Чреспищеводная эхокардиография (ЧПЭ) через верхний отдел пищевода
Добавил пользователь Владимир З. Обновлено: 21.01.2026
Чреспищеводная эхокардиография (ЧПЭхоКГ) - это разновидность УЗИ сердца с применением специального датчика, который вводится в пищевод пациента. Пищевод расположен в непосредственной близости к сердцу и коронарным сосудам, благодаря этому на пути следования ультразвуковой волны нет акустических препятствий в виде костей, мышц и клетчатки. Следовательно, диагностические возможности чреспищеводной эхокардиографии существенно шире, чем у обычной ЭХО-КГ.
Пройти чреспищеводную эхокардиографию по приемлемой цене можно в медицинском центре «СМ-Клиника». Исследование проводится с применением высокоточного ультразвукового оборудования. Исследование осуществляют опытные врачи, которые постоянно повышают свою квалификацию. В «СМ-Клиника» УЗИ сердца через пищевод в большинстве случаев проводится «во сне». Благодаря этому пациент не испытывает совершенно никаких неприятных ощущений во время проведения исследования и после него.
Ультразвуковые исследования в «СМ-Клиника»
Цель ЧПЭхоКГ
Целью чреспищеводной ЭхоКГ является исследование структур сердца, оценка функции сердечной мышцы, клапанов.
За счет проведения диагностики через пищевод достигается более качественная визуализация и врач получает возможность увидеть малейшие признаки патологических изменений. ЧПЭхоКГ более информативное обследование, чем стандартное УЗИ сердца, так как ребра и мышечная ткань не мешают прохождению ультразвуковых волн.
- визуализировать предсердия;
- выявить тромбы и опухоли минимальных размеров (оценить их расположение и особенности прикрепления к сердечной стенке);
- проанализировать состояние клапанов;
- выявить мельчайшие очаги кальцификации;
- контролировать состояние клапанов, в том числе после протезирования;
- отслеживать динамику развития опухолевых и воспалительных изменений, а также их влияние на окружающие структуры;
- диагностировать патологии сосудов сердца;
- контролировать работу органа в процессе кардиохирургических вмешательств.
Показания к УЗИ сердца через пищевод
ЧПЭхоКГ применяют для уточнения или дополнения результатов классического УЗИ сердца.
Показаниями для исследования сердца через пищевод являются следующие ситуации:
- недостаточная информативность классической ЭхоКГ;
- диагностика пороков сердца;
- выявление внутрисердечного тромбоза;
- уточнение характера, размеров и локализации образований, обнаруженных при классической ЭхоКГ;
- диагностика инфекционных процессов сердца (эндокардит) и осложнений (гнойные изменения после протезирования клапанов, абсцесс аорты и пр.);
- исследование клапанного аппарата при пороках развития;
- контроль состояния протезированного клапана;
- диагностика патологий восходящей аорты (аневризма, расслоение стенки).
Особое значение ЧПЭхоКГ имеет при диагностике пороков сердца (врожденных и приобретенных в процессе жизни).
Решение о проведении исследования принимает кардиолог. Исследование осуществляют только при наличии показаний.
Чреспищеводная эхокардиография
Чреспищеводная эхокардиография (ЧПЭхоКГ) - метод ультразвуковой диагностики сердца с использованием специального датчика, вводимого через пищевод.
Позволяет улучшить «ультразвуковое окно» и дает возможность значительно лучшей визуализации мелких структур сердца из чреспищеводного доступа.
Чреспищеводная эхокардиография применяется в клинической практике достаточно широко, она используется во всех случаях, когда разрешающая способность трансторакальной зхокардиографии не позволяет поставить точный диагноз, детально изучить анатомию различных внутрисердечных структур и оценить внутрисердечную гемодинамику.
Основные показания к проведению ЧПЭхоКГ:
диагностика внутрисердечных тромбозов (источника эмболий);
инфекционный эндокардит (чувствительность ЧПЭхоКГ в диагностике вегетаций приближается к 100% по мнению большинства исследователей);
диссекция (расслоение) аорты, аневризма аорты;
диагностика митральной регургитации и оценка клапанных протезов. См. подробнее ЧПЭхоКГ с функцией MVQ (mitral valve quatfification).
Противопоказаниями являются заболевания пищевода: злокачественные новообразования, дивертикул пищевода, фистулы, стриктуры, варикозное расширение вен пищевода, воспалительные заболевания пищевода, кровотечение из верхней части желудочно-кишечного тракта.
Осложнения
За четыре десятка лет существования ЧПЭхоКГ признана безопасным методом диагностики. Серьезные осложнения, связанные непосредственно с исследованием, встречаются менее чем в 3% случаев, летальные исходы фиксируются по данным разных авторов в 0,01 - 0,03%. Среди возможных осложнений в литературе в виде единичных случаев перечисляются травмы глотки или трахеи, кровотечение из вен пищевода, перфорация пищевода, транзиторная бактериемия, нестабильность гемодинамики, нарушения ритма.
Как подготовиться к ЧПЭхоКГ
Обязательным условием для проведения ЧПЭхоКГ является 6-часовое голодание перед исследованием. Следует отказаться от воды за 3 часа. Съемные зубные протезы (в случае их наличия) должны быть удалены.
Методика выполнения ЧПЭхоКГ
Для уменьшения рвотного рефлекса производят поверхностную анестезию глотки. После в пищевод вводится датчик, расположенный на гибком зонде (методика схожа с гастроскопией). Во время исследования пациент находится в положении на левом боку лицом к врачу, проводящему исследование. Правое колено пациента согнуто и располагается спереди от левой ноги, голова слегка наклонена вперед. Для защиты датчика от перекуса используют загубник. Датчик перед введением обрабатывают ультразвуковым гелем. Введение датчика в пищевод проводится врачом. Датчик располагается в средней части пищевода на уровне сердца. Отсутствие преград для ультразвука и малое расстояние до структур сердца позволяет в разы повысить разрешающую способность исследования и получить информацию, недоступную при трансторакальном исследовании. Исследование длится 5 - 15 минут, что зависит от объема требуемой информации.
Общее время нахождения датчика в пищеводе обычно не превышает 7-12 минут.
Чреспищеводная
эхокардиография
Чреспищеводная эхокардиография - расширенное ультразвуковое исследование сердца, которое проводится после стандартной эхокардиографии для более детального изучения строения органа.
В МЕДСИ это исследование проводится на современном оборудовании высококвалифицированными специалистами с многолетним опытом работы в функциональной диагностике и кардиологии. Процедура позволяет получить максимальный объем исчерпывающей диагностической информации о состоянии и патологических изменениях сердца.
Детальное описание
Для чего проводится чреспищеводная эхокардиография?
Во время процедуры датчик, испускающий ультразвук, располагается в пищеводе. Это гораздо ближе к структурам сердца, которые труднодоступны для оценки при обычной эхокардиографии с чрескожным датчиком. Только чреспищеводная ЭХО-КГ позволяет увидеть тромбы в ушках левого предсердия. При ее помощи можно получить гораздо больше информации об опухолях сердца и образованиях на клапанах, чем при стандартном УЗИ (ДЭХО-КГ). Исследование точнее определяет плотность прикрепления тромбов, что позволяет определить крайне важный прогностический показатель - риск их отрыва.
Также процедура дает сведения о:
- Толщине стенок сердца
- Объеме сердечных камер
- Состоянии сосочковых мышц
- Наличии хорд внутри желудочков
- Состоянии створок клапанов
- Диаметре и состоянии сосудов, отходящих от камер сердца
- Функциональных показателях движения крови внутри сердца и в сосудах
- Изменениях стенок сердца, клапанов и других органических структур сердца во время его сокращений
Показания и противопоказания
Процедура проводится только по рекомендации врача-кардиолога, если ему необходимо больше узнать о состоянии сердца, клапанов или крупных сосудов пациента.
Основные показания к лечению:
- Расслоение аорты
- Тромбы в полостях сердца
- Объемные образования стенок сердца
- Патология клапанов (клапанная регургитация, пороки)
- Инфекционный эндокардит
- Определение состояния сердца после протезирования клапанов
- Патология межпредсердной, межжелудочковой перегородки
- Аневризмы сердца (аорты, стенок, перегородок)
- Открытое овальное окно
- Шумы в сердце
- Перенесенный инфаркт миокарда
Процедура противопоказана при:
- Патологии пищевода, которая мешает правильному введению и расположению датчиков (пищеводные кровотечения, сужение пищевода, дивертикулы, образования стенок пищевода, эзофагит, варикозное расширение вен пищевода)
- Патологии свертываемости крови
- Общем тяжелом состоянии пациента
- Инфекционно-воспалительных заболеваниях
- Недавно перенесенных острых сердечно-сосудистых заболеваниях или высоком риске их появления
Описание процедуры
Перед исследованием нужно пройти подготовку:
- В течение 3 месяцев до процедуры сдать анализы крови на ВИЧ, вирусные гепатиты, сифилис
- В течение месяца до эхокардиографии пройти эзофагогастродуоденоскопию, чтобы убедиться в отсутствии заболеваний пищевода
- Перед процедурой 6-8 часов не принимать пищу
Исследование проводится в кабинете эхокардиографии. Пациенту проводят обезболивание глотки раствором лидокаина, который снижает чувствительность слизистой. В рот вставляют загубник, через него в пищевод проводят датчик и устанавливают его на уровне предсердий. Далее врач последовательно изучает и описывает структуры сердца. Изменения также регистрируются на видео и снимках.
Пациенту на протяжении процедуры рекомендуется оставаться неподвижным и дышать через нос. Во время ее проведения возможен небольшой дискомфорт за грудиной, но в большинстве случаев он достаточно быстро проходит.
Длительность исследования составляет от 10 до 20 минут.
Результат
По результатам исследования врач составляет заключение. Чреспищеводная эхокардиография проводится без анатомических помех (датчик располагается почти вплотную к сердцу), поэтому полученные данные максимально развернутые и точные.
Преимущества чреспищеводной эхокардиографии в МЕДСИ
- Все специалисты прошли специальное обучение проведению чреспищеводной эхокардиографии
- К выполнению процедуры допускаются только те врачи, которые имеют наиболее богатый опыт и регулярную практику эхокардиографии, то есть выполняют эту процедуру максимально профессионально, бережно и быстро
- Оборудование для исследования стерилизуется перед каждым использованием согласно стандартам, расходные материалы - одноразовые
Чтобы больше узнать о возможностях чреспищеводного исследования, уточнить цены или записаться на прием к кардиологу, звоните: .
Чреспищеводная эхокардиография в больнице Вересаева

Чреспищеводная эхокардиография (ЧЭ или ЧпЭхоКГ) позволяет с помощью высокочастотных звуковых волн (ультразвука) получить подробные изображения вашего сердца. Эхопреобразователь, излучающий звуковые волны, прикреплен к тонкой трубке (толщина варьируется от 9 до 11 мм), которая проходит через рот, спускается по горлу и в пищевод. Поскольку пищевод находится близко к верхним камерам сердца, можно получить очень четкие изображения этих структур и клапанов сердца.
- Врачи часто используют ЧЭ, когда им нужно более четкое изображение, чем может дать стандартная эхокардиограмма;
- После процедуры может отмечаться небольшая боль в горле в течение дня или двух.
Почему проводят чреспищеводную эхокардиографию?
Врачи используют ЧЭ, чтобы найти проблемы в структуре и функциях сердца. ЧЭ может дать более четкие изображения верхних камер сердца и клапанов между верхней и нижней камерами сердца, чем стандартные эхокардиограммы.
Подробные изображения, предоставленные ЧЭ, могут помочь врачам увидеть:
- Размер вашего сердца и толщины его стенок;
- Состояния аорты при аневризме и расслоении;
- Подозрение на наличие инфекционного эндокардита;
- Если кровь течет назад через сердечные клапаны (регургитация), или если клапаны сужены или заблокированы (стеноз).
- Если сгустки крови находятся в камерах сердца, в частности, в верхней, например, после инсульта.
Чреспищеводную эхокардиографию часто используют для получения информации во время хирургических операций по восстановлению сердечных клапанов, разрывов аорты или врожденных пороков сердца. Также используется во время хирургического лечения эндокардита, бактериальной инфекции внутренней оболочки сердца и клапанов.
Осмотр (консультация) врача функциональной диагностики
Эхокардиография чреспищеводная
Каковы риски ЧЭ?
Немногочисленные риски ЧЭ связаны с прохождением зонда в горло и пищевод. Перед обследованием используются лекарства, чтобы успокоить и обезболить горло. Но есть риск рвоты. Также в течение дня или двух после процедуры может отмечаться боль в горле . В очень редких случаях ЧЭ вызывает кровотечение из пищевода.
Какие есть противопоказания?
- Сложности при введении датчика;
- Патологии пищевода и ротовой полости;
- Внутренние кровотечения в отделах желудочно-кишечного тракта;
- Недавно проведенная операция на органах ЖКТ.
Как подготовиться к ЧЭ?
Проконсультируйтесь со своим врачом. Вас могут попросить не употреблять алкогольные напитки в течение нескольких дней, а также ничего не есть и не пить как минимум за 4-6 часов до исследования. Потребление воды допускается не позднее, чем за 2 часа до сеанса.
Что происходит во время ЧЭ?
Чреспищеводную эхокардиографию выполняют специально обученные врачи. Процедура обычно проводится в больнице или клинике и длится от 30 до 60 минут.
Врача необходимо предупредить о любых проблемах, связанных с ротовой полостью, а также сообщить ему о наличии патологий пищеварительной системы, рассказать об аллергии на лекарственные средства.
- Вам распылят в горло лекарство, чтобы обезболить его и подавить рвотный рефлекс;
- Затем врач осторожно проводит тонкую гибкую трубку (зонд) через рот и вниз по горлу и просит вас проглотить, пока он опускается.
- Преобразователь на конце зонда посылает звуковые волны к сердцу и улавливает отраженное эхо. Изображение появляется на мониторе. Эта часть занимает от 10 до 15 минут.
- Когда врач закончит делать снимки, зонд удаляется. Затем вы обычно можете встать, одеться и покинуть больницу.
Что происходит после ЧЭ?
Ваше горло может онеметь на короткое время. Не ешьте и не пейте ничего, пока не пройдет чувство онемения - вы можете подавиться.
- Сразу после процедуры у вас могут возникнуть небольшие проблемы с глотанием, но они исчезнут в течение нескольких часов.
- Часто бывает, что через день или два после болит горло.
- Поскольку во время процедуры вы получаете успокаивающее средство, не употребляйте алкоголь в течение дня или двух.
На что мне обратить внимание?
Если боль в горле усиливается или не проходит через несколько дней, обратитесь к врачу.
Метод интраоперационной трёхмерной чреспищеводной эхокардиографии у пациентов с выраженной недостаточности митрального клапана
Трёхмерная чреспищеводная эхокардиография (3D-ЧП ЭхоКГ) по сравнению с двухмерной позволяет получить наиболее полное представление о морфометрии отдельных структур и сердца в целом. Методика интраоперационной 3D ЧП ЭхоКГ незаменима при выполнении реконструктивных вмешательств у пациентов с митральной недостаточностью (МН), которая занимает второе место в структуре пороков сердца. Согласно рекомендациям Европейского общества кардиологов (ESC) и Европейской ассоциации кардиоторакальных хирургов (EACTS) 2017 года, именно реконструктивные операции на митральном клапане у пациентов с недостаточностью приобретают приоритетное значение. Безусловными преимуществами пластических операций являются низкий риск развития тромбоэмболий и эндокардита, лучшая отдалённая выживаемость и свобода от приёма антикоагулянтов. Успех хирургического лечения с использованием реконструктивного подхода во многом зависит от уровня и качества выполненных диагностических исследований.
Трёхмерная интраоперационная чреспищеводная эхокардиография позволяет в режиме реального времени проводить построение модели клапана, которая максимально сопоставима с видом клапана, каким его видит хирург в операционном поле («surgical view»), и детально оценить его анатомию, геометрию и функцию. На основании полученных данных хирург имеет объективную возможность определить тактику операции, объём и вид реконструкции клапана. После выполненной реконструкции незамедлительно оценить результат операции.
Представляем клинический случай использования интраоперационной чреспищеводной эхокардиографии с 3D режимом для определения тактики и оценки результатов операции у пациентки с выраженной недостаточностью митрального клапана.
Пациентка, 56 лет, поступила в отделение реконструктивной хирургии клапанов сердца и коронарных артерий ФГБУ «НМИЦ ССХ им. А.Н. Бакулева» Минздрава России с жалобами на одышку при умеренной физической нагрузке, сердцебиение. Из анамнеза: страдает ревматизмом с 15 лет. По данным трансторакальной эхокардиографии (ЭхоКГ) выявлена выраженная митральная недостаточность, дилатация левых отделов сердца.
На основании проведённого обследования поставлен диагноз: Ревматизм, неактивная фаза. Митральный порок сердца: выраженная недостаточность. Относительная умеренная недостаточность трикуспидального клапана. Дилатация левых камер сердца. Умеренная лёгочная гипертензия. ХСН 2А. ФК 3 по NYHA.
Была выполнена операция: Многокомпонентная реконструкция митрального клапана с ушиванием расщепления передней митральной створки, с аннулопластикой на опорном кольце; пластика трикуспидального клапана по de Vega, в условиях ИК, гипотермии и ФХКП. (хирург — директор Института коронарной и сосудистой хирургии ФГБУ «НМИЦ ССХ им. А.Н. Бакулева» МЗ РФ, профессор И.И. Скопин).
Данные интаоперационной 3D ЧП ЭхоКГ: Митральный клапан: ФК 44 мм, створки уплотнены, расщепление передней створки от свободного края до фиброзного кольца в сегменте А 2, движение створок разнонаправленное. Градиент давления максимальный — 6,2 мм рт.ст., средний 2,1 мм рт.ст. Регургитация выраженная: vena contracta - 0,9 см, площадь потока регургитации — 11,4 см², в непрерывноволновом допплеровском режиме плотный поток регургитации, радиус PISA — 1,0 см. Регургитация — эксцентричная, по боковой стенке ЛП.

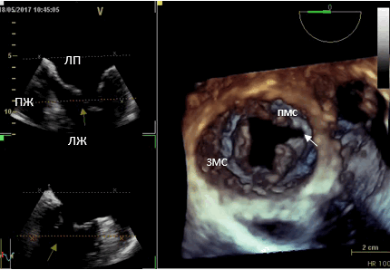
Рис. 1. Трёхмерная чреспищеводная эхокардиография. Среднепищеводный доступ. Трёхмерная реконструкция митрального клапана. (ЛП — левое предсердие, ЛЖ — левый желудочек, ПЖ— правый желудочек, ПМС — передняя митральная створка, ЗМС — задняя митральная створка). Расщепление передней митральной створки (белая стрелка).

Рис. 2. Чреспищеводная эхокардиография. Среднепищеводный доступ. Четырёхкамерная позиция. (ПП — правое предсердие). Площадь потока регургитации — 11,4 см².

Рис. 3. Чреспищеводная эхокардиография. Среднепищеводный доступ. Четырёхкамерная позиция. Vena contracta 0,9 см.
На основании дооперационной трансторакальной эхокардиографии планировалась имплантация опорного кольца и коррекция пролапса ПМС за счёт имплантации неохорд или транслокации хорд от задней митральной створки к передней. Данные интраоперационной трёхмерной ЧП ЭхоКГ позволили визуализировать расщепление передней створки митрального клапана и подтвердить дилатацию фиброзного кольца. Таким образом, тактика операции была изменена и выполнена пластика расщеплённой передней створки МК, имплантация опорного кольца Carpantier-Edwards №32, пластика трикуспидального клапана по de Vega.
После отключения искусственного кровообращения и стабилизации гемодинамики выполнено контрольное ЧП ЭхоКГ исследование. Показатели функционального состояния миокарда, клапанного аппарата были в норме.
В представленном клиническом случае больной с патологией митрального клапана - выраженной недостаточностью, в плановом порядке интраоперационно до основного этапа операции проведена чреспищеводная эхокардиография с построением в режиме реального времени трёхмерной модели клапана, позволившая детально оценить патологию и определить механизм формирования митральной недостаточности. С помощью трёхмерной реконструкции удалось диагностировать расщепление передней створки митрального клапана, определить точную локализацию патологии.
Полученные данные были подтверждены непосредственно в ходе операции при ревизии клапана и явились основанием выбора тактики хирургического вмешательства.
Читайте также:
- Терапия сердечной недостаточности у новорожденного. Методы лечения сердечной недостаточности.
- Клиника и признаки кори. Проблемы диагностики кори
- Вред органической (угольной) пыли. Пыль как причина пневмоний и пневмомикозов
- Обследование для диагностики глаукомы у ребенка
- Синдром Радемахера (Rademacher)
