Инфекционный кератит при герпесе у ребенка
Добавил пользователь Владимир З. Обновлено: 11.12.2025
Категории МКБ: Герпетическая болезнь глаз (B00.5+), Герпетическая инфекция неуточненная (B00.9), Герпетическая экзема (B00.0), Герпетический везикулярный дерматит (B00.1), Герпетический гингивостоматит и фаринготонзиллит (B00.2), Герпетический менингит (B00.3+) (G02.0*), Герпетический энцефалит (B00.4+) (G05.1*), Диссеминированная герпетическая болезнь (B00.7), Другие формы герпетических инфекций (B00.8), Инфекции, вызванные вирусом герпеса [herpes simplex] (B00)
Общая информация
Краткое описание
Одобрен
Объединенной комиссией по качеству медицинских услуг
Министерства здравоохранения Республики Казахстан
от «29» июня 2017 года
Протокол № 24
Герпетическая инфекция(простой герпес, herpessimplex) -антропонозная вирусная болезнь, вызываемая вирусом простого герпеса 1 и 2 типов, клинически проявляющаяся поражением многих органов и тканей, сопровождающаяся появлением группирующихся пузырьковых высыпаний на коже и слизистых оболочках. Имеет наклонность к длительному латентному течение с периодическими рецидивами.
Код(ы) МКБ-10
| МКБ-10 | |
| Код | Название |
| ВОО.О | Герпетическая экзема |
| ВОО.1 | Герпетический везикулярный дерматит |
| ВОО.2 | Герпетический гингивостоматит и фаринготонзиллит |
| ВОО.3 | Герпетический менингит (G02.0*) |
| ВОО.4 | Герпетический энцефалит (G05.1*) |
| ВОО.5 | Герпетическая болезнь глаз |
| ВОО.7 | Диссеминированная герпетическая болезнь |
| ВОО.8 | Другие формы герпетических инфекций |
| ВОО.9 | Герпетические инфекции неуточненные |
Дата разработки протокола: 2017 год.
Сокращения, используемые в протоколе:
| АД АлАТ Астр ВИЧ ВПГ | - - - - - | артериальное давление; аланинаминотрансфераза; аспартатаминотрансфераза; вирус иммунодефицита человека; вирус простого герпеса; |
| ГГГИ ГИ ЖКТ ИППП | - - - - | генитальный герпес; герпетическая инфекция; желудочно-кишечный тракт; инфекции, передающиеся половым путем; |
| ИФА ИФН КТ МРТ ОАК ОАМ ПЦР УД | - - - - - - - - | иммуноферментный анализ; интерфероны; компьютерная томография; магнитно-резонансная томография; общий анализ крови; общий анализ мочи; полимеразная цепная реакция; уровень доказательности. |
Пользователи протокола: врачи общей практики, педиатры, детские инфекционисты, детские невропатологи, детские дерматовенерологи, акушер-гинекологи, детские стоматологи, офтальмологи, детские отоларингологи, детские анестезиологи-реаниматологи.
Категории пациентов: дети.
Шкала уровня доказательности:
| А | Высококачественный мета-анализ, систематический обзор РКИ или крупное РКИ с очень низкой вероятностью (++) систематической ошибки результаты, которых могут быть распространены на соответствующую популяцию. |
| В | Высококачественный (++) систематический обзор когортных или исследований случай-контроль или высококачественное (++) когортное или исследование случай-контроль с очень низким риском систематической ошибки или РКИ с невысоким (+) риском систематической ошибки, результаты которых могут быть распространены на соответствующую популяцию. |
| С | Когортное или исследование случай-контроль или контролируемое исследование без рандомизации с невысоким риском систематической ошибки (+), результаты которых могут быть распространены на соответствующую популяцию или РКИ с очень низким или невысоким риском систематической ошибки (++ или +), результаты которых не могут быть непосредственно распространены на соответствующую популяцию. |
| D | Описание серии случаев или неконтролируемое исследование, или мнение экспертов. |
| GPP | Наилучшая фармацевтическая практика. |

Автоматизация клиники: быстро и недорого!
- Подключено 300 клиник из 4 стран
- 800 RUB / 4500 KZT / 27 BYN - 1 рабочее место в месяц

Автоматизация клиники: быстро и недорого!
- Подключено 300 клиник из 4 стран
- 1 место - 800 RUB / 4500 KZT / 27 BYN в месяц
Мне интересно! Свяжитесь со мной
Классификация
| По механизму заражения различают следующие формы ГИ: • Приобретенная: - первичная; - рецидивирующая • Врожденная (внутриутробная инфекция). | По распространенности поражений инфекционного процесса: • локализованную ГИ (при одном очаге поражения); • распространенную ГИ (при двух и более очагах поражения); • генерализованную(висцеральную, диссеминированную) ГИ. | По течению: • острое; • хроническое; • латентное. |
| Типичные формы: • поражения слизистых оболочек; • (стоматит, гингивит, фарингит и др.); • поражения кожи(герпес губ, носа, век, лица, рук и других участков кожи); • поражения глаз: офтальмогерпес (герпетический конъюктивит, блефароконъюнктивит, кератит, кератоиридоциклит, хориоретинит, увеит, периваскулит сетчатки, неврит зрительного нерва); • герпетическая экзема; • генитальный герпес(поражение полового члена, вульвы, влагалища, цервикального канала, промежности, уретры, эндометрия); • поражения ЦНС(энцефалит, менингоэнцефалит, неврит и др.); • висцеральные формы(гепатит, пневмония и др.). |
| Атипичные формы: • абортивная; • отечная; • буллезная; • геморрагическая; • язвенно-некротическая. |
| По тяжести процесса различают: • легкую, • среднетяжелую, • тяжелую формы. | Выделяют 2 стадии инфекции: • активная стадия инфекции - с клиническими проявлениями (рецидив), бессимптомно. • неактивная стадия инфекции - абортивная вирусная инфекция, реализуется генетическая информация только неструктурных (альфа-) генов без образования новых дочерних частиц вируса. |
Диагностика
МЕТОДЫ, ПОДХОДЫ И ПРОЦЕДУРЫ ДИАГНОСТИКИ И ЛЕЧЕНИЯ
Диагностические критерии [1,2]
Жалобы и анамнез: в зависимости от формы герпетической инфекции, вызванной ВПГ 1, 2 типов.
Поражения слизистых оболочек(продолжительность болезни 1-2 недели; температура тела нормализуется на 3-5 день болезни, возможны рецидивы):
наблюдается у детей любого возраста, чаще возрасте 2-3 лет:
· повышение температуры тела до 39-40С;
· озноб;
· беспокойство;
· общее недомогание;
· отказ от еды из-за резкой болезненности во рту;
· слюнотечение, запах изо рта;
у детей раннего возраста:
· снижение массы тела;
· кишечные расстройства.
Поражение кожи чаще возникает вокруг рта - herpeslabialis, носа - herpesnasalis, ушных раковин - herpesoptiсum.
Локализованная форма:
· температура тела в норме
· сгруппированные пузырьки на коже;
· чувство жжения и покалывания;
· зуд, боль и чувство растяжения
Распространенная форма (диссеминированная),чаще встречается у детей раннего возраста и продолжительностью до 2-3-х недель и более:
· температура тела 39-40 С, озноб;
· головная боль;
· общая слабость, недомогание;
· снижение аппетита;
· мышечные и суставные боли;
· на высоте интоксикации отмечаются тошнота, рвота и судороги;
· сгруппированные пузырьки на различных участках кожи (на лице, руках, туловище);
Поражение глаз (офтальмогерпес) течение доброкачественное:
· боль, зуд в глазах;
· светобоязнь из-за усиления болей;
· снижение остроты зрения;
· покраснение глаз, слезотечение.
Генитальный герпес (herpesgenitalis) встречается у девочек подростков и юношей при заражении половым путем:
· сильные болевые ощущения;
· зуд, жжение и покалывание, саднениев пораженных участках;
Поражение нервной системы (энцефалит, менингоэнцефалит, неврит и др.):
· лихорадка;
· озноб;
· недомогание;
· упорная головная боль;
· рвота.
Генерализованная форма (герпетическая экзема, вакциноформныйпустулез, осповидные высыпания Капоши, герпетиформная экзема), чаще встречается у больных экземой, нейродермитом и др. дерматозами, иммунодефицитом. Болезнь бывает длительной, возможны повторные высыпания в течение 2-3-х недель, а в тяжелых случаях вовлечение нервной системы, висцеральных органов и зрения, вследствие чего может наступить летальный исход.
· температура тела 39-40 С;
· выраженная вялость, беспокойство, сонливость;
· возможны судороги с кратковременной потерей сознания;
· рвота;
· сгруппированные пузырьки на обширных участках кожи, особенно в местах, пораженных экземой, нейродермитом и др.
Простой герпес у новорожденных. Инфицирование происходитот материво время прохождения через родовые пути или сразу после рождения. Заболевание возникает на 5-10 день жизни ребенка. Первично поражается слизистая оболочка полости рта, затем появляются герпетические высыпания на коже, но нередко инфекция становится генерализованной с поражением многих органов (легкие, печень, ЦНС, глаза и др.).
· герпетические высыпания на слизистых оболочках полости рта и на коже;
· лихорадка (до 39-40 С);
· рвота;
· беспокойство;
· судороги, потеря сознания;
· жидкий стул.
Анамнез:
· острое начало;
· волнообразное течение при рецидивирующей форме;
· рецидивы часто возникают в холодное время года, после перенесенных ОРЗ, вирусно-бактериальных заболеваний, обострения хронических болезней.
Эпидемиологический анамнез:
· контакт с больным с диагнозом «Простой герпес»;
· переохлаждение;
· высокая заболеваемость вирусными заболеваниями.
Физикальное обследование:
При поражении слизистых:
· отечность и яркая гиперемия слизистой оболочки полости рта;
· герпетические высыпания в виде пузырьков, диаметром 2-10 мм, сначала с прозрачным, затем желтоватым содержимым на слизистой оболочке щек, десен, языка, внутренней поверхности губ, на мягком и твердом небе, небных дужках и миндалинах, которые позже вскрываются, образуя эрозии;
· стоматит;
· гингивит;
· фарингит;
· увеличение регионарных лимфатических узлов, болезненность при пальпации.
При поражении кожи:
· на месте внедрения вируса, сгруппированные пузырьки диаметром 0,1-0,3 см на фоне эритемы и отечности;
· пузырьки, окруженные зоной гиперемии, заполненные прозрачной жидкостью, склонные помутнению (иногда жидкость носит геморрагический характер из-за примеси крови)
· на месте вскрытых пузырьков остаются поверхностные эрозии, затем буровато-желтоватая корочка;
· на месте отпавших корочек остается небольшое покраснение кожи или легкая пигментация.
При распространении процесса:
· герпетические высыпания сливаются и образуют массивные корки;
· увеличение регионарных лимфатических узлов (к месту наибольшего поражения);
· офтальмогерпес (конъюнктивит, кератит, иридоциклит и др.; у новорожденных возможны катаракта, хориоретинит и увеит);
· генитальный герпес (везикулезные и эрозивно-язвенные высыпания, возникающие на эритематозно-отечной коже и слизистой оболочке гениталий (внутренний листок крайней плоти, кожа мошонки у мальчиков, у девочек высыпания на малых и больших половых губах, промежности, на внутренней поверхности бедер, реже на слизистой оболочке влагалища, клиторе и анусе);
· герпетические поражения нервной системы (менингит, энцефалит, менингоэнцефалит, неврит и т.д.);
· генерализованный простой герпес (пневмония, гепатит, сепсис; чаще встречается у новорожденных, но может быть и у детей старшего возраста.). Герпетическая пневмония и герпетический очаговый нефрит клинически не отличаются от поражений легких и почек другой этиологии.
Лабораторные исследования[1,2,4]:
Специфическая лабораторная диагностика:
· ПЦР крови-обнаружение ДНК ВПГ 1, 2 типов в крови, ликворе и других биологических материалах является лабораторным маркером активности инфекционного процесса.
Серологический метод диагностики (ИФА):
- определение Anti-HSV-IgMк ВПГ-1, 2 - острая инфекция, реактивация вируса;
- определениеAnti-HSV-IgGк ВПГ-1, 2- маркер инфицированности организма вирусом простого герпеса. Он выявляется на 3-4 неделе и достигает максимума на 6-8 неделе. В первые 3 месяца определяется низкоавидныеIgG(индекс авидности менее 30%), в дальнейшем синтезируются высокоавидные антитела.При рецидиве IgMопределяются в низком титре или отсутствуют, а титр IgGповышается на 2 неделе.
Лабораторный критерийактивности ВПГ- определение антител классаIgM, низкоавидныхIgGи повышение титраIgGв 4 раза и более.
При латентной формеобнаруживаютстабильно низкие титры высокоавидныхIgG.
У новорожденных и грудных детей в период до 18 месяцев в крови присутствует пассивно приобретенный IgG материнского происхождения, поэтому интерпретация результатов исследования IgG и их авидности затруднительна, целесообразно использование ПЦР.
Инструментальные исследования: нет
Дополнительные исследования:
· ОАК - лейкопения, нейтропения, лимфоцитоз, моноцитоз;
· биохимический анализ крови - при герпетических гепатитах, повышение содержания общего билирубина за счет прямой фракции и АлАТ;
· биохимический анализ ликвора- при менингите и энцефалите, повышение белка, лимфоцитарныйцитоз.
· рентгенография органов грудной клетки - признаки пневмонии (при поражении органов дыхания);
· МРТ головного мозга -при энцефалите;
Показания для консультации специалистов:
· консультация офтальмолога - при офтальмогерпесе;
· консультация невролога - при поражении ЦНС (менингоэнцефалит, энцефалит);
· консультация акушер-гинеколога - при генитальном герпесе у девочек подростков;
· консультация уролога - при генитальном герпесе у юношей;
· консультация анестезиолога-реаниматолога - при развитии неотложных состояний;
· консультация других узких специалистов - по показаниям.

Диагностический алгоритм:
Кератит у детей
Кератит у детей — это воспалительный процесс в роговой оболочке глаза. Заболевание возникает при заражении вирусными, бактериальными и грибковыми возбудителями, глазных травмах, системных аллергических реакциях. Основные признаки болезни: покраснение, боли и ощущение постороннего предмета, светобоязнь и слезотечение. Для диагностики назначают флюоресцеиновую пробу, биомикроскопию, кератопахиметрию, а также посев биоматериала для верификации возбудителя. Лечение подбирают с учетом этиологии кератита. В терапии используются местные средства (капли, мази, гели) и системные препараты, при необходимости проводят хирургическую коррекцию.
МКБ-10
Общие сведения
Кератиты встречаются нечасто и составляют около 5% от всех воспалительных глазных болезней у детей, значительно уступая конъюнктивитам, на долю которых приходится 65-70%. Патология диагностируется среди детей всех возрастных групп. Мальчики болеют чаще девочек. Заболевание представляет большую опасность для остроты зрения, поскольку при наличии рубцовых процессов около 50% больных сталкиваются со стойким снижением зрительной функции.
Причины
До 70% кератитов у детей начинаются на фоне герпетической инфекции, вызванной Herpes simplex, Herpes Zoster или цитомегаловирусом (вирус герпеса 5 типа). Болезнь чаще встречается при снижении иммунитета: при переохлаждении, затяжных соматических патологиях, авитаминозах. В педиатрии этиологическим фактором также выступают аденовирусы и вирус кори. К более редким причинам кератитов у детей относят:
- Бактериальные инфекции. Гнойные воспаления возникают при инфицировании глаза неспецифическими микроорганизмами: стафилококками, пневмококками, синегнойной палочкой. К специфическим возбудителям бактериальных кератитов относят палочку Коха, бледную трепонему, дифтерийную палочку.
- Грибковые инфекции.Кератомикоз — тяжело протекающий вариант заболевания, который обычно заканчивается необратимым снижением зрения. В основном он развивается при кандидозной инфекции, реже у детей возбудителями становятся аспергиллы, аскомицеты.
- Травмы роговицы. Микроповреждения эпителия обусловлены попаданием в глаз инородных тел с острыми краями, неумелым надеванием и сниманием контактных линз. Ситуация усугубляется в случае присоединения вторичной бактериальной флоры.
- Ношение контактных линз. У подростков, которые пользуются этим видом коррекции зрения и зачастую пренебрегают правилами ухода за линзами, на роговице начинает активно размножаться акантамеба. Она разрушает ткани наружной оболочки глаза, вызывая кольцевидные инфильтраты.
- Аллергии. У детей кератиты формируются как проявление острой аллергической реакции на действие экзогенных (продукты питания, шерсть животных, пыльца растений) и эндогенных триггеров (гельминтозы, бактериальные токсины).
Патогенез
На начальном этапе кератита в роговице образуется инфильтрат — скопление клеток лейкоцитарного ряда, которые проникают из краевых сосудов. Происходит помутнение наружной глазной оболочки и ее отечность. В этой зоне расположено большое число нервных окончаний, которые раздражаются воспалительным очагом, вследствие чего развивается типичный роговичный синдром.
Если инфильтрат захватывает только верхний эпителиальный слой, лечение быстро устраняет явления инфильтрации, и помутнение исчезает бесследно. В остальных случаях заболевание переходит в следующую стадию — распад инфильтрата, изъязвление и некроз роговичных тканей. На этом этапе присоединяется вторичная инфекция. В дальнейшем язвы рубцуются с образованием помутнения или плотного непроницаемого бельма.
По локализации воспаления кератиты у детей делятся на поверхностные — поражение наружного эпителиального слоя, и внутренние — патология в роговичной строме при интактном эпителии. По течению выделяют 4 варианта: острый, подострый, хронический и рецидивирующий. В детской офтальмологии широко применяется клиническая классификация, согласно которой выделяют 3 группы кератитов:
- Экзогенные. Сюда относят роговичные воспаления в результате травмы глаза, заболеваний конъюнктивы, век или мейбомиевых желез. Также в эту категорию входят инфекционные кератиты — бактериальные, вирусные и грибковые.
- Эндогенные. Основные представители — специфические инфекционные (герпетические, туберкулезные) и аллергические кератиты. Реже в педиатрической практике встречаются нейропаралитические и авитаминозные формы поражения.
- Невыясненной этиологии. Такие кератиты отличаются отсутствием явных причин воспаления, однако с совершенствованием офтальмологических методов обследования этот диагноз ставят редко.
Симптомы кератита у детей
Клинически патология проявляется классическим роговичным синдромом. Ребенок жалуется на слезотечение, непроизвольное смыкание век (блефароспазм), болезненность в пораженном глазу и светобоязнь. Как правило, беспокоят чувство инородного тела, жжение и зуд, поэтому пациент постоянно трет глаза рукой. Кератиты характеризуются покраснением глаз, вызванным перикорнеальной инъекцией.
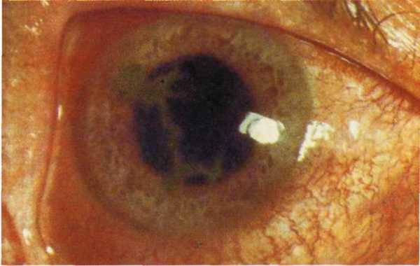
При осмотре родители могут заметить очертания инфильтрата в роговице, который выглядит как мутное пятно с нечеткими границами, закрывающее зрачок и радужку. Он может быть точечным (несколько миллиметров в диаметре) или крупным, занимающим всю роговицу. При гнойных процессах инфильтрат имеет желтый оттенок, при вирусных инфекциях вследствие скопления лимфоцитов он становится серым.
Осложнения
Экзогенные кератиты зачастую сопровождаются конъюнктивитами. Клиническая картина дополняется сильным покраснением конъюнктивы глаз, водянистыми или гнойными выделениями. На конъюнктивальной поверхности век могут быть мелкие пузырьки с прозрачным или мутным содержимым. Кератоконъюнктивиты осложняются склеритами, увеитами, иридоциклитами. Если лечение запоздалое или неправильное, у детей возникает панофтальмит, который чреват развитием слепоты.
Опасным осложнением являются роговичные язвы, при которых в толще оболочки происходят деструктивные процессы. У ребенка в глазном яблоке образуется дефект эпителия с мутным серым дном, которое покрыто экссудатом. Язвам часто сопутствует гипопион — скопление гноя в передней камере. Заживление язвенного дефекта происходит с формированием рубца (бельма), которое резко снижает остроту зрения.
В ходе осмотра детский офтальмолог без труда выявляет симптомы кератита, поскольку роговица составляет наружный слой глазного яблока и легко доступна к осмотру без специальных приборов. По клиническим симптомам устанавливается предварительный диагноз, после чего ребенку назначают полное обследование для уточнения этиологии процесса. В стандартный план диагностики включаются следующие методы:
- Флюоресцеиновая проба. Быстрый тест проводится для оценки степени поражения роговицы. Врач закапывает раствор флюоресцеина и тщательно осматривает глазную поверхность — зеленые окрашенные участки указывают, что в этом месте эпителий был разрушен.
- Биомикроскопия глаза. С помощью этого метода офтальмолог осматривает все отделы глазного яблока, определяет особенности инфильтрата, изучает состояние передней камеры, хрусталика и стекловидного тела. Для точной оценки глубины и распространенности процесса производится эндотелиальная микроскопия роговицы.
- Кератопахиметрия. На начальной стадии кератита ультразвуковое измерение роговицы показывает ее локальное или диффузное утолщение, что подтверждает воспалительный отек. Язвенные дефекты характеризуются истончением оболочки менее 450 мкм. Сохранность корнеального рефлекса оценивают методом эстезиометрии.
- Бакпосев мазка. Для установления типа возбудителя берут мазок с конъюнктивы или материал с поверхности роговичных язв. Биоматериал высевают на питательную среду для выделения колоний микроорганизмов, а как экспресс-метод используется микроскопия окрашенных мазков. По показаниям применяют ПЦР, ИФА и другие современные лабораторные анализы.
Лечение кератита у детей
Консервативная терапия
Лечение поверхностных форм проводится амбулаторно, а дети с глубокими и осложненными вариантами кератита получают терапию в офтальмологических стационарах. В остром периоде рекомендовано прекращение любой зрительной нагрузки, под запрет также попадает ношение контактных линз. Ребенку назначается этиотропная терапия, которая зависит от разновидности заболевания:
- Бактериальные кератиты. Используют глазные капли, содержащие антибиотики. При распространенном процессе показаны системные таблетированные или парентеральные формы. В некоторых случаях целесообразно парабульбарное и субконъюнктивальное введение лекарств.
- Вирусные кератиты, вызванные герпесвирусами, успешно лечатся при помощи местных препаратов ацикловира. Если кератит спровоцирован другими вирусами, рекомендованы медикаменты на основе интерферона, неспецифические иммуномодуляторы.
- Грибковые кератиты. Местное лечение включает инстилляции растворов антимикотиков в конъюнктивальный мешок. Для системной терапии подбирают противогрибковые средства в возрастных дозировках на протяжении 5-7 суток.
- Аллергические кератиты. Для их купирования применяются глазные мази и капли с кортикостероидными гормонами. Также показаны системные антигистаминные препараты, которые обладают десенсибилизирующим действием и влияют на патогенетические механизмы воспалительного процесса.
Независимо от причины патологии, необходимо назначить растворы мидриатиков для профилактики вторичной глаукомы, которая может стать следствием процессов рубцевания. Для ускорения эпителизации дефектов роговичной поверхности эффективны препараты с таурином, кератопротекторы в каплях и гелях. Чтобы ускорить рассасывание инфильтрата, используются фонофорез и электрофорез с гиалуронидазой.
Хирургическое лечение
При неэффективности медикаментозной терапии рекомендованы лазерные методы: фототерапевтическая кератэктомия, роговичный коллагеновый кросслинкинг. Лечение устраняет роговичный синдром, способствует восстановлению эпителиального слоя в области дефекта и резорбции инфильтрата. При формировании плотных рубцов показана кератопластика, а при осложнении кератита панофтальмитом может потребоваться энуклеация глазного яблока.
Прогноз и профилактика
При поверхностных кератитах отмечается полное рассасывание воспалительных очагов и восстановление зрения. Прогноз глубоких форм менее благоприятен, поскольку заживление инфильтратов проходит стадию рубцевания и вызывает снижение остроты зрения различной степени. Для контроля состояния роговицы и зрительной функции ребенку рекомендуют наблюдение у детского офтальмолога в течение полугода и дольше.
Профилактика кератитов включает своевременное лечение конъюнктивитов и других заболеваний глазного яблока, повышение иммунного статуса. Ребенка нужно обучить правилам гигиены, объяснить, что нельзя касаться глаз грязными руками. Подросткам, пользующимся линзами, врач должен подробно рассказать правила ухода за ними, особенно если предполагаются 1-3-6-месячные варианты плановой замены.
3. Лечение травматического кератита у детей/ Н.С. Джамбинова, М.Р. Гусева, Л.В. Ганковская// II Российский конгресс с международным участием «Пролиферативный синдром в биологии и медицине». — 2016.
Вирусный кератит
Вирусный кератит - воспалительное поражение роговицы глаза, вызванное вирусной инфекцией. Вирусный кератит проявляется пузырьковыми высыпаниями, отеком и покраснением глаза, роговичным синдромом, изъязвлением и помутнением роговицы, снижением зрения, невралгическими болями. С целью диагностики вирусного кератита проводят биомикроскопию, конфокальную и эндотелиальную микроскопию, пахиметрию и кератометрию, проверку остроты зрения, определение чувствительности роговицы, культуральное, ПЦР, ИФА исследования. Для лечения вирусного кератита назначают противовирусные, иммуномодулирующие, антибактериальные средства, анальгетики, НПВС, антиоксиданты, витамины, физиотерапию; при необходимости выполняют соскабливание пораженного эпителия или кератопластику.
Вирусный кератит является одним из проявлений общей вирусной инфекции; чаще поражает детей и людей молодого возраста. Воспалительный процесс при вирусном кератите может быть поверхностным (затрагивать только эпителий и верхние слои стромы) или глубоким (захватывать всю строму). Вирусный кератит сопровождается уменьшением прозрачности роговицы и понижением остроты зрения, может осложняться развитием некроза роговицы, абсцессов и изъязвлений.
Причиной вирусного кератита является заражение аденовирусной, герпетической инфекцией, вирусами ветряной оспы, кори, эпидемического паротита. Развитию вирусного кератита может способствовать отсутствие своевременной терапии аденовирусного конъюнктивита.
Предрасполагающими факторами возникновения вирусного кератита являются повышение проницаемости или нарушение целостности роговицы глаза, ослабление общего и местного иммунитета, частые эмоциональные стрессы, переохлаждение организма.
Герпетический кератит может быть спровоцирован другими ОРВИ и гриппом, способствующими снижению иммунной защиты и активации возбудителя латентной инфекции.
Воспаление роговой оболочки глаза чаще развивается и тяжелее протекает при ее поражении вирусами простого (ВПГ) и опоясывающего герпеса, относящимися к фильтрующим нейродермотропным вирусам.
Выделяют несколько видов вирусного кератита герпетической природы: первичный (первичное инфицирование) и постпервичный (активация латентного вируса). Герпетическая инфекция длительный период может находиться в неактивном состоянии, ее резервуаром является эпителий конъюнктивы и ганглий тройничного нерва.
По вариантам клинического течения в офтальмологии различают вирусный кератит точечный, везикулезный, древовидный, метагерпетический, дисковидный и диффузный кератоувеит.
Симптомы вирусного кератита
Для вирусного кератита характерно длительное течение заболевания с частыми рецидивами; наличие пузырьковых высыпаний, инфильтратов неправильной или древовидной формы; снижение чувствительности роговицы; сопутствующая невралгия тройничного нерва.
Первичный герпесвирусный кератит проявляется остро; протекает с высыпаниями на губах, слизистых, крыльях носа, веках. При этом отмечаются светобоязнь, слезотечение, покраснение глаз, болевые ощущения, отек и помутнение роговицы, развитие вторичной инфекции, лимфаденопатия. При вскрытии пузырьков развиваются эрозии и язвочки.
Послепервичный герпесвирусный кератит наблюдается у детей, ранее переболевших ветряной оспой, и у взрослых на фоне ослабления иммунитета. Течение заболевания - подострое, продолжительность - 2-3 недели. Выделения из глаза - незначительные, серозно-слизистые, роговичный синдром слабо выраженный. С каждым последующим обострением вирусного кератита продолжительность заболевания увеличивается, развивается более глубокое поражение роговицы и более резкое снижение зрения.
Точечный вирусный кератит протекает без выраженной клиники, характеризуется точечными помутнениями роговицы. При везикулезном вирусном кератите на роговице наблюдаются мелкие, полупрозрачные пузырьки, которые довольно быстро лопаются с образованием язвочек.
При древовидном вирусном кератите наблюдаются мелкие инфильтраты в эпителии и передних слоях стромы; на месте изъязвленных и слившихся вместе герпетических пузырьков отмечаются характерные серые линии в виде ветвей дерева, идущие по ходу поверхностных роговичных нервов. Древовидный кератит протекает вяло, но упорно, обычно сопровождается развитием поверхностной язвы размером 1-1,5 мм и невралгическими болями.
Метагерпетический кератит характеризуется длительным течением с тяжелым поражением стромы роговицы, выраженным роговичным синдромом, образованием глубоких воспалительных инфильтратов и массивных эрозий. Роговица разбухает и приобретает серо-мутный оттенок; после затухания остроты процесса на ней остается грубое помутнение, значительно нарушающее зрение, возможна перфорация. Метагерпетический вирусный кератит сочетается с передним увеитом (иридоциклитом), отеком сетчатки.
Для дисковидного вирусного кератита типично образование в центральной зоне роговицы серовато-белого очага в виде диска, сопровождающееся выраженным отеком и воспалением роговицы, конъюнктивы и век, повышением внутриглазного давления, значительным снижением чувствительности роговицы. Дисковидный кератит может продолжаться от нескольких месяцев до года, его исход - глубокое помутнение роговицы и резкое понижение остроты зрения.
Нейрогенный кератит возникает при поражении первой ветви тройничного нерва и обычно сопровождается герпетическими высыпаниями и сильными невралгическими болями по ходу его разветвления, иногда - склеритом, невритом зрительного нерва или параличом глазных мышц, развитием вторичной глаукомы.
Диагностика вирусного кератита основывается на изучении симптомов и особенностей течения заболевания, его связи с перенесенной вирусной инфекцией; данных наружного осмотра, визометрии, лабораторных и инструментальных исследований.
Оценить состояние роговицы помогает проведение биомикроскопии глаза, конфокальной и эндотелиальной микроскопии роговицы, пахиметрии и кератометрии, определение чувствительности роговицы. Для обнаружения эрозий и язв роговицы выполняется флюоресцеиновая инстилляционная проба.
Выявление и идентификация возбудителя вирусного кератита проводится при помощи культурального исследования, ПЦР мазка с конъюнктивы и роговицы. Титр вирусоспецифических антител в сыворотке крови определяют методом ИФА. Вирусный кератит дифференцируют с другими видами кератита: грибковым и бактериальным кератитом.
Лечение вирусного кератита
Лечение вирусного кератита проводится комплексно; терапия направлена на подавление вирусной инфекции, стимуляцию местного и общего иммунитета, регенеративного потенциала роговицы.
В рамках этиотропной терапии вирусного кератита назначают инсталляции противовирусных препаратов (интерферона, ацикловира, дезоксирибонуклеазы) и индукторов интерферона, закладывание теброфеновой, бонафторовой и оксалиновой мазей. При тяжелом вирусном кератите также показан пероральный прием больших доз противовирусных средств (ацикловира). Для коррекции иммунного статуса применяются левамизол, экстракты вилочковой железы, внутримышечные инъекции неспецифического гамма-глобулина.
С целью профилактики вторичной инфекции при вирусном кератите местно могут быть назначены растворы антисептиков (сульфацетамид), антибактериальные мази (тетрациклиновая или эритромициновая).
В курсе лечения вирусного кератита используют обезболивающие (новокаин, анальгин), антигистаминные препараты (хлоропирамин, дифенгидрамин), НПВС (фенилбутазон, индометацин), ингибиторы ферментов протеолиза (апротинин), мидриатики (атропин, циклопентолат), антиоксиданты (витамин E, метилэтилпиридинол), витамины (A, С, PP, группы B).
При герпетических язвах проводят криоаппликацию, лазерную коагуляцию; для улучшения кровоснабжения и трофики роговицы - диатермию, диадинамические токи, лекарственный электрофорез, стимуляцию регенерации гелий-неоновым лазером. Кортикостероиды при вирусном кератите могут применяться только в очень малых дозах в виде капель при полной эпителизации роговицы в регрессивном периоде заболевания.
В случае отсутствия результатов медикаментозного лечения вирусного кератита и прогрессирования изъязвления роговицы показано хирургическое вмешательство: при поверхностных формах - соскабливание пораженного эпителия, при глубоких формах - послойная или сквозная кератопластика с последующей реабилитационной и противорецидивной терапией.
При частых обострениях вирусного кератита (офтальмогерпеса) необходима вакцинация противогерпетической вакциной.
Глубокие вирусные кератиты, протекающие с изъязвлением роговицы, приводят к стойкому интенсивному помутнению роговой оболочки глаза, резко снижающему остроту зрения.
Профилактика вирусных кератитов требует предупреждения первичного инфицирования и рецидивов инфекционных заболеваний с помощью вакцинации, «терапии по сигналу». Необходимо остерегаться микротравм роговицы, стрессовых ситуаций, переохлаждения и других факторов, способствующих обострению «дремлющей» инфекции.
Герпетический кератит

02.08.2018
Содержание:
Герпетический кератит - заболевание, развивающееся в том случае, если на роговицу глаза попадает вирус герпеса. Чаще всего заболевание поражает маленьких детей, чей возраст еще не перешел отметку в 5 лет, но может встречаться и у взрослых пациентов. Лечение взрослых обычно затруднено тем, что у них развитие недуга связано с наличием других болезней.
Чтобы избежать осложнений, необходимо знать симптомы и причины патологии, а также представлять себе, как проходит лечение!
Виды болезни
Герпетический кератит глаза - недуг, у которого офтальмологи выделяют несколько разновидностей. В первую очередь разделение происходит на первичную и послепервичную патологию.
Первичное заболевание характерно для детей. Оно провоцируется незрелостью иммунитета, а поражает не только глаза, но и все тело в целом.

Помимо деления на первичную и послепервичную форму офтальмологи используют еще одну классификацию. В соответствии с ней выделяют:
- древовидную форму, поражающую поверхностные слои, характеризующуюся образованием мелких пузырьков, которые после разрывов оставляют структуру, напоминающую дерево;
- дисковидный вариант, для которого характерно поражение глубоких слоев роговицы, сопровождающееся резким снижением зрения;
- метагерпетическая форма также сопровождается глубокими повреждениями стромы глаза, язвочки структурой похожи на реку;
- диффузный вариант напоминает дисковидный, но очаг поражения не обладает четко очерченными границами;
- кератоиридоциклит - разновидность, провоцирующая появление сильных болей из-за вовлечения в патологический процесс тройничного нерва.
Причины возникновения болезни
Основной фактор развития болезни - это наличие в организме вируса простого герпеса первого типа (ВПГ-1). Примерно в 70% случаях патоген поражает поверхностные слои глаза, 20% поражения приходится на компоненты стромы. Еще около 10% - это смешанная форма.
У взрослых отклонение также диагностируется, но реже. Большую опасность для пациентов старшего возраста представляет вирус простого герпеса второго типа (ВПГ-2). Течение болезни в этом случае более продолжительное, строма поражается чаще с необратимыми изменениями.

ВПГ присутствует в организме у значительного числа людей. Однако кератиты развиваются далеко не у всех. Способствуют активизации вируса в крови следующие факторы, снижающие иммунную защиту организма:
- частые стрессовые воздействия;
- переохлаждение или, напротив, перегрев организма;
- активное облучение ультрафиолетовым светом;
- заболевания эндокринной системы;
- инфекции иного происхождения, оттягивающие на себя силы иммунитета.
Установление причины активизации вируса - важный шаг в борьбе с герпетическим кератитом. Если понять, какой из факторов привел к снижению иммунитета, и устранить его, излечение произойдет быстрее.
Симптомы и развитие болезни
Кератит герпетического происхождения развивается постепенно. Сначала у пациента определяется бактериальная инфекция в легкой форме. Человек не обращается к врачу, так как может не обращать внимания на такие симптомы, как покраснение глаз без причины и слезотечение. По мере прогрессирования признаков появляются светочувствительность, отечность роговицы. Зрение снижается.
Первым признаком герпетического кератита является появление небольших пузырьков на роговицы. Со временем они лопаются, на их месте образуются язвочки. Зрение ухудшается. Если поражен один глаз, то только на нем. Если вовлечены оба органа, то с обеих сторон.
Люди нередко пытаются лечиться собственными силами, используя антибактериальные капли. Однако такое лечение не имеет эффекта, так как вирус не поддается воздействию антибактериальных средств. Симптомы быстро прогрессируют.
Первые эпизоды заболевания могут переноситься сравнительно легко. Связано это с тем, что болезнь не поражает глубокие слои роговой оболочки сразу. Однако при каждом следующем рецидиве состояние больного прогрессивно ухудшается.
Особенности диагностики
Герпетический кератит - заболевание, которое требует внимательной диагностики. Доктор может заподозрить недуг, ориентируясь на клиническую картину, однако перед началом лечения необходимо получить лабораторное подтверждение диагноза. Для этого:
- при подозрении на первичное заражение делают внутрикожную пробу с вакциной от ВПГ;
- выполняют соскоб и оценку клеток эпителия с роговой оболочки;
- делают анализ слезной жидкости;
- выполняют в кабинете офтальмолога измерение внутриглазного давления, используя для этого специальный прибор;
- при первичной форме проводят серологические тесты, показывающие титр антител к вирусным частицам;
- выполняют ПЦР - исследование, с помощью которого появляется возможность определить в биоматериале ДНК герпесного вируса, понять, какой штамм возбудителя спровоцировал заболевание.
Важным этапом диагностики считается определение того, насколько поражена роговица. Для этого пациенту в глаза закапывают специальное вещество, способное к безвредному временному окрашиванию элемента. В зависимости от степени прокрашивания разных участков делают выводы о том, насколько активна болезнь.
Консервативная терапия
Если развился герпетический кератит, лечение рекомендуется начинать как можно раньше. Терапия довольно сложная и долгая, так как вирус обладает способностью легко адаптироваться к противовирусным средствам. Задача осложняется еще и тем, что медикаменты часто имеют весомые противопоказания и ограничения для применения, что затрудняет их использование.
Лечение рекомендуется проводить в условиях стационара. Первый шаг - попытка использовать консервативные подходы, направленные на подавление инфекции.
Медикаменты

Лекарства, направленные на борьбу с вирусом герпеса, адаптированы под использование для обработки глаз. Правда, эти препараты не могут полностью уничтожить инфекцию в организме, а лишь значительно снижают ее выраженность, вводят вирус в спящее состояние.
Применяют медикаменты в виде капель или масел. Это могут быть, например, Валацикловир или Ацикловир. На этом патогенетическая терапия заканчивается. Остальное лечение имеет чисто симптоматический характер.
Для уменьшения боли рекомендуют проводить обработку глаз с помощью Лидокаина. Препарат блокирует передачу импульсов, облегчая выраженность неприятных симптомов.
В качестве дополнительного лечения может быть рекомендована иммуностимулирующая терапия. Используются препараты на основе интерферона, способствующие выработке антител, уничтожению вирусных частиц.
Может назначаться Изопринозин - препарат, обладающий двойным воздействием. Он не только стимулирует иммунную систему, но и оказывает противовирусное действие в отношении герпеса. Изопринозин, в отличие от прочих лекарственных средств, выпускается только в таблетированной форме, а потому при использовании системно воздействует на организм пациента.
Электрофорез
Применение электрофореза носит в терапии герпетического кератита вспомогательный характер. Суть процедуры проста. На пораженную роговицу накладывается специальный тампон, пропитанный интерфероном. Время наложения в среднем составляет 5 минут. Под воздействием электрофореза препарат активнее усваивается клетками тела, лучше воздействует на организм.
Процедуру рекомендуется повторять до тех пор, пока на очагах поражения не сформируется свежий эпителиальный слой. После курса процедур удается избавиться от чувства раздражения роговицы, которое доставляет множество неудобств.
После курса процедур на месте очага воспаления разовьется небольшое помутнение. Как показывает практика, оно никак не влияет на зрение пациента.
Врачи заостряют внимание пациентов на том, что лечить кератит, вызванный вирусом герпеса, используя народные средства, категорически запрещено.
Неправильное лечение приведет к прогрессированию болезни, а та, в свою очередь, может стать причиной значительного снижения или утраты зрения. Народные средства не оказывают влияния на патогенный микроорганизм, помогая справляться только с симптомами. Для того, чтобы победить недуг, этого катастрофически недостаточно!
Оперативные вмешательства

Консервативная терапия - основа лечения герпесного кератита, но эффективна она не всегда. В ряде случаев заболевание, несмотря на используемые лекарства, продолжает прогрессировать, зрение стремительно ухудшается. Тогда рекомендовано выполнение операции. Используют две методики.
Соскабливание
Методика самая простая и распространенная. С помощью специального приспособления доктор аккуратно счищает эпителий, пораженный болезнью. Очищенные зоны обрабатываются с помощью раствора антисептика. Затем наблюдают за их заживлением.
Кератопластика
Сложная операция, которая является крайней мерой. Выполняется, если консервативная терапия с соскабливанием не возымели должного эффекта. В ходе операции удаляется пораженный участок роговицы, а на его место аккуратно подшивается донорская часть органа.
Перед кератопластикой больному необходимо пройти обследования, как перед полноценной хирургической операцией. Манипуляция выполняется только после того, как прошло обострение герпесного кератита. В период обострения вмешательство не делается, так как возможно поражение донорских тканей, их отторжение.
Оперативное решение проблемы - крайний вариант.
Применяется оно в том случае, если пациент запустил свое заболевание, и надежды скорректировать ситуацию с помощью консервативных методик нет.
Методы профилактики
Прогноз недуга во многом зависит от того, как быстро он был диагностирован, и как тщательно больной соблюдает рекомендации по лечению, полученные от офтальмолога. Ранние стадии кератита излечиваются с хорошим эффектом, вероятность их рецидива минимальна. Тяжелые формы требуют постоянного врачебного контроля, оперативной коррекции для сохранения способности видеть.
Гораздо проще, как отмечают офтальмологи, не лечить уже сформировавшуюся патологию, а избежать ее. Для этого рекомендуется соблюдать простые профилактические меры, не позволяющие инфекции активизироваться или попасть в организм. Среди них:
- избегание ситуаций, в которых есть вероятность получить травму глаза;
- использование специальных защитных очков, если работа человека связана с ремонтом, строительством, сваркой;
- тщательное соблюдение правил гигиены при использовании контактных линз, отказ от ношения чужих линз, которые могут быть инфицированы вирусом герпеса;
- соблюдение мер предосторожности при работе с веществами, способными оставить на роговице ожог;
- закалка организма, способствующая повышению иммунитета, не допускающая активизации патогена в организме;
- защита себя от перегреваний, переохлаждений, инфекций и других неприятных патологий, которые могут спровоцировать обострение герпеса.
Существует также вакцина, помогающая бороться с возбудителем инфекции. Вводить ее рекомендуется в период ранней осени, перед началом сильных холодов. Именно период холодов часто вызывает обострения. Перед вакцинацией пациенту рекомендуется пропить курс противовирусных средств.
Герпетический кератит - недуг, развивающийся медленно, но неуклонно. Если игнорировать его в течение длительного времени, можно столкнуться с весомыми неудобствами, а иногда даже потерять зрение частично или полностью. Своевременное обращение к доктору при появлении первых подозрительных симптомов поможет защититься от осложнений. Главное - выполнять рекомендации офтальмолога по лечению после того, как инфекция будет точно диагностирована!
Герпетический кератит: причины, симптомы, лечение
Более 50% случаев воспалений роговицы составляют герпесвирусные заболевания. Роговица — самая выпуклая часть глазной оболочки, которая преломляет свет, выполняя функцию линзы. Герпетическое поражение глаз или офтальмогерпес — одно из проявление герпесной инфекции. Вирус может поражать роговицу, вызывая герпетический кератит.
Носителями вируса герпеса считается почти 90% населения. По статистике, офтальмогерпесом в России в год заболевает 200 тысяч людей. Болезнь поражает как взрослых, так и детей. Разберемся, что это такое — герпес глаз, чем и как лечить инфекцию и ее последствия.
Возбудителями инфекции являются вирусы герпеса 1 и 2 типа, вирус ветрянки или опоясывающего лишая. Все они относятся к семейству герпесвируса. Заразиться вирусом герпеса 1 типа можно воздушно-капельным путем, при контакте с больным, при поцелуе. Заражение наблюдается еще в детском возрасте. Второй тип проникает в организм через половые пути или передается время родов от матери к ребенку.
После внедрения в организм или после первого эпизода герпетической инфекции, вирус сохраняется либо на роговице, либо в тройничном нерве в неактивном состоянии.
Повторная активация вируса происходит, если есть следующие факторы риска:
- Острые респираторные вирусные инфекции.
- Переохлаждение или перегревание.
- Воздействие ультрафиолетовых лучей.
- Снижение сопротивляемости организма.
- Лазерное воздействие на глаза.
- Использование некоторых глазных капель для лечения глаукомы.
- Прием антибиотиков, кортикостероидов и противовирусных средств.
- Микротравмы роговицы, особенно при ношении линз.
- Нервное напряжение или хронический стресс.
- Гормональный дисбаланс или беременность.
- Злоупотребление алкоголем.
После первого случая воспаления, герпесный кератит развивается повторно в течение года в 25% случаев. Если человек болел офтальмогерпесом уже два раза, вероятность повтора в течение года увеличивается до 50%, если более двух — до 75%.
Специфика заболевания
Вирус простого герпеса 1 типа поражает кожу, особенно по ходу нервов, и слизистые оболочки. Выраженность офтальмогерпеса зависит от свойств вируса и иммунного ответа. Герпес поражает глазные оболочки после того как преодолеет их защитный барьер, состоящий из веществ в составе слезной жидкости: естественного противовирусного вещества интерферона и защитных иммунных частиц — секреторных иммуноглобулинов слизи (IgA).
Герпесвирус попадает в ткани глаза из внешней среды, по нервным волокнам или с током крови. На роговице он активно размножается, вызывает повреждение клеток и запускает воспалительную реакцию. Роговичные клетки подвергаются дистрофии, разрушаются и слущиваются. Если поражен только поверхностный слой клеток, дефект тканей восстанавливается, а вирус переходит в спящий режим.
Если в процесс вовлекается соединительная ткань роговицы, что наблюдается при глубоком кератите, происходит прямое повреждение клеток самим вирусом и дополнительное повреждение иммунными клетками. Вирус способен имитировать структуру клеток роговицы, поэтому иммунная система атакует не только вирусные частицы, но и клетки роговицы.
Воспаление, вызванное вирусом простого герпеса 2 типа, развивается у 1 из 500 младенцев в возрасте до 6 месяцев, поскольку мать передает ребенку во время беременности антитела к вирусу.

Симптомы заболевания
Для кератита типичен так называемый роговичный синдром, то есть признаки раздражения роговичной оболочки. Симптомы герпетического кератита в начале болезни трудно отличить от признаков бактериального воспаления. У больного возникает:
- Слезотечение.
- Светобоязнь.
- Спазм века.
- Покраснение глазных оболочек.
- Ощущение инородного тела в глазу.
- Дискомфорт, резь или боль.
На этом этапе может наступить излечение без изменения структуры тканей. Если болезнь прогрессирует или часто повторяется, вирус проникает в глубокие слои. Кожа вокруг глаз и веки покрываются пузырьковыми высыпаниями. Поражается, как правило, один глаз. Пузырьки быстро вскрываются, а на их месте образуются изъязвления.
Часто герпесный кератит сочетается с острым конъюнктивитом — воспалением наружной оболочки глаза. При таком течении могут увеличиваться околоушные лимфатические узлы.
Формы герпетического кератита
Воспаление роговицы, вызванное вирусом герпеса, бывает первичным и повторным или послепервичным. Первичный офтальмогерпес возникает, когда в организме еще нет противовирусных антител. Как правило, впервые инфекция развивается у детей до 5 лет, реже первичная форма возникает в возрасте от 16 до 25 лет.
Особенность первичного офтальмогерпеса — тяжелое течение, склонность к общей интоксикации организма и сопутствующее поражение кожи или полости рта. Послепервичные герпетические кератиты протекают вяло.
Различают поверхностную и глубокую формы повторного воспаления роговицы, вызванного герпесом. Поверхностная включает везикулярный и древовидный кератиты. Глубокий или стромальный — метагерпетический и дисковидный.
Везикулярная форма
При везикулярном кератите образуются сероватые пузырьки. Из-за появления язв на месте вскрывшихся пузырьков отслаивается эпителий. При этом резко ухудшается питание тканей, процесс регенерации протекает медленно, в результате чего чувствительность роговицы уменьшается, она становится мутной. Поражение обычно одностороннее, но инфекция часто повторяется.
Древовидный кератит
При этой форме сильная боль развивается в начальной стадии. Больного беспокоит выраженная светобоязнь, иногда появляются «мушки» перед глазами. Постепенно на роговице образуются пузырьки. На месте слившихся пузырьков образуются серые борозды. Из-за них в поле зрения появляются молнии и пятна.
Воспаление провоцирует отслоение поверхностного слоя, образуя изъязвление. Дреоводиное воспаление протекает длительно и в вялой форме, осложняясь воспалением других глазных оболочек, ухудшая зрение и вызывая значительное помутнение роговицы.
Метагерпетический кератит
Обычно развивается после древовидного поражения, особенно если болезнь не лечат вовремя или назначают неверные дозы гормональных препаратов. При этом глубоком варианте офтальмогерпеса участок, изъязвленный при древовидном воспалении, отторгается, а зона воспаления постепенно увеличивается и углубляется.
Роговица опухает, уплотняется, становится мутно-серой, а затем покрывается многочисленными эрозиями или язвами. Постепенно на месте эрозий образуются белые рубцы.
Дисковидный тип
Этот вариант протекает медленно, симптомы выражены умеренно. Но в роговице накапливается жидкость, которая инфицируется. Из-за этого центральная часть оболочки повреждается, что вызывает боль в глазном яблоке.
Постепенно отек уплотняется, а на его месте образуется серо-белые очаги с четкими контурами, состоящие из рубцовой ткани, язвочек не бывает. Чем плотнее становится роговица, тем меньше ее чувствительность и сильнее боль. Уплотненная ткань хуже преломляет свет, что приводит к нарушению зрения.
Кератоиридоциклит
Этот вариант характеризуется одновременным воспалением роговицы и радужной оболочки, от которой зависит цвет глаз. У больного появляются покалывания и внезапные приступы глазной боли. Боль связана с раздражением тройничного нерва, поэтому она может распространяться на лоб или виски.
Поражается мелкая сеть сосудов, а при прогрессировании из глаза может вытекать гнойная жидкость. Если процесс продолжается, повышается внутриглазное давление. Зрачок расширен, а при рассмотрении вокруг него виден ореол.

Диагностика герпетического кератита начинается с осмотра. Наличие характерных пузырьков предполагает поражение, вызванное герпесом. Поскольку болезнь может протекать вяло, без характерных проявлений, диагноз уточняют при помощи лабораторных и инструментальных исследований. Чтобы обнаружить возбудителя, берут соскоб с пораженных тканей или слезную жидкость.
Лабораторная диагностика офтальмогерпеса включает:
- Исследование соскоба с конъюнктивы методом флюоресцирующих антител.
- Иммуноферментный анализ.
- Анализ крови или слезной жидкости на противогерпетические антитела.
- Полимеразная цепная реакция (ПЦР) биологических жидкостей, выявляющая вирус.
Инструментальное исследование помогает оценить степень и глубину анатомических изменений. В инструментальную диагностику входит передняя оптическая когерентная томография, биомикроскопия и флюоресцеиновая проба.
Тест с флюоресцеином проводят, чтобы выявить язвы или пленки на роговице, оценить площадь и степень поражения. После нанесения раствора на глаз офтальмолог осматривает ткани с помощью щелевой лампы с синим фильтром.
Методы лечения
Способ терапии зависит от тяжести болезни, формы и времени обращения к врачу. На начальных стадиях эффективно можно устранить симптомы, предупредить повторы с помощью консервативного или неоперативного лечения.
В тяжелых случаях проводят хирургическую коррекцию последствий офтальмогерпеса. Главная цель терапии — остановить распространение дефекта роговицы и стимулировать заживление язв.
Консервативное лечение
Консервативная терапия включает медикаменты и физиотерапию. Подходит для ликвидации поверхностных форм болезни. При легких формах можно лечиться дома, при среднетяжелых и тяжелых формах лечение проводят в отделении офтальмологии.
При герпетическом кератите глаза лечат с помощью следующих медикаментов:
- Противовирусные препараты.
- Ранозаживляющие средства.
- Антиоксиданты.
- Антибиотики.
Антибиотики используют, если есть риск присоединения бактерий, на что указывают гнойные выделения из глаз. Поскольку герпес вызывает аутоиммунную реакцию, проводят противоаллергическую и противовоспалительную терапию, особенно при частых обострениях. Основа иммунологической коррекции — кортикостероиды или аналоги гормонов коры надпочечников.
При острой инфекции местно используют инстилляции, мази и очищающие растворы для промывания. При этом важно увлажнять слизистую оболочку, чтобы предупредить синдром «сухого» глаза, возникающий при использовании гормональных, противовоспалительных или антибактериальных средств.
К средствам против сухости глаз относят увлажняющий раствор Гилан Ультра комфорт. Он идентичен натуральной слезной жидкости, не оказывает токсического действия на ткани. Его можно закапывать до 6 раз в сутки.
Чтобы вернуть прозрачность роговицы, препараты вводят с помощью физиотерапии. При герпетических кератитах используют электрофорез с лекарственными растворами.
Хирургическое лечение
Операцию проводят, если медикаменты и физиотерапия не помогают, а роговичная язва не заживает, поражает глубокие слои или есть риск ее разрыва. При невыраженных изменениях врач удаляет поврежденные слои методом соскабливания. Но при тяжелых структурных изменениях проводят кератопластику.
Под местным или общим наркозом полностью или частично заменяют поврежденную роговицу на донорскую. После пришивания новой роговицы требуется правильных уход. Реабилитация длится около месяца, но процесс восстановления тканей можно ускорить с помощью местных средств. Чтобы инфекция не проникла в прооперированный глаз, необходимо поддерживать его влагу.
Как правило, после перенесенных инфекций или операций временно нарушается выделение слезной жидкости. Сухость глаз устраняется с помощью «искусственных слез», например, глазных капель Гилан, в составе которых есть натрия гиалуронат. Он способен связывать молекулы воды, предупреждая высыхание глазных оболочек.
При герпетическом кератите инфекция осложняется врастанием сосудов в роговицу или ее помутнением. В тяжелых случаях пораженная ткань отслаивается. Глубокая язва может разорвать ткани, а помутнение — резко снизить остроту зрения.
При тяжелом течении за 1−2 дня глазные ткани могут сильно деформироваться, а человек лишиться зрения. Но в большинстве случаев процесс протекает подостро, постепенно разрушая ткани. Воспаление может привести к поражению переднего отдела сосудистой оболочки и отеку макулы — центральной части сетчатки.
После хирургического лечения новая роговица может не прижиться. Есть риск развития катаракты после операции. Но почти в 90% случаев кератопластика не вызывает осложнений.
Профилактические меры

Профилактика герпетического поражения глаз включает укрепление иммунитета и введение вакцин. Чтобы избежать повторных эпизодов воспаления, рекомендуют избегать переохлаждения, эмоционального или физического перенапряжения, в сезон острых вирусных инфекций принимать иммуностимуляторы и витамины.
При ношении контактных линз, важно правильно ухаживать за ними: снимать на ночь, очищать растворами и не ставить на глаза после истечения срока годности.
Самым эффективным методом профилактики, все же, остается вакцинация.
Заключение
Вирус герпеса присутствует в волокнах тройничного нерва у 90% населения. При ослаблении иммунных сил организма или дефиците защитных факторов слезной жидкости, вирус вызывает герпетический кератит. Болезнь склонна к хроническому течению, частым обострениям и иногда приводит к серьезным осложнениям, вплоть до потери зрения.
Лечение герпетического кератита включает противовирусные препараты, средства, стимулирующие заживление язв, и иммунокоррекцию. При неэффективности проводят операцию — заменяют изъязвленные ткани новой роговицей, взятой у донора.
Как при медикаментозном, так и хирургическом лечении часто наблюдается синдром «сухого» глаза. До полного восстановления используют слезозаменители, например, глазные капли Гиллан. Средство увлажняет роговицу, снимает неприятные синдромы ее раздражения и предупреждает инфицирование бактериями.
Читайте также:
- Чреспищеводная эхокардиография (ЧПЭ) через верхний отдел пищевода
- Боковой амиотрофический склероз. Лечение бокового амиотрофического склероза.
- Всасывание. Функция всасывания кишечника. Транспорт питательных веществ. Щеточная кайма энтероцита. Гидролиз питательных веществ.
- Нарушение развития хиазмы
- Синдром средиземноморской лихорадки
