Классификация парагонимозов человека. Личинки парагоним
Добавил пользователь Евгений Кузнецов Обновлено: 21.11.2025
Парагонимоз - зооантропонозное заболевание из группы биогельминтозов, вызываемое легочным сосальщиком, обычно паразитирующим в легких, реже - мозге и других органах. Парагонимоз может проявляться абдоминальным синдромом, кожным зудом, бронхопневмонией, кровохарканьем, легочным кровотечением, симптомами менингита, судорожными припадками, снижением остроты зрения. Диагноз парагонимоза устанавливают на основании клинической картины, результатов микроскопии мокроты, копроовоскопии, рентгенографии, КТ и МРТ легких и черепа, биопсии, лапароскопии. Лечение парагонимоза проводится противогельминтными средствами; при неэффективности - показано оперативное удаление кист, резекция легкого.
МКБ-10

Общие сведения
Парагонимоз - хроническая паразитарная инвазия, развивающаяся при заражении трематодами рода Paragonimus и протекающая с преимущественным поражением легких. Парагонимоз является природно-очаговым заболеванием с охватом стран Юго-Восточной Азии (Китая, Японии, Кореи, Индонезии, Филиппин, полуострова Индокитай), Центральной и Южной Америки (Перу, Эквадора, Венесуэлы, Колумбии), Западной Африки и Дальнего Востока России (Приамурья и Приморского края). Формированию очагов парагонимоза способствует традиционное употребление населением в пищу термически необработанного мяса пресноводных ракообразных. Вне этих регионов заболеваемость парагонимозом носит спорадический характер.
Причины парагонимоза
Парагонимоз вызывается легочными сосальщиками, включающими несколько близких видов трематод рода Paragonimus. Наиболее часто возбудителем выступает P. westermani, представляющий собой плоского гельминта красно-коричневого оттенка, имеющего форму апельсинового семени. Тело гельминта длиной 7-12 мм имеет кутикулу, покрытую шипиками, а также ротовую и брюшную присоски. Паразит является гермафродитом, после перекрестного оплодотворения откладывает незрелые яйца длиной до 0,12 мм.
Сложный цикл развития трематод проходит со сменой хозяев: основными являются человек и животные (свиньи, собаки, кошки, ондатры, выдры, крысы), первыми промежуточными служат пресноводные моллюски; дополнительными - пресноводные крабы, раки и креветки. Парагонимоз имеет фекально-оральный механизм передачи. Яйца трематод выделяются из организма основного хозяина в окружающую среду с испражнениями, реже с мокротой и дозревают в воде. Вылупившиеся личинки (мирацидии) активно внедряются в ткани моллюсков и последовательно проходят через стадии спороцисты, редии и церкарии. Церкарии способны активно или пассивно проникать в тела крабов и раков, инцистироваться в мышцах и внутренних органах, развиваясь там до инвазионных метацеркарий.
Имеется высокая естественная восприимчивость людей к парагонимозу. Инвазия происходит при поедании сырого мяса зараженных ракообразных (пищевой путь) или при употреблении загрязненной воды (водный путь). В тонкой кишке личинки освобождаются от оболочек, перфорируют кишечную стенку и осуществляют сложную миграцию в легкие через брюшную полость, диафрагму, листки плевры. В легочной паренхиме они формируют вокруг себя фиброзные кисты размером до 10 см, локализующиеся по периферии и у корней легких. Каждая парагонимозная киста заполнена воспалительным экссудатом с примесью крови и слизи, обычно содержит пару паразитов и их яйца, сообщается с бронхиолой. Половая зрелость легочного сосальщика наступает через 5-6 недель после заражения, кладка яиц происходит через 65-90 дней, продолжительность жизни - достигает 5 и более лет.
Трематоды, их яйца и личинки оказывают механическое воздействие на ткани хозяина, провоцируют развитие воспалительных и токсико-аллергических реакций. Миграция личинок через органы брюшной полости и диафрагму вызывает в них кровоизлияния и некроз. Вскрытие парагонимозных кист сопровождается гематогенной диссеминацией трематод и их яиц в ЦНС, мезентеральные лимфоузлы, печень, предстательную железу, кожу и другие органы. Яйца вместе с мокротой откашливаются или проглатываются, попадая в ЖКТ. Полость кисты после выхода или гибели гельминта зарубцовывается, в очагах поражения постепенно развиваются склеротические процессы, наблюдается обызвествление.
Симптомы парагонимоза
Инкубационный период парагонимоза - от нескольких дней до 2-3 недель, клинические проявления зависят от стадии заболевания. Во время миграции метацеркарий из кишечника в брюшную полость отмечается абдоминальный синдром с явлениями энтерита, острого гепатита, доброкачественного асептического перитонита, симптомами острого живота. Возможно появление кожного зуда. Внедрение личинок трематод в легочную ткань проявляется развитием острого бронхита, бронхопневмонии, геморрагического плеврита.
Острый легочный парагонимоз характеризуется лихорадкой (39-40˚С), одышкой, болью в грудной клетке, кашлем с выделением мокроты с примесью крови (кровохарканьем), в половине случаев - легочным кровотечением. У больных отмечается утомляемость, раздражительность, тахикардия. При остром поражении мозга наблюдаются симптомы менингита, менингоэнцефалита: повышение внутричерепного давления, головокружения, сильная головная боль, судорожные припадки с потерей сознания, сужение полей и снижение остроты зрения. В подкожной жировой клетчатке шеи, грудной клетки и живота могут появляться плотные малоболезненные узлы, содержащие гельминтов и яйца. При внелегочной локализации парагонимоза высока частота осложнений и летальность.
Через 2-3 месяца парагонимоз переходит в хроническое течение со сменой периодов обострения и стихания симптомов. Хроническая стадия продолжается до 2-4 лет и сопровождается постепенным угасанием симптомов, появлением изолированных очагов фиброза и кальцификации в легких, развитием пневмосклероза, синдрома «легочного сердца».
Осложнениями легочного парагонимоза является пневмоторакс, легочное кровотечение, плевральные шварты с ограничением подвижности легкого и диафрагмы, в случае присоединения бактериальной инфекции - формирование абсцесса или эмпиемы легкого. Следствием тяжелого поражения головного мозга могут стать эпилепсия, атрофия зрительного нерва, парезы, параличи.
Диагностика парагонимоза
В диагностике парагонимоза используются данные эпидемиологического анамнеза, клинической картины, лабораторных (общего анализа крови, микроскопии мокроты, копроовоскопии) и инструментальных исследований (рентгенографии, КТ и МРТ легких, КТ черепа, биопсии кисты, лапароскопии), результаты аллергопробы с антигенами пангонимусов. В острой стадии парагонимоз диагностируется редко, характерным признаком может служить сочетание изменений в легких с неврологической симптоматикой.
Диагноз парагонимоза подтверждается обнаружением овальных золотисто-коричневых яиц паразита в мокроте и кале больного. В первые 2-3 месяца после заражения более информативны серологические методы (ИФА), выявляющие специфические антитела к антигенам гельминта. В крови при парагонимозе определяется эозинофилия, лимфоцитоз, гипохромная анемия. На рентгенограмме легких парагонимозные кисты представлены в виде размытых кольцевидных затемнений с ровными гладкими границами в одном или нескольких легочных сегментах. При рентгенографии черепа видны кальцификаты в форме «мыльных пузырей». При лапароскопии в брюшной полости обнаруживается выпот геморрагического, фибринозного или фибринозно-гнойного характера, в котором можно выявить незрелых гельминтов. Дифференциальная диагностика осуществляется в отношении туберкулеза, пневмонии, эхинококкоза и новообразований легких, при поражении мозга - опухолей мозга, менингита.
Лечение и прогноз парагонимоза
В ранней стадии парагонимоза проводится десенсибилизирующая терапия антигистаминными препаратами, при тяжелых органных поражениях - короткий курс кортикостероидов. Специфическое лечение парагонимоза включает прием противогельминтных средств (празиквантел, битионол), принимаемых после стихания острых аллергических реакций. При поражении ЦНС лечение парагонимоза проводится только в стационаре. Применяются противосудорожные, мочегонные препараты. При хроническом парагонимозе показаны общеукрепляющие и сердечно-сосудистые средства. В случае неэффективности консервативной тактики проводится резекция легкого, удаление кист легких и мозга.
При своевременном лечении неосложненных случаев легочного парагонимоза наступает выздоровление; при распространенном поражении, развитии пневмосклероза - прогноз серьезный; при множественных кистах головного мозга - крайне неблагоприятный. Профилактика парагонимоза в очагах сводится к исключению из пищи сырого мяса ракообразных, кипячению питьевой воды, охране водоемов от фекального загрязнения.
ПАРАГОНИМОЗ
ПАРАГОНИМОЗ (paragonimosis) — гельминтоз из группы трематодозов, поражающий преимущественно легкие, иногда головной мозг и другие органы.
Рингер (S. Ringer) в 1879 г. в легких трупа человека обнаружил гельминта — возбудителя болезни. Бельц (E. Baelz) и П. Мансон в 1880 г. описали клин, картину П. легких и нашли яйца гельминта в мокроте больного. Биологию парагонимуса изучил Накагава (К. Nakagawa) в 1914—1915 гг.
Географическое распространение. П. встречается гл. обр. в Восточной и Юго-Восточной Азии, в Африке, Южной Америке, в СССР на Дальнем Востоке.
Содержание
Этиология

Схематическое изображение Paragonimus westermanii — возбудителя парагонимозе: 1 — ротовая присоска, 2 — брюшная присоска, 3— кишечник, 4 — матка, 5— яичники, 6 —семенники, 7— желточник.
Возбудитель П.— гельминт класса трематод (сосальщиков) Paragonimus westermanii (Kerbert, 1878) Braun, 1899. Длина гельминта 8 —16 мм, ширина 4—8 мм, толщина 3—4 мм (рис.). Яйца золотисто-коричневого цвета, овальные, с крышечкой, размером 0,08—0,118x0,048— 0,060 мм.
Кроме P. westermanii у человека обнаружено несколько других видов рода Paragonimus. В стадии половой зрелости парагонимусы паразитируют у человека и у ряда животных, напр, у собаки, кошки, свиньи, уссурийского тигра и др. (окончательные хозяева); обычно локализуются в бронхах, но иногда проникают в диафрагму, плевру, головной мозг и другие органы. Гельминты заключены (1—2) в фиброзные капсулы диам. 50 мм и более. Промежуточные хозяева парагонимуса — моллюски рода Melania, дополнительные хозяева — пресноводные крабы родов Potamon и Eriocheir и раки рода Astacus.
Эпидемиология
С мокротой и калом больных П. людей и животных в окружающую среду выделяются яйца гельминта. После попадания яйца в воду через 16—60 дней внутри его формируется зародыш — мирацидий, к-рый выходит в воду и активно проникает в моллюска. В моллюске происходит развитие и размножение личиночных поколений парагонимуса, заканчивающееся выходом также в воду хвостатых личинок — церкариев. Церкарии активно проникают в крабов и раков и инцистируются в них, превращаясь в метацеркариев. Заражение П. человека и млекопитающих происходит при употреблении в пищу сырых или недостаточно проваренных, слабо просоленных инвазированных метацеркариями крабов и раков. В кишечнике окончательного хозяина личинки освобождаются от оболочек, проникают сквозь стенку кишечника в брюшную полость и продвигаются через диафрагму в легкие, а иногда и в другие органы (вероятно, гематогенным путем), где через 3 мес. достигают половой зрелости и начинают выделять яйца.
В основе патогенеза — токсико-аллергические реакции, механическое воздействие гельминтов, вторичная бактериальная инфекция.
Патологическая анатомия
При миграции молодых парагонимусов в кишечнике, диафрагме, легких, иногда головном мозге образуются узкие паразитарные ходы с кровоизлияниями в стенках. В местах оседания паразита в легких развиваются воспалительные инфильтраты диам, от 2 до 10 см и более. Приблизительно со 2-го месяца в этих участках формируются фиброзные кисты диам. 1—6 см и более, внутри к-рых видны казеозные массы и жидкость шоколадно-красноватого цвета или слизь с примесью гноя, содержащие яйца гельминта. В дальнейшем на месте кисты при микроскопическом исследовании можно заметить очаг фиброзной соединительной ткани. При множественной инвазии и отсутствии лечения развивается очаговый или диффузный пневмосклероз, могут обнаруживаться отложения солей кальция. При поражении головного мозга наблюдаются кисты, спайки, абсцессы.
Клиническая картина
Инкубационный период 2—3 нед., при массивной инвазии может быть до 2—3 дней. Течение П. может быть острым и хроническим. Острый П. может быть абдоминальным и плевролегочным.
Острый абдоминальный П. возникает вскоре после заражения и связан с миграцией личинок из кишечника в брюшную полость. Он протекает с симптомами энтерита, гепатита, иногда доброкачественного асептического перитонита. Этот период может быть и бессимптомным. Затем развивается острый плевролегочный П., обусловленный паразитированием молодых гельминтов в легких и характеризующийся лихорадкой, болями в груди, одышкой, кашлем с гнойной мокротой, иногда с примесью крови, пневмоническими очагами в легких, высокой эозинофилией. Возможно возникновение сухого или экссудативного плеврита. Через 2—3 мес. болезнь принимает хрон, течение с чередованием обострений и ремиссий. При обострении температура поднимается до 38—39°, возникают боли в груди, одышка, слабость, усиливается кашель, увеличивается выделение мокроты, содержащей примесь крови. У части больных возникает экссудативный плеврит, обычно серозный, реже геморрагический. Во время ремиссии температура нормальная или субфебрильная, кашель с мокротой, в крови эозинофилия. Возможно развитие церебральных явлений при заносе гельминтов в головной мозг (см.).
Осложнения: при остром П. — аллергический миокардит, менингоэнцефалит; при хроническом — возможно развитие гнойного плеврита, обильных легочных кровотечений.
Диагноз
Диагноз основывается на данных клин, и рентгенол, обследования больного и на результатах исследования мокроты и кала на яйца парагонимуса. Рентгенологически в легких обнаруживают инфильтративные изменения, кольцевидные тени (кисты), очаговые изменения и пневмосклероз, в ряде случаев с обызвествлениями. В первые 3 мес. после заражения, когда паразиты еще не достигли половой зрелости, яйца не обнаруживают. В этот период для диагностики применяют внутрикожную аллергическую пробу и серол, реакции, к-рые становятся положительными уже через 2—3 нед. после заражения.
При дифференциальном диагнозе следует учитывать прежде всего туберкулез и опухоль легких.
Лечение, Прогноз и Профилактика
Лечение. Проводится специфическое лечение эметином, к-рый вводят под кожу или в мышцы в 2% р-ре по 1,5 мл 2 раза в день в течение 3 дней, затем перерыв 4 дня. Курс лечения состоит из 4—5 циклов. При П. мозга, а иногда легких прибегают к оперативному вмешательству.
Прогноз при неинтенсивной инвазии и своевременном лечении благоприятный, при массивной инвазии сомнительный и при П. головного мозга, обильных легочных кровотечениях, вторичной бактериальной инфекции серьезный.
Профилактика: охрана водоемов от загрязнения фекалиями; употребление в пищу только хорошо термически обработанных крабов и раков.
Библиография: Даниленко М. В. Парагонимоз, М., 1963, библиогр.; Корнянский Г. П., Васин Н. Я. и Эпштейн П. В. Паразитарные заболевания центральной нервной системы, с. 185, М., 1968; Курочкин Ю. В. и Суханова Г. И. Видовой состав рода Paragonimus и возбудители парагонимозе человека, Мед. паразитол., т. 47, в. 6, с. 36, 1978; Плотников H. Н. и Литвинов С. К. К лечению па-рагонимоза легких битианолем, там ше, т. 32, в. 4, с. 405, 1963; Скрябин К. И. и др. Первый случай обнаружения в СССР парагонимоза легких, Рус. журн. троп, мед., т. 5, № 2, с. 75, 1927; Habe S. Experimental studies on the mode of human infection with lung fluke, Paragonimus westermani (Kerbert, 1878), Jap. J. Parasitol., v. 27, p. 285, 1978.
Парагонимоз у человека
Парагонимоз — это паразитарная инвазия из класса трематодозов, которую провоцируют легочные сосальщики рода Paragonimus. Заболевание характеризуется острым началом и сопровождается поражением дыхательной и нервной систем, брюшной полости и подкожно-жировой клетчатки.

Немного о парагонимозе
Парагонимоз является природно-очаговой инфекцией. Чаще всего он выявляется у лиц, проживающих в Юго-Восточной Азии, Западной Африке и на Дальнем Востоке. Это те регионы, где люди привыкли употреблять в пищу сырое мясо ракообразных, что и становится причиной формирования эндемических зон по заболеванию.
Восприимчивость к парагонимозу у человека высокая. Затяжное течение патологического процесса на фоне отсутствия должной диагностики и терапевтической помощи становится причиной тяжелейших осложнений, поражающих ткани бронхов и легких. Клиническая картина заболевания зависит от давности инфицирования и интенсивности инвазии.
Продукты жизнедеятельности глистов и их личинок вызывают поражение тканей, провоцируя воспаление. В легких образуются инфильтраты, которые включают огромное скопление эозинофилов. Со временем они прорываются в полость органа, выбрасывая содержимое в виде крови, и яиц гельминтов. Все это сопровождается серьезными осложнениями.
Помимо дыхательной системы, паразиты могут проникать в брюшную полость и головной мозг. В последнем случае ситуация считается крайне опасной для здоровья. Часто парагонимоз сочетается с инфекциями бактериального характера.
Возбудитель заболевания
Гельминт, вызывающий патологию, относится к легочным сосальщикам рода Paragonimus. Трематода обладает яйцевидной формой и имеет две присоски — брюшную и ротовую. Окрашена в красный цвет. Длина паразита достигает 12 мм, ширина до 7 мм.
Paragonimus является гермафродитом. Процесс размножения начинается сразу же после достижения гельминтом половой зрелости. Яйца паразита имеют золотистый окрас и защитную кутикулу. Они выводятся в окружающую среду, где им предстоит пройти несколько этапов жизненного цикла.
Жизненный цикл гельминта
Взрослые гельминты, паразитируя в легких, откладывают яйца в своих капсулах. Во внешнюю среду они выводятся при кашле, сопровождаемым мокротой, которая или сплевывается больным, или проглатывается со слюной в пищеварительный тракт и уже из него эвакуируется в окружающее пространство с каловыми массами.
[stextbox оказавшиеся вне тела человека, не погибают, продолжая свое развитие во влажной среде. В таких условиях у них наступает стадия мирадиций. И на этом этапе возбудителям Paragonimus требуется промежуточный хозяин — моллюски или улитки, обитающие в воде.[/stextbox]
Оказавшись в их организме, мирадиции плавно перерождаются в церкарии. На этом этапе паразиты начинают поиски второго промежуточного хозяина — краба или рака. Внедрившись в его организм, возбудитель заболевания превращается в метацеркарий и становится готовым к инвазии человека.
Весь жизненный цикл гельминта основан на нескольких этапах. Рассмотрим их подробнее в следующей таблице и на фото.
| Стадии развития | Описание |
|---|---|
| ЯЙЦА PARAGONIMUS | Попадают во внешнюю среду с мокротой или калом человека. |
| МИРАДИЦИИ | Личинки, вышедшие из яиц в пресном водоеме развиваются в теле улитки или моллюска на протяжении 5 месяцев. |
| ЦЕРКАРИИ | Несмотря на то, что паразит остается личинкой, он похож на взрослую особь, так как имеет длинный хвост, присоски, нервную систему и возможность активно перемещаться. На этом этапе возбудители заболевания поражают тела ракообразных. |
| МЕТАЦЕРКАРИИ | Готовые к инвазии личинки, численность которых в туловище морепродуктов может достигать тысячи. |
| ВЗРОСЛАЯ ОСОБЬ | Попадают в пищеварительный тракт окончательного хозяина — человека или животного с плохо обработанным мясом морепродуктов. Оказавшись в нем, личинка высвобождается из своей оболочки и стремится попасть в общий кровоток, внедряясь в стенки органа. С помощью лимфатической системы происходит распространение паразитов по телу. Преимущественно гельминты задерживаются в легочной ткани, где и превращаются в течение 14 суток в зрелых червей, способных к немедленному размножению. |
Пути заражения
Инвазия передается человеку через недостаточно термически обработанное мясо ракообразных, являющихся носителями метацеркарий. Кроме людей, патологии подвержены домашние и дикие животные, преимущественно представители семейства кошачьих. В их организме гельминты оказываются с инфицированной водой или при поедании морепродуктов, грызунов и пр.
[stextbox от кошки и прочих плотоядных животных происходит в результате проникновения инвазионных личинок, возбудителей парагонимоза, непосредственно в организм человека. На практике подобные условия редко выполнимы, если соблюдаются необходимые профилактические нормы.[/stextbox]
Причиной парагонимоза становится заражение человека фекально-оральным путем легочными сосальщиками — трематодами. Паразиты проходят непростой механизм развития. Окончательными их хозяевами становятся люди и животные — кошки, собаки, крысы и пр.
В среднем зрелая особь Paragonimus живет в организме человека около 5 лет, если отсутствует лечение.
Инвазионная стадия
Метацеркарии являются инвазивной формой паразита. Заражение происходит после употребления ракообразных, не прошедших термическую обработку, или при питье инфицированной воды. Восприимчивость к инвазии у человека чрезвычайно высока.
Оказавшись в пищеварительном тракте, метацеркарии быстро избавляются от своих оболочек и повреждают стенки двенадцатиперстной кишки. Проникнув в системный кровоток, они мигрируют в полость брюшины, легкие или головной мозг. Примерно через 2 недели после случившейся инвазии, паразиты достигают половой зрелости и, будучи гермафродитами, приступают к размножению, начиная откладывать яйца, которые впоследствии выводятся во внешнюю среду и жизненный цикл гельминтов продолжается.
Симптомы
Инкубационный период парагонимоза длится от 3 дней до 3 недель. Клиническая картина заболевания полностью зависит от стадии патологического процесса и локализации гельминта.
Классификация инвазии рассмотрена в небольшой таблице.
| Виды парагонимоза | Описание |
|---|---|
| ТИПИЧНЫЙ (ЛЕГОЧНЫЙ) | Паразиты локализуются в органах дыхания, преимущественно бронхах. |
| ЛАРВАЛЬНЫЙ (ЛИЧИНОЧНЫЙ) | Возбудитель заболевания задерживается в мышцах, легких и прочих внутренних органах, отрицательно влияя на человека. |
| АТИПИЧНЫЙ (ВНЕЛЕГОЧНЫЙ) | Глисты формируют подкожные узелки, обладающие подвижностью. |
| КОМБИНИРОВАННЫЙ | Одномоментно происходит поражение организма, сразу нескольких его систем возбудителями. |
У 20% населения болезнь протекает латентно. У остальных патологический процесс характеризуется признаками, интенсивность которых зависит от степени и продолжительности глистной инвазии.
Легочная форма парагонимоза. Начинается остро, причем выраженные симптомы гельминтоза могут длиться от 7 дней до 1 года. Инфицирование организма и миграция незрелых особей в дыхательные пути вызывает развитие следующих клинических проявлений:
- боли в животе;
- кожные высыпания;
- зуд и отечность по типу крапивницы;
- дискомфорт в грудной клетке;
- ухудшение самочувствия;
- кашель с мокротой, имеющей слизистый характер с примесью крови;
- повышенная потливость;
- субфебрилитет неясного генеза в течение длительного времени.
Как только паразиты достигнут плевральной ткани легких, происходит их перемещение через диафрагму с травмированием внутренних органов. Это нередко становится причиной пневмоторакса или плеврита.
Оказавшись в легких, паразиты вызывают воспалительный процесс. Для дальнейшего развития гельминтам необходима защитная оболочка, поэтому вокруг них начинает формироваться фиброзная капсула. Ее образование сопровождается острыми аллергическими реакциями.
После стихания начальных признаков заболевания, начинается хроническая стадия парагонимоза. Для нее характерно уменьшение капсул паразитов в размерах до формирования тонких кистозных образований. В них, помимо зрелого гельминта, присутствует жидкость и плавающие в ней яйца. Именно содержимое капсул выходит наружу вместе с мокротой.
Легочный парагонимоз в хронической стадии характеризуется следующими симптомами:
- кашель с темной мокротой;
- боли в груди;
- одышка при незначительных усилиях.
Признаки заболевания нередко ошибочно воспринимаются за инфицирование туберкулезом. Отличает парагонимоз от него высокая концентрация эозинофилов в крови и отсутствие субфебрильной температуры в хронической стадии.
Внелегочная форма парагонимоза. В этом случае паразиты локализуются во внутренних органах человека, поражая головной мозг, печень, кишечник, почки, мышцы, придатки у женщин и яички у мужчин, подкожно-жировую клетчатку и многое другое.
У 50% больных диагностируется церебральный парагонимоз, чаще всего среди детей. Патология требует стационарного лечения. На начальной стадии заболевания ее нередко путают с менингоэнцефалитом.
Симптомы церебрального парагонимоза:
- головные боли;
- рвота;
- судорожный синдром;
- ухудшение зрения.
Реже развиваются эпилептические припадки. При отсутствии адекватного лечения заболевание часто заканчивается летальным исходом.
У 25% диагностируется абдоминальный парагонимоз. То есть патологический процесс локализуется в кишечнике, печени или селезенке. Единственным достоверным признаком абдоминального парагонимоза является жидкий стул с примесью крови и постоянные боли в животе.
У остальных пациентов гельминтоз поражает другие внутренние органы. Например, наличие крови в моче может свидетельствовать о локализации паразита в почках. Поражение спинного мозга характеризуется стойким параличом. Если глисты мигрируют в сердечную мышцу, патология обычно заканчивается гибелью больного.
Диагностика
Основными критериями в постановке диагноза становятся следующие моменты:
- сбор анамнеза;
- лабораторные анализы;
- инструментальные мероприятия.
В процессе беседы с пациентом, специалист выясняет на какие симптомы он жалуется, существовал ли факт употребления некипяченой воды или термически необработанного мяса крабов или раков в зонах, где эпидемиология по парагонимозу оставляет желать лучшего. Главным признаком заболевания для врача становится сочетание респираторных и неврологических проявлений гельминтоза.
Лабораторные исследования зависят от особенностей патологического процесса. Перечислим их ниже:
- Личиночная форма (инвазионная). В первые 3 месяца после предполагаемой инвазии пациенту назначается диагностика методом ИФА, позволяющая выявить в крови специфические антитела к антигенам возбудителя заболевания.
- Легочная форма. Изучению подлежат мокрота и кал человека, лабораторным путем в них обнаруживаются яйца глистов.
- Внелегочная форма. В зависимости от локализации паразита, пациенту может быть проведена биопсия подкожных образований, исследование желчи и мочи, а также общий анализ крови, подтверждающий наличие патологического процесса в организме ввиду эозинофилии и лимфоцитоза.
Инструментальная диагностика заболевания базируется на рентгенографии легких. Она может указать на инфильтраты воспалительного характера, плеврит, спаечный процесс, кистозные образования с нечеткими границами в полости органа.
Дополнительно специалист может назначить следующие инструментальные методы:
- МРТ головного мозга — при парагонимозе выявляются кальцификаты, похожие на мыльные пузыри.
- Лапароскопическое исследование — позволяет обнаружить в брюшной полости капсулы паразитов с гнойным, геморрагическим и смешанным содержимым, с обязательным присутствием яиц глистов.
Лечение
Парагонимоз, как большинство инвазий, например, описторхоз, помимо дегельминтизации, требует проведения десенсибилизирующей и симптоматической терапии. Рассмотрим с чем сталкивается пациент на на практике.
Инвазионная стадия патологии основана на острых аллергических реакциях, поэтому перед проведением специфического лечения, специалисты настаивают на кратковременных курсах антигистаминных препаратов (Супрастин, Лоратадин), при отсутствии адекватной помощи — глюкокортикостероидах (Преднизолон).
Собственно сама дегельминтизация основана на приеме традиционных противопаразитарных средств. Обычно врач назначает следующие медикаменты:
- Празиквантел. Суточная дозировка для взрослых и детей 70 мг на кг веса. Рекомендованное количество лекарства делят на три порции и принимают утром, днем и вечером после еды с равными промежутками во времени, не превышающими 4 часа. Курс от 1 до 5 дней.
- Битионол. Суточная дозировка 2 гр на кг веса, делится на три приема. Срок лечения 20 дней, но медикамент принимают через сутки.
- 2% гидрохлорид алкалоида эметина. Средство вводится инъекционно в количестве 1,5 мл утром и вечером. Курс 5 дней, спустя неделю повторить.
При церебральном парагонимозе пациента помещают в стационар. Лечение в этом случае, помимо основного курса дегельминтизации, включает следующие аспекты:
- противосудорожные препараты;
- ноотропы;
- диуретики;
- антигистамины.
Хронический парагонимоз требует использования перечисленных ниже медикаментов:
- иммуномодуляторы;
- поливитаминные комплексы;
- средства, нормализующие работу сердца и сосудов;
- общеукрепляющие методы физиотерапии.
[stextbox консервативное лечение не дает ожидаемого эффекта, назначается хирургическое вмешательство. В этом случае пациенту проводится резекция легочной ткани, вылущивание инфильтратов и кист из дыхательных путей, удаление кальцификатов из головного мозга и пр.[/stextbox]
Лечение народными средствами. Рецепты нетрадиционной медицины помогают при парагонимозе ослабить паразитов и быстрее восстановить функции органов, поврежденных в результате заболевания, например, легких. Поскольку инвазия на начальном этапе провоцирует выраженную интоксикацию, пациенту рекомендуется постановка очистительных клизм.
Губительным влиянием на трематоды обладают семечки тыквы. Это нехитрое народное средство в количестве 200 грамм следует съедать каждое утро натощак, после пробуждения. В ближайшие 24 часа желательно ничего не есть и не пить, кроме чистой воды. Процедура практикуется еженедельно, один раз в 7 дней до исчезновения признаков гельминтоза. Безусловно, лечить заболевание медикаментозным путем в это время только приветствуется.
Осложнения
Парагонимоз легких может стать причиной перечисленных ниже последствий:
- пневмоторакс;
- абсцесс легких;
- нарушение подвижности диафрагмы;
- кровотечение в дыхательных путях.
Поражение головного мозга приводит к следующим осложнениям:
- эпилепсия;
- различные формы паралича;
- атрофия зрительного нерва.
Прогноз
Если лечение заболевания начато вовремя, то парагонимоз практически не вызывает осложнений, достигается выздоровление пациента. Внелегочные формы инвазии имеют менее благоприятный прогноз, поскольку терапевтические мероприятия не всегда протекают успешно, особенно при церебральном гельминтозе. В подобных случаях патология может закончиться гибелью человека.
Профилактика
Так как речь идет о глистной инвазии, соблюдение предупреждающих заражение рекомендаций позволяет его исключить. Специалисты советуют следовать нехитрым правилам, перечисленным ниже:
- употреблять морепродукты и ракообразных после должной термической обработки;
- не заглатывать воду при купаниях в открытых природных источниках и отказаться от плавания, если на теле имеются внешние повреждения, например, царапины или порезы;
- всегда пить только очищенную или кипяченую воду.
Помимо этого, важно внимательно относиться к собственному здоровью, укреплять иммунитет, соблюдать личную гигиену и при первых признаках неблагополучия консультироваться со специалистом относительно риска возможной инвазии. Подобная профилактика парагонимоза поможет свести к минимуму вероятность заражения недугом.
Paragonimus westermani: что за паразит, какие заболевания вызывает и как их лечить
Несмотря на то, что парагонимоз - заболевание, считающееся распространенным лишь в определенных регионах мира, заразиться - например, от домашних животных - может каждый.
Paragonimus westermani или «легочный сосальщик» — один из наиболее опасных возбудителей парагонимоза.
Что же делать в такой ситуации ? Для начала советуем почитать эту статью. В данной статье подробно описываются методы борьбы с паразитами. Также рекомендуем обратиться к специалисту. Читать статью >>>
Инфекция передается от зараженных через пищу и воду, поэтому неоспорима необходимость распространения информации о мерах предосторожности.

Внешний вид паразита
Легочный сосальщик (Paragonimus Westermani) — что за паразит
Paragonimus westermani - один из представителей вида paragonimus, отнесенного к классу трематод — плоских червей, называемых «сосальщиками». Название «Westermani» происходит от фамилии сотрудника зоопарка, обнаружившего в конце XIX века зараженных парагонимозом бенгальских тигров. Вскоре паразит был найден и у человека - в легких.
Жизненный цикл PW проходит, в основном, в пресных водоемах. Развитие микроорганизма включает в себя несколько стадий, в каждую из которых он меняет своего «хозяина». Яйца паразитов попадают в окружающую среду из мокроты или фекалий млекопитающих.

Недавно вылупившиеся личинки делятся в организме улиток, а затем через воду переходят в организм крабов или раков. Финальной стадии развития PW достигает в организме млекопитающих и, в частности, человека.
Микроорганизм локализуется, в основном, в легких, но может проникнуть и в другие органы, включая головной мозг.
Передача инфекции человеку и животным происходит чаще всего через употребление в пищу необработанных морепродуктов, однако можно заразиться и от мяса инфицированных животных.
Животные, в организме которых может обитать PW:
- Собаки.
- Семейство кошачьих.
- Свиньи.
- Крысы.
- Выдры.
Спецификой жизненного цикла PW объясняется и регион его распространения - Восточная Азия и Южная Америка. Внутри России в зону риска попадает Дальний восток (Приморский, Хабаровский край, Амурская область). При этом, в отличие от других представителей вида, PW имеет постоянные природные очаги.
Изучение PW продолжается, обнаружено несколько различных представителей.

Жизненный цикл паразита
Какие заболевания вызывает Paragonimus westermani
Парагонимоз - это заболевание человека или животного, в организме которого обитает PW. Заражение паразитом можно легко перепутать с туберкулезом и другими воспалительными заболеваниями легких.
Диагностика производится только медицинским путем и включает в себя:
- .
- Рентгенологическое исследование легких.
- Исследование мокроты и фекалий на наличие яиц паразита.
Инкубационный период продолжается от двух до четырех недель. Выделяют две формы протекания болезни, следующие одна за другой - что объясняется сменой местонахождения паразитов в организме.
Первые проявления болезни можно заметить во время т.н. абдоминального (при миграции личинок из кишечника в брюшную полость) парагонимоза. За ним следует стадия плевролегочного парагонимоза - паразитирование PW в легких.
При отсутствии лечения болезнь может приобрести хронический характер, при котором обострения сменяются ремиссиями.
Паразиты способны жить в организме млекопитающего до 20 лет.
Поэтому не стоит надеяться, что болезнь сойдет на нет. При обнаружении симптомов парагонимоза следует незамедлительно обратиться к врачу.
Симптомы абдоминального парагонимоза схожи с проявлениями энтерита и гепатита:
- Боль в животе.
- Диарея.
- Рвота.
- Повышение температуры.
- Слабость.
- Одновременное увеличение печени и селезенки (гепатоспленомегалия).
- Снижение аппетита.
Симптомы плевролегочного парагонимоза:
- Лихорадка.
- Одышка.
- Боль в груди.
- Кашель с примесью гноя в мокроте или кровохаркание.
- Воспаление плевральной полости.
- Повышенная концентрация в крови одного из видов лейкоцитов - эозинофилов.
На ранней стадии будут эффективны различные антигистаминные препараты, например:
- Цетрин.
- Супрастин.
- Клемастин.
- Фенкарол.
При хронической форме болезни:
Избежать заражения парагонимозом при проживании в регионах, не являющихся зоной распространения P.W., довольно просто: стоит лишь быть внимательным при употреблении в пищу морепродуктов, а также мяса.
Гораздо большую осторожность следует соблюдать жителям приморских областей.
Статистика излечения от парагонимоза, в основном, показывает благоприятные результаты. Поэтому при подозрении на заражение не следует паниковать.
Но нельзя и медлить с обращением к специалисту, т.к. парагонимоз может значительно и надолго снизить качество жизни, а также создать опасность для окружающих.
Победить паразитов можно!
Патогенные микроорганизмы человека в окружающей среде: факторы уничтожения
Ланцетовидная двуустка: строение, распространение и цикл развития, причины и пути заболевания
Дизентерийная амеба: жизненный цикл, строение, схема, стадии развития
Легочный сосальщик: какие заболевания вызывает, симптомы и методы лечения
Сосальщики (Digenea) у человека и животных: цикл развития, симптомы заражения и лечение
При употреблении чего можно заразиться описторхозом, опасные продукты
Список литературы
- Centers for Disease Controland Prevention. Brucellosis. Parasites. Ссылка
- Corbel M. J. Parasitic diseases // World Health Organization. Ссылка
- Young E. J. Best matches for intestinal parasites // Clinical Infectious Diseases. — 1995. Vol. 21. — P. 283-290. Ссылка
- Ющук Н.Д., Венгеров Ю. А. Инфекционные болезни: учебник. — 2-е издание. — М.: Медицина, 2003. — 544 с.
- Распространенность паразитарных болезней среди населения, 2009 / Коколова Л. М., Решетников А. Д., Платонов Т. А., Верховцева Л. А.
- Гельминты домашних плотоядных Воронежской области, 2011 / Никулин П. И., Ромашов Б. В.
Статья для пациентов с диагностированной доктором болезнью. Не заменяет приём врача и не может использоваться для самодиагностики.

Лучшие истории наших читателей
Тема: Во всех бедах виноваты паразиты!
От кого: Людмила С. ([email protected])
Не так давно мое состояние здоровья ухудшилось. Начала чувствовать постоянную усталость, появились головные боли, лень и какая-то бесконечная апатия. С ЖКТ тоже появились проблемы: вздутие, понос, боли и неприятный запах изо рта.
Думала, что это из-за тяжелой работы и надеялась, что само все пройдет. Но с каждым днем мне становилось все хуже. Врачи тоже ничего толком сказать не могли. Вроде как все в норме, но я-то чувствую, что мой организм не здоров.
Решила обратиться в частную клинику. Тут мне посоветовали на ряду с общими анализами, сдать анализ на паразитов. Так вот в одном из анализов у меня обнаружили паразитов. По словам врачей - это были глисты, которые есть у 90% людей и заражен практически каждый, в большей или меньшей степени.
Мне назначили курс противопаразитных лекарств. Но результатов мне это не дало. Через неделю мне подруга прислала ссылку на одну статью, где какой-то врач паразитолог делился реальными советами по борьбе с паразитами. Эта статья буквально спасла мою жизнь. Я выполнила все советы, что там были и через пару дней мне стало гораздо лучше!
Улучшилось пищеварение, прошли головные боли и появилась та жизненная энергия, которой мне так не хватало. Для надежности, я еще раз сдала анализы и никаких паразитов не обнаружили!
Кто хочет почистить свой организм от паразитов, причем неважно, какие виды этих тварей в вас живут - прочитайте эту статью, уверена на 100% вам поможет! Перейти к статье>>>
Парагонимоз: возбудитель, диагностика, симптомы, лечение и профилактика
Парагонимоз — зооантропонозное заболевание из группы биогельминтозов, вызываемое легочным сосальщиком, обычно паразитирующим в легких, реже - мозге и других органах. Парагонимоз может проявляться абдоминальным синдромом, кожным зудом, бронхопневмонией, кровохарканьем, легочным кровотечением, симптомами менингита, судорожными припадками, снижением остроты зрения.
Диагноз парагонимоза устанавливают на основании клинической картины, результатов микроскопии мокроты, копроовоскопии, рентгенографии, КТ и МРТ легких и черепа, биопсии, лапароскопии. Лечение парагонимоза проводится противогельминтными средствами; при неэффективности - показано оперативное удаление кист, резекция легкого.

Сложный цикл развития трематод проходит со сменой хозяев: основными являются человек и животные (свиньи, собаки, кошки, ондатры, выдры, крысы), первыми промежуточными служат пресноводные моллюски; дополнительными - пресноводные крабы, раки и креветки. Парагонимоз имеет фекально-оральный механизм передачи. Яйца трематод выделяются из организма основного хозяина в окружающую среду с испражнениями, реже с мокротой и дозревают в воде. Вылупившиеся личинки (мирацидии) активно внедряются в ткани моллюсков и последовательно проходят через стадии спороцисты, редии и церкарии.
Церкарии способны активно или пассивно проникать в тела крабов и раков, инцистироваться в мышцах и внутренних органах, развиваясь там до инвазионных метацеркарий.
Имеется высокая естественная восприимчивость людей к парагонимозу. Инвазия происходит при поедании сырого мяса зараженных ракообразных (пищевой путь) или при употреблении загрязненной воды (водный путь). В тонкой кишке личинки освобождаются от оболочек, перфорируют кишечную стенку и осуществляют сложную миграцию в легкие через брюшную полость, диафрагму, листки плевры. В легочной паренхиме они формируют вокруг себя фиброзные кисты размером до 10 см, локализующиеся по периферии и у корней легких.

Каждая парагонимозная киста заполнена воспалительным экссудатом с примесью крови и слизи, обычно содержит пару паразитов и их яйца, сообщается с бронхиолой. Половая зрелость легочного сосальщика наступает через 5-6 недель после заражения, кладка яиц происходит через 65-90 дней, продолжительность жизни — достигает 5 и более лет.
Классификация
Основные виды парагонимоза следующие:
- типичный (легочный) - возбудитель развивается и размножается в легких;
- ларвальный (личиночный) - паразит оказывает негативное воздействие, находясь в личиночной стадии, поражая серозные полости, мышцы, легкие и прочие внутренние органы.
- атипичный (внелегочный) - отличительной чертой выступает атипичная локализация гельминта (к примеру, подвижные подкожные опухоли);
- комбинированный - сочетаются одновременно разные виды парагонимоза.
Внелегочный парагонимоз можно разделить на:
- церебральный (поражение головного мозга);
- брюшной полости;
- подкожный;
- другие формы.

Возбудители
- Paragonimus westermani - основной возбудитель парагонимоза, который распространен в Юго — Восточной Азии и Японии.
- P. kellicotti является эндемическим в Северной Америке.
- P. africanus и P. uterobilaterlis заражают людей и обезьян в Африке.
Причиной парагонимоза легочной формы среди людей чаще всего является заражение трематодой Paragonimus westermani. Личиночная форма болезни может быть вызвана P. westermani, P. miyazakii, P. hucitungensis, P. szechuanensis и другими видами.
Тело возбудителей яйцевидной формы, его длина составляет 7,5−13 мм, ширина - 4−8 мм. Внешнее строение гельминтов характеризуется наличием шипиков на их поверхности, ротовой и брюшной присоской, которые размещается соответственно спереди и посередине. Яйца паразита золотисто-коричневого цвета, овальной формы, имеют крышечку.
Взрослые трематоды живут в легких человека и откладывают яйца в бронхи. Оттуда они выбрасываются с мокротой при кашле или после проглатывания выводятся с фекалиями. Яйца затем развиваются в воде в течение 2-3 недель, после чего из них выходят мирацидии, которые проникают в первых промежуточных хозяев (определенные виды пресноводных улиток). Эти мирацидии развиваются в спороцисты и редии, а затем появляются церкарии. Данная стадия личинок проникает во вторых промежуточных хозяев (ракообразных, таких как крабы или раки), в которых они становятся метацеркариями, готовыми к заражению окончательных хозяев.

Патогенез
Продолжительность инкубационного периода 2-3 недели, при массивной инвазии может сокращаться до нескольких дней.
В период миграции личинок специфические проявления отсутствуют. Возможны энтерит, гепатит, доброкачественный асептический перитонит, симптомы аллергии, включая миокардит и кожный зуд. Уже в ранней стадии парагонимоза появляются симптомы поражения лёгких в виде летучих инфильтратов, воспаления легких, экссудативного плеврита.
Выделяют абдоминальный и плевролёгочный парагонимоз. Абдоминальный парагонимоз обусловлен миграцией личинок из кишечника в брюшную полость. Отмечают симптомы энтерита, гепатита, иногда доброкачественного асептического перитонита. Плевролёгочный парагонимоз обусловлен паразитированием молодых гельминтов.
При остром плевролёгочном парагонимозе возникают лихорадка с температурой 39-40°С, боли в груди, одышка, кашель с гнойной мокротой, которая иногда содержит примесь крови. Через 2-3 месяца наступает хроническая стадия со сменой периодов обострений и облегчения, которая может длиться в течение 2-4 лет.
В основе патогенеза парагонимоза лежат воспаление и склероз ткани лёгких (иногда — других органов) под воздействием гельминтов. Сначала вокруг взрослых паразитов и их яиц развивается острая воспалительная реакция, при этом в инфильтрате преобладают эозинофилы.
В дальнейшем вокруг очага формируется фиброзная капсула. Кисты, расположенные в легочной паренхиме, прорываются в бронхиолы. Их содержимое представлено кровью, яйцами гельминтов и воспалительным экссудатом. Если киста расположена субплеврально, может сформироваться эмпиема плевры, содержащая большое количество эозинофилов. Со временем в очагах поражения усиливаются склеротические процессы, а воспаление стихает. Некоторые очаги обызвествляются.
В хронической фазе развивается очаговый фиброз лёгких; рентгенологически выявляют очаги затемнения с просветлениями в центре. Возможны диффузный пневмосклероз, легочное сердце, легочное кровотечение, рак легких. Занос паразитов в мозг приводит к энцефалиту и менингоэнцефалиту, объемному процессу, напоминающему опухоль. При диссеминации яиц возможен полисерозит.

Наиболее тяжелым осложнением легочного парагонимоза является гематогенный занос яиц гельминтов в головной мозг с последующим развитием энцефалита, менингоэнцефалита, синдрома поражения головного мозга (церебральный парагонимоз).
Осложнениями легочной формы являются пневмоторакс, легочное кровотечение, иногда нагноительный процесс с образованием абсцесса легкого или эмпиемы плевры. При своевременном лечении и отсутствии осложнений прогноз личиночного парагонимоза относительно благоприятный; легочный без лечения приводит к истощению и легочной недостаточности, при поражении мозга — прогноз неблагоприятный.
Легочные сосальщики помимо паренхимы лёгких нередко проникают в другие ткани — плевру, брюшную стенку, органы брюшной полости, головной мозг, вызывая там воспалительные изменения и склероз. Согласно исследованию, внелегочные очаги поражения отмечались у 30,7% госпитализированных больных парагонимозом, поражение головного мозга — у 8,4%. Особенно опасно поражение головного мозга.
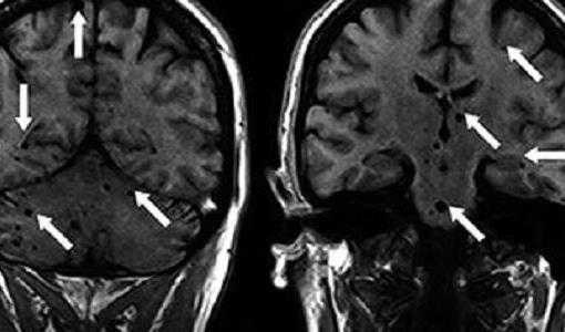
Различают острое и хроническое поражение головного мозга. Для острого характерно внезапное развитие неврологической симптоматики, обычно на фоне легочной патологии. При хроническом нередки эпилептические припадки и стойкие неврологические нарушения; при рентгенографии черепа обнаруживают кальцификаты в виде «мыльных пузырей».
Сообщалось о частом развитии на фоне парагонимоза тяжелых бактериальных инфекций. Поражение брюшной стенки и печени характерно для инвазии, вызванной Paragonimus skrjabini.
Клиническая картина парагонимоза
В период миграции личинок специфические проявления отсутствуют. Возможны энтерит, гепатит, доброкачественный асептический перитонит, симптомы аллергии, включая миокардит и кожный зуд. Уже в ранней стадии парагонимоза появляются симптомы поражения легких в виде летучих инфильтратов, воспаления легких, экссудативного плеврита. В дальнейшем процесс в легких прогрессирует, возникают боль в грудной клетке, кашель с большим количеством мокроты с примесью гноя, крови, лихорадка.
В хронической фазе развивается очаговый фиброз легких; рентгенологически выявляют очаги затемнения с просветлениями в центре. Возможны диффузный пневмосклероз, легочное сердце, легочное кровотечение, рак легких. Занос паразитов в мозг приводит к энцефалиту и менингоэнцефалиту, объемному процессу, напоминающему опухоль. При диссеминации яиц возможен полисерозит.
Личиночный парагонимоз
При заражении личиночными формами парагонимусов (P. westermani ichunensis, P. miyazakii, P. huatungensis и др.) острая стадия болезни не отличается от обычного легочного парагонимоза. В хронической стадии болезнь также протекает с обострениями, сопровождающимися эозинофилией крови и ремиссиями. Рентгенологически обнаруживают мигрирующие пневмонические очаги, экссудативный плеврит на фоне усиления сосудистого рисунка. Выпот в полость плевры также может быть то право-, то левосторонним, возможен полисерозит. При длительном течении болезни могут развиться плевральные спайки с ограничением подвижности легкого и диафрагмы.

Осложнениями личиночного парагонимоза являются пневмоторакс, легочное кровотечение, иногда нагноительный процесс с образованием абсцесса легочного или эмпиемы плевры.
Заражение P. szechuanensis протекает с образованием плотных узлов в подкожной клетчатке (иногда нескольких, содержащих гельминтов и их яйца) шеи, грудной клетки, в области живота. Узлы плотные, разной величины, мало болезненные при пальпации. Кожа над узлами обычно не изменена. Инвазия сопровождается субфебрилитетом, умеренной эозинофилией крови, иногда кашлем, потерей аппетита. При поражении подкожной клетчатки грудной клетки описаны случаи гидропневмоторакса, гидроперикарда.
Поражение мозга
Несмотря на то, что данная форма парагонимоза встречается крайне редко, она является наиболее распространенной внелегочной формой недуга. При поражении головного мозга требуется срочная госпитализация. Ранние проявления напоминают менингоэнцефалит и длятся в течение двух месяцев. Различают острое и хроническое поражение головного мозга.
Острая форма заболевания проявляется неврологической симптоматикой, но, как правило, на фоне легочной патологии.
Симптомы хронической формы:
- головные боли и головокружения;
- тошнота и рвота;
- судороги;
- паралич;
- внутричерепная гипертензия;
- параплегия (паралич верхних или нижних конечностей);
- ухудшение зрения;
- эпилептические припадки;
- кровоизлияния.
Следует отметить, что парагонимоз головного мозга часто приводит к летальному исходу.

Брюшная полость
При локализации взрослых паразитов или их яиц в брюшной полости, формируются гранулемы и абсцессы в стенках кишечника, печени и селезенки. Основными проявлениями являются:
При локализации паразитов в почках появляется кровь в моче (гематурия) с наличием яиц гельминтов. При поражении спинного мозга в некоторых случаях развивается паралич. При проникновении парагонимуса в сердце велика вероятность смертельного исхода.
Лечение парагонимоза
Для лечения парагонимоза у человека обычно паразитологи назначают препарат празиквантел. Данный препарат распространен и эффективен в лечении парагонимоза. Курс терапии составляет 2 дня по 60-75мг на 1 кг массы тела три раза в день, между приемами должен быть перерыв не менее четырех часов. Рекомендуется принимать лекарственное средство после еды, запивая водой. В 80-90% случаев лечение эффективно.
Кроме того, не редко специалист может назначить триклабендазол, который рекомендован ВОЗ. Но купить его сложно, так как не во всех странах используется. Препарат триклабендазол назначается дозировкой 10 мг/кг в сутки в течение трех дней, возможно 20мг/кг в день разделить на два приема. Результативность составляет 98,5%.
Иногда лечение проводится устаревшими препаратами такими, как: битионол, который назначают 30-50мг/кг через сутки, курс лечения 10-15 приемов, и препарат никлофан, обладающий огромным спектром побочным явлений, в сравнении с празиквантелом.
Операционный метод используют при нахождении в организме абсцессов и кист вне легких.
Лечение парагонимоза рекомендуют начинать безотлагательно, тогда исход будет положительным. При затягивании болезни парагонимоз может спровацировать: легочную недостаточность, энцефалит, истощение и другие неприятности.
Когда поражается головной мозг и сердце, прогнозы на выздоровление неблагоприятные.
- В целях профилактики парагонимоза стоит обратить внимание правильное приготовление морепродуктов перед употреблением в пищу;
- Не нужно пить сырую воду, тем более из непроверенных источников.
В современном мире нет иммунопрофилактики против парагониза.
Paragonimus westermani: что за паразит, какие заболевания вызывает и как их лечить
Токсоплазмоз головного мозга: причины возникновения, симптомы и лечения, прогноз при ВИЧ
Менингиома головного мозга: что это за недуг, какой прогноз для жизни и как лечиться
Глисты на УЗИ: как выглядят глисты в брюшной полости, печени на УЗИ
Киста печени: симптомы, диагностика, лечение
Читайте также:
