Истечение ликвора в височной кости - лучевая диагностика
Добавил пользователь Евгений Кузнецов Обновлено: 21.11.2025
Ликворея - это истечение спинномозговой жидкости (ликвора) через дефекты в твердой мозговой оболочке. Патология в основном возникает при черепно-мозговых травмах, реже причиной выступают церебральные опухоли, врожденные дефекты, осложнения нейрохирургических вмешательств. При ликворее прозрачная жидкость без запаха вытекает из уха или носа, зачастую присоединяются нарушения сознания и признаки очагового повреждения структур ЦНС. Для диагностики заболевания выполняется КТ и МРТ головного мозга, эхоэнцефалография, рентгенконтрастные исследования. Лечение проводится консервативным и/или хирургическим способом.
МКБ-10



Общие сведения
Ликворея возникает у 2-3% людей с травмами головы и в 5-11% случаев при переломе основания черепа. При тяжелых повреждениях лицевого скелета и назоэтмоидальноорбитального комплекса частота осложнения достигает 40%. Патология имеет большое клиническое значение в клинической неврологии, поскольку указывает на обширную травматизацию внутричерепных структур и требует неотложного комплексного лечения. Усилия врачей направлены на совершенствование диагностики ликвореи, что важно для ее своевременной и адекватной терапии.

Причины ликвореи
Основным этиологическим фактором патологического состояния называют ЧМТ, которые сопровождаются повреждениями костных структур и подлежащих оболочек мозга. Чаще всего проблема развивается при травмах основания черепа, пирамиды височной кости, лобной пазухи. По биомеханике повреждения различают ЧМТ следующих видов: ударно-противоударные, ускорения-замедления и сочетанные. Другие причины ликвореи:
- Объемные новообразования. Опухоли мозга и костных структур, имеющие инвазивный тип роста, способны повреждать оболочки и формировать дефект для истечения ликвора. Патология наблюдается при запущенных стадиях, когда новообразование достигает больших размеров.
- Врожденные пороки развития. При черепно-мозговых и спинномозговых грыжах развиваются патологические пути оттока цереброспинальной жидкости (ЦСЖ). Патология проявляется с раннего детства, сопровождается другими неврологическими нарушениями.
- Ятрогенные факторы. Вторичная ликворея возникает как осложнение нейрохирургических операций, при которых случайно травмируется твердая мозговая оболочка. Такая ситуация возможна при тяжелых травмах головы, дефиците современного оборудования для интраоперационной нейровизуализации.
Патогенез
При переломах черепа смещенные костные фрагменты повреждают мозговые оболочки, в результате чего наблюдается истечение ликвора. Существует 3 ведущих механизма повреждений: ущемление отломками костей, прободение церебральных оболочек, обширные разрывы без признаков регенерации. Пролабирование оболочек мозга в костные дефекты препятствует их заражению и способствует формированию грыжи, содержащей элементы мозгового вещества.
Высокая частота ликвореи обусловлена особенностями анатомического строения основания черепа. Кости имеют неоднородную структуру, содержат большое количество воздухоносных полостей и отверстий для сосудисто-нервных пучков. Мозговые оболочки плотно прилегают к твердым структурам, поэтому их разрывы наблюдаются даже при минимальных травмах головы и смещении внутричерепного содержимого.

Классификация
По времени развития выделяют первичную (раннюю) ликворею, появляющуюся в первые 24 часа после травмы, и вторичную (позднюю) возникающую спустя несколько дней и даже недель. Отдельным вариантом является скрытая ликворея, когда пациенты не замечают выделения ЦСЖ из носа или ушного прохода. В практической неврологии и нейрохирургии важное значение имеет классификация болезни по локализации:
- Назальная - вытекание цереброспинальной жидкости из одного или обоих носовых ходов.
- Отоликворея - истечение ликвора из наружного слухового прохода.
- Послеоперационная - патологическое выделение ликвора после трепанации черепа и других нейрохирургических манипуляций.
Симптомы ликвореи
В 97% случаев наблюдается вытекание прозрачной жидкости из носового или слухового хода. Ликворея носит постоянный или интермиттирующий характер, объем выделений варьирует от 1 до 30 мл в сутки. При перемене положения тела и наклонах головы количество отделяемого возрастает. Жидкость не имеет запаха и посторонних включений, при назальной форме пациенты могут принимать ее за первый симптом насморка или респираторной аллергии.
В горизонтальном положении, особенно во время сна, ликвор затекает из носовой полости в горло и раздражает слизистые. Больных беспокоят мучительные кашлевые приступы, которые уменьшаются в позе полусидя. Профузная ликворея сопровождается попаданием ЦСЖ в желудок. При этом возникает клиника острого неинфекционного гастрита: боли и рези в эпигастрии, дискомфорт после еды, тошнота и рвота.
Клиническая картина посттравматической ликвореи нередко сопровождается признаками сотрясения или ушиба головного мозга. Пациенты предъявляют жалобы на головные боли, слабость, головокружение и сильную тошноту. Симптомы усиливаются при попытках встать с постели и активных движениях. Также возникают вегетативные реакции: приливы крови к лицу, чрезмерная потливость, нарушения сердечного ритма.
Неврологические проявления включают асимметрию сухожильных рефлексов, анизокорию, нистагм. При более серьезных травмах головного мозга возникает двигательная дисфункция, умеренные менингеальные симптомы. Больные сообщают о кратковременной потере памяти на момент травмы, реже встречается ретроградная и антеградная амнезия.
Осложнения
Диагностика
Первичная оценка состояния пациентов с предполагаемой ликвореей проводится врачом-неврологом. Степень нарушения сознания определяется с помощью Шкалы Комы Глазго, далее проводится полный неврологический осмотр. Для обследования больных с сочетанными травмами привлекают нейрохирурга, анестезиолога-реаниматолога, травматолога. В комплексную диагностическую программу входят следующие методы:
- КТ головного мозга. Рентгенологическая диагностика с высокой точностью показывает костные дефекты, которые могут стать причиной повреждения dura mater. Дополнительные сведения для нейрохирургии дает церебральная МРТ, направленная на визуализацию содержимого черепной коробки.
- КТ-цистернография. Нейровизуализация с эндолюмбальным введением рентгеноконтрастных веществ - «золотой стандарт» в диагностике ликвореи. Методика определяет локализацию ликворных фистул, состояние костных структур пораженной области.
- Эхоэнцефалография. Церебральная сонография используется для быстрой и неинвазивной диагностики внутричерепных новообразований, визуализации косвенных признаков повреждения головного мозга. Важнейший показатель ЭхоЭГ - состояние срединных структур (М-эхо).
- ЛОР-обследование. При риноскопии определяется гиперемия и отечность слизистой оболочки, истечение водянистой жидкости по носовым ходам. Для уточнения топики патологического процесса проводится эндоскопия носа. При отоликворее визуализируется травматическая перфорация барабанной перепонки.
- Анализ ликвора. Микроскопическое и микробиологическое исследование вытекаемой жидкости необходимо для подтверждения ликвореи. При обнаружении в ликворе признаков гнойного воспаления, проводится расширенная диагностика для определения патогенного возбудителя.
Дифференциальная диагностика
При нетяжелых вариантах ЧМТ важно отличать назальную ликворею от серозного ринита, поскольку выделяющаяся жидкость не имеет патогномоничных признаков. ЦСЖ содержит много глюкозы (2,3-4 ммоль/л) и мало белка (0,1-0,22 ммоль/л), чем отличается от воспалительного экссудата, который образуется при ЛОР-заболеваниях. Дифференциальная диагностика также проводится с доброкачественными опухолями назальной полости, которые продуцируют слизь.

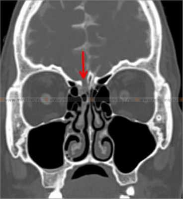
КТ-цистернография. Симптом «ликворной дорожки» — контрастированная СМЖ в правой половине полости носа (стрелка)
Лечение ликворея
Консервативная терапия
Основная задача - создать благоприятные условия для закрытия дефекта мозговых оболочек и формирования рубца на месте истечения ликвора. Пациентам назначают строгий постельный режим, приподнимание головного конца кровати на 30-70°. На период лечения исключаются любые физические нагрузки, натуживание, эмоциональное перенапряжение. Комплексная терапия при ликворее включает следующие направления:
- Дегидратация. Мочегонные препараты используются для уменьшения внутричерепного давления и нормализации циркуляции ликвора. Это ускоряет закрытие и регенерацию повреждений церебральных оболочек.
- Антибактериальная терапия. Превентивный прием противомикробных препаратов необходим для профилактики гнойных менингитов. Лекарства подавляют бактерии, колонизирующие верхние дыхательные пути, и препятствуют их распространению на структуры ЦНС.
- Дренирование ЦСЖ. Процедура проводится при неэффективности других консервативных методов лечения. Ликвороприемник устанавливают на уровне головы больного, чтобы избежать вторичной внутричерепной гипотензии.
Хирургическое лечение
Помощь нейрохирургов требуется при ликворее, продолжающейся более 7 суток. Чтобы устранить дефект и прекратить истечение цереброспинальной жидкости, проводятся открытые транскраниальные или мини-инвазивные трансназальные вмешательства. Преимущества эндоскопической хирургии: минимальная травматизация тканей, отсутствие риска послеоперационной аносмии. Техника операции подбирается индивидуально с учетом характера и тяжести травмы.
Существует 2 точки зрения относительно сроков выполнения нейрохирургического вмешательства. Сторонники ранних операций (в первые 1,5 недели после травмы) сообщают, что со временем возрастает риск развития менингита, из-за чего адекватное лечение осложняется. Медики, предпочитающие отсроченные операции, подчеркивают высокую частоту самопроизвольного прекращения ликвореи в течение 2-3 недель консервативной терапии.
Результативность хирургического вмешательства зависит от расположения ликворной фистулы, точности предоперационной диагностики, опыта нейрохирурга. Большинству пациентов требуется однократная операция. При повреждении латеральной стенки клиновидной пазухи может потребоваться повторное вмешательство, поскольку интраоперационная визуализация таких дефектов затруднена.
Реабилитация
Восстановительный период после операций в нейрохирургии занимает около 6 недель. Пациентам назначают комплексное медикаментозное лечение: антибактериальные, дегидратационные и симптоматические препараты. Поясничный дренаж устанавливается не более чем на 2-3 суток. Постепенная активизация пациентов начинается со второго дня послеоперационного периода, при этом важно избегать наклонов головы, поднятия тяжестей, повышения внутрибрюшного давления.
Прогноз и профилактика
Спонтанная ликворея
Спонтанная ликворея — это истечение цереброспинальной жидкости (ликвора) из врожденных или образовавшихся вследствие разных нетравматических причин дефектов, которые образуются в костях черепа и твердой мозговой оболочке.
Истечение спинномозговой жидкости (ликвора) может быть постоянным или периодическим, капельным или струйным. Усиление ликвореи возможно при изменении положения головы, натуживании. Иногда спонтанная ликворея бывает скрытой. При скрытой спонтанной ликворее спинномозговая жидкость (ликвор) затекает в носоглотку или поглощается подкожной клетчаткой.

Выработка спинномозговой жидкости (ликвора) осуществляется грануляциями в желудочках головного мозга.
Спонтанная ликворея составляет около 20% среди всех случаев ликвореи. Различают несколько видов спонтанной ликвореи в зависимости от места истечения спинномозговой жидкости (ликвора) из полости черепа:
- носовая ликворея (наиболее частая форма)
- ушная ликворея
- орбитальная (очень редкая форма)
Спонтанную ликворею разделяют по её происхождению:
- первичная (идиопатическая) спонтанная ликворея — явную причину установить не удается
- вторичная спонтанная ликворея — к образованию ликворной фистулы приводит определенная патология
Причины и механизмы возникновения спонтанной ликвореи
Носовая спонтанная ликворея
Наиболее часто врожденный или приобретенный дефект костей основания черепа (передней черепной ямки) при носовой спонтанной ликворее локализуется в следующих его образованиях:
- клиновидном синусе (43%)
- решетчатой кости (29%)
- ситовидной пластинке (29%)
Реже дефект основания черепа находится в задней стенки лобной пазухи. Ещё реже ликворная фистула может располагаться в пирамиде височной кости. В этом случае спинномозговая жидкость (ликвор) попадает сначала в полость среднего уха, а потом через слуховую трубу в носоглотку и полость носа.

Источник назальной спонтанной ликвореи на МРТ головного мозга с контрастированием (показан белой стрелкой).
Ушная спонтанная ликворея
При ушной спонтанной ликворее нарушается целость барабанной перепонки и костный дефект локализуется в крыше барабанной полости (средняя или задняя черепная ямка).
Предрасполагающие факторы для возникновения спонтанной ликвореи:
- ожирение
- врожденные дефекты основания черепа (ситовидная пластинка, решетчатая, клиновидная и лобная пазухи)
- широкие ячейки (гиперпневматизация) клиновидного синуса
- пустое турецкое седло
Локализация спонтанной ликвореи в боковом отделе клиновидной кости, а также большие дефекты костей основания черепа увеличивают вероятность возникновения рецидивирующей формы спонтанной ликвореи у пациента.
В основе спонтанной ликвореи может лежать заболевание соединительной ткани, например, синдром Марфана, при котором наблюдается истончение твердой мозговой оболочки, гиперподвижность суставов, повышенная эластичность кожи, отслойка сетчатки. Причиной спонтанной ликвореи могут так же являться патологические процессы головного мозга и костей черепа (воспалительного, опухолевого или дисэмбриогенетического происхождения). Ряд авторов считают, что при спонтанной ликворее постоянно или периодически у пациентов повышается внутричерепное давление, что препятствует самостоятельному закрытию дефекта твёрдой мозговой оболочки (фистулы). Другие авторы предполагают развитие локальной резорбции тканей в области передних отделов основания черепа при нормальном внутричерепном давлении.

Разрыв перепонки круглого окна в стенке костного лабиринта, отделяющего полость среднего уха от полости улитки, лежит ниже овального окна, закрытого слуховой косточкой. Может быть истоником ушной спонтанной ликвореи.
Чаще всего дефект твёрдой мозговой оболочки (ликворная фистула) образуется в паутинной и твердой мозговых оболочках, тесно связанных с обонятельными нитями, которые проходят через тонкую ситовидную пластинку. Здесь часто возможны врожденные дефекты, формирующиеся в эмбриональном периоде.
Ушная спонтанная ликворея имеет возрастные отличия. У детей причиной является врожденный порок развития лабиринта, который способствует возникновению рецидивирующего менингита и глухоты. У взрослых причинами спонтанной ликвореи может быть выпячивание паутинной оболочки через врожденный дефект крыши барабанной полости, либо приобретенный дефект паутинной оболочки вследствие динамических факторов (повышенное внутричерепное давление). Дефекты крыши барабанной полости чаще являются множественными.
Орбитальная спонтанная ликворея
Возникновение орбитальной спонтанной ликвореи связывают с повторяющимися воспалительным процессом в лобных пазухах (хронический фронтит). Патологический процесс при орбитальной спонтанной ликворее захватывает у пациента орбиту глазного яблока и переднюю черепную ямку.
Спонтанная ликворея встречается чаще у женщин, страдающих ожирением (94%). Средний возраст больных со спонтанной ликвореей составляет 49,6 года, а индекс массы тела 35,9 кг/м2.
Клинические проявления и симптомы спонтанной ликвореи
Для спонтанной ликвореи характерны головные боли при смене положения тела (ортостатические головные боли). Это может быть связано с понижением внутричерепного давления (интракраниальная гипотензия). Описаны случаи, когда головные боли у пациентов при спонтанной ликворее появляются при минимальной нагрузке, а не при изменении положения тела. Такие головные боли носят антиортостатический характер, что можно объяснить повышением внутричерепного давления у пациента.
В случае длительной и обильной ликвореи у больного могут наблюдаться признаки общего ослабления (астенизации) и обезвоживания (дегидратации) в виде сухости кожных покровов и видимых слизистых, а также похудания. При скрытой и незначительно выраженной ликворее жалобы у пациента могут отсутствовать.
При явной носовой ликворее у больных может возникать ночной кашель в результате попадания спинномозговой жидкости (ликвора) в трахеи и бронхи при длительном положении больного на спине. Это может повлечь за собой последующее развитие бронхита.
Важным симптомом носовой спонтанной ликвореи у пациентов является нарушение обоняния в виде его снижения или понижения (аносмия, гипосмия). Нарушение обоняния возникает чаще с одной стороны. Нарушение зрения свидетельствует в пользу повреждения передних отделов основания черепа.
Для отореи (истечение ликвора из уха) характерны глухота или снижение слуха. Снижение слуха прямо пропорционально интенсивности ликвореи, поскольку спинномозговая жидкость (ликвор) сообщается с перилимфой через водопровод улитки.
Среди других серьезных осложнений ликвореи можно назвать бронхит и бронхопневмонию в результате затекания спинномозговая жидкость (ликвор) в дыхательные пути. Если спинномозговая жидкость (ликвор) в большом количестве скапливается у пациента в желудке, могут наблюдаться явления гастрита.
Диагностика спонтанной ликвореи
Если у пациента в анамнезе имелся эпизод неменингококкового менингита, особенно рецидивирующего характера, то это может свидетельствовать об имеющейся у него ликворее.
Диагностика у больного явной ликвореи не представляет для врача большой трудности. При носовой спонтанной ликворее после наклона головы вниз из одной половины носа начинает капать прозрачная светлая жидкость. Отличить выделения из носа у пациента при ликворее от вазомоторном и аллергическом рините можно путем определения уровня глюкозы в выделяемой из носа жидкости. В ликворе он значительно выше, чем в отделяемом при рините. При смачивании ликвором салфетки или носового платка последний высыхает не отвердевая в отличие от выделений при рините. Разработан так же альтернативный метод дифференциальной диагностики спонтанной ликвореи. Он заключается в анализе продуктов двумерного электрофореза носового отделяемого. При незначительном или периодическом истечении ликвора у пациента диагностика спонтанной ликвореи становится затруднительной.
В зависимости от причин возникновения (этиологии), клинических проявлений, симптомов и возможностей лечебного учреждения для распознавания спонтанной ликвореи у больного используются следующие методы:
- тест на β-2-трансферрин
- эндоскопический осмотр
- радиоизотопные методы диагностики
- тесты с красителями
- лучевые методы диагностики - МРТ, КТ, рентгенография костей черепа с контрастированием ликвора
Эндоскопический осмотр полости носа чаще всего служит для визуального определения изливающейся спинномозговой жидкости (ликвора) и/или места ее истечения. Эндоскопическое исследование полости носа в синем свете еще более эффективно. При длительно существующей у больного носовой ликворее в ряде случаев можно определить атрофические изменения слизистой оболочки с истончением и мацерацией покровного эпителия.
Радиоизотопный метод является достаточно чувствительным для диагностики ликвореи вообще, но не для локализации ликворного свища. Используются так же тесты с красителями — индигокармином, флюоресцирующими веществами, метиленовой синью.
Определение β-2 фракции трансферрина (тау-белка) в отделяемом из носа в настоящее время является золотым стандартом при подтверждении диагноза спонтанной ликвореи. β-2 фракция трансферрина (тау-белок) является специфическим белком, который содержится только в ликворе.
Магнитно-резонансная томография (МРТ) головного мозга и его ликворных цистерн (цистернография) проводится при диагностике спонтанной ликвореи.
Для уточнения локализации свищевого хода у пациента используются современные лучевые методы диагностики:
Эффективность и чувствительность КТ-цистернографии в диагностике спонтанной ликвореи достигает 71-87%. Если при КТ томографии точно определяются повреждения основания черепа, то при ясной клинической картине спонтанной ликвореи необходимость в других методах диагностики отпадает.
МРТ превосходит КТ в распознавании энцефалоцеле — грыжевое выпячивание в просвет дефекта черепа. Но МРТ хуже выявляет костные повреждения основания черепа. Эффективность и чувствительность МРТ-цистернографии при спонтанной ликворее достигает 78%. Чувствительность комбинации МРТ-методов: спин-эхо (SE) T1W1 в аксиальной и сагиттальной проекциях, SE T2W1 в аксиальной и коронарной проекциях, FLAIR составляет 100% при спонтанной ликворее.

При компьютерной томографии костей черепа с цистернографией визуализируется костный дефект правой решетчатой пластинки (указано красной стрелкой).
Гидроцефалия
Гидроцефалия — повышенное скопление цереброспинальной жидкости в ликворной системе головного мозга. Гидроцефалия сопровождает многие врожденные и приобретенные неврологические заболевания. Клинически она проявляется признаками повышенного внутричерепного давления (головная боль, тошнота, давление на глаза), симптомами сдавления мозговых структур (вестибулярная атаксия, нарушения зрения, психические расстройства, эпи-приступы) и симптомами, характерными для вызвавшего ее заболевания. Диагностика гидроцефалии включает рентгенографию черепа, офтальмологические исследования, Эхо-ЭГ (у грудных детей — нейросонографию), МРТ или КТ головного мозга. Хирургическое лечение гидроцефалии позволяет скорректировать врожденные аномалии ликворной системы, провести удаление нарушающих ликвороциркуляцию внутричерепных образований, наладить отток ликвора из полости черепа.


Гидроцефалия в дословном переводе означает «водянка головы». В современной неврологии это часто встречающийся клинический синдром, который может отмечаться при многих заболеваниях, врожденных аномалиях или посттравматических состояниях головного мозга. Возникновение гидроцефалии связано с в теми или иными нарушениями в ликворной системе мозга. Появлению гидроцефалии подвержены люди любого возраста. Гидроцефалия может возникать у новорожденных, иметь врожденный характер, развиваться у детей и у взрослых, сопровождать атрофические процессы, происходящие в головном мозге у стариков. Однако наиболее часто она встречается в педиатрической практике.

Причины
К накоплению избыточного количества ликвора в ликворной системе головного мозга приводят 3 патологических механизма: выработка избыточного количества цереброспинальной жидкости, нарушение ее всасывания или расстройство ликвороциркуляции. В основе гидроцефалии может лежать один из указанных механизмов или их сочетание. Причины, вызывающие нарушения в работе ликворной системы, могут действовать в период внутриутробного развития и обуславливать врожденную гидроцефалию или влиять на мозг после рождения и вызывать появление так называемой приобретенной гидроцефалии. К причинам гидроцефалии относятся:
1. Врожденная гидроцефалия:
- пороки развития ликворной системы (атрезия отверстий Мажанди и Лушки
- дефекты в строении подпаутинного пространства
- стеноз сильвиевого водопровода, синдром Денди-Уокера и пр.)
- краниовертебральные аномалии (аномалия Киари, врожденная базилярная импрессия)
- внутриутробные инфекции (токсоплазмоз, врожденный сифилис, цитомегалия, краснуха), родовая травма.
2. Приобретенная гидроцефалия:
- воспалительные процессы в головном мозге и его оболочках (энцефалит, арахноидит, менингит)
- сосудистые нарушения (кровоизлияния в желудочки, геморрагический инсульт или внутримозговые гематомы с прорывом крови в желудочки).
- прорастание желудочков и сдавление ликворных путей на фоне коллоидной кисты III желудочка и внутримозговых опухолей (астроцитомы, герминомы, ганглионевромы и др.). При этом нарушается нормальная циркуляция ликвора и его отток из полости черепа.
Отдельно выделяют атрофическую (заместительную) форму гидроцефалии, которая возникает вследствие посттравматической гибели или возрастной атрофии тканей головного мозга. При этом цереброспинальная жидкость заполняет пространство, которое образуется внутри черепной коробки в результате уменьшения объема головного мозга. Атрофическая гидроцефалия в пожилом возрасте может развиваться на фоне нарушения кровоснабжения головного мозга при атеросклерозе мозговых сосудов, гипертонической болезни, диабетической макроангиопатии.
В норме ликвор (цереброспинальная жидкость) вырабатывается сосудистыми сплетениями сообщающихся между собой желудочков головного мозга. Наибольшее его количество образуется в боковых желудочках, откуда ликвор поступает в III желудочек, а из него по сильвиевому водопроводу в IV желудочек. Затем ликвор попадает в субарахноидальное (подпаутинное) пространство, которое простирается над всей поверхностью головного мозга, а в каудальном направлении проходит область краниовертебрального перехода и дальше окружает спинной мозг на всем его протяжении. Находящаяся в субарахноидальном пространстве цереброспинальная жидкость постоянно всасывается арахноидальной (паутинной) оболочкой спинного и головного мозга и попадает в кровь. Указанные выше этиологические факторы, нарушающие выработку, движение и всасывание ликвора, приводят к ее избыточному накоплению и возникновению гидроцефалии.
По этиологическому принципу выделяется врожденная и приобретенная гидроцефалия. По механизму возникновения гидроцефалия классифицируется на открытую и закрытую форму.
- Открытая гидроцефалия связана с гиперпродукцией ликвора или нарушением его всасывания при нормальной ликвороциркуляции.
- Закрытая гидроцефалия вызвана нарушением оттока цереброспинальной жидкости из-за сдавления, частичной или полной обтурации какого-либо участка ликворной системы головного мозга.
В зависимости от того, где происходит избыточное накопление ликвора различают внутреннюю и наружную гидроцефалию. Внутренняя гидроцефалия сопровождается скоплением ликвора в желудочках мозга. Наружная гидроцефалия характеризуется избытком ликвора в субарахноидальном и субдуральном пространстве.
По особенностям течения гидроцефалию классифицируют как острую, подострую и хроническую. Острая гидроцефалия отличается быстрым развитием, при котором через несколько суток после возникновения первых признаков заболевания наступает декомпенсация. Подострая гидроцефалия развивается в течение месяца, а хроническая — более полугода.
Большое клиническое значение имеет разделение гидроцефалии на стабилизировавшуюся (компенсированную) и прогрессирующую (нарастающую).
- Стабилизировавшаяся гидроцефалия не нарастает и обычно протекает с нормальным давлением ликвора.
- Прогрессирующая гидроцефалия отличается усугублением симптоматики, сопровождается повышением ликворного давления, плохо поддается консервативной терапии и приводит к атрофии тканей головного мозга.
Симптомы гидроцефалии
Гидроцефалия у взрослых
Накопление избыточного количества цереброспинальной жидкости в ограниченном пространстве черепной коробки приводит к повышению внутричерепного давления, что и обуславливает наиболее типичные симптомы гидроцефалии. У взрослых и детей старшего возраста к ним относятся: не снимающаяся анальгетиками интенсивная головная боль, тошнота, рвота, чувство давления на глазные яблоки. Указанные симптомы могут возникнуть остро или нарастать постепенно, имея в начале заболевания преходящий характер. Атрофическая гидроцефалия зачастую протекает без признаков повышения внутричерепного давления и выявляется лишь при дополнительном обследовании пациента.
В большинстве случаев гидроцефалия сопровождается неврологической симптоматикой, которая обусловлена как сдавлением мозговых структур расширенными ликворными пространствами, так и основным заболеванием, являющимся причиной развития гидроцефалии. Наиболее часто при гидроцефалии отмечаются вестибулярные и зрительные нарушения. К первым относится вестибулярная атаксия, проявляющаяся головокружением, неустойчивостью походки, шумом в ушах и голове, нистагмом. Со стороны зрения может наблюдаться значительное снижение остроты зрения, выпадение определенных участков полей зрения, застойные диски зрительных нервов; при длительном течении гидроцефалии может развиться атрофия зрительных нервов.
Гидроцефалия может протекать с нарушениями двигательной и чувствительной сферы: парезами и параличами, повышением сухожильных рефлексов и мышечного тонуса, понижением или полным выпадением всех видов чувствительности, образованием спастических контрактур конечностей. Окклюзионная гидроцефалия, обусловленная нарушением циркуляции ликвора в области задней черепной ямки, характеризуется симптомами мозжечковой атаксии: нарушением координации и походки, крупноразмашистыми несоразмерными движениями, изменением почерка и пр.
В некоторых случаях гидроцефалия сопровождается психическими расстройствами, которые у взрослых чаще проявляются нарушениями эмоционально-волевой сферы: эмоциональной неустойчивостью, неврастенией, беспричинной эйфорией с быстрым переходом к состоянию безразличия и апатии. При резком увеличении внутричерепного давления, возможно агрессивное поведение.
Гидроцефалия у детей
У детей из-за большой податливости костей черепа не наблюдается повышения внутричерепного давления, гидроцефалия у них сопровождается увеличением размеров черепа. У новорожденных и детей раннего возраста гидроцефалия характеризуется слишком большим размером головы, выбуханием вен скальпа, напряжением и отсутствием пульсации большого родничка, отеком дисков зрительных нервов.
Часто отмечается симптом «заходящего солнца» - ограничение движений глазных яблок кверху. Может наблюдаться расхождение швов черепа. Постукивание по черепу сопровождается характерным звуком (симптом «треснутого горшка»). У детей первого года жизни гидроцефалия приводит к отставанию в развитии. Они позже начинают держать голову, переворачиваться, сидеть и ходить.
Дети, у которых имеется выраженная гидроцефалия, отличаются шарообразной формой головы, ее слишком большим размером, глубоко посаженными глазами, оттопыренными ушами, истончением кожи головы. Может отмечаться снижение зрения, повышение мышечного тонуса в нижних конечностях, нарушения со стороны черепных нервов. В отличие от взрослых, в детском возрасте гидроцефалия чаще сопровождается не эмоционально-волевыми расстройствами, а интеллектуальной недостаточностью.
Дети с гидроцефалией обычно малоподвижны и страдают ожирением. Они апатичны, безынициативны, не имеют свойственной их сверстникам привязанности к родственникам. Снижение степени гидроцефалии зачастую приводит к повышению интеллектуальных способностей и активности ребенка.
В подростковом возрасте гидроцефалия зачастую возникает остро на фоне инфекционного заболевания, психической или физической травмы. При этом она сопровождается интенсивной головной болью, многократной рвотой, брадикардией. Возможны приступы потери сознания, иногда судорожные приступы. В отдельных случаях наблюдаются эпизодические психозы с галлюцинаторным или бредовым синдромом.
Клинические симптомы гидроцефалии обычно настолько характерны, что позволяют неврологу заподозрить ее наличие при первом же осмотре пациента. Для определения степени и формы гидроцефалии, а также для выявления лежащего в ее основе заболевания проводятся дополнительные обследования:

Лечение гидроцефалии
Выбор метода лечения гидроцефалии зависит от ее этиологии. Консервативная терапия часто проводится при приобретенной гидроцефалии, обусловленной воспалительными заболеваниями, перенесенной ЧМТ, кровоизлиянием в желудочки. Осуществляется лечение основного заболевания, а для уменьшения степени гидроцефалии и повышенного внутричерепного давления назначаются мочегонные препараты (ацетазоламид, фуросемид).
Врожденная гидроцефалия обычно требует хирургического вмешательства, направленного на коррекцию лежащего в ее основе порока развития. Если гидроцефалия обусловлена наличием объемного процесса в головном мозге, то она также лечится хирургическим методом. По показаниям производится удаление внутричерепной гематомы, операции по удалению опухолей, вскрытие или тотальное иссечение абсцесса головного мозга, разъединение спаек при арахноидите и др.
В случаях, когда устранить причину гидроцефалии не представляется возможным применяются шунтирующие операции:
Они направленны на создание дополнительных путей оттока цереброспинальной жидкости из полости черепа. Шунтирующие операции могут проводиться как дополнение к хирургическому лечению основного заболевания, если в ходе операции не удается восстановить нормальную циркуляцию ликвора.
Перелом височной кости
Перелом височной кости - это распространенный вариант черепно-мозговой травмы, при котором происходят линейные, вдавленные или оскольчатые повреждения костных структур в области виска и уха. Состояние возникает при механическом воздействии на височную зону в результате ДТП, бытовых, спортивных и профессиональных травм. Клинически перелом проявляется односторонним снижением слуха, заушной гематомой, истечением крови и/или ликвора из слухового прохода. Для диагностики проводят КТ височной кости, аудиометрию, неврологический осмотр и электронейрографию. Лечение предполагает консервативные или хирургические методы, после чего пациенту показана длительная реабилитация.



Переломы височной кости — часто встречающийся вариант поражения основания черепа при различных видах травм. Состояние чаще возникает у людей молодого и среднего возраста. Мужчины более подвержены травмам ввиду склонности к занятиям опасными видами спорта и тяжелой физической работе. Учитывая близкое расположение всех анатомических отделов черепа, у 50% пациентов определяется сочетание перелома височной кости с поражением других костных и внутричерепных структур. В 9% случаев диагностируется одновременное травмирование височной зоны и шейного отдела позвоночника.

Для травмы височных костей требуется воздействие механической силы. До 30% переломов происходит при дорожно-транспортных происшествиях, которые сопровождаются резким ускорением и торможением, что зачастую приводит к повреждению черепа и структур головного мозга. К типичным причинам также относят удары в висок, возникающие при контактных видах спорта, при физическом насилии, в результате падения или случайного удара о твердый предмет.
По характеру приложения механического воздействия на височную кость существует 2 варианта переломов: продольные и поперечные. До 80% травм составляют продольные повреждения, при которых ударная сила направлена вдоль чешуи или сосцевидного отростка височной кости. При этом формируется линейный перелом, располагающийся впереди от слуховой капсулы. При поперечных переломах страдают слуховые косточки и структуры внутреннего уха.
В отдельную группу выделяют вдавленные переломы, имеющие особый механизм развития. Они образуются в зоне чешуи височной кости, которая является ее наиболее тонкой частью, либо в области естественных контрфорсов черепа - в месте отхождения височной пирамиды. Для формирования такого вида перелома необходим прямой контакт травмирующего предмета с поверхностью головы.

Симптомы
Клиническая картина перелома височной кости определяется тяжестью состояния пациента и наличием сочетанных повреждений. Патогномоничным симптомом данной травмы является признак Баттла - подкожное кровоизлияние за ухом, в области проекции сосцевидного отростка. Вторым характерным проявлением служит кровотечение из уха, при котором кровь может истекать через разорванную барабанную перепонку либо непосредственно из линии перелома в наружном слуховом проходе.
При повреждении структур височной кости и мозговых оболочек возможна отоликворея — истечение спинномозговой жидкости из слухового прохода. Поскольку ликвор является прозрачной жидкостью без запаха, этот симптом зачастую остается незамеченным на фоне кровотечения. Подтвердить наличие базальной ликвореи удается по симптому «двойного пятна»: при нанесении капли кровянистых выделений из уха на салфетку вокруг крови появляется светлый ободок.
У пострадавших наблюдается разная степень снижения слуха. Для продольного типа переломов характерна кондуктивная тугоухость, которая связана с поражением слуховых косточек. Она нередко сопровождается синюшным окрашиванием барабанной перепонки, обусловленным скоплениями крови в полости среднего уха. Для поперечного перелома височные кости типична нейросенсорная тугоухость, сопровождающаяся головокружением и нарушениями равновесия.
Важным признаком вовлечения в процесс височной кости выступает паралич лицевого нерва, который наблюдается у 20% пациентов с продольными переломами и 40% больных с поперечным повреждением кости. Состояние проявляется расширением глазной щели и невозможностью полностью закрыть глаз, неподвижностью одной половины лица, асимметричной улыбкой. Пациентов беспокоит сухость и жжение в глазу, снижение вкусовых ощущений.
По скорости развития симптоматики можно предположить характер повреждения нерва. Если паралич возникает внезапно и сопровождается яркими клиническими проявлениями, диагностируют механическую травму или компрессию нервного волокна смещенными костными структурами. При постепенном и отсроченном появлении симптомов более вероятным является отек лицевого нерва без разрыва или сдавления волокон.
Наиболее опасны сочетанные черепно-мозговые травмы (ЧМТ), при которых переломы пирамиды височной кости дополняются повреждениями суставного отростка затылочной кости, глазничной поверхности лобной кости, решетчатой пластинки клиновидной кости. Многочисленные травмы сопровождаются поражением синусов твердой оболочки и собственно мозгового вещества. В такой ситуации велик риск развития комы и летального исхода в остром периоде.
При прямом ударе в височную область и продолжительности воздействия более 0,2 секунды происходит повреждение мягких тканей головы. Поскольку в области черепа толщина гиподермы составляет всего 2 мм, травма вызывает обширные участки некроза кожи. Ситуация усугубляется разрывами крупных сосудов, которые кровоснабжают волосистую часть головы, в результате чего некротические зоны достигают больших размеров и с трудом поддаются лечению.
Первичный осмотр и неотложная помощь пациенту с признаками перелома черепных костей проводится врачом бригады СМП, после чего пострадавший поступает в отделение травматологии. При обширных и сочетанных травмах диагностические процедуры сопровождаются лечебными мероприятиями по стабилизацию витальных функций. В программу обследования входят следующие методы:
- КТ черепа. Наиболее информативный и точный способ визуализации, который позволяет врачу-травматологу определить наличие перелома, оценить его характер, степень поражения височной кости и окружающих структур. При подозрении на повреждение мозгового вещества обследование дополняют проведением МРТ головного мозга.
- Аудиометрия. Исследование показано для определения нарушений слуха на стороне поражения и оценки степени тугоухости. Если пострадавший находится в сознании и адекватно реагирует на указания врача, выполняются камертонные пробы Вебера и Ринне. Они необходимы для дифференциальной диагностики между кондуктивной и нейросенсорной глухотой.
- Неврологический осмотр. При физикальном обследовании выявляют парез мимических мышц, нарушения слезотечения и вкусовых ощущений, которые типичны для травмы лицевого нерва. Чтобы подтвердить повреждение VII пары черепно-мозговых нервов, проводится электронейрография.
- Лабораторные методы. Для подтверждения отоликвореи необходимо иммунологическое исследование бета-фракции трансферрина - специфического белка, который присутствует в ликворе и перилимфе. Чтобы оценить общее состояние пострадавшего, выполняются клинический и биохимический анализы крови, исследование газового состава крови, коагулограмма.
При открытых переломах либо при заушной гематоме диагноз не оставляет сомнений. Дифференциальная диагностика проводится в сложных случаях, когда на первый план выходят неврологические осложнения и вестибулярный синдром. Необходимо исключить:
- острое нарушение мозгового кровообращения (ишемический или геморрагический инсульт);
- разрыв аневризмы церебральной артерии;
- нейроинфекцию.
Особые сложности представляет диагностика у пациентов в бессознательном состоянии.

Лечение перелома височной кости
Медикаментозное лечение назначается пациентам с удовлетворительным состоянием здоровья и отсроченным развитием неврологических симптомов. Для купирования патологии лицевого нерва проводится терапия системными глюкокортикостероидами, антигипоксантами и вазодилататорами. При ликворее показан строгий постельный режим с возвышенным положением головы, который сопровождается дегидратационной терапией и спинномозговыми пункциями (по показаниям).
Помощь нейрохирурга требуется пациентам с множественными, оскольчатыми и осложненными переломами, особенно при их сочетании с травмами мозговых оболочек и нервной ткани. Сроки начала хирургического вмешательства варьируют от нескольких часов до нескольких месяцев после повреждения, что зависит от характера травмы и клинической картины. Экстренные операции требуется при остром сдавлении лицевого нерва, кровоизлиянии в мозговое вещество.
Для восстановления слуха при кондуктивной тугоухости выполняются отсроченные вмешательства по реконструкции слуховых косточек в барабанной полости. При вестибулярных расстройствах, связанных с перилимфатической фистулой, показано оперативное закрытие свищевого хода, которое позволяет избавиться от головокружения и восстановить нормальную работу вестибулярного аппарата.
Как и другие виды ЧМТ, переломы височной кости требуют комплексных реабилитационных мероприятий, которые начинаются спустя 4-5 недель после травмы и продолжаются несколько месяцев. Программа включает лечебную гимнастику, дыхательные упражнения, массаж и мануальную терапию. Широко применяются методы физиотерапии: электрофорез, фонофорез, магнитотерапия и лазерная терапия.
Исход зависит от тяжести травмы костных структур, степени тугоухости и обратимости неврологических нарушений, вызванных компрессией лицевого нерва. Прогноз определяется индивидуально для каждого пациента, может изменяться в процессе терапии с учетом ответа на лечение и динамики заболевания. Чтобы предупредить переломы височной кости, проводятся превентивные меры по снижению уровня бытового, профессионального и дорожно-транспортного травматизма.
2. Неврология. Национальное руководство/ под ред. Е.И. Гусева, А.Н. Коновалова, В.М. Скворцовой, А.Б. Гехт. - 2018.
4. Двусторонний травматический поперечный перелом височных костей с поражением кохлеовестибулярного анализатора/ А.Л. Гусева// Вестник оториноларингологии. - 2014. - №6.
Ликворея

Ликворея — аномальное явление, которое характеризуется истечением ликвора из черепной полости из-за механического повреждения твёрдой мозговой оболочки и костей основания. Ликвором называют спинномозговую жидкость, постоянно циркулирующую в полостях головного мозга, ликворопроводящих каналах, подпаутинном пространстве спинного и головного мозга. Она выполняет ряд важных функций, обеспечивая защиту последних и поддерживая обменные процессы между мозгом и кровью.
Пройти диагностику и курс лечения ликвореи в Москве приглашает неврологии ЦЭЛТ. Наша клиника является многопрофильном и работает на столичном рынке платных медицинских услуг уже третье десятилетие. Обращаясь к нам, Вы можете рассчитывать на постановку точного диагноза и выяснение причины появления проблемы. Наши неврологи и нейрохирурги используют современные методики лечения и проводят его в соответствии с международными стандартами.
Почему развивается ликворея?
Ликворея развивается вследствие нарушения целостности или дефекта твёрдых мозговых оболочек, которое может быть спровоцировано следующим:
- Врождённые аномалии ЦНС, сопряжённые с разрывом оболочек;
- Травматические повреждения костей основания черепа;
- Нарушения целостности костей решётчатой пазухи после хирургического вмешательства или проведения ЛОР-процедур;
- Нейрохирургические операции на мозге, сопровождающиеся наложением швов, через которые может просачиваться спинномозговая жидкость;
- Разрастающиеся новообразования добро- или злокачественной природы, поразившие область возле черепного основания;
- Патологические состояния соединительной ткани, характеризующиеся сильным истончением твёрдом мозговой оболочки.
Ликворея является опасным для здоровья и жизни пациента состоянием, поскольку провоцирует резкое снижение ВЧД и может стать причиной проникновения инфекции в систему кровообеспечения и ликворопроведения спинного и головного мозга. Её тяжёлыми осложнениями могут стать такие заболевания как энцефалит и менингит.
Наши врачи


Клинические проявления ликвореи
В зависимости от того, каким именно путём выделяется спинномозговая жидкость, выделяют два вида заболевания:
- Назальная ликворея — спинномозговая жидкость выделяется в область носоглотки, которую раздражает и провоцирует развитие бронхита и кашля. Последний возникает по ночам вследствие попадания ликвора в бронхи и трахею, если больной спит на спине. Другие клинические проявления назальной ликвореи заключаются в ухудшении обонятельной функции, как правило, с одной стороны. Помимо этого, могут наблюдаться и нарушения зрения. Это говорит о том, что имеются повреждения передних отделов черепного основания;
- Ушная ликворея — выделение спинномозговой жидкости происходит через ушные раковины при повреждениях височных костей. Заболевание проявляется снижение слуха и даже полной глухотой. Интенсивность первого зависит от того, насколько интенсивна утрата спинномозговой жидкости.
Что касается общемозговых симптомов ликвореи, то они заключаются в следующем:
- сдавливающего характера умеренной интенсивности на фоне заложенности ушей и слабости;
- Состояние апатии, ухудшение памяти касательно текущих событий, пассивное поведение;
- Постоянное ощущение слабости, быстрая утомляемость, неспособность сконцентрировать внимание;
- Постоянное ощущение дискомфорта, подавленность, ощущение страха.

Диагностика ликвореи
Диагностические исследования ликвореи проводятся комплексно и требуют применения целого ряда методик. Они представлены следующим:
- Проведение физикального обследования для выявления очаговой симптоматики;
- Лабораторные исследования крови;
- Риноскопия для диагностики носовой ликвореи;
- Отоскопия для диагностики ушной ликвореи;
- Эндоскопические исследования решётчатой пластинки;
- Краниография;
- Рентгенография придаточных носовых пазух;
- Компьютерная/магнитно-резонансная томография.
Лечение ликвореи в ЦЭЛТ
Наши специалисты разрабатывают тактику лечения ликвореи исходя из результатов диагностических исследований и индивидуальных показаний пациента. Заболевание на начальных стадиях развития при отсутствии показаний к хирургическому вмешательству лечат консервативно, направив усилия на снижение производства ликвора и обеспечения оптимальных условий для заживления повреждённой области мозговой оболочки и восстановления её целостности.
Пациенту назначают специальный режим и рацион питания, исключающий риск запоров. Он должен оставаться в постели в течение десяти-двенадцати дней в положении, при котором потери ликвора снижаются и прекращаются. Помимо этого, ему важно быть максимально осторожным во время кашля и чихания из-за повышения ВЧД. Что касается медикаментозного лечения, то его назначают при инфекциях носовых и ушных путей, при болевой симптоматике, отёках мозга, для профилактики осложнений ЖКТ.
Оперативное вмешательство при ликворее возможно лишь при полной санации придаточных носовых пазух. Его цель заключается в том, чтобы внимательно осмотреть и загерметизировать ликворную фистулу. Показанием служит ликворея, которая не прекращается посредством консервативного лечения.
Читайте также:
