Лечение повышенной чувствительности зубов. Устранение супраконтактов
Добавил пользователь Евгений Кузнецов Обновлено: 02.11.2025
Вишнякова Марина Александровна
Главный врач стоматологической клиники "Элит" г. Калуга, врач-пародонтолог, хирург-имплантолог, автор научных публикаций, лектор.
Гиперестезия зубов - это глобальная проблема здоровья зубов.
Она характеризуется кратковременной или транзиторной острой болью, связанной с обнажением дентина или повышением проницаемости эмали, в ответ на определенные стимулы (термические, механические, осмотические или химические), которая не может быть объяснена другими причинами. Воздействие холодом вызывает наибольшие проблемы, так как это приводит к усилению тока жидкости снаружи из дентинных канальцев, в то время как высокая температура вызывает сжатие жидкости в трубочках (4) . Частота встречаемости варьирует от 1,34 до 98 % по данным ряда исследований (5) .
Наиболее распространена гиперестезия зубов у молодых людей (от 18 до 44 лет), женщин и пациентов с обнажением шеек зубов, дефектами эмали и цемента корня, и людей, отбеливающих зубы домашними способами (1)
Пациентам приходится избегать приема некоторой пищи и напитков: холодных, горячих, а также кислых. Конечно, они не испытывают боль постоянно, зубы могут быть чувствительны время от времени, с периодами покоя. Проблема повышенной чувствительности зубов универсальна, но некоторые люди имеют более высокие риски: это связано с диетой, содержащей много кислот, приемом лекарственных препаратов, либо с большим количеством вина или другого алкоголя, буферной емкостью и рН слюны.
Научно доказано влияние повышенной чувствительности зубов на качество жизни пациентов. Согласно исследованиям, гиперестезия может влиять на физическую, психологическую и социальную сферы жизни (2) . Лечение этого состояния приводит к повышению показателя качества жизни, что также подтверждено исследованиями (3) .
Клинические характеристики гиперчувствительности:
- Острая кратковременная боль.
- Боль вызвана термическими, тактильными, осмотическими, химическими воздействиями.
- Возникает при обнажении дентина или проницаемости эмали.
- Диагностика предполагает исключение других состояний и заболеваний зубов, таких как: кариес, фрактура зуба или негерметичная реставрация, постоперативная чувствительность, медикаментозная чувствительность, чувствительность после консервативного/ хирургического пародонтологического лечения, наличие небной борозды, генетические дефекты (несовершенный амелогенез, дентиногенез), неодонтогенные причины.
Этиология
1. Дефекты эмали зубов.
2. Эрозия - связана с поверхностной деминерализацией и последующим кислотным растворением гидроксиаппатитов эмали. Источники кислоты: рефлюкс, булимия, диета, неправильное употребление лекарств (разжевывание аспирина, витамина С, препаратов железа), профессиональные вредности (кислотное производство, сомелье), занятия плаванием (хлорированные бассейны).
3. Абразия это физический процесс, являющийся результатом механического износа тканей дентина. Чистка зубов и зубная паста являются основными причинами абразии. Имеет значение жесткость щетины зубной щетки, сила, прикладываемая к ней (считается, что усилие при использовании электрической щетки меньше). Абразивность и рН зубной пасты - факторы, влияющие на преждевременный износ эмали. Напротив, содержание в зубной пасте минералов, а особенно фторидов, укрепляя ткани зуба, уменьшает степень истирания твердых тканей. Также, это могут быть вредные привычки (например, онихофагия).
4. Аттриция - износ тканей, связанный с контактами зубов в процессе окклюзии. При парафункции и бруксизме истирание тканей значительно выше, чем в норме.
5. Абфракция - возникает из-за окклюзионной перегрузки на изгиб в пришеечной части зубов.
6. Обнажение дентина зубов, связанное с рецессией десны.
7. Качество домашней гигиены (чем выше ка- чество гигиены, тем выше риск гиперестезии).
8. Пародонтальный статус.
9. Курение.
Диагностика:

- Анкетирование, опросники, сбор жалоб и анамнеза.
В этиологии и патогенезе гиперестезии имеет значение стресс (9) , поэтому в некоторых клинических ситуациях, после анализа анамнестических данных пациентам рекомендуется консультация психолога либо психотерапевта, гастроэнтеролога и эндокринолога с возможным назначением медикаментозных средств этими специалистами.
- Клиническое обследование.
Как правило, используется 2 теста, начинают с менее инвазивного (тактильного), через 5 минут можно проводить более инвазивный холодовой тест.
Тактильный тест - выполняется аккуратное зондирование причинной зоны в мезио-дистальном направлении.
Холодовой тест - струёй воздуха (длительность 1 сек, на расстоянии 1 О мм от поверхности дентина и перпендикулярно к ней, температура 20 градусов).
Дополнительно возможно использование приборов для определения чувствительности, например, Jay Sensitivity Sensor Probe (7)
ЛЕЧЕНИЕ ГИПЕРЕСТЕЗИИ ЗУБОВ:
- Снижение чувствительности нервных окончаний - калийные соли (калия нитрат, хлорид, цитрат, оксалат).
- Преципитация белка - глутаральдегид, нитрат серебра, хлорид цинка, гексагидрат хлорида стронция.
- Обтурация дентинных трубочек - фториды олова и натрия, хлорид стронция, оксалат калия, аморфный фосфат кальция, карбонат кальция, кальция гидроксид, кальция натрия фосфосиликат, трикальций фосфат, алюминий, композитные смолы.
- Нейтрализующее действие и закрытие трубочек - лазер (диодный, ниодимовый, ирбиевый) (8,10) .
- Противовоспалительный эффект- кортикостероиды, прополис.
- Герметизация поверхности дентина - реставрации композитами и стеклоиономерными цементами, мукогингивальная хирургия.
- Комбинированные средства.
В большинстве клинических случаев проводится:
Подбор средств индивидуальной гигиены: рекомендуются мягкие щетки и вертикальные движения при чистке зубов, возможно назначение электрической зубной щетки с контролем усилия. Предлагаются низкоабразивные зубные пасты (RDA = 30-70) с нейтральным рН, как правило, фторсодержащие. Дополнительно назначаются домашние средства для коррекции повышенной чувствительности: на основе казеин фосфопептид аморфного фосфата кальция, трикальций фосфата, содержащих соли калия - в виде паст, кремов, гелей, ополаскивателей. Возможно назначение этих средств для применения в индивидуальных каппах.
Контроль вредных привычек - онихофагия, кусание ручек и карандашей.
Коррекция диеты: избегать газированных напитков, липких сладостей, содержащих быстрые углеводы; рекомендованы в качестве перекусов - богатые клетчаткой овощи и фрукты, сыр, молоко, йогурты - это продукты, которые увлажняют полость рта, нейтрализуют кислоты и бактерии; желательна питьевая вода сразу после кислотосодержащих напитков и воздержание от чистки зубов в течение 10-15 минут.
Окклюзионная коррекция (в том числе ортодонтическое лечение) и, при необходимости, ночная каппа для бруксистов (6) .
Данные назначения приводят к снижению гиперчувствительности зубов, хотя часто остается несколько зубов с сохраняющейся повышенной чувствительностью. В этих ситуациях оптимальным является применение профессиональных средств для кабинетного использования. Классическими средствами выбора являются фторгели и фторлаки, однако, проблемой их применения является то, что они не кислоторезистентны и их эффективность носит временный характер.

Для применения в современной стоматологии разработаны комбинированные средства устранения гиперестезии зубов, такие как Tokuyama Shield Force Plus (десенситайзер на основе композитных смол Ьis-GMA, TEG ДМА и запатентованного 3D-SR мономера, обеспечивающего поперечную сшивку мономеров через хелатные соединения с Са++ твердых тканей зуба). Эффективность применения Shield Force Plus основана на способности препарата глубоко пенетрировать в дентин (до 50 мкм), обтурируя дентинные трубочки, и формировать на поверхности плотный полимерный защитный слой (10 мкм), а также образовании химических связей с гидроксиапатитами, выделяя ионы фтора. За счет нанообменного взаимодействия в прилежащих к зоне инфильтрации участках дентина образуется так называемый «Super Dentin», обладающий свойствами повышенной кислотной и щелочной устойчивости.
Основным клиническим преимуществом применения Shield Force является мгновенный и стойкий эффект устранения повышенной чувствительности. Процедура применения предельно проста и не занимает много времени. Препарат также показан к применению в профилактических целях для снижения абразии дентина, устранения и профилактики развития постоперационной чувствительности, усилению адгезии бондов и композитных цементов при выполнении прямых или непрямых реставраций.
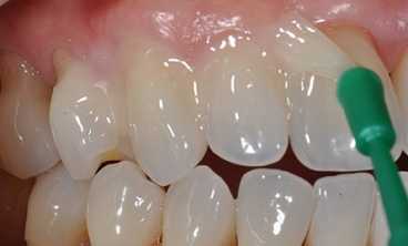
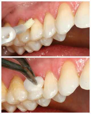
КЛИНИЧЕСКИЙ СЛУЧАЙ ПРИМЕНЕНИЯ TOKUYAMA SHIELD FORCE PLUS
- Очистка зубов от налета, изоляция и высушивание рабочего поля.
- Нанесение препарата, ожидание - 10 секунд.
- Раздувание струей воздуха - 10 секунд (5 секунд - слабой, 5 секунд - сильной струей).
- Световая полимеризация - 10 секунд (мощность лампы не менее 600 мВт/см2).

При оценке гиперестезии тактильным и холодовым тестами сразу после проведения процедуры пациенткой отмечено полное устранение повышенной чувствительности в области беспокоивших зубов.
Результат был также оценен как стабильный через 1 месяц и через 3 месяца после применения Shield Force Plus.
В условиях нашей клиники была сформирована фокус группа пациентов (34 человека), которым было проведено лечение гиперестезии зубов препаратом Shield Force Plus. Путем анкетирования до и после процедуры была проведена оценка качества жизни этих пациентов. Во всех клинических случаях было установлено улучшение качества жизни после проведения лечения, принимались во внимание такие факторы как: возможность приема холодной и раздражающей пищи, безболезненность во время чистки зубов, доступность и простота процедуры.
Таким образом, наличие в арсенале врача-стоматолога комбинированного десенситайзера Shield Force Plus позволяет эффективно лечить гиперестезию зубов простым и быстрым способом, воспринимаемым пациентами позитивно и способным улучшить качество жизни.
Литература
Статьи
Гиперестезия эмали: лекарства и средства для устранения чувствительности зубов

Испытываете резкую боль от горячего чая или холодного мороженого, в зубы «заходит» сладкое, кислое и даже холодный воздух, а обычная чистка сопровождается дискомфортом? Наличие этих симптомов говорит о проблемах в эмали, обусловивших развитие гиперчувствительности зубов. Согласно данным исследования датчан, 8% людей ежедневно сталкиваются с подобными ощущениями, 25% - раз в неделю и 77% - время от времени.
Защитой для дентина, пронизанного нервными окончаниями, служит эмаль. Под влиянием агрессивных факторов (физических, химических) поверхностный слой истончается или разрушается, открывая доступ к чувствительному костному веществу зуба. Из-за этого человек начинает испытывать дискомфорт и болезненные ощущения.
От чего страдает эмаль?

Причин подобной проблемы с эмалью множество. Вот основные:
- стоматологические (микротрещины, деформация зубов, пародонтит, атрофия десны, кариес). Неприятные ощущения возникают при оголении пришеечной или прикорневой зоны вследствие воспаления или изменения структуры околозубных тканей.
- вредные привычки и нездоровое питание. Истончению эмали способствует злоупотребление курением, спиртными напитками, жирной пищей, маринадами, острыми специями и приправами. В особенности опасна для зубов еда с содержанием различных видов кислот. После употребления цитрусовых, яблок, ягод, а также газированных напитков и лимонадов, специалисты рекомендуют полоскания рта водой либо специализированными растворами. Вредно для эмали горячее или холодное, еще хуже - резкий перепад температур.
- неправильная гигиена ротовой полости. К преждевременному истончению верхнего слоя зуба и возникновению очагов гиперчувствительности приводит использование жестких щеток, паст высокоабразивного состава, злоупотребление зубными нитями, зубочистками, ополаскивателями и некачественное отбеливание. Пациентам со склонностью к гиперчувствительности или при заболеваниях, ослабляющих иммунитет, от чистки с помощью ультразвука лучше отказаться.
- гормональный сбой в организме, приводящий к нарушению минерального обмена (например, при беременности или климаксе). Гиперестезию может вызвать острая нехватка кальция, марганца, а также соединений фтора и фосфора. Данная патология проявляется белыми пятнами на зубной поверхности.
Как бороться с гиперестезией?
При повышенной чувствительности зубов следует обратиться к стоматологу-терапевту. Использование обезболивающих для избавления от дискомфорта малоэффективно. Лечат гиперестезию специальными лекарственными препаратами с дополнением комплексных мер, включающих диету, лечебные и профилактические средства ухода за ротовой полостью. Для устранения ее признаков стоматолог выполняет специальные процедуры в кабинете (в случае сильно выраженных симптомов или осложнений) либо назначает препараты для домашнего применения.

- «Фторлак». Популярный препарат комбинированного действия, базирующийся на аминофлюориде (фтористом соединении с высокой биоактивностью и абсорбционными возможностями). Он не только снижает чувствительность, но и борется с бактериями, профилактирует кариес. Из дополнительных компонентов «Фторлак» включает:
- сверхпрочную лаковую основу (шеллак);
- пихтовый бальзам;
- спирт этиловый;
- хлороформ - бесцветную летучую жидкость, относящуюся к веществам наркотического действия из группы жиров.
Диффундируя в эмаль, фтор укрепляет поверхностный слой, предотвращает его повреждение, образует антимикробную и антибактериальную защиту, не давая тем самым патогенной флоре активизироваться внутри зуба. За счет создания плотной пленки на зубах минимизируется болезненная реакция на раздражители извне. Прежде чем нанести «Фторлак» зубы очищают от пищевых остатков и тщательно просушивают специальными ватными аппликаторами. Раствор наносится тонким шаром на обе стороны зубов. При необходимости к процедуре возвращаются спустя 10-15 с. После обработки нельзя два часа кушать и пить. А зубы почистить разрешается только по прошествии 12-14 часов. Рекомендованная периодичность обработки - раз в три-четыре месяца. Иногда действия «Фторлака» хватает на полгода. Если пациент страдает эндемическим флюорозом (недуг возникает при избыточном накоплении фтора), применять «Фторлак» противопоказано.
2."Ремодент".Из лиофилизата изготовляют раствор для обработки зубов. Препарат применяется как в профилактических, так и лечебных целях. Подходит для борьбы с патологией на любом этапе ее развития. Людям, склонным к частым вирусным заболеваниям, «Ремодент» зачастую прописывают для предотвращения кариозных процессов. Кроме того, лекарство минимизирует воспаления в пародонте, обладает сосудоукрепляющим и кровоостанавливающим свойствами. Порошок назначают местно для аппликаций - к проблемному участку прикладывают влажный тампон с лекарством и держат 15-20 минут. А также применяют «Ремодент» для полосканий - по инструкции готовится раствор.
3.«Флюокаль». Действующий компонент медикамента - фтористый натрий. Препарат дополнительно включает фосфорную кислоту, этанол и ксантановую камедь. Выпускается в виде геля и жидкости. Снижает чувствительность эмали, предупреждает инфицирование зубных тканей. «Флюокаль» назначают детям только после 12 лет, по причине высокой концентрации фтора (2,71 грамм) и этанола (3 грамма). Прежде чем покрыть зубы средством, проводится чистка от зубных отложений, налета, пищевых остатков. Затем их просушивают воздухом, наносят на 4-5 минут гель либо жидкость. По истечению времени препарат сплевывают. Полоскать зубы после процедуры нельзя пару часов.
4.«Белагель F». Медикамент с содержанием ионов фтора. Способствует восстановлению минерального баланса поверхностного слоя зуба, снижает его чувствительность, устраняет дискомфорт.
5.«Бифлюорид 12». Средство состоит из смеси фторидов кальция и натрия. Благодаря высокой термоизоляции фтористого лака достигается продолжительный эффект глубокой реминерализации.
6.«Gelato». Назначение фторирующего геля - укрепление эмали и лечение начинающегося кариеса. Применяется также в качестве профилактирующего средства для не допущения развития инфекции зубной ткани у лиц со слабыми защитными свойствами организма.
7.«Диплен». Средство представляет двухслойную самоклеящуюся пленку для зубов, которая укрепляет эмаль за счет фтористых соединений.

Народная медицина против гиперестезии
Травы иногда ослабляют чувствительность эмали, тем не менее, в качестве основного лечения стоматологи их не рекомендуют. Умеренный обезболивающий эффект оказывает смесь репейника с ромашкой. Травяное снадобье готовится в виде отвара, которым прополаскивают рот. В равных пропорциях сушеную ромашку и репейник (по 1 ложке) смешивают, заливают кипятком (стакан) и варят 20 минут на медленном огне. Охлажденным и процеженным отваром полощут зубы 4 раза на день.
Симптомы снимает отвар из дубовой коры и корневища аира. Необходимо залить двумя стаканами кипятка две столовых ложки природного сырья и проварить на водяной бане до тех пор, пока жидкость не уменьшится наполовину. Этим снадобьем утром и вечером полощут рот, а при возможности в течение всего дня.
Комбинация пихтового и эвкалиптового масла используется для локальной обработки проблемных участков или полосканий. В первом случае в смеси масел смачивают тампон и у основания зубов протирают десны. Во втором случае готовится водный раствор. В холодную кипяченую воду (180 мл) добавляют две капли эвкалиптового масла и три - пихтового. Смесь тщательно перемешивают.

Щетка и паста при гиперестезии
Бороться с повышенной чувствительностью поможет гигиенический уход с использованием щеток требуемой жесткости и специальных паст. Для чувствительных зубов подойдет щетина средней жесткости. Ее структура способна поддерживать здоровье зубов, не вредя эмали. Во время обострения гиперестезии чистить зубы в течение 2-х недель рекомендуется мягкой щеткой. В случае болезненных ощущений в зубах положительный эффект оказывает применение специальных паст - « Сенсодин», «Лакалют», «Сплат», «Рокс». Регулярное использование правильно подобранной пасты дает результаты уже на десятый день. Чтобы проблема не вернулась, необходимо пользоваться пастой для чувствительных зубов постоянно.
Специальные зубные пасты помогают при гиперестезии, если защитный слой поврежден не сильно. Но когда при регулярном их использовании чувствительность не снижается через две недели - следует обратиться за помощью к профессионалам.
В случае запущенной гиперестезии, когда все способы лечения не дают эффекта, назначают ионофорез. Метод заключается в прикладывании к зубам электродов с лекарственным раствором. Посредством слабого электрического тока в эмаль проникают необходимые элементы, насыщая и укрепляя защитный слой зуба. Одновременно с ионофорезом назначаются витамины. Стоит отметить, что к истончению зубной эмали приводит также недостаток в организме витамина А. Восполнить дефицит возможно, разнообразив рацион блюдами из моркови, печени и яиц.
При своевременном и регулярном посещении стоматолога можно устранить преимущественную часть причин, вызывающих гиперстезию. Комплексное, систематически повторяющееся лечение и соблюдение мер профилактики позволят навсегда забыть о симптомах чувствительности эмали.
Гиперестезия (повышенная чувствительность зубов) - симптомы и лечение
Что такое гиперестезия (повышенная чувствительность зубов)? Причины возникновения, диагностику и методы лечения разберем в статье доктора Ахметсагирова Руслана Владимировича, стоматолога со стажем в 15 лет.
Над статьей доктора Ахметсагирова Руслана Владимировича работали литературный редактор Маргарита Тихонова , научный редактор Сергей Федосов и шеф-редактор Лада Родчанина

Определение болезни. Причины заболевания
Гиперестезия зубов — это повышенная чувствительность тканей зуба к различным раздражителям:
- химическим — реакция на сладкое или кислое (например, лимон);
- механическим — ответ на прикосновение зубной щетки, жёсткую пищу;
- температурным — реакция на горячие или холодные напитки.
В этом состоянии зубы реагируют на привычные предметы и действия сильнее, чем обычно.

Распространённость гиперчувствительности у взрослых в России достигает 40-74 % [1] [2] . Многих людей гиперестезия сопровождает всю жизнь, начиная с подросткового возраста. Чаще всего заболевание возникает в 20-30 лет, причём у женщин оно встречается чаще, чем у мужчин [15] .
Причины повышенной чувствительности зубов:
- Резкие движения зубной щёткой с чрезмерным надавливанием в неправильном направлении, которые повреждают дентин — твёрдую ткань зуба.
- Использование зубной щётки со слишком жёсткой щетиной и отбеливающей зубной пасты с сильно абразивными частицами.
- Частое употребление в пищу натуральных соков, газировок и других кислых продуктов, повреждающих дентин.
- Стоматологические заболевания, при которых отсутствует или повреждается часть эмали: клиновидный дефект и различные эрозии.
- Оголение корней зуба из-за неправильного прикуса, гингивита, пародонтита, пародонтоза, ортодонтического лечения зубов (например, установки и ношения брекетов), скопления зубного камня на зубах (особенно под десной), излишней нагрузки на зубы, заболеваний, связанных с нехваткой микроэлементов или гормональными нарушениями.
- Воздействие ионизирующей радиации (например, при работе на вредном производстве).
Гиперчувствительность также может возникнуть после снятия зубных отложений, гигиенической чистки или профессионального отбеливания. Это связано с временным повреждением дентина. Такая гиперестезия вскоре проходит.
В группу риска развития гиперчувствительности зубов входят люди с булимией, ксеростомией (сухостью во рту), а также те, кто часто употребляет продукты с повышенной кислотностью или жевательный табак [15] .
При обнаружении схожих симптомов проконсультируйтесь у врача. Не занимайтесь самолечением - это опасно для вашего здоровья!
Симптомы гиперестезии зубов
Главным показателем гиперестезии зубов является чрезмерная чувствительность. Обычно пациенты жалуются на острые кратковременные боли от действия температурных, химических и механических раздражителей (10-30 секунд). Им больно вдыхать прохладный воздух, есть горячую пищу, а также кислые, солёные и сладкие продукты. Эти ощущения возникают регулярно на одни и те же триггеры. Иногда боли временно затихают, т. е. наступает ремиссия, но при контакте с раздражителем они возникают снова.
Болезненные ощущения могут доставлять только незначительный дискомфорт. Но в некоторых случаях они бывают настолько сильными, что пациенту становится трудно чистить зубы или принимать пищу. Например, при обострённой реакции на горячее человеку с гиперестезией приходится питаться слегка нагретой едой. Интенсивность боли также зависит от индивидуальной переносимости человека и может сопровождаться яркой эмоциональной реакцией.
У людей с гиперчувствительностью зубов, как правило, наблюдается убыль твёрдой ткани в виде клиновидного дефекта. Чаще всего твёрдая ткань истончается на жевательной поверхности зуба либо у режущего края. Особенно часто она становится тоньше на внешней (вестибулярной) поверхности клыков, резцов и небольших коренных зубов.


Границы гиперчувствительности могут затрагивать как один, так и несколько зубов, расположенных рядом друг с другом. Чем больше зубов подвержены гиперчувствительности, тем более сильными и длительными будут симптомы [3] .
Патогенез гиперестезии зубов
Существует множество причин, которые способствуют появлению гиперестезии зубов. С развитием технологий и появлением высокотехнологичного оборудования учёным удалось установить общие закономерности патогенеза. Они связаны с обнажением дентина — основной твёрдой ткани зуба. Он обнажается не только на фоне кариеса и болезней пародонта (окружающих тканей зуба), но в результате некариозных поражений: гипоплазии (недоразвитии зубов), эрозии эмали, клиновидных дефектов и др.
На уровне коронки дентин покрыт эмалью, а на уровне корня зуба — тонким слоем цемента [15] . Он имеет очень тонкие канальцы. От их количества и диаметра зависит развитие гиперестезии: при гиперчувствительности эти показатели зачастую превышают норму.

Возникновение гиперестезии на фоне убыли дентина из-за истончения эмали, оголения коронки или корней зуба, разрушения эмали или цемента будет сопровождаться высокой проницаемостью дентина или появлением новых дентинных канальцев. Это приводит к раздражению одонтобластов — клеток, которые образуют дентин и улавливают наружные раздражители (еду, прохладный воздух и др.).
С расширением дентинных канальцев, как и при появлении новых, увеличивается скорость течения жидкости, находящейся в канальцах. Это изменение раздражает на одонтобласты, вследствие чего появляется болевая реакция.

Дентинная жидкость также проникает в микропоры эмали, которые соединены с дентинными канальцами. Поэтому при высушивании, истончении и увеличении пористости эмали также повышается восприимчивость отростков одонтобластов, что приводит к появлению болевого синдрома.
Согласно исследованиям, центральную роль в патогенезе некариозных поражений зубов у женщин играют системные гормонально-метаболические нарушения, и в первую очередь — снижение уровня эстрадиола в крови [4] . Также у женщин с некариозными поражениями зубов наблюдается низкий уровень ионизированного кальция и магния в крови, повышение биохимических маркёров костной резорбции (разрушения). Это приводит к нарушению минеральной плотности костной ткани [5] . Невысокий уровень эстрогенов в крови считается ведущей патогенетической предпосылкой появления эрозий, клиновидных дефектов и патологической стираемости зубов. Эти некариозные поражения являются маркёрами появления таких болезней, как остеопения и остеопороз, а гиперестезия зубов сигнализирует об усиливающейся дисфункции.
Классификация и стадии развития гиперестезии зубов
По распространённости гиперестезия бывает двух типов:
- Ограниченная гиперчувствительность — затрагивает один или несколько зубов. Обычно связана с единичными кариозными поражениями, клиновидными дефектами и др.
- Генерализованная гиперчувствительность — затрагивает большое количество зубов либо все зубы. Связана с оголением шеек и корней зубов из-за заболеваний пародонта, патологической стёртостью зубов, множественным кариесом, распространённой прогрессирующей формой эрозии зубов.
По происхождению гиперестезию также подразделяют на две большие группы:
- Гиперестезия дентина на фоне утраты либо дефекта твёрдых тканей зуба. Связана с кариесом, препарированием зуба, клиновидными дефектами, патологической стираемостью и эрозией.
- Гиперестезия дентина, не связанная с убылью жёстких тканей зуба. Возникает в связи с оголением шеек и корней зубов при пародонтозе и пародонтите, реакцией зубов на фоне нервно-психологических или эндокринных болезней.
По клинической картине выделяют три степени тяжести гиперестезии:
- Первая степень — зуб болезненно реагирует на температурный раздражитель (холод, тепло). Порог электровозбудимости дентина при электроодонгометрии (измерении чувствительности) достигает 5-8 мкА.
- Вторая степень — зуб болезненно реагирует на температурные и химические триггеры (солёное, сладкое, кислое, горьковатое). Порог электровозбудимости дентина достигает 3-5 мкА.
- Третья степень — зуб болезненно реагирует на все виды раздражителей, включая тактильный (при прикосновении зубной щётки и др.). Порог электровозбудимости дентина достигает 1,5-3,5 мкА [6] .
Осложнения гиперестезии зубов
Все осложнения гиперестезии связаны с болезненной реакцией зубов. П ри несвоевременном или неполном лечении гиперчувствительности боль может повлиять на психоэмоциональное состояние больного и привести к возникновению или прогрессированию нервно-психических, эндокринных и желудочно-кишечных заболеваний.
Воздействуя на центральную нервную систему, гиперестезия может активизировать такие нервные расстройства, как чрезмерная раздражительность и стресс. Чувствительность зубов к воздуху вынуждает человека сводить общение к минимуму. Это приводит к нарушению коммуникации, снижению социальной активности и не даёт профессионально развиваться.
Болезненная реакция зубов на раздражители не позволяет полноценно питаться. Это может поспособствовать развитию заболеваний желудочно-кишечного тракта ( гастрита , язвы , холецистита ) либо привести к нехватке питательных веществ в организме.
Одной из самых нешуточных болезней, к которой может привести гиперестезия, считается пульпит — воспаление нерва внутри зуба [7] . Это связано с систематическим раздражением отдалённых нервных волокон и нехваткой компенсаторных сил организма. Пульпит может развиваться в среднем от полугода до года при сильной чувствительности зуба. Однако это осложнение возникает не так часто.

Также важно учитывать, что гиперестезия не только появляется на фоне клиновидных дефектов, но и является их предвестником. Поэтому при гиперчувствительности с виду здорового зуба необходимо обязательно обратиться к стоматологу, чтобы предупредить развитие патологии [5] .
Диагностика гиперестезии зубов
В ходе осмотра гиперчувствительного зуба нередко выявляют изменения твёрдых тканей зуба либо состояния его пародонта. Иногда наблюдается незначительное оголение шейки или корня зуба. Оголённый дентин тонкий, ровный, блестящий, немного пигментированный.
Также в рамках осмотра проводят два теста: холодовой и тактильный. При холодовом тесте близко к чувствительному зубу подаётся струя воздуха температурой 20°C. При тактильном тесте осуществляется зондирование проблемного участка. В обоих случаях на гиперестезию будут указывать неприятные ощущения, которые быстро проходят.

Помимо осмотра проводится электроодонтометрия (ЭОМ) — измерение порогового возбуждения рецепторов пульпы и дентина во время пропускания через них электрического тока. Перед проведением ЭОМ зубы высушиваются и изолируются от слюны. "Пассивный" электрод фиксируется на губе пациента. "Активный" электрод, смоченный токопроводящим препаратом, прикладывают к зубу в определённых местах. В это время подаётся ток. Он увеличивается до тех пор, пока у пациента не возникнет первая болевая реакция. Эту процедуру повторяют несколько раз, чтобы проверить полученные результаты. В зависимости от значений тока можно с уверенностью предположить тот или иной диагноз, например, пульпит, периодонтит или кариес.

Во время диагностики важно отличить гиперестезию дентина от острого пульпита. При этом важно обратить внимание на продолжительность болезненных ощущений (при пульпите боль длительная и возникает в основном ночью), а также на состояние пульпы (при пульпите зуб откликается на токи выше 20 мкА, а при гиперестезии — 2-6 мкА) [8] .
Лечение гиперестезии зубов
Лечение гиперестезии направлено на то, чтобы снизить скорость течения жидкости в дентинных канальцах. Этого можно достигнуть следующими способами:
- закупоркой микропор эмали с помощью десенситайзеров — препаратов, снижающих чувствительность зубов;
- уменьшением размеров микропор с помощью минерализующих средств, например, гелей с высоким содержанием фтора и кальция. К ним относятся гели R.O.C.S. Medical Minerals, GC Tooth Mousse;
- закрытием или сужением дентинных канальцев с помощью лазера [14] ;
- препарированием и пломбировкой зуба при кариозных поражениях;
- операцией на десне при её опущении в результате пародонтоза;
- исправлением прикуса.

В 1935 г. стоматолог L. Grossman выделил основные свойства идеального средства для борьбы с гиперестезией [12] . По его мнению, оно должно быстро и действовать, долгое время быть эффективным, не раздражать пульпу, не провоцировать боль и не изменять цвет зубов. Таких препаратов сейчас довольно много. Десенсибилизирующие средства (снижающие чувствительность зубов) выпускают в форме геля, зубной пасты, ополаскивателя, лака и др. Чаще всего используют зубные пасты.
При гиперестезии лёгкой степени, как правило, достаточно аппликаций различных растворов.
Стронция хлорид используется в форме 25 % водного раствора и 75 % пасты. При втирании пасты появляются устойчивые соединения стронция с твёрдой тканью зуба. Это средство является хорошей профилактикой гиперестезии после препарирования зубов и снятия зубных отложений.
Для устранения гиперестезии также используют 30 % водный раствор цинка хлорида. После него проводят аппликацию с 10 % раствором калия ферроцианида. Он запечатывает канальцы образующимся осадком. Длительность аппликаций — одна минута. Также показано использование пасты, в состав которой входят щёлочи: натрия гидрокарбонат, карбонат натрия, калия, магния. Она притягивает к себе дентинную жидкость, которая содержится в микропорах эмали, и снижает чувствительность зубов.
Современным средством лечения гиперестезии является бифлюорид-12 — специальный бесцветный лак, содержащий фтор, и флюокаль — стоматологический гель с содержанием натрия фторида. Они аккуратненько наносится на зубы кисточкой либо поролоновым тампоном. Оба средства создают покрытие, которое насыщает эмаль и дентин ионами фтора, что приводит к снижению чувствительности. Флюокаль также может использоваться в форме раствора для аппликаций. Обычно курс лечения такими аппликациями включает всего 2-3 процедуры. Лак, как правило, используется как вспомогательный метод, усиливающий действие основного препарата [15] .

Устранение гиперестезии с помощью лазера, как показали исследования, является предпочтительным методом лечения. Оно направлено на сужение канальцев дентина с помощью объединения белков дентинной жидкости, частичного подплавления твёрдых тканей и расслабления внутренних нервных рецепторов. Побочных эффектов у лазеротерапии нет [15] .

Лечение генерализованной гиперестезии направлено на устранение причины заболевания, поэтому оно не только снимает симптомы, но и влияет на ход развития болезни. Лечение должно быть комплексным. Помимо терапии основной причины гиперестезии, необходимо восстановить минеральный состав эмали и дентина, нормализовать содержание фосфора и кальция в организме. Для этого назначают глицерофосфат кальция, кламин или фитолон, а также поливитаминные препараты. Приём фосфорно-кальциевых средств на протяжении всего курса лечения обеспечивает хороший прогноз. В противном случае восстановление нормальной чувствительности будет длительным.
Чтобы устранить боль в начале лечения помимо использования зубной пасты с фосфатом требуется электрофорез 2,5 % раствором глицерофосфата кальция. Курс такой физиотерапии составляет 10 сеансов. При гиперестезии на фоне нарушения неврологического статуса показано использование гальванического воротника по Щербаку (также не менее 10 сеансов).
Как показали исследования, эффект комплексного лечения гиперестезии наступает быстро и сохраняется довольно долго. Содержание фосфата и кальция в тканях зуба увеличивается, уровень кальция и фосфата в крови нормализуется.
Во время лечения гиперестезии любой степени необходимо:
- подобрать средства индивидуальной гигиены;
- контролировать вредные привычки (не кусать ногти, карандаши);
- скорректировать рацион (исключить газировку, липкие сладости, чаще употреблять овощи, фрукты и молочные продукты);
- надевать на ночь каппу (при бруксизме) [14] .
Прогноз. Профилактика
В большинстве случаев прогноз гиперестезии благоприятный. Своевременное качественное лечение снижает или нормализует чувствительность зубов.
Гиперестезия зубов
Гиперестезия зубов - обостренная чувствительность тканей зубов к механическим, химическим, температурным раздражителям. Проявляется резкими, интенсивными болями в момент действия раздражителя и быстро проходящими после прекращения его действия, чувством оскомины. Может развиваться при употреблении в пищу кислого, сладкого, соленого, холодного или горячего, при чистке зубов, что вызывает чувство дискомфорта. Гиперестезия зубов может быть обусловлена их механическим повреждением, эрозиями и истончением эмали. Лечение зависит от причины гиперестезии. Оно включает полную санацию ротовой полости, проведение глубокого фторирования, применение препаратов с солями калия и специальный уход за полостью рта.

Общие сведения
Гиперестезией зубов называют их повышенную чувствительность, которая характеризуется внезапным появлением болей ноющего или острого характера. Боли возникают без явных на то причин и так же внезапно проходят. Гиперестезии не обусловлены никакими стоматологическими заболеваниями, и они не являются осложнением кариеса. Температурные, химические и механические раздражители провоцируют гиперестезии зубов.
Причины гиперестезий зубов
Около половины взрослого населения обращаются за медицинской помощью с жалобами на повышенную чувствительность зубов. В большей степени это люди в возрасте от 30 до 60 лет. Женщины чаще подвержены гиперестезиям зубов, тогда как дети и люди старческого возраста практически не страдают. Это обусловлено тем, что в молодом возрасте дентин имеет мало повреждений, а в старческом он склеротичен, поэтому болевые реакции менее выражены.

Гиперестезии зубов наблюдаются при патологиях некариозного характера. Это истирание зубов или их патологическая стираемость, эрозии и клиновидные дефекты, сопровождающиеся убылью эмали и обнажением дентина.
Начальный кариес с локализацией в пришеечной области вызывает деминерализацию зубной эмали из-за повышения ее проницаемости под воздействием кислот. Это приводит к появлению гиперестезий зубов.
Непрофессиональное лечение кариеса и несоблюдение техники пломбирования и протравливания зубов часто осложняется появлением гиперестезий зубов. Травматические повреждения в виде расколов, сколов, трещин и обломов части коронки зуба ведут к повышению чувствительности из-за нарушения целостности зубной эмали.
Отбеливание зубов, особенно непрофессиональное, ведет к выходу из эмали макро- и микроэлементов, что повышает проницаемость зубной эмали и ведет к гиперчувствительности зубов в ответ на незначительные раздражители. При этом частые отбеливания, врожденная слабость зубной эмали и наличие нелеченных кариозных патологий усиливают болезненные ощущения. То есть, у лиц с большим количеством кариозных поражений, риск появления гиперестезии зубов выше.
Заболевания пародонта воспалительного и дистрофического характера, ведут к рецессии десны и к обнажению шеечной зоны зуба, это усиливает чувствительность зубов. Рецессию десны вызывают заболевания пародонта, и механические травмы, короткие уздечки верхней и нижней губ, языка и некачественно изготовленные зубные протезы и коронки. Использование жестких зубных щеток и агрессивная чистка зубов, неправильное использование зубных нитей, пренебрежение изоляцией десны во время отбеливания травмируют десну и приводят к ее рецессии с последующим возникновением гиперестезий зубов.
Гиперестезии зубов возникают и в результате травматичного проведения профессиональной чистки зубов, когда зубная эмаль повреждается инструментами или же прибегают к излишнему полированию области шейки и корня зуба. Кроме болевой реакции из-за местных раздражителей, гиперестезии зубов могут быть связаны с патологическими состояниями организма. Такие гиперестезии зубов называют системными или функциональными, к ним приводят психоневрозы, эндокринопатии, заболевания желудочно-кишечного тракта, нарушения обмена веществ и возрастные гормональные изменения.
Клинические проявления гиперестезий зубов
Гиперчувствительность зубов появляется при употреблении сладкого, кислого, соленого и острого. Холодная и горячая пища, воздух и прикосновения у пациентов с гиперестезиями также вызывают болезненные ощущения. При этом характер болей может быть незначительным и проявляться лишь дискомфортом, так и интенсивным со значительным болевым синдромом.
При незначительной интенсивности гиперестезий, зубы реагируют лишь на температурные раздражители. При средних проявлениях ткани зуба чувствительны как к переменам температур, так и к химическим раздражителям. Глубокие поражения зубной эмали проявляются интенсивностью гиперчувствительности зубов, зубы остро реагируют на все типы раздражителей, в том числе и на тактильные.
Во время появления болей отмечается повышенное слюноотделение, разговор и принятие пищи сопровождаются болезненностью, пациенты принимают вынужденное положение, при котором щеки минимально соприкасаются с зубами. Из-за этого лицо выглядит одутловатым.
Гигиена полости рта становится затрудненной, а в некоторых случаях невозможной. Это приводит к появлению зубного налета, что провоцирует множественный кариес, воспалительные и деструктивные изменения тканей пародонта. Эти факторы лишь усиливают проявления гиперестезий, в дальнейшем присоединяется рецессия или гиперплазия десен, которые еще более усиливают симптоматику. Таким образом, отсутствие лечения на начальном этапе гиперестезии зубов, приводит к постепенному прогрессированию и к присоединению других заболеваний полости рта.
Диагностика и лечение гиперестезий зубов
Диагностику проводят во время визуального и инструментального осмотров стоматолога. При этом выявляются трещины эмали, ее сколы и другие изменения. В результате осмотра выясняется степень чувствительности зубной эмали к различным раздражителям. В зависимости от степени выраженности гиперестезий, назначается схема лечения. Если гиперестезии появились в результате повреждений зубов, то их коррекция приводит и к исчезновению неприятных симптомов. Обязательно проводят профессиональную гигиену полости рта и лечение всех кариозных очагов.
Одна из методик устранения гиперестезии зубов заключается в воздействии на механизм развития. Перекрывая дентинные канальцы, добиваются прекращения тока зубной жидкости и восстановления давления внутри канальцев. Для этого применяют препараты, уплотняющие и перестраивающие структуру дентина. Они образуют соединения, закупоривающие дентинные канальцы. Также при таком методе лечения происходит связывание активного вещества с белками твердых тканей, которые оседая в канальцах, укрепляют их. Препараты для проведения такой методики содержат цитраты и ионы кальция, фтора и магния.
Эта методика применяется в виде наложения фторсодержащих препаратов (лаков и гелей) на зубную эмаль. Применение лечебных фторидосодержащих зубных паст, оказывает ежедневное воздействие, за счет чего достигается глубокое фторирование зубов. Фториды физически блокируют канальцы дентина, а ионы фтора вступают во взаимодействие с ионами кальция и заполняют дентинные канальцы нерастворимым соединением фторида кальция. Постепенно преципитаты скапливаются в канальцах и уменьшают их просвет. Скорость тока жидкости в дентинном канальце снижается и в результате ответная реакция на внешние раздражители становится менее выраженной.
Если же препарат содержит соли стронция, в частности соли соляной кислоты, то обтурация канальцев происходит за счет оседания комплекса солей с белковой матрицей дентина. Помимо этого, симптоматика гиперестезии зубов снижается из-за стимуляции образования заместительного дентина. Препараты, содержащие стронций, вызывают перестройку и уплотнение дентина, замещая кристаллы эмали на кристаллы кальциево-стронциево-гидроксиаппатитных соединений. Соединения кальция и стронция способны плотно закупоривать входные отверстия дентинных канальцев, за счет чего и уменьшается болезненность при гиперестезиях зубов.
Вторым направлением терапии гиперестезий зубов является снижение возбудимости нервных окончаний в дентинных канальцах. Для этого применяют соли калия, в результате происходит диффузия ионов калия в канальцы. При их кумуляции в нужном количестве они окружают сенсорные нервные окончания, создавая защитную оболочку и блокируя передачу нервных импульсов.
Уход за полостью рта при гиперестезии зубов
Существуют специальные средства ухода за полостью рта, которые при регулярном применении помогают пациентам устранить неприятные ощущения и не допустить развития гиперестезий с ярко-выраженным болевым синдромом. Это зубные пасты, длительность их использования определяется субъективными ощущениями пациента. При отсутствии болей можно переходить на обычные гигиенические пасты. Состав лечебных паст различен, поэтому следует периодически менять их, дабы повысить их эффективность.
Пасты должны содержать нитраты или хлориды калия, фторидовые соединения натрия, хлориды стронция, соединения кальция и цитраты. В зависимости от производителя состав паст и процентная концентрация активных веществ может быть различной. Но используя различные пасты, достигается эффект от воздействия по все направлениям. Поэтому периодическая замена паст более эффективна, чем длительное использование одной пасты.
В остальное время необходимо использовать зубные пасты с низким уровнем абразивности, либо гелевые зубные пасты. Зубные щетки должны быть мягкими или очень мягкими в зависимости от выраженности болевого синдрома. Важно выбирать зубные щетки, у которых кончики щетинок закруглены или сглажены, а форма подстрижки ровная. Целесообразно использование эликсиров для ополаскивания чувствительных зубов.
Соблюдая правильную технику чистки зубов и поддерживая гигиену полости рта можно уменьшить проявления гиперестезий. Рекомендуется использовать небольшое количество зубной пасты и проводить чистку зубов без лишних усилий не более рекомендованного стоматологом времени. После приема кислых, сладких блюд нужно хорошо прополаскивать полость рта.
Использование дополнительных предметов ухода, таких как зубная нить или зубочистка, не должно травмировать десневые сосочки.
Деминерализация эмали зубов - симптомы и лечение
Что такое деминерализация эмали зубов? Причины возникновения, диагностику и методы лечения разберем в статье доктора Панькиной Светланы Юрьевны, стоматолога со стажем в 7 лет.
Над статьей доктора Панькиной Светланы Юрьевны работали литературный редактор Юлия Липовская , научный редактор Пётр Козлов и шеф-редактор Маргарита Тихонова

Деминерализация эмали зубов ( tooth demineralization) — это разрушение зубной эмали из-за утраты минералов (в первую очередь кальция), от которых зависит её целостность и прочность. Можно сказать, что это начальная стадия кариеса . При этом состоянии эмаль утрачивает блеск, на ней появляются белые пятна.
Деминерализация считается одним из самых распространённых нарушений в стоматологии.
![Деминерализация и здоровая эмаль [13]](https://probolezny.ru/media/bolezny/demineralizaciya-emali-zubov/demineralizaciya-i-zdorovaya-emal-13_s.jpg)
Причины возникновения деминерализации эмали зубов
Факторы, которые предрасполагают к деминерализации эмали и развитию кариеса:
- Географический. Климатические условия и наличие различных минеральных веществ в почве и воде влияют как на организм в целом, так и на зубы. Например, в США заболеваемость кариесом составляет 99 %, а в Нигерии — всего 2 %. Это связано с количеством фтора в питьевой воде: ч ем больше фтора, тем выше стойкость людей к кариесу. Однако избыток фтора может привести к другому патологическому процессу — флюорозу, при котором зубы меняют цвет и на них появляются дефекты [1] .
- Профессиональный. Деминерализация зубов чаще возникает у людей, работающих в кондитерских цехах, на производстве кислот и щелочей, а также у людей, чья работа связана с повышенным стрессом [1] .
- Возрастной. Установлено, что деминерализация эмали и кариес чаще развиваются в возрасте от 2 до 40 лет. Скорее всего, это связано с тем, что после 2 лет ребёнок обычно ест больше углеводной пищи, если при этом в организме недостаточно фтора и не проводится нормальная гигиена, состояние полости рта будет ухудшаться. В 12 - 14 лет на зубы влияет гормональная перестройка организма. В возрасте 20 - 40 лет состояние полости рта во многом зависит от телесных заболеваний (например, расстройств ЖКТ), а после 40 лет активность всех функций организма снижается [11] .
- Половой. Женщины чаще страдают кариозными поражениями. Это может быть связано с более частым употреблением сладкого. Также в период беременности и лактации женщины передают ребёнку много витаминов и микроэлементов, поэтому прочность зубов может снижаться. Токсикоз, нарушение углеводного обмена, заболевания желудочно-кишечного тракта и щитовидной железы повышают риск д еминерализации эмали и образования кариеса.
Общие факторы риска:
- Генетическая предрасположенность.
- Несбалансированное питание и питьевая вода с низким содержанием минеральных веществ.
- Соматические заболевания. Больше всего на состояние полости рта влияют хронические патологии органов пищеварения. Например, гастрит, язвенная болезнь желудка и 12-перстной кишки, гепатит, панкреатит и другие болезни ЖКТ сопровождаются дефицитом витаминов, минеральных веществ, белков, углеводов и нарушением иммунной регуляции, что приводит к развитию различных заболеваний полости рта. Также могут повлиять другие патологии:
- При заболеваниях центральной нервной системы (детском церебральном параличе, эпилепсии и др.) повышается риск кариеса зубов из-за плохой гигиены полости рта.
- При патологиях системы кровообращения больные всех возрастов чаще страдают от кариеса и потери зубов [12] .
- Стрессы и экстремальные факторы: превышение скорости, невесомость, перегрузка организма, травмы, работа в высокогорьях.
Местные факторы риска:
- Плохая гигиена полости рта.
- Изменение свойств и состава слюны . Слюна очищает зубы и дёсны от прилипших частиц пищи и зубного налёта, тем самым снижает количество и активность бактерий. Если слюны выделяется меньше или меняются её свойства, риск деминерализации и кариеса увеличивается.
- Вредные привычки : курение , употребление алкоголя и большого количества сладкого [1][5][8][11][12] .
Симптомы деминерализации эмали зубов
Выявить первые признаки деминерализации достаточно трудно, особенно при обильных зубных отложениях ( налёте и камнях ). Вымывание минеральных компонентов, как правило, происходит незаметно.
Деминерализация эмали развивается постепенно: сначала структура эмали становится шероховатой и утрачивает естественный блеск, затем появляется меловидное пятно. Оно выглядит так, будто по зубу провели белым мелом.
![Меловидные пятна на эмали [14]](https://probolezny.ru/media/bolezny/demineralizaciya-emali-zubov/melovidnye-pyatna-na-emali-14_s.jpg)
Эмаль зуба становится более пористой, поэтому быстрее изменяет цвет (желтеет и темнеет) под воздействием неблагоприятных факторов. Также повышается чувствительность зубов на раздражители — сладкое и холодное.
При появлении первых подозрительных признаков нужно сразу записаться на приём к стоматологу. Если откладывать лечение, начнётся кариозный процесс и твёрдые ткани будут разрушаться [5] [8] [9] .
Патогенез деминерализации эмали зубов
Через несколько минут после еды на зубах появляется плёнка — пелликула, которая состоит из компонентов слюны. В этой плёнке ещё нет бактерий, разрушающих зуб. Патологический процесс начинается через несколько суток. Через 48 часов на пелликуле скапливается большое количество микроорганизмов. На 4 - 9 день на зубной эмали формируется зрелая бляшка — отложение, состоящее из микроорганизмов и продуктов их жизнедеятельности.
Микроорганизмы зубной бляшки усваивают сахариды, которые поступают с углеводной пищей, и вырабатывают кислоты. Эти кислоты растворяют кальций и разрушают поверхность эмали. Главную роль играет воздействие на твёрдые ткани зуба молочной кислоты.
Из-за повышенной проницаемости эмали под её поверхностью появляется очаг поражения (меловидное пятно) — признак деминерализации. В дальнейшем образуется кариозная полость [2] .

Классификация и стадии развития деминерализации эмали зубов
По характеру течения выделяют медленнотекущую и быстротекущую деминерализацию.
Стадии деминерализации:
- начальная;
- развившаяся;
- стадия дефекта.
Если на начальной стадии медленнотекущая и быстротекущая деминерализация проявляются одинаково — в виде белого пятна размером 1 - 3 мм — то на развившейся стадии появляются отличительные признаки:
- Для медленнотекущей деминерализации характерны однородные изменения поверхности эмали. При зондировании ( « прощупывании » зуба стоматологическим зондом) отмечается шероховатость эмали, но её поверхность ещё плотная.
- Быстротекущая форма на второй стадии более активна. Очаги деминерализации теряют чёткие границы. Поверхность эмали становится шероховатой, тусклой, как будто матовой. Зонд легко погружается в участок деминерализации. Эмаль утрачивает плотность, соскабливается стоматологическим экскаватором. При окрашивании очага специальными средствами интенсивность окрашивания увеличивается, так как эмаль становится более пористой. Быстротекущая деминерализация переходит в стадию дефекта, поэтому задача врача-стоматолога остановить процесс на раннем этапе [5][6][8] .
Осложнения деминерализации эмали зубов
Деминерализации зубов может привести к образованию среднего и глубокого кариеса.
Средний кариес затрагивает эмаль и поверхностный слой дентина. При зондировании отмечается болезненность в области эмалево-дентинного соединения. Температурные раздражители вызывают боль, но она быстро проходит после устранения раздражающего фактора.
При глубоком кариесе поражение твёрдых тканей зуба обширнее. Патология затрагивает глубокие слои дентина. При зондировании отмечается болезненность по дну кариозной полости. Температурные раздражители вызывают резкую, сильную боль, но после устранения раздражающего фактора она быстро проходит.
Если не вылечить кариес, развивается пульпит (воспаление сосудисто-нервного пучка зуба). В дальнейшем может развиться периодонтит (воспаление ткани между костной стенкой лунки и корнем зуба), что может привести к удалению зуба.

Ещё о дним осложнением деминерализации является эрозия тканей зуба . Она выглядит как овальный или округлый дефект эмали. Дно эрозии как правило гладкое, не тусклое и твёрдое. Дальнейшее углубление и распространение границ эрозии приводит к потере всей эмали и части дентина. При этом отмечается повышенная чувствительность дентина. Причиной возникновения эрозии является воздействие кислот на твёрдые ткани зуба. В отличие от кариозных поражений, эрозия не связана с бактериями полости рта [4] [5] [6] [8] .
![Эрозия тканей зуба [15]](https://probolezny.ru/media/bolezny/demineralizaciya-emali-zubov/eroziya-tkanyay-zuba-15_s.jpg)
Диагностика деминерализации эмали зубов
Диагностика начинается с опроса пациента, который включает сбор жалоб, анамнеза жизни и заболевания.
Сбор жалоб и анамнеза
На приёме врач сначала подробно расспросит, что беспокоит пациента. При деминерализации жалобы обычно связаны с появлением на зубах белых, жёлтых или тёмных пятен. Если пациент жалуется на боль, врач может спросить:
- где возникает боль;
- боль постоянная или появляется в ответ на раздражители;
- как долго она длится;
- какова интенсивность и характер боли: ноющая, рвущая или пульсирующая;
- в какое время суток возникает, беспокоит ли ночью;
- отдаёт ли в другие зоны, если да, то в какие;
- что помогает облегчить боль.
Чтобы установить связь заболевания с внешними факторами, условиями жизни или перенесёнными болезнями, врач собирает анамнез (историю) жизни. Уточняется:
- место рождения;
- материально-бытовые условия в детстве: где и в каких условиях рос и развивался, характер вскармливания и т. д.;
- трудовой анамнез: условия труда и профессиональные вредности в прошлом и по настоящее время;
- бытовые условия в настоящий момент;
- рацион питания;
- вредные привычки: курение, употребление алкоголя и др.;
- перенесённые ранее заболевания, травмы и операции;
- заболеваемость близких родственников;
- аллергический статус.
Сбор анамнеза заболевания. Врач уточняет:
- когда, где и при каких обстоятельствах возникло заболевание;
- с чем пациент его связывает;
- как болезнь начиналась — остро или постепенно;
- какими были первые симптомы;
- как болезнь развивалась от момента первых проявлений до настоящего времени;
- проводилось ли ранее какое-либо обследование и лечение, сколько длилось и каковы его результаты.
Все собранные сведения часто имеют решающее значение в постановке диагноза. Далее врач проводит обследование. В диагностике деминерализации эмали можно выделить основные и дополнительные методы.
Основные методы диагностики
- Осмотр . Чтобы провести осмотр, сначала врач высушивает эмаль струёй воздуха. При деминерализации на эмали видно чёткое матовое пятно белого цвета или пигментированный коричневатый очаг с шероховатой поверхностью.
- Зондирование . Здоровая эмаль при обследовании плотная и гладкая, текстура поражённой эмали шероховатая. Обычно зондирование при деминерализации безболезненно, боль возникает только при среднем и глубоком кариесе, а также при других некариозных патологиях.

- Термометрия . Это обследова ние позволяет определить реакцию зуба на тепло или холод. Термометрия может проводиться с помощью воды (холодной или тёплой) либо воздуха. При деминерализации поражение не доходит до дентина, поэтому обычно температурные раздражители не вызывают сильной боли, но при повышенной чувствительности боль может быть резкой.
Дополнительные методы диагностики
- Люминесцентный метод . Здоровая эмаль под действием ультрафиолетовых лучей даёт голубое свечение, а очаг деминерализации остаётся тёмным.
![Люминесцентный метод [13]](https://probolezny.ru/media/bolezny/demineralizaciya-emali-zubov/lyuminescentnyy-metod-13_s.jpg)
- Лазерная диагностика. Этот метод основан на том, что здоровая и поражённая эмаль по-разному отражают световые лучи. При деминерализации прибор издаёт звуковой сигнал и на экране появляются значения, отличные от нормы. Высокие показания прибора свидетельствуют о глубине поражения.
- Витальное окрашивание. На эмаль зуба наносится кариес-детектор — специальный краситель, который окрашивает очаги деминерализации. При других патологиях цвет эмали не меняется. Чем сильнее окрашивается пятно, тем интенсивнее процесс деминерализации.
![Витальное окрашивание [16]](https://probolezny.ru/media/bolezny/demineralizaciya-emali-zubov/vitalnoe-okrashivanie-16_s.jpg)
Дифференциальная диагностика
Дополнительные методы исследования нужны в тех случаях, когда есть сомнения в диагнозе и врачу нужно исключить другие патологии, т. е. провести дифференциальную диагностику.
Дифференциальную диагностику деминерализации тканей зуба проводят с начальными стадиями флюороза и гипоплазии эмали:
- При флюорозе , в отличие от деминерализации, поражаются несколько или все поверхности зубов, нет повышенной чувствительности на термические раздражители, поражение стабильно, (т. е. болезнь не прогрессирует), при зондировании поверхность поражения гладкая, а не шероховатая.
- Отличительные признаки гипоплазии : затронуты все или несколько зубов. Признаки поражения обычно находятся на вестибулярной (со стороны губ) поверхности резцов и клыков, буграх моляров и премоляров, что несвойственно для деминерализации. Поражение стабильно. При зондировании поверхность гладкая, блестящая, полированная [3][5][7][10] .
Лечение деминерализации эмали зубов
Лечение деминерализации эмали в большинстве ситуаций не требует применения бормашины. Чаще проводят р еминерализацию, г лубокое фторирование или л ечение по технологии Icon.
1. Реминерализация. Метод подразумевает наполнение эмали зуба минеральными компонентами. В основе реминерализирующих гелей — фосфор и кальций, которые обеспечивают прочность эмали.
Перед процедурой нужно провести профессиональную гигиену полости рта, т. е. удалить зубной камень и налёт. Затем эмаль высушивают тёплым воздухом и н а зубы наносят реминерализирующий гель на 15-20 минут. Обычно требуется 10-20 процедур. После каждой процедуры в течение двух часов нельзя есть и чистить зубы.
Преимущества реминерализующей терапии:
- защищает зубы от кариеса;
- устраняет гиперчувствительность зубов.
2. Глубокое фторирование. Это обработка твёрдых тканей зуба специальным фторсодержащим раствором. Перед процедурой также нужно провести профессиональную гигиену полости рта. Затем высушить эмаль тёплым воздухом и нанести на поверхность зубов препараты, содержащие фтор, гидроксид меди и кальций. Чтобы закрепить результат, врач может порекомендовать использовать фторсодержащие пасты. Хороший эффект появляется после 3-5 процедур.
Преимущества глубокого фторирования:
- участки деминерализации и микротрещины заполняются, эмаль становится плотнее;
- создаётся защитный барьер между бактериями полости рта и эмалью , который защищает зуб от разрушений и снижает риск развития кариеса;
- полученный результат сохраняется примерно на год, после этого нужно будет повторить курс.
3. Лечение по технологии Icon . Это современный безболезненный метод лечения деминерализации и раннего кариеса без бормашины, который даёт хороший результат. Суть метода в том, что поражённые участки заполняются специальным веществом, которое благодаря капиллярному эффекту проникает в пористую эмаль, делает её плотнее, а также уничтожает кариозные образования и препятствует размножению патогенных бактерий.
Этапы лечения по технологии Icon.
- На поражённый зуб устанавливается изоляционная система типа коффердам, которая защищает зубы от влаги и позволяет врачу лучше видеть зону поражения.
- Наносится первый компонент — гель соляной кислоты (Icon-Etch), который открывает поры эмали. Его выдерживают 2 минуты, затем в течение 30 секунд смывают водой.
- Обработанная область продувается сухим воздухом.
- На 30 секунд наносится второй компонент — этанол (Icon-Dry), который удаляет остатки жидкости.
- Наносится третий компонент — текучая смола (Icon-Infiltrant). Её нужно выдержать 3 минуты. Затем остатки смолы аккуратно сдувают и материал «засвечивают» на протяжении 40 секунд, чтобы он затвердел.
- Излишки смолы удаляются полировочными штрипсами и флоссами, затем снимается коффердам [4][6][7][8] .
4. Пломбирование. При деминерализации проводится редко, обычно только на стадии тёмного пятна, когда реминерализирующая терапия не помогает. В этом случае световая пломба считается наиболее эффективной, поскольку помогает защитить зуб от влияния внешних факторов и остановить развитие кариеса, а также вернуть эстетику зуба.
Этапы пломбирования световым композиционным материалом:
- Поверхность зуба очищается от налёта, подбирается цвет пломбы, например с помощью специальной шкалы Вита. В выборе цвета должны участвовать врач, ассистент и пациент. Желательно это делать при естественном освещении, лучше всего в первой половине дня, зуб при этом должен быть влажным.
- Если есть показания (например, гиперчувствительность), делается анестезия.
- Устанавливается коффердам.
- Очаг поражения препарируется, т. е. удаляются мёртвые ткани зуба.
- Выполняется кондиционирование (обработка кислотой) и адгезивный протокол — обработка поверхностей зуба спиртовым раствором и нанесение адгезива, который создаёт сцепление тканей зуба с пломбой.
- Послойно наносится световой композиционный материал, пломба шлифуется и полируется.
Прогноз деминерализации эмали зубов благоприятный, если своевременно её пролечить, в противном развивается кариес и другие осложнения [4] [6] [7] .
Читайте также:
- Серповидноклеточная анемия у детей. Талассемия в хирургии
- Ангиогенные факторы роста опухоли.
- КТ при последовательности Пьера Робена (ППР)
- Синдром Эйкора-Смита (Achor-Smith)
- Ингибиторы транскрипции и синтеза нуклеиновых кислот. Анзамицины ( рифамицины, рифампицин ). Свойства и спектр действия рифампицина.
