Исследование общего желчного протока. Методы исследования без холедохотомии.
Добавил пользователь Евгений Кузнецов Обновлено: 21.11.2025
Обтурационная (обтурация - закупорка) желтуха - опасное состояние, которое развивается у больных из-за нарушения оттока желчи, связанное с возникновением механического препятствия её току. Поэтому часто она называется механической желтухой. Так как препятствие к оттоку желчи появляется после печени, то еще эту желтуху называют "подпеченочной".
Причин для обтурации желчных протоков у взрослых пациентов много. Это:
- врожденные аномалии развития желчных протоков, которые при определенных условиях проявляют себя,
- наличие желчно-каменной болезни,
- воспалительные заболевания желчевыводящих путей,
- заболевания поджелудочной железы,
- опухоли - как доброкачественные, которые из-за своего расположения или размера сдавливают или перекрывают желчевыводящие протоки, так и злокачественные.
Кроме того, причиной нарушения оттока желчи может стать глистная инвазия, перенесенные ранее оперативные вмешательства и прочее. Однако, в большинстве случаев причиной закупорки все-таки являются злокачественные новообразования.
В норме желчь течет по протокам согласно градиенту давления. Выделение её из печени происходит под давлением 300-350 мм рт. ст., далее, накопившись в желчном пузыре, она выталкивается из него, благодаря его сокращению, под давлением 250 мм рт. ст., и, если расслаблен сфинктер Одди, свободно истекает в 12-перстную кишку, где смешивается с соком поджелудочной железы и поступающей пищей.
Содержащийся в желчи билирубин, попадая в кишечник, под воздействием ферментов бактерий, которые живут в кишечнике, становится стеркобилиногеном, который окрашивает стул в коричневый цвет. При уменьшении количества поступающей в кишечник желчи каловые массы светлеют. А при полной закупорке - приобретают бело-серый цвет.
Механизмы развития механической желтухи
Желтуха развивается потому, что естественный отток желчи снижен или остановлен, а печень продолжает вырабатывать желчь, несмотря на механическое препятствие. В результате желчь пропотевает в стенки желчного пузыря и протоков, а желчные пигменты (билирубин) поступают в кровь и лимфатическую систему (холемия). Склеры, кожа, слизистые окрашиваются в желтый цвет.
Токсическое действие желчных кислот оказывает влияние:
- на синусовый узел сердца, что приводит к урежению ритма (возникает брадикардия);
- на центр блуждающего нерва, на стенки кровеносных сосудов - снижается артериальное давление;
- страдает центральная нервная система - возникает подавленное настроение, нарушается сон, беспокоит головная боль, утомляемость и слабость.
- сильный кожный зуд - обусловлен раздражением кожных рецепторов желчными кислотами.
При возникновении препятствия в желчных ходах нормальный ток желчи прерывается, и желчь не поступает в кишечник, кал становится светлым (ахоличным). Расстраивается кишечное пищеварение. Нарушается усвоение жиров, кал становится жирным (стеаторея), не усваиваются жирорастворимые витамины - токоферол, витамин К, ретинол. В результате недостатка в организме витамина К возникает нарушение свертывания крови, и появляется повышенная кровоточивость, а также многочисленные симптомы других авитаминозов.
Вследствие того, что почки пытаются освободить кровь от избытка билирубина, моча, напротив, сильно темнеет. Желчные кислоты уменьшают поверхностное натяжение мочи, в результате она сильно пенится («пивная» моча).
Симптомы механической желтухи
Итак, при обтурационной желтухе наблюдаются:
- желтый цвет (канареечный цвет с землистым оттенком) кожи, склер и слизистых,
- характерен кожный зуд,
- светлый кал,
- темная моча,
- астеновегетативные расстройства,
- брадикардия и снижение А/Д.
Другие симптомы связаны с основным заболеванием или являются осложнением заболевания. Боли:
- Если причиной обтурации желчных протоков является опухоль, развивающаяся в них, в области большого дуоденального сосочка или в головке поджелудочной железы, то боль тупая, локализуется в эпигастрии и отдает в спину. Только 20% пациентов с такой локализацией опухоли не жалуются на боли вообще.
- Совсем другой характер носят боли при обструкции протоков камнями. Они острые (колика), локализуются справа в подреберье, отдают под лопатку, под мышку, за грудину.
Через 1-2 дня после болевого приступа появляется желтуха.
- Гипертермия возникает при присоединении воспаления в желчных путях (холангит). Температура носит фебрильный характер и может появиться на любом этапе болезни.
- Часто может увеличиваться печень.
- На коже обнаруживаются расчесы и гематомы, даже при незначительных травмах.
- У пациентов на веках возникают ксантомы-отложения холестерина, которые выступают над кожей, имеют желтоватый цвет, хорошо очерчены около 5-6 мм в диаметре.
Состояние пациента резко ухудшается при возникновении обтурационной желтухи и может серьезно угрожать жизни. Поэтому при первых признаках появления этого состояния необходимо обратиться в стационар для диагностики и получения медицинской помощи.
Основные методы диагностики механической желтухи
Лабораторные
Исследование биохимии крови. Отмечается повышение:
- прямого билирубина (более 20 мкмоль/л);
- щелочной фосфатазы;
- аминотрансферазы (повышаются незначительно);
- холестерина.
В то время как тимоловая проба отрицательна.
Инструментальные
Главная цель инструментального исследования - обнаружить причину, которая привела к обтурации желчных протоков, её локализацию, характер и размер. Кроме того, найти признаки, которые обнаруживаются при подпеченочной желтухе - это расширенные желчные протоки, содержимое которых неоднородно, а стенки утолщены.
- УЗИ брюшной полости. Используется, как скрининг для проведения дифференциальной диагностики печеночной и механической желтухи. Критерии УЗИ, по которым можно уверенно диагностировать механическую причину желтухи: деформация желчного пузыря или его увеличение, расширение (более 8 мм) холедоха, других протоков - более 4 мм, обнаружение конкрементов в протоках или в желчном пузыре, а также обнаружение опухоли головки поджелудочной железы или другой локализации в области желчных путей. Если протоки не изменены, в то время как печень диффузно изменена, то это говорит в пользу печеночного варианта желтухи, а не обтурационного. Однако, согласно статистике, по данным УЗИ установить обтурационный характер желтухи можно лишь в 75% случаев.
- Лучевая диагностика. КТ брюшной полости с болюсным контрастированием. Это наиболее точный метод для обнаружения опухолей желчных протоков, поджелудочной железы или 12-перстной кишки, приведших к возникновению желтухи. К сожалению, компьютерная томография не всегда позволяет выявить мелкие не контрастные камни, даже если они привели к закупорке желчного протока. Для этой цели больше подходит МРТ.
- МРТ-холангиография. Этот метод исследования применяется, как правило, в дополнение к КТ органов брюшной полости с целью тщательного исследования желчевыводящих путей, помогает выявить причину обструкции: камни, стриктуры протоков или их сужения. Также она дает представление о паренхиматозных органах - печени и поджелудочной железе.
- Эндоскопическая ультрасонография. Этот метод является сочетанием ультразвукового исследования и эндоскопического, что позволяет исследовать органы желудочно-кишечного тракта изнутри с помощью ультразвука. Хорошо визуализируются из 12-перстной кишки поджелудочная железа и её головка, желчные протоки, стенки пищевода, желудка и т.д. Так как ультразвуковой датчик расположен вблизи органов, разрешение очень велико, что позволяет получить много важной информации. Однако, необходимо специальное оборудование, исследование занимает много времени.
Если неинвазивные методы не дают четкой диагностической картины, то применяют инвазивные методики
1.Эндоскопическая ретроградная холангиопанкреатикография (ЭРХПГ)
Этот эндоскопический метод проводится в 2 этапа в рентгенкабинете. Так как большой дуоденальный сосочек (БДС) находится на задней стороне внутренней стенки нисходящего отдела 12-перстной кишки, осмотр его производится с помощью эндоскопа с боковой оптикой. В БДС вводится канюля, через которую в желчевыводящие протоки вводят рентгеноконтрастное вещество. Затем осуществляют рентгеноскопию желчных и панкреатических протоков.
Проведение этой методики требует от врача - эндоскописта особого умения и хорошей медикаментозной подготовки пациента, так как процедура длительная и имеет определенные противопоказания.
Эту процедуру не проводят пациентам с тяжелыми соматическими заболеваниями, при остром панкреатите и непереносимости йода. Не применяют методику, если полностью обтурирован выходной отдел холедоха, когда БДС находится в зоне большого дивертикула или не доступен по другим механическим причинам.
При диагностической ЭРХПГ может применяться лечебное мероприятие - эндоскопическая папиллосфинктеротомия (ЭПСТ) с целью декомпрессии желчных путей и эндоскопическое удаление конкрементов (холедохолитоэкстракция), а также выполняться баллонная дилатация области сужения, дренирование или стентирование желчных путей.
В 3-10% случаев при ЭРХПГ возможны осложнения: острый панкреатит, холангит. При папиллотомии (редко -1%) могут быть кровотечения и перфорация 12-перстной кишки. Поэтому, чаще всего, планируя подобное исследование, сразу подразумевают и проведение последующего лечебного вмешательства.
2. Чрескожная чреспеченочная холангиография (ЧЧХГ) с чрескожной чреспеченочной холангиостомией (ЧЧХС)
Это исследование дает информацию о потоке движения контраста в физиологическом направлении, позволяя отследить локализацию и протяженность обструкции, в отличие от ЭРХПГ. Исследование оказывается более информативным при расширенных желчных протоках (информацию удается получить в 90% случаев).
В связи с тем, что процедура является инвазивной и связана с пункцией печени, она имеет ряд противопоказаний. Такое исследование нельзя проводить при общем тяжелом состоянии больного, при нарушении свертывающей системы крови, гемангиомах печени, при нахождении кишки между передней брюшной стенкой и печенью, при асците и непереносимости йодистых препаратов.
Возможные осложнения: желчный перитонит, попадание крови в желчные протоки, кровотечение, образование свищей и др.
После ЧЧХГ часто выполняется лечебная процедура ЧЧДЖП (чрескожное чреспеченочное дренирование желчных путей), которая является паллиативной малоинвазивной операцией. Суть метода состоит в том, что желчь отводится либо наружу (наружное дренирование), либо в 12-перстную кишку (внутреннее дренирование), благодаря чему удается добиться декомпрессии в желчевыводящих протоках и купировать механическую желтуху, устранить холангит. После устранения желтухи и нормализации состояния большинству больных становится возможным выполнить радикальное оперативное лечение. Такая подготовка позволяет снизить частоту осложнений и смертность после проведения радикальных операций у больных с подпеченочной желтухой.
3. Фистулохолецистохолангиография
В некоторых случаях, когда механическая желтуха сопровождается значительным расширением желчного пузыря, имеется опухоль головки поджелудочной железы, или страдают дистальные отделы желчных протоков (когда нельзя выполнить традиционные хирургические мероприятия в связи с тяжелым состоянием пациента), то прибегают к наложению холецистостомы. Осуществить это можно пункционно под контролем УЗИ, с помощью лапароскопии либо хирургически. Если отток желчи восстановлен, то контрастировать биллиарное дерево можно, используя холецистостому.
По отдельным показаниям для диагностики используется гепатобилиосцинтиграфия, пункционная биопсия печени, эластография, ретроградная эндоскопическая или чрескожная чреспеченочная холедохоскопия с биопсией.
Синдром эндотоксемии
Повреждение структуры печени и нарушение её антитоксической функции приводят к тому, что в организме накапливаются токсические вещества, такие как альдегиды, фенолы, индол, скатол. Эти вещества и прямое вредное воздействие желчных пигментов на организм, вследствие холемии, приводят к нарушению метаболизма в целом. Страдают нервная, сердечно-сосудистая, выделительная и другие системы.
Поражение органов и систем настолько серьезны, что, даже если удается восстановить нормальный отток желчи оперативным путем, порочный круг не всегда удается прервать. Поэтому чем раньше начато лечение, тем лучше его результат.
Особенно часто при длительном существовании желтухи происходит прогрессирование не только печеночной, но и почечной недостаточности, которое не удается остановить, и это приводит к смертельному исходу.
Лечение механической желтухи
Опытным хирургам известно, что проведение операции на пике выраженной желтухи часто приводит к летальным исходам. В последнее время разработана тактика 2-х этапного лечения.
На первом этапе необходимо добиться устранения холестаза. При этом используются малоинвазивные вмешательства в сочетании с консервативными методами лечения. Применяются эндоскопические или чрескожные методы дренирования с целью выполнения декомпрессии желчевыводящих путей.
Во втором этапе на фоне затухания желтухи предпринимаются радикальные хирургические методы.
Понятно, что радикальное лечение данного состояния напрямую зависит от причины, вызвавшей обструкцию.
Например, лечение желчнокаменной болезни сводится к необходимости удаления камней из желчных протоков, где они вызвали обструкцию, и в последующем - желчный пузырь как источник миграции камней в протоки. При холедохолитиазе применяют ЭРХПГ. При эндоскопическом доступе через сфинктер Одди вводят специальный баллонный катетер, с помощью его расширяется проток и удаляется конкремент. Если размер камня велик и таким образом его не удалить, то применяется холедохотомия или сфинктеротомия. С помощью ЭРХПГ положительных результатов достигают в 85% случаев. Если камень имеет размер более 18 мм, то его предварительно дробят с помощью литотриптера, механическим, лазерным или магнитно-волновым воздействием. Это позволяет повысить эффективность РХПГ до 90%.
Если обнаружены камни в желчном пузыре, то проводится его удаление. В настоящее время это, как правило, выполняется лапароскопическим методом.
В том случае, если причина механической желтухи - опухоль, после ее устранения и улучшения состояния больного выполняются радикальные онкологические операции.
При невозможности провести радикальную операцию (4 стадия онкологического заболевания) выполняют эндопротезирование (стентирование) желчных протоков.
В нашей Клинике выполняется полный спектр диагностики, хирургического и эндоскопического лечения желчнокаменной болезни и ее осложнений. Оперативное лечение в большинстве случаев проводится малоинвазивно с применением лапароскопических, эндоскопических и рентгенэндоваскулярных технологий.
Оформите заявку на сайте, мы свяжемся с вами в ближайшее время и ответим на все интересующие вопросы.
Холедохолитиаз
Холедохолитиаз - одна из форм проявления желчнокаменной болезни, при которой конкременты обнаруживаются не в желчном пузыре, а в желчных протоках. Чаще всего - в холедохе, общем желчном протоке.
Причём они либо попадают туда из желчного пузыря, либо образуются непосредственно в холедохе. Как правило, лечение такого заболевания оперативное. Отметим, что заболевание является достаточно серьёзным особенно в тех случаях,когда развиваются тяжёлые осложнения в виде перекрытия протока, тогда возникает угроза жизни пациенту.
Как камни появляются в желчном протоке?
Обычно они формируются в желчном пузыре и перемещаются с током желчи через пузырный проток. При этом общий вид камней, находящихся в пузыре и в протоках, их микроструктура и химический состав идентичны. Доказательством пузырного происхождения конкрементов считается наличие на их поверхности граней, которые формируются вследствие соприкасания нескольких камней в желчном пузыре. Вероятность перемещения камней в холедох тем больше, чем шире диаметр пузырного протока. В некоторых случаях камнеобразование может происходить непосредственно в просвете самого холедоха. Это возникает при условии затруднения оттока желчи по протокам.
Причинами образования камней в желчевыводящих путях могут быть:
- Стеноз терминального (конечного) отдела холедоха.
- Проникновение из двенадцатиперстной кишки некоторых гельминтов (аскариды, кошачья двуустка).
- Выработка желчи с особо высокими литогенными свойствами в некоторых географических регионах (т.н. дальневосточный холедохолитиаз). Механизм образования такой желчи пока неизвестен. В этих случаях холедохолитиаз считается первичным.
- Иногда камни в желчных протоках выявляют спустя некоторое время (несколько месяцев, иногда несколько лет) после холецистэктомии,проведенной ранее. Это могут быть как не обнаруженные до операции и при ее выполнении камни («резидуальные» или «забытые»), так и вновь образованные («рецидивирующий» холедохолитиаз), которые сформировались в желчных протоках уже после хирургического вмешательства из-за нарушений обмена веществ, застоя желчи или наличия инфекции.
Диагностика холедохолитиаза не может основываться только на клинике. Пузырные камни в общем желчном протоке клинически выявляются не всегда, и могут существовать бессимптомно длительное время. Только появление приступа печеночной колики с последующей желтухой наводит на мысль о возможной проблеме в желчевыводящих путях. Характер печеночной колики при холедохолитиазе ничем не отличается от таковой, исходящей из желчного пузыря. Хотя иногда боль может локализоваться несколько выше и медиальнее, чем при холецистолитиазе, в надчревной области. Еще реже наблюдается непереносимая боль при внезапной закупорке камнем области дуоденального сосочка (так называемый “сосочковый илеус”).
При наличии мелких (менее 5-7 мм) конкрементов в желчном пузыре у любого больного с желчнокаменной болезнью следует подозревать присутствие камней в холедохе, так как такие размеры позволяют им беспрепятственно мигрировать через пузырный проток. Особенно следует насторожиться при билирубинемии (даже небольшом повышении билирубина в сыворотке крови). Обычно одновременно повышается уровень щелочной фосфатазы, вероятно повышение уровня аминотрансфераз. Однако, после устранения обструкции (закупорки), уровень аминотрансфераз, как правило быстро нормализуется. Тогда как уровень билирубина нередко остается повышенным в течение 2 недель, еще дольше сохраняется повышенный уровень щелочной фосфатазы.
Лабораторная диагностика.
Бессимптомный холедохолитиаз может не сопровождаться изменениями в лабораторных анализах. При развитии воспаления в крови повышается уровень лейкоцитов, СОЭ. При нарушении оттока желчи наблюдают повышение концентрации билирубина (за счёт прямой фракции), повышение уровня аминотрансфераз (трансаминаз) и щелочной фосфатазы в биохимическом анализе крови, увеличивается содержание жёлчных пигментов в моче. Может отсутствовать стеркобилин в кале. Очень грозным лабораторным симптомом является повышение амилазы крови, так как это говорит о поражении поджелудочной железы.
Инструментальная диагностика.
Ультразвуковое исследование органов брюшной полости (УЗИ) - наиболее доступный метод обследования желчных путей, по сути скриннинг-метод. Чувствительность его на предмет выявления расширения общего желчного протока составляет до 90%. Однако, не всегда специалисту ультразвуковой диагностики удается осмотреть терминальный отдел холедоха (зону слияния общего желчного и панкреатического протоков, и их впадения в двенадцатиперстную кишку), т. е. очень важный для постановки правильного диагноза отдел. Осмотру может мешать газ или жидкость (даже в небольшом количестве), находящиеся в кишке.
Поэтому во многих случаях приходится прибегать к дополнительным методам:
- Эндоскопическое УЗИ (эндосонография). Осмотр проводится специальным эндосонографическим датчиком через просвет желудка и двенадцатиперстной кишки. При таком осмотре эффективность правильной диагностики повышается до 85-100%.
- MPT-холангиография. Точность данного метода исследования составляет до 97%. При выполнении МРТ- холангиографии получают изображение желчного пузыря и пузырного протока, сегментарных, долевых желчных протоков, общего печеночного протока, холедоха и панкреатического протока. Появляется возможность точной визуализации камней в просвете протоков, их сужения или расширения. К большим преимуществам МРТ-холангиографии относится ее неинвазивность и отсутствие необходимости в использовании контрастных веществ.
Следующие два метода диагностики являются инвазивными, поэтому могут применяться только при нахождении пациента в стационаре. Речь идет об эндоскопической ретроградной холангиопанкреатографии (ЭРХПГ) и чрескожной чреспеченочной холангиографии (ЧЧХГ).
- ЭРХПГ - стандартный способ диагностики холедохолитиаза, в руках опытного врача-эндоскописта эффективен в 90 - 95% случаев. Однако этот метод сопряжён с возможным развитием серьезных осложнений: гиперамилаземии, холангита, панкреатита, забрюшинной перфорации двенадцатиперстной кишки, кровотечения. Поэтому его использование должно быть обоснованным.
- Чрескожную чреспеченочную холангиографию применяют у больных с обтурационной желтухой при невозможности выполнения ретроградной панкреатохолангиографии. При этом под контролем УЗИ или рентгеновской установки через кожу пунктируют расширенный проток правой или левой доли печени. После эвакуации желчи в просвет желчного хода вводят контрастное вещество и выполняют серию снимков. Это позволяет получить четкое изображение желчных путей, определить причину механической желтухи и уровень препятствия.
К дополнительным методам обследования можно отнести компьютерную томографию и видеодуоденоскопию.
- Компьютерная томография (КТ) брюшной полости используется при подозрении на сдавление желчных протоков извне, или наличия новообразования в их просвете.
- Видеодуоденоскопия - эндоскопическое исследование, при котором используется специальный эндоскоп с боковой оптикой, позволяющий хорошо осмотреть область большого дуоденального сосочка или «фатерова сосочка» (место впадения желчных протоков в двенадцатиперстную кишку). Это очень важное исследование, поскольку иногда причиной холедохолитиаза является патология именно фатерова сосочка (воспаление, рубцовая стриктура, опухоль, или вклиненный конкремент).
Основные проявления холедохолитиаза
Приступ желчной колики.
Конкременты в гепатикохоледохе травмируют его стенку. Повреждение слизистой происходит особенно легко в наиболее узкой части - в области большого дуоденального сосочка. Поэтому главный и самый яркий симптом печеночной колики - это боль. Ощущение боли при холедохолитиазе практически не отличается от колики при холецистолитиазе. Характерна иррадиация её в спину или поясницу. Боль может приобретать опоясывающий характер в том случае, если перекрытие конкрементом произошло в области фатерова сосочка, расположенного в 12-перстой кишке. В таком случае происходит нарушение оттока и желчи, и панкреатического сока, в результате страдает поджелудочная железа.
Механическая (подпеченочная) желтуха.
Когда камни обтурируют проток, то в желчевыводящих путях повышается давление, последние расширяются, но закупорка камнем мешает поступлению желчи в кишечную трубку, появляется так называемый ахоличный стул (осветление кала) и темная моча (цвета пива).
Таким образом, развивается механическая желтуха. Затруднение оттока желчи по желчевыводящим путям приводит к тому, что в крови появляется билирубин - желчный пигмент, которым насыщаются ткани больного человека. Кожа человека, его склеры, слизистые оболочки приобретают желтую окраску.
Однако полная закупорка и постоянная желтуха при холедохолитиазе бывают не так часто. В то же время любое препятствие оттоку желчи создает благоприятные условия для развития инфекции и воспалительного процесса в протоках. Возникает холангит, который легко развивается на фоне повреждений слизистой оболочки. Вследствие многократной травмы и воспаления могут сформироваться сужения просвета протока на его протяжении и в области большого дуоденального сосочка - стенозирующие холангит и папиллит. Распространение воспалительного процесса вверх, в сторону печени, может привести к тяжелому осложнению: холангиогенному абсцессу печени. Следует также отметить, что диаметр общего желчного протока, конечно, отражает состояние гипертензии в нем, но так бывает далеко не всегда - при нешироких протоках также может образоваться холедохолитиаз. Воспалительный процесс проявляется повышением температуры тела, ознобами, кожным зудом. В типичных случаях холангит сопровождается септической лихорадкой. Менее типичны для холедохолитиаза малые температурные пики, сопровождающие приступы болей.
При латентном холедохолитиазе характерны жалоба на тупую боль под правой реберной дугой.
При диспептической форме холедохолитиаза больной жалуется на нехарактерную давящую боль под правой реберной дугой или в надчревной области, на диспепсию, тошноту, отрыжку, газы и непереносимость жирной пищи.
1. Холангит. Как говорилось ранее, при наличии камней в желчных протоках инфекция имеет условия для своего развития, это приводит к воспалению - холангиту. При возникновении этого осложнения появляется высокая температура с ознобами и проливными потами, сильные боли в правом подреберье, тошнота, рвота. выраженная общая слабость. Опасность данного осложнения связана с тем, что на фоне развивающейся инфекции нарушается функция печени. Кроме того, если лечение не проводить своевременно, существует опасность формирования абсцесса печени, как говорилось выше, а в дальнейшем - развития общего сепсиса и печеночной недостаточности.
2. Желтуха. Всегда имеет застойный характер. Закупорка, как правило, бывает неполной и интенсивность повышения билирубина колеблется. Подозрительной в отношении холедохолитиаза должна быть не только любая желтуха на фоне печеночной колики, но и мимолетная субиктеричность, особенно, если она часто повторяется. Однако, даже тяжелый холедохолитиаз далеко не всегда проявляется желтухой. Еще Kehr отмечал, что иногда при нагромождении камней желчь, «словно горный ручей, свободно переливается через камни». Более чем у 1/3больных холедохолитиазом желтухи не бывает. Значительно реже случается проявление желтухи без сопутствующей ей желчной колики.
3. Острый панкреатит. Общий желчный проток и проток поджелудочной железы у людей в 70% случаев сливаются в одно русло и вместе впадают в 12-перстную кишку. Когда этот общий канал перекрывается камнем (обычно это случается в месте выхода в 12-перстную кишку), то и желчь, и ферменты поджелудочной железы теряют возможность выделяться в кишечник. Происходит повышение давления в желчных и поджелудочных протоках, что приводит к тяжелому осложнению - острому панкреатиту. Острое воспаление поджелудочной железы - очень тяжелое заболевание, часто смертельное. Требуется немедленное хирургическое лечение для того, чтобы устранить это препятствие, а также проведение других лечебных мероприятий.
Камни в желчных протоках - операция
Лечение холедохолитиаза может быть только хирургическим. Однако, это не означает обязательного выполнения большой операции с большим разрезом на животе.
Наиболее часто при холедохолитиазе проводится удаление конкрементов желчных протоков эндоскопическим способом.
В стационаре пациенту проводят ЭРХПГ для уточнения наличия камня, его локализации и других параметров. Если диагноз холедохолитиаза подтвержден, это исследование превращается из диагностического в лечебное. Выполняется рассечение суженной зоны Фатерова сосочка (папиллосфинктеротомия), дробление камней (литотрипсия) или их удаление (экстракция). Тактика хирурга зависит от размеров камня. Камни более 2 см обычно дробят, менее 1 см чаще отходят самостоятельно в течение 2 суток. Но как показывает практика, в большинстве случаев, чтобы удалить или обеспечить самостоятельное отхождение камней, приходится прибегать к эндоскопической папиллосфинктеротомии. Редко удается этого избежать.
Когда невозможно удалить камень эндоскопическим методом, прибегают к хирургической операции. Операцию выполняют классическим методом или путем лапароскопии. Во время операции проводят рассечение холедоха (холедохотомию) специальным инструментом и удаление камней. Во всех случаях лечения холедохолитаза одномоментно проводят удаление желчного пузыря (если он не был удален ранее). В дальнейшем после хирургического лечения необходимо проходить послеоперационное обследование, соблюдать рекомендации по режиму, питанию и приему медикаментов, которые будут назначены лечащим врачом в стационаре.
В любом случает тактика обследования и лечения должна определяться специалистом и направляться от простых методов диагностики и лечения к более сложным.
В нашей Клинике выполняется полный спектр диагностики, хирургического и эндоскопического лечения желчнокаменной болезни и ее осложнений. Оперативное лечение в большинстве случаев проводится малоинвазивно с применением лапароскопических и эндоскопических технологий.
Обследование желчных протоков
Эндоскопическая ретроградная панкреатохолангиография является современным высокоинформативным методом диагностики поражений желчных протоков, поражений печени и поджелудочной железы. Исследование выполняется при проведении дуоденоскопии (смотри выше).
При проведении дуоденоскопии производится осмотр большого сосочка двенадцатиперстной кишки. В этом месте в просвет пищеварительного тракта открываются протоки поджелудочной железы и желчные протоки. При помощи катетера производится раздельная канюляция общего желчного или главного панкреатического протока с последующим введением в них контрастного вещества и выполнением рентгенологических снимков.
Эндоскопическая ретроградная панкреатохолангиография является высокоинформативным методом диагностики камней общего желчного протока, стриктур и опухолей желчных протоков, рака поджелудочной железы, хронического панкреатита и др.
В зависимости от характера выявленных патологических изменений исследование может быть дополнено лечебными оперативными вмешательствами, которые выполняются после механического расширения большого сосочка баллоном или частичным рассечением. Инструментами, проведенными в желчные протоки, могут быть извлечены камни общего желчного протока или проведено их наружное дренирование с целью разрешения механической желтухи.
Пероральная холангиоскопия- уникальный и очень информативный метод исследования заболеваний желчных протоков. При помощи специального аппарата (холангиоскопа) можно осмотреть, взять материал для исследования и провести лечебные манипуляции в желчных протоках
Подготовка к исследованию. Исследование проводится под местной анестезией. При тяжелом состоянии пациентов или планируемом проведении оперативного вмешательства манипуляции проводятся под общей анестезией.
Эндоскопическое восстановление проходимости желчных путей в НМИЦ хирургии им. А.В. Вишневского
Повреждение желчных протоков при холецистэктомии - серьезное осложнение с тяжелыми последствиями как в ближайшем, так и в отдаленном послеоперационном периоде. К сожалению, оно зачастую приводит к инвалидизации.
Причины интраоперационной травмы желчных протоков - трудности оперативного вмешательства, связанные чаще всего с выраженными воспалительными и рубцовыми изменениями после многократных приступов желчной колики и острого холецистита, ошибочная трактовка хирургами анатомических структур при различных анатомических вариантах и аномалиях данной зоны.
Сегодня методом выбора в лечении рубцовых стриктур, в том числе ятрогенных повреждений желчных протоков, становятся эндоскопические технологии.
Пациент, диагноз
Пациентка 36 лет. Диагноз: послеоперационная рубцовая стриктура общего желчного протока. Состояние после лапароскопической холецистэктомии, чрескожной чреспеченочной холангиостомии, полный наружный желчный свищ. Паппилостеноз. Парапапиллярные дивертикулы двенадцатиперстной кишки.
Как развивались события
Пациентке по месту жительства выполнена лапароскопическая холецистэктомия, в ходе которой возникла травма общего желчного протока. После операции развилась желтуха, было проведено наружное чрескожное чреспеченочное дренирование желчных протоков для желчеоттока.
В связи с тем, что вся желчь оттекала по дренажу, организм терял много жидкости и микроэлементов, и пациентка была вынуждена в течение 8 месяцев принимать желчь перорально.
При поступлении в НМИЦ хирургии им. А.В. Вишневского пациентке выполнена фистулохолангиография (рис. 1), - это исследование показало, что тотчас после слияния долевых протоков печени отмечается полный блок общего печеночного протока. По классификации Strasberg с соавт., данную стриктуру можно отнести к типу Е2; по классификации Э.И. Гальперина - к типу «0».
Как принималось решение
Учитывая данные анамнеза и результаты обследований, по принятой в хирургическом эндоскопическом отделении тактике первым этапом была выполнена эндоскопическая ретроградная холангиография и оценка проходимости общего желчного протока, достоверно определена протяженность стриктуры и интраоперационно решен вопрос о возможности эндоскопического лечения.
Риски и особенности ситуации
Особенностью ситуации являлся полный блок общего желчного протока. Если бы планируемое эндоскопическое ретроградное вмешательство оказалось безуспешным, это могло означать необходимость выполнения большой открытой операции с реконструкцией желчных протоков. Кроме того, у пациентки имелся полный наружный желчный свищ: организм терял около 1500 мл желчи в сутки, что в свою очередь привело к его физическому и психическому истощению и ряду диспепсических расстройств.
Суть вмешательства
Эндоскопическое ретроградное вмешательство на желчных протоках - это минимально инвазивный метод лечения, которое выполняется эндоскопом с применением рентгеноскопии.
Дуоденоскоп (эндоскоп с боковой оптикой) перорально проводится в двенадцатиперстную кишку, подводится к большому дуоденальному сосочку, устье которого открывается в просвет двенадцатиперстной кишки. Через канал дуоденоскопа в устье сосочка вводится катетер и выполняется контрастирование желчных протоков специальным рентгеноконтрастным препаратом. С помощью рентгенаппаратуры оценивается полученное изображение желчных протоков и при выявлении патологии (стриктуры или конкрементов) осуществляется эндоскопическая операция, направленная на восстановление проходимости желчных путей.
В данном случае у пациентки обнаружена рубцовая стриктура (сужение) общего желчного протока, при которой его диаметр уменьшился до 1 мм на значительном протяжении.
Специальную сверхтонкую струну-проводник удалось провести в сегментарный проток правой доли печени (рис. 2), после чего принято решение первоочередно расширить просвет протока специальными эндоскопическими бужами (рис. 3, 4), постепенно увеличивая диаметр последних.
Когда необходимый диаметр был достигнут, выполнено стентирование левого долевого желчного протока печени (рис. 5).
Через установленный ранее чрескожный дренаж проведено антеградное бужирование, а затем эндоскопическая установка второго стента в правый долевой проток печени (рис. 6-7).
После установки стентов в желчные протоки желчь естественным ходом поступает в двенадцатиперстную кишку, поэтому необходимость в наружном дренаже и постоянном приеме желчи отпадает.
Комментарий хирурга
Юрий Геннадьевич Старков, доктор медицинских наук, профессор, зав. хирургическим эндоскопическим отделением НМИЦ хирургии им. А.В. Вишневского, член правления РОХ, Ассоциации Гепатопанкреатобилиарных хирургов СНГ
«Одна из «вечных» проблем абдоминальной хирургии, которую не удается решить в течение многих десятилетий, и с последствиями которой мы регулярно сталкиваемся, это травма желчных протоков при холецистэктомии. Это серьезное осложнение с тяжелыми последствиями как в ближайшем, так и в отдаленном послеоперационном периоде (частота его встречаемости достигает 0,3-0,6%, а в РФ выполняется около 200 тысяч холецистэктомий в год). К сожалению, это осложнение часто приводит к инвалидизации.
Пациенты, столкнувшиеся с этим заболеванием, а подчас имеющие длительную историю лечения, поступают к нам, имея наружные дренажи, желтуху, а порой и ряд не совсем удачных операций в анамнезе.
Особенность случая, о котором идет речь, - молодой возраст и значительное снижение качества жизни пациентки, что усугублялось необходимостью постоянно пить собственную желчь и в свою очередь отражалось на психологическом здоровье. Нашей целью было, используя самые современные минимально инвазивные технологии, улучшить качество жизни пациентки и минимизировать риски послеоперационных осложнений, что и было успешно выполнено.
Эндоскопические технологии в лечении рубцовых стриктур, в том числе ятрогенных повреждений желчных протоков, все чаще вытесняют открытые хирургические вмешательства. В настоящее время эндоскопическая установка множественных пластиковых стентов с последующей периодической их заменой каждые 3-4 месяца в течение 1 года является методом выбора в лечении доброкачественных постоперационных стриктур желчных протоков (именно так и будет выглядеть лечение нашей пациентки в ближайшее время). При этом она уже в день операции почувствовала, что вернулась к нормальной жизни - без длительного послеоперационного периода, без наружного дренажа и необходимости принимать желчь».
Операционная бригада
Оператор: Ю.Г. Старков
Ассистент: А.С. Ибрагимов
Анестезиологи: Х.В. Качалова, Р.В. Довбенко
Операционная сестра: Ю.А. Заруцкая
Лучевая диагностика патологии желчного пузыря и желчевыводящих путей

Идеальный инструмент для пренатальных исследований. Уникальное качество изображения и весь спектр диагностических программ для экспертной оценки здоровья женщины.
Введение
Заболевания желчного пузыря - это особый раздел в современной медицине, которому специалисты уделяют повышенное внимание 6. С одной стороны, патология желчного пузыря (например, полипы), может протекать совершенно бессимптомно, но имеет тенденцию к малигнизации 8. С другой стороны, некоторые заболевания, такие как конкременты желчного пузыря и желчевыводящих путей, сопровождаются сильными приступами болей и могут привести к тяжелым осложнениям. В результате длительного давления камнем на слизистую оболочку пузыря в ней могут возникнуть язвы и пролежни, образоваться дивертикулоподобные выпячивания, внутренние и наружные желчные свищи, перфоративные отверстия с развитием подпеченочного или поддиафрагмального абсцессов, желчного перитонита. Перемещение желчных камней может сопровождаться закупоркой пузырного протока, водянкой желчного пузыря или его эмпиемой. При обтурации камнем выходного отдела общего желчного протока наступает механическая желтуха. Длительное нахождение камня в желчных протоках и присоединение инфекции ведут к развитию холангита. Выпадение крупного желчного камня из желчного пузыря в кишку через образовавшееся соустье может привести к непроходимости кишечника [1, 3, 5-8, 10-12]. Поэтому своевременная диагностика заболеваний желчного пузыря и протоковой системы имеет очень важное значение.
Образование желчи в печени - процесс непрерывный, однако поступление ее в кишечник в норме происходит преимущественно в процессе пищеварения. Это обеспечивается резервуарной функцией желчного пузыря и его ритмическими сокращениями с последовательным расслаблением сфинктера Люткенса и далее сфинктера Одди, расположенного в месте впадения общего желчного протока в кишку (рис. 1).

1 - дно желчного пузыря;
2 - пузырный проток;
3 - собственная печеночная артерия;
4 - воротная вена;
5 - желудочно-печеночная связка;
6 - левая доля печени;
7 - хвостатая доля печени;
8 - нижняя полая вена;
9 - хвостатый отросток;
10 - шейка желчного пузыря;
11 - правая доля печени;
12 - тело желчного пузыря;
13 - квадратная доля печени.
Натощак желчный пузырь содержит 30-80 мл желчи, но он может концентрировать печеночной желчи в 5-10 раз больше. При застое желчи в пузыре ее количество может увеличиваться. У женщин желчный пузырь в состоянии функционального покоя имеет несколько больший объем, чем у мужчин, но сокращается быстрее. С возрастом сократительная функция желчного пузыря снижается.
Ультрасонография является одним из самых информативных и доступных инструментальных методов диагностики заболеваний желчного пузыря 8.
Акустические свойства ультразвука позволяют выявлять мельчайшие эхогенные структуры, находящиеся в желчном пузыре.
С помощью УЗИ значительно сокращается время диагностического поиска. В отличие от компьютерной томографии (КТ) и магнитно-резонансной томографии (МРТ) при УЗИ врач-исследователь сам непосредственно участвует в получении изображения, что имеет свои плюсы и минусы. Положительной является возможность более целенаправленного и детального исследования изучаемого объекта. Отрицательная сторона - качество изображения и его расшифровка в значительной степени зависят от опыта исследователя и правильности применяемых им методик.
Полипы в желчном пузыре имеются у 6% всего населения. В 80% случаев полипы в желчном пузыре отмечаются у рожавших женщин в возрасте после 30 лет. Так как полипы клинически себя никак не проявляют, диагностика их чаще всего случайна и происходит при проведении УЗИ у пациента по совершенно другим причинам 10.
Хотя причины появления полипов на стенках в желчного пузыря не установлены, а симптомы неочевидны, известны четыре типа таких образований. Наиболее часто по статистике в желчном пузыре у пациентов сегодня встречаются следующие типы [4, 5, 9].
Воспалительный полип желчного пузыря - является своего рода воспалительной реакцией самой слизистой оболочки желчного пузыря, проявляется у пациента в виде различных разрастаний грануляционной внутренней ткани пораженного органа.
Нередко врачи также ставят диагноз аденомы желчного пузыря. Так происходит потому, что это своего рода доброкачественная опухоль в виде полиповидного разрастания железистой ткани желчного пузыря больного.
Также следует отметить папиллому или полипоз желчного пузыря у некоторых пациентов. Такая папиллома представляет собой доброкачественную опухоль слизистой оболочки пузыря в виде различных по виду и структуре своеобразных папиллом или сосочковых разрастаний.
К самому распространенному типу относят так называемый холестериновый полип желчного пузыря, который представляет собой возвышение слизистой оболочки пузыря с холестриновыми отложениями на ней. Холестероз достаточно часто встречается среди пациентов, направленных на операцию с клиническим диагнозом "полипы" или "полипоз желчного пузыря", по некоторым данным от 42 до 95% случаев.
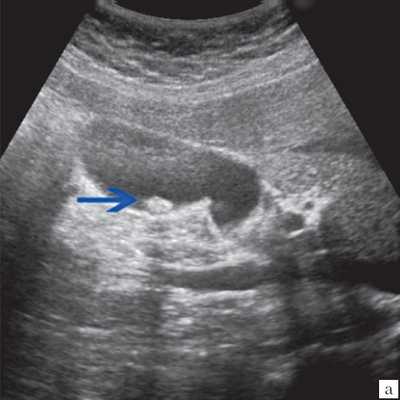
Ультрасонография является эффективным средством выявления полиповидной формы холестероза 8. Традиционной считается следующая сонографическая характеристика холестериновых полипов: неподвижные гиперэхогенные структуры, которые не дают акустической тени и прикрепляются к стенке желчного пузыря. Контуры таких образований, как правило, ровные, а размеры таких образований различны, чаще не превышают 10 мм (рис. 2).

a) Одиночный полип в желчном пузыре (гиперэхогенное пристеночное неподвижное образование, с ровными контурами, без акустической тени).

б) Одиночный полип в желчном пузыре.

в) Полиповидно-сетчатая форма холестероза, полипы размерами до 5 мм, повышенной эхогенности.

г) Одиночный полип в желчном пузыре.
Однако, по некоторым данным, размеры холестериновых полипов могут быть более 20 мм. Кроме того, полипы больших размеров (в 7% от общего числа) могут иметь пониженную эхогенность и фестончатый контур.
Мелкие холестериновые включения, образующие диффузную сеточку в толще подслизистого слоя размерами 1-2 мм, выглядят как локальное утолщение или уплотнение стенки желчного пузыря и в некоторых случаях (см. рис. 2) вызывают реверберацию (эхографический симптом "хвост кометы").
При распространенном холестерозе визуализируются множественные гиперэхогенные образования, дающие картину "земляничного" желчного пузыря (рис. 3).

а) Множественные полипы в желчном пузыре, картина "земляничного" желчного пузыря.

б) В режиме цветного допплеровского картирования кровоток не регистрируется.
Характер ножки полипа традиционно учитывается в онкологической практике как признак, ассоциированный со злокачественной природой образования. Вероятность возможной малигнизации больше, если у него имеется широкое основание, а не тонкая ножка. Однако необходимо принимать во внимание возможность ложноположительной диагностики широкого основания при полипах больших размеров из-за их ограниченной смещаемости в просвете желчного пузыря. Дрожание, напоминающее пламя свечи, наблюдается у полипов небольших размеров и вытянутой формы, и указывает на их тонкую ножку 5.
Желчнокаменная болезнь (cholelithiasis; калькулезный холецистит) - заболевание, обусловленное наличием конкрементов в желчном пузыре и желчных протоках. Частота образования желчных камней увеличивается с возрастом, достигая 45-50% у женщин старше 80 лет. У мужчин желчные камни встречаются в 3-5 раз реже, у детей - крайне редко. Только в 20% случаев желчные камни существуют бессимптомно ("немые" конкременты) [5].
Существует два основных механизма образования желчных камней: печеночнообменный и пузырно-воспалительный. Печеночно-обменный механизм заключается в формировании желчных камней вследствие таких факторов, как несбалансированное питание с преобладанием в рацио не грубодисперсных животных жиров (свиного, бараньего, говяжьего) в ущерб растительным; нейроэндокринные нарушения, например, связанные с дисфункцией эндокринной системы возрастного характера и гипофункцией щитовидной железы; поражения печеночной паренхимы токсического и инфекционного генеза; гиподинамия и застой желчи. В результате печень продуцирует литогенную желчь, т. е. способную образовывать холестериновые или смешанные камни. При пузырно-воспалительном механизме желчные камни формируются под влиянием воспалительного процесса в желчном пузыре, приводящего к физико-химическим сдвигам в составе желчи (дисхолии). Изменение рН желчи в кислую сторону, характерное для любого воспаления, приводит к уменьшению защитных свойств коллоидов, в частности белковых фракций желчи, переходу мицеллы билирубина из взвешенного состояния в кристаллическое. При этом образуется первичный кристаллизационный центр с последующим наслоением других ингредиентов желчи, слизи, эпителия и др.
Желчные камни - плотные образования, количество которых может составлять от одного до нескольких тысяч, размер - до нескольких сантиметров в диаметре, масса - до 30 г и более. В желчном пузыре чаще встречаются камни округлой формы, в общем желчном протоке - эллипсоидной или продолговатой, во внутрипеченочных протоках ветвистой. В зависимости от состава различают холестериновые, пигментно-холестериновые, холестериново-пигментно-известковые, пигментные и известковые камни; на распиле они имеют пигментное ядро и слоистое строение.
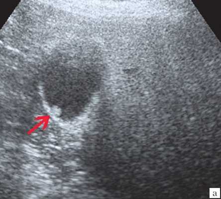
Клиническая картина желчнокаменной болезни многообразна [5-6, 10]. Условно выделяют хроническую болевую, хроническую рецидивирующую, диспептическую, стенокардитическую и ряд других клинических форм. Характерным ультразвуковым признаком конкремента в желчном пузыре является его акустическая тень. Такая тень возникает из-за высокой плотности камня по сравнению с мягкими тканями. Наличие или отсутствие тени помогает отличить камень от полипа желчного пузыря (рис. 4).

а) Одиночный конкремент желчного пузыря (подвижная гиперэхогенная структура, дающая четкую теневую дорожку).
Читайте также:
- Техника операции задней стабилизации перелома крестца
- КТ, МРТ при остеомиелите верхней челюсти и нижней челюсти
- Активация комплемента по альтернативному пути. Альтернативный путь активации комплемента.
- Диагностические критерии при амнезиях. Консультации специалистов при амнезиях.
- Снятие временных коронок. Меры предосторожности
