Инфаркт кости - лучевая диагностика
Добавил пользователь Евгений Кузнецов Обновлено: 21.11.2025
При КТ исследовании получены аксиальные срезы и изображения мультипланарных реконструкций проксимальных отделов левой плечевой кости. В головке и проксимальной части диафиза левой плечевой кости определяется участок неоднородного обызвествления в костно-мозговом канале с ландкартообразными контурами. Кость не вздута. Кортикальный слой не изменен. Прилежащие мягкие ткани без особенностей.
ЗАКЛЮЧЕНИЕ: КТ признаки обызвествленного инфаркта костного мозга левой плечевой кости.
Консультация гематолога.
Ранее были падения на левый бок (плечо), в настоящее время жалобы на резкую боль в области левого плеча во время поднятия в положение «отведения».
На R-граммах и КТГ левого плечевого сустава и левой плечевой кости - обызвествление канала левой плечевой кости (проксимального отдела). В анализах периферической крови - норма. Объективно Кожные покровы чистые, обычной окраски. Периферические лимфоузлы не увеличены. Имеют место кровоизлияния в костно-мозговой канал левой плечевой кости с исходом в кальциноз.
Неофициальная косультация врача-диагноста КТ (не того, кто писал протокол) - возможна доброкачественная опухоль.
Инфаркт костного мозга
Инфаркт костного мозга - необратимое ишемическое повреждение клеточных элементов кости и костного мозга, традиционно, термин предполагает метафизарную и диафизарную локализацию процесса (поражение в эпифизе называют аваскулярным некрозом).
Может быть идиопатическим и вторичным.
Основными причинами медуллярного инфаркта являются:
- травма, кессонная болезнь,
- гемоглобинопатия,
- лучевая терапия,
- болезни соединительной ткани, т
- рансплантация почки,
- высокий уровень кортикостероидов (эндогенный или экзогенный),
- панкреатит,
- подагра,
- болезнь Гоше,
- алкоголь.
При инфаркте формируется центральный фокус некроза костного мозга, окружённый зоной гиперемии и демаркационной грануляционной тканью, что имеет характерный вид при лучевых исследованиях.
Диагностика
- локализация
- медуллярно
- в метафизах
Магнитно-резонансная томография
Важная отличительная черта помогающая в дифференциальной диагностике - это то, что при инфаркте сигнал от центральных отделов соответствует сигналу от костного мозга, поскольку костный мозг не замещается патологической тканью.
Инфаркт костного мозга: что это, как быть, это опасно? (МРТ)
- травма, кессонная болезнь,
- гемоглобинопатия,
- лучевая терапия,
- болезни соединительной ткани,
- трансплантация почки,
- высокий уровень кортикостероидов (эндогенный или экзогенный),
- панкреатит,
- подагра,
- болезнь Гоше,
- алкоголь.
Диагностика
- локализация
- медуллярно
- в метафизах
- фестончатые границы
- часто симметричные и/или множественные
Магнитно-резонансная томография
- фесточатая зона с низкой интенсивностью МР сигнала на периферии за счет грануляционной ткани и, в меньшей степени, за счет склероза сигнал от центральных отделов соответствует сигналу от костного мозга
- острый инфаркт может визуализироваться в виде плохо отрграниченной зоны повышенного МР сигнала признак двойной линии: гиперинтенсивное кольцо грануляционной ткани распологающееся внутри и окруженное гипоинтенсивным наружным кольцом склероза костной ткани отсутствие признака двойной линии не исключает инфаркт сигнал от центральных отделов соответствует сигналу от костного мозга градиентное эхо также встречается признак двойной линии отек не визуализируется на фоне магнитной воспреимчивости
Дифференциальный диагноз
- энхондрома: хондроидный матрикс, отсутствие сигнала от центральных отделов костного мозга
- заживающая неоссифицирующая фиброма
- нормальный красный костный мозг: не распространяется за пределы физеального рубца
- опухоль мозгового канала: отсутствие сигнала от центральных отделов костного мозга
Случай
МРТ картина инфаркта костного мозга
- МРТ картина гонартроза 1 степени, синовита левого коленного сустава, признаки дегенеративных изменений передней связи, инфаркта костного мозга на границе н/3, с/3 диафиза бедренной кости.
Может ли инфаркт быть от кроверазжижающих Ксарелто пила 15, от него кости заболели, перешла на эликвис, или это с ним не связано, сначала пила потому что дома все заболели короновирусом.
Случай из практики 2:
- Травматолог-ортопед поставил диагноз под "?",направил к онкологам.
Под колено припухлость, горит внутри и жгучая боль и при хотьбе и в спокойном состоянии.
П.С:по гинекологии 5мес.пила зафриллу,лечили эндометрию.. начиталась в интернете,что в процесе какбы менопаузы возникают измения в костной ткани. Врач гинеколог остановила мне их прием. Вот прошла 2ая неделя, боль чуть меньше. Скажите пожалуйста,что с костной тканью, у меня есть все мрт, и как быть дальше?!(Ответ врача:
Материалы проверил врач травматолог-ортопед: Леонтьев В.С.
Подробные врачебные рекомендации
Открыть ▽Ответ врача:
Инфаркт костного мозга от приема кроверазжижающих не может быть.
Сам по себе инфаркт костного мозга никаких угроз собой не представляет и чаще всего является случайной находкой на МРТ или КТ, в особом лечении не нуждается и последствий за собой никаких не влечет.
Очаг инфаркта в кости перерождается в кальцификат или склероз.
По МРТ описан инфаркт костного мозга большеберцовой кости.
Никаких угроз собой не представляет и чаще всего является случайной находкой на МРТ или КТ, в особом лечении не нуждается и последствий за собой никаких не влечет.
Но, требуется проведение дифференциальной диагностики с такими заболеваниями как:
- - энхондрома;
- - заживающая неоссифицирующая фиброма;
- - опухоль мозгового канала;
Поэтому травматолог все сделал правильно, в таких случаях показана консультация онколога, с целью исключения этих заболеваний.
Боли в коленном суставе, не связаны с инфарктом костного мозга, он протекает бессимптомно.
Что касается тактики, онколог исключает вышеперечисленные заболевания, и можно смело заниматься лечением сустава.
На данный момент для облегчения боли рекомендовано:
- Носить Фиксатор коленного сустава мягкого типа. Ходьба в нем сразу намного уменьшит боль.
- Медикаментозно: Принимать - противовоспалительные - Таб. Аэртал 100 мг 2р в день с Омепразолом, Мидокалм 150 мг по 1т 3р в день,
- Местно втирать - Кетопрофен гель 5% - не менее 2-х раз в день.
- Фоновая хондропротекторная терапия хондроитин сульфатом. Это Терафлекс, Артра и др.До исключения диагнозов онкологом противопоказано: физиолечение, и внутрисуставные уколы.
Диагностика инфаркта кости на снимках МРТ и КТ конечностей
Какой метод диагностики инфаркта кости выбрать: МРТ, КТ, рентген, УЗИ
Методы выбора
Рентгенологические признаки инфаркта кости
- В ранней стадии - остеопения и потеря трабекулярности костной ткани с окружающим склеротическим кольцом
- Участки склероза, образующиеся в зоне некроза кости, и формирование относительно новой костной ткани
- В поздней стадии - неравномерные участки затемнения или кальцинаты (изображение в виде морской гальки, гроздьев винограда, мишени или кольца), обычно расположенные на периферии
- Зона инфаркта кости может иметь длину до 20 см
- При инфаркте в области эпифиза языковидное или клиновидное затемнение распространяется от основания эпифиза на суставную поверхность.
Что покажут снимки КТ кости при инфаркте
- Деструкция трабекул
- Обычно является случайной находкой.
Зачем проводят сцинтиграфию при подозрении на инфаркт кости
- В ранней стадии заболевания - уменьшение накопления радионуклида в месте некроза («холодное пятно»)
- Позднее появляется также увеличение накопления радионуклида (пятно «холодное в горячем»).
Что покажут снимки МРТ кости при инфаркте
- В ранней стадии заболевания - отек (гипоинтенсивный на Т1-взвешенном изображении и гиперинтенсивный на Т2-взвешенном изображении)
- Позднее отграничение вдоль периферии пораженной кости (гипоинтенсивное на Т1 - взвешенном изображении; на Т2-взвешенном изображении - гиперинтенсивная линия по направлению к зоне некроза, соответствует грануляционной ткани)
- Гипоинтенсивная линия по направлению к здоровой кости (склероз, фиброз): признак двойной линии
- Накопление контрастного вещества периферической зоной
- При застарелых инфарктах кости интенсивность сигнала зоны некроза эквивалентна жировой ткани
- Периферическая зона типично извилистая, напоминает гирлянду.
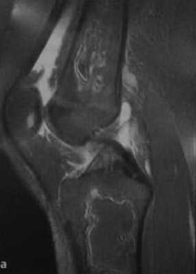
![Снимки МРТ и КТ. Инфаркт кости]()
а, b Инфаркт зрелого костного мозга. (а) Сагиттальная протонная плотно-взвешенная МРТ с подавлением МР-сигнала от жировой ткани. Изображение демонстрирует гирляндовидный склеротический край и центральный участок с сигналом жирового костного мозга. Множественные некротические зоны расположены преимущественно в метадиафизальной области, однако несколько находятся непосредственно рядом с суставом, в связи с чем имеется риск уплощения суставных поверхностей;
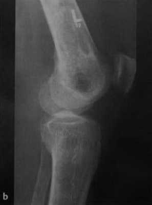
![Снимки МРТ и КТ. Инфаркт кости]()
b) Рентгенологическое исследование демонстрирует выраженный склеротический край и центральный участок снижения рентгенопрозрачности в дистальном отделе бедренной кости и в большеберцовой кости. Проксимальный отдел бедренной кости демонстрирует участок частичного грубого склероза, который иногда трудно отличить от энхондромы.
Типичные проявления инфаркта кости
- Обычно протекает бессимптомно
- Редко - нехарактерный локализованный болевой синдром.
Методы лечения
- Обычно не требует лечения
- При подсуставном инфаркте с уплощением суставных поверхностей может быть необходима реконструкция суставных поверхностей.
Течение и прогноз
- Очень редко после инфаркта кости развивается саркома.
Что хотел бы знать лечащий врач
- Размеры
- Расположение
- Проведение дифференциальной диагностики.
Какие заболевания имеют симптомы, схожие с инфарктом кости
Энхондрома
- Дольчатое изображение в виде гроздьев винограда
- Мелкие, точечные или в виде запятой участки (кальцинаты) с уменьшением интенсивности сигнала, разбросанные в центральной части поражения
Хондросаркома
- Высокодифференцированные формы сходны с энхондромой, при сомнении в диагнозе необходимо проведение биопсии
Инфекционный процесс (ранняя стадия)
- Отсутствие реакции надкостницы
- Интенсивность сигнала при МРТ сходна с отеком
- Даже свежий инфаркт нередко четко ограничен и не имеет реакции окружающих тканей
Советы и ошибки
Ошибочная интерпретация заболеваний, представленных в разделе дифференциальной диагностики, и требующих проведения лечения, таких как инфаркт кости.
Болезнь Альбека: асептический некроз костей
![МРТ при некрозе костей колена. Нормальная ширина суставной щели, суставный хрящ ещё не поврежден. Отчетливое изображение некроза внутреннего мыщелка бедренной кости. © Prof. Dr. med. Sven Ostermeier]()
МРТ при некрозе костей колена. Нормальная ширина суставной щели, суставный хрящ ещё не поврежден. Отчетливое изображение некроза внутреннего мыщелка бедренной кости. © Prof. Dr. med. Sven Ostermeier
При недостаточном кровоснабжении костей погибают отдельные костные клетки. Таким образом некроз кости (Болезнь Альбека) означает потерю костного вещества в коленном суставе. Другими словами, остеонекроз — это отмирание костных структур.
Существуют несколько разновидностей остеонекроза. Если патология появляется в колене, то у Вас Болезнь Альбека. Асептический некроз может появиться и в тазобедренном суставе. В таком случае заболевание называется асептический некроз головки бедренной кости.
У многих пациентов ослабление кости проходит без симптомов, а у некоторых приводит к сильным повреждениям коленного сустава. Женщины болеют Болезнью Альбека в три раза чаща чем мужчины. Только в отдельных случаях удается установить однозначную причину заболевания.
Терминология:
- аваскулярный остеонекроз - при нарушениях кровообращения
- асептических остеонекроз - Болезнь Альбека. Отсутствие бактериальной инфекции. Встречается у пациентов среднего возраста в области мыщелка бедренной кости.
- костный инфаркт = костный некроз, отмирание костей
- рассекающий остеохондроз - недостаточное кровоснабжение близких к суставу костных элементов. На прогрессирующей стадии кальциноз тканей.
- Болезнь Осгуд-Шлаттера - остеонекроз большеберцовой кости коленного сустава. Встречается чаща всего у молодых пациентов.
Если Болезнь Альбека протекает тяжело, то у пациента может развиться артроз коленного сустава. Специалисты Геленк Клиники по лечению заболеваний коленного сустава наблюдали разные исходы заболевания - от внезапного излечения до артроза с последующим эндопротезированием.
Кто страдает Болезнью Альбека?
В большинстве случаев причину Болезни Альбека установить невозможно. В более молодом возрасте (от 10 до 20 лет) поврежден может оказаться и суставный хрящ (Болезнь Кёнига). Однако начиная примерно с 40 лет может развиться асептический некроз кости. Возможен различный ход заболевания: от легкой потери костной ткани с незначительными травмами суставного хряща до тяжелого артроза коленного сустава.
Причинами Болезни Альбека могут быть:
- посттравматический остеонекроз - после тяжёлых аварий или силовых воздействий
- септический остеонекроз - после бактериальных инфекций в колене
- гемофилия - нарушение свёртываемости крови может привести как к артрозу так и к некрозу костей
- алкоголь - злоупотребление алкоголем приводит к инфаркту костей
- кессонная болезнь (ДКБ) - чаще у профессиональных водолазов
- бифосфонаты - выписываются для поддержки минерализации костей, напр. при лечении остеопороза. Болезнь Альбека может быть побочным эффектом.
- переломы костей
- лишний вес
- серповидно-клеточная анемия
- нарушения свёртываемости крови
- иммуносупрессивное лечение после трансплантации почек
Механизмы возникновения Болезни Альбека, а также обстоятельства, приводящие к продолжению хронических заболеваний еще не изучены в полном объеме. Поэтому еще не существует общего метода лечения - врачи могут дать только рекомендации. Успех этих методик зависит от обстановки, хода болезни и возраста пациента.
Симптомы остеонекроза (Болезнь Альбека)
- внезапная боль в колене ночью, болезненность при нагрузках
- локализация боли с внутренней или наружной стороны колена
- отечность
- ограниченный диапазон движений
Обращайте внимание на симптомы. Чем раньше диагностируют некроз костных структур в коленном суставе, тем выше успех лечения. Одним из важных сигналов Болезни Альбека является спонтанная боль в колене, причиной которой стало дорожное происшествие или спортивная травма. При более тщательном обследовании выясняется, что боль в коленях появилась по причине скопления жидкости в суставе.
Типичный ход заболевания (Болезнь Альбека)
Как протекает Болезнь Альбека?
- 1-ая стадия: на этом этапе возникают самые сильные боли, которые могут продолжаться от 6 до 8 недель. Рентген без изменений, МРТ или сцинтиграфия костей скелета могут доказать наличие некроза.
Лечение: снижение нагрузки, радиоволновая терапия, кислородная терапия - 2-ая стадия: после нескольких месяцев рентген показывает первые признаки некроза костей. Костные фрагменты пораженные некрозом осветлены.
Лечение: снижение нагрузки, болевая терапия, радиоволновая или кислородная терапия - 3-яя стадия: чёткое изображение некроза костей на рентгене. Появляются первые деформации суставного хряща.
Лечение: хирургия (разгрузочное сверление, трансплантация губчатой кости) - 4-ая стадия: начало разрушения кости, видны повреждения хряща, начинается артроз
Лечение: трансплантация костных структур и суставного хряща, эндопротезирование
Консервативное лечение Болезни Альбека
Во многих случаях врачам Геленк Клинки в Германии удается вылечить Болезнь Альбека консервативными методами. Помочь может такое лечение как радиоволновая терапия, кислородная терапия, а также снятие нагрузок с колена. Если Вы хотите, чтоб Ваши кости были здоровые, обратите внимание на своё питание и двигательную активность. При прогрессирующем некрозе костей частичное эндопротезирование может проводиться и в молодом возрасте. Если для сохранения функций сустава понадобиться хирургическое вмешательство хирурги Геленк Клиники сделают всё возможное, чтобы восстановить костные структуры.
Консервативное лечение Болезни Альбека
- приём болеутоляющих препаратов
- остановка развития воспалительного процесса
- терапия бисфосфонатами
- специальная ортопедическая обувь
- ортезы
- радиоволновая терапия
- гипербарическая оксигенация (ГБО) - лечение кислородом в барокамере
Специалисты по лечению коленного сустава Геленк Клиники выбирают из нескольких методик хирургического лечения Болезни Альбека. Для составления индивидуального плана лечения необходимо определить стадию заболевания. Почти все методики направлены на увеличение витальности и способности к регенерации некротической костной ткани.
Хирургическое лечение остеонекроза коленного сустава (Болезнь Альбека)
Хирургические методы лечения Болезни Альбека направлены на начало восстанавливающих процессов в коленном суставе, которые поспособствуют регенерации костной ткани. Согласно основному правилу, все нижеописанные суставосохраняющие вмешательства рекомендуется проводить до третьей стадии Болезни Альбека. На четвёртой стадии сложно найти живые клетки в кости, которые поддаются реактивации. На четвёртой стадии необходимо эндопротезирование.
- снятие нагрузки с колена путем коррекции оси нижних конечностей: остеотомия коленного сустава
- лечение суставного хряща: высверливание по технике Приди (микрохирургическая техника устранения дефектов хряща) и трансплантация
- декомпрессия медуллярной полости
- спонгиопластика (взятие аутотрансплантата губчатой кости)
- эндопротезирование
Диагностика остеонекроза коленного сустава
Диагностика Болезни Альбека проводится путем исключения других возможных заболеваний коленного сустава, которые связаны с похожими жалобами. Рассказ пациента о своём состоянии здоровья является главным индикатором болезни. Во время обследования врач задаёт вопросы касательно хода заболевания, а также имеющихся повреждений. Наличие дорожных происшествий так же имеет немаловажное значение для постановки диагноза.
![Диагностика заболевнаий коленного сустава.© Gelenk-Klinik / Prof. Dr. Sven Ostermeier]()
Диагностика заболевнаий коленного сустава.© Gelenk-Klinik / Prof. Dr. Sven Ostermeier
Рентген проводится в любом случае. Однако видимые изменения в суставе можно установить лишь на прогрессирующей стадии болезни. Одним из главных сигналов Болезни Альбека на рентгенограмме является склерозирование - болезненное уплотнение костной ткани, которое возникает посредством перенагрузки коленного сустава.
На ранней стадии Болезнь Альбека можно диагностировать при помощи магнитно-резонансной томографии МРТ, которая показывает характерную, болезненную отечность. Измерение плотности костей необходимо для исключения остеопороза всей костной системы человека.
По любым вопросам касательно заболеваний коленного и Болезни Альбека сустава обращайтесь в Геленк Клинику в Германии. Д-р Остермаер, д-р Марквас, д-р Ринио, а также другие специалисты нашего центра являются врачами вышей категории и смогут предложить Вам высококлассное лечение Болезни Альбека по доступным ценам.
Читайте также:




