Ихтиозы с поражением нервной системы: синдром Шегрена-Ларссона, трихотиодистрофия
Добавил пользователь Евгений Кузнецов Обновлено: 15.12.2025
Шегрена-Ларссона синдром (SLS, MIM 270200) - заболевание, начинающееся в раннем детстве. Оно характеризуется ихтиозом, спастическим парапарезом, умственной отсталостью, макулярной дистрофией и лейкоэнцефалопатией. Кожные изменения при этом синдроме похожи на врожденный аутосомно-рецессивный ихтиоз (NCIE, ARCI 2, MIM 242100). Гиперкератоз присутствует с рождения, но никогда не бывает коллодиоподобной мембраны. Изменения наблюдаются на шее, животе, сгибах, где чешуйки чаще темные. Волосы и ногти не повреждаются. Также у больных имеется юношеская макулярная дистрофия сетчатки. У них присутствуют желто-белые пятна на сетчатке, их число с возрастом увеличивается. У многих больных имеется фотофобия. Неврологические нарушения представлены пирамидной недостаточностью: спастическими парезами, наиболее выраженными в ногах. Дети поздно начинают ходить или вообще не ходят. Развиваются деформация стоп, сгибательные контрактуры в коленных суставах. Речь почти отсутствует, больные дети резко отстают в психическом развитии.
Синдром Шегрена-Ларссона наследуется по аутосомно-рецессивному типу.
К синдрому Шегрена-Ларссона приводят мутации в гене ALDH3A2 (fatty aldehyde dehydrogenase, MIM 609523) на хромосоме 17p11. Мутации распространены по всему гену, частых мутаций нет.
В Центре Молекулярной Генетики проводится поиск мутаций в гене ALDH3A2 методом прямого автоматического секвенирования.
Синдром Черджа-Стросс
Синдром Черджа-Стросс - воспалительно-аллергическое поражение мелких и средних сосудов (капилляров, венул, артериол), протекающее с образованием некротизирующих эозинофильных гранулем. Для синдрома Черджа-Стросс характерны гиперэозинофилия, поражение бронхо-легочной системы, сердца, ЖКТ, центральной и периферической нервной системы, кожи и суставов. Диагноз синдрома Черджа-Стросс основан на данных анамнеза, клинической картины, лабораторных исследований, рентгенографии органов грудной клетки, биопсии легких. В качестве основной терапии синдрома Черджа-Стросс показано назначение системных глюкокортикостероидов и цитостатиков.
Общие сведения
Синдром Черджа-Стросс - разновидность системного васкулита с гранулематозным воспалением сосудов среднего и мелкого калибра и преимущественным поражением респираторного тракта. Синдром Черджа-Стросс относится к полисистемным нарушениям, чаще всего затрагивающим органы с богатым кровоснабжением - кожу, легкие, сердце, нервную систему, ЖКТ, почки. Синдром Черджа-Стросс во многом напоминает узелковый периартериит, но в отличие от него поражает не только мелкие и средние артерии, но и капилляры, вены и венулы; характеризуется эозинофилией и гранулематозным воспалением, преимущественным поражением легких. В ревматологии синдром Черджа-Стросс встречается редко, ежегодная заболеваемость составляет 0,42 случая на 100 тыс. населения. Синдромом Черджа-Стросс страдают люди от 15 до 70 лет, средний возраст пациентов составляет 40-50 лет; у женщин заболевание выявляется несколько чаще, чем у мужчин.
Причины
Причины синдрома Черджа-Стросс неизвестны. Патогенез связан с иммунным воспалением, пролиферативно-деструктивными изменениями и повышением проницаемости сосудистой стенки, тромбообразованием, кровоизлияниями и ишемией в зоне повреждения сосудов. Важную роль в развитии синдрома Черджа-Стросс играет повышенный титр антинейтрофильных цитоплазматических антител (ANCA), антигенными мишенями которых являются ферменты нейтрофилов (главным образом, протеиназа-3 и миелопероксидаза). ANCA вызывают преждевременную дегрануляцию и нарушение трансэндотелиальной миграции активированных гранулоцитов. Сосудистые изменения приводят к появлению многочисленных эозинофильных инфильтратов в тканях и органах с образованием некротизирующих воспалительных гранулем.
На первый план при синдроме Черджа-Стросс выходит поражение легких. При гистологическом исследовании выявляются интерстициальные и периваскулярные эозинофильные инфильтраты в стенках легочных капилляров, бронхов, бронхиол и альвеол, перивазальных и перилимфатических тканях. Инфильтраты имеют разнообразную форму, обычно локализуются в нескольких сегментах легкого, но могут распространяться на всю легочную долю. Кроме острофазных воспалительных реакций, отмечаются рубцовые склеротические изменения в сосудах и легочной ткани.
Спровоцировать развитие синдрома Черджа-Стросс могут вирусная или бактериальная инфекция (например, гепатит В, стафилококковое поражение носоглотки), вакцинация, сенсибилизация организма (аллергические заболевания, лекарственная непереносимость), стрессы, охлаждение, инсоляция, беременность и роды.
Симптомы
В своем развитии синдром Черджа-Стросс проходит три стадии.
Продромальная стадия может длиться несколько лет. При типичном течении синдром Черджа-Стросс начинается с поражения респираторного тракта. Появляются аллергический ринит, симптомы носовой обструкции, полипозные разрастания слизистой носа, рецидивирующие синуситы, затяжные бронхиты с астматическим компонентом, бронхиальная астма.
Вторая стадия синдрома Черджа-Стросс характеризуется повышением уровня эозинофилов в периферической крови и тканях; проявляется тяжелыми формами бронхиальной астмы с сильными приступами кашля и экспираторного удушья, кровохарканьем. Приступы бронхоспазма сопровождаются выраженной слабостью, длительной лихорадкой, миалгией, похуданием. Хроническая эозинофильная инфильтрация легких может привести к развитию бронхоэктатической болезни, эозинофильной пневмонии, эозинофильного плеврита. При появлении плеврального выпота отмечаются боли в грудной клетке при дыхании, усиление одышки.
Третья стадия синдрома Черджа-Стросс характеризуется развитием и доминированием признаков системного васкулита с полиорганным поражением. При генерализации синдрома Черджа-Стросс степень тяжести бронхиальной астмы уменьшается. Период между появлением симптомов бронхиальной астмы и васкулита составляет в среднем 2-3 года (чем короче промежуток, тем неблагоприятнее прогноз заболевания). Отмечается высокая эозинофилия (35-85%). Со стороны сердечно-сосудистой системы возможно развитие миокардита, коронарита, констриктивного перикардита, недостаточности митрального и трехстворчатого клапанов, инфаркта миокарда, пристеночного фибропластического эндокардита Леффлера. Поражение коронарных сосудов может стать причиной внезапной смерти больных синдромом Черджа-Стросс.
Для поражения нервной системы характерны периферическая нейропатия (мононейропатия, дистальная полинейропатия «по типу перчаток или чулок»; радикулопатии, нейропатия зрительного нерва), патология ЦНС (геморрагический инсульт, эпилептические приступы, эмоциональные расстройства). Со стороны ЖКТ отмечается развитие эозинофильного гастроэнтерита (абдоминальные боли, тошнота, рвота, диарея), реже - кровотечения, перфорация желудка или кишечника, перитонит, кишечная непроходимость.
При синдроме Черджа-Стросс возникает полиморфное поражение кожи в виде болезненной геморрагической пурпуры на нижних конечностях, подкожных узелков, эритемы, крапивницы и некротических пузырьков. Часто наблюдаются полиартралгии и непрогрессирующий мигрирующий артрит. Поражение почек встречается редко, носит невыраженный характер, протекает в форме сегментарного гломерулонефрита и не сопровождается ХПН.
Диагностика
Больные синдромом Черджа-Строcс за первичной помощью обычно обращаются к различным специалистам - отоларингологу, пульмонологу, аллергологу, неврологу, кардиологу, гастроэнтерологу и поздно попадают к ревматологу. Диагностика синдрома Черджа-Стросс основана на клинико-лабораторных данных и результатах инструментальных исследований. Диагностическими критериями синдрома Черджа-Стросс считаются: гиперэозинофилия (>10% от общего числа лейкоцитов), бронхиальная астма, моно- или полинейропатия, синусит, эозинофильные инфильтраты в легких, экстраваскулярные некротизирующие гранулемы. Наличие не менее 4-х критериев подтверждает диагноз в 85% случаев.
При синдроме Черджа-Стросс также выявляется анемия, лейкоцитоз, повышение СОЭ и уровня общего IgE. Для более половины случаев синдрома Черджа-Стросс характерно обнаружение перинуклеарных антител с антимиелопероксидазной активностью (рANCA).
Рентгенография органов грудной клетки при синдроме Черджа-Стросс позволяет обнаружить быстро исчезающие, ограниченные затемнения и очаговые тени в легких, наличие плеврального выпота. При биопсии легкого определяется гранулематозное воспаление мелких сосудов, инфильтраты в околососудистом пространстве, содержащие эозинофилы. Дифференциальную диагностику синдрома Черджа-Стросс следует проводить с узелковым полиартериитом, гранулематозом Вегенера, хронической эозинофильной пневмонией, идиопатическим гиперэозинофильным синдромом, микроскопическим полиангиитом.
Лечение синдрома Черджа-Стросс
Лечение предполагает длительное назначение высоких доз системных глюкокортикостероидов. По мере улучшения состояния дозу препаратов снижают. При наличии поражений сердечно-сосудистой системы, легких, множественного мононеврита возможно применение пульс-терапии метилпреднизолоном. При неэффективности глюкокортикостероидов используются цитостатики (циклофосфамид, азатиоприн, хлорбутин), которые способствуют более быстрой ремиссии и снижению риска рецидивов, но создают высокий риск инфекционных осложнений. Перед началом терапии отменяются все лекарственные препараты, к которым у больного выявлена сенсибилизация.
Прогноз
Без лечения прогноз синдрома Черджа-Стросс неблагоприятный. При полиорганном поражении происходит быстрое прогрессирование синдрома Черджа-Стросс с высоким риском смертельного исхода от сердечно-легочных нарушений. При адекватном лечении 5-летняя выживаемость составляет 60-80%.
Врожденный ихтиоз
Врожденный ихтиоз - гетерогенная группа наследственных заболеваний, для которых характерны мутации генов, отвечающих за правильное развитие кожи, следствием чего являются специфические поражения дермы и другие системные патологии. Основные симптомы - очаги усиленного шелушения кожи, образование плотных чешуек с болезненными бороздками между ними, склонность к гиперпирексии, системное поражение внутренних органов, дефекты лица. Врожденный ихтиоз диагностируется клинически, подтверждается результатами биопсии кожи. В лечении используются препараты ретиноидов и кератолитики, также проводится неспецифическая терапия.
МКБ-10
Врожденный ихтиоз - наследственный дерматоз, характеризующийся нарушением процессов ороговения. Точное описание болезни дал Роберт Виллан в 1808 году, термин «ихтиоз» предложен В. Вилсоном в 1852 году и используется в настоящее время. Частота встречаемости врожденного ихтиоза варьирует в зависимости от формы заболевания и составляет в среднем 1:2000 для простого ихтиоза, 1:4000 для Х-сцепленного ихтиоза, 1:100000 для эпидермолитического ихтиоза, 1:300000 для ламеллярного ихтиоза. Половых различий не выявлено, кроме Х-сцепленной формы врожденного ихтиоза, которая диагностируется только у мальчиков. Актуальность проблемы в педиатрии связана с часто запоздалой диагностикой и временным эффектом от лечения. Врожденный ихтиоз - одна из причин детской инвалидности.
Причины врожденного ихтиоза
Врожденный ихтиоз всегда является следствием мутаций в генах, отвечающих за правильное развитие эпителия. Мутировавшие гены передаются из поколения в поколение, то есть заболевание наследуется. Первичные причины самих мутаций достоверно неизвестны, но могут быть связаны с тератогенными факторами и факторами внешней среды. Простой и эпидермолитический ихтиоз наследуются по аутосомно-доминантному типу, ламеллярный - по аутосомно-рецессивному типу. При Х-сцепленном ихтиозе мутация происходит в гене, сцепленном с половой хромосомой, механизм наследования рецессивный.
В случае простого ихтиоза нарушен синтез филаггрина - белка, отвечающего за соединение нитей кератина между собой. Именно кератин способствует удержанию влаги кожей, и в данном случае нарушается эта его функция. Х-сцепленный врожденный ихтиоз характеризуется недостаточностью стеролсульфатазы, вследствие чего кератиноциты оказываются прочно связанными с подлежащими слоями кожи, ввиду чего нарушается их своевременное отторжение. Ламеллярный ихтиоз связан с недостаточностью трансглутаминазы-1, которая принимает участие в ороговении оболочек клеток кожи, и ускоренным продвижением кератиноцитов к поверхности кожи, то есть быстрой их сменой. Следствием являются обширные воспалительные процессы, нарушения терморегуляции и высокий риск вторичных инфекций.
В основе эпидермолитического ихтиоза - нарушение синтеза кератина, из-за чего клетки кожи становятся нестабильными. Это способствует образованию буллезных пузырей, характерных для этого типа врожденного ихтиоза. Редко встречающийся ихтиоз плода развивается внутриутробно и обусловлен нарушением транспорта липидов, вследствие чего нарушается барьерная функция кожи.
Классификация врожденного ихтиоза
Существует несколько классификаций заболевания по различным признакам. В зависимости от типа наследования врожденный ихтиоз может быть:
- Аутосомно-доминантным (простой и эпидермолитический ихтиоз);
- Аутосомно-рецессивным (ламеллярный ихтиоз, ихтиоз плода);
- Х-сцепленным (Х-сцепленный ихтиоз).
Различаются условия, необходимые для проявления заболевания. Первые два типа не связаны с полом, мутировавший ген должен быть представлен в доминантной и рецессивной форме соответственно. Х-сцепленный ихтиоз наследуется рецессивно, проявляется у мальчиков, в то время как девочки являются носителями мутации.
Клинически выделяют следующие типы врожденного ихтиоза: простой (вульгарный), ламеллярный, Х-сцепленный, эпидермолитический, ихтиоз плода. В зависимости от тяжести клинических проявлений ихтиоз может быть тяжелым, средней тяжести и поздним (проявляется не сразу после рождения). Врожденный ихтиоз может быть не только самостоятельным заболеванием, также он присутствует в структуре некоторых синдромов, таких как синдром Нетерсона, синдром Рефсума, синдром Руда, синдром Шегрена-Ларссона и некоторые другие. Также существуют ихтиозиформные заболевания, например, гиповитаминоз А, сенильный ихтиоз и др. В этих случаях клиника схожа, но причины другие.
Симптомы врожденного ихтиоза
Симптоматика напрямую зависит от формы заболевания. В клинике простого ихтиоза всегда имеет место выраженная сухость кожи и шелушение. Зоны поражения располагаются на разгибательных поверхностях суставов, особенно ног. Лицо остается нетронутым, за редким исключением, когда в процесс вовлекается кожа лба и щек. Также характерен фолликулярный гиперкератоз - скопление кератина в фолликулах волос. Возникает почти на всей поверхности кожи, где растут волосы. Обнаруживается при пальпации в виде так называемого симптома «тёрки». Кожа на ладонях и подошвах утолщена, усилен кожный рисунок, выделяются бороздки между участками утолщенной кожи. У больных отмечается снижение потоотделения, что является причиной частой гипертермии.
Основные симптомы врожденного ихтиоза проявляются с 3-12 месяцев жизни ребенка. Шелушение кожи часто практически нивелируется к 20-25 годам. При этом остаются характерные для этой формы заболевания изменения ладоней и подошв. Часто врожденный ихтиоз данного типа сопровождается аллергическими заболеваниями в виде ринита, крапивницы, бронхиальной астмы. В большинстве случаев характерно поражение желудочно-кишечного тракта: гастрит, колит, дискинезия желчных путей, гепатоспленомегалия. На клеточном уровне изменения идентичны таковым в клетках кожи.
Х-сцепленный врожденный ихтиоз проявляется в первые месяцы жизни и только у мальчиков. Характерное поражение кожи - крупные, грязно-коричневого цвета чешуйки без шелушения. Локализация подобных участков может быть практически любой, кроме области ладоней и стоп. Такой цвет чешуек обусловлен высокой концентрацией меланина в нижних слоях эпидермиса. Из других признаков часто обнаруживается специфическое помутнение роговицы в форме цветка без влияния на остроту зрения. У пятой части пациентов диагностируется крипторхизм. В отличие от простого ихтиоза, поражения кожи при данном типе заболевания практически не уменьшаются с возрастом.
Ламеллярный ихтиоз проявляется с рождения. Кожа новорожденного покрыта тонкой, но плотной пленкой - это патогномоничный симптом врожденного ихтиоза данного типа. Постепенно пленка трансформируется в крупные толстые чешуйки от светлого до коричневого цвета. Вследствие закупорки потовых желез нарушено потоотделение, поэтому часто наблюдается гиперпирексия. На ладонях и подошвах - глубокие трещины и кератодермия. Бороздки между чешуйками болезненны и являются воротами для вторичной бактериальной инфекции, включая сепсис. Ламеллярный врожденный ихтиоз сопровождается дефектами развития: часто отмечается выворот век (эктропион) и губ (экслабион), деформация или отсутствие ушных раковин, деформация хрящей носа, сращение фаланг пальцев либо отсутствие концевых фаланг и др.
Эпидермолитический врожденный ихтиоз проявляется обширной влажной эритродермией с формированием буллезных пузырей. На месте вскрытия пузырей остаются эрозии, которые бесследно проходят. Со временем присоединяется грубое ороговение, часто образуются бородавки. Ороговевшие чешуйки темные, с неприятным запахом (следствие вторичной инфекции). Слизистые оболочки при данном типе врожденного ихтиоза не поражаются, потоотделение также не нарушено. Тем не менее, эта форма заболевания очень опасна и может сопровождаться смертельным исходом.
Врожденный ихтиоз плода - самая редкая форма заболевания, развивается внутриутробно на 16-20 неделе беременности. Дети рождаются недоношенными, кожа их напоминает панцирь, который вскоре трескается с образованием крупных пластинчатых чешуек, чаще темных. Характерно почти полное отсутствие волос на голове, кератодермия ладоней и подошв. Из-за сильного ороговения кожи лица рот постоянно открыт, выражены эктропион и экслабион, ушные раковины деформированы. При врожденном ихтиозе плода часто диагностируется нейросенсорная тугоухость. Сниженный иммунитет способствует развитию бактериальных инфекций уже в первые дни жизни; часто встречаются отиты, пневмония, подкожные абсцессы. Высока смертность в первые дни и недели жизни.
Диагностика врожденного ихтиоза
Во время беременности с целью диагностики можно использовать амниоцентез с последующим анализом амниотической жидкости, а также биопсию ворсин хориона. Однако инвазивные методы повышают риск самопроизвольного прерывания беременности, поэтому на практике используются крайне редко. Показанием для пренатальной биопсии является отягощенный анамнез по врожденному ихтиозу. УЗИ в III триместре позволяет диагностировать ихтиоз плода. Заметно фиксированное положение рук и открытый рот, можно увидеть гипоплазию носовых хрящей и неспецифические признаки в виде многоводия и повышенной эхогенности амниотической жидкости. Остальные формы врожденного ихтиоза можно лишь заподозрить.
После рождения ребенка диагноз ставится педиатром, в первую очередь, на основании клинических симптомов, характерных для врожденного ихтиоза. Это специфическое шелушение кожи, локализация пораженных участков, симптом «тёрки» при простом ихтиозе, выраженная эритродермия при эпидермолитическом ихтиозе и др. Изменения в анализах неспецифичны, но могут выявить аллергические процессы (часто сопутствуют ихтиозу), высокий уровень холестерола и одновременно сниженный уровень эстриола в крови (при Х-сцепленном ихтиозе). Имеет значение анамнез родителей: выявленные прежде случаи врожденного ихтиоза, в том числе его синдромные формы.
Часто клиническая картина заболевания неспецифична, поэтому обязательно проведение дифференциальной диагностики. Необходимо исключать приобретенные формы ихтиоза, дерматозы (псориаз, экзема, контактный дерматит, врожденный сифилис и др.), атопический дерматит. Так, для дерматитов характерно наличие воспалительного процесса, зуда, экземы и др. Однако часто врожденный ихтиоз также сопровождается дерматитом. Дерматозы имеют свои патогномоничные симптомы, отсутствующие при ихтиозе, например, зубы Гетчинсона при врожденном сифилисе, специфические папулы с излюбленной локализацией при псориазе и т. д. Приобретенные формы ихтиоза развиваются вследствие аутоиммунных, инфекционных заболеваний, опухолей и др., в этом случае нужно искать причину, способную вызвать патологию уже после рождения.
Лечение врожденного ихтиоза
Лечение заболевания проводится в стационаре, в случае тяжелых форм врожденного ихтиоза - в отделении реанимации. В помещении должна поддерживаться высокая влажность и пониженная температура воздуха. Обычно показана гипоаллергенная диета, в тяжелых случаях - питание через зонд. Рекомендуется принимать ванны от 2 раз в день. Это позволяет увлажнить кожу, уменьшить шелушение и провести профилактику вторичных инфекций. В случае эпидермолитического врожденного ихтиоза во время купания часто используются антисептики. После купания, как правило, проводят механическое отшелушивание с последующим нанесением увлажняющего крема.
Применяется системная терапия врожденного ихтиоза препаратами витамина А и ретиноидами, которые облегчают отшелушивание ороговевших клеток и снижают скорость пролиферации клеток, иными словами, тормозят их усиленный рост. Кроме того, ретиноиды оказывают противовоспалительное и иммуномодулирующее действие. В педиатрической практике в настоящее время используется тигазон, неотигазон. Очевидна высокая клиническая эффективность данных препаратов, однако эффект от лечения временный, а терапия проводится курсами ввиду множества побочных эффектов: сухость и кровоточивость слизистых, гиперостоз, нарушений функций печени, фотосенсибилизация кожи и высокая чувствительность к свету и др.
К современным препаратам относятся блокаторы метаболизма ретиноевой кислоты, например, лиарозол. При лечении отмечается тот же клинический эффект, но безопасность намного выше. Основу наружной терапии врожденного ихтиоза составляют кератолитики: растворы хлорида натрия и мочевины, декспантенол, салициловая кислота, топические ретиноиды. Средства наносятся на пораженные участки кожи и оказывают местное действие, способствуя отшелушиванию, смягчению кожи, уменьшению воспаления и др. При назначении кератолитиков необходимо учитывать возраст ребенка, поскольку некоторые из них (мочевина, салициловая кислота) токсичны для детей первого года жизни.
В лечении тяжелых форм врожденного ихтиоза применяются системные кортикостероиды, иммуноглобулины, а также антибиотики в случае необходимости. Обязательна консультация детского офтальмолога при диагностике эктропиона, детского оториноларинголога - при деформации и отсутствии ушной раковины, а также для диагностики и лечения нарушений слуха, в частности нейросенсорной тугоухости. При синдромальных формах врожденному ихтиозу часто сопутствуют неврологические нарушения, в этих случаях обязательна консультация детского невролога. Также к лечению подключается генетик для планирования последующих беременностей и расчета вероятности заболевания у будущих поколений.
Прогноз и профилактика врожденного ихтиоза
Прогноз зависит от формы заболевания. Клинические проявления простого ихтиоза минимизируются после 20-25 лет, однако качество жизни все равно снижается из-за наличия системных патологий желудочно-кишечного тракта. Тяжелые формы врожденного ихтиоза часто являются причиной смерти и детской инвалидности.
Генетическое консультирование - единственный способ профилактики врожденного ихтиоза. Необходимо планировать беременность в случае отягощенного анамнеза по данному заболеванию, то есть, если один и тем более оба родителя больны, либо кто-то из них является носителем мутации. В этом случае рекомендуется отказ от беременности, но в любом случае окончательно решение принимает семья. Как вариант, парам предлагается ЭКО и усыновление.
Публикации в СМИ
Синдром Шёгрена (СШ) — системное аутоиммунное заболевание, характеризующееся развитием аутоиммунной экзокринопатии, что приводит к возникновению ксеростомии и ксерофтальмии, сухости слизистых оболочек носа, гортани, трахеи, бронхов, женских половых органов, атрофическому гастриту. Статистические данные. Распространённость: 0,6-3,0% в общей популяции. Преобладающий возраст — старше 30 лет. Преобладающий пол — женский (10-25:1).
Этиология и генетические особенности • Одним из этиологических факторов считают хроническую вирусную инфекцию (ЦМВ, вирус Эпстайна-Барр, ретровирусная HTLV-1, HCV). У больных ВИЧ-инфекцией развивается лимфоцитарный сиаладенит, лимфоцитарная интерстициальная пневмония, напоминающие СШ. Обнаруживают ассоциацию с HLA B8, HLA Dw3, HLA DR3, HLA DRw52, аллелью DQA1*0501.
Патогенез. Хроническая вирусная инфекция индуцирует активацию Т- и В-лимфоцитов. В ходе активации CD4 + -лимфоцитов синтезируются цитокины (ИЛ-1, ИЛ-6, g -ИФН, ФНО- a ), индуцирующие экспрессию Аг главного комплекса гистосовместимости класса II на эпителиальных клетках слюнных и слёзных желёз. Это приводит к Аг-специфической активации лимфоцитов и развитию аутоиммунных реакций против экзокринных желёз. Активированные В-лимфоциты синтезируют g -глобулины в больших количествах. Активация В-лимфоцитов проходит три стадии: поликлональную (клинически проявляется экзокринопатией), поли-олиго-моноклональную (выявляют клинические системные проявления), моноклональную (клинически выявляют лимфомы).
Классификация. Различают первичный CШ, не ассоциируемый с другими ревматическими заболеваниями, и вторичный СШ, возникающий на фоне ревматоидного артрита, СКВ, полимиозита/дерматомиозита, хронического активного гепатита, билиарного цирроза печени, саркоидоза и в рамках СПИД.
Клиническая картина
• Поражение экзокринных желёз •• Сухой кератоконъюнктивит: зуд, жжение, резь в глазах, при присоединении инфекции — язвы и перфорации роговицы •• Сиаладенит: сухость во рту, хронический паренхиматозный паротит, на поздних стадиях — прогрессирующий пришеечный кариес, затруднения при глотании пищи •• Хронический панкреатит •• Сухость слизистых оболочек носа, глотки, гортани, трахеи, половых органов, кожи •• Поражение ЖКТ: хронический атрофический гастрит с секреторной недостаточностью, поражение двенадцатиперстной кишки с возникновением гипомоторной дискинезии, поражение толстой кишки с появлением болезненности при её пальпации и развитии запоров у больного.
• Системные проявления •• Поражение суставов: артралгии, рецидивирующий неэрозивный артрит мелких суставов с развитием деформаций (анкилозы не характерны) •• Поражение мышц: миалгии, миозит •• Поражение лимфатической системы: регионарная лимфаденопатия, генерализованная лимфаденопатия, лимфопролиферативные заболевания (лимфома, макроглобулинемия Вальденстрёма). Клиническое развитие последних можно заподозрить при стойком и значительном увеличении околоушных слюнных желёз, генерализованной лимфаденопатии и спленомегалии •• Поражение лёгких: интерстициальная пневмония, интерстициальный лёгочный фиброз, плеврит •• Поражение почек: почечный ацидоз, аминоацидурия и фосфатурия с развитием нефрогенного диабета, хронический интерстициальный нефрит (гломерулонефрит возникает редко, чаще у пациентов с криоглобулинемией), амилоидоз •• Феномен Рейно •• Васкулит (5-10%) •• Поражение кожи: гипергаммаглобулинемическая или криоглобулинемическая пурпура, хроническая крапивница, кожные язвы •• Поражение нервной системы: множественный мононеврит, асептический менингит, эпилептические припадки, поражения ЦНС, напоминающие рассеянный склероз •• Тиреоидит с гипо- или гиперфункцией щитовидной железы.
Особенности ВИЧ-ассоциированного СШ • Частое поражение мужчин • Ассоциация с HLA-DR5 • Низкая частота ксерофтальмии • Лимфоцитарный гепатит, гастрит, нефрит, интерстициальная пневмония, асептический менингит.
Лабораторные данные
• ОАК: увеличение СОЭ, лейкопения. Возможна гемолитическая анемия. Тромбоцитопения не характерна; при её обнаружении следует провести пункцию костного мозга для исключения миелодиспластических реакций, лимфомы, лекарственной миелодепрессии • Гипергаммаглобулинемия • Смешанная моноклональная криоглобулинемия II типа • При исследовании АНАТ методом непрямой иммунофлюоресценции выявляют периферический (соответствующий наличию АТ к ДНК) или крапчатый (соответствующий наличию АТ к рибонуклеопротеинам) типы свечения • С помощью иммуноферментных методов выявляют АТ к Ro-La и к органоспецифическим Аг париетальных клеток желудка, щитовидной железы, гладкой мускулатуры • Наличие РФ (95%) в высоком титре • Увеличение концентрации СРБ не типично • ОАМ: протеинурия (редко) • Обнаружение в моче лёгких цепей моноклональных иммуноглобулинов (при СШ с системными проявлениями).
Инструментальные данные
• Сухой кератоконъюнктивит •• Тест Ширмера: снижение слёзоотделения (менее 10 мм за 5 мин). Тест позволяет оценить количество слёз, выделяемых за 5 мин после раздражения полоской промокательной бумаги, заложенной за нижнее веко. Показателем служит длина полоски, смоченной слезами (норма — 15 мм у молодых, 10 мм у пожилых) •• Окрашивание эпителия конъюнктивы и роговицы бенгальским розовым и флюоресцеином. Тест с использованием бенгальского розового красителя высокоспецифичен и информативен. При СШ бенгальский розовый окрашивает точечные эрозии конъюнктивы и участки отслоившегося эпителия.
• Паренхиматозный паротит •• Сиалография: обнаружение полостей диаметром не менее 1 мм •• Снижение секреторной активности слюнной железы при стимуляции аскорбиновой кислотой — менее 2,5 мл за 5 мин •• Биопсия слюнных желёз нижней губы: лимфоплазмоклеточная инфильтрация (более 1 очага, состоящего из более чем 50 лимфоцитов).
Диагностическая тактика (Vitali C. et al., 1993)
• Офтальмологические симптомы •• Сухость в глазах в течение последних 3 мес и более •• Ощущение песка в глазах •• Использование препарата искусственная слеза более 3 р/сут.
• Стоматологические симптомы •• Ощущение сухости во рту в течение последних 3 мес и более •• Рецидивирующий или персистирующий отёк слюнных желёз в зрелом возрасте •• Необходимость запивания сухой пищи жидкостью.
• Офтальмологические проявления. Объективные признаки поражения глаз, установленные на основании одного из 2 тестов •• Тест Ширмера: увлажнение полоски бумаги менее 5 мм в течение 5 мин •• Счёт при окраске бенгальским розовым >4 по системе Bijsterveld.
• Гистопатологические признаки: в биоптате малых слюнных желёз определяют более 1 конгломерата мононуклеарных клеток в железистой ткани объёмом 4 мм 3 .
• Объективные признаки поражения слюнных желёз, установленные с помощью сцинтиграфии, сиалографии или сиалометрии (нестимулированный ток слюны составляет
• Аутоантитела. Наличие по крайней мере одного из следующих типов АТ •• АТ к Ro/SS-A или La/SS-B •• АНАТ •• РФ.
Диагноз считают достоверным при наличии 4 из 6 выше перечисленных критериев. Чувствительность — 93,5%, специфичность — 94%.
Критерии исключения диагноза СШ: предсуществующая лимфома, СПИД, саркоидоз, реакция «трансплантат против хозяина».
Дифференциальная диагностика. Идентификация клинической картины СШ ставит вопрос, первичный это синдром или вторичный. Следует помнить, что кроме системных заболеваний соединительной ткани, СШ может развиваться в рамках саркоидоза или СПИДа. Важен поиск АТ к ВИЧ. При саркоидозе на рентгенограмме лёгких — характерные изменения прикорневых лимфатических узлов.
ЛЕЧЕНИЕ
Общая тактика. Сочетание системного назначения иммунодепрессивных препаратов и местной заместительной терапии.
Лекарственное лечение • Начальная стадия заболевания при отсутствии признаков системного поражения •• Преднизолон 10-15 мг/сут с постепенным снижением дозы через 2-3 нед до поддерживающей 5-10 мг/сут •• Гидроксихлорохин 0,4 г/сут, хлорохин 0,25 г/сут • При выраженных проявлениях поражения экзокринных желёз при отсутствии системных проявлений •• Преднизолон 10-15 мг/сут, затем переход на поддерживающую дозу 5-10 мг/сут •• Хлорамбуцил 4-6 мг/сут с переходом на поддерживающую дозу 2-4 мг/сут • Системные проявления (лёгочный фиброз, криоглобулинемический васкулит) •• Пульс-терапия метилпреднизолоном и циклофосфамидом (подробно см. Волчанка системная красная), затем — длительная терапия преднизолоном и хлорамбуцилом. При лечении цитостатиками необходимо регулярное проведение общих анализов крови, мочи, функциональных проб печени. При сопутствующей ВИЧ-инфекции цитостатики противопоказаны •• При криоглобулинемии — плазмаферез • Офтальмологические проявления •• Местно 0,5% р-р метилцеллюлозы •• Лечебные контактные линзы •• Для профилактики вторичной инфекции — промывание глаз р-рами нитрофурала, цитрали с рибофлавином • Стоматологические проявления •• Новокаиновые блокады околоушных слюнных желёз •• Введение в протоки слюнных желёз антибиотиков •• Аппликации 30% р-ра диметил сульфоксида на область околоушных и подчелюстных слюнных желёз — 20 сеансов по 25-30 мин.
Осложнения • Лимфомы • Изъязвления роговицы • Язвы конечностей при развитии васкулита.
Прогноз. Жизненный прогноз в целом благоприятный. Прогноз ухудшается при развитии лёгочного фиброза, криоглобулинемии и, особенно, лимфопролиферативных заболеваний.
Синонимы • Сухой синдром • Ксеродерматоз • Синдром Предтеченского-Гужеро-Шёгрена • Синдром Гужеро-Шёгрена.
Сокращение. СШ — синдром Шёгрена.
МКБ-10. M35.0 Сухой синдром [Шёгрена].
Код вставки на сайт
Синдром Шёгрена
Анти-В клеточная терапия синдрома и болезни Шёгрена
Болезнь Шёгрена (БШ) - распространенное системное заболевание неизвестной этиологии, характерной чертой которого является хронический аутоиммунный процесс в секретирующих эпителиальных железах с развитием паренхиматозного сиалоаденита с ксеростомией и сухого конъюнктивита/кера-токонъюнктивита. Синдром Шёгрена (СШ) - лимфоидная инфильтрация слюнных и слёзных желёз, развивающееся у 5-25% больных с системными заболеваниями соединительной ткани, чаще ревматоидным артритом (РА), реже системной красной волчанкой (СКВ) и другими аутоиммунными заболеваниями [1]. В-клеточная гиперактивность (слайд-1) лежит в основе патогенетических механизмов развития БШ/СШ и проявляется лимфоидной инфильтрацией как секретирующих эпителиальных желёз, так других органов и тканей, образованием аутоантител (РФ,АНФ,Ro/La) и криоглобулинов с моноклональным РФ в составе, а также развитием у 5-16% больных преимущественно В-клеточных лимфом 3. Частота развития неходжкинских лимфом (НХЛ) при БШ в 44-50 раз выше, чем в общей популяции [3]; превалируют экстранодальные лимфомы MАLT-типа, развивающиеся в слюнных железах [4,5]. В общем НХЛ составляют только 2-5% неоплазм слюнных желёз, но 50% MALT-лимфом слюнных желёз развиваются из лимфоэпителиальных поражений при БШ/CШ[6]. Генерализованный криоглобулинемический васкулит, НХЛ, аутоиммунные панцитопении являются основными причинами смерти больных БШ (частота 37,7%, 34,5% и 6,6%, соответственно) [2,3,4,7]. В настоящее время отсутствуют чётко доказанные, эффективные принципы терапии некоторых состояний (MALT-лимфом, генерализованных васкулитов и аутоиммунных панцитопений), развивающихся у больных БШ/СШ, что стимулирует исследователей к использованию новых подходов в лечении у данной категории больных.
Слайд 1.
Предпосылки для использования ритуксимаба при болезни Шёгрена.
В-клеточная гиперреактивность лежит в основе патогенетических механизмов развития БШ/СШ и проявляется лимфоидной инфильтрацией как секретирующих эпителиальных желёз, так и других органов и тканей, образованием аутоантител (РФ.АНФ. Ro/La) и криоглобулинов с моноклональным РФ в составе, а также развитием у 5-16% больных преимущественно В-клеточных неходжкинских лимфом (НХЛ). Генерализованный криоглобулинемический васкулит, НХЛ, аутоиммунные панцитопении являются основными причинами смерти больных БШ( частота 37,7%, 34,5% и 6,6% соответственно).
Ритуксимаб - химерное анти-СD20 моноклональное антитело, которое связывается с антигеном СD20 на поверхности В-клеток, в настоящее время активно используется в лечении В-клеточных лимфом [8]. Он считается одним из самых перспективных препаратов в лечении различных аутоиммунных заболеваний, таких как БШ, СКВ, РА и криоглобулинемический васкулит [9,10]. Гипотеза о том, что В-клетки играют ключевую роль в патогенезе БШ базируется на cледующих доказательствах (слайд 1,2) значительно меньшее количество В-клеток с фенотипом CD19+/CD27+/IgD+ в периферической крови больных БШ, по сравнению со здоровыми лицами или больными РА; более высокое содержание активированных В-клеток в крови больных БШ, чем у здоровых лиц или больных РА; СD19+,CD20+ и CD27+ В-клетки в значительном количестве выявляются в биоптатах околоушных слюнных желёз, причём активированные В-клетки составляют 10-20% клеточного инфильтрата на ранних стадиях и 50-70% на поздних стадиях заболевания [11,12]. Основываясь на вышеизложенном, нами проведено исследование по эффективности и безопасности использования препарата ритуксимаб в терапии осложненных форм болезни и синдрома Шёгрена.
Слайд 2. Гипотеза о ключевой роли В-клеток в патогенезе болезни Шёгрена
- Значительно меньшее количество В-клеток с фенотипом CD19+/CD27+/lgD+ в периферической крови больных БШ по сравнению со здоровыми лицами или больными ревматоидным артритом.
- Более высокое содержание активированных В-клеток в крови больных БШ, чем у здоровых лиц или больных ревматоидным артритом.
- CD19+, CD20+, CD27+ В-клетки в значительном количестве выявляются в биоптатах околоушных слюнных желёз, причём активированные В-клетки составляют 10-20% клеточного инфильтрата на ранних стадиях и 50-70% на выраженных и поздних стадиях заболевания.
Материалы и методы.
Слайд 3,4.
Результаты.
У 7 из 9(78%) больных достигнута полная ремиссия лимфомы, у 2 больных наблюдалась частичная ремиссия. У 5 из 6(83%) больных Рт оказал положительное влияние на системные проявления. Одна больная БШ с генерализованным криоглобулинемическим васкулитом оказалась рефрактерной к проводимой терапии Рт+КПТ и погибла в стационаре от некупируемого отёка легких. Субъективное улучшение стоматологических и офтальмологических проявлений заболевания наблюдалось у 12 из 13(92%), тогда как объективное улучшение подтверждено только у 6 из 13(46%) больных. Динамика лабораторных проявлений до и после терапии в настоящем исследовании представлена на слайдах № 5-8. У всех 7(100%) больных со значительным увеличением ОУЖ наблюдалась нормализация размеров слюнных желёз и внутрижелезистых лимфоузлов. Рестадирование лимфомы через 2 месяца после окончания курсов терапии Рт+КПТ с повторным иммуноморфологическим исследованием биоптата околоушных слюнных желёз показало полное отсутствие опухолевого субстрата у больной (слайды 9-12). Рецидивы криоглобулинемической пурпуры не наблюдались у 2(100%) больных, также как перестал обнаруживаться моноклональный IgMk в крови после окончания лечения (слайд 8). Деплеция CD19+ клеток достигнута после второй инфузии Рт у 12 из 13 больных и сохранялась в течение 3-6 месяцев после завершения исследования. Статистически достоверно снижались уровни СОЭ (р=0,002), медиана уровней IgG, IgA, IgM иммуноглобулинов (р=0,05-0,002). У 7 больных перестал определяться IgM РФ (54%), тогда как у 6(46%) пациентов титры его значительно снизились.
Слайд 5. Динамика уровня СОЭ, мм/ч

Слайд 6. Динамика среднего уровня иммуноглобулинов, МЕ/мл

Слайд 7. Динамика уровня гамма-глобулинов.%

Слайд 8. Динамика криоглобулинемии и моноклональной секреции иммуноглобулинов
| Криоглобулины | Моноклональные Ig | ||
| До лечения | после | До лечения | после |
| отр | отр | отр | отр |
| отр | отр | отр | отр |
| отр | отр | отр | отр |
| 4+ | 4+ | отр | - |
| 4+ | отр | Mk+BJk | отр |
| 2+ | отр | отр | отр |
| 4+ | отр | отр | отр |
| отр | отр | отр | отр |
| 4+ | отр | Mk | отр |
| отр | отр | Gk+BJk | Gk+BJk |
| 4+ | отр | отр | отр |
| отр | отр | отр | отр |
| отр | отр | отр | отр |
Слайд 9.
5 курсов с интервалом в 14 дней:
1-ый день метипред 500 мг + Мабтера 500 мг,
2-ой день метипред 500 мг + циклофосфан 1000 мг
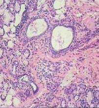
Слайд 10. Морфологическая картина околоушной слюнной железы ДО и ПОСЛЕ лечения
![]() | ![]() |
Слайд 11. Иммуногистохимическая и молекулярная картина околоушной слюнной железы
| до лечения | после лечения | |
| В-клетки CD20+ | 85% | 25% |
| Т клетки CD3+ | 15% | 75% |
| IgM ппазматич клетки | 25% | 2% |
| Ki-67 пролиферативная активность. | 25% | 0 |
| к/λ соотношение | 3 | 1 |
| Моноклональность тяжелых цепей Ig (ПЦР) | есть | нет |
Слайд 12. Динамика показателей
| до лечения | после лечения | |
| CD19+ | 6,1% | 0,2% |
| Криоглобулины | есть | нет |
| РФ | 1/160 | нет |
| АНФ | 1/320 | 1/160 |
| Сиалометрия, мл | 0,5 | 3 |
| Тест Ширмера, мм | 3 | 8 |
Побочных проявлений при проведении терапии Рт не наблюдалось.
Динамическое наблюдение продолжено за 11 больными с медианой наблюдения 8,5 месяцев. Одна больная погибла от псевдомембранозного колита на фоне необоснованного и длительного применения антибиотиков. Обострения заболевания не наблюдалось. У больной с частичной ремиссией MALT-лимфомы ОУЖ после монотерапии ритуксимабом развился рецидив лимфомы через месяц после окончания терапии. У больной с генерализованным криоглобулинемическим васкулитом через 7 месяцев после проведения 2-х инфузий вновь появились рецидивы пурпуры, в крови стал определяться IgMk. Обе больные повторно пролечены Рт в сочетании с КПТ с хорошим результатом.
Таблица 1. Эффективность терапии ритуксимабом.
| Количество больных | Показания для терапии Рт | Эффективность при НХЛ | Эффективность при системных проявлениях | Влияние Рт на субъективные проявления БШ | Влияние на объективные проявления БШ | Побочные эффекты | |
| Shih. 2002 (15) | 1 | HXJI | + | НО | + | + | - |
| Somer. 2003 (16) | 1 | НХЛ | + | О | + | + | - |
| Vjulgarelis 2004 (17) | 4 | НХЛ 4/4 | + 4/4(100%) | 3/3(100%) | НО | - | 2/4(50%) 2 ИР |
| Homer. 2004 (18) | 1 | НХЛ | + | О | + | - | НО |
| Ramos-Casals, 2004 (19) | 2 | НХЛ 2/2 | + 2/2 (100%) | О | НО | - | НО |
| Pijpe. 2005 (20) | 1 | НХЛ | + | О | + | + | - |
| Gottenberg, 2005 (28) | 6 | НХЛ 2/6 | 1/2(50%) | О | 3/6(50%) | 0/2 | 2/6 (33%), 1-ИР, 1-СР |
| Pijpc. 2005 (23) | 15 | НХЛ 7/15 | 3/7(43%) | О | + 10/14(70%) | 2/7 с НХЛ(28%) 10/15(66%) | 6/14(43%) 2-ИР, 3-СР |
| Ring, 2005 (21) | 1 | Канальцевый ацидоз | - | О | + | + | - |
| Voulgarelis. 2006 (26) | 6 | НХЛ 6/6 | 6/6(100%) | 3/6(50%) | - | - | 2/6(33%) |
| Devauchelle-Pensec, 2007 (24) | 16 | Железистые поражения 15/16 | - | 1/1(100%) | + | - | 4/16(24,8%) 3-ИР, 1-СР |
| Seror, 2007 (22) | 16 | Системные проявления 11/16 НХЛ 5/16 | 4/5 (80%) | 9/11(82%) | 5/16(36%) | 2/16(18%) | 3/16( 19,8%) 2-И Р, 1-СР |
| Васильев, 2006 (27) | 1 | Криоваскулит, панцитопения | - | 1/1(100%) | + | + | - |
| Настоящее исследование | 13 | Системные проявления 4/13, НХЛ 9/13 | 7/9(78%) | 5/6(83%) | 12/13(92%) | 6/13(46%) | - |
"+" -положительное влияние Рт на НХЛ, железистые и внежелезистые проявления БШ. "-" отсутствие НХЛ; побочных эффектов, влияния на железистые и внежелезистые проявления заболевания. НО- не оценивались. О-отсутствие системных проявлений заболевания. ИР- инфузионные реакции, СР-сывороточные реакции с обнаружением антихимерных антител.
В заключении следует отметить, что ритуксима эффективен при лечении железистых проявлений с ранней стадией БШ/CШ и сохранившейся остаточной секрецией секретирующих эпителиальных желёз, а также внежелезистых (криоглобулинемическая пурпура, гломерулонефрит, полинейропатия, интерстициальные поражения легких, стойкий синовит, аутоиммунная панцитопения) проявлений заболевания. Монотерапия менее эффективна по сравнению с комбинированной терапией с антилимфопролиферативными препаратами, КПТ и полихимиотерапией в лечении НХЛ и системных проявлений БШ/CШ. Терапия хорошо переносится с минимальным количеством побочных эффектов при правильной премедикации и медленной инфузии препарата.
Дальнейшие контролируемые исследования необходимы, чтобы подтвердить эффективность Рт при лечении различных форм БШ/СШ.
Читайте также:


