Снятие временных коронок. Меры предосторожности
Добавил пользователь Евгений Кузнецов Обновлено: 11.12.2025
Коронка помогает восстановить разрушенный кариесом зуб, сохраняя его функциональность на длительное время. Как показывает практика, при правильном уходе коронка может прослужить 5 - 10 лет. Однако бывают случаи, когда без снятия зубных коронок не обойтись.
Почему нужно снимать коронки
Необходимость лечения зуба , который находится под коронкой. Болевые ощущения, неприятный запах - признаки развития пульпита или даже периодонтита (если зуб не был депульпирован). Чаще всего лечение происходит без снятия коронки, однако все зависит от квалификации врача и клинического случая. В коронке высверливается отверстие, через которое осуществляются диагностика и лечение.
Разрушение материала , на который была установлена коронка. Ортопедическая конструкция начинает шататься, доставляя дискомфорт во время еды и разговора. Иногда, чтобы повторно зафиксировать коронку, можно обойтись без повреждения ортопедической конструкции.
Повторное протезирование . Это случаи, когда сами пациенты хотят произвести замену на более качественную коронку.
Некачественная конструкция. Если коронка треснула либо она плохо прилегает к шейке зуба и влияет на прикус, ее необходимо заменить на новую.
Закончился срок эксплуатации .
Как происходит снятие
Процедура снятия зубной коронки может проходить разными способами. Самый распространённый из них - с помощью аппарата Коха. Этот прибор помещается в рот пациента, и путем воздействия на край коронки происходит «смещение» коронки без боли и повреждений. Этот способ часто применяется в том случае, когда пациент желает сохранить зубную коронку целой. Если же целостность коронки не так важна, снять коронку можно, просто распилив ее . Такой способ часто пугает пациентов, так как процесс подготовки достаточно сложен. Во время спиливания на зуб воздействуют ультразвуком, из-за которого материал начинает трескаться, позволяя освободить зуб. Распиливание сильно повреждает конструкцию, поэтому установить эту же коронку не удастся.
Аккуратно снять коронку можно при помощи аппарата «Коронафлекс» . Ортопедическая конструкция полностью сохраняет свою форму, поэтому ее можно установить повторно.
Больно ли снимать коронку
Комфортность процедуры зависит от опытности врача и способа удаления коронки. Если причина в плохой фиксации, то процесс пройдет быстро и без применения обезболивающих. Если причина в болевом синдроме, то доктор перед процедурой поставит местную анестезию.
Кстати, снимать коронку в домашних условиях не рекомендуется, так как для этого нужны специальные инструменты. К тому же самостоятельные попытки могут привести к повреждению соседних зубов и мягких тканей.
Коронку сняли, что дальше
После снятия зубной коронки стоматолог сначала осматривает зуб, при необходимости проводит лечение, а затем ставит либо прежнюю ортопедическую конструкцию, либо новую.
Несвоевременная замена коронки и несоблюдение гигиены полости рта может привести к сильному разрушению зуба, тогда вместо повторной установки коронки придется ставить имплантаты .
Узнайте больше на консультации.
Позвоните нам 8 (351) 731-11-11
и приветливые администраторы подберут для Вас удобное время.
Данный сайт носит исключительно информационный характер и предназначен для образовательных целей, посетители сайта не должны использовать материалы, размещенные на сайте, в качестве медицинских рекомендаций
Снятие зубных коронок — сложно, но можно

Протезирование зубов коронками считается довольно долговечным и надежным способом восстановления зубов. Однако всегда есть вероятность, что по какой-либо причине их придется снять. Несмотря на то, что коронка довольно плотно крепится специальным цементом, ее все-таки можно извлечь, пусть порой и не без труда. В этой статье мы расскажем о показаниях к данной процедуре, о методиках извлечения зубных коронок и прочих немаловажных нюансах.
Содержание статьи
- Можно ли снять коронку?
- Зачем нужно снятие коронки?
- Как снимают коронки с зубов?
- Снятие коронок с имплантов
- Как снять коронку в домашних условиях?
- Больно ли снимать коронку?
- Лечение зуба под коронкой без ее снятия
- Сколько стоит снять коронку с зуба?
Можно ли снять коронку?
Почти каждый пациент, прошедший ортопедическое лечение, интересуется, можно ли снять коронку с зуба. Установка коронки относится к несъемному типу протезирования, но это не значит, что их невозможно снять в принципе. В стоматологии съемными протезами называют такие конструкции, которые можно вытащить из полости рта самостоятельно. В свою очередь, несъемные протезы извлекаются в кабинете у стоматолога с помощью специального оборудования и инструментов. Еще один популярный вопрос: какой врач снимает коронки с зубов? Делать это должен стоматолог-ортопед, но в некоторых клиниках коронки снимает и терапевт, что, конечно, не совсем правильно.

Зачем нужно снятие коронки?
Средний срок службы стандартной коронки, которая закрывает натуральный зуб, — около семи лет. Если коронка установлена на имплантат, то она вполне может простоять и пятнадцать лет. Как правило, снятие коронки с зуба проводится по ряду причин.
- Ошибки при проведении протезирования. Чаще всего вина лежит на специалистах, допустивших ошибку на одном из этапов лечения. Некорректное изготовление изделия, неправильные расчеты на подготовительном этапе, использование некачественных материалов — все это приводит к тому, что протез не может функционировать должным образом и его приходится снимать.
- Травмы и механические повреждения, после которых дальнейшая эксплуатация зубной коронки становится невозможна.
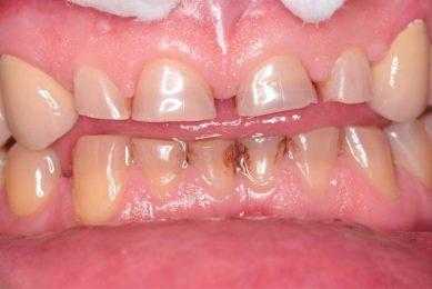
- Заболевания, развивающиеся под коронкой. Вторичный кариес, периодонтит, киста — осложнения, при которых лечение зуба без снятия коронки практически невозможно.
- Болезни десен, требующие извлечения протеза для проведения лечебных процедур.
- Окончание срока годности. У каждой коронки есть свой срок службы (особенно при установке на натуральный зуб). Если коронка со временем потеряла свои функциональные и эстетические качества, ее необходимо заменить. Часто коронка выпадает сама из-за повреждений или разрушения связующего вещества.
- Желание самого пациента. К примеру, с целью заменить старую металлическую или металлокерамическую конструкцию более современным и эстетичным изделием.
- Постоянная боль под коронкой говорит о развитии воспалительного процесса и необходимости повторного лечения.
- Неприятный запах, концентрирующийся в районе коронки. Обычно он возникает из-за разложения тканей под коронкой или попадания частичек пищи, что свидетельствует о нарушении герметичности.
- Коронка становится подвижной. Это связано с разрушением зуба или стоматологического цемента под коронкой.
Если вы испытываете вышеописанные симптомы в том или ином виде, советуем как можно скорее обратиться к стоматологу. После проведения рентгенограммы станет понятно, есть ли у вас скрытая проблема и нужно ли извлекать коронку.
Как снимают коронки с зубов?
Есть несколько способов снятия зубных коронок.
Распиливание
Старый и довольно грубый способ. После него уже нельзя снять коронку и поставить обратно. Методика считается дешевой и довольно эффективной, однако итоговый успех во многом зависит от опытности врача — в процессе может повредиться зуб или десна.
Снятие аппаратом Коппа
Аппарат Коппа — специальный инструмент, напоминающий одновременно заправочный пистолет и багор (из-за крючкообразной насадки). Врач стачивает цемент у основания коронки, затем подцепляет инструментом и нажимает на «спуск». Это достаточно быстрый и эффективный метод с единственным недостатком — в процессе извлечения могут случаться сколы протеза.
Снятие коронки ультразвуком
Снятие аппаратом «Коронафлекс»
В основе работы прибора «Коронафлекс», внешне напоминающего пистолет из будущего, лежит принцип действия сжатого воздуха. Воздушный поток подается под большим давлением, разрушает цемент, но при этом щадяще воздействует на коронку и соседние ткани. Снятие протеза аппаратом обойдется значительно дороже по сравнению с другими методиками. Однако если у вас стоит циркониевая коронка ценой в 25 000 рублей, есть смысл немного переплатить.

Снятие коронок с имплантов
Снятие коронок с имплантов необходимо при периимплантите, проблемах с абатментом, окружающими мягкими тканями и самой коронкой. Делается это двумя способами. При цементной фиксации коронка извлекается стандартными инструментами, при винтовой фиксации раскручивается винт, соединяющий коронку, имплантат и абатмент.
Как снять коронку в домашних условиях?
Снять коронку с зуба в домашних условиях можно с помощью молотка, долота и слесарных щипцов. Разумеется, это шутка. Подобные манипуляции должен проводить профессиональный стоматолог с применением соответствующих инструментов. Домашние эксперименты могут обернуться самыми печальными последствиями.

Больно ли снимать коронку?
Нет, особенно если процедура проводится под анестезией. Снимать коронку с зуба больно, если под ней находится живой зуб, в котором идет воспалительный процесс, однако в подавляющем большинстве случаев коронки ставятся на депульпированные зубы. В такой ситуации процедура может доставить некоторый дискомфорт, однако сильных болевых ощущений вам, скорее всего, испытать не придется. Если после снятия коронок болят зубы, то здесь возможны два варианта. Либо десне были нанесены механические повреждения, либо в зубе развивается пульпит, периодонтит или гранулема. В этом случае требуется комплексное эндодонтическое лечение.
Лечение зуба под коронкой без ее снятия
В стоматологической практике встречаются случаи, когда можно вылечить зуб, не снимая коронки. Обычно речь идет о вторичном кариесе и несложных эндодонтических манипуляциях, проводящийся через отверстие, которое потом пломбируется композитным материалом. В некоторых случаях хирургического вмешательства, например, при удалении кисты, доступ к области операции получают через разрез в десне. При этом обычно изделие все равно приходится снимать для проведения дополнительных манипуляций.
Сколько стоит снять коронку с зуба?
Средняя цена за эту услугу составляет 500 — 700 рублей. Самая недорогая методика снятия коронки — распиливание. Применение ультразвука обойдется на несколько сотен рублей дороже, а вот снятие коронки с помощью «Коронафлекса» может стоить больше тысячи рублей за одно изделие.
Зубные протезы. Съемные, несъемные, материалы цены и отзывы

Отсутствие одного или нескольких зубов причиняет дискомфорт человеку. При жевании могут возникать болезненные ощущения, а при серьезных масштабах проблемы из рациона и вовсе приходится исключать некоторые продукты, так как их сложно или невозможно пережевать. Подобное явление влечет за собой развитие болезней желудочно-кишечного тракта и других систем. Не стоит забывать и об эстетической стороне. Отсутствие зубов, особенно спереди, способствует появлению комплексов. Человек стесняется себя, перестает улыбаться, а порой даже ограничивает круг общения с людьми. Современная стоматология использует различные методики протезирования зубов, поэтому восстановление зубного ряда не является серьезной проблемой.
Для восстановления функциональности зубочелюстного аппарата применяются разные методики протезирования. Протезы классифицируются на несколько категорий:
- съемные;
- частично съемные;
- несъемные.
Каждый вид имеет свои особенности, показания для использования, преимущества и недостатки.

Съемные зубные протезы
Главная особенность съемных зубных протезов - возможность самостоятельного извлечения. Показаниями для их использования является полная адентия. Обычно применяются для пожилых людей. Могут отличаться конструктивными особенностями.
Для изготовления обычно применяется нейлон или акрил (пластик). Съемный протез состоит из нескольких основных элементов:
- основы, изготавливаемой из гибкого и пластичного материала;
- искусственных зубов из прочного пластика или фарфора.


Главный плюс съемных протезов в том, что они позволяют вернуть функциональность зубочелюстного аппарата и красивую улыбку при отсутствии зубного ряда, если имплантация недоступна из-за противопоказаний или недостатка финансовых средств (процедура стоит в разы дороже).
Основной недостаток - особый уход. Съемные протезы нужно снимать каждый вечер, чистить и дезинфицировать при помощи специальных растворов. Обладают они и другими недостатками:
- Плохо фиксируются во рту. Могут выпасть в самый неподходящий момент. Это вызывает некий психологический дискомфорт у пациента.
- Период адаптации длительный и сложный. Искусственные зубные конструкции могут натирать, раздражать слизистую или вызывать дискомфорт.
- При длительном ношении могут вызвать атрофию костной ткани. При жевании вся нагрузка передается на десны, поэтому кости начинают проседать.
- Изготавливаются из гибких материалов, быстро изнашиваются. Обычно служат не более 5-7 лет. В редких случаях срок службы составляет 10 лет.

Частично съемные зубные протезы
Частично съемные зубные протезы во многом схожи со съемными конструкциями, но используются при частичной адентии. Если имеется хотя бы несколько здоровых зубов, изготавливают частично съемные протезы. Главное их отличие - наличие специальных замков или кламмеров. Обычно изготавливают их из металлической проволоки, реже - из пластика. Замки обхватывают оставшиеся зубы и тем самым удерживают протез в ротовой полости. Существует несколько вариантов конструктивного исполнения.
Как и съемные протезы, частично съемные конструкции являются альтернативой имплантации. Главный плюс - доступная цена. Минусы следующие:
- дискомфорт при ношении;
- изменение дикции;
- изменение вкусовых качеств;
- необходимость проведения дезинфекции и др.

Как ухаживать за съемными и частично съемными протезами?
Чтобы протезы служили долго и не теряли привлекательный вид, нужно придерживаться нескольких правил ухода за ними:
- После каждого приема пищи нужно снимать конструкцию и промывать чистой водой. Если используется специальный крем, тогда достаточно промывать один раз в сутки.
- Чистить искусственные зубы нужно щеткой с мягкой щетиной и специальными гелями, которые не содержат абразива. Применение жестких щеток и обычных зубных паст под запретом. От них протез может потемнеть и потерять привлекательный вид.
- Периодически нужно делать дезинфекцию при помощи специальных таблеток или ультразвуковой ванночки.
- Хранить протез следует в воде или специальном растворе, который можно купить в аптеке.


Несъемные зубные протезы
Самостоятельно снять несъемные зубные протезы невозможно. Сделать это может только врач при помощи профессионального инструмента. Протез надежно фиксируются при помощи специальной цементной смеси.
Применяются несъемные протезы в следующих случаях:
- при отсутствии 1-2 зубов;
- при наличии скола, трещины или другого дефекта;
- при сильном повреждении зуба кариесом;
- при необходимости корректировки формы или цвета зубов;
- при повышенном истирании эмали.


Существуют различные виды несъемных зубных конструкций:
- импланты;
- коронки;
- виниры;
- вкладки;
- мосты;
- микропротезы;
- люминиры.
В зависимости от состояния зубного ряда и желаемого результата врач подбирает подходящую конструкцию. Установке предшествует подготовка. Она включает удаление зубного камня, лечение кариеса, воспалений десен, устранение очагов инфекции и других заболеваний ротовой полости. Такой подход позволяет исключить риск возникновения воспаления во время проведения процедуры.

Несъемные ортопедические конструкции обладают многими преимуществами:
- имеют привлекательный внешний вид, обычно не отличаются от родных зубов (если процедуру выполнял опытный врач);
- способны выдерживать большие жевательные нагрузки;
- имеют длительный срок службы - от 7 до 20 лет в зависимости от используемого материала;
- минимальный реабилитационный период или полное его отсутствие;
- позволяют приобрести красивую улыбку при наличии видимых дефектов;
- не вызывают атрофию костной ткани;
- не нуждаются в специальном уходе, достаточно соблюдать привычные правила гигиены за ротовой полостью.


Не лишены они и недостатков:
- при установке могут повредиться мягкие ткани десен;
- иногда требуется обточка здоровых зубов, что может вызвать повышенную чувствительность к горячему, холодному или кислому;
- довольно высокая цена по сравнению со съемными конструкциями.
Иногда металл, который применяется для каркаса или основания, вызывает аллергические реакции.
Технологическая классификация видов зубных протезов
В современной стоматологии применяются различные виды протезов в зависимости от технологической классификации, которые между собой существенно отличаются конструктивными особенностями. Применяемые технологии позволяют решить проблему отсутствия зубов вне зависимости от масштабности проблемы. При выборе следует руководствоваться несколькими критериями, в частности отсутствием противопоказаний, финансовыми возможностями, личными предпочтения. Важно прислушиваться и к рекомендациям врача, который подберете конструкцию в зависимости от индивидуальных особенностей проблемы и других нюансов.
Протезирование зубов по площади покрытия
В зависимости от площади покрытия протезы можно разделить на несколько видов:
- Полный протез челюсти. Вставные челюсти обычно используются при полном отсутствии зубного ряда. Фиксируются такие конструкции на десны и часть неба или подъязычную область в зависимости от расположения протеза (сверху или снизу).
- Частичный протез. Применяется при удачном сохранении хотя бы нескольких собственных зубов. Они служат опорой при установке ортопедической конструкции. Применение протеза позволяет равномерно распределить нагрузку при жевании и тем самым обеспечить комфорт во время употребления пищи и сохранение здоровых зубов.
- Одиночные протезы. Используются для замены утраченного зуба. Некоторые конструкции этого типа применяются для создания красивой улыбки и устранения различных дефектов.
- Микропротезы (виниры, вкладыши). Используются при частичном повреждении зуба (при сильном кариесе или других заболеваниях).


Какие материалы применяются в зубном протезировании?
Для изготовления ортопедических конструкций используются безопасные материалы, которые не вызывают аллергических реакций. Для съемных протезов обычно применяются следующие материалы:
- Акрил. Не имеет противопоказаний. Акриловые конструкции недорого стоят, поэтому пользуются большим спросом. Они легкие и удобные в ношении.
- Акри-фри. Полупрозрачный материал, в состав которого входят акриловые смолы, используется для изготовления съемных протезов нового поколения. Не вызывает аллергических реакций, отличается гибкостью и редко провоцирует появление раздражений. Материал обладает высокой прочностью, при этом изготовленные из него протезы эстетичны.
- Нейлон. К преимуществам этого материала стоит отнести высокую прочность и гибкость. Протезы из него служат дольше акриловых, хотя стоят дороже.


Для коронок и мостовидных конструкций используются следующие материалы:
- Металлокерамика. Комбинация из двух материалов - металла и керамики. Металл применяется для изготовления основания. Керамика используется для облицовки. Популярный вариант в зубопротезировании, так как имеет приемлемую цену и эстетичный внешний вид, отличается прочностью и длительным сроком службы.
- Керамика. Отличается от предыдущего варианта отсутствием металлического каркаса. Вся конструкция изготавливается только из керамики. Может применяться фарфор или диоксид циркония. Используется этот прочный материал для накладок и виниров.
- Металл. Сейчас редко металл в чистом виде используется в зубопротезировании, несмотря на высокую прочность. Главный недостаток - заметность. Чаще всего применяется золото, так как оно не вызывает аллергических реакций.
- Металлопластмасса. Имеет металлический каркас и облицовку из пластика. Материал имеет неплохие эстетические характеристики, но из-за недостаточной прочности быстро теряет привлекательный вид и функциональность из-за нагрузок. Чаще применяется при установке временных протезов. Важный плюс - низкая цена.


При выборе материала стоит учитывать финансовые возможности, наличие противопоказаний и рекомендации врача.
Стоматология «Имплант эксперт» предоставляет широкий спектр услуг по зубопротезированию. Вы можете записаться на консультацию к доктору, чтобы узнать о стоимости услуги, сроках изготовления протезах и других важных нюансах.
Пластиночный зубной протез
Это одна из самых простых и распространенных технологий изготовления съемных протезов. Конструкция представляет собой основу, которая крепится к десне при помощи специальных присосок. Они и удерживают вставную челюсть на месте. Для искусственных зубов могут использоваться различные материалы, но чаще всего это пластик или фарфор.
Может устанавливаться в день обращения к стоматологу. Изготавливается по слепку. Обычно применяется при полной адентии. Если осталось несколько здоровых зубов, тогда под них делают в конструкции отверстия.
Пластиночные протезы стоят недорого, но при этом имеют много недостатков. При ношении они вызывают дискомфорт. Могут возникать проблемы с дикцией, да и вкусовое восприятие сильно меняется. Могут выпадать из-за ненадежной фиксации. Для решения этой проблемы применяются специальные кремы, например, Корега. Их применение довольно простое:
Этапы установки зубной коронки
Установка зубной коронки включает в себя несколько этапов, которые выстраиваются на основе клинической картины. У каждого пациента план лечения и назначенные процедуры могут отличаться, если есть сопутствующие заболевания или требуется дополнительные процедуры. В частности, сам процесс установки коронки — это ортопедическая часть, которая проводится как заключительный этап после лечения кариеса, корневых каналов, имплантации зубов или эстетической реставрации улыбки.

Этапы установки коронки:
Установка коронки начинается с введения местной анестезии. При использовании анестетика болевые ощущения полностью устраняются. Если у пациента есть аллергия на компоненты стандартных средств обезболивания, то перед процедурой препарат подбирают индивидуально. Пациенту делают аллергопробы , чтобы исключить любое негативное воздействие.
Зуб подготавливают к протезированию, обтачивают, формируют культю. Форма должна способствовать правильному распределению нагрузки после установки коронки, чтобы при жевании корень не испытывал перегрузок, распределял давление равномерно вдоль всей длины зуба. При этом коронка должна иметь надежную фиксацию.
Если перед установкой коронки проводилось терапевтическое лечение, то врач сохраняет максимальное количество здоровой ткани, чтобы высота зуба для протезирования была больше, обеспечивала надежную фиксацию. Важно, чтобы корневые каналы были надежно запломбированы, под ними не было воспаления.

При подготовке зуба учитывается тип коронки и толщина каркаса. Чаще всего металлокерамические коронки на основе стандартных сплавов могут быть установлены только при обточке зуба на 1-1,5 мм по краю, чтобы обеспечить правильное расположение коронки. В этом случае рекомендуется провести депульпацию . Удаление корня проводится только, если есть показания для этой процедуры. Она проводится отдельно, так как требует внимательного и поэтапного проведения. Лечение корневых каналов и удаление зубного нерва относят к процедурам высокой сложности, поэтому проводить их могут только опытные специалисты, чтобы исключить риск развития осложнений.
Установка коронки на депульпированный зуб позволит сохранить его от разрушения. Поэтому после лечения пульпита чаще всего назначается установка коронки, так как стенки зуба имеют значительные повреждения. При проведении этой процедуры, лечение корневых каналов проводится в комплексе с протезированием.
Если установка коронки назначена после имплантации зубов, то верхняя часть зуба ( абатмент ) уже имеет необходимую форму. Имплантация зубов начинается с планирования и подбора коронки. Только в этом случае можно гарантировать успешную замену натурального зуба на искусственный аналог. Правильное расположение имплантата и абатмента гарантируют равномерное распределение нагрузки вдоль тела имплантата, поэтому он не расшатывается и не выпадает даже при боковых нагрузках.
После обточки зуба ортопед снимает слепок челюсти и направляет его в лабораторию. Чтобы лучше передать рельеф и текстуру иногда используют двухслойные слепки. Они состоят из нескольких видов материалов, поэтому обладают разными свойствами. При снятии оттисков можно передать все особенности расположения зубов для повышения точности гипсовой модели. Если у пациента отсутствует один или несколько зубов, то цвет коронок подбирается в соответствии с оттенком других зубов. Врач записывает все детали окраски зубов, чтобы в лаборатории изготовили коронки, максимально приближенные по цвету к натуральным зубам. Цвет покрытия коронок подбирают по специальной шкале оттенков. Кроме оттиска делают фотоснимок зубов.

При отсутствии в полости рта нескольких зубов у пациента нередко развивается дефект прикуса. Это возникает из-за того, что оставшиеся зубы смещаются в сторону образовавшегося пробела. Чтобы коронка прослужила долго, не появлялись сколы и трещины важно учитывать механику работы височно-нижнечелюстного сустава. От особенностей работы жевательных мышц и траектории движения зависит то, как будут располагаться коронки. Поэтому при сборе данных для изготовления коронки используют дополнительную технику. Она может быть цифровой или аналоговой. Данные для проектирования коронки могут быть получены с помощью артикулятора , окклюзератора , лицевой дуги, специальных пластиковых полосок или матрицы из полиэфирной пленки.
Если в области реставрации проседает костная ткань, есть дефекты десны, то врач и пациент обсуждают способы их устранения. Кроме костной пластики, нередко применяется розовая керамическая масса. Она выглядит менее эстетично по сравнению с естественной тканью десен (которую наращивают в ходе операции), так как не устраняет дефект, а маскирует его. Масса имеет розовый цвет и наносится так, чтобы восполнить отсутствующий участок десны, закрыть дефект, при этом не выделяется на фоне десны.
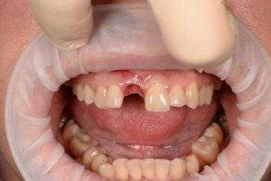
Временная коронка на имплант

Как правило, те, кто решился на имплантацию, мечтают выйти из кабинета врача с безупречной улыбкой. Но, к сожалению, классическая двухэтапная имплантация предполагает установку зубного протеза только после полного приживления имплантата. Однако в некоторых случаях нагрузить искусственный корень коронкой можно сразу, вот только она будет временной. Надо ли на импланты ставить временные коронки?
- Установка временной коронки на имплант
- Нужна ли временная коронка на имплант?
- Изготовление временных коронок на импланты
- Сколько делается временная коронка на имплант
- Что делать, если выпала или качается временная коронка на импланте?
- Зачем ставят временные коронки перед постоянными?
- Сколько можно ходить с временной коронкой?
- Сколько стоит временная коронка на имплант?
Установка временной коронки на имплант
Не все методы имплантации предполагают установку временной коронки на имплант. Такое возможно только при использовании одноэтапной методики с моментальной нагрузкой. Как правило, метод применяется при восстановлении передних зубов. Возможность установки временной коронки на имплант связана еще и с особым строением искусственных корней, используемых для одноэтапной имплантации. Во-первых, эти имплантаты — односоставные, то есть они уже соединены с абатментом, на который затем крепится протез. А во-вторых, подобные конструкции снабжены специальной резьбой, поэтому они будто ввинчиваются в костную ткань без необходимости высверливания в ней места под имплантат, как это делается при двухэтапной методике. В связи с этим имплантаты для одноэтапной процедуры имплантации крепятся более надежно, поэтому способны выдерживать вес временной коронки и нормальную жевательную нагрузку с первых дней установки.

Нужна ли временная коронка на имплант?
Надо ли на импланты ставить временные коронки? Если операция проводится в зоне улыбки, то сделать это желательно. Естественное давление при пережевывании пищи будет активизировать обменные процессы в костных тканях и стимулировать их восстановление. Более того, установленная коронка поможет добиться красивого десневого контура, а также предотвратит убыль мягких тканей. Что касается имплантации жевательных зубов, согласно мнению большинства специалистов, проводить операцию лучше в два этапа с отсроченной установкой коронки.
Изготовление временных коронок на импланты
Временные коронки на импланты зубов в большинстве случаев изготавливают из пластмассы. Обратите внимание на то, что металлокерамика, цельная керамика и цирконий используются для изготовления уже постоянных коронок для имплантов. Если врач предлагает сделать временную коронку, к примеру, из металлокерамики, задумайтесь о его честности и компетентности. Может получиться так, что одну и ту же конструкцию установят два раза: в качестве временной и постоянной. Разумеет, что за двойную плату.

Сколько делается временная коронка на имплант
Прямой метод.
Врач снимает слепок с помощью силиконовой массы, заливает в нее пластичный раствор и надевает все это на имплантат. Когда пластмасса застывает, силиконовый оттиск удаляется, а временная коронка остается на имплантате. Ей придают необходимую форму, полируют и шлифуют, а затем закрепляют специальным цементом.
- Быстро изготавливаются.
- Похожи на натуральные зубы.
- Пористость, из-за которой есть риск проникновения инфекции.
- Изменение цвета из-за окрашивающих продуктов.
- Короткий срок службы.
- Более хрупкие.
Непрямой метод.
На основе слепков в лаборатории создается гипсовая модель обеих челюстей, которая служит для изготовления коронки из воска. По восковой модели создают временную пластмассовую коронку. Иногда при изготовлении пластмассовых коронок используют металлическую основу с целью продления срока службы изделий.
- Более прочные по сравнению с коронками, изготовленными прямым методом.
- Учитывают индивидуальные особенности пациента.
Изготовление временных коронок на импланты прямым способом в кабинете ортопеда займет не больше часа. В зуботехнической лаборатории временную коронку из пластмассы сделают за пару дней.

Что делать, если выпала или качается временная коронка на импланте?
Иногда временные коронки на имплантатах начинают шататься из-за некачественной фиксации или плохого абатмента имплантата. Однако бывают случаи, когда пациент не может точно установить, что именно стало неустойчивым — временная коронка или сам искусственный корень. Поэтому при первых признаках подвижности временного протеза на имплантате следует безотлагательно обратиться к врачу, который проводил процедуру имплантации. Только он сможет правильно определить состояние искусственного корня и более надежно закрепить на нем временную коронку.
Зачем ставят временные коронки перед постоянными?
Может показаться, что временная коронка — это лишние материальные затраты, и не стоит ее включать в стоимость протезирования.
Остановимся еще раз на необходимости использования временных коронок и подчеркнем их основные достоинства.
- Психологическое спокойствие. Имитация собственных зубов позволяет сохранить уверенность в себе, не внося дисбаланс в повседневную активность (во время деловых переговоров, при улыбке, разговоре и т.д.).
- Безопасность мягких тканей ротовой полости (предотвращение воспаления и атрофии).
- Сохранение функциональности зубов. Благодаря полноценному жевательному процессу исключаются возможные нежелательные последствия для пищеварительной системы.
- Нет проблем с дикцией.
- Быстрая адаптация. Привыкание к будущему постоянному протезу проходит значительно легче при предварительном ношении временных коронок.
- Экономность. Временная коронка — это быстрая "реанимация" зубов по доступной стоимости.
Сколько можно ходить с временной коронкой?
Временные коронки — это быстрое восстановление эстетики и функциональности зубов до момента установки постоянных протезов. Срок их службы — это время, необходимое для создания постоянных ортопедических конструкций, а также приживления импланта. Когда же можно установить постоянный протез на имплант? До 4 месяцев — срок приживления импланта на нижней челюсти, до 6 месяцев — на верхней челюсти. После этого можно проводить постоянное протезирование зубов.
В некоторых случаях, например, после имплантации All-on-4, All-on-6 временный протез может прослужить до двух лет. За это время пациент успеет финансово подготовиться к установке качественного постоянного протеза. Если пациент использует временную коронку длительное время, необходимо раз в полгода приходить в клинику на профилактический осмотр. При долгом ношении могут возникнуть следующие осложнения:
✔ стирание коронок, приводящее к смещению соседних зубов;
✔ воспаление десен из-за скопления бактерий на пластмассе;
✔ разрастание десны и возникновение болевых ощущений вследствие повреждения коронки.
- избегайте клейкой и твердой пищи;
- чистите зубы аккуратно, не надавливая сильно на зону, где установлен имплантат;
- пользуйтесь зубной нитью максимально осторожно.
Сколько стоит временная коронка на имплант?
Как правило, цена временной коронки на имплант зависит от того, каким методом она изготавливается и запросов клинки. Например, в московских стоматологиях временная коронка из пластмассы, которая делается в кабинете стоматолога, стоит порядка 1 000 рублей и выше. Временные зубные протезы из пластмассы, изготовленные в лаборатории, обойдутся дороже, цены на них начинаются от 3 000 рублей. Более надежная армированная пластмассовая конструкция предлагаются стоимостью от 4 500 рублей.
Читайте также:
