Хронический лимфолейкоз (ХЛЛ) - эпидемиология, история изучения
Добавил пользователь Валентин П. Обновлено: 22.01.2026
Хронический лимфоцитарный лейкоз — это злокачественная опухоль, произрастающая из малых В-лимфоцитов. Она характеризуется накоплением опухолевого клона клеток в костном мозге, лимфоидных тканях (лимфоузлы, селезенка) и крови. К этому же виду заболевания относится лимфома из малых лимфоцитов (ЛМЛ). Биологически она идентична ХЛЛ, но отличается клинической картиной. При хроническом лейкозе поражается костный мозг, и, как следствие, в крови повышается уровень лимфоцитов, а при ЛМЛ в основном поражаются лимфатические узлы и селезенка. Содержание опухолевого клона в крови менее 5×10 9 /л.
Классификация ХЛЛ
Хронический лейкоз классифицируется по стадиям и по группам риска.
Стадия заболевания определяется на основании клинического обследования и результатах анализа крови:
- Стадия А — уровень гемоглобина более 100 г/л, тромбоцитов более 100 × 10 9 /л, и поражено менее 3 областей лимфатических узлов.
- Стадия В — уровень гемоглобина более 100 г/л, тромбоцитов более 100 × 10 9 /л, и поражено более 3 областей лимфатических узлов.
- Стадия С уровень гемоглобина менее 100 г/л или уровень тромбоцитов менее 100 × 10 9 /л.
Классификация по группам риска
Для данной классификации был разработан международный прогностический индекс, учитывающий следующие параметры:
- мутация TP53 (17p).
- мутация IGHV.
- Уровень β2-микроглобулина >3,5 мг/л.
- Стадия B/С.
- Возраст старше 65 лет.
Каждому из этих параметров присваивается определенное количество баллов, при их суммировании пациент определяется в одну из 4 групп риска:
- 0-1 балл — группа с низким риском прогрессирования.
- 2-3 балла — промежуточный риск прогрессирования.
- 4-6 баллов — высокий риск прогрессирования.
- 7-10 баллов — очень высокий риск прогрессирования.
Симптомы ХЛЛ
Первоначально заболевание протекает бессимптомно, каких-то четких жалоб нет, но отмечаются частые респираторные инфекции, потливость, слабость. Может наблюдаться некоторое увеличение лимфатических узлов. Иными словами, ничего конкретного. На этой стадии хронический лейкоз обнаруживают случайно, когда пациент сдает общий анализ крови по поводу рутинного обследования или при диагностике другого заболевания. При доброкачественном течении такое состояние может продолжаться годами, но потом неизбежно наступает прогрессирование и наступает развернутая стадия процесса.
При развернутой стадии заболевания пациенты предъявляют следующие жалобы:
- Общая слабость.
- Снижение работоспособности.
- Ночная потливость.
- Резкое похудение без особых причин.
- Повышение температуры без признаков инфекции.
- Лимфаденопатия.
Развернутая стадия сменяется терминальной. Здесь уже наблюдается истощение, выраженная интоксикация, тяжелые генерализованные инфекции, нарушение работы внутренних органов (почечная недостаточность, кардиомиопатии и др). При инфильтрации головного мозга опухолевыми клетками, происходит нарушение сознания, вплоть до комы.
Причины возникновения хронического лимфоцитарного лейкоза
Причины возникновения хронического лимфолейкоза до конца не ясны. Многие факторы риска, которые имеют ключевое значение при развитии других злокачественных новообразований и гемобластозов, здесь не актуальны (воздействие ионизирующего излучения, химических канцерогенов, хронических инфекций). В то же время обнаружено увеличение заболеваемости среди лиц, занятых в обслуживании высоковольтных линий электропередач. Также доказана роль наследственной предрасположенности. Риски развития ХЛЛ при наличии в семье родственника с такой патологий увеличиваются в 30 раз по сравнению со среднепопуляционными показателями.
Диагностика хронического лимфолейкоза
Всем пациентам с подозрением на хронический лейкоз, а также с уже подтвержденным диагнозом во время каждого визита к гематологу проводят опрос и уточнение жалоб. Это важно не только для оценки текущего статуса, но и для прогнозирования тактики дальнейшего ведения больного. Особое внимание уделяется наличию неспецифических симптомов интоксикации (повышение температуры более 38 градусов в течение более, чем 2-х недель, ночная потливость и снижение массы тела более, чем на 10% за последние 6 месяцев). Также проводится физикальный терапевтический осмотр, включающий определение размеров печени и селезенки, а также пальпацию доступных лимфатических узлов. Для постановки диагноза назначается ряд специальных тестов:
- Иммунофенотипирование лимфоцитов. Диагноз хронический лимфоцитарный лейкоз выставляется, если уровень В-лимфоцитов в крови превышает 5000/мкл.
- При подозрении на ЛМЛ, когда нет специфической клинической симптоматики и увеличения лимфоцитов в крови, проводят биопсию увеличенного лимфатического узла с последующим морфологическим и иммуногистохимическим исследованием полученного материала.
- Для того чтобы оценить степень поражения костного мозга и отследить динамику изменений после терапии, проводят исследование его пунктата и биоптата. Аналогичные исследования проводят при подозрении на трансформацию лейкоза.
Для подбора терапии выполняются молекулярно-генетические исследования методом FISH для определения делеций 17р, мутаций ТР 53, а также других генетических аномалий.

После окончания терапии необходимо провести исследование крови методом проточной цитометрии для определения минимальной остаточной болезни. Полученные результаты позволят спрогнозировать время до рецидива и общую выживаемость. Например, уровень злокачественных клеток в крови, превышающий 1%, свидетельствует о высокой вероятности раннего рецидива и требует пересмотра протокола лечения. Если уровень опухолевых клеток находится в пределах 0.01-0.9%, ожидаемая продолжительность жизни без прогрессирования составляет 3 года. И при уровне опухолевых клеток менее 0.01% высока вероятность длительной безрецидивной выживаемости (более 5 лет).
Лечение хронического лимфоцитарного лейкоза
Лечение хронического лимфоцитарного лейкоза начинается только по показаниям. Это связано с тем, что около трети всех больных имеют вялотекущую форму заболевания, которая практически не сказывается на продолжительности их жизни.
Показаниями к назначению специфической терапии являются:
- Наличие симптомов интоксикации — повышение температуры более 38 градусов в течение 2 недель, снижение веса на 10% и более за пол года, ночные поты в течение месяца.
- Прогрессирующая анемия и/или тромбоцитопения.
- Прогрессирующее увеличение лимфатических узлов.
- Увеличение количества лимфоцитов в 2 раза и более в течение полугода.
- Увеличение селезенки (более 6 см по краю реберной дуги).
Цели лечения будут зависеть от возраста пациента и наличия у него сопутствующих заболеваний. В этой связи все пациенты с ХЛЛ делятся на три группы:
- 1 группа — пациенты младше 65 лет, у которых нет других серьезных заболеваний, и которые имеют благоприятный молекулярно-генетический профиль лейкоза. В этом случае ставится задача достижения полной ремиссии и редукции минимальной остаточной болезни.
- 2 группа — пациенты старше 65 лет либо молодые пациенты, у которых есть болезни, ограничивающие применение некоторых химиопрепаратов. Целью лечения данной группы является контроль над течением болезни при минимальной токсичности лечения.
- Третья группа — это пациенты с неблагоприятным молекулярно-генетическим профилем лейкоза (наличие делеции 17р, мутации ТР 53), независимо от возраста и общего статуса. Главным компонентом их лечения является ибрутиниб. Сохранным больным без тяжелых сопутствующих патологий может быть показана трансплантация аллогенных стволовых клеток (ТГСК).
Терапия первой линии пациентов первой группы
Стандартом лечения таких больных является режим FCR, включающий ритуксимаб, флударабин и циклофосфамид. Эта схема дает хорошие результаты, но сопряжена с высоким риском токсических и нейтропенических осложнений.
Пациентам, которым такой режим лечения провести невозможно, назначается схема RB — ритуксимаб и бендамустин. Этот режим менее токсичен, но вместе с тем и отличается чуть меньшей эффективностью. Также в качестве варианта лечения для достижения ремиссии может применяться ибрутиниб в качестве монотерапии.
Лечение пациентов второй группы
При терапии пациентов второй группы применяются менее токсические режимы и лечение таргетными препаратами. Могут использоваться следующие схемы:
- BR.
- FCR-lite.
- Хлорамбуцил + ритуксимаб.
- Монотерапия хлорамбуцилом.
- Хлорамбуцил + обинутузумаб.
- Монотерапия ибрутинибом.
Пациентам старше 80 лет, у которых ожидается невысокая продолжительность жизни, применяются максимально щадящие схемы. Как правило, это монотерапия хлорамбуцилом, ритуксимабом или ибрутинибом.

Лечение пациентов третьей группы
Пациентам из группы высокого риска может быть рекомендовано следующее лечение:
- Терапия ибрутинибом как в монорежиме, так и в составе полихимиотерапии с ритуксимабом или бендамустином. Лечение проводят до прогрессирования заболевания или развития токсических осложнений.
- Комбинированное лечение венетоклаксом и обинутузумабом в течение 12 месяцев.
- Молодым пациентам без сопутствующей патологии проводят лечение ибрутинибом до достижения объективного ответа, а затем рассматривается вариант донорской ТГСК для консолидации ремиссии.
- Пациентам, которым по каким-либо причинам невозможно назначение ибрутиниба, проводят монотерапию венетоклаксом.
Лечение рецидивов
При определении схемы лечения рецидива учитываются следующие данные:
- Схема лечения, выбранная для терапии первой линии.
- Время развития рецидива.
- Особенности течения рецидива.
Пациентам, у которых рецидив развился через 2 года после последней терапии (поздний рецидив), можно повторить выбранный режим, использовавшийся при предыдущем лечении или рассмотреть другой вариант ХТ первой линии, предусмотренной для лечения.
Пациентам с ранним рецидивом, который развился менее, чем через 2 года после окончания последней терапиии, не получавшим лечение ибрутинибом, рекомендовано назначать схемы лечения, содержащие этот препарат. Если они получали ибрутиниб, назначается схема венетоклакс+ритуксимаб. Пациентам младше 65 лет, при невозможности назначения ибрутиниба и неэффективнсти венетоклакса и ритуксимаба необходимо рассматривать аллогенную трансплантацию гемопоэтических стволовых клеток.
Лечение сопутствующих осложнений
Одной из основных причин смерти больных хроническим лимфоцитарным лейкозом являются инфекции. Их причиной является замещение нормальных иммунокомпетентных клеток опухолевым клоном и снижение уровня иммуноглобулинов. В этой связи пациентам с хроническим лимфолейкозом при уровне Ig G ниже 5 г/л рекомендуется заместительная терапия иммуноглобулином. Его вводят внутривенно раз в месяц в течение года. Также показана вакцинация против сезонных инфекций: гриппа, пневмококка, гемофильной инфекции, менингококковой инфекции.
Последствия хронического лимфоцитарного лейкоза
У 3-10% больных хроническим лимфоцитарным лейкозом возможна трансформация заболевания в крупноклеточную иммунобластную лимфому. Для подтверждения диагноза необходимо проведение биопсии пораженных лимфоузлов. Также возможна трансформация ХЛЛ в острый лимфобластный лейкоз. Вероятность такого события составляет менее 2%. Очень редко хронический лимфоцитарный лейкоз трансформируется в миеломную болезнь.
Прогноз при хроническом лимфоцитарном лейкозе
Хронический лимфоцитарный лейкоз на сегодняшний день является неизлечимым заболеванием. Однако возможности современной терапии позволяют существенно продлить жизнь таких больных, сохранив ее качество на приемлемом уровне. В целом продолжительность жизни таких пациентов стремится к общепопуляционным показателям.
В «Евроонко» лечение хронического лимфолейкоза проводится согласно современным стандартам с использованием новейших препаратов. Пациентами занимаются опытные врачи, в сложных случаях решение принимается коллегиально консилиумом специалистов. Благодаря такому подходу в каждом случае нам удается достичь максимально возможных результатов.
Хронический лимфолейкоз
Хронический лимфолейкоз - это онкологическое заболевание, сопровождающееся накоплением атипичных зрелых В-лимфоцитов в периферической крови, печени, селезенке, лимфоузлах и костном мозге. На начальных стадиях проявляется лимфоцитозом и генерализованной лимфоаденопатией. При прогрессировании хронического лимфолейкоза наблюдаются гепатомегалия и спленомегалия, а также анемия и тромбоцитопения, проявляющиеся слабостью, утомляемостью, петехиальными кровоизлияниями и повышенной кровоточивостью. Отмечаются частые инфекции, обусловленные снижением иммунитета. Диагноз устанавливается на основании лабораторных исследований. Лечение - химиотерапия, пересадка костного мозга.
МКБ-10

Общие сведения
Хронический лимфолейкоз - заболевание из группы неходжкинских лимфом. Сопровождается увеличением количества морфологически зрелых, но неполноценных В-лимфоцитов. Хронический лимфолейкоз является самой распространенной формой гемобластозов, составляет треть всех лейкозов, диагностируемых в США и странах Европы. Мужчины страдают чаще женщин. Пик заболеваемости приходится на возраст 50-70 лет, в этом периоде выявляется около 70% от общего количества хронических лимфолейкозов.
Пациенты молодого возраста страдают редко, до 40 лет первые симптом болезни возникают всего у 10% больных. В последние годы специалисты отмечают некоторое «омоложение» патологии. Клиническое течение хронического лимфолейкоза очень вариативно, возможно как продолжительное отсутствие прогрессирования, так и крайне агрессивный вариант с летальным исходом в течение 2-3 лет после постановки диагноза. Существует ряд факторов, позволяющих прогнозировать течение заболевания. Лечение осуществляют специалисты в области онкологии и гематологии.
Причины
Причины возникновения окончательно не выяснены. Хронический лимфолейкоз считается единственным лейкозом с неподтвержденной связью между развитием заболевания и неблагоприятными факторами внешней среды (ионизирующим излучением, контактом с канцерогенными веществами). Специалисты считают, что основным фактором, способствующим развитию хронического лимфолейкоза, является наследственная предрасположенность. Типичные хромосомные мутации, вызывающие повреждения онкогенов на начальной стадии болезни, пока не выявлены, однако исследования подтверждают мутагенную природу заболевания.
Патогенез
Клиническая картина хронического лимфолейкоза обусловлена лимфоцитозом. Причиной лимфоцитоза становится появление большого количества морфологически зрелых, но иммунологически дефектных В-лимфоцитов, неспособных к обеспечению гуморального иммунитета. Ранее считали, что аномальные В-лимфоциты при хроническом лимфолейкозе являются долго живущими клетками и редко подвергаются делению. В последующем эта теория была опровергнута.
Исследования показали, что В-лимфоциты быстро размножаются. Ежедневно в организме больного образуется 0,1-1% от общего количества атипичных клеток. У разных больных поражаются различные клоны клеток, поэтому хронический лимфолейкоз можно рассматривать как группу близкородственных заболеваний с общим этиопатогенезом и сходной клинической симптоматикой.
При изучении клеток выявляется большое разнообразие. В материале могут преобладать широкоплазменные либо узкоплазменные клетки с молодыми либо сморщенными ядрами, почти бесцветной либо ярко окрашенной зернистой цитоплазмой. Пролиферация аномальных клеток происходит в псевдофолликулах - скоплениях лейкозных клеток, располагающихся в лимфоузлах и костном мозге.
Причинами цитопении при хроническом лимфолейкозе являются аутоиммунное разрушение форменных элементов крови и подавление пролиферации стволовых клеток, обусловленное повышением уровня Т-лимфоцитов в селезенке и периферической крови. Кроме того, при наличии киллерных свойств разрушение кровяных клеток могут вызывать атипичные В-лимфоциты.
Классификация
С учетом симптомов, морфологических признаков, скорости прогрессирования и реакции на терапию различают следующие формы болезни:
- Хронический лимфолейкоз с доброкачественным течением. Состояние больного долго остается удовлетворительным. Отмечается медленное увеличение количества лейкоцитов в крови. С момента постановки диагноза до стабильного увеличения лимфоузлов может пройти несколько лет или даже десятилетий. Больные сохраняют трудоспособность и привычный образ жизни.
- Классическая (прогрессирующая) форма хронического лимфолейкоза. Лейкоцитоз нарастает в течение месяцев, а не лет. Отмечается параллельное увеличение лимфоузлов.
- Опухолевая форма хронического лимфолейкоза. Отличительной особенностью этой формы является нерезко выраженный лейкоцитоз при выраженном увеличении лимфоузлов.
- Костномозговая форма хронического лимфолейкоза. Выявляется прогрессирующая цитопения при отсутствии увеличения лимфатических узлов, печени и селезенки.
- Хронический лимфолейкоз с увеличением селезенки.
- Хронический лимфолейкоз с парапротеинемией. Отмечаются симптомы одной из вышеперечисленных форм заболевания в сочетании с моноклональной G- или M-гаммапатией.
- Прелимфоцитарная форма хронического лимфолейкоза. Отличительной особенностью этой формы является наличие лимфоцитов, содержащих нуклеолы, в мазках крови и костного мозга, образцах ткани селезенки и лимфоузлов.
- Волосатоклеточный лейкоз. Выявляются цитопения и спленомегалия при отсутствии увеличения лимфоузлов. При микроскопическом исследовании обнаруживаются лимфоциты с характерным «моложавым» ядром и «неровной» цитоплазмой с обрывами, фестончатыми краями и ростками в виде волосков либо ворсинок.
- Т-клеточная форма хронического лимфолейкоза. Наблюдается в 5% случаев. Сопровождается лейкемической инфильтрацией дермы. Обычно быстро прогрессирует.
Выделяют три стадии клинических стадии хронического лимфолейкоза: начальную, развернутых клинических проявлений и терминальную.
Симптомы хронического лимфолейкоза
На начальной стадии патология протекает бессимптомно и может выявляться только по анализам крови. В течение нескольких месяцев или лет у больного хроническим лимфолейкозом выявляется лимфоцитоз 40-50%. Количество лейкоцитов приближено к верхней границе нормы. В обычном состоянии периферические и висцеральные лимфоузлы не увеличены. В период инфекционных заболеваний лимфатические узлы могут временно увеличиваться, а после выздоровления снова уменьшаться. Первым признаком прогрессирования хронического лимфолейкоза становится стабильное увеличение лимфоузлов, нередко - в сочетании с гепатомегалией и спленомегалией.
Вначале поражаются шейные и подмышечные лимфоузлы, затем - узлы в области средостения и брюшной полости, потом - в паховой области. При пальпации выявляются подвижные безболезненные плотноэластические образования, не спаянные с кожей и близлежащими тканями. Диаметр узлов при хроническом лимфолейкозе может колебаться от 0,5 до 5 и более сантиметров. Крупные периферические лимфоузлы могут выбухать с образованием видимого косметического дефекта. При значительном увеличении печени, селезенки и висцеральных лимфоузлов может наблюдаться сдавление внутренних органов, сопровождающееся различными функциональными нарушениями.
Пациенты с хроническим лимфолейкозом жалуются на слабость, беспричинную утомляемость и снижение трудоспособности. По анализам крови отмечается увеличение лимфоцитоза до 80-90%. Количество эритроцитов и тромбоцитов обычно остается в пределах нормы, у некоторых больных выявляется незначительная тромбоцитопения. На поздних стадиях хронического лимфолейкоза отмечаются снижение веса, ночные поты и повышение температуры до субфебрильных цифр. Характерны расстройства иммунитета. Больные часто страдают простудными заболеваниями, циститом и уретритом. Наблюдается склонность к нагноению ран и частое образование гнойников в подкожной жировой клетчатке.
Причиной летального исхода при хроническом лимфолейкозе часто становятся тяжелые инфекционные заболевания. Возможны воспаления легких, сопровождающиеся спаданием легочной ткани и грубыми нарушениями вентиляции. У некоторых больных развивается экссудативный плеврит, который может осложняться разрывом или сдавлением грудного лимфатического протока. Еще одним частым проявлением развернутого хронического лимфолейкоза является опоясывающий лишай, который в тяжелых случаях становится генерализованным, захватывая всю поверхность кожи, а иногда и слизистые оболочки. Аналогичные поражения могут наблюдаться при герпесе и ветряной оспе.
Осложнения
В числе возможных осложнений хронического лимфолейкоза - инфильтрация преддверно-улиткового нерва, сопровождающаяся расстройствами слуха и шумом в ушах. В терминальной стадии хронического лимфолейкоза может наблюдаться инфильтрация мозговых оболочек, мозгового вещества и нервных корешков. По анализам крови выявляются тромбоцитопения, гемолитическая анемия и гранулоцитопения.
Возможна трансформация хронического лимфолейкоза в синдром Рихтера - диффузную лимфому, проявляющуюся быстрым ростом лимфоузлов и формированием очагов за пределами лимфатической системы. До развития лимфомы доживает около 5% пациентов. В остальных случаях смерть наступает от инфекционных осложнений, кровотечений, анемии и кахексии. У некоторых больных хроническим лимфолейкозом развивается тяжелая почечная недостаточность, обусловленная инфильтрацией почечной паренхимы.
Диагностика
В половине случаев патологию обнаруживают случайно, при обследовании по поводу других заболеваний или при проведении планового осмотра. При постановке диагноза учитывают жалобы, анамнез, данные объективного осмотра, результаты анализов крови и иммунофенотипирования. Диагностическим критерием хронического лимфолейкоза является увеличение количества лейкоцитов в анализе крови до 5×109/л в сочетании с характерными изменениями иммунофенотипа лимфоцитов. При микроскопическом исследовании мазка крови выявляются малые В-лимфоциты и тени Гумпрехта, возможно - в сочетании с атипичными или крупными лимфоцитами. При иммунофенотипировании подтверждается наличие клеток с абберантным иммунофенотипом и клональность.
Определение стадии хронического лимфолейкоза осуществляют на основании клинических проявлений заболевания и результатов объективного осмотра периферических лимфоузлов. Для составления плана лечения и оценки прогноза при хроническом лимфолейкозе проводят цитогенетические исследования. При подозрении на синдром Рихтера назначают биопсию. Для определения причин цитопении выполняют стернальную пункцию костного мозга с последующим микроскопическим исследованием пунктата.
Лечение хронического лимфолейкоза
На начальных стадиях хронического лимфолейкоза применяют выжидательную тактику. Пациентам назначают обследование каждые 3-6 месяцев. При отсутствии признаков прогрессирования ограничиваются наблюдением. Показанием к проведению активного лечения является увеличение количества лейкоцитов вдвое и более в течение полугода. Основным методом лечения хронического лимфолейкоза является химиотерапия. Наиболее эффективной комбинацией лекарственных препаратов обычно становится сочетание ритуксимаба, циклофосфамида и флударабина.
При упорном течении хронического лимфолейкоза назначают большие дозы кортикостероидов, осуществляют пересадку костного мозга. У больных пожилого возраста с тяжелой соматической патологией использование интенсивной химиотерапии и пересадка костного мозга могут быть затруднены. В подобных случаях проводят монохимиотерапию хлорамбуцилом или применяют данный препарат в сочетании с ритуксимабом.
Прогноз
Хронический лимфолейкоз рассматривается как практически неизлечимое длительно текущее заболевание с относительно удовлетворительным прогнозом. В 15% случаев наблюдается агрессивное течение с быстрым нарастанием лейкоцитоза и прогрессированием клинической симптоматики. Летальный исход при этой форме хронического лимфолейкоза наступает в течение 2-3 лет. В остальных случаях отмечается медленное прогрессирование, средняя продолжительность жизни с момента постановки диагноза колеблется от 5 до 10 лет. При доброкачественном течении срок жизни может составлять несколько десятилетий. После прохождения курса лечения улучшение наблюдается у 40-70% больных хроническим лимфолейкозом, однако полные ремиссии выявляются редко.
Хронический лейкоз
Хронический лейкоз - это первичное опухолевое заболевание системы кроветворения, субстратом которого выступают зрелые и созревающие клетки миелоидного или лимфоидного ряда. Различные формы хронического лейкоза протекают с преобладанием интоксикационного (слабость, артралгии, оссалгии, анорексия, похудание), тромбогеморрагического (кровоточивость, тромбозы различной локализации), лимфопролиферативного синдромов (увеличение лимфоузов, спленомегалия и др.). Решающее значение в диагностике хронического лейкоза принадлежит исследованию ОАК, биоптатов костного мозга и лимфоузлов. Лечение хронических лейкозов проводится методами химиотерапии, лучевой терапии, иммунотерапии, возможна трансплантация костного мозга.



Хронический лейкоз - хронические лимфопролиферативные и миелопролиферативные заболевания, характеризующиеся избыточным увеличением количества кроветворных клеток, сохраняющих способность к дифференцировке. В отличие от острых лейкозов, при которых происходит пролиферация низкодифференцированных гемопоэтических клеток, при хронических лейкозах опухолевый субстрат представлен созревающими или зрелыми клетками. Для всех типов хронических лейкозов характерна длительная стадия доброкачественной моноклоновой опухоли.
Хронические лейкозы поражают преимущественно взрослых в возрасте 40-50 лет; мужчины болеют чаще. На долю хронического лимфоидного лейкоза приходится около 30% случаев, хронического миелоидного лейкоза - 20% всех форм лейкемии. Хронический лимфолейкоз в гематологии диагностируется в 2 раза чаще, чем хронический миелолейкоз. Лейкозы у детей протекают в хроническом варианте крайне редко - в 1-2% случаев.

Истинные причины, приводящие к развитию хронического лейкоза, неизвестны. В настоящее время наибольшее признание получила вирусно-генетическая теория гемобластозов. Согласно данной гипотезе, некоторые виды вирусов (в числе которых - вирус Эбштейна-Барр, ретровирусы и др.) способны проникать в незрелые кроветворные клетки и вызывать их беспрепятственное деление.
Не подвергается сомнению и роль наследственности в происхождении лейкозов, поскольку доподлинно известно, что заболевание нередко носит семейный характер. Кроме этого, хронический миелолейкоз в 95% случаев ассоциирован с аномалией 22-й хромосомы (филадельфийской или Рh-хромосомы), фрагмент длинного плеча которой транслоцирован на 9-ю хромосому.
Факторы риска
Наиболее значимыми предрасполагающими факторами к различным видам и формам хронических лейкозов выступают воздействия на организм:
- высоких доз радиации;
- рентгеновского облучения;
- производственных химических вредностей (лаков, красок и др.);
- лекарственных препаратов (солей золота, антибиотиков, цитостатиков);
- длительный стаж курения.
Риск развития хронического лимфоцитарного лейкоза повышается при длительном контакте с гербицидами и пестицидами, а хронического миелоидного лейкоза - при радиационном облучении.
В патогенезе хронического лимфолейкоза значимая роль принадлежит иммунологическим механизмам - об этом свидетельствует его частое сочетание с аутоиммунной гемолитической анемией и тромбоцитопенией, коллагенозами. Вместе с тем, у большинства больных хроническими лейкозами причинно значимых факторов выявить не удается.
В зависимости от происхождения и клеточного субстрата опухоли хронические лейкозы делятся на:
- Лимфоцитарные: хронический лимфолейкоз, болезнь Сезари (лимфоматоз кожи), волосатоклеточный лейкоз, парапротеинемические гемобластозы (миеломная болезнь, макроглобулинемия Вальденстрема, болезни легких цепей, болезни тяжелых цепей).
- Миелоцитарные (гранулоцитарные): хронический миелолейкоз, эритремия, истинная полицитемия, хронический эритромиелоз и др.
- Моноцитарные: хронический моноцитарный лейкоз и гистиоцитозы.
В своем развитии опухолевый процесс при хроническом лейкозе проходит две стадии: моноклоновую (доброкачественную) и поликлоновую (злокачественную). Течение хронического лейкоза условно подразделяется на 3 стадии: начальную, развернутую и терминальную.

Симптомы хронического лейкоза
Хронический миелоидный лейкоз
В начальном периоде хронического миелолейкоза клинические проявления отсутствуют или неспецифичны, гематологические изменения выявляются случайно при исследовании крови. В доклиническом периоде возможно нарастание слабости, адинамии, потливости, субфебрилитета, болей в левом подреберье.
Переход хронического миелоидного лейкоза в развернутую стадию знаменуется прогрессирующей гиперплазией селезенки и печени, анорексией, похуданием, выраженными болями в костях и артралгиями. Характерно образование лейкемических инфильтратов на коже, слизистых полости рта (лейкемический периодонтит), ЖКТ. Геморрагический синдром проявляется гематурией, меноррагией, метроррагией, кровотечениями после экстракции зубов, кровавыми поносами. В случае присоединения вторичной инфекции (пневмонии, туберкулеза, сепсиса и др.) температурная кривая приобретает гектический характер.
Терминальная стадия хронического миелоидного лейкоза протекает с резким обострением всех симптомов и выраженной интоксикацией. В этот период может развиваться плохо поддающееся терапии и угрожающее жизни состояние - бластный криз, когда из-за резкого увеличения количества бластных клеток течение заболевания становится похожим на острый лейкоз. Для бластного криза характерна агрессивная симптоматика: лейкемиды кожи, тяжелые кровотечения, вторичные инфекции, высокая температура, возможен разрыв селезенки.
Хронический лимфолейкоз
Долгое время единственным признаком хронического лимфолейкоза может быть лимфоцитоз до 40-50%, незначительное увеличение одной-двух групп лимфоузлов. В развернутый период лимфаденит принимает генерализованную форму: увеличиваются не только периферические, но и медиастинальные, мезентериальные, забрюшинные узлы. Возникает сплено- и гепатомегалия; возможно сдавление холедоха увеличенными лимфатическими узлами с развитием желтухи, а также верхней полой вены с развитием отеков шеи, лица, рук (синдром ВПВ). Беспокоят упорные оссалгии, кожный зуд, рецидивирующие инфекции.
Тяжесть общего состояния больных хроническим лимфоидным лейкозом обусловлена прогрессированием интоксикации (слабость, потливость, лихорадка, анорексия) и анемического синдрома (головокружение, одышка, сердцебиение, обморочные состояния).
Терминальная стадия хронического лимфоидного лейкоза характеризуется присоединением геморрагического и иммунодефицитного синдромов. В этот период развивается тяжелая интоксикация, возникают кровоизлияния под кожу и слизистые, носовые, десневые, маточные кровотечения.
Иммунодефицит, обусловленный неспособностью функционально незрелых лейкоцитов выполнять свои защитные функции, проявляется синдромом инфекционных осложнений. У больных хроническим лимфолейкозом часты легочные инфекции (бронхиты, бактериальные пневмонии, туберкулезные плевриты), грибковые поражения кожи и слизистых, абсцессы и флегмоны мягких тканей, пиелонефриты, герпетическая инфекция, сепсис.
Нарастают дистрофические изменения внутренних органов, кахексия, почечная недостаточность. Летальный исход при хроническом лимфоидном лейкозе наступает от тяжелых инфекционно-септических осложнений, кровотечений, анемии, истощения. Возможна трансформация хронического лимфолейкоза в острый лейкоз или лимфосаркому (неходжкинскую лимфому).
Предполагаемый диагноз устанавливается на основании анализа гемограммы, с результатами которой пациент должен быть немедленно направлен к врачу-гематологу. Для подтверждения диагноза проводится:
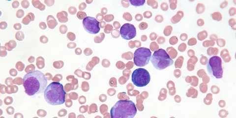
- Общий анализ крови. Типичные для хронического миелоидного лейкоза изменения включают: анемию, присутствие единичных миелобластов и гранулоцитов на разной стадии дифференцировки; в период бластного криза количество бластных клеток увеличивается более чем на 20%. При хроническом лимфолейкозе определяющими гематологическими признаками выступают выраженный лейкоцитоз и лимфоцитоз, наличие лимфобластов и клеток Боткина-Гумпрехта.
- Пункции и биопсии. С целью определения морфологии опухолевого субстрата показано выполнение стернальной пункции, трепанобиопсии, биопсии лимфоузлов. В пунктате костного мозга при хроническом миелолейкозе увеличено количество миелокариоцитов за счет незрелых клеток гранулоцитарного ряда; в трепанобиоптате определяется замещение жировой ткани миелоидной. При хроническом лимфоидном лейкозе миелограмма характеризуется резким усилением лимфоцитарной метаплазии.
- Инструментальные исследования. Для оценки выраженности лимфопролиферативного синдрома применяются УЗИ лимфатических узлов, селезенки, рентгенография грудной клетки, лимфосцинтиграфия, МСКТ брюшной полости и ряд других.
Лечение хронического лейкоза
На ранней доклинической стадии лечение неэффективно, поэтому больные подлежат динамическому наблюдению. Общережимные мероприятия предполагают исключение физических перегрузок, стрессов, инсоляции, электропроцедур и теплолечения; полноценное витаминизированное питание, длительные прогулки на свежем воздухе.
В развернутом периоде миелолейкоза назначается химиотерапевтическое лечение (бусульфан, митобронитол, гидроксимочевина и др.), при выраженной спленомегалии проводится облучение селезенки. Подобная тактика, хоть и не приводит к полному излечению, но существенно тормозит прогрессирование болезни и позволяет отсрочить наступление бластного криза. Кроме медикаментозной терапии, при хроническом миелоцитарном лейкозе используются процедуры лейкафереза. В ряде случаев излечение достигается с помощью трансплантации костного мозга.
При переходе хронического миелолейкоза в терминальную стадию назначается высокодозная полихимиотерапия. В среднем после установления диагноза больные хроническим миелолейкозом живут 3-5 лет, в отдельных случаях - 10-15 лет. Также проводится цитостатическая терапия (хлорбутин, циклофосфамид), иногда в сочетании со стероидной терапией, облучением лимфоузлов, селезенки, кожи. При значительном увеличении селезенки выполняется спленэктомия. Применяется трансплантация стволовых клеток, однако ее эффективность еще требует подтверждения.

Продолжительность жизни больных хроническим лимфоидным лейкозом может составлять от 2-3 лет (при тяжелых, неуклонно прогрессирующих формах) до 20-25 лет (при относительно благоприятном течении).
Публикации в СМИ
Хронический лимфолейкоз (ХЛЛ) характеризуется резким увеличением количества зрелых лимфоидных клеток в крови, лимфатических узлах, селезёнке, печени. Источник опухоли — клетка-предшественник лимфопоэза.
Генетические аспекты. Заболевание имеет наследственный характер (*151400, соматическая мутация гена BCL1, 11q13.3 или *109543, мутация генов D13S25, DB, 13q14).
Патогенетические особенности • Отсутствие признаков опухолевой прогрессии • Отсутствие клеточного атипизма (за исключением волосатоклеточного лейкоза) • Отсутствие хромосомных аномалий • Склонность к сопутствующим аутоиммунным синдромам.
Стадии. Опухолевая природа ХЛЛ связана с определёнными клиническими проявлениями, имеющими прогностическое значение • Стадия 0 ограничена лимфоцитозом, прогноз в целом положительный (средняя продолжительность жизни — 10-12 лет) • Стадии 1 и 2. Присоединение клинических проявлений. Стадия 1 — лимфаденопатия; стадия 2 — спленомегалия; прогноз хуже (пациенты обычно живут 4-7 лет) • Стадии 3 и 4. Возникновение аутоиммунной патологии — аутоиммунная гемолитическая анемия; аутоиммунная тромбоцитопения — утяжеляет прогноз (продолжительность жизни пациентов составляет менее 18 мес).
Диагностика. Достаточно выявления абсолютного лимфоцитоза, представленного зрелыми клетками в мазке периферической крови. Подтверждающие данные — инфильтрация костного мозга зрелыми лимфоцитами, увеличение селезёнки и лимфаденопатия.
Лечение консервативное — не изменяет продолжительность жизни • В ранних стадиях ХЛЛ (1 и 2), как правило, нет необходимости в химиотерапии • На поздних стадиях ХЛЛ — алкилирующие средства (например, хлорамбуцил) в сочетании со ГК или без них; тотальное облучение организма в низких дозах. При недостаточности или отсутствии эффекта при лечении алкилирующими цитостатиками — флударабин.
Прогноз относительно благоприятный при стадиях 0, 1. Продолжительность жизни в отдельных случаях может достигать 15-20 лет.
Сокращение. ХЛЛ — хронический лимфолейкоз.
МКБ-10 • C91.1 Хронический лимфоцитарный лейкоз.
Код вставки на сайт
Хронический лимфоцитарный лейкоз: причины возникновения, симптомы, диагностика, стадии, лечение
Хронический лимфоцитарный лейкоз (ХЛЛ) — это злокачественное заболевание кроветворной ткани, характеризующееся опухолевой трансформацией одного клона лимфоцитов с последующей экспансией им костного мозга, крови, лимфатических узлов и внутренних органов. Злокачественные клетки замещают нормальные, что приводит к дисфункции пораженных органов, расстройствам кровообращения и иммунной защиты.
Одним из первых лабораторных признаков лимфолейкоза является кратное увеличение количества лейкоцитов в периферической крови.
Содержание:
Причины развития хронического лимфолейкоза
К возможным этиологическим факторам развития хронического лимфолейкоза относят:
- хромосомные мутации
- наследственная предрасположенность
- вирусные инфекции

По мнению ряда ученых, длительная стимуляция иммунной системы человека (например, при частых инфекциях) может приводить к генетическим поломкам и опухолевому перерождению лимфоцитов, образованию клона лейкемических клеток и возникновению ХЛЛ.
Прямой причинной связи между воздействием канцерогенов, ионизирующего излучения и возникновением ХЛЛ не установлено.
Механизм развития хронического лимфолейкоза заключается в преобразовании лимфоцитов в опухолевые клетки и их размножении, что приводит к угнетению нормального кроветворения, развитию анемии и тромбоцитопении.
В начальной стадии ХЛЛ пациенты не предъявляют жалоб, их общее состояние удовлетворительное. У некоторых могут проявляться такие неспецифические симптомы как: сильная потливость, быстрая утомляемость, слабость, частые простуды. На данном этапе ХЛЛ выявляется, как правило, случайно на профилактическом осмотре или при обращении к доктору по поводу другого заболевания. Заболевание проявляется абсолютным лимфоцитозом в общем анализе крови и увеличением периферических групп лимфатических узлов (шейных, подмышечные, паховые). Увеличенные лимфоузлы при ХЛЛ пальпаторно мягко — эластичные, безболезненные, не спаяны с окружающими тканями, кожа над ними не изменена.
При медленном течении начальная стадия может длиться несколько лет, при прогрессирующем течении наблюдается быстрое ухудшение общего состояния, значительное увеличение лимфоузлов и селезенки.
Для развернутой стадии ХЛЛ характерна выраженность симптомов. К основным клиническим проявлениям относят:
- синдром интоксикации: выраженная слабость, быстрая утомляемость, снижение работоспособности, резкое снижение массы тела, значительная потливость в ночное время, необъяснимое повышение температуры тела;
- прогрессирующая лимфоаденопатия: увеличиваются практически все группы лимфатических узлов. На ощупь они мягко-эластичные, безболезненные, не спаяны с окружающими тканями, могут сливаться в конгломераты;
- инфильтрация опухолевыми клетками всех органов и систем со снижением их функции.
При этом наблюдаются:
- увеличение селезенки;
- увеличение печени, с чем связаны синдромы портальной гипертензии (расширение вен пищевода, скопление свободной жидкости в брюшной полости, печеночная недостаточность) и холестатической желтухи (боль в правом подреберье, тошнота, окрашивание кожи и склер в желтый цвет, кожный зуд, обесцвечивание кала, потемнение мочи);
- язвы ЖКТ, синдром мальабсорбции (нарушение всасывания в кишечнике, сопровождающееся болями в животе, диареей), диспепсические нарушения (тошнота, вздутие, чувство тяжести), как следствие инфильтрации ЖКТ;
- частые пневмонии и другие инфекции дыхательных путей, дыхательная недостаточность, вследствие накопления опухолевых клеток в легких.
В общем анализе крови — лейкоцитоз (50-200*109/л), лимфоцитоз (до 100*109/л или 80-90 % в лейкоцитарной формуле), анемия и тромбоцитопения, увеличение СОЭ, клеток Боткина — Гумпрехта (разрушенные лимфоциты).
Терминальная стадия ХЛЛ характеризуется:
- резким значительным ухудшением общего состояния;
- длительной высокой температурой тела;
- истощением;
- тяжелыми генерализованными инфекциями (стафилококковой, стрептококковой, герпетической, туберкулезом и др.);
- тяжелой почечной недостаточностью (характеризуется олигоанурией, повышением в крови мочевины и креатинина);
- выраженной анемией;
- выраженная тромбоцитопения;
- геморрагический синдром;
- в связи с инфильтрацией мозговых оболочек опухолевыми клетками возможно развитие нейролейкемии, проявляющейся сильной головной болью, рвотой, парезами и параличами, развитием менингеальных симптомов;
- инфильтрация спинномозговых корешков сопровождается интенсивными стреляющими «корешковыми» болями;
- возможно развитие тяжелой кардиомиопатии, проявляющейся прогрессирующей сердечной недостаточностью и нарушениями ритма сердца.
Диагностика хронического лимфоцитарного лейкоза включает в себя сбор анамнеза и уточнение жалоб у пациента, общий осмотр, который заключается в прощупывании периферических лимфатических узлов, печени и селезенки.
Лабораторные методы исследования ХЛЛ
- Общий анализ крови с лейкоцитарной формулой (оценка количества эритроцитов, лейкоцитов, тромбоцитов, СОЭ, определение наличия в мазке крови клеток Боткина — Гумпрехта). Основной диагностический критерий абсолютный лимфоцитоз (более 5*109/л).
- Общий анализ мочи.
- Биохимический анализ крови (оценка уровня общего белка и белковых фракций, билирубина, креатинина, мочевины, ЛДГ, железа, щелочной фосфатазы, глюкозы).
- Исследование коагулограммы.
- Иммунологический анализ крови — оценка количества и функций иммунных клеток крови, присутствие в ней антител (определение количества В — и Т-лимфоцитов, субпопуляций Т-лимфоцитов, иммуноглобулинов, ревматоидного фактора, циркулирующих иммунных комплексов).
- Иммунофенотипирование лимфоцитов — исследование лимфоцитов с помощью специальных маркеров, которое позволяет определить их принадлежность к определенному виду.
- Цитологическое исследование костного мозга с миелограммой.
- Цитогенетическое исследование.
- ПЦР-диагностика вирусных инфекций.
Инструментальные методы исследования ХЛЛ
- Рентгенография органов грудной клетки.
- Ультразвуковое исследование периферических лимфатических узлов и органов брюшной полости, почек.
- Компьютерная томография органов грудной клетки, брюшной полости, малого таза.
- ЭКГ и эхокардиография.
- Эндоскопические исследования (фиброгастродуоденоскопия и колоноскопия).
Также проводятся трепанобиопсия костного мозга и биопсия лимфатических узлов с последующим гистологическим и иммуногистохимическим исследованиями.
Стадии хронического лимфолейкоза
Существует две системы стадирования ХЛЛ, в основы которых положен единый принцип: учет массы опухоли (лимфоцитоз), размеры лимфатических узлов, степень увеличения печени и селезенки, наличие или отсутствие анемии и тромбоцитопении. Совокупность данных фактор влияет на продолжительность жизни и предопределяет прогноз.
Читайте также:
