Идиопатический артериальный кальциноз. Тромбоз камер сердца.
Добавил пользователь Евгений Кузнецов Обновлено: 11.12.2025
РНЦХ им. акад. Б.В. Петровского РАМН
Чувашский государственный университет им. И.Н. Ульянова, Вторая городская больница, Чебоксары
ФГБУ Российский научный центр хирургии РАМН им. акад. Б.В. Петровского, Москва
Российский научный центр хирургии им. акад. Б.В. Петровского РАМН, Москва
ФГБНУ «Российский научный центр хирургии им. акад. Б.В. Петровского», Москва, Россия
Гигантский тромб левого желудочка
Журнал: Кардиология и сердечно-сосудистая хирургия. 2017;10(2): 89‑92
Тромбоз левого желудочка (ЛЖ) и тромбоэмболический синдром (ТЭС), возникающие при дилатационной кардиомиопатии (ДКМ) с низкой производительностью сердца, регистрируются в 10—44 и 4—18% случаев соответственно [5, 12, 14—16]. Частота возникновения этих осложнений предопределяется нарушениями сократительной функции миокарда. Именно поэтому заслуживает особого внимания исследование E. Loh и соавт. [19], в котором отмечено, что у больных с постинфарктным кардиосклерозом и фракцией изгнания, равной или менее 28%, риск возникновения ишемического инсульта был почти в 2 раза больше, чем у пациентов с фракцией изгнания более 28%; причем, каждое 5% уменьшение этого показателя сопровождалось 18% увеличением частоты острого нарушения мозгового кровообращения (ОНМК). Представленные данные свидетельствуют о чрезвычайной значимости своевременной диагностики указанных осложнений и выбора оптимальной врачебной тактики.
РНЦХ им. акад. Б.В. Петровского располагает опытом хирургического лечения 70 больных с псевдоопухолевыми объемными образованиями сердца [2]. У 26 (37,1%) из них имелись пристеночные (21 наблюдение) или клапанные (5) тромбы правых (17) или левых (9) отделов сердца. Только у 3 (4,3%) пациентов были выявлены тромбы левого желудочка (ЛЖ). Их размеры у 2 больных составляли 1,5×3,0 см либо 2,0×3,0 см, а у 1, история болезни которого представлена ниже, тромб достигал гигантских размеров.
Больной А., 43 лет, госпитализирован в РНЦХ им. акад. Б.В. Петровского 27.04.16 с диагнозом ДКМ, тромб ЛЖ, рецидивирующий ТЭС.
Рентгенография органов грудной клетки продемонстрировала отсутствие патологических изменений в легких, сердце не увеличено в размерах, диафрагма расположена обычно, подвижна; жидкости в плевральных полостях нет.
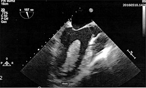
При чреспищеводной эхокардиографии (ЧПЭхоКГ) (рис. 1) выявлено гиперэхогенное объемное образование (тромб разной степени организованности) размером 2,0×7,4 см в полости ЛЖ, исходившее из его верхушки на широком основании. Новообразование имело продолговатую форму, фестончатые края, располагаясь вдоль полости ЛЖ, занимало 35—40% его объема; отмечалась умеренная флотация тромба в проекции его верхней части. От передней поверхности объемного образования отходили плотные фиброзные тяжи к межжелудочковой перегородке (МЖП). Его верхний полюс был расположен в 1,6—1,8 см от створок аортального клапана (АК), а передняя створка митрального клапана (МК) в диастолу соприкасалась с его верхней флотирующей частью. Обращали внимание: закругление и расширение верхушки ЛЖ, выраженный диффузный гипокинез; в области МЖП и передней стенки ЛЖ — гипо- и акинез. Конечный диастолический объем (КДО) ЛЖ — 195 мл, конечный систолический объем (КСО) ЛЖ — 135 мл, фракция изгнания (ФИ) ЛЖ — 25,8%.

Рис. 1. Чреспищеводная ЭхоКГ больного А., 43 лет. Диагноз: объемное образование (тромб) левого желудочка.
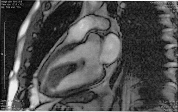
Магнитно-резонансная томография (МРТ) (рис. 2) зарегистрировала объемное образование (тромб) ЛЖ, исходившее из его верхушки, размером 1,8×6,6 см. Оно не было фиксировано к сосочковым мышцам, соприкасалось с передней створкой МК, не накапливало контрастного вещества. Обращали внимание интраоперационные фиброзные изменения, гипокинез МЖП и передней стенки ЛЖ.

Рис. 2. МРТ больного А., 43 лет. Диагноз: объемное образование (тромб) левого желудочка.
Содержание в крови раково-эмбрионального антигена, α-фетопротеина, углеводных антигенов СА-19−9 и СА-72−4 было в пределах нормы.
10.05.16 из трансстернального доступа в условиях гипотермической перфузии (продолжительность 90 мин) и холодовой фармакологической кардиоплегии Кустадиолом (продолжительность 67 мин) выполнено удаление тромба ЛЖ.
Интраоперационно отмечены следующие особенности. После вентрикулотомии, выполненной через верхушку ЛЖ, выявлено новообразование продолговатой формы размером 2,5×7,0 см, исходившее из его верхушки. Оно частично фиксировалось к МЖП и боковой стенке Л.Ж. Новообразование удалено единым блоком (рис. 3). ЛЖ ушит двухрядным швом на тефлоновых прокладках. При контрольной ЧПЭхоКГ был выявлен фрагментированный участок тромба в левом предсердии (рис. 4). Выполнена левая атриотомия параллельно межпредсердной борозде. Фрагментированный участок тромба размером 1,5×2,0 см удален. После снятия зажима с аорты и согревания больного возникла фибрилляция желудочков; однократной дефибрилляцией восстановлен С.Р. Повторная контрольная ЧПЭхоКГ продемонстрировала отсутствие внутриполостных новообразований, уменьшение КДО ЛЖ и КСО ЛЖ до 130 и 69 мл соответственно, увеличение ФИ ЛЖ до 46,9%.

Рис. 3. Интраоперационный сюжет удаленного тромба левого желудочка.

Рис. 4. Чреспищеводная ЭхоКГ больного А., 43 лет. Диагноз: состояние после удаления тромба левого желудочка, фрагментированный участок тромба в левом предсердии.
Гистологическое исследование подтвердило диагноз массивного частично организованного фибринозного тромба с очагами кальциноза.
Анализ литературы свидетельствует о том, что внутрисердечный тромбоз, в частности — тромб ЛЖ, и тромбоэмболический синдром могут возникать при ДКМ, остром инфаркте миокарда (ОИМ) или аневризме ЛЖ, остром миокардите, антифосфолипидном либо гиперэозинофильном синдромах, амилоидозе, болезни Бехчета, болезни Шагаса [4, 7, 11, 13, 18, 21, 27]. Патофизиологическим механизмом, объясняющим возникновение рассматриваемой патологии, является «триада Вирхова», представленная повреждением/дисфункцией стенки кровяного русла, стазом крови, системной или локальной гиперкоагуляцией [1]. Учитывая жизнеугрожающий характер тромбоза различных камер сердца и последующих тромбоэмболических осложнений очевидна клиническая значимость его ранней диагностики и выбора оптимальной врачебной тактики.
ЭхоКГ является высокоэффективным неинвазивным методом диагностики объемных образований сердца. Ее чувствительность и специфичность в выявлении тромба ЛЖ составляют 92—95 и 86—88% соответственно [24, 28]. Необходимо отметить, что регистрация ложноотрицательных или ложноположительных результатов при данном методе исследования может возникать при небольших новообразованиях, не превышающих 0,5—1,0 см в диаметре, или в связи с трудностью проведения дифференциальной диагностики с анатомо-топографическими особенностями (папиллярными мышцами, трабекулярными и сухожильными структурами) ЛЖ. В связи с этим в подобных ситуациях рекомендуется применение ЧПЭхоКГ, чувствительность и специфичность которой при диагностике внутрисердечного тромбоза достигают 92—100 и 98—100% соответственно, или ЭхоКГ с использованием эхоконтрастных препаратов, обеспечивающих 100% диагностику и дифференциальный диагноз между тромбозами и неоплазмами [3, 6, 20]. Альтернативным методом исследования в подобных случаях может быть МРТ с контрастированием, чувствительность и специфичность которой составляют 88 и 99% соответственно [23]. Что же касается ангиокардиографии, то учитывая ее чувствительность и специфичность, составляющие 63 и 67% соответственно, а также опасность возникновения фрагментации тромба и тромбоэмболического синдрома, в настоящее время от данного метода исследования воздерживаются [25].
Врачебная тактика при внутрисердечном тромбозе может быть представлена антикоагулянтной терапией, тромболизисом или хирургическим лечением. Каждый из этих способов имеет свои преимущества и недостатки. Что же касается хирургического лечения больных с тромбозом ЛЖ, то показанием к его проведению являются большие размеры тромба и его подвижность, тонкая «ножка» тромба, наличие аневризмы в области его происхождения, системная эмболия в анамнезе [5, 8, 10, 18, 26, 30]. В этих клинических ситуациях тромбэктомия должна осуществляться безотлагательно. Причем для радикального удаления тромба и обеспечения простоты его технического выполнения операцию целесообразно осуществить из левой вентрикулотомии. В то же время при низкой производительности сердца необходимо учитывать, что указанный доступ к тромбу может вызвать дальнейшее ухудшение сократительной функции ЛЖ. В подобных ситуациях целесообразно использование левопредсердного или трансаортального доступов [9, 17, 22, 27, 29].
Таким образом, рецидивирующая острая недостаточность кровообращения нижних конечностей, представленная в данном клиническом наблюдении, свидетельствует о необходимости изначально исключать кардиогенную эмболию. Именно поэтому в подобных ситуациях рекомендуется проведение ЧПЭхоКГ и/или МРТ с контрастированием; после подтверждения диагноза тромбоза ЛЖ и эмболэктомии из пораженного сосуда необходимо безотлагательное проведение тромбэктомии из ЛЖ, наиболее оптимально выполняемой доступом из левой вентрикулотомии в условиях искусственного кровообращения и холодовой кардиоплегии.
Артериосклероз Менкеберга ( Артериальный медиакальциноз , Артериальный медиасклероз , Артериокальциноз )
Артериосклероз Менкеберга — это заболевание, которое характеризуется отложением солей кальция в средней оболочке артерий. При артериокальцинозе наблюдается длительное бессимптомное течение. Основные клинические признаки патологии — перемежающаяся хромота, нарушение половой функции, трофические изменения нижних конечностей. Для диагностики артериосклероза выполняется рентгенография, ультразвуковая допплерография, рентгеноконтрастная артериография или КТ-ангиография. При кальцинозе Менкеберга показано консервативное лечение с применением ангиопротекторов, антиагрегантов и спазмолитиков.
МКБ-10


Общие сведения
Артериосклероз Менкеберга в научной литературе имеет несколько синонимов — артериокальциноз, артериальный медиакальциноз, артериальный медиасклероз. Болезнь впервые описана в 1903 году немецким патологоанатомом Й. Менкебергом. Распространенность артериосклероза находится на одном уровне с атеросклеротическими сосудистыми поражениями. В возрасте 45-60 лет кальциноз артерий встречается у 16% людей, а после 60 лет — у 37%. У больных сахарным диабетом артериокальциноз Менкеберга выявляется в 3 раза чаще. Мужчины и женщины болеют одинаково часто.

Причины
Артериосклероз Менкеберга относят к болезням с неясной этиологией. Несмотря на частую встречаемость патологии, закономерности формирования кальциноза сосудов не установлены. В современной кардиоангиологии существует несколько теорий, которые объясняют этиологические предпосылки артериосклероза. Ученые сходятся во мнении, что для развития заболевании наиболее важны 3 причины:
- Повреждение эндотелия. При повышенном содержании в крови сорбитола, фруктозы, агрессивных цитокинов нарушается осмотическое равновесие в сосудистой стенке и возникает ангиопатия. Патологические изменения из артериальной интимы переходят на среднюю оболочку (медию), где образуется соединительная ткань и откладываются соли кальция.
- Поражение медии артерии. Другие ученые считают, что болезнь начинается с деструкции эластических волокон средней оболочки сосуда. Затем наблюдаются дегенеративные изменения гладкомышечных клеток. В сформированных патологических очагах начинает скапливаться кальций.
- Полинейропатия. Возникновение артериосклероза также связывают с первичным расстройством трофики сосудистой стенки, обусловленным нарушением симпатической вегетативной иннервации. Ишемия наиболее выражена в средней артериальной оболочке, что способствует появлению фиброза и кальциноза.
Патогенез
При артериосклерозе Менкеберга наблюдается накопление кальция в мышечном слое артериальной стенки. Артерии превращаются в ригидные трубки, которые не способны сокращаться или растягиваться синхронно с изменением внутрисосудистого давления. В результате нарушается кровоснабжение органов и тканей в бассейне поврежденного сосуда. Сначала возникает хроническая ишемия, а при длительном течении артериосклероза — некротические изменения.
Для кальциноза Менкеберга характерно поражение дистальных ветвей сосудов, в отличие от атеросклероза, который сначала поражает крупные артерии. При артериосклерозе типично мозаичное отложение кальциевых солей — чередование пораженных и интактных участков артерии. В последние годы выявлена связь между повышением уровня остеопротегерина (маркера костно-минерального метаболизма) и частотой развития болезни Менкеберга.
Классификация
Артериосклероз Менкеберга классифицируют с учетом локализации сосудистого поражения: кальциноз верхних или нижних конечностей, сосудов половых органов, церебральных артерий. Чаще всего кальциноз обнаруживают в артериях голени. В 1989 году была принята рентгенологическая классификация болезни Менкеберга голени и стопы, встречающейся при сахарном диабете. Выделяют 5 степеней такого артериосклероза:
- I степень. Утолщение сосудистой стенки, которое соответствует незначительному отложению кальциевых солей. На рентгеновском снимке видны линейные затемнения небольшой интенсивности.
- II степень. К вышеуказанным изменениям добавляется кольцевидная тень между первой и второй плюсневыми костями стопы. Затемнение свидетельствует о тотальном кальцинозе глубокой подошвенной артерии.
- III степень. Характерна мозаичная кальцинация артериальных стенок голени, стопы. При рентгенологическом исследовании по ходу сосудов видны множественные тени протяженностью 1-2 см.
- IV степень. Наблюдается тотальное поражение крупных сосудистых ветвей дистального отдела нижних конечностей. Патогномоничный признак артериосклероза Менкеберга — кальциноз в виде «струи дыма».
- V степень. Самый тяжелый вариант поражения, который развивается спустя 20 и более лет от начала артериосклероза. Вследствие полного обызвествления основные и коллатеральные сосуды на рентгенограмме приобретают вид извитого шнура.
Симптомы артериосклероза Менкеберга
Заболевание длительное время протекает бессимптомно. Первые проявления артериосклероза неспецифичны и выражены незначительно, поэтому многие люди не обращают на них внимание. На начальных этапах кальциноза наблюдается усталость и неприятные ощущения в ногах, которые усиливаются к вечеру. Руки и ноги начинают сильнее мерзнуть, кожа постоянно прохладная, даже при нахождении в теплом помещении. Характерно медленное заживление царапин и синяков.
По мере прогрессирования артериосклероза Менкеберга появляется низкая перемежающаяся хромота. Во время ходьбы у человека возникает резкая боль в икроножных мышцах, которая вынуждает остановиться. После отдыха в течение 3-5 минут болевые ощущения исчезают. После прохождения определенного расстояния (в среднем 50-250 м) боли возобновляются. Больных беспокоит онемение и парестезии в ногах.
Симптомы поражения других сосудистых бассейнов отмечаются намного реже. При кальцинозе артерий малого таза у мужчин возникает импотенция, у женщин снижается либидо. Иногда наблюдаются боли в животе без четкой локализации, которые появляются спустя 30-40 минут после приема пищи. При вовлечении в процесс сосудов сетчатки пациенты жалуются на эпизоды «затуманивания» зрения, головные боли.
Осложнения
При поражении средней оболочки сосудов повышается риск развития аневризм — ограниченных выпячиваний, которые нарушают нормальный кровоток. Аневризмы чаще формируются на центральных артериях, которые имеют достаточно большой диаметр. В зоне патологического сосудистого расширения зачастую происходит тромбообразование. При неблагоприятных условиях тромбы отрываются от интимы, вызывая тромбоэмболические расстройства.
Опасным осложнением является разрыв аневризмы или расслаивающая аневризма, которые требуют неотложной врачебной помощи. Прогрессирование кальциноза в сосудах нижних конечностей сопровождается язвенно-некротическими поражениями. На пальцах ног и стопах образуются гнойные язвы, которые очень плохо заживают. При сочетании артериосклероза Менкеберга и сахарного диабета высокая вероятность начала сухой или влажной гангрены, инвалидизации больных.
Диагностика
Для постановки диагноза артериосклероза Менкеберга требуется консультация опытного врача-ангиолога или хирурга. При физикальном обследовании патогномоничные признаки заболевания отсутствуют, поэтому требуется дифференцировка с другими сосудистыми патологиями (облитерирующим атеросклерозом, тромбангиитом). Чтобы диагностировать артериосклероз, применяются современные инструментальные методы:
- Рентгенография. На обзорной рентгенограмме нижних конечностей можно проследить ход пораженного сосуда и обнаружить участки кальциноза. При обызвествлении плотность артериальной стенки равна плотности кости. При других локализациях артериосклероза метод недостаточно информативен, поскольку на снимках обнаруживают много артефактов.
- УЗИ артерий. Ультразвуковое исследование — современный и информативный метод визуализации утолщенной и кальцинированной артериальной стенки при болезни Менкеберга. Для оценки скорости кровотока и степени развития коллатералей назначается допплерография.
- Периферическая артериография. Инвазивное исследование с контрастом проводится для документального подтверждения нарушений кровообращения в сосудах и визуализации сети коллатеральных сосудов. Ангиография показана на этапе подготовки к хирургическому лечению. Как альтернатива используется КТ-ангиография.
- Вспомогательные методы. При сфигмографии определяют повышение скорости пульсовой волны в кальцинированной артерии и отсутствие дополнительных волн. При реовазографии обнаруживается спастический или спастико-атонический тип сосудистого поражения.
Лечение артериосклероза Менкеберга
Консервативная терапия
Учитывая неясные причины артериокальциноза, его этиотропное лечение не разработано. Лечебная тактика направлена на улучшение коллатерального кровообращения и микроциркуляции, нормализацию реологических свойств крови. Заболевание отличается неуклонным прогрессированием, поэтому терапия должна быть комплексной и пожизненной. Назначаются следующие группы препаратов:
- Дезагреганты. Производные ацетилсалициловой кислоты и тиенопиридинов используются в невысоких дозах для разжижения крови. Лекарства улучшают микроциркуляцию, препятствуют образованию тромбов. При недостаточной эффективности схему лечения дополняют антикоагулянтами.
- Ангиопротекторы. К этой категории относят разные по фармакологическому действию препараты: витамины, нестероидные противовоспалительные средства, растительные экстракты. Ангиопротекторы расширяют сосуды и укрепляют артериальную стенку, активируют реакции тканевого метаболизма.
- Спазмолитики. Рекомендованы для увеличения диаметра дистальных артерий и усиления притока крови к ишемизированным тканям. Спазмолитики нейтрализуют негативное воздействие нервной системы на сосуды при полинейропатии.
Хирургическое лечение
Оперативное вмешательство при неосложненных формах артериосклероза Менкеберга не применяется. В случае формирования аневризмы проводится эндоваскулярная операция — эмболизация расширенного участка либо клипирование шейки аневризмы. Реже прибегают к открытому хирургическому методу - резекции аневризмы и замещению участка артерии протезом. При начале язвенно-некротических осложнений требуется некрэктомия с последующей пластикой дефекта тканей.
Прогноз и профилактика
При изолированном кальцинозе Менкеберга врачи дают благоприятный прогноз, поскольку от начала заболевания и до появления тяжелых клинических симптомов проходит много лет. Подбор адекватной консервативной терапии позволяет максимально замедлить прогрессирование артериосклероза. Основной способ профилактики болезни — тщательная компенсация сахарного диабета и предупреждение диабетических ангиопатий.
1. Склероз Менкеберга как одно из патогенетических звеньев развития синдрома диабетической стопы/ И.Я. Михалойко, Р.В. Сабадош // Галицкий врачебный вестник. - 2013.
3. Сенильный аортальный стеноз: современное состояние проблемы (к 100-летию публикации И.Г. Менкеберга)/ И.В. Егоров// Consilium medicum. - 2014.
Внутрисердечный тромбоз
Внутрисердечный тромбоз - это наличие тромба в одной из сердечных камер. Тромбоз левых отделов сердца развивается при фибрилляции предсердий, врожденных и приобретенных кардиальных пороках, инфаркте миокарда. Поражение правых камер сердца возникает как компонент ТЭЛА. При внутрисердечном расположении тромбов специфическая симптоматика отсутствует, клинические проявления возникают только при осложнении тромбоза другими кардиальными патологиями. Для диагностики назначают классическую и чреспищеводную ЭхоКГ, МРТ сердца, вентрикулографию. Лечение включает комплексную антикоагулянтную терапию, кардиохирургические вмешательства.



Внутрисердечная локализация тромбов наблюдается у 1-15,2% людей, имеющих кардиологические заболевания. Такой разбег статистических данных обусловлен длительным бессимптомным течением патологии и сложностями ее инструментальной диагностики. До 90% всех случаев составляют тромбы левого ушка и предсердия, реже встречаются кровяные сгустки в левом желудочке, правом предсердии и желудочке. Внутрисердечные тромбозы не теряют актуальности в практической кардиологии, поскольку сопряжены с жизнеугрожающими тромбоэмболическими осложнениями.

Развитие внутрисердечного тромбоза (ВСТ) связывают с сочетанным действием двух факторов: патологическим повышением свертывающей способности крови и наличием структурно-функциональных изменений в сердечных полостях. Большинство случаев заболевания возникают у пациентов, которые страдают от других кардиологических патологий, что осложняет своевременную постановку диагноза. Основные причины образования внутрисердечных тромбов:
- Аритмии. Ведущим провоцирующим фактором выступает фибрилляция предсердий (мерцательная аритмия), при которой частота сердечных сокращений возрастает до 400-500 в минуту. При фибрилляции наблюдается стаз крови в левом предсердии, особенно в его ушке, где располагается большинство внутрисердечных кровяных сгустков.
- Острый коронарный синдром. Появление тромбов внутри камер сердца характерно для пациентов с инфарктом миокарда. Вероятность патологии повышается при ишемии передней стенки, падении фракции выброса крови менее 50%. Причиной внутрисердечного тромбоза также выступает постинфарктная аневризма желудочка.
- Пороки сердца. При структурных аномалиях сердечных камер нарушается нормальный ток крови в большом и малом круге, что становится пусковым фактором тромбоза. Чаще всего патология развивается на фоне стеноза митрального клапана, который является типичным осложнением ревматизма.
- ТЭЛА. Патология признана основной причиной тромбоза в правых сердечных камерах. Внутрисердечные тромбы выступают составляющими системного тромбоэмболического процесса. Риск тромбоза составляет 4% у пациентов с немассивной ТЭЛА и возрастает до 18% при массивной форме тромбоэмболии легочной артерии.
- Имплантируемые устройства. Повышенный риск тромбообразования присутствует у пациентов, которым установлен электрокардиостимулятор, искусственный клапан или центральный катетер. Вероятность патологии увеличивается при неадекватно подобранной антикоагулянтной терапии, наличии отклонений от нормы по результатам коагулограммы.
В механизме развития тромбоза выделяют несколько факторов, таких как стаз крови в полости предсердия или желудочка, дисфункция эндотелия, чрезмерная активация системы свертывания. Стаз крови реализуется вследствие анатомических причин, которые включают структурные изменения при пороках сердца, узкую конусовидную форму и неровную поверхность сердечного ушка, ремоделирование полости желудочка вследствие инфаркта миокарда.
Эндотелиальная дисфункция сопровождается повышением биомаркеров: фактора фон Виллебранда и предсердного натрийуретического пептида, которые резко увеличивают свертывающую способность и снижают фибринолитическую активность крови. При фибрилляции предсердий ситуация усугубляется возрастанием уровня фибриногена, Д-димера, тканевого активатора плазминогена.
Внутрисердечные кровяные сгустки подразделяются на 2 типа: пристеночные и флотирующие. Пристеночные тромбы прочно связаны с внутренней выстилкой сердечной камеры, поэтому они редко отрываются. Второй тип — флотирующие тромбы, свободно располагаются в полости сердца и легко распространяются с током крови в другие органы. Особое место занимают шаровидные тромбы предсердий, которые являются патогномоничным признаком митрального стеноза.

Симптомы внутрисердечного тромбоза
Тромбы сердца длительное время никак себя не проявляют. Ухудшение здоровья связано с основной кардиоваскулярной болезнью. Пациенты предъявляют жалобы на перебои в работе сердца, сдавление и боли в левой половине грудной клетки, одышку при физической нагрузке и в покое. Возможны эпизоды головокружения и дурноты, предобморочные состояния. Нарушения кровотока приводят к гипоксии, которая проявляется слабостью, головными болями, снижением когнитивных функций.
Основной опасностью внутрисердечного тромбоза является распространение сгустков по магистральным сосудам к внутренним органам. При переносе тромба по большому кругу кровообращения существует риск ишемического инсульта, возникающего при закупорке одной из артерий, кровоснабжающих головной мозг. К осложнениям ВСТ левой половины сердца относят критическую ишемию кишечника, почки, нижней конечности.
Вовлечение правых камер сопряжено с массивной легочной тромбоэмболией. Критические нарушения кровотока в сосудах бронхолегочной системы изменяют вентиляционно-перфузионное соотношение, вызывают артериальную гипоксемию и дыхательную недостаточность. Одновременно с этим формируется бронхоспазм, связанный с повышенным синтезом биологически активных веществ и усугубляющий респираторные нарушения. При ТЭЛА возможно развитие инфаркта легкого.
Обследование пациента проводится врачом-кардиологом при обращении по поводу сопутствующих сердечных патологий либо при развитии тромбоэмболических осложнений. При первичном осмотре обращают внимание на кардиологический анамнез, данные физикального обследования сердца, наличие факторов риска кардиоваскулярных кризов. Для диагностики ВСТ используются следующие методы:
- ЭхоКГ. Классическое трансторакальное УЗИ сердца имеет ограниченную эффективность, позволяет обнаружить признаки других патологий и нарушений гемодинамики. Для точной визуализации тромба показана чреспищеводная ЭхоКГ, которая дает врачу информацию о расположении, размерах и прикреплении кровяного сгустка.
- МРТ сердца. Магнитно-резонансная томография проводится как альтернатива чреспищеводному УЗИ, если у пациента есть противопоказания к его выполнению. МРТ обеспечивает четкие и детальные снимки всех сердечных камер, что необходимо для подтверждения внутрисердечного тромбоза, выявления предпосылок его развития.
- ЭКГ. Электрокардиография необходима для определения признаков фибрилляции предсердий или других вариантов аритмии, которые выступают предрасполагающим фактором тромбоза. Исследование информативно для быстрой диагностики коронарного синдрома и прочих осложнений при тромбоэмболии.
- Вентрикулография. Исследование полостей сердца с контрастированием - вспомогательный инвазивный метод, который нужен для визуализации сократительной активности миокарда, состояния сердечных клапанов и структурных аномалий сердца. Он назначается по строгим показаниям, поскольку повышает риск тромбоэмболии и аритмии.
- Анализы крови. Для оценки свертывающей активности системы крови показана расширенная коагулограмма, которая включает показатели Д-димера и антитромбина III. При острых кардиоваскулярных симптомах проводится анализ миокардиальных маркеров и острофазовых показателей. Для оценки общего состояния больного выполняют клинический и биохимический анализы крови.
Дифференциальная диагностика
Объемные образования в полостях сердца, обнаруженные при инструментальной визуализации, необходимо отличать от опухолей. Дифференциальная диагностика проводится с доброкачественными новообразованиями - миксомой, рабдомиомой, липомой и сосочковой фиброэластомой, злокачественными процессами - саркомой, метастазами рака молочной железы, легких, желудка. Также необходимо дифференцировать ВСТ от клапанных вегетаций при инфекционном эндокардите.

Лечение внутрисердечного тромбоза
Всем пациентам назначается программа антикоагулянтной и антиагрегантной терапии, которая направлена на стабилизацию реологических свойств крови, предупреждение прогрессирования и отрыва тромба. Препараты принимаются пожизненно, их наименования и дозы зависят от конкретной клинической ситуации. Для лизиса внутрисердечных тромбов применяются антагонисты витамина К, которые способствуют уменьшению или полному растворению сгустка у 46-83% пациентов.
Оперативное вмешательство в кардиохирургии оправдано при осложненном течении внутрисердечного тромбоза либо при больших размерах сгустков и высокой вероятности кардиоваскулярных кризов. Тактика операции подбирается индивидуально с учетом расположения тромба. Для предупреждения интраоперационной тромбоэмболии вмешательство проводится в условиях искусственного кровообращения. При отрыве тромба и поражении сосудов показана тромбэктомия.
Внутрисердечный тромбоз является прогностическим неблагоприятным фактором, особенно при его сочетании с опасными формами аритмий, протезированными клапанами. Для профилактики жизнеугрожающих осложнений пациентам необходимо диспансерное наблюдение у кардиолога и выполнений контрольных УЗИ сердца. Неспецифическая профилактика направлена на снижение показателя кардиоваскулярного риска, нормализацию образа жизни.
2. Внутрисердечный тромбоз: частота, факторы риска и место пероральных антикоагулянтов в лечении/ Е.С. Кропачева// Атеротромбоз. - 2020. - №1.
3. Identification of Intracardiac Thrombus/ Strom J., Manning W.// Essential Echocardiography: Companion to Braunwald's Heart Disease. - 2019.
4. Предикторы внутрисердечного тромбоза у больных с мерцательной аритмией: факторы гемостаза, маркеры воспалений и генетические факторы/ И.В. Зотова, Д.А. Затейщиков, Б.А. Сидоренко//Кардиология. - 2007. - №. 11.
Кальциноз коронарных артерий
Кальциноз коронарных артерий — это отложение солей кальция в стенке сосудов, которые приносят артериальную кровь к миокарду. Болезнь длительное время характеризуется бессимптомным течением. Клинические проявления (боль в сердце, слабость, головокружения) возникают спустя несколько лет от начала кальцификации. Для диагностики коронарного кальциноза назначают инструментальные методики визуализации: электронно-лучевую и мультиспиральную КТ, внутрикоронарное УЗИ, коронарографию. Лечебные мероприятия включают терапию основного заболевания, коронарное стентирование, прием статинов и гормональных препаратов.



Кальциноз коронарных (венечных) артерий — независимый фактор риска развития острого коронарного синдрома. Точная распространенность этого состояния неизвестна. По данным выборочных исследований доказано, что среди здоровых женщин в возрасте после 40 лет кальциноз сосудов сердца встречается в 11,2% случаев. Среди мужчин распространенность патологии выше. Коронарный кальциноз часто сочетается с кальцинозом аорты и артерий внутренних органов.

В современной кардиологии ведутся дискуссии по поводу этиологических факторов кальциноза. Установлено, что отложение кальциевых солей может начинаться у людей молодого возраста (20-30 лет), не имеющих никаких сердечно-сосудистых болезней. Причины подобных бессимптомных изменений не установлены. У пациентов среднего и старшего возраста кальцификацию артерий связывают с атеросклеротическими изменениями сосудов.
Факторы риска
Среди факторов риска кальциноза выделяют необратимые и обратимые. К необратимым относят мужской пол, пожилой возраст и наличие в семье случаев сердечно-сосудистой патологии. Среди обратимых (управляемых) выделяют дислипидемию, воспалительные изменения сосудистой стенки, несбалансированное питание с дефицитом нутриентов. Гиповитаминоз Д считается одним из основных управляемых факторов, поскольку при недостатке холекальциферола нарушаются процессы кальциевого обмена.
Ученые считают, что кальциноз коронарных артерий — активный и обратимый процесс, который по механизму развития схож с реакциями костеобразования. Основную роль в отложении кальциевых солей в сосудах играют белки костного матрикса, которые по направленности действия подразделяются на 2 группы: ингибиторы и индукторы кальцификации. Эти протеины находятся в костной ткани, стенках артерий, липидных бляшках.
К индукторам кальциноза относят костную щелочную фосфатазу и костные метаболические белки. Они повышают концентрацию кальция, других минеральных соединений в интиме коронарных артерий, усиливают локальный воспалительный процесс. Среди ингибиторов кальцификации выделяют остеопонтин, остеопротегерин и фетуин-А. Кальциноз артерий провоцируется нарушением равновесия между этими группами регуляторных белков.
Симптомы
Кальциноз сосудов продолжительное время протекает бессимптомно. Клинические признаки кальцификации возникают в случае обширного поражения коронарных артерий, сопровождающегося ишемией миокарда. Симптомы также появляются при присоединении других сердечно-сосудистых заболеваний. Типичный возраст манифестации симптоматики — 45-50 лет. Патогномоничных признаков кальциноза коронарных сосудов не существует.
Чаще всего больные испытывают различные по характеру боли в прекардиальной области — ноющие, колющие, сжимающие. Болевой синдром провоцируется физической нагрузкой, сильными эмоциональными переживаниями. Реже боли ощущаются покое. Длительность болевых ощущений составляет от нескольких минут до часов и даже дней. Иногда больные описывают свои симптомы как давление и дискомфорт за грудиной.
Отмечаются неспецифические признаки: повышенная утомляемость, снижение работоспособности. При одновременном поражении других артерий беспокоит головокружение, снижается память — это последствия хронической гипоксии мозга. Кальциноз коронарных артерий зачастую сочетается со сниженной плотностью костной ткани и остеопорозом. Это обуславливает дополнительные проявления: беспричинные боли в костях и суставах, снижение физической активности.

Кальциноз венечных артерий — предиктор развития сердечно-сосудистых кризов. В ходе наблюдений обнаружено, что влияние кальцификации сосудов наиболее заметно у больных со средним риском инфаркта по шкале SCORE. Согласно исследованиям, около 20% пациентов после обнаружения кальциевых бляшек в сосудах переводятся в группу высокого и очень высокого риска. У таких людей риск смерти от сердечных причин увеличивается до 10% и больше.
Кальцификация атеросклеротических бляшек значительно повышает вероятность их разрыва под давлением крови. Покрышка бляшки в месте ее соединения с нормальной стенкой артерии становится очень тонкой и уязвимой. При нарушениях целостности бляшки липидные конгломераты могут закупоривать просвет одной из коронарных артерий, что приводит к некрозу участка миокарда.
Стандартный физикальный осмотр с аускультацией сердца малоинформативен для выявления коронарного кальциноза. В начале обследования врач-кардиолог назначает общеклинические анализы крови и мочи для быстрого скрининга состояния организма, исключения воспалительных заболеваний и патологий системы кроветворения. Диагностика кальциноза венечных артерий включает следующие методы:
- Внутрикоронарное УЗИ. Ультразвуковое исследование с использованием коронарных катетеров — наиболее информативный метод обнаружения кальцинатов в стенках артерий. Специфичность диагностики составляет 100%, а чувствительность — 90%. Инвазивная сонография проводится только в специализированных кардиологических центрах.
- Коронарография. Классический инвазивный метод, который выполняется для визуализации внутренней поверхности коронарных сосудов. Исследование помогает выявить наличие бляшек на стенках или в просвете сосудов, но при коронарографии нельзя предположить их плотность и химический состав.
- Электронно-лучевая КТ. Методика помогает быстро, практически в режиме реального времени оценить состояние коронарных артерий и обнаружить признаки кальциноза. Для вычисления кальциевого индекса (КИ) более информативна мультиспиральная томография. При подсчете КИ берут во внимание площадь поражения артерии и плотность кальцината.
- Лабораторные методы. Обязательно производится биохимический анализ для определения уровня сывороточного кальция. О патологии говорят при повышении показателя до 2,75 ммоль/л и более. Для исключения воспалений и некроза сердечной мышцы измеряют стандартные миокардиальные маркеры — миоглобин, тропонин, КФК.

Лечение кальциноза коронарных артерий
Учитывая неясные этиопатогенетические механизмы развития заболевания, возникают трудности с подбором медикаментозного лечения. Зачастую кальциноз диагностируется на этапе присоединения других кардиологических болезней, поэтому терапия подбирается с учетом полного диагноза. В зависимости от степени поражения сердца назначают антиангинальные, гиполипидемические, антиаритмические препараты.
Для устранения крупных кальцификатов применяются методы интервенционной кардиологии — малоинвазивные хирургические вмешательства. Наилучшие результаты показывает коронарное стентирование — расширение просвета пораженной артерии с помощью специальных сетчатых имплантов. Методика отличается коротким реабилитационным периодом и минимальной травматичностью.
Экспериментальное лечение
Хотя утвержденных кардиологических протоколов лечения кальциноза коронарных артерий пока нет, но в медицинской литературе опубликованы результаты многочисленных исследований этой проблемы. Существует теория об эффективности статинов для уменьшения объема кальцинированных бляшек. Эта гипотеза получила подтверждение в двойных слепых плацебо-контролируемых испытаниях.
Женщинам после 50 лет с выявленным венечным кальцинозом рекомендованы препараты эстрогенов. Половые гормоны оказывают кардиопротективное действие, нормализуют кальциевый обмен и предотвращают дальнейшее повреждение коронарных сосудов. Активно обсуждается эффективность растительных и витаминных препаратов для улучшения метаболизма миокарда.
Коронарный атеросклероз не опасен для пациентов, у которых нет других факторов риска, поэтому в подобных случаях прогноз обычно благоприятен. Благодаря методам малоинвазивной кардиохирургии удается устранить участки кальциноза и улучшить прогноз у страдающих сочетанными поражениями сердечно-сосудистой системы. Меры профилактики идентичны таковым, что применяются для предотвращения атеросклероза, другой кардиососудистой патологии.
1. Кальциноз коронарных артерий — современное состояние проблемы/ В.Б. Симоненко, А.Ю. Екимовских, И.В. Долбин// Клиническая медицина. — 2013.
2. Коронарный кальциноз как фактор риска развития инфаркта миокарда: случай из практики/ Ф.Д. Ахматова, З.Ю. Курбатова, Л.С. Аронов, С.Х. Галачиева и др.// Вестник РГМУ. — 2013.
3. Особенности эндоваскулярного лечения кальцинированных поражений коронарных артерий/ А.М. Бабунашвили, Д.С. Карташов// Материалы ХХ Всероссийского съезда сердечно-сосудистых хирургов. — 2014.
4. Кальциноз коронарный артерий и аорты у больных с высоким риском развития сердечно-сосудистых осложнений и сниженной минеральной плотностью костной ткани/ З.Н. Бланкова, Н.С. Самсонова, И.В. Баринова, И.С. Федотенков// Кардиологический вестник. — 2018.
Кальциноз аорты, клапанов сердца и сосудов: лечение, причины, симптомы
В пожилом возрасте и при некоторых патологических состояниях в организме человека накапливается избыточное количество кальция, вывести который естественным путем он не может. Происходит его выброс в кровь. В результате, кальций начинает откладываться на стенках кровеносных сосудов, в том числе и аорты. Происходит известкование ее стенок и створок клапана. Этот процесс носит название кальциноз (кальцификация, обызвествление). В случае поражения аорты болезнь предоставляет прямую угрозу жизни человека, так как наслоения кальция на стенках лишают их эластичности.
Аорта начинает напоминать хрупкий фарфоровый сосуд, который может треснуть от любой увеличенной нагрузки. Таким фактором для этой крупной артерии является повышенное давление. Оно в любой момент может разорвать хрупкую стенку и вызвать мгновенную смерть. Повышению давления способствует вызванное обызвествлением разрастание на клапанах аорты полиповидных тромботических масс, приводящее к сужению ее устья.
Устранение кальциноза
Кальциноз аорты является одной из причин развития тяжелого заболевания — аортального стеноза (АС). Специальной методики медикаментозной терапии этого заболевания нет. Обязательно проводится общеукрепляющий курс, направленный на профилактику ишемической болезни сердца (ИБС) и сердечной недостаточности, а также на устранение уже имеющихся заболеваний.
- Лечение кальциноза легкой и средней степени тяжести проводится препаратами-антагонистами кальция, с большим содержанием магния. Они успешно растворяют известковые отложения на стенках аорты. В растворенном виде часть из них выводится из организма, а часть вбирает в себя костная ткань.
- Назначаются препараты для нормализации артериального давления и поддерживания его в определенных пределах.
- Застой крови в малом круге устраняется приемом диуретиков.
- При возникающей в левом желудочке систолической дисфункции и мерцательной аритмии применяется Дигоксин.
- Тяжелые формы устраняются только хирургическим вмешательством.
- Для лечения кальциноза аорты в детском возрасте используется аортальная баллонная вальвулопластика - малоинвазивная процедура расширения сердечного клапана посредством введения в аорту катетера с надувающимся баллончиком на конце (технология близка к традиционной ангиопластике).
Кальциноз — причина стеноза аортального клапана
Одной из распространенных причин (до 23%) развития пороков сердечных клапанов является стеноз аортального клапана (АК). Его вызывает воспалительный процесс (ревматический вальвулит) или кальциноз. Это заболевание считается истинным стенозом. Кальциноз створок аортального клапана приводит к дегенеративным изменениям его тканей. Они постепенно уплотняются и становятся толще. Чрезмерное наслоение солей извести способствует срастанию створок по комиссурам, в результате чего происходит уменьшение эффективной площади отверстия аорты и возникает недостаточность ее клапана (стеноз). Это становится препятствием на пути кровотока из левого желудочка. В результате, на переходном участке от ЛЖ в аорту возникает перепад кровяного давления: внутри желудочка оно начинает резко повышаться, а в устье аорты падает. Вследствие этого, левожелудочковая камера постепенно растягивается (дилатируется), а стенки утолщаются (гипертрофируются). Что ослабляет его сократительную функцию и снижает сердечный выброс. Левое предсердие при этом испытывает гемодинамическую перегрузку. Она переходит и на сосуды малого круга кровообращения.

Необходимо отметить, что левый желудочек обладает мощной силой, способной компенсировать негативные последствия стеноза. Нормальное наполнение его кровью обеспечивается интенсивным сокращением левого предсердия. Поэтому, на протяжении длительного времени порок развивается без заметного нарушения кровообращения, а у больных отсутствуют симптомы.
Развитие кальциноза аортального клапана
Обызвествление сердечных клапанов является предшественником таких заболеваний, как сердечная недостаточность, генерализованный атеросклероз, инсульт, инфаркт и т.д. Обычно кальциноз аортального клапана развивается на фоне дегенеративных процессов, происходящих в его тканях, вызванных ревматическим вальвулитом. На сморщенных, спаянных между собой краях клапанных створок образуются бесформенные известковые наросты, перекрывающие устье аорты. В отдельных случаях кальциноз может захватывать расположенные в непосредственной близости стенку левого желудочка, переднюю створку МК, перегородку между желудочками.
Заболевание имеет несколько стадий:
- На начальной стадии отмечается гиперфункция левого желудочка. Она способствует полному его опорожнению. Поэтому дилатации (растягивания) его полости не происходит. Такое состояние может продолжаться достаточно долго. Но возможности гиперфункции не безграничны и наступает следующая стадия.
- В полости ЛЖ с каждым разом остается все больше крови. За счет этого его диастолическое (в период возбуждения) наполнение требует большего объема. И желудочек начинает расширяться, то есть происходит его тоногенная дилатация. А это в свою очередь вызывает усиление сокращения ЛЖ.
- На следующей стадии наступает миогенная дилатация, вызванная ослаблением миокарда, которая является причиной аортальной недостаточности (стеноза).
старческий (сверху) и двустворчатый стеноз (внизу) аортального клапана из-за кальциноза
Выявляется кальциноз АК при проведении рентгенографии. Он отчетливо виден на косой проекции. На ЭХОКГ кальциноз регистрируется в виде огромного количества эхосигналов высокой интенсивности.
Так как длительное время происходит компенсация аортальной недостаточности кровообращения, человек чувствует себя вполне здоровым. У него отсутствуют клинические проявления заболевания. Сердечная недостаточность возникает неожиданно (для больного) и начинает быстро прогрессировать. Смерть наступает в среднем через 6 с половиной лет с момента возникновения выраженных симптомов. Единственным эффективным методом лечения этого порока является хирургическая операция.
Кальциноз митрального клапана
Кальционоз очень трудно диагностировать, так как его клинические проявления схожи с симптомами кардиосклероза, гипертонической болезни, ревматизма. Поэтому нередко больному ставится ошибочный диагноз, а обызвествление продолжает прогрессировать, приводя к тяжелым порокам сердца, таким как недостаточность митрального клапана или митральный стеноз.

кальциноз митрального клапана
Больные жалуются на снижение работоспособности, повышенную утомляемость. У них появляется одышка, перебои в работе сердца, чередующиеся с частым сердцебиением, сердечные боли. Во многих случаях отмечается кашель с кровью, голос становится сиплым. Своевременно проведенное лечение кальциноза митрального клапана, с применением комиссуротомии митральной и профилактической медикаментозной терапии, не только восстановит сердечную деятельность, но и даст возможность вести активный образ жизни.
Возможность выявить кальцинирование этого вида дает допплеровское цветное сканирование. На осмотре у врача бросается в глаза акроцианоз и «митральный» румянец на фоне бледности кожных покровов. При полном обследовании больного диагностируется расширение левого предсердия и гипертрофированность его стенки, с небольшими тромбами в ушке. При этом размеры левого желудочка остаются без изменения. У правого желудочка — стенки расширены, с заметным утолщением. Расширены также легочные вены и артерия.
Кальциноз сосудов и его виды
Кальцинированные бляшки на стенках артерий — одна из распространенных причин возникновения инфаркта миокарда и инсульта, вследствие значительного сужения просвета между их стенками. Оно препятствует обратному току крови от сердца. Это нарушает кровообращение большого круга, приводя к недостаточности снабжения кровью миокарда и головного мозга, и не удовлетворяя их потребности в кислороде.
По механизму развития кальциноз сосудов делится на следующие виды:
- Кальцинирование метастатическое, причиной возникновения которого становятся нарушения в работе (заболевания) отдельных органов, например, почек, толстой кишки и т.д. У пожилых людей и в детском возрасте обызвествление развивается от излишнего приема витамина Д. Чаще всего этот вид кальциноза не имеет клинических признаков.
- Интерстициальный (универсальный) кальциноз или обызвествление метаболическое. Вызывается повышенной чувствительностью организма к солям кальция (кальцификацией). Прогрессирующее, тяжело протекающее заболевание.
- Кальцинирование дистрофическое. Этот кальциноз сердца приводит к образованию «панцирного сердца» при перикардите или «панцирного легкого» при плеврите, вызывает нарушение сердечной деятельности и может стать причиной тромбоза.
- У детей нередко отмечается идиопатический (врожденный) кальциноз, возникающий при патологиях развития сердца и сосудов.
Кальциноз брюшной аорты

К смертельному исходу в течение года может привести аневризма брюшной аорты. Иногда человек умирает внезапно от внутреннего кровотечения в брюшной полости, вызванного разрывом аневризмы. Причиной этого заболевания является кальциноз брюшной аорты. Он выявляется при проведении обзорной рентгеноскопии.
Основными симптомами этого заболевания являются возникающие после каждого приема пищи боли в животе, которые по мере развития болезни нарастают, а также перемежающаяся хромота.
Устраняется хирургической операцией — резекцией аневризмы. В дальнейшем проводится протезирование удаленного участка аорты.
Кальциноз внутрисердечный
Патологический процесс отложения солей кальция на склеротических пристеночных утолщениях миокарда и его хордальных нитях, створках и основаниях клапанов (внутрисердечный кальциноз) приводит к тому, что в тканях происходит изменение физико-химических свойств. В них накапливается фосфатаз щелочной, который ускоряет образование солей кальция и способствует их оседанию на некротических участках. Иногда внутрисердечный кальциноз сопровождается редкими, а порой и неожиданными проявлениями, например, повреждением эндотелия и его экскориацией. В отдельных случаях происходит разрыв эндотелия, который вызывает тромбоз клапанов.
Тромбозы опасны тем, что приводят к сепсису и тромбоэндокардиту. В медицинской практике немало случаев, когда тромбоз полностью перекрывал митральное кольцо. На почве внутрисердечного кальциноза может развиться стафилококковый эмболический менингит, который практически всегда заканчивается летальным исходом. При распространении кальциноза на обширные участки створок клапана происходит размягчение его тканей и формирование на них казеозовидных масс. С клапанных створок казеоз может перейти на близлежащие участки миокарда.
Различают два вида внутрисердечного кальциноза:
- Первичный (дегенеративный, возрастной), происхождение которого не всегда известно. Чаще всего наблюдается при старении организма.
- Вторичный, возникающий на фоне заболеваний сердечно-сосудистой и эндокринной систем, почек и т.п.
Лечение первичного кальциноза сводится к профилактике возникновения дистрофических изменений, связанных со старением организма. При вторичном кальцинозе в первую очередь устраняется причина, вызывающая процесс образования известковых наростов на стенках сосудов и клапанах.

ангиопластика - метод устранения кальциноза
Распространенным методом лечения некоторых заболеваний сердца, в частности инфаркта миокарда применяется баллонная ангиопластика (восстановление просвета сосуда посредством раздувающегося баллона). Этим способом расширяют коронарные артерии, сдавливая и расплющивая кальциевые наросты на их стенках, перекрывающие просветы. Но сделать это достаточно трудно, так как в баллонах требуется создать давление, в два раза превышающее то, которое используется при лечении инфаркта. При этом возникают некоторые риски, например, система наддува или сам баллончик могут не выдержать увеличенного до 25 атм. давления и лопнуть.
Клинические признаки
Чаще всего симптомы внутрисердечного кальциноза проявляются на поздних стадиях, когда известковые отложения уже вызвали значительные физиологические изменения строения сердца и привели к нарушению кровообращения. Человек ощущает перебои в сердечном ритме, испытывает боль в области сердца и постоянную слабость. У него часто кружится голова (особенно при резкой смене положения). Постоянным спутником кальциноза является одышка. В первое время она уменьшается в состоянии покоя, но при прогрессировании заболевания отмечается даже во время ночного сна. Возможны непродолжительные обмороки и кратковременные потери сознания.
Основные причины возникновения кальциноза кроются в нарушении регуляции обменных процессов. Оно может быть вызвано сбоями в работе эндокринной системы, которые приводят к снижению выработки парагормонов и кальцитонина. Это становится причиной нарушения кислотно-щелочного баланса крови, в результате чего соли кальция перестают растворяться и в твердом виде оседают на стенках сосудов.
Нередко кальцинированию способствуют заболевания почек (хронический нефрит или поликистоз), опухоли и миеломные заболевания. Кальциноз артерий может возникать в послеоперационный период, на фоне травмирования мягких тканей при имплантации функциональных устройств. Известковые конгломераты больших размеров чаще всего образуются на участках с отмершей тканью или при ее дистрофии.
Современные методы диагностики
Высокая смертность среди больных с диагнозом кальциноз сердца или аорты заставляет медиков всего мира искать новые более совершенные методы диагностирования этого заболевания. В стадии клинических испытаний находятся следующие методики:
- ЭЛКГ (электронно-лучевая компьютерная томография), дающая качественную оценку кальцинирования.
- Двухмерная ЭХОКГ, посредством которой получают визуализацию кальцинитов. Они выявляются в виде множественных эхосигналов. Эта методика позволяет выявить анатомические нарушения, но не дает количественной оценки степени распространенности кальцинирования.
- Ультрасонография. С ее помощью можно выявить кальциноз стенок сосудов, но он не позволяет установить наличие и степень кальцинирования клапанов аорты.
- Ультразвуковая денситометрия. Она проводится посредством Nemio — диагностической системы от фирмы TOSHIBA. В нее входит кардиальный датчик в виде фазированной решетки и компьютерная кардиальная программа IHeartA. Этот прибор позволяет диагностировать степень распространения кальциноза по показателям Mean.
- Если Mean меньше 10, кальциноз АК отсутствует;
- Если 10
- Если 13
- Mean>17 свидетельствует о значительном разрастании известковых отложений (3 степень).
Особенно важно своевременно и правильно диагностировать степень кальциноза в период беременности. При высокой степени обызвествления нередко возникают проблемы во время родов, так как кальций может оседать не только на клапаны сердца, но и на плаценту. Если поставлен диагноз кальциноз 1-ой степени, следует ограничить употребление продуктов с высоким содержанием кальция. Рекомендуется прием поливитаминов и препаратов с большим содержанием магния.
Народные рецепты против кальциноза
Считается, что можно остановить развитие кальциноза, используя народные средства на основе чеснока. Уникальную способность этого растения растворять известковые отложения обнаружили европейские ученые, проводившие исследования о воздействии его биологически активных веществ на кровеносные сосуды. В профилактических целях в день достаточно съедать всего два зубчика.
Китайские целители готовили чесночную настойку из 300 г очищенных и измельченных долек чеснока и 200 граммов спирта (водки). После 10-тидневного настаивания ее принимали по следующей схеме:

- 5 дней, начиная с одной капли на 50 мл холодного молока, три раза в день, с каждым приемом прибавляя по одной капле. Вечером пятого дня надо выпить 50 мл молока с 15-ю каплями чесночной настойки.
- 5 дней, убавляя по одной капле на каждый прием. На 10-й день вечером нужно выпить 50 мл молока с одной каплей настоя.
- Затем принимать по 25 капель на каждый прием, пока не кончится настойка.
Сохранился рецепт «Эликсира молодости», который использовали тибетские монахи для очищения кровеносных сосудов и продления жизни:
- Они бралипо 100 грамм сухой травы ромашки, пустырника и березовых почек. Тщательно перемешивали и измельчали смесь. Одну столовую ложку приготовленного сбора заваривали 0,5 л кипятка и настаивали 20 минут. Стакан теплого процеженного настоя, с добавлением столовой ложки меда необходимо выпить вечером перед сном. Вторая порция выпивается утром натощак.
Оба эти бальзама эффективно очищают сосуды, устраняя признаки атеросклероза и кальциноз стенок аорты, возвращая им их эластичность. Использовать их рекомендуется раз в пять лет.
Читайте также:
- Стресс-эхокардиография как метод прогнозирования. Индекс риска сердечно-сосудистых заболеваний
- Гиалуроновая кислота в косметологии: курс на омоложение!
- Система кальций—кальмодулин. Взаимосвязи вторичных посредников.
- Влагалищное исследование при родах. Мониторинг течения родов. Ведение портограммы.
- Лечение повышенной чувствительности зубов. Устранение супраконтактов
