эффективность этапной пневмонэктомии составляет 82,6 % при летальности 10-12,4 % случаев (см. табл. 2). Метод более эффективен, чем одномоментная пульмонэктомия у аналогичных групп больных.
Ключевым моментом новой хирургической тактики при развившихся осложнениях, таких как бронхиальные, торакальные свищи, остеомиелиты ребер, двусторонние осложненные процессы, является трансстернальная трансперикардиальная окклюзия главных бронхов и легочных сосудов на стороне основного поражения. При этом одновременно на стороне меньшего поражения (практически единственного легкого!) осуществляют такие вмешательства, как ЭПП с тампонадой, этапные кавернотомии, реже - частичные резекции. На стороне основного поражения одновременно производят вскрытие полости эмпиемы и каверны с открытой тампонадой. Для предотвращения тяжелой дыхательной недостаточности одномоментно производят трахеостомию с последующей длительной искусственной вентиляцией легких (иногда до 1 - 1,5 мес). Комплексное лечение после первого хирургического этапа, включающее использование полихимиотерапии, экстракорпоральных методов детоксикации, различных типов лазеров, УФО, парентерального питания, позволяет в большинстве случаев подготовить таких пациентов к заключительной операции - удалению легкого.
Таким образом, гармоничное применение всего арсенала фтизиохирургических вмешательств, которые могут выполняться у значительного числа нуждающихся, по нашему убеждению, позволяет значительно снизить резервуар инфекции, расширить возможности хирургического излечения наиболее тяжелой группы больных туберкулезом органов дыхания всех возрастов и определяет хирургическую тактику, соответствующую требованиям времени.
1. Богуш Л.К. Хирургическое лечение туберкулеза легких .- М., 1979.
2. Репин Ю.М. Хирургия отягощенных форм туберкулеза .- Л., 1984.
3. Перельман М.И., Стрельцов В.П., Наумов В.Н. / Органощадящие оперативные вмешательства во фтизиопульмонологии .- М., 1989 -. С.4-7.
Контент доступен под лицензией Creative Commons «Attribution» («Атрибуция») 4.0 Всемирная.
Пройдя регистрацию вы можете добавлять в избранное понравившиеся статьи, а также получите подборку статей по вашей специальности
Впервые операция на единственном легком была выполнена в 1948 г. D. Waterman [44]. Больному 52 лет через 6 лет после левосторонней пневмонэктомии по поводу плоскоклеточного рака была произведена резекция X сегмента правого легкого с метастазами опухоли. Пациент умер через 2 года от метастазов в печень.
Первая публикация о хирургическом лечении туберкулеза единственного легкого принадлежала F. Woods и соавт. [46]. В 1956 г. ими опубликованы результаты хирургического лечения 6 больных, в том числе 2 была выполнена верхняя лобэктомия справа и 4 — сегментарная резекция легкого. Умерла одна больная на 4-е сутки после операции, полный клинический эффект был достигнут у 4 больных, еще у 1 пациента операция оказалась неэффективной.
В 1960 г. V. Bjork [27] представил наблюдения хирургического лечения трех больных кавернозным туберкулезом единственного легкого. Больной 26 лет была выполнена верхняя лобэктомия справа, больному 29 лет — резекция I, II и V сегментов слева, еще одной больной 29 лет — верхняя лобэктомия слева, через год — верхняя лобэктомия справа и через год — удаление оставшейся части левого легкого с торакопластикой по поводу рецидива заболевания.
В 1966 г. появилась первая статья с обзором литературы, посвященная результатам резекции единственного легкого. W. Lejawka и W. Rzepecki [33] обобщили данные о 21 резекции единственного легкого, выполненной 14 хирургами разных стран с летальностью 10% (умерли 2 больных). Авторы привели собственные результаты двух клиновидных резекций единственного легкого с помощью сшивающих аппаратов у женщин 25 и 27 лет. После обеих операций возникли осложнения, но обе сопровождались отдаленными результатами.
В последнее время статьи о резекции единственного легкого публиковались крайне редко и в основном представляли собой описание отдельных клинических случаев [1, 21, 31, 41—43, 45, 47].
Вообще хирургическому лечению туберкулеза единственного легкого посвящено очень мало работ. Наибольшее количество публикаций, описывающих все возможные варианты хирургических вмешательств у этой категории больных, вышло из клиники Л.К. Богуша [5, 7, 8, 10—12, 16—20, 26].
Одномоментная окклюзия элементов корня разрушенного легкого или пневмонэктомии из трансстернального доступа одномоментно с каким-либо вмешательством на остающемся легком являются очень редкими вариантами операции при двустороннем туберкулезе легких и описаны лишь в публикациях из клиники Л.К. Богуша [4, 5, 10, 16, 20] и В.А. Порханова [22]. В 1998 г. В.А. Порханов сообщил о 5 успешных одномоментных пневмонэктомиях слева с сегментарными резекциями правого легкого [22]. Однако основным методом лечения деструктивного туберкулеза единственного оставшегося после ранее выполненной пневмонэктомии легкого остается его резекция. При этом подавляющее большинство хирургов первоначально удаляли легкое на стороне большего поражения, рассчитывая на возможную положительную динамику в другом легком [5, 13, 15, 30, 45]. Несмотря на разработанные показания и технику оперции, резекция единственного легкого остается, по-видимому, самой редкой операцией в торакальной хирургии. Нами найдены в мировой литературе данные только о 160 резекциях единственного легкого, упомянутых в 32 публикациях [1, 2, 6, 9, 10, 13, 14, 21, 23, 25, 27—31, 33, 36—38, 41—47], в том числе у 90 больных туберкулезом, у 69 больных с опухолями и у 1 больного с буллезной эмфиземой (табл. 1).

Таблица 1. Результаты резекции единственного легкого
Проблема операций на единственном легком тесно связана с вопросом о минимальном объеме дыхательной поверхности, необходимой для существования человека. В экспериментах доказано, что животные выживают после удаления 75% легочной ткани, но большинство хирургов считают, что объем резекции единственного легкого необходимо ограничить тремя сегментами, т. е. удаление доли единственного легкого возможно только справа [16].
Из 30 описанных в литературе частичных резекций единственного легкого [1, 5, 13, 23, 25, 27, 28, 30, 37, 43, 45, 46] в 24 была выполнена верхняя лобэктомия справа, в 2 — средняя лобэктомия справа, в 2 — верхняя лобэктомия справа с резекцией VI сегмента, в 1 — нижняя лобэктомия справа и в 1 — нижняя лобэктомия слева.
Наибольшим объемом резекции единственного легкого, из описанных в литературе, является нижняя лобэктомия справа с сохранением 5 функционирующих сегментов [41]. Операция произведена по поводу метастаза остеосаркомы больной 37 лет, которая была жива через 10 лет после резекции единственного легкого.
Таким образом, хирургическое лечение различных заболеваний единственного легкого вплоть до сегодняшнего дня применяется очень редко. Опыт большинства клиник не превышает 2—3 десятков операций, поэтому многие вопросы техники вмешательств, показаний и противопоказаний к ним нельзя считать детально разработанными. Наиболее рискованными являются резекционные операции при туберкулезе единственного легкого, особенно в объеме лобэктомии.
За 15 лет (с марта 1998 г. по март 2013 г.) в трех лечебных учреждениях (Челябинский областной противотуберкулезный диспансер, Центральный НИИ туберкулеза и Первый МГМУ им. И.М. Сеченова) одним хирургом по поводу деструктивного туберкулеза выполнено 18 резекций единственного легкого и 19 пневмонэктомий после ранее произведенной резекции остающегося легкого.
Всего были оперированы 21 мужчина и 16 женщин. Возраст больных от 14 до 54 лет. Пневмонэктомия по поводу фиброзно-кавернозного туберкулеза произведена в 34 наблюдениях, в связи с казеозной пневмонией — в 2 и кавернозного туберкулеза — в 1 наблюдении. Частичная резекция единственного оставшегося легкого в 22 наблюдениях ранее была выполнена по поводу фиброзно-кавернозного туберкулеза, в 6 — по поводу кавернозного туберкулеза, в 8 — по поводу туберкуломы с распадом и в 1 — в связи с казеозной пневмонией.
Одно или несколько осложнений легочного туберкулеза до операции отмечались у 28 (75,7%) больных: кровохарканье (5), эмпиема с бронхиальным свищом (10), кахексия (12), гемопневмоторакс (1) и легочно-сердечная недостаточность (15).
Микобактерии туберкулеза (МБТ) в мокроте на момент операции выделены у 36 (97,5%) больных. Множественная или широкая лекарственная устойчивость (МЛУ) до операции была установлена у 2 (70,3%) больных.
Сопутствующие заболевания отмечались у 33 (89,2%) больных.
В лечении двустороннего деструктивного туберкулеза легких мы применяли следующую тактику.
В случае тотального поражения одного легкого и ограниченного деструктивного процесса во втором легком выполняли пневмонэктомию, а затем частичную резекцию единственного легкого.
При субтотальном поражении одного легкого и ограниченном процессе в пределах одной доли второго легкого мы предпочитали начинать хирургическое лечение со стороны меньшего поражения с последующей пневмонэктомией.
Больным с тотальным поражением одного легкого, осложненным эмпиемой плевры и ограниченным деструктивным процессом во втором легком, и при очень низких функциональных резервах мы выполняли трансстернальную трансмедиастинальную окклюзию главного бронха и легочной артерии разрушенного легкого по разработанной нами методике (патент РФ № 2207066). Вторым этапом производили плевропневмонэктомию и третьим — частичную резекцию единственного легкого.
При тотальном разрушении одного легкого и ограниченном пределами доли поражении второго легкого в случае отсутствия выраженной дыхательной недостаточности в 2 наблюдениях мы выполнили первым этапом одномоментную окклюзию главного бронха разрушенного легкого и частичную резекцию остающегося легкого из трансстернального доступа.
Примером такого варианта лечения двустороннего деструктивного туберкулеза может быть следующее наблюдение.
Больной Ш., 44 лет, в течение 4 лет лечился по поводу деструктивного туберкулеза. Однако у него отмечена отрицательная клинико-рентгенологическая динамика в течении заболевания. Сформировался двусторонний фиброзно-кавернозный туберкулез легких, осложненный тотальной эмпиемой слева с бронхоплевральным свищом и рецидивирующими легочными кровотечениями, МБТ (+), МЛУ.
При поступлении 11.02.11 состояние больного средней тяжести. Он предъявлял жалобы на одышку при небольшой физической нагрузке, кашель с гнойной мокротой до 300 мл в сутки, часто с примесью крови.
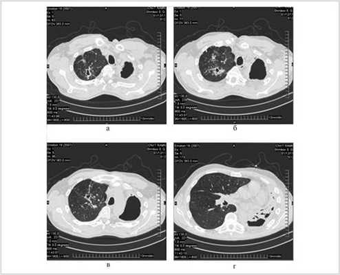
При компьютерной томограмме выявлены цирротические изменения левого легкого с обширной полостью эмпиемы и множественными мелкими полостями в коллабированном легком. Правое легкое уменьшено в объеме за счет фиброзных изменений верхней доли, в которой определялись три каверны диаметром до 2 см, имелось очаговое обсеменение нижних долей (рис. 1).

Рис. 1. Компьютерные томограммы больного Ш. до операции.
В мокроте выявлены МБТ (+++), устойчивые к стрептомицину, изониазиду, рифампицину, канамицину и пиразинамиду.
После 2 мес интенсивной терапии 11.04.11 выполнена операция: трансстернальная трансмедиастинальная окклюзия левого главного бронха с одномоментной верхней лобэктомией справа.
В удаленной доле на разрезе определялось несколько каверн с гнойным содержимым (рис. 2).

Рис. 2. Удаленная у больного Ш. верхняя доля правого легкого.
В течение 3-месячного послеоперационного лечения (ПАСК по 12,0 г в сутки per os, циклосерин по 250 мг 3 раза в сутки per os, капреомицин 1,0 г в день внутримышечно, этамбутол 400 мг 3 раза в сутки per os) больной окреп, прибавил в массе 5 кг.
Через 3,5 мес, 26.07, выполнен второй этап хирургического лечения — плевропневмонэктомия слева.
В удаленном препарате определялась тотальная эмпиема с толщиной стенки до 1 см (рис. 3, а), на разрезе легочная ткань была карнифицирована, с множественными кавернами, бронхоэктазами и очагами (см. рис. 3, б).

Рис. 3. Макропрепарат.
С целью профилактики послеоперационного рецидива туберкулеза и предупреждения перерастяжения единственного резецированного легкого, в котором оставались множественные очаги, больному через 22 дня после пневмонэктомии, 18.08, была выполнена видеоассистированная торакоскопическая корригирующая четырехреберная торакопластика слева.
При контрольном обследовании 27.02.13 (через 1 год и 6 мес после последней операции) состояние больного удовлетворительное, обострений туберкулеза не было. При многократных исследованиях мокроты МБТ не найдено. При компьютерной томографии отмечены рассасывание и уплотнение очагов в единственном резецированном легком (рис. 4).

Рис. 4. Компьютерные томограммы больного Ш. через 1 год и 6 мес после завершения хирургического лечения.
Динамика функциональных показателей на этапах хирургического лечения и при выписке представлена в табл. 2.
Таблица 2. Динамика функциональных показателей больного Ш.
Всего 37 больным были выполнены 103 операции. Из них трансстернальные трансмедиастинальные или трансперикардиальные окклюзии главного бронха и легочной артерии разрушенного легкого произведены в 6 наблюдениях (в том числе 2 с одномоментной резекцией остающегося легкого), видеоассистированная торакоскопическая контралатеральная трансплевральная резекция бифуркации трахеи с одномоментной резекцией единственного легкого — в 1, пневмонэктомия или плевропневмонэктомия — в 34 (у 3 больных пневмонэктомия произведена в других лечебных учреждениях). Лобэктомия или комбинированная резекция легкого объемом более лобэктомии выполнена 13 больным, сегментарная и полисегментарная резекция остающегося легкого — 21, отсроченные торакопластики на стороне единственного легкого — 9 и пневмонэктомия — 22 больным.
Интраоперационные осложнения возникли у 4 больных: во время плевропневмонэктомии у 3 больных была вскрыта полость эмпиемы и у 1 произошло ранение диафрагмы. Интраоперационных осложнений во время резекций единственного легкого не отмечено.
В послеоперационном периоде в разные сроки после пневмонэктомии у 2 развились эмпиема плевры (у 1 с бронхиальным свищом), у 1 — остеомиелит ребер и у 1 — острая дыхательная недостаточность. После трансстернальной окклюзии главного бронха в одном наблюдении по поводу острого респираторного дистресс-синдрома потребовалась длительная вентиляция единственного легкого с наложением трахеостомы. Еще в одном наблюдении через 17 дней после резекции единственного легкого развился спонтанный пневмоторакс и потребовалось дренирование плевральной полости. Все послеоперационные осложнения были ликвидированы на госпитальном этапе. После операции летальных исходов не было.
Положительный результат лечения на момент выписки из стационара — отсутствие в легком полостей распада, бактериовыделения и данных об активности туберкулезного процесса — был достигнут у всех 37 больных.
Отдаленные результаты были изучены в сроки не менее 2 лет (март 2013 г.) у 27 выписанных из стационара больных.
В сроки от 2 до 8 лет реактивация туберкулезного процесса в единственном легком отмечена у 5 (18,5%) больных, из которых 3 были излечены консервативными мероприятиями. Умер от туберкулеза 1 (3,7%) больной. Полный клинический эффект на момент изучения отдаленных результатов отмечался у 25 (92,6%) больных. Информация о трудовой реабилитации была получена от 20 оперированных, в том числе 8 (40%) работали, 3 (15%) учились в вузах, 6 (30%) занимались домашним хозяйством и 3 (15%) были абсолютно нетрудоспособны.
Таким образом, хирургический метод лечения больных деструктивным туберкулезом единственного оставшегося легкого позволяет добиться положительного результата более чем в 90% наблюдений, однако частота его применения, по данным литературы, остается очень низкой. При деструктивном туберкулезе единственного оставшегося легкого показания к его частичной резекции чаще возникают в случае поражения фиброзно-кавернозным туберкулезом верхних отделов легкого в объеме до четырех сегментов и сохраняющихся на фоне адекватной химиотерапии бактериовыделения и лекарственной устойчивости возбудителя.
Читайте также:
- Синдром Бессмана-Болдуин (Bessman-Baldwin)
- Дефицит витаминов и заболевания спинного мозга. Диагнсотика дефицита витаминов.
- Возможности современных электрокардиостимуляторов (ЭКС)
- Муж жалуется на меня своей маме. Как поступить с жалобами мужа свекрови?
- Иммунодиагностика опухолей. Иммунотерапия опухолей. Методы иммунотерапии при опухолях. Адъюванты. Иммуномодуляторы. Особенности иммунотерапии опухолей.
