Исследование кровотока в артерии пуповины. Исследование кровотока в сосудах головного мозга
Добавил пользователь Евгений Кузнецов Обновлено: 23.10.2025
В данном документе кратко описаны практические рекомендации относительно того, как правильно проводить допплерографию фетоплацентарного кровотока. Соблюдение рекомендаций обеспечит минимальное воздействие на эмбрион или плод чрезмерной энергии ультразвука, особенно на ранних сроках беременности. При проведении допплерометрии тепловой индекс (TИ) должен быть ≤ 1,0 и время экспозиции должно быть как можно короче, как правило, не более 5-10 минут.
Какое оборудование необходимо для проведения допплеровской оценки фетоплацентарного кровообращения?
- Аппарат должен быть оснащен цветным и спектральным анализом допплеровских сигналов с указанием на экране шкалы скорости потока крови или частоты повторения импульсов (pulse repetition frequency (PRF)) и частоты излучения (в МГц).
- Механический индекс (MИ) и TИ должны быть отражены на экране во время ультразвукового исследования.
- Ультразвуковая система должна показывать кривую максимальной скорости кровотока (MСК), чтобы оценить весь спектр допплеровской волны.
- Должна быть предусмотрена возможность разграничения сигнала в автоматическом или ручном режиме.
- Системное программное обеспечение должно быть в состоянии оценить пиковую систолическую скорость (ПСС), конечную диастолическую скорость (КДС) и индексы: например, пульсационный индекс (ПИ) и индекс резистентности (ИР) и систоло / диастолическое соотношение (С / Д).
Какие оптимальные параметры допплеровского картирования? Импульсно-волновая допплерография
- Обследование проводится в состоянии покоя плода и при отсутствии дыхательных движений плода, а в случае необходимости, в течение временного задержания дыхания беременной.
- Отображение цветного потока не является обязательным, хотя это очень полезно в идентификации сосуда, который исследуем, и в определении направления кровотока.
- Необходимо следить за углом инсонации. Угол инсонации 10° соответствует погрешности скорости 2% в то время, как угол 20° соответствует 6% погрешности. Когда абсолютная скорость является клинически важным параметром (например, в средней мозговой артерии (СМА)) и угол составляет > 20°, проводится коррекция угла. В этом случае, когда запись не улучшается за счет повторных измерений, к заключению должна быть приложена информация с указанием угла инсонации и его коррекции.
- Желательно начать с относительно широких пределов контрольного объема, чтобы обеспечить запись максимальной скорости в течение всего импульса. При наличии помех от других сосудов, которые вызывают проблемы, границы контрольного объема могут быть уменьшены для уточнения записи.
- Подобно серошкальным изображениям, проникновение и разрешение допплера может быть оптимизировано путем регулирования частоты (МГц).
- Фильтр стенки сосудов (или “фильтр верхних частот”) используется для устранения шума от движения стенок сосудов. Он должен быть установлен как можно ниже (≤ 50-60 Гц) с тем, чтобы устранить низкочастотный шум из периферических кровеносных сосудов. При использовании более высокого фильтра могут быть созданы ложные эффекты (рис. 4б).
- Более высокий фильтр полезен для измерения аортального и легочного кровотока. В этом случае более низкий фильтр может привести к появлению артефактов.
- Оптимальное количество сигналов - от четырех до шести полных сердечных циклов. Для плода частота сердечных сокращений 110-150 ударов в минуту, скорость развертки 50-100 мм / мин достаточно.
- Частота повторения импульсов или шкала (pulse repetition frequency (PRF), scale) должна быть скорректирована в соответствии с кровотоком в сосуде: низкая PRF позволит визуализировать и точно измерить низкую скорость потока.
- При появлении явного несоответствия между измерениями рекомендуется повторить запись.
- Для повышения качества записи допплера необходимо оптимизировать частоту обновления изображения серой шкалы или цветного допплера в режиме реального времени (то есть после начала записи изображения в реальном времени и правильной установки контрольного объема допплера; изображения двумерного (2D) и / или цветного допплеровского картирования должны быть заморожены для записи допплеровского сигнала - симплексный режим).
- Обеспечить правильную позицию и оптимизировать запись допплера, замороженного в 2D изображении, возможно путем прослушивания звукового сигнала эффекта Допплера через громкоговоритель.
- Коэффициент усиления должен быть скорректирован, чтобы видеть всю волну скорости кровотока без присутствия артефактов в фоновом режиме дисплея.
- Желательно не инвертировать дисплей допплера на экране аппарата. При оценке сердца плода и центральных сосудов очень важно сохранить первоначальное направление цветного и импульсного потока волны допплера. Обычно поток в направлении преобразователя отображается красным цветом и волна регистрируется выше базовой линии, в то время как кровоток в направлении от преобразователя отображается в виде синего цвета и волна ниже базовой линии.
Цветное допплеровское картирование
- В сравнении с серошкальным режимом, цветной допплер увеличивается с общей мощностью излучения. Разрешение цветного допплера увеличивается, когда шкала цвета снижена. Необходимо оценить MИ и TИ при изменении размера и глубины цветной шкалы.
- Большое цветное окно допплера увеличивает время обработки и, таким образом, уменьшает частоту кадров; окно должно быть как можно меньшим, чтобы визуализировать только исследуемый участок.
- PRF должна быть скорректирована, чтобы определить реальную скорость исследуемого сосуда. Когда PRF высокая, низкоскоростные сосуды не будут отображаться на экране.
- Что же касается серошкального изображения, разрешения цветного допплера и проникновения волны, то эти параметры зависят от частоты ультразвука. Частота в режиме цветного допплеровского картирования должна быть скорректирована с целью оптимизации сигналов.
- Усиление должно быть отрегулировано для того, чтобы предотвратить появление артефактов, представленных случайными отражениями цветных вспышек на экране.
- Фильтр также должен быть отрегулирован, чтобы исключить шум от исследуемого участка.
- Угол инсонации влияет на цветное допплеровское изображение. Он должен быть отрегулирован путем оптимизации положения ультразвукового трансдюсера согласно сосуда или исследуемого участка.
Энергетический допплер
- Применяются те же основные принципы, что и для цветного допплеровского картирования.
- Угол инсонации имеет меньшее влияние на мощность допплеровских сигналов; однако, необходимо соблюдение того же процесса оптимизации, как и для цветного допплеровского картирования.
- Нет элайзинг (aliasing) феномена при использовании энергетического допплера; однако, неадекватно низкая PRF может привести к появлению шумов и артефактов.
- Усиление необходимо уменьшить, чтобы предотвратить усиление шума (наблюдается как однородный цвет на заднем плане).
Методика проведения цветной допплерографии маточных артерий
Основная ветвь маточной артерии легко находится с помощью цветного изображения в режиме реального времени. Измерения скорости кровотока обычно выполняются трансабдоминальным или трансвагинальным датчиком. Измерения следует проводить в правой и левой маточной артерии (Рис.1).

Рис.1. Форма волны кровотока в маточной артерии, полученная трансабдоминальным датчиком в первом триместре беременности.
Оценка маточной артерии в первом триместре беременности (Рис.1)
- Методика трансабдоминального сканирования
- Трансабдоминальный трансдьюсер размещается таким образом, чтобы визуализировать среднесагиттальный срез матки и цервикальный канал. Обследование проводится с пустым мочевым пузырем.
- Трансдьюсер перемещаем латерально, пока не визуализируем парацервикальное сосудистое сплетение.
- Включаем цветной допплер и обнаруживаем маточные артерии.
- Измерение проводится в отрезке сосуда перед разветвлением маточной артерии на аркуатные артерии.
- То же повторяем с противоположной стороны.
- Методика трансвагинального сканирования
- Трансвагинальный трансдьюсер размещается в переднем своде. Подобно трансабдоминальной технике, датчик перемещается в поперечном направлении, чтобы визуализировать парацервикальные сосудистые сплетения. Проводятся вышеуказанные этапы в той же последовательности.
- Следует проявлять осторожность, чтобы не спутать с цервико-влагалищной артерией или аркуатными артериями. Типичная скорость для маточной артерии составляет 50 см / с.

Рис.2. Допплерография маточной артерии, проведена трансабдоминально во втором триместре беременности. Нормальные (а) и патологические (b) формы кривой; дикротическая выемка (стрелка) (b).
Оценка маточной артерии во втором триместре беременности (Рис.2)
- Методика трансабдоминального сканирования
- Трансабдоминальный датчик располагаем продольно в нижнем боковом квадранте живота, косо медиально. Определяем маточную артерию путем включения цветного допплера в месте пересечения наружной подвздошной артерии.
- Цветной объем размещают по течению, на 1 см ниже места пересечения.
- Тот же процесс повторяем на маточной артерии с противоположной стороны.
- Методика трансвагинального сканирования
- Женщину просим опорожнить мочевой пузырь и лечь на спину в литотомическом положении.
- Датчик должен быть расположен в боковом своде, и при включении цветного допплера определяем маточные артерии на уровне внутреннего зева шейки матки.
- То же повторяем с противоположной стороны.
Примечание: У женщин с врожденной аномалией матки оценка показателей допплера маточных артерий и их интерпретация недостоверна.
Методика проведения цветной допплерографии артерии пуповины
Существует значительная разница в показателях допплера, измеренных на эмбриональной части пуповины, свободной части и плацентарной части пуповины. Для простоты и последовательности, измерения следует проводить в свободной части пуповины (Рис.3).

Рис.3. Допустимые (а) и недопустимые (b) формы кривой при проведении допплерографии в пупочной артерии. На сонограмме b графические изображения кривой слишком малы, а скорость слишком медленная.

Рис.4. Допплерография артерии пуповины получена у того же плода с интервалом 4 мин. Наблюдаем: (а) нормальный кровоток и (b) очень низкий диастолический кровоток, что связано с неправильным использованием фильтра стенки сосуда.
1) При многоплодной беременности для оценки кровотока в артерии пуповины могут возникнуть трудности с определением петли пуповины для конкретного плода. В таких случаях допплерографию проводим в части артерии пуповины, расположенной ближе к брюшной стенке плода. В данном отрезке пуповины сопротивление выше, чем в свободной и в плацентарной части пуповины, что необходимо указать в протоколе обследования.
2) В случае единой артерии пуповины в любом гестационном возрасте диаметр единой пупочной артерии больше, чем когда есть две артерии, и сосудистое сопротивление, таким образом, ниже.
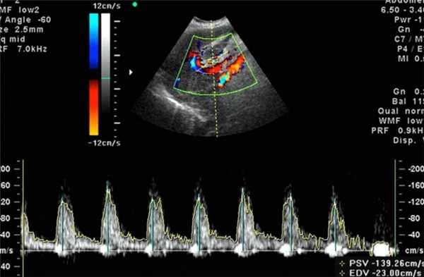
Методика проведения цветной допплерографии в средней мозговой артерии
- Исследование средней мозговой артерии проводится в аксиальном срезе головного мозга, на уровне таламуса и крыльев клиновидной кости. Полученное изображение необходимо увеличить.
- С помощью цветного допплера определяем Виллизиев круг и проксимальный отдел средней мозговой артерии (рис.5)
- Контрольный объем должен быть размещен в проксимальной трети CМA, около места отхождения со внутренней сонной артерией, поскольку систолическая скорость уменьшается с расстоянием от места отхождения данной артерии.
- Угол между ультразвуковой волной и направлением потока крови следует держать как можно ближе к 0 ° (рис. 6).
- Следует быть осторожными, чтобы избежать ненужного давления на головку плода.
- По меньшей мере три записи должны быть получены и 10 последовательных кривых. Самая высокая точка волны оценивается, как пиковая систолическая скорость (PSV, см / сек).
- PSV может быть измерена в ручном режиме или путем автотрассировки.
Рис.5. Цветовое картирование Виллизиева круга.
Рис.6. Допустимая форма кривой при исследовании средней мозговой артерии. Угол инсонации около 0°.
Рис.7. Запись допплерографии в венозном протоке без коррекции угла. Низкая скорость фильтра стенки сосуда (стрелка) не влияет на а-волну (а) и далека от базальной линии. Высокая скорость развертки позволяет детально визуализировать изменения скорости.
Рис.8. Запись кривой кровотока в венозном протоке в 36 недель с повышенной частотой (а). Препятствия в виде дополнений повышенной эхогенности вдоль базальной линии приводят к усложненной дифференциации реверсного потока крови (стрелки). (b) повторная запись с небольшим увеличением низкочастотного фильтра стенки сосуда (стрелка) улучшает качество и позволяет четко визуализировать реверсный кровоток (стрелки).
Методика проведения цветной допплерографии в венозном протоке
- Венозный проток соединяет внутрибрюшную часть пупочной вены и левую часть нижней полой вены, чуть ниже диафрагмы.
- Отображение цветного допплера демонстрирует высокую скорость кровотока в узком входе венозного протока, подтверждая свою идентификацию.
- Измерение кровотока лучше проводится в сагиттальной плоскости передней нижней части живота плода.
- На ранних сроках беременности следует уменьшить цветной объем.
- Форма кривой, как правило, трехфазная.
- Скорость кровотока относительно высокая: от 55 до 90 см/сек в течение большей части второй половины беременности, однако ниже на ранних сроках беременности.
Какие показатели использовать?
С/Д соотношение, ИР и ПИ - три известных показателя для описания артериальных форм волны. ПИ показывает линейную корреляцию сосудистого сопротивления, С/Д соотношение и ИP показывают параболическую связь с увеличением сосудистого сопротивления. ПИ является наиболее часто используемым показателем в современной практике. Аналогичным образом, пульсационный индекс вен (ПИВ) наиболее часто используется для венозных форм волны. Использование абсолютных скоростей, а не полуколичественных индексов может быть лучшим в перинатальном исследовании фетоплацентарного кровотока. Для проведения исследований рекомендуем использовать аппарат от компании GE Voluson E8.
УЗДГ беременных: важнейшее исследование на поздних сроках

Ультразвуковая допплерография (УЗДГ) - метод диагностики, основанный на эффекте Доплера, который дает возможность дать оценку кровоснабжения различных органов и тканей. УЗДГ основан на изменении частоты ультразвуковых волн при отражении их от движущихся объектов.
СТОИМОСТЬ НЕКОТОРЫХ УСЛУГ ГИНЕКОЛОГА В НАШЕЙ КЛИНИКЕ В САНКТ-ПЕТЕРБУРГЕ

*Клиника имеет лицензию на оказание этих услуг
УЗДГ объединяет в себе стандартное УЗИ и эффект Доплера, тем самым позволяя рассмотреть состояние сосудов и движение крови по ним. Исследование особенно важно при беременности, ведь вся жизнедеятельность плода осуществляется именно с помощью кровотока.
Чем отличается УЗДГ при беременности от обычного УЗИ
В зависимости от применяемых режимов одновременно выделяют: дуплексное и триплексное УЗГД. Как правило, для оценки внутриутробного состояния плода используют дуплексную допплерографию. При нем обычное серошкальное УЗИ сочетается с одним из режимов допплерографии, который в режиме реального времени передает изображение.
При триплексном сканировании режим УЗИ объединяется с режимом допплерографии и с цветным картированием кровотока, что позволяет оценить анатомию сосуда и его проходимость.
Когда назначают
Однако есть показания, при которых врач назначает УЗДГ и на более ранних сроках, а именно:
- При патологии плаценты (отслойка, отставание либо быстрое созревание плаценты, образование внутриплацентарных тромбов);
- Результаты УЗИ показали несоответствие плода сроку беременности (гипотрофия плода);
- При гестозе (осложнения при беременности, которые связаны с отеками, повышенным давлением, судорогами, потерей белка с мочой);
- При многоплодной беременности;
- В случае заболеваний матери, которые связаны с патологией сосудов. Например: сахарный диабет, болезни почек, гипертония (стойкое повышение артериального давления), болезни почек, нарушения свертываемости крови;
- В случае прерывания предыдущей беременности (мертворождение, выкидыш). А также при осложнениях предыдущей беременности;
- Возраст беременной свыше 35-ти лет;
- После травм живота;
- По результатам УЗИ - плод обвит пуповиной.
Что показывает
УЗДГ показывает: как ощущает себя ребенок в утробе матери, оценивает кровоток в пуповине, в сердце и в других органах ребенка. Также оценивает работу плаценты и кровотока в маточных артериях. Качественно проведенное исследование позволяет выявить сердечные пороки.
Этот метод диагностики позволяет соотнести полученную информацию с нормативными таблицами, тем самым определив наличие или отсутствие патологий в развитии плода.
Расшифровка УЗГД при беременности
Если УЗГД проводит опытный врач, он расшифровывает результат на месте. В остальных случаях нужно отнести результаты лечащему акушеру-гинекологу.
Расшифровка УЗГД содержит следующие характеристики:
Систоло-диастолическое отношение в сосудах. СДО рассчитывается по формуле. Врач определяет соотношение максимальной скорости в сосуде в систолу и остаточной скорости - в диастолу. Показатель вычисляется для крупных сосудов матки, плода и пуповины. ДСО каждого сосуда меняется в зависимости от срока.
Норма СДО в артерии пуповины
Норма СДО в артериях матки в III триместре: 1,3-3,7
Индекс резистентности
ИР также рассчитывается по формуле. Гинеколог вычисляет отношение СДО к максимальной скорости движения крови в сосуде в систолу. Чем выше результат, тем хуже проходимость сосуда и тем больше сопротивление кровотока. Нормы УЗДГ при беременности по ИР зависят от сроков беременности, вида и диаметра сосуда.
1. Индекс резистентности в артериях матки в III триместре: 0,3-0,9.
2. Индекс резистентности в артериях пуповины:
| Срок, неделя | Индекс резистентности (ИР) |
| 16-19 | 0,78 |
| 20-22 | 0,74 |
| 23-25 | 0,71 |
Норма скорости кровотока в сосудах матки в III триместре в среднем: 60-71 см/секунду.
Пульсационный индекс
ПИ в III триместре должен составлять 0,4 -,64.
Результаты УЗГД дают возможность понять:
- не страдает ли плод от внутриутробной гипоксии, и если недостаток кислорода есть, то насколько состояние опасно;
- есть ли проблемы из-за конфликта по резус-фактору;
- степень повреждения сосудов матки, плаценты и плода из-за сахарного диабета, кардиальной патологии или гипертонической болезни женщины;
- есть ли проблемы развития при многоплодной беременности, как связаны и развиваются сосуды у близнецов.
Подготовка
Никакой специальной подготовки для проведения ультразвуковой допплерографии не требуется. Однако некоторые врачи отмечают, что лучше проводить УЗДГ через пару часов после еды. Это связано с тем, что после приема пищи, как правило, ребенок становится более активный. Это может исказить результаты исследования. Также не следует увлекаться продуктами, способными вызвать газообразование (овощи, фрукты).
Как проводится
Процедура совершенно безболезненна и полностью безопасна, но требует времени для выполнения. УЗГД займет 20-30 минут. Время проведения процедуры может увеличиться при наличии осложнений.
Для проведения исследования женщина ложится на спину, реже на бок. На оголенный живот наносится специальный гипоаллергенный гель, который обеспечивает нормальное прохождение ультразвуковой волны, и прикладывается датчик, вся информация поступает на экран. Врач обследует состояние маточных артерий, пуповину, среднюю мозговую артерию плода. Исследование: венозного протока, внутрисердечного кровотока ребенка, грудной аорты, почечных артерий, - выполняется при наличии показаний.
Заключение необходимо предоставить акушеру-гинекологу, который ведет беременность. Врач, обобщив результаты исследования, проводит общую оценку состояния плода и назначает лечение, при необходимости.
УЗДГ является это важный метод обследования. Выявление патологий на раннем сроке поможет назначить необходимое лечение. Если отклонения значительные и угрожают жизни ребенка - это показание для родоразрешения раньше срока.
Допплерометрия плода выявляет патологии кровотока при беременности

Доплерометрия при беременности - это современный метод диагностики при помощи ультразвука, позволяющий объективно и полноценно исследовать кровообращение плода, плаценты и матки. По состоянию кровеносной системы можно оценить состояние плода, скорость его развития — не страдает ли малыш от недостатка кислорода, а также возможные патологические изменения. Допплерометрия плода — единственная методика, способная показать точное нахождение патологии сосудов (в матке, пуповине или плаценте).
Зачем и когда проводить допплерометрию при беременности
Сегодня заболевания сосудов — одна из наиболее распространенных проблем в медицинской практике. Своевременная диагностика позволяет выявить такие патологии еще на ранней стадии развития, а вместе с тем и многие факторы, способные вызвать развитие нарушений кровообращения.

Ценность процедуры заключается в её высокой информативности, благодаря чему врач способен выявить не только уже развившуюся патологию, но и практически незаметные доклинические симптомы болезни. Процедура назначается после полного формирования плаценты — не ранее 18 недель, чаще на 32-34 неделе в качестве плановой проверки.
При наличии даже незначительных подозрений на нарушения развития плода - УЗИ с доплером проводят на любом сроке. Доплер делают в комплексе со скрининговым УЗИ , при этом по ощущениям для беременной женщины процедура ничем не отличается от классического УЗ-обследования.
Суть метода
Этот способ изучения кровеносной системы основан на применении эффекта Доплера.
Для обследования используется такой же ультразвук, как и при обыкновенном ультразвуковом исследовании. Отличие заключается в особом датчике, работающем на основе допплеровского эффекта, и интерпретации полученных данных. При исследовании фиксируются ультразвуковые волны, отраженные не от статичных тканей, а от подвижных объектов - клеток крови, в результате чего частота отраженных лучей сильно изменяется в сравнении с изучаемыми. Аппарат обрабатывает полученные данные и создает двухмерное цветное изображение. Благодаря этому возможно оценить скорость и направление кровотока, анатомию и проходимость сосудов.
Длительность допплерографии составляет 20 - 40 минут. Она не имеет ни противопоказаний, ни осложнений, ни негативного воздействия на организм. Исследование совершенно безболезненное и безопасное.
Показания
Гинекологи рекомендуют проходить обследование с доплером 1-2 раза во время беременности вместе с плановыми УЗИ . Если же есть проблемы, доппплер плода нужно сделать в ближайшие сроки. В основном допплерометрия назначается при несоответствии размеров плода гестационному возрасту. Также процедура проводится в следующих случаях:
- осложнения в вынашивании ребенка;
- фетоплацентарная недостаточность;
- у матери присутствуют хронические и тяжелые заболевания (сахарный диабет, гипертония, анемия, системные заболевания);
- резус-конфликт беременной и ребенка;
- многоплодная беременность;
- неиммунная водянка плода;
- неправильное положение плода в матке;
- преждевременное созревание плаценты;
- обвитие шеи ребенка пуповиной, подозрение на гипоксию;
- выраженное маловодие / многоводие;
- гестоз (поздний токсикоз, сопровождающийся ухудшением работы почек, сосудов и мозга — появляется белок в моче, повышается давление);
- травмы живота у беременной;
- хромосомные патологии младенца;
- плод шевелится меньше обычного или шевеления не ощущаются вовсе;
- неудовлетворительные результаты кардиотокографии;
- осложнения в вынашивании предыдущей беременности (преждевременные роды, выкидыш и т.д.).
Также УЗИ плода с доплером нужно пройти в случаях, если матери нет 20 лет или ей более 35 лет.
Что выявляет допплерометрия плода
Допплер помогает своевременно выявить гипоксию плода и избежать проблемы еще до того, как ребёнку будет угрожать опасность, или же свести негативные последствия к минимуму. С его помощью врач может узнать причины обвития пуповиной и увидеть сколько раз и насколько туго обвита шея младенца. Без этой жизненно необходимой информации специалисты не смогут выбрать правильную тактику родов, что ставит под угрозу здоровье и жизнь ребенка.
Также с помощью доплера можно увидеть:
- состояние и ритм работы сердца плода в состоянии покоя и движения;
- состояние сердечных клапанов основных кровеносных сосудов, артерий и вен;
- скорость и объем кровотока периферийной кровеносной системы;
- кровообращение в пуповине и плаценте;
- состояние кровеносной системы, сердца и почек беременной.
Полученная информация позволяет врачу оценить:
- проходимость и состояние сосудистого русла, наличие отклонений, блокирующих кровоток плода;
- насыщение кровью и питательными веществами всех тканей ребенка;
- проходимость и состояние пуповины, обвитие шеи младенца;
- эффективность работы плаценты;
- состояние и работа кровеносной системы женщины в период беременности.

Подготовка и особенности проведения УЗИ плода с доплером
Процедура не требует никаких подготовительных мер: ни рацион питания, ни наполненность мочевого пузыря и желудка не оказывают влияния на результаты обследования. Единственная рекомендация — сделать перерыв в еде на пару часов до обследования.
Беременной нужно взять с собой следующее: направление и результаты прошлых анализов и обследований (УЗИ, КТГ, ЭКГ), обменную карту беременной. Бумажные салфетки и одноразовую пеленку или полотенце не нужны — в нашей клинике все предоставляется бесплатно.
Методика проведения допплерометрии аналогична трансабдоминальному УЗИ. Женщина ложится на кушетку спиной и оголяет живот. Врач наносит на исследуемый участок специальный гель для лучшей проходимости ультразвуковых волн и затем водит по нему датчиком, параллельно исследуя полученные данные на мониторе. Интерпретация результатов выдается женщине в тот же день.
Доплерометрию при беременности можно проводить несколькими способами:
- Ультразвуковой допплер - применяется для оценки направления, интенсивности, характера кровотока в сосудах.
- Дуплексное исследование - отличается от предыдущего метода большей точностью и информативностью. Применяется для оценки кровотока сосудов и их анатомии.
- Цветное картирование - состояние даже мельчайших сосудов и их проходимость кодируется цветом.
Расшифровка результатов допплерометрии плода
Оценка состояния кровоснабжения с помощью допплера формируется на основе следующих показателей:
- Систоло-диастолическое отношение - отношение максимальной и минимальной скорости кровотока;
- Индекс резистентности - отношение разницы максимальной и минимальной скорости кровотока к максимальной в период сжатия;
- Пульсационный индекс - отношение разницы максимальной и минимальной скорости кровотока к средней скорости за полный цикл сердца.
Допплерометрия плода: норма по неделям и прогноз при отклонениях
Чтобы расшифровка результатов прошла правильно и все отклонения были выявлены, необходимо сравнить полученные данные с нормативными значениями с учетом гестационного срока.
УЗИ при беременности в СПБ: расшифровка терминов

УЗ-исследование — единственная неинвазивная (проводимая без вмешательства в организм) методика, позволяющая полноценно наблюдать за ростом и развитием плода. Своевременно проведенное УЗИ при беременности выявляет свыше 95% тяжелых пороков развития плода и осложнений беременности.

Важные факты про УЗИ беременных
- УЗИ — лучший способ отслеживать состояние матери и ребенка. Этот метод точный, дешевый и самый объективный, так как наблюдение ведется визуально с фиксацией результатов на снимках и видео.
- Каждая беременная женщина обязательно должна три плановых УЗИ: УЗИ в первом триместре , УЗИ во втором триместре , УЗИ в третьем триместре . Также могут проводиться внеплановые (внескрининговые) УЗИ .
- Исследование со 100% точностью выявляет опасные для жизни состояния — внематочную и замершую беременности, проблемы, угрожающие жизни малыша — патологии плаценты и пуповины, показывает недоразвитие органов и конечностей, хромосомные патологии у плода.
- УЗИ проводится как минимум 3 раза за беременность, если есть подозрения на патологии или есть необходимость отслеживать развитие плода, исследование выполняется столько раз, сколько это необходимо.
- Безопасность УЗИ при беременности доказана исследованиями и временем. Метод используется более 30 лет, через него прошли несколько поколений мам и детишек. До сих пор нет ни одного факта, свидетельствующего против методики. Об этом же говорят выводы авторитетного в научном мире учреждения — Американского Института Ультразвука в Медицине.
- Обследование может проводиться в разных режимах: 2Д, 3Д и 4Д, с использованием датчика доплера. На первых этапах информативен 2D формат, затем (вторая половина беременности) к 2D добавляются 3Д УЗИ и 4Д УЗИ .
- Качество УЗИ при беременности гарантируется только при проведении обследования с помощью новых аппаратов и специалистами, имеющими специальный сертификат.
В клинике Диана установлен новый аппарат УЗИ 3Д, 4Д С ДОПЛЕРОМ ОТ SAMSUNG MEDISON. Видео УЗИ можно посмотреть ЗДЕСЬ . Обследование проводят опытные специалисты — члены Российской ассоциации специалистов УЗИ в акушерстве, гинекологии, перинатологии.
А теперь рассмотрим, что означают те или иные диагнозы, которые часто ставят беременным на УЗИ.
Единственная артерия пуповины: стоит ли волноваться?
Бывает, что на УЗИ врач ставит диагноз «единственная артерия пуповины». Беременные женщины, прочитав заключение, нервничают и задают вопросы: что это, опасно ли это, что теперь делать? Чтобы на них ответить, давайте рассмотрим это состояние в подробностях.
Обычно пуповина включает в себя три сосуда, проводящие кровь, разной толщины: 2 сосуда крупные — это артерии и один тонкий — вена. Диагноз «единственная артерия пуповины» говорит о том, что в пуповине вместо 2-х артерий сформирована одна. Т.е. пуповина состоит из двух сосудов — одной артерии и одной вены. Так как такое строение не соответствует норме, его признают пороком развития пуповины.
Всегда ли это опасно? Нет! Если на УЗИ не обнаруживается дополнительных проблем, плод развивается нормально, то можно не беспокоиться. На самочувствии новорожденного патология никак не скажется, так как одна артерия может обеспечивать плод всем необходимым всю беременность в полной мере.
Бывает и наоборот — эта патология пуповины говорит о наличии серьезных проблем, поэтому нужно провести очень тщательное обследование и следить за развитием плода придется всю беременность.
О чем может говорить эта патология:
- О проблемах с сердечно-сосудистой системой . При сочетании пороков сердца и сосудов, возможно слабое развитие плода и рождение малыша с патологиями сердечно-сосудистой системы. Поэтому необходимо тщательное обследование с упором на изучение состояния сердца и сосудов.
- Возможность задержкивнутриутробного роста и развития . Патологии отслеживают на плановых скринингах и внескрининговых УЗИ , первое из которых нужно обязательно пройти в 28 недель беременности.
- Синдром Дауна или др. хромосомные патологии у плода . Этот признак — субъективный, т.е. он не может служить основанием для постановки диагноза. Малые маркеры, вроде этого, относятся к признакам лишь потому, что они встречаются вместе с серьезными патологиями, что может быть просто совпадением.
Вывод. Если на УЗИ обнаружена единственная артерия пуповины, нужно пройти внеплановое обследование в 28 недель, где гинеколог оценит темпы роста и развития плода, и уделить больше внимания генетическому скринингу и обследованию сердечно-сосудистой системы малыша.
Кисты сосудистых сплетений у плода
Сосудистые сплетения — первые зачатки головного мозга у плода. При нормальном развитии формируется два сосудистых сплетения из которых впоследствии развиваются две половины мозга. В сосудах сплетения находится питательная жидкость, необходимая для развития спинного и головного мозга, поэтому значение этой структуры сложно переоценить
Вывод. При обнаружении кист сосудистых сплетений, нужно пройти дополнительное контрольное УЗИ в 28 недель. Если кисты не рассосались, врач должен убедиться, что это именно кисты, а не другие новообразования. Другие новообразования потребуют дальнейшего обследования.
Маркеры хромосомной патологии плода
Маркерами называют признаки хромосомной патологии плода . Они бывают объективными и субъективными (малыми). Все маркеры, обнаруженные на УЗИ не являются основанием для постановки диагноза, и тем более не служат основанием для аборта .
Если гинеколог обнаруживает на УЗИ объективные маркеры хромосомных патологий, он направляет беременную женщину на дополнительное обследование — инвазивную пренатальную диагностику. Она покажет истинную картину состояния плода.
Инвазивной пренатальной диагностикой называется микроскопическое исследование клеток плода — хорионбиопсия/плацентобиопсия.
- Хорионбиопсию делают до 14-ти недель беременности, пока существует хорион.
- Плацентобиопсию проводят после 14 недель, когда из хориона развивается плацента.
Методика выполнения в обоих случаях одинакова.
У беременной, методом прокола брюшной стенки, берут ворсинки из хориона плода (орган из которого образуется плацента) и подсчитывают в них количество хромосом. Если хромосомы в клетках соответствуют нормам, хромосомные патологии у плода исключаются на 99%. При плацентобиопсии берут клетки плаценты. Результативность анализа — такая же.
Бояться процедуры не нужно. Риск инфицирования во время хорионбиопсии сводится к нулю, а риск выкидыша (прерывания беременности) не превышает 1%.
Вывод: Учитывая, что пропустить хромосомную патологию у плода гораздо страшнее, ведь это практически всегда неизлечимая болезнь, пройти диагностику нужно. Тем более, что в настоящее время хорионбиопсия (плацентобиопсия) — единственный метод, гарантирующий точность диагноза без внутриматочного вмешательства.
Расширение почечных лоханок (пиелоэктазия)
Почечные лоханки — полости, в которых собирается моча, поступающая из почек. Далее урина уходит через мочеточники в мочевой пузырь. Причина пиелоэктазии — препятствие на пути оттока мочи из-за чего лоханки раздуваются и растягиваются. При легкой форме плоду ничего не грозит, при тяжелой форме пиелоэктазии отток мочи из почек ухудшается — такая патология опасна.
Умеренная пиелоэктазия в большинстве случаев не опасна, так как орган при созревании мочеполовой системы восстанавливается до нормальных значений. Выраженное расширение (от 10 мм) приводит к атрофии почечной ткани, далее присоединяется пиелонефрит - воспаление почки. В итоге почка, в обязанности которой входит фильтрация мочи, слабо функционирует, и продукты распада урины отравляют организм.
Расширение лоханок почек — субъективный маркер синдрома Дауна, поэтому основанием для постановки такого диагноза не является.
Вывод. Врачи настоятельно рекомендуют при выявленной пиелоэктазии пройти контрольное УЗИ в 32 недели. Если расширение почечных лоханок значительное, лечение малышу будет назначено сразу после родов. При умеренной патологии, ребенка нужно будет показывать урологу каждые 3 месяца. Если болезнь будет прогрессировать, назначается малотравматичная операция с целью устранения препятствия, закрывающего выход моче.
Гиперэхогенный кишечник
Эхогенность — это способность тканей отражать ультразвуковые волны. Чем плотнее ткань, тем выше эхогенность. На снимках УЗИ эхогенность выражается цветом, в частности гиперэхогенные органы самые яркие. Следовательно гиперэхогенный кишечник — это не диагноз, ведь такого заболевания нет, это характеристика тканей органа.
Эхогенность здорового кишечника всегда выше эхогенности печени, легких, почек, но в умеренном варианте. При гиперэхогенности плотность ткани соответствует плотности костей плода, что уже не нормально.
Опасно ли это? Если этот признак временный и при изучении плода в динамике исчезает, повода для волнений нет. В остальных случаях требуется дополнительное обследование.
- Гиперэхогенность кишечника один из симптомов синдрома Дауна. Поэтому, заметив повышенную эхогенность, доктор тщательно исследует анатомию плода. При этом только по повышенной эхогенности ставить такой диагноз нельзя: как было сказано выше, такое состояние встречается у абсолютно здоровых малышей.
- Гиперэхогенность кишечника может говорить о внутриутробной инфекции плода. Это опасное состояние, приводящее к выкидышам, замиранию беременности или рождению больного малыша. Поэтому гинеколог обязательно назначит дополнительные анализы.
- Повышенная эхогенность кишечника может быть симптомом задержки внутриутробного развития. В этом случае УЗИ покажет недостаточный рост и отставание физического развития плода от норм по срокам беременности. Часто параллельно выявляются нарушения кровотока в сосудах и маловодие.
Вывод . При диагнозе гиперэхогенность кишечника нужно пройти дополнительные обследования: биохимический тест на генетические патологии, анализы на ТОРЧ-инфекции, внеплановое УЗИ через месяц, чтобы оценить темпы развития плода.
Гиперэхогенный фокус желудочка сердца
Гиперэхогенный фокус - это участок сердечной мышцы, имеющий повышенную плотность. Как и в случае с гиперэхогенностью желудка (см. выше) — это не диагноз, а показатель плотности ткани. Плотность в желудочке сердца у плода может повышаться из-за скопления в этом месте солей кальция.
- Если этот симптом не связан ни с какими патологиями, и в динамике исчезает, можно не переживать — соли кальция не приводят к порокам сердца и не мешают органу работать.
- Иногда такое состояние отмечается при синдроме Дауна, однако этот малый маркер не является поводом для постановки этого серьезного диагноза.
Вывод. Если доктор отмечал на УЗИ повышенный гиперэхогенный фокус сердечной мышцы у плода, то нужно пройти внеплановое УЗИ с целью детального обследования сердца на 32-34 неделе. Также нужно более внимательно отнестись к диагностике хромосомных патологий. Если гиперэхогенность желудочка сохранилась, но других признаков патологии сердца нет, малышу ничего не грозит.
Где пройти экспертное УЗИ при беременности в СПБ
Приглашаем будущих мам на обследование в специализированный медицинский центр Диана. Здесь вы сдадите все анализы, в том числе на генетику и инфекции, и пройдете УЗИ плода, получив расшифровки тестов на руки. На УЗИ проводится видеозапись результатов на диск. Также к вашим услугам консультации гинеколога, уролога, эндокринолога и онколога.
Что такое УЗИ-доплер, зачем его проводят при беременности?

Если подошло время очередного скрининга, врач может назначить доплер УЗИ при беременности. Не все будущие мамы знают, зачем нужен этот дополнительный метод исследования, и волнуются — все ли в порядке с малышом. Переживать не нужно, доплер — это один из методов ультразвукового исследования, он оценивает не строение органов и тканей, а кровоток в крупных сосудах как плаценты, так и пуповины и тела ребёнка. Это исследование позволяет сделать вывод — получает ли малыш достаточное количество кислорода и питательных веществ.
Общие принципы исследования
Во время беременности доплерография может использоваться для оценки кровотока в матке матери или, чаще, кровообращения у плода. Ток крови в артериях имеет иной внешний вид, чем в венах. Венозный отток в основном равномерный, без изменений во время сердечного цикла, если только у плода нет неблагоприятной клинической ситуации, такой как ограничение внутриутробного развития.
Артериальный кровоток совсем другой. Независимо от оцениваемой артерии скорость крови, проходящей через артерию, будет изменяться в течение каждого сердечного цикла. Она будет максимальной, когда сердце первоначально выталкивает кровь из левого желудочка в период систолы. Затем желудочек снова начинает заполняться, что называется диастолой. На экране врач видит графики, которые сравнивает с нормативами, делая заключение после процедуры УЗИ.
Проведение доплер УЗИ при беременности

Доплеровское сканирование измеряет кровоток через пуповину и в различных частях тела ребёнка, таких как головной мозг и сердце. Это помогает оценить, получает ли он весь кислород и питательные вещества, в которых нуждается, через плаценту и пуповину. Доплер УЗИ при беременности проводится во время обычного исследования, так как используется то же оборудование. Большинство современных аппаратов, которые применяются в клиниках, имеют дополнительную возможность проведения доплерометрии.
Врач, проводящий сканирование, нанесет немного геля на живот будущей мамы и переместит датчик на кожу. Датчик посылает звуковые волны, которые отражаются от клеток крови в сосудах ребёнка, что позволяет отразить на экране в реальном времени кровообращение внутри сосудов. Врач видит, как течет кровь, с какой скоростью и в каком направлении. Это дает наиболее полное представление о том, как развивается малыш.
Доплер УЗИ при беременности займет всего несколько минут во время планового осмотра. Врач сразу же напишет заключение, отметив все нюансы, выявленные во время процедуры.
Безопасно ли доплеровское сканирование?
Как и любое ультразвуковое исследование, доплеровское сканирование безопасно, если его выполняет специалист на профессиональном оборудовании. Оно позволяет получить четкое представление о здоровье и особенностях развития, кровообращении ребёнка. Но доплерография не должна использоваться до 24 недель. Обычно она проводится в конце второго либо в третьем триместре.
Зачем нужно доплеровское сканирование?
Врач, наблюдающий будущую маму во время беременности, может порекомендовать сделать доплеровское сканирование, если есть определенные проблемы со здоровьем или выявлены отклонения в развитии плода. Также доктор рекомендует доплер, если у будущей мамы низкий или высокий ИМТ, она беременна близнецами, ранее были выкидыши, мертворождение или пороки развития плода.
Исследование показано, есть у матери имеется заболевание, например, диабет или высокое кровяное давление, у нее отрицательный резус-фактор, и есть риск конфликта, женщина курит. Доплерометрию рекомендуют, если рост ребёнка отклоняется от нормативных значений, он слишком маленький или, наоборот, крупный для своего срока.
Если вес и рост малыша очень малы, сканирование позволяет определить, нормально ли работает плацента и обеспечивает ли она ребёнка достаточным количеством кислорода и питательных веществ.
Что смотрит врач во время доплеровского сканирования?

Врач УЗИ будет проверять различные области, в зависимости от того, какая информация нужна о течении беременности и развитии ребёнка.
Доплерография маточных артерий. Это сосуды, по которым кровь поступает в матку. При исследовании оценивается, достаточное ли количество крови достигает плаценты. Растущему ребёнку нужно много питательных веществ и кислорода, чтобы его органы и ткани правильно формировались. Поэтому стенки маточных артерий должны быть эластичными, чтобы пропустить как можно больше крови. При беременности эти относительно маленькие артерии увеличиваются в размерах, чтобы через них протекало больше крови. Это называется снижением сопротивления. Если кровь не может легко проникнуть в плаценту, малыш недополучает необходимые ему питательные вещества и кислород через пуповину. Доплерография маточных артерий также показана, если высока вероятность развития преэклампсии, которая влияет на эффективность работы плаценты.
Доплерография пупочной артерии. Если врач считает, что ребёнок медленно растет, на него влияют резус-антитела, или женщина носит двойню, может понадобиться исследование пупочной артерии. Оценивается кровоток от тела ребёнка через пуповину к плаценте. Если при доплеровском сканировании пупочной артерии обнаружены какие-либо проблемы, врач может провести дополнительные доплеровские сканирования для анализа кровотока в мозге ребёнка и его аорте, которая является главной артерией в его теле.
Если какое-либо из сканирований показывает, что ребёнок не получает достаточного количества питательных веществ или кислорода, ваш врач может назначить необходимое лечение или посоветовать готовиться к родам раньше срока.
Зачем нужны частые УЗИ?
По мнению исследователей, дополнительные УЗИ, в том числе с доплером, проводимые в третьем триместре, могут помочь в выявлении пропущенных ранее аномалий в развитии плода. Недавно в журнале Ultrasound in Obstetrics & Gynecology были опубликованы результаты исследования с участием более 50 тысяч будущих матерей. Ученые сообщили, что у каждой 200-ой женщины были выявлены аномалии в развитии плода только дополнительных поздних исследованиях УЗИ, на сроке в 35-37 недель. При этом женщины проходили УЗИ и ранее, в положенные сроки первого и второго триместров.
Только около 68% пороков выявляются в ходе первых УЗИ, большинство из них подтверждаются при втором скрининге. Примерно 0,5% пороков все же пропускается и определяется уже ближе к родам.
Читайте также:
